Effects of Short-Term Exposure of Chloramine-T Solution on the Characteristics of Light-Cured and Chemical-Cured Adhesives
Abstract
1. Introduction
2. Materials and Methods
2.1. Experimental Design and Bonding Procedure
2.2. μTBS
2.3. Fracture Mode Analysis and SEM Observation
2.4. Nanoleakage Evaluation
2.5. Nanoindentation Tests-Hardness (H) and Elastic Modulus (E) Measurements
2.6. Cross-Sectional Focus Ion Beam/Scanning Ion Microscopy (FIB/SIM) Analysis
2.7. Statistical Analysis
3. Results
3.1. μTBS Test
3.2. Fracture Mode Analysis and Representative SEM Images
3.3. Nanoleakage Observation
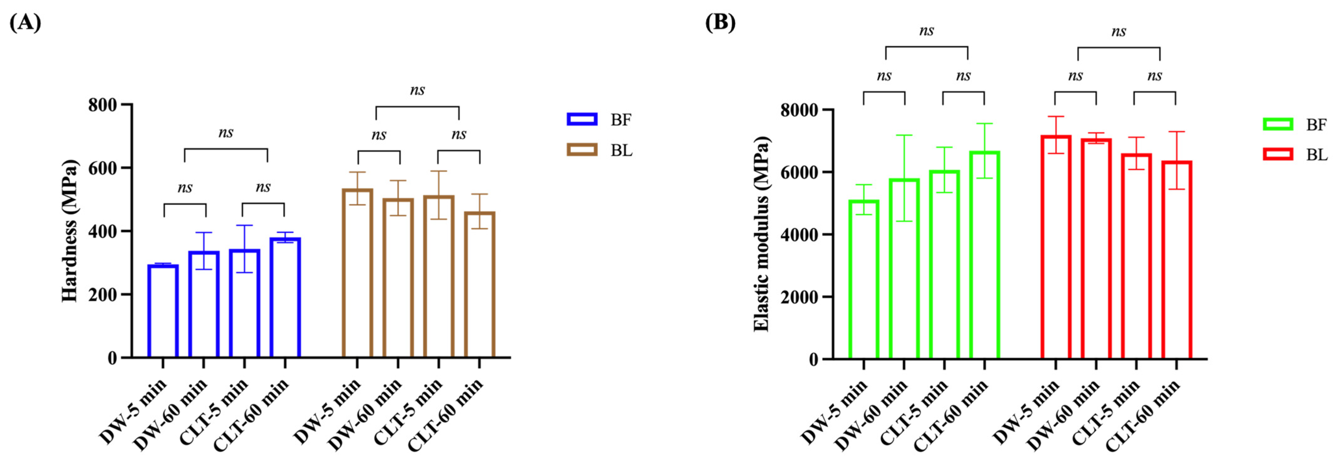
3.4. Nanoindentation Tests
3.5. Cross-Sectional FIB/SIM Observation
4. Discussion
5. Conclusions
Author Contributions
Funding
Institutional Review Board Statement
Informed Consent Statement
Data Availability Statement
Acknowledgments
Conflicts of Interest
References
- Sofan, E.; Sofan, A.; Palaia, G.; Tenore, G.; Romeo, U.; Migliau, G. Classification review of dental adhesive systems: From the IV generation to the universal type. Ann. Stomatol. 2017, 8, 1–17. [Google Scholar]
- Pereira, J.R.; Pamato, S.; Vargas, M.; Junior, N.F. State of the Art of Dental Adhesive Systems. Curr. Drug Deliv. 2018, 15, 610–619. [Google Scholar] [CrossRef] [PubMed]
- Van Meerbeek, B.; De Munck, J.; Yoshida, Y.; Inoue, S.; Vargas, M.; Vijay, P.; Van Landuyt, K.; Lambrechts, P.; Vanherle, G. Buonocore memorial lecture. Adhesion to enamel and dentin: Current status and future challenges. Oper. Dent. 2003, 28, 215–235. [Google Scholar]
- Perdigao, J. Current perspectives on dental adhesion: (1) Dentin adhesion—Not there yet. Jpn. Dent. Sci. Rev. 2020, 56, 190–207. [Google Scholar] [CrossRef] [PubMed]
- Pashley, D.H.; Tay, F.R.; Breschi, L.; Tjaderhane, L.; Carvalho, R.M.; Carrilho, M.; Tezvergil-Mutluay, A. State of the art etch-and-rinse adhesives. Dent. Mater. 2011, 27, 1–16. [Google Scholar] [CrossRef]
- Carrilho, E.; Cardoso, M.; Marques Ferreira, M.; Marto, C.M.; Paula, A.; Coelho, A.S. 10-MDP Based Dental Adhesives: Adhesive Interface Characterization and Adhesive Stability—A Systematic Review. Materials 2019, 12, 790. [Google Scholar] [CrossRef] [PubMed]
- De Oliveira, R.P.; Baia, J.; da Silva, T.; Magno, M.B.; Maia, L.C.; Loretto, S.C.; da Silva, E.S.M.H. Does Addition of 10-MDP Monomer in Self-etch Adhesive Systems Improve the Clinical Performance of Noncarious Cervical Lesion Restorations? A Systematic Review and Meta-analysis. Oper. Dent. 2021, 46, E224–E239. [Google Scholar] [CrossRef]
- Fehrenbach, J.; Isolan, C.P.; Munchow, E.A. Is the presence of 10-MDP associated to higher bonding performance for self-etching adhesive systems? A meta-analysis of in vitro studies. Dent. Mater. 2021, 37, 1463–1485. [Google Scholar] [CrossRef]
- Danevitch, N.; Frankenberger, R.; Lucker, S.; Gartner, U.; Kramer, N. Dentin Bonding Performance of Universal Adhesives in Primary Teeth In Vitro. Materials 2023, 16, 5948. [Google Scholar] [CrossRef]
- Cuevas-Suarez, C.E.; da Rosa, W.L.D.; Lund, R.G.; da Silva, A.F.; Piva, E. Bonding Performance of Universal Adhesives: An Updated Systematic Review and Meta-Analysis. J. Adhes. Dent. 2019, 21, 7–26. [Google Scholar]
- Wendlinger, M.; Pomacondor-Hernandez, C.; Pintado-Palomino, K.; Cochinski, G.D.; Loguercio, A.D. Are universal adhesives in etch-and-rinse mode better than old 2-step etch-and-rinse adhesives? One-year evaluation of bonding properties to dentin. J. Dent. 2023, 132, 104481. [Google Scholar] [CrossRef] [PubMed]
- Siqueira, F.S.F.; Wendlinger, M.; Araujo, L.C.R.; Moreira, P.H.A.; Cardenas, A.F.M.; Carvalho, T.S.; Reis, A.; Loguercio, A.D. Bonding performance of universal adhesives to eroded dentine: A 6-year evaluation. J. Dent. 2023, 136, 104633. [Google Scholar] [CrossRef] [PubMed]
- Wagner, A.; Wendler, M.; Petschelt, A.; Belli, R.; Lohbauer, U. Bonding performance of universal adhesives in different etching modes. J. Dent. 2014, 42, 800–807. [Google Scholar] [CrossRef] [PubMed]
- Rosa, W.L.; Piva, E.; Silva, A.F. Bond strength of universal adhesives: A systematic review and meta-analysis. J. Dent. 2015, 43, 765–776. [Google Scholar] [CrossRef]
- Munoz, M.A.; Luque-Martinez, I.; Malaquias, P.; Hass, V.; Reis, A.; Campanha, N.H.; Loguercio, A.D. In vitro longevity of bonding properties of universal adhesives to dentin. Oper. Dent. 2015, 40, 282–292. [Google Scholar] [CrossRef]
- Van Landuyt, K.L.; Snauwaert, J.; De Munck, J.; Peumans, M.; Yoshida, Y.; Poitevin, A.; Coutinho, E.; Suzuki, K.; Lambrechts, P.; Van Meerbeek, B. Systematic review of the chemical composition of contemporary dental adhesives. Biomaterials 2007, 28, 3757–3785. [Google Scholar] [CrossRef]
- Yumitate, M.; Mine, A.; Higashi, M.; Matsumoto, M.; Hagino, R.; Ban, S.; Yamanaka, A.; Ishida, M.; Miura, J.; Van Meerbeek, B.; et al. Effect of tooth temperature on the dentin bonding durability of a self-curing adhesives: The discrepancy between the laboratory setting and inside the mouth. Dent. Mater. J. 2022, 41, 317–322. [Google Scholar] [CrossRef] [PubMed]
- Serin-Kalay, T.; Zaim, B. Effect of Alternative Self-Etch Applications on Dentin Bond Strength of “No Wait Concept” Universal Adhesives. Odovtos Int. J. Dent. Sci. 2022, 24, 58–66. [Google Scholar] [CrossRef]
- Madrigal, E.L.; Tichy, A.; Hosaka, K.; Ikeda, M.; Nakajima, M.; Tagami, J. The effect of curing mode of dual-cure resin cements on bonding performance of universal adhesives to enamel, dentin and various restorative materials. Dent. Mater. J. 2021, 40, 446–454. [Google Scholar] [CrossRef]
- Yoshida, Y.; Yoshihara, K.; Nagaoka, N.; Hanabusa, M.; Matsumoto, T.; Momoi, Y. X-ray diffraction analysis of three-dimensional self-reinforcing monomer and its chemical interaction with tooth and hydroxyapatite. Dent. Mater. J. 2012, 31, 697–702. [Google Scholar] [CrossRef][Green Version]
- Armstrong, S.; Breschi, L.; Ozcan, M.; Pfefferkorn, F.; Ferrari, M.; Van Meerbeek, B. Academy of Dental Materials guidance on in vitro testing of dental composite bonding effectiveness to dentin/enamel using micro-tensile bond strength (muTBS) approach. Dent. Mater. 2017, 33, 133–143. [Google Scholar] [CrossRef] [PubMed]
- Rolland, S.L.; Carrick, T.E.; Walls, A.W.; McCabe, J.F. Dentin decontamination using chloramine T prior to experiments involving bacteria. Dent. Mater. 2007, 23, 1468–1472. [Google Scholar] [CrossRef]
- Boran, H.; Altinok, I. Impacts of chloramine-T treatment on antioxidant enzyme activities and genotoxicity in rainbow trout, Oncorhynchus mykiss (Walbaum). J. Fish. Dis. 2014, 37, 431–441. [Google Scholar] [CrossRef] [PubMed]
- Mobarak, E.H.; El-Badrawy, W.; Pashley, D.H.; Jamjoom, H. Effect of Pretest Storage Conditions of Extracted Teeth on Their Dentin Bond Strengths. J. Prosthet. Dent. 2010, 104, 92–97. [Google Scholar] [CrossRef] [PubMed]
- Andre, C.B.; Dos Santos, A.; Pfeifer, C.S.; Giannini, M.; Girotto, E.M.; Ferracane, J.L. Evaluation of three different decontamination techniques on biofilm formation, and on physical and chemical properties of resin composites. J. Biomed. Mater. Res. B Appl. Biomater. 2018, 106, 945–953. [Google Scholar] [CrossRef]
- Camps, J.; Baudry, X.; Bordes, V.; Dejou, J.; Pignoly, C.; Ladeque, P. Influence of tooth cryopreservation and storage time on microleakage. Dent. Mater. 1996, 12, 121–126. [Google Scholar] [CrossRef]
- Yang, Z.Y.; Gao, J.; Duan, L.Y.; Luo, M.L.; Yu, F.; Xu, R.C.; Zhou, M.D.; Tay, F.R.; Niu, L.N.; Zhou, W.; et al. Evaluation of a novel primer containing isocyanate group on dentin bonding durability. Dent. Mater. 2023, 39, 455–462. [Google Scholar] [CrossRef] [PubMed]
- Meza, M.S.; Michel, I.M.; Rivas, R.A.; Benitez, G.B.; Solaeche, S.M.; Salas-de la Cruz, D.; Moran, K.S. Obtaining human teeth for dental education: A cross-sectional study to create ethical and transparent processes. J. Dent. Educ. 2023, 87, 50–59. [Google Scholar] [CrossRef]
- Boruziniat, A.; Danaifard, N.; Gifani, M.; Hakimi, N. Effect of Storage Media and Sterilization Method on Shear Bond Strength of Composite to Enamel of Extracted Teeth. J. Dent. Mater. Tech. 2017, 6, 96–102. [Google Scholar]
- Retief, D.H.; Wendt, S.L.; Bradley, E.L.; Denys, F.R. The effect of storage media and duration of storage of extracted teeth on the shear bond strength of Scotchbond 2/Silux to dentin. Am. J. Dent. 1989, 2, 269–273. [Google Scholar]
- Soares, C.J.; Faria, E.S.A.L.; Rodrigues, M.P.; Vilela, A.B.F.; Pfeifer, C.S.; Tantbirojn, D.; Versluis, A. Polymerization shrinkage stress of composite resins and resin cements—What do we need to know? Braz. Oral. Res. 2017, 31, e62. [Google Scholar] [CrossRef]
- Lee, I.B.; Um, C.M. Thermal analysis on the cure speed of dual cured resin cements under porcelain inlays. J. Oral. Rehabil. 2001, 28, 186–197. [Google Scholar] [CrossRef]
- Sano, H.; Chowdhury, A.; Saikaew, P.; Matsumoto, M.; Hoshika, S.; Yamauti, M. The microtensile bond strength test: Its historical background and application to bond testing. Jpn. Dent. Sci. Rev. 2020, 56, 24–31. [Google Scholar] [CrossRef]
- Hashimoto, M.; Ohno, H.; Kaga, M.; Sano, H.; Endo, K.; Oguchi, H. The extent to which resin can infiltrate dentin by acetone-based adhesives. J. Dent. Res. 2002, 81, 74–78. [Google Scholar] [CrossRef]
- Kurauchi, J.; Hashimoto, M.; Wato, M. Effect of light irradiation on bond strength between core resin systems and root canal dentin. J. Osaka Dent. Univ. 2023, 57, 159–167. [Google Scholar]
- Hashimoto, M.; Ohno, H.; Kaga, M.; Endo, K.; Sano, H.; Oguchi, H. Fractographical analysis of resin-dentin bonds. Am. J. Dent. 2001, 14, 355–360. [Google Scholar]
- Hosoya, Y.; Nishiguchi, M.; Kashiwabara, Y.; Horiuchi, A.; Goto, G. Comparison of two dentin adhesives to primary vs. permanent bovine dentin. J. Clin. Pediatr. Dent. 1997, 22, 69–76. [Google Scholar] [PubMed]
- Ismail, H.S.; Ali, A.I. Effect of different restorative systems and aging on marginal adaptation of resin composites to deep proximal margins. J. Esthet. Restor. Dent. 2023. [Google Scholar] [CrossRef]
- Safety Data Sheet: Tokuyama Bond Force, II. Available online: https://tokuyama-dental.de/site/assets/files/2077/49clp_tokuyama_bond_force_2_ukrev5-10hp.pdf (accessed on 26 April 2022).
- Safety Data Sheet: Tokuyama Universal Bond (Bond A). Available online: https://www.shastadentalsupply.com/estore/images/TOKUYAMA%20UNIVERSAL%20BOND%20A_US.pdf (accessed on 26 April 2022).
- Safety Data Sheet: Tokuyama Universal Bond (Bond B). Available online: https://tokuyama-dental.com/wp-content/uploads/pdf/056-USA-HCS-TOKUYAMA_UNIVERSAL_BOND_BOND_B-rev2.pdf (accessed on 26 April 2022).
- Luhrs, A.K.; De Munck, J.; Geurtsen, W.; Van Meerbeek, B. Composite cements benefit from light-curing. Dent. Mater. 2014, 30, 292–301. [Google Scholar] [CrossRef]
- Aguiar, T.R.; Di Francescantonio, M.; Ambrosano, G.M.; Giannini, M. Effect of curing mode on bond strength of self-adhesive resin luting cements to dentin. J. Biomed. Mater. Res. B Appl. Biomater. 2010, 93, 122–127. [Google Scholar] [CrossRef]
- Arrais, C.A.; Giannini, M.; Rueggeberg, F.A. Kinetic analysis of monomer conversion in auto- and dual-polymerizing modes of commercial resin luting cements. J. Prosthet. Dent. 2009, 101, 128–136. [Google Scholar] [CrossRef] [PubMed]
- Faria-e-Silva, A.; Boaro, L.; Braga, R.; Piva, E.; Arias, V.; Martins, L. Effect of immediate or delayed light activation on curing kinetics and shrinkage stress of dual-cure resin cements. Oper. Dent. 2011, 36, 196–204. [Google Scholar] [CrossRef]
- Tay, F.R.; Pashley, D.H. Water treeing—A potential mechanism for degradation of dentin adhesives. Am. J. Dent. 2003, 16, 6–12. [Google Scholar] [PubMed]
- Tay, F.R.; Pashley, D.H.; Suh, B.I.; Hiraishi, N.; Yiu, C.K. Water treeing in simplified dentin adhesives—Deja vu? Oper. Dent. 2005, 30, 561–579. [Google Scholar] [PubMed]
- Van Landuyt, K.L.; Snauwaert, J.; Peumans, M.; De Munck, J.; Lambrechts, P.; Van Meerbeek, B. The role of HEMA in one-step self-etch adhesives. Dent. Mater. 2008, 24, 1412–1419. [Google Scholar] [CrossRef]
- Van Landuyt, K.L.; De Munck, J.; Snauwaert, J.; Coutinho, E.; Poitevin, A.; Yoshida, Y.; Inoue, S.; Peumans, M.; Suzuki, K.; Lambrechts, P.; et al. Monomer-solvent phase separation in one-step self-etch adhesives. J. Dent. Res. 2005, 84, 183–188. [Google Scholar] [CrossRef]
- Cristol, P.; Benezech, C.; Llory, J. Research on deamination by chloramine T. II Specificity of the reaction; analytical applications. Bull. Soc. Chim. Biol. 1951, 33, 89–95. [Google Scholar]
- Cadenaro, M.; Maravic, T.; Comba, A.; Mazzoni, A.; Fanfoni, L.; Hilton, T.; Ferracane, J.; Breschi, L. The role of polymerization in adhesive dentistry. Dent. Mater. 2019, 35, e1–e22. [Google Scholar] [CrossRef]
- Peutzfeldt, A. Resin composites in dentistry: The monomer systems. Eur. J. Oral. Sci. 1997, 105, 97–116. [Google Scholar] [CrossRef]
- Asmussen, E.; Peutzfeldt, A. Influence of UEDMA BisGMA and TEGDMA on selected mechanical properties of experimental resin composites. Dent. Mater. 1998, 14, 51–56. [Google Scholar] [CrossRef]
- Asmussen, E.; Peutzfeldt, A. Influence of selected components on crosslink density in polymer structures. Eur. J. Oral. Sci. 2001, 109, 282–285. [Google Scholar] [CrossRef]
- Pereira, S.G.; Osorio, R.; Toledano, M.; Nunes, T.G. Evaluation of two Bis-GMA analogues as potential monomer diluents to improve the mechanical properties of light-cured composite resins. Dent. Mater. 2005, 21, 823–830. [Google Scholar] [CrossRef]
- Freitas, P.H.; Giannini, M.; Franca, R.; Correr, A.B.; Correr-Sobrinho, L.; Consani, S. Correlation between bond strength and nanomechanical properties of adhesive interface. Clin. Oral. Investig. 2017, 21, 1055–1062. [Google Scholar] [CrossRef]
- Van Meerbeek, B.; Willems, G.; Celis, J.P.; Roos, J.R.; Braem, M.; Lambrechts, P.; Vanherle, G. Assessment by nano-indentation of the hardness and elasticity of the resin-dentin bonding area. J. Dent. Res. 1993, 72, 1434–1442. [Google Scholar] [CrossRef]
- Bakhsh, T.A.; Sadr, A.; Mandurah, M.M.; Shimada, Y.; Zakaria, O.; Tagami, J. In situ characterization of resin-dentin interfaces using conventional vs. cryofocused ion-beam milling. Dent. Mater. 2015, 31, 833–844. [Google Scholar] [CrossRef] [PubMed]
- Suzuki, T.; Endo, N.; Shibata, M.; Kamasaki, S.; Ichinokawa, T. Contrast differences between scanning ion and scanning electron microscope images. J. Vac. Sci. Technol. A 2004, 22, 49–52. [Google Scholar] [CrossRef]
- Young, R.J.; Dingle, T.; Robinson, K.; Pugh, P.J.A. An Application of Scanned Focused Ion-Beam Milling to Studies on the Internal Morphology of Small Arthropods. J. Microsc. 1993, 172, 81–88. [Google Scholar] [CrossRef]
- Moosavi, H.; Hariri, I.; Sadr, A.; Thitthaweerat, S.; Tagami, J. Effects of curing mode and moisture on nanoindentation mechanical properties and bonding of a self-adhesive resin cement to pulp chamber floor. Dent. Mater. 2013, 29, 708–717. [Google Scholar] [CrossRef]
- Cadenaro, M.; Antoniolli, F.; Sauro, S.; Tay, F.R.; Di Lenarda, R.; Prati, C.; Biasotto, M.; Contardo, L.; Breschi, L. Degree of conversion and permeability of dental adhesives. Eur. J. Oral Sci. 2005, 113, 525–530. [Google Scholar] [CrossRef] [PubMed]
- Breschi, L.; Cadenaro, M.; Antoniolli, F.; Sauro, S.; BiaSotto, M.; Prati, C.; Tay, F.R.; Lenarda, R. Polymerization kinetics of dental adhesives cured with LED: Correlation between extent of conversion and permeability. Dent. Mater. 2007, 23, 1066–1072. [Google Scholar] [CrossRef]
- Montagner, A.F.; Opdam, N.J.; Ruben, J.L.; Cenci, M.S.; Huysmans, M.C. Bonding effectiveness of composite-dentin interfaces after mechanical loading with a new device (Rub&Roll). Dent. Mater. J. 2016, 35, 855–861. [Google Scholar] [PubMed]
- Moussa, H.; Jones, M.M.; Huo, N.B.; Zhang, R.S.; Keskar, M.; Visser, M.B.; Swihart, M.T.; Cheng, C.; Sabatini, C. Biocompatibility, mechanical, and bonding properties of a dental adhesive modified with antibacterial monomer and cross-linker. Clin. Oral. Investig. 2021, 25, 2877–2889. [Google Scholar] [CrossRef] [PubMed]
- Tadin, A.; Gavić, L.; Galić, N. Biocompatibility of Dental Adhesives. In Adhesives—Applications and Properties; Rudawska, A., Ed.; IntechOpen: London, UK, 2016. [Google Scholar]
- Wang, Z.; Zhang, Y.; Yin, Y.; Liu, J.; Li, P.; Zhao, Y.; Bai, D.; Zhao, H.; Han, X.; Chen, Q. High-Strength and Injectable Supramolecular Hydrogel Self-Assembled by Monomeric Nucleoside for Tooth-Extraction Wound Healing. Adv. Mater. 2022, 34, e2108300. [Google Scholar] [CrossRef]
- Ge, G.; Mandal, K.; Haghniaz, R.; Li, M.; Xiao, X.; Carlson, L.; Jucaud, V.; Dokmeci, M.R.; Ho, G.W.; Khademhosseini, A. Deep Eutectic Solvents-based Ionogels with Ultrafast Gelation and High Adhesion in Harsh Environments. Adv. Funct. Mater. 2023, 33, 2207388. [Google Scholar] [CrossRef] [PubMed]






| Adhesives | Compositions | Manufacturer’s Instructions |
|---|---|---|
| Bond Force II (pH = 2.8) (Tokuyama Dental, Ibaraki, Japan, Lot. 036098) | Phosphoric acid monomer (3D-SR monomer), Bis-GMA, TEGDMA, CQ, HEMA, alcohol, water. | 1. Apply adhesive to the dentin surface using a micro-brush and leave for 10 s. 2. Apply mild air for approximately 5 s. 3. Light cure for 10 s. |
| Bondmer Lightless (pH = 2.2) (Tokuyama Dental, Ibaraki, Japan, Lot. 0430Y8) | Liquid A: acetone, Phosphoric acid monomer (3D-SR monomer), Bis-GMA, TEGDMA, HEMA, MTU-6, and others. Liquid B: acetone, isopropyl alcohol, water, borate catalyst, γ-MPTES, peroxide, and others. | 1. Take a drop of liquid A and a drop of liquid B and mix them evenly. 2. Apply adhesive to the dentin surface using a micro-brush (within 30 s). 3. Gently air blow until the liquid surface stops moving, then stronger air blow to completely dry. |
| A | M | CD | CC | ||
|---|---|---|---|---|---|
| BF | DW-5 min | 69% | 7% | 24% | 0% |
| DW-60 min | 76% | 11% | 13% | 0% | |
| CLT-5 min | 54% | 17% | 29% | 0% | |
| CLT-60 min | 81% | 11% | 9% | 0% | |
| BL | DW-5 min | 92% | 8% | 0% | 0% |
| DW-60 min | 86% | 14% | 0% | 0% | |
| CLT-5 min | 100% | 0% | 0% | 0% | |
| CLT-60 min | 100% | 0% | 0% | 0% |
Disclaimer/Publisher’s Note: The statements, opinions and data contained in all publications are solely those of the individual author(s) and contributor(s) and not of MDPI and/or the editor(s). MDPI and/or the editor(s) disclaim responsibility for any injury to people or property resulting from any ideas, methods, instructions or products referred to in the content. |
© 2023 by the authors. Licensee MDPI, Basel, Switzerland. This article is an open access article distributed under the terms and conditions of the Creative Commons Attribution (CC BY) license (https://creativecommons.org/licenses/by/4.0/).
Share and Cite
Liu, Y.; Sakaguchi, N.; Iijima, M.; Islam, M.R.R.; Zhang, J.; Islam, R.; Yamauti, M.; Sano, H.; Tomokiyo, A. Effects of Short-Term Exposure of Chloramine-T Solution on the Characteristics of Light-Cured and Chemical-Cured Adhesives. Polymers 2023, 15, 3995. https://doi.org/10.3390/polym15193995
Liu Y, Sakaguchi N, Iijima M, Islam MRR, Zhang J, Islam R, Yamauti M, Sano H, Tomokiyo A. Effects of Short-Term Exposure of Chloramine-T Solution on the Characteristics of Light-Cured and Chemical-Cured Adhesives. Polymers. 2023; 15(19):3995. https://doi.org/10.3390/polym15193995
Chicago/Turabian StyleLiu, Yunqing, Norihito Sakaguchi, Masahiro Iijima, Md Refat Readul Islam, Jiayuan Zhang, Rafiqul Islam, Monica Yamauti, Hidehiko Sano, and Atsushi Tomokiyo. 2023. "Effects of Short-Term Exposure of Chloramine-T Solution on the Characteristics of Light-Cured and Chemical-Cured Adhesives" Polymers 15, no. 19: 3995. https://doi.org/10.3390/polym15193995
APA StyleLiu, Y., Sakaguchi, N., Iijima, M., Islam, M. R. R., Zhang, J., Islam, R., Yamauti, M., Sano, H., & Tomokiyo, A. (2023). Effects of Short-Term Exposure of Chloramine-T Solution on the Characteristics of Light-Cured and Chemical-Cured Adhesives. Polymers, 15(19), 3995. https://doi.org/10.3390/polym15193995

