Microbially Synthesized Polymer-Metal Nanoparticles Composites as Promising Wound Dressings to Overcome Methicillin-Resistance Staphylococcus aureus Infections
Abstract
1. Introduction
2. Materials and Methods
2.1. Materials and Bacterial Strains
2.2. Synthesis of PHA Using Pseudomonas putida KT2440
2.3. Biosynthesis of AgNPs (Bio-AgNPs)
2.4. Preparation of Bioactive Films Containing CuONPs or Bio-AgNPs
2.5. Antimicrobial Activity of Bioactive Films Containing CuONPs or Bio-AgNPs
2.6. Characterization of Bioactive Films Containing CuONPs or Bio-AgNPs
2.7. Preparation of Soluble Extracts for Biocompatibility Assays
2.8. Biocompatibility Assays
2.9. Hemocompatibility
2.10. Statistical Analysis
3. Results and Discussion
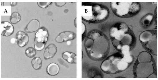
3.1. Synthesis of PHA Using P. putida KT2440
3.2. Biosynthesis of AgNPs (Bio-AgNPs)
3.3. Antimicrobial Activity
3.4. Characterization of Bioactive Films
3.5. Biocompatibility Assays
3.6. Hemocompatibility Assays
4. Conclusions
5. Patents
Supplementary Materials
Author Contributions
Funding
Institutional Review Board Statement
Informed Consent Statement
Data Availability Statement
Acknowledgments
Conflicts of Interest
References
- Ong, P.Y. Recurrent MRSA Skin Infections in Atopic Dermatitis. J. Allergy Clin. Immunol. Pract. 2014, 2, 396–399. [Google Scholar] [CrossRef] [PubMed]
- Silva, V.; Peirone, C.; Capita, R.; Alonso-Calleja, C.; Marques-Magallanes, J.A.; Pires, I.; Maltez, L.; Pereira, J.E.; Igrejas, G.; Poeta, P. Topical Application of Ozonated Oils for the Treatment of MRSA Skin Infection in an Animal Model of Infected Ulcer. Biology 2021, 10, 372. [Google Scholar] [CrossRef] [PubMed]
- Lee, A.S.; De Lencastre, H.; Garau, J.; Kluytmans, J.; Malhotra-Kumar, S.; Peschel, A.; Harbarth, S. Methicillin-Resistant Staphylococcus Aureus. Nat. Rev. Dis. Prim. 2018, 4, 1–23. [Google Scholar] [CrossRef] [PubMed]
- Henciya, S.; Vengateshwaran, T.D.; Gokul, M.S.; Dahms, H.U.; James, R.A. Antibacterial Activity of Halophilic Bacteria Against Drug-Resistant Microbes Associated with Diabetic Foot Infections. Curr. Microbiol. 2020, 77, 3711–3723. [Google Scholar] [CrossRef]
- Turner, N.A.; Sharma-Kuinkel, B.K.; Maskarinec, S.A.; Eichenberger, E.M.; Shah, P.P.; Carugati, M.; Holland, T.L.; Fowler, V.G. Methicillin-Resistant Staphylococcus Aureus: An Overview of Basic and Clinical Research. Nat. Rev. Microbiol. 2019, 17, 203–218. [Google Scholar] [CrossRef]
- Gianino, E.; Miller, C.; Gilmore, J. Smart Wound Dressings for Diabetic Chronic Wounds. Bioengineering (Basel, Switzerland) 2018, 5, 51. [Google Scholar] [CrossRef]
- Kwiatkowska, A.; Drabik, M.; Lipko, A.; Grzeczkowicz, A.; Stachowiak, R.; Marszalik, A.; Granicka, L.H. Composite Membrane Dressings System with Metallic Nanoparticles as an Antibacterial Factor in Wound Healing. Membranes (Basel) 2022, 12, 215. [Google Scholar] [CrossRef]
- Thomas, R.; Soumya, K.R.; Mathew, J.; Radhakrishnan, E.K. Electrospun Polycaprolactone Membrane Incorporated with Biosynthesized Silver Nanoparticles as Effective Wound Dressing Material. Appl. Biochem. Biotechnol. 2015, 176, 2213–2224. [Google Scholar] [CrossRef]
- Marambio-Jones, C.; Hoek, E.M.V. A Review of the Antibacterial Effects of Silver Nanomaterials and Potential Implications for Human Health and the Environment. J. Nanoparticle Res. 2010, 12, 1531–1551. [Google Scholar] [CrossRef]
- Yin, I.X.; Zhang, J.; Zhao, I.S.; Mei, M.L.; Li, Q.; Chu, C.H. The Antibacterial Mechanism of Silver Nanoparticles and Its Application in Dentistry. Int. J. Nanomedicine 2020, 15, 2555. [Google Scholar] [CrossRef]
- Candidate List of Substances of Very High Concern for Authorisation—ECHA. Available online: https://echa.europa.eu/candidate-list-table/-/dislist/details/0b0236e1807dec94 (accessed on 28 December 2022).
- Alsammarraie, F.K.; Wang, W.; Zhou, P.; Mustapha, A.; Lin, M. Green Synthesis of Silver Nanoparticles Using Turmeric Extracts and Investigation of Their Antibacterial Activities. Colloids Surf. B Biointerfaces 2018, 171, 398–405. [Google Scholar] [CrossRef] [PubMed]
- Philip, D. Honey Mediated Green Synthesis of Silver Nanoparticles. Spectrochim. Acta Part A Mol. Biomol. Spectrosc. 2010, 75, 1078–1081. [Google Scholar] [CrossRef] [PubMed]
- Umer, A.; Naveed, S.; Ramzan, N.; Rafique, M.S.; Imran, M. A Green Method for the Synthesis of Copper Nanoparticles Using L-Ascorbic Acid. Rev. Mater. 2014, 19, 197–203. [Google Scholar] [CrossRef]
- Kulkarni, N.; Muddapur, U. Biosynthesis of Metal Nanoparticles: A Review. J. Nanotechnol. 2014, 2014. [Google Scholar] [CrossRef]
- Castro-Mayorga, J.L.; Freitas, F.; Reis, M.A.M.; Prieto, M.A.; Lagaron, J.M. Biosynthesis of Silver Nanoparticles and Polyhydroxybutyrate Nanocomposites of Interest in Antimicrobial Applications. Int. J. Biol. Macromol. 2018, 108, 426–435. [Google Scholar] [CrossRef]
- Kalaoglu-Altan, O.I.; Baskan, H.; Meireman, T.; Basnett, P.; Azimi, B.; Fusco, A.; Funel, N.; Donnarumma, G.; Lazzeri, A.; Roy, I.; et al. Silver Nanoparticle-Coated Polyhydroxyalkanoate Based Electrospun Fibers for Wound Dressing Applications. Materials (Basel) 2021, 14, 4907. [Google Scholar] [CrossRef] [PubMed]
- Castro-Mayorga, J.L.; Martínez-Abad, A.; Fabra, M.J.; Olivera, C.; Reis, M.; Lagarón, J.M. Stabilization of Antimicrobial Silver Nanoparticles by a Polyhydroxyalkanoate Obtained from Mixed Bacterial Culture. Int. J. Biol. Macromol. 2014, 71, 103–110. [Google Scholar] [CrossRef]
- Castro-Mayorga, J.L.; Fabra, M.J.; Cabedo, L.; Lagaron, J.M. On the Use of the Electrospinning Coating Technique to Produce Antimicrobial Polyhydroxyalkanoate Materials Containing In Situ-Stabilized Silver Nanoparticles. Nanomaterials 2016, 7, 4. [Google Scholar] [CrossRef]
- Castro-Mayorga, J.L.; Fabra, M.J.; Lagaron, J.M. Stabilized Nanosilver Based Antimicrobial Poly(3-Hydroxybutyrate-Co-3-Hydroxyvalerate) Nanocomposites of Interest in Active Food Packaging. Innov. Food Sci. Emerg. Technol. 2016, 33, 524–533. [Google Scholar] [CrossRef]
- Chen, G.; Wu, Q. The Application of Polyhydroxyalkanoates as Tissue Engineering Materials. Biomaterials 2005, 26, 6565–6578. [Google Scholar] [CrossRef]
- Chung, M.G.; Kim, H.W.; Kim, B.R.; Kim, Y.B.; Rhee, Y.H. Biocompatibility and Antimicrobial Activity of Poly(3-Hydroxyoctanoate) Grafted with Vinylimidazole. Int. J. Biol. Macromol. 2012, 50, 310–316. [Google Scholar] [CrossRef] [PubMed]
- Li, W.; Cicek, N.; Levin, D.B.; Liu, S. Enabling Electrospinning of Medium-Chain Length Polyhydroxyalkanoates (PHAs) by Blending with Short-Chain Length PHAs. Int. J. Polym. Mater. Polym. Biomater. 2019, 68, 499–509. [Google Scholar] [CrossRef]
- Ramier, J.; Boubaker, M.B.; Guerrouache, M.; Langlois, V.; Grande, D.; Renard, E. Novel Routes to Epoxy Functionalization of PHA-Based Electrospun Scaffolds as Ways to Improve Cell Adhesion. J. Polym. Sci. Part A Polym. Chem. 2014, 52, 816–824. [Google Scholar] [CrossRef]
- Huisman, G.W.; Wonink, E.; Meima, R.; Kazemier, B.; Terpstra, P. Metabolism of Poly(3-Hydroxyalkanoates) (PHAs) by Pseudomonas Oleovorans. J. Biol. Chem. 1991, 2191–2198. [Google Scholar] [CrossRef]
- Rehm, B.H.A. Bacterial Polymers: Biosynthesis, Modifications and Applications. Nat. Publ. Gr. 2010, 8, 578–592. [Google Scholar] [CrossRef] [PubMed]
- Prieto, A.; Escapa, I.F.; Martínez, V.; Dinjaski, N.; Herencias, C.; de la Peña, F.; Tarazona, N.; Revelles, O. A Holistic View of Polyhydroxyalkanoate Metabolism in Pseudomonas Putida. Environ. Microbiol. 2016, 18, 341–357. [Google Scholar] [CrossRef]
- Escapa, I.F.; García, J.L.; Bühler, B.; Blank, L.M.; Prieto, M.A. The Polyhydroxyalkanoate Metabolism Controls Carbon and Energy Spillage in Pseudomonas Putida. Environ. Microbiol. 2012, 14, 1049–1063. [Google Scholar] [CrossRef] [PubMed]
- Procedure for obtaining antimicrobial biopolymers understanding polyhydroxialcanoates and metal nanoparticles. 2016.
- Balcucho, J.; Narváez, D.M.; Castro-Mayorga, J.L. Antimicrobial and Biocompatible Polycaprolactone and Copper Oxide Nanoparticle Wound Dressings against Methicillin-Resistant Staphylococcus Aureus. Nanomaterials 2020, 10, 1692. [Google Scholar] [CrossRef]
- ISO 10993-4; Biological Evaluation of Medical Devices Part 4—Selection of Tests for Interactions with Blood. ISO: Geneva, Switzerland, 2006.
- Collins, A.R.; Dusinská, M. Oxidation of Cellular DNA Measured with the Comet Assay. Methods Mol. Biol. 2002, 186, 147–159. [Google Scholar] [CrossRef] [PubMed]
- Liu, H.Y.; Du, L.; Zhao, Y.T.; Tian, W.Q. In Vitro Hemocompatibility and Cytotoxicity Evaluation of Halloysite Nanotubes for Biomedical Application. J. Nanomater. 2015, 2015, 384. [Google Scholar] [CrossRef]
- Evans, B.C.; Nelson, C.E.; Yu, S.S.; Beavers, K.R.; Kim, A.J.; Li, H.; Nelson, H.M.; Giorgio, T.D.; Duvall, C.L. Ex Vivo Red Blood Cell Hemolysis Assay for the Evaluation of PH-Responsive Endosomolytic Agents for Cytosolic Delivery of Biomacromolecular Drugs. J. Vis. Exp. 2013, 7–11. [Google Scholar] [CrossRef]
- Padalhin, A.R.; Ba Linh, N.T.; Ki Min, Y.; Lee, B.T. Evaluation of the Cytocompatibility Hemocompatibility in Vivo Bone Tissue Regenerating Capability of Different PCL Blends. J. Biomater. Sci. Polym. Ed. 2014, 25, 487–503. [Google Scholar] [CrossRef]
- Escapa, I.F.; del Cerro, C.; García, J.L.; Prieto, M.A. The Role of GlpR Repressor in Pseudomonas Putida KT2440 Growth and PHA Production from Glycerol. Environ. Microbiol. 2013, 15, 93–110. [Google Scholar] [CrossRef]
- Tarazona, N.A.; Machatschek, R.; Lendlein, A. Unraveling the Interplay between Abiotic Hydrolytic Degradation and Crystallization of Bacterial Polyesters Comprising Short and Medium Side-Chain-Length Polyhydroxyalkanoates. Biomacromolecules 2020, 21, 761–771. [Google Scholar] [CrossRef]
- Nurlu, G.; Balci, S.; Bal, E.; Benli, K.; Hazer, B.; Hazer, D.B.; Öztürk, F. In Vivo Application of Poly-3-Hydroxyoctanoate as Peripheral Nerve Graft. J. Zhejiang Univ. Sci. B 2013, 14, 993–1003. [Google Scholar] [CrossRef]
- Palza, H.; Quijada, R.; Delgado, K. Antimicrobial Polymer Composites with Copper Micro- and Nanoparticles: Effect of Particle Size and Polymer Matrix. J. Bioact. Compat. Polym. 2015, 30, 366–380. [Google Scholar] [CrossRef]
- Yang, Z.; Peng, H.; Wang, W.; Liu, T. Crystallization Behavior of Poly(ε-Caprolactone)/Layered Double Hydroxide Nanocomposites. J. Appl. Polym. Sci. 2010, 116, 2658–2667. [Google Scholar] [CrossRef]
- Sötebier, C.A.; Weidner, S.M.; Jakubowski, N.; Panne, U.; Bettmer, J. Separation and Quantification of Silver Nanoparticles and Silver Ions Using Reversed Phase High Performance Liquid Chromatography Coupled to Inductively Coupled Plasma Mass Spectrometry in Combination with Isotope Dilution Analysis. J. Chromatogr. A 2016, 1468, 102–108. [Google Scholar] [CrossRef]
- Chao, J.B.; Liu, J.F.; Yu, S.J.; Di Feng, Y.; Tan, Z.Q.; Liu, R.; Yin, Y.G. Speciation Analysis of Silver Nanoparticles and Silver Ions in Antibacterial Products and Environmental Waters via Cloud Point Extraction-Based Separation. Anal. Chem. 2011, 83, 6875–6882. [Google Scholar] [CrossRef]
- Benton, E.N.; Marpu, S.B.; Omary, M.A. Ratiometric Phosphorescent Silver Sensor: Detection and Quantification of Free Silver Ions within Silver Nanoparticles. ACS Appl. Mater. Interfaces 2019, 11, 15038–15043. [Google Scholar] [CrossRef] [PubMed]
- Singh, M.; Kumar, P.; Ray, S.; Kalia, V.C. Challenges and Opportunities for Customizing Polyhydroxyalkanoates. Indian J. Microbiol. 2015, 55, 235. [Google Scholar] [CrossRef] [PubMed]
- Sofińska, K.; Barbasz, J.; Witko, T.; Dryzek, J.; Haraźna, K.; Witko, M.; Kryściak-Czerwenka, J.; Guzik, M. Structural, Topographical, and Mechanical Characteristics of Purified Polyhydroxyoctanoate Polymer. J. Appl. Polym. Sci. 2019, 136, 47192. [Google Scholar] [CrossRef]
- Marois, Y.; Zhang, Z.; Vert, M.; Beaulieu, L.; Lenz, R.W.; Guidoin, R. In Vivo Biocompatibility and Degradation Studies of Polyhydroxyoctanoate in the Rat: A New Sealant for the Polyester Arterial Prosthesis. Tissue Eng. 1999, 5, 369–386. [Google Scholar] [CrossRef]
- Elbahloul, Y.; Steinbüchel, A. Large-Scale Production of Poly(3-Hydroxyoctanoic Acid) by Pseudomonas Putida GPo1 and a Simplified Downstream Process. Appl. Environ. Microbiol. 2009, 75, 643–651. [Google Scholar] [CrossRef] [PubMed]
- Jiang, X.; Ramsay, J.A.; Ramsay, B.A. Acetone Extraction of Mcl-PHA from Pseudomonas Putida KT2440. J. Microbiol. Methods 2006, 67, 212–219. [Google Scholar] [CrossRef]
- Kunasundari, B.; Sudesh, K. Isolation and Recovery of Microbial Polyhydroxyalkanoates. Express Polym. Lett. 2011, 5, 620–634. [Google Scholar] [CrossRef]
- Escapa, I.F.; Morales, V.; Martino, V.P.; Pollet, E.; Avérous, L.; García, J.L.; Prieto, M.A. Disruption of β-Oxidation Pathway in Pseudomonas Putida KT2442 to Produce New Functionalized PHAs with Thioester Groups. Appl. Microbiol. Biotechnol. 2011, 89, 1583–1598. [Google Scholar] [CrossRef]
- Castro-Mayorga, J.L.; Fabra, M.J.; Pourrahimi, A.M.; Olsson, R.T.; Lagaron, J.M. The Impact of Zinc Oxide Particle Morphology as an Antimicrobial and When Incorporated in Poly(3-Hydroxybutyrate-Co-3-Hydroxyvalerate) Films for Food Packaging and Food Contact Surfaces Applications. Food Bioprod. Process. 2017, 101, 32–44. [Google Scholar] [CrossRef]
- Guo, Z.; Liang, X.; Pereira, T.; Scaffaro, R.; Thomas Hahn, H. CuO Nanoparticle Filled Vinyl-Ester Resin Nanocomposites: Fabrication, Characterization and Property Analysis. Compos. Sci. Technol. 2007, 67, 2036–2044. [Google Scholar] [CrossRef]
- Shankar, S.; Wang, L.F.; Rhim, J.W. Preparation and Properties of Carbohydrate-Based Composite Films Incorporated with CuO Nanoparticles. Carbohydr. Polym. 2017, 169, 264–271. [Google Scholar] [CrossRef]
- Zare, Y.; Shabani, I. Polymer/Metal Nanocomposites for Biomedical Applications. Mater. Sci. Eng. C 2016, 60, 195–203. [Google Scholar] [CrossRef]
- Marois, Y.; Zhang, Z.; Vert, M.; Deng, X.; Lenz, R.; Guidoin, R. Mechanism and Rate of Degradation of Polyhydroxyoctanoate Films in Aqueous Media: A Long-Term in Vitro Study. J. Biomed. Mater. Res. 2000, 49, 216–224. [Google Scholar] [CrossRef]
- Foster, L.J.R.; Russell, R.A.; Sanguanchaipaiwong, V.; Stone, D.J.M.; Hook, J.M.; Holden, P.J. Biosynthesis and Characterization of Deuterated Polyhydroxyoctanoate. Biomacromolecules 2006, 7, 1344–1349. [Google Scholar] [CrossRef] [PubMed]
- Panaitescu, D.M.; Lupescu, I.; Frone, A.N.; Chiulan, I.; Nicolae, C.A.; Tofan, V.; Stefaniu, A.; Somoghi, R.; Trusca, R. Medium Chain-Length Polyhydroxyalkanoate Copolymer Modified by Bacterial Cellulose for Medical Devices. Biomacromolecules 2017, 18, 3222–3232. [Google Scholar] [CrossRef]
- Lewinski, N.; Colvin, V.D.R. Cytotoxicity of Nanoparticles. Small 2008, 4, 26–49. [Google Scholar] [CrossRef] [PubMed]
- Beaulieu, L.; Sc, B.; Lenz, R.W.; Guidoin, R. In Vivo Biocompatibility and Degradation Studies of Polyester Arterial Prosthesis. Tissue Eng. 1999, 5, 369–386. [Google Scholar]
- Singh, A.K.; Srivastava, J.K.; Chandel, A.K.; Sharma, L.; Mallick, N.; Singh, S.P. Biomedical Applications of Microbially Engineered Polyhydroxyalkanoates: An Insight into Recent Advances, Bottlenecks, and Solutions. Appl. Microbiol. Biotechnol. 2019, 103, 2007–2032. [Google Scholar] [CrossRef]
- Bunster, G.F. Polyhydroxyalkanoates: Production and Use. Encycl. Biomed. Polym. Polym. Biomater. 2016, 6412–6421. [Google Scholar] [CrossRef]
- Chen, Y.; Hung, S.-T.; Chou, E.; Wu, H.-S. Review of Polyhydroxyalkanoates Materials and Other Biopolymers for Medical Applications. Mini. Rev. Org. Chem. 2017, 15, 105–121. [Google Scholar] [CrossRef]
- Zhang, J.; Shishatskaya, E.I.; Volova, T.G.; da Silva, L.F.; Chen, G.Q. Polyhydroxyalkanoates (PHA) for Therapeutic Applications. Mater. Sci. Eng. C 2018, 86, 144–150. [Google Scholar] [CrossRef]
- Witko, T.; Solarz, D.; Feliksiak, K.; Rajfur, Z.; Guzik, M. Cellular Architecture and Migration Behavior of Fibroblast Cells on Polyhydroxyoctanoate (PHO): A Natural Polymer of Bacterial Origin. Biopolymers 2019, 110, 1–12. [Google Scholar] [CrossRef] [PubMed]






| Samples | Mw (g/mol) | Mn (g/mol) |
|---|---|---|
| PHO | 6.148 × 104 | 1.308 × 105 |
| PHO + 0.07% CuONPs | 5.688 × 104 | 1.118 × 105 |
| PHO + 3.5 mM AgNO3 | 5.742 × 104 | 1.305 × 105 |
| Samples | Ti (°C) | Tf (°C) | Tm (°C) | ∆Hm (J/g PHO) |
|---|---|---|---|---|
| PHO | 26.2 ± 0.2 | 58.5 ± 0.5 | 43.6 ± 0.8 a | 26.0 ± 1.3 a |
| PHO + 0.07% CuONPs | 24.8 ± 0.6 | 63.2 ± 0.6 | 51.0 ± 0.2 b | 24.8 ± 0.5 a |
| PHO + 3.5 mM AgNO3 | 30.1 ± 0.6 | 63.8 ± 1.1 | 51.9 ± 1.5 b | 19.9 ± 0.5 b |
Disclaimer/Publisher’s Note: The statements, opinions and data contained in all publications are solely those of the individual author(s) and contributor(s) and not of MDPI and/or the editor(s). MDPI and/or the editor(s) disclaim responsibility for any injury to people or property resulting from any ideas, methods, instructions or products referred to in the content. |
© 2023 by the authors. Licensee MDPI, Basel, Switzerland. This article is an open access article distributed under the terms and conditions of the Creative Commons Attribution (CC BY) license (https://creativecommons.org/licenses/by/4.0/).
Share and Cite
Balcucho, J.; Narváez, D.M.; Tarazona, N.A.; Castro-Mayorga, J.L. Microbially Synthesized Polymer-Metal Nanoparticles Composites as Promising Wound Dressings to Overcome Methicillin-Resistance Staphylococcus aureus Infections. Polymers 2023, 15, 920. https://doi.org/10.3390/polym15040920
Balcucho J, Narváez DM, Tarazona NA, Castro-Mayorga JL. Microbially Synthesized Polymer-Metal Nanoparticles Composites as Promising Wound Dressings to Overcome Methicillin-Resistance Staphylococcus aureus Infections. Polymers. 2023; 15(4):920. https://doi.org/10.3390/polym15040920
Chicago/Turabian StyleBalcucho, Jennifer, Diana M. Narváez, Natalia A. Tarazona, and Jinneth Lorena Castro-Mayorga. 2023. "Microbially Synthesized Polymer-Metal Nanoparticles Composites as Promising Wound Dressings to Overcome Methicillin-Resistance Staphylococcus aureus Infections" Polymers 15, no. 4: 920. https://doi.org/10.3390/polym15040920
APA StyleBalcucho, J., Narváez, D. M., Tarazona, N. A., & Castro-Mayorga, J. L. (2023). Microbially Synthesized Polymer-Metal Nanoparticles Composites as Promising Wound Dressings to Overcome Methicillin-Resistance Staphylococcus aureus Infections. Polymers, 15(4), 920. https://doi.org/10.3390/polym15040920

