Biology, Diversity, Detection and Management of Fusarium oxysporum f. sp. niveum Causing Vascular Wilt Disease of Watermelon (Citrullus lanatus): A Review
Abstract
1. Introduction
2. Disease Cycle and Epidemiology
3. Races and Vegetative Compatibility Groups
4. Evolutionary Relationship between Races of Fon and VCGs
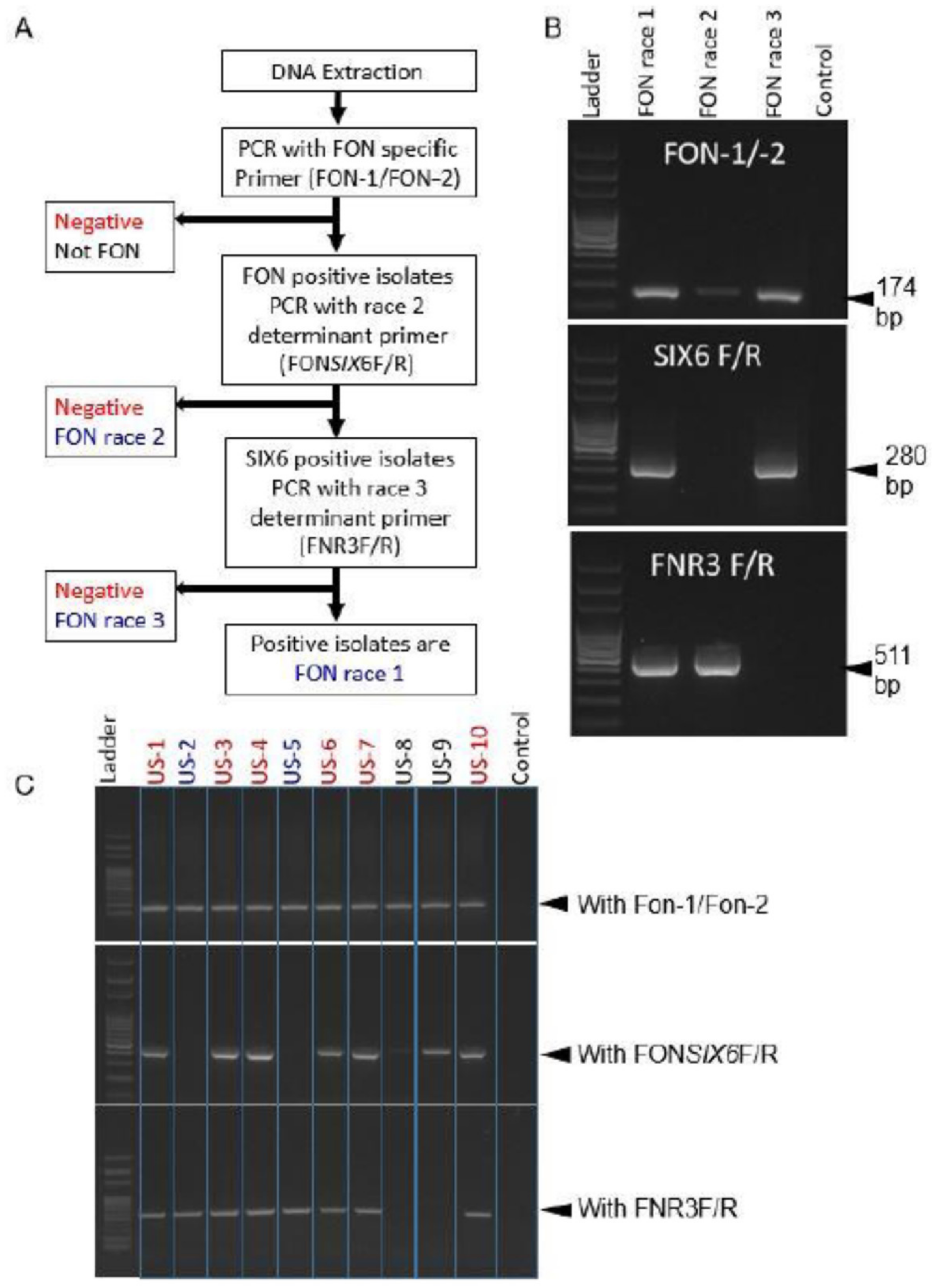
5. Detection of Fon and Other Members of Formae Speciales
| Primers Name | Target Organism | Target Gene | References |
|---|---|---|---|
| β-tubulin | F. oxysporum | β-tubulin (TUB2) rDNA region | [90] |
| EF1 and EF2 | F. oxysporum | Translation elongation factor1-α coding region | [91,92] |
| ITS1 and ITS4 | F. oxysporum | ITS region of rDNA | [93] |
| NMS1 and NMS2 | F. oxysporum | The mitochondrial small rRNA subunit (mtSSU) region | [94] |
| FIGS11 and FIGS12 | F. oxysporum | The intergenic spacer (IGS) large rRNA subunit gene region | [95] |
| Cal228F and CAL2Rd | F. oxysporum | calmodulin (cmdA) | [96,97] |
| 7cF and 11aR | F. oxysporum | RNA polymerase II second largest subunit (rpb2) | [98] |
| Uni F and UniR | F. oxysporum | The endo-polyglacturonase gene (Pg1) | [99] |
| Fon-1and Fon-2 | F. oxysporum f. sp. niveum | Derived from the random amplified polymorphic DNA (RAPD) fragment | [100] |
| FONSIX6-F and FONSIX6-R | F. oxysporum f. sp. niveum race 2 | The SIX6 (secreted in xylemprotein 6) | [101] |
| FNR3-F and FNR3-R | F. oxysporum f. sp. niveum race 3 | Pathogenicity chromosome | [102] |
| P12-F2B and P12-R1 | F. oxysporum f. sp. Lycopersici | Secreted in xylem 1 (SIX1) | [103,104] |
| SIX2-F2 and SIX2-R2 | F. oxysporum f. sp. Lycopersici | Secreted in xylem 2 (SIX2) | [103] |
| SIX5-F1 and SIX5-R1 | F. oxysporum f. sp. Lycopersici | Secreted in xylem 5 (SIX5) | [88] |
| SIX4-F1 and SIX4-R1 | F. oxysporum f. sp. lycopersici race 1 | Secreted in xylem 4 (SIX4) | [88] |
| SIX3-F1 and SIX3-R2 | F. oxysporum f. sp. lycopersici race 2 | Secreted in xylem 3 (SIX3) | [103] |
| SIX6b_210_F and SIX6b_210_R | F. oxysporum f. sp. cubense (Foc) race 1 | Secreted in xylem 6 (SIX6) | [105] |
| SIX8b_206_F and SIX8b_206_R | Foc subtropical race 4 | Secreted in xylem 8 (SIX8) | [105] |
| SIX1a_266_F and SIX1a_266_2_R | Foc tropical race 4 (TR4) | Secreted in xylem 1 (SIX1) | [105] |
6. Molecular Diversity among Fon Inferred from Markers and DNA Fingerprints
| Formae Speciales | Methods of Analysis | Variability | References |
|---|---|---|---|
| Niveum | VCG, RAPD, RFLP, SSR | Very low | [36,44] |
| Melonis | VCG, RFLP, SEQ, RAPD, ISSR, SSR | Low | [44,125] |
| Lycopersici | VCG, RAPD, RFLP, ISSR, SSR | High genetic diversity | [125,126] |
| radicis-lycopersici | VCG, RFLP, ISSR | High genetic diversity | [44,127] |
| Cubense | VCG, IS, RFLP, RAPD, ISSR, SSR, SIX genes, FUB genes | High genetic diversity | [122,128] |
| Cepae | VCG, AFLP, RAPD, RFLP, ISSR | Low levels of genetic diversity | [129,130] |
| Cucumerium | VCG, RAPD, SSR | Most diverse | [118,125] |
| radicis-cucumerinum | VCG, RAPD | Low genetic diversity | [118] |
| Ciceris | VCG, RFLP, SSR, ISSR | Low genetic diversity | [131,132] |
| conglutinans | VCG, IS, RFLP, InDel, | Low genetic diversity | [44,65] |
| Pisi | VCG, RAPD, ISSR | Very low | [133,134] |
| Lentis | RAPD, ISSR, SSR | Very low | [135,136] |
| dianthi | VCG, RAPD, RFLP | Very low | [71,137] |
| Gladioli | VCG, RAPD, RFLP, cpSSR | High genetic diversity | [138,139] |
| Vasinfectum | VCG, RAPD, AFLP, RFLP | More genetically diverse | [140,141] |
| momordicae | VCG, AFLP, ISSR | Relatively low | [142] |
7. Mycotoxins Produced during Fon and Watermelon Interactions
8. Potential Methods of Managing Fusarium oxysporum f. sp. niveum
8.1. Cultural Practices
8.1.1. Sanitation
8.1.2. Host Resistance
8.1.3. Crop Rotation
8.1.4. Grafting
8.1.5. Cover Crops
8.1.6. Intercropping
8.2. Physical Methods
8.2.1. Soil Solarization
8.2.2. Soil Amendments
8.3. Biological Control
8.4. Chemical Management
8.4.1. Soil Fumigation
8.4.2. Fungicide
8.4.3. Fungicides Resistance and Its Mechanism
9. Conclusions and Future Perspectives
Author Contributions
Funding
Institutional Review Board Statement
Informed Consent Statement
Data Availability Statement
Acknowledgments
Conflicts of Interest
References
- Gordon, T.R. Fusarium oxysporum and the Fusarium Wilt Syndrome. Annu. Rev. Phytopathol. 2017, 55, 23–39. [Google Scholar] [CrossRef]
- Bell, B.P.; Khabbaz, R.F. Responding to the Outbreak of Invasive Fungal Infections. JAMA 2013, 309, 883. [Google Scholar] [CrossRef] [PubMed]
- Brandt, M.E.; Park, B.J. Think Fungus—Prevention and Control of Fungal Infections. Emerg. Infect. Dis. 2013, 19, 1688–1689. [Google Scholar] [CrossRef] [PubMed]
- Xiong, W.; Zhan, A. Testing clustering strategies for metabarcoding-based investigation of community-environment interactions. Mol. Ecol. Resour. 2018, 18, 1326–1338. [Google Scholar] [CrossRef]
- LeBlanc, N.; Essarioui, A.; Kinkel, L.; Kistler, H.C. Phylogeny, Plant Species, and Plant Diversity Influence Carbon Use Phenotypes Among Fusarium Populations in the Rhizosphere Microbiome. Phytobiomes J. 2017, 1, 150–157. [Google Scholar] [CrossRef]
- Zhang, Y.; Ma, L.-J. Deciphering Pathogenicity of Fusarium oxysporum from a Phylogenomics Perspective. Adv. Genet. 2017, 100, 179–209. [Google Scholar] [CrossRef] [PubMed]
- Dean, R.; Van Kan, J.A.L.; Pretorius, Z.A.; Hammond-Kosack, K.E.; Di Pietro, A.; Spanu, P.; Rudd, J.; Dickman, M.; Kahmann, R.; Ellis, J.; et al. The Top 10 fungal pathogens in molecular plant pathology. Mol. Plant Pathol. 2012, 13, 414–430. [Google Scholar] [CrossRef] [PubMed]
- Mudili, V.; Siddaih, C.N.; Nagesh, M.; Garapati, P.; Naveen Kumar, K.; Murali, H.S.; Yli Mattila, T.; Batra, H.V. Mould incidence and mycotoxin contamination in freshly harvested maize kernels originated from India. J. Sci. Food Agric. 2014, 94, 2674–2683. [Google Scholar] [CrossRef]
- Chandra Nayaka, S.; Udaya Shankar, A.C.; Reddy, M.S.; Niranjana, S.R.; Prakash, H.S.; Shetty, H.S.; Mortensen, C.N. Control of Fusarium verticillioides, cause of ear rot of maize, by Pseudomonas fluorescens. Pest Manag. Sci. 2009, 65, 769–775. [Google Scholar] [CrossRef] [PubMed]
- Kalagatur, N.K.; Kamasani, J.R.; Mudili, V. Assessment of Detoxification Efficacy of Irradiation on Zearalenone Mycotoxin in Various Fruit Juices by Response Surface Methodology and Elucidation of Its in-vitro Toxicity. Front. Microbiol. 2018, 9. [Google Scholar] [CrossRef] [PubMed]
- Martyn, R.D. Fusarium wilt of watermelon: A historical review. In Proceedings of the Cucurbitaceae 2012, Xth EUCARPIA Meeting on Genetics and Breeding of Cucurbitaceae, Çukurova University, Antalya, Turkey, 15–18 October 2012. [Google Scholar]
- Ren, Y.; Jiao, D.; Gong, G.; Zhang, H.; Guo, S.; Zhang, J.; Xu, Y. Genetic analysis and chromosome mapping of resistance to Fusarium oxysporum f. sp. niveum (FON) race 1 and race 2 in watermelon (Citrullus lanatus L.). Mol. Breed. 2015, 35, 183. [Google Scholar] [CrossRef]
- Martyn, R.D. Fusarium Wilt of Watermelon: 120 Years of Research. In Horticultural Reviews: Volume 42; John Wiley & Sons, Inc.: Hoboken, NJ, USA, 2014; pp. 349–442. [Google Scholar]
- Wamalwa, E.N.I.; Muoma, J.; Muyekho, F.N.; Wekesa, C.; Ajanga, S. Genetic Diversity of Fusarium oxysporum Races Associated with Cowpea Fields in Kakamega County. Fungal Genom. Biol. 2018, 8. [Google Scholar] [CrossRef]
- Berrocal-Lobo, M.; Molina, A. Arabidopsis defense response against Fusarium oxysporum. Trends Plant Sci. 2008, 13, 145–150. [Google Scholar] [CrossRef]
- Zhou, X.G.; Everts, K.L.; Bruton, B.D. Race 3, a New and Highly Virulent Race of Fusarium oxysporum f. sp. niveum Causing Fusarium Wilt in Watermelon. Plant Dis. 2010, 94, 92–98. [Google Scholar] [CrossRef] [PubMed]
- Bertoldo, C.; Gilardi, G.; Spadaro, D.; Gullino, M.L.; Garibaldi, A. Genetic diversity and virulence of Italian strains of Fusarium oxysporum isolated from Eustoma grandiflorum. Eur. J. Plant Pathol. 2015, 141, 83–97. [Google Scholar] [CrossRef]
- Keinath, A.P.; Hassell, R.L. Control of Fusarium Wilt of Watermelon by Grafting onto Bottlegourd or Interspecific Hybrid Squash Despite Colonization of Rootstocks by Fusarium. Plant Dis. 2014, 98, 255–266. [Google Scholar] [CrossRef] [PubMed]
- Lü, G.; Guo, S.; Zhang, H.; Geng, L.; Song, F.; Fei, Z.; Xu, Y. Transcriptional profiling of watermelon during its incompatible interaction with Fusarium oxysporum f. sp. niveum. Eur. J. Plant Pathol. 2011, 131, 585–601. [Google Scholar] [CrossRef]
- Martyn, R.D.; Netzer, D. Resistance to Races 0, 1, and 2 of Fusarium Wilt of Watermelon in Citrullus sp. PI-296341-FR. HortScience 1991, 26, 429–432. [Google Scholar] [CrossRef]
- Strange, R.N.; Scott, P.R. Plant Disease: A Threat to Global Food Security. Annu. Rev. Phytopathol. 2005, 43, 83–116. [Google Scholar] [CrossRef]
- Zhou, X.G.; Everts, K.L. Races and Inoculum Density of Fusarium oxysporum f. sp. niveum in Commercial Watermelon Fields in Maryland and Delaware. Plant Dis. 2003, 87, 692–698. [Google Scholar] [CrossRef]
- Bruton, B.D.; Fish, W.W.; Zhou, X.G.; Everts, K.L.R.P. Fusarium wilt in seedless watermelons. In Proceedings of the 2007 Southeast Regional Vegetable Conference, Savannah, GA, USA, 5–7 January 2007; pp. 93–98. [Google Scholar]
- Boughalleb, N.; Mahjoub, M. El Frequency of Fusarium oxysporum F. sp. niveum and F. solani F. sp. Cucurbitae from Watermelon Seeds and Their Effect on Disease Incidence. Res. J. Parasitol. 2007, 2, 32–38. [Google Scholar] [CrossRef]
- Zhang, M.; Xu, J.H.; Liu, G.; Yao, X.F.; Li, P.F.; Yang, X.P. Characterization of the watermelon seedling infection process by Fusarium oxysporum f. sp. niveum. Plant Pathol. 2015, 64, 1076–1084. [Google Scholar] [CrossRef]
- Egel, D.S. and Martyn, R.D. Fusarium wilt of watermelon and other cucurbits. Plant Heal. Instr. 2013. [Google Scholar] [CrossRef]
- Agrios, G. Plant Pathology, 5th ed.; Academic Press: Cambridge, MA, USA, 2005; ISBN 9780120445653/9780080473789. [Google Scholar]
- Di Pietro, A.; Madrid, M.P.; Caracuel, Z.; Delgado-Jarana, J.; Roncero, M.I.G. Fusarium oxysporum: Exploring the molecular arsenal of a vascular wilt fungus. Mol. Plant Pathol. 2003, 4, 315–325. [Google Scholar] [CrossRef]
- Martyn, R.D.; Vakalounakis, D.J. Chapter 16: Fusarium Wilts of Greenhouse Cucurbits: Melon, Watermelon, and Cucumber. In Fusarium Wilts of Greenhouse Vegetable and Ornamental Crops; The American Phytopathological Society: St. Paul, MN, USA, 2017; pp. 159–174. ISBN 978-0-89054-482-2. [Google Scholar] [CrossRef]
- Olivain, C.; Alabouvette, C. Process of tomato root colonization by a pathogenic strain of Fusarium oxysporum f. sp. lycopersici in comparison with a non-pathogenic strain. New Phytol. 1999, 141, 497–510. [Google Scholar] [CrossRef]
- Zvirin, T.; Herman, R.; Brotman, Y.; Denisov, Y.; Belausov, E.; Freeman, S.; Perl-Treves, R. Differential colonization and defence responses of resistant and susceptible melon lines infected by Fusarium oxysporum race 1·2. Plant Pathol. 2010, 59, 576–585. [Google Scholar] [CrossRef]
- Di, X.; Takken, F.L.W.; Tintor, N. How Phytohormones Shape Interactions between Plants and the Soil-Borne Fungus Fusarium oxysporum. Front. Plant Sci. 2016, 7. [Google Scholar] [CrossRef]
- Kleczewski, N.M.; Egel, D.S. A Diagnostic Guide for Fusarium Wilt of Watermelon. Plant Health Prog. 2011, 12, 27. [Google Scholar] [CrossRef]
- Keinath, A.P.; Wintermantel, W.M.; Zitter, T.A. (Eds.) Compendium of Cucurbit Diseases and Pests, 2nd ed.; The American Phytopathological Society: St. Paul, MN, USA, 2017; ISBN 978-0-89054-574-4. [Google Scholar]
- Martyn, R.D. Fusarium oxysporum f. sp. niveum Race 2: A Highly Aggressive Race New to the United States. Plant Dis. 1987, 71, 233. [Google Scholar] [CrossRef]
- Petkar, A.; Harris-Shultz, K.; Wang, H.; Brewer, M.T.; Sumabat, L.; Ji, P. Genetic and phenotypic diversity of Fusarium oxysporum f. sp. niveum populations from watermelon in the southeastern United States. PLoS ONE 2019, 14, e0219821. [Google Scholar] [CrossRef]
- Amaradasa, B.S.; Beckham, K.; Dufault, N.; Sanchez, T.; Ertek, T.S.; Iriarte, F.; Paret, M.; Ji, P. First Report of Fusarium oxysporum f. sp. niveum Race 3 Causing Wilt of Watermelon in Florida, U.S.A. Plant Dis. 2018, 102, 1029. [Google Scholar] [CrossRef]
- Ploetz, R.C. Fusarium wilt of banana. Phytopathology 2015, 105, 1512–1521. [Google Scholar] [CrossRef] [PubMed]
- Correll, J.C.; Klittich, C.J.R.; Leslie, J.F. Nitrate nonutilizing mutants of Fusarium oxysporum and their use in vegetative compatibility tests. Phytopathology 1987, 77, 1640–1646. [Google Scholar] [CrossRef]
- Puhalla, J.E. Classification of strains of Fusarium oxysporum on the basis of vegetative compatibility. Can. J. Bot. 1985, 63, 179–183. [Google Scholar] [CrossRef]
- Gordon, T.R.; Okamoto, D. Variation within and between populations of Fusarium oxysporum based on vegetative compatibility and mitochondrial DNA. Can. J. Bot. 1992, 70, 1211–1217. [Google Scholar] [CrossRef]
- Lievens, B.; Rep, M.; Thomma, B.P.H.J. Recent developments in the molecular discrimination of formae speciales of Fusarium oxysporum. Pest Manag. Sci. Former. Pestic. Sci. 2008, 64, 781–788. [Google Scholar] [CrossRef] [PubMed]
- Shahi, S.; Beerens, B.; Bosch, M.; Linmans, J.; Rep, M. Nuclear dynamics and genetic rearrangement in heterokaryotic colonies of Fusarium oxysporum. Fungal Genet. Biol. 2016, 91, 20–31. [Google Scholar] [CrossRef]
- Kistler, H.C. Genetic diversity in the plant-pathogenic fungus Fusarium oxysporum. Phytopathology 1997, 87, 474–479. [Google Scholar] [CrossRef]
- Strom, N.B.; Bushley, K.E. Two genomes are better than one: History, genetics, and biotechnological applications of fungal heterokaryons. Fungal Biol. Biotechnol. 2016, 3, 4. [Google Scholar] [CrossRef]
- Larkin, R.P.; Hopkins, D.L.; Martin, F.N. Vegetative compatibility within Fusarium oxysporum f.sp. niveum and its relationship to virulence, aggressiveness, and race. Can. J. Microbiol. 1990, 36, 352–358. [Google Scholar] [CrossRef]
- Everts, K.L.; Egel, D.S.; Langston, D.; Zhou, X.-G. Chemical management of Fusarium wilt of watermelon. Crop Prot. 2014, 66, 114–119. [Google Scholar] [CrossRef]
- Kim, D.H.; Martyn, R.D.; Magill, C.W. Restriction fragment length polymorphism groups and physical map of mitochondrial DNA from Fusarium oxysporum f. sp. niveum. Phytopathology 1992, 82, 346–353. [Google Scholar] [CrossRef]
- Jacobson, D.J.; Gordon, T.R. Fusarium oxysporum f. sp. melonis: A case study of diversity within a forma specialis. Phytopathology 1991, 81, 1064–1067. [Google Scholar]
- Elias, K.S.; Schneider, R.W. Vegetative compatibility groups in Fusarium oxysporum f. sp. lycopersici. Phytopathology 1991, 81, 159–162. [Google Scholar] [CrossRef]
- Bentley, S.; Pegg, K.G.; Moore, N.Y.; Davis, R.D.; Buddenhagen, I.W. Genetic Variation Among Vegetative Compatibility Groups of Fusarium oxysporum f. sp. cubense Analyzed by DNA Fingerprinting. Phytopathology 1998, 88, 1283–1293. [Google Scholar] [CrossRef]
- Elmer, W.H. Classification of Fusarium oxysporum f. sp. asparagi into Vegetatively Compatible Groups. Phytopathology 1989, 79, 88. [Google Scholar] [CrossRef]
- Zhou, X.G.; Everts, K.L. Characterization of a Regional Population of Fusarium oxysporum f. sp. niveum by Race, Cross Pathogenicity, and Vegetative Compatibility. Phytopathology 2007, 97, 461–469. [Google Scholar] [CrossRef] [PubMed]
- Risser, G. A Proposed Nomenclature of Fusarium oxysporum f. sp. melonis Races and Resistance Genes in Cucumis melo. Phytopathology 1976, 66, 1105. [Google Scholar] [CrossRef]
- Vakalounakis, D.J. Allelism of the Fcu-1 and Foc genes conferring resistance to Fusarium wilt in cucumber. Eur. J. Plant Pathol. 1996, 102, 855–858. [Google Scholar] [CrossRef]
- Sun, S.K. A New Fusarium Wilt of Bitter Gourd in Taiwan. Plant Dis. 1983, 67, 226. [Google Scholar] [CrossRef]
- Matuo, T.; Yamamoto, I. On Fusarium oxysporum f. sp. lagenariae nf causing wilt of Lagenaria vulgaris var. hispida. Trans. Mycol. Soc. Japan 1967, 8, 61–63. [Google Scholar]
- Kawai, I.; Suzuki, H.; Kawai, K. On the pathogenicity of wilt Fusarium of the cucurbitaceous plants and their forms. Shizuoka Agric. Exp. Stn. Bull 1958, 3, 49–68. [Google Scholar]
- Inami, K.; Yoshioka-Akiyama, C.; Morita, Y.; Yamasaki, M.; Teraoka, T.; Arie, T. A genetic mechanism for emergence of races in Fusarium oxysporum f. sp. lycopersici: Inactivation of avirulence gene AVR1 by transposon insertion. PLoS ONE 2012, 7, e44101. [Google Scholar] [CrossRef] [PubMed]
- Merzoug, A.; BeLABid, L.; Youcef-BenkAdA, M.; Benfreha, F.; Bayaa, B. Pea Fusarium wilt races in western Algeria. Plant Prot. Sci. 2014, 50, 70–77. [Google Scholar] [CrossRef]
- Kim, H.; Hwang, S.-M.; Lee, J.H.; Oh, M.; Han, J.W.; Choi, G.J. Specific PCR detection of Fusarium oxysporum f. sp. raphani: A causal agent of Fusarium wilt on radish plants. Lett. Appl. Microbiol. 2017, 65, 133–140. [Google Scholar] [CrossRef]
- Skovgaard, K.; Nirenberg, H.I.; O’Donnell, K.; Rosendahl, S. Evolution of Fusarium oxysporum f. sp. vasinfectum Races Inferred from Multigene Genealogies. Phytopathology 2001, 91, 1231–1237. [Google Scholar] [CrossRef]
- Warman, N.M.; Aitken, E.A.B. The Movement of Fusarium oxysporum f.sp. cubense (Sub-Tropical Race 4) in Susceptible Cultivars of Banana. Front. Plant Sci. 2018, 9. [Google Scholar] [CrossRef]
- Gutiérrez Salgado, A.; Gepts, P.; Debouck, D.G. Evidence for two gene pools of the Lima bean, Phaseolus lunatus L., in the Americas. Genet. Resour. Crop Evol. 1995, 42, 15–28. [Google Scholar] [CrossRef]
- Liu, X.; Xing, M.; Kong, C.; Fang, Z.; Yang, L.; Zhang, Y.; Wang, Y.; Ling, J.; Yang, Y.; Lv, H. Genetic Diversity, Virulence, Race Profiling, and Comparative Genomic Analysis of the Fusarium oxysporum f. sp. conglutinans Strains Infecting Cabbages in China. Front. Microbiol. 2019, 10. [Google Scholar] [CrossRef]
- Haware, M.P. Races of Fusarium oxysporum f. sp. ciceri. Plant Dis. 1982, 66, 809. [Google Scholar] [CrossRef]
- Bayraktar, H. Genetic diversity and population structure of Fusarium oxysporum f. sp. cepae, the causal agent of Fusarium basal plate rot on onion, using RAPD markers. J. Agric. Sci. 2010, 16. [Google Scholar] [CrossRef]
- Swift, C.E.; Wickliffe, E.R.; Schwartz, H.F. Vegetative Compatibility Groups of Fusarium oxysporum f. sp. cepae from Onion in Colorado. Plant Dis. 2002, 86, 606–610. [Google Scholar] [CrossRef] [PubMed]
- Brayford, D. IMI descriptions of fungi and bacteria, set 112, nos 1111-1120. Mycopathologia 1992, 118, 37–64. [Google Scholar] [CrossRef]
- Harveson, R.M.; Rush, C.M. Genetic Variation Among Fusarium oxysporum Isolates from Sugar Beet as Determined by Vegetative Compatibility. Plant Dis. 1997, 81, 85–88. [Google Scholar] [CrossRef] [PubMed]
- Baayen, R.P.; Van Dreven, F.; Krijger, M.C.; Waalwijk, C. Genetic diversity in Fusarium oxysporum f. sp. dianthi and Fusarium redolens f. sp. dianthi. Eur. J. Plant Pathol. 1997, 103, 395–408. [Google Scholar] [CrossRef]
- Pasquali, M.; Dematheis, F.; Gilardi, G.; Gullino, M.L.; Garibaldi, A. Vegetative Compatibility Groups of Fusarium oxysporum f. sp. lactucae from Lettuce. Plant Dis. 2005, 89, 237–240. [Google Scholar] [CrossRef] [PubMed]
- Roebroeck, E.J.A.; Groen, N.P.A.; Mes, J.J. Detection of latent Fusarium oxysporum in gladiolus corms. Acta Hortic. 1990, 469–476. [Google Scholar] [CrossRef]
- LaMondia, J.A. Fusarium wilt of tobacco. Crop Prot. 2015, 73, 73–77. [Google Scholar] [CrossRef]
- Katan, T.; Di Primo, P. Current status of vegetative compatibility groups in Fusarium oxysporum: Supplement (1999). Phytoparasitica 1999, 27, 273–277. [Google Scholar] [CrossRef]
- Venter, S.L.; Theron, D.J.; Steyn, P.J.; Ferreira, D.I.; Eicker, A. Relationship between vegetative compatibility and pathogenicity of isolates of Fusarium oxysporum f. sp. tuberosi from potato. Phytopathology 1992, 82, 858–862. [Google Scholar] [CrossRef]
- Lori, G.A.; Petiet, P.M.; Malbrán, I.; Mourelos, C.A.; Wright, E.R.; Rivera, M.C. Fusarium wilt of cyclamen: Pathogenicity and vegetative compatibility groups structure of the pathogen in Argentina. Crop Prot. 2012, 36, 43–48. [Google Scholar] [CrossRef]
- Matić, S.; Gilardi, G.; Gullino, M.L.; Garibaldi, A. Evidence for an expanded host range of Fusarium oxysporum f. sp. chrysanthemi. J. Plant Pathol. 2018, 100, 97–104. [Google Scholar] [CrossRef]
- Chen, W.-Q.; Swart, W.J. Genetic Variation Among Fusarium oxysporum Isolates Associated with Root Rot of Amaranthus hybridus in South Africa. Plant Dis. 2001, 85, 1076–1080. [Google Scholar] [CrossRef][Green Version]
- Kim, D.H.; Martyn, R.D.; Magill, C.W. Chromosomal polymorphism in Fusarium oxysporum f. sp. niveum. Phytopathol. N. Y. Balt. St. Paul 1993, 83, 1209. [Google Scholar]
- Cai, G.; Gale, L.R.; Schneider, R.W.; Kistler, H.C.; Davis, R.M.; Elias, K.S.; Miyao, E.M. Origin of Race 3 of Fusarium oxysporum f. sp. lycopersici at a Single Site in California. Phytopathology 2003, 93, 1014–1022. [Google Scholar] [CrossRef]
- Puhalla, J.E.; Spieth, P.T. Heterokaryosis in Fusarium moniliforme. Exp. Mycol. 1983, 7, 328–335. [Google Scholar] [CrossRef]
- Bosland, P.W.; Williams, P.H. An evaluation of Fusarium oxysporum from crucifers based on pathogenicity, isozyme polymorphism, vegetative compatibility, and geographic origin. Can. J. Bot. 1987, 65, 2067–2073. [Google Scholar] [CrossRef]
- Covey, P.A.; Kuwitzky, B.; Hanson, M.; Webb, K.M. Multilocus Analysis Using Putative Fungal Effectors to Describe a Population of Fusarium oxysporum from Sugar Beet. Phytopathology 2014, 104, 886–896. [Google Scholar] [CrossRef] [PubMed]
- Van Dam, P.; Fokkens, L.; Schmidt, S.M.; Linmans, J.H.J.; Kistler, H.C.; Ma, L.-J.; Rep, M. Effector profiles distinguish formae speciales of Fusarium oxysporum. Environ. Microbiol. 2016, 18, 4087–4102. [Google Scholar] [CrossRef]
- Haegi, A.; Catalano, V.; Luongo, L.; Vitale, S.; Scotton, M.; Ficcadenti, N.; Belisario, A. A Newly Developed Real-Time PCR Assay for Detection and Quantification of Fusarium oxysporum and Its Use in Compatible and Incompatible Interactions with Grafted Melon Genotypes. Phytopathology 2013, 103, 802–810. [Google Scholar] [CrossRef]
- Xia, J.W.; Sandoval-Denis, M.; Crous, P.W.; Zhang, X.G.; Lombard, L. Numbers to names - restyling the Fusarium incarnatum-equiseti species complex. Persoonia Mol. Phylogeny Evol. Fungi 2019, 43, 186–221. [Google Scholar] [CrossRef] [PubMed]
- Lievens, B.; Houterman, P.M.; Rep, M. Effector gene screening allows unambiguous identification of Fusarium oxysporum f. sp. lycopersici races and discrimination from other formae speciales. FEMS Microbiol. Lett. 2009, 300, 201–215. [Google Scholar] [CrossRef] [PubMed]
- Kim, D.H.; Martyn, R.D.; Magill, C.W. Mitochondrial DNA restriction fragment length polymorphisms in Fusarium oxysporum f. sp. niveum. Phytoparasitica 1991, 19, 211–223. [Google Scholar] [CrossRef]
- O’Donnell, K.; Cigelnik, E. Two Divergent Intragenomic rDNA ITS2 Types within a Monophyletic Lineage of the Fungus Fusarium Are Nonorthologous. Mol. Phylogenet. Evol. 1997, 7, 103–116. [Google Scholar] [CrossRef] [PubMed]
- Geiser, D.M.; del Mar Jiménez-Gasco, M.; Kang, S.; Makalowska, I.; Veeraraghavan, N.; Ward, T.J.; Zhang, N.; Kuldau, G.A.; O’donnell, K. FUSARIUM-ID v. 1.0: A DNA sequence database for identifying Fusarium. Eur. J. Plant Pathol. 2004, 110, 473–479. [Google Scholar] [CrossRef]
- O’Donnell, K.; Ward, T.J.; Robert, V.A.R.G.; Crous, P.W.; Geiser, D.M.; Kang, S. DNA sequence-based identification of Fusarium: Current status and future directions. Phytoparasitica 2015, 43, 583–595. [Google Scholar] [CrossRef]
- White, T.J.; Bruns, T.; Lee, S.; Taylor, J. Amplification and direct sequencing of fungal ribosomal RNA genes for phylogenetics. PCR Protoc. Guid. Methods Appl. 1990, 18, 315–322. [Google Scholar]
- Li, K.N.; Rouse, D.I.; German, T.L. PCR primers that allow intergeneric differentiation of ascomycetes and their application to Verticillium spp. Appl. Environ. Microbiol. 1994, 60, 4324–4331. [Google Scholar] [CrossRef]
- Appel, D.J.; Gordon, T.R. Relationships among pathogenic and nonpathogenic isolates of Fusarium oxysporum based on the partial sequence of the intergenic spacer region of the ribosomal DNA. MPMI Mol. Plant Microbe Interact. 1996, 9, 125–138. [Google Scholar] [CrossRef]
- Carbone, I.; Kohn, L.M. A method for designing primer sets for speciation studies in filamentous ascomycetes. Mycologia 1999, 91, 553–556. [Google Scholar] [CrossRef]
- Groenewald, J.Z.; Nakashima, C.; Nishikawa, J.; Shin, H.-D.; Park, J.-H.; Jama, A.N.; Groenewald, M.; Braun, U.; Crous, P.W. Species concepts in Cercospora: Spotting the weeds among the roses. Stud. Mycol. 2013, 75, 115–170. [Google Scholar] [CrossRef] [PubMed]
- O’Donnell, K.; Sarver, B.A.J.; Brandt, M.; Chang, D.C.; Noble-Wang, J.; Park, B.J.; Sutton, D.A.; Benjamin, L.; Lindsley, M.; Padhye, A.; et al. Phylogenetic Diversity and Microsphere Array-Based Genotyping of Human Pathogenic Fusaria, Including Isolates from the Multistate Contact Lens-Associated U.S. Keratitis Outbreaks of 2005 and 2006. J. Clin. Microbiol. 2007, 45, 2235–2248. [Google Scholar] [CrossRef] [PubMed]
- Hirano, Y.; Arie, T. PCR-based differentiation of Fusarium oxysporum ff. sp. lycopersici and radicis-lycopersici and races of F. oxysporum f. sp. lycopersici. J. Gen. Plant Pathol. 2006, 72, 273–283. [Google Scholar] [CrossRef]
- Lin, Y.-H.; Chen, K.-S.; Chang, J.-Y.; Wan, Y.-L.; Hsu, C.-C.; Huang, J.-W.; Chang, P.-F.L. Development of the molecular methods for rapid detection and differentiation of Fusarium oxysporum and F. oxysporum f. sp. niveum in Taiwan. N. Biotechnol. 2010, 27, 409–418. [Google Scholar] [CrossRef]
- Niu, J.; Arentshorst, M.; Seelinger, F.; Ram, A.F.J.; Ouedraogo, J.P. A set of isogenic auxotrophic strains for constructing multiple gene deletion mutants and parasexual crossings in Aspergillus niger. Arch. Microbiol. 2016, 198, 861–868. [Google Scholar] [CrossRef]
- Hudson, O.; Waliullah, S.; Fulton, J.C.; Ji, P.; Dufault, N.S.; Keinath, A.; Ali, M.E. Marker Development for Differentiation of Fusarium oxysporum f. sp. Niveum Race 3 from Races 1 and 2. Int. J. Mol. Sci. 2021, 22, 822. [Google Scholar] [CrossRef] [PubMed]
- Van Der Does, H.C.; Lievens, B.; Claes, L.; Houterman, P.M.; Cornelissen, B.J.C.; Rep, M. The presence of a virulence locus discriminates Fusarium oxysporum isolates causing tomato wilt from other isolates. Environ. Microbiol. 2008, 10, 1475–1485. [Google Scholar] [CrossRef]
- Rep, M.; Van Der Does, H.C.; Meijer, M.; Van Wijk, R.; Houterman, P.M.; Dekker, H.L.; De Koster, C.G.; Cornelissen, B.J.C. A small, cysteine-rich protein secreted by Fusarium oxysporum during colonization of xylem vessels is required for I-3-mediated resistance in tomato. Mol. Microbiol. 2004, 53, 1373–1383. [Google Scholar] [CrossRef]
- Carvalhais, L.C.; Henderson, J.; Rincon-Florez, V.A.; O’Dwyer, C.; Czislowski, E.; Aitken, E.A.B.; Drenth, A. Molecular Diagnostics of Banana Fusarium Wilt Targeting Secreted-in-Xylem Genes. Front. Plant Sci. 2019, 10. [Google Scholar] [CrossRef]
- De Sain, M.; Rep, M. The Role of Pathogen-Secreted Proteins in Fungal Vascular Wilt Diseases. Int. J. Mol. Sci. 2015, 16, 23970–23993. [Google Scholar] [CrossRef]
- Gawehns, F.; Houterman, P.M.; Ichou, F.A.; Michielse, C.B.; Hijdra, M.; Cornelissen, B.J.C.; Rep, M.; Takken, F.L.W. The Fusarium oxysporum Effector Six6 Contributes to Virulence and Suppresses I-2-Mediated Cell Death. Mol. Plant-Microbe Interact. 2014, 27, 336–348. [Google Scholar] [CrossRef] [PubMed]
- Weiberg, A.; Wang, M.; Lin, F.-M.; Zhao, H.; Zhang, Z.; Kaloshian, I.; Huang, H.-D.; Jin, H. Fungal Small RNAs Suppress Plant Immunity by Hijacking Host RNA Interference Pathways. Science (80-) 2013, 342, 118–123. [Google Scholar] [CrossRef] [PubMed]
- Fraser-Smith, S.; Czislowski, E.; Meldrum, R.A.; Zander, M.; O’Neill, W.; Balali, G.R.; Aitken, E.A.B. Sequence variation in the putative effector gene SIX8 facilitates molecular differentiation of Fusarium oxysporum f. sp. cubense. Plant Pathol. 2014, 63, 1044–1052. [Google Scholar] [CrossRef]
- Sasaki, K.; Nakahara, K.; Tanaka, S.; Shigyo, M.; Ito, S. Genetic and Pathogenic Variability of Fusarium oxysporum f. sp. cepae Isolated from Onion and Welsh Onion in Japan. Phytopathology 2015, 105, 525–532. [Google Scholar] [CrossRef]
- Chakrabarti, A.; Rep, M.; Wang, B.; Ashton, A.; Dodds, P.; Ellis, J. Variation in potential effector genes distinguishing Australian and non-Australian isolates of the cotton wilt pathogen Fusarium oxysporum f.sp. vasinfectum. Plant Pathol. 2011, 60, 232–243. [Google Scholar] [CrossRef]
- Thatcher, L.F.; Gardiner, D.M.; Kazan, K.; Manners, J.M. A Highly Conserved Effector in Fusarium oxysporum Is Required for Full Virulence on Arabidopsis. Mol. Plant-Microbe Interact. 2012, 25, 180–190. [Google Scholar] [CrossRef]
- Laurence, M.H.; Summerell, B.A.; Liew, E.C.Y. Fusarium oxysporum f. sp. canariensis: Evidence for horizontal gene transfer of putative pathogenicity genes. Plant Pathol. 2015, 64, 1068–1075. [Google Scholar] [CrossRef]
- Meldrum, R.A.; Fraser-Smith, S.; Tran-Nguyen, L.T.T.; Daly, A.M.; Aitken, E.A.B. Presence of putative pathogenicity genes in isolates of Fusarium oxysporum f. sp. cubense from Australia. Australas. Plant Pathol. 2012, 41, 551–557. [Google Scholar] [CrossRef]
- Kashiwa, T.; Inami, K.; Fujinaga, M.; Ogiso, H.; Yoshida, T.; Teraoka, T.; Arie, T. An avirulence gene homologue in the tomato wilt fungus Fusarium oxysporum f. sp. lycopersici race 1 functions as a virulence gene in the cabbage yellows fungus F. oxysporum f. sp. conglutinans. J. Gen. Plant Pathol. 2013, 79, 412–421. [Google Scholar] [CrossRef]
- Zhang, Z.; Zhang, J.; Wang, Y.; Zheng, X. Molecular detection of Fusarium oxysporum f. sp. niveum and Mycosphaerella melonis in infected plant tissues and soil. FEMS Microbiol. Lett. 2005, 249, 39–47. [Google Scholar] [CrossRef]
- Lin, Y.-H.; Chen, K.-S.; Liou, T.-D.; Huang, J.-W.; Chang, P.-F.L. Development of a molecular method for rapid differentiation of watermelon lines resistant to Fusarium oxysporum f. sp. niveum. Bot. Stud. 2009, 50, 273–280. [Google Scholar]
- Vakalounakis, D.J.; Fragkiadakis, G.A. Genetic Diversity of Fusarium oxysporum Isolates from Cucumber: Differentiation by Pathogenicity, Vegetative Compatibility, and RAPD Fingerprinting. Phytopathology 1999, 89, 161–168. [Google Scholar] [CrossRef]
- Cunha, C.M.S.; Hinz, R.H.; Pereira, A.; Tcacenco, F.A.; Stadnik, M.J. Aggressiveness and genetic diversity of Fusarium oxysporum f. sp. cubense from Santa Catarina, southern Brazil. Trop. Plant Pathol. 2015, 40, 326–334. [Google Scholar] [CrossRef]
- Leong, S.K.; Latiffah, Z.; Baharuddin, S. Genetic diversity of Fusarium oxysporum f. sp. cubense isolates from Malaysia. Afr. J. Microbiol. Res. 2010, 4, 1026–1037. [Google Scholar]
- Zuo CW, M.G. Diversity and Distribution of the Banana Wilt Pathogen Fusarium oxysporum F. Sp. cubense in China. Fungal Genom. Biol. 2013, 3. [Google Scholar] [CrossRef]
- Ahmad, S.; Fook, C.W.K.; Vadamalai, G.; Wahab, M.A.; Saidi, N.B.; Zulperi, D. Molecular characterization of Fusarium oxysporum f. sp. cubense Tropical Race 4 (Foc-TR4) isolates from Malaysian banana using secreted in Xylem (SIX) effector genes. Arch. Phytopathol. Plant Prot. 2020, 53, 524–539. [Google Scholar] [CrossRef]
- Czislowski, E.; Fraser-Smith, S.; Zander, M.; O’Neill, W.T.; Meldrum, R.A.; Tran-Nguyen, L.T.T.; Batley, J.; Aitken, E.A.B. Investigation of the diversity of effector genes in the banana pathogen, Fusarium oxysporum f. sp. cubense, reveals evidence of horizontal gene transfer. Mol. Plant Pathol. 2018, 19, 1155–1171. [Google Scholar] [CrossRef] [PubMed]
- Li, C.-X.; Fu, X.-P.; Zhou, X.-G.; Liu, S.-W.; Xia, Y.; Li, N.-H.; Zhang, X.-X.; Wu, F.-Z. Treatment With Wheat Root Exudates and Soil Microorganisms From Wheat/Watermelon Companion Cropping Can Induce Watermelon Disease Resistance Against Fusarium oxysporum f. sp. niveum. Plant Dis. 2019, 103, 1693–1702. [Google Scholar] [CrossRef] [PubMed]
- Mahfooz, S.; Maurya, D.K.; Srivastava, A.K.; Kumar, S.; Arora, D.K. A comparative in silico analysis on frequency and distribution of microsatellites in coding regions of three formae speciales of Fusarium oxysporum and development of EST-SSR markers for polymorphism studies. FEMS Microbiol. Lett. 2012, 328, 54–60. [Google Scholar] [CrossRef] [PubMed]
- Nirmaladevi, D.; Venkataramana, M.; Srivastava, R.K.; Uppalapati, S.R.; Gupta, V.K.; Yli-Mattila, T.; Clement Tsui, K.M.; Srinivas, C.; Niranjana, S.R.; Chandra, N.S. Molecular phylogeny, pathogenicity and toxigenicity of Fusarium oxysporum f. sp. lycopersici. Sci. Rep. 2016, 6, 21367. [Google Scholar] [CrossRef]
- Debbi, A.; Boureghda, H.; Monte, E.; Hermosa, R. Distribution and Genetic Variability of Fusarium oxysporum Associated with Tomato Diseases in Algeria and a Biocontrol Strategy with Indigenous Trichoderma spp. Front. Microbiol. 2018, 9. [Google Scholar] [CrossRef]
- Liu, S.; Wu, B.; Lv, S.; Shen, Z.; Li, R.; Yi, G.; Li, C.; Guo, X. Genetic Diversity in FUB Genes of Fusarium oxysporum f. sp. cubense Suggests Horizontal Gene Transfer. Front. Plant Sci. 2019, 10. [Google Scholar] [CrossRef]
- Bayraktar, H.; Dolar, F.S. Molecular Identification and Genetic Diversity of Fusarium species Associated with Onion Fields in Turkey. J. Phytopathol. 2011, 159, 28–34. [Google Scholar] [CrossRef]
- Southwood, M.J.; Viljoen, A.; Mostert, G.; McLeod, A. Molecular Identification of Two Vegetative Compatibility Groups of Fusarium oxysporum f. sp. cepae. Phytopathology 2012, 102, 204–213. [Google Scholar] [CrossRef] [PubMed][Green Version]
- Alloosh, M.; Hamwieh, A.; Ahmed, S.; Alkai, B. Genetic diversity of Fusarium oxysporum f. sp. ciceris isolates affecting chickpea in Syria. Crop Prot. 2019, 124, 104863. [Google Scholar] [CrossRef]
- Bayraktar, H.; Dolar, F.S.; Maden, S. Use of RAPD and ISSR Markers in Detection of Genetic Variation and Population Structure among Fusarium oxysporum f. sp. ciceris Isolates on Chickpea in Turkey. J. Phytopathol. 2008, 156, 146–154. [Google Scholar] [CrossRef]
- Grajal-Martin, M.J.; Simon, C.J.; Muehlbauer, F.J. Use of random amplified polymorphic DNA (RAPD) to characterize race 2 of Fusarium oxysporum f. sp. pisi. Mol. Plant Pathol. 1993, 612–614. [Google Scholar]
- Merzoug, A.; Belabid, L. Relationship between pathogenicity, race and vegetative compatibility grouping among Algerian populations of Fusarium oxysporum f. sp. pisi causing pea wilt. J. Plant Prot. Res. 2017, 57. [Google Scholar] [CrossRef]
- Pouralibaba, H.R.; Šatović, Z.; Cobos, M.J.; Rubiales, D.; Fondevilla, S. Genetic diversity and structure of Fusarium oxysporum f.sp. lentis isolates from Iran, Syria and Algeria. Eur. J. Plant Pathol. 2019, 153, 1019–1029. [Google Scholar] [CrossRef]
- Husien Al-Husien, N.; Hamwieh, A.; Ahmed, S.; Bayaa, B. Genetic Diversity of Fusarium oxysporum f.sp. lentis Population Affecting Lentil in Syria. J. Phytopathol. 2017, 165, 306–312. [Google Scholar] [CrossRef]
- Castaño, R.; Scherm, B.; Avilés, M. Genetic Diversity of Fusarium oxysporum f. sp. dianthi in Southern Spain. J. Mycol. 2014. [Google Scholar] [CrossRef]
- Singh, N.; Pal, A.K.; Roy, R.K.; Tamta, S.; Rana, T.S. Development of cpSSR markers for analysis of genetic diversity in Gladiolus cultivars. Plant Gene 2017, 10, 31–36. [Google Scholar] [CrossRef]
- Mes, J.J.; Van Doorn, J.; Roebroeck, E.J.A.; Boonekamp, P.M. Detection and identification of Fusarium oxysporum f. sp. gladioli by RFLP and RAPD analysis. Mod. Assays Plant Pathog. Fungi Identif. Detect. Quantif. Lond. CAB Int. 1994, 63–68. [Google Scholar]
- Abd-Elsalam, K.A.; Omar, M.R.; Migheli, Q.; Nirenberg, H.I. Genetic characterization of Fusarium oxysporum f. sp. vasinfectum isolates by random amplification of polymorphic DNA (RAPD) and amplified fragment length polymorphism (AFLP)/Genetische Charakterisierung von Fusarium oxysporum f. sp. vasinfectum-Isolaten. Z. Pflanzenkrankh. Pflanzenschutz J. Plant Dis. Prot. 2004, 534–544. [Google Scholar]
- Halpern, H.C.; Qi, P.; Kemerait, R.C.; Brewer, M.T. Genetic Diversity and Population Structure of Races of Fusarium oxysporum Causing Cotton Wilt. G3 Genes|Genomes|Genetics 2020, 10, 3261–3269. [Google Scholar] [CrossRef] [PubMed]
- Zang, R.; Zhao, Y.; Guo, K.; Hong, K.; Xi, H.; Wen, C. The Population Genetic Variation Analysis of Bitter Gourd Wilt Caused by Fusarium oxysporum f. sp. momordicae in China by Inter Simple Sequence Repeats (ISSR) Molecular Marker. BioRxiv 2018, 424077. [Google Scholar] [CrossRef]
- Desjardins, A.E. Fusarium Mycotoxins: Chemistry, Genetics, and Biology; The American Phytopathological Society: St. Paul, MN, USA, 2006. [Google Scholar]
- Ramana, M.V.; Nayaka, S.C.; Balakrishna, K.; Murali, H.S.; Batra, H. V A novel PCR–DNA probe for the detection of fumonisin-producing Fusarium species from major food crops grown in southern India. Mycology 2012, 3, 167–174. [Google Scholar]
- Bakker, M.G.; Brown, D.W.; Kelly, A.C.; Kim, H.-S.; Kurtzman, C.P.; Mccormick, S.P.; O’Donnell, K.L.; Proctor, R.H.; Vaughan, M.M.; Ward, T.J. Fusarium mycotoxins: A trans-disciplinary overview. Can. J. Plant Pathol. 2018, 40, 161–171. [Google Scholar] [CrossRef]
- Lakshminarayanan, K.; Subramanian, D. Is fusaric acid a vivotoxin? Nature 1955, 176, 697–698. [Google Scholar] [CrossRef]
- Gaumann, E. Fusaric acid as a wilt toxin. Phytopathology 1957, 47, 342–357. [Google Scholar]
- Pegg, G. Biochemistry and physiology of pathogenesis. In Fungal Wilt Diseases of Plants; Academic Press, Inc.: New York, NY, USA, 1981; Volume 7, pp. 193–253. ISBN 0124644503. [Google Scholar]
- Davis, D. Fusaric acid in selective pathogenicity of Fusarium oxysporum. Phytopathology 1969, 59, 1391–1395. [Google Scholar] [PubMed]
- NISHIMURA, S. Observations on the fusaric acid production of the genus Fusarium. Jpn. J. Phytopathol. 1957, 22, 274–275. [Google Scholar] [CrossRef]
- Nishimura, S. Pathological studies on water-melon wilt. On the metabolic products of Fusarium oxysporum f. sp. niveum. Ann. Phytopathol. Soc. Jpn. 1957, 22, 215–219. [Google Scholar]
- Samadi, L.; Behboodi, B.S. Fusaric acid induces apoptosis in saffron root-tip cells: Roles of caspase-like activity, cytochrome c, and H 2 O 2. Planta 2006, 225, 223–234. [Google Scholar] [CrossRef]
- Lepoivre, P. Phytopathologie: Bases Moléculares et Biologiques des Pathosystemes et Fondements des Strategies de Lutte; Bruxelles, B.E., Ed.; De Boeck Université: Bruxelles, Belgium, 2003; ISBN 2804141152. [Google Scholar]
- Wu, H.; Yang, X.; Fan, J.; Miao, W.; Ling, N.; Xu, Y.; Huang, Q.; Shen, Q. Suppression of Fusarium wilt of watermelon by a bio-organic fertilizer containing combinations of antagonistic microorganisms. BioControl 2009, 54, 287–300. [Google Scholar] [CrossRef]
- Selim, M.E.; El-Gammal, N.A. Role of fusaric acid mycotoxin in pathogensis process of tomato wilt disease caused by Fusarium oxysporum. J. Bioprocess. Biotech. 2015, 5, 1. [Google Scholar] [CrossRef]
- Lambel, S.; Lanini, B.; Vivoda, E.; Fauve, J.; Patrick Wechter, W.; Harris-Shultz, K.R.; Massey, L.; Levi, A. A major QTL associated with Fusarium oxysporum race 1 resistance identified in genetic populations derived from closely related watermelon lines using selective genotyping and genotyping-by-sequencing for SNP discovery. Theor. Appl. Genet. 2014, 127, 2105–2115. [Google Scholar] [CrossRef]
- Kemble, J.M. Vegetable Crop Handbook for Southeastern US; Virginia Cooperative Extension: Blacksburg, VA, USA, 2018. [Google Scholar]
- Everts, K.L.; Hochmuth, M. Field evaluation of triploid cultivars for resistance to Fusarium wilt of watermelon in Delaware, 2010. Report 2011, 5, V175. [Google Scholar]
- Everts, K.L.; Himmelstein, J.C. Fusarium wilt of watermelon: Towards sustainable management of a re-emerging plant disease. Crop Prot. 2015, 73, 93–99. [Google Scholar] [CrossRef]
- Fall, L.A.; Clevenger, J.; McGregor, C. Assay development and marker validation for marker assisted selection of Fusarium oxysporum f. sp. niveum race 1 in watermelon. Mol. Breed. 2018, 38, 130. [Google Scholar] [CrossRef]
- Branham, S.E.; Levi, A.; Wechter, W.P. QTL Mapping Identifies Novel Source of Resistance to Fusarium Wilt Race 1 in Citrullus amarus. Plant Dis. 2019, 103, 984–989. [Google Scholar] [CrossRef]
- Zhou, X.G.; Everts, K.L. Suppression of Fusarium Wilt of Watermelon Enhanced by Hairy Vetch Green Manure and Partial Cultivar Resistance. Plant Heal. Prog. 2006, 7, 23. [Google Scholar] [CrossRef]
- Zhou, X.G.; Everts, K.L. Quantification of Root and Stem Colonization of Watermelon by Fusarium oxysporum f. sp. niveum and Its Use in Evaluating Resistance. Phytopathology 2004, 94, 832–841. [Google Scholar] [CrossRef] [PubMed]
- García-Mendívil, H.A.; Munera, M.; Giné, A.; Escudero, N.; Picó, M.B.; Gisbert, C.; Sorribas, F.J. Response of two Citrullus amarus accessions to isolates of three species of Meloidogyne and their graft compatibility with watermelon. Crop Prot. 2019, 119, 208–213. [Google Scholar] [CrossRef]
- Cohen, R.; Tyutyunik, J.; Fallik, E.; Oka, Y.; Tadmor, Y.; Edelstein, M. Phytopathological evaluation of exotic watermelon germplasm as a basis for rootstock breeding. Sci. Hortic. (Amst.) 2014, 165, 203–210. [Google Scholar] [CrossRef]
- Davis, A.R.; Perkins-Veazie, P.; Sakata, Y.; López-Galarza, S.; Maroto, J.V.; Lee, S.-G.; Huh, Y.-C.; Sun, Z.; Miguel, A.; King, S.R.; et al. Cucurbit Grafting. CRC Crit. Rev. Plant Sci. 2008, 27, 50–74. [Google Scholar] [CrossRef]
- Tran-Nguyen, L.T.T.; Condé, B.D.; Smith, S.H.; Ulyatt, L.I. Outbreak of Fusarium wilt in seedless watermelon seedlings in the Northern Territory, Australia. Australas. Plant Dis. Notes 2013, 8, 5–8. [Google Scholar] [CrossRef]
- Yetisir, H.; Sari, N. Effect of different rootstock on plant growth, yield and quality of watermelon. Aust. J. Exp. Agric. 2003, 43, 1269. [Google Scholar] [CrossRef]
- Zhang, J.; Wang, P.; Tian, H.; Wang, Y.; Jiang, H. Using a new hybrid rootstock significantly increases the grafted plant rate and watermelon yield. Int. Agrophysics 2019, 33. [Google Scholar] [CrossRef]
- Ling, N.; Zhang, W.; Wang, D.; Mao, J.; Huang, Q.; Guo, S.; Shen, Q. Root Exudates from Grafted-Root Watermelon Showed a Certain Contribution in Inhibiting Fusarium oxysporum f. sp. niveum. PLoS ONE 2013, 8, e63383. [Google Scholar] [CrossRef]
- Keinath, A.P.; Wechter, W.P.; Rutter, W.B.; Agudelo, P.A. Cucurbit Rootstocks Resistant to Fusarium oxysporum f. sp. niveum Remain Resistant When Coinfected by Meloidogyne incognita in the Field. Plant Dis. 2019, 103, 1383–1390. [Google Scholar] [CrossRef]
- Mondal, S.N.; Hossain, A.; Hossain, A.E.; Islam, M.A.; Bashar, M.A. Effect of various rootstocks in the graft culture of watermelon in Bangladesh. Punjab Veg. Grow. 1994, 29, 15–19. [Google Scholar]
- Moreno, B.; Jacob, C.; Rosales, M.; Krarup, C.; Contreras, S. Yield and Quality of Grafted Watermelon Grown in a Field Naturally Infested with Fusarium Wilt. Horttechnology 2016, 26, 453–459. [Google Scholar] [CrossRef]
- Zheng, G.F. A fine watermelon stock, ChaoFeng F1, and its cultivation. Henan Nongye Kexue 1995, 3, 24–25. [Google Scholar]
- D’Amore, R.; Morra, L.; Parisi, B. Grafted watermelon: Production results. Colt. Protette 1996, 25, 29–31. [Google Scholar]
- Cohen, R.; Burger, Y.; Horev, C.; Koren, A. Introducing grafted cucurbits to modern agriculture: The Israeli experience. Plant Dis. 2007, 91, 916–923. [Google Scholar] [CrossRef]
- Sakata, Y.; Ohara, T.; Sugiyama, M. The history and present state of the grafting of cucurbitaceous vegetables in Japan. Acta Hortic. 2007, 159–170. [Google Scholar] [CrossRef]
- Oda, J.L.M.; Lee, M. Grafting of herbaceous vegetable and ornamental crops. Hortic. Rev 2003, 28, 61–124. [Google Scholar]
- Álvarez-Hernández, J.C.; Castellanos-Ramos, J.Z.; Aguirre-Mancilla, C.L.; Huitrón-Ramírez, M.V.; Camacho-Ferre, F. Influence of rootstocks on Fusarium wilt, nematode infestation, yield and fruit quality in watermelon production. Ciência Agrotecnologia 2015, 39, 323–330. [Google Scholar] [CrossRef][Green Version]
- Miguel, A.; Maroto, J.V.; San Bautista, A.; Baixauli, C.; Cebolla, V.; Pascual, B.; López, S.; Guardiola, J.L. The grafting of triploid watermelon is an advantageous alternative to soil fumigation by methyl bromide for control of Fusarium wilt. Sci. Hortic. (Amst.) 2004, 103, 9–17. [Google Scholar] [CrossRef]
- Karaca, F.; Yetişir, H.; Solmaz, İ.; Candir, E.; Kurt, Ş.; Sari, N.; Güler, Z. Rootstock potential of Turkish Lagenaria siceraria germplasm for watermelon: Plant growth, yield and quality. Turk. J. Agric. For. 2012, 36, 167–177. [Google Scholar]
- Hussein, S.; Sari, N. Effects of different rootstocks on seed yield and quality of triploid watermelon grown in greenhouse. Acta Hortic. 2020, 67–74. [Google Scholar] [CrossRef]
- Smolinska, U. Survival of Sclerotium cepivorum Sclerotia and Fusarium oxysporum Chlamydospores in Soil Amended with Cruciferous Residues. J. Phytopathol. 2000, 148, 343–349. [Google Scholar] [CrossRef]
- Zhou, X.G.; Everts, K.L.; Zhou, C. Plant Disease Management Reports. Plant Dis. Manag. Reports 2011, 7. [Google Scholar] [CrossRef]
- Yu, H.; Chen, S.; Zhang, X.; Zhou, X.; Wu, F. Rhizosphere bacterial community in watermelon-wheat intercropping was more stable than in watermelon monoculture system under Fusarium oxysporum f. sp. niveum invasion. Plant Soil 2019, 445, 369–381. [Google Scholar] [CrossRef]
- Ren, L.; Su, S.; Yang, X.; Xu, Y.; Huang, Q.; Shen, Q. Intercropping with aerobic rice suppressed Fusarium wilt in watermelon. Soil Biol. Biochem. 2008, 40, 834–844. [Google Scholar] [CrossRef]
- Lv, H.; Cao, H.; Nawaz, M.A.; Sohail, H.; Huang, Y.; Cheng, F.; Kong, Q.; Bie, Z. Wheat Intercropping Enhances the Resistance of Watermelon to Fusarium Wilt. Front. Plant Sci. 2018, 9. [Google Scholar] [CrossRef]
- Klein, E.; Katan, J.; Gamliel, A. Soil suppressiveness to Meloidogyne javanica as induced by organic amendments and solarization in greenhouse crops. Crop Prot. 2012, 39, 26–32. [Google Scholar] [CrossRef]
- Shlevin, E.; Gamliel, A.; Katan, J.; Shtienberg, D. Multi-study analysis of the added benefits of combining soil solarization with fumigants or non-chemical measures. Crop Prot. 2018, 111, 58–65. [Google Scholar] [CrossRef]
- Keinath, A.P.; Coolong, T.W.; Lanier, J.D.; Ji, P. Managing Fusarium Wilt of Watermelon with Delayed Transplanting and Cultivar Resistance. Plant Dis. 2019, 103, 44–50. [Google Scholar] [CrossRef]
- Sun, S.-K.; Huang, J.W. Mechanisms of control of Fusarium wilt diseases by amendment of soil with SH mixture. Plant Prot. Bull. Taiwan 1985, 27, 159–169. [Google Scholar]
- Zhou, X.G.; Everts, K.L. Suppression of Fusarium Wilt of Watermelon by Soil Amendment with Hairy Vetch. Plant Dis. 2004, 88, 1357–1365. [Google Scholar] [CrossRef] [PubMed]
- Baloch, G.N.; Tariq, S.; Ehteshamul-Haque, S.; Athar, M.; Sultana, V.; Ara, J. Management of root diseases of eggplant and watermelon with the application of asafoetida and seaweeds. J. Appl. Bot. Food Qual. 2013, 86. [Google Scholar]
- Xu, W.; Wang, H.; Lv, Z.; Shi, Y.; Wang, Z. Antifungal activity and functional components of cell-free supernatant from Bacillus amyloliquefaciens LZN01 inhibit Fusarium oxysporum f. sp. niveum growth. Biotechnol. Biotechnol. Equip. 2019, 33, 1042–1052. [Google Scholar] [CrossRef]
- De Cal, A.; Sztejnberg, A.; Sabuquillo, P.; Melgarejo, P. Management Fusarium wilt on melon and watermelon by Penicillium oxalicum. Biol. Control 2009, 51, 480–486. [Google Scholar] [CrossRef]
- Ling, N.; Xue, C.; Huang, Q.; Yang, X.; Xu, Y.; Shen, Q. Development of a mode of application of bioorganic fertilizer for improving the biocontrol efficacy to Fusarium wilt. BioControl 2010, 55, 673–683. [Google Scholar] [CrossRef]
- Raveau, R.; Fontaine, J.; Lounès-Hadj Sahraoui, A. Essential Oils as Potential Alternative Biocontrol Products against Plant Pathogens and Weeds: A Review. Foods 2020, 9, 365. [Google Scholar] [CrossRef]
- Dhaouadi, S.; Rouissi, W.; Mougou-Hamdane, A.; Hannachi, I.; Nasraoui, B. Antifungal Activity of Essential Oils of Origanum majorana and Lavender angustifolia against Fusarium Wilt and Root Rot Disease of Melon Plants. Tunis. J. Plant Prot. 2018, 13, 39–55. [Google Scholar]
- Du, R.; Liu, J.; Sun, P.; Li, H.; Wang, J. Inhibitory effect and mechanism of Tagetes erecta L. fungicide on Fusarium oxysporum f. sp. niveum. Sci. Rep. 2017, 7, 14442. [Google Scholar] [CrossRef]
- Fravel, D.R. Commercialization and implementation of biocontrol. Annu. Rev. Phytopathol. 2005, 43, 337–359. [Google Scholar] [CrossRef]
- Wechter, W.P.; Kousik, C.; McMillan, M.; Levi, A. Identification of Resistance to Fusarium oxysporum f. sp. niveum Race 2 in Citrullus lanatus var. citroides Plant Introductions. HortScience 2012, 47, 334–338. [Google Scholar] [CrossRef]
- Thanassoulopoulos, C.C.; Giannopolitis, C.N.; Kitsos, G.T. Control of Fusarium wilt of Tomato and Watermelon with benomyl. Plant Dis. Rep. 1970, 54, 561–564. [Google Scholar]
- Hamed, E.R.; AbdEl-Sayed, M.H.F.; Shehata, H.S. Suppression of Fusarium wilt of watermelon by biological and chemical control. J. Appl. Sci. Res 2009, 5, 1816–1825. [Google Scholar]
- Miller, N.F. Characterization of Fungicide Sensitivity and Analysis of Microsatellites for Population Studies of Fusarium oxysporum f. sp. niveum Causing Fusarium Wilt of Watermelon. Master’s Thesis, North Carolina State University, Raleigh, NC, USA, 2017. [Google Scholar]
- Miller, N.F.; Standish, J.R.; Quesada-Ocampo, L.M. Sensitivity of Fusarium oxysporum f. sp. niveum to Prothioconazole and Pydiflumetofen In Vitro and Efficacy for Fusarium Wilt Management in Watermelon. Plant Health Prog. 2020, 21, 13–18. [Google Scholar] [CrossRef]
- Song, J.; Fan, L.; Forney, C.F.; Jordan, M.A.; Hildebrand, P.D.; Kalt, W.; Ryan, D.A.J. Effect of Ozone Treatment and Controlled Atmosphere Storage on Quality and Phytochemicals in Highbush Blueberries. Acta Hortic. 2003, 417–423. [Google Scholar] [CrossRef]
- Raza, W.; Ling, N.; Zhang, R.; Huang, Q.; Xu, Y.; Shen, Q. Success evaluation of the biological control of Fusarium wilts of cucumber, banana, and tomato since 2000 and future research strategies. Crit. Rev. Biotechnol. 2017, 37, 202–212. [Google Scholar] [CrossRef]
- Chung, W.H.; Chung, W.C.; Ting, P.F.; Ru, C.C.; Huang, H.C.; Huang, J.W. Nature of Resistance to Methyl Benzimidazole Carbamate Fungicides in Fusarium oxysporum f.sp. lilii and F. oxysporum f.sp. gladioli in Taiwan. J. Phytopathol. 2009, 157, 742–747. [Google Scholar] [CrossRef]
- Petkar, A.; Langston, D.B.; Buck, J.W.; Stevenson, K.L.; Ji, P. Sensitivity of Fusarium oxysporum f. sp. niveum to Prothioconazole and Thiophanate-Methyl and Gene Mutation Conferring Resistance to Thiophanate-Methyl. Plant Dis. 2017, 101, 366–371. [Google Scholar] [CrossRef]
- Chen, F.; Liu, X.; Schnabel, G. Field Strains of Monilinia fructicola Resistant to Both MBC and DMI Fungicides Isolated from Stone Fruit Orchards in the Eastern United States. Plant Dis. 2013, 97, 1063–1068. [Google Scholar] [CrossRef]
- Ma, Z.; Michailides, T.J. Advances in understanding molecular mechanisms of fungicide resistance and molecular detection of resistant genotypes in phytopathogenic fungi. Crop Prot. 2005, 24, 853–863. [Google Scholar] [CrossRef]
- Fraaije, B.A.; Butters, J.A.; Coelho, J.M.; Jones, D.R.; Hollomon, D.W. Following the dynamics of strobilurin resistance in Blumeria graminis f. sp. tritici using quantitative allele-specific real-time PCR measurements with the fluorescent dye SYBR Green I. Plant Pathol. 2002, 51, 45–54. [Google Scholar] [CrossRef]
- Liu, X.; Yu, F.; Schnabel, G.; Wu, J.; Wang, Z.; Ma, Z. Paralogous cyp51 genes in Fusarium graminearum mediate differential sensitivity to sterol demethylation inhibitors. Fungal Genet. Biol. 2011, 48, 113–123. [Google Scholar] [CrossRef] [PubMed]
- Khaledi, N.; Taheri, P.; Rastegar, M.F. Identification, virulence factors characterization, pathogenicity and aggressiveness analysis of Fusarium spp., causing wheat head blight in Iran. Eur. J. Plant Pathol. 2017, 147, 897–918. [Google Scholar] [CrossRef]
- FRAC. FRAC Code List. Available online: http://www.frac.info/docs/default-source/publications/frac-code-list/frac-code-list-2016.pdf (accessed on 21 June 2016).
- Parker, J.E.; Warrilow, A.G.S.; Price, C.L.; Mullins, J.G.L.; Kelly, D.E.; Kelly, S.L. Resistance to antifungals that target CYP51. J. Chem. Biol. 2014, 7, 143–161. [Google Scholar] [CrossRef]
- FRAC. Publications. Available online: http://www.frac.info/publications/downloads (accessed on 17 November 2020).
- Zhong, S.; Miao, J.; Liu, X.; Zhang, G. Characterization of Colletotrichum spp. Sensitivity to Carbendazim for Isolates Causing Strawberry Anthracnose in China. Plant Dis. 2021, 105, 87–95. [Google Scholar] [CrossRef] [PubMed]
- Nakaune, R.; Nakano, M. Benomyl resistance of Colletotrichum acutatum is caused by enhanced expression of β-tubulin 1 gene regulated by putative leucine zipper protein CaBEN1. Fungal Genet. Biol. 2007, 44, 1324–1335. [Google Scholar] [CrossRef] [PubMed]
- Andrade, A.C.; Del Sorbo, G.; Van Nistelrooy, J.G.M.; Waard, M.A. De The ABC transporter AtrB from Aspergillus nidulans mediates resistance to all major classes of fungicides and some natural toxic compounds. Microbiology 2000, 146, 1987–1997. [Google Scholar] [CrossRef]
- Suga, H.; Nakajima, T.; Kageyama, K.; Hyakumachi, M. The genetic profile and molecular diagnosis of thiophanate-methyl resistant strains of Fusarium asiaticum in Japan. Fungal Biol. 2011, 115, 1244–1250. [Google Scholar] [CrossRef] [PubMed]



| Variety | Response of Disease | |||
|---|---|---|---|---|
| Race 0 | Race 1 | Race 2 | Race 3 | |
| All Sweet | R | R | S | S |
| Crimson sweet | R | S | S | S |
| Calhoun Gray | R | R | S | S |
| Sugar Baby | S | S | S | S |
| Black Diamond | S | S | S | S |
| Charleston Gray | R | S | S | S |
| PI-296341-FR | R | R | R | S |
| Host | Forma Specialis | VCG | Described Races | References |
|---|---|---|---|---|
| Watermelon | Niveum | 008- | 0, 1, 2, 3 | [11] |
| Melon | Melonis | 013- | 0, 1, 2, 1.2 Y. 1.2 W | [54] |
| Cucumber | Cucumerinum Radicis-cucumerinum | 018- 026- | 1, 2, 3 - | [55] |
| Bitter gourd | Momordicae | - | - | [56] |
| Bottle gourd | lagenariae | 041- | - | [57] |
| Vegetable sponge | Luffae | - | - | [58] |
| Wax gourd | Benincasae | - | - | [13] |
| Tomato | lycopersici Radicis-lycopersici | 0030- 009- | 1, 2, 3 | [59] |
| Pisum sp | pisi | 007- | 1, 2, 5, 6 | [60] |
| Radish | raphani | 022- | - | [61] |
| Cotton | vasinfectum | 011- | 1, 2, 3, 4, 5, 6, 7, 8 | [62] |
| Banana | Cubense | 012- | 1, 2, 3, 4 | [63] |
| Bean | Phaseoli | 016- | 1, 2, 3, 4, 5, 6, 7 | [64] |
| Cabbage | conglutinans | 010- | 1, 2 | [65] |
| Chickpea | Ciceris | 028- | 1, 2, 3, 4 | [66] |
| Onion | Cepae | 0420- | - | [67,68] |
| Asparagus | Asparagi | 100- | - | [52] |
| Sweet potato | Batatas | 036- | 1, 2 | [69] |
| Sugar beet | Betae | 027- | - | [70] |
| Carnation | Dianthi | 002- | 1, 2, 3, 4 to 11 | [71] |
| Lettuce | Lactuace | 030- | 1, 2, 3 | [72] |
| Gladiolus | Gladioli | 034- | 2 | [73] |
| Tobacco | Nicotianae | 037- | 0, 1, 2, 3 | [74] |
| Alfalfa | Medicaginis | 004- | - | [75] |
| Potato | Tuberosi | 035- | - | [76] |
| Cyclamen | Cyclaminis | 015- | - | [77] |
| Chrysanthemum | Chrysanthemi | 005- | 1, 2, 3 | [78] |
| S/No | Country Name | Resistant Root-Stock | References | |
|---|---|---|---|---|
| Cultivar | Species | |||
| 1. | ‘RTX1′, ‘RS 841′, ‘Carnivore’ | Australia | Cucurbita maxima X Cucurbita moschata | [167] |
| 2. | Mammoth King, Round and Oblong | Bangladesh | C. moschata | [172] |
| Benincasa hispida | Lagenaria leucantha (L. siceraria) | [172] | ||
| wild watermelon | C. maxima | [172] | ||
| 3. | ‘Marathon’ | Chili | Cucurbita maxima x Cucurbita moschata | [173] |
| ‘Macis’ | Bottle gourd (Lagenaria siceraria) | [173] | ||
| 4. | ChaoFeng F1 | China | Watermelon | [174] |
| ‘Wanzhen No. 2 | Pumpkin (Cucurbita moschata) rootstock | [169] | ||
| Dayehuzi | Bottle gourd (Lagenaria siceraria) | [170] | ||
| 5. | F1 hybrid Nun 2001 | Italy | Lagenaria | [175] |
| 6. | Strong Tosa | Israel | Cucurbita moschataxC. maxima | [176] |
| 7. | Renshi | Japan | Bottle gourd | [177] |
| 8. | Choseun | Korea | Cucurbita moschata | [178] |
| Sintojwa | Cucurbita maxima X Cucurbita moschata | [178] | ||
| Vegetable Spaghetti | C. pepo | [178] | ||
| 9. | Super Shintoza | Mexico | Interspecific hybrid squash(Cucurbita maxima x Cucurbita moschata) | [179] |
| Robusta | hybrid of Citrullus lanatus | [179] | ||
| 10. | ‘Shintoza’ | Spain | Interspecific hybrid squash | [180] |
| 11. | Skopje (SKP), Landrace Nun-9075 | Turkey | Bottle gourd (Lagenaria siceraria) Cucurbita maxima × Cucurbita moschata | [181,182] |
| 12. | ‘Shintosa Camel’, ‘Strong Tosa’ | USA | Interspecific hybrid squash(Cucurbita moschata X Cucurbita maxima) | [18] |
| ‘Emphasis’, ‘Macis’, and ‘WMXP 3945’ | Bottle gourd (Lagenaria siceraria) | [18] | ||
| ‘Ojakkyo’ | Citron (Citrullus lanatus var. citroides) | [18] |
Publisher’s Note: MDPI stays neutral with regard to jurisdictional claims in published maps and institutional affiliations. |
© 2021 by the authors. Licensee MDPI, Basel, Switzerland. This article is an open access article distributed under the terms and conditions of the Creative Commons Attribution (CC BY) license (https://creativecommons.org/licenses/by/4.0/).
Share and Cite
Rahman, M.Z.; Ahmad, K.; Bashir Kutawa, A.; Siddiqui, Y.; Saad, N.; Geok Hun, T.; Hata, E.M.; Hossain, M.I. Biology, Diversity, Detection and Management of Fusarium oxysporum f. sp. niveum Causing Vascular Wilt Disease of Watermelon (Citrullus lanatus): A Review. Agronomy 2021, 11, 1310. https://doi.org/10.3390/agronomy11071310
Rahman MZ, Ahmad K, Bashir Kutawa A, Siddiqui Y, Saad N, Geok Hun T, Hata EM, Hossain MI. Biology, Diversity, Detection and Management of Fusarium oxysporum f. sp. niveum Causing Vascular Wilt Disease of Watermelon (Citrullus lanatus): A Review. Agronomy. 2021; 11(7):1310. https://doi.org/10.3390/agronomy11071310
Chicago/Turabian StyleRahman, Muhammad Ziaur, Khairulmazmi Ahmad, Abdulaziz Bashir Kutawa, Yasmeen Siddiqui, Norsazilawati Saad, Tan Geok Hun, Erneeza Mohd Hata, and Md Imam Hossain. 2021. "Biology, Diversity, Detection and Management of Fusarium oxysporum f. sp. niveum Causing Vascular Wilt Disease of Watermelon (Citrullus lanatus): A Review" Agronomy 11, no. 7: 1310. https://doi.org/10.3390/agronomy11071310
APA StyleRahman, M. Z., Ahmad, K., Bashir Kutawa, A., Siddiqui, Y., Saad, N., Geok Hun, T., Hata, E. M., & Hossain, M. I. (2021). Biology, Diversity, Detection and Management of Fusarium oxysporum f. sp. niveum Causing Vascular Wilt Disease of Watermelon (Citrullus lanatus): A Review. Agronomy, 11(7), 1310. https://doi.org/10.3390/agronomy11071310

