Biliverdinuria Caused by Exonic BLVRA Deletions in Two Dogs with Green Urine
Abstract
1. Introduction
2. Materials and Methods
2.1. Case Identification, Ethics Statement, and Data Collection
2.2. Targeted Metabolomic Analyses
2.3. Genetic Analyses
2.4. RNA Analyses
3. Results
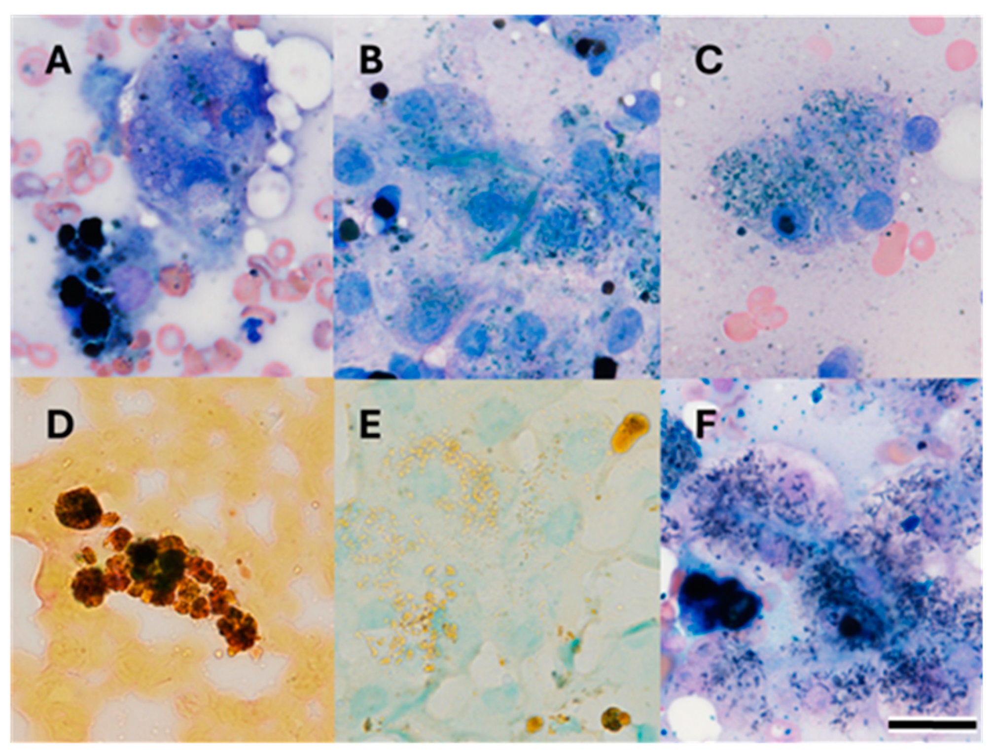
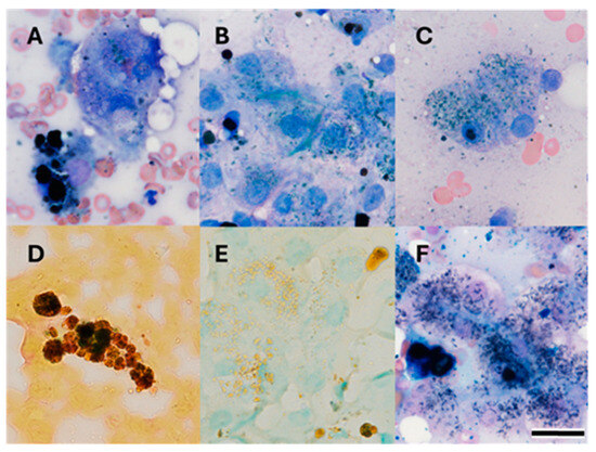
3.1. Clinical Case Descriptions
3.2. Targeted Metabolomic Analyses
3.3. BLVRA Genetic Analyses
3.4. BLVRA RNA Analyses
3.5. Case 1 Analyses of Candidate Variants for Anemia
4. Discussion
5. Conclusions
Supplementary Materials
Author Contributions
Funding
Institutional Review Board Statement
Informed Consent Statement
Data Availability Statement
Conflicts of Interest
References
- Flaherty, D.; Auckburally, A. Green Discolouration of Urine Following Propofol Infusion in a Dog. J. Small Anim. Pract. 2017, 58, 536–538. [Google Scholar] [CrossRef] [PubMed]
- Lasica, A.; Cortesi, C.; Milani, G.P.; Bianchetti, M.G.; Schera, F.M.; Camozzi, P.; Lava, S.A.G. Propofol-Associated Urine Discoloration: Systematic Literature Review. Pharmacology 2023, 108, 415–422. [Google Scholar] [CrossRef] [PubMed]
- Moussa, M.; Chakra, M.A.; Papatsoris, A.G.; Dellis, A. Green Urine Due to Pseudomonas Urinary Tract Infection: An Unusual Occurence. Am. J. Emerg. Med. 2022, 52, 249–250. [Google Scholar] [CrossRef] [PubMed]
- Greenberg, M. Verdoglobinuria. Clin. Toxicol. 2008, 46, 485–486. [Google Scholar] [CrossRef] [PubMed]
- Koratala, A.; Leghrouz, M. Green Urine. Clin. Case Rep. 2017, 5, 549–550. [Google Scholar] [CrossRef]
- Stone, H.H.; Martin, J.D.; Graber, C.D. Verdoglobinuria: An Ominous Sign of Pseudomonas Septicemia in Burns. Ann. Surg. 1964, 159, 991–995. [Google Scholar] [CrossRef]
- Weaver, L.; Hamoud, A.; Stec, D.E.; Hinds, T.D. Biliverdin Reductase and Bilirubin in Hepatic Disease. Am. J. Physiol.-Gastrointest. Liver Physiol. 2018, 314, G668–G676. [Google Scholar] [CrossRef]
- Larson, E.A.; Evans, G.T.; Watson, C.J. A Study of the Serum Biliverdin Concentration in Various Types of Jaundice. J. Lab. Clin. Med. 1947, 32, 481–488. [Google Scholar]
- Garner, R.J. Bile Pigment Metabolism in Cattle. J. Comp. Pathol. Ther. 1953, 63, 247–253. [Google Scholar] [CrossRef]
- Gåfvels, M.; Holmström, P.; Somell, A.; Sjövall, F.; Svensson, J.; Ståhle, L.; Broomé, U.; Stål, P. A Novel Mutation in the Biliverdin reductase-A Gene Combined with Liver Cirrhosis Results in Hyperbiliverdinaemia (Green Jaundice). Liver Int. 2009, 29, 1116–1124. [Google Scholar] [CrossRef]
- Nytofte, N.S.; Serrano, M.A.; Monte, M.J.; Gonzalez-Sanchez, E.; Tumer, Z.; Ladefoged, K.; Briz, O.; Marin, J.J.G. A Homozygous Nonsense Mutation (c.214C->A) in the Biliverdin Reductase α Gene (BLVRA) Results in Accumulation of Biliverdin during Episodes of Cholestasis. J. Med. Genet. 2011, 48, 219–225. [Google Scholar] [CrossRef] [PubMed]
- Cullen, J.N.; Friedenberg, S.G. Whole Animal Genome Sequencing: User-Friendly, Rapid, Containerized Pipelines for Processing, Variant Discovery, and Annotation of Short-Read Whole Genome Sequencing Data. G3 Genes Genomes Genet. 2023, 13, jkad117. [Google Scholar] [CrossRef] [PubMed]
- Van der Auwera, G.A.; O’Connor, B.D. Genomics in the Cloud: Using Docker, GATK, and WDL in Terra; O’Reilly Media, Inc.: Sebastopol, CA, USA, 2020. [Google Scholar]
- Li, H.; Durbin, R. Fast and Accurate Short Read Alignment with Burrows–Wheeler Transform. Bioinformatics 2009, 25, 1754–1760. [Google Scholar] [CrossRef] [PubMed]
- McLaren, W.; Gil, L.; Hunt, S.E.; Riat, H.S.; Ritchie, G.R.S.; Thormann, A.; Flicek, P.; Cunningham, F. The Ensembl Variant Effect Predictor. Genome Biol. 2016, 17, 122. [Google Scholar] [CrossRef] [PubMed]
- Robinson, J.T.; Thorvaldsdóttir, H.; Winckler, W.; Guttman, M.; Lander, E.S.; Getz, G.; Mesirov, J.P. Integrative Genomics Viewer. Nat. Biotechnol. 2011, 29, 24–26. [Google Scholar] [CrossRef]
- Yang, H.; Robinson, P.N.; Wang, K. Phenolyzer: Phenotype-Based Prioritization of Candidate Genes for Human Diseases. Nat. Methods 2015, 12, 841–843. [Google Scholar] [CrossRef]
- Amberger, J.S.; Bocchini, C.A.; Schiettecatte, F.; Scott, A.F.; Hamosh, A. OMIM.Org: Online Mendelian Inheritance in Man (OMIM®), an Online Catalog of Human Genes and Genetic Disorders. Nucleic Acids Res. 2015, 43, D789–D798. [Google Scholar] [CrossRef]
- Adzhubei, I.A.; Schmidt, S.; Peshkin, L.; Ramensky, V.E.; Gerasimova, A.; Bork, P.; Kondrashov, A.S.; Sunyaev, S.R. A Method and Server for Predicting Damaging Missense Mutations. Nat. Methods 2010, 7, 248–249. [Google Scholar] [CrossRef]
- Pejaver, V.; Urresti, J.; Lugo-Martinez, J.; Pagel, K.A.; Lin, G.N.; Nam, H.-J.; Mort, M.; Cooper, D.N.; Sebat, J.; Iakoucheva, L.M.; et al. Inferring the Molecular and Phenotypic Impact of Amino Acid Variants with MutPred2. Nat. Commun. 2020, 11, 5918. [Google Scholar] [CrossRef]
- Untergasser, A.; Cutcutache, I.; Koressaar, T.; Ye, J.; Faircloth, B.C.; Remm, M.; Rozen, S.G. Primer3—New Capabilities and Interfaces. Nucleic Acids Res. 2012, 40, e115. [Google Scholar] [CrossRef] [PubMed]
- Berglund, J.; Nevalainen, E.M.; Molin, A.M.; Perloski, M.; LUPA Consortium; André, C.; Zody, M.C.; Sharpe, T.; Hitte, C.; Lindblad-Toh, K.; et al. Novel origins of copy number variation in the dog genome. Genome Biol. 2012, 13, R73. [Google Scholar] [CrossRef] [PubMed]
- Smit, A.F.A.; Hubley, R.; Green, P. RepeatMasker Open-4.0. 2013–2015. Available online: https://www.repeatmasker.org (accessed on 9 November 2024).
- Perez, G.; Barber, G.P.; Benet-Pages, A.; Casper, J.; Clawson, H.; Diekhans, M.; Fischer, C.; Gonzalez, J.N.; Hinrichs, A.S.; Lee, C.M.; et al. The UCSC Genome Browser database: 2025 update. Nucleic Acids Res. 2024, gkae974, Online ahead of print. [Google Scholar] [CrossRef]
- Blum, M.; Chang, H.-Y.; Chuguransky, S.; Grego, T.; Kandasaamy, S.; Mitchell, A.; Nuka, G.; Paysan-Lafosse, T.; Qureshi, M.; Raj, S.; et al. The InterPro Protein Families and Domains Database: 20 Years On. Nucleic Acids Res. 2021, 49, D344–D354. [Google Scholar] [CrossRef]
- The UniProt Consortium; Bateman, A.; Martin, M.-J.; Orchard, S.; Magrane, M.; Ahmad, S.; Alpi, E.; Bowler-Barnett, E.H.; Britto, R.; Bye-A-Jee, H.; et al. UniProt: The Universal Protein Knowledgebase in 2023. Nucleic Acids Res. 2023, 51, D523–D531. [Google Scholar] [CrossRef]
- Piek, C.J.; Brinkhof, B.; Rothuizen, J.; Dekker, A.; Penning, L.C. Leukocyte Count Affects Expression of Reference Genes in Canine Whole Blood Samples. BMC Res. Notes 2011, 4, 36. [Google Scholar] [CrossRef][Green Version]
- Iio, A.; Motohashi, T.; Kunisada, T.; Yasuhira, Y.; Kamishina, H.; Maeda, S. Preferential Gene Transcription of T Helper 2 Cytokines in Peripheral CCR4+CD4+ Lymphocytes in Dogs. Vet. Dermatol. 2014, 25, 199-e50. [Google Scholar] [CrossRef]
- Smith, B.F.; Stedman, H.; Rajpurohit, Y.; Henthorn, P.S.; Wolfe, J.H.; Patterson, D.F.; Giger, U. Molecular Basis of Canine Muscle Type Phosphofructokinase Deficiency. J. Biol. Chem. 1996, 271, 20070–20074. [Google Scholar] [CrossRef]
- Inal Gultekin, G.; Raj, K.; Lehman, S.; Hillström, A.; Giger, U. Missense Mutation in PFKM Associated with Muscle-Type Phosphofructokinase Deficiency in the Wachtelhund Dog. Mol. Cell. Probes 2012, 26, 243–247. [Google Scholar] [CrossRef]
- Fu, G.; Liu, H.; Doerksen, R.J. Molecular Modeling to Provide Insight into the Substrate Binding and Catalytic Mechanism of Human Biliverdin-IXα Reductase. J. Phys. Chem. B 2012, 116, 9580–9594. [Google Scholar] [CrossRef]
- O’Brien, L.; Hosick, P.A.; John, K.; Stec, D.E.; Hinds, T.D. Biliverdin Reductase Isozymes in Metabolism. Trends Endocrinol. Metab. 2015, 26, 212–220. [Google Scholar] [CrossRef] [PubMed]
- Karousis, E.D.; Mühlemann, O. Nonsense-Mediated mRNA Decay Begins Where Translation Ends. Cold Spring Harb. Perspect. Biol. 2019, 11, a032862. [Google Scholar] [CrossRef] [PubMed]
- Boyko, A.R.; Quignon, P.; Li, L.; Schoenebeck, J.J.; Degenhardt, J.D.; Lohmueller, K.E.; Zhao, K.; Brisbin, A.; Parker, H.G.; vonHoldt, B.M.; et al. A simple genetic architecture underlies morphological variation in dogs. PLoS Biol. 2010, 8, e1000451. [Google Scholar] [CrossRef]
- Szydlowski, M.; Antkowiak, M. No evidence that long runs of homozygosity tend to harbor risk variants for polygenic obesity in Labrador retriever dogs. J. Appl. Genet. 2022, 63, 557–561. [Google Scholar] [CrossRef]
- Letko, A.; Hédan, B.; Snell, A.; Harris, A.C.; Jagannathan, V.; Andersson, G.; Holst, B.S.; Ostrander, E.A.; Quignon, P.; André, C.; et al. Genomic Diversity and Runs of Homozygosity in Bernese Mountain Dogs. Genes 2023, 14, 650. [Google Scholar] [CrossRef]
- Letko, A.; Minor, K.M.; Jagannathan, V.; Seefried, F.R.; Mickelson, J.R.; Oliehoek, P.; Drögemüller, C. Genomic diversity and population structure of the Leonberger dog breed. Genet. Sel. Evol. 2020, 52, 61. [Google Scholar] [CrossRef]
- Papenhausen, P.R.; Kelly, C.A.; Harris, S.; Caldwell, S.; Schwartz, S.; Penton, A. Clinical significance and mechanisms associated with segmental UPD. Mol. Cytogenet. 2021, 14, 38. [Google Scholar] [CrossRef]
- Chen, W.; Maghzal, G.J.; Ayer, A.; Suarna, C.; Dunn, L.L.; Stocker, R. Absence of the Biliverdin Reductase-a Gene Is Associated with Increased Endogenous Oxidative Stress. Free Radic. Biol. Med. 2018, 115, 156–165. [Google Scholar] [CrossRef]
- Shaffer, E.A. Epidemiology of Gallbladder Stone Disease. Best Pract. Res. Clin. Gastroenterol. 2006, 20, 981–996. [Google Scholar] [CrossRef] [PubMed]





| Metabolite | Case 1 | Case 2 | Controls, n = 4 Median (Range) |
|---|---|---|---|
| Biliverdin (µg/dL) | 22.1 | 4.0 | 0.3 (0.1–0.8) |
| Biliverdin/creatinine (µg/mg) | 0.130 | 0.031 | 0.003 (0.001–0.005) |
| Bilirubin (µg/dL) | 0.5 | 2.2 | 1.3 (0.4–20.0) |
| Bilirubin/creatinine (µg/mg) | 0.003 | 0.017 | 0.030 (0.003–0.110) |
Disclaimer/Publisher’s Note: The statements, opinions and data contained in all publications are solely those of the individual author(s) and contributor(s) and not of MDPI and/or the editor(s). MDPI and/or the editor(s) disclaim responsibility for any injury to people or property resulting from any ideas, methods, instructions or products referred to in the content. |
© 2024 by the authors. Licensee MDPI, Basel, Switzerland. This article is an open access article distributed under the terms and conditions of the Creative Commons Attribution (CC BY) license (https://creativecommons.org/licenses/by/4.0/).
Share and Cite
Furrow, E.; Peralta, J.A.; Moore, A.R.; Minor, K.M.; Guerrero, C.; Hemmila, C.R.; DiCiccio, V.; Cullen, J.N.; Friedenberg, S.G.; Giger, U. Biliverdinuria Caused by Exonic BLVRA Deletions in Two Dogs with Green Urine. Genes 2024, 15, 1561. https://doi.org/10.3390/genes15121561
Furrow E, Peralta JA, Moore AR, Minor KM, Guerrero C, Hemmila CR, DiCiccio V, Cullen JN, Friedenberg SG, Giger U. Biliverdinuria Caused by Exonic BLVRA Deletions in Two Dogs with Green Urine. Genes. 2024; 15(12):1561. https://doi.org/10.3390/genes15121561
Chicago/Turabian StyleFurrow, Eva, Jade A. Peralta, A Russell Moore, Katie M. Minor, Candace Guerrero, Charlotte R. Hemmila, Victoria DiCiccio, Jonah N. Cullen, Steven G. Friedenberg, and Urs Giger. 2024. "Biliverdinuria Caused by Exonic BLVRA Deletions in Two Dogs with Green Urine" Genes 15, no. 12: 1561. https://doi.org/10.3390/genes15121561
APA StyleFurrow, E., Peralta, J. A., Moore, A. R., Minor, K. M., Guerrero, C., Hemmila, C. R., DiCiccio, V., Cullen, J. N., Friedenberg, S. G., & Giger, U. (2024). Biliverdinuria Caused by Exonic BLVRA Deletions in Two Dogs with Green Urine. Genes, 15(12), 1561. https://doi.org/10.3390/genes15121561

