Activation of Downstream mTORC1 Target Ribosomal Protein S6 Kinase (S6K) Can Be Found in a Subgroup of Dutch Patients with Granulomatous Pulmonary Disease
Abstract
:1. Introduction
2. Materials and Methods
2.1. Study Population
2.2. Immunohistochemistry
2.3. Evaluation of Immunohistochemistry
2.4. Identification of p-S6 Related Phenotypes
2.5. Statistical Analysis
3. Results
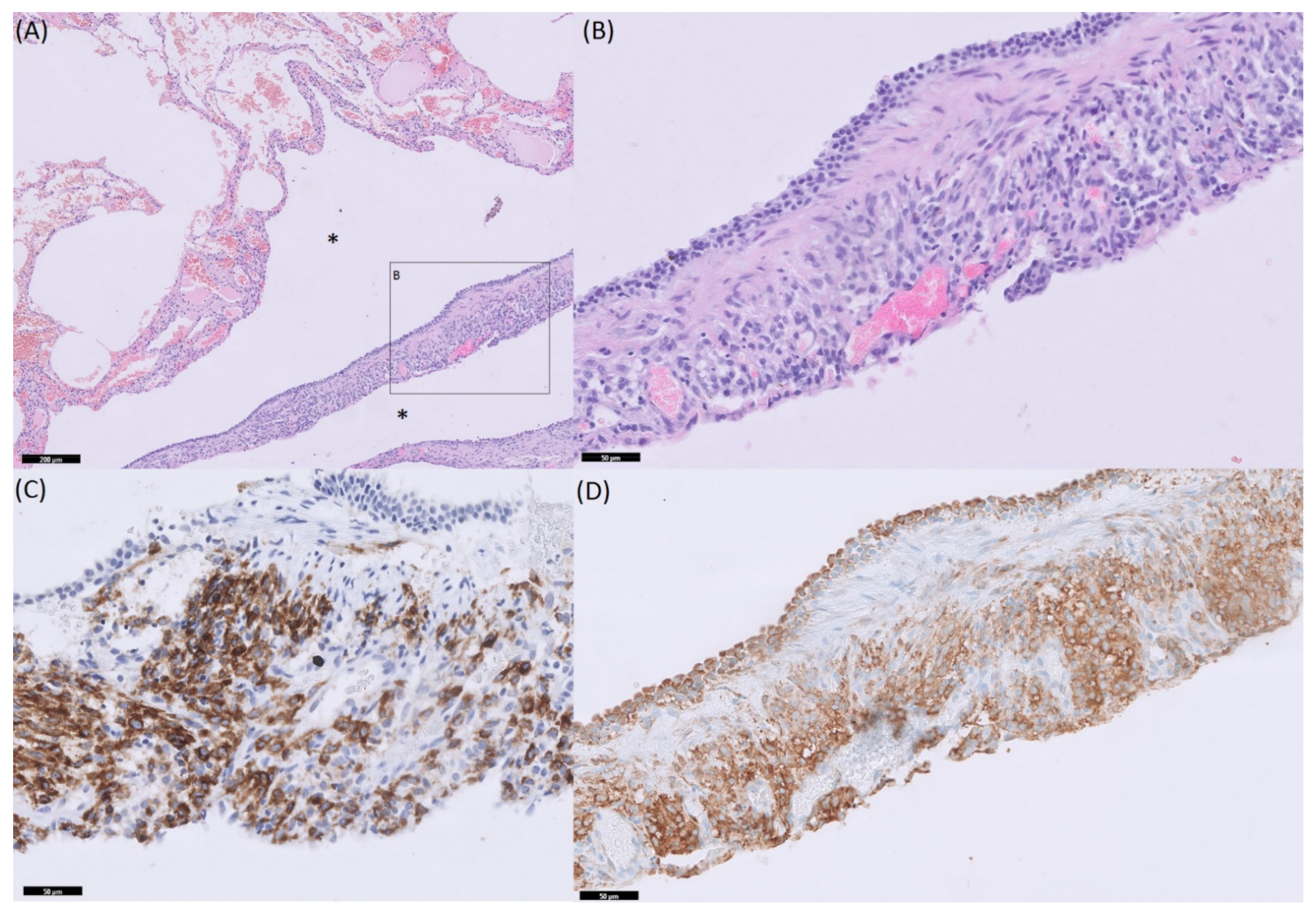
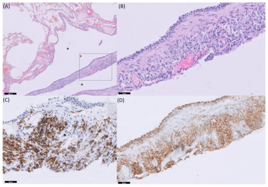
3.1. Active mTORC1 Signaling Present in All Six Patients with Lymphangioleiomyomatosis
3.2. Characteristics of Sarcoidosis Patients
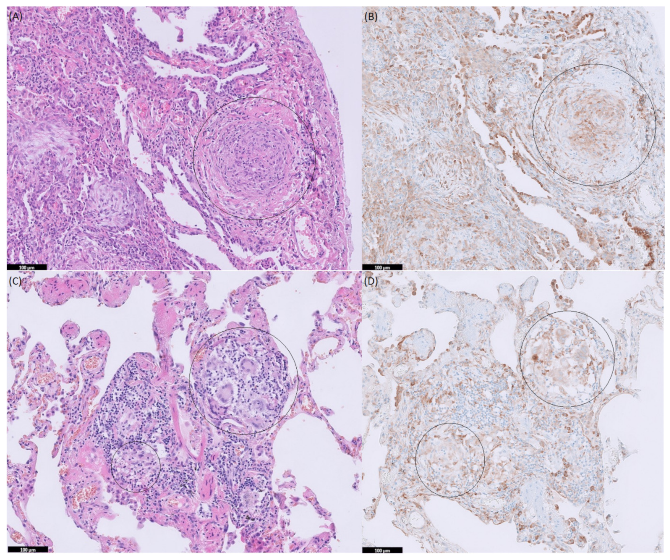
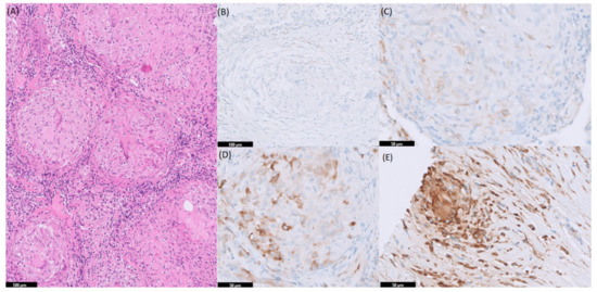
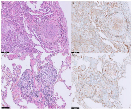
3.3. Not All Patients with Sarcoidosis Demonstrate Active mTOR Signaling
3.4. mTORC1 Activity Is Also Present in a Subgroup of Patients with Hypersensitivity Pneumonitis and Vasculitis
4. Discussion
5. Conclusions
Supplementary Materials
Author Contributions
Funding
Institutional Review Board Statement
Informed Consent Statement
Data Availability Statement
Conflicts of Interest
References
- Laplante, M.; Sabatini, D.M. mTOR Signaling in Growth Control and Disease. Cell 2012, 149, 274–293. [Google Scholar] [CrossRef] [PubMed] [Green Version]
- Linke, M.; Pham, H.T.T.; Katholnig, K.; Schnöller, T.; Miller, A.; Demel, F.; Schütz, B.; Rosner, M.; Kovacic, B.; Sukhbaatar, N.; et al. Chronic signaling via the metabolic checkpoint kinase mTORC1 induces macrophage granuloma formation and marks sarcoidosis progression. Nat. Immunol. 2017, 18, 293–302. [Google Scholar] [CrossRef] [PubMed]
- Cerella, C.; Gaigneaux, A.; Dicato, M.; Diederich, M. Antagonistic role of natural compounds in mTOR-mediated metabolic reprogramming. Cancer Lett. 2015, 356, 251–262. [Google Scholar] [CrossRef] [PubMed]
- Roux, P.P.; Shahbazian, D.; Vu, H.; Holz, M.K.; Cohen, M.S.; Taunton, J.; Sonenberg, N.; Blenis, J. RAS/ERK Signaling Promotes Site-specific Ribosomal Protein S6 Phosphorylation via RSK and Stimulates Cap-dependent Translation. J. Biol. Chem. 2007, 282, 14056–14064. [Google Scholar] [CrossRef] [PubMed] [Green Version]
- Krymskaya, V.P.; McCormack, F.X. Lymphangioleiomyomatosis: A Monogenic Model of Malignancy. Annu. Rev. Med. 2017, 68, 69–83. [Google Scholar] [CrossRef] [PubMed] [Green Version]
- Henske, E.P.; McCormack, F.X. Lymphangioleiomyomatosis—A wolf in sheep’s clothing. J. Clin. Investig. 2012, 122, 3807–3816. [Google Scholar] [CrossRef] [PubMed] [Green Version]
- Cao, G.-D.; Xu, X.-Y.; Zhang, J.-W.; Chen, B.; Xiong, M.-M. Phosphorylated Mammalian Target of Rapamycin p-mTOR Is a Favorable Prognostic Factor than mTOR in Gastric Cancer. PLoS ONE 2016, 11, e0168085. [Google Scholar] [CrossRef] [PubMed]
- Gately, K.; Al-Alao, B.; Dhillon, T.; Mauri, F.; Cuffe, S.; Seckl, M.; O’Byrne, K. Overexpression of the mammalian target of rapamycin (mTOR) and angioinvasion are poor prognostic factors in early stage NSCLC: A verification study. Lung Cancer 2012, 75, 217–222. [Google Scholar] [CrossRef] [PubMed]
- Hunninghake, G.W.; Costabel, U.; Ando, M.; Baughman, R.; Cordier, J.F.; du Bois, R.; Eklund, A.; Kitaichi, M.; Lynch, J.; Rizzato, G.; et al. Statement on Sarcoidosis. Am. J. Respir. Crit. Care Med. 1999, 160, 736–755. [Google Scholar] [CrossRef]
- Spector, W.G. Immunologic components of granuloma formation. Epithelioid cells, giant cells, and sarcoidosis. Ann. NY Acad. Sci. 1976, 278, 3–6. [Google Scholar] [CrossRef] [PubMed]
- Pizzini, A.; Bacher, H.; Aichner, M.; Franchi, A.; Watzinger, K.; Tancevski, I.; Sonnweber, T.; Mosheimer-Feistritzer, B.; Duftner, C.; Zelger, B.; et al. High expression of mTOR signaling in granulomatous lesions is not predictive for the clinical course of sarcoidosis. Respir. Med. 2021, 177, 106294. [Google Scholar] [CrossRef] [PubMed]
- Beijer, E.; Seldenrijk, K.; Eishi, Y.; Uchida, K.; Damen, J.; Grutters, J.C.; Veltkamp, M. Presence of Propionibacterium acnes in granulomas associates with a chronic disease course in Dutch sarcoidosis patients. ERJ Open Res. 2021, 7, 00486–02020. [Google Scholar] [CrossRef] [PubMed]
- Beijer, E.; Seldenrijk, K.; Meek, B.; Damen, J.; Quanjel, M.J.R.; Grutters, J.C.; Veltkamp, M. Detection of Cutibacterium acnes in granulomas of patients with either hypersensitivity pneumonitis or vasculitis reveals that its presence is not unique for sarcoidosis. ERJ Open Res. 2021, 7. [Google Scholar] [CrossRef] [PubMed]
- Costabel, U.; Hunninghake, G.W. ATS/ERS/WASOG statement on sarcoidosis. Sarcoidosis Statement Committee. American Thoracic Society. European Respiratory Society. World Association for Sarcoidosis and Other Granulomatous Disorders. Eur. Respir. J. 1999, 14, 735–737. [Google Scholar] [CrossRef] [PubMed] [Green Version]
- Gulhati, P.; Cai, Q.; Li, J.; Liu, J.; Rychahou, P.; Qiu, S.; Lee, E.Y.; Silva, S.R.; Bowen, K.A.; Gao, T.; et al. Targeted Inhibition of Mammalian Target of Rapamycin Signaling Inhibits Tumorigenesis of Colorectal Cancer. Clin. Cancer Res. 2009, 15, 7207–7216. [Google Scholar] [CrossRef] [PubMed] [Green Version]
- Baughman, R.P.; Nagai, S.; Balter, M.; Costabel, U.; Drent, M.; Du Bois, R.; Grutters, J.C.; Judson, M.; Lambiri, I.; Lower, E.E.; et al. Defining the clinical outcome status (COS) in sarcoidosis: Results of WASOG Task Force. Sarcoidosis Vasc. Diffus. Lung Dis. Off. J. WASOG 2011, 28, 56–64. [Google Scholar]
- Pende, M.; Um, S.H.; Mieulet, V.; Sticker, M.; Goss, V.L.; Mestan, J.; Mueller, M.; Fumagalli, S.; Kozma, S.C.; Thomas, G. S6K1−/−/S6K2−/− Mice Exhibit Perinatal Lethality and Rapamycin-Sensitive 5′-Terminal Oligopyrimidine mRNA Translation and Reveal a Mitogen-Activated Protein Kinase-Dependent S6 Kinase Pathway. Mol. Cell Biol. 2004, 24, 3112–3124. [Google Scholar] [CrossRef] [PubMed] [Green Version]



| IHC-Score | Sarcoidosis (n = 74) | Other Gran. Disorders (n = 39) | p-Value |
|---|---|---|---|
| 0 | 42 (56.8) | 27 (69.2) | 0.198 |
| 1 | 13 (17.6) | 3 (7.7) | 0.154 |
| 2 | 8 (10.8) | 5 (12.8) | 0.751 |
| 3 | 6 (8.1) | 3 (7.7) | 0.938 |
| 4 | 4 (5.4) | 1 (2.6) | 0.487 |
| 5 | 1 (1.4) | 0 (0) | 0.468 |
| 6 | 0 (0) | 0 (0) | - |
| 7 | 0 (0) | 0 (0) | - |
| Parameter | Negative (n = 42) | Positive (n = 32) | p-Value |
|---|---|---|---|
| Löfgren syndrome | 2 | 0 | 0.231 |
| Medication at time of biopsy | 3 | 4 | |
| Prednisone | 2 | 4 | 0.235 |
| Methotrexate | 0 | 1 | 0.550 |
| Azathioprine | 1 | 1 | 0.630 |
| Third-line therapy | 14 | 12 | 0.801 |
| COS group 2 years follow up (1/2/3) | (3/11/26) | (0/8/22) | 0.346 |
| COS group 5 years follow up (1/2/3) | (2/9/17) | (0/2/15) | 0.216 |
| Scadding stage at time biopsy (0/I/II/III/IV) | (1/11/15/6/7) | (2/10/16/3/1) | 0.119 |
| Inflammatory biomarkers a | |||
| ACE (U/L) | 5 | 5 | 0.498 |
| sIL-2R (pg/mL) | 5 | 8 | 0.102 |
| Number of other organs involved b (0/1/2/3/4) | (15/20/2/3/2) | (15/9/3/5/0) | 0.691 |
| Skin | 7 | 5 | 0.905 |
| Eyes | 3 | 3 | 0.869 |
| Liver | 5 | 3 | 0.809 |
| Heart | 10 | 2 | 0.052 |
| Spleen | 1 | 2 | 0.152 |
| Bones | 2 | 2 | 0.821 |
| Neurosarcoidosis | 8 | 5 | 0.752 |
| Small Fiber Neuropathy | 8 | 1 | 0.069 |
Publisher’s Note: MDPI stays neutral with regard to jurisdictional claims in published maps and institutional affiliations. |
© 2021 by the authors. Licensee MDPI, Basel, Switzerland. This article is an open access article distributed under the terms and conditions of the Creative Commons Attribution (CC BY) license (https://creativecommons.org/licenses/by/4.0/).
Share and Cite
Kraaijvanger, R.; Seldenrijk, K.; Beijer, E.; Damen, J.; Wilson, J.L.; Weichhart, T.; Grutters, J.C.; Veltkamp, M. Activation of Downstream mTORC1 Target Ribosomal Protein S6 Kinase (S6K) Can Be Found in a Subgroup of Dutch Patients with Granulomatous Pulmonary Disease. Cells 2021, 10, 3545. https://doi.org/10.3390/cells10123545
Kraaijvanger R, Seldenrijk K, Beijer E, Damen J, Wilson JL, Weichhart T, Grutters JC, Veltkamp M. Activation of Downstream mTORC1 Target Ribosomal Protein S6 Kinase (S6K) Can Be Found in a Subgroup of Dutch Patients with Granulomatous Pulmonary Disease. Cells. 2021; 10(12):3545. https://doi.org/10.3390/cells10123545
Chicago/Turabian StyleKraaijvanger, Raisa, Kees Seldenrijk, Els Beijer, Jan Damen, Jayne Louise Wilson, Thomas Weichhart, Jan C. Grutters, and Marcel Veltkamp. 2021. "Activation of Downstream mTORC1 Target Ribosomal Protein S6 Kinase (S6K) Can Be Found in a Subgroup of Dutch Patients with Granulomatous Pulmonary Disease" Cells 10, no. 12: 3545. https://doi.org/10.3390/cells10123545
APA StyleKraaijvanger, R., Seldenrijk, K., Beijer, E., Damen, J., Wilson, J. L., Weichhart, T., Grutters, J. C., & Veltkamp, M. (2021). Activation of Downstream mTORC1 Target Ribosomal Protein S6 Kinase (S6K) Can Be Found in a Subgroup of Dutch Patients with Granulomatous Pulmonary Disease. Cells, 10(12), 3545. https://doi.org/10.3390/cells10123545

