Optimizing Cryopreservation Protocols for Coffea racemosa and Coffea liberica: Impact of Moisture Content and Packaging on Seed Viability
Abstract
1. Introduction
2. Materials and Methods
2.1. Fruit Harvest and Processing
2.2. Seed Drying Protocol
2.3. Cryopreservation Procedures
2.4. Rewarming Protocol
2.5. Physiological Assessments
2.6. Isoenzyme Analyses
2.7. Experimental Design and Statistical Analyses
3. Results and Discussion
3.1. Physiological Responses to Drying
3.2. Effects of Cryopreserved and Type of Packaging on Seeds Dried at Different Moisture Contents
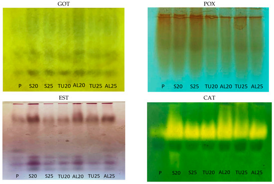
3.3. Isoenzyme Profiles in Cryopreserved Seeds
4. Conclusions
Author Contributions
Funding
Data Availability Statement
Acknowledgments
Conflicts of Interest
References
- International Coffee Organization. Sustainability e Resilience of the Coffee Global Value Chain: Towards a Coffee Investment Vehicle. 2024. Available online: https://www.icocoffee.org/documents/cy2023-24/report-global-coffee-funding-mechanisms-june-2024-e.pdf (accessed on 16 August 2024).
- Companhia Nacional de Abastecimento (CONAB). Acompanhamento da Safra Brasileira de Café, terceiro levantamento, setembro 2024. v. 11, 3rd ed.; CONAB: Brasília, Brazil, 2024. Available online: http://www.conab.gov.br (accessed on 20 September 2024).
- Davis, A.P.; Rakotonasolo, F. Six new species of coffee (Coffea) from northern Madagascar. Kew Bull. 2021, 76, 497–511. [Google Scholar] [CrossRef]
- Fazuoli, L.C.; Braghini, M.T.; Silvarolla, M.B.; Goncalves, W.; Mistro, J.C.; Gallo, P.B.; Guerreiro Filho, O. IAC Catuaí SH3: A dwarf Arabica coffee cultivar with leaf rust resistance and drought tolerance. Crop Breed. Appl. Biotechnol. 2019, 19, 356–359. [Google Scholar] [CrossRef]
- Medina Filho, H.P.; Carvalho, A.; Sondahl, M.R.; Fazuoli, L.C.; Costa, W.M. Coffee breeding and related evolutionary aspects. Pl. Breed. Rev. 1984, 2, 157–193. [Google Scholar] [CrossRef]
- Fazuoli, L.C.; Braghini, M.T.; Silvarolla, M.B.; Gonçalves, W.; Mistro, J.C.; Gallo, P.B.; Guerreiro Filho, O. IAC 125 RN: A dwarf coffee cultivar resistant to leaf rust and root-knot nematode. Crop Breed. Appl. Biotechnol. 2018, 18, 237–240. [Google Scholar] [CrossRef]
- Guerreiro Filho, O. Coffee leaf miner resistance. Braz. J. Plant Physiol. 2006, 18, 109–117. [Google Scholar] [CrossRef]
- Eira, M.T.S.; Walters, C.; Caldas, L.S.; Fazuoli, L.C.; Sampaio, J.B.; Dias, M.C.L.L. Tolerance of Coffea spp. seeds to desiccation and low temperature. Rev. Bras. Fis. Veg. 1999, 11, 97–105. [Google Scholar]
- Kaviani, B. Conservation of plant genetic resources by cryopreservation. Aust. J. Crop Sci. 2011, 5, 778–800. Available online: https://www.cropj.com/kaviani_5_6_2011_778_800.pdf (accessed on 10 March 2024).
- Jenderek, M.M.; Reed, B.M. Cryopreserved storage of clonal germplasm in the USDA national plant germplasm system. In Vitro Cell. Dev. Biol.-Plant 2017, 53, 299–308. [Google Scholar] [CrossRef]
- Vettorazzi, R.G.; Carvalho, V.S.; Teixeira, M.C.; Campostrini, E.; Cunha, M.; Matos, E.M.; Viccini, L.F. Cryopreservation of immature and mature seeds of Brazilian orchids of the genus Cattleya. Sci. Hortic. 2019, 256, 108603. [Google Scholar] [CrossRef]
- Silva, S.S.S.; Souza, E.H.; Souza, F.V.D.; Max, D.A.S.; Rossi, M.L.; Costa, M.A.P.C. Post-seminal development and cryopreservation of endemic or endangered bromeliads. An. Acad. Bras. Ciênc. 2021, 93, e20191133. [Google Scholar] [CrossRef]
- Pammenter, N.W.; Berjak, P. Physiology of desiccation-sensitive (recalcitrant) seeds and the implications for cryopreservation. Int. J. Plant Sci. 2014, 175, 21–28. [Google Scholar] [CrossRef]
- Jaiswal, A.N.; Vagga, A. Cryopreservation: A Review Article. Cureus 2022, 14, e31564. [Google Scholar] [CrossRef] [PubMed]
- Mazur, P. Freezing of living cells: Mechanisms and implications. Am. J. Physiol. 1984, 247, C125–C142. [Google Scholar] [CrossRef] [PubMed]
- Hor, Y.L.; Stanwood, P.C.; Chin, H.F. Cryopreservation of Coffea liberica seeds and embryos following desiccation and freezing treatments. Pertanika J. Trop. Agric. Sci. 1993, 16, 75–80. [Google Scholar]
- Dussert, S.; Chabrillange, N.; Engelmann, F.; Anthony, F.; Louarn, J.; Hamon, S. Cryopreservation of seeds of four coffee species (Coffea arabica, C. costatifructa, C. racemosa and C. sessiliflora): Importance of water content and cooling rate. Seed Sci. Res. 1998, 8, 9–15. [Google Scholar] [CrossRef]
- Dussert, S.; Chabrillange, N.; Rocquelin, G.; Engelmann, F.; Lopez, M.; Hamon, S. Tolerance of coffee (Coffea spp.) seeds to ultra-low temperature exposure in relation to calorimetric properties of tissue water, lipid composition, and cooling procedure. Physiol. Plant. 2001, 112, 495–504. [Google Scholar] [CrossRef]
- Brasil. Ministério da Agricultura. Pecuária e Abastecimento. Regras Para Análise de Sementes; MAPA: Brasília, Brazil, 2009; 395p. Available online: https://www.gov.br/agricultura/pt-br/assuntos/insumos-agropecuarios/arquivos-publicacoes-insumos/2946_regras_analise__sementes.pdf (accessed on 9 April 2024).
- Clemente, A.C.S.; Carvalho, M.L.M.; Guimarães, R.M.; Zeviani, W.M. Preparo das sementes de café para a avaliação da viabilidade pelo teste de tetrazólio. Rev. Bras. Sementes 2011, 33, 38–44. [Google Scholar] [CrossRef]
- Coelho, S.V.B.; Rosa, S.D.V.F.; Fernandes, J.S. Cryopreservation of coffee seeds: A simplified method. Seed Sci. Technol. 2017, 45, 638–649. [Google Scholar] [CrossRef]
- Figueiredo, M.A.; Coelho, S.V.B.; Rosa, S.D.V.F.; Vilela, A.L.; Silva, L.C. Exploratory studies for cryopreservation of Coffea arabica L. seeds. J. Seed Sci. 2017, 39, 150–158. [Google Scholar] [CrossRef]
- Figueiredo, M.A.; Rosa, S.D.V.F.; Ricaldoni, M.A.; Pereira, C.C.; Coelho, S.V.B.; Silva, L.C. Physiological, biochemical, and ultrastructural aspects of Coffea arabica L. seeds under different cryopreservation protocols. Ciênc. Agrotec. 2021, 45, e027020. [Google Scholar] [CrossRef]
- Coelho, S.V.B.; Rosa, S.D.V.F.; Fantazzini, T.B.; Baute, J.L.; Silva, L.C. Cryopreservation in Coffea canephora Pierre seeds: Slow and fast cooling. Ciênc. Agrotec. 2018, 42, 588–597. [Google Scholar] [CrossRef]
- Coelho, S.V.B.; da Rosa, S.D.V.F.; Fantazzini, T.B.; Silva, L.C. Cryopreservation of Coffea canephora Pierre ex A. Froehner seeds: Importance of drying rate and moisture content. Aust. J. Crop Sci. 2019, 13, 1335–1342. [Google Scholar] [CrossRef]
- Alfenas, A.C. (Ed.) Eletroforese e Marcadores Bioquímicos em Plantas e Microorganismos; Editora UFV: Viçosa, Brazil, 2006; 627p. [Google Scholar]
- R Core Team. R: A Language and Environment for Statistical Computing, Version 4.3.1; R Foundation for Statistical Computing: Viena, Austria, 2021. [Google Scholar]
- Wesley-Smith, J.; Berjak, P.; Pammenter, N.W.; Walters, C. Intracellular ice and cell survival in cryo-exposed embryonic axes of recalcitrant seeds of Acer saccharinum: An ultrastructural study of factors affecting cell and ice structures. Ann. Bot. 2014, 113, 695–709. [Google Scholar] [CrossRef] [PubMed]
- Pammenter, N.W.; Vertucci, C.W.; Berjak, P. Responses to dehydration in relation to non-freezable water in desiccation-sensitive and tolerant seeds. In Proceedings of the Fourth International Workshop on Seeds: Basic and Applied Aspects of Seed Biology; Côme, D., Corbineau, F., Eds.; AFSIS: Paris, France, 1993; pp. 867–872. [Google Scholar]
- Eira, M.T.S.; Reis, R.B.; Ribeiro, F.N.S. Banco de sementes de café em criopreservação: Experiência inédita do Brasil. Circ. Técnica 2005, 42. Available online: https://www.infoteca.cnptia.embrapa.br/infoteca/bitstream/doc/187030/1/ct042.pdf (accessed on 20 December 2023).
- Takahashi, D.; Willick, I.R.; Kasuga, J.; Livingston III, D.P. Responses of the plant cell wall to sub-zero temperatures: A brief update. Plant Cell Physiol. 2021, 62, 1858–1866. [Google Scholar] [CrossRef]
- Chevalier, A. Systematique des caféiers et faux-caféiers. In Les Caféiers du Globe, 3rd ed.; Encyclopédie Biologique XXVIII; Paul Lechevalier Publishers: Paris, France, 1947; 257p. [Google Scholar]
- Carvalho, A.; Medina Filho, H.P.; Fazuoli, L.C.; Guerreiro Filho, O.; Lima, M.M.A. Aspectos genéticos do cafeeiro. Rev. Bras. Genética 1991, 14, 135–183. [Google Scholar]
- Davis, A.P.; Govaerts, R.; Bridson, D.M.; Stoffelen, P. An annotated taxonomic conspectus of the genus Coffea (Rubiaceae). Bot. J. Linn. Soc. 2006, 152, 465–512. [Google Scholar] [CrossRef]
- Normah, M.N.; Vengadasalam, M. Effects of moisture content on cryopreservation of Coffea and Vigna seeds and embryos. Cryo-Letters 1992, 13, 199–208. [Google Scholar] [CrossRef]
- Vilela, A.L.O.; Franco da Rosa, S.D.V.; Coelho, S.V.B.; Pereira, C.C.; de Souza, A.C.; Ribeiro, F.A.S. Acclimatization of coffee seedlings obtained from zygotic embryos of aged seeds. Aust. J. Crop Sci. 2022, 16, 1127–1134. [Google Scholar] [CrossRef]
- Goodman, M.M.; Stuber, C.W. Maize. In Isozymes in Plant Genetics and Breeding; Tanksley, S.D., Orton, T.J., Eds.; Elsevier: Amsterdam, The Netherlands, 1983; pp. 9–10. [Google Scholar]
- Passardi, F.; Cosio, C.; Penel, C.; Dunand, C. Peroxidases have more functions than a Swiss army knife. Plant Cell Rep. 2005, 24, 255–265. [Google Scholar] [CrossRef]
- Sahu, B.; Sahu, A.K.; Thomas, V.; Naithani, S.C. Reactive oxygen species, lipid peroxidation, protein oxidation, and antioxidative enzymes in dehydrating Karanj (Pongamia pinnata) seeds during storage. S. Afr. J. Bot. 2017, 112, 383–390. [Google Scholar] [CrossRef]
- Das, K.; Roychoudhury, A. Reactive oxygen species (ROS) and response of antioxidants as ROS-scavengers during environmental stress in plants. Front. Environ. Sci. 2014, 2, 53. [Google Scholar] [CrossRef]
- Gill, S.; Tuteja, N. Reactive oxygen species and antioxidant machinery in abiotic stress tolerance in crop plants. Plant Physiol. Biochem. 2010, 48, 909–930. [Google Scholar] [CrossRef] [PubMed]






| Treatments (% db) | RP (%) | NS (%) | SECL (%) | SV (%) | SDM (mg) |
|---|---|---|---|---|---|
| 18 | 96 ± 1.63 a | 74 ± 1.15 c | 69 ± 1.91 d | 95 ± 5.00 a | 296.0 ± 0.018 c |
| 20 | 95 ± 1.91 a | 91 ± 1.00 a | 88 ± 0.00 a | 90 ± 10.00 a | 373.0 ± 0.008 a |
| 25 | 97 ± 1.91 a | 81 ± 1.91 b | 76 ± 2.83 c | 75 ± 9.57 a | 314.0 ± 0.016 b |
| Control | 91 a | 88.0 a | 86.0 b | 95 a | 282.0 c |
| CV (%) | 4.91 | 5.95 | 6.10 | 9.13 | 9.13 |
| Means | 95 | 84 | 80 | 89 | 316.4 |
| Treatment (% db) | RP (%) | NS (%) | SECL (%) | SV (%) | SDM (mg) |
|---|---|---|---|---|---|
| 20 | 92 ± 1.63 a | 86 ± 3.46 a | 76 ± 3.65 a | 39 ± 6.84 c | 1297.7 ± 86.20 a |
| 25 | 91 ± 3.79 a | 82 ± 5.03 a | 68 ± 4.90 a | 60 ± 6.65 b | 1127.0 ± 84.06 a |
| 30 | 91 ± 4.12 a | 87 ± 5.00 a | 68 ± 5.89 a | 67 ± 8.54 b | 1127.0 ± 75.96 a |
| 35 | 88 ± 4.00 a | 85 ± 5.00 a | 71 ± 5.97 a | 40 ± 10.38 c | 1198.2 ± 109.89 a |
| Control | 94 a | 88 a | 74 a | 85.0 a | 1393.5 a |
| CV (%) | 7.03 | 9.91 | 13.24 | 14.63 | 13.69 |
| Means | 91.20 | 85.60 | 71.40 | 58.53 | 1228.35 |
Disclaimer/Publisher’s Note: The statements, opinions and data contained in all publications are solely those of the individual author(s) and contributor(s) and not of MDPI and/or the editor(s). MDPI and/or the editor(s) disclaim responsibility for any injury to people or property resulting from any ideas, methods, instructions or products referred to in the content. |
© 2024 by the authors. Licensee MDPI, Basel, Switzerland. This article is an open access article distributed under the terms and conditions of the Creative Commons Attribution (CC BY) license (https://creativecommons.org/licenses/by/4.0/).
Share and Cite
Coelho, S.V.B.; Rosa, S.D.V.F.d.; Padilha, L.; Assis, J.G.R.d.; Vilela, A.L.d.O.; Ferreira, A.M.O.; Guerreiro Filho, O.; Braghini, M.T. Optimizing Cryopreservation Protocols for Coffea racemosa and Coffea liberica: Impact of Moisture Content and Packaging on Seed Viability. Agronomy 2024, 14, 3058. https://doi.org/10.3390/agronomy14123058
Coelho SVB, Rosa SDVFd, Padilha L, Assis JGRd, Vilela ALdO, Ferreira AMO, Guerreiro Filho O, Braghini MT. Optimizing Cryopreservation Protocols for Coffea racemosa and Coffea liberica: Impact of Moisture Content and Packaging on Seed Viability. Agronomy. 2024; 14(12):3058. https://doi.org/10.3390/agronomy14123058
Chicago/Turabian StyleCoelho, Stefania Vilas Boas, Sttela Dellyzete Veiga Franco da Rosa, Lilian Padilha, Janaina Guarieiro Ribeiro de Assis, Ana Luiza de Oliveira Vilela, Ana Maria Oliveira Ferreira, Oliveiro Guerreiro Filho, and Masako Toma Braghini. 2024. "Optimizing Cryopreservation Protocols for Coffea racemosa and Coffea liberica: Impact of Moisture Content and Packaging on Seed Viability" Agronomy 14, no. 12: 3058. https://doi.org/10.3390/agronomy14123058
APA StyleCoelho, S. V. B., Rosa, S. D. V. F. d., Padilha, L., Assis, J. G. R. d., Vilela, A. L. d. O., Ferreira, A. M. O., Guerreiro Filho, O., & Braghini, M. T. (2024). Optimizing Cryopreservation Protocols for Coffea racemosa and Coffea liberica: Impact of Moisture Content and Packaging on Seed Viability. Agronomy, 14(12), 3058. https://doi.org/10.3390/agronomy14123058

