Evaluation of Changes in Glomalin-Related Soil Proteins (GRSP) Content, Microbial Diversity and Physical Properties Depending on the Type of Soil as the Important Biotic Determinants of Soil Quality
Abstract
1. Introduction
2. Materials and Methods
2.1. Field Experiment and Soil Samples
2.2. Clay Dispersion Measurements
2.3. Soil Water Retention
2.4. Soil Physical Quality S-Index
2.5. Microbial Communities and Enzymatic Analysis
2.6. Glomalin Related Soil Proteins Content Analysis
2.7. Determination of Number of AMF Spores in Soils
2.8. Total DNA Extraction from Soil
2.9. PCR Amplification
2.10. Denaturing Gradient Gel Electrophoresis (DGGE)
2.11. Community-Level Physiological Profiling (CLPP) Analysis Using Biolog EcoPlates
2.12. Statistical Analysis
3. Results
3.1. Physical and Chemical Properties of Soil
3.2. GRSP Content
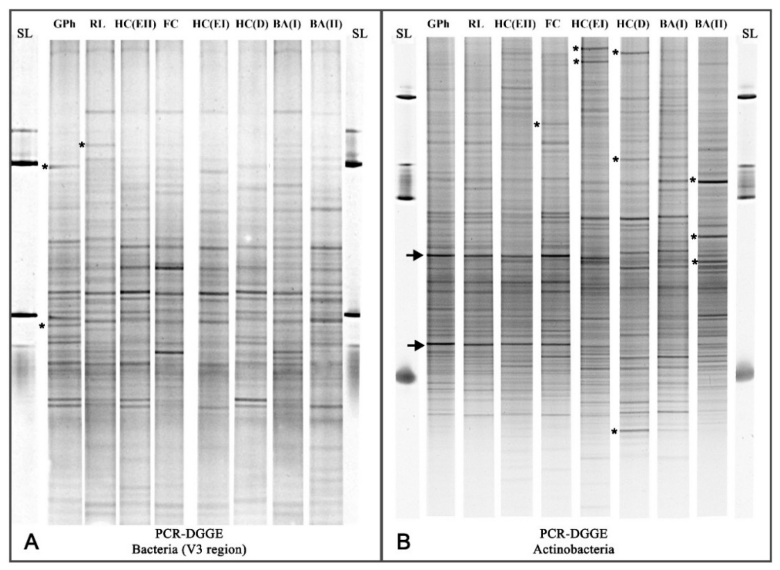
3.3. Microbial Diversity
3.4. Biological Activity of Soil
4. Discussion
5. Conclusions
- The content of glomalin related soil proteins depended not only on the soil type but also on the biological and physical activities and correlated with S-Index and was the important biotic determinant of soil quality.
- Significant correlations were found between the total carbon content (%C) and the concentration of T-GRSP and EE-GRSP. Soils characterized by highest GRSP content belonged to the group of very good and good SPQ characterized also by high biological activity.
- Soil biological activity depended strictly on the type of soil and remained stable over the years examined. The Gleyic Phaeozem, Fluvic Cambisol and Rendzic Leptosol were characterized by high biological activity, for which there were strong correlations with such parameters as DHA, MBC, MBN, S-Index and total bacteria number. The Haplic Cambisol (Eutric I), Haplic Cambisol (Eutric II) and Haplic Cambisol (Distric) were characterized by moderate biological activity and there were strong correlations with total number of fungi and acid phosphatase. The Brunic Arenosol (Distric I) and Brunic Arenosol (Distric II) were characterized by very low biological activity of soil.
- This research indicates that a specific edaphone of soil microorganisms may be of great importance when assessing potential soil resistance to degradation and improving quality and health. Our research indicates a significant role of soil organic carbon content on soil quality, which may also have important implications and connections to carbon sequestration, preventing the negative effects of climate change and improving soil health and biodiversity of soil microorganisms.
Author Contributions
Funding
Acknowledgments
Conflicts of Interest
References
- Ukalska-Jaruga, A.; Klimkowicz-Pawlas, A.; Smreczak, B. Characterization of organic matter fractions in the top layer of soils under different land uses in Central-Eastern Europe. Soil Use Manag. 2019, 35, 595–606. [Google Scholar] [CrossRef]
- Kibblewhite, M.G.; Ritz, K.; Swift, M.J. Soil health in agricultural systems. Philos. Trans. R. Soc. B 2008, 363, 685–701. [Google Scholar] [CrossRef] [PubMed]
- Skłodowski, P.; Bielska, A. Properties and fertility of soils in Poland–a basis for the formation of agro-environmental relations. Water Environ. Rural Areas 2009, 9, 203–2014. (In Polish) [Google Scholar]
- Krasowicz, S.; Oleszek, W.; Horabik, J.; Dębicki, R.; Jankowiak, J.; Stuczyński, T.; Jadczyszyn, J. Rational managenent of the soil environment in Poland. Pol. J. Agron. 2011, 7, 43–58. (In Polish) [Google Scholar]
- Grządziel, J. Structural and Functional Diversity of Microorganisms in Selected Soil Types Characteristic of Poland. Ph.D. Thesis, Insitute of Soil Science and Plant Cultivation, State Research Institute, Puławy, Poland, 23 June 2020. [Google Scholar]
- Czyż, E.A.; Dexter, A.R.; Niedźwiecki, J. Soil water retention of long-term permanent plot experiments. Soil Sci. Ann. 2003, 4, 27–37. (In Polish) [Google Scholar]
- Gałązka, A.; Gawryjołek, K.; Grządziel, J.; Księżak, A. Effect of different agricultural management practices on soil biological parameters including glomalin fraction. Plant Soil Environ. 2017, 63, 300–306. [Google Scholar]
- Czaban, J.; Wróblewska, B.; Niedźwiecki, J.; Sułek, A. Relationships between numbers of microbial communities in Polish agricultural soils and properties of these soils, paying special attention to xerophilic/xerotolerant fungi. Pol. J. Environ. Stud. 2010, 19, 1171–1183. [Google Scholar]
- Grządziel, J.; Furtak, K.; Gałązka, A. Community-level physiological profiles of microorganisms from different types of soil that are characteristic to Poland—A long-term microplot experiment. Sustainability 2019, 11, 56. [Google Scholar] [CrossRef]
- Grządziel, J.; Gałązka, A. Microplot long-term experiment reveals strong soil type influence on bacteria composition and its functional diversity. Appl. Soil Ecol. 2018, 124, 117–123. [Google Scholar] [CrossRef]
- Grządziel, J.; Gałązka, A. Fungal biodiversity of the most common types of Polish soil in a long-term microplot experiment. Front. Microbiol. 2019, 10, 6. [Google Scholar] [CrossRef]
- Jamiołkowska, A.; Księżniak, A.; Hetman, B.; Kopacki, M.; Skwaryło-Bednarz, B.; Gałązka, A.; Thanoon, A.H. Interaction of arbuscular mycorrhizal fungi with plants and soil microflora. Acta Sci. Pol. Hortorum Cultus 2017, 16, 89–95. [Google Scholar] [CrossRef]
- Gałązka, A.; Gawryjołek, K. Glomalin-soil glicoprotein produced by arbuscular mycorhizal fungus. Postępy Mikrobiol. 2015, 54, 331–343. [Google Scholar]
- Gillespie, A.W.; Farrell, R.E.; Walley, F.L.; Ross, A.R.S.; Leinweber, P.; Eckhardt, K.U.; Tom, Z.; Regier, T.Z.; Blyth, R.I.R. Glomalin-related soil protein contains non-mycorrhizal-related heat-stable proteins, lipids and humic materials. Soil Biol. Biochem. 2011, 43, 766–777. [Google Scholar] [CrossRef]
- Wang, W.; Zhong, Z.; Wang, Q.; Wang, H.; Fu, Y.; He, X. Glomalin contributed more to carbon, nutrients in deeper soils, and differently associated with climates and soil properties in vertical profiles. Sci. Rep. 2017, 7, 13003. [Google Scholar] [CrossRef]
- Dexter, A.R. Soil physical quality: Part I. Theory, effects of soil texture, density, and organic matter, and effects on root growth. Geoderma 2004, 120, 201–214. [Google Scholar] [CrossRef]
- Dexter, A.R.; Czyz, E.A. Applications of S-theory in the study of soil physical degradation and its consequences. Land Degrad. Dev. 2007, 18, 369–381. [Google Scholar] [CrossRef]
- Gate, O.P.; Czyz, E.A.; Dexter, A.R. Soil physical quality, S, as a basis for relationships between some key physical properties of arable soils. Adv. Geoecology 2006, 38, 102–109. [Google Scholar]
- Strzemski, M. The History of Polish Soil Science from the Dawn of Polish Literature to the Establishment of the Second Polish Republic; PWRiL: Warszawa, Poland, 1980. (In polish) [Google Scholar]
- Siebielec, G.; Siebielec, S.; Podolska, G. Comparison of microbial and chemical characteristics of soil types after over 100 years of cereal production. Pol. J. Agron. 2015, 23, 88–100. [Google Scholar]
- Czyż, E.; Dexter, A.R. Mechanical dispersion of clay from soil into water: Readily-dispersed and spontaneously-dispersed clay. Int. Agrophys. 2015, 29, 31–37. [Google Scholar] [CrossRef]
- Genuchten, M.T.V. A closed-form equation for predicting the hydraulic conductivity of unsaturated soils. Soil Sci. Soc. Am. J. 1980, 44, 892–898. [Google Scholar] [CrossRef]
- Martin, J.P. Use of acid, rose bengal and streptomycin in the plate method for estimating soil fungi. Soil Sci. 1950, 69, 215–232. [Google Scholar] [CrossRef]
- Rodina, A. Microbiological Methods for the Study of Water; PWRiL: Warszawa, Poland, 1968. (In Polish) [Google Scholar]
- Fenglerowa, W. Simple method for counting azotobacter in soil samples. Acta Microbiol. Pol. 1965, 14, 203–206. [Google Scholar]
- Ghani, A.; Dexter, M.; Perrott, K.W. Hot-water extractable carbon in soils: A sensitive measurement for determining impacts of fertilization, grazing and cultivation. Soil Biol. Biochem. 2003, 35, 1231–1243. [Google Scholar] [CrossRef]
- Determination of Dehydrogenase Activity in Soil Using 2,3,5 Triphenyltetrazolium Chloride (TTC); Polish Standard: Warsaw, Poland, 2011; PN-EN ISO 23753-1.
- Tabatabai, M.A. Soil enzymes. In Methods of Soil Analysis, Part 2; Page, A.L., Miller, R.H., Keeney, D.R., Eds.; American Society of Agronomy and Soil Science Society of America: Madison, WI, USA, 1982. [Google Scholar]
- Wright, S.F.; Franke-Synder, M.; Morton, J.B.; Upadhyaya, A. Time course study and partial characterization of a protein on hyphae of arbuscular mycorrhizal fungi during active colonization of roots. Plant Soil 1996, 181, 193–203. [Google Scholar] [CrossRef]
- Phillips, J.M.; Hayman, D.S. Improved procedures for clearing roots and staining parasitic and vesicular-arbuscular mycorrhizal fungi for rapid assessment of infection. Trans. Br. Mycol. Soc. 1970, 55, 158–161. [Google Scholar] [CrossRef]
- Weisburg, W.G.; Barns, S.M.; Pelletier, D.A.; Lane, D.J. 16S ribosomal DNA amplification for phylogenetic study. J. Bacteriol. 1991, 173, 697–703. [Google Scholar] [CrossRef]
- Muyzer, G.; Waal, E.C.D.E.; Uitierlinden, A.G. Profiling of complex microbial populations by denaturing gradient gel electrophoresis analysis of polymerase chain reaction-amplified genes coding for 16S rRNA. Appl. Environ. Microbiol. 1993, 59, 695–700. [Google Scholar] [CrossRef]
- Stach, J.E.M.; Maldonado, L.A.; Ward, A.C.; Goodfellow, M.; Bull, A.T. New primers for the class actinobacteria: Application to marine and terrestrial environments. Environ. Microbiol. 2003, 5, 828–841. [Google Scholar] [CrossRef]
- Gałązka, A.; Gawryjołek, K.; Grządziel, J.; Frąc, M.; Księżak, J. Microbial community diversity and the interaction of soil under maize growth in different cultivation techniques. Plant Soil Environ. 2017, 63, 264–270. [Google Scholar] [CrossRef]
- Chau, J.F.; Bagtzoglou, A.C.; Willig, M.R. The effect of soil texture on richness and diversity of bacterial communities. Environ. Forensics 2011, 12, 333–341. [Google Scholar] [CrossRef]
- Nikolausz, M.; Sipos, R.; Révész, S.; Székely, A.; Márialigeti, K. Observation of bias associated with re-amplification of DNA isolated from denaturing gradient gels. FEMS Microbiol. Lett. 2005, 244, 385–390. [Google Scholar] [CrossRef] [PubMed]
- Furtak, K.; Gawryjołek, K.; Gajda, A.; Gałązka, A. Effects of maize and winter wheat grown under different cultivation techniques on biological activity of soil. Plant Soil Environ. 2017, 63, 449–454. [Google Scholar]
- Gałązka, A.; Gawryjołek, K.; Gajda, A.; Furtak, K.; Księżniak, A.; Jończyk, K. Assessment of the glomalins content in the soil under winter wheat in different crop production systems. Plant Soil Environ. 2018, 64, 32–37. [Google Scholar]
- Latour, X.; Philippot, L.; Corberand, T.; Lemanceau, P. The establishment of an introduced community of fluorescent pseudomonads in the soil and in the rhizosphere is affected by the soil type. FEMS Microbiol. Ecol. 1999, 30, 163–170. [Google Scholar] [CrossRef] [PubMed]
- Schreiter, S.; Ding, G.-C.; Heuer, H.; Neumann, G.; Sandmann, M.; Grosch, R.; Kropf, S.; Smalla, K. Effect of the soil type on the microbiome in the rhizosphere of field-grown lettuce. Front. Microbiol. 2014, 5, 1–13. [Google Scholar] [CrossRef] [PubMed]
- Sessitsch, A.; Weilharter, A.; Gerzabek, M.H.; Kirchmann, H.; Kandeler, E. Microbial population structures in soil particle size fractions of a long-term fertilizer field experiment. Appl. Environ. Microbiol. 2001, 67, 4215–4224. [Google Scholar] [CrossRef]
- Lehman, R.M.; Cambardella, C.A.; Stott, D.E.; Acosta-Martinez, V.; Manter, D.K.; Buyer, J.S.; Maul, J.E.; Smith, J.L.; Collins, H.P.; Halvorson, J.J.; et al. Understanding and enhancing soil biological health: The solution for reversing soil degradation. Sustainability 2015, 7, 988–1027. [Google Scholar] [CrossRef]
- Gaţe, O.P.; Czyż, E.A.; Dexter, A.R. Effects of readily-dispersible clay on soil quality and root growth. In Plant Growth in Relation to Soil Physical Conditions; Lipiec, J., Walczak, R., Józefaciuk, G., Eds.; Institute of Agrophysics, Polish Academy of Science: Lublin, Poland, 2004. [Google Scholar]
- Lal, R. Soil health and carbon management. Food Energy Secur. 2016, 5, 212–222. [Google Scholar] [CrossRef]
- Norris, C.E.; Bean, G.M.; Cappellazzi, S.B.; Cope, M.; Greub, K.L.H.; Liptzin, D.; Rieke, E.L.; Tracy, P.W.; Morgan, C.L.S.; Honeycutt, C.W. Introducing the North American project to evaluate soil health. Meas. Agron. J. 2020, 1–21. [Google Scholar] [CrossRef]
- He, F.; Chen, H.; Tang, M. Arbuscular mycorrhizal fungal communities are influenced by host tree species on the loess plateau, northwest China. Forests 2019, 10, 930. [Google Scholar] [CrossRef]
- Verzeaux, J.; Nivelle, E.; Roger, D.; Hirel, B.; Dubois, F.; Tetu, T. Spore density of arbuscular mycorrhizal fungi is fostered by six years of a No-Till system and is correlated with environmental parameters in a silty loam soil. Agronomy 2017, 7, 38. [Google Scholar] [CrossRef]
- Melo, C.D.; Walker, C.; Krüger, C.; Borges, P.A.V.; Luna, S.; Mendonça, D.; Fonseca, H.M.A.C.; Machado, A.C. Environmental factors driving arbuscular mycorrhizal fungal communities associated with endemic woody plant Picconia azorica on native forest of Azores. Ann. Microbiol. 2019, 69, 1309–1327. [Google Scholar] [CrossRef]
- Onet, A.; Dinca, P.; Laslo, V.; Teusdea, A.C.; Vasile, D.L.; Enescu, R.E.; Crisan, V.E. Biological indicators for evaluating soil quality improvement in a soil degraded by erosion processes. J. Soils Sediments 2019, 19, 2393–2404. [Google Scholar] [CrossRef]
- Nannipieri, P.; Ascher, J.; Ceccherini, M.T.; Landi, L.; Pietramellara, G.; Renella, G. Microbial diversity and soil functions. Eur. J. Soil Sci. 2003, 54, 655–670. [Google Scholar] [CrossRef]
- Girvan, M.S.; Bullimore, J.; Pretty, J.N.; Osborn, M.; Ball, A.S. Soil type is the primary determinant of the composition of the total and active bacterial communities in arable soils. Appl. Environ. Microbiol. 2003, 69, 1800–1809. [Google Scholar] [CrossRef] [PubMed]
- Wolińska, A.; Kuźniar, A.; Zielenkiewicz, U.; Banach, A.; Błaszczyk, M. Indicators of arable soils fatigue–bacterial families and genera: A metagenomic approach. Ecol. Ind. 2018, 93, 490–500. [Google Scholar] [CrossRef]
- Sarapatka, B.; Alvarado-Solano, D.P.; Čižmár, D. Can glomalin content be used as an indicator for erosion damage to soil and related changes in organic matter characteristics and nutrients? Catena 2019, 181, 104078. [Google Scholar] [CrossRef]
- Seaton, F.M.; George, P.B.L.; Lebron, I.; Jones, D.L.J.; Creer, S.; Robinson, D.A. Soil textural heterogeneity impacts bacterial but not fungal diversity. Soil Biol. Biochem. 2020, 144, 107766. [Google Scholar] [CrossRef]
- Lobry de Bruyn, L.; Andrews, S. Are Australian and United States farmers using soil information for soil health management? Sustainability 2016, 8, 304. [Google Scholar] [CrossRef]









| Soil Type 1 | Symbol | Plot Number | Soil Texture Class 2 | Particle Size Distribution [%] | S-Index | T-GRSP | C [%] | N [%] | C/N | RDC/TC | pH | ||
|---|---|---|---|---|---|---|---|---|---|---|---|---|---|
| Sand (2.0–0.05 mm) | Silt (0.05–0.002 mm) | Clay (<0.002 mm) | |||||||||||
| Brunic Arenosol (Dystric I) | BA (I) | M1 | loamy sand | 78 | 21 | 1 | 0.018 | 2.87 | 0.654 | 0.063 | 10.38 | 0.313 | 4.0 |
| Brunic Arenosol (Dystric II) | BA (II) | M6 | loamy sand | 85 | 14 | 1 | 0.025 | 3.07 | 0.522 | 0.046 | 11.35 | 0.288 | 4.5 |
| Fluvic Cambisol | FC | M3 | sandy loam | 52 | 34 | 14 | 0.046 | 4.59 | 1.364 | 0.106 | 12.87 | 0.054 | 7.5 |
| Rendzic Leptosol | RL | M2 | sandy loam | 60 | 32 | 8 | 0.050 | 4.43 | 1.967 | 0.115 | 17.10 | 0.084 | 7.3 |
| Haplic Cambisol (Dystric) | HC (D) | M8 | fine sandy loam | 71 | 27 | 2 | 0.056 | 3.79 | 0.916 | 0.090 | 10.18 | 0.126 | 5.6 |
| Haplic Cambisol (Eutric II) | HC (EII) | M7 | medium sandy loam | 58 | 38 | 4 | 0.058 | 4.68 | 0.858 | 0.091 | 9.43 | 0.098 | 5.4 |
| Haplic Cambisol (Eutric I)—developed from loess | HC (EI) | M4 | fine sandy loam | 49 | 48 | 3 | 0.060 | 4.04 | 0.842 | 0.089 | 9.46 | 0.179 | 4.7 |
| Gleyic Phaeozem | GPh | M5 | fine sandy loam | 54 | 43 | 3 | 0.076 | 6.33 | 3.101 | 0.225 | 13.78 | 0.095 | 7.4 |
| Average Air Temperature (°C) | |||||||||||||
|---|---|---|---|---|---|---|---|---|---|---|---|---|---|
| I | II | III | IV | V | VI | VII | VIII | IX | X | XI | XII | Year | |
| 2016 | 1.3 | 1.0 | 5.1 | 8.6 | 13.5 | 17.9 | 20.4 | 22.6 | 15.3 | 7.0 | 5.2 | 4.0 | 10.2 |
| 2017 | −3.3 | 3.7 | 4.3 | 9.6 | 15.6 | 19.8 | 20.1 | 18.7 | 15.6 | 7.7 | 3.2 | 0.8 | 9.7 |
| 2018 | −4.6 | −1.1 | 6.2 | 7.9 | 14.7 | 18.9 | 19.4 | 20.1 | 14.1 | 9.5 | 4.6 | 2.5 | 9.4 |
| Sum of Precipitation (mm) | |||||||||||||
| I | II | III | IV | V | VI | VII | VIII | IX | X | XI | XII | Year | |
| 2016 | 55.3 | 9.9 | 45.8 | 28.5 | 111.6 | 32.0 | 55.4 | 3.6 | 126.0 | 30.0 | 47.4 | 25.2 | 570.7 |
| 2017 | 33.0 | 64.5 | 53.0 | 38.4 | 72.2 | 27.9 | 86.6 | 41.9 | 20.6 | 100.2 | 44.9 | 64.6 | 647.8 |
| 2018 | 10.7 | 42.4 | 31.6 | 31.9 | 48.2 | 35.4 | 150.3 | 76.8 | 105.2 | 94.9 | 53.7 | 20.5 | 731.6 |
| Primer Set | Sequence 5′–3′ | Target | Reference |
|---|---|---|---|
| Bacteria-specific | |||
| 27F 1492R | >AGAGTTTGATCCTGGCTCAG >GGTTACCTTGTTACGACTT | 16S rRNA gene | [31] |
| GC-338F Eub518R | >GC-clamp-ACTCCTACGGGAGGCAGCAG >ATTACCGCGGCTGCTGG | V3 hypervariable region | [32] |
| Actinobacteria-specific | |||
| Actino235F Eub518R | >GC-clamp-CGCGGCCTATCAGCTTGTTG >ATTACCGCGGCTGCTGG | 16S rRNA gene | [33] |
| GC-clamp sequence | |||
| > CGCCCGCCGCGCGCGGCGGGCGGGGCGGGGGCACGGGGGG (40 nt) | [32] | ||
| PCR Step | 16S rRNA PCR | V3 PCR-DGGE | Actino PCR-DGGE |
|---|---|---|---|
| Initial denaturation | 95 °C, 15 min | 95 °C, 3 min | 95 °C, 3 min |
| Denaturation | 95 °C, 30 s | 95 °C, 30 s | 95 °C, 30 s |
| Annealing | 52 °C, 60 s | 55 °C, 30 s | 55 °C, 30 s |
| Extension | 72 °C, 90 s | 72 °C, 30 s | 72 °C, 30 s |
| Final extension | 72 °C, 7 min | 72 °C, 5 min | 72 °C, 5 min |
| Number of cycles | 35 | 32 | 32 |
| Soil Type | θs (kg/kg) | θr (kg/kg) | α (hPa−1) | n (-) | m (-) | S (-) |
|---|---|---|---|---|---|---|
| Brunic Arenosol (Dystric I) | 0.2528 | 0.0118 | 0.0101 | 1.6889 | 0.4079 | −0.0185 |
| Brunic Arenosol (Dystric II) | 0.2360 | 0.0202 | 0.0116 | 1.5755 | 0.3652 | −0.0250 |
| Fluvic Cambisol | 0.2528 | 0.0349 | 0.0015 | 1.6889 | 0.4079 | −0.0456 |
| Rendzic Leptosol | 0.2804 | 0.0504 | 0.0077 | 1.8752 | 0.4667 | −0.0501 |
| Haplic Cambisol (Dystric) | 0.2492 | 0.0349 | 0.0101 | 1.6646 | 0.3992 | −0.0562 |
| Haplic Cambisol (Eutric II) | 0.2456 | 0.0336 | 0.0067 | 1.6403 | 0.3903 | −0.0581 |
| Haplic Cambisol (Eutric I) | 0.2540 | 0.0252 | 0.0067 | 1.6970 | 0.4107 | −0.0603 |
| Gleyic Phaeozem | 0.2684 | 0.0807 | 0.0101 | 1.7942 | 0.4426 | −0.0764 |
| Wilks Value | F Value | p | |
|---|---|---|---|
| Type of soil | 0.000 | 35.34 | 0.000 |
| Year | 0.152 | 6.97 | 0.000 |
| Type of soil_Year | 0.005 | 2.53 | 0.000 |
| Total Glomalin Related Soil Proteins (T-GRSP), (mg/g d.m. of Soil) | ||||
|---|---|---|---|---|
| Year | 2016 | 2017 | 2018 | Mean |
| Brunic Arenosol (Dystric I) | 3.27 | 3.23 | 2.12 | 2.87 c |
| Brunic Arenosol (Dystric II) | 2.58 | 3.50 | 3.14 | 3.07 c |
| Fluvic Cambisol | 4.56 | 4.49 | 4.71 | 4.59 b |
| Rendzic Leptosol | 5.13 | 4.56 | 3.60 | 4.43 b |
| Haplic Cambisol (Dystric) | 3.92 | 4.03 | 3.45 | 3.79 b,c |
| Haplic Cambisol (Eutric II) | 4.68 | 4.82 | 4.56 | 4.68 b |
| Haplic Cambisol (Eutric I) | 4.23 | 4.25 | 3.65 | 4.04 b |
| Gleyic Phaeozem | 6.43 | 6.59 | 5.98 | 6.33 a |
| Easily Extractable Glomalin Related Soil Proteins (EE-GRSP), (mg/g d.m. of Soil) | ||||
| Brunic Arenosol (Dystric I) | 1.72 | 1.54 | 1.62 | 1.63 c |
| Brunic Arenosol (Dystric II) | 1.72 | 1.77 | 1.54 | 1.67 c |
| Fluvic Cambisol | 2.00 | 2.00 | 1.91 | 1.97 c |
| Rendzic Leptosol | 2.46 | 2.21 | 2.06 | 2.24 a |
| Haplic Cambisol (Dystric) | 1.95 | 2.10 | 1.97 | 2.00 b |
| Haplic Cambisol (Eutric II) | 2.67 | 2.46 | 2.18 | 2.44 a |
| Haplic Cambisol (Eutric I) | 2.43 | 2.29 | 2.22 | 2.31 a |
| Gleyic Phaeozem | 2.32 | 2.58 | 2.25 | 2.38 a |
| Soil Type | Total Number of All Spores | Total Number by Spore Diameter | ||
|---|---|---|---|---|
| 50 µm | 100 µm | 150 µm | ||
| Brunic Arenosol (Dystric I) | 188 d | 126 c | 54 c | 8 c |
| Brunic Arenosol (Dystric II) | 406 c | 296 b | 92 c | 18 b |
| Fluvic Cambisol | 534 a | 312 b | 184 a | 38 a |
| Rendzic Leptosol | 374 c | 284 b | 76 c | 14 b |
| Haplic Cambisol (Dystric) | 592 a | 396 a | 172 a | 24 b |
| Haplic Cambisol (Eutric II) | 586 a | 324 b | 204 a | 58 a |
| Haplic Cambisol (Eutric I) | 464 b | 360 b | 88 c | 16 c |
| Gleyic Phaeozem | 468 b | 308 b | 116 b | 44 a |
| Soil Type | DHA | AlP | AcP | MBC | MBN | Bacteria | Fungi | Amo | Azo |
|---|---|---|---|---|---|---|---|---|---|
| Brunic Arenosol (Dystric I) | 5.524 d | 8.525 d | 34.628 b | 53.867 c | 4.074 c | 12.949 c | 16.906 b | 6.475 b | 0.000 c |
| Brunic Arenosol (Dystric II) | 5.401 d | 8.648 d | 41.257 b | 83.378 b | 7.476 b | 0.352 d | 21.795 a | 2.109 c | 0.000 a |
| Fluvic Cambisol | 70.478 b | 77.268 b | 30.418 b | 59.378 c | 17.418 a | 49.772 a | 6.079 c | 7.219 b | 199.467 a |
| Rendzic Leptosol | 93.348 a | 90.357 b | 37.644 b | 150.222 a | 19.268 a | 39.089 b | 11.114 b | 11.497 a | 173.985 a |
| Haplic Cambisol (Dystric) | 24.968 c | 17.038 c | 57.903 a | 67.556 b | 5.150 c | 26.862 b | 27.936 a | 12.177 a | 0.000 c |
| Haplic Cambisol (Eutric II) | 40.641 c | 28.975 c | 54.069 a | 45.689 c | 7.990 b | 20.862 b | 8.196 c | 7.078 b | 1.863 b |
| Haplic Cambisol (Eutric I) | 44.232 c | 29.256 c | 56.882 a | 39.911 c | 8.953 b | 54.072 a | 7.184 c | 6.806 a | 1.513 b |
| Gleyic Phaeozem | 115.036 a | 128.880 a | 43.044 a | 138.578 a | 20.185 a | 65.961 a | 8.294 c | 9.874 b | 187.218 a |
| AlP | AcP | MBC | MBN | Bacteria | Fungi | Amo | Azo | N [%] | C [%] | RDC/TG | S-Index | T-GRSP | EE-GRSP | Total Number of the Spores (µm) | All AMF Spores | |||
|---|---|---|---|---|---|---|---|---|---|---|---|---|---|---|---|---|---|---|
| 150 | 100 | 50 | ||||||||||||||||
| DHA | 0.979 * | −0.200 | 0.703 | 0.945 * | 0.836 * | −0.622 | 0.551 | 0.878 * | 0.882 * | 0.934 * | 0.734 * | 0.725 * | 0.897 * | 0.679 | 0.382 | 0.091 | 0.225 | 0.224 |
| AlP | −0.343 | 0.744 * | 0.960 * | 0.789 * | −0.573 | 0.475 | 0.925 * | 0.899 * | 0.962 * | 0.699 | 0.625 | 0.876 * | 0.539 | 0.361 | 0.044 | 0.112 | 0.133 | |
| AcP | −0.343 | −0.328 | −0.440 | 0.025 | 0.225 | 0.213 | −0.592 | −0.044 | −0.222 | −0.450 | 0.496 | 0.049 | 0.482 | 0.192 | 0.303 | 0.668 | 0.554 | |
| MBC | 0.744 * | −0.328 | 0.731* | 0.315 | −0.053 | 0.440 | 0.669 | 0.622 | 0.796 * | 0.311 | 0.287 | 0.497 | 0.226 | −0.051 | −0.319 | −0.034 | −0.162 | |
| MBN | 0.960 * | −0.440 | 0.731 * | 0.723 * | −0.611 | 0.361 | 0.959 * | 0.749 * | 0.861 * | 0.822 * | 0.512 | 0.771 * | 0.475 | 0.286 | 0.026 | 0.131 | 0.127 | |
| Bacteria | 0.789 * | 0.025 | 0.315 | 0.723 * | −0.647 | 0.502 | 0.673 | 0.799 * | 0.745 * | 0.694 | 0.785 * | 0.795 * | 0.661 | 0.275 | 0.100 | 0.351 | 0.289 | |
| Fungi | −0.573 | 0.225 | −0.053 | −0.611 | −0.647 | 0.035 | −0.530 | −0.443 | −0.422 | −0.775 * | −0.417 | −0.593 | −0.599 | −0.430 | −0.095 | 0.036 | −0.075 | |
| Amo | 0.475 | 0.213 | 0.440 | 0.361 | 0.502 | 0.035 | 0.391 | 0.523 | 0.539 | 0.229 | 0.588 | 0.459 | 0.475 | 0.082 | 0.186 | 0.304 | 0.272 | |
| Azo | 0.925 * | −0.592 | 0.669 | 0.959 * | 0.673 | −0.530 | 0.391 | 0.695 | 0.813 * | 0.817 * | 0.379 | 0.686 | 0.295 | 0.245 | 0.070 | 0.015 | 0.071 | |
| N [%] | 0.899 * | −0.044 | 0.622 | 0.749 * | 0.799 * | −0.443 | 0.523 | 0.695 | 0.960 * | 0.394 | 0.775 * | 0.937 * | 0.617 | 0.463 | 0.102 | 0.189 | 0.217 | |
| C [%] | 0.962 | −0.222 | 0.796 * | 0.861 * | 0.745 * | −0.422 | 0.539 | 0.813 * | 0.960 * | 0.493 | 0.659 | 0.879 * | 0.533 | 0.328 | −0.029 | 0.094 | 0.087 | |
| RDC/TG | 0.699 | −0.450 | 0.311 | 0.822 * | 0.694 | −0.775 * | 0.229 | 0.817 * | 0.394 | 0.493 | 0.331 | 0.495 | 0.400 | 0.145 | 0.063 | 0.095 | 0.103 | |
| S-Index | 0.625 | 0.496 | 0.287 | 0.512 | 0.785 * | −0.417 | 0.588 | 0.379 | 0.775 * | 0.659 | 0.331 | 0.867 * | 0.905 * | 0.588 | 0.424 | 0.682 | 0.666 | |
| T-GRSP | 0.876 * | 0.049 | 0.497 | 0.771 * | 0.795 * | −0.593 | 0.459 | 0.686 | 0.937 * | 0.879 * | 0.495 | 0.867 * | 0.784 * | 0.790 * | 0.353 | 0.360 | 0.656 | |
| EE-GRSP | 0.539 | 0.482 | 0.226 | 0.475 | 0.661 | −0.599 | 0.475 | 0.295 | 0.617 | 0.533 | 0.400 | 0.905 * | 0.784 * | 0.600 | 0.365 | 0.546 | 0.560 | |
| 150 µm | 0.361 | 0.192 | −0.051 | 0.286 | 0.275 | −0.430 | 0.082 | 0.245 | 0.463 | 0.328 | 0.145 | 0.588 | 0.790 * | 0.600 | 0.809 * | 0.374 | 0.698 | |
| 100 µm | 0.044 | 0.303 | −0.319 | 0.026 | 0.100 | −0.095 | 0.186 | 0.070 | 0.102 | −0.029 | 0.063 | 0.424 | 0.353 | 0.365 | 0.809 * | 0.582 | 0.878 * | |
| 50 µm | 0.112 | 0.668 | −0.034 | 0.131 | 0.351 | 0.036 | 0.304 | 0.015 | 0.189 | 0.094 | 0.095 | 0.682 | 0.360 | 0.546 | 0.374 | 0.582 | 0.895 * | |
| All spores | 0.133 | 0.554 | −0.162 | 0.127 | 0.289 | −0.075 | 0.272 | 0.071 | 0.217 | 0.087 | 0.103 | 0.666 | 0.656 | 0.560 | 0.698 | 0.878 * | 0.895 * | |
| Variable | PC1 (48.35%) | PC2 (23.38%) |
|---|---|---|
| DHA | −0.974 | 0.164 |
| AlP | −0.931 | 0.243 |
| AcP | 0.010 | −0.783 |
| MBC | −0.601 | 0.149 |
| MBN | −0.863 | 0.405 |
| Bacteria | −0.886 | −0.165 |
| Fungi | 0.578 | −0.383 |
| Amo | −0.634 | −0.340 |
| Azo | −0.791 | 0.487 |
| N [%] | −0.908 | −0.098 |
| C [%] | −0.907 | 0.051 |
| S-Index | −0.851 | −0.366 |
| RDC/TC | 0.827 | −0.160 |
| T-GRSP | −0.938 | 0.032 |
| EE-GRSP | −0.768 | −0.201 |
| Amines and amides | −0.197 | −0.873 |
| Carboxylic and acetic acids | −0.218 | −0.893 |
| Carbohydrates | −0.214 | −0.596 |
| Amino acids | 0.719 | −0.392 |
| Polymers | −0.393 | −0.513 |
| AWCD | −0.024 | −0.889 |
| Shannon index | −0.477 | −0.624 |
© 2020 by the authors. Licensee MDPI, Basel, Switzerland. This article is an open access article distributed under the terms and conditions of the Creative Commons Attribution (CC BY) license (http://creativecommons.org/licenses/by/4.0/).
Share and Cite
Gałązka, A.; Niedźwiecki, J.; Grządziel, J.; Gawryjołek, K. Evaluation of Changes in Glomalin-Related Soil Proteins (GRSP) Content, Microbial Diversity and Physical Properties Depending on the Type of Soil as the Important Biotic Determinants of Soil Quality. Agronomy 2020, 10, 1279. https://doi.org/10.3390/agronomy10091279
Gałązka A, Niedźwiecki J, Grządziel J, Gawryjołek K. Evaluation of Changes in Glomalin-Related Soil Proteins (GRSP) Content, Microbial Diversity and Physical Properties Depending on the Type of Soil as the Important Biotic Determinants of Soil Quality. Agronomy. 2020; 10(9):1279. https://doi.org/10.3390/agronomy10091279
Chicago/Turabian StyleGałązka, Anna, Jacek Niedźwiecki, Jarosław Grządziel, and Karolina Gawryjołek. 2020. "Evaluation of Changes in Glomalin-Related Soil Proteins (GRSP) Content, Microbial Diversity and Physical Properties Depending on the Type of Soil as the Important Biotic Determinants of Soil Quality" Agronomy 10, no. 9: 1279. https://doi.org/10.3390/agronomy10091279
APA StyleGałązka, A., Niedźwiecki, J., Grządziel, J., & Gawryjołek, K. (2020). Evaluation of Changes in Glomalin-Related Soil Proteins (GRSP) Content, Microbial Diversity and Physical Properties Depending on the Type of Soil as the Important Biotic Determinants of Soil Quality. Agronomy, 10(9), 1279. https://doi.org/10.3390/agronomy10091279

