Enhancement of Cone-Beam Computed Tomography Dental-Maxillofacial Images by Sampling Kantorovich Algorithm
Abstract
:1. Introduction
2. Materials and Methods
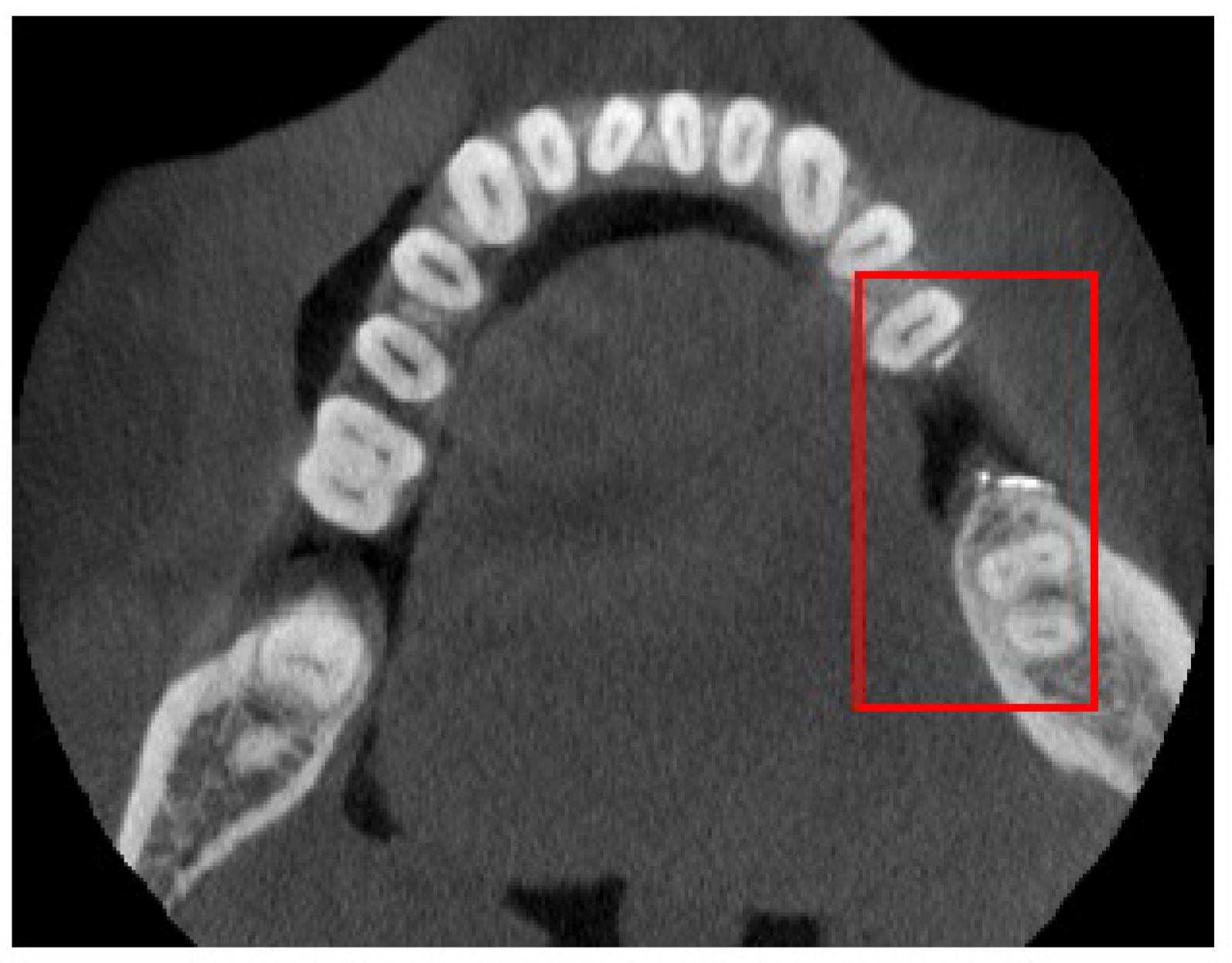
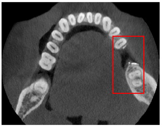
2.1. Cone-Beam Computed Tomography Dental-Maxillofacial Images
2.2. The Sampling Kantorovich Operators
- and is bounded in a neighborhood of ;
- for every , ;
- for some ,where denotes the usual Euclidean norm.
2.3. Enhancement of CBCT Dental-Maxillofacial Images by the SK Algorithm
3. Numerical Results
4. Discussion and Conclusions
5. Future Developments: Applications of 3D Prototyping
Author Contributions
Funding
Institutional Review Board Statement
Informed Consent Statement
Data Availability Statement
Acknowledgments
Conflicts of Interest
Abbreviations
| SK | Sampling Kantorovich |
| CBCT | Cone-Beam Computed Tomography |
| CT | Computed Tomography |
| FOV | Field of View |
| ROI | Region of Interest |
| HU | Hounsfield Units |
| MSE | mean square error |
References
- Bardaro, C.; Butzer, P.L.; Stens, R.L.; Vinti, G. Kantorovich-Type Generalized Sampling Series in the Setting of Orlicz Spaces. Sampl. Theory Signal Image Process. 2007, 6, 29–52. [Google Scholar] [CrossRef]
- Costarelli, D.; Vinti, G. Approximation by Multivariate Generalized Sampling Kantorovich Operators in the Setting of Orlicz Spaces. Boll. dell’Unione Mat. Ital. 2011, 4, 445–468. [Google Scholar]
- Acu, A.M.; Acar, T.; Muraru, C.V.; Radu, V.A. Some approximation properties by a class of bivariate operators. Math. Method Appl. Sci. 2019, 42, 5551–5565. [Google Scholar] [CrossRef]
- Acu, A.M.; Dogru, O.; Muraru, C.V.; Radu, V.A. Approximation properties of certain Bernstein-Stancu type operators. J. Math. Inequal. 2019, 13, 687–702. [Google Scholar] [CrossRef] [Green Version]
- Acu, A.M.; Rasa, I. New estimates for the differences of positive linear operators. Numer. Algorithms 2016, 73, 775–789. [Google Scholar] [CrossRef]
- Acu, A.M.; Rasa, I. Ulam Stability for the Composition of Operators. Symmetry 2020, 12, 1159. [Google Scholar] [CrossRef]
- Acu, A.M.; Rasa, I. Estimates for the differences of positive linear operators and their derivatives. Numer. Algorithms 2020, 85, 191–208. [Google Scholar] [CrossRef] [Green Version]
- Butzer, P.L.; Fisher, A.; Stens, R.L. Generalized sampling approximation of multivariate signals: Theory and applications. Note Mat. 2010, 10, 173–191. [Google Scholar]
- Karsli, H. On Urysohn type Generalized Sampling Operators. Dolomit. Res. Notes Approx. 2021, 14, 58–67. [Google Scholar]
- Hatcher, D.C. Operational Principles for Cone-Beam Computed Tomography. J. Am. Dent. Assoc. 2010, 141, 3S–6S. [Google Scholar] [CrossRef]
- Scarfe, W.C.; Farman, A.G.; Sukovic, P. Clinical Applications of Cone-Beam Computed Tomography in Dental Practice. J. Can. Dent. Assoc. 2006, 72, 75–80. [Google Scholar]
- Shaw, C.C. Cone Beam Computed Tomography; Imaging in Medical Diagnosis and Therapy; Hendee, W.R., Ed.; CRC Press: New York, NY, USA, 2014. [Google Scholar]
- Kiljunen, T.; Kaasalainen, T.; Suomalainen, A.; Kortesniemi, M. Dental cone beam CT: A review. Phys. Med. 2015, 31, 844–860. [Google Scholar] [CrossRef]
- Bardaro, C.; Mantellini, I. On convergence properties for a class of Kantorovich discrete operators. Numer. Funct. Anal. Optim. 2012, 33, 374–396. [Google Scholar] [CrossRef]
- Costarelli, D.; Vinti, G. An inverse result of approximation by sampling Kantorovich series. Proc. Edinb. Math. Soc. 2019, 62, 265–280. [Google Scholar] [CrossRef] [Green Version]
- Costarelli, D.; Vinti, G. Saturation by the Fourier transform method for the sampling Kantorovich series based on bandlimited kernels. Anal. Math. Phys. 2019, 9, 2263–2280. [Google Scholar] [CrossRef]
- Costarelli, D.; Seracini, M.; Vinti, G. A comparison between the sampling Kantorovich algorithm for digital image processing with some interpolation and quasi-interpolation methods. Appl. Math. Comput. 2020, 374, 125046. [Google Scholar] [CrossRef]
- Unser, M.A. Ten good reasons for using spline wavelets. In Proceedings of the Optical Science, Engineering and Instrumentation’97, International Society for Optics and Photonics, San Diego, CA, USA, 27 July–1 August 1997; pp. 422–431. [Google Scholar]
- Karsli, H. Fatou type convergence of nonlinear m-singular integral operators. Appl. Math. Comput. 2014, 246, 221–228. [Google Scholar] [CrossRef]
- Karsli, H. Some convergence results for nonlinear singular integral operators. Demonstr. Math. 2017, 46, 729–740. [Google Scholar] [CrossRef]
- Kivinukk, A.; Tamberg, G. On Window Methods in Generalized Shannon Sampling Operators. In New Perspectives on Approximation and Sampling Theory; Birkhäuser: Cham, Switzerland, 2014; pp. 63–85. [Google Scholar]
- Coroianu, L.; Gal, S.G. Approximation by Max-Product Sampling Operators Based on Sinc-Type Kernels. Samp. Theory Sign. Image Proc. 2011, 10, 211–230. [Google Scholar]
- Coroianu, L.; Gal, S.G. Lp-approximation by truncated max-product sampling operators of Kantorovich-type based on Fejer kernel. J. Integral Equ. Appl. 2017, 29, 349–364. [Google Scholar] [CrossRef]
- Coroianu, L.; Gal, S.G. Approximation by truncated max-product operators of Kantorovich-type based on generalized (Φ,Ψ)-kernels. Math. Methods Appl. Sci. 2018, 41, 7971–7984. [Google Scholar] [CrossRef]
- Coroianu, L.; Gal, S.G. Approximation by max-product operators of Kantorovich type. Stud. Univ. Babes-Bolyai Math. 2019, 64, 207–223. [Google Scholar] [CrossRef] [Green Version]
- Orlova, O.; Tamberg, G. On approximation properties of generalized Kantorovich-type sampling operators. J. Approx. Theory 2016, 201, 73–86. [Google Scholar] [CrossRef]
- Costarelli, D.; Seracini, M.; Vinti, G. A segmentation procedure of the pervious area of the aorta artery from CT images without contrast medium. Math. Methods Appl. Sci. 2020, 43, 114–133. [Google Scholar] [CrossRef]
- Asdrubali, F.; Baldinelli, G.; Bianchi, F.; Costarelli, D.; Rotili, A.; Seracini, M.; Vinti, G. Detection of thermal bridges from thermographic images by means of image processing approximation algorithms. Appl. Math. Comput. 2018, 317, 160–171. [Google Scholar] [CrossRef]
- Mousavi, S.M.; Naghsh, A.; Abu-Bakar, A.S.R. Watermarking techniques used in medical images: A survey. J. Digit Imaging 2014, 27, 714–729. [Google Scholar] [CrossRef] [PubMed] [Green Version]








| Upper Jaw Seq. n. | Bilinear B-Spline | Bicubic B-Spline | SK Operator |
|---|---|---|---|
| 158 | 50.316 | 51.011 | 58.194 |
| 178 | 50.750 | 51.464 | 58.580 |
| 214 | 48.758 | 49.624 | 56.441 |
| Lower Jaw Seq. n. | Bilinear B-Spline | Bicubic B-Spline | SK Operator |
| 148 | 50.501 | 51.190 | 58.379 |
| 180 | 50.760 | 51.476 | 58.584 |
| 198 | 50.678 | 51.495 | 58.404 |
| Noisy Scan Seq. n. | Bilinear B-Spline | Bicubic B-Spline | SK Operator |
|---|---|---|---|
| 127 | 50.472 | 51.340 | 57.970 |
| 166 | 50.924 | 51.842 | 58.328 |
| 193 | 48.018 | 48.925 | 55.510 |
Publisher’s Note: MDPI stays neutral with regard to jurisdictional claims in published maps and institutional affiliations. |
© 2021 by the authors. Licensee MDPI, Basel, Switzerland. This article is an open access article distributed under the terms and conditions of the Creative Commons Attribution (CC BY) license (https://creativecommons.org/licenses/by/4.0/).
Share and Cite
Costarelli, D.; Pozzilli, P.; Seracini, M.; Vinti, G. Enhancement of Cone-Beam Computed Tomography Dental-Maxillofacial Images by Sampling Kantorovich Algorithm. Symmetry 2021, 13, 1450. https://doi.org/10.3390/sym13081450
Costarelli D, Pozzilli P, Seracini M, Vinti G. Enhancement of Cone-Beam Computed Tomography Dental-Maxillofacial Images by Sampling Kantorovich Algorithm. Symmetry. 2021; 13(8):1450. https://doi.org/10.3390/sym13081450
Chicago/Turabian StyleCostarelli, Danilo, Pietro Pozzilli, Marco Seracini, and Gianluca Vinti. 2021. "Enhancement of Cone-Beam Computed Tomography Dental-Maxillofacial Images by Sampling Kantorovich Algorithm" Symmetry 13, no. 8: 1450. https://doi.org/10.3390/sym13081450
APA StyleCostarelli, D., Pozzilli, P., Seracini, M., & Vinti, G. (2021). Enhancement of Cone-Beam Computed Tomography Dental-Maxillofacial Images by Sampling Kantorovich Algorithm. Symmetry, 13(8), 1450. https://doi.org/10.3390/sym13081450

