Next Article in Journal
Episomes and Transposases—Utilities to Maintain Transgene Expression from Nonviral Vectors
Next Article in Special Issue
Characterization, Comparison of Two New Mitogenomes of Crocodile Newts Tylototriton (Caudata: Salamandridae), and Phylogenetic Implications
Previous Article in Journal
The Genetic Factors of the Airway Epithelium Associated with the Pathology of Asthma
Previous Article in Special Issue
Population Genetics of California Gray Foxes Clarify Origins of the Island Fox
 
 
Font Type:
Arial Georgia Verdana
Font Size:
Aa Aa Aa
Line Spacing:
Column Width:
Background:
Article

Expression and Variations in EPAS1 Associated with Oxygen Metabolism in Sheep

1
Gansu Key Laboratory of Herbivorous Animal Biotechnology, Faculty of Animal Science and Technology, Gansu Agricultural University, Lanzhou 730070, China
2
International Science and Technology Cooperation Base of Meat Sheep and Meat Cattle Genetic Improvement in Northwest of China, Gansu Agricultural University, Lanzhou 730070, China
3
Gansu Agriculture Technology College, Lanzhou 730070, China
*
Author to whom correspondence should be addressed.
Genes 2022, 13(10), 1871; https://doi.org/10.3390/genes13101871
Submission received: 26 September 2022 / Revised: 5 October 2022 / Accepted: 13 October 2022 / Published: 15 October 2022
(This article belongs to the Collection Feature Papers in ‘Animal Genetics and Genomics’)

Abstract

Endothelial PAS domain protein 1 gene (EPAS1) is a member of the HIF gene family. This gene encodes a transcription factor subunit that is involved in the induction of oxygen-regulated genes. Several studies have demonstrated that a mutation in EPAS1 could affect oxygen sensing, polycythemia, and hemoglobin level. However, whether EPAS1 mutation affects sheep oxygen metabolism is still unknown. Therefore, we explored the relationship between the variation of EPAS1 and oxygen metabolism in sheep. In this study, variations in ovine EPAS1 exon 15 were investigated in 332 Tibetan sheep and 339 Hu sheep by polymerase chain reaction-single strand conformation polymorphism (PCR-SSCP) analysis. In addition, we studied the effect of these variations on blood gas in 176 Tibetan sheep and 231 Hu sheep. Finally, the mRNA expression of EPAS1 in six tissues of Hu sheep and Tibetan sheep living at different altitudes (2500 m, 3500 m, and 4500 m) was analyzed by real-time quantitative PCR (RT-qPCR). Four alleles (A, B, C, and D) were detected, and their distributions highly differed between Tibetan sheep and Hu sheep. In Tibetan sheep, B was the dominant allele, and C and D alleles were rare, whereas all four alleles were common in Hu sheep. Six single nucleotide polymorphisms (SNPs) were identified between the four alleles and one of them was non-synonymous (p.F606L). While studying the blood gas levels in Tibetan sheep and Hu sheep, one variant region was found to be associated with an elevated pO2 and sO2, which suggested that variations in EPAS1 are associated with oxygen metabolism in sheep. RT-qPCR results showed that EPAS1 was expressed in the six tissues of Hu sheep and Tibetan sheep at different altitudes. In addition, the expression of EPAS1 in four tissues (heart, liver, spleen, and longissimus dorsi muscle) of Hu sheep was lower than that in Tibetan sheep from three different altitudes, and the expression of EPAS1 was positively correlated with the altitude. These results indicate that the variations and expression of EPAS1 is closely related to oxygen metabolism.

1. Introduction

Hypoxia-inducible factors (HIFs) are response regulators that mediate the adaptive response of cells under hypoxic or low oxygen conditions and regulate gene expression. HIFs are composed of two subunits, namely, α and β, of which α is the functional subunit (including 1α, 2α, and 3α) and β is the structural subunit [1,2]. Endothelial PAS domain protein 1 gene (EPAS1) is a member of the HIF gene family, which encodes hypoxia-inducible factor 2α (HIF-2α). EPAS1 induces the expression of oxygen-regulating genes under hypoxic conditions (when oxygen concentrations decrease) [3]. HIF-2α contains a basic helix-loop-helix (hHLH) and Per-ARNT-Sim (PAS) domains that respond to oxygen levels [4]. EPAS1 is involved in the development of the embryonic heart and contributes to the adaptation of highland indigenous populations and animals to the hypoxic environment of the plateau [5,6]. As a native species of the Tibetan Plateau, Tibetan sheep well adapt to plateau hypoxia. Compared with the blood gas indexes in lowland Hu sheep, the blood gas indexes of Tibetan sheep were found to be different, and the HIF signaling pathway was activated [7].
Several studies have reported that genetic variation in EPAS1 is related to human polycythemia and high-altitude hypoxia adaptation. One of the studies reported that SNPs in EPAS1 affected human erythrocyte count and hemoglobin volume; however, no effect on oxygen saturation [8] was observed. Variations in the EPAS1 gene allow Sherpas to adapt to high-altitude hypoxia [9]. EPAS1 variants are associated with multiple physiological traits of Tibetans [10]. However, whether the mutation in EPAS1 affects the oxygen metabolism in sheep is still unknown.
A study on Tibetan sheep’s adaptation to high altitude revealed that variation in exon15 of EPAS1 was rich [7]. We investigated the potential variants in exon 15 of EPAS1 of the plateau breed Tibetan sheep and the plain breed Hu sheep using polymerase chain reaction-single strand conformation polymorphism (PCR-SSCP) analysis. Subsequently, the effect of the genetic variation on blood gas was investigated. Finally, the expression level of EPAS1 in sheep was analyzed.

2. Materials and Methods

2.1. Experimental Animals and Data Collection

Variations in the EPAS1 gene were analyzed in 339 Hu sheep and 332 Tibetan sheep using the PCR-SSCP technique. Among these sheep, 176 Tibetan sheep (134 female, 42 male) and 231 Hu sheep (200 females, 31 males) were used for blood gas analysis. All these sheep were about 3.5 years old and healthy. The Tibetan sheep live at an altitude of over 2800 m in Maqu County, Gansu Province, China, and were obtained from a herdsman’s flock (about 1000). The Hu sheep was from the Zhejiang Hongtai Agriculture and Animal Husbandry Technology Co., Ltd., at an altitude of less 100 m, in Yuqian Town, Zhejiang Province, China. Blood was collected from the jugular vein of each sheep using a 5-mL sodium heparin collection tube. A small sample of the blood was used for blood gas analysis and the remaining was collected on the Munktell TFN paper (Munktell Filter AB, Falun, Sweden) for DNA purification [11].
For EPAS1 expression analysis, nine Tibetan sheep living at different altitudes (different oxygen concentrations) and three Hu sheep were randomly selected. These Tibetan sheep were selected from Zhuoni County, Gansu Province, China (2500 m), Haiyan County, Qinghai Province, China (3500 m), and Zhiduo County, Qinghai Province, China (4500 m), with three sheep at each altitude selected randomly from the herders’ flock. The three Hu sheep were from Kangrui Breeding Sheep Co., Ltd. in Baiyin City, Gansu Province, China (1800 m). All sheep were 3.5 year-old ewes with good health. Since the male sheep of the same age in the group were breeding rams, only ewes could be selected for slaughter. Each experimental sheep was euthanized by intravenous injection of pentobarbital sodium (350 mg), with cardiac arrest and continuous involuntary breathing for about 3 min without blinking reflex. The sheep were then dissected, and the heart, liver, spleen, lungs, kidneys, and longissimus dorsi were collected for RT-qPCR. The collected tissue samples were immediately placed in liquid nitrogen and transferred to the laboratory, and then stored at −80 °C to extract the total RNA.

2.2. Blood Gas Indicator Measurement

Blood gas biochemical indexes were measured directly using the i-STAT blood gas analyzer (Abbott, Chicago, IL, USA), including partial pressure of oxygen (pO2), partial pressure of carbon dioxide (pCO2), pH, and blood oxygen saturation (sO2). In addition, the partial pressure of oxygen at which hemoglobin is 50% saturated with oxygen (p50) was calculated using pO2, sO2, and pH [12,13]. The following equations were used.
p 50   s t d = a n t i   l o g l o g ( 1 k ) n   ; where   1 k = [ a n t i log ( n log p O 2 ( 7.4 ) ) ] · 100 s O 2 s O 2
A Hill constant “n” for hemoglobin A of 2.7 was used. The pO2 in venous blood at 37 °C was converted to pO2 at pH 7.4 using the following equation:
log p O 2 ( 7.4 ) = log p O 2 [ 0.5 ( 7.40 pH ) ]

2.3. Primers for PCR and RT-qPCR

One pair of PCR primers was designed to amplify a 470 bp fragment containing exon 15 and part of intron 14 of ovine EPAS1. A pair of primers was designed for EPAS1 expression, referring to the sequence of sheep EPAS1 gene (XM_015094403) published by GenBank. The primers were designed using the Premier 5.0 software (Table 1). β-actin (accession number: NM_001009784) was used as the reference gene. The primers were synthesized by Wuhan Aokedingsheng Biotechnology Co., Ltd. (Wuhan, China).

2.4. Amplification of Ovine EPAS1

PCR amplifications were performed using S1000 thermal cyclers (BioRad, Hercules, CA, USA), and were performed in a 20-µL reaction containing the purified genomic DNA on a 1.2-mm punch of the FTA paper, 0.25 μM of each primer, 0.5 U of Taq DNA polymerase (Takara, Dalian, China), 150 μM of per dNTP (Takara), 2.5 mM Mg2+, 2.0 μL of 10× PCR buffer (supplied with the DNA polymerase enzyme) and deionized water to make up the volume to 20 μL. The amplification steps were 2 min at 94 °C, followed by 35 cycles of 30 s at 94 °C, 30 s at 61 °C, and 30 s at 72 °C with a final extension of 5 min at 72 °C.

2.5. Screening for Variation and Sequencing of Variants

The PCR amplicons were screened for variations in sequences using the SSCP method. For each amplicon, a 0.7-μL aliquot was mixed with 7 μL of the loading dye (0.025% bromophenol blue, 98% formamide, 0.025% xylene cyanol, 10 mM EDTA). Samples were denatured at 95 °C for 5 min, cooled rapidly on wet ice, and subsequently loaded onto 16 cm × 18 cm, 14% acrylamide:bisacrylamide (37.5:1) (Bio-Rad) gels. Electrophoresis was performed for 20 h in 0.5 TBE at 220 V and 27 °C, and gels were silver stained [14].
PCR-SSCP analysis revealed these amplicons to be homozygous, and these were sequenced in both directions using the Sanger sequencing approach at Sangon Biotech Company Limited, Shanghai, China. For heterozygous amplicons, we used an alternative method for sequencing [15]. Sequence alignments, translations, and comparisons were performed using DNAMAN (version 8.0.8, Lynnon BioSoft, Vaudreuil, QC, Canada).

2.6. Real-Time Quantitative PCR (RT-qPCR) Analysis

The total RNA was isolated from the six tissues of Hu sheep and Tibetan sheep using the Trizol reagent (Shanghai Yuanye Biotechnology Co., Ltd., Shanghai, China) according to the manufacturer’s instructions. The purity and concentration of total RNA were monitored using an ultraviolet spectrophotometer. RNA reverse transcription was performed using the instructions provided in the kit (Nanjing Novizan Biotechnology Co., Ltd., Nanjing, China).
RT-qPCR was performed using the SYBR Green Pro Taq HS qPCR Kit (Accurate Biology, Human, China) with cDNA as the template. RT-qPCR amplification was performed in a reaction mixture of 20 μL, containing 7.2 μL RNase-free water, 10 μL 2× Premix (AG, Changsha, China), 0.4 μL each for the forward and reverse primers (10 ng/μL), and 2 μL of cDNA (100 ng/μL). The thermal cycle parameters are as follows: initial denaturation at 95 °C for 30 s, followed by 40 cycles of 95 °C for 5 s and 60 °C for 30 s. The melting temperature (Tm) peak at 85 °C ± 0.8 on the dissociation curve was used to determine the specificity of PCR amplification. The 2−ΔΔCT method [16] was used for analyzing the relative expression of EPAS1. Calculation method: first, for all test samples and calibration samples, the CT values of reference genes were normalized to the CT values of target genes: ΔCT (test) = CT (target, test) − CT (ref, test); ΔCT (calibrator) = CT (target, calibrator) − CT (ref, calibrator). Second, the ΔCT value of the calibration sample was normalized to the ΔCT value of the test sample: ΔΔCT = ΔCT (test) − ΔCT (calibrator). Finally, the expression ratio was calculated as follows: 2−ΔΔCT = ratio of expression quantity. After the qPCR reaction, the standard curve was built by taking the log value of dilution multiple of template series as the X-axis and the corresponding CT value as the Y-axis (or vice versa). We used three biological replicates and three technical replicates to ensure that the findings were genuine and trustworthy, and all the STD of Ct between technical replicates were less than 0.2.

2.7. Statistical Analyses

Sheep with incomplete data were removed from certain analyses so that the sample size varied in these analyses. Statistical analyses were performed using Minitab version 17 (Minitab, Inc., State College, PA, USA). General linear mixed-effects models (GLMMs) were used to evaluate the effect of the absence or presence (coded as 0 or 1, respectively) of EPAS1 variants on the blood gas levels. Breed and gender were used as fixed factors in the model to evaluate the effect of gene variation on pCO2, and the breed was used as the fixed factor in the model for other association analyses. Only primary effects were tested in this experiment, and the correlation was considered significant at the 5% level. The single factor analysis of variance (ANOVA) in SPSS 22.0 statistical software was used to analyze the RT-qPCR results. The data are expressed as mean ± standard errors of the mean, and p < 0.05 indicated significant differences.

3. Results

3.1. Variation in Ovine EPAS1

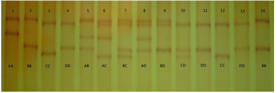
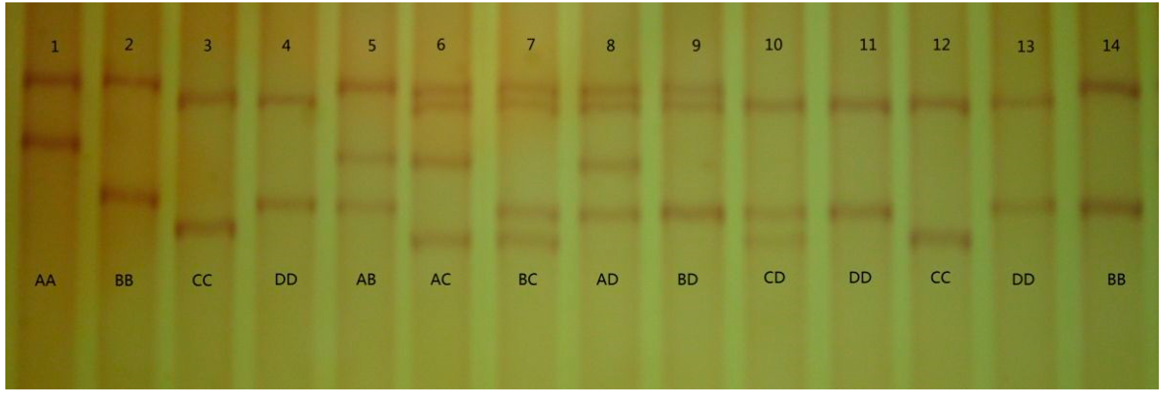
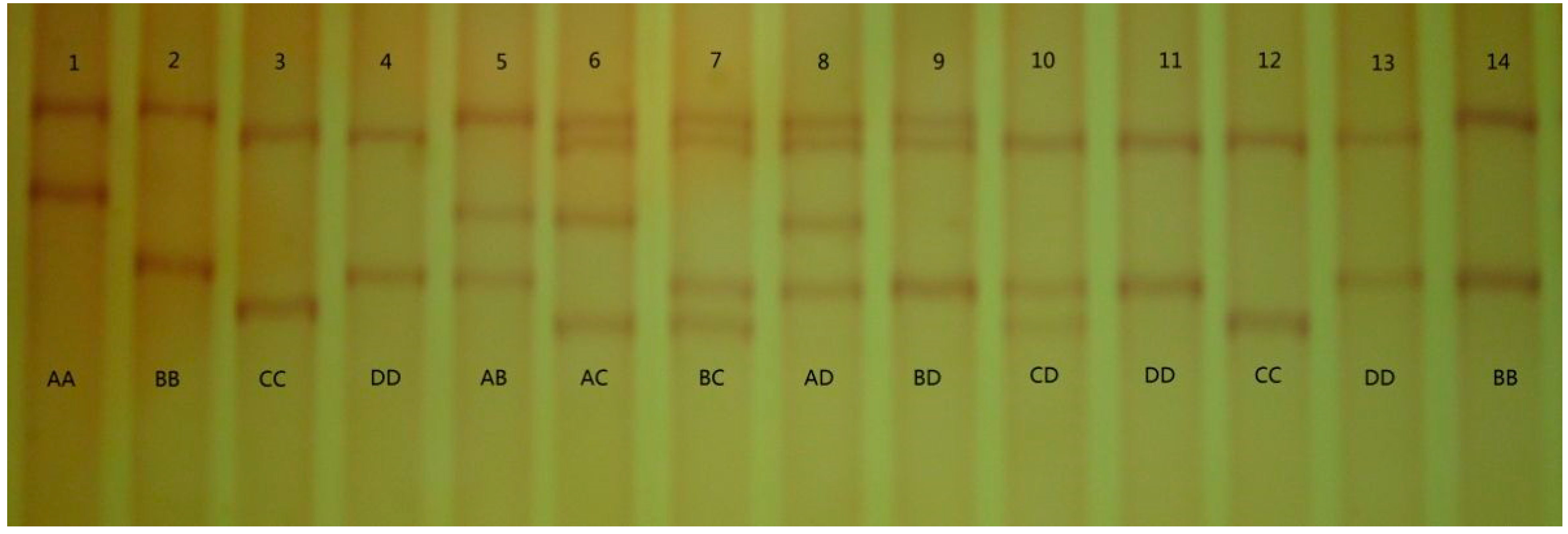
We detected four unique PCR-SSCP banding patterns in ovine EPAS1 exon 15, with either one or a combination of two banding patterns observed in each sheep (Figure 1). DNA sequencing results showed that these PCR-SSCP patterns represented four variant sequences of EPAS1 (A, B, C, and D). Six single-nucleotide polymorphisms (SNPs) were identified, five of which (c.1641G > A, c.1674G > C, c.1816T > C, c.1824C > T, and c.2028G > A) were present in the exon region, whereas only one of them (c.1816T > C) was a non-synonymous mutation, resulting in an amino acid change (p.F606L) (Table 2).

3.2. Comparison of Allele and Genotype Frequencies between Tibetan Sheep and Hu Sheep

The following 10 genotypes were detected in Hu sheep: AA, AB, AC, AD, BB, BC, BD, CC, CD, and DD, whereas only 8 of them were found in Tibetan sheep: AA (0.30%), AB (7.23%), AC (0.90%), AD (0.30%), BB (83.13%), BC (3.31%), BD (4.22%), and CD (0.60%). In Tibetan sheep, BB was the dominant genotype, B was the dominant allele, C and D were rare, whereas the four alleles were common in Hu sheep (Table 3).

3.3. Effect of Breed and Gender on Blood Gas in Sheep

The breed exerted a significant effect on three blood gas (pCO2, pO2, and sO2) (p < 0.01). In addition, gender exerted a significant effect on pCO2 (p < 0.01, Table 4). Afterward, we evaluated the effect of the genetic variation on pCO2, the breed and gender were used as fixed factors in the model, and the other association analysis breed was fitted as the fixed factor in the model.

3.4. Effect of Variation in EPAS1 on Blood Gas

The presence of variant A was found to be associated with increased values of pO2 and sO2. No association was found between B, C, and D variants and four blood gas (pCO2, pO2, sO2, and p50) in sheep (Table 5).

3.5. Expression of EPAS1 in Hu Sheep and Tibetan Sheep from Different Altitudes

The RT-qPCR results revealed that EPAS1 was expressed in six tissues of Hu sheep and Tibetan sheep from different altitudes. The expression in the heart, liver, spleen, and longissimus dorsi muscle increased with increasing altitude, and the expression in these four tissues of all Tibetan sheep was significantly higher than that of Hu sheep. No significant difference was observed in the expression in the lung and kidney tissues between 2500 m Tibetan sheep and Hu sheep; however, a significantly increased was observed in the expression of six tissues in 4500 m Tibetan sheep. Among the six tissues of Tibetan sheep at three different altitude gradients, the expression of EPAS1 was the highest in the heart (Figure 2). These results indicated that the expression of EPAS1 was related to the oxygen concentration; a lower oxygen concentration resulted in its higher levels.

4. Discussion

Oxygen is an essential substrate for life activities, but its concentration gradually decreased with the altitude increase. To cope with the low oxygen concentration at high altitude, phenotypic and genetic alterations have occurred in Tibetan sheep. One of their hypoxia response strategies is to change the hematocrit and hemoglobin concentration in the blood [17], which will induce a change of blood gas that is mainly determined by the adapted number of red cells. And its inheritance is worth further exploration.
In this study, the relationship between expression and variation of EPAS1 and blood gas in sheep was studied. HIFs are activated and function as transcriptional regulators of genes involved in the hypoxic response [3,18]. Variations in EPAS1 may affect the gene expression and relate to functional changes, which have been observed in the adaptation of humans and animals to high altitudes [18,19,20], certain human disorders [21,22], and embryonic development. To our knowledge, this is the first study on the relationship between EPAS1 variants and blood gas in sheep.
Five SNPs were detected in exon 15 of ovine EPAS1, compared to a previous study that detected four SNPs in exon 15 of Tibetan sheep (n = 30) and Mongolian sheep (n = 31) using Sanger sequencing [7]. Among these, three (c.1641G > A, c.1816T > C, c.1824C > T) were the same as that observed in the current study. We speculate that more variations will be found if more sheep of more breeds are investigated. Tibetan sheep are a typical indigenous animal in the Qinghai-Tibet plateau with extreme living conditions (high altitude, low temperatures, and low oxygen). The oxygen concentration gradually decreases with increasing altitude, with oxygen levels at 4000 m above sea level being only 60% of that at sea level [23]. Lower oxygen partial pressure can lead to insufficient oxygen supply to body tissues, thereby affecting the normal physiological functions of animals [24]. Studies have demonstrated that extreme living conditions (hypoxic stress at high altitudes) can alter the diversity of functional genes relative to fitness traits through natural selection, resulting in an increased frequency of favorable mutations. The frequency of these mutations increases in subsequent generations [25,26]. In this study, the distribution of four alleles highly varied between Tibetan sheep and Hu sheep, and similar results were obtained in a study on the distribution of EPAS1 intermediate genes in Tibetan and Han populations [13,27], explaining the large difference in allele distribution between the two sheep breeds.
Over 97% of Tibetan sheep were B carriers, suggesting that variant B may have a good response to bad conditions on the plateau. Although variant B did not affect blood gas investigated in this study, it may affect oxygen utilization in another way. Functional assays showed that certain variants led to higher stability and heterodimerization activity of the EPAS1, as well as low volume of red blood cells, high hemoglobin levels, and increased anaerobic metabolism capacities [20]. Thus, the effect of variant B on the above indicators needs to be further studied.
Zhao et al. reported significant differences in blood gas indices between low-altitude breeds (Hu sheep) and high-altitude breeds (Tibetan sheep and Gansu Alpine Merino sheep) and concluded that the differences in blood gas indices were primarily caused by altitude differences [17]. In this study, variant A was associated with pO2 and sO2. Moreover, pO2 was proportional to dissolved oxygen concentration and directly measures the oxygen available to cells. The sO2 quantifies the amount of oxygen carried by blood hemoglobin. Both pO2 and sO2 are important hemodynamic parameters of oxygen metabolism [28], suggesting that the mutation in EPAS1 affected oxygen metabolism in sheep.
The effect of variant A could be associated with the SNP (c.1824), which was located near the topologically associating domains (TAD) of HIF-2α; TAD plays a leading role in the specific regulation of different target genes [29]. Although the SNP (c.1824) was synonymous and would not lead to amino acid substitutions, it may affect the expression or structure of the protein. Similarly, silencing mutations could affect the rate of mRNA translation, thereby altering the folding of proteins [30]. We believe the effects observed in the study could also be attributed to the SNP linked to sequence variations in other regions of the gene that regulates gene expression or function.
EPAS1 plays an important role in the adaptation of animals to hypoxia [31]. VHL (a combination of CNS hemangioblastoma and renal or pancreatic cysts, pheochromocytoma, renal cancer, and ectodermal cystadenoma and other diseases) inactivation in the zebrafish stabilizes HIF-1α and EPAS1 with consequent upregulation of specific target genes involved in cell proliferation, angiogenesis, and erythropoiesis, increasing the ability of the blood to transport oxygen [32]. At present, the research on the expression of EPAS1 is primarily concentrated in the medical field, especially in tumors, whereas the research on Tibetan sheep adaptation to the plateau environment is sparse [33]. In this study, the expression of EPAS1 was detected for the first time in six tissues of Tibetan sheep at three elevation gradients (2500 m, 3500 m, and 4500 m), and was compared with the expression of related tissues of Hu sheep. The results showed that EPAS1 was expressed in all six tissues, indicating its wide expression in the tissue. In addition, the expression of EPAS1 in four tissues (heart, liver, spleen, and longissimus dorsi muscle) of Hu sheep was lower than that in Tibetan sheep from three different altitudes, and the expression of EPAS1 was positively correlated with the altitude. Our previous study showed that the pO2, pCO2, and sO2 in blood of Tibetan sheep from three altitudes (2500 m, 3500 m, and 4500 m) would be significantly reduced with the altitude increase [24]. This suggests that Tibetan sheep would increase the expression of EPAS1 under hypoxia condition. This expression pattern of the EPAS1 gene in Tibetan sheep is similar to that in humans; for example, under plateau hypoxic conditions, the plain population can adapt to hypoxia rapidly by increasing the expression of EPAS1 and altering the conformation of hemoglobin [34].
This study found that among the six tissues of Tibetan sheep at three different altitude gradients, the expression of EPAS1 was the highest in the heart. The heart is an aerobic organ that relies on a continuous supply of oxygen to produce high-energy phosphate ATP for mechanical functions, the high expression of EPAS1 in this organ confirm that this gene related with oxygen metabolism. The increased expression of EPAS1 in individual tissues of plateau animals suggested that it forms the molecular basis for maintaining the normal functioning of biological activities in a low-oxygen environment. These results suggest that EPAS1 can enhance the adaptability of Tibetan sheep to a low-oxygen environment by increasing its expression. In addition, the experimental results provide a theoretical basis for further elucidating the mechanism of hypoxia adaptation in mammals.

5. Conclusions

Six SNPs were detected in four EPAS1 alleles, one of which was non-identical polymorphism (P.f606L); the distribution of these four alleles was significantly different between Tibetan sheep and Hu sheep. One region of variation was associated with increased pO2 and sO2, suggesting that the variation in the EPAS1 gene is related to oxygen metabolism in sheep. The expression of the EPAS1 gene was positively correlated with the altitude in six tissues; the expression of EPAS1 was the highest in the heart and the lowest in the spleen. In summary, these results suggested that the expression and mutation in the EPAS1 gene are associated with oxygen metabolism in sheep.

Author Contributions

Data curation, F.Z. and P.D.; funding acquisition, S.L.; investigation, J.W. and X.L.; methodology, Y.L.; resources, S.L.; software, J.H.; writing—original draft, Q.X.; writing—review and editing, S.L. All authors have read and agreed to the published version of the manuscript.

Funding

This work was financially supported by the funding of the Distinguished Young Scholars Fund of Gansu Province (21JR7RA857), the Fuxi Young Talents Fund of Gansu Agricultural University (Gaufx-03Y04), and the Projects of Gansu Agricultural University (GSAU-ZL-2015-033).

Institutional Review Board Statement

All experiments involving animals were reviewed and approved by the Animal Committee of Gansu Agricultural University (No. GAU-LC-2020-056). All experiments involved in these sheep were conducted in accordance with the Guidelines for the Care and Use of Laboratory Animals developed by the Ministry of Science and Technology of the People’s Republic of China (approval number 2006-398).

Informed Consent Statement

Not applicable.

Data Availability Statement

The authors affirm that all data necessary for confirming the conclusions of the article are present within the article, figures, and tables.

Acknowledgments

The authors thank Gaoliang Bao for critically reading the manuscript. The authors would like to thank all the reviewers who participated in the review.

Conflicts of Interest

All authors declare no conflict of interest.

References

  1. Choudhry, H.; Harris, A.L. Advances in hypoxia-inducible factor biology. Cell Metab. 2018, 27, 281–298. [Google Scholar] [CrossRef] [PubMed]
  2. Schödel, J.; Grampp, S.; Maher, E.R.; Moch, H.; Ratcliffe, P.J.; Russo, P.; Mole, D.R. Hypoxia, hypoxia-inducible transcription factors, and renal cancer. Eur. Urol. 2016, 69, 646–657. [Google Scholar] [CrossRef] [PubMed]
  3. Schofield, C.J.; Ratcliffe, P.J. Oxygen sensing by HIF hydroxylases. Nat. Rev. Mol. Cell Biol. 2004, 5, 343–354. [Google Scholar] [CrossRef] [PubMed]
  4. Erbel, P.J.; Card, P.B.; Karakuzu, O.; Bruick, R.K.; Gardner, K.H. Structural basis for PAS domain heterodimerization in the basic helix--loop--helix-PAS transcription factor hypoxia-inducible factor. Proc. Natl. Acad. Sci. USA 2003, 100, 15504–15509. [Google Scholar] [CrossRef]
  5. Tian, H.; Hammer, R.E.; Matsumoto, A.M.; Russell, D.W.; McKnight, S.L. The hypoxia-responsive transcription factor EPAS1 is essential for catecholamine homeostasis and protection against heart failure during embryonic development. Genes Dev. 1998, 12, 3320–3324. [Google Scholar] [CrossRef]
  6. Wu, D.-D.; Yang, C.-P.; Wang, M.-S.; Dong, K.-Z.; Yan, D.-W.; Hao, Z.-Q.; Fan, S.-Q.; Chu, S.-Z.; Shen, Q.-S.; Jiang, L.-P.; et al. Convergent genomic signatures of high-altitude adaptation among domestic mammals. Natl. Sci. Rev. 2020, 7, 952–963. [Google Scholar] [CrossRef]
  7. Wei, C.; Wang, H.; Liu, G.; Zhao, F.; Kijas, J.W.; Ma, Y.; Lu, J.; Zhang, L.; Cao, J.; Wu, M.; et al. Genome-wide analysis reveals adaptation to high altitudes in Tibetan sheep. Sci. Rep. 2016, 6, 26770. [Google Scholar] [CrossRef]
  8. Yi, X.; Liang, Y.; Huerta-Sanchez, E.; Jin, X.; Cuo, Z.X.; Pool, J.E.; Xu, X.; Jiang, H.; Vinckenbosch, N.; Korneliussen, T.S.; et al. Sequencing of 50 human exomes reveals adaptation to high altitude. Science 2010, 329, 75–78. [Google Scholar] [CrossRef]
  9. Hanaoka, M.; Droma, Y.; Basnyat, B.; Ito, M.; Kobayashi, N.; Katsuyama, Y.; Kubo, K.; Ota, M. Genetic variants in EPAS1 contribute to adaptation to high-altitude hypoxia in Sherpas. PLoS ONE 2012, 7, e50566. [Google Scholar] [CrossRef]
  10. Peng, Y.; Cui, C.; He, Y.; Ouzhuluobu Zhang, H.; Yang, D.; Zhang, Q.; Bianbazhuoma Yang, L.; He, Y.; Xiang , K.; Zhang , X.; et al. Down-regulation of EPAS1 transcription and genetic adaptation of Tibetans to high-altitude hypoxia. Mol. Biol. Evol. 2017, 34, 818–830. [Google Scholar] [CrossRef]
  11. Zhou, H.; Hickford, J.G.; Fang, Q. A two-step procedure for extracting genomic DNA from dried blood spots on filter paper for polymerase chain reaction amplification. Anal. Biochem. 2006, 354, 159–161. [Google Scholar] [CrossRef] [PubMed]
  12. Lichtman, M.A.; Murphy, M.S.; Adamson, J.W. Detection of mutant hemoglobins with altered affinity for oxygen. A simplified technique. Ann. Intern. Med. 1976, 84, 517–520. [Google Scholar] [CrossRef] [PubMed]
  13. Tashi, T.; Feng, T.; Koul, P.; Amaru, R.; Hussey, D.; Lorenzo, F.R.; RiLi, G.; Prchal, J.T. High altitude genetic adaptation in Tibetans: No role of increased hemoglobin-oxygen affinity. Blood Cells Mol. Dis. 2014, 53, 27–29. [Google Scholar] [CrossRef] [PubMed][Green Version]
  14. Byun, S.O.; Fang, Q.; Zhou, H.; Hickford, J.G. An effective method for silver-staining DNA in large numbers of polyacrylamide gels. Anal. Biochem. 2009, 385, 174–175. [Google Scholar] [CrossRef] [PubMed]
  15. Gong, H.; Zhou, H.; Dyer, J.M.; Hickford, J.G. Identification of the ovine KAP11-1 gene (KRTAP11-1) and genetic variation in its coding sequence. Mol. Biol. Rep. 2011, 38, 5429–5433. [Google Scholar] [CrossRef]
  16. Livak, K.J.; Schmittgen, T.D. Analysis of relative gene expression data using real-time quantitative PCR and the 2(-Delta C(T)) Method. Methods 2001, 25, 402–408. [Google Scholar] [CrossRef]
  17. Zhao, P.; He, Z.; Xi, Q.; Sun, H.; Luo, Y.; Wang, J.; Liu, X.; Zhao, Z.; Li, S. Variations in HIF-1α contributed to high altitude hypoxia adaptation via affected oxygen metabolism in Tibetan sheep. Animals 2021, 12, 58. [Google Scholar] [CrossRef]
  18. Xu, X.H.; Huang, X.W.; Qun, L.; Li, Y.N.; Wang, Y.; Liu, C.; Ma, Y.; Liu, Q.M.; Sun, K.; Qian, F.; et al. Two functional loci in the promoter of EPAS1 gene involved in high-altitude adaptation of Tibetans. Sci. Rep. 2014, 4, 7465. [Google Scholar] [CrossRef]
  19. Zhang, J.H.; Shen, Y.; Liu, C.; Yang, J.; Yang, Y.Q.; Zhang, C.; Bian, S.Z.; Yu, J.; Gao, X.B.; Zhang, L.P.; et al. EPAS1 and VEGFA gene variants are related to the symptoms of acute mountain sickness in Chinese Han population: A cross-sectional study. Mil. Med. Res. 2020, 7, 35. [Google Scholar] [CrossRef]
  20. Liu, X.; Zhang, Y.; Li, Y.; Pan, J.; Wang, D.; Chen, W.; Zheng, Z.; He, X.; Zhao, Q.; Pu, Y.; et al. EPAS1 gain-of-function mutation contributes to high-altitude adaptation in Tibetan horses. Mol. Biol. Evol. 2019, 36, 2591–2603. [Google Scholar] [CrossRef]
  21. Zhuang, Z.; Yang, C.; Lorenzo, F.; Merino, M.; Fojo, T.; Kebebew, E.; Popovic, V.; Stratakis, C.A.; Prchal, J.T.; Pacak, K. Somatic HIF2A gain-of-function mutations in paraganglioma with polycythemia. N. Engl. J. Med. 2012, 367, 922–930. [Google Scholar] [CrossRef] [PubMed]
  22. Yang, C.; Sun, M.G.; Matro, J.; Huynh, T.T.; Rahimpour, S.; Prchal, J.T.; Lechan, R.; Lonser, R.; Pacak, K.; Zhuang, Z. Novel HIF2A mutations disrupt oxygen sensing, leading to polycythemia, paragangliomas, and somatostatinomas. Blood 2013, 121, 2563–2566. [Google Scholar] [CrossRef] [PubMed]
  23. Beall, C.M. Two routes to functional adaptation: Tibetan and Andean high-altitude natives. Proc. Natl. Acad. Sci. USA 2007, 104, 8655–8660. [Google Scholar] [CrossRef] [PubMed]
  24. Wen, Y.; Li, S.; Zhao, F.; Wang, J.; Liu, X.; Hu, J.; Bao, G.; Luo, Y. Changes in the mitochondrial dynamics and functions together with the mRNA/miRNA network in the heart tissue contribute to hypoxia adaptation in Tibetan sheep. Animals 2022, 12, 583. [Google Scholar] [CrossRef]
  25. Girard, P.; Angers, B. The functional gene diversity in natural populations over postglacial areas: The shaping mechanisms behind genetic composition of longnose dace (Rhinichthys cataractae) in northeastern North America. J. Mol. Evol. 2011, 73, 45–57. [Google Scholar] [CrossRef] [PubMed]
  26. Dong, K.; Kang, Y.; Yao, N.; Shu, G.; Zuo, Q.; Zhao, Q.; Ma, Y. Genetic variation of EPAS1 gene in Tibetan pigs and three low-altitude pig breeds in China. JIA 2014, 13, 1990–1998. [Google Scholar] [CrossRef]
  27. Chen, Y.; Jiang, C.; Luo, Y.; Liu, F.; Gao, Y. An EPAS1 haplotype is associated with high altitude polycythemia in male Han Chinese at the Qinghai-Tibetan plateau. Wilderness Environ. Med. 2014, 25, 392–400. [Google Scholar] [CrossRef]
  28. Wang, Y.; Hu, S.; Maslov, K.; Zhang, Y.; Xia, Y.; Wang, L.V. In vivo integrated photoacoustic and confocal microscopy of hemoglobin oxygen saturation and oxygen partial pressure. Opt. Lett. 2011, 36, 1029–1031. [Google Scholar] [CrossRef]
  29. Hu, C.J.; Sataur, A.; Wang, L.; Chen, H.; Simon, M.C. The N-terminal transactivation domain confers target gene specificity of hypoxia-inducible factors HIF-1alpha and HIF-2alpha. Mol. Biol. Cell 2007, 18, 4528–4542. [Google Scholar] [CrossRef]
  30. Hurst, L. The sound of silence. Nature 2011, 471, 582–583. [Google Scholar] [CrossRef]
  31. Wu, X.; Ding, X.; Chu, M.; Guo, X.; Bao, P.; Liang, C.; Yan, P. Novel SNP of EPAS1 gene associated with higher hemoglobin concentration revealed the hypoxia adaptation of yak (Bos grunniens). JIA 2015, 14, 741–748. [Google Scholar] [CrossRef]
  32. Noonan, H.R.; Metelo, A.M.; Kamei, C.N.; Peterson, R.T.; Drummond, I.A.; Iliopoulos, O. Loss of vhl in the zebrafish pronephros recapitulates early stages of human clear cell renal cell carcinoma. Dis. Model. Mech. 2016, 9, 873–884. [Google Scholar] [CrossRef]
  33. Han, S.S.; Yeager, M.; Moore, L.E.; Wei, M.H.; Pfeiffer, R.; Toure, O.; Purdue, M.P.; Johansson, M.; Scelo, G.; Chung, C.C.; et al. The chromosome 2p21 region harbors a complex genetic architecture for association with risk for renal cell carcinoma. Hum. Mol. Genet. 2012, 21, 1190–1200. [Google Scholar] [CrossRef] [PubMed]
  34. Li, C.; Li, X.; Xiao, J.; Liu, J.; Fan, X.; Fan, F.; Lei, H. Genetic changes in the EPAS1 gene between Tibetan and Han ethnic groups and adaptation to the plateau hypoxic environment. PeerJ 2019, 7, e7943. [Google Scholar] [CrossRef] [PubMed]
Figure 1. PCR-SSCP analysis of sheep EPAS1. Different banding patterns came about from paring of four unique variant sequences (A to D) in either homozygous or heterozygous forms.
Figure 1. PCR-SSCP analysis of sheep EPAS1. Different banding patterns came about from paring of four unique variant sequences (A to D) in either homozygous or heterozygous forms.
Genes 13 01871 g001
Figure 2. Relative expression levels of EPAS1 mRNA in different tissues of Hu sheep and Tibetan sheep from different altitudes. Heart (1), liver (2), spleen (3), lung (4), kidney (5), and longissimus dorsi muscle (6) tissue were analyzed for mRNA expression. The bars represent the mean ± SE from three independent biological replicates, each performed with three technical replicates. The different letters indicate significant differences (p < 0.05); the same letter indicates no significant differences (p > 0.05).
Figure 2. Relative expression levels of EPAS1 mRNA in different tissues of Hu sheep and Tibetan sheep from different altitudes. Heart (1), liver (2), spleen (3), lung (4), kidney (5), and longissimus dorsi muscle (6) tissue were analyzed for mRNA expression. The bars represent the mean ± SE from three independent biological replicates, each performed with three technical replicates. The different letters indicate significant differences (p < 0.05); the same letter indicates no significant differences (p > 0.05).
Genes 13 01871 g002
Table 1. Primers for PCR and RT-qPCR.
Table 1. Primers for PCR and RT-qPCR.
GenePrimer Sequence (5′ → 3′)Product Size (bp)Annealing Temperature/°CPurpose
EPAS1F: GAGAGGACTTCCAGCTTAGC
R: TCCCCTATGCAGCCCAGC
47061PCR
EPAS1F: CCTCTCACAGCACCTTCCTC
R: GCCACTGTGTGCTGGATATG
12260RT-qPCR
β-actinF: AGCCTTCCTTCCTGGGCATGGA
R: GGACAGCACCGTGTTGGCGTAGA
11360RT-qPCR
Table 2. Sequence variation identified in ovine EPAS1.
Table 2. Sequence variation identified in ovine EPAS1.
LocationABCDAmmo Acid Change
c.1641GGAAno change
c.1674GGCGno change
c.1816TTCTp.F606L
c.1824TCCCno change
c.2028GGAGno change
c.2039+14GGAGno change
Table 3. Genotype frequencies of EPAS1 exon15 in sheep.
Table 3. Genotype frequencies of EPAS1 exon15 in sheep.
BreedsnGenotype Frequency (%)
AABBCCDDABACADBCBDCD
Tibetan sheep3320.3083.13007.230.90.33.314.220.60
Hu sheep3398.859.731.775.0116.227.9613.5712.9815.937.96
Table 4. The effect of breed and gender on blood gas.
Table 4. The effect of breed and gender on blood gas.
pCO2pO2sO2p50
breedsTibetan sheep (n = 176)39.819 ± 0.926 B34.820 ± 1.050 B64.710 ± 1.430 B26.435 ± 0.129
Hu sheep (n = 231)42.235 ± 0.592 A42.212 ± 0.669 A76.553 ± 0.916 A26.615 ± 0.082
1 GenderMale (n = 134)39.996 ± 0.880 B37.804 ± 0.99470.400 ± 1.36026.532 ± 0.122
Female (n = 42)42.058 ± 0.589 A39.227 ± 0.66770.862 ± 0.91326.519 ± 0.081
1 Gender refers to Tibetan ewes and Tibetan rams. Breed and gender were used as fixed factors in the model to evaluate the effect of gene variation on pCO2, and the breed was used as the fixed factor in the model for other association analyses. Not sharing an uppercase superscript (A or B) indicates significant differences (p < 0.01).
Table 5. Association of EPAS1 variants with blood gas (mean ± SE) 1 in sheep.
Table 5. Association of EPAS1 variants with blood gas (mean ± SE) 1 in sheep.
Blood GasVariantAbsentPresentp1
Mean ± SEnMean ± SEn
pCO2A40.416 ± 0.45427140.830 ± 0.6451360.568
B41.530 ± 0.73010740.253 ± 0.4353000.107
C40.497 ± 0.41732840.783 ± 0.798790.726
D40.528 ± 0.43630640.583 ± 0.7081010.943
pO2A37.517 ± 0.50927139.514 ± 0.7251350.015
B38.050 ± 0.83310638.133 ± 0.4933000.927
C38.250 ± 0.47132737.364 ± 0.900790.337
D38.417 ± 0.49130537.114 ± 0.7991010.132
sO2A64.639 ± 0.90727171.798 ± 0.9911350.039
B70.160 ± 1.14010670.187 ± 0.6723000.983
C70.251 ± 0.64332769.800 ± 1.230790.717
D70.449 ± 0.67130569.300 ± 1.0901010.329
p50A26.695 ± 0.06327126.537 ± 0.0891350.133
B26.564 ± 0.10210626.671 ± 0.0603000.329
C26.640 ± 0.05832726.689 ± 0.110790.666
D26.662 ± 0.06030526.601 ± 0.0981010.567
1 Estimated marginal means and standard errors (SE) of those means derived from general linear mixed-effects models that included “breeds” and “gender” as fixed factors. p < 0.05 are in bold.
Publisher’s Note: MDPI stays neutral with regard to jurisdictional claims in published maps and institutional affiliations.

Share and Cite

MDPI and ACS Style

Xi, Q.; Zhao, F.; Hu, J.; Wang, J.; Liu, X.; Dang, P.; Luo, Y.; Li, S. Expression and Variations in EPAS1 Associated with Oxygen Metabolism in Sheep. Genes 2022, 13, 1871. https://doi.org/10.3390/genes13101871

AMA Style

Xi Q, Zhao F, Hu J, Wang J, Liu X, Dang P, Luo Y, Li S. Expression and Variations in EPAS1 Associated with Oxygen Metabolism in Sheep. Genes. 2022; 13(10):1871. https://doi.org/10.3390/genes13101871

Chicago/Turabian Style

Xi, Qiming, Fangfang Zhao, Jiang Hu, Jiqing Wang, Xiu Liu, Pengju Dang, Yuzhu Luo, and Shaobin Li. 2022. "Expression and Variations in EPAS1 Associated with Oxygen Metabolism in Sheep" Genes 13, no. 10: 1871. https://doi.org/10.3390/genes13101871

APA Style

Xi, Q., Zhao, F., Hu, J., Wang, J., Liu, X., Dang, P., Luo, Y., & Li, S. (2022). Expression and Variations in EPAS1 Associated with Oxygen Metabolism in Sheep. Genes, 13(10), 1871. https://doi.org/10.3390/genes13101871

Note that from the first issue of 2016, this journal uses article numbers instead of page numbers. See further details here.

Article Metrics

Back to TopTop