Identification of Ziziphus jujuba cv. Dongzao DNA Demethylase ZjROS1 Gene Family and Construction of CRISPR/Cas9-Mediated Gene-Editing Vector
Abstract
1. Introduction
2. Materials and Methods
2.1. Materials
2.2. Research Methods
2.2.1. Bioinformatics Analysis of the ZjROS1 Gene Family
Gene Family Identification and Protein Physicochemical Property Analysis
Prediction of Signal Peptides and Transmembrane Domains, Chromosome Localization, and Subcellular Localization
Analysis of Conserved Motif and Conserved Domain of ZjROS1 Gene and Prediction of the Secondary and Tertiary Structures of the ZjROS1 Protein
Promoter Cis-Acting Element Analysis and Protein Interaction Prediction Analysis
2.2.2. Cloning of ZjROS1 Gene
2.2.3. Tissue-Specific Gene Expression Characteristics of ZjROS1 Family
2.2.4. Construction of Ziziphus jujuba cv. Dongzao ZjROS1 Gene-Editing Vector
3. Results
3.1. Bioinformatics Analysis of the ZjROS1 Gene Family
3.1.1. Gene Family Identification and Protein Physicochemical Property Analysis
3.1.2. Transmembrane Domain Analysis and Chromosome Localization Prediction
3.1.3. ZjROS1 Gene Conserved Motif, Conserved Domain Analysis, and Secondary and Tertiary Structures’ Prediction Analysis
3.1.4. Promoter Cis-Acting Element Analysis and Protein Interaction Prediction Analysis
3.1.5. Construction of Phylogenetic Tree
3.1.6. Protein Interaction Prediction Analysis
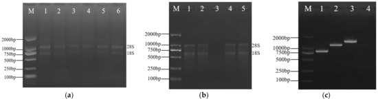
3.2. Cloning of ZjROS1 Gene of Ziziphus jujuba cv. Dongzao
3.3. Analysis of the Tissue Expression Characteristics of ZjROS1 Gene Family
3.4. Construction of Ziziphus jujuba cv. Dongzao ZjROS1 Gene-Editing Vector
4. Discussion
5. Conclusions
Supplementary Materials
Author Contributions
Funding
Institutional Review Board Statement
Informed Consent Statement
Data Availability Statement
Conflicts of Interest
References
- Zhang, Z.B.; Zhao, X.C.; Shi, Z.A.; Li, G.C.; Li, X.L. Effect of ecological factors on the quality of Ziziphus jujuba Mill. cv.“Dongzao”fruit. Chin. J. Eco-Agric. 2009, 5, 923–928. [Google Scholar]
- Xu, J.R.; Li, S.Y.; Zhang, C.S. Zizyphus jujuba cv. Dongzao and its diffrence with other late-ripe Jujube cultivars. Forest Ecol. Sci. 2003, 1, 38–42. [Google Scholar]
- Ji, Q.; Bao, C.Y.; Zhou, J.; Xu, Y.L.; Wang, D.W.; Wang, L.C.; Yang, H.S.; Bai, M.X.; Xie, Z.W.; Tian, J.S.; et al. Effects of rain shelter cultivation on fruit quality of Ziziphus jujuba Mill. cv. Dongzao. Non-Wood For. Res. 2018, 36, 64–72. [Google Scholar] [CrossRef]
- He, R.P.; Li, F.L.; Xu, J.R. Study on flower development and fruit anatomical structure of Zizyphus jujube ‘Dongzao’. J. Agric. 2010, 10, 30–32+41. [Google Scholar]
- Li, L.; Yan, X.Y.; Zhang, H.; LI, X.F.; Liu, M.; Wang, Y.F. Transcriptome data analysis of fresh Jujube fruits during ripening process based on High-throughput Sequencing. Mol. Pl. Breed. 2020, 18, 4213–4221. [Google Scholar] [CrossRef]
- Li, Y.F. The Molecular Mechanism Research on the Red Pigment Development of Zizyphus jujuba Mill cv. Dongzao; Tianjin University: Tianjin, China, 2017. [Google Scholar]
- Chen, Q. Comprehensive Evaluation of the Main Functional Factors and Identification of the Antioxidant and Tumor-Inhibition Compounds in Jujube; Tianjin University: Tianjin, China, 2015. [Google Scholar]
- Wu, J.Y. Effects of Coating Treatments on Storage Quality and Antioxidant Capacity of Zizyphus jujuba Miller cv. Dongzao; Tianjin University: Tianjin, China, 2016. [Google Scholar]
- Li, J.W.; Fan, L.P.; Ding, S.D.; Ding, X.L. Nutritional composition of five cultivars of chinese jujube. Food Chem. 2006, 103, 454–460. [Google Scholar] [CrossRef]
- Shen, L. Mechanism and Control of Fermentation Softening of Chinese Ziziphus jujuba cv. Dongzao During Storage; China Agricultural University: Beijing, China, 2002. [Google Scholar]
- Chen, C.; Yuan, Y.L.; Zhang, C.; Li, H.X.; Ma, F.W.; Li, M.J. Sucrose phloem unloading follows an apoplastic pathway with high sucrose synthase in Actinidia fruit. Plant Sci. 2017, 255, 40–50. [Google Scholar] [CrossRef]
- Kai, Y.; Matsumura, H.; Izui, K. Phospho enol pyruvate carboxylase: Three-dimensional structure and molecular mechanisms. Arch. Biochem. Biophys. 2003, 414, 170–179. [Google Scholar] [CrossRef]
- Koyama, K.; Ikeda, H.; Poudel, R.P.; Goto-Yamamoto, N. Light quality affects flavonoid biosynthesis in young berries of Cabernet Sauvignon grape. Phytochemistry 2012, 78, 54–64. [Google Scholar] [CrossRef]
- Zhang, C.M.; Huang, J.; Li, X.G. Transcriptomic analysis reveals the metabolic mechanism of L-ascorbic acid in Ziziphus jujuba Mill. Front. Plant Sci. 2016, 7, 122. [Google Scholar] [CrossRef]
- Cheng, J.F.; Niu, Q.F.; Zhang, B.; Chen, K.S.; Yang, R.H.; Zhu, J.K.; Zhang, Y.J.; Lang, Z.B. Downregulation of RdDM during strawberry fruit ripening. Genome biol. 2018, 19, 212. [Google Scholar] [CrossRef] [PubMed]
- Huang, H.; Liu, R.; Niu, Q.F.; Lang, Z.B. Global increase in DNA methylation during orange fruit development and ripening. Proc. Natl. Acad. Sci. USA 2019, 116, 1430–1436. [Google Scholar] [CrossRef] [PubMed]
- Zhang, H.M.; Lang, Z.B.; Zhu, J.K. Dynamics and function of DNA methylation in plants. Nat. Rev. Mol. Cell Biol. 2018, 19, 489–506. [Google Scholar] [CrossRef] [PubMed]
- Gong, Z.Z.; Morales-Ruiz, T.; Ariza, R.R.; Roldán-Arjona, T.; David, L.; Zhu, J.K. ROS1, a Repressor of Transcriptional Gene Silencing in Arabidopsis, Encodes a DNA Glycosylase/Lyase. Cell 2002, 111, 803–814. [Google Scholar] [CrossRef]
- Yu, A.; Lepère, G.; Jay, F.; Wang, J.; Bapaume, L.; Wang, Y.; Abraham, A.L.; Penterman, J.; Fischer, R.L.; Voinnet, O.; et al. Dynamics and biological relevance of DNA demethylation in Arabidopsis antibacterial defense. Proc. Natl. Acad. Sci. USA 2013, 110, 2389–2394. [Google Scholar] [CrossRef]
- Qian, M.J. Mechanism of DNA Methylation and micmRNA Regulating Peel Coloration in Red Pear; Zhejiang University: Hangzhou, China, 2017. [Google Scholar]
- Yang, Y.; Tang, K.; Datsenka, T.U.; Liu, W.; Lv, S.; Lang, Z.; Wang, X.; Gao, J.; Wang, W.; Nie, W.; et al. Critical function of DNA methyltransferase 1 in tomato development and regulation of the DNA methylome and transcriptome. J. Integr. Plant Biol. 2019, 61, 1224–1242. [Google Scholar] [CrossRef]
- Chen, Y.O.; Bao, Y.; Ma, H.Z.; Yi, Z.Y.; Zhou, Z.; Wei, W.S. Gene editing technology and its research progress in China. Hereditas 2018, 40, 900–915. [Google Scholar] [CrossRef]
- Lin, Y.; Cradick, T.J.; Brown, M.T.; Deshmukh, H.; Ranjan, P.; Sarode, N.; Wile, B.M.; Vertino, P.M.; Stewart, F.J.; Bao, G. CRISPR/Cas9 systems have off-target activity with insertions or deletions between target DNA and guide RNA sequences. Nucleic Acids Res. 2014, 42, 7473–7485. [Google Scholar] [CrossRef]
- Wang, W.; Simmonds, J.; Pan, Q.; Davidson, D.; He, F.; Battal, A.; Akhunova, A.; Trick, H.N.; Uauy, C.; Akhunov, E. Gene editing and mutagenesis reveal inter-cultivar differences and additivity in the contribution of TaGW2 homoeologues to grain size and weight in wheat. Theor. Appl. Genet. 2018, 131, 2463–2475. [Google Scholar] [CrossRef]
- Zhang, Y.; Li, D.; Zhang, D.B.; Zhao, X.G.; Cao, X.M.; Dong, L.L.; Liu, J.X.; Chen, K.L.; Zhang, H.W.; Gao, C.X.; et al. Analysis of the functions of TaGW2 homoeologs in wheat grain weight and protein content traits. Plant J. 2018, 94, 857–866. [Google Scholar] [CrossRef]
- Nelson, O.E.; Rines, H.W. The enzymatic deficiency in the waxy mutant of maize. Biochem. Biophys. Res. Commun. 1962, 9, 297–300. [Google Scholar] [CrossRef] [PubMed]
- Doane, C.; Liu, Z.B.; Jeffry, S. Use of CRISPR/Cas9 for crop improvement in maize and soybean. Prog. Mol. Biol. Transl. Sci. 2017, 149, 27–46. [Google Scholar] [CrossRef]
- Vladimir, N.; Wang, C.M.; Joe, W.; Christa, L.; Detlef, W.; Sophien, K. Rapid generation of a transgene-free powdery mildew resistant tomato by genome deletion. Sci. Rep. 2017, 7, 482. [Google Scholar] [CrossRef]
- Feng, Z.J.; Liu, N.; Zhang, G.W.; Bu, Y.P.; Wang, B.; Gong, Y.M. Construction of vegetable soybean GBSSII gene editing vector based on CRISPR/Cas9. Mol. Plant Breed. 2022, 9, 1–9. [Google Scholar]
- Yang, X.; Wang, F.Q.; Chen, Z.H.; Wang, J.; Li, W.Q.; Fan, F.J.; Tao, Y.J.; Jiang, Y.J.; Zhu, Q.H.; Yang, J. CRISPR/Cas9-targeted mutagenesis of the OsROS1 gene induces pollen and embryo sac defects in rice. Plant Biotechnol. J. 2020, 10, 1999–2001. [Google Scholar] [CrossRef]
- Andrea, G.; Santo, M.D.; Leandro, Q.; Marta, P.; Montserrat, A.M.; Jordi, G.M. CRISPR/Cas9 gene editing uncovers the role of CTR1 and ROS1 in melon fruit ripening and epigenetic regulation. J. Exp. Bot. 2022, 73, 4022–4033. [Google Scholar] [CrossRef]
- Gu, C.; Pei, M.S.; Guo, Z.H.; Wu, L.; Qi, K.J.; Wang, X.P.; Liu, H.; Liu, Z.C.; Lang, Z.B.; Zhang, S.L. Multi-omics provide insights into the regulation of DNA methylation in pear fruit metabolism. Genome Biol. 2024, 25, 70. [Google Scholar] [CrossRef]
- Wang, Z.G.; Dong, M.; Wang, A.D.; Li, T.L.; Jiang, S.L.; Cong, P.H.; Li, T.Z. The methylation of the PcMYB10 promoter is associated with green-skinned sport in Max Red Bartlett pear. Plant Physiol. 2013, 162, 885–896. [Google Scholar] [CrossRef]
- Lang, Z.B.; Wang, Y.H.; Tang, K.; Tang, D.G.; Tatsiana, D.; Cheng, J.F.; Zhang, Y.J.; Handa, A.K.; Zhu, J.K. Critical roles of DNA demethylation in the activation of ripening-induced genes and inhibition of ripening-repressed genes in tomato fruit. Proc. Natl. Acad. Sci. USA 2017, 114, E4511–E4519. [Google Scholar] [CrossRef]
- Yang, L.P.; Lang, C.J.; Wu, Y.J.; Meng, D.W.; Yang, T.B.; Li, D.Q.; Jin, T.C.; Zhou, X.F. ROS1-mediated decrease in DNA methylation and increase in expression of defense genes and stress response genes in Arabidopsis thaliana due to abiotic stresses. BMC Plant Biol. 2022, 22, 104. [Google Scholar] [CrossRef]
- Yu, L.J.; Sun, Y.Y.; Zhang, X.; Chen, M.C.; Wu, T.; Zhang, J.; Xing, Y.F.; Tian, J.; Yao, Y.C. ROS1 promotes low temperature-induced anthocyanin accumulation in apple by demethylating the promoter of anthocyanin-associated genes. Hortic. Res. 2022, 9, uhac007. [Google Scholar] [CrossRef] [PubMed]
- Tang, K.; Zhu, X.; Xie, S.; Lang, Z.B.; Zhu, J.K. Transgenerational increases in DNA methylation in Arabidopsis plants defective in active DNA demethylation. Proc. Natl. Acad. Sci. USA 2024, 121, e2320468121. [Google Scholar] [CrossRef] [PubMed]
- Wang, H.R.; Wang, J.Q.; Zhou, J.; Ren, Y.F.; Wang, C.P.; Xu, W.D.; Zhang, K.; Qiao, S. Bioinformatics analysis and expression identification of ZjRWD40 gene family in Ziziphus jujuba cv. Dongzao. Mol. Plant Breed. 2024, 10, 1–16. [Google Scholar]
- Liu, F.; Qu, S.; Sun, H.W.; Jiang, H.P.; Han, Y.P. Identification and bioinformatical analysis of GRAS gene family in response to soybean cyst nematode. Acta Agric. Boreali-Sin. 2023, 38, 166–178. [Google Scholar]
- Liu, R.; Lang, Z.B. The mechanism and function of active DNA demethylation in plants. J. Integr. Plant Biol. 2020, 62, 148–159. [Google Scholar] [CrossRef]
- Wang, J.; Xie, L.N. Research progress of demethylase ROS1 in plants. Biol. Bull. 2020, 36, 148–157. [Google Scholar] [CrossRef]
- Zhu, M.Y.; Li, Y.Z.; Mu, H.M.; Guo, S.J. Cloning and Identification of the Demethylase Gene DME-5B in Wheat. Mol. Plant Breed. 2024, 5, 1403–1409. [Google Scholar] [CrossRef]
- Zhu, H.F.; Xie, W.X.; Xu, D.C.; Daisuke, M.; Tang, K.; Huang, C.F.; Zhu, J.K. DNA demethylase ROS1 negatively regulates the imprinting of DOGL4 and seed dormancy in Arabidopsis thaliana. Proc. Natl. Acad. Sci. USA 2018, 42, E9962–E9970. [Google Scholar] [CrossRef]
- Chang, Y.N.; Zhu, C.; Jiang, J.; Zhang, H.M.; Zhu, J.K.; Duan, C.G. Epigenetic regulation in plant abiotic stress responses. J. Integr. Plant Biol. 2020, 5, 563–580. [Google Scholar] [CrossRef]
- Gehring, M.; Reik, W.; Henikoff, S. DNA demethylation by DNA repair. Trends Genet. 2008, 25, 82–90. [Google Scholar] [CrossRef]
- Petrova, D.V.; Permyakova, N.V.; Grin, I.R.; Zharkov, D.O. Characterization of demethylating DNA glycosylase ROS1 from Nicotiana tabacum L. Vavilovskii Zhurnal Genet. Sel. 2022, 26, 341–348. [Google Scholar] [CrossRef]
- Liu, J.X.; Wu, X.B.; Yao, X.F.; Yu, R.; Larkin, P.J.; Liu, C.M. Mutations in the DNA demethylase OsROS1 result in a thickened aleurone and improved nutritional value in rice grains. Proc. Natl. Acad. Sci. USA 2018, 115, 11327–11332. [Google Scholar] [CrossRef]










| Primer Name | Primer Sequence (5′–3′) | Primer Use |
|---|---|---|
| ZjROS1-1-F | ATGTCTTTCACTGGCCTATTGG | Gene clone |
| ZjROS1-1-R | CTACTCATCTTTCCTTTCCTTATTT | |
| ZjROS1-2-F | ATGTAGTGGAACTAATCATGTTTGC | |
| ZjROS1-2-R | CTATCTCCTTGAACAAGATGCATT | |
| ZjROS1-3-F | ATGCTGAACCCATCATTGAAGT | |
| ZjROS1-3-R | CTACTCATCATCGTCTTCGTTTATC | |
| dl-ROS1-1-F | TGCACCTGTAACACCGGATA | Real-time fluorescence quantitative PCR reaction |
| dl-ROS1-1-R | GGAATCTGAAGCAGGCTTTG | |
| dl-ROS1-2-F | GAACCAAACGGGTAAAGCAA | |
| dl-ROS1-2-R | TTGTGCTGCCATTTTGAGAG | |
| dl-ROS1-3-F | AGGCAAGTTCAAAAGCTCCA | |
| dl-ROS1-3-R | CTCACAAGATGCTGGCTCTG | |
| ZjACT-F | TCACACTTTCTACAATGAGCT | |
| ZjACT-R | ATATCCACATCACACTTCAT |
| Primer Name | Primer Sequence (5′–3′) | Primer Use |
|---|---|---|
| qc-ROS1-1-1 R | GCTATTTCTAGCTCTAAAACTGGTCACCTCTTTCAGCTACAATCACTACTTCGACTCT | Gene editing |
| qc-ROS1-1-2 R | GCTATTTCTAGCTCTAAAACAGTCTGGAAGTTCATAGACTCAATCACTACTTCGACTCT | |
| qc-ROS1-2-1 R | GCTATTTCTAGCTCTAAAACCTTTCTTCACTAGACTTGGGCAATCACTACTTCGACTCT | |
| qc-ROS1-2-2 R | GCTATTTCTAGCTCTAAAACTTTGGATTGACATCATTTGCAATCACTACTTCGACTCT | |
| U6p.4-F | CAGGAAACAGCTATGACCATATTCATTCGGAGTTTTTGTATC |
| Gene NAME | Sequence ID (NCBI) | Number of Amino Acids (aa) | Molecular Weight (Da) | Theoretical pI | Instability Index | Aliphatic Index | Grand Average of Hydropathicity |
|---|---|---|---|---|---|---|---|
| ZjROS1-1 | XP_015898699.1 | 1758 | 197,208.61 | 6.49 | 46.90 | 65.63 | −0.768 |
| ZjROS1-2 | XP_015876562.1 | 1938 | 217,902.56 | 7.69 | 47.56 | 68.98 | −0.767 |
| ZjROS1-3 | XP_024926338.1 | 753 | 84,959.77 | 5.74 | 54.16 | 73.84 | −0.584 |
| Gene | α Helix | β Turn | Extended | Random Coil |
|---|---|---|---|---|
| ZjROS1-1 | 32.31% | 6.68% | 15.47% | 45.34% |
| ZjROS1-2 | 34.31% | 6.66% | 14.04% | 44.99% |
| ZjROS1-3 | 35.99% | 7.97% | 14.08% | 41.97% |
Disclaimer/Publisher’s Note: The statements, opinions and data contained in all publications are solely those of the individual author(s) and contributor(s) and not of MDPI and/or the editor(s). MDPI and/or the editor(s) disclaim responsibility for any injury to people or property resulting from any ideas, methods, instructions or products referred to in the content. |
© 2025 by the authors. Licensee MDPI, Basel, Switzerland. This article is an open access article distributed under the terms and conditions of the Creative Commons Attribution (CC BY) license (https://creativecommons.org/licenses/by/4.0/).
Share and Cite
Wang, J.; Wang, H.; Zhai, J.; Zhu, F.; Ren, Y.; Zhou, J.; Zhang, Z.; Luo, L.; Xu, W. Identification of Ziziphus jujuba cv. Dongzao DNA Demethylase ZjROS1 Gene Family and Construction of CRISPR/Cas9-Mediated Gene-Editing Vector. Genes 2025, 16, 228. https://doi.org/10.3390/genes16020228
Wang J, Wang H, Zhai J, Zhu F, Ren Y, Zhou J, Zhang Z, Luo L, Xu W. Identification of Ziziphus jujuba cv. Dongzao DNA Demethylase ZjROS1 Gene Family and Construction of CRISPR/Cas9-Mediated Gene-Editing Vector. Genes. 2025; 16(2):228. https://doi.org/10.3390/genes16020228
Chicago/Turabian StyleWang, Jiaqi, Huiran Wang, Jiayi Zhai, Fulun Zhu, Yufeng Ren, Jun Zhou, Zhikai Zhang, Lan Luo, and Wendi Xu. 2025. "Identification of Ziziphus jujuba cv. Dongzao DNA Demethylase ZjROS1 Gene Family and Construction of CRISPR/Cas9-Mediated Gene-Editing Vector" Genes 16, no. 2: 228. https://doi.org/10.3390/genes16020228
APA StyleWang, J., Wang, H., Zhai, J., Zhu, F., Ren, Y., Zhou, J., Zhang, Z., Luo, L., & Xu, W. (2025). Identification of Ziziphus jujuba cv. Dongzao DNA Demethylase ZjROS1 Gene Family and Construction of CRISPR/Cas9-Mediated Gene-Editing Vector. Genes, 16(2), 228. https://doi.org/10.3390/genes16020228

