Next Article in Journal
Regulation of TEAD Transcription Factors in Cancer Biology
Next Article in Special Issue
Development of Personalized Therapeutic Strategies by Targeting Actionable Vulnerabilities in Metastatic and Chemotherapy-Resistant Breast Cancer PDXs
Previous Article in Journal
Involvement of E3 Ligases and Deubiquitinases in the Control of HIF-α Subunit Abundance
Previous Article in Special Issue
Establishment of Novel Gastric Cancer Patient-Derived Xenografts and Cell Lines: Pathological Comparison between Primary Tumor, Patient-Derived, and Cell-Line Derived Xenografts
 
 
Font Type:
Arial Georgia Verdana
Font Size:
Aa Aa Aa
Line Spacing:
Column Width:
Background:
Review

Efficacy of Tumor-Targeting Salmonella typhimurium A1-R against Malignancies in Patient-Derived Orthotopic Xenograft (PDOX) Murine Models

1
AntiCancer, Inc., San Diego, CA 92111, USA
2
Department of Gastroenterological Surgery, Graduate School of Medicine, Yokohama City University, Yokohama 236-0004, Japan
3
Department of Surgery, University of California, San Diego, CA 92093, USA
*
Author to whom correspondence should be addressed.
Cells 2019, 8(6), 599; https://doi.org/10.3390/cells8060599
Submission received: 30 April 2019 / Revised: 9 June 2019 / Accepted: 13 June 2019 / Published: 16 June 2019

Abstract

We developed tumor-targeting Salmonella typhimurium (S. typhimurium) A1-R, a facultative anaerobe that is an auxotroph of leucine and arginine. The tumor-targeting efficacy of S. typhimurium A1-R was demonstrated in vivo and vitro using several malignant cell lines including melanoma, sarcoma, glioma, breast, pancreatic, colon, cervical, prostate, and ovarian cancers. Our laboratory also developed a patient-derived orthotopic xenograft (PDOX) model by implanting patient-derived malignant tumor fragments into orthotopic sites in mice. We reviewed studies of S. typhimurium A1-R against recalcitrant cancers. S. typhimurium A1-R was effective against all PDOX tumor models tested and showed stronger efficacies than chemotherapy or molecular-targeting therapy against some tumors. Furthermore, the synergistic efficacy of S. typhimurium A1-R when combined with chemotherapeutic agents, molecular-targeting agents, or recombinant methioninase was also demonstrated. We suggest potential clinical uses of this S. typhimurium A1-R treatment.

1. Introduction

Dr. William B. Coley began bacterial therapy of cancer using Streptococcus pyogenes (S. pyogenes). He then developed Coley’s toxin, a mixture of killed S. pyogenes and Serratia marcescens, achieving clinical responses for many malignant tumors [1].
Live bacteria can actively penetrate tumors to reach lesions distant from blood vessels, where chemotherapeutic drugs cannot be delivered, and damage malignant cells by several cytotoxic mechanisms [2]. Obligate anaerobes and facultative anaerobes can have intrinsic tumor-targeting ability because they can survive intratumor hypoxia. By contrast, traditional treatments such as chemotherapy or radiation therapy have reduced efficacy in hypoxic regions in tumors where malignant cells are generally quiescent. Moreover, the immune-suppressive tumor microenvironment is conducive to bacteria, and host immune responses against administered bacteria may enhance antitumor immunity [3,4,5]. These specific advantages in bacterial therapy can overcome the limit of traditional treatments, even exerting synergistic efficacy in combination with these treatments.
In clinical studies, limited antitumor efficacy has been shown thus far. Clostridium. butyricum (C. butyricum) M-55 resulted in oncolysis and accumulation in treated tumors [6,7]. Intravenous or intratumoral administration of C. novyi-NT induced intratumor infection and necrosis [7]. Moreover, Salmonella typhimurium (S. typhimurium) VNP20009 attenuated by msbB and purI mutations, showed bacterial colonization of treated melanomas [8,9]. Objective tumor response was not observed in any of these studies, however, several studies using S. typhimurium showed bacterial colonization in treated tumors after local or systemic administration [7].
S. typhimurium is a facultative anaerobe. Green fluorescence protein (GFP)-labeled S. typhimurium A1-R developed by our laboratory has high tumor-targeting efficacy, due to the leucine–arginine auxotroph, resulting in broad antitumor efficacy and limited adverse effects [10]. In a CT26 colon cancer-bearing BALB/c mouse experiment, S. typhimurium A1-R was quickly eliminated from normal organs including the liver and spleen seven days after intravenous administration [11]. In contrast, S. typhimurium A1-R remained at high density in CT26 tumors. In addition, tumors treated with S. typhimurium A1-R were significantly smaller than those treated with S. typhimurium VNP20009. The efficacy of S. typhimurium A1-R was demonstrated in orthotopic nude mouse models of prostate [12], breast [13,14], pancreatic [15,16], and ovarian cancer [17], as well as in sarcomas [18] and gliomas [19,20]. S. typhimurium A1-R was also effective in metastatic cancer models [21,22].
We review in the present report the therapeutic efficacy of S. typhimurium A1-R against malignancies in patient-derived orthotopic xenograft (PDOX) nude mouse models, in which human tumors are orthotopically implanted in mice, to examine future clinical applicability.

2. S. typhimurium A1-R against PDOX Tumor Models

2.1. Overview

We established PDOX tumors as follows: when the original tumors derived from primary sites, the PDOX tumors were implanted into the same primary sites in mice; when the original tumors derived from recurrent or metastatic sites, the PDOX tumors were implanted into original, recurrent, or metastatic sites in mice.
From 2014 to 2018, a total of 17 articles describing the efficacy of S. typhimurium A1-R in PDOX models were identified. All of the 17 studies of human cancer of different histological types were evaluated and the efficacy of S. typhimurium A1-R was compared with the efficacy of chemotherapy (Table 1 and Table 2) [23,24,25,26,27,28,29,30,31,32,33,34,35,36,37,38,39]. There were six soft tissue sarcoma (STS) PDOX studies, including rare type tumors [25,27,28,33,37,39], four melanoma PDOX studies [26,29,30,34], three pancreatic cancer PDOX studies [23,24,36], two osteosarcoma PDOX studies [31,35], a gastrointestinal stromal tumor (GIST) PDOX study [32], and a carcinoma of unknown primary (CUP) PDOX study [38]. Ten of the 17 tumors were derived from primary sites [23,24,26,27,28,29,30,34,36,37], while the remaining seven tumors were recurrent or metastatic [25,31,32,33,35,38,39]. Two PDOX models from different cancer types were established from the tumors grown in distant lesions [31,35]. Some tumors were identified to have specific genetic alterations [26,29,30,32,33].

2.2. Establishment of PDOX Models

Fresh patient-derived tumor tissue samples were immediately transported to the lab on ice. The samples were cut into 5 mm fragments and implanted subcutaneously into nude mice to establish. They were then passaged when they grew to approximately 10 mm. The grown tumors were cut into small fragments and implanted orthotopically into nude mice.
For example, procedures for the establishment of a Ewing’s sarcoma PDOX model are shown in Figure 1 [28]. The established subcutaneous tumor was cut into small fragments (Figure 1A,B). A seven mm skin incision was made on the right chest wall; then, a single tumor fragment was implanted orthotopically into the layer between the pectoral and intercostal muscles in the right chest wall of the nude mouse to establish a PDOX model (Figure 1C–E). The implanted tumor was grown in the right chest wall in the PDOX model (Figure 1F).
For STSs, tumor tissue was implanted into the upper or lower extremities in five experiments (Figure 2A) while the metastatic Ewing’s sarcoma shown above was implanted into the chest wall of mice [25,27,28,33,37]. A metastatic melanoma was also implanted into the chest wall of mice [26,29,30,34]. Pancreatic cancers were implanted into the tail of the pancreas of mice (Figure 2B) [23,24,36]. Osteosarcoma lung metastases originating from a primary lesion in the femur were implanted both in the femur and the lung [31,35]. A GIST tumor derived from recurrent lymph nodes and originating from a primary gastric tumor was implanted orthotopically into the gastric wall [32]. A PDOX of a cancer of unknown primary origin was established by implanting tumor fragments into the neck lymph node of mice, which was the metastatic site of the patient [38].

2.3. S. typhimurium A1-R Therapy

S. typhimurium A1-R was administered via an intravenous (i.v.) [23,26,28,29,30,31,32,33,34,35,36,37,38,39], intraperitoneal (i.p.) [24,25], intratumoral (i.t.) [27,28], or intra-arterial (i.a.) injection [31]. A single dose of S. typhimurium A1-R ranged from 5 × 105 colony-forming units (CFUs) to 1.5 × 108 CFUs. Intravenous injection twice weekly with a dose of 5 × 107 CFUs was used in most experiments. S. typhimurium A1-R treatment was performed either as a monotherapy or a polytherapy in combination with chemotherapeutic or molecular-targeting agents, or recombinant methioninase (rMETase), which reduces the plasma methionine on which cancer cells are addicted [40]. Polytherapy was performed in a concurrent or metachronous manner.

2.4. S. typhimurium A1-R Treatment Efficacies

2.4.1. Tumor-Targeting Efficacy

The tumor-targeting efficacy of S. typhimurium A1-R was evaluated via culture of resected specimens. A fluorescent microscope was used to detect GFP-expressing S. typhimurium A1-R in tumors grown in PDOX models treated with S. typhimurium A1-R i.t., i.p., i.v., or i.a. injection [25,26,28,29,30,31,32,33,34,37,38]. Figure 3 shows bright field and fluorescent imaging of cultured GFP-expressing S. typhimurium A1-R grown from a Ewing’s sarcoma PDOX tumor [28]. Abundant S. typhimurium A1-R were present in STS PDOX tumors, including undifferentiated STS [37], Ewing’s sarcoma [28], pleomorphic liposarcoma [33], follicular dendritic-cell sarcoma [25], melanoma PDOX tumors [26,29,30,34], an osteosarcoma PDOX [31], a GIST PDOX [32], and a CUP PDOX [38]. By contrast, GFP-expressing S. typhimurium A1-R were not detectable in adjacent muscles, suggesting selective tumor-targeting efficacy [31,37].

2.4.2. Antitumor Efficacy of S. typhimurium A1-R Compared to Untreated Control

The treatment efficacy of S. typhimurium A1-R was confirmed in all PDOX models (Table 2). Significant tumor growth inhibition occurred after i.v., i.p., i.t., and i.a. injection of S. typhimurium A1-R. Interestingly, i.v. administration tended to be more effective compared to i.t. administration in the Ewing’s sarcoma PDOX models [28]. In addition, S. typhimurium A1-R showed stronger efficacy administered i.a. than i.v. injection in the osteosarcoma lung metastasis PDOX models [31].

2.4.3. Antitumor Efficacy of S. typhimurium A1-R Compared to Chemotherapy or Molecular-Targeting Therapy

S. typhimurium A1-R showed stronger antitumor efficacy than gemcitabine, cisplatinum, or fluorouracil treatment in the pancreatic PDOX model [23]. In the osteosarcoma PDOX models, S. typhimurium A1-R was more effective than cisplatinum [31,32]. In the STS PDOX models, S. typhimurium A1-R resulted in greater tumor growth inhibition compared to doxorubicin treatment [33,35,39]. Moreover, S. typhimurium A1-R showed stronger efficacy than imatinib in the GIST PDOX model [37].

2.4.4. Synergistic Antitumor Efficacy of S. typhimurium A1-R in Combination with Other Agents

Synergistic treatment efficacy was observed with combination of S. typhimurium A1-R with chemotherapy [23,36], molecular-targeting agents [23,26,29,30], or rMETase [34,35]. In pancreatic cancer PDOX models, S. typhimurium A1-R had additional efficacy when combined with gemcitabine or gemcitabine plus bevacizumab [24,36]. Additionally, the combination treatment of S. typhimurium A1-R with temozolomide or vemurafenib significantly reduced tumor growth compared to monotherapy with these agents [26,29,30]. Triple therapy using S. typhimurium A1-R, rMETase, and cisplatinum was more effective than double therapy using S. typhimurium A1-R with rMETase, or monotherapy of these agents [32].

2.4.5. Histological Effects

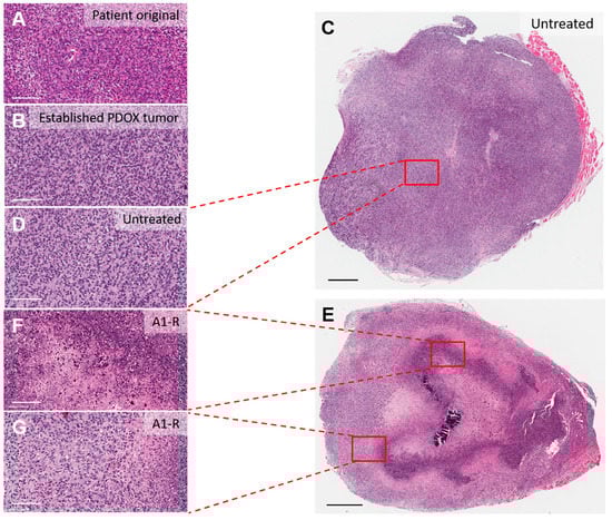
Established tumors in the PDOX model had a similar morphologic appearance to the original patient tumor (Figure 4A,B). S. typhimurium A1-R-treated tumors showed extended necrosis compared to untreated tumors. As an example, S. typhimurium A1-R caused central tumor necrosis to a large extent in the Ewing’s sarcoma PDOX model, while the untreated tumors grew without necrosis (Figure 4C–G). In a study of an osteosarcoma lung metastasis PDOX model, S. typhimurium A1-R treatment resulted in changes in sarcoma cell shape but not necrosis [35]. S. typhimurium A1-R treatment in combination with cisplatinum and rMETase resulted in tumor necrosis. Moreover, S. typhimurium A1-R showed more extensive necrosis when combined with chemotherapy or molecular-targeting agents than S. typhimurium A1-R monotherapy on undifferentiated STS and melanoma PDOX models [27,29,30]. When compared to standard treatment, S. typhimurium A1-R induced a higher degree of necrosis in several PDOX models including pancreatic cancer, STS, osteosarcoma, and GIST [24,25,31,32,33,37]. The i.a. administration of S. typhimurium A1-R led to more extensive necrosis than intravenous administration in the osteosarcoma PDOX model [31]. These results indicate that tumor necrosis was generally associated with tumor growth suppression.

2.5. Adverse Effects Caused by S. typhimurium A1-R Treatment

None of the PDOX experiments showed adverse effects, in terms of significant weight loss, in mice treated with S. typhimurium A1-R compared to the untreated control.

3. Conclusions and Future Perspectives

PDOX models are theoretically better at mimicking the human disease than heterotopic tumors, increasing the robustness of drug discovery studies. The present review demonstrates the strong antitumor efficacy of S. typhimurium A1-R against recalcitrant-caner PDOX models, indicating advantages that S. typhimurium A1-R may have over chemotherapy. Therefore, for rare malignancies or cancers of unknown primary origin, for which effective treatments have not been established, S. typhimurium A1-R treatment can be a good candidate. Moreover, for highly aggressive malignancies such as pancreatic cancer or melanomas, S. typhimurium A1-R was highly effective when combined with chemotherapy or molecular-targeting therapy. In addition, adverse effects were shown to be limited. Therefore, S. typhimurium A1-R treatment has clinical potential.
S. typhimurium penetrated the cancer cells in vitro by being attracted to small molecules such as ribose and serine [41,42]. The present review demonstrated how S. typhimurium A1-R targeted tumors in several PDOX mouse models. The antitumor efficacy of S. typhimurium A1-R against many kinds of cancer cell lines was demonstrated and suggested that S. typhimurium A1-R kills cancer cells directly [13,43,44]. Unchugonova et al. demonstrated that cancer cells infected by S. typhimurium A1-R expanded and burst, resulting in loss of viability [45]. Importantly, S. typhimurium A1-R, a facultative anaerobe, can grow under anaerobic condition [13,44]. As a result, S. typhimurium A1-R induces central tumor necrosis (Figure 4). In addition, Salmonella plays the role of inducing antitumor immune responses in an immunocompetent model [46]. Salmonella enhances both innate and adaptive immunity. Salmonella induces cytokine production, including interferon-γ, via Toll-like receptor 4 signaling [5]. Upregulated cytokines contribute to the recruitment of peripheral immune cells to the tumor [5,47]. Avogadri et al. demonstrated that intratumoral injection of S. typhimurium resulted in recruitment of CD8+ lymphocytes, CD4+ lymphocytes and B lymphocytes as well as macrophages and granulocytes in the tumor [3]. We also demonstrated that the antitumor efficacy of S. typhimurium A1-R was correlated with CD8+ lymphocyte infiltration into treated tumors in a pancreatic cancer syngeneic immunocompetent mouse model [48]. Moreover, S. typhimurium A1-R acts as a decoy. It induces the cancer cells to leave the chemo-sensitive state of the cell cycle, making the cancer cells highly sensitive to chemotherapy [49]. These facts suggest that various mechanisms are involved in the antitumor efficacy of S. typhimurium A1-R.
The present review discusses the antitumor efficacy of S. typhimurium A1-R against recalcitrant cancer PDOX models. Pre-clinical efficacy studies of S. typhimurium A1-R were completed and only a toxicity test needs to be performed to enable S. typhimurium A1-R to begin phase I clinical studies.

Author Contributions

Conceptualization, T.M., and R.M.H.; data curation, T.M., K.M., and T.K.; writing–original draft preparation, T.M.; revision, R.M.H.; supervision, Y.H., I.E., M.Z., and R.M.H.; administration, R.M.H.; funding acquisition, I.E.

Funding

This review was supported by the Yokohama City University research grant “KAMOME Project” to I.E.

Conflicts of Interest

The funders had no role in the study design, data collection or analysis, decision to publish, or preparation of the manuscript. T.M., Y.H., K.M., T.K., and R.M.H. are or were unsalaried associates of AntiCancer, Inc. M.Z. is employed by the AntiCancer, Inc. AntiCancer Inc. uses PDOX models for contract research.

Dedication

This paper is dedicated to the memory of A. R. Moossa, M.D. and Sun Lee, M.D.

References

  1. McCarthy, E.F. The toxins of William B. Coley and the treatment of bone and soft-tissue sarcomas. Iowa Orthop. J. 2006, 26, 154–158. [Google Scholar] [PubMed]
  2. Forbes, N.S. Engineering the perfect (bacterial) cancer therapy. Nat. Rev. Cancer 2010, 10, 785–794. [Google Scholar] [CrossRef] [PubMed]
  3. Avogadri, F.; Martinoli, C.; Petrovska, L.; Chiodoni, C.; Transidico, P.; Bronte, V.; Longhi, R.; Colombo, M.P.; Dougan, G.; Rescigno, M. Cancer immunotherapy based on killing of Salmonella-infected tumor cells. Cancer Res. 2005, 65, 3920–3927. [Google Scholar] [CrossRef] [PubMed]
  4. Westphal, K.; Leschner, S.; Jablonska, J.; Loessner, H.; Weiss, S. Containment of tumor-colonizing bacteria by host neutrophils. Cancer Res. 2008, 68, 2952–2960. [Google Scholar] [CrossRef]
  5. Chang, W.W.; Lee, C.H. Salmonella as an innovative therapeutic antitumor agent. Int. J. Mol. Sci. 2014, 15, 14546–14554. [Google Scholar] [CrossRef] [PubMed]
  6. Heppner, F.; Mose, J.R. The liquefaction (oncolysis) of malignant gliomas by a non pathogenic Clostridium. Acta Neurochir. 1978, 42, 123–125. [Google Scholar] [CrossRef] [PubMed]
  7. Zhou, S.; Gravekamp, C.; Bermudes, D.; Liu, K. Tumour-targeting bacteria engineered to fight cancer. Nat. Rev. Cancer 2018, 18, 727–743. [Google Scholar] [CrossRef] [PubMed]
  8. Toso, J.F.; Gill, V.J.; Hwu, P.; Marincola, F.M.; Restifo, N.P.; Schwartzentruber, D.J.; Sherry, R.M.; Topalian, S.L.; Yang, J.C.; Stock, F.; et al. Phase I study of the intravenous administration of attenuated Salmonella typhimurium to patients with metastatic melanoma. J. Clin. Oncol. Off. J. Am. Soc. Clin. Oncol. 2002, 20, 142–152. [Google Scholar] [CrossRef] [PubMed]
  9. Heimann, D.M.; Rosenberg, S.A. Continuous intravenous administration of live genetically modified Salmonella typhimurium in patients with metastatic melanoma. J. Immunother. 2003, 26, 179–180. [Google Scholar] [CrossRef]
  10. Hoffman, R.M. Tumor-Targeting Salmonella typhimurium A1-R: An Overview. Methods Mol Biol. 2016, 1409, 1–8. [Google Scholar] [CrossRef]
  11. Zhang, Y.; Cao, W.; Toneri, M.; Zhang, N.; Kiyuna, T.; Murakami, T.; Nelson, S.D.; Dry, S.M.; Li, Y.; Li, S.; et al. Toxicology and efficacy of tumor-targeting Salmonella typhimurium A1-R compared to VNP 20009 in a syngeneic mouse tumor model in immunocompetent mice. Oncotarget 2017, 8, 54616–54628. [Google Scholar] [CrossRef] [PubMed]
  12. Zhao, M.; Geller, J.; Ma, H.; Yang, M.; Penman, S.; Hoffman, R.M. Monotherapy with a tumor-targeting mutant of Salmonella typhimurium cures orthotopic metastatic mouse models of human prostate cancer. Proc. Natl. Acad. Sci. USA 2007, 104, 10170–10174. [Google Scholar] [CrossRef] [PubMed]
  13. Zhao, M.; Yang, M.; Ma, H.; Li, X.; Tan, X.; Li, S.; Yang, Z.; Hoffman, R.M. Targeted therapy with a Salmonella typhimurium leucine-arginine auxotroph cures orthotopic human breast tumors in nude mice. Cancer Res. 2006, 66, 7647–7652. [Google Scholar] [CrossRef] [PubMed]
  14. Zhang, Y.; Tome, Y.; Suetsugu, A.; Zhang, L.; Zhang, N.; Hoffman, R.M.; Zhao, M. Determination of the optimal route of administration of Salmonella typhimurium A1-R to target breast cancer in nude mice. Anticancer Res. 2012, 32, 2501–2508. [Google Scholar] [PubMed]
  15. Nagakura, C.; Hayashi, K.; Zhao, M.; Yamauchi, K.; Yamamoto, N.; Tsuchiya, H.; Tomita, K.; Bouvet, M.; Hoffman, R.M. Efficacy of a genetically-modified Salmonella typhimurium in an orthotopic human pancreatic cancer in nude mice. Anticancer Res. 2009, 29, 1873–1878. [Google Scholar] [PubMed]
  16. Hiroshima, Y.; Zhao, M.; Zhang, Y.; Maawy, A.; Hassanein, M.K.; Uehara, F.; Miwa, S.; Yano, S.; Momiyama, M.; Suetsugu, A.; et al. Comparison of efficacy of Salmonella typhimurium A1-R and chemotherapy on stem-like and non-stem human pancreatic cancer cells. Cell Cycle 2013, 12, 2774–2780. [Google Scholar] [CrossRef]
  17. Matsumoto, Y.; Miwa, S.; Zhang, Y.; Zhao, M.; Yano, S.; Uehara, F.; Yamamoto, M.; Hiroshima, Y.; Toneri, M.; Bouvet, M.; et al. Intraperitoneal administration of tumor-targeting Salmonella typhimurium A1-R inhibits disseminated human ovarian cancer and extends survival in nude mice. Oncotarget 2015, 6, 11369–11377. [Google Scholar] [CrossRef]
  18. Hayashi, K.; Zhao, M.; Yamauchi, K.; Yamamoto, N.; Tsuchiya, H.; Tomita, K.; Kishimoto, H.; Bouvet, M.; Hoffman, R.M. Systemic targeting of primary bone tumor and lung metastasis of high-grade osteosarcoma in nude mice with a tumor-selective strain of Salmonella typhimurium. Cell Cycle 2009, 8, 870–875. [Google Scholar] [CrossRef]
  19. Kimura, H.; Zhang, L.; Zhao, M.; Hayashi, K.; Tsuchiya, H.; Tomita, K.; Bouvet, M.; Wessels, J.; Hoffman, R.M. Targeted therapy of spinal cord glioma with a genetically modified Salmonella typhimurium. Cell Prolif. 2010, 43, 41–48. [Google Scholar] [CrossRef]
  20. Momiyama, M.; Zhao, M.; Kimura, H.; Tran, B.; Chishima, T.; Bouvet, M.; Endo, I.; Hoffman, R.M. Inhibition and eradication of human glioma with tumor-targeting Salmonella typhimurium in an orthotopic nude-mouse model. Cell Cycle 2012, 11, 628–632. [Google Scholar] [CrossRef]
  21. Yam, C.; Zhao, M.; Hayashi, K.; Ma, H.; Kishimoto, H.; McElroy, M.; Bouvet, M.; Hoffman, R.M. Monotherapy with a tumor-targeting mutant of S. typhimurium inhibits liver metastasis in a mouse model of pancreatic cancer. J. Surg. Res. 2010, 164, 248–255. [Google Scholar] [CrossRef] [PubMed]
  22. Miyazaki, M.; Yoshitomi, H.; Miyakawa, S.; Uesaka, K.; Unno, M.; Endo, I.; Ota, T.; Ohtsuka, M.; Kinoshita, H.; Shimada, K.; et al. Clinical practice guidelines for the management of biliary tract cancers 2015: The 2nd English edition. J. Hepato-Biliary-Pancreat. Sci. 2015, 22, 249–273. [Google Scholar] [CrossRef] [PubMed]
  23. Hiroshima, Y.; Zhang, Y.; Murakami, T.; Maawy, A.; Miwa, S.; Yamamoto, M.; Yano, S.; Sato, S.; Momiyama, M.; Mori, R.; et al. Efficacy of tumor-targeting Salmonella typhimurium A1-R in combination with anti-angiogenesis therapy on a pancreatic cancer patient-derived orthotopic xenograft (PDOX) and cell line mouse models. Oncotarget 2014, 5, 12346–12357. [Google Scholar] [CrossRef] [PubMed]
  24. Hiroshima, Y.; Zhao, M.; Maawy, A.; Zhang, Y.; Katz, M.H.; Fleming, J.B.; Uehara, F.; Miwa, S.; Yano, S.; Momiyama, M.; et al. Efficacy of Salmonella typhimurium A1-R versus chemotherapy on a pancreatic cancer patient-derived orthotopic xenograft (PDOX). J. Cell. Biochem. 2014, 115, 1254–1261. [Google Scholar] [CrossRef] [PubMed]
  25. Kiyuna, T.; Murakami, T.; Tome, Y.; Kawaguchi, K.; Igarashi, K.; Zhang, Y.; Zhao, M.; Li, Y.; Bouvet, M.; Kanaya, F.; et al. High efficacy of tumor-targeting Salmonella typhimurium A1-R on a doxorubicin- and dactolisib-resistant follicular dendritic-cell sarcoma in a patient-derived orthotopic xenograft PDOX nude mouse model. Oncotarget 2016, 7, 33046–33054. [Google Scholar] [CrossRef] [PubMed]
  26. Kawaguchi, K.; Igarashi, K.; Murakami, T.; Chmielowski, B.; Kiyuna, T.; Zhao, M.; Zhang, Y.; Singh, A.; Unno, M.; Nelson, S.D.; et al. Tumor-targeting Salmonella typhimurium A1-R combined with temozolomide regresses malignant melanoma with a BRAF-V600E mutation in a patient-derived orthotopic xenograft (PDOX) model. Oncotarget 2016, 7, 85929–85936. [Google Scholar] [CrossRef] [PubMed]
  27. Murakami, T.; DeLong, J.; Eilber, F.C.; Zhao, M.; Zhang, Y.; Zhang, N.; Singh, A.; Russell, T.; Deng, S.; Reynoso, J.; et al. Tumor-targeting Salmonella typhimurium A1-R in combination with doxorubicin eradicate soft tissue sarcoma in a patient-derived orthotopic xenograft (PDOX) model. Oncotarget 2016, 7, 12783–12790. [Google Scholar] [CrossRef]
  28. Murakami, T.; Kiyuna, T.; Kawaguchi, K.; Igarashi, K.; Singh, A.S.; Hiroshima, Y.; Zhang, Y.; Zhao, M.; Miyake, K.; Nelson, S.D.; et al. The irony of highly-effective bacterial therapy of a patient-derived orthotopic xenograft (PDOX) model of Ewing’s sarcoma, which was blocked by Ewing himself 80 years ago. Cell Cycle 2017, 16, 1046–1052. [Google Scholar] [CrossRef]
  29. Kawaguchi, K.; Igarashi, K.; Murakami, T.; Kiyuna, T.; Zhao, M.; Zhang, Y.; Nelson, S.D.; Russell, T.A.; Dry, S.M.; Singh, A.S.; et al. Salmonella typhimurium A1-R targeting of a chemotherapy-resistant BRAF-V600E melanoma in a patient-derived orthotopic xenograft (PDOX) model is enhanced in combination with either vemurafenib or temozolomide. Cell Cycle 2017, 16, 1288–1294. [Google Scholar] [CrossRef]
  30. Kawaguchi, K.; Igarashi, K.; Murakami, T.; Zhao, M.; Zhang, Y.; Chmielowski, B.; Kiyuna, T.; Nelson, S.D.; Russell, T.A.; Dry, S.M.; et al. Tumor-Targeting Salmonella typhimurium A1-R Sensitizes Melanoma With a BRAF-V600E Mutation to Vemurafenib in a Patient-Derived Orthotopic Xenograft (PDOX) Nude Mouse Model. J. Cell. Biochem. 2017, 118, 2314–2319. [Google Scholar] [CrossRef]
  31. Igarashi, K.; Kawaguchi, K.; Murakami, T.; Kiyuna, T.; Miyake, K.; Nelson, S.D.; Dry, S.M.; Li, Y.; Yanagawa, J.; Russell, T.A.; et al. Intra-arterial administration of tumor-targeting Salmonella typhimurium A1-R regresses a cisplatin-resistant relapsed osteosarcoma in a patient-derived orthotopic xenograft (PDOX) mouse model. Cell Cycle 2017, 16, 1164–1170. [Google Scholar] [CrossRef] [PubMed]
  32. Miyake, K.; Kawaguchi, K.; Miyake, M.; Zhao, M.; Kiyuna, T.; Igarashi, K.; Zhang, Z.; Murakami, T.; Li, Y.; Nelson, S.D.; et al. Tumor-targeting Salmonella typhimurium A1-R suppressed an imatinib-resistant gastrointestinal stromal tumor with c-kit exon 11 and 17 mutations. Heliyon 2018, 4, e00643. [Google Scholar] [CrossRef] [PubMed]
  33. Kiyuna, T.; Tome, Y.; Murakami, T.; Zhao, M.; Miyake, K.; Igarashi, K.; Kawaguchi, K.; Miyake, M.; Oshiro, H.; Higuchi, T.; et al. Tumor-targeting Salmonella typhimurium A1-R arrests a doxorubicin-resistant PDGFRA-amplified patient-derived orthotopic xenograft mouse model of pleomorphic liposarcoma. J. Cell. Biochem. 2018, 119, 7827–7833. [Google Scholar] [CrossRef] [PubMed]
  34. Kawaguchi, K.; Higuchi, T.; Li, S.; Han, Q.; Tan, Y.; Igarashi, K.; Zhao, M.; Miyake, K.; Kiyuna, T.; Miyake, M.; et al. Combination therapy of tumor-targeting Salmonella typhimurium A1-R and oral recombinant methioninase regresses a BRAF-V600E-negative melanoma. Biochem. Biophys. Res. Commun. 2018, 503, 3086–3092. [Google Scholar] [CrossRef]
  35. Igarashi, K.; Kawaguchi, K.; Kiyuna, T.; Miyake, K.; Miyake, M.; Li, S.; Han, Q.; Tan, Y.; Zhao, M.; Li, Y.; et al. Tumor-targeting Salmonella typhimurium A1-R combined with recombinant methioninase and cisplatinum eradicates an osteosarcoma cisplatinum-resistant lung metastasis in a patient-derived orthotopic xenograft (PDOX) mouse model: Decoy, trap and kill chemotherapy moves toward the clinic. Cell Cycle 2018, 17, 801–809. [Google Scholar] [CrossRef] [PubMed]
  36. Kawaguchi, K.; Miyake, K.; Zhao, M.; Kiyuna, T.; Igarashi, K.; Miyake, M.; Higuchi, T.; Oshiro, H.; Bouvet, M.; Unno, M.; et al. Tumor targeting Salmonella typhimurium A1-R in combination with gemcitabine (GEM) regresses partially GEM-resistant pancreatic cancer patient-derived orthotopic xenograft (PDOX) nude mouse models. Cell Cycle 2018, 17, 2019–2026. [Google Scholar] [CrossRef] [PubMed]
  37. Igarashi, K.; Kawaguchi, K.; Kiyuna, T.; Miyake, K.; Miyake, M.; Singh, A.S.; Eckardt, M.A.; Nelson, S.D.; Russell, T.A.; Dry, S.M.; et al. Tumor-targeting Salmonella typhimurium A1-R is a highly effective general therapeutic for undifferentiated soft tissue sarcoma patient-derived orthotopic xenograft nude-mouse models. Biochem. Biophys. Res. Commun. 2018, 497, 1055–1061. [Google Scholar] [CrossRef] [PubMed]
  38. Miyake, K.; Kiyuna, T.; Miyake, M.; Kawaguchi, K.; Yoon, S.N.; Zhang, Z.; Igarashi, K.; Razmjooei, S.; Wangsiricharoen, S.; Murakami, T.; et al. Patient-derived orthotopic xenograft models for cancer of unknown primary precisely distinguish chemotherapy, and tumor-targeting S. typhimurium A1-R is superior to first-line chemotherapy. Signal Transduct. Target. Ther. 2018, 3, 12. [Google Scholar] [CrossRef] [PubMed]
  39. Kiyuna, T.; Tome, Y.; Murakami, T.; Miyake, K.; Igarashi, K.; Kawaguchi, K.; Oshiro, H.; Higuchi, T.; Miyake, M.; Sugisawa, N.; et al. A combination of irinotecan/cisplatinum and irinotecan/temozolomide or tumor-targeting Salmonella typhimurium A1-R arrest doxorubicin-and temozolomide-resistant myxofibrosarcoma in a PDOX mouse model. Biochem. Biophys. Res. Commun. 2018, 505, 733–739. [Google Scholar] [CrossRef]
  40. Murakami, T.; Li, S.; Han, Q.; Tan, Y.; Kiyuna, T.; Igarashi, K.; Kawaguchi, K.; Hwang, H.K.; Miyake, K.; Singh, A.S.; et al. Recombinant methioninase effectively targets a Ewing’s sarcoma in a patient-derived orthotopic xenograft (PDOX) nude-mouse model. Oncotarget 2017, 8, 35630–35638. [Google Scholar] [CrossRef]
  41. Kasinskas, R.W.; Forbes, N.S. Salmonella typhimurium lacking ribose chemoreceptors localize in tumor quiescence and induce apoptosis. Cancer Res. 2007, 67, 3201–3209. [Google Scholar] [CrossRef] [PubMed]
  42. Kasinskas, R.W.; Forbes, N.S. Salmonella typhimurium specifically chemotax and proliferate in heterogeneous tumor tissue in vitro. Biotechnol. Bioeng. 2006, 94, 710–721. [Google Scholar] [CrossRef]
  43. Hoffman, R.M. Future of Bacterial Therapy of Cancer. Methods Mol. Biol. 2016, 1409, 177–184. [Google Scholar] [CrossRef] [PubMed]
  44. Zhao, M.; Yang, M.; Li, X.M.; Jiang, P.; Baranov, E.; Li, S.; Xu, M.; Penman, S.; Hoffman, R.M. Tumor-targeting bacterial therapy with amino acid auxotrophs of GFP-expressing Salmonella typhimurium. Proc. Natl. Acad. Sci. USA 2005, 102, 755–760. [Google Scholar] [CrossRef] [PubMed]
  45. Uchugonova, A.; Zhao, M.; Zhang, Y.; Weinigel, M.; Konig, K.; Hoffman, R.M. Cancer-cell killing by engineered Salmonella imaged by multiphoton tomography in live mice. Anticancer Res. 2012, 32, 4331–4337. [Google Scholar] [PubMed]
  46. Lee, C.H.; Wu, C.L.; Shiau, A.L. Salmonella choleraesuis as an anticancer agent in a syngeneic model of orthotopic hepatocellular carcinoma. Int. J. Cancer 2008, 122, 930–935. [Google Scholar] [CrossRef]
  47. Lee, C.H.; Wu, C.L.; Shiau, A.L. Toll-like receptor 4 mediates an antitumor host response induced by Salmonella choleraesuis. Clin. Cancer Res. 2008, 14, 1905–1912. [Google Scholar] [CrossRef]
  48. Murakami, T.; Hiroshima, Y.; Zhang, Y.; Zhao, M.; Kiyuna, T.; Hwang, H.K.; Miyake, K.; Homma, Y.; Mori, R.; Matsuyama, R.; et al. Tumor-Targeting Salmonella typhimurium A1-R Promotes Tumoricidal CD8(+) T Cell Tumor Infiltration and Arrests Growth and Metastasis in a Syngeneic Pancreatic-Cancer Orthotopic Mouse Model. J. Cell. Biochem. 2018, 119, 634–639. [Google Scholar] [CrossRef]
  49. Hoffman, R.M.; Yano, S. Salmonella typhimurium A1-R and Cell-Cycle Decoy Therapy of Cancer. Methods Mol. Biol. 2016, 1409, 165–175. [Google Scholar] [CrossRef]
Figure 1. Procedures to establish a Ewing’s sarcoma patient-derived orthotopic xenograft (PDOX) model. A subcutaneously grown patient-derived Ewing’s sarcoma was resected (A) and cut into small fragments on a dish (B). A 7 mm skin incision was made on the right chest wall and then a single tumor fragment was implanted orthotopically into the layer between the pectoral and intercostal muscles in the right chest wall of nude mouse (C). After the pectoral muscle was closed by 6–0 nylon sutures (D), the skin incision was sutured (E). (F) The established PDOX model 4 weeks after the orthotopic implantation [28]. White arrowheads indicate the subcutaneously grown tumor. Black arrowheads indicate the established PDOX tumor.
Figure 1. Procedures to establish a Ewing’s sarcoma patient-derived orthotopic xenograft (PDOX) model. A subcutaneously grown patient-derived Ewing’s sarcoma was resected (A) and cut into small fragments on a dish (B). A 7 mm skin incision was made on the right chest wall and then a single tumor fragment was implanted orthotopically into the layer between the pectoral and intercostal muscles in the right chest wall of nude mouse (C). After the pectoral muscle was closed by 6–0 nylon sutures (D), the skin incision was sutured (E). (F) The established PDOX model 4 weeks after the orthotopic implantation [28]. White arrowheads indicate the subcutaneously grown tumor. Black arrowheads indicate the established PDOX tumor.
Cells 08 00599 g001
Figure 2. Examples of PDOX models. (A) A soft tissue sarcoma PDOX model was established by implanting a tumor into the lower extremity of a nude mouse [27]. The tumor was exposed by cutting the skin. (B) A pancreatic cancer PDOX model was established by implanting a tumor into the tail of the pancreas of a red fluorescent protein (RFP)-expressing nude mouse [24]. Black arrowheads indicate grown tumors. White arrows indicate the RFP-expressing pancreas.
Figure 2. Examples of PDOX models. (A) A soft tissue sarcoma PDOX model was established by implanting a tumor into the lower extremity of a nude mouse [27]. The tumor was exposed by cutting the skin. (B) A pancreatic cancer PDOX model was established by implanting a tumor into the tail of the pancreas of a red fluorescent protein (RFP)-expressing nude mouse [24]. Black arrowheads indicate grown tumors. White arrows indicate the RFP-expressing pancreas.
Cells 08 00599 g002
Figure 3. Agar culture from a tumor treated with S. typhimurium A1-R in a Ewing’s sarcoma PDOX model. Bright field (A) and fluorescence imaging (B) of cultured green fluorescent protein (GFP)-expressing S. typhimurium A1-R targeted to a Ewing’s sarcoma PDOX tumor [28].
Figure 3. Agar culture from a tumor treated with S. typhimurium A1-R in a Ewing’s sarcoma PDOX model. Bright field (A) and fluorescence imaging (B) of cultured green fluorescent protein (GFP)-expressing S. typhimurium A1-R targeted to a Ewing’s sarcoma PDOX tumor [28].
Cells 08 00599 g003
Figure 4. Histological findings in untreated tumors and tumors treated with S. typhimurium A1-R in the Ewing’s sarcoma PDOX model (H and E staining). (A) Ewing’s sarcoma from the original patient tumor. (B) High-magnification image of an established tumor in a Ewing’s sarcoma PDOX model. (C) Whole tumor image of untreated control tumor in a Ewing’s sarcoma PDOX model. (D) High-magnification image of (C). (E) Whole tumor image of a S. typhimurium A1-R-treated tumor in a Ewing’s sarcoma PDOX model. (F,G) High-magnification images of (E). Scale bars in (A,B,D,F,G): 100 μm; scale bars in (C,E): 500 μm.
Figure 4. Histological findings in untreated tumors and tumors treated with S. typhimurium A1-R in the Ewing’s sarcoma PDOX model (H and E staining). (A) Ewing’s sarcoma from the original patient tumor. (B) High-magnification image of an established tumor in a Ewing’s sarcoma PDOX model. (C) Whole tumor image of untreated control tumor in a Ewing’s sarcoma PDOX model. (D) High-magnification image of (C). (E) Whole tumor image of a S. typhimurium A1-R-treated tumor in a Ewing’s sarcoma PDOX model. (F,G) High-magnification images of (E). Scale bars in (A,B,D,F,G): 100 μm; scale bars in (C,E): 500 μm.
Cells 08 00599 g004
Table 1. Summary of studies in which S. typhimurium A1-R was administered to PDOX models.
Table 1. Summary of studies in which S. typhimurium A1-R was administered to PDOX models.
PatientMouse
Tumor Type (Subtype)YearOriginOriginal SiteGeneticsImplanted Site
Pancreatic Cancer
2014 [23]PrimaryPancreasVEGF+Pancreas
2014 [24]PrimaryPancreas-Pancreas
2018 [36]PrimaryPancreas-Pancreas
Soft Tissue Sarcoma
(FDCS)2016 [25]Recurrent/regionalLower extremity
(Primary site: lower extremity)
-Lower extremity
(UPS)2016 [27]PrimaryLower extremity-Lower extremity
(Ewing’s sarcoma)2017 [28]PrimaryChest wall-Chest wall
(Pleomorphic liposarcoma)2018 [33]Recurrent/regionalUpper extremity
(Primary site: upper extremity)
PDGFRA amplificationUpper extremity
(USTS)2018 [37]PrimaryLower extremity-Lower extremity
(Myxofibrosarcoma)2018 [39]Recurrent/regionalUpper extremity-Upper extremity
Melanoma
2016 [26]PrimaryChest wallBRAF-V600E mutationChest wall
2017 [29]PrimaryChest wallBRAF-V600E mutationChest wall
2017 [30]PrimaryChest wallBRAF-V600E mutationChest wall
2018 [34]PrimaryAbdominal wallBRAF-V600E mutation negativeAbdominal wall
Osteosarcoma
2017 [31]Recurrent/distantLung
(Primary site: femur)
-Femur
2018 [35]Recurrent/distantLung
(Primary site: femur)
-Lung
GIST
2018 [32]Recurrent/regionalLymph node
(Primary site: stomach)
c-kit (exon 11 and 17) mutationGastric wall
Cancer of Unknown Primary
2018 [38]MetastaticNeck lymph node
(Primary site: unknown)
-Left supraclavicular fossa
Table 2. Efficacy ofS. typhimurium A1-R was administered on PDOX models.
Table 2. Efficacy ofS. typhimurium A1-R was administered on PDOX models.
S. typhimurium A1-R
Tumor Type (Subtype)RouteDoseMono- or PolytherapyAntitumor Effect
Pancreatic Cancer
[23]i.v.5 × 107 CFUPolytherapyBEV + GEM → A1-R > BEV + GEM > GEM > Ct
[24]i.p.1.5 × 108 CFUMonotherapyA1-R > GEM or CDDP or 5FU > Ct
[36]i.v.5 × 107 CFUMonotherapy
Polytherapy
A1-R > Ct
A1-R + GEM > A1-R or GEM + nPTX or GEM or Ct
Soft Tissue Sarcoma
(FDCS) [25]i.p.2 × 107 CFUMonotherapy
Polytherapy
A1-R > Ct
A1-R → DOX > Ct, A1-R → BEZ > Ct
(UPS) [27]i.t.5 × 107 CFUMonotherapy
Polytherapy
A1-R > Ct
A1-R → DOX > Ct
(Ewing’s sarcoma) [28]i.v./i.t.5 × 107 CFUMonotherapy
Polytherapy
A1-R > Ct
A1-R + DOX > Ct
(Pleomorphic liposarcoma) [33]i.v.5 × 107 CFUMonotherapyA1-R > DOX or Ct
(USTS) [37]i.v.5 × 107 CFUMonotherapyA1-R > DOX > Ct
(Myxofibrosarcoma) [39]i.v.5 × 107 CFUMonotherapyA1-R > DOX or Ct
Melanoma
[26]i.v.5 × 107 CFUMonotherapy
Polytherapy
A1-R > Ct
A1-R + TEM > A1-R, A1-R + TEM > TEM
[29]i.v.5 × 107 CFUMonotherapy
Polytherapy
A1-R > Ct
A1-R + TEM or A1-R + VEM > A1-R
[30]i.v.5 × 107 CFUMonotherapy
Polytherapy
A1-R > Ct
A1-R + VEM > COB + VEM or COB or VEM or A1-R or Ct
[34]i.v.5 × 107 CFUMonotherapy
Polytherapy
A1-R > Ct
A1-R + rMETase > TEM + rMETase or rMETase or TEM or Ct
Osteosarcoma
[31]i.v/i.a.5 × 107 CFU (i.v.)
5 × 105 CFU (i.a.)
MonotherapyA1-R (i.a.) > A1-R (i.v.) or CDDP or Ct, A1-R (i.v.) > Ct
[35]i.v.5 × 107 CFUMonotherapy
Polytherapy
A1-R > CDDP or Ct
A1-R + rMETase + CDDP > A1-R + rMETase > A1-R or rMETase or CDDP or Ct
GIST
[32]i.v.5 × 107 CFUMonotherapyA1-R > IMA or Ct
Cancer of Unknown Primary
[38]i.v.5 × 107 CFUMonotherapyA1-R > Ct
PDOX—patient-derived orthotopic xenograft; VEGF—vascular endothelial growth factor; i.v.—intravenous injection; CFU—colony-forming unit; BEV—bevacizumab; GEM—gemcitabine; A1-R—S. typhimurium A1-R; Ct—untreated control; i.p.—intraperitoneal injection; CDDP—cisplatinum; 5FU—fluorouracil; FDCS—follicular dendritic-cell sarcoma; DOX—doxorubicin; BEZ—dactolisib; TEM—temozolomide; UPS—undifferentiated pleomorphic sarcoma; i.t.—intratumoral injection; VEM—vemurafenib; COB—cobimetinib; i.a.—intra-arterial injection; GIST—gastrointestinal stromal tumor; IMA—imatinib; rMETase—recombinant methioninase; > or < indicates significant difference in treatment effect between groups; → indicates metachronous combination treatment protocol; + indicates synchronous combination treatment protocol.

Share and Cite

MDPI and ACS Style

Murakami, T.; Hiroshima, Y.; Miyake, K.; Kiyuna, T.; Endo, I.; Zhao, M.; Hoffman, R.M. Efficacy of Tumor-Targeting Salmonella typhimurium A1-R against Malignancies in Patient-Derived Orthotopic Xenograft (PDOX) Murine Models. Cells 2019, 8, 599. https://doi.org/10.3390/cells8060599

AMA Style

Murakami T, Hiroshima Y, Miyake K, Kiyuna T, Endo I, Zhao M, Hoffman RM. Efficacy of Tumor-Targeting Salmonella typhimurium A1-R against Malignancies in Patient-Derived Orthotopic Xenograft (PDOX) Murine Models. Cells. 2019; 8(6):599. https://doi.org/10.3390/cells8060599

Chicago/Turabian Style

Murakami, Takashi, Yukihiko Hiroshima, Kentaro Miyake, Tasuku Kiyuna, Itaru Endo, Ming Zhao, and Robert M. Hoffman. 2019. "Efficacy of Tumor-Targeting Salmonella typhimurium A1-R against Malignancies in Patient-Derived Orthotopic Xenograft (PDOX) Murine Models" Cells 8, no. 6: 599. https://doi.org/10.3390/cells8060599

APA Style

Murakami, T., Hiroshima, Y., Miyake, K., Kiyuna, T., Endo, I., Zhao, M., & Hoffman, R. M. (2019). Efficacy of Tumor-Targeting Salmonella typhimurium A1-R against Malignancies in Patient-Derived Orthotopic Xenograft (PDOX) Murine Models. Cells, 8(6), 599. https://doi.org/10.3390/cells8060599

Note that from the first issue of 2016, this journal uses article numbers instead of page numbers. See further details here.

Article Metrics

Back to TopTop