TransCotANet: A Lung Field Image Segmentation Network with Multidimensional Global Feature Dynamic Aggregation
Abstract
1. Introduction
2. Related Work
2.1. Convolutional Neural Lung Field Segmentation Network
2.2. Transformer Combined with CNN Networks
2.3. U-Net
3. Materials and Methods
3.1. TransCotANet
3.2. CotA Module
4. Experimental Results
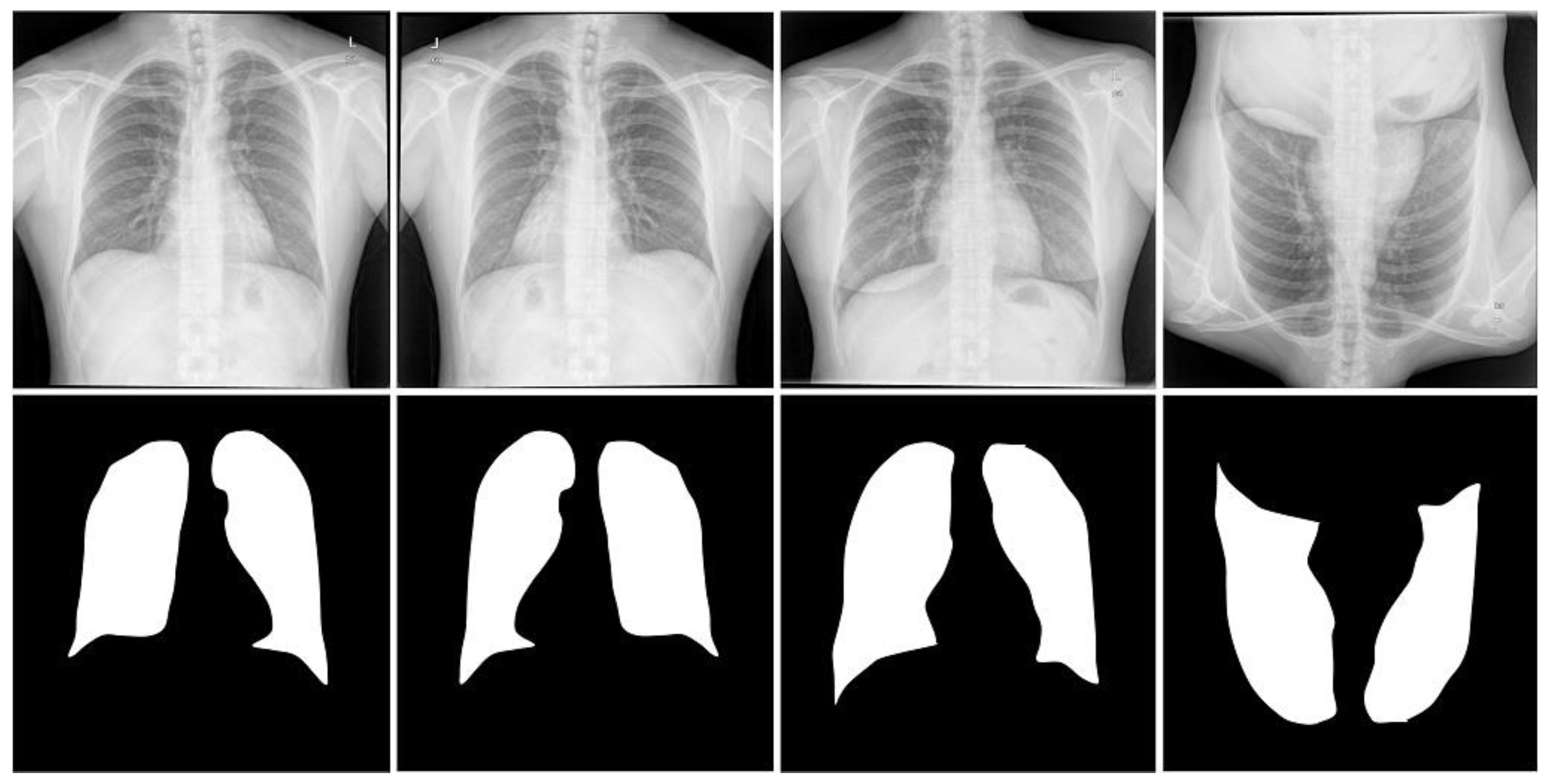
4.1. Experimental Dataset
4.2. Details of Implementation
4.3. Comparison with Other Methods
4.3.1. Experimental Evaluation of JSRT Dataset
4.3.2. Experimental Evaluation of MC Dataset
4.3.3. Experimental Evaluation of Shenzhen Dataset
4.4. Ablation Studies
4.4.1. Comprehensive Evaluation of the JSRT Dataset
4.4.2. Comprehensive Evaluation Analysis of the MC Dataset
4.4.3. Comprehensive Evaluation Analysis of the Shenzhen Dataset
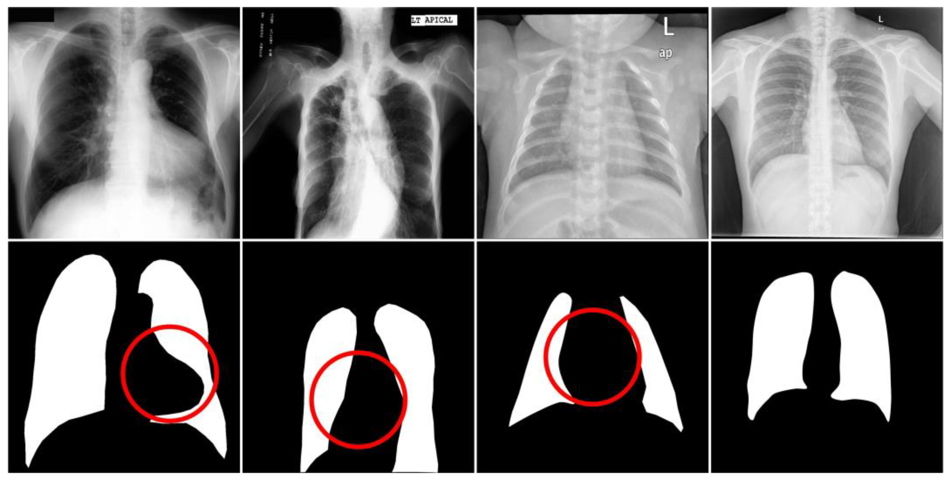
4.5. Model Visualization and Discussion
5. Conclusions
Author Contributions
Funding
Institutional Review Board Statement
Informed Consent Statement
Data Availability Statement
Conflicts of Interest
References
- Roy, K.; Banik, D.; Bhattacharjee, D.; Krejcar, O.; Kollmann, C. LwMLA-NET: A lightweight multi-level attention-based network for segmentation of COVID-19 lungs abnormalities from CT images. IEEE Trans. Instrum. Meas. 2022, 71, 5007813. [Google Scholar] [CrossRef]
- Yang, X.; Wei, Q.; Zhang, C.; Zhou, K.; Kong, L.; Jiang, W. Colon polyp detection and segmentation based on improved MRCNN. IEEE Trans. Instrum. Meas. 2020, 70, 4501710. [Google Scholar] [CrossRef]
- Santosh, K.; Antani, S. Automated chest X-ray screening: Can lung region symmetry help detect pulmonary abnormalities? IEEE Trans. Med. Imaging 2017, 37, 1168–1177. [Google Scholar] [CrossRef] [PubMed]
- Vajda, S.; Karargyris, A.; Jaeger, S.; Santosh, K.; Candemir, S.; Xue, Z.; Antani, S.; Thoma, G. Feature selection for automatic tuberculosis screening in frontal chest radiographs. J. Med. Syst. 2018, 42, 146. [Google Scholar] [CrossRef]
- Karargyris, A.; Siegelman, J.; Tzortzis, D.; Jaeger, S.; Candemir, S.; Xue, Z.; Santosh, K.; Vajda, S.; Antani, S.; Folio, L. Combination of texture and shape features to detect pulmonary abnormalities in digital chest X-rays. Int. J. Comput. Assist. Radiol. Surg. 2016, 11, 99–106. [Google Scholar] [CrossRef]
- Long, J.; Shelhamer, E.; Darrell, T. Fully convolutional networks for semantic segmentation. In Proceedings of the IEEE Conference on Computer Vision and Pattern Recognition (CVPR), Boston, MA, USA, 7–12 June 2015; pp. 3431–3440. [Google Scholar]
- Ronneberger, O.; Fischer, P.; Brox, T. U-net: Convolutional networks for biomedical image segmentation. In Proceedings of the Medical Image Computing and Computer-Assisted Intervention–MICCAI 2015: 18th International Conference, Munich, Germany, 5–9 October 2015; Part III 18. pp. 234–241. [Google Scholar]
- Li, X.; Chen, H.; Qi, X.; Dou, Q.; Fu, C.-W.; Heng, P.-A. H-DenseUNet: Hybrid densely connected UNet for liver and tumor segmentation from CT volumes. IEEE Trans. Med. Imaging 2018, 37, 2663–2674. [Google Scholar] [CrossRef]
- Yu, Q.; Xie, L.; Wang, Y.; Zhou, Y.; Fishman, E.K.; Yuille, A.L. Recurrent saliency transformation network: Incorporating multi-stage visual cues for small organ segmentation. In Proceedings of the IEEE Conference on Computer Vision and Pattern Recognition (CVPR), Salt Lake City, UT, USA, 18–23 June 2018; pp. 8280–8289. [Google Scholar]
- Vaswani, A.; Shazeer, N.; Parmar, N.; Uszkoreit, J.; Jones, L.; Gomez, A.N.; Kaiser, Ł.; Polosukhin, I. Attention is all you need. Adv. Neural Inf. Process. Syst. 2017, 30, 2661. [Google Scholar]
- Patel, K.; Bur, A.M.; Li, F.; Wang, G. Aggregating global features into local vision transformer. In Proceedings of the 2022 26th International Conference on Pattern Recognition (ICPR), Montreal, QC, Canada, 21–25 August 2022; pp. 1141–1147. [Google Scholar]
- Devlin, J.; Chang, M.-W.; Lee, K.; Toutanova, K. Bert: Pre-training of deep bidirectional transformers for language understanding. arXiv 2018, arXiv:1810.04805. [Google Scholar]
- Liu, Z.; Lin, Y.; Cao, Y.; Hu, H.; Wei, Y.; Zhang, Z.; Lin, S.; Guo, B. Swin transformer: Hierarchical vision transformer using shifted windows. In Proceedings of the IEEE/CVF International Conference on Computer Vision (ICCV), Montreal, QC, Canada, 10–17 October 2021; pp. 10012–10022. [Google Scholar]
- Cao, H.; Wang, Y.; Chen, J.; Jiang, D.; Zhang, X.; Tian, Q.; Wang, M. Swin-unet: Unet-like pure transformer for medical image segmentation. In Proceedings of the Europeon Conference on Computer Vision (ECCV), Tel Aviv, Israel, 23–27 October 2023; pp. 205–218. [Google Scholar]
- Li, Y.; Yao, T.; Pan, Y.; Mei, T. Contextual transformer networks for visual recognition. IEEE Trans. Pattern Anal. Mach. Intell. 2022, 1, 3552. [Google Scholar] [CrossRef]
- Shiraishi, J.; Katsuragawa, S.; Ikezoe, J.; Matsumoto, T.; Kobayashi, T.; Komatsu, K.-I.; Matsui, M.; Fujita, H.; Kodera, Y.; Doi, K. Development of a digital image database for chest radiographs with and without a lung nodule: Receiver operating characteristic analysis of radiologists’ detection of pulmonary nodules. Am. J. Roentgenol. 2000, 174, 71–74. [Google Scholar] [CrossRef]
- Candemir, S.; Jaeger, S.; Palaniappan, K.; Musco, J.P.; Singh, R.K.; Xue, Z.; Karargyris, A.; Antani, S.; Thoma, G.; McDonald, C.J. Lung segmentation in chest radiographs using anatomical atlases with nonrigid registration. IEEE Trans. Med. Imaging 2013, 33, 577–590. [Google Scholar] [CrossRef]
- Jaeger, S.; Karargyris, A.; Candemir, S.; Folio, L.; Siegelman, J.; Callaghan, F.; Xue, Z.; Palaniappan, K.; Singh, R.K.; Antani, S. Automatic tuberculosis screening using chest radiographs. IEEE Trans. Med. Imaging 2013, 33, 233–245. [Google Scholar] [CrossRef] [PubMed]
- Ngo, T.A.; Carneiro, G. Lung segmentation in chest radiographs using distance regularized level set and deep-structured learning and inference. In Proceedings of the 2015 IEEE International Conference on Image Processing (ICIP), Quebec City, QC, Canada, 25–27 September 2015; pp. 2140–2143. [Google Scholar]
- Chang, C.-S.; Lin, J.-F.; Lee, M.-C.; Palm, C. Semantic lung segmentation using convolutional neural networks. In Proceedings of the Bildverarbeitung für die Medizin 2020: Algorithmen–Systeme–Anwendungen Workshops, Berlin, Germany, 15–17 March 2020; pp. 75–80. [Google Scholar]
- Souza, J.C.; Diniz, J.O.B.; Ferreira, J.L.; da Silva, G.L.F.; Silva, A.C.; de Paiva, A.C. An automatic method for lung segmentation and reconstruction in chest X-ray using deep neural networks. Comput. Methods Programs Biomed. 2019, 177, 285–296. [Google Scholar] [CrossRef] [PubMed]
- Saidy, L.; Lee, C.-C. Chest X-ray image segmentation using encoder-decoder convolutional network. In Proceedings of the 2018 IEEE International Conference on Consumer Electronics-Taiwan (ICCE-TW), Taichung, Taiwan, 19–21 May 2018; pp. 1–2. [Google Scholar]
- Fan, D.-P.; Zhou, T.; Ji, G.-P.; Zhou, Y.; Chen, G.; Fu, H.; Shen, J.; Shao, L. Inf-net: Automatic covid-19 lung infection segmentation from ct images. IEEE Trans. Med. Imaging 2020, 39, 2626–2637. [Google Scholar] [CrossRef]
- Chen, J.; Lu, Y.; Yu, Q.; Luo, X.; Adeli, E.; Wang, Y.; Lu, L.; Yuille, A.L.; Zhou, Y. Transunet: Transformers make strong encoders for medical image segmentation. arXiv 2021, arXiv:2102.04306. [Google Scholar]
- Valanarasu, J.M.J.; Oza, P.; Hacihaliloglu, I.; Patel, V.M. Medical transformer: Gated axial-attention for medical image segmentation. In Proceedings of the International Conference on Medical Image Computing and Computer-Assisted Intervention (MICCAI), Strasbourg, France, 2–5 September 2021; pp. 36–46. [Google Scholar]
- Oktay, O.; Schlemper, J.; Folgoc, L.L.; Lee, M.; Heinrich, M.; Misawa, K.; Mori, K.; McDonagh, S.; Hammerla, N.Y.; Kainz, B. Attention u-net: Learning where to look for the pancreas. arXiv 2018, arXiv:1804.03999. [Google Scholar]
- Gao, Y.; Zhou, M.; Metaxas, D.N. UTNet: A hybrid transformer architecture for medical image segmentation. In Proceedings of the International Conference on Medical Image Computing and Computer-Assisted Intervention (MICCAI), Strasbourg, France, 8–12 October 2021; pp. 61–71. [Google Scholar]
- Xu, Z.; Liu, S.; Yuan, D.; Wang, L.; Chen, J.; Lukasiewicz, T.; Fu, Z.; Zhang, R. ω-net: Dual supervised medical image segmentation with multi-dimensional self-attention and diversely-connected multi-scale convolution. Neurocomputing 2022, 500, 177–190. [Google Scholar] [CrossRef]
- Chen, L.-C.; Papandreou, G.; Schroff, F.; Adam, H. Rethinking atrous convolution for semantic image segmentation. arXiv 2017, arXiv:1706.05587. [Google Scholar]
- Van Ginneken, B.; Stegmann, M.B.; Loog, M. Segmentation of anatomical structures in chest radiographs using supervised methods: A comparative study on a public database. Med. Image Anal. 2006, 10, 19–40. [Google Scholar] [CrossRef]
- Yahyatabar, M.; Jouvet, P.; Cheriet, F. Dense-Unet: A light model for lung fields segmentation in Chest X-Ray images. In Proceedings of the 2020 42nd Annual International Conference of the IEEE Engineering in Medicine & Biology Society (EMBC), Montreal, QC, Canada, 20–24 July 2020; pp. 1242–1245. [Google Scholar]
- Yang, W.; Liu, Y.; Lin, L.; Yun, Z.; Lu, Z.; Feng, Q.; Chen, W. Lung field segmentation in chest radiographs from boundary maps by a structured edge detector. IEEE J. Biomed. Health Inform. 2017, 22, 842–851. [Google Scholar] [CrossRef]
- Zhou, Z.; Rahman Siddiquee, M.M.; Tajbakhsh, N.; Liang, J. Unet++: A nested u-net architecture for medical image segmentation. In Proceedings of the International Conference on Medical Image Computing and Computer-Assisted Intervention (MICCAI), Granada, Spain, 8–12 October 2018; pp. 3–11. [Google Scholar]
- Singh, A.; Lall, B.; Panigrahi, B.K.; Agrawal, A.; Agrawal, A.; Thangakunam, B.; Christopher, D. Deep LF-Net: Semantic lung segmentation from Indian chest radiographs including severely unhealthy images. Biomed. Signal Process. Control 2021, 68, 102666. [Google Scholar] [CrossRef]
- Ma, H.-J.; Ledward, D. High pressure/thermal treatment effects on the texture of beef muscle. Meat Sci. 2004, 68, 347–355. [Google Scholar] [CrossRef] [PubMed]
- Chen, B.; Liu, Y.; Zhang, Z.; Lu, G.; Kong, A.W.K. Transattunet: Multi-level attention-guided u-net with transformer for medical image segmentation. arXiv 2021, arXiv:2107.05274. [Google Scholar]
- Liu, W.; Luo, J.; Yang, Y.; Wang, W.; Deng, J.; Yu, L. Automatic lung segmentation in chest X-ray images using improved U-Net. Sci. Rep. 2022, 12, 8649. [Google Scholar] [CrossRef]
- Hooda, R.; Mittal, A.; Sofat, S. An efficient variant of fully-convolutional network for segmenting lung fields from chest radiographs. Wirel. Pers. Commun. 2018, 101, 1559–1579. [Google Scholar] [CrossRef]
- Hwang, S.; Park, S. Accurate lung segmentation via network-wise training of convolutional networks. In Proceedings of the International Conference on Medical Image Computing and Computer-Assisted Intervention (MICCAI), Québec City, QC, Canada, 8–12 October 2017; pp. 92–99. [Google Scholar]
- Ma, L.; Hou, X.; Gong, Z. Multi-Path Aggregation U-Net for Lung Segmentation in Chest Radiographs; PREPRINT (Version 1) available at Research Square; Research Square: Durham, NC, USA, 2021. [Google Scholar]
- Ibtehaz, N.; Rahman, M.S. MultiResUNet: Rethinking the U-Net architecture for multimodal biomedical image segmentation. Neural Netw. 2020, 121, 74–87. [Google Scholar] [CrossRef]
- Schlemper, J.; Oktay, O.; Schaap, M.; Heinrich, M.; Kainz, B.; Glocker, B.; Rueckert, D. Attention gated networks: Learning to leverage salient regions in medical images. Med. Image Anal. 2019, 53, 197–207. [Google Scholar] [CrossRef]
- Huynh, H.T.; Anh, V.N.N. A deep learning method for lung segmentation on large size chest X-ray image. In Proceedings of the 2019 IEEE-RIVF International Conference on Computing and Communication Technologies (RIVF), Danang, Vietnam, 20–22 March 2019; pp. 1–5. [Google Scholar]
- Zhang, L.; Liu, A.; Xiao, J.; Taylor, P. Dual encoder fusion u-net (defu-net) for cross-manufacturer chest X-ray segmentation. In Proceedings of the 2020 25th International Conference on Pattern Recognition (ICPR), Milan, Italy, 10–15 January 2021; pp. 9333–9339. [Google Scholar]










| Dataset Name | Number of Image Pairs | Number of Image Pairs | ||
|---|---|---|---|---|
| Train | Val | Test | ||
| JSRT [16] | 1400 | 140 | 140 | Image format: PNG |
| Image size: 2048 × 2048 | ||||
| MC [17] | 1210 | 110 | 198 | Image format: PNG |
| Image size: 4892 × 4020 | ||||
| Shenzhen [18] | 3710 | 336 | 336 | Image format: PNG |
| Image size: 3000 × 3000 | ||||
| Method | Year | DSC% | JC% | ACC% | TNR% | TPR% |
|---|---|---|---|---|---|---|
| U-Net [7] | 2015 | 96.17 | 97.71 | 98.21 | - | 94.94 |
| U-Net++ [33] | 2018 | 97.84 | 95.80 | 98.93 | - | 99.28 |
| Attention U-Net [35] | 2019 | 97.59 | 95.31 | 98.81 | - | 98.82 |
| Dense-Unet [32] | 2020 | 97.60 | 95.30 | - | 98.80 | 97.90 |
| LF-Net [34] | 2021 | 97.20 | 98.16 | 99.52 | 99.79 | 98.95 |
| Swin-Unet [14] | 2021 | 97.67 | 95.48 | 98.71 | - | 95.42 |
| TransAttUnet [36] | 2021 | 98.88 | 97.82 | 99.41 | - | 98.88 |
| UCTransNet [15] | 2022 | 98.32 | 97.63 | 99.37 | 99.78 | 98.20 |
| TransCotANet | - | 99.03 | 98.76 | 99.14 | 99.79 | 98.32 |
| Method | Year | DSC% | JC% | ACC% | TNR% | TPR% |
|---|---|---|---|---|---|---|
| U-Net [7] | 2015 | 96.17 | 97.71 | 98.21 | - | 94.94 |
| SEDUCM [32] | 2017 | 95.60 | 93.50 | - | - | - |
| Atrous Convolutions [39] | 2017 | 96.40 | 94.10 | - | - | - |
| AlexNet and ResNet [22] | 2018 | 94.00 | 88.00 | 96.90 | 96.70 | 97.50 |
| Modification in FCN [38] | 2018 | 91.74 | 97.84 | - | - | - |
| Dense-Unet [31] | 2020 | 97.90 | 95.90 | - | 99.20 | 98.10 |
| improved U-Net [37] | 2022 | 97.70 | 95.50 | 98.90 | 99.30 | 97.50 |
| UCTransNet [15] | 2022 | 96.78 | 93.70 | 97.68 | 98.86 | 97.16 |
| TransCotANet | - | 98.02 | 97.89 | 98.91 | 99.32 | 97.36 |
| Method | Year | DSC% | JC% | ACC% | TNR% | TPR% |
|---|---|---|---|---|---|---|
| U-Net [7] | 2015 | 95.80 | 92.20 | - | - | - |
| Deeplabv3 [29] | 2017 | 95.80 | 92.20 | - | - | - |
| AG-net [42] | 2019 | 96.10 | 92.50 | - | - | - |
| CNN+Neural Net [43] | 2019 | 87.00 | - | 93.00 | - | - |
| MultiResUNet [41] | 2019 | 96.00 | 92.40 | - | - | - |
| LF-Net [34] | 2021 | 90.55 | 95.86 | - | 98.55 | 97.67 |
| MPDC DDLA U-Net [40] | 2021 | 96.70 | 92.90 | 98.31 | - | - |
| UCTransNet [15] | 2022 | 96.78 | 92.91 | 98.02 | 98.93 | 96.30 |
| TransCotANet | - | 97.66 | 94.41 | 98.46 | 99.35 | 97.78 |
| Test DSC/JC | U-Net | Res-U-Net | BCDU-Net | Incep-Res-U-Net | R2U-Net | Att-R2U-Net | DEFU-Net | UCTransNet | TransCotANet |
|---|---|---|---|---|---|---|---|---|---|
| Train: S | 0.771 | 0.816 | 0.767 | 0.898 | 0.866 | 0.866 | 0.915 | 0.916 | 0.923 |
| Test: M | 0.774 | 0.819 | 0.908 | 0.902 | 0.871 | 0.871 | 0.916 | 0.894 | 0.919 |
| Train: M | 0.856 | 0.664 | 0.909 | 0.890 | 0.912 | 0.907 | 0.923 | 0.920 | 0.932 |
| Test: S | 0.857 | 0.665 | 0.909 | 0.892 | 0.914 | 0.910 | 0.923 | 0.903 | 0.927 |
Disclaimer/Publisher’s Note: The statements, opinions and data contained in all publications are solely those of the individual author(s) and contributor(s) and not of MDPI and/or the editor(s). MDPI and/or the editor(s) disclaim responsibility for any injury to people or property resulting from any ideas, methods, instructions or products referred to in the content. |
© 2023 by the authors. Licensee MDPI, Basel, Switzerland. This article is an open access article distributed under the terms and conditions of the Creative Commons Attribution (CC BY) license (https://creativecommons.org/licenses/by/4.0/).
Share and Cite
Xu, X.; Wang, M.; Liu, D.; Lei, M.; Fu, J.; Jia, Y. TransCotANet: A Lung Field Image Segmentation Network with Multidimensional Global Feature Dynamic Aggregation. Symmetry 2023, 15, 1480. https://doi.org/10.3390/sym15081480
Xu X, Wang M, Liu D, Lei M, Fu J, Jia Y. TransCotANet: A Lung Field Image Segmentation Network with Multidimensional Global Feature Dynamic Aggregation. Symmetry. 2023; 15(8):1480. https://doi.org/10.3390/sym15081480
Chicago/Turabian StyleXu, Xuebin, Muyu Wang, Dehua Liu, Meng Lei, Jun Fu, and Yang Jia. 2023. "TransCotANet: A Lung Field Image Segmentation Network with Multidimensional Global Feature Dynamic Aggregation" Symmetry 15, no. 8: 1480. https://doi.org/10.3390/sym15081480
APA StyleXu, X., Wang, M., Liu, D., Lei, M., Fu, J., & Jia, Y. (2023). TransCotANet: A Lung Field Image Segmentation Network with Multidimensional Global Feature Dynamic Aggregation. Symmetry, 15(8), 1480. https://doi.org/10.3390/sym15081480

