Consequences of SUR2[A478V] Mutation in Skeletal Muscle of Murine Model of Cantu Syndrome
Abstract
1. Introduction
2. Materials and Methods
2.1. Animal Care
2.2. Ethical Statements
2.3. In Vivo Parameters of Muscle Strength
2.4. Ultrasound Evaluations
2.5. Animal Sacrifice and Tissue Collection
2.6. Drugs and Solutions
2.7. Patch-Clamp Experiments
2.8. Histopathological Analysis
2.9. Isolation of Total RNA, Reverse Transcription and PCR
2.10. Fiber Survival Evaluation
2.11. Data Analysis and Statistics
3. Results
3.1. SUR2 CS Mice Are Heavier Than WT but Have Weaker Muscles
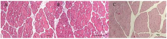
3.2. Skeletal Muscles of SUR2 Mutated Mice Show Morphological and Functional Abnormalities
3.3. KATP Channels in SUR2 CS Muscle Fibers Show Reduced Sensitivity to MgATP
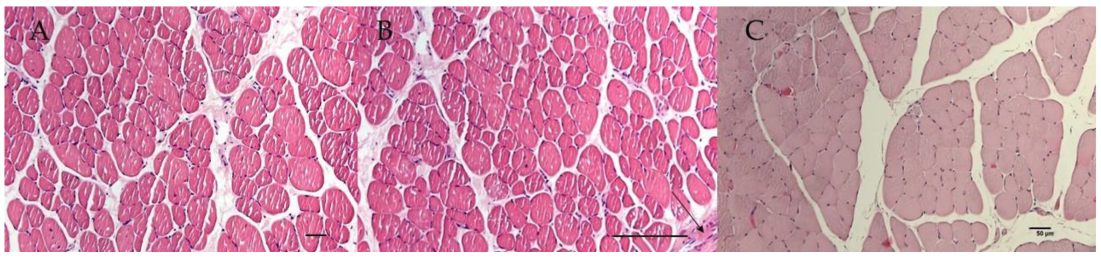
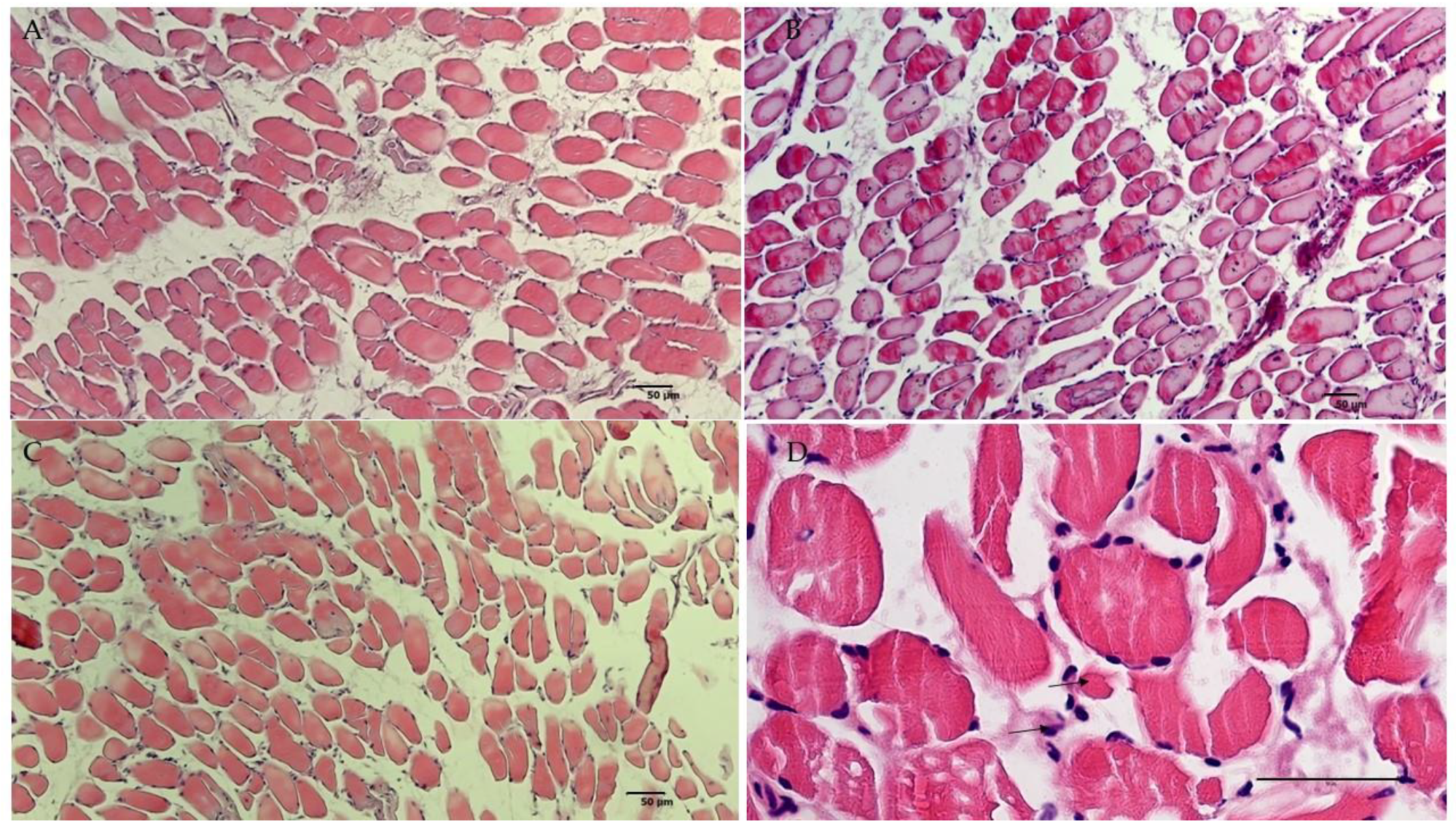
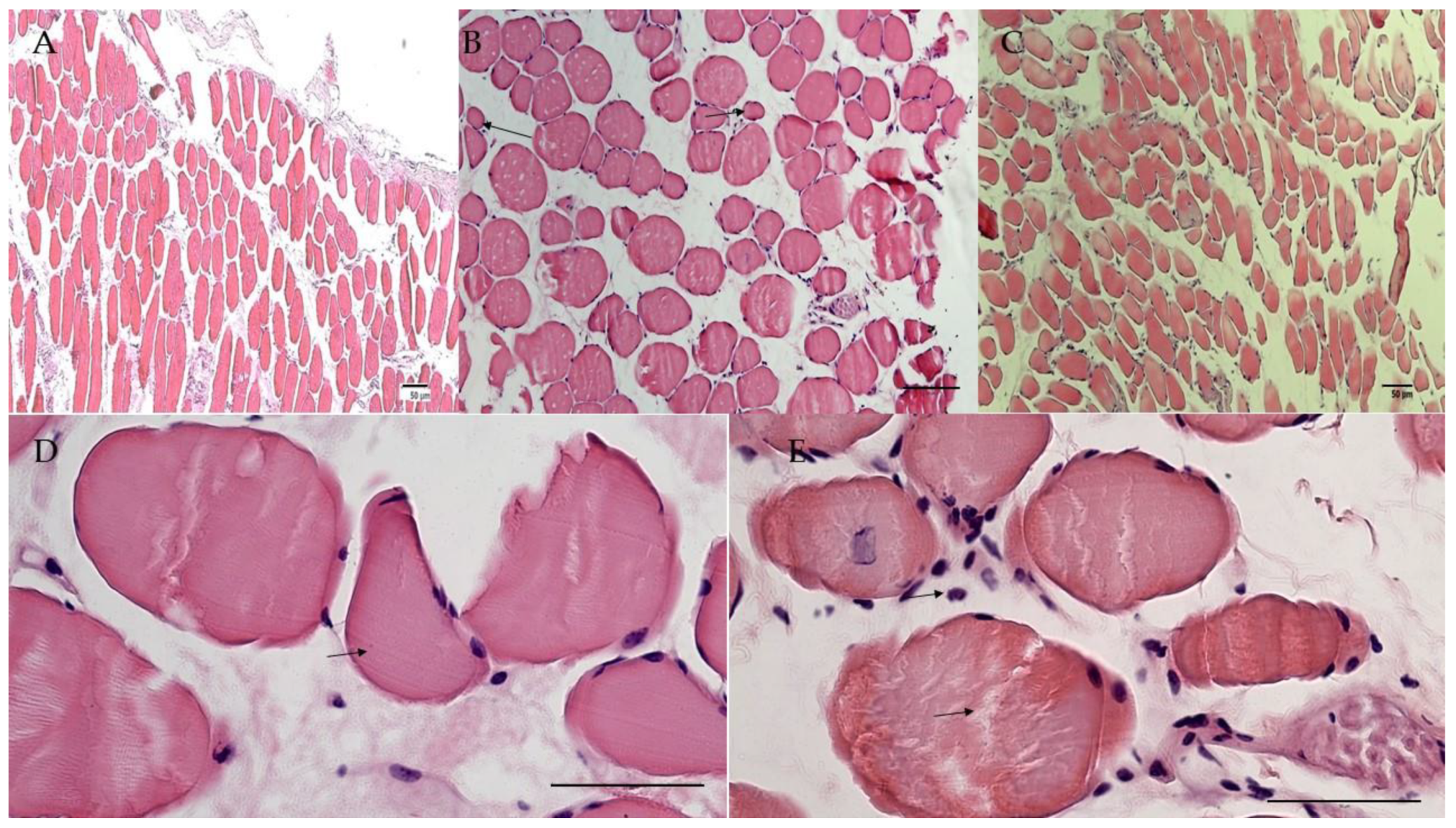
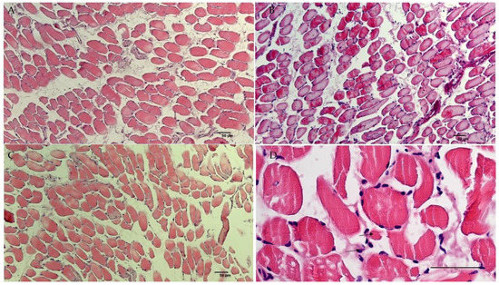
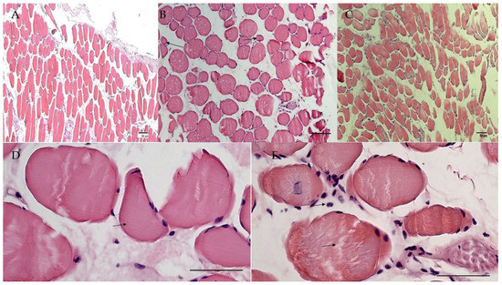
3.4. Marked Atrophy and Abnormal Morphology of SOL and TA Muscles
3.5. Ex Vivo Survival of Skeletal Muscle Fibers from SUR2 Mutated Mice Is Reduced
4. Discussion
4.1. Skeletal Muscle Weakness in CS
4.2. The Cellular and Pharmacological Consequences in SUR2wt/AV and SUR2AV/AV Mice Muscles
4.3. Mechanistic Basis of CS Skeletal Muscle Pathology
5. Conclusions
Supplementary Materials
Author Contributions
Funding
Institutional Review Board Statement
Informed Consent Statement
Data Availability Statement
Acknowledgments
Conflicts of Interest
References
- Cantu, J.M.; Garcia-Cruz, D.; Sanchez-Corona, J.; Hernandez, A.; Nazara, Z. A distinct osteochondrodysplasia with hypertrichosis-Individualization of a probable autosomal recessive entity. Hum. Genet. 1982, 60, 36–41. [Google Scholar] [CrossRef]
- Leon Guerrero, C.R.; Pathak, S.; Grange, D.K.; Singh, G.K.; Nichols, C.G.; Lee, J.M.; Vo, K.D. Neurologic and neuroimaging manifestations of Cantu syndrome: A case series. Neurology 2016, 87, 270–276. [Google Scholar] [CrossRef]
- Grange, D.K.; Roessler, H.I.; McClenaghan, C.; Duran, K.; Shields, K.; Remedi, M.S.; Knoers, N.V.A.M.; Lee, J.M.; Kirk, E.P.; Scurr, I.; et al. Cantu syndrome: Findings from 74 patients in the International Cantu Syndrome Registry. Am. J. Med. Genet. C Semin. Med. Genet. 2019, 181, 658–681. [Google Scholar] [CrossRef]
- Harakalova, M.; van Harssel, J.J.; Terhal, P.A.; van Lieshout, S.; Duran, K.; Renkens, I.; Amor, D.J.; Wilson, L.C.; Kirk, E.P.; Turner, C.L.; et al. Dominant missense mutations in ABCC9 cause Cantu syndrome. Nat. Genet. 2012, 44, 793–796. [Google Scholar] [CrossRef]
- Cooper, P.E.; Reutter, H.; Woelfle, J.; Engels, H.; Grange, D.K.; van Haaften, G.; van Bon, B.W.; Hoischen, A.; Nichols, C.G. Cantu syndrome resulting from activating mutation in the KCNJ8 gene. Hum. Mutat. 2014, 35, 809–813. [Google Scholar] [CrossRef]
- Cooper, P.E.; Sala-Rabanal, M.; Lee, S.J.; Nichols, C.G. Differential mechanisms of Cantu syndrome-associated gain of function mutations in the ABCC9 (SUR2) subunit of the KATP channel. J. Gen. Physiol. 2015, 146, 527–540. [Google Scholar] [CrossRef]
- Cooper, P.E.; McClenaghan, C.; Chen, X.; Stary-Weinzinger, A.; Nichols, C.G. Conserved functional consequences of disease-associated mutations in the slide helix of Kir6.1 and Kir6.2 subunits of the ATP-sensitive potassium channel. J. Biol. Chem. 2017, 292, 17387–17398. [Google Scholar] [CrossRef]
- McClenaghan, C.; Hanson, A.; Sala-Rabanal, M.; Roessler, H.I.; Josifova, D.; Grange, D.K.; van Haaften, G.; Nichols, C.G. Cantu syndrome-associated SUR2 (ABCC9) mutations in distinct structural domains result in KATP channel gain-of-function by differential mechanisms. J. Biol. Chem. 2018, 293, 2041–2052. [Google Scholar] [CrossRef]
- Pedersen, T.H.; de Paoli, F.V.; Flatman, J.A.; Nielsen, O.B. Regulation of ClC-1 and KATP channels in action potential-firing fast-twitch muscle fibers. J. Gen. Physiol. 2009, 134, 309–322. [Google Scholar] [CrossRef]
- Tricarico, D.; Selvaggi, M.; Passantino, G.; De Palo, P.; Dario, C.; Centoducati, P.; Tateo, A.; Curci, A.; Maqoud, F.; Mele, A.; et al. ATP Sensitive Potassium Channels in the Skeletal Muscle Function: Involvement of the KCNJ11(Kir6.2) Gene in the Determination of Mechanical Warner Bratzer Shear Force. Front. Physiol. 2016, 7, 167. [Google Scholar] [CrossRef]
- Gong, B.; Legault, D.; Miki, T.; Seino, S.; Renaud, J.M. KATP channels depress force by reducing action potential amplitude in mouse EDL and soleus muscle. Am. J. Physiol. Cell Physiol. 2003, 285, C1464–C1474. [Google Scholar] [CrossRef] [PubMed]
- Tricarico, D.; Mele, A.; Camerino, G.M.; Bottinelli, R.; Brocca, L.; Frigeri, A.; Svelto, M.; George, A.L., Jr.; Conte Camerino, D. The KATP channel is a molecular sensor of atrophy in skeletal muscle. J. Physiol. 2010, 588, 773–784. [Google Scholar] [CrossRef]
- Mele, A.; Buttiglione, M.; Cannone, G.; Vitiello, F.; Conte Camerino, D.; Tricarico, D. Opening/blocking actions of pyruvate kinase antibodies on neuronal and muscular KATP channels. Pharmacol. Res. 2012, 66, 401–408. [Google Scholar] [CrossRef]
- Cetrone, M.; Mele, A.; Tricarico, D. Effects of the antidiabetic drugs on the age-related atrophy and sarcopenia associated with diabetes type II. Curr. Diabetes Rev. 2014, 10, 231–237. [Google Scholar] [CrossRef]
- Tricarico, D.; Servidei, S.; Tonali, P.; Jurkat-Rott, K.; Conte Camerino, D. Impairment of skeletal muscle adenosine triphosphate-sensitive K+ channels in patients with hypokalemic periodic paralysis. J. Clin. Investig. 1999, 103, 675–682. [Google Scholar] [CrossRef] [PubMed]
- Scala, R.; Maqoud, F.; Zizzo, N.; Mele, A.; Camerino, G.M.; Zito, F.A.; Ranieri, G.; McClenaghan, C.; Harter, T.M.; Nichols, C.G.; et al. Pathophysiological Consequences of KATP Channel Overactivity and Pharmacological Response to Glibenclamide in Skeletal Muscle of a Murine Model of Cantù Syndrome. Front. Pharmacol. 2020, 11, 604885. [Google Scholar] [CrossRef] [PubMed]
- Tricarico, D.; Mele, A.; Lundquist, A.L.; Desai, R.R.; George, A.L.; Conte Camerino, D. Hybrid assemblies of ATP-sensitive K+ channels determine their muscle-type-dependent biophysical and pharmacological properties. Proc. Natl. Acad. Sci. USA 2006, 103, 1118–1123. [Google Scholar] [CrossRef] [PubMed]
- Huang, Y.; McClenaghan, C.; Harter, T.M.; Hinman, K.; Halabi, C.M.; Matkovich, S.J.; Zhang, H.; Brown, G.S.; Mecham, R.P.; England, S.K.; et al. Cardiovascular consequences of KATP overactivity in Cantu syndrome. JCI Insight 2018, 3. [Google Scholar] [CrossRef] [PubMed]
- McClenaghan, C.; Huang, Y.; Yan, Z.; Harter, T.M.; Halabi, C.M.; Chalk, R.; Kovacs, A.; van Haaften, G.; Remedi, M.S.; Nichols, C.G. Glibenclamide reverses cardiovascular abnormalities of Cantu syndrome driven by KATP channel overactivity. J. Clin. Investig. 2020, 130, 1116–1121. [Google Scholar] [CrossRef]
- Holman, L.; Head, M.L.; Lanfear, R.; Jennions, M.D. Evidence of Experimental Bias in the Life Sciences: Why We Need Blind Data Recording. PLoS Biol. 2015, 13, e1002190. [Google Scholar] [CrossRef] [PubMed]
- De Luca, A. Use of Grip Strength Meter to Assess the Limb Strength of Mdx Mice; TREAT-NMD Neuromuscular Network, SOP (ID) Number DMD_M.2.2.001; Wellstone Muscular Dystrophy Center: Washington, DC, USA, 2019; pp. 1–11. [Google Scholar]
- Mele, A.; Fonzino, A.; Rana, F.; Camerino, G.M.; De Bellis, M.; Conte, E.; Giustino, A.; Conte Camerino, D.; Desaphy, J.F. In vivo longitudinal study of rodent skeletal muscle atrophy using ultrasonography. Sci. Rep. 2016, 6, 20061. [Google Scholar] [CrossRef]
- Conte, E.; Camerino, G.M.; Mele, A.; De Bellis, M.; Pierno, S.; Rana, F.; Fonzino, A.; Caloiero, R.; Rizzi, L.; Bresciani, E.; et al. Growth hormone secretagogues prevent dysregulation of skeletal muscle calcium homeostasis in a rat model of cisplatin-induced cachexia. J. Cachexia Sarcopenia Muscle 2017, 8, 386–404. [Google Scholar] [CrossRef]
- Whitehead, N.P.; Bible, K.L.; Kim, M.J.; Odom, G.L.; Adams, M.E.; Froehner, S.C. Validation of ultrasonography for non-invasive assessment of diaphragm function in muscular dystrophy. J. Physiol. 2016, 594, 7215–7227. [Google Scholar] [CrossRef] [PubMed]
- Mele, A.; Mantuano, P.; De Bellis, M.; Rana, F.; Sanarica, F.; Conte, E.; Morgese, M.G.; Bove, M.; Rolland, J.F.; Capogrosso, R.F.; et al. A long-term treatment with taurine prevents cardiac dysfunction in mdx mice. Transl. Res. 2019, 204, 82–99. [Google Scholar] [CrossRef] [PubMed]
- Maqoud, F.; Zizzo, N.; Mele, A.; Denora, N.; Passantino, G.; Scala, R.; Cutrignelli, A.; Tinelli, A.; Laquintana, V.; la Forgia, F.; et al. The hydroxypropyl-beta-cyclodextrin-minoxidil inclusion complex improves the cardiovascular and proliferative adverse effects of minoxidil in male rats: Implications in the treatment of alopecia. Pharmacol. Res. Perspect. 2020, 8, e00585. [Google Scholar] [CrossRef]
- Tricarico, D.; Rolland, J.F.; Cannone, G.; Mele, A.; Cippone, V.; Laghezza, A.; Carbonara, G.; Fracchiolla, G.; Tortorella, P.; Loiodice, F.; et al. Structural nucleotide analogs are potent activators/inhibitors of pancreatic beta cell KATP channels: An emerging mechanism supporting their use as antidiabetic drugs. J. Pharmacol. Exp. Ther. 2012, 340, 266–276. [Google Scholar] [CrossRef]
- Tricarico, D.; Mele, A.; Camerino, G.M.; Laghezza, A.; Carbonara, G.; Fracchiolla, G.; Tortorella, P.; Loiodice, F.; Conte Camerino, D. Molecular determinants for the activating/blocking actions of the 2H-1,4-benzoxazine derivatives, a class of potassium channel modulators targeting the skeletal muscle KATP channels. Mol. Pharmacol. 2008, 74, 50–58. [Google Scholar] [CrossRef]
- Trapani, A.; Tricarico, D.; Mele, A.; Maqoud, F.; Mandracchia, D.; Vitale, P.; Capriati, V.; Trapani, G.; Dimiccoli, V.; Tolomeo, A.; et al. A novel injectable formulation of 6-fluoro-l-DOPA imaging agent for diagnosis of neuroendocrine tumors and Parkinson’s disease. Int. J. Pharm. 2017, 519, 304–313. [Google Scholar] [CrossRef]
- Gibson-Corley, K.N.; Olivier, A.K.; Meyerholz, D.K. Principles for valid histopathologic scoring in research. Vet. Pathol. 2013, 50, 1007–1015. [Google Scholar] [CrossRef] [PubMed]
- Bustin, S.A.; Benes, V.; Garson, J.A.; Hellemans, J.; Huggett, J.; Kubista, M.; Mueller, R.; Nolan, T.; Pfaffl, M.W.; Shipley, G.L.; et al. The MIQE guidelines: Minimum information for publication of quantitative real-time PCR experiments. Clin. Chem. 2009, 55, 611–622. [Google Scholar] [CrossRef] [PubMed]
- Maqoud, F.; Scala, R.; Mele, A.; McClenaghan, C.; Remedi, M.S.; Nichols, C.G.; Tricarico, D. Biophysical and Pharmacological Characterization of Atp-Sensitive Potassium Channels in Mice Kir6.1WT/V65M Mirroring the Human Cantu’ Syndrome. Biophys. J. 2020, 118, 589a–590a. [Google Scholar] [CrossRef]
- Flagg, T.P.; Enkvetchakul, D.; Koster, J.C.; Nichols, C.G. Muscle KATP channels: Recent insights to energy sensing and myoprotection. Physiol. Rev. 2010, 90, 799–829. [Google Scholar] [CrossRef] [PubMed]
- Cifelli, C.; Bourassa, F.; Gariepy, L.; Banas, K.; Benkhalti, M.; Renaud, J.M. KATP channel deficiency in mouse flexor digitorum brevis causes fibre damage and impairs Ca2+ release and force development during fatigue in vitro. J. Physiol. 2007, 582, 843–857. [Google Scholar] [CrossRef]
- Thabet, M.; Miki, T.; Seino, S.; Renaud, J.M. Treadmill running causes significant fiber damage in skeletal muscle of KATP channel-deficient mice. Physiol. Genom. 2005, 22, 204–212. [Google Scholar] [CrossRef] [PubMed][Green Version]
- Scott, K.; Benkhalti, M.; Calvert, N.D.; Paquette, M.; Zhen, L.; Harper, M.E.; Al-Dirbashi, O.Y.; Renaud, J.M. KATP channel deficiency in mouse FDB causes an impairment of energy metabolism during fatigue. Am. J. Physiol. Cell Physiol. 2016, 311, C559–C571. [Google Scholar] [CrossRef] [PubMed]
- Flanagan, S.E.; Patch, A.M.; Mackay, D.J.; Edghill, E.L.; Gloyn, A.L.; Robinson, D.; Shield, J.P.; Temple, K.; Ellard, S.; Hattersley, A.T. Mutations in ATP-sensitive K+ channel genes cause transient neonatal diabetes and permanent diabetes in childhood or adulthood. Diabetes 2007, 56, 1930–1937. [Google Scholar] [CrossRef] [PubMed]
- Clark, R.H.; McTaggart, J.S.; Webster, R.; Mannikko, R.; Iberl, M.; Sim, X.L.; Rorsman, P.; Glitsch, M.; Beeson, D.; Ashcroft, F.M. Muscle dysfunction caused by a KATP channel mutation in neonatal diabetes is neuronal in origin. Science 2010, 329, 458–461. [Google Scholar] [CrossRef]
- Horita, S.; Ono, T.; Gonzalez-Resines, S.; Ono, Y.; Yamachi, M.; Zhao, S.; Domene, C.; Maejima, Y.; Shimomura, K. Structure based analysis of K(ATP) channel with a DEND syndrome mutation in murine skeletal muscle. Sci. Rep. 2021, 11, 6668. [Google Scholar] [CrossRef]
- Clark, R.; Männikkö, R.; Stuckey, D.J.; Iberl, M.; Clarke, K.; Ashcroft, F.M. Mice expressing a human K(ATP) channel mutation have altered channel ATP sensitivity but no cardiac abnormalities. Diabetologia 2012, 55, 1195–1204. [Google Scholar] [CrossRef]
- McClenaghan, C.; Huang, Y.; Matkovich, S.J.; Kovacs, A.; Weinheimer, C.J.; Perez, R.; Broekelmann, T.J.; Harter, T.M.; Lee, J.M.; Remedi, M.S.; et al. The Mechanism of High-Output Cardiac Hypertrophy Arising from Potassium Channel Gain-of-Function in Cantú Syndrome. Function 2020, 1, zqaa004. [Google Scholar] [CrossRef]
- Gonzalez, A.; Orozco-Aguilar, J.; Achiardi, O.; Simon, F.; Cabello-Verrugio, C. SARS-CoV-2/Renin-Angiotensin System: Deciphering the Clues for a Couple with Potentially Harmful Effects on Skeletal Muscle. Int. J. Mol. Sci. 2020, 21, 7904. [Google Scholar] [CrossRef] [PubMed]
- Davis, M.J.; Kim, H.J.; Zawieja, S.D.; Castorena-Gonzalez, J.A.; Gui, P.; Li, M.; Saunders, B.T.; Zinselmeyer, B.H.; Randolph, G.J.; Remedi, M.S.; et al. Kir6.1-dependent K(ATP) channels in lymphatic smooth muscle and vessel dysfunction in mice with Kir6.1 gain-of-function. J. Physiol. 2020, 598, 3107–3127. [Google Scholar] [CrossRef] [PubMed]









| MgATP | Glibenclamide | |||||
|---|---|---|---|---|---|---|
| Mice | Emax (%) | IC50 (M) | Hill Slope | Emax (%) | IC50 (M) | Hill Slope |
| WT | −98.7 ± 0.7 | 8.6 ± 0.4 × 10−6 | 1.2 ± 0.1 | −95.6 ± 1.9 | 1.2 ± 0.4 × 10−7 M | 0.4 ± 0.05 |
| SUR2WT/AV | −95.6 ± 6 | 1.9 ± 0.5 × 10−5 | 0.9 ± 0.2 | −97 ± 7.5 | 1.9 ± 2.2 × 10−7 M | 0.25 ± 0.08 |
| SUR2AV/AV | n.a | n.a. | n.a. | −102.5 ± 9 | 4.2 ± 3.7 × 10−6 M | 0.26 ± 0.07 |
Publisher’s Note: MDPI stays neutral with regard to jurisdictional claims in published maps and institutional affiliations. |
© 2021 by the authors. Licensee MDPI, Basel, Switzerland. This article is an open access article distributed under the terms and conditions of the Creative Commons Attribution (CC BY) license (https://creativecommons.org/licenses/by/4.0/).
Share and Cite
Scala, R.; Maqoud, F.; Zizzo, N.; Passantino, G.; Mele, A.; Camerino, G.M.; McClenaghan, C.; Harter, T.M.; Nichols, C.G.; Tricarico, D. Consequences of SUR2[A478V] Mutation in Skeletal Muscle of Murine Model of Cantu Syndrome. Cells 2021, 10, 1791. https://doi.org/10.3390/cells10071791
Scala R, Maqoud F, Zizzo N, Passantino G, Mele A, Camerino GM, McClenaghan C, Harter TM, Nichols CG, Tricarico D. Consequences of SUR2[A478V] Mutation in Skeletal Muscle of Murine Model of Cantu Syndrome. Cells. 2021; 10(7):1791. https://doi.org/10.3390/cells10071791
Chicago/Turabian StyleScala, Rosa, Fatima Maqoud, Nicola Zizzo, Giuseppe Passantino, Antonietta Mele, Giulia Maria Camerino, Conor McClenaghan, Theresa M. Harter, Colin G. Nichols, and Domenico Tricarico. 2021. "Consequences of SUR2[A478V] Mutation in Skeletal Muscle of Murine Model of Cantu Syndrome" Cells 10, no. 7: 1791. https://doi.org/10.3390/cells10071791
APA StyleScala, R., Maqoud, F., Zizzo, N., Passantino, G., Mele, A., Camerino, G. M., McClenaghan, C., Harter, T. M., Nichols, C. G., & Tricarico, D. (2021). Consequences of SUR2[A478V] Mutation in Skeletal Muscle of Murine Model of Cantu Syndrome. Cells, 10(7), 1791. https://doi.org/10.3390/cells10071791

