Single Cell Analysis of Cultivated Fibroblasts from Chronic Pancreatitis and Pancreatic Cancer Patients
Abstract
:1. Introduction
2. Materials and Methods
2.1. Human Subjects
2.2. Isolation and Cultivation of Fibroblasts
2.3. Single-Cell RNA Sequencing and Bioinformatics Analysis
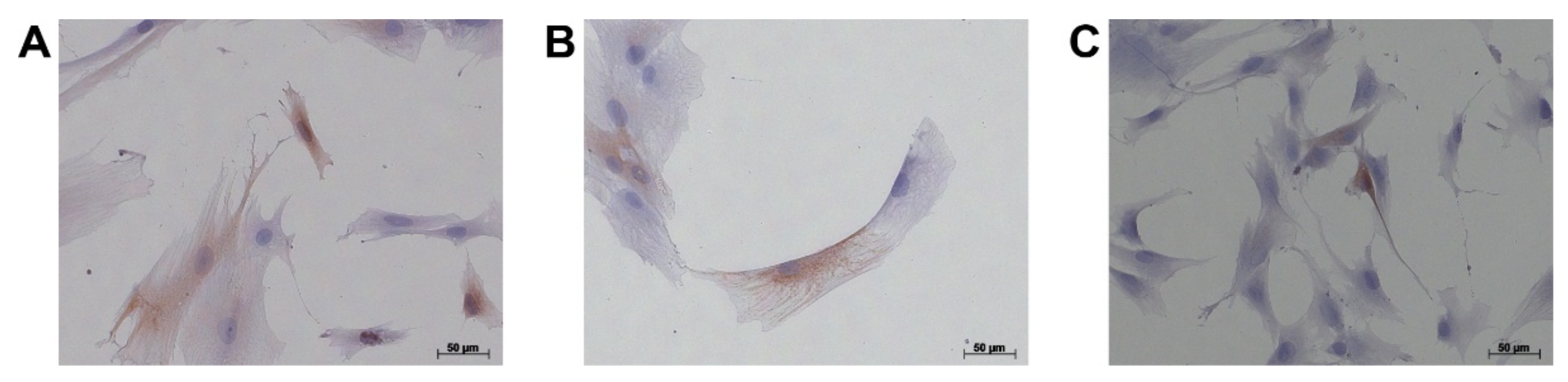
2.4. Immunocytochemistry
2.5. GEPIA
2.6. Data Access
3. Results
3.1. Identification of Highly Variable Genes in Disease-Associated Fibroblasts of Pancreatic Cancer and Chronic Pancreatitis Patients
3.2. Cell Cycle-Associated Factors Are Majority of Highly Variable Genes
3.3. Instead of myCAF-, iCAF-, or apCAF-Specific Clusters, Rather a myCAF-Like Subtype with CXCL12 Expression Observed in Primary Isolated Disease-Associated Fibroblasts
4. Discussion
Author Contributions
Funding
Institutional Review Board Statement
Informed Consent Statement
Data Availability Statement
Acknowledgments
Conflicts of Interest
References
- Siegel, R.L.; Miller, K.D.; Fuchs, H.E.; Jemal, A. Cancer statistics. CA Cancer J. Clin. 2022, 72, 7–33. [Google Scholar] [CrossRef] [PubMed]
- Rahib, L.; Smith, B.D.; Aizenberg, R.; Rosenzweig, A.B.; Fleshman, J.M.; Matrisian, L.M. Projecting cancer incidence and deaths to 2030: The unexpected burden of thyroid, liver, and pancreas cancers in the United States. Cancer Res. 2014, 74, 2913–2921, Erratum in: Cancer Res. 2014, 74, 4006. [Google Scholar] [CrossRef] [PubMed]
- Kleeff, J.; Korc, M.; Apte, M.; La Vecchia, C.; Johnson, C.D.; Biankin, A.V.; Neale, R.E.; Tempero, M.; Tuveson, D.A.; Hruban, R.H.; et al. Pancreatic cancer. Nat. Rev. Dis. Primers 2016, 2, 16022. [Google Scholar] [CrossRef] [PubMed]
- Sunami, Y.; Häußler, J.; Kleeff, J. Cellular Heterogeneity of Pancreatic Stellate Cells, Mesenchymal Stem Cells, and Cancer-Associated Fibroblasts in Pancreatic Cancer. Cancers 2020, 12, 3770. [Google Scholar] [CrossRef]
- Sunami, Y.; Böker, V.; Kleeff, J. Targeting and Reprograming Cancer-Associated Fibroblasts and the Tumor Microenvironment in Pancreatic Cancer. Cancers 2021, 13, 697. [Google Scholar] [CrossRef]
- Murphy, K.J.; Chambers, C.R.; Herrmann, D.; Timpson, P.; Pereira, B.A. Dynamic Stromal Alterations Influence Tumor-Stroma Crosstalk to Promote Pancreatic Cancer and Treatment Resistance. Cancers 2021, 13, 3481. [Google Scholar] [CrossRef]
- Barrera, L.N.; Evans, A.; Lane, B.; Brumskill, S.; Oldfield, F.E.; Campbell, F.; Andrews, T.; Lu, Z.; Perez-Mancera, P.A.; Liloglou, T.; et al. Fibroblasts from Distinct Pancreatic Pathologies Exhibit Disease-Specific Properties. Cancer Res. 2020, 80, 2861–2873. [Google Scholar] [CrossRef]
- Erkan, M.; Adler, G.; Apte, M.V.; Bachem, M.G.; Buchholz, M.; Detlefsen, S.; Esposito, I.; Friess, H.; Gress, T.M.; Habisch, H.J.; et al. StellaTUM: Current consensus and discussion on pancreatic stellate cell research. Gut 2012, 61, 172–178. [Google Scholar] [CrossRef]
- Biffi, G.; Tuveson, D.A. Diversity and Biology of Cancer-Associated Fibroblasts. Physiol. Rev. 2021, 101, 147–176. [Google Scholar] [CrossRef]
- Öhlund, D.; Handly-Santana, A.; Biffi, G.; Elyada, E.; Almeida, A.S.; Ponz-Sarvise, M.; Corbo, V.; Oni, T.E.; Hearn, S.A.; Lee, E.J.; et al. Distinct populations of inflammatory fibroblasts and myofibroblasts in pancreatic cancer. J. Exp. Med. 2017, 214, 579–596. [Google Scholar] [CrossRef]
- Elyada, E.; Bolisetty, M.; Laise, P.; Flynn, W.F.; Courtois, E.T.; Burkhart, R.A.; Teinor, J.A.; Belleau, P.; Biffi, G.; Lucito, M.S.; et al. Cross-Species Single-Cell Analysis of Pancreatic Ductal Adenocarcinoma Reveals Antigen-Presenting Cancer-Associated Fibroblasts. Cancer Discov. 2019, 9, 1102–1123. [Google Scholar] [CrossRef]
- Bachem, M.G.; Schneider, E.; Gross, H.; Weidenbach, H.; Schmid, R.M.; Menke, A.; Siech, M.; Beger, H.; Grünert, A.; Adler, G. Identification, culture, and characterization of pancreatic stellate cells in rats and humans. Gastroenterology 1998, 115, 421–432. [Google Scholar] [CrossRef]
- Tosti, L.; Hang, Y.; Debnath, O.; Tiesmeyer, S.; Trefzer, T.; Steiger, K.; Ten, F.W.; Lukassen, S.; Ballke, S.; Kühl, A.A.; et al. Single-Nucleus and In Situ RNA-Sequencing Reveal Cell Topographies in the Human Pancreas. Gastroenterology 2021, 160, 1330–1344.e11. [Google Scholar] [CrossRef]
- Tang, Z.; Li, C.; Kang, B.; Gao, G.; Li, C.; Zhang, Z. GEPIA: A web server for cancer and normal gene expression profiling and interactive analyses. Nucleic Acids Res. 2017, 45, W98–W102. [Google Scholar] [CrossRef]
- Bai, R.; Rebelo, A.; Kleeff, J.; Sunami, Y. Identification of prognostic lipid droplet-associated genes in pancreatic cancer patients via bioinformatics analysis. Lipids Health Dis. 2021, 20, 58. [Google Scholar] [CrossRef]
- Helms, E.J.; Berry, M.W.; Chaw, R.C.; DuFort, C.C.; Sun, D.; Onate, M.K.; Oon, C.; Bhattacharyya, S.; Sanford-Crane, H.; Horton, W.; et al. Mesenchymal Lineage Heterogeneity Underlies Nonredundant Functions of Pancreatic Cancer-Associated Fibroblasts. Cancer Discov. 2022, 12, 484–501. [Google Scholar] [CrossRef]
- Tirosh, I.; Izar, B.; Prakadan, S.M.; Wadsworth MH 2nd Treacy, D.; Trombetta, J.J.; Rotem, A.; Rodman, C.; Lian, C.; Murphy, G.; Fallahi-Sichani, M.; et al. Dissecting the multicellular ecosystem of metastatic melanoma by single-cell RNA-seq. Science 2016, 352, 189–196. [Google Scholar] [CrossRef]
- Huang, S.; Zhao, J.; Song, J.; Li, Y.; Zuo, R.; Sa, Y.; Ma, Z.; OuYang, H. Interferon alpha-inducible protein 27 (IFI27) is a prognostic marker for pancreatic cancer based on comprehensive bioinformatics analysis. Bioengineered 2021, 12, 8515–8528. [Google Scholar] [CrossRef]
- Lao, M.; Zhang, X.; Ma, T.; Xu, J.; Yang, H.; Duan, Y.; Ying, H.; Zhang, X.; Guo, C.; Qiu, J.; et al. Regulator of calcineurin 1 gene isoform 4 in pancreatic ductal adenocarcinoma regulates the progression of tumor cells. Oncogene 2021, 40, 3136–3151. [Google Scholar] [CrossRef]
- Xiong, Y.; Ju, L.; Yuan, L.; Chen, L.; Wang, G.; Xu, H.; Peng, T.; Luo, Y.; Xiao, Y.; Wang, X. KNSTRN promotes tumorigenesis and gemcitabine resistance by activating AKT in bladder cancer. Oncogene 2021, 40, 1595–1608. [Google Scholar] [CrossRef]
- Chen, P.; He, Z.; Wang, J.; Xu, J.; Jiang, X.; Chen, Y.; Liu, X.; Jiang, J. Hypoxia-Induced ZWINT Mediates Pancreatic Cancer Proliferation by Interacting With p53/p21. Front. Cell Dev. Biol. 2021, 9, 682131, eCollection 2021. [Google Scholar] [CrossRef]
- Grünwald, B.T.; Devisme, A.; Andrieux, G.; Vyas, F.; Aliar, K.; McCloskey, C.W.; Macklin, A.; Jang, G.H.; Denroche, R.; Romero, J.M.; et al. Spatially confined sub-tumor microenvironments in pancreatic cancer. Cell 2021, 184, 5577–5592.e18. [Google Scholar] [CrossRef]
- Dominguez, C.X.; Müller, S.; Keerthivasan, S.; Koeppen, H.; Hung, J.; Gierke, S.; Breart, B.; Foreman, O.; Bainbridge, T.W.; Castiglioni, A.; et al. Single-Cell RNA Sequencing Reveals Stromal Evolution into LRRC15+ Myofibroblasts as a Determinant of Patient Response to Cancer Immunotherapy. Cancer Discov. 2020, 10, 232–253. [Google Scholar] [CrossRef]








| Title 1 | Patient1 | Patient2 | Patient3 |
|---|---|---|---|
| Age at the resection | 79 | 48 | 25 |
| gender | male | female | male |
| Disease, Tumor classification | Pancreatic cancer, G2 pT3 pN1 M0, L0 V0 Pn1, UICC-Status IIB | Pancreatic cancer, G2 pT2 pN0 M0, L0 V0 Pn1, UICC-Status IB | Chronic pancreatitis |
| Number of nuclei | 2714 | 6764 | 7639 |
| Gene | Cluster | p-Value | Average log2FC | Pct.1 | Pct.2 | p-Value Adjusted |
|---|---|---|---|---|---|---|
| MXD4 | 0 | 5.03 × 10−115 | 0.52657675335757 | 0.889 | 0.508 | 1.16 × 10−110 |
| PAPPA | 0 | 9.83 × 10−86 | 1.0109090899262 | 0.842 | 0.551 | 2.27 × 10−81 |
| GDF15 | 0 | 2.41 × 10−73 | 1.16972243694366 | 0.629 | 0.281 | 5.57 × 10−69 |
| CDC42EP5 | 0 | 3.35 × 10−69 | 0.329695153407811 | 0.651 | 0.294 | 7.75 × 10−65 |
| SAT1 | 0 | 7.20 × 10−64 | 0.604752674279049 | 0.866 | 0.618 | 1.66 × 10−59 |
| THBS2 | 0 | 3.09 × 10−57 | 0.420962922589772 | 0.905 | 0.656 | 7.14 × 10−53 |
| CTSK | 0 | 1.11 × 10−56 | 0.922547366516297 | 0.713 | 0.442 | 2.57 × 10−52 |
| COX7A1 | 0 | 1.63 × 10−56 | 0.481923174187465 | 0.777 | 0.502 | 3.76 × 10−52 |
| SNRPN | 0 | 3.29 × 10−55 | 0.367555328393367 | 0.905 | 0.679 | 7.62 × 10−51 |
| FADS3 | 0 | 2.22 × 10−51 | 0.372644480541774 | 0.842 | 0.593 | 5.12 × 10−47 |
| PCDH10 | 0 | 3.71 × 10−50 | 0.388362189718403 | 0.562 | 0.248 | 8.58 × 10−46 |
| SCG5 | 0 | 1.47 × 10−47 | 0.897313835683302 | 0.684 | 0.414 | 3.40 × 10−43 |
| IGFBP5 | 0 | 6.23 × 10−47 | 1.89606245760768 | 0.648 | 0.388 | 1.44 × 10−42 |
| AHNAK2 | 0 | 1.58 × 10−45 | 0.342619142825 | 0.74 | 0.438 | 3.66 × 10−41 |
| C5orf46 | 0 | 2.85 × 10−44 | 0.434334936421886 | 0.602 | 0.32 | 6.60 × 10−40 |
| AC097480.1 | 0 | 3.92 × 10−44 | 0.397420295368166 | 0.376 | 0.117 | 9.07 × 10−41 |
| CRYAB | 0 | 4.14 × 10−41 | 0.719531739217665 | 0.795 | 0.554 | 9.58 × 10−37 |
| IGFBP3 | 0 | 2.10 × 10−40 | 1.30767448451024 | 0.691 | 0.435 | 4.85 × 10−36 |
| ANGPTL4 | 0 | 3.34 × 10−40 | 0.355106223670863 | 0.543 | 0.256 | 7.73 × 10−36 |
| FSTL3 | 0 | 9.44 × 10−38 | 0.332060887611438 | 0.761 | 0.491 | 2.18 × 10−33 |
| COPZ2 | 0 | 2.37 × 10−37 | 0.326611462306643 | 0.891 | 0.678 | 5.48 × 10−33 |
| GPNMB | 0 | 3.63 × 10−35 | 0.353241339224302 | 0.761 | 0.522 | 8.38 × 10−31 |
| LMCD1 | 0 | 4.55 × 10−34 | 0.505462991451827 | 0.635 | 0.395 | 1.05 × 10−29 |
| LUM | 0 | 7.07 × 10−29 | 0.407477532269438 | 0.69 | 0.454 | 1.63 × 10−24 |
| COL11A1 | 0 | 8.50 × 10−27 | 0.410716209611568 | 0.59 | 0.349 | 1.96 × 10−23 |
| ANKRD37 | 0 | 1.84 × 10−26 | 0.357421975813258 | 0.474 | 0.231 | 4.26 × 10−22 |
| KIF26B | 0 | 1.09 × 10−24 | 0.454003954754278 | 0.697 | 0.449 | 2.53 × 10−19 |
| CYP1B1 | 0 | 2.93 × 10−21 | 0.310903502762083 | 0.473 | 0.245 | 6.78 × 10−17 |
| ABI3BP | 0 | 5.40 × 10−21 | 0.504578102968974 | 0.402 | 0.192 | 1.25 × 10−16 |
| CDK1 | 1 | 3.38 × 10−281 | 1.217773701271 | 0.923 | 0.232 | 7.81 × 10−277 |
| HJURP | 1 | 8.28 × 10−214 | 0.666094535423477 | 0.776 | 0.148 | 1.91 × 10−210 |
| UBE2C | 1 | 1.45 × 10−211 | 1.5585090216938 | 0.937 | 0.407 | 3.36 × 10−207 |
| TOP2A | 1 | 1.19 × 10−206 | 1.54271793537239 | 0.936 | 0.435 | 2.76 × 10−202 |
| AURKB | 1 | 3.29 × 10−205 | 0.74616142540391 | 0.847 | 0.23 | 7.60 × 10−201 |
| FBXO5 | 1 | 1.02 × 10−203 | 0.67512175613025 | 0.873 | 0.249 | 2.35 × 10−199 |
| HIST1H1B | 1 | 3.44 × 10−195 | 1.45922164557741 | 0.777 | 0.185 | 7.95 × 10−191 |
| CDCA2 | 1 | 1.35 × 10−188 | 0.692330589773016 | 0.825 | 0.222 | 3.12 × 10−184 |
| KIF18B | 1 | 6.20 × 10−188 | 0.56145936836675 | 0.75 | 0.155 | 1.43 × 10−183 |
| CDCA8 | 1 | 3.90 × 10−179 | 0.752658739698257 | 0.837 | 0.226 | 9.02 × 10−175 |
| CKAP2L | 1 | 8.64 × 10−179 | 0.60469745700897 | 0.821 | 0.221 | 2.00 × 10−174 |
| ARHGAP11B | 1 | 7.96 × 10−172 | 0.550161023821282 | 0.713 | 0.152 | 1.84 × 10−167 |
| CEP128 | 1 | 5.52 × 10−170 | 0.586677178192601 | 0.82 | 0.237 | 1.28 × 10−165 |
| HMGB2 | 1 | 7.70 × 10−169 | 1.24812017681573 | 0.958 | 0.53 | 1.78 × 10−164 |
| LINC01572 | 1 | 9.80 × 10−155 | 0.633946121686711 | 0.787 | 0.263 | 2.27 × 10−151 |
| MELK | 1 | 3.91 × 10−151 | 0.565960749066164 | 0.865 | 0.335 | 9.05 × 10−147 |
| ESCO2 | 1 | 1.19 × 10−147 | 0.480935013769491 | 0.754 | 0.202 | 2.76 × 10−143 |
| GTSE1 | 1 | 6.96 × 10−147 | 0.727246306246762 | 0.844 | 0.317 | 1.61 × 10−142 |
| NCAPG | 1 | 8.42 × 10−147 | 0.657784193430886 | 0.888 | 0.348 | 1.95 × 10−142 |
| KIFC1 | 1 | 1.29 × 10−145 | 0.52383057541541 | 0.803 | 0.25 | 2.99 × 10−140 |
| KIF23 | 1 | 2.14 × 10−143 | 0.771038833443001 | 0.895 | 0.441 | 4.95 × 10−139 |
| NEIL3 | 1 | 7.34 × 10−143 | 0.372824444469321 | 0.626 | 0.118 | 1.70 × 10−139 |
| DLEU2 | 1 | 4.85 × 10−140 | 0.628595309288741 | 0.933 | 0.5 | 1.12 × 10−135 |
| KIF11 | 1 | 3.37 × 10−137 | 0.570091739120192 | 0.833 | 0.298 | 7.79 × 10−133 |
| NDC80 | 1 | 5.48 × 10−136 | 0.573873285368215 | 0.821 | 0.271 | 1.27 × 10−131 |
| NSD2 | 1 | 6.78 × 10−134 | 0.683028968844798 | 0.973 | 0.604 | 1.57 × 10−129 |
| UBE2T | 1 | 2.76 × 10−133 | 0.717575875506757 | 0.97 | 0.621 | 6.38 × 10−129 |
| CDCA5 | 1 | 3.45 × 10−129 | 0.396031325743175 | 0.706 | 0.182 | 7.99 × 10−125 |
| KNL1 | 1 | 2.60 × 10−127 | 0.590067939428105 | 0.827 | 0.311 | 6.02 × 10−124 |
| CENPK | 1 | 1.68 × 10−126 | 0.595773001526377 | 0.933 | 0.489 | 3.88 × 10−123 |
| BARD1 | 1 | 1.05 × 10−124 | 0.497621617904068 | 0.847 | 0.341 | 2.43 × 10−120 |
| MKI67 | 1 | 3.50 × 10−124 | 0.990647290602104 | 0.918 | 0.482 | 8.09 × 10−120 |
| KIF20B | 1 | 8.54 × 10−122 | 0.678820111686073 | 0.915 | 0.428 | 1.97 × 10−117 |
| TTK | 1 | 1.72 × 10−118 | 0.39198516969214 | 0.633 | 0.15 | 3.98 × 10−114 |
| SMC4 | 1 | 3.37 × 10−118 | 0.831072141566686 | 0.974 | 0.662 | 7.79 × 10−114 |
| CDCA4 | 1 | 9.86 × 10−118 | 0.462152550274466 | 0.818 | 0.345 | 2.28 × 10−113 |
| KIF4A | 1 | 5.43 × 10−117 | 0.506969008189571 | 0.803 | 0.299 | 1.26 × 10−112 |
| FEN1 | 1 | 3.23 × 10−116 | 0.581337824059999 | 0.91 | 0.456 | 7.46 × 10−112 |
| NUF2 | 1 | 4.54 × 10−116 | 0.646107435494053 | 0.836 | 0.335 | 1.05 × 10−110 |
| KIF14 | 1 | 5.91 × 10−115 | 0.463692524219373 | 0.705 | 0.212 | 1.37 × 10−110 |
| DBF4 | 1 | 1.95 × 10−114 | 0.587834146901801 | 0.858 | 0.436 | 4.52 × 10−110 |
| SPC25 | 1 | 1.04 × 10−113 | 0.521305325488545 | 0.818 | 0.323 | 2.40 × 10−109 |
| KIF2C | 1 | 1.08 × 10−113 | 0.512991064138338 | 0.727 | 0.223 | 2.49 × 10−109 |
| CCNA2 | 1 | 1.33 × 10−113 | 0.58858592921946 | 0.848 | 0.337 | 3.09 × 10−109 |
| FAM83D | 1 | 1.36 × 10−114 | 0.388259146399628 | 0.613 | 0.154 | 3.14 × 10−109 |
| KIF15 | 1 | 4.23 × 10−112 | 0.308609790169668 | 0.593 | 0.134 | 9.78 × 10−108 |
| HIST1H1E | 1 | 8.84 × 10−112 | 0.930971071463036 | 0.719 | 0.306 | 2.04 × 10−107 |
| SGO1 | 1 | 1.18 × 10−111 | 0.414278244461817 | 0.719 | 0.218 | 2.73 × 10−107 |
| CLSPN | 1 | 2.91 × 10−111 | 0.65508914483109 | 0.956 | 0.501 | 6.73 × 10−107 |
| HIST1H2AH | 1 | 7.15 × 10−111 | 0.375216848297376 | 0.471 | 0.077 | 1.65 × 10−106 |
| TMPO | 1 | 2.97 × 10−110 | 0.707133223014209 | 0.973 | 0.692 | 6.87 × 10−106 |
| BRIP1 | 1 | 3.94 × 10−110 | 0.610259058781836 | 0.863 | 0.392 | 9.10 × 10−106 |
| HIST1H3B | 1 | 6.36 × 10−110 | 0.339009976604904 | 0.492 | 0.088 | 1.47 × 10−105 |
| CENPE | 1 | 2.31 × 10−109 | 0.83868521493331 | 0.836 | 0.385 | 5.35 × 10−105 |
| ATAD2 | 1 | 3.36 × 10−110 | 0.646418548726152 | 0.944 | 0.533 | 7.76 × 10−105 |
| MIR924HG | 1 | 1.87 × 10−108 | 0.60912425610384 | 0.734 | 0.238 | 4.32 × 10−104 |
| FAM111A | 1 | 4.28 × 10−108 | 0.480066568863614 | 0.757 | 0.321 | 9.90 × 10−104 |
| POLQ | 1 | 5.56 × 10−107 | 0.326887174080224 | 0.619 | 0.156 | 1.29 × 10−102 |
| Z94721.1 | 1 | 6.30 × 10−106 | 0.311290952655472 | 0.568 | 0.129 | 1.46 × 10−101 |
| ASPM | 1 | 6.94 × 10−106 | 0.806476667727835 | 0.852 | 0.381 | 1.60 × 10−101 |
| KIF18A | 1 | 2.04 × 10−105 | 0.457985114861287 | 0.764 | 0.307 | 4.71 × 10−101 |
| HIST1H3D | 1 | 6.05 × 10−105 | 0.38895099141706 | 0.489 | 0.094 | 1.40 × 10−100 |
| MIS18BP1 | 1 | 8.74 × 10−104 | 0.543388638803541 | 0.923 | 0.59 | 2.02 × 10−100 |
| NCAPH | 1 | 9.30 × 10−104 | 0.318441669167983 | 0.643 | 0.177 | 2.15 × 10−99 |
| H2AFX | 1 | 9.41 × 10−104 | 0.685703332643443 | 0.94 | 0.632 | 2.18 × 10−99 |
| ARHGAP11A | 1 | 4.07 × 10−103 | 0.432432564600806 | 0.698 | 0.243 | 9.42 × 10−99 |
| TACC3 | 1 | 1.13 × 10−102 | 0.584123376464301 | 0.865 | 0.405 | 2.61 × 10−98 |
| BUB1B | 1 | 1.58 × 10−101 | 0.450386318125073 | 0.74 | 0.257 | 3.65 × 10−97 |
| CCDC18 | 1 | 1.78 × 10−101 | 0.501883274033725 | 0.786 | 0.355 | 4.11 × 10−97 |
| ANLN | 1 | 8.20 × 10−100 | 0.686740618692537 | 0.922 | 0.505 | 1.90 × 10−95 |
| RAD51AP1 | 1 | 3.03 × 10−99 | 0.385345488278663 | 0.758 | 0.277 | 7.01 × 10−95 |
| CIT | 1 | 5.55 × 10−99 | 0.425635672538582 | 0.678 | 0.23 | 1.28 × 10−94 |
| CCNF | 1 | 3.61 × 10−97 | 0.309720189642715 | 0.533 | 0.124 | 8.35 × 10−93 |
| CENPU | 1 | 3.42 × 10−96 | 0.517098949441927 | 0.921 | 0.482 | 7.91 × 10−92 |
| USP1 | 1 | 4.73 × 10−97 | 0.529622421208818 | 0.928 | 0.59 | 1.09 × 10−91 |
| ARHGAP11A | 1 | 4.07 × 10−103 | 0.432432564600806 | 0.698 | 0.243 | 9.42 × 10−99 |
| TACC3 | 1 | 1.13 × 10−102 | 0.584123376464301 | 0.865 | 0.405 | 2.61 × 10−98 |
| BUB1B | 1 | 1.58 × 10−101 | 0.450386318125073 | 0.74 | 0.257 | 3.65 × 10−97 |
| CCDC18 | 1 | 1.78 × 10−101 | 0.501883274033725 | 0.786 | 0.355 | 4.11 × 10−97 |
| ANLN | 1 | 8.20 × 10−100 | 0.686740618692537 | 0.922 | 0.505 | 1.90 × 10−95 |
| RAD51AP1 | 1 | 3.03 × 10−99 | 0.385345488278663 | 0.758 | 0.277 | 7.01 × 10−95 |
| CIT | 1 | 5.55 × 10−99 | 0.425635672538582 | 0.678 | 0.23 | 1.28 × 10−94 |
| CCNF | 1 | 3.61 × 10−97 | 0.309720189642715 | 0.533 | 0.124 | 8.35 × 10−93 |
| CENPU | 1 | 3.42 × 10−96 | 0.517098949441927 | 0.921 | 0.482 | 7.91 × 10−92 |
| USP1 | 1 | 4.73 × 10−97 | 0.529622421208818 | 0.928 | 0.59 | 1.09 × 10−91 |
| GAS2L3 | 1 | 5.48 × 10−96 | 0.440448497779858 | 0.641 | 0.214 | 1.27 × 10−91 |
| CENPI | 1 | 1.43 × 10−95 | 0.313820083241218 | 0.611 | 0.176 | 3.31 × 10−91 |
| RRM2 | 1 | 1.66 × 10−95 | 0.643511970429096 | 0.945 | 0.558 | 3.83 × 10−91 |
| CENPA | 1 | 8.64 × 10−95 | 0.511135030394721 | 0.682 | 0.244 | 2.00 × 10−90 |
| SKA3 | 1 | 5.87 × 10−94 | 0.324596062484181 | 0.679 | 0.221 | 1.36 × 10−89 |
| ZWINT | 1 | 1.05 × 10−92 | 0.531799371626574 | 0.919 | 0.536 | 2.43 × 10−88 |
| NUSAP1 | 1 | 1.96 × 10−92 | 0.693560843591611 | 0.918 | 0.522 | 4.53 × 10−88 |
| SGO2 | 1 | 1.41 × 10−90 | 0.580055932148788 | 0.825 | 0.394 | 3.27 × 10−86 |
| SHCBP1 | 1 | 3.79 × 10−89 | 0.448247740254958 | 0.869 | 0.404 | 8.76 × 10−85 |
| DNAJC9 | 1 | 8.51 × 10−89 | 0.519479438857925 | 0.975 | 0.77 | 1.97 × 10−83 |
| ASF1B | 1 | 1.37 × 10−87 | 0.343159210532476 | 0.69 | 0.239 | 3.16 × 10−83 |
| HIST2H2AC | 1 | 1.63 × 10−87 | 0.679980454603195 | 0.723 | 0.36 | 3.78 × 10−83 |
| C21orf58 | 1 | 1.34 × 10−86 | 0.308264298086868 | 0.638 | 0.203 | 3.11 × 10−82 |
| BRCA1 | 1 | 4.39 × 10−86 | 0.378210564781065 | 0.776 | 0.318 | 1.02 × 10−81 |
| GMNN | 1 | 3.35 × 10−85 | 0.483939504250589 | 0.917 | 0.56 | 7.74 × 10−81 |
| ORC6 | 1 | 4.22 × 10−85 | 0.398267082494843 | 0.801 | 0.345 | 9.76 × 10−81 |
| MND1 | 1 | 1.25 × 10−84 | 0.324291743759601 | 0.679 | 0.235 | 2.88 × 10−81 |
| CENPF | 1 | 1.95 × 10−83 | 0.961460630993616 | 0.921 | 0.551 | 4.50 × 10−79 |
| MXD3 | 1 | 1.44 × 10−81 | 0.36440768070372 | 0.566 | 0.177 | 3.33 × 10−77 |
| RRM1 | 1 | 3.17 × 10−81 | 0.474604869567564 | 0.94 | 0.655 | 7.33 × 10−77 |
| HIST1H1A | 1 | 1.80 × 10−80 | 0.710605680679022 | 0.493 | 0.137 | 4.16 × 10−76 |
| MAD2L1 | 1 | 5.20 × 10−80 | 0.489488750455522 | 0.908 | 0.513 | 1.20 × 10−75 |
| AURKA | 1 | 1.24 × 10−79 | 0.63054187607067 | 0.825 | 0.42 | 2.86 × 10−74 |
| ECT2 | 1 | 9.18 × 10−78 | 0.446260241003061 | 0.837 | 0.466 | 2.12 × 10−73 |
| RACGAP1 | 1 | 3.16 × 10−77 | 0.357060353701338 | 0.732 | 0.304 | 7.30 × 10−73 |
| CDC45 | 1 | 2.22 × 10−76 | 0.308840494379532 | 0.709 | 0.272 | 5.14 × 10−72 |
| RFC3 | 1 | 3.01 × 10−76 | 0.343352218848334 | 0.769 | 0.321 | 6.97 × 10−73 |
| PBK | 1 | 3.17 × 10−75 | 0.567611838947207 | 0.919 | 0.499 | 7.32 × 10−71 |
| PKMYT1 | 1 | 3.47 × 10−74 | 0.306089875792054 | 0.654 | 0.235 | 8.03 × 10−70 |
| BRCA2 | 1 | 1.42 × 10−73 | 0.34965053011471 | 0.704 | 0.281 | 3.28 × 10−69 |
| MYBL1 | 1 | 3.34 × 10−72 | 0.349226656230426 | 0.682 | 0.296 | 7.72 × 10−68 |
| PIF1 | 1 | 8.17 × 10−72 | 0.338413259822857 | 0.448 | 0.122 | 1.89 × 10−67 |
| TPX2 | 1 | 9.93 × 10−72 | 0.664286155940432 | 0.93 | 0.605 | 2.30 × 10−67 |
| FANCI | 1 | 8.02 × 10−71 | 0.334501015448917 | 0.798 | 0.369 | 1.85 × 10−66 |
| HELLS | 1 | 2.83 × 10−70 | 0.436294541448265 | 0.878 | 0.504 | 6.55 × 10−66 |
| CENPP | 1 | 3.61 × 10−70 | 0.429243416895106 | 0.769 | 0.386 | 8.34 × 10−66 |
| PRIM2 | 1 | 9.54 × 10−70 | 0.445663113372904 | 0.926 | 0.615 | 2.21 × 10−65 |
| TCF19 | 1 | 2.05 × 10−69 | 0.306977990083555 | 0.682 | 0.265 | 4.75 × 10−67 |
| LMNB1 | 1 | 1.72 × 10−68 | 0.334939880529808 | 0.751 | 0.317 | 3.99 × 10−64 |
| MIS18A | 1 | 2.62 × 10−68 | 0.351894600497854 | 0.77 | 0.39 | 6.06 × 10−64 |
| CIP2A | 1 | 3.52 × 10−68 | 0.35413555558672 | 0.758 | 0.351 | 8.15 × 10−64 |
| NAV2 | 1 | 5.25 × 10−68 | 0.715967019361379 | 0.907 | 0.698 | 1.21 × 10−63 |
| EZH2 | 1 | 9.96 × 10−68 | 0.330376830176061 | 0.779 | 0.354 | 2.30 × 10−63 |
| POLD3 | 1 | 1.03 × 10−67 | 0.346527003387637 | 0.747 | 0.358 | 2.38 × 10−63 |
| SPATA5 | 1 | 1.55 × 10−67 | 0.424438610846798 | 0.833 | 0.501 | 3.58 × 10−63 |
| NCAPG2 | 1 | 6.97 × 10−67 | 0.370094493158939 | 0.802 | 0.413 | 1.61 × 10−62 |
| VRK1 | 1 | 1.58 × 10−66 | 0.350828198823895 | 0.795 | 0.411 | 3.64 × 10−62 |
| SCLT1 | 1 | 2.50 × 10−66 | 0.538567884484186 | 0.881 | 0.639 | 5.78 × 10−62 |
| G2E3 | 1 | 1.41 × 10−65 | 0.434931481714217 | 0.809 | 0.518 | 3.26 × 10−61 |
| HIST1H1C | 1 | 6.02 × 10−65 | 0.749471025632811 | 0.792 | 0.533 | 1.39 × 10−60 |
| PCLAF | 1 | 7.63 × 10−65 | 0.548409542540011 | 0.982 | 0.726 | 1.76 × 10−60 |
| CEP55 | 1 | 2.28 × 10−64 | 0.444384877721666 | 0.883 | 0.448 | 5.26 × 10−60 |
| AP001347.1 | 1 | 2.65 × 10−64 | 0.338860490459612 | 0.697 | 0.306 | 6.13 × 10−60 |
| RAD18 | 1 | 3.64 × 10−62 | 0.349511034427767 | 0.813 | 0.464 | 8.42 × 10−58 |
| MYBL2 | 1 | 4.80 × 10−62 | 0.327599270826376 | 0.701 | 0.309 | 1.11 × 10−57 |
| APOLD1 | 1 | 1.04 × 10−61 | 0.482705829625938 | 0.714 | 0.356 | 2.40 × 10−57 |
| PSMC3IP | 1 | 3.62 × 10−60 | 0.305727970041719 | 0.775 | 0.366 | 8.37 × 10−56 |
| MCM7 | 1 | 5.97 × 10−59 | 0.406425723666096 | 0.947 | 0.575 | 1.38 × 10−54 |
| GPSM2 | 1 | 1.11 × 10−57 | 0.356375237610496 | 0.653 | 0.299 | 2.58 × 10−53 |
| NCAPD3 | 1 | 1.47 × 10−55 | 0.323452379603221 | 0.81 | 0.47 | 3.39 × 10−51 |
| CKAP2 | 1 | 1.48 × 10−55 | 0.549640977439134 | 0.872 | 0.602 | 3.42 × 10−51 |
| CDKN2D | 1 | 5.12 × 10−54 | 0.441625540592813 | 0.683 | 0.387 | 1.18 × 10−49 |
| SMC2 | 1 | 1.35 × 10−53 | 0.382496233463084 | 0.93 | 0.671 | 3.11 × 10−49 |
| BUB1 | 1 | 1.40 × 10−53 | 0.311722421521002 | 0.699 | 0.307 | 3.24 × 10−49 |
| FOXM1 | 1 | 2.19 × 10−53 | 0.300815092823151 | 0.75 | 0.378 | 5.06 × 10−50 |
| TEX30 | 1 | 3.39 × 10−51 | 0.319135647569659 | 0.842 | 0.546 | 7.84 × 10−47 |
| PRR11 | 1 | 6.78 × 10−52 | 0.383434189793599 | 0.803 | 0.444 | 1.57 × 10−46 |
| GINS2 | 1 | 1.38 × 10−50 | 0.365751194770039 | 0.885 | 0.526 | 3.20 × 10−45 |
| EMP2 | 1 | 5.82 × 10−51 | 0.34924550830157 | 0.872 | 0.6 | 1.34 × 10−44 |
| TRIM59 | 1 | 7.84 × 10−48 | 0.391721961373452 | 0.772 | 0.506 | 1.81 × 10−43 |
| HIST1H1D | 1 | 3.16 × 10−47 | 0.440065411259682 | 0.331 | 0.081 | 7.30 × 10−43 |
| HMMR | 1 | 5.48 × 10−46 | 0.406688350508869 | 0.839 | 0.441 | 1.27 × 10−41 |
| SMC1A | 1 | 2.73 × 10−45 | 0.34372240444355 | 0.895 | 0.678 | 6.31 × 10−41 |
| CCDC14 | 1 | 3.02 × 10−46 | 0.328566007707011 | 0.801 | 0.507 | 6.98 × 10−41 |
| KIF22 | 1 | 5.25 × 10−45 | 0.306036800059592 | 0.777 | 0.479 | 1.21 × 10−40 |
| PLK1 | 1 | 3.34 × 10−44 | 0.417998745939095 | 0.678 | 0.336 | 7.73 × 10−39 |
| LCORL | 1 | 1.35 × 10−42 | 0.388923389039701 | 0.776 | 0.521 | 3.13 × 10−38 |
| DEPDC1 | 1 | 3.55 × 10−42 | 0.325869872955602 | 0.742 | 0.37 | 8.21 × 10−38 |
| SAC3D1 | 1 | 4.47 × 10−41 | 0.321992720632306 | 0.895 | 0.677 | 1.03 × 10−36 |
| PRC1 | 1 | 5.34 × 10−40 | 0.434659757767406 | 0.934 | 0.581 | 1.23 × 10−35 |
| DHFR | 1 | 3.09 × 10−39 | 0.315986392775952 | 0.908 | 0.686 | 7.14 × 10−35 |
| CENPM | 1 | 1.11 × 10−38 | 0.324964822919566 | 0.906 | 0.615 | 2.56 × 10−34 |
| BIRC5 | 1 | 7.70 × 10−35 | 0.40221160065042 | 0.945 | 0.655 | 1.78 × 10−30 |
| RFX8 | 1 | 1.72 × 10−34 | 0.305449206969217 | 0.654 | 0.362 | 3.98 × 10−29 |
| SAP30 | 1 | 6.59 × 10−31 | 0.320896181997167 | 0.783 | 0.569 | 1.52 × 10−26 |
| RAD51B | 1 | 1.46 × 10−29 | 0.367003320328178 | 0.813 | 0.594 | 3.38 × 10−24 |
| KNSTRN | 1 | 1.59 × 10−22 | 0.302722797631973 | 0.764 | 0.552 | 3.67 × 10−18 |
| CCNB1 | 2 | 1.38 × 10−170 | 1.28130409189154 | 0.997 | 0.65 | 3.19 × 10−166 |
| CDC20 | 2 | 6.96 × 10−149 | 1.08085310140798 | 0.975 | 0.51 | 1.61 × 10−144 |
| CCNB2 | 2 | 1.08 × 10−147 | 0.79963647553927 | 0.938 | 0.428 | 2.51 × 10−143 |
| DLGAP5 | 2 | 2.02 × 10−127 | 0.776139871899789 | 0.94 | 0.427 | 4.68 × 10−123 |
| PRC1 | 2 | 2.18 × 10−117 | 0.870056869643796 | 0.987 | 0.589 | 5.03 × 10−113 |
| HMMR | 2 | 3.01 × 10−114 | 0.754271372359569 | 0.943 | 0.437 | 6.95 × 10−110 |
| CDKN3 | 2 | 5.32 × 10−111 | 0.769225621045913 | 0.993 | 0.691 | 1.23 × 10−106 |
| BIRC5 | 2 | 3.17 × 10−98 | 0.735538745956502 | 0.987 | 0.662 | 7.33 × 10−94 |
| CKS1B | 2 | 2.03 × 10−94 | 0.691059605394196 | 0.99 | 0.75 | 4.70 × 10−88 |
| TPX2 | 2 | 4.90 × 10−92 | 0.80960851990548 | 0.978 | 0.612 | 1.13 × 10−87 |
| CENPF | 2 | 3.71 × 10−91 | 0.857661764249716 | 0.992 | 0.555 | 8.59 × 10−87 |
| CDCA3 | 2 | 6.47 × 10−89 | 0.545369444372327 | 0.871 | 0.419 | 1.50 × 10−84 |
| PBK | 2 | 3.82 × 10−84 | 0.6553913393387 | 0.953 | 0.517 | 8.83 × 10−80 |
| DEPDC1 | 2 | 9.19 × 10−81 | 0.562161053568371 | 0.811 | 0.374 | 2.13 × 10−76 |
| CEP55 | 2 | 1.67 × 10−77 | 0.617579552600243 | 0.891 | 0.473 | 3.86 × 10−74 |
| PIMREG | 2 | 1.84 × 10−75 | 0.469640939018683 | 0.755 | 0.352 | 4.25 × 10−71 |
| PHF19 | 2 | 7.36 × 10−73 | 0.522695499227147 | 0.946 | 0.67 | 1.70 × 10−68 |
| NUSAP1 | 2 | 2.76 × 10−59 | 0.510702502616756 | 0.943 | 0.54 | 6.38 × 10−55 |
| PLK1 | 2 | 1.76 × 10−58 | 0.43795685432261 | 0.745 | 0.338 | 4.06 × 10−54 |
| MAD2L1 | 2 | 3.55 × 10−54 | 0.492908983497593 | 0.898 | 0.541 | 8.21 × 10−50 |
| CKAP2 | 2 | 6.02 × 10−49 | 0.598043842889473 | 0.864 | 0.621 | 1.39 × 10−44 |
| SMC4 | 2 | 1.88 × 10−47 | 0.525458738244071 | 0.977 | 0.681 | 4.34 × 10−43 |
| MKI67 | 2 | 7.10 × 10−47 | 0.460075658603473 | 0.943 | 0.503 | 1.64 × 10−42 |
| ANLN | 2 | 1.47 × 10−46 | 0.434340895876565 | 0.921 | 0.532 | 3.39 × 10−42 |
| NEK2 | 2 | 1.14 × 10−45 | 0.307580708480862 | 0.526 | 0.211 | 2.63 × 10−41 |
| PRR11 | 2 | 4.65 × 10−46 | 0.368030429515734 | 0.811 | 0.465 | 1.08 × 10−41 |
| BUB1 | 2 | 1.91 × 10−36 | 0.317568378806836 | 0.657 | 0.344 | 4.43 × 10−32 |
| TMPO | 2 | 5.74 × 10−34 | 0.429872635835613 | 0.948 | 0.717 | 1.33 × 10−29 |
| ASPM | 2 | 1.36 × 10−33 | 0.396222694173503 | 0.789 | 0.429 | 3.14 × 10−29 |
| TACC3 | 2 | 1.11 × 10−32 | 0.332936107197724 | 0.801 | 0.453 | 2.56 × 10−28 |
| MSH6 | 2 | 2.77 × 10−31 | 0.336669026498678 | 0.747 | 0.53 | 6.40 × 10−27 |
| KNSTRN | 2 | 9.43 × 10−30 | 0.40640158305418 | 0.765 | 0.565 | 2.18 × 10−25 |
| PCLAF | 2 | 2.54 × 10−28 | 0.412586221887705 | 0.987 | 0.741 | 5.87 × 10−24 |
| H2AFX | 2 | 5.65 × 10−26 | 0.345102089485394 | 0.886 | 0.667 | 1.31 × 10−20 |
| CENPE | 2 | 7.96 × 10−24 | 0.31517477923108 | 0.757 | 0.436 | 1.84 × 10−19 |
| AURKA | 2 | 1.16 × 10−21 | 0.454990793395169 | 0.705 | 0.479 | 2.68 × 10−17 |
| KIF20B | 2 | 1.19 × 10−23 | 0.343044424382152 | 0.781 | 0.497 | 2.76 × 10−17 |
| RRM2 | 2 | 1.22 × 10−22 | 0.315412549099177 | 0.901 | 0.595 | 2.81 × 10−17 |
| NUF2 | 2 | 1.01 × 10−20 | 0.31369299247181 | 0.7 | 0.405 | 2.34 × 10−16 |
| MCM7 | 2 | 1.11 × 10−18 | 0.302397358738716 | 0.844 | 0.628 | 2.56 × 10−14 |
| SGO2 | 2 | 5.42 × 10−16 | 0.328146528775139 | 0.687 | 0.46 | 1.25 × 10−11 |
| Gene | Cluster | p-Value | Average log2FC | Pct.1 | Pct.2 | p-Value Adjusted |
|---|---|---|---|---|---|---|
| TOP2A | 0 | 0 | 1.79605326374694 | 0.815 | 0.233 | 0 |
| UBE2C | 0 | 0 | 1.63919445211954 | 0.781 | 0.211 | 0 |
| CENPF | 0 | 0 | 1.34876124117104 | 0.811 | 0.292 | 0 |
| CDK1 | 0 | 0 | 1.33264666202355 | 0.774 | 0.138 | 0 |
| STMN1 | 0 | 0 | 1.32138682451592 | 0.942 | 0.547 | 0 |
| NUSAP1 | 0 | 0 | 1.2286980735027 | 0.792 | 0.238 | 0 |
| DIAPH3 | 0 | 0 | 1.16113907654703 | 0.851 | 0.295 | 0 |
| CKS2 | 0 | 0 | 1.15293101811774 | 0.922 | 0.62 | 0 |
| HMGB2 | 0 | 0 | 1.11538535017322 | 0.768 | 0.246 | 0 |
| TYMS | 0 | 0 | 1.10000618998348 | 0.866 | 0.314 | 0 |
| MKI67 | 0 | 0 | 1.07580673615101 | 0.731 | 0.204 | 0 |
| SMC4 | 0 | 0 | 0.985921598378538 | 0.846 | 0.44 | 0 |
| PCLAF | 0 | 0 | 0.968323819792444 | 0.882 | 0.296 | 0 |
| TPX2 | 0 | 0 | 0.924358894514124 | 0.769 | 0.266 | 0 |
| ASPM | 0 | 0 | 0.897670249420366 | 0.678 | 0.182 | 0 |
| CLSPN | 0 | 0 | 0.887171912927092 | 0.757 | 0.176 | 0 |
| ATAD2 | 0 | 0 | 0.874751526379846 | 0.775 | 0.237 | 0 |
| PBK | 0 | 0 | 0.855784944466262 | 0.735 | 0.22 | 0 |
| CENPU | 0 | 0 | 0.835117757098471 | 0.782 | 0.196 | 0 |
| CKS1B | 0 | 0 | 0.833435203727637 | 0.876 | 0.454 | 0 |
| UBE2T | 0 | 0 | 0.825964540809045 | 0.785 | 0.275 | 0 |
| RRM2 | 0 | 0 | 0.82406183500547 | 0.663 | 0.161 | 0 |
| KIF20B | 0 | 0 | 0.815776478647066 | 0.736 | 0.207 | 0 |
| APOLD1 | 0 | 0 | 0.797140087161004 | 0.603 | 0.156 | 0 |
| CENPK | 0 | 0 | 0.793137975019939 | 0.805 | 0.261 | 0 |
| CENPE | 0 | 0 | 0.792614984666222 | 0.673 | 0.19 | 0 |
| TACC3 | 0 | 0 | 0.766915247357903 | 0.705 | 0.199 | 0 |
| TMPO | 0 | 0 | 0.739947410344141 | 0.75 | 0.267 | 0 |
| ANLN | 0 | 0 | 0.732349867027408 | 0.691 | 0.206 | 0 |
| SGO2 | 0 | 0 | 0.729181104940837 | 0.693 | 0.209 | 0 |
| TK1 | 0 | 0 | 0.724386338545294 | 0.783 | 0.238 | 0 |
| HMMR | 0 | 0 | 0.699172842546925 | 0.645 | 0.161 | 0 |
| NCAPG | 0 | 0 | 0.697319371070576 | 0.645 | 0.124 | 0 |
| FEN1 | 0 | 0 | 0.696892668232285 | 0.706 | 0.197 | 0 |
| SPC25 | 0 | 0 | 0.681763327564178 | 0.635 | 0.128 | 0 |
| HJURP | 0 | 0 | 0.679793595290009 | 0.556 | 0.086 | 0 |
| FBXO5 | 0 | 0 | 0.671620101318795 | 0.611 | 0.113 | 0 |
| NUF2 | 0 | 0 | 0.640912005859067 | 0.611 | 0.148 | 0 |
| HELLS | 0 | 0 | 0.63451507811957 | 0.647 | 0.17 | 0 |
| NDC80 | 0 | 0 | 0.621413114006706 | 0.616 | 0.141 | 0 |
| GTSE1 | 0 | 0 | 0.619982966600172 | 0.6 | 0.145 | 0 |
| AURKB | 0 | 0 | 0.606884764450141 | 0.558 | 0.092 | 0 |
| KIF23 | 0 | 0 | 0.602477769303273 | 0.605 | 0.145 | 0 |
| ZWINT | 0 | 0 | 0.598416502953059 | 0.656 | 0.175 | 0 |
| KNL1 | 0 | 0 | 0.583367784243798 | 0.584 | 0.127 | 0 |
| KIF11 | 0 | 0 | 0.572709771587086 | 0.578 | 0.131 | 0 |
| CDCA8 | 0 | 0 | 0.538516599881907 | 0.512 | 0.089 | 0 |
| CKAP2L | 0 | 0 | 0.508486954585748 | 0.524 | 0.096 | 0 |
| CEP128 | 0 | 0 | 0.485831827254704 | 0.5 | 0.086 | 0 |
| MELK | 0 | 0 | 0.482259210927512 | 0.538 | 0.106 | 0 |
| ESCO2 | 0 | 4.69 × 10−295 | 0.443942217336555 | 0.469 | 0.073 | 1.12 × 10−289 |
| PSMC3IP | 0 | 2.56 × 10−293 | 0.534713822780204 | 0.612 | 0.161 | 6.12 × 10−289 |
| AURKA | 0 | 5.53 × 10−288 | 0.69848370289414 | 0.62 | 0.164 | 1.32 × 10−283 |
| NSD2 | 0 | 6.07 × 10−287 | 0.672994436541658 | 0.719 | 0.268 | 1.45 × 10−282 |
| BRIP1 | 0 | 1.73 × 10−286 | 0.500689898963752 | 0.469 | 0.078 | 4.15 × 10−282 |
| MXD3 | 0 | 3.37 × 10−286 | 0.52543794412312 | 0.488 | 0.092 | 8.08 × 10−282 |
| CEP55 | 0 | 1.45 × 10−282 | 0.626250526855352 | 0.662 | 0.187 | 3.46 × 10−278 |
| ARHGAP11B | 0 | 5.82 × 10−282 | 0.432470373138973 | 0.426 | 0.06 | 1.39 × 10−277 |
| KIF14 | 0 | 6.53 × 10−279 | 0.458459893320424 | 0.479 | 0.085 | 1.56 × 10−275 |
| KPNA2 | 0 | 6.13 × 10−277 | 1.11884776918933 | 0.869 | 0.555 | 1.47 × 10−272 |
| RFC3 | 0 | 8.41 × 10−277 | 0.468635621907317 | 0.57 | 0.137 | 2.01 × 10−272 |
| CCNA2 | 0 | 1.27 × 10−276 | 0.601184117702451 | 0.581 | 0.146 | 3.04 × 10−273 |
| H2AFX | 0 | 4.76 × 10−275 | 0.772913382345842 | 0.734 | 0.314 | 1.14 × 10−270 |
| BIRC5 | 0 | 1.80 × 10−274 | 0.811277206411767 | 0.767 | 0.27 | 4.31 × 10−269 |
| CENPM | 0 | 3.93 × 10−273 | 0.542434709391609 | 0.67 | 0.202 | 9.40 × 10−269 |
| CENPW | 0 | 1.75 × 10−272 | 0.72148469926098 | 0.816 | 0.345 | 4.20 × 10−268 |
| HIST1H1B | 0 | 1.11 × 10−271 | 0.707208911930734 | 0.41 | 0.059 | 2.66 × 10−268 |
| PRC1 | 0 | 2.52 × 10−271 | 0.745506641367581 | 0.746 | 0.261 | 6.03 × 10−268 |
| PCNA | 0 | 2.34 × 10−270 | 0.718422723531482 | 0.809 | 0.395 | 5.60 × 10−266 |
| SHCBP1 | 0 | 1.48 × 10−268 | 0.451644802204119 | 0.559 | 0.129 | 3.55 × 10−264 |
| DNAJC9 | 0 | 9.37 × 10−267 | 0.633949672086213 | 0.781 | 0.347 | 2.25 × 10−262 |
| KIFC1 | 0 | 3.26 × 10−266 | 0.41048060928204 | 0.478 | 0.089 | 7.80 × 10−262 |
| DTL | 0 | 9.05 × 10−265 | 0.404951277172161 | 0.428 | 0.068 | 2.17 × 10−260 |
| RAD51AP1 | 0 | 2.77 × 10−264 | 0.417840591287033 | 0.478 | 0.092 | 6.64 × 10−260 |
| GINS2 | 0 | 6.91 × 10−264 | 0.460387044513258 | 0.512 | 0.11 | 1.65 × 10−259 |
| CDCA5 | 0 | 7.00 × 10−262 | 0.347587617602858 | 0.409 | 0.058 | 1.68 × 10−257 |
| KIF18B | 0 | 3.05 × 10−261 | 0.382458042816294 | 0.404 | 0.057 | 7.30 × 10−257 |
| BARD1 | 0 | 8.79 × 10−260 | 0.424084384025479 | 0.462 | 0.086 | 2.11 × 10−255 |
| SGO1 | 0 | 8.35 × 10−259 | 0.41290078141843 | 0.472 | 0.09 | 2.00 × 10−254 |
| KIF4A | 0 | 3.33 × 10−255 | 0.472499859356929 | 0.5 | 0.109 | 7.97 × 10−251 |
| TTK | 0 | 7.37 × 10−255 | 0.366775451612081 | 0.419 | 0.066 | 1.76 × 10−250 |
| DTYMK | 0 | 1.18 × 10−254 | 0.7026225521664 | 0.913 | 0.593 | 2.82 × 10−250 |
| ORC6 | 0 | 9.10 × 10−254 | 0.43159577464565 | 0.53 | 0.126 | 2.18 × 10−249 |
| LINC01572 | 0 | 4.59 × 10−252 | 0.424717002777551 | 0.429 | 0.074 | 1.10 × 10−247 |
| MAD2L1 | 0 | 6.58 × 10−252 | 0.577304939125178 | 0.699 | 0.247 | 1.57 × 10−247 |
| MYBL1 | 0 | 2.37 × 10−249 | 0.365784421616595 | 0.415 | 0.066 | 5.67 × 10−245 |
| CKAP2 | 0 | 1.65 × 10−248 | 0.745562712544766 | 0.747 | 0.31 | 3.95 × 10−244 |
| KIF2C | 0 | 6.83 × 10−246 | 0.436136580958906 | 0.456 | 0.09 | 1.64 × 10−241 |
| NEIL3 | 0 | 1.20 × 10−245 | 0.346115986129678 | 0.377 | 0.051 | 2.88 × 10−241 |
| SMC2 | 0 | 8.54 × 10−243 | 0.608875725169878 | 0.821 | 0.411 | 2.05 × 10−238 |
| MCM7 | 0 | 1.14 × 10−241 | 0.493220488397421 | 0.652 | 0.213 | 2.73 × 10−237 |
| BRCA1 | 0 | 7.42 × 10−236 | 0.422694688818054 | 0.509 | 0.124 | 1.78 × 10−231 |
| DLGAP5 | 0 | 2.32 × 10−235 | 0.584637912644874 | 0.618 | 0.185 | 5.56 × 10−231 |
| DEPDC1 | 0 | 2.39 × 10−235 | 0.497867650448442 | 0.574 | 0.156 | 5.73 × 10−231 |
| RRM1 | 0 | 3.05 × 10−235 | 0.531960719218836 | 0.724 | 0.292 | 7.30 × 10−231 |
| DNMT1 | 0 | 7.81 × 10−235 | 0.610218771091325 | 0.854 | 0.474 | 1.87 × 10−230 |
| FANCI | 0 | 5.13 × 10−233 | 0.41420243743029 | 0.521 | 0.133 | 1.23 × 10−228 |
| CENPH | 0 | 1.86 × 10−232 | 0.448572767362875 | 0.642 | 0.207 | 4.46 × 10−228 |
| BUB1B | 0 | 3.53 × 10−231 | 0.415512381900352 | 0.481 | 0.108 | 8.46 × 10−227 |
| CDC25C | 0 | 5.81 × 10−231 | 0.380566646887002 | 0.403 | 0.07 | 1.39 × 10−226 |
| NCAPH | 0 | 1.11 × 10−229 | 0.318274751878298 | 0.391 | 0.063 | 2.66 × 10−226 |
| CENPX | 0 | 1.39 × 10−226 | 0.639373459416858 | 0.922 | 0.651 | 3.32 × 10−222 |
| PHF19 | 0 | 5.15 × 10−226 | 0.541201400054887 | 0.696 | 0.262 | 1.23 × 10−221 |
| NCAPG2 | 0 | 3.70 × 10−224 | 0.431846455633852 | 0.539 | 0.149 | 8.86 × 10−220 |
| KIF18A | 0 | 1.53 × 10−223 | 0.421064420210407 | 0.48 | 0.114 | 3.67 × 10−219 |
| CDCA2 | 0 | 2.31 × 10−223 | 0.449341137619628 | 0.506 | 0.133 | 5.54 × 10−219 |
| PRR11 | 0 | 1.29 × 10−221 | 0.487110880247023 | 0.561 | 0.161 | 3.08 × 10−217 |
| E2F1 | 0 | 2.84 × 10−221 | 0.39788386826894 | 0.473 | 0.11 | 6.81 × 10−217 |
| CENPN | 0 | 6.53 × 10−220 | 0.480054472791842 | 0.67 | 0.246 | 1.56 × 10−215 |
| CDCA3 | 0 | 3.89 × 10−218 | 0.562071082533152 | 0.59 | 0.185 | 9.32 × 10−214 |
| DLEU2 | 0 | 7.17 × 10−216 | 0.496516580212333 | 0.623 | 0.218 | 1.72 × 10−210 |
| GMNN | 0 | 2.80 × 10−214 | 0.558870724562077 | 0.729 | 0.319 | 6.71 × 10−210 |
| CCDC18 | 0 | 3.73 × 10−214 | 0.468051889873288 | 0.558 | 0.173 | 8.93 × 10−210 |
| CDC45 | 0 | 1.24 × 10−213 | 0.315790294359164 | 0.383 | 0.066 | 2.97 × 10−209 |
| PTTG1 | 0 | 6.60 × 10−213 | 0.777391296315842 | 0.881 | 0.517 | 1.58 × 10−208 |
| RPL39L | 0 | 6.71 × 10−213 | 0.557396767350297 | 0.729 | 0.327 | 1.61 × 10−208 |
| MND1 | 0 | 1.89 × 10−211 | 0.315714589477428 | 0.37 | 0.061 | 4.52 × 10−207 |
| ITGB3BP | 0 | 3.64 × 10−210 | 0.516068351304291 | 0.726 | 0.318 | 8.73 × 10−206 |
| BRCA2 | 0 | 9.28 × 10−211 | 0.342272583284152 | 0.442 | 0.097 | 2.22 × 10−206 |
| SPDL1 | 0 | 3.71 × 10−209 | 0.615851855050538 | 0.826 | 0.47 | 8.89 × 10−205 |
| RACGAP1 | 0 | 2.33 × 10−204 | 0.402972574424527 | 0.5 | 0.136 | 5.58 × 10−200 |
| SKA2 | 0 | 3.70 × 10−203 | 0.538645990835765 | 0.836 | 0.455 | 8.87 × 10−199 |
| CENPA | 0 | 1.63 × 10−202 | 0.492527034567137 | 0.513 | 0.149 | 3.91 × 10−198 |
| BUB1 | 0 | 4.01 × 10−202 | 0.357204472978074 | 0.459 | 0.109 | 9.60 × 10−198 |
| ARHGAP11A | 0 | 1.47 × 10−199 | 0.353884246564175 | 0.422 | 0.093 | 3.53 × 10−196 |
| NASP | 0 | 7.93 × 10−199 | 0.579507057462542 | 0.882 | 0.54 | 1.90 × 10−194 |
| TMEM106C | 0 | 2.65 × 10−199 | 0.555492375381984 | 0.771 | 0.397 | 6.35 × 10−194 |
| CDKN3 | 0 | 3.21 × 10−198 | 0.64734439585374 | 0.715 | 0.284 | 7.69 × 10−194 |
| VRK1 | 0 | 4.26 × 10−197 | 0.380498837312631 | 0.538 | 0.167 | 1.02 × 10−192 |
| USP1 | 0 | 3.68 × 10−196 | 0.487231052109189 | 0.682 | 0.284 | 8.82 × 10−192 |
| PKMYT1 | 0 | 2.42 × 10−195 | 0.322695046925214 | 0.386 | 0.076 | 5.79 × 10−191 |
| CIT | 0 | 2.76 × 10−194 | 0.36227876018763 | 0.412 | 0.091 | 6.61 × 10−190 |
| TCF19 | 0 | 3.14 × 10−194 | 0.326812235523065 | 0.392 | 0.081 | 7.51 × 10−190 |
| PLK1 | 0 | 5.72 × 10−193 | 0.478566405086608 | 0.487 | 0.136 | 1.37 × 10−188 |
| DBF4 | 0 | 7.76 × 10−193 | 0.476243325691938 | 0.579 | 0.205 | 1.86 × 10−189 |
| MCM5 | 0 | 4.10 × 10−188 | 0.389797623180505 | 0.508 | 0.151 | 9.83 × 10−184 |
| EMP2 | 0 | 5.79 × 10−188 | 0.482573581188507 | 0.729 | 0.328 | 1.39 × 10−183 |
| CCNB2 | 0 | 9.87 × 10−187 | 0.483990292844758 | 0.604 | 0.205 | 2.36 × 10−182 |
| FOXM1 | 0 | 1.36 × 10−185 | 0.347433950574551 | 0.483 | 0.132 | 3.25 × 10−181 |
| CDKN2C | 0 | 5.29 × 10−185 | 0.390740413257006 | 0.524 | 0.165 | 1.27 × 10−180 |
| CENPP | 0 | 1.73 × 10−184 | 0.418338769529916 | 0.521 | 0.164 | 4.14 × 10−180 |
| KNSTRN | 0 | 2.07 × 10−183 | 0.520280464541216 | 0.606 | 0.234 | 4.96 × 10−179 |
| PRIM2 | 0 | 4.38 × 10−183 | 0.499396287232664 | 0.702 | 0.329 | 1.05 × 10−178 |
| CIP2A | 0 | 1.15 × 10−182 | 0.338827439703043 | 0.444 | 0.115 | 2.76 × 10−179 |
| C21orf58 | 0 | 3.86 × 10−183 | 0.309679968228961 | 0.397 | 0.089 | 9.25 × 10−178 |
| GAS2L3 | 0 | 3.93 × 10−182 | 0.355561254043055 | 0.383 | 0.083 | 9.42 × 10−178 |
| CDC20 | 0 | 4.93 × 10−181 | 0.524729916423815 | 0.626 | 0.221 | 1.18 × 10−175 |
| RPA3 | 0 | 3.54 × 10−179 | 0.508784005186509 | 0.849 | 0.518 | 8.47 × 10−175 |
| PSIP1 | 0 | 4.21 × 10−178 | 0.531844560159837 | 0.858 | 0.525 | 1.01 × 10−173 |
| CBX5 | 0 | 3.40 × 10−176 | 0.526371278230042 | 0.849 | 0.522 | 8.15 × 10−173 |
| MIS18BP1 | 0 | 4.87 × 10−175 | 0.483623163399267 | 0.682 | 0.316 | 1.17 × 10−171 |
| CCNB1 | 0 | 8.93 × 10−174 | 0.628253981701828 | 0.691 | 0.295 | 2.14 × 10−169 |
| DHFR | 0 | 9.04 × 10−174 | 0.426468651928734 | 0.635 | 0.258 | 2.17 × 10−169 |
| EZH2 | 0 | 7.76 × 10−173 | 0.317640681430593 | 0.407 | 0.099 | 1.86 × 10−168 |
| NCAPD3 | 0 | 4.50 × 10−171 | 0.360000013437414 | 0.518 | 0.171 | 1.08 × 10−167 |
| CDC6 | 0 | 5.25 × 10−171 | 0.30306426739638 | 0.343 | 0.067 | 1.26 × 10−166 |
| FAM111A | 0 | 1.10 × 10−169 | 0.391990222575551 | 0.51 | 0.172 | 2.63 × 10−165 |
| CDCA4 | 0 | 2.26 × 10−167 | 0.370946302210805 | 0.484 | 0.154 | 5.41 × 10−163 |
| MIR924HG | 0 | 5.76 × 10−166 | 0.321676526418005 | 0.286 | 0.043 | 1.38 × 10−161 |
| BUB3 | 0 | 1.56 × 10−165 | 0.575824912784537 | 0.849 | 0.575 | 3.74 × 10−161 |
| CENPQ | 0 | 5.28 × 10−165 | 0.33197679927466 | 0.456 | 0.133 | 1.27 × 10−161 |
| CDKN2D | 0 | 1.41 × 10−156 | 0.570905800968053 | 0.664 | 0.335 | 3.37 × 10−152 |
| CHAF1A | 0 | 7.21 × 10−156 | 0.31441445649264 | 0.412 | 0.113 | 1.73 × 10−151 |
| SAC3D1 | 0 | 1.94 × 10−155 | 0.473418133474899 | 0.702 | 0.362 | 4.65 × 10−151 |
| NAV2 | 0 | 4.38 × 10−155 | 0.685637322475529 | 0.884 | 0.663 | 1.05 × 10−150 |
| POLD3 | 0 | 2.41 × 10−153 | 0.403682002890545 | 0.559 | 0.218 | 5.76 × 10−149 |
| HIST1H1A | 0 | 5.94 × 10−153 | 0.469000700324917 | 0.311 | 0.062 | 1.42 × 10−148 |
| CCDC34 | 0 | 5.20 × 10−151 | 0.440947201576789 | 0.689 | 0.342 | 1.24 × 10−146 |
| LRR1 | 0 | 2.48 × 10−150 | 0.372292987167317 | 0.621 | 0.267 | 5.95 × 10−146 |
| ECT2 | 0 | 2.06 × 10−146 | 0.369035453280601 | 0.56 | 0.221 | 4.92 × 10−142 |
| RAD21 | 0 | 8.57 × 10−144 | 0.495144592786876 | 0.804 | 0.508 | 2.05 × 10−139 |
| PARP1 | 0 | 4.44 × 10−139 | 0.406065423637836 | 0.649 | 0.306 | 1.06 × 10−134 |
| TUBG1 | 0 | 6.03 × 10−139 | 0.433334255101158 | 0.778 | 0.459 | 1.45 × 10−134 |
| FOSL1 | 0 | 4.94 × 10−137 | 0.491250510826917 | 0.778 | 0.485 | 1.18 × 10−133 |
| SRSF2 | 0 | 5.02 × 10−138 | 0.46724198469059 | 0.912 | 0.681 | 1.20 × 10−132 |
| EXOSC8 | 0 | 1.27 × 10−136 | 0.415536195334573 | 0.727 | 0.401 | 3.05 × 10−132 |
| RFC4 | 0 | 2.50 × 10−136 | 0.358148003209805 | 0.541 | 0.218 | 5.98 × 10−134 |
| CMC2 | 0 | 1.98 × 10−129 | 0.453658147952604 | 0.853 | 0.606 | 4.74 × 10−125 |
| TRIM59 | 0 | 6.80 × 10−128 | 0.369853501293669 | 0.497 | 0.195 | 1.63 × 10−123 |
| NCEH1 | 0 | 9.76 × 10−126 | 0.365913285724998 | 0.518 | 0.212 | 2.34 × 10−121 |
| MCM3 | 0 | 2.65 × 10−125 | 0.375861362978072 | 0.518 | 0.214 | 6.34 × 10−121 |
| SMC1A | 0 | 8.46 × 10−125 | 0.427372190793345 | 0.75 | 0.44 | 2.03 × 10−120 |
| TEX30 | 0 | 2.02 × 10−124 | 0.370736140970149 | 0.619 | 0.295 | 4.84 × 10−120 |
| NUDT1 | 0 | 9.64 × 10−123 | 0.393853592948846 | 0.741 | 0.419 | 2.31 × 10−118 |
| CSE1L | 0 | 1.75 × 10−121 | 0.334689815978467 | 0.615 | 0.288 | 4.19 × 10−117 |
| SCLT1 | 0 | 5.47 × 10−121 | 0.459845797339858 | 0.668 | 0.359 | 1.31 × 10−116 |
| ALYREF | 0 | 8.72 × 10−121 | 0.402862238077345 | 0.779 | 0.493 | 2.09 × 10−115 |
| HAT1 | 0 | 9.02 × 10−118 | 0.38773725726055 | 0.734 | 0.422 | 2.16 × 10−113 |
| SMC3 | 0 | 6.38 × 10−116 | 0.436689045824374 | 0.836 | 0.579 | 1.53 × 10−111 |
| KIRREL3 | 0 | 1.41 × 10−114 | 0.452577593279448 | 0.662 | 0.357 | 3.37 × 10−110 |
| BCL2L12 | 0 | 3.60 × 10−114 | 0.332916074952397 | 0.561 | 0.254 | 8.62 × 10−110 |
| GPSM2 | 0 | 4.01 × 10−114 | 0.322807074183221 | 0.482 | 0.194 | 9.59 × 10−109 |
| RAB3B | 0 | 2.04 × 10−112 | 0.419372269808872 | 0.807 | 0.496 | 4.88 × 10−108 |
| CDC25B | 0 | 4.30 × 10−111 | 0.335344921243839 | 0.477 | 0.193 | 1.03 × 10−106 |
| WDR34 | 0 | 1.19 × 10−110 | 0.320815379473183 | 0.587 | 0.272 | 2.85 × 10−106 |
| RFX8 | 0 | 6.64 × 10−107 | 0.328403138105245 | 0.4 | 0.142 | 1.59 × 10−102 |
| G2E3 | 0 | 5.74 × 10−106 | 0.373888532232132 | 0.578 | 0.284 | 1.37 × 10−101 |
| CKAP5 | 0 | 9.76 × 10−106 | 0.389144262518308 | 0.692 | 0.397 | 2.34 × 10−101 |
| EXOSC9 | 0 | 4.42 × 10−105 | 0.335587033772145 | 0.634 | 0.325 | 1.06 × 10−99 |
| EZR | 0 | 2.08 × 10−100 | 0.3749120699691 | 0.685 | 0.385 | 4.99 × 10−97 |
| ANP32E | 0 | 1.16 × 10−99 | 0.423805784666755 | 0.77 | 0.514 | 2.79 × 10−95 |
| KIF22 | 0 | 1.84 × 10−99 | 0.389035285574824 | 0.718 | 0.43 | 4.41 × 10−95 |
| FUS | 0 | 1.36 × 10−98 | 0.390642972327249 | 0.891 | 0.691 | 3.26 × 10−93 |
| RBMX | 0 | 3.48 × 10−97 | 0.380013251798135 | 0.846 | 0.611 | 8.33 × 10−93 |
| HSPB11 | 0 | 5.70 × 10−97 | 0.375582585560417 | 0.878 | 0.648 | 1.37 × 10−93 |
| PLAU | 0 | 2.59 × 10−95 | 0.484438089791465 | 0.536 | 0.261 | 6.20 × 10−90 |
| CCDC14 | 0 | 2.89 × 10−94 | 0.313033819300279 | 0.549 | 0.267 | 6.92 × 10−90 |
| ACYP1 | 0 | 4.27 × 10−94 | 0.317264238978913 | 0.618 | 0.327 | 1.02 × 10−89 |
| BTG3 | 0 | 5.53 × 10−94 | 0.412283557307453 | 0.824 | 0.576 | 1.33 × 10−89 |
| HMGB3 | 0 | 2.40 × 10−92 | 0.332437957934013 | 0.588 | 0.297 | 5.76 × 10−88 |
| ARHGAP29 | 0 | 1.91 × 10−91 | 0.331087035035293 | 0.465 | 0.203 | 4.57 × 10−87 |
| PGP | 0 | 5.01 × 10−91 | 0.363745280592072 | 0.863 | 0.642 | 1.20 × 10−86 |
| POP7 | 0 | 5.29 × 10−84 | 0.35041100976186 | 0.824 | 0.595 | 1.27 × 10−79 |
| MOK | 0 | 3.21 × 10−83 | 0.46737513519966 | 0.634 | 0.38 | 7.69 × 10−79 |
| CBX1 | 0 | 6.14 × 10−83 | 0.352701885583383 | 0.844 | 0.629 | 1.47 × 10−75 |
| FABP5 | 0 | 1.85 × 10−78 | 0.306117925413734 | 0.582 | 0.308 | 4.43 × 10−74 |
| SAP30 | 0 | 8.53 × 10−77 | 0.352635521735067 | 0.743 | 0.504 | 2.04 × 10−72 |
| MAP3K20 | 0 | 2.57 × 10−74 | 0.33640702090946 | 0.789 | 0.545 | 6.15 × 10−70 |
| HIST1H1E | 0 | 3.63 × 10−73 | 0.339306408869152 | 0.367 | 0.157 | 8.69 × 10−69 |
| LSM2 | 0 | 2.41 × 10−70 | 0.31840562333533 | 0.83 | 0.606 | 5.77 × 10−66 |
| PBX3 | 0 | 3.22 × 10−69 | 0.370031925013218 | 0.721 | 0.488 | 7.72 × 10−65 |
| HYI | 0 | 4.02 × 10−68 | 0.320373254026447 | 0.787 | 0.55 | 9.63 × 10−64 |
| WNT5B | 0 | 3.78 × 10−66 | 0.318356399985377 | 0.6 | 0.348 | 9.06 × 10−62 |
| CRIM1 | 0 | 9.71 × 10−65 | 0.366441919630305 | 0.82 | 0.601 | 2.33 × 10−61 |
| FAF1 | 0 | 4.79 × 10−63 | 0.326595080517033 | 0.757 | 0.517 | 1.15 × 10−59 |
| RBBP7 | 0 | 4.80 × 10−63 | 0.312026848537851 | 0.761 | 0.535 | 1.15 × 10−58 |
| CCDC88A | 0 | 2.20 × 10−62 | 0.326290677753468 | 0.759 | 0.536 | 5.27 × 10−58 |
| HAS2 | 0 | 6.61 × 10−54 | 0.348787908529369 | 0.765 | 0.513 | 1.58 × 10−49 |
| C11orf96 | 2 | 6.44 × 10−104 | 0.740866964874605 | 0.754 | 0.515 | 1.54 × 10−99 |
| PTTG1 | 3 | 0 | 1.68818151464034 | 0.984 | 0.579 | 0 |
| CDKN3 | 3 | 0 | 1.32280170053098 | 0.928 | 0.345 | 0 |
| BIRC5 | 3 | 0 | 1.24448294135578 | 0.969 | 0.347 | 0 |
| CCNB1 | 3 | 1.68 × 10−270 | 1.53989120433647 | 0.889 | 0.351 | 4.02 × 10−266 |
| CDC20 | 3 | 5.47 × 10−235 | 1.19385593452449 | 0.806 | 0.281 | 1.31 × 10−230 |
| PRC1 | 3 | 1.56 × 10−225 | 1.03131500977058 | 0.89 | 0.343 | 3.73 × 10−221 |
| CCNB2 | 3 | 8.32 × 10−206 | 0.89505539193741 | 0.772 | 0.266 | 1.99 × 10−201 |
| CENPW | 3 | 1.90 × 10−196 | 0.906748625989908 | 0.918 | 0.429 | 4.55 × 10−192 |
| CENPF | 3 | 1.65 × 10−191 | 1.10946534906002 | 0.949 | 0.382 | 3.95 × 10−187 |
| DLGAP5 | 3 | 2.36 × 10−182 | 0.828327618951242 | 0.755 | 0.258 | 5.66 × 10−178 |
| STMN1 | 3 | 1.16 × 10−172 | 1.04854350049214 | 0.993 | 0.623 | 2.79 × 10−168 |
| KIF20A | 3 | 6.24 × 10−153 | 0.478111913734825 | 0.457 | 0.109 | 1.49 × 10−148 |
| PBK | 3 | 6.93 × 10−153 | 0.768087459409072 | 0.817 | 0.317 | 1.66 × 10−148 |
| TROAP | 3 | 3.95 × 10−143 | 0.535024517798047 | 0.575 | 0.183 | 9.45 × 10−139 |
| CKS1B | 3 | 1.16 × 10−141 | 0.749209886022839 | 0.932 | 0.535 | 2.79 × 10−137 |
| CDCA3 | 3 | 9.83 × 10−139 | 0.655516371526958 | 0.696 | 0.256 | 2.35 × 10−134 |
| HMGB3 | 3 | 2.65 × 10−134 | 0.686178765495008 | 0.733 | 0.338 | 6.34 × 10−130 |
| CEP55 | 3 | 2.18 × 10−129 | 0.712781591135284 | 0.702 | 0.281 | 5.23 × 10−125 |
| PHF19 | 3 | 8.56 × 10−124 | 0.626704147754039 | 0.755 | 0.345 | 2.05 × 10−119 |
| ANLN | 3 | 1.05 × 10−123 | 0.620871330821275 | 0.751 | 0.3 | 2.52 × 10−119 |
| SNHG3 | 3 | 2.41 × 10−122 | 0.614603665812925 | 0.62 | 0.264 | 5.77 × 10−118 |
| ARL6IP1 | 3 | 3.38 × 10−119 | 0.952333640124179 | 0.899 | 0.651 | 8.10 × 10−116 |
| DTYMK | 3 | 2.31 × 10−117 | 0.677527425601535 | 0.94 | 0.657 | 5.54 × 10−113 |
| LSM5 | 3 | 5.07 × 10−114 | 0.624023436144164 | 0.941 | 0.724 | 1.21 × 10−109 |
| PCLAF | 3 | 1.06 × 10−110 | 0.634544335405642 | 0.878 | 0.42 | 2.53 × 10−107 |
| DEPDC1 | 3 | 1.15 × 10−109 | 0.638099370253651 | 0.611 | 0.239 | 2.76 × 10−104 |
| MAD2L1 | 3 | 1.21 × 10−104 | 0.598964547956272 | 0.723 | 0.338 | 2.91 × 10−100 |
| TPX2 | 3 | 1.75 × 10−102 | 0.719187603010911 | 0.772 | 0.371 | 4.19 × 10−98 |
| PRR11 | 3 | 1.43 × 10−96 | 0.489548530150862 | 0.598 | 0.24 | 3.42 × 10−92 |
| MKI67 | 3 | 2.35 × 10−96 | 0.596910007884026 | 0.753 | 0.312 | 5.62 × 10−92 |
| DDX39A | 3 | 3.47 × 10−96 | 0.602213577593247 | 0.808 | 0.516 | 8.30 × 10−92 |
| PIMREG | 3 | 7.42 × 10−92 | 0.399778725345863 | 0.433 | 0.139 | 1.78 × 10−87 |
| SKA2 | 3 | 1.39 × 10−89 | 0.554764456829379 | 0.84 | 0.534 | 3.33 × 10−85 |
| CKAP2 | 3 | 9.51 × 10−88 | 0.844708042203515 | 0.731 | 0.404 | 2.28 × 10−84 |
| CENPN | 3 | 7.43 × 10−87 | 0.485581470062575 | 0.679 | 0.334 | 1.78 × 10−82 |
| CENPM | 3 | 6.78 × 10−86 | 0.496753162630272 | 0.651 | 0.303 | 1.62 × 10−81 |
| TK1 | 3 | 3.41 × 10−80 | 0.489549105877891 | 0.729 | 0.36 | 8.16 × 10−76 |
| SMC4 | 3 | 4.70 × 10−80 | 0.625204041290138 | 0.867 | 0.522 | 1.12 × 10−75 |
| NUSAP1 | 3 | 1.54 × 10−77 | 0.423643896935689 | 0.799 | 0.353 | 3.68 × 10−73 |
| HMMR | 3 | 9.63 × 10−77 | 0.5858548544598 | 0.606 | 0.268 | 2.31 × 10−72 |
| TACC3 | 3 | 8.69 × 10−75 | 0.488847321071564 | 0.672 | 0.31 | 2.08 × 10−70 |
| ASPM | 3 | 3.16 × 10−73 | 0.587859571128048 | 0.635 | 0.292 | 7.57 × 10−68 |
| ANP32E | 3 | 3.27 × 10−67 | 0.520532490104568 | 0.818 | 0.561 | 7.83 × 10−63 |
| KIF20B | 3 | 7.51 × 10−66 | 0.566391401995441 | 0.658 | 0.329 | 1.80 × 10−61 |
| RPL39L | 3 | 1.40 × 10−63 | 0.449433426665234 | 0.729 | 0.412 | 3.36 × 10−59 |
| HOTAIRM1 | 3 | 9.20 × 10−62 | 0.539538061574298 | 0.722 | 0.486 | 2.20 × 10−56 |
| NASP | 3 | 1.66 × 10−58 | 0.481350708319828 | 0.857 | 0.615 | 3.98 × 10−54 |
| EMP2 | 3 | 7.00 × 10−55 | 0.437325491780974 | 0.703 | 0.416 | 1.68 × 10−50 |
| SNHG19 | 3 | 4.24 × 10−53 | 0.356176367815828 | 0.42 | 0.184 | 1.02 × 10−48 |
| MZT1 | 3 | 2.55 × 10−52 | 0.45252067702474 | 0.672 | 0.425 | 6.12 × 10−48 |
| PLK1 | 3 | 5.14 × 10−52 | 0.363157432767263 | 0.48 | 0.211 | 1.23 × 10−47 |
| NEK2 | 3 | 3.87 × 10−48 | 0.303008972860681 | 0.349 | 0.134 | 9.28 × 10−44 |
| KPNA2 | 3 | 4.96 × 10−45 | 0.408224476401982 | 0.855 | 0.623 | 1.19 × 10−40 |
| CENPE | 3 | 9.27 × 10−45 | 0.429963395668457 | 0.589 | 0.303 | 2.22 × 10−40 |
| NOP58 | 3 | 1.29 × 10−43 | 0.398497263591403 | 0.7 | 0.482 | 3.08 × 10−40 |
| CENPH | 3 | 5.09 × 10−43 | 0.342977126521325 | 0.562 | 0.309 | 1.22 × 10−38 |
| RUVBL2 | 3 | 4.62 × 10−43 | 0.401938142708255 | 0.643 | 0.428 | 1.11 × 10−37 |
| TYMS | 3 | 1.75 × 10−41 | 0.348245582386649 | 0.774 | 0.442 | 4.20 × 10−37 |
| NUDT1 | 3 | 1.27 × 10−40 | 0.387242464109805 | 0.712 | 0.49 | 3.03 × 10−35 |
| KNSTRN | 3 | 4.48 × 10−39 | 0.419295075117713 | 0.557 | 0.319 | 1.07 × 10−35 |
| SMC2 | 3 | 1.60 × 10−38 | 0.363784568686639 | 0.747 | 0.508 | 3.82 × 10−33 |
| SNRPA | 3 | 4.23 × 10−36 | 0.37927864885733 | 0.584 | 0.375 | 1.01 × 10−31 |
| DNMT1 | 3 | 2.02 × 10−36 | 0.394715713862948 | 0.785 | 0.564 | 4.84 × 10−31 |
| NUF2 | 3 | 8.63 × 10−30 | 0.321669355708339 | 0.493 | 0.262 | 2.07 × 10−25 |
| EZR | 3 | 6.54 × 10−28 | 0.338204074306678 | 0.665 | 0.451 | 1.57 × 10−23 |
| NDC80 | 3 | 1.26 × 10−27 | 0.319825238579957 | 0.48 | 0.26 | 3.01 × 10−23 |
| SGO2 | 3 | 5.73 × 10−25 | 0.392584539338203 | 0.545 | 0.331 | 1.37 × 10−20 |
| Gene | Cluster | p-Value | Average log2FC | Pct.1 | Pct.2 | p-Value Adjusted |
|---|---|---|---|---|---|---|
| GDF15 | 0 | 1.00 × 10−124 | 0.670012236981009 | 0.517 | 0.238 | 2.33 × 10−119 |
| CEMIP | 0 | 4.81 × 10−115 | 0.790192919194519 | 0.621 | 0.347 | 1.12 × 10−110 |
| DEPTOR | 0 | 5.87 × 10−106 | 0.354082730670604 | 0.379 | 0.139 | 1.36 × 10−101 |
| MXD4 | 0 | 6.26 × 10−90 | 0.393580712819188 | 0.642 | 0.379 | 1.45 × 10−85 |
| ARMC9 | 0 | 9.84 × 10−81 | 0.453091970457053 | 0.676 | 0.438 | 2.28 × 10−77 |
| PNRC1 | 0 | 2.58 × 10−77 | 0.31718171845308 | 0.448 | 0.216 | 5.98 × 10−74 |
| CACNB4 | 0 | 2.37 × 10−74 | 0.434880339385922 | 0.543 | 0.304 | 5.50 × 10−69 |
| PLXDC2 | 0 | 7.28 × 10−68 | 0.303863251658921 | 0.427 | 0.209 | 1.69 × 10−62 |
| KIF26B | 0 | 1.29 × 10−56 | 0.466385578865574 | 0.589 | 0.376 | 2.98 × 10−52 |
| ANKRD37 | 0 | 2.18 × 10−56 | 0.502529523475167 | 0.482 | 0.279 | 5.05 × 10−52 |
| FAM43A | 0 | 6.47 × 10−57 | 0.341495945768616 | 0.469 | 0.257 | 1.50 × 10−51 |
| TOP2A | 1 | 0 | 1.72704801568497 | 0.862 | 0.345 | 0 |
| UBE2C | 1 | 0 | 1.33497306832552 | 0.733 | 0.217 | 0 |
| HMGB2 | 1 | 0 | 1.31068678526262 | 0.911 | 0.399 | 0 |
| HIST1H1B | 1 | 0 | 1.21011344182568 | 0.614 | 0.102 | 0 |
| CDK1 | 1 | 0 | 1.20899649346328 | 0.737 | 0.13 | 0 |
| MKI67 | 1 | 0 | 1.03431981185335 | 0.81 | 0.353 | 0 |
| DIAPH3 | 1 | 0 | 1.00041486814025 | 0.945 | 0.6 | 0 |
| CDCA8 | 1 | 0 | 0.779702240086265 | 0.595 | 0.12 | 0 |
| HJURP | 1 | 0 | 0.765459493666479 | 0.573 | 0.082 | 0 |
| CDCA2 | 1 | 0 | 0.702274359748242 | 0.565 | 0.121 | 0 |
| GTSE1 | 1 | 0 | 0.693761336263562 | 0.604 | 0.16 | 0 |
| NCAPG | 1 | 0 | 0.659818505587877 | 0.627 | 0.172 | 0 |
| AURKB | 1 | 0 | 0.619116521095821 | 0.539 | 0.108 | 0 |
| FBXO5 | 1 | 0 | 0.615389481482515 | 0.525 | 0.103 | 0 |
| CKAP2L | 1 | 0 | 0.598792006314765 | 0.541 | 0.103 | 0 |
| ARHGAP11B | 1 | 0 | 0.5812417345836 | 0.473 | 0.074 | 0 |
| KIF18B | 1 | 0 | 0.580142879752472 | 0.471 | 0.071 | 0 |
| KIF23 | 1 | 2.27 × 10−287 | 0.720638959800598 | 0.691 | 0.235 | 5.27 × 10−283 |
| HIST1H1A | 1 | 6.01 × 10−285 | 0.913609800701636 | 0.481 | 0.106 | 1.39 × 10−280 |
| SMC4 | 1 | 7.58 × 10−283 | 0.864979422051172 | 0.9 | 0.514 | 1.76 × 10−278 |
| ESCO2 | 1 | 2.48 × 10−281 | 0.502365836533897 | 0.458 | 0.084 | 5.75 × 10−277 |
| APOLD1 | 1 | 4.64 × 10−279 | 0.838368640254338 | 0.67 | 0.237 | 1.07 × 10−274 |
| KIF2C | 1 | 7.56 × 10−278 | 0.589787736752698 | 0.49 | 0.104 | 1.75 × 10−273 |
| MELK | 1 | 3.52 × 10−274 | 0.575736739467258 | 0.583 | 0.16 | 8.15 × 10−270 |
| TMPO | 1 | 4.30 × 10−274 | 0.767947092480434 | 0.843 | 0.423 | 9.96 × 10−270 |
| CLSPN | 1 | 6.95 × 10−274 | 0.719876368800088 | 0.743 | 0.275 | 1.61 × 10−269 |
| TACC3 | 1 | 1.79 × 10−270 | 0.748458380464173 | 0.717 | 0.263 | 4.16 × 10−266 |
| LINC01572 | 1 | 1.38 × 10−268 | 0.589935230882103 | 0.527 | 0.134 | 3.20 × 10−263 |
| NEIL3 | 1 | 4.34 × 10−266 | 0.437098081258912 | 0.392 | 0.061 | 1.01 × 10−261 |
| BRIP1 | 1 | 6.60 × 10−264 | 0.637712916789726 | 0.588 | 0.169 | 1.53 × 10−259 |
| KIF20B | 1 | 2.62 × 10−259 | 0.726463701130549 | 0.699 | 0.258 | 6.08 × 10−255 |
| CEP128 | 1 | 3.30 × 10−259 | 0.550822882209233 | 0.495 | 0.118 | 7.64 × 10−255 |
| ASPM | 1 | 5.17 × 10−252 | 0.820869581321595 | 0.688 | 0.251 | 1.20 × 10−247 |
| KNL1 | 1 | 9.01 × 10−249 | 0.595358414126582 | 0.607 | 0.184 | 2.09 × 10−244 |
| KIF11 | 1 | 4.17 × 10−248 | 0.607181845238362 | 0.591 | 0.18 | 9.66 × 10−244 |
| KIFC1 | 1 | 5.13 × 10−246 | 0.485167534071316 | 0.476 | 0.108 | 1.19 × 10−241 |
| NDC80 | 1 | 5.91 × 10−245 | 0.581545868791417 | 0.579 | 0.167 | 1.37 × 10−240 |
| CENPE | 1 | 1.74 × 10−242 | 0.830486761428012 | 0.665 | 0.245 | 4.03 × 10−238 |
| NUF2 | 1 | 6.57 × 10−242 | 0.638010395689706 | 0.612 | 0.197 | 1.52 × 10−238 |
| CENPU | 1 | 4.52 × 10−240 | 0.581598609771616 | 0.698 | 0.252 | 1.05 × 10−235 |
| TTK | 1 | 7.67 × 10−238 | 0.437592463155119 | 0.405 | 0.076 | 1.78 × 10−233 |
| MIR924HG | 1 | 1.21 × 10−238 | 0.647701379585797 | 0.516 | 0.138 | 2.81 × 10−233 |
| DBF4 | 1 | 7.15 × 10−237 | 0.632464785381952 | 0.653 | 0.242 | 1.66 × 10−232 |
| CENPK | 1 | 1.91 × 10−233 | 0.62044231564181 | 0.718 | 0.292 | 4.42 × 10−229 |
| SGO2 | 1 | 2.05 × 10−232 | 0.667120708929706 | 0.645 | 0.229 | 4.75 × 10−228 |
| CCNA2 | 1 | 1.22 × 10−231 | 0.623778974117052 | 0.631 | 0.216 | 2.84 × 10−228 |
| ATAD2 | 1 | 3.59 × 10−229 | 0.658767565339001 | 0.721 | 0.297 | 8.32 × 10−225 |
| ORC6 | 1 | 2.23 × 10−227 | 0.481784925937081 | 0.52 | 0.141 | 5.18 × 10−223 |
| SPC25 | 1 | 1.19 × 10−225 | 0.581833584432011 | 0.592 | 0.191 | 2.75 × 10−221 |
| KIF14 | 1 | 2.21 × 10−224 | 0.490496690709161 | 0.459 | 0.109 | 5.11 × 10−220 |
| UBE2T | 1 | 4.57 × 10−224 | 0.621313085775268 | 0.733 | 0.313 | 1.06 × 10−219 |
| HIST1H1E | 1 | 3.81 × 10−217 | 0.722266888541442 | 0.527 | 0.175 | 8.82 × 10−213 |
| KIF4A | 1 | 6.36 × 10−216 | 0.543875954867782 | 0.56 | 0.175 | 1.47 × 10−212 |
| GMNN | 1 | 1.53 × 10−215 | 0.583998264523595 | 0.736 | 0.317 | 3.54 × 10−211 |
| FEN1 | 1 | 2.71 × 10−213 | 0.507380219199132 | 0.583 | 0.19 | 6.29 × 10−209 |
| NUSAP1 | 1 | 2.89 × 10−212 | 0.772936396606703 | 0.763 | 0.371 | 6.70 × 10−208 |
| CKS2 | 1 | 3.74 × 10−212 | 0.871013874667081 | 0.883 | 0.609 | 8.66 × 10−208 |
| NSD2 | 1 | 1.62 × 10−211 | 0.630784667555947 | 0.748 | 0.36 | 3.77 × 10−207 |
| AURKA | 1 | 5.76 × 10−210 | 0.734078391529851 | 0.582 | 0.203 | 1.34 × 10−205 |
| CENPF | 1 | 4.08 × 10−212 | 0.981493266552953 | 0.836 | 0.46 | 9.46 × 10−205 |
| ANLN | 1 | 5.04 × 10−208 | 0.665580161160135 | 0.71 | 0.305 | 1.17 × 10−203 |
| CCDC18 | 1 | 2.17 × 10−205 | 0.537992631230034 | 0.589 | 0.209 | 5.03 × 10−201 |
| SGO1 | 1 | 2.14 × 10−204 | 0.42462140086729 | 0.445 | 0.109 | 4.95 × 10−200 |
| BARD1 | 1 | 1.55 × 10−204 | 0.469675415789094 | 0.51 | 0.152 | 3.60 × 10−199 |
| DLEU2 | 1 | 9.72 × 10−202 | 0.600325914395249 | 0.681 | 0.297 | 2.25 × 10−197 |
| HIST1H3B | 1 | 8.08 × 10−198 | 0.331364514860151 | 0.281 | 0.037 | 1.87 × 10−193 |
| KIF15 | 1 | 3.79 × 10−197 | 0.366987727162554 | 0.367 | 0.074 | 8.79 × 10−193 |
| TPX2 | 1 | 3.06 × 10−193 | 0.732127237168298 | 0.831 | 0.458 | 7.09 × 10−189 |
| KIF18A | 1 | 3.14 × 10−192 | 0.510434190240487 | 0.535 | 0.178 | 7.28 × 10−188 |
| SPDL1 | 1 | 5.37 × 10−191 | 0.639004145224719 | 0.805 | 0.474 | 1.24 × 10−186 |
| PBK | 1 | 6.00 × 10−188 | 0.652609738045231 | 0.774 | 0.375 | 1.39 × 10−183 |
| BUB1B | 1 | 6.41 × 10−186 | 0.447366477932345 | 0.494 | 0.146 | 1.49 × 10−181 |
| RFC3 | 1 | 6.72 × 10−185 | 0.442017047728623 | 0.501 | 0.154 | 1.56 × 10−180 |
| ARHGAP11A | 1 | 2.57 × 10−184 | 0.44833851287311 | 0.427 | 0.114 | 5.96 × 10−180 |
| CDC25C | 1 | 8.49 × 10−184 | 0.302666270199418 | 0.274 | 0.038 | 1.97 × 10−179 |
| USP1 | 1 | 9.57 × 10−184 | 0.554036641164941 | 0.716 | 0.339 | 2.22 × 10−179 |
| H2AFX | 1 | 3.44 × 10−183 | 0.620529441343685 | 0.712 | 0.359 | 7.98 × 10−179 |
| CDCA4 | 1 | 1.80 × 10−183 | 0.421167860141002 | 0.469 | 0.141 | 4.16 × 10−178 |
| RRM2 | 1 | 7.34 × 10−182 | 0.5714047398839 | 0.659 | 0.276 | 1.70 × 10−177 |
| POLQ | 1 | 1.14 × 10−181 | 0.334881354743659 | 0.338 | 0.067 | 2.65 × 10−176 |
| BRCA1 | 1 | 1.27 × 10−179 | 0.463882543405512 | 0.533 | 0.18 | 2.94 × 10−176 |
| C21orf58 | 1 | 3.34 × 10−174 | 0.349629662415553 | 0.366 | 0.084 | 7.74 × 10−170 |
| CENPA | 1 | 3.60 × 10−173 | 0.501865111481393 | 0.454 | 0.139 | 8.36 × 10−170 |
| CIT | 1 | 7.99 × 10−173 | 0.414358233464705 | 0.423 | 0.117 | 1.85 × 10−168 |
| RAD51AP1 | 1 | 2.60 × 10−172 | 0.393885717817882 | 0.417 | 0.111 | 6.02 × 10−168 |
| KPNA2 | 1 | 8.94 × 10−171 | 0.852269471899063 | 0.858 | 0.593 | 2.07 × 10−166 |
| GAS2L3 | 1 | 2.47 × 10−169 | 0.425123516789511 | 0.376 | 0.094 | 5.72 × 10−165 |
| FAM83D | 1 | 1.28 × 10−166 | 0.355532271296998 | 0.325 | 0.068 | 2.96 × 10−162 |
| DNAJC9 | 1 | 9.66 × 10−166 | 0.539087426376657 | 0.8 | 0.458 | 2.24 × 10−161 |
| MIS18BP1 | 1 | 2.18 × 10−163 | 0.526547560532024 | 0.672 | 0.321 | 5.06 × 10−159 |
| TYMS | 1 | 6.28 × 10−163 | 0.567080173939906 | 0.846 | 0.508 | 1.46 × 10−158 |
| CKAP2 | 1 | 3.26 × 10−162 | 0.695663722723763 | 0.709 | 0.361 | 7.56 × 10−158 |
| NCAPH | 1 | 8.18 × 10−162 | 0.310271769913698 | 0.338 | 0.074 | 1.90 × 10−157 |
| BRCA2 | 1 | 1.09 × 10−161 | 0.413729693225856 | 0.444 | 0.136 | 2.53 × 10−157 |
| FAM111A | 1 | 2.02 × 10−161 | 0.399559533411284 | 0.439 | 0.135 | 4.69 × 10−158 |
| ECT2 | 1 | 1.61 × 10−160 | 0.477856374138588 | 0.562 | 0.218 | 3.74 × 10−156 |
| HMMR | 1 | 1.47 × 10−150 | 0.551172165466593 | 0.637 | 0.275 | 3.41 × 10−146 |
| MAD2L1 | 1 | 1.96 × 10−149 | 0.451799259093044 | 0.638 | 0.272 | 4.55 × 10−145 |
| SHCBP1 | 1 | 3.08 × 10−147 | 0.423856719181729 | 0.536 | 0.201 | 7.13 × 10−144 |
| HIST1H1C | 1 | 1.37 × 10−145 | 0.608927235709592 | 0.559 | 0.255 | 3.18 × 10−141 |
| MXD3 | 1 | 7.58 × 10−143 | 0.38986107239568 | 0.387 | 0.114 | 1.76 × 10−138 |
| DNMT1 | 1 | 1.44 × 10−142 | 0.515550569349073 | 0.9 | 0.66 | 3.34 × 10−138 |
| NAV2 | 1 | 3.85 × 10−142 | 0.688091984444401 | 0.776 | 0.512 | 8.92 × 10−138 |
| CDC45 | 1 | 6.33 × 10−141 | 0.310435808801802 | 0.366 | 0.098 | 1.47 × 10−136 |
| PIF1 | 1 | 5.35 × 10−139 | 0.36016834161781 | 0.292 | 0.067 | 1.24 × 10−134 |
| MYBL1 | 1 | 1.80 × 10−136 | 0.318318334241842 | 0.347 | 0.093 | 4.17 × 10−132 |
| VRK1 | 1 | 5.73 × 10−136 | 0.392139040630886 | 0.502 | 0.19 | 1.33 × 10−131 |
| ZWINT | 1 | 6.04 × 10−137 | 0.451302935397852 | 0.61 | 0.277 | 1.40 × 10−131 |
| DTL | 1 | 3.02 × 10−135 | 0.367072327396311 | 0.372 | 0.108 | 7.00 × 10−131 |
| SMC2 | 1 | 4.91 × 10−133 | 0.49254004897609 | 0.802 | 0.489 | 1.14 × 10−128 |
| HELLS | 1 | 4.44 × 10−131 | 0.472491197382194 | 0.597 | 0.269 | 1.03 × 10−126 |
| SCLT1 | 1 | 5.28 × 10−131 | 0.550006155368793 | 0.677 | 0.377 | 1.22 × 10−126 |
| CEP55 | 1 | 1.14 × 10−130 | 0.490879947494692 | 0.684 | 0.333 | 2.64 × 10−126 |
| MND1 | 1 | 8.76 × 10−130 | 0.312301643925559 | 0.361 | 0.103 | 2.03 × 10−125 |
| SKA3 | 1 | 4.05 × 10−127 | 0.310432816536786 | 0.354 | 0.102 | 9.39 × 10−123 |
| MCM7 | 1 | 3.48 × 10−125 | 0.43694530973709 | 0.662 | 0.317 | 8.07 × 10−121 |
| FOSL1 | 1 | 1.48 × 10−125 | 0.579087551857356 | 0.838 | 0.614 | 3.44 × 10−120 |
| RAD18 | 1 | 6.07 × 10−124 | 0.369091089371499 | 0.493 | 0.194 | 1.41 × 10−119 |
| EZH2 | 1 | 2.68 × 10−122 | 0.350087093415413 | 0.43 | 0.151 | 6.21 × 10−118 |
| SPATA5 | 1 | 4.54 × 10−121 | 0.430333880167729 | 0.539 | 0.245 | 1.05 × 10−116 |
| MIS18A | 1 | 5.92 × 10−120 | 0.338627347295294 | 0.455 | 0.167 | 1.37 × 10−116 |
| NCAPG2 | 1 | 8.08 × 10−120 | 0.388953597980289 | 0.518 | 0.212 | 1.87 × 10−115 |
| HIST2H2AC | 1 | 2.18 × 10−117 | 0.459827084117736 | 0.447 | 0.181 | 5.04 × 10−113 |
| CIP2A | 1 | 2.48 × 10−118 | 0.348589258463476 | 0.443 | 0.164 | 5.75 × 10−113 |
| NCAPD3 | 1 | 4.68 × 10−118 | 0.364429029867863 | 0.498 | 0.205 | 1.08 × 10−112 |
| PCLAF | 1 | 3.77 × 10−116 | 0.458137696175664 | 0.862 | 0.584 | 8.74 × 10−112 |
| CENPP | 1 | 6.27 × 10−116 | 0.415419981923284 | 0.506 | 0.212 | 1.45 × 10−111 |
| DEPDC1 | 1 | 1.61 × 10−113 | 0.393812693913351 | 0.516 | 0.211 | 3.72 × 10−109 |
| PRIM2 | 1 | 4.97 × 10−113 | 0.422873887917786 | 0.692 | 0.372 | 1.15 × 10−112 |
| RRM1 | 1 | 8.12 × 10−113 | 0.431960647746961 | 0.665 | 0.355 | 1.88 × 10−108 |
| G2E3 | 1 | 1.51 × 10−112 | 0.444785977826341 | 0.585 | 0.296 | 3.50 × 10−108 |
| PCNA | 1 | 3.48 × 10−112 | 0.476948583142726 | 0.661 | 0.369 | 8.06 × 10−108 |
| AP001347.1 | 1 | 1.12 × 10−111 | 0.315812948836076 | 0.373 | 0.125 | 2.60 × 10−107 |
| CKS1B | 1 | 3.12 × 10−109 | 0.456582258564046 | 0.778 | 0.479 | 7.24 × 10−105 |
| GPSM2 | 1 | 1.17 × 10−108 | 0.345728943259348 | 0.417 | 0.156 | 2.72 × 10−105 |
| PRC1 | 1 | 2.53 × 10−107 | 0.476953071781039 | 0.783 | 0.449 | 5.87 × 10−103 |
| KNSTRN | 1 | 9.23 × 10−107 | 0.401461259105815 | 0.512 | 0.225 | 2.14 × 10−102 |
| RACGAP1 | 1 | 1.35 × 10−106 | 0.332736847877824 | 0.411 | 0.15 | 3.13 × 10−103 |
| PLK1 | 1 | 2.35 × 10−106 | 0.412673618186031 | 0.46 | 0.184 | 5.44 × 10−102 |
| FANCI | 1 | 3.69 × 10−107 | 0.324134569142021 | 0.433 | 0.164 | 8.55 × 10−102 |
| ITGB3BP | 1 | 9.35 × 10−105 | 0.36277717625636 | 0.596 | 0.287 | 2.17 × 10−100 |
| POLD3 | 1 | 1.37 × 10−103 | 0.348618544428778 | 0.461 | 0.189 | 3.17 × 10−99 |
| DTYMK | 1 | 2.55 × 10−103 | 0.432705404552704 | 0.902 | 0.692 | 5.91 × 10−99 |
| TRIM59 | 1 | 2.03 × 10−98 | 0.38570544217349 | 0.509 | 0.237 | 4.70 × 10−94 |
| RFC4 | 1 | 1.74 × 10−97 | 0.353796335374352 | 0.489 | 0.215 | 4.03 × 10−93 |
| CHAF1A | 1 | 8.15 × 10−97 | 0.310489196440483 | 0.409 | 0.156 | 1.89 × 10−92 |
| MCM5 | 1 | 1.35 × 10−96 | 0.34553837929917 | 0.536 | 0.241 | 3.14 × 10−92 |
| GINS2 | 1 | 7.46 × 10−95 | 0.34719563516437 | 0.518 | 0.233 | 1.73 × 10−91 |
| CDKN2D | 1 | 2.50 × 10−94 | 0.368325034441899 | 0.391 | 0.155 | 5.79 × 10−90 |
| PGP | 1 | 1.02 × 10−93 | 0.407835180695608 | 0.798 | 0.544 | 2.37 × 10−89 |
| SMC3 | 1 | 4.64 × 10−91 | 0.408844500543907 | 0.836 | 0.62 | 1.08 × 10−86 |
| NASP | 1 | 5.28 × 10−84 | 0.395402376975593 | 0.847 | 0.611 | 1.22 × 10−80 |
| CKAP5 | 1 | 1.46 × 10−83 | 0.410491352853466 | 0.67 | 0.419 | 3.39 × 10−78 |
| CBX5 | 1 | 2.20 × 10−82 | 0.369518182859071 | 0.864 | 0.652 | 5.10 × 10−78 |
| CCDC14 | 1 | 2.74 × 10−81 | 0.308855146567134 | 0.455 | 0.207 | 6.35 × 10−77 |
| SMC1A | 1 | 1.81 × 10−78 | 0.376337526793547 | 0.655 | 0.389 | 4.20 × 10−74 |
| CENPM | 1 | 1.94 × 10−77 | 0.329745149819119 | 0.597 | 0.316 | 4.50 × 10−73 |
| BUB3 | 1 | 3.08 × 10−76 | 0.401293068494684 | 0.797 | 0.586 | 7.15 × 10−73 |
| PRR11 | 1 | 9.66 × 10−76 | 0.356696418545198 | 0.542 | 0.28 | 2.24 × 10−71 |
| SAP30 | 1 | 1.49 × 10−75 | 0.340983727579872 | 0.555 | 0.296 | 3.45 × 10−71 |
| SAC3D1 | 1 | 2.96 × 10−74 | 0.345588725644688 | 0.588 | 0.333 | 6.87 × 10−71 |
| DHFR | 1 | 1.98 × 10−72 | 0.309844463962329 | 0.513 | 0.256 | 4.60 × 10−68 |
| EMP2 | 1 | 5.47 × 10−72 | 0.308138970460742 | 0.537 | 0.275 | 1.27 × 10−67 |
| CMC2 | 1 | 2.34 × 10−70 | 0.341531617753068 | 0.725 | 0.479 | 5.42 × 10−66 |
| POLE3 | 1 | 1.23 × 10−67 | 0.306632137012119 | 0.586 | 0.327 | 2.85 × 10−64 |
| BIRC5 | 1 | 4.30 × 10−66 | 0.364636043735149 | 0.827 | 0.572 | 9.97 × 10−62 |
| PSIP1 | 1 | 4.97 × 10−66 | 0.335570400412872 | 0.814 | 0.591 | 1.15 × 10−61 |
| CDK5RAP2 | 1 | 2.04 × 10−61 | 0.303897510950978 | 0.533 | 0.293 | 4.74 × 10−57 |
| PARP1 | 1 | 4.80 × 10−61 | 0.337561777573747 | 0.749 | 0.529 | 1.11 × 10−56 |
| LCORL | 1 | 5.83 × 10−61 | 0.329713081181335 | 0.489 | 0.268 | 1.35 × 10−56 |
| BTG3 | 1 | 1.85 × 10−60 | 0.332337133755457 | 0.717 | 0.477 | 4.28 × 10−56 |
| TK1 | 1 | 2.04 × 10−59 | 0.33510181879942 | 0.807 | 0.59 | 4.72 × 10−55 |
| RAD51B | 1 | 2.52 × 10−58 | 0.331080583017355 | 0.566 | 0.335 | 5.84 × 10−54 |
| CENPW | 1 | 2.58 × 10−54 | 0.308998607277912 | 0.863 | 0.629 | 5.97 × 10−50 |
| CDC20 | 1 | 5.43 × 10−52 | 0.318295484247153 | 0.642 | 0.382 | 1.26 × 10−47 |
| EXOSC9 | 1 | 6.81 × 10−54 | 0.304012196032269 | 0.585 | 0.364 | 1.58 × 10−46 |
| KMT5A | 1 | 2.58 × 10−50 | 0.306185177005478 | 0.597 | 0.378 | 5.98 × 10−46 |
| RAD21 | 1 | 3.48 × 10−50 | 0.319947957948111 | 0.715 | 0.503 | 8.07 × 10−46 |
| NCEH1 | 1 | 7.36 × 10−49 | 0.310793306903988 | 0.558 | 0.344 | 1.71 × 10−44 |
| CCNB1 | 2 | 0 | 1.31153913591001 | 0.924 | 0.423 | 0 |
| CDC20 | 2 | 0 | 1.12129311051783 | 0.867 | 0.348 | 0 |
| CENPF | 2 | 0 | 1.04026677851946 | 0.956 | 0.461 | 0 |
| PTTG1 | 2 | 0 | 1.03054711379723 | 0.984 | 0.7 | 0 |
| DLGAP5 | 2 | 0 | 0.917754645754222 | 0.753 | 0.268 | 0 |
| CCNB2 | 2 | 1.58 × 10−249 | 0.825103171657037 | 0.726 | 0.301 | 3.67 × 10−246 |
| PRC1 | 2 | 3.33 × 10−244 | 0.871240943557588 | 0.866 | 0.455 | 7.71 × 10−239 |
| TPX2 | 2 | 4.54 × 10−235 | 0.876780210888109 | 0.888 | 0.474 | 1.05 × 10−231 |
| CDKN3 | 2 | 5.29 × 10−233 | 0.865324099602013 | 0.902 | 0.553 | 1.23 × 10−228 |
| BIRC5 | 2 | 2.76 × 10−211 | 0.795052317508702 | 0.908 | 0.572 | 6.40 × 10−206 |
| PBK | 2 | 1.49 × 10−204 | 0.787661110394609 | 0.819 | 0.395 | 3.45 × 10−200 |
| ARL6IP1 | 2 | 6.80 × 10−195 | 0.816866773874749 | 0.814 | 0.494 | 1.58 × 10−190 |
| HMMR | 2 | 1.85 × 10−183 | 0.715432914553575 | 0.685 | 0.292 | 4.29 × 10−179 |
| CEP55 | 2 | 1.66 × 10−175 | 0.704510401183117 | 0.727 | 0.35 | 3.86 × 10−171 |
| MKI67 | 2 | 2.89 × 10−160 | 0.644584202642253 | 0.812 | 0.388 | 6.70 × 10−156 |
| NUSAP1 | 2 | 2.03 × 10−150 | 0.648434446726603 | 0.778 | 0.398 | 4.70 × 10−146 |
| CDCA3 | 2 | 1.88 × 10−138 | 0.589370038211954 | 0.568 | 0.252 | 4.36 × 10−134 |
| SMC4 | 2 | 2.00 × 10−131 | 0.608459878088531 | 0.869 | 0.551 | 4.64 × 10−128 |
| CKAP2 | 2 | 4.48 × 10−117 | 0.680097827457623 | 0.694 | 0.392 | 1.04 × 10−112 |
| CKS1B | 2 | 2.31 × 10−108 | 0.559775788818762 | 0.77 | 0.504 | 5.35 × 10−104 |
| PHF19 | 2 | 2.70 × 10−103 | 0.53926975121795 | 0.701 | 0.455 | 6.27 × 10−98 |
| DEPDC1 | 2 | 2.72 × 10−99 | 0.517613684298651 | 0.505 | 0.238 | 6.30 × 10−95 |
| HMGB3 | 2 | 7.45 × 10−90 | 0.522062416887759 | 0.722 | 0.513 | 1.73 × 10−86 |
| KPNA2 | 2 | 1.33 × 10−88 | 0.442058824158783 | 0.831 | 0.62 | 3.07 × 10−83 |
| SNHG3 | 2 | 4.26 × 10−85 | 0.515930886429753 | 0.55 | 0.339 | 9.87 × 10−81 |
| ANLN | 2 | 1.74 × 10−77 | 0.455210659452447 | 0.625 | 0.357 | 4.04 × 10−72 |
| PLK1 | 2 | 9.38 × 10−72 | 0.422891321882443 | 0.444 | 0.21 | 2.17 × 10−67 |
| MAD2L1 | 2 | 2.06 × 10−71 | 0.468184987478444 | 0.55 | 0.322 | 4.78 × 10−67 |
| TACC3 | 2 | 9.49 × 10−70 | 0.425832817667313 | 0.59 | 0.329 | 2.20 × 10−64 |
| CENPE | 2 | 8.03 × 10−67 | 0.433653107799618 | 0.563 | 0.302 | 1.86 × 10−62 |
| ASPM | 2 | 2.51 × 10−62 | 0.465087211115013 | 0.558 | 0.317 | 5.83 × 10−58 |
| KIF20B | 2 | 7.25 × 10−44 | 0.359035439133911 | 0.542 | 0.33 | 1.68 × 10−40 |
| PTTG1 | 3 | 1.81 × 10−58 | 0.459413851506037 | 0.93 | 0.724 | 4.19 × 10−54 |
| ANLN, APOLD1, ARHGAP11A, ARH11B, ASPM, ATAD2, AURKA, AURKB, BARD1, BIRC5, BRCA1, BRCA2, BRIP1, BUB1B, C21orf58, CCDC14, CCDC18, CCNA2, CCNB1, CCNB2, CDC20, CDC45, CDCA2, CDCA3, CDCA4, CDCA8, CDKN2D, CDKN3, CENPA, CENPE, CENPF, CENPK, CENPM, CENPP, CENPU, CEP128, CEP55, CIP2A, CIT, CKAP2, CKAP2L, CLSPN, DBF4, DEPDC1, DHFR, DLEU2, DLGAP5, DNAJC9, ECT2, EMP2, ESCO2, EZH2, FAM111A, FANCI, FBXO5, FEN1, G2E3, GAS2L3, GINS2, GMNN, GPSM2, GTSE1, H2AFX, HELLS, HIST1H1A, HIST1H1B, HIST1H1E, HJURP, HMGB2, HMMR, KIF11, KIF14, KIF18A, KIF18B, KIF20B, KIF23, KIF2C, KIF4A, KIFC1, KNL1, KNSTRN, LINC01572, MAD2L1, MCM7, MELK, MIR924HG, MIS18BP1, MKI67, MND1, MXD3, MYBL1, NAV2, NCAPG, NCAPG2, NCAPH, NDC80, NEIL3, NSD2, NUF2, NUSAP1, ORC6, PBK, PCLAF, PHF19, PLK1, POLD3, PRC1, PRIM2, PRR11, RACGAP1, RAD51AP1, RFC3, RRM1, RRM2, SACD1, SAP30, SCLT1, SGO1, SGO2, SHCBP1, SMC1A, SMC2, SMC4, SPC25, TACC3, TMPO, TOP2A, TPX2, TRIM59, TTK, UBE2C, UBE2T, USP1, VRK1, ZWINT |
| CAF Subtype | Selected Markers |
|---|---|
| myCAF (Öhlund et al.) [10] | Acta2, Vim, Ctgf, Col1a1, Col5a1, Col6a1 |
| myCAF (Elyada et al.) [11] | Tnc, Tgfb1, Thy1, Tagln, Col12a1, Pdgfrb |
| iCAF (Öhlund et al.) [10] | Il1, Il6, Il11, Lif |
| iCAF (Elyada et al.) [11] | Clec3b, Col14a1, Gsn, Ly6c1, Cxcl12 |
| apCAF (Elyada et al.) [11] | Slpi, Saa3, Cd74, H2-Ab1, NKain4, Irf5 |
Publisher’s Note: MDPI stays neutral with regard to jurisdictional claims in published maps and institutional affiliations. |
© 2022 by the authors. Licensee MDPI, Basel, Switzerland. This article is an open access article distributed under the terms and conditions of the Creative Commons Attribution (CC BY) license (https://creativecommons.org/licenses/by/4.0/).
Share and Cite
Sunami, Y.; Chen, Y.; Trojanowicz, B.; Sommerer, M.; Hämmerle, M.; Eils, R.; Kleeff, J. Single Cell Analysis of Cultivated Fibroblasts from Chronic Pancreatitis and Pancreatic Cancer Patients. Cells 2022, 11, 2583. https://doi.org/10.3390/cells11162583
Sunami Y, Chen Y, Trojanowicz B, Sommerer M, Hämmerle M, Eils R, Kleeff J. Single Cell Analysis of Cultivated Fibroblasts from Chronic Pancreatitis and Pancreatic Cancer Patients. Cells. 2022; 11(16):2583. https://doi.org/10.3390/cells11162583
Chicago/Turabian StyleSunami, Yoshiaki, Yijun Chen, Bogusz Trojanowicz, Matthias Sommerer, Monika Hämmerle, Roland Eils, and Jörg Kleeff. 2022. "Single Cell Analysis of Cultivated Fibroblasts from Chronic Pancreatitis and Pancreatic Cancer Patients" Cells 11, no. 16: 2583. https://doi.org/10.3390/cells11162583
APA StyleSunami, Y., Chen, Y., Trojanowicz, B., Sommerer, M., Hämmerle, M., Eils, R., & Kleeff, J. (2022). Single Cell Analysis of Cultivated Fibroblasts from Chronic Pancreatitis and Pancreatic Cancer Patients. Cells, 11(16), 2583. https://doi.org/10.3390/cells11162583

