TGF-β1 Promotes Zika Virus Infection in Immortalized Human First-Trimester Trophoblasts via the Smad Pathway
Abstract
1. Introduction
2. Materials and Methods
2.1. Cell Culture
2.2. Zika Virus
2.3. Cell Treatment with TGF-β1
2.4. Cell Viability Assay
2.5. Western Blotting
2.6. Viral Infection
2.7. Immunofluorescence (IF) Assay
2.8. FCM Analysis
2.9. Virus Binding Assay
2.10. RNA Extraction and RT-qPCR
2.11. Statistical Analysis
3. Results
3.1. Expression of Tyro3 and AXL on the Swan.71 Cells and Their Upregulation upon the TGF-β1 Treatment
3.2. Low Susceptibility Zika Virus in Swan.71 Cells and Its Enhancement in the Presence of TGF-β1
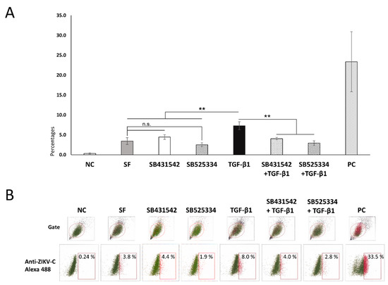
3.3. Enhancement in ZIKV Binding to the TGF-β1-Treated Cells via the Smad Pathway
4. Discussion
5. Conclusions
Supplementary Materials
Author Contributions
Funding
Institutional Review Board Statement
Informed Consent Statement
Data Availability Statement
Conflicts of Interest
References
- Lazear, H.M.; Diamond, M.S. Zika Virus: New Clinical Syndromes and Its Emergence in the Western Hemisphere. J. Virol. 2016, 90, 4864–4875. [Google Scholar] [CrossRef]
- Brasil, P.; Calvet, G.A.; Siqueira, A.M.; Wakimoto, M.; de Sequeira, P.C.; Nobre, A.; Quintana, M.d.S.; Mendonca, M.C.; Lupi, O.; de Souza, R.V.; et al. Zika Virus Outbreak in Rio de Janeiro, Brazil: Clinical Characterization, Epidemiological and Virological Aspects. PLoS Negl. Trop. Dis. 2016, 10, e0004636. [Google Scholar] [CrossRef] [PubMed]
- Paixao, E.S.; Rodrigues, L.C.; Costa, M.; de Carvalho-Sauer, R.C.O.; Oliveira, W.K.; Cardim, L.L.; Schuler-Faccini, L.; Andrade, R.F.S.; Rodrigues, M.S.; Brickley, E.B.; et al. Population-based surveillance for congenital zika virus syndrome: A latent class analysis of recorded cases from 2015–2018. BMC Pregnancy Childbirth 2022, 22, 530. [Google Scholar] [CrossRef]
- Hamanaka, T.; Ribeiro, C.T.M.; Pone, S.; Gomes, S.C.; Nielsen-Saines, K.; Brickley, E.B.; Moreira, M.E.; Pone, M. Longitudinal Follow-Up of Gross Motor Function in Children with Congenital Zika Virus Syndrome from a Cohort in Rio de Janeiro, Brazil. Viruses 2022, 14, 1173. [Google Scholar] [CrossRef] [PubMed]
- Brasil, P.; Pereira, J.P., Jr.; Moreira, M.E.; Ribeiro Nogueira, R.M.; Damasceno, L.; Wakimoto, M.; Rabello, R.S.; Valderramos, S.G.; Halai, U.A.; Salles, T.S.; et al. Zika Virus Infection in Pregnant Women in Rio de Janeiro. N. Engl. J. Med. 2016, 375, 2321–2334. [Google Scholar] [CrossRef] [PubMed]
- Vale, P.; Araujo, P.O.; Cardoso, S.; Santos Junior, H.; Carvalho, R.C.; Carvalho, E.S.S. Health needs of mothers of children with Congenital Zika Syndrome: An integrative review. Rev. Bras. Enferm. 2022, 75 (Suppl. S2), e20210540. [Google Scholar] [CrossRef] [PubMed]
- Rua, E.C.; de Oliveira, S.A.; de Oliveira Vianna, R.A.; Dalcastel, L.A.B.; de Castro Sarmet Dos Santos, T.C.; Cardoso, C.A.A.; Fernandes, A.R. Two-year follow-up of children with congenital Zika syndrome: The evolution of clinical patterns. Eur. J. Pediatr. 2022, 181, 991–999. [Google Scholar] [CrossRef]
- Oliveira, S.J.G.; Tavares, C.S.S.; Santos, V.S.; Santos, H.P., Jr.; Martins-Filho, P.R. Anxiety, depression, and quality of life in mothers of children with congenital Zika syndrome: Results of a 5-year follow-up study. Rev. Soc. Bras. Med. Trop. 2022, 55, e06272021. [Google Scholar] [CrossRef] [PubMed]
- Moreira, M.C.N.; Mendes, C.H.F.; Nascimento, M.; Melo, A.P.L.; Albuquerque, M.; Kuper, H.; Pinto, M.; Penn-Kenkana, L.; Moreira, M.E.L. Stigmas of congenital Zika syndrome: Family perspectives. Cad. Saude Publica 2022, 38, e00104221. [Google Scholar] [CrossRef] [PubMed]
- Adibi, J.J.; Marques, E.T.A., Jr.; Cartus, A.; Beigi, R.H. Teratogenic effects of the Zika virus and the role of the placenta. Lancet 2016, 387, 1587–1590. [Google Scholar] [CrossRef]
- Luria-Perez, R.; Sanchez-Vargas, L.A.; Munoz-Lopez, P.; Mellado-Sanchez, G. Mucosal Vaccination: A Promising Alternative against Flaviviruses. Front. Cell. Infect. Microbiol. 2022, 12, 887729. [Google Scholar] [CrossRef]
- Taslem Mourosi, J.; Awe, A.; Jain, S.; Batra, H. Nucleic Acid Vaccine Platform for DENGUE and ZIKA Flaviviruses. Vaccines 2022, 10, 834. [Google Scholar] [CrossRef] [PubMed]
- Kim, I.J.; Lanthier, P.A.; Clark, M.J.; De La Barrera, R.A.; Tighe, M.P.; Szaba, F.M.; Travis, K.L.; Low-Beer, T.C.; Cookenham, T.S.; Lanzer, K.G.; et al. Efficacy of an inactivated Zika vaccine against virus infection during pregnancy in mice and marmosets. NPJ Vaccines 2022, 7, 9. [Google Scholar] [CrossRef] [PubMed]
- Kale, A.; Joshi, D.; Menon, I.; Bagwe, P.; Patil, S.; Vijayanand, S.; Braz Gomes, K.; D’Souza, M. Novel microparticulate Zika vaccine induces a significant immune response in a preclinical murine model after intramuscular administration. Int. J. Pharm. 2022, 624, 121975. [Google Scholar] [CrossRef] [PubMed]
- Hazlewood, J.E.; Tang, B.; Yan, K.; Rawle, D.J.; Harrison, J.J.; Hall, R.A.; Hobson-Peters, J.; Suhrbier, A. The Chimeric Binjari-Zika Vaccine Provides Long-Term Protection against ZIKA Virus Challenge. Vaccines 2022, 10, 85. [Google Scholar] [CrossRef] [PubMed]
- Ezzemani, W.; Windisch, M.P.; Altawalah, H.; Guessous, F.; Saile, R.; Benjelloun, S.; Kettani, A.; Ezzikouri, S. Design of a multi-epitope Zika virus vaccine candidate—An in-silico study. J. Biomol. Struct. Dyn. 2022, 1–10. [Google Scholar] [CrossRef] [PubMed]
- Strange, D.P.; Jiyarom, B.; Pourhabibi Zarandi, N.; Xie, X.; Baker, C.; Sadri-Ardekani, H.; Shi, P.Y.; Verma, S. Axl Promotes Zika Virus Entry and Modulates the Antiviral State of Human Sertoli Cells. mBio 2019, 10, e01372-19. [Google Scholar] [CrossRef] [PubMed]
- Richard, A.S.; Shim, B.S.; Kwon, Y.C.; Zhang, R.; Otsuka, Y.; Schmitt, K.; Berri, F.; Diamond, M.S.; Choe, H. AXL-dependent infection of human fetal endothelial cells distinguishes Zika virus from other pathogenic flaviviruses. Proc. Natl. Acad. Sci. USA 2017, 114, 2024–2029. [Google Scholar] [CrossRef]
- Rasmussen, S.A.; Jamieson, D.J. Teratogen update: Zika virus and pregnancy. Birth Defects Res. 2020, 112, 1139–1149. [Google Scholar] [CrossRef] [PubMed]
- Sheridan, M.A.; Yunusov, D.; Balaraman, V.; Alexenko, A.P.; Yabe, S.; Verjovski-Almeida, S.; Schust, D.J.; Franz, A.W.; Sadovsky, Y.; Ezashi, T.; et al. Vulnerability of primitive human placental trophoblast to Zika virus. Proc. Natl. Acad. Sci. USA 2017, 114, E1587–E1596. [Google Scholar] [CrossRef] [PubMed]
- Yang, D.; Dai, F.; Yuan, M.; Zheng, Y.; Liu, S.; Deng, Z.; Tan, W.; Chen, L.; Zhang, Q.; Zhao, X.; et al. Role of Transforming Growth Factor-beta1 in Regulating Fetal-Maternal Immune Tolerance in Normal and Pathological Pregnancy. Front. Immunol. 2021, 12, 689181. [Google Scholar] [CrossRef] [PubMed]
- Du, M.R.; Guo, P.F.; Piao, H.L.; Wang, S.C.; Sun, C.; Jin, L.P.; Tao, Y.; Li, Y.H.; Zhang, D.; Zhu, R.; et al. Embryonic trophoblasts induce decidual regulatory T cell differentiation and maternal-fetal tolerance through thymic stromal lymphopoietin instructing dendritic cells. J. Immunol. 2014, 192, 1502–1511. [Google Scholar] [CrossRef] [PubMed]
- Ramhorst, R.; Fraccaroli, L.; Aldo, P.; Alvero, A.B.; Cardenas, I.; Leiros, C.P.; Mor, G. Modulation and recruitment of inducible regulatory T cells by first trimester trophoblast cells. Am. J. Reprod. Immunol. 2012, 67, 17–27. [Google Scholar] [CrossRef] [PubMed]
- Graham, C.H.; Lysiak, J.J.; McCrae, K.R.; Lala, P.K. Localization of transforming growth factor-beta at the human fetal-maternal interface: Role in trophoblast growth and differentiation. Biol. Reprod. 1992, 46, 561–572. [Google Scholar] [CrossRef] [PubMed]
- Zhao, M.R.; Qiu, W.; Li, Y.X.; Zhang, Z.B.; Li, D.; Wang, Y.L. Dual effect of transforming growth factor beta1 on cell adhesion and invasion in human placenta trophoblast cells. Reproduction 2006, 132, 333–341. [Google Scholar] [CrossRef]
- Ingman, W.V.; Robertson, S.A. The essential roles of TGFB1 in reproduction. Cytokine Growth Factor Rev. 2009, 20, 233–239. [Google Scholar] [CrossRef] [PubMed]
- Simpson, H.; Robson, S.C.; Bulmer, J.N.; Barber, A.; Lyall, F. Transforming growth factor beta expression in human placenta and placental bed during early pregnancy. Placenta 2002, 23, 44–58. [Google Scholar] [CrossRef] [PubMed]
- Takano, C.; Horie, M.; Taiko, I.; Trinh, Q.D.; Kanemaru, K.; Komine-Aizawa, S.; Hayakawa, S.; Miki, T. Inhibition of Epithelial-Mesenchymal Transition Maintains Stemness in Human Amniotic Epithelial Cells. Stem Cell Rev. Rep. 2022. [Google Scholar] [CrossRef] [PubMed]
- Lash, G.E.; Naruse, K.; Innes, B.A.; Robson, S.C.; Searle, R.F.; Bulmer, J.N. Secretion of angiogenic growth factors by villous cytotrophoblast and extravillous trophoblast in early human pregnancy. Placenta 2010, 31, 545–548. [Google Scholar] [CrossRef]
- Svensson-Arvelund, J.; Mehta, R.B.; Lindau, R.; Mirrasekhian, E.; Rodriguez-Martinez, H.; Berg, G.; Lash, G.E.; Jenmalm, M.C.; Ernerudh, J. The human fetal placenta promotes tolerance against the semiallogeneic fetus by inducing regulatory T cells and homeostatic M2 macrophages. J. Immunol. 2015, 194, 1534–1544. [Google Scholar] [CrossRef] [PubMed]
- Benian, A.; Madazli, R.; Aksu, F.; Uzun, H.; Aydin, S. Plasma and placental levels of interleukin-10, transforming growth factor-beta1, and epithelial-cadherin in preeclampsia. Obstet. Gynecol. 2002, 100, 327–331. [Google Scholar] [PubMed]
- Djurovic, S.; Schjetlein, R.; Wisloff, F.; Haugen, G.; Husby, H.; Berg, K. Plasma concentrations of Lp(a) lipoprotein and TGF-beta1 are altered in preeclampsia. Clin. Genet. 1997, 52, 371–376. [Google Scholar] [CrossRef] [PubMed]
- Pham, N.T.K.; Trinh, Q.D.; Takada, K.; Takano, C.; Sasano, M.; Okitsu, S.; Ushijima, H.; Komine-Aizawa, S.; Hayakawa, S. The Epithelial-to-Mesenchymal Transition-Like Process Induced by TGF-beta1 Enhances Rubella Virus Binding and Infection in A549 Cells via the Smad Pathway. Microorganisms 2021, 9, 662. [Google Scholar] [CrossRef]
- Straszewski-Chavez, S.L.; Abrahams, V.M.; Alvero, A.B.; Aldo, P.B.; Ma, Y.; Guller, S.; Romero, R.; Mor, G. The isolation and characterization of a novel telomerase immortalized first trimester trophoblast cell line, Swan 71. Placenta 2009, 30, 939–948. [Google Scholar] [CrossRef]
- Grigorov, B.; Rabilloud, J.; Lawrence, P.; Gerlier, D. Rapid titration of measles and other viruses: Optimization with determination of replication cycle length. PLoS ONE 2011, 6, e24135. [Google Scholar] [CrossRef] [PubMed]
- Kaur, M.; Esau, L. Two-step protocol for preparing adherent cells for high-throughput flow cytometry. Biotechniques 2015, 59, 119–126. [Google Scholar] [CrossRef] [PubMed]
- Pham, N.T.K.; Trinh, Q.D.; Takada, K.; Komine-Aizawa, S.; Hayakawa, S. Low Susceptibility of Rubella Virus in First-Trimester Trophoblast Cell Lines. Viruses 2022, 14, 1169. [Google Scholar] [CrossRef] [PubMed]
- Trinh, Q.D.; Pham, N.T.K.; Takada, K.; Komine-Aizawa, S.; Hayakawa, S. Myelin Oligodendrocyte Glycoprotein-Independent Rubella Infection of Keratinocytes and Resistance of First-Trimester Trophoblast Cells to Rubella Virus In Vitro. Viruses 2018, 10, 23. [Google Scholar] [CrossRef] [PubMed]
- Hastings, A.K.; Yockey, L.J.; Jagger, B.W.; Hwang, J.; Uraki, R.; Gaitsch, H.F.; Parnell, L.A.; Cao, B.; Mysorekar, I.U.; Rothlin, C.V.; et al. TAM Receptors Are Not Required for Zika Virus Infection in Mice. Cell Rep. 2017, 19, 558–568. [Google Scholar] [CrossRef] [PubMed]
- Wells, M.F.; Salick, M.R.; Wiskow, O.; Ho, D.J.; Worringer, K.A.; Ihry, R.J.; Kommineni, S.; Bilican, B.; Klim, J.R.; Hill, E.J.; et al. Genetic Ablation of AXL Does Not Protect Human Neural Progenitor Cells and Cerebral Organoids from Zika Virus Infection. Cell Stem Cell 2016, 19, 703–708. [Google Scholar] [CrossRef] [PubMed]
- Aldo, P.; You, Y.; Szigeti, K.; Horvath, T.L.; Lindenbach, B.; Mor, G. HSV-2 enhances ZIKV infection of the placenta and induces apoptosis in first-trimester trophoblast cells. Am. J. Reprod. Immunol. 2016, 76, 348–357. [Google Scholar] [CrossRef] [PubMed]
- Hobman, T.C. Rubella Virus. In Fields Virology, 6th ed.; Knipe, D.M., Howley, P., Eds.; Lippincott Williams & Wilkins: Philadelphia, PA, USA, 2013; Volume 1, pp. 687–711. [Google Scholar]
- Bayer, A.; Delorme-Axford, E.; Sleigher, C.; Frey, T.K.; Trobaugh, D.W.; Klimstra, W.B.; Emert-Sedlak, L.A.; Smithgall, T.E.; Kinchington, P.R.; Vadia, S.; et al. Human trophoblasts confer resistance to viruses implicated in perinatal infection. Am. J. Obstet. Gynecol. 2015, 212, 71 e1–71 e8. [Google Scholar] [CrossRef]
- Trinh, Q.D.; Takada, K.; Pham, N.T.K.; Takano, C.; Namiki, T.; Ikuta, R.; Hayashida, S.; Okitsu, S.; Ushijima, H.; Komine-Aizawa, S.; et al. Enhancement of rubella virus infection in immortalized human first-trimester trophoblasts under low glucose stress conditions. Front. Microbiol. 2022, 13, 904189. [Google Scholar] [CrossRef]
- Ding, J.; Aldo, P.; Roberts, C.M.; Stabach, P.; Liu, H.; You, Y.; Qiu, X.; Jeong, J.; Maxwell, A.; Lindenbach, B.; et al. Placenta-derived interferon-stimulated gene 20 controls ZIKA virus infection. EMBO Rep. 2021, 22, e52450. [Google Scholar] [CrossRef]
- Tabata, T.; Petitt, M.; Puerta-Guardo, H.; Michlmayr, D.; Wang, C.; Fang-Hoover, J.; Harris, E.; Pereira, L. Zika Virus Targets Different Primary Human Placental Cells, Suggesting Two Routes for Vertical Transmission. Cell Host Microbe 2016, 20, 155–166. [Google Scholar] [CrossRef] [PubMed]
- Lee, I.; Bos, S.; Li, G.; Wang, S.; Gadea, G.; Despres, P.; Zhao, R.Y. Probing Molecular Insights into Zika Virus(-)Host Interactions. Viruses 2018, 10, 233. [Google Scholar] [CrossRef] [PubMed]
- Rieder, C.A.; Rieder, J.; Sannajust, S.; Goode, D.; Geguchadze, R.; Relich, R.F.; Molliver, D.C.; King, T.E.; Vaughn, J.; May, M. A Novel Mechanism for Zika Virus Host-Cell Binding. Viruses 2019, 11, 1101. [Google Scholar] [CrossRef] [PubMed]
- Yu, W.; Hu, X.; Cao, B. Viral Infections During Pregnancy: The Big Challenge Threatening Maternal and Fetal Health. Matern. Fetal Med. 2022, 4, 72–86. [Google Scholar] [CrossRef]
- Pique-Regi, R.; Romero, R.; Tarca, A.L.; Luca, F.; Xu, Y.; Alazizi, A.; Leng, Y.; Hsu, C.D.; Gomez-Lopez, N. Does the human placenta express the canonical cell entry mediators for SARS-CoV-2? eLife 2020, 9, e58716. [Google Scholar] [CrossRef]
- Rausch, K.; Hackett, B.A.; Weinbren, N.L.; Reeder, S.M.; Sadovsky, Y.; Hunter, C.A.; Schultz, D.C.; Coyne, C.B.; Cherry, S. Screening Bioactives Reveals Nanchangmycin as a Broad Spectrum Antiviral Active against Zika Virus. Cell Rep. 2017, 18, 804–815. [Google Scholar] [CrossRef]





Publisher’s Note: MDPI stays neutral with regard to jurisdictional claims in published maps and institutional affiliations. |
© 2022 by the authors. Licensee MDPI, Basel, Switzerland. This article is an open access article distributed under the terms and conditions of the Creative Commons Attribution (CC BY) license (https://creativecommons.org/licenses/by/4.0/).
Share and Cite
Trinh, Q.D.; Pham, N.T.K.; Takada, K.; Takano, C.; Komine-Aizawa, S.; Hayakawa, S. TGF-β1 Promotes Zika Virus Infection in Immortalized Human First-Trimester Trophoblasts via the Smad Pathway. Cells 2022, 11, 3026. https://doi.org/10.3390/cells11193026
Trinh QD, Pham NTK, Takada K, Takano C, Komine-Aizawa S, Hayakawa S. TGF-β1 Promotes Zika Virus Infection in Immortalized Human First-Trimester Trophoblasts via the Smad Pathway. Cells. 2022; 11(19):3026. https://doi.org/10.3390/cells11193026
Chicago/Turabian StyleTrinh, Quang Duy, Ngan Thi Kim Pham, Kazuhide Takada, Chika Takano, Shihoko Komine-Aizawa, and Satoshi Hayakawa. 2022. "TGF-β1 Promotes Zika Virus Infection in Immortalized Human First-Trimester Trophoblasts via the Smad Pathway" Cells 11, no. 19: 3026. https://doi.org/10.3390/cells11193026
APA StyleTrinh, Q. D., Pham, N. T. K., Takada, K., Takano, C., Komine-Aizawa, S., & Hayakawa, S. (2022). TGF-β1 Promotes Zika Virus Infection in Immortalized Human First-Trimester Trophoblasts via the Smad Pathway. Cells, 11(19), 3026. https://doi.org/10.3390/cells11193026

