Bilateral Optic Disc Swelling as a Plausible Common Ocular Sign of Autoinflammatory Diseases: Report of Three Patients with Blau Syndrome or Cryopyrin-Associated Periodic Syndrome
Abstract
:1. Introduction
2. Case Reports
2.1. Case 1
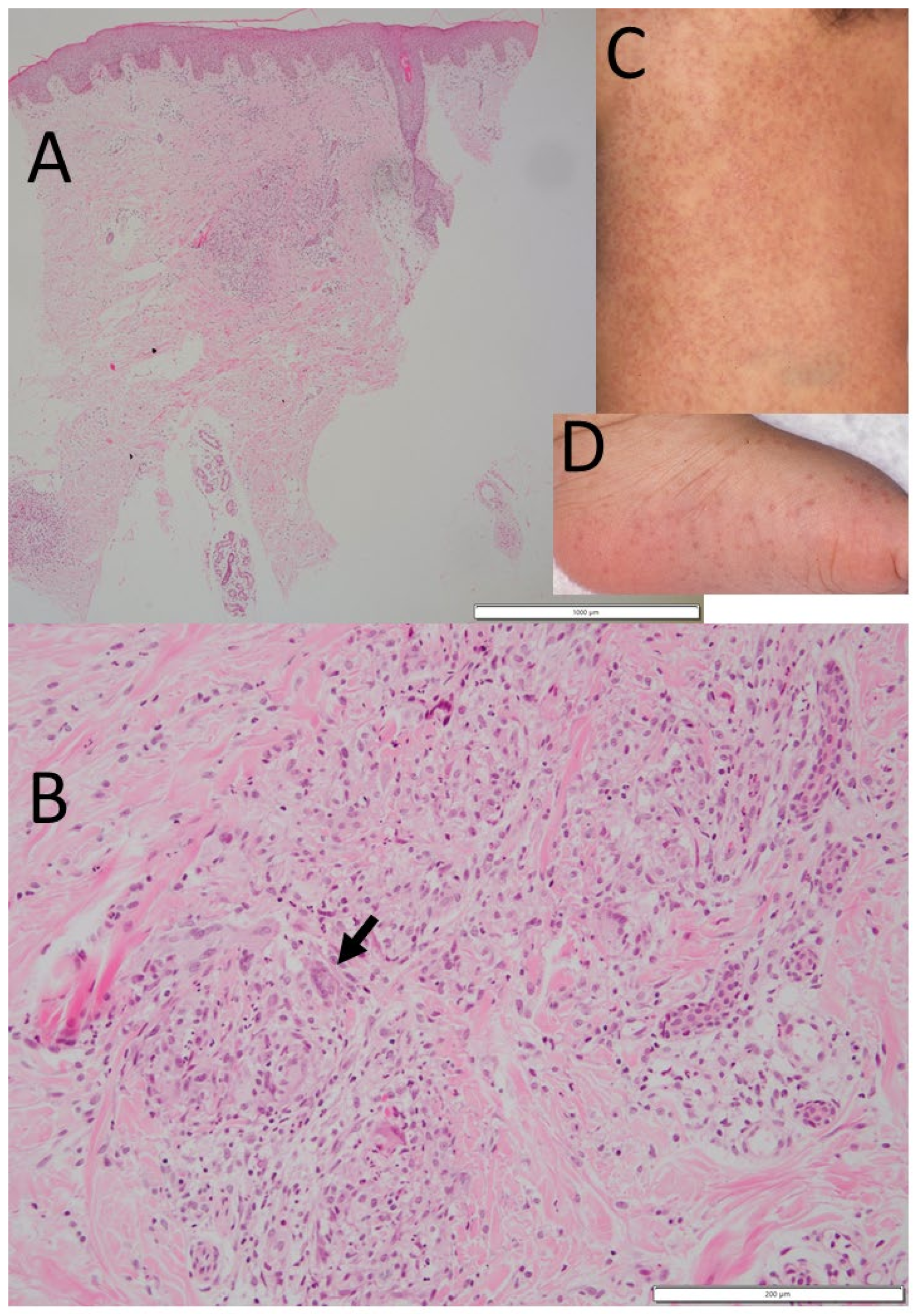
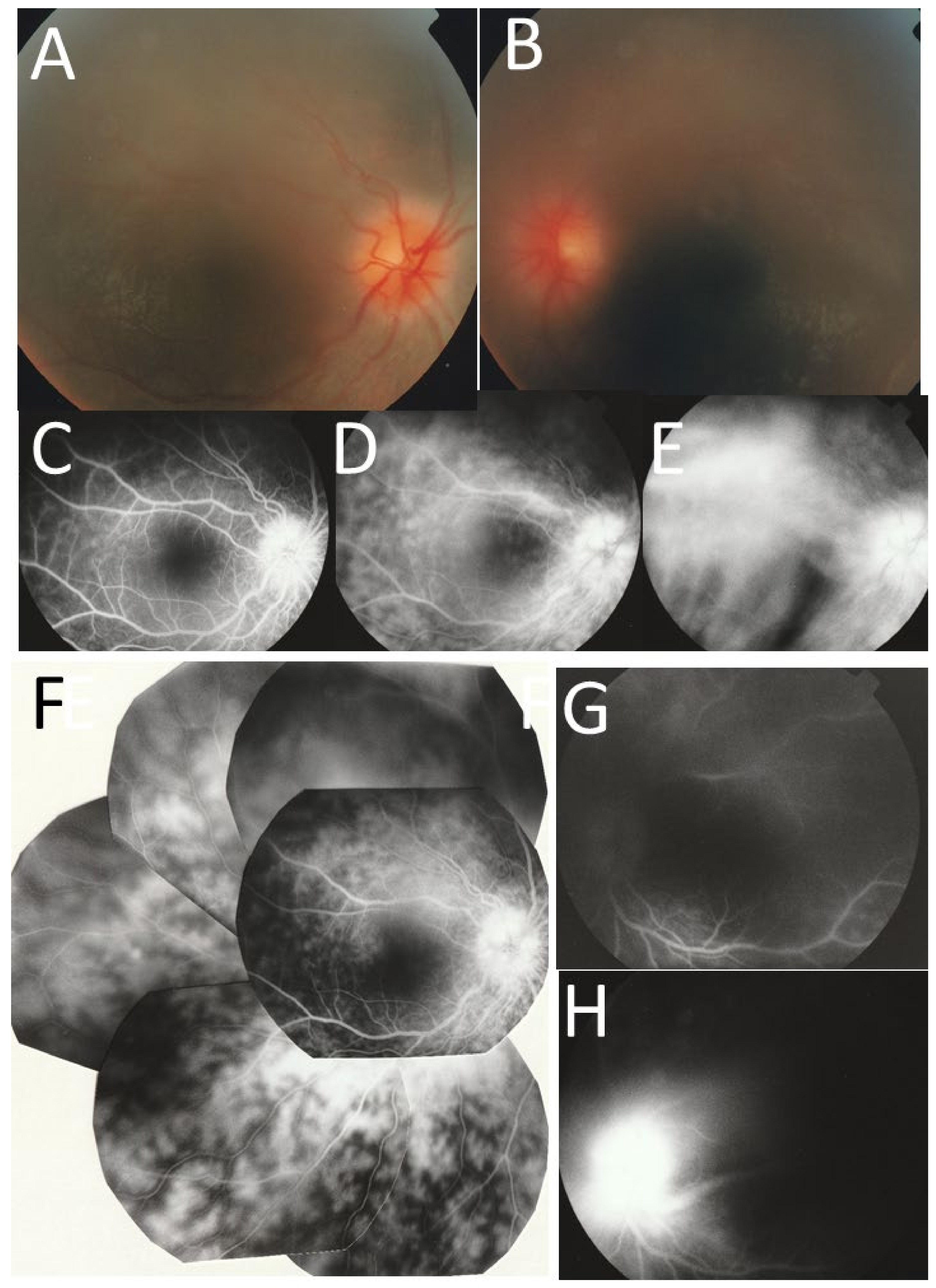
2.2. Case 2
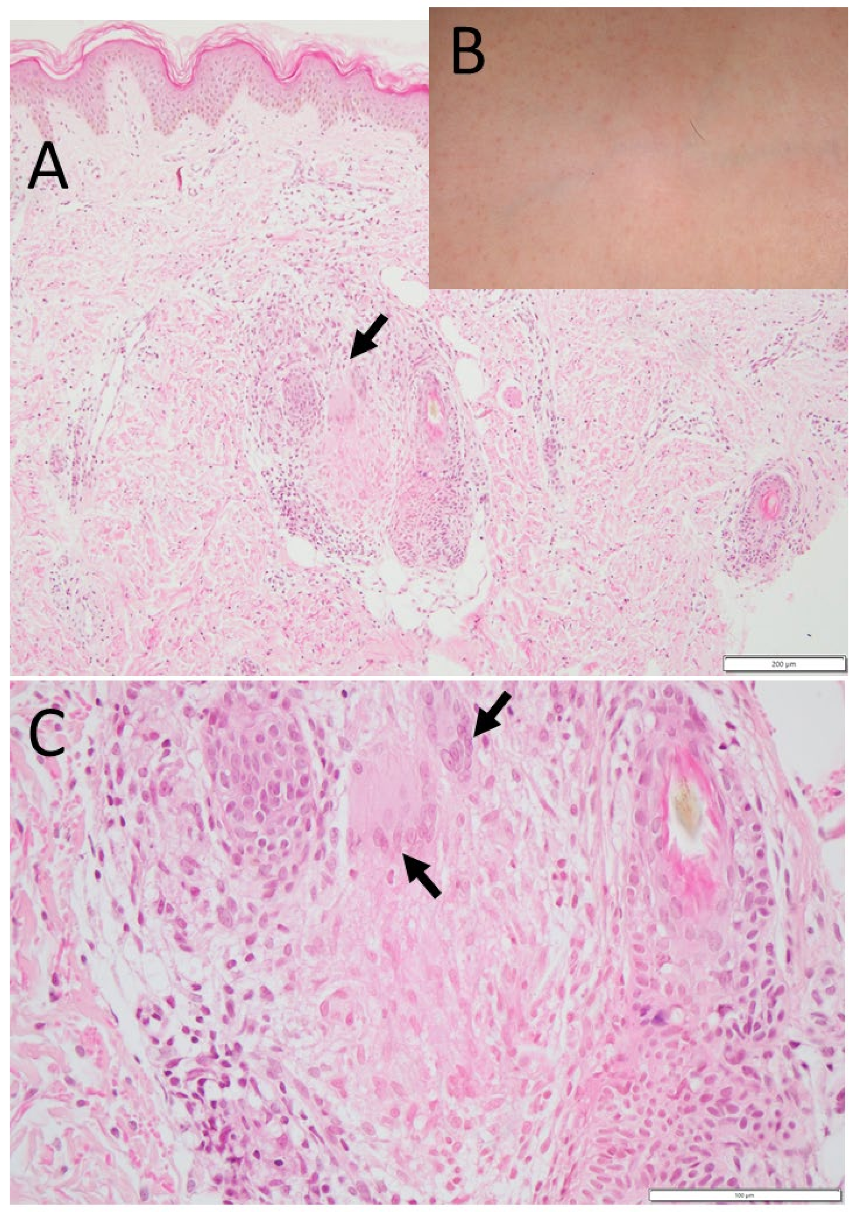
2.3. Case 3
3. Discussion
Author Contributions
Funding
Institutional Review Board Statement
Informed Consent Statement
Data Availability Statement
Conflicts of Interest
References
- Gattorno, M.; Federici, S.; Pelagatti, M.A.; Caorsi, R.; Brisca, G.; Malattia, C.; Martini, A. Diagnosis and management of autoinflammatory diseases in childhood. J. Clin. Immunol. 2008, 28, S73–S83. [Google Scholar] [CrossRef] [PubMed]
- Ozen, S.; Bilginer, Y. A clinical guide to autoinflammatory diseases: Familial Mediterranean fever and next-of-kin. Nat. Rev. Rheumatol. 2014, 10, 135–147. [Google Scholar] [CrossRef] [PubMed]
- Pathak, S.; McDermott, M.F.; Savic, S. Autoinflammatory diseases: Update on classification diagnosis and management. J. Clin. Pathol. 2017, 70, 1–8. [Google Scholar] [CrossRef] [PubMed] [Green Version]
- Tarabishy, A.B.; Hise, A.G.; Traboulsi, E.I. Ocular manifestations of the autoinflammatory syndromes. Ophthalmic Genet. 2012, 33, 179–186. [Google Scholar] [CrossRef] [PubMed]
- Bascherini, V.; Granato, C.; Lopalco, G.; Emmi, G.; Vannozzi, L.; Bacherini, D.; Franceschini, R.; Iannone, F.; Salerni, A.; Molinaro, F.; et al. The protean ocular involvement in monogenic autoinflammatory diseases: State of the art. Clin. Rheumatol. 2015, 34, 1171–1180. [Google Scholar] [CrossRef] [PubMed]
- Akiyama, H.; Seno, A.; Tada, J.; Arata, J.; Oda, M. Sarcoidosis in a 6-month-old infant: Report of a case and review of the literature. Nihon Hifuka Gakkai Zasshi Jpn. J. Dermatol. 1993, 103, 19–25. (In Japanese) [Google Scholar]
- Yasui, K.; Yashiro, M.; Tsuge, M.; Manki, A.; Takemoto, K.; Yamamoto, M.; Morishima, T. Thalidomide dramatically improves the symptoms of early-onset sarcoidosis/Blau syndrome. Arthritis Rheum. 2010, 62, 250–257. [Google Scholar] [CrossRef] [PubMed]
- Kanazawa, N.; Okafuji, I.; Kambe, N.; Nishikomori, R.; Nakata-Hizume, M.; Nagai, S.; Fuji, A.; Yuasa, T.; Manki, A.; Sakurai, Y.; et al. Early-onset sarcoidosis and CARD15 mutations with constitutive nuclear factor-kappaB activation: Common genetic etiology with Blau syndrome. Blood 2005, 105, 1195–1197. [Google Scholar] [CrossRef] [Green Version]
- Okafuji, I.; Nishikomori, R.; Kanazawa, N.; Kambe, N.; Fujisawa, A.; Yamazaki, S.; Saito, M.; Yoshioka, T.; Kawai, T.; Sakai, H.; et al. Role of the NOD2 genotype in the clinical phenotype of Blau syndrome and early-onset sarcoidosis. Arthritis Rheum. 2009, 60, 242–250. [Google Scholar] [CrossRef] [Green Version]
- Matsuda, T.; Kambe, N.; Ueki, Y.; Kanazawa, N.; Izawa, K.; Honda, Y.; Kawakami, A.; Takei, S.; Tonomura, K.; Inoue, M.; et al. Clinical characteristics and treatment of 50 cases of Blau syndrome in Japan confirmed by genetic analysis of the NOD2 mutation. Ann. Rheum. Dis. 2020, 79, 1492–1499. [Google Scholar] [CrossRef]
- Nakagawa, K.; Gonzalez-Roca, E.; Souto, A.; Kawai, T.; Umebayashi, H.; Campistol, J.M.; Canellas, J.; Takei, S.; Kobayashi, N.; Callejas-Rubio, J.L.; et al. Somatic NLRP3 mosaicism in Muckle-Wells syndrome: A genetic mechanism shared by different phenotypes of cryopyrin-associated periodic syndromes. Ann. Rheum. Dis. 2015, 74, 603–610. [Google Scholar] [CrossRef] [Green Version]
- Finetti, M.; Omenetti, A.; Federici, S.; Caorsi, R.; Gattorno, M. Chronic infantile neurological cutaneous and articular (CINCA) syndrome: A review. Orphanet J. Rare Dis. 2016, 11, 167. [Google Scholar] [CrossRef] [Green Version]
- Yasumura, J.; Yashiro, M.; Okamoto, N.; Shabana, K.; Umebayashi, H.; Iwata, N.; Okura, Y.; Kubota, T.; Shimizu, M.; Tomiita, M.; et al. Clinical features and characteristics of uveitis associated with juvenile idiopathic arthritis in Japan: First report of the pediatric rheumatology association of Japan (PRAJ). Pediatr. Rheumatol. 2019, 17, 15. [Google Scholar] [CrossRef]
- Matsuo, T.; Yashiro, M. Long-term control of macular edema with adalimumab after cataract surgery in a Japanese child with juvenile idiopathic arthritis: Case report and review of 26 Japanese patients. J. Investig. Med. High Impact Case Rep. 2020, 8, 2324709620953283. [Google Scholar] [CrossRef]
- Matsuo, T. Fluorescein angiographic features of tubulointerstitial nephritis and uveitis syndrome. Ophthalmology 2002, 109, 132–136. [Google Scholar] [CrossRef]
- Matsuo, T.; Matsuo, N. Bilateral iridocyclitis with retinal capillaritis in juveniles. Ophthalmology 1997, 104, 939–944. [Google Scholar] [CrossRef]
- Kurokawa, T.; Kikuchi, T.; Ohta, K.; Imai, H.; Yoshimura, N. Ocular manifestations in Blau syndrome associated with a CARD15/Nod2 mutation. Ophthalmology 2003, 110, 2040–2044. [Google Scholar] [CrossRef]
- Snyers, B.; Dahan, K. Blau syndrome associated with a CARD15/NOD2 mutation. Am. J. Ophthalmol. 2006, 142, 1089–1092. [Google Scholar] [CrossRef]
- Pillai, P.; Sobrin, L. Blau syndrome-associated uveitis and the NOD2 gene. Semin. Ophthalmol. 2013, 28, 327–332. [Google Scholar] [CrossRef]
- Carreno, E.; Guly, C.M.; Chilov, M.; Hinchcliffe, A.; Arostegui, J.I.; Lee, R.W.J.; Dick, A.D.; Ramanan, A.V. Optic nerve and retinal features in uveitis associated with juvenile systemic granulomatous disease (Blau syndrome). Acta Ophthalmol. 2015, 93, 253–257. [Google Scholar] [CrossRef]
- Sarens, I.L.; Casteels, I.; Anton, J.; Bader-Meunier, B.; Brissaud, P.; Chedeville, G.; Cimaz, R.; Dick, A.D.; Espada, G.; Fernandez-Martin, J.; et al. Blau syndrome-associated uveitis: Preliminary results from an international prospective interventional case series. Am. J. Ophthalmol. 2018, 187, 158–166. [Google Scholar] [CrossRef] [Green Version]
- DeSouza, P.J.; Shah, R. Characterization of Blau syndrome panuveitis with wide-field fluorescein angiography. Am. J. Ophthalmol. Case Rep. 2019, 14, 92–94. [Google Scholar] [CrossRef]
- Pac Kisaarslan, A.; Sozeri, B.; Sahin, N.; Cicek, S.O.; Gunduz, Z.; Demirkaya, E.; Berdeli, A.; Ozcan, S.S.; Porazoglu, H.; Dusunsel, R. Blau syndrome and early-onset sarcoidosis: A six case series and review of the literature. Arch. Rheumatol. 2019, 35, 117–127. [Google Scholar] [CrossRef]
- Suresh, S.; Tsui, E. Ocular manifestations of Blau syndrome. Curr. Opin. Ophthalmol. 2020, 31, 532–537. [Google Scholar] [CrossRef]
- Wu, S.; Zhong, L.; Sun, Z.; Zhu, T.; Song, H.; Sui, R. Ocular features in Chinese patients with Blau syndrome. Ocul. Immunol. Inflamm. 2020, 28, 79–85. [Google Scholar] [CrossRef]
- Jindal, A.K.; Pilania, R.K.; Suri, D.; Gupta, A.; Gattorno, M.; Ceccherini, I.; Kumar, N.; Bansal, R.; Nada, R.; Singh, S. A young female with early onset arthritis, uveitis, hepatic, and renal granulomas: A clinical tryst with Blau syndrome over 20 years and case-based review. Rheumatol. Int. 2021, 41, 173–181. [Google Scholar] [CrossRef] [PubMed]
- Babu, K.; Rao, A.P. Clinical profile in genetically proven Blau syndrome: A case series from south India. Ocul. Immunol. Inflamm. 2021, 29, 250–256. [Google Scholar] [CrossRef] [PubMed]
- Dollfus, H.; Hafner, R.; Hofmann, H.M.; Russo, R.A.G.; Denda, L.; Gonzales, L.D.; DeCunto, C.; Premoli, J.; Melo-Gomez, J.; Jorge, J.P.; et al. Chronic infantile neurological cutaneous and articular/neonatal onset multisystem inflammatory disease syndrome. Arch. Ophthalmol. 2010, 118, 1386–1392. [Google Scholar] [CrossRef] [PubMed] [Green Version]
- Oberg, T.J.; Vitale, A.T.; Hoffman, R.O.; Bohnsack, J.F.; Warner, J.E. Cryopyrin-associated periodic syndromes and the eye. Ocul. Immunol. Inflamm. 2013, 21, 306–309. [Google Scholar] [CrossRef] [Green Version]
- Kawai, M.; Yoshikawa, T.; Nishikomori, R.; Heike, T.; Takahashi, K. Obvious optic disc swelling in a patient with cryopyrin-associated periodic syndrome. Clin. Ophthalmol. 2013, 7, 1581–1585. [Google Scholar]
- Wirths, G.; Grenzebach, U.; Eter, N. Papillary edema in Muckle-Wells syndrome. Ophthalmologe 2015, 112, 778–782. (In German) [Google Scholar] [CrossRef]
- Sobolewska, B.; Angermair, E.; Deuter, C.; Doycheva, D.; Kuemmerle-Deschner, J.; Zierhut, M. NLRP3 A439V mutation in a large family with cryopyrin-associated periodic syndrome: Description of ophthalmologic symptoms in correlation with other organ symptoms. J. Rheumatol. 2016, 43, 1101–1106. [Google Scholar] [CrossRef]
- Alvarez, E.R.; Corless, B.; Kontzias, A.; Cebulla, C.M. Cryopyrin-associated periodic syndrome presenting with posterior scleritis. Rheumatology 2019, 58, 2337–2339. [Google Scholar] [CrossRef]
- Qin, W.; Wu, D.; Luo, Y.; Zhao, M.; Wang, Y.; Shi, X.; Zhou, L.; Yu, W.; Sun, Y.; Wang, R.; et al. Neurological manifestations of autoinflammatory diseases in Chinese adult patients. Semin. Arthritis Rheum. 2020, 50, 1500–1506. [Google Scholar] [CrossRef]
- Cekic, S.; Yalcinbayir, O.; Kilic, S.S. Ocular involvement in Muckle-Wells syndrome. Ocul. Immunol. Inflamm. 2020, 28, 70–78. [Google Scholar] [CrossRef]
- Ma, L.; Lee, S.; Montieth, A.; Stephenson, A.; Foster, C.S.; Anesi, S. Cryopyrin-associated periodic syndrome-associated uveitis and papillitis. Retin. Cases Brief Rep. 2021, 15, 149–154. [Google Scholar] [CrossRef]
- Petrushkin, H.; Stanford, M.; Fortune, F.; Jawad, A.S. Clinical review: Familial Mediterranean fever: An overview of pathogenesis, symptoms, ocular manifestations, and treatment. Ocul. Immunol. Inflamm. 2016, 24, 422–430. [Google Scholar] [CrossRef]
- Basaran, O.; Kavuncu, S.; Guven, A.; Uncu, N.; Acar-Celikel, B.; Cakar, N. Familial Mediterranean fever associated with optic neuritis, successfully treated with anti-interleukin 1 agents. Turk. J. Pediatr. 2016, 58, 327–330. [Google Scholar] [CrossRef] [Green Version]








Publisher’s Note: MDPI stays neutral with regard to jurisdictional claims in published maps and institutional affiliations. |
© 2021 by the authors. Licensee MDPI, Basel, Switzerland. This article is an open access article distributed under the terms and conditions of the Creative Commons Attribution (CC BY) license (https://creativecommons.org/licenses/by/4.0/).
Share and Cite
Matsuo, T.; Yashiro, M.; Yamasaki, O.; Tanaka, T.; Manki, A. Bilateral Optic Disc Swelling as a Plausible Common Ocular Sign of Autoinflammatory Diseases: Report of Three Patients with Blau Syndrome or Cryopyrin-Associated Periodic Syndrome. Life 2021, 11, 1433. https://doi.org/10.3390/life11121433
Matsuo T, Yashiro M, Yamasaki O, Tanaka T, Manki A. Bilateral Optic Disc Swelling as a Plausible Common Ocular Sign of Autoinflammatory Diseases: Report of Three Patients with Blau Syndrome or Cryopyrin-Associated Periodic Syndrome. Life. 2021; 11(12):1433. https://doi.org/10.3390/life11121433
Chicago/Turabian StyleMatsuo, Toshihiko, Masato Yashiro, Osamu Yamasaki, Takehiro Tanaka, and Akira Manki. 2021. "Bilateral Optic Disc Swelling as a Plausible Common Ocular Sign of Autoinflammatory Diseases: Report of Three Patients with Blau Syndrome or Cryopyrin-Associated Periodic Syndrome" Life 11, no. 12: 1433. https://doi.org/10.3390/life11121433
APA StyleMatsuo, T., Yashiro, M., Yamasaki, O., Tanaka, T., & Manki, A. (2021). Bilateral Optic Disc Swelling as a Plausible Common Ocular Sign of Autoinflammatory Diseases: Report of Three Patients with Blau Syndrome or Cryopyrin-Associated Periodic Syndrome. Life, 11(12), 1433. https://doi.org/10.3390/life11121433

