Autophagy Regulator Rufy 4 Promotes Osteoclastic Bone Resorption by Orchestrating Cytoskeletal Organization via Its RUN Domain
Abstract
1. Introduction
2. Materials and Methods
2.1. Reagents and Antibodies
2.2. Animals
2.3. Cell Culture
2.4. mRNA Expression Profiling During Osteoclast Differentiation by DNA Microarray
2.5. Quantitative Real-Time Polymerase Chain Reaction (qRT-PCR) Analysis
2.6. TRAP Staining and Bone Resorption Assay
2.7. Small Interfering RNA (siRNA)
2.8. Western Blot Analysis
2.9. Immunocytochemistry
2.10. Retrovirus Construction and Rufy4 Overexpression
2.11. In Vitro Live-Cell Imaging
2.12. Detection of Activated Small GTPases
2.13. Cell Viability Assay
2.14. Morphological Analysis
2.15. Statistical Analysis
3. Results
3.1. Rufy4 Expression Increases During RANKL-Stimulated RAW-D Cell Differentiation into Osteoclasts
3.2. Rufy4 Knockdown Promotes Osteoclast Formation but Impairs Resorption
3.3. Rufy4 Deficiency Promotes Large Axial Protrusive Structure Formation
3.4. Overexpression of Rufy4 Suppresses Osteoclast Differentiation but Enhances Bone Resorption
3.5. Rufy4 Overexpression Upregulates Cathepsin K and Proteins Involved in Actin Polymerization
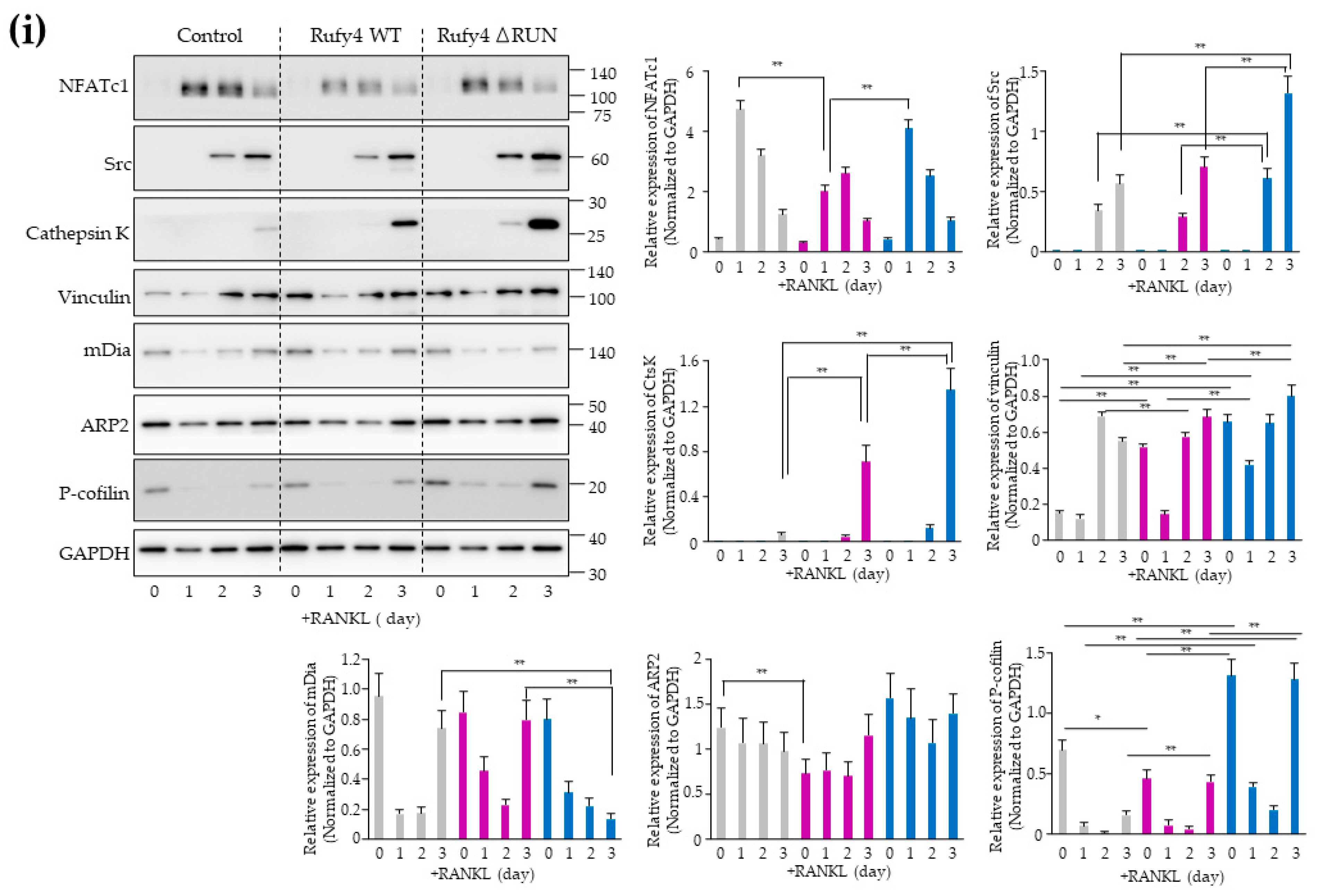
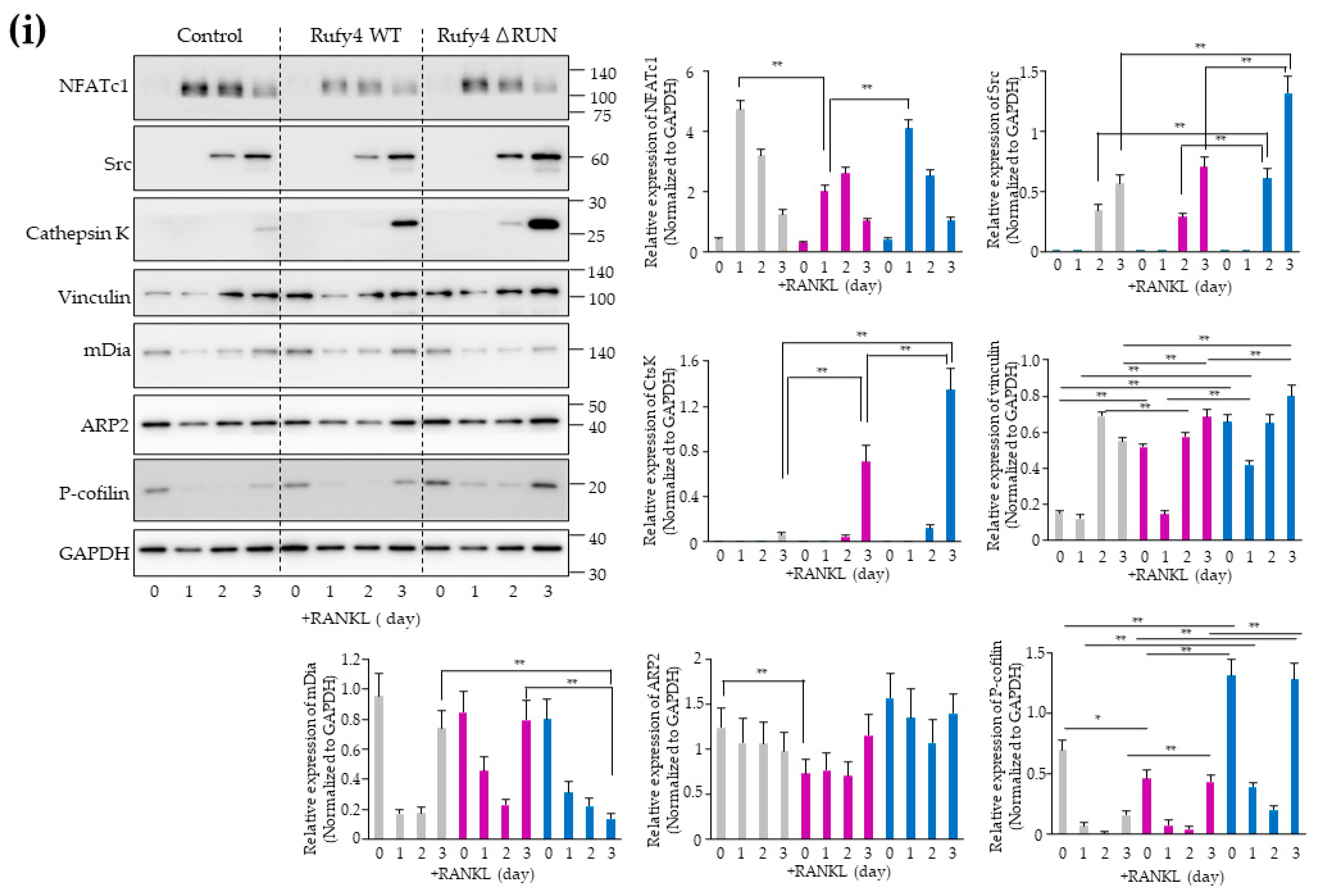
3.6. Overexpression of a RUN-Domain Deletion Mutant of Rufy4 Promotes Osteoclast Formation but Suppresses Bone Resorption
3.7. Overexpression of Wild-Type Rufy4 Induces Podosome Formation, Whereas That of the RUN-Domain Deletion Mutant Impedes Podosome Formation and Promotes Protrusive Structures
3.8. RUN Domain Deficiency Promotes Development of Protrusive Structures During Osteoclastogenesis
4. Discussion
Supplementary Materials
Author Contributions
Funding
Institutional Review Board Statement
Informed Consent Statement
Data Availability Statement
Acknowledgments
Conflicts of Interest
References
- Rothman, J.E. Mechanisms of intracellular protein transport. Nature 1994, 372, 55–63. [Google Scholar] [CrossRef] [PubMed]
- Buratta, S.; Tancini, B.; Sagini, K.; Delo, F.; Chiaradia, E.; Urbanelli, L.; Emiliani, C. Lysosomal exocytosis, exosome release and secretory autophagy: The autophagic- and endo-lysosomal systems go extracellular. Int. J. Mol. Sci. 2020, 21, 2576. [Google Scholar] [CrossRef] [PubMed]
- McKenna, E.D.; Sarbanes, S.L.; Cummings, S.W.; Roll-Mecak, A. The tubulin code, from molecules to health and disease. Annu. Rev. Cell Dev. Biol. 2023, 39, 331–361. [Google Scholar] [CrossRef] [PubMed]
- MacGillavry, H.; Hoogenraad, C. Membrane trafficking and cytoskeletal dynamics in neuronal function. Mol. Cell Neurosci. 2018, 91, 1–2. [Google Scholar] [CrossRef]
- Kitagishi, Y.; Matsuda, S. Rufy, Rab and Rap family proteins involved in a regulation of cell polarity and membrane trafficking. Int. J. Mol. Sci. 2013, 14, 6487–6498. [Google Scholar] [CrossRef]
- Terawaki, S.; Camosseto, V.; Prete, F.; Wenger, T.; Papadopoulos, A.; Rondeau, C.; Combes, A.; Rodrigues, C.; Manh, T.; Fallet, M.; et al. RUN and FYVE domain-containing protein 4 enhances autophagy and lysosome tethering in response to interleukin-4. J. Cell Biol. 2015, 210, 1133–1152. [Google Scholar] [CrossRef]
- Valečka, J.; Camosseto, V.; McEwan, D.; Terawaki, S.; Liu, Z.; Strock, E.; Almeida, C.; Su, B.; Dikic, I.; Liang, Y.; et al. Rufy4 exists as two translationally regulated isoforms, that localize to the mitochondrion in activated macrophages. R. Soc. Open Sci. 2021, 8, 202333. [Google Scholar] [CrossRef]
- Keren-Kaplan, T.; Sarić, A.; Ghosh, S.; Williamson, C.; Jia, R.; Li, Y.; Bonifacino, J. RUFY3 and RUFY4 are ARL8 effectors that promote coupling of endolysosomes to dynein- dynactin. Nat. Commun. 2022, 13, 1506. [Google Scholar] [CrossRef]
- Teitelbaum, S.L. Bone resorption by osteoclasts. Science 2000, 289, 1504–1508. [Google Scholar] [CrossRef]
- Mulari, M.; Vääräniemi, J.; Väänänen, H.K. Intracellular membrane trafficking in bone resorbing osteoclasts. Microsc. Res. Tech. 2003, 61, 496–503. [Google Scholar] [CrossRef]
- Palokangas, H.; Mulari, M.; Väänänen, H.K. Endocytic pathway from the basal plasma membrane to the ruffled border membrane in bone-resorbing osteoclasts. J. Cell Sci. 1997, 110, 1767–1780. [Google Scholar] [CrossRef] [PubMed]
- Yamaza, T.; Goto, T.; Kamiya, Y.; Kobayashi, Y.; Sakai, H.; Tanaka, T. Study of immunoelectron microscopic localization of cathepsin K in osteoclasts and other bone cells in the mouse femur. Bone 1998, 23, 499–509. [Google Scholar] [CrossRef] [PubMed]
- Zhao, H.; Laitala-Leinonen, T.; Parikka, V.; Väänänen, H.K. Downregulation of small GTPase Rab7 impairs osteoclast polarization and bone resorption. J. Biol. Chem. 2001, 276, 39295–39302. [Google Scholar] [CrossRef] [PubMed]
- Itzstein, C.; Coxon, F.P.; Rogers, M.J. The regulation of osteoclast function and bone resorption by small GTPases. Small GTPases 2011, 2, 117–130. [Google Scholar] [CrossRef] [PubMed]
- Rodan, G.A.; Martin, T.J. Therapeutic approaches to bone diseases. Science 2000, 289, 1508–1514. [Google Scholar] [CrossRef]
- Yasuda, H.; Shima, N.; Nakagawa, N.; Yamaguchi, K.; Kinisaki, M.; Mochizuki, S.; Tomoyasu, A.; Yano, K.; Goto, M.; Murakami, A.; et al. Osteoclast differentiation factor is a ligand for osteoprotegerin/osteoclastogenesis-inhibitory factor and is identical to TRANCE/RANKL. Proc. Natl. Acad. Sci. USA 1998, 95, 3597–3602. [Google Scholar] [CrossRef]
- Kong, Y.; Yoshida, H.; Sarosi, I.; Tan, H.L.; Timms, E.; Capparelli, C.; Morony, S.; Oliveira-dos-Santos, A.J.; Van, G.; Itie, A.; et al. OPGL is a key regulator of osteoclastogenesis, lymphocyte development and lymph-node organogenesis. Nature 1999, 397, 315–323. [Google Scholar] [CrossRef]
- Lam, J.; Takeshita, S.; Barker, J.E.; Kanagawa, O.; Ross, F.P.; Teitelbaum, S.L. TNF-alpha induces osteoclastogenesis by direct stimulation of macrophages exposed to permissive levels of RANK ligand. J. Clin. Investig. 2000, 106, 1481–1488. [Google Scholar] [CrossRef]
- Kotake, S.; Sato, K.; Kim, K.J.; Takahashi, N.; Udagawa, N.; Nakamura, I.; Yamaguchi, A.; Kishimoto, T.; Suda, T.; Kashiwazaki, S. Interleukin-6 and soluble interleukin-6 receptors in the synovial fluids from rheumatoid arthritis patients are responsible for osteoclast-loke cell formation. J. Bone Miner. Res. 1996, 11, 88–95. [Google Scholar] [CrossRef]
- Itoh, K.; Udagawa, N.; Kobayashi, K.; Suda, K.; Li, X.; Takami, M.; Okahashi, N.; Nishihara, T.; Takahashi, N. Lipopolysaccharide promotes the survival of osteoclasts via Toll-like receptor 4, but cytokine production of osteoclasts in response to lipopolysaccharide is different from that of macrophages. J. Immunol. 2003, 170, 3688–3695. [Google Scholar] [CrossRef]
- Lee, N.K.; Choi, Y.G.; Baik, J.Y.; Han, S.Y.; Jeong, D.W.; Bae, Y.S.; Kim, N.; Lee, S.Y. A crucial role for reactive oxygen species in RANKL-induced osteoclast differentiation. Blood 2005, 106, 852–859. [Google Scholar] [CrossRef] [PubMed]
- Suzuki, T.; Takahashi, J.; Yamamoto, M. Molecular basis of the KEAP1-NRF2 signaling pathway. Mol. Cells 2023, 46, 133–141. [Google Scholar] [CrossRef] [PubMed]
- Wakabayashi, N.; Itoh, K.; Wakabayashi, J.; Motohashi, H.; Noda, S.; Takahashi, S.; Imakado, S.; Kotsuji, T.; Otsuka, F.; Roop, D.R.; et al. Keap1-null mutation leads to postnatal lethality due to constitutive Nrf2 activation. Nat. Genet. 2003, 35, 238–245. [Google Scholar] [CrossRef] [PubMed]
- Sakai, E.; Morita, M.; Ohuchi, M.; Kido, M.A.; Fukuma, Y.; Nishishita, K.; Okamoto, K.; Itoh, K.; Yamamoto, M.; Tsukuba, T. Effects of deficiency of Kelch-like ECH-associated protein 1 on skeletal organization: A mechanism for diminished nuclear factor of activated T cells cytoplasmic 1 during osteoclastogenesis. FASEB J. 2017, 31, 4011–4022. [Google Scholar] [CrossRef]
- Sakai, H.; Kobayashi, Y.; Sakai, E.; Shibata, M.; Kato, Y. Cell adhesion is a prerequisite for osteoclast survival. Biochem. Biophys. Res. Commun. 2000, 270, 550–556. [Google Scholar] [CrossRef]
- Yamamoto, K.; Katsuda, N.; Himeno, M.; Kato, K. Cathepsin D of rat spleen. Affinity purification and properties of two types of cathepsin D. Eur. J. Biochem. 1979, 95, 459–467. [Google Scholar] [CrossRef]
- Kamiya, T.; Kobayashi, Y.; Kanaoka, K.; Nakashima, T.; Kato, Y.; Mizuno, A.; Sakai, H. Fluorescence microscopic demonstration of cathepsin K activity as the major lysosomal cysteine proteinase in osteoclasts. J. Biochem. 1998, 123, 752–759. [Google Scholar] [CrossRef]
- Itoh, K.; Chiba, T.; Takahashi, S.; Ishio, T.; Igarashi, K.; Katoh, Y.; Oyake, T.; Hayashi, N.; Satoh, K.; Hatayama, I.; et al. An Nrf2/small Maf heterodimer mediates the induction of phase II detoxifying enzyme genes through antioxidant response elements. Biochem. Biophys. Res. Commun. 1997, 236, 313–322. [Google Scholar] [CrossRef]
- Kukita, T.; Wada, N.; Kukita, A.; Kakimoto, T.; Sandra, F.; Toh, K.; Nagata, K.; Iijima, T.; Horiuchi, M.; Matsusaki, H.; et al. RANKL-induced DC-STAMP is essential for osteoclastogenesis. J. Exp. Med. 2004, 200, 941–946. [Google Scholar] [CrossRef]
- Watanabe, T.; Kukita, T.; Kukita, A.; Wada, N.; Toh, K.; Nagata, K.; Nomiyama, H.; Iijima, T. Direct stimulation of osteoclastogenesis by MIP-1α: Evidence obtained from studies using RAW264 cell clone highly responsive to RANKL. J. Endocrinol. 2004, 180, 193–201. [Google Scholar] [CrossRef]
- Farhana, F.; Sakai, E.; Koyanagi, Y.; Yamaguchi, Y.; Alam, M.I.; Okamoto, K.; Tsukuba, T. Abr, a Rho-regulating protein, modulates osteoclastogenesis by enhancing lamellipodia formation by interacting with poly(ADP-ribose) glycohydrolase. Mol. Biol. Rep. 2023, 50, 7557–7569. [Google Scholar] [CrossRef] [PubMed]
- Hotokezaka, H.; Sakai, E.; Kanaoka, K.; Saito, K.; Matsuo, K.; Kitaura, H.; Yoshida, N.; Nakayama, K. U0126 and PD98059, specific inhibitors of MEK, accelerate differentiation of RAW264.7 cells into osteoclast-like cells. J. Biol. Chem. 2002, 277, 47366–47372. [Google Scholar] [CrossRef] [PubMed]
- Narahara, S.; Sakai, E.; Kadowaki, T.; Yamaguchi, Y.; Narahara, H.; Okamoto, K.; Asahina, I.; Tsukuba, T. KBTBD11, a novel BTB-Kelch protein, is a negative regulator of osteoclastogenesis through controlling Cullin3-mediated ubiquitination of NFATc1. Sci. Rep. 2019, 9, 3523. [Google Scholar] [CrossRef] [PubMed]
- Sakai, E.; Shimada-Sugawara, M.; Nishishita, K.; Fukuma, Y.; Naito, M.; Okamoto, K.; Nakayama, K.; Tsukuba, T. Suppression of RANKL-dependent heme oxygenase-1 is required for high mobility group box 1 release and osteoclastogenesis. J. Cell Biochem. 2012, 113, 486–498. [Google Scholar] [CrossRef]
- Sakai, E.; Shimada-Sugawara, M.; Yamaguchi, Y.; Sakamoto, H.; Fumimoto, R.; Fukuma, Y.; Nishishita, K.; Okamoto, K.; Tsukuba, T. Fisetin inhibits osteoclastogenesis through prevention of RANKL-induced ROS production by Nrf2-mediated up-regulation of phase II antioxidant enzymes. J. Pharmacol. Sci. 2013, 121, 288–298. [Google Scholar] [CrossRef]
- Shimada-Sugawara, M.; Sakai, E.; Okamoto, K.; Fukuda, M.; Izumi, T.; Yoshida, N.; Tsukuba, T. Rab27A regulates transport of cell surface receptors modulating multinucleation and lysosome-related organelles in osteoclasts. Sci. Rep. 2015, 5, 9620. [Google Scholar] [CrossRef]
- Narahara, H.; Sakai, E.; Yamaguchi, Y.; Narahara, S.; Iwatake, M.; Okamoto, K.; Yoshida, N.; Tsukuba, T. Actin binding LIM 1 (abLIM1) negatively controls osteoclastogenesis by regulating cell migration and fusion. J. Cell Physiol. 2018, 234, 486–499. [Google Scholar] [CrossRef]
- Chen, Z.H.; Wu, J.J.; Guo, D.Y.; Li, Y.Y.; Chen, M.N.; Zhang, Z.Y.; Yuan, Z.D.; Zhang, K.W.; Chen, W.W.; Tian, F.; et al. Physiological functions of podosomes: From structure and function to therapy implications in osteoclast biology of bone resorption. Ageing Res. Rev. 2023, 85, 101842. [Google Scholar] [CrossRef]
- Kim, M.; Park, J.H.; Go, M.; Lee, N.; Seo, J.; Lee, H.; Kim, D.; Ha, H.; Kim, T.; Jeong, M.; et al. Ryfy4 deletion prevents pathological bone loss by blocking endo-lysosomal trafficking of osteoclast. Bone Res. 2024, 12, 29. [Google Scholar] [CrossRef]
- Blangy, A.; Touaitahuata, H.; Cres, G.; Pawlak, G. Cofilin activation during podosome belt formation in osteoclasts. PLoS ONE 2012, 7, e45909. [Google Scholar] [CrossRef]
- Fujiwara, T.; Ye, S.; Castro-Gomes, T.; Winchell, C.G.; Andrews, N.W.; Voth, D.E.; Varughese, K.I.; Mackintosh, S.G.; Feng, Y.; Pavlos, N.; et al. PLEKHM1/DEF8/RAB7 complex regulates lysosome positioning and bone homeostasis. JCI Insight 2016, 1, e86330. [Google Scholar] [CrossRef] [PubMed]
- Park, S.; Dahn, R.; Kurt, E.; Presle, A.; Skop, A.R. The mammalian midbody and midbody remnant are assembly sites for RNA and localized translation. Dev. Cell 2023, 58, 1917–1932. [Google Scholar] [CrossRef] [PubMed]
- Xu, S.; Zhang, Y.; Bai, X. TSC1 regulates osteoclast Podosome organization and bone resorption through mTORC1 and Rac1/Cdc42. Cell Death Differ. 2018, 25, 1549–1566. [Google Scholar] [CrossRef] [PubMed]













Disclaimer/Publisher’s Note: The statements, opinions and data contained in all publications are solely those of the individual author(s) and contributor(s) and not of MDPI and/or the editor(s). MDPI and/or the editor(s) disclaim responsibility for any injury to people or property resulting from any ideas, methods, instructions or products referred to in the content. |
© 2024 by the authors. Licensee MDPI, Basel, Switzerland. This article is an open access article distributed under the terms and conditions of the Creative Commons Attribution (CC BY) license (https://creativecommons.org/licenses/by/4.0/).
Share and Cite
Sakai, E.; Saito, M.; Koyanagi, Y.; Takayama, Y.; Farhana, F.; Yamaguchi, Y.; Tsukuba, T. Autophagy Regulator Rufy 4 Promotes Osteoclastic Bone Resorption by Orchestrating Cytoskeletal Organization via Its RUN Domain. Cells 2024, 13, 1766. https://doi.org/10.3390/cells13211766
Sakai E, Saito M, Koyanagi Y, Takayama Y, Farhana F, Yamaguchi Y, Tsukuba T. Autophagy Regulator Rufy 4 Promotes Osteoclastic Bone Resorption by Orchestrating Cytoskeletal Organization via Its RUN Domain. Cells. 2024; 13(21):1766. https://doi.org/10.3390/cells13211766
Chicago/Turabian StyleSakai, Eiko, Minoru Saito, Yu Koyanagi, Yoshitsugu Takayama, Fatima Farhana, Yu Yamaguchi, and Takayuki Tsukuba. 2024. "Autophagy Regulator Rufy 4 Promotes Osteoclastic Bone Resorption by Orchestrating Cytoskeletal Organization via Its RUN Domain" Cells 13, no. 21: 1766. https://doi.org/10.3390/cells13211766
APA StyleSakai, E., Saito, M., Koyanagi, Y., Takayama, Y., Farhana, F., Yamaguchi, Y., & Tsukuba, T. (2024). Autophagy Regulator Rufy 4 Promotes Osteoclastic Bone Resorption by Orchestrating Cytoskeletal Organization via Its RUN Domain. Cells, 13(21), 1766. https://doi.org/10.3390/cells13211766

