Methylation Analysis of DNA Mismatch Repair Genes Using DNA Derived from the Peripheral Blood of Patients with Endometrial Cancer: Epimutation in Endometrial Carcinogenesis
Abstract
:1. Introduction
2. Materials and Methods
2.1. Subjects
2.2. Methylation Analysis
2.3. Germline Mutation Analysis
2.4. Microsatellite Instability Analysis
2.5. Immunohistochemistry
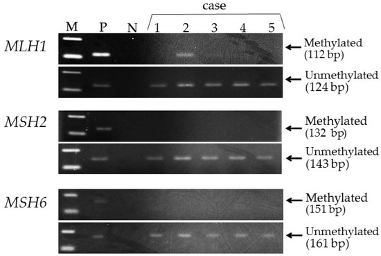
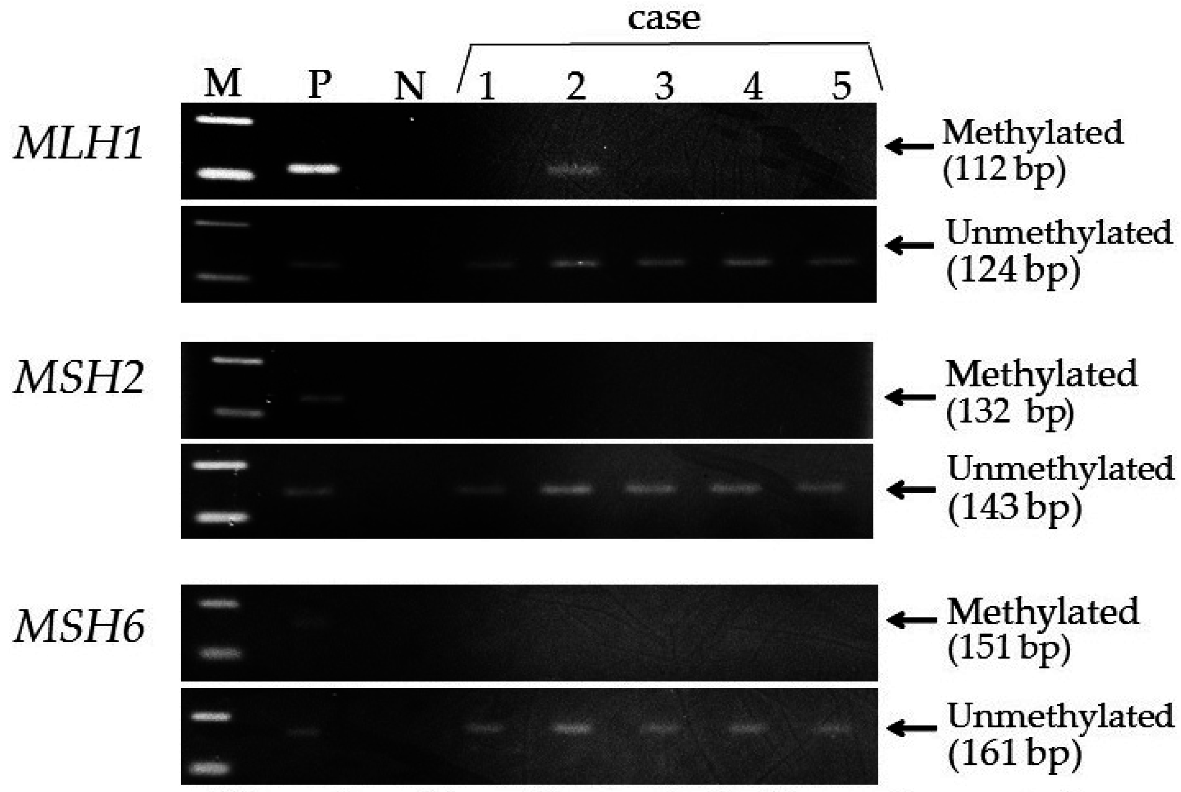
3. Results
4. Discussion
5. Conclusions
Acknowledgments
Author Contributions
Conflicts of Interest
References
- Lynch, H.T. Hereditary nonpolyposis colorectal cancer (HNPCC). Cytogenet. Cell. Genet. 1999, 86, 130–135. [Google Scholar] [CrossRef] [PubMed]
- Peltomäki, P. Role of DNA mismatch repair defects in the pathogenesis of human cancer. J. Clin. Oncol. 2003, 21, 1174–1179. [Google Scholar] [CrossRef] [PubMed]
- Banno, K.; Yanokura, M.; Iida, M.; Masuda, K.; Aoki, D. Carcinogenic mechanisms of endometrial cancer: Involvement of genetics and epigenetics. J. Obstet. Gynaecol. Res. 2014, 40, 1957–1967. [Google Scholar] [CrossRef] [PubMed]
- Masuda, K.; Banno, K.; Hirasawa, A.; Yanokura, M.; Tsuji, K.; Kobayashi, Y.; Kisu, I.; Ueki, A.; Nomura, H.; Tominaga, E.; et al. Relationship of lower uterine segment cancer with Lynch syndrome: A novel case with an hMLH1 germline mutation. Oncol. Rep. 2012, 28, 1537–1543. [Google Scholar] [PubMed]
- Banno, K.; Kisu, I.; Yanokura, M.; Masuda, K.; Ueki, A.; Kobayashi, Y.; Susumu, N.; Aoki, D. Epigenetics and genetics in endometrial cancer: New carcinogenic mechanisms and relationship with clinical practice. Epigenomics 2012, 4, 147–162. [Google Scholar] [CrossRef] [PubMed]
- Banno, K.; Kisu, I.; Yanokura, M.; Tsuji, K.; Masuda, K.; Ueki, A.; Kobayashi, Y.; Yamagami, W.; Nomura, H.; Tominaga, E.; et al. Epimutation and cancer: A new carcinogenic mechanism of Lynch syndrome (Review). Int. J. Oncol. 2012, 41, 793–797. [Google Scholar] [CrossRef] [PubMed]
- Banno, K.; Kisu, I.; Yanokura, M.; Masuda, K.; Kobayashi, Y.; Ueki, A.; Tsuji, K.; Yamagami, W.; Nomura, H.; Susumu, N.; et al. Endometrial cancer and hypermethylation: Regulation of DNA and microRNA by epigenetics. Biochem. Res. Int. 2012, 2012, 738–742. [Google Scholar] [CrossRef] [PubMed]
- Masuda, K.; Banno, K.; Yanokura, M.; Kobayashi, Y.; Kisu, I.; Ueki, A.; Ono, A.; Asahara, N.; Nomura, H.; Hirasawa, A.; et al. Relationship between DNA mismatch repair deficiency and endometrial cancer. Mol. Biol. Int. 2011, 2011, 256–263. [Google Scholar] [CrossRef] [PubMed]
- Isabella, G.; Massimo, L.; Judy, G.; Syngal, S.; Kolodner, R.D. A hereditary nonpolyposis colorectal carcinoma case associated with hypermethylation of the MLH1 gene in normal tissue and loss of heterozygosity of the unmethylated allele in the resulting microsatellite instability-high tumor. Cancer Res. 2002, 62, 3925–3928. [Google Scholar]
- Catherine, M.S.; David, I.K.M.; Robyn, L.W. Germline epimutation of MLH1 in individuals with multiple cancers. Nat. Genet. 2004, 36, 497–501. [Google Scholar]
- Megan, H.; Rachel, W.; Kayfong, C.; Halani, N.; Lin, V.A.; Packham, D.; Ku, S.; Buckle, A.; Hawkins, N.; Burn, J.; et al. MLH1 germline epimutations as a factor in hereditary nonpolyposis colorectal cancer. Gastroenterology 2005, 129, 1392–1399. [Google Scholar]
- Chan, T.L.; Yuen, S.T.; Kong, C.K.; Chan, Y.W.; Chan, A.S.; Ng, W.F.; Tsui, W.Y.; Lo, M.W.; Tam, W.Y.; Li, V.S.; et al. Heritable germline epimutation of MSH2 in a family with hereditary nonpolyposis colorectal cancer. Nat. Genet. 2006, 38, 1178–1183. [Google Scholar] [CrossRef] [PubMed]
- Megan, P.H.; Justin, J.L.W.; Graeme, S.; Suter, C.M.; Martin, D.I.; Hawkins, N.J.; Ward, R.L. Inheritance of a cancer-associated MLH1 germ-line epimutation. N. Engl. J. Med. 2007, 356, 697–705. [Google Scholar]
- Valle, L.; Carbonell, P.; Fernandez, V. MLH1 germline epimutations in selected patients with early-onset non-polyposis colorectal cancer. Clin. Genet. 2007, 71, 232–237. [Google Scholar] [CrossRef] [PubMed]
- Morak, M.; Schackert, H.K.; Rahner, N.; Betz, B.; Ebert, M.; Walldorf, C.; Royer-Pokora, B.; Schulmann, K.; von Knebel-Doeberitz, M.; Dietmaier, W.; et al. Further evidence for heritability of an epimutation in one of 12 cases with MLH1 promoter methylation in blood cells clinically displaying HNPCC. Eur. J. Hum. Genet. 2008, 16, 804–811. [Google Scholar] [CrossRef] [PubMed]
- Hitchins, M.P.; Ward, R.L. Constitutional (germline) MLH1 epimutation as an aetiological mechanism for hereditary non-polyposis colorectal cancer. J. Med. Genet. 2009, 46, 793–802. [Google Scholar] [CrossRef] [PubMed]
- Castillejo, A.; Hernández-Illán, E.; Rodriguez-Soler, M.; Pérez-Carbonell, L.; Egoavil, C.; Barberá, V.M.; Castillejo, M.I.; Guarinos, C.; Martínez-de-Dueñas, E.; Juan, M.J.; et al. Prevalence of MLH1 constitutional epimutations as a cause of Lynch syndrome in unselected versus selected consecutive series of patients with colorectal cancer. J. Med. Genet. 2015, 52, 498–502. [Google Scholar] [CrossRef] [PubMed]
- Cini, G.; Carnevali, I.; Quaia, M.; Chiaravalli, A.M.; Sala, P.; Giacomini, E.; Maestro, R.; Tibiletti, M.G.; Viel, A. Concomitant mutation and epimutation of the MLH1 gene in a Lynch syndrome family. Carcinogenesis 2015, 36, 452–458. [Google Scholar] [CrossRef] [PubMed]
- Kidambi, T.D.; Blanco, A.; Van, Z.J.; Terdiman, J.P. Constitutional MLH1 methylation presenting with colonic polyposis syndrome and not Lynch syndrome. Fam. Cancer 2016, 15, 275–280. [Google Scholar] [CrossRef] [PubMed]
- Hitchins, M.P. Finding the needle in a haystack: Identification of cases of Lynch syndrome with MLH1 epimutation. Fam. Cancer 2016, 15, 413–422. [Google Scholar] [CrossRef] [PubMed]
- Herman, J.G.; Umar, A.; Polyak, K.; Graff, J.R.; Ahuja, N.; Issa, J.P.; Markowitz, S.; Willson, J.K.; Hamilton, S.R.; Kinzler, K.W.; et al. Incidence and functional consequences of hMLH1 promoter hypermethylation in colorectal carcinoma. Proc. Natl Acad. Sci. USA 1998, 95, 6870–6875. [Google Scholar] [CrossRef] [PubMed]
- Banno, K.; Yanokura, M.; Susumu, N.; Kawaguchi, M.; Hirao, N.; Hirasawa, A.; Tsukazaki, K.; Aoki, D. Relationship of the aberrant DNA hypermethylation of cancer-related genes with carcinogenesis of endometrial cancer. Oncol. Rep. 2006, 16, 1189–1196. [Google Scholar] [CrossRef] [PubMed]
- Banno, K.; Susumu, N.; Hirao, T.; Yanokura, M.; Hirasawa, A.; Aoki, D.; Udagawa, Y.; Sugano, K.; Nozawa, S. Identification of germline MSH2 gene mutations in endometrial cancer not fulfilling the new clinical criteria for hereditary nonpolyposis colorectal cancer. Cancer Genet. Cytogenet. 2003, 146, 58–65. [Google Scholar] [CrossRef]
- Boland, C.R.; Thibodeau, S.N.; Hamilton, S.R.; Sidransky, D.; Eshleman, J.R.; Burt, R.W.; Meltzer, S.J.; Rodriguez-Bigas, M.A.; Fodde, R.; Ranzani, G.N.; et al. A National Cancer Institute Workshop on Microsatellite Instability for cancer detection and familial predisposition: Development of international criteria for the determination of microsatellite instability in colorectal cancer. Cancer Res. 1998, 58, 5248–5257. [Google Scholar] [PubMed]
- Kobayashi, Y.; Nakamura, K.; Nomura, H.; Banno, K.; Irie, H.; Adachi, M.; Iida, M.; Umene, K.; Nogami, Y.; Masuda, K.; et al. Clinicopathologic analysis with immunohistochemistry for DNA mismatch repair protein expression in synchronous primary endometrial and ovarian cancers. Int. J. Gynecol. Cancer 2015, 25, 440–446. [Google Scholar] [CrossRef] [PubMed]
- NCCN Clinical Practice Guidelines in Oncology (NCCN Guidelines®). Genetic/Familial High-Risk Assessment: Colorectal. 2015; ver2. [Google Scholar]
- Japanese Society for Cancer of the Colon and Rectum. JSCCR Guidelines 2012 for the Clinical Practice of Hereditary Colorectal Cancer; Kanehara & Co., Ltd.: Tokyo, Japan, 2012; pp. 34–38. [Google Scholar]
- Mangold, E.; Pagenstecher, C.; Friedl, W.; Mathiak, M.; Buettner, R.; Engel, C.; Loeffler, M.; Holinski-Feder, E.; Müller-Koch, Y.; Keller, G.; et al. Spectrum and frequencies of mutations in MSH2 and MLH1 identified in 1721 German families suspected of hereditary nonpolyposis colorectal cancer. Int. J. Cancer 2005, 116, 692–702. [Google Scholar] [CrossRef] [PubMed]
- Gylling, A.; Ridanpaa, M.; Vierimaa, O.; Aittomäki, K.; Avela, K.; Kääriäinen, H.; Laivuori, H.; Pöyhönen, M.; Sallinen, S.L.; Wallgren-Pettersson, C.; et al. Large genomic rearrangements and germline epimutations in Lynch syndrome. Int. J. Cancer 2009, 124, 2333–2340. [Google Scholar] [CrossRef] [PubMed]
- Niessen, R.C.; Hofstra, R.M.; Westers, H.; Ligtenberg, M.J.; Kooi, K.; Jager, P.O.; de Groote, M.L.; Dijkhuizen, T.; Olderode-Berends, M.J.; Hollema, H.; et al. Germline hypermethylation of MLH1 and EPCAM deletions are a frequent cause of Lynch syndrome. Genes Chromosomes Cancer 2009, 48, 737–744. [Google Scholar] [CrossRef] [PubMed]
- Pineda, M.; Mur, P.; Iniesta, M.D.; Borràs, E.; Campos, O.; Vargas, G.; Iglesias, S.; Fernández, A.; Gruber, S.B.; Lázaro, C.; et al. MLH1 methylation screening is effective in identifying epimutation carriers. Eur. J. Hum. Genet. 2012, 20, 1256–1264. [Google Scholar] [CrossRef] [PubMed]
- Ward, R.L.; Dobbins, T.; Lindor, N.M.; Rapkins, R.W.; Hitchins, M.P. Identification of constitutional MLH1 epimutations and promoter variants in colorectal cancer patients from the Colon Cancer Family Registry. Genet. Med. 2013, 15, 25–35. [Google Scholar] [CrossRef] [PubMed]
- Auclair, J.; Vaissière, T.; Desseigne, F.; Lasset, C.; Bonadona, V.; Giraud, S.; Saurin, J.C.; Joly, M.O.; Leroux, D.; Faivre, L. Intensity-dependent constitutional MLH1 promoter methylation leads to early onset of colorectal cancer by affecting both alleles. Genes Chromosomes Cancer 2011, 50, 178–185. [Google Scholar] [CrossRef] [PubMed]
- Ligtenberg, M.J.; Kuiper, R.P.; Chan, T.L.; Goossens, M.; Hebeda, K.M.; Voorendt, M.; Lee, T.Y.; Bodmer, D.; Hoenselaar, E.; Hendriks-Cornelissen, S.J. Heritable somatic methylation and inactivation of MSH2 in families with Lynch syndrome due to deletion of the 3′ exons of TACSTD1. Nat. Genet. 2009, 41, 112–117. [Google Scholar] [CrossRef] [PubMed]
- Kempers, M.J.; Kuiper, R.P.; Ockeloen, C.W.; Chappuis, P.O.; Hutter, P.; Rahner, N.; Schackert, H.K.; Steinke, V.; Holinski-Feder, E.; Morak, M.; et al. Risk of colorectal and endometrial cancers in EPCAM deletion-positive Lynch syndrome: A cohort study. Lancet Oncol. 2011, 12, 49–55. [Google Scholar] [CrossRef]
- Hitchins, M.P.; Ward, R.L. Erasure of MLH1 methylation in spermatozoa-implications for epigenetic inheritance. Nat. Genet. 2007, 39, 1289. [Google Scholar] [CrossRef] [PubMed]
- Hitchins, M.P.; Rapkins, R.W.; Kwok, C.T.; Srivastava, S.; Wong, J.J.; Khachigian, L.M.; Polly, P.; Goldblatt, J.; Ward, R.L. Dominantly inherited constitutional epigenetic silencing of MLH1 in a cancer-affected family is linked to a single nucleotide variant within the 5'UTR. Cancer Cell. 2011, 20, 200–213. [Google Scholar] [CrossRef] [PubMed]
- Oey, H.; Whitelaw, E. On the meaning of the word “epimutation”. Trends Genet. 2014, 30, 519–520. [Google Scholar] [CrossRef] [PubMed]
- Hesson, L.B.; Hitchins, M.P.; Ward, R.L. Epimutations and cancer predisposition: Importance and mechanisms. Curr. Opin. Genet. Dev. 2010, 20, 290–298. [Google Scholar] [CrossRef] [PubMed]
- Sloane, M.A.; Ward, R.L.; Hesson, L.B. Defining the criteria for identifying constitutional epimutations. Clin. Epigenetics 2016, 18, 39. [Google Scholar] [CrossRef] [PubMed]
- Hitchins, M.P. Constitutional epimutation as a mechanism for cancer causality and heritability? Nat. Rev. Cancer 2015, 15, 625–634. [Google Scholar] [CrossRef] [PubMed]
- Goel, A.; Nguyen, T.P.; Leung, H.C.; Nagasaka, T.; Rhees, J.; Hotchkiss, E.; Arnold, M.; Banerji, P.; Koi, M.; Kwok, C.T.; et al. De novo constitutional MLH1 epimutations confer early-onset colorectal cancer in two new sporadic Lynch syndrome cases, with derivation of the epimutation on the paternal allele in one. Int. J. Cancer 2011, 128, 869–878. [Google Scholar] [CrossRef] [PubMed]
- Kwok, C.T.; Vogelaar, I.P.; van Zelst-Stams, W.A.; Mensenkamp, A.R.; Ligtenbe, M.J.; Rapkins, R.W.; Ward, R.L.; Chun, N.; Ford, J.M.; Ladabaum, U.; et al. The MLH1 c.-27C>A and c.85G>T variants are linked to dominantly inherited MLH1 epimutation and are borne on a European ancestral haplotype. Eur. J. Hum. Genet. 2014, 22, 617–624. [Google Scholar] [CrossRef] [PubMed]








| Histological Type | Number of Patients | % | Mean Age | |||
|---|---|---|---|---|---|---|
| Endometrioid | G1 | 105 | 51.0 | 54.9 (43.3–66.5) | ||
| G2 | 54 | 26.2 | Surgical stage * | Number of patients | % | |
| G3 | 23 | 11.1 | I | 155 | 75.2 | |
| Serous | 13 | 6.3 | II | 16 | 7.8 | |
| Clear | 5 | 2.4 | III | 29 | 1.4 | |
| Adenosquamous | 3 | 1.5 | IV | 6 | 2.9 | |
| Undifferentiated | 3 | 1.5 | * (FIGO 2008) | |||
| Gene Name | PCR Analysis | Sense | Antisense | Size (bp) | Annealing Temp (°C) |
|---|---|---|---|---|---|
| MLH1 | Methylated | ACGTAGACGTTTTATTAGGGTCGC | CCTCATCGTAACTACCCGCG | 112 | 60 |
| Unmethylated | TTTTGATGTAGATGTTTTATTAGGGTTGT | ACCACCTCATCATAACTACCCACA | 124 | 60 | |
| MSH2 | Methylated | TCGTGGTCGGACGTCGTTC | CAACGTCTCCTTCGACTACACCG | 132 | 66 |
| Unmethylated | GGTTGTTGTGGTTGGATGTTGTTT | CAACTACAACATCTCCTTCAACTACACCA | 143 | 66 | |
| MSH6 | Methylated | TTTTTTCGGCGGAGCGC | AAAAAAAAACTATACAAAATACTCTATCGC | 151 | 62 |
| Unmethylated | TTTGGGTTTTTTTGGTGGAGTGT | CTTAAAAAAAAAACTATACAAAATACTCTATCACA | 161 | 62 |
| Amsterdam II Criteria |
|---|
| There should be at least three relatives with a hereditary nonpolyposis colorectal cancer (HNPCC)-associated cancer |
| [colorectum, endometrium, small bowl, ureter, renal pelvis] |
| All of the following criteria should be present: |
| 1. One should be a first-degree relative of the other two. |
| 2. At least two successive generations should be affected. |
| 3. At least one should be diagnosed at <50 years of age. |
| 4. FAP should be excluded in the colorectal cancer cases, if any. |
| 5. Tumors should be verified by pathological examination. |
| Revised Bethesda Guidelines |
| Tumors from individuals should be tested for MSI in the following situations: |
| 1. Colorectal cancer diagnosed in a patient who is less than 50 years of age. |
| 2. Presence of synchronous, metachronous colorectal, or other Lynch-associated tumors * regardless of age. |
| 3. Colorectal cancer with microsatellite instability-high (MSI-H) histology ** diagnosed in a patient who is less than 60 years of age. |
| 4. Colorectal cancer diagnosed in one or more first-degree relatives with a Lynch-related tumor, with one of the cancers being diagnosed under age 50 years. |
| 5. Colorectal cancer diagnosed in two or more first- or second-degree relatives with Lynch-related tumors, regardless of age. |
© 2016 by the authors; licensee MDPI, Basel, Switzerland. This article is an open access article distributed under the terms and conditions of the Creative Commons Attribution (CC-BY) license (http://creativecommons.org/licenses/by/4.0/).
Share and Cite
Takeda, T.; Banno, K.; Yanokura, M.; Adachi, M.; Iijima, M.; Kunitomi, H.; Nakamura, K.; Iida, M.; Nogami, Y.; Umene, K.; et al. Methylation Analysis of DNA Mismatch Repair Genes Using DNA Derived from the Peripheral Blood of Patients with Endometrial Cancer: Epimutation in Endometrial Carcinogenesis. Genes 2016, 7, 86. https://doi.org/10.3390/genes7100086
Takeda T, Banno K, Yanokura M, Adachi M, Iijima M, Kunitomi H, Nakamura K, Iida M, Nogami Y, Umene K, et al. Methylation Analysis of DNA Mismatch Repair Genes Using DNA Derived from the Peripheral Blood of Patients with Endometrial Cancer: Epimutation in Endometrial Carcinogenesis. Genes. 2016; 7(10):86. https://doi.org/10.3390/genes7100086
Chicago/Turabian StyleTakeda, Takashi, Kouji Banno, Megumi Yanokura, Masataka Adachi, Moito Iijima, Haruko Kunitomi, Kanako Nakamura, Miho Iida, Yuya Nogami, Kiyoko Umene, and et al. 2016. "Methylation Analysis of DNA Mismatch Repair Genes Using DNA Derived from the Peripheral Blood of Patients with Endometrial Cancer: Epimutation in Endometrial Carcinogenesis" Genes 7, no. 10: 86. https://doi.org/10.3390/genes7100086
APA StyleTakeda, T., Banno, K., Yanokura, M., Adachi, M., Iijima, M., Kunitomi, H., Nakamura, K., Iida, M., Nogami, Y., Umene, K., Masuda, K., Kobayashi, Y., Yamagami, W., Hirasawa, A., Tominaga, E., Susumu, N., & Aoki, D. (2016). Methylation Analysis of DNA Mismatch Repair Genes Using DNA Derived from the Peripheral Blood of Patients with Endometrial Cancer: Epimutation in Endometrial Carcinogenesis. Genes, 7(10), 86. https://doi.org/10.3390/genes7100086

