A Method for Local Contrast Enhancement of Endoscopic Images Based on Color Tensor Transformation into a Matrix of Color Vectors’ Modules Using a Sliding Window
Abstract
1. Introduction
2. Main Features of the New Method for Local Contrast Enhancement
3. Main Steps of the Algorithm for the Proposed Method
The Algorithm Includes the following Main Steps
- -
- The reduction of CLu,v increases the area of the histogram above the threshold and, respectively, that of . As a result, the image brightness within the Tu,v block increases and the contrast decreases;
- -
- The increase of CLu,v reduces the area of the upper part of the histogram and respectively—of . As a result, in the dark region of the Tu,v (background), the contrast of the details in the image increases, but the contrast of the noise increases as well.
| Algorithm 1. Local contrast enhancement using sliding histogram equalization of color vectors’ modules |
| Input: of size , with 3b bits per voxel Output: The enhanced of with 3b bits per voxel for unfold() // Vectorization // of tensor lateral mode-3 (tube) complete Equations (5)–(7), normalization of // calculation for 2D sliding // window for complete Equation (8) // Calculation of blocks of the // truncation matrix T // Recursive sliding window for contrast-limited adaptive local histogram // equalization complete Equation (10)// Calculation of parts of local histogram, // complete Equations (11)–(14) // Calculation of threshold using iterative algorithm complete Equations (15) and (16) // Define local threshold for each module // using truncation matrix complete Equations (17)–(20) // Executing RSW-LCLAHE for contrast // enhancement complete Equations (21)–(23) // Executing recursive RSW-LCLAHE for contrast // enhancement complete Equation (25) // Calculation of the RGB vectors of enhanced image // Adaptive correction of color components // There are pixels in component of color vectors outside the RGB cube if complete Equation (26) else complete (30) // Correction for the remaining vectors // If there are pixels in component of color vectors outside the RGB cube if complete Equation (32) or else complete (35) // Correction for the remaining vectors // If there are pixels in component of color vectors outside the RGB cube If complete Equation (37) or else complete (39) // Correction for the remaining vectors // If for all pixels (i,j) i/j = 1, 2, …, M/N in color vectors there are not pixels outside the RGB cube If , complete Equation (41) // Calculation of the output enhanced and corrected RGB color vectors complete Equation (44) // Transform color vectors into tensor of size for // complete end |
4. Results for Local Contrast Enhancement of Endoscopic Images
5. Metrics for Contrast Enhancement Evaluation
5.1. Contrast Per Pixel (CPP)
5.2. Absolute Mean Lightness Difference (AMLD)
5.3. Mean Square Difference Entropy (MSDE)
6. Analysis of Local Contrast Enhancement Results for Color Endoscopic Images with the Proposed Sliding Histogram Equalization
- -
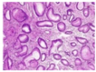
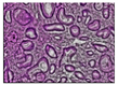
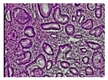
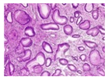
- The degree achieved using the local sliding histogram equalization for contrast enhancement depends on the choice of the sliding window size and is higher for smaller windows (example case 17 × 17 from Table 2) when compared to a larger sliding window (example case 65 × 65 from Table 2), but the textural structure is more noticeable for smaller windows (example case 17 × 17 from Table 1) when compared to a larger sliding window (example case 65 × 65 from Table 1);
- -
- The contrast enhancement, achieved using the local sliding histogram equalization depends on the choice of the sliding window size and is higher for smaller windows (for the example case 17 × 17 from Table 2) compared to the larger sliding window (for the example case 65 × 65 from Table 2), but the textural structure is more noticeable for smaller windows (for the example case 17 × 17 from Table 1) when compared to a sliding window of a larger size (for the example case 65 × 65 from Table 1). The size of the sliding square window is chosen so that the window covers the objects whose local contrast needs enhancement;
- -
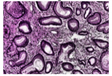
- The analysis of the results from Table 2 and Table 3, for the estimation of MSDE contrast enhancement for endoscopic images 1, 2, and 3, shows significantly higher MSDE values, when the proposed local sliding histogram equalization is used, compared to the MSDE values obtained using the well-known CLAHE algorithm [22];
- -
- From the quantitative results for MSDE, given in Table 2 and from the visual perception of the enhancement endoscopic images 1, 2, and 3, shown enlarged in Figure 9, it can be concluded that for each medical application, it is preferable to choose the size of sliding window for histogram equalization so as to achieve the corresponding local contrast enhancement in the desired Region Of Interest (ROI); for example, a smaller sliding window for a smaller ROI, or larger one in case of a larger ROI.
7. Conclusions
- -
- A new method is developed for contrast enhancement of color endoscopic image, represented as RGB tensor of size M × N × 3, transformed into the M × N matrix of the color vectors’ modules. The three-times smaller volume of data achieved in this matrix, compared to that of the tensor, results in lower computational complexity of the corresponding algorithm. The transformation of the RGB tensor XC into the corresponding matrix MC requires 6MN arithmetic operations, while the linear straight and inverse RGB-YCrCb transformation requires 30MN arithmetic operations, i.e., five times more. For nonlinear conversions such as RGB-HSV, RGB-HSI, RGB-YHT, etc., the number of operations increases significantly compared to that for the linear ones. The comparison of the overall computational complexity of the proposed method with that of the global contrast enhancement methods is not correct, because RSW-LCLAHE enhances the local contrast of each element of the MC matrix based on the histogram of the surrounding elements in a window of size (2d + 1) × (2d + 1). The increase of the parameter d leads to a linear acceleration of the proposed algorithm for recursive calculation of the histogram compared to the non-recursive one;
- -
- Development and research of a method aimed at the visual quality improvement of color endoscopic images through increasing their local contrast without color distortion and retaining their mean brightness compared to the original images;
- -
- A new method for correction of color distortions of the processed images is developed, which at the same time preserves the mean brightness of processed images;
- -
- A new algorithm is developed for calculation of the adaptive threshold which limits the local histogram of the color vectors’ modules by dividing it into two equal-area parts;
- -
- A new metric for local contrast enhancement evaluation based on MSDE is proposed, providing a good match with the subjective image evaluation.
Author Contributions
Funding
Institutional Review Board Statement
Informed Consent Statement
Data Availability Statement
Conflicts of Interest
References
- Yoshida, N.; Yagi, N.; Yanagisawa, A.; Naito, Y. Image-enhanced endoscopy for diagnosis of colorectal tumors in view of endoscopic treatment. World J. Gastrointest. Endosc. 2012, 4, 545–555. [Google Scholar] [CrossRef] [PubMed]
- Sun, X.; Dong, T.; Bi, Y.; Min, M.; Shen, W.; Xu, Y.; Liu, Y. Linked Color Imaging Application for Improving the Endoscopic Diagnosis Accuracy: A Pilot Study. Sci. Rep. 2016, 6, 33473. Available online: www.nature.com/scientificreports (accessed on 2 December 2022). [CrossRef] [PubMed]
- Osawa, H.; Miura, Y.; Takezawa, T.; Ino, Y.; Khurelbaatar, T.; Sagara, Y.; Lefor, A.; Yamamoto, H. Linked Color Imaging and Blue Laser Imaging for Upper Gastrointestinal Screening, Korean Society of Gastrointestinal Endoscopy. Clin. Endosc. 2018, 61, 513–526. [Google Scholar] [CrossRef] [PubMed]
- Sidar, I.; Davidson, T.; Kronman, A.; Mor, L.; Levy, E. Endoscopic Image Enhancement using CLAHE Implemented in a Processor. Patent No. US 10,516,865 B2, 24 December 2019. [Google Scholar]
- Imtiaz, M.; Wahid, K. Color Enhancement in Endoscopic Images Using Adaptive Sigmoid Function and Space Variant Color Reproduction. Comput. Math. Methods Med. 2015, 2015, 607407. [Google Scholar] [CrossRef] [PubMed]
- Rahman, S.; Rahman, M.; Abdullah-Al-Wadud, M.; Al-Quaderi, G.; Shoyaib, M. An adaptive gamma correction for image enhancement. EURASIP J. Image Video Processing 2016, 2016, 35. [Google Scholar] [CrossRef]
- Hussain, K.; Rahman, S.; Rahman, M.; Khaled, S.; Wadud, M.A.; Khan, M.; Shoyaib, M. A histogram specification technique for dark image enhancement using a local transformation method. Trans. Comput. Vis. Appl. 2018, 10, 1–11. [Google Scholar] [CrossRef]
- Blotta, E.; Bouchet, A.; Ballarin, V.; Pastore, J. Enhancement of medical images in HSI color space, XVIII Congreso Argentino de Bioingeniería SABI 2011—VII Jornadas de Ingeniería Clínica, Mar del Plata, 28 al 30 de septiembre de 2011. J. Phys. Conf. Ser. 2011, 332, 012041. [Google Scholar] [CrossRef]
- Gu, J.; Hua, L.; Wu, X.; Yang, H.; Zhou, Z. Color Medical Image Enhancement Based on Adaptive Equalization of Intensity Numbers Matrix Histogram. Intern. J. Autom. Comput. 2015, 12, 551–558. [Google Scholar] [CrossRef][Green Version]
- Lamont, F.; Cervantes, J.; Chau, A.; Ruiz, S. Contrast Enhancement of RGB Color Images by Histogram Equalization of Color Vectors’ Intensities; Huang, D., Ed.; LNAI 10956; Springer Intern. Publishing ICIC: Wuhan, China, 2018; pp. 443–455. [Google Scholar] [CrossRef]
- Ibrahim, H.; Kong, N. Brightness Preserving Dynamic Histogram Equalization for Contrast Enhancement. Electron. IEEE Trans. Consum. 2007, 53, 1752–1758. [Google Scholar] [CrossRef]
- Sheet, D.; Garud, H.; Suveer, A.; Mahadevappa, M.; Chatterjee, J. Brightness Preserving Dynamic Fuzzy Histogram Equalization. IEEE Trans. Consum. Electron. 2010, 56, 2475–2480. Available online: https://www.researchgate.net/publication/224209829 (accessed on 2 December 2022). [CrossRef]
- Kabir, H.; Wadud, A.; Chae, O. Brightness Preserving Image Contrast Enhancement Using Weighted Mixture of Global and Local Transformation Functions. Int. Arab. J. Inf. Technol. 2010, 7, 403–410. [Google Scholar]
- Kotkar, V.; Gharde, S. Image Contrast Enhancement by Preserving Brightness Using Global and Local Features. In Proceedings of the Third International Conference on Computational Intelligence and Information Technology (CIIT 2013), Mumbai, India, 18–19 October 2013; pp. 220–229. [Google Scholar] [CrossRef]
- Luo, X.; Zeng, H.; Wan, Y.; Zhang, X.; Du, Y.; Peters, T. Endoscopic Vision Augmentation Using Multiscale Bilateral-Weighted Retinex for Robotic Surgery. IEEE Trans. Med. Imaging 2019, 38, 2863–2874. [Google Scholar] [CrossRef] [PubMed]
- Singh, N.; Bhandari, A. Image Contrast Enhancement with Brightness Preservation using an Optimal Gamma and Logarithmic Approach, The Institution of Engineering and Technology. Image Processing IET 2020, 14, 794–805. [Google Scholar] [CrossRef]
- Yu, H.; Inoue, K.; Hara, K.; Urahama, K. Saturation Improvement in Hue-Preserving Color Image Enhancement without Gamut Problem, The Korean Institute of Communications and Information Sciences (KICS). ICT Express 2018, 4, 134–137. [Google Scholar] [CrossRef]
- Recommendation ITU-R BT.709-5 (04/2002): Parameter values for the HDTV standards for production and international programme exchange. BT Series Broadcasting service (television). Available online: https://www.itu.int/pub/R-REC/en (accessed on 2 December 2022).
- Marr, D. Vision: A Computational Investigation into the Human Representation and Processing of Visual Information; MIT Press: Cambridge, MA, USA; London, UK, 2010. [Google Scholar]
- Jaya, V.; Gopikakumari, R. IEM: A New Image Enhancement Metric for Contrast and Sharpness Measurements. Int. J. Comput. Appl. 2013, 79, 1–9. [Google Scholar]
- Mesejo, P.; Pizarro, D.; Abergel Ar Rouquette, O.; Beorchia, S.; Poincloux, L.; Bartoli, A. Computer-Aided Classification of Gastrointestinal Lesions in Regular Colonoscopy. IEEE Trans. Med. Imaging 2016, 35, 2051–2063. Available online: http://www.depeca.uah.es/colonoscopy_dataset/ (accessed on 2 December 2022). [CrossRef] [PubMed]
- Zuiderveld, K. Contrast Limited Adaptive Histograph Equalization, Graphic Gems IV; Academic Press Professional: San Diego, CA, USA, 1994; pp. 474–485. [Google Scholar]
- Hayati, M.; Muchtar, K.; Roslidar Maulina, N.; Syamsuddin, I.; Elwirehardja, G.; Pardamean, B. Impact of CLAHE-based Image Enhancement for Diabetic Retinopathy Classification through Deep Learning. In Proceedings of the 7th Intern. Conference on Computer Science and Computational Intelligence 2022 (ICCSCI), Binus University, Bandung, Andir, Indonesia, 17–18 November 2022; Procedia Computer Science. pp. 1–10. Available online: https://www.researchgate.net/publication/365468208 (accessed on 2 December 2022).










| Images | Input Images | Output Images with Proposed Local Contrast Enhanced (LCE) | Output Images with Proposed Local Contrast Enhanced and RGB Components Corrected to 255 | Output Images with Contrast Enhanced, RGB Components Corrected to 255, and Intensity Correction |
|---|---|---|---|---|
| Image 1 LCE window (17 × 17) | ![]() | ![]() | ![]() | ![]() |
| LCE window (33 × 33) | ![]() | ![]() | ![]() | ![]() |
| LCE window (65 × 65) | ![]() | ![]() | ![]() | ![]() |
| Image 2 LCE window (17 × 17) | ![]() | ![]() | ![]() | ![]() |
| LCE window (33 × 33) | ![]() | ![]() | ![]() | ![]() |
| LCE window (65 × 65) | ![]() | ![]() | ![]() | ![]() |
| Image 3 LCE window (17 × 17) | ![]() | ![]() | ![]() | ![]() |
| LCE window (33 × 33) | ![]() | ![]() | ![]() | ![]() |
| LCE window (65 × 65) | ![]() | ![]() | ![]() | ![]() |
| MSDE | I/E | I/C | I/C/I | |||||||||
|---|---|---|---|---|---|---|---|---|---|---|---|---|
| Images | R | G | B | Mean | R | G | B | Mean | R | G | B | Mean |
| Image 1 LCE-17 × 17 | 6.79 | 6.33 | 5.14 | 6.08 | 6.79 | 5.78 | 4.60 | 5.72 | 6.63 | 6.01 | 4.64 | 5.76 |
| LCE-33 × 33 | 1.56 | 1.67 | 1.99 | 1.74 | 1.56 | 1.58 | 1.73 | 1.62 | 1.55 | 1.57 | 1.74 | 1.62 |
| LCE-65 × 65 | 2.00 | 1.74 | 1.95 | 1.89 | 2.00 | 1.73 | 1.82 | 1.85 | 2.02 | 1.72 | 1.81 | 1.85 |
| Image 2 LCE-17 × 17 | 1.41 | 0.65 | 1.74 | 1.26 | 1.43 | 0.60 | 1.79 | 1.27 | 1.46 | 0.60 | 1.80 | 1.28 |
| LCE-33 × 33 | 0.55 | 0.43 | 0.56 | 0.51 | 0.56 | 0.42 | 0.58 | 0.52 | 0.58 | 0.42 | 0.59 | 0.53 |
| LCE-65 × 65 | 0.76 | 0.72 | 0.77 | 0.75 | 0.76 | 0.71 | 0.78 | 0.75 | 0.76 | 0.71 | 0.78 | 0.75 |
| Image 3 LCE-17 × 17 | 3.65 | 1.85 | 2.95 | 2.81 | 3.65 | 1.29 | 2.18 | 2.37 | 2.16 | 1.19 | 2.02 | 1.79 |
| LCE-33 × 33 | 1.41 | 1.06 | 1.87 | 1.44 | 1.41 | 0.85 | 1.44 | 1.23 | 0.65 | 0.75 | 1.31 | 0.90 |
| LCE-65 × 65 | 0.73 | 0.96 | 1.36 | 1.01 | 0.73 | 0.71 | 1.12 | 0.85 | 0.68 | 0.60 | 1.00 | 0.76 |
| MSDE for RSW-LCLAHE are Shown in Row Two of Table 2 | MSDE for CLAHE | ||||
|---|---|---|---|---|---|
| Output Images for RSW-LCLAHE | Output Images for CLAHE | R | G | B | Mean |
![]() Image 1 | ![]() | 1.00 | 0.99 | 0.99 | 0.99 |
![]() Image 2 | ![]() | 1.03 | 0.93 | 1.04 | 1.00 |
![]() Image 3 | ![]() | 1.10 | 1.06 | 1.10 | 1.08 |
Publisher’s Note: MDPI stays neutral with regard to jurisdictional claims in published maps and institutional affiliations. |
© 2022 by the authors. Licensee MDPI, Basel, Switzerland. This article is an open access article distributed under the terms and conditions of the Creative Commons Attribution (CC BY) license (https://creativecommons.org/licenses/by/4.0/).
Share and Cite
Kountchev, R.; Bekiarski, A.; Mironov, R.; Pleshkova, S. A Method for Local Contrast Enhancement of Endoscopic Images Based on Color Tensor Transformation into a Matrix of Color Vectors’ Modules Using a Sliding Window. Symmetry 2022, 14, 2582. https://doi.org/10.3390/sym14122582
Kountchev R, Bekiarski A, Mironov R, Pleshkova S. A Method for Local Contrast Enhancement of Endoscopic Images Based on Color Tensor Transformation into a Matrix of Color Vectors’ Modules Using a Sliding Window. Symmetry. 2022; 14(12):2582. https://doi.org/10.3390/sym14122582
Chicago/Turabian StyleKountchev, Roumen, Alexander Bekiarski, Rumen Mironov, and Snezhana Pleshkova. 2022. "A Method for Local Contrast Enhancement of Endoscopic Images Based on Color Tensor Transformation into a Matrix of Color Vectors’ Modules Using a Sliding Window" Symmetry 14, no. 12: 2582. https://doi.org/10.3390/sym14122582
APA StyleKountchev, R., Bekiarski, A., Mironov, R., & Pleshkova, S. (2022). A Method for Local Contrast Enhancement of Endoscopic Images Based on Color Tensor Transformation into a Matrix of Color Vectors’ Modules Using a Sliding Window. Symmetry, 14(12), 2582. https://doi.org/10.3390/sym14122582











































