Evaluation of Rice Blast Resistance and R Gene Analysis in Japonica Rice Varieties Tested in the Anhui Region
Abstract
1. Introduction
2. Materials and Methods
2.1. Rice Varieties and Blast Fungal Strains
2.2. Assessment of Blast Resistance Magnitude
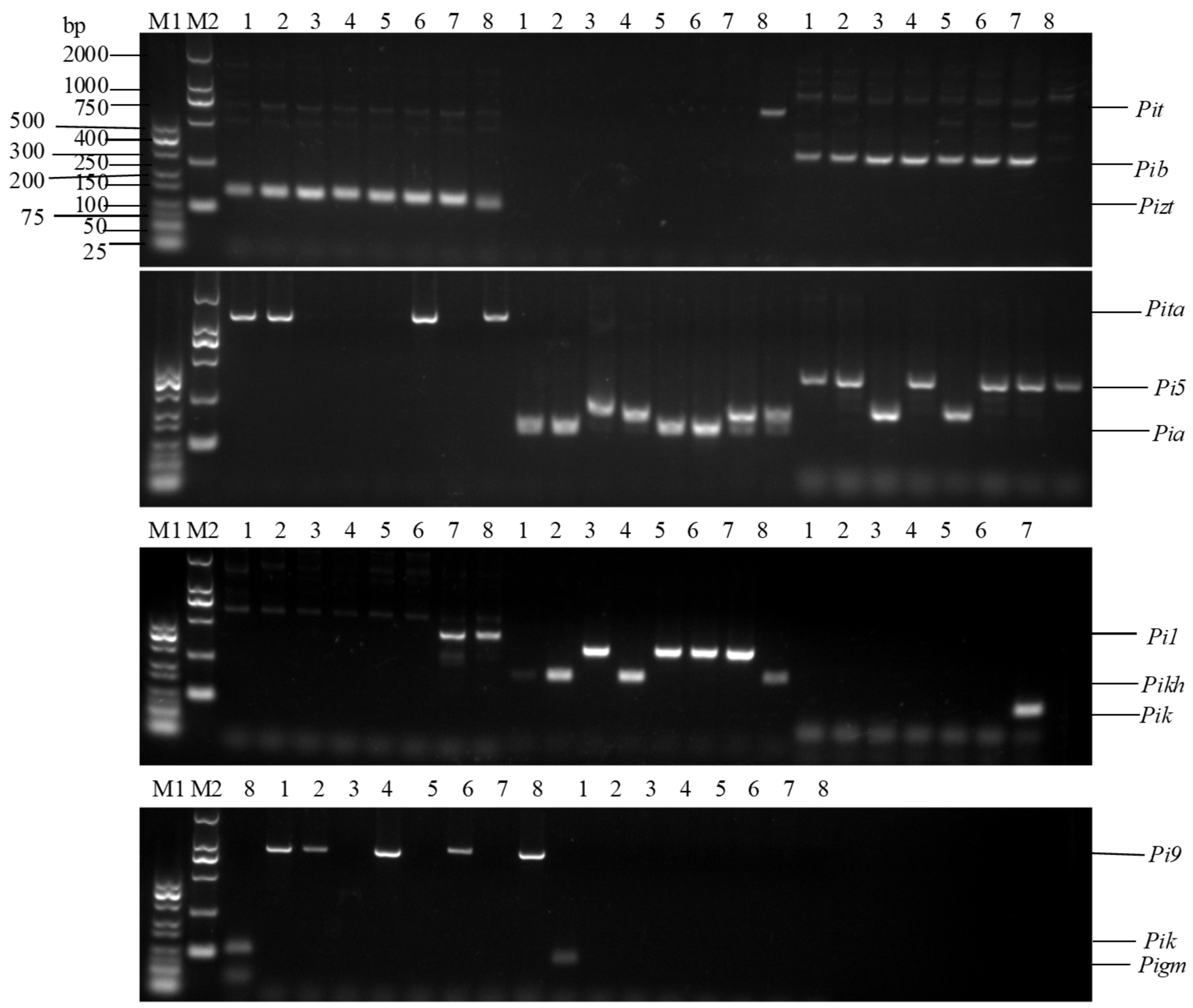
2.3. Identification of Rice Blast Resistance (R) Genes
2.4. Data Analysis
3. Results
3.1. Rice Blast Resistance Magnitude in the Tested Rice Varieties
3.2. Analysis of Eleven R Genes in the Tested Rice Varieties
3.3. Distribution of Resistance Genes and the Contribution of Disease Resistance
3.4. Correlation Between the Number of Resistance Genes and the Resistance Level
3.5. Distribution of Resistance Gene Combinations and the Contribution of Disease Resistance
4. Discussion
5. Conclusions
Author Contributions
Funding
Data Availability Statement
Conflicts of Interest
References
- Younas, M.U.; Ahmad, I.; Qasim, M.; Ijaz, Z.; Rajput, N.; Parveen Memon, S.; UL Zaman, W.; Jiang, X.; Zhang, Y.; Zuo, S. Progress in the management of rice blast disease: The role of avirulence and resistance genes through Gene-for-Gene interactions. Agronomy 2024, 14, 163. [Google Scholar] [CrossRef]
- Wang, W.; Mauleon, R.; Hu, Z.; Chebotarov, D.; Tai, S.; Wu, Z.; Li, M.; Zheng, T.; Fuentes, R.; Zhang, F.; et al. Genomic variation in 3010 diverse accessions of Asian cultivated rice. Nature 2018, 557, 43–49. [Google Scholar] [CrossRef] [PubMed]
- Chen, R.; Chen, Z.; Ling, B.; Nong, W.; Tian, D.; Chen, J. Detection and evaluation of blast resistance genes in backbone indica rice parents from South China. J. Plant Genet. Resour. 2024, 25, 386–398. (In Chinese) [Google Scholar]
- Xing, Y.; Liu, Y.; Li, J.; Chi, M.; Yang, B.; Li, J.; Wang, B.; Xu, D. Detection of blast resistance genes and identification of resistance of japonica glutinous rice varieties. J. Nucl. Agric. Sci. 2023, 37, 2134–2141. (In Chinese) [Google Scholar]
- Huang, Y.; Li, Y.; Wang, H.; Wang, W. Allelic variation in the race-specific blast resistance genes in rice. ACTA Phytopathol. Sin. 2023, 53, 753–792. (In Chinese) [Google Scholar]
- Yang, H.; Huang, Y.; Yi, C.; Shi, J.; Tan, C.; Ren, W.R.; Wang, W. Development and application of specific molecular markers for six homologous rice blast resistance genes in Pi9 locus of rice. Sci. Agric. Sin. 2023, 56, 4219–4233. (In Chinese) [Google Scholar]
- Gao, Q.; Zhang, Y.; Ge, X.; Li, Y.; Ma, Y.; Jin, X. Research progress of blast resistance genes in rice. Mol. Plant Breed. 2022, 20, 3634–3643. (In Chinese) [Google Scholar]
- Zhou, R. Genetic diversity and blast resistance gene analysis of major japonica (glutinous) rice varieties in Anhui Province. Master’s Thesis, Anhui Agricultural University, Hefei, China, 2022. [Google Scholar]
- Li, S. Identification of Avirulent Genes and Resistance Genes of Magnaporthe grisea in Liaoning Province. Master’s Thesis, Shenyang Agricultural University, Shenyang, China, 2018. [Google Scholar]
- Lu, Z.; Fu, W.; Liu, W.; Lu, D.; Wang, X.; Wang, S.; He, X. Identification and analysis of major resistance genes to Magnaporthe oryzae in main rice varieties in Guangdong Province. Acta Phytopathol. Sin. 2020, 50, 711–722. (In Chinese) [Google Scholar]
- Wang, X.; Du, H.; Chen, X.; Li, M.; Wang, J.; Xu, Z.; Feng, Z.; Chen, Z.; Zuo, S. Analysis of blast resistance genes and neck blast resistance of japonica rice varieties/lines recently developed in Jiangsu Province. China J. Rice Sci. 2020, 34, 413–424. (In Chinese) [Google Scholar]
- Ma, J.; Sun, Y.; Yang, Y.; Li, J.; Xu, M. Analysis of rice blast resistance genes suitable for japonica rice planting areas in Yunnan. Mol. Plant Breed. 2021, 19, 1556–1568. (In Chinese) [Google Scholar]
- Yan, Y.; Wang, K.; Zhou, F.; Zhang, L.; Hu, Z.; Cao, L.; Wu, S. Identification and resistance evaluation of rice blast resistance genes in japonica rice germplasm in Yangtze River Delta. J. Nucl. Agric. Sci. 2022, 36, 14–23. (In Chinese) [Google Scholar]
- Zhou, Y.; Zhang, Y.; Zhao, H.; Jin, X. Molecular detection and analysis of rice blast resistance genes in main rice varieties in Heilongjiang Province. Crops 2019, 3, 172–177. (In Chinese) [Google Scholar]
- NY/T2646-2014; Ministry of Agriculture and Rural Affairs of the People’s Republic of China. Technical Specification for Identification and Evaluation of Blast Resistance in Rice Variety Regional Test. Standards Press of China: Beijing, China, 2014.
- Zhang, H.S.; Yang, X.; Zhang, D.F.; Yan, D.K.; Gu, J.T.; Zhang, A.F. Effects of rice blast resistance genes on rice blast strains in Anhui Province. China Rice 2020, 26, 50–53. (In Chinese) [Google Scholar]
- Zheng, X.Z. Identification and resistance analysis on rice blast resistance gene locus Pik of rice variety Kongyu 131. Fujian Agric. Sci. Technol. 2019, 9, 12–15. (In Chinese) [Google Scholar]
- Lan, B.; Yang, Y.; Chen, J.; Chen, H.; Li, X. Molecular marker detection and analysis of blast resistance genes in main rice cultivars in Jiangxi Province. Mol. Plant Breed. 2019, 17, 2559–2567. (In Chinese) [Google Scholar]
- Pan, Z.; Qiu, F.; Lyu, G.; Ma, X.; Wang, Y.; Gao, H.; Li, X.; Li, R. Identification and analysis of blast resistance genes in Liaoxing series varieties. Jiangsu Agric. Sci. 2017, 45, 87–90. (In Chinese) [Google Scholar]
- Li, G.; Yuan, C.; Cao, K.; Sun, X.; Li, J.; Wang, J.; Cheng, B.; Luo, B.; Xu, W.; Tang, J.; et al. Evaluation and distribution of the blast resistance genes of 544 rice materials. J. China Agric. Univ. 2018, 23, 22–28. (In Chinese) [Google Scholar]
- Pan, C.; Chen, B.; Wu, Y.; Zhou, C.; Cai, Y.; Yu, L.; Li, Y.; Xiao, N.; Huang, N.; Li, X.; et al. Breeding of blast resistant japonica rice varieties through pyramiding the resistance gene Pizt and Pib in Jiangsu Province. J. Yangzhou Univ. 2021, 42, 78–83+89. (In Chinese) [Google Scholar]
- Hayashi, K.; Yasuda, N.; Fujita, Y.; Koizumi, S.; Yoshida, H. Identification of the blast resistance gene Pit in rice cultivars using functional markers. Theor. Appl. Genet. 2010, 121, 1357–1367. [Google Scholar] [CrossRef]
- Wu, Z.; Li, H.; Chen, C.; Liu, G.; Luo, Q.; Qin, S.; Zhu, Q. Analysis of blast resistance genes and panicle neck blast resistances of conventional indica rice varieties. J. South China Agric. Univ. 2023, 44, 718–724. (In Chinese) [Google Scholar]
- Kou, Y.; Shi, H.; Qiu, J.; Tao, Z.; Wang, W. Effectors and environment modulating rice blast disease: From understanding to effective control. Trends Microbiol. 2024, 32, 1007–1020. [Google Scholar] [CrossRef] [PubMed]
- Zhou, K.; Zhang, C.; Xia, J.; Wang, Y.; Yun, P.; Ma, T.; Wu, D.; Li, Z. Associated analysis of rice blast genotypes and seedling blast resistance of japonica rice resources in the middle and lower reaches of the Yangtze River. J. Nucl. Agric. Sci. 2022, 36, 1920–1928. (In Chinese) [Google Scholar]
- Wang, J.; Gong, D.; Yang, J.; Zhu, J.; Fan, F.J.; Li, W.Q.; Wang, F.Q.; Zhong, W. Relationship between rice blast resistance genotypes and neck blast resistance of japonica rice in Jiangsu Province. Jiangsu J. Agric. Sci. 2016, 32, 250–256. (In Chinese) [Google Scholar]
- Liu, J.; Huang, C.; Jiang, J.; Lyu, Z.; Liu, Z.; Cai, Z.; Lei, S. Molecular detection of blast resistance genes in 87 rice materials. Southwest China J. Agric. Sci. 2022, 35, 2030–2037. (In Chinese) [Google Scholar]
- Wang, Y.; Gu, S.; Song, Y.; Duan, Y.; Tian, Y.; Wang, Y.; Li, J.; Yang, M.; Wang, H.; Wei, S. Identification and analysis of blast resistance genes of rice landraces in Northern China. Mol. Plant Breed. 2023. (In Chinese). Available online: http://kns.cnki.net/kcms/detail/46.1068.S.20230913.2314.010.html (accessed on 10 April 2025).
- Qi, Z.; Du, Y.; Yu, J.; Zhang, R.; Yu, M.; Cao, H.; Song, T.; Pan, X.; Liang, D.; Liu, Y. Molecular detection and analysis of blast resistance genes in rice main varieties in Jiangsu Province, China. Agronomy 2023, 13, 157. [Google Scholar] [CrossRef]
- Chen, Q.; Hu, Y.; Shen, W.; Zhang, A. Composition analysis of avirulence genes and physiological races of Magnaporthe oryzae in Anhui Province. ACTA Phytopathol. Sin. 2024. (In Chinese) [Google Scholar] [CrossRef]



| Gene Name | Primer Name | Primer Sequence (5′–3′) | Expected Size/bp |
|---|---|---|---|
| Pi9 | Pi9-1F | TGCCCAACCTTTACCCACTGTA | 807 [16] |
| Pi9-1R | AACATGAGTAGAAACAAATTAGTTTG | ||
| Pik | dCAPS-2953-F | TTCGAGGCCCTACCAAGACA | 102 [17] |
| dCAPS-2953-R | CATGGAAGGCTATCCTTGGTA | ||
| Pi1 | M-Pi1-F | GTGCTGCTGTGGCTAGTTTG | 460 [18] |
| M-Pi1-R | AGTCCCCGCTCAATTTTTCT | ||
| Pikh | MAS-F | CAATCTCCAAAGTTTTCAGG | 216 [19] |
| MAS-R | GCTTCAATCACTGCTAGACC | ||
| Pita | YL155-F | AGCAGGTTATAAGCTAGGCC | 1042 [20] |
| YL155-R | CTACCAACAAGTTCATCAAA | ||
| Pi5 | M-Pi5-F | ATAGATCATGCGCCCTCTTG | 484 [20] |
| M-Pi5-R | TCATACCCCATTCGGTCAT | ||
| Pia | Pia-F | GCGACTGACACTTTCAATAGC | 189 [20] |
| Pia-R | CGGTAGAGCAATTTAGAAGCAG | ||
| Pib | Pibdom-F | GAACAATGCCCAAACTTGAGA | 350 [20] |
| Pibdom-R | GGGTCCACATGTCAGTGAGC | ||
| Pizt | AP22-F | GTGCATGAGTCCAGCTCAAA | 143 [21] |
| AP22-R | GTGTACTCCCATGGCTGCTC | ||
| Pit | tN11-F | ATGATAACCTCATCCTCAATAAGT | 733 [22] |
| tN11-R | GTTGGAGCTACGGTTGTTCAG | ||
| Pigm | GMR-3-F | AGTTCTACTTACGGAGGAGC | 146 + 98 [11] |
| GMR-3-R | AGAATTATGATAAAGAGAAAGGAA |
| R Gene | Number of Varieties | Distribution Frequency (%) | Number of Disease-Resistant Varieties | Disease Resistance Contribution Rate (%) |
|---|---|---|---|---|
| Pizt | 68 | 23.7% | 26 | 38.2% |
| Pit | 31 | 10.8% | 9 | 29.0% |
| Pib | 256 | 89.2% | 66 | 25.8% |
| Pita | 179 | 62.4% | 60 | 33.5% |
| Pia | 156 | 54.4% | 32 | 20.5% |
| Pi5 | 211 | 73.5% | 42 | 19.9% |
| Pi1 | 30 | 10.5% | 5 | 16.7% |
| Pikh | 139 | 48.4% | 37 | 26.6% |
| Pik | 118 | 41.1% | 50 | 42.4% |
| Pi9 | 102 | 35.5% | 39 | 38.2% |
| R Gene Combination | Number of Varieties | Number of Disease-Resistant Varieties | R gene Combination | Number of Varieties | Number of Disease-Resistant Varieties |
|---|---|---|---|---|---|
| 0 | 1 | 0 | Pib + Pita + Pi5 + Pi1 + Pik | 2 | 2 |
| Pib | 5 | 0 | Pizt + Pib + Pita + Pi5 + Pi9 | 3 | 2 |
| Pita | 1 | 0 | Pit + Pib + Pita + Pia + Pi5 | 4 | 0 |
| Pi5 | 2 | 0 | Pib + Pita + Pia + Pi5 + Pik | 3 | 0 |
| Pia + Pi5 | 3 | 0 | Pib + Pia + Pi5 + Pik + Pi9 | 1 | 0 |
| Pib + Pik | 1 | 0 | Pib + Pita + Pi5 + Pikh + Pi9 | 1 | 0 |
| Pib + Pia | 10 | 2 | Pib + Pita + Pia + Pikh + Pi9 | 2 | 1 |
| Pib + Pi5 | 3 | 1 | Pib + Pia + Pi5 + Pikh + Pi9 | 2 | 0 |
| Pi5 + Pik | 1 | 1 | Pit + Pib + Pia + Pi5 + Pik | 1 | 1 |
| Pikh + Pi9 | 1 | 0 | Pit + Pib + Pita + Pi5 + Pikh | 1 | 0 |
| Pib + Pita | 2 | 1 | Pizt + Pib + Pia + Pi5 + Pi9 | 2 | 0 |
| Pizt + Pia | 1 | 0 | Pizt + Pib + Pi5 + Pikh + Pi9 | 5 | 1 |
| Pib + Pi5 + Pikh | 5 | 0 | Pib + Pia + Pi5 + Pi1 + Pik | 5 | 0 |
| Pib + Pikh + Pik | 1 | 0 | Pit + Pib + Pi5 + Pi1 + Pik | 1 | 0 |
| Pita + Pi5 + Pikh | 4 | 1 | Pizt + Pib + Pita + Pia + Pikh | 1 | 0 |
| Pib + Pi5 + Pik | 2 | 1 | Pit + Pib + Pia + Pi5 + Pikh | 1 | 0 |
| Pib + Pia + Pi5 | 10 | 0 | Pizt + Pib + Pita + Pia + Pi9 | 1 | 1 |
| Pib + Pia + Pik | 3 | 1 | Pib + Pita + Pi5 + Pikh + Pi9 | 1 | 0 |
| Pib + Pikh + Pi9 | 2 | 0 | Pib + Pia + Pi5 + Pikh + Pik | 1 | 0 |
| Pib + Pita + Pik | 2 | 0 | Pizt + Pib + Pita + Pi5 + Pik + Pi9 | 3 | 2 |
| Pizt + Pib + Pikh | 1 | 0 | Pizt + Pib + Pita + Pikh + Pik + Pi9 | 6 | 5 |
| Pib + Pia + Pikh | 3 | 0 | Pib + Pita + Pi5 + Pi1 + Pik + Pi9 | 2 | 0 |
| Pita + Pikh + Pik | 1 | 0 | Pizt + Pib + Pita + Pia + Pi5 + Pikh | 1 | 1 |
| Pib + Pi5 + Pi1 | 1 | 0 | Pizt + Pit + Pib + Pi5 + Pik + Pi9 | 1 | 0 |
| Pi5 + Pikh + Pik | 1 | 0 | Pizt + Pib + Pi5 + Pikh + Pik + Pi9 | 1 | 1 |
| Pib + Pita + Pi5 | 4 | 0 | Pib + Pita + Pi5 + Pikh + Pik + Pi9 | 3 | 3 |
| Pib + Pita + Pia | 2 | 2 | Pib + Pita + Pia + Pikh + Pik + Pi9 | 4 | 3 |
| Pib + Pi5 + Pi9 | 1 | 0 | Pit + Pib + Pita + Pi5 + Pi1 + Pik | 1 | 1 |
| Pib + Pita + Pikh | 1 | 1 | Pit + Pib + Pita + Pia + Pi5 + Pi9 | 2 | 0 |
| Pia + Pi5 + Pik | 2 | 0 | Pib + Pita + Pia + Pi5 + Pik + Pi9 | 1 | 1 |
| Pita + Pia + Pi5 | 1 | 0 | Pit + Pib + Pita + Pi5 + Pikh + Pik | 1 | 1 |
| Pib + Pita + Pi5 + Pik | 6 | 1 | Pit + Pib + Pita + Pi5 + Pik + Pi9 | 1 | 1 |
| Pib + Pita + Pi5 + Pikh | 9 | 0 | Pizt + Pib + Pita + Pi5 + Pikh + Pi9 | 3 | 1 |
| Pita + Pia + Pi5 + Pikh | 5 | 0 | Pizt + Pib + Pia + Pi5 + Pikh + Pi9 | 3 | 0 |
| Pita + Pi5 + Pikh + Pik | 1 | 1 | Pib + Pita + Pia + Pi5 + Pikh + Pi9 | 2 | 1 |
| Pita + Pi5 + Pi1 + Pik | 2 | 1 | Pit + Pib + Pita + Pia + Pi5 + Pikh | 1 | 1 |
| Pib + Pia + Pi5 + Pik | 2 | 0 | Pizt + Pib + Pita + Pia + Pi5 + Pi9 | 3 | 1 |
| Pizt + Pib + Pik + Pi9 | 1 | 0 | Pib + Pia + Pi5 + Pi1 + Pik + Pi9 | 1 | 0 |
| Pib + Pia + Pikh + Pik | 1 | 1 | Pit + Pib + Pia + Pi5 + Pi1 + Pik | 3 | 0 |
| Pib + Pi1 + Pik + Pi9 | 1 | 0 | Pizt + Pib + Pi5 + Pi1 + Pikh + Pik | 1 | 0 |
| Pib + Pita + Pia + Pi5 | 9 | 0 | Pib + Pita + Pi5 + Pi1 + Pikh + Pik + Pi9 | 1 | 0 |
| Pizt + Pita + Pia + Pi5 | 1 | 0 | Pizt + Pib + Pita + Pia + Pi5 + Pik + Pi9 | 5 | 5 |
| Pizt + Pita + Pi5 + Pikh | 1 | 0 | Pizt + Pit + Pib + Pita + Pikh + Pik + Pi9 | 1 | 1 |
| Pib + Pita + Pi5 + Pi9 | 4 | 0 | Pib + Pita + Pia + Pi5 + Pikh + Pik + Pi9 | 1 | 1 |
| Pib + Pi5 + Pikh + Pik | 1 | 0 | Pib + Pita + Pia + Pi1 + Pikh + Pik + Pi9 | 1 | 0 |
| Pib + Pita + Pia + Pik | 2 | 1 | Pizt + Pit + Pib + Pita + Pi5 + Pik + Pi9 | 2 | 1 |
| Pib + Pia + Pikh + Pi9 | 1 | 0 | Pizt + Pit + Pib + Pi5 + Pikh + Pik + Pi9 | 1 | 0 |
| Pib + Pita + Pia + Pikh | 4 | 0 | Pit + Pib + Pita + Pia + Pi5 + Pikh + Pik | 1 | 0 |
| Pia + Pi5 + Pikh + Pi9 | 1 | 0 | Pizt + Pib + Pita + Pia + Pikh + Pik + Pi9 | 1 | 1 |
| Pib + Pi5 + Pikh + Pi9 | 1 | 0 | Pizt + Pit + Pib + Pita + Pia + Pi5 + Pik | 1 | 1 |
| Pib + Pia + Pi5 + Pikh | 6 | 0 | Pizt + Pib + Pita + Pia + Pi5 + Pi1 + Pik | 1 | 0 |
| Pizt + Pib + Pia + Pi5 | 1 | 0 | Pizt + Pib + Pita + Pia + Pi5 + Pikh + Pi9 | 4 | 0 |
| Pizt + Pib + Pita + Pik | 1 | 0 | Pizt + Pit + Pib + Pia + Pi5 + Pikh + Pi9 | 1 | 0 |
| Pib + Pita + Pia + Pi5 + Pikh | 16 | 1 | Pib + Pita + Pia + Pi5 + Pi1 + Pikh + Pik | 1 | 1 |
| Pizt + Pib + Pita + Pik + Pi9 | 1 | 1 | Pizt + Pib + Pia + Pi5 + Pi1 + Pik + Pi9 | 1 | 0 |
| Pib + Pita + Pi5 + Pik + Pi9 | 4 | 1 | Pizt + Pib + Pita + Pia + Pi5 + Pikh + Pik | 1 | 0 |
| Pib + Pita + Pikh + Pik + Pi9 | 4 | 3 | Pizt + Pit + Pib + Pita + Pia + Pi5 + Pikh + Pi9 | 1 | 1 |
| Pib + Pita + Pi5 + Pikh + Pik | 5 | 2 | Pit + Pib + Pita + Pi5 + Pi1 + Pikh + Pik + Pi9 | 1 | 0 |
| Pib + Pita + Pia + Pikh + Pik | 4 | 3 | Pizt + Pit + Pib + Pita + Pi5 + Pi1 + Pik + Pi9 | 1 | 0 |
| Pizt + Pib + Pita + Pi5 + Pik | 1 | 0 | Pizt + Pit + Pita + Pia + Pi5 + Pi1 + Pikh + Pik + Pi9 | 1 | 0 |
| Pizt + Pib + Pita + Pikh + Pi9 | 1 | 0 | Pizt + Pit + Pib + Pita + Pia + Pi5 + Pi1 + Pik + Pi9 | 2 | 0 |
Disclaimer/Publisher’s Note: The statements, opinions and data contained in all publications are solely those of the individual author(s) and contributor(s) and not of MDPI and/or the editor(s). MDPI and/or the editor(s) disclaim responsibility for any injury to people or property resulting from any ideas, methods, instructions or products referred to in the content. |
© 2025 by the authors. Licensee MDPI, Basel, Switzerland. This article is an open access article distributed under the terms and conditions of the Creative Commons Attribution (CC BY) license (https://creativecommons.org/licenses/by/4.0/).
Share and Cite
Chen, Q.; Hu, Y.; Shen, W.; Zhang, A. Evaluation of Rice Blast Resistance and R Gene Analysis in Japonica Rice Varieties Tested in the Anhui Region. Agronomy 2025, 15, 1008. https://doi.org/10.3390/agronomy15051008
Chen Q, Hu Y, Shen W, Zhang A. Evaluation of Rice Blast Resistance and R Gene Analysis in Japonica Rice Varieties Tested in the Anhui Region. Agronomy. 2025; 15(5):1008. https://doi.org/10.3390/agronomy15051008
Chicago/Turabian StyleChen, Qingqing, Yiqun Hu, Wenjie Shen, and Aifang Zhang. 2025. "Evaluation of Rice Blast Resistance and R Gene Analysis in Japonica Rice Varieties Tested in the Anhui Region" Agronomy 15, no. 5: 1008. https://doi.org/10.3390/agronomy15051008
APA StyleChen, Q., Hu, Y., Shen, W., & Zhang, A. (2025). Evaluation of Rice Blast Resistance and R Gene Analysis in Japonica Rice Varieties Tested in the Anhui Region. Agronomy, 15(5), 1008. https://doi.org/10.3390/agronomy15051008

