Lithium Chloride and GSK3 Inhibition Reduce Aquaporin-2 Expression in Primary Cultured Inner Medullary Collecting Duct Cells Due to Independent Mechanisms
Abstract
1. Introduction
2. Materials and Methods
2.1. Cell Culture
2.2. Immunoblotting
2.3. Real-Time PCR
2.4. Immunofluorescence
2.5. Statistical Analysis
3. Results
3.1. Effect of LiCl and GSK3 Inhibition on Aqp2 Protein Expression in Primary Cultured IMCD Cells
3.2. LiCl and GSK3 Inhibition Have Different Effects on Aqp2 mRNA Expression
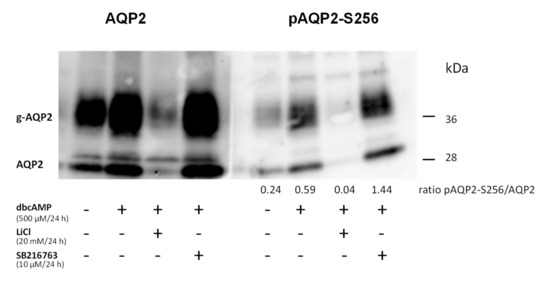
3.3. Downregulation of Aqp2 Is cAMP-Responsive Element-Binding Protein Independent
3.4. Effect on Aqp3 and Aqp4 Protein Expression
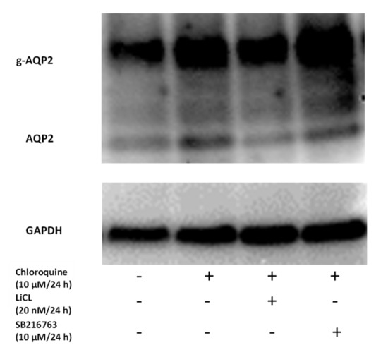
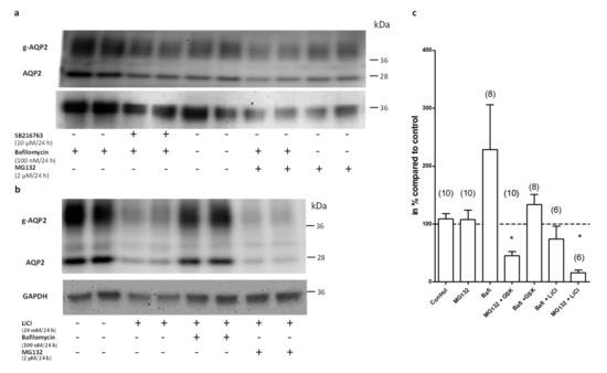
3.5. LiCl and GSK3 Inhibition Promotes Lysosomal Degradation of Aqp2
3.6. Bafilomycin Leads to an Accumulation of Aqp2 in Vesicular Structures
4. Discussion
5. Conclusions
Author Contributions
Funding
Acknowledgments
Conflicts of Interest
References
- Nielsen, S.; Chou, C.L.; Marples, D.; Christensen, E.I.; Kishore, B.K.; Knepper, M.A. Vasopressin increases water permeability of kidney collecting duct by inducing translocation of aquaporin-CD water channels to plasma membrane. Proc. Natl. Acad. Sci. USA 1995, 92, 1013–1017. [Google Scholar] [CrossRef] [PubMed]
- Nielsen, S.; Frokiar, J.; Marples, D.; Kwon, T.H.; Agre, P.; Knepper, M.A. Aquaporins in the Kidney: From Molecules to Medicine. Physiol. Rev. 2002, 82, 205–244. [Google Scholar] [CrossRef] [PubMed]
- Katsura, T.; Ausiello, D.A.; Brown, D. Direct demonstration of aquaporin-2 water channel recycling in stably transfected LLC-PK1 epithelial cells. Am. J. Physiol. 1996, 270, F548–F553. [Google Scholar] [CrossRef] [PubMed]
- Edemir, B.; Pavenstadt, H.; Schlatter, E.; Weide, T. Mechanisms of cell polarity and aquaporin sorting in the nephron. Pflug. Arch. 2011, 461, 607–621. [Google Scholar] [CrossRef] [PubMed]
- Fujiwara, T.M.; Bichet, D.G. Molecular biology of hereditary diabetes insipidus. J. Am. Soc. Nephrol. 2005, 16, 2836–2846. [Google Scholar] [CrossRef]
- Garofeanu, C.G.; Weir, M.; Rosas-Arellano, M.P.; Henson, G.; Garg, A.X.; Clark, W.F. Causes of reversible nephrogenic diabetes insipidus: A systematic review. Am. J. Kidney Dis. 2005, 45, 626–637. [Google Scholar] [CrossRef]
- Maghnie, M.; Cosi, G.; Genovese, E.; Manca-Bitti, M.L.; Cohen, A.; Zecca, S.; Tinelli, C.; Gallucci, M.; Bernasconi, S.; Boscherini, B.; et al. Central Diabetes Insipidus in Children and Young Adults. N. Engl. J. Med. 2000, 343, 998–1007. [Google Scholar] [CrossRef] [PubMed]
- Kishore, B.K.; Ecelbarger, C.M. Lithium: A versatile tool for understanding renal physiology. Am. J. Physiol. Ren. Physiol. 2013, 304, F1139–F1149. [Google Scholar] [CrossRef]
- Grunfeld, J.P.; Rossier, B.C. Lithium nephrotoxicity revisited. Nat. Rev. Nephrol. 2009, 5, 270–276. [Google Scholar] [CrossRef]
- Li, Y.; Shaw, S.; Kamsteeg, E.J.; Vandewalle, A.; Deen, P.M.T. Development of Lithium-Induced Nephrogenic Diabetes Insipidus Is Dissociated from Adenylyl Cyclase Activity. J. Am. Soc. Nephrol. 2006, 17, 1063–1072. [Google Scholar] [CrossRef]
- Marples, D.; Christensen, S.; Christensen, E.I.; Ottosen, P.D.; Nielsen, S. Lithium-induced downregulation of aquaporin-2 water channel expression in rat kidney medulla. J. Clin. Investig. 1995, 95, 1838–1845. [Google Scholar] [CrossRef] [PubMed]
- Gong, R.; Wang, P.; Dworkin, L. What we need to know about the effect of lithium on the kidney. Am. J. Physiol. Ren. Physiol. 2016, 311, F1168–F1171. [Google Scholar] [CrossRef] [PubMed]
- Kerkela, R.; Kockeritz, L.; Macaulay, K.; Zhou, J.; Doble, B.W.; Beahm, C.; Greytak, S.; Woulfe, K.; Trivedi, C.M.; Woodgett, J.R.; et al. Deletion of GSK-3beta in mice leads to hypertrophic cardiomyopathy secondary to cardiomyoblast hyperproliferation. J. Clin. Investig. 2008, 118, 3609–3618. [Google Scholar] [CrossRef] [PubMed]
- Rao, R.; Patel, S.; Hao, C.; Woodgett, J.; Harris, R. GSK3{beta} Mediates Renal Response to Vasopressin by Modulating Adenylate Cyclase Activity. J. Am. Soc. Nephrol. 2010, 21, 428–437. [Google Scholar] [CrossRef] [PubMed]
- Ding, S.; Wu, T.Y.H.; Brinker, A.; Peters, E.C.; Hur, W.; Gray, N.S.; Schultz, P.G. Synthetic small molecules that control stem cell fate. Proc. Natl. Acad. Sci. USA 2003, 100, 7632. [Google Scholar] [CrossRef]
- Schulze Blasum, B.; Schroter, R.; Neugebauer, U.; Hofschroer, V.; Pavenstadt, H.; Ciarimboli, G.; Schlatter, E.; Edemir, B. The kidney-specific expression of genes can be modulated by the extracellular osmolality. FASEB J. 2016, 30, 3588–3597. [Google Scholar] [CrossRef]
- Coghlan, M.P.; Culbert, A.A.; Cross, D.A.; Corcoran, S.L.; Yates, J.W.; Pearce, N.J.; Rausch, O.L.; Murphy, G.J.; Carter, P.S.; Roxbee Cox, L.; et al. Selective small molecule inhibitors of glycogen synthase kinase-3 modulate glycogen metabolism and gene transcription. Chem. Biol. 2000, 7, 793–803. [Google Scholar] [CrossRef]
- Al-Fifi, Z.I.; Marshall, S.L.; Hyde, D.; Anstee, J.H.; Bowler, K. Characterization of ATPases of apical membrane fractions from Locusta migratoria Malpighian tubules. Insect Biochem. Mol. Biol. 1998, 28, 201–211. [Google Scholar] [CrossRef]
- Savarino, A.; Boelaert, J.R.; Cassone, A.; Majori, G.; Cauda, R. Effects of chloroquine on viral infections: An old drug against today’s diseases? Lancet Infect Dis. 2003, 3, 722–727. [Google Scholar] [CrossRef]
- Fiedler, M.A.; Wernke-Dollries, K.; Stark, J.M. Inhibition of TNF-alpha-induced NF-kappaB activation and IL-8 release in A549 cells with the proteasome inhibitor MG-132. Am. J. Respir. Cell Mol. Biol. 1998, 19, 259–268. [Google Scholar] [CrossRef]
- Storm, R.; Klussmann, E.; Geelhaar, A.; Rosenthal, W.; Maric, K. Osmolality and solute composition are strong regulators of AQP2 expression in renal principal cells. Am. J. Physiol. Ren. Physiol. 2003, 284, F189–F198. [Google Scholar] [CrossRef] [PubMed]
- Livak, K.J.; Schmittgen, T.D. Analysis of relative gene expression data using real-time quantitative PCR and the 2(-Delta Delta C(T)) Method. Methods 2001, 25, 402–408. [Google Scholar] [CrossRef] [PubMed]
- Cross, D.A.E.; Culbert, A.A.; Chalmers, K.A.; Facci, L.; Skaper, S.D.; Reith, A.D. Selective small-molecule inhibitors of glycogen synthase kinase-3 activity protect primary neurones from death. J. Neurochem. 2001, 77, 94–102. [Google Scholar] [CrossRef] [PubMed]
- Matsumura, Y.; Uchida, S.; Rai, T.; Sasaki, S.; Marumo, F. Transcriptional regulation of aquaporin-2 water channel gene by cAMP. J. Am. Soc. Nephrol. 1997, 8, 861–867. [Google Scholar] [PubMed]
- Burg, M.B.; Ferraris, J.D.; Dmitrieva, N.I. Cellular response to hyperosmotic stresses. Physiol. Rev. 2007, 87, 1441–1474. [Google Scholar] [CrossRef]
- Gustafson, C.E.; Katsura, T.; McKee, M.; Bouley, R.; Casanova, J.E.; Brown, D. Recycling of AQP2 occurs through a temperature- and bafilomycin-sensitive trans-Golgi-associated compartment. Am. J. Physiol. Ren. Physiol. 2000, 278, F317–F326. [Google Scholar] [CrossRef]
- Nedvetsky, P.I.; Tabor, V.; Tamma, G.; Beulshausen, S.; Skroblin, P.; Kirschner, A.; Mutig, K.; Boltzen, M.; Petrucci, O.; Vossenkämper, A.; et al. Reciprocal Regulation of Aquaporin-2 Abundance and Degradation by Protein Kinase A and p38-MAP Kinase. J. Am. Soc. Nephrol. 2010, 21, 1645–1656. [Google Scholar] [CrossRef]
- Hoffert, J.D.; Pisitkun, T.; Wang, G.; Shen, R.F.; Knepper, M.A. Quantitative phosphoproteomics of vasopressin-sensitive renal cells: Regulation of aquaporin-2 phosphorylation at two sites. Proc. Natl. Acad. Sci. USA 2006, 103, 7159–7164. [Google Scholar] [CrossRef]
- Mitchell, P.B.; Hadzi-Pavlovic, D. Lithium treatment for bipolar disorder. Bull. World Health Organ. 2000, 78, 515–517. [Google Scholar]
- Yasui, M.; Zelenin, S.M.; Celsi, G.; Aperia, A. Adenylate cyclase-coupled vasopressin receptor activates AQP2 promoter via a dual effect on CRE and AP1 elements. Am. J. Physiol. 1997, 272, F443–F450. [Google Scholar] [CrossRef]
- Hensen, J.; Haenelt, M.; Gross, P. Lithium induced polyuria and renal vasopressin receptor density. Nephrol. Dial. Transplant. 1996, 11, 622–627. [Google Scholar] [CrossRef] [PubMed]
- Phiel, C.J.; Klein, P.S. Molecular targets of lithium action. Annu. Rev. Pharmacol. Toxicol. 2001, 41, 789–813. [Google Scholar] [CrossRef] [PubMed]
- Stasior, D.S.; Kikeri, D.; Duel, B.; Seifter, J.L. Nephrogenic diabetes insipidus responsive to indomethacin plus dDAVP. N. Engl. J. Med. 1991, 324, 850–851. [Google Scholar] [CrossRef] [PubMed]
- Kortenoeven, M.L.A.; Schweer, H.; Cox, R.; Wetzels, J.F.M.; Deen, P.M.T. Lithium reduces aquaporin-2 transcription independent of prostaglandins. Am. J. Physiol. Cell Physiol. 2012, 302, C131–C140. [Google Scholar] [CrossRef]
- Poulsen, S.B.; Kristensen, T.B.; Brooks, H.L.; Kohan, D.E.; Rieg, T.; Fenton, R.A. Role of adenylyl cyclase 6 in the development of lithium-induced nephrogenic diabetes insipidus. JCI Insight 2017, 2, e91042. [Google Scholar] [CrossRef]
- Kamsteeg, E.J.; Hendriks, G.; Boone, M.; Konings, I.B.; Oorschot, V.; van der Sluijs, P.; Klumperman, J.; Deen, P.M. Short-chain ubiquitination mediates the regulated endocytosis of the aquaporin-2 water channel. Proc. Natl. Acad. Sci. USA 2006, 103, 18344–18349. [Google Scholar] [CrossRef]
- Du, Y.; Qian, Y.; Tang, X.; Guo, Y.; Chen, S.; Jiang, M.; Yang, B.; Cao, W.; Huang, S.; Zhang, A.; et al. Chloroquine Attenuates Lithium-induced NDI and Proliferation of Renal Collecting Duct Cells. Am. J. Physiol. Ren. Physiol. 2020. [Google Scholar] [CrossRef]
- Lammers, P.E.; Beck, J.A.; Chu, S.; Kempson, S.A. Hypertonic upregulation of betaine transport in renal cells is blocked by a proteasome inhibitor. Cell Biochem. Funct. 2005, 23, 315–324. [Google Scholar] [CrossRef]
- Woo, S.K.; Maouyo, D.; Handler, J.S.; Kwon, H.M. Nuclear redistribution of tonicity-responsive enhancer binding protein requires proteasome activity. AJP Cell Physiol. 2000, 278, C323–C330. [Google Scholar] [CrossRef]
- Moeller, H.B.; Fenton, R.A. Cell biology of vasopressin-regulated aquaporin-2 trafficking. Pflug. Arch. 2012, 464, 133–144. [Google Scholar] [CrossRef]
- Fushimi, K.; Sasaki, S.; Marumo, F. Phosphorylation of serine 256 is required for cAMP-dependent regulatory exocytosis of the aquaporin-2 water channel. J. Biol. Chem. 1997, 272, 14800–14804. [Google Scholar] [CrossRef] [PubMed]












| Gene Description and Acc. No. | Primer Sequences |
|---|---|
| Aquaporin-2 (Aqp2) | Sense-TGC ATC TTT GCC TCC ACC GAC GAG Antisense-CAT GGA GCA ACC GGT GAA ATA G |
| Glycerinaldehyd-3-phosphat dehydrogenase (Gapdh) | Sense-CAT CAA CGA CCC CTT CAT T Antisense-ACT CCA CGA CAT ACT CAG CAC |
| Aquaporin-3 (Aqp3) | Sense-TTT CAC TGC CCT GGC TGG CTG Antisense-AAG GCG GGG GCT GCT CCA GG |
| Aquaporin-4 (Aqp4) | Sense-CAT GGG AAA CTG GGA AAA CCA C Antisense-GCG ACG TTT GAG CTC CAC GTC |
| Betaine/GABA transporter 1 (BGT-1/Slc6a12) | Sense-CCT CCA TGG CCT GTG TAC CGC Antisense-GA GTT CTT GCT TGA CTG GAG AG |
| Aldose reductase (AR/Akr1b1) | Sense-GTG CTG ATC CGG TTC CCC ATC Antisense-CTC ATC AAG GCG CAC ACC CTC |
| Urea transporter, member 1 (UTA-1/Slc14a1) | Sense-ATG GCA CTC ACC TGG CAG ACC Antisense-GGC CAA GCA GAA GGA CCA GG |
| Urea transporter, member 2 (UTA-2/Slc14a2) | Sense-TCT ACG TCA TCA CCT GGC AGA C Antisense-TGC CAG GGT TGT TGG TTG TGA G |
© 2020 by the authors. Licensee MDPI, Basel, Switzerland. This article is an open access article distributed under the terms and conditions of the Creative Commons Attribution (CC BY) license (http://creativecommons.org/licenses/by/4.0/).
Share and Cite
Kaiser, M.; Edemir, B. Lithium Chloride and GSK3 Inhibition Reduce Aquaporin-2 Expression in Primary Cultured Inner Medullary Collecting Duct Cells Due to Independent Mechanisms. Cells 2020, 9, 1060. https://doi.org/10.3390/cells9041060
Kaiser M, Edemir B. Lithium Chloride and GSK3 Inhibition Reduce Aquaporin-2 Expression in Primary Cultured Inner Medullary Collecting Duct Cells Due to Independent Mechanisms. Cells. 2020; 9(4):1060. https://doi.org/10.3390/cells9041060
Chicago/Turabian StyleKaiser, Marc, and Bayram Edemir. 2020. "Lithium Chloride and GSK3 Inhibition Reduce Aquaporin-2 Expression in Primary Cultured Inner Medullary Collecting Duct Cells Due to Independent Mechanisms" Cells 9, no. 4: 1060. https://doi.org/10.3390/cells9041060
APA StyleKaiser, M., & Edemir, B. (2020). Lithium Chloride and GSK3 Inhibition Reduce Aquaporin-2 Expression in Primary Cultured Inner Medullary Collecting Duct Cells Due to Independent Mechanisms. Cells, 9(4), 1060. https://doi.org/10.3390/cells9041060
