Functional Analysis of Two Carboxylesterase Genes Involved in Beta-Cypermethrin and Phoxim Resistance in Plutella xylostella (L.)
Abstract
1. Introduction
2. Materials and Methods
2.1. Insect Rearing
2.2. Cloning and Sequence Analysis
2.3. Total RNA Isolation and Quantitative Real-Time PCR
2.4. PxαE6 and PxαE9 RNAi in P. xylostella Larvae
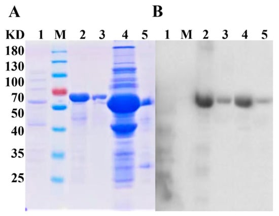
2.5. In Vitro Protein Expression/Purification of PxαE6 and PxαE9
2.6. Enzymatic Activity of Four Populations and Recombinant PxαE6 and PxαE9
2.7. Metabolism of PxαE6 and PxαE9 to Insecticides via LC–MS/MS or GC–MS
2.8. Homology Modelling, Ligand Preparation
3. Results
3.1. CarE Activity in Four Populations
3.2. Spatio-Temporal Expression Profile of PxαE6 and PxαE9
3.3. Characterisation of PxαE6 and PxαE9
3.4. Effects of PxαE6 and PxαE9 on Susceptibility of P. xylostella to Insecticides
3.5. In Vitro PxαE6 and PxαE9 Hydrolysis Activity Expression Towards Model Substrate α-NA
3.6. Recombinant PxαE6 and PxαE9 Showed Hydrolysis Activity Towards Beta-Cypermethrin or/and Phoxim
3.7. Homology Modelling and Molecular Docking Analyses
4. Discussion
5. Conclusions
Supplementary Materials
Author Contributions
Funding
Data Availability Statement
Conflicts of Interest
References
- Sarfraz, M.; Keddie, B.A. Conserving the efficacy of insecticides against Plutella xylostella (L.) (Lep. Plutellidae). J. Appl. Entomol. 2005, 129, 149–157. [Google Scholar] [CrossRef]
- Li, Z.Y.; Feng, X.; Liu, S.S.; You, M.S.; Furlong, M.J. Biology, ecology, and management of the diamondback moth in China. Annu. Rev. Entomol. 2016, 61, 277–296. [Google Scholar] [CrossRef] [PubMed]
- Sparks, T.C.; Crossthwaite, A.J.; Nauen, R.; Banba, S.; Cordova, D.; Earley, F.; Ebbinghaus-Kintscher, U.; Fujioka, S.; Hirao, A.H.; Karmon, D.; et al. Insecticides, biologics and nematicides: Updates to IRAC’s mode of action classification—A tool for resistance management. Pestic. Biochem. Physiol. 2020, 167, 104587. [Google Scholar] [CrossRef] [PubMed]
- Li, X.X.; Shi, H.Y.; Liang, P.; Gao, X.W. Characterization of UDP-glucuronosyltransferase genes and their possible roles in multi-insecticide resistance in Plutella xylostella (L.). Pest Manag. Sci. 2018, 74, 695–704. [Google Scholar] [CrossRef]
- Li, R.; Zhu, B.; Shan, J.Q.; Li, L.H.; Liang, P.; Gao, X.W. Functional analysis of a carboxylesterase gene involved in beta-cypermethrin and phoxim resistance in Plutella xylostella (L.). Pest Manag. Sci. 2021, 77, 2097–2105. [Google Scholar] [CrossRef]
- Hemingway, J.; Hawkes, N.J.; McCarroll, L.; Ranson, H. The molecular basis of insecticide resistance in mosquitoes. Insect Biochem. Mol. Biol. 2004, 34, 653–665. [Google Scholar] [CrossRef]
- Liu, N.N. Insecticide resistance in mosquitoes: Impact, mechanisms, and research directions. Annu. Rev. Entomol. 2015, 60, 537–559. [Google Scholar] [CrossRef]
- Liu, K.Y.; Ma, S.Y.; Zhang, K.; Gao, R.B.; Jin, H.F.; Gao, P.; Yuchi, Z.G.; Wu, S.Y. Functional characterization of knockdown resistance mutation L1014S in the german cockroach, Blattella germanica (Linnaeus). J. Agric. Food Chem. 2023, 71, 2734–2744. [Google Scholar] [CrossRef]
- Chang, Y.M.; Xu, W.H.; Wang, S.; Zhu, M.Y.; Ru, Y.N.; Xu, Z.H.; Chen, G.Y.; Li, Y.Q. Characterization of four carboxylesterases involved in detoxification of β-cypermethrin, λ-cyhalothrin, and malathion in Helicoverpa armigera. J. Agric. Food Chem. 2024; online. [Google Scholar]
- Li, Y.Q.; Bai, L.S.; Zhao, C.X.; Xu, J.J.; Sun, Z.J.; Dong, Y.L.; Li, D.X.; Liu, X.L.; Ma, Z.Q. Functional characterization of two carboxylesterase genes involved in pyrethroid detoxification in Helicoverpa armigera. J. Agric. Food Chem. 2020, 68, 3390–3402. [Google Scholar] [CrossRef]
- Yang, X.; Dai, J.; Zhao, S.J.; Li, R.; Goulette, T.; Chen, X.; Xiao, H. Identification and characterization of a novel carboxylesterase from Phaseolus vulgaris for detection of organophosphate and carbamates pesticides. J. Sci. Food Agric. 2018, 98, 5095–5104. [Google Scholar] [CrossRef]
- Mao, K.K.; Ren, Z.J.; Li, W.H.; Cai, T.W.; Qin, X.Y.; Wan, H.; Jin, B.R.; He, S.; Li, J.H. Carboxylesterase genes in nitenpyram-resistant brown planthoppers, Nilaparvata lugens. Insect Sci. 2021, 28, 1049–1060. [Google Scholar] [CrossRef] [PubMed]
- Wang, Q.; Rui, C.; Wang, Q.; Wang, L.; Li, F.; Nahiyoon, S.A.; Yuan, H.; Cui, L. Mechanisms of increased indoxacarb toxicity in methoxyfenozide-resistant cotton bollworm Helicoverpa armigera (Lepidoptera: Noctuidae). Toxics 2020, 8, 71. [Google Scholar] [CrossRef] [PubMed]
- Zhang, Y.; Ma, M.C.; Guo, Z.; You, C.M.; Gao, X.W.; Shi, X.Y. Esterase-mediated spinosad resistance in house flies Musca domestica (Diptera: Muscidae). Ecotoxicology 2020, 29, 35–44. [Google Scholar] [CrossRef] [PubMed]
- Xie, M.; Ren, N.N.; You, Y.C.; Chen, W.J.; Song, Q.S.; You, M.S. Molecular characterisation of two alpha-esterase genes involving chlorpyrifos detoxification in the diamondback moth, Plutella xylostella. Pest Manag. Sci. 2017, 73, 1204–1212. [Google Scholar] [CrossRef] [PubMed]
- Hu, Z.D.; Feng, X.; Lin, Q.S.; Chen, H.Y.; Li, Z.Y.; Yin, F.; Liang, P.; Gao, X.W. cDNA cloning and characterization of the carboxylesterase PxCCE016b from the diamondback moth, Plutella xylostella. J. Integr. Agric. 2016, 15, 1059–1068. [Google Scholar] [CrossRef]
- Li, Y.F.; Sun, H.; Tian, Z.; Li, Y.; Ye, X.; Li, R.C.; Li, X.Y.; Zheng, S.L.; Liu, J.Y.; Zhang, Y.L. Identification of key residues of carboxylesterase PxEst-6 involved in pyrethroid metabolism in Plutella xylostella (L.). J. Hazard. Mater. 2021, 407, 124612. [Google Scholar] [CrossRef]
- Li, R.; Zhu, B.; Hu, X.P.; Shi, X.Y.; Qi, L.L.; Liang, P.; Gao, X.-W. Overexpression of PxαE14 contributed to multiple insecticides detoxification in Plutella xylostella (L.). J. Agric. Food. Chem. 2022, 70, 5794–5804. [Google Scholar] [CrossRef]
- Oakeshott, J.; Claudianos, C.; Newcomb, R.D.; Russell, R.G. 5.10 Biochemical genetics and genomics of insect esterases. In Comprehensive Molecular Insect Science; Gilbert, L.I., Iatrou, K., Gill, S.S., Eds.; Elsevier: London, UK, 2005; pp. 309–381. [Google Scholar]
- Oakeshott, J.G.; Devonshire, A.L.; Claudianos, C.; Sutherland, T.D.; Horne, I.; Campbell, P.M.; Ollis, D.L.; Russell, R.J. Comparing the organophosphorus and carbamate insecticide resistance mutations in cholin- and carboxyl-esterases. Chem.-Biol. Interact. 2005, 157, 269–275. [Google Scholar] [CrossRef]
- Li, R.; Sun, X.; Liang, P.; Gao, X.W. Characterization of carboxylesterase PxαE8 and its role in multi-insecticide resistance in Plutella xylostella (L.). J. Integr. Agric. 2022, 21, 1713–1721. [Google Scholar] [CrossRef]
- Livak, K.J.; Schmittgen, T.D. Analysis of relative gene expression data using real-time quantitative PCR and the 2−ΔΔCT Method. Methods 2001, 25, 402–408. [Google Scholar] [CrossRef]
- Guo, L.; Bian, Q.L.; Zhang, H.J.; Gao, X.W.; Liang, P. Bioassay technique for Plutella xylostella: Leaf-dip method. Chin. J. Appl. Entomol. 2013, 50, 556–560. [Google Scholar]
- Bradford, M.M. A rapid and sensitive method for the quantitation of microgram quantities of protein utilizing the principle of protein–dye binding. Anal. Biochem. 1976, 72, 248–254. [Google Scholar] [CrossRef] [PubMed]
- Ai, G.M.; Zou, D.Y.; Shi, X.Y.; Liang, P.; Song, D.L.; Gao, X.W. HPLC assay for characterizing α-Cyano-3-phenoxybenzyl pyrethroids hydrolytic metabolism by Helicoverpa armigera (Hübner) based on the quantitative analysis of 3-Phenoxybenzoic acid. J. Agric. Food Chem. 2010, 58, 694–701. [Google Scholar] [CrossRef] [PubMed]
- Andelkovic, D.; Brankovic, M.; Kocic, G.; Mitic, S.; Pavlovic, R. Sorbent-excluding sample preparation method for GC-MS pesticide analysis in apple peel. Biomed. Chromatogr. 2020, 34, e4720. [Google Scholar] [CrossRef] [PubMed]
- Schrödinger Release 2018-2: Prime or LigPrep; Schrödinger, LLC.: New York, NY, USA, 2018.
- Hu, X.P.; Pang, J.P.; Zhang, J.T.; Shen, C.; Chai, X.; Wang, E.C.; Chen, H.Y.; Wang, X.W.; Duan, M.J.; Fu, W.T.; et al. Discovery of novel GR ligands toward druggable GR antagonist conformations identified by MD simulations and markov state model analysis. Adv. Sci. 2022, 9, e2102435. [Google Scholar] [CrossRef] [PubMed]
- Cygler, M.; Schrag, J.D.; Sussman, M.; Harel, I.; Silman, M.K.; Gentry, B.P. Relationship between sequence conservation and three-dimensional structure in a large family of esterases, lipases, and related proteins. Protein Sci. 1993, 2, 366–382. [Google Scholar] [CrossRef]
- Field, L.M.; Devonshire, A.L. Evidence that the E4 and FE4 esterase genes responsible for insecticide resistance in the aphid Myzus persicae (Sulzer) are part of a gene family. Biochem. J. 1998, 330, 169–173. [Google Scholar] [CrossRef]
- Hemingway, J.; Karunaratne, S.H. Mosquito carboxylesterases: A review of the molecular biology and biochemistry of a major insecticide resistance mechanism. Med. Vet. Entomol. 1998, 12, 1–12. [Google Scholar] [CrossRef]
- Alon, M.; Alon, F.; Nauen, R.; Morin, S. Organophosphates’ resistance in the B-biotype of Bemisia tabaci (Hemiptera: Aleyrodidae) is associated with a point mutation in an ace1-type acetylcholinesterase and overexpression of carboxylesterase. Insect Biochem. Mol. Biol. 2008, 38, 940–949. [Google Scholar] [CrossRef]
- Ren, H.; Zhang, H.L.; Tan, Y.; Ni, R.Y.; Shan, Y.M.; Li, F.; Dai, G.X.; Li, L.; Li, Y.Y.; Pang, B.P. Sublethal effects of chlorantraniliprole on biological characteristics, detoxifying enzyme activity and gene expression profile in the Allium mongolicum Regel leaf beetle Galeruca daurica (Coleoptera: Chrysomelidae). J. Appl. Entomol. 2024, 148, 287–303. [Google Scholar] [CrossRef]
- Heidari, R.; Devonshire, A.L.; Campbell, B.E.; Dorrian, S.J.; Oakeshott, J.G.; Russell, R.J. Hydrolysis of pyrethroids by carboxylesterases from Lucilia cuprina and Drosophila melanogaster with active sites modified by in vitro mutagenesis. Insect Biochem. Mol. Biol. 2005, 35, 597–609. [Google Scholar] [CrossRef] [PubMed]
- Shi, Y.; Li, W.L.; Zhou, Y.L.; Liao, X.L.; Shi, L. Contribution of multiple overexpressed carboxylesterase genes to indoxacarb resistance in Spodoptera litura. Pest Manag. Sci. 2022, 78, 1903–1914. [Google Scholar] [CrossRef] [PubMed]
- Li, J.; Jia, Y.; Zhang, D.; Li, Z.; Zhang, S.; Liu, X. Molecular identification of carboxylesterase genes and their potential roles in the insecticide susceptibility of Grapholita molesta. Insect Mol. Biol. 2023, 32, 305–315. [Google Scholar] [CrossRef] [PubMed]
- Tang, B.W.; Dai, W.; Qi, L.J.; Du, S.K.; Zhang, C.N. Functional characterization of an alpha-esterase gene associated with malathion detoxification in Bradysia odoriphaga. J. Agric. Food Chem. 2020, 68, 6076–6083. [Google Scholar] [CrossRef] [PubMed]
- Shangguan, C.; Kuang, Y.; Gao, L.; Zhu, B.; Chen, X.D.; Yu, X. Antennae-enriched expression of candidate odorant degrading enzyme genes in the turnip aphid, Lipaphis erysimi. Front. Physiol. 2023, 14, 1228570. [Google Scholar] [CrossRef]
- Li, J.; Lv, Y.; Liu, Y.; Bi, R.; Pan, Y.; Shang, Q. Inducible gut-specific carboxylesterase SlCOE030 in polyphagous pests of Spodoptera litura conferring tolerance between imidacloprid and cyantraniliprole. J. Agric. Food Chem. 2023, 71, 4281–4291. [Google Scholar] [CrossRef]
- Pinch, M.; Mitra, S.; Rodriguez, S.D.; Li, Y.; Kandel, Y.; Dungan, B.; Holguin, F.O.; Attardo, G.M.; Hansen, I.A. Fat and happy: Profiling mosquito fat body lipid storage and composition post-blood meal. Front. Insect Sci. 2021, 16, 693168. [Google Scholar] [CrossRef]
- Xu, Y.J.; Zhang, Y.N.; Yang, X.; Hao, S.P.; Wang, Y.J.; Yang, X.X.; Shen, Y.Q.; Su, Q.; Xiao, Y.D.; Liu, J.Q.; et al. Proteotranscriptomic analyses of the midgut and Malpighian tubules after a sublethal concentration of Cry1Ab exposure on Spodoptera litura. Pest Manag. Sci. 2024, 80, 2587–2595. [Google Scholar] [CrossRef]
- Feng, X.C.; Liu, N.N. Functional characterization of carboxylesterases in insecticide resistant house flies, Musca domestica. J. Vis. Exp. 2018, 138, e58106. [Google Scholar] [CrossRef]
- Feng, X.C.; Liu, N.N. Functional analyses of house fly carboxylesterases involved in insecticide resistance. Front. Physiol. 2020, 11, 595009. [Google Scholar] [CrossRef]
- Wei, P.; Li, J.H.; Liu, X.Y.; Nan, C.; Shi, L.; Zhang, Y.C.; Li, C.Z.; He, L. Functional analysis of four upregulated carboxylesterase genes associated with fenpropathrin resistance in Tetranychus cinnabarinus (Boisduval). Pest Manag. Sci. 2019, 75, 252–261. [Google Scholar] [CrossRef] [PubMed]
- Shi, L.; Wei, P.; Wang, X.Z.; Shen, G.M.; Zhang, J.; Xiao, W.; Xu, Z.F.; Xu, Q.; He, L. Functional analysis of esterase TCE2 gene from Tetranychus cinnabarinus (Boisduval) involved in acaricide resistance. Sci. Rep. 2016, 6, 18646. [Google Scholar] [CrossRef] [PubMed]
- Gong, Y.H.; Li, M.; Li, T.; Liu, N.N. Molecular and functional characterization of three novel carboxylesterases in the detoxification of permethrin in the mosquito, Culex quinquefasciatus. Insect Sci. 2022, 29, 199–214. [Google Scholar] [CrossRef] [PubMed]
- Kaur, H.; Rode, S.; Lonare, S.; Demiwal, P.; Narasimhappa, P.; Arun, E.; Kumar, R.; Das, J.; Ramamurthy, P.C.; Sircar, D.; et al. Heterologous expression, biochemical characterization and prospects for insecticide biosensing potential of carboxylesterase Ha006a from Helicoverpa armigera. Pestic. Biochem. Physiol. 2024, 200, 105844. [Google Scholar] [CrossRef] [PubMed]
- Bass, C.; Puinean, A.M.; Zimmer, C.T.; Denholm, I.; Field, L.M.; Foster, S.P.; Gutbrod, O.; Nauen, R.; Slater, R.; Williamson, M.S. The evolution of insecticide resistance in the peach potato aphid, Myzus persicae. Insect Biochem. Mol. Biol. 2014, 51, 41–51. [Google Scholar] [CrossRef]
- Hopkins, D.H.; Fraser, N.J.; Mabbitt, P.D.; Carr, P.D.; Oakeshott, J.G.; Jackson, C.J. Structure of an insecticide sequestering carboxylesterase from the disease vector Culex quinquefasciatus: What makes an enzyme a good insecticide sponge? Biochemistry 2017, 56, 5512–5525. [Google Scholar] [CrossRef]
- Li, Z.Y.; Chen, M.L.; Bai, W.J.; Zhang, S.X.; Meng, L.W.; Dou, W.; Wang, J.J.; Yuan, G.R. Identification, expression profiles and involvement in insecticides tolerance and detoxification of carboxylesterase genes in Bactrocera dorsalis. Pestic. Biochem. Physiol. 2023, 193, 105443. [Google Scholar] [CrossRef]








| Name | Product Length (bp) | Sense Primer (5′-3′) | Anti-Sense Primer (5′-3′) |
|---|---|---|---|
| PxαE6-ORF | 1605 | ATGGTGGTGGTGAACGTTACCGAAGGAAG | TTATTGTTGATAAATAGATACATTATT |
| PxαE6-qPCR | 106 | CGCAGGAATGAAGGACCAAG | TCCAGCACTCTCACCAAAGA |
| PxαE6-RNAi | 490 | taatacgactcactatagggCAGCCTTGAGGTGGGTTAAG | taatacgactcactatagggATTAGTGCTTCGTCAGCCGT |
| PxαE6-Xhol-EcoR I | 1605 | CCGCTCGAGGTGGTGGTGAACGTTACCGAAGGAAG | CCGGAATTCTTATTGTTGATAAATAGATACATTATT |
| PxαE9-ORF | 1686 | ATGGCCAAATATACGTTTTTTCTAGC | TTACAACTCCGAGTGTTCAACACCCGTTG |
| PxαE9-qPCR | 123 | AAGGAAGCAACTCCCGACTT | AGATGTCGTCCCAGAACCTG |
| PxαE9-RNAi | 460 | taatacgactcactatagggGCCGACAATGTATCCGAGTT | taatacgactcactatagggCCTGAAGCCTCACAGACCTC |
| RPL32-qPCR | 132 | ATCCGCCATCAGTCCGACCG | GGCTGAACCGTAACCAATGTTG |
| PxαE9-Xhol-Xba I | 1623 | CCGCTCGAGGCTGATGTGCAGGAAAGTGTC | CTAGTCTAGACAACTCCGAGTGTTCAACACCCGTTG |
| CarEs | Insecticide | ∆Gbind (kcal/mol) |
|---|---|---|
| PxαE6 | Phoxim | −55.53 |
| PxαE9 | Phoxim | −38.82 |
| (S)-(1R, 3R)-beta-cypermethrin | −58.40 | |
| (R)-(1S, 3S)-beta-cypermethrin | −56.35 | |
| (S)-(1R, 3S)-beta-cypermethrin | −51.29 |
Disclaimer/Publisher’s Note: The statements, opinions and data contained in all publications are solely those of the individual author(s) and contributor(s) and not of MDPI and/or the editor(s). MDPI and/or the editor(s) disclaim responsibility for any injury to people or property resulting from any ideas, methods, instructions or products referred to in the content. |
© 2024 by the authors. Licensee MDPI, Basel, Switzerland. This article is an open access article distributed under the terms and conditions of the Creative Commons Attribution (CC BY) license (https://creativecommons.org/licenses/by/4.0/).
Share and Cite
Li, R.; Liang, L.; Zhao, Y.; Zhang, J.; Hao, Z.; Zhao, H.; Liang, P. Functional Analysis of Two Carboxylesterase Genes Involved in Beta-Cypermethrin and Phoxim Resistance in Plutella xylostella (L.). Agronomy 2024, 14, 2781. https://doi.org/10.3390/agronomy14122781
Li R, Liang L, Zhao Y, Zhang J, Hao Z, Zhao H, Liang P. Functional Analysis of Two Carboxylesterase Genes Involved in Beta-Cypermethrin and Phoxim Resistance in Plutella xylostella (L.). Agronomy. 2024; 14(12):2781. https://doi.org/10.3390/agronomy14122781
Chicago/Turabian StyleLi, Ran, Liang Liang, Yujia Zhao, Junyi Zhang, Zhiyuan Hao, Haibo Zhao, and Pei Liang. 2024. "Functional Analysis of Two Carboxylesterase Genes Involved in Beta-Cypermethrin and Phoxim Resistance in Plutella xylostella (L.)" Agronomy 14, no. 12: 2781. https://doi.org/10.3390/agronomy14122781
APA StyleLi, R., Liang, L., Zhao, Y., Zhang, J., Hao, Z., Zhao, H., & Liang, P. (2024). Functional Analysis of Two Carboxylesterase Genes Involved in Beta-Cypermethrin and Phoxim Resistance in Plutella xylostella (L.). Agronomy, 14(12), 2781. https://doi.org/10.3390/agronomy14122781

