Next Article in Journal
Ex-Situ Electrochemical Characterization of IrO2 Synthesized by a Modified Adams Fusion Method for the Oxygen Evolution Reaction
Next Article in Special Issue
Tailoring a Soluble Diiron Monooxygenase for Synthesis of Aromatic N-oxides
Previous Article in Journal
Optimization of Hydrogen Yield from the Anaerobic Digestion of Crude Glycerol and Swine Manure
Previous Article in Special Issue
CLEAs, Combi-CLEAs and ‘Smart’ Magnetic CLEAs: Biocatalysis in a Bio-Based Economy
 
 
Font Type:
Arial Georgia Verdana
Font Size:
Aa Aa Aa
Line Spacing:
Column Width:
Background:
Article

Production of 1,3-Propanediol from Pure and Crude Glycerol Using Immobilized Clostridium butyricum

1
Institute of Biotechnology, Faculty of Chemical and Food Technology, Slovak University of Technology in Bratislava, Radlinského 9, 812 37 Bratislava, Slovakia
2
School of Chemistry and Chemical Engineering, Queen’s University Belfast, Belfast BT9 5AG, UK
*
Author to whom correspondence should be addressed.
Catalysts 2019, 9(4), 317; https://doi.org/10.3390/catal9040317
Submission received: 31 January 2019 / Revised: 20 March 2019 / Accepted: 27 March 2019 / Published: 31 March 2019
(This article belongs to the Special Issue Biocatalysts: Design and Application)

Abstract

:
The present study describes the production of the value-added chemical 1,3-propanediol (1,3-PD) from crude glycerol, a waste by-product formed during biodiesel production. The efficiency, robustness, and stability of the process were improved by immobilization of the anaerobic bacterium Clostridium butyricum into a polyvinyl alcohol (PVA) hydrogel. The highest average productivity, 6.8 ± 0.2 g/(L·h), was achieved in 10 consecutive, repeated batch fermentations, with an initial concentration of pure glycerol 45.5 ± 0.7 g/L, after 2.5 h. The highest final concentration and yield of 1,3-PD, 28.3 ± 0.6 g/L, and 0.42 ± 0.01 g/g, respectively, were achieved in eleven repeated batch fermentations, after increasing the initial pure glycerol concentration to 70.4 ± 1.9 g/L. Two different types of crude glycerol, produced from used cooking oil (UCO) and rapeseed oil (RO), were tested in repeated batch fermentations, with an average productivity achieved of 2.3 ± 0.1 and 3.5 ± 0.3 g/(L·h), respectively. The highest final concentration and yield of 1,3-PD, 12.6 ± 0.9 g/L, and 0.35 ± 0.02 g/g, respectively, were observed in fifteen repeated batch fermentations with RO crude glycerol. An excellent stability of the immobilized anaerobic bacteria and increase of productivity in fermentation of crude glycerol was demonstrated.

1. Introduction

1,3-propanediol (1,3-PD) is a valuable, bi-functional chemical compound that is widely used in the food, cosmetic, and pharmaceutical industries. It may be used as an intermediate in the organic synthesis of biocides and heterocyclic compounds, or transformed by chemical catalysts to create new types of polymers, with enhanced features, especially polyethers, polyurethanes, and polyesters [1,2,3,4].
The bulk chemical demand of this compound is following the growing trend discussed in [5]; 1,3-PD has been investigated as a substrate for chemocatalysis, in particular with the aim of developing ecofriendly, halogenated, reagent-free syntheses of valuable chemicals, with the minimization of waste. Iridium and ruthenium catalyzed reactions of 1,3-PD with nitrogen containing compounds, such as aminoarenes, naphtylamines, piperidine, tetrahydroquinoline, diethylamine, and phenylacetonitrile, have afforded quinolones [6,7], 7,8-benzoquinolines [8], julolidines [9], along with 1,3-dipiperidine [10], diaryldinitrile [11], and also monoaminated [12] 1,3-PD derivatives. 1,3-PD has also been used as a substrate in the C-C bond-forming hydrogen transfer (HT). M.J. Krische and co-workers have recently developed synthetic routes transforming 1,3-PD into molecules of pharmaceutical importance, such as the macrolide (+)-roxaticin, and bryostatin A-ring, a functional analogue of bryostatins, natural products exhibiting biological and neurological activity. These synthetic protocols are initiated by the iridium catalyzed, diastereo-, and enantioselective double asymmetric carbonyl allylation of 1,3-PD, with allyl acetate [13,14,15]. HT initiated dehydrogenation (HTID) of 1,3-PD has also been investigated with the ultimate goal of delivering value-added chemicals from one-pot processes, combining bio- and chemocatalytic protocols. The combination of the biocatalytic treatment of crude glycerol with Clostridium butyricum and Cp*Ir(NHC) catalyzed HT of 1,3-PD, at low temperature, in the ionic liquid N1,8,8,8NTf2, has recently allowed selective production of N-propyl aniline [16,17]. Cp*Ir(NHC) catalyzed HTID of 1,3-PD in ionic liquids, has also allowed the selective synthesis of propanal [18] and 2-methylpent-2-enal [16].
However, chemical synthesis of 1,3-PD (based on petroleum) requires high pressure, usage of expensive catalysts and results in the production of toxic intermediates [19]. The biotechnological production of 1,3-PD, based on glycerol fermentation under anaerobiosis, has recently attracted much attention because of the dramatic drop in glycerol price, caused by an oversupply from the biodiesel and oleochemical industry [2]. This method has less environmental impact and the requisite raw material (glycerol) is relatively cheap [20]. Nowadays glycerol is mainly produced as the primary side-product of biorefineries, which has led to the recent worldwide massive increase in crude bio-glycerol production, due to the increased biorefinery activity, driven by legislation and rising oil and fuel prices [3]. The global surplus of glycerol has lowered its price and made it more attractive as a carbon and energy source, especially in the form of crude glycerol. This renders glycerol an interesting feed for the production of 1,3-PD, through biotechnological methods [19,21].
Production of significant quantities of 1,3-PD from glycerol, using several bacterial groups, including species of the genera Clostridium, Klebsiella (K. pneumonia, K. oxytoca, K. aerogenes), Citrobacter (C. freundii), Lactobacillus (L. reuterii, L. buchnerii, L. collinoides), Pelobacter (P. carbinolicus), Raultella (R. planticola), and Bacillus (B. welchii), has been reported in the literature [22,23,24].
Clostridium butyricum is considered to be one of the most promising producer of 1,3-PD from glycerol, among the Clostridium genera, followed by C. acetobutylicum, C. pasteurianum, and C. beijerinckii [25]. C. butyricum affords a higher yield of 1,3-PD (0.64 mol/mol) [26] and shorter fermentation time; in addition, no accumulation of 3-hydroxypropionaldehyde is observed when using C. butyricum [4]. Moreover, in contrast to other microorganisms, 1,3-PD production by C. butyricum does not depend on vitamin B12, which is an economic advantage in industrial applications [27]. While using crude glycerol for fermentation has the economic advantage of eliminating difficult purification steps, yield and productivity could be affected due to the presence of impurities and inhibitors, such as high concentrations of sodium, lead and nickel ions, as well as methanol, soap, and different solid organic materials [28]. In addition, low tolerance of C. butyricum to long chain fatty acids, such as oleic, linoleic, stearic, and palmitic acid, which are present in crude glycerol in high concentrations [3], could also affect the fermentation performance. One of the strategies for avoiding interaction between cells and high molecular weight impurities is to create a protective barrier between cells and the surrounding environment. The production of 1,3-PD was, therefore, investigated by using cells immobilized into polyvinyl alcohol (PVA) hydrogel particles, by the LentiKats® method (Lentikats a.s., Prague, Czech Republic). Hydrogel particles provide a stable, consistent, and protective microenvironment, designed to prolong the survival and metabolic activity of cells, which tolerate environmental stresses better, when protected in this way [29]. Moreover, PVA hydrogel particles [30] represent a promising protective barrier against the fatty acids contained in crude glycerol, as it is difficult for large molecules to penetrate them.
The aim of this work was to determine the higher productivity of the process, in comparison with published data (Table S1), yield of 1,3-PD and the stability of an immobilized anaerobic strain of C. butyricum, in the presence of pure and crude glycerol, during repeated batch fermentations. Bacteria were immobilized in LentiKats®, using a modified version [31] of the manufacturer’s protocol, which has recently been patented [32].

2. Results and Discussion

The objective of this study was to demonstrate a positive effect of cell immobilization on the fermentation of pure glycerol, and crude glycerol, produced from different sources, such as RO and UCO. Improving the productivity of the fermentation process and removing the need for pre-treatment of crude glycerol would contribute to the valorization of this waste substrate produced by the biodiesel industry.

2.1. Fermentation with Free Cells

The optimization of the fermentation process in regards to the parameters set-points and feeding strategies, were performed with free (non-immobilised) cells, by using pure and later crude glycerol.
The initial concentration 51.6 g/L of pure glycerol was completely utilized by free cells of C. butyricum within 14 h, which resulted in the production of 20.9 g/L of 1,3-PD (Figure S1, Table S2). The observed volumetric productivity, 1.5 g/(L·h), and product yield, 0.40 g/g (0.49 mol/mol), were close to those reported for a batch fermentation carried out with free cells of a similar microbial strain of C. butyricum (1.9 g/(L·h), 0.62 mol/mol) [33]. The fermentation process was markedly affected by the relatively long lag phase (ca. 6 h), during which almost no 1,3-PD was produced; this phase represents almost half the fermentation time. The occurrence of the unproductive phases of bacterial growth was one of the main drawbacks of free cell fermentation—pursuing methods of fermentation using immobilized cells aimed at improving the process parameters, by reducing the duration of lag phase [34,35], especially due to the high concentration of entrapped cells in PVA particles. Furthermore, the microenvironment of PVA particles can maintain the optimal concentration of acids and gas composition, during the media changeover and, therefore, has a positive effect on the growth of entrapped cells.
A further aim of this study was to explore the potential of crude glycerol, as a carbon source for bacterial metabolism. However, replacing pure glycerol with crude glycerol (20.0 g/L) derived from UCO, led to no growth of the free cells. The most likely reason for this was the presence of high amounts of impurities that inhibit the fermentation process (Table S3). To avoid this problem, batch fermentation was performed, initially, with pure glycerol, followed by the fed batch mode, run with the UCO-derived crude glycerol, during the exponential phase of the bacterial growth. However, using this strategy, inhibition of cell growth was observed ca. 4 h after feeding started. Batch fermentation of crude glycerol derived from RO proved to be more stable—90% consumption of crude glycerol, and 17.7 g/L production of 1,3-PD were observed (Table S2). However, the fermentation process was ca. 5 h longer than with pure glycerol, and productivity was reduced to 0.9 g/(L·h). As shown in Table S1, low productivity is commonly observed in crude glycerol fermentations, and the robustness of the process is heavily dependent on the quality of the crude glycerol [4].

2.2. Immobilization of C. butyricum into PVA by Entrapment

Immobilization of anaerobic C. butyricum was carried out according to a patented protocol [32] for immobilization of C. acetobutylicum, developed in our laboratories, that was also applied for the successful production of butyric acid by C. tyrobutyricum [36]. The immobilization strategy was based on the entrapment of a relatively high concentration of vegetative cells, which started to form spores, once exposed to temperature changes appearing over the immobilization process. This spontaneous sporogenesis was investigated in a previous work [31]. The PVA particles with entrapped (immobilized) spores were then transferred into a bioreactor (10% w/w), with cultivation media. To create the appropriate conditions for spore germination and overcome possible contamination problems, the first batch fermentation was additionally inoculated with a 5% v/v suspension of free-cells (vegetative cells in exponential phase of growth). Immobilized spores started to germinate once exposed to conditions suitable for growth, such as—sufficient nutrients, optimal pH, and temperature, and optimal acid and gas composition, as provided by the added free-cell suspension [36,37]. Partial adsorption of free-cells (originate from additional inoculation) on the surface of the PVA particles was also observed, which had an effect on the increase of the PVA hydrogel colonization. However, the PVA particles with only the adsorbed cells (without previously entrapped cells), achieved only partial productivity of the full process (entrapped cells with free cells) (Section 2.4).
The most effective way of using the immobilized cells was by employing repeated batch fermentation, because this significantly reduced both the downtime associated with inoculum preparation and the length of the unproductive lag phase of biomass growth, and thus, had a positive effect on productivity [31,38,39]. Moreover, the PVA carrier also acted as a protective barrier for the microorganism, during short periods of inhibiting conditions, such as changes in pH, or the presence of oxygen, during media replacement; it is likely that it also protected the microorganism from the inhibitory effects of the impurities present in crude glycerol, as their high molecular weight should have prevented them from penetrating the surface of the PVA carrier particles [30].

2.3. Propagation of the Immobilised C. butyricum on Pure Glycerol

Since the biomass concentration within the particles was relatively low after immobilization, the particles needed to be propagated [37,40,41].
Propagation of the immobilized C. butyricum started in the presence of pure glycerol, with initial concentration of 15.9 ± 0.6 g/L for the first twelve repeated batches. The concentration up to 20 g/L was chosen on the basis of previous investigations of the results of low osmotic pressure on the cells and relatively short fermentation times.
The first fermentation, run with the additional vegetative cell suspension inoculation, was completed within 6 h (Figure 1) and produced 6.2 g/L of 1,3-PD, with 1.1 g/(L·h) productivity, comparable with the productivity observed when running free cell fermentation (Table S2). We speculated that the spores gradually germinated during the following five fermentations (Batch no.: 2–6, Figure 1), resulting in an increase of cell concentration in the PVA hydrogel matrix and hence a progressive reduction in the lag phase of the bacterial growth.
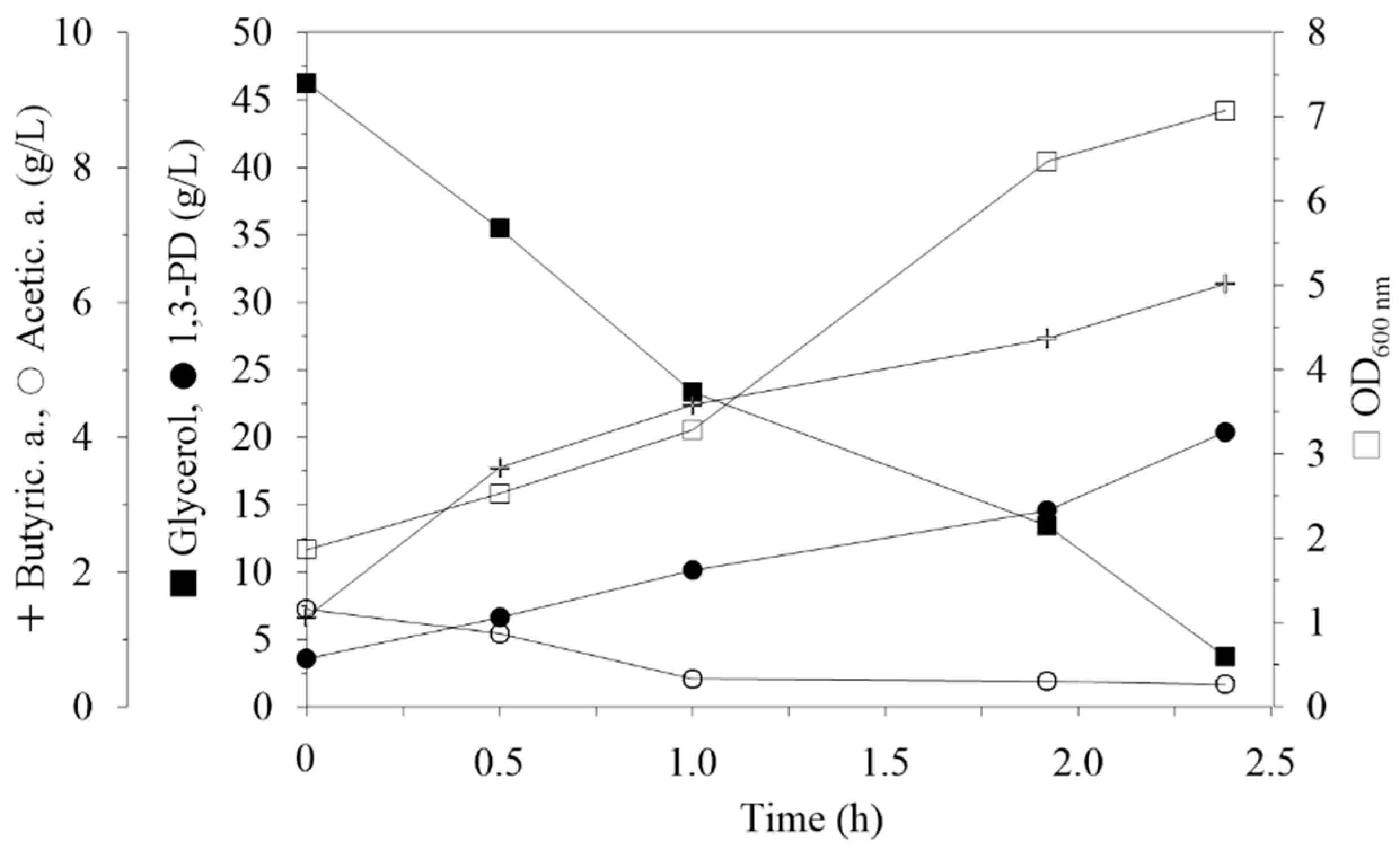
The initial concentration of glycerol was increased to 45.5 ± 0.7 g/L, after the 12th repeated batch. A dramatic increase in productivity was then observed from the 13th to the 17th repeated batch fermentation (Figure 1), when the immobilized microorganism adapted to the changed conditions. After the 17th batch, the process stabilized at an average fermentation time of 2.5 ± 0.1 h. The fermentation profile of the 26th batch fermentation represented in Figure 2 highlights the remarkable reduction in fermentation time, up to 2.5 h, as compared to the 14 h observed in the free cell fermentation (Table S2), along with the near absence of any lag phase, emphasizing the successful propagation of the immobilized cells.
The average final concentration of 1,3-PD resulting from the 18th to the 27th repeated batch was 17.0 ± 0.6 g/L. The average productivity 6.8 ± 0.2 g/(L·h) was 4.6 times higher than that observed when performing free cell fermentation (Table S2), while the product yield, 0.40 ± 0.02 g/g, was similar. To the best of our knowledge, no higher productivity has been reported in the literature (Table S1). The observed productivity was 1.2 and 2.2 times higher than that reported when using continuous systems, namely 5.5 g/(L·h) [23] and 2.98 g/(L·h) [42].
Further increase in the initial concentration of pure glycerol to 70.4 ± 1.9 g/L, resulted in a concentration of 1,3-PD (28.3 ± 0.6 g/L) (Batch no.: 28−38, Figure 1) that was 1.7 times higher than that observed in the previous set of fermentations. However, productivity was reduced to 5.6 ± 0.1 g/(L·h), probably because of the increased side product formation, and hence, it prolonged the fermentation times (5.0 ± 0.1 h).
Based on the above observations and on the clear evidence of the long-term stability of the fermentation process with the immobilized cells, we identified 45.5 ± 0.7 g/L as the optimal initial concentration of glycerol. This was the concentration used in the following crude glycerol fermentations.

2.4. Colonisation of the PVA Particles by C. butyricum Originated from the Free-Cell Suspension (Adsorption onto PVA Particles)

In the experiments described above, the PVA particles with entrapped cells were inoculated with free cells, which might be spontaneously adsorbed onto the surface of the particles. Therefore, a control experiment in which empty PVA particles were inoculated with free cells was performed.
Empty PVA particles were inoculated with a vegetative cell suspension (5% v/v) of C. butyricum, at the beginning of the first batch fermentation, using the same procedure as that for the entrapped cells. During the first fifteen repeated batch fermentations, a slower reduction in the lag phase was observed than during the process with entrapped cells. This effect was likely to be due to the washing-out of cells between the consecutive repeated batches. The process stabilized, then, at a fermentation time of 3.6 ± 0.2 h. The average volumetric productivity during the next twenty repeated batch fermentations was 4.2 ± 0.1 g/(L·h), suggesting a strong surface immobilization. However, this value was still 1.6 times lower than that observed with the entrapped cells (Table S2). Similar differences were also observed during the fermentations with C. tyrobutyricum [36].
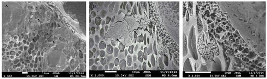
The adsorption of bacteria onto the surface of the empty PVA particles was confirmed by electron microscopy. The PVA hydrogel lenses allow bacteria to grow within the particles and offer a near optimal environment for bioconversions [30]; they also provide a surface that free cells can grip onto, thereby colonizing the PVA matrix. Cell colonization of the empty pores of hydrogel matrix can be observed in the picture taken at 500× magnification, shown in Figure 3, inset A (short arrows), which displays the cross-section of a PVA particle after the 20th repeated batch. Colonization appeared to be most frequent in areas close to the surface (top right) and was significantly lower in the middle part (long arrow) of the PVA particle (bottom left).
Observations at higher magnitude (Figure 3B,C) confirmed that cells can be spontaneously immobilized in the pores between the empty spaces of the PVA matrix. This finding proved that spontaneous immobilization of free cells was not confined to the surface of the particles; cells also spontaneously penetrated the PVA structure and colonized the particles close to their surface.

2.5. Crude Glycerol Fermentation by Immobilized C. butyricum

Repeated batch fermentations of the UCO- and RO-derived crude glycerol were performed after propagation of the immobilized cells and stabilization of the process with pure glycerol. As shown in Table S3, the compositions of the samples of the UCO- and RO-derived crude glycerol tested, were significantly different.

2.6. Crude Glycerol Produced from UCO

High mass fractions of fatty acids and fatty acid esters, especially in crude glycerol produced from UCO, were a key factor in inhibition. UCO-derived crude glycerol also had an ash content of almost double that of the crude glycerol derived from RO. UCO itself was a source of these fatty acid chemicals—the presence of water while frying, accelerated the hydrolysis of triglycerides and increased the free fatty acid content of the oil [43]. The presence of these undesirable compounds in UCO had a negative effect on the biodiesel production, and a variety of expensive pre-treatments (steam injection, neutralization, vacuum evaporation, or filtration) could be used to remove them [44]. These methods increased the total cost of biodiesel production [45]. On the other hand, crude glycerol obtained from biodiesel production using RO, had a lower fatty acid and ash content, but it did contain a significant amount of methanol (Table S3)—a residue of the trans-esterification process. Methanol inhibited most microbial fermentations. However, concentrations of methanol of up to 10% (v/v) have been reported to not inhibit C. butyricum fermentations [46].
We first tested the crude glycerol provided by a biodiesel company that used UCO as its main source. This waste material appeared as a dark brown, highly viscous liquid, in which filaments of insoluble matter formed during storage. The glycerol content of the liquid was relatively high, (76.9% w/w). Due to the high levels of the unreacted oleins, 13.2% (w/w), and ash, 4.7% (w/w), which could negatively affect bacteria vitality [3], the initial concentration of glycerol was set at 20.0 ± 0.2 g/L, approximately half the initial concentration set, when using pure glycerol with entrapped cells (Table S2). Switching from pure to crude glycerol, a temporary decrease in productivity, from 5.6 ± 0.1 (Batch no.: 28–38, Figure 1) to 1.2 g/(L·h), was observed. Despite the expected negative effect of impurities in crude glycerol, productivity was then observed to slowly increase over subsequent fermentations (Figure 4A). This could be due to the bacteria adapting to the altered conditions. As shown in Figure 4 and Figure 5, the process performance then remained stable, starting from the third batch, for five consecutive fermentations, with the average productivity being 2.3 ± 0.1 g/(L·h) (Figure 4A), and achieving an average concentration of produced 1,3-PD 5.9 ± 0.2 g/L, after 2.5 h of fermentation, after which the concentration of the residual glycerol was close to 0 g/L. The resultant productivity and final 1,3-PD yield was ca. 2.9 times lower than that obtained from fermentations with pure glycerol (Table S2). However, 2.3 ± 0.1 g/(L·h) productivity was 1.4 times higher than the highest productivity reported in the literature, for batch fermentation with crude glycerol 1.62 g/(L·h) [47] (Table S1).

2.7. Revitalization Protocol

In an attempt to achieve a higher 1,3-PD productivity, the initial concentration of crude glycerol was increased to 41.5 ± 2.3 g/L (Figure 4B). While no significant performance changes were observed in the first fermentation, after this change (Figure 4, Batch no. 8), in the consecutive batches, productivity decreased rapidly to as low as 0.32 g/(L·h) in the three successive batches, and fermentation time increased to as high as 8.2 h, by the fourth fermentation (Figure 4, Batch no. 11).
To avoid total inhibition of the process, a revitalization step was implemented. The crude glycerol was replaced with pure glycerol, used at the optimal initial concentration, as previously determined (47.5 ± 1.5 g/L). A significant increase in the productivity of the process was then observed in the next five repeated batches, with a fixed medium replacement time of 3 h (Figure 4C). After five revitalization batches, the process was switched back to the automatized medium replacement (replacement occurring when glycerol concentration <5 g/L). Fermentation productivity further increased reaching 6.4 g/(L·h) in the last batch (Figure 4, Batch no. 19), with a fermentation time of 2.8 h, values comparable to those achieved in the repeated batches, with pure glycerol (Table S2). The ability to revitalize an inhibited fermentation process proved to be an additional advantage of using the immobilized cells.

2.8. Crude Glycerol Produced from RO

RO-derived crude glycerol, at an initial concentration of 40 ± 1.2 g/L, was then tested. A change of the substrate was performed, after the revitalization step. As shown in Figure 4, inset D, a significant reduction in productivity was observed, while the fermentation time increased slightly, to values similar to those observed for the fermentation of the UCO-derived crude glycerol (Figure 4, Batch no. 1). These effects were probably caused by impurities, especially solid particles and salts present in the ash. Nevertheless, no further significant inhibition was observed in the following, consecutive fermentations—the process stabilized at fermentation time 3.6 ± 0.4 h, with an average 1,3-PD concentration 12.6 ± 0.9 g/L and an yield of 0.35 ± 0.02 g/g (Figure 4D and Figure 6), the latter value being similar to the yield achieved in the free cell fermentation of the same form of crude glycerol (Table S2).
A stable productivity, averaging 3.5 ± 0.3 g/(L·h), was observed over the fifteen repeated batches, proving the robustness of the process (Figure 4D). This productivity was almost four times higher than that observed in the free cell fermentation, twice the highest productivity reported in the literature for the batch fermentation of crude glycerol (Table S1), and slightly higher than the productivity observed in the continuous fermentation of 60 g/L crude glycerol 3.3 g/(L·h) [23]. Regarding the downstream processing of 1,3-PD it was important to point, that there were already tools for selective extraction of this compound, when the waste fermentation substrate was applied as a crude glycerol [48].

3. Materials and Methods

3.1. Strain

The microbial strain C. butyricum DSM 4278 was used in this study. The microorganism was stored on a Y5 medium (a composition shown below) agar plate, in an anaerobic chamber (Bactron I, Shel Lab, USA), under an inert atmosphere (90% N2, 5% CO2, 5% H2), at 34 °C. Stock cultures were re-plated every two weeks.

3.2. Media

A Y5 medium was used in all experiments. The composition was as follows (per liter of demineralized water): 20.0 g glycerol (Centralchem, Slovakia) (initial glycerol concentration also varied, depending on the process, Table S2); 2.5 g KH2PO4 (Mikrochem, Slovakia); 2.5 g K2HPO4 (Mikrochem, Slovakia); 0.01 g CoCl2·6H2O (Centralchem, Slovakia); 3.0 g acetic acid (Centralchem, Slovakia); 4.0 g yeast extract (BioSpringer, France). The pH was adjusted to 7, using NH4OH (Centralchem, Slovakia). A total of 0.2 g of MgSO4·7H2O (Centralchem, Slovakia) was dissolved in 10 mL of demineralized water and autoclaved, separately. 0.01 g of FeSO4·7H2O (Sigma-Aldrich, St. Louis, MO, USA) was dissolved in 5 mL of demineralized water and added to an autoclaved Y5 media, through a Filtropur™ bacterial filter, with a porosity of 0.2 μm (Sarstedt, Germany). Before sterilization, 0.1 mL of Dow corning® 1510 anti-foaming agent (Prolabo, Ireland) was added to the medium. The medium was prepared in reagent bottles (Pyrex®, SciLabware Limited, Staffordshire, UK), closed with rubber stoppers (Suba-Seal®, Sigma-Aldrich, St. Louis, MO, USA), and secured with wire. The medium was sparged with N2 for 15 min, at the laboratory temperature and then sterilized in the autoclave at 120 kPa, 121 °C, for 20 min.
Media containing crude glycerol produced from cooking oil (UCO) provided by ENEA (www.enea.it), or rapeseed oil (RO) provided by MEROCO (www.meroco.sk), were prepared as described above. The initial concentration of glycerol varied in the different processes (Table S2). The specific compositions of the two types of crude glycerol are shown in Table S3.

3.3. Biomass Preparation and Fermentation Performance

The inoculum for batch and repeated batch fermentations was prepared by adding 2.5 mL of the pre-inoculation culture (12 h culture; 10 mL of Y5 medium inoculated with one colony from a Petri dish), to a 50 mL Y5 medium. The inoculum was cultivated in an anaerobic chamber, at 34 °C, in the presence of a magnetic stirrer (220 rpm), for 7–12 h, until OD600 nm = 6.0–7.0 was observed. After cultivation, a 5% inoculum (v/v) was transferred to a 1.3-L BioFlo® 115 fermentor (Eppendorf, Hauppage, NY, USA), containing 1 L of Y5 medium (free cell fermentation). Fermentations were then carried out at 35 °C, stirring at 250 rpm, at pH 6.5 (automatic addition of 5 M KOH was carried out), and at 0.1 vvm nitrogen sparge, through a 0.2 µm PTFE (Polytetraflouoroethylene) sterile gas filter (Pall Corporation, NY, USA).
Repeated batch fermentations with immobilized cells or empty PVA particles were carried out, as described above, with the exception that 900 mL of Y5 media were inoculated with 100 g of LentiKats® PVA particles (with entrapped or empty cells), and 50 mL of 5% (v/v) vegetative cell suspension [31]. Once the residual concentration of glycerol had decreased to 3–5 g/L, the Y5 medium was removed through a sieve (to avoid washing out the PVA particles), and the fermentor was then fed with a fresh Y5 medium, using an automated pump system.

3.4. Biomass Immobilization

Immobilization of C. butyricum was performed on a pilot-scale equipment provided by LentiKat’s (Czech Republic, www.lentikats.eu). The biomass used for the immobilization was prepared in a 1500 mL of Y5 medium, inoculated with 75 mL of 5% v/v inoculum, as described above. Cells were then separated from the medium by centrifugation (30 min, 3214 g, 4 °C), and suspended in 150 mL of anaerobic, demineralized water in an anaerobic chamber. Concentrated biomass (dry cell weight = 3.9 g) was then mixed with 3 L of PVA hydrogel. Lens-shaped particles with entrapped cells were prepared, by passing the gel mixture through thin nozzles onto a hard surface, and then drying in an airflow cabinet, at 40 °C, until they reached 30% of their initial mass. The particles were then swollen in a stabilizing 0.1 M Na2SO4 solution for 1 h, according to the manufacturer’s protocol [49]. Empty particles were also prepared, following the same procedure, but without any addition of biomass, in order to verify the theoretical assumptions about adsorption of microorganisms onto the surface of the PVA particles.

3.5. Analytical Assays

The optical densities of the samples were measured at 600 nm, with a spectrophotometer (BioSpectometer®, Eppendorf, Germany). Glycerol, 1,3-PD and acids were analyzed using HPLC (Agilent Technologies 1220 Infinity LC; Agilent, Santa Clara, CA, USA) on a Polymer IEX H+ form 8 μm, 250 × 8 mm column (Watrex, Czech Republic), with a Polymer IEX H+ 8 μm, 40 × 8 mm guard column (Watrex, Czech Republic), at 50 °C, attached to an RI detector (Agilent Technologies 1260 Infinity) and a UV detector (at 258 nm). The mobile phase used 9 mM H2SO4 at a flow rate of 1.05 mL/min. Volumetric productivity (g/(L·h)) was calculated as a concentration of 1,3-PD produced (g/L), divided by the fermentation time, at the end of the process. Product yield (g/g) was calculated as grams of 1,3-PD produced per gram of glycerol used.

4. Conclusions

The use of the immobilized C. butyricum in repeated batch fermentations of glycerol, allowed excellent, long-term stability of the matrices, and enhanced the process performance. Average volumetric productivity, 6.8 ± 0.2 g/(L·h), achieved in ten consecutive fermentations of pure glycerol, was 4.5 times higher than the comparable free cell fermentation, and more than twice as high as that reported in the literature, so far. Furthermore, high productivity was achieved in repeated batch fermentations of crude glycerol derived from RO (3.5 ± 0.3 g/(L·h)) and UCO (2.3 ± 0.1 g/(L·h)), confirming that the immobilization into the PVA matrix, significantly improves the fermentation process when using the crude glycerol, compared to the free cell system. This study aimed to determine a strong experimental background for the production of the value-added chemical, from pure and crude glycerol, in a laboratory scale, with the potential to further scale up to pilot and industrial applications.

Supplementary Materials

The following are available online at https://www.mdpi.com/2073-4344/9/4/317/s1, Figure S1: Batch fermentation with free cells of C. butyricum performed with initial concentration of 51.6 g/L of pure glycerol. Table S1: Comparison of published data on fermentation of crude and pure glycerol by strains of C. butyricum. Table S2: Comparison of repeated batch fermentation performed by entrapped cells, cells spontaneously immobilised on the surface of PVA particles, and free cells, using pure or crude glycerol produced from rapeseed oil (RO) and used cooking oil (UCO).

Author Contributions

I.D., M.L., and V.K., fermentation experiments and analyses; K.M., microscopy, analytics; F.L., analytics; M.R. (Michal Rosenberg), M.R. (Martin Rebroš), A.C.M., funding acquisition; I.D., V.K., Writing—original draft preparation; M.R. (Martin Rebroš), A.C.M., Writing—review and editing; M.R. (Michal Rosenberg), M.R. (Martin Rebroš), immobilization set up. Table S3: Composition of crude glycerol produced from used cooking oil (UCO) and rapeseed oil (RO).

Funding

This work was supported by GRAIL [Grant agreement no. 613667], project co-financed by the European Commission under the 7th Framework Programme. This work was co-funded by the Slovak Research and Development Agency [contract no. DO7RP-0045-12]. This publication is the result of the project implementation: Comenius University in Bratislava Science Park supported by the Research and Development Operational Programme funded by the ERDF. Grant number: ITMS 26240220086.

Conflicts of Interest

The authors declare no conflict of interest.

References

  1. Zhu, C.; Fang, B. Application of a two-stage temperature control strategy to enhance 1,3-propanediol productivity by clostridium butyricum. J. Chem. Technol. Biotechnol. 2013, 88, 853–857. [Google Scholar] [CrossRef]
  2. Lee, C.S.; Aroua, M.K.; Daud, W.M.A.W.; Cognet, P.; Pérès-Lucchese, Y.; Fabre, P.L.; Reynes, O.; Latapie, L. A review: Conversion of bioglycerol into 1,3-propanediol via biological and chemical method. Renew. Sustain. Energy Rev. 2015, 42, 963–972. [Google Scholar] [CrossRef]
  3. Kubiak, P.; Leja, K.; Myszka, K.; Celińska, E.; Spychała, M.; Szymanowska-Powałowska, D.; Czaczyk, K.; Grajek, W. Physiological predisposition of various clostridium species to synthetize 1,3-propanediol from glycerol. Process Biochem. 2012, 47, 1308–1319. [Google Scholar] [CrossRef]
  4. Kaur, G.; Srivastava, A.K.; Chand, S. Advances in biotechnological production of 1,3-propanediol. Biochem. Eng. J. 2012, 64, 106–118. [Google Scholar] [CrossRef]
  5. Vivek, N.; Pandey, A.; Binod, P. Production and applications of 1,3-propanediol. In Current Developments in Biotechnology and Bioengineering; Elsevier: Amsterdam, The Netherlands, 2017; pp. 719–738. [Google Scholar]
  6. Tsuji, Y.; Huh, K.T.; Watanabe, Y. Ruthenium-complex-catalyzed n-heterocyclization. Syntheses of quinolines and indole derivatives from aminoarenes and 1,3-propanediol of glycols. J. Org. Chem. 1987, 52, 1673–1680. [Google Scholar] [CrossRef]
  7. Monrad, R.N.; Madsen, R. Ruthenium-catalysed synthesis of 2- and 3-substituted quinolines from anilines and 1,3-diols. Org. Biomol. Chem. 2011, 9, 610–615. [Google Scholar] [CrossRef]
  8. Aramoto, H.; Obora, Y.; Ishii, Y. N-heterocyclization of naphthylamines with 1,2- and 1,3-diols catalyzed by an iridium chloride/binap system. J. Org. Chem. 2009, 74, 628–633. [Google Scholar] [CrossRef] [PubMed]
  9. Labed, A.; Jiang, F.; Labed, I.; Lator, A.; Peters, M.; Achard, M.; Kabouche, A.; Kabouche, Z.; Sharma, G.V.M.; Bruneau, C. Iridium-catalyzed sustainable access to functionalized julolidines through hydrogen autotransfer. ChemCatChem 2015, 7, 1090–1096. [Google Scholar] [CrossRef]
  10. Huh, K.-T.; Shim, S.C.; Doh, C.H. Ruthenium complex catalyzed syntehesis of diamino compounds from -diols and secondary amines. Bull. Korean Chem. Soc. 1990, 11, 49. [Google Scholar]
  11. Maeda, K.; Obora, Y.; Sakaguchi, S.; Ishii, Y. Synthesis of diketones and ω-hydroxy ketones from methyl ketones and α,ω-diols by an [ircl(cod)]2/pph3/koh system. Bull. Chem. Soc. Jpn. 2008, 81, 689–696. [Google Scholar] [CrossRef]
  12. Andrushko, N.; Andrushko, V.; Roose, P.; Moonen, K.; Börner, A. Amination of aliphatic alcohols and diols with an iridium pincer catalyst. ChemCatChem 2010, 2, 640–643. [Google Scholar] [CrossRef]
  13. Gao, X.; Han, H.; Krische, M.J. Direct generation of acyclic polypropionate stereopolyads via double diastereo- and enantioselective iridium-catalyzed crotylation of 1,3-diols: Beyond stepwise carbonyl addition in polyketide construction. J. Am. Chem. Soc. 2011, 133, 12795–12800. [Google Scholar] [CrossRef]
  14. Han, S.B.; Hassan, A.; Kim, I.S.; Krische, M.J. Total synthesis of (+)-roxaticin via c−c bond forming transfer hydrogenation: A departure from stoichiometric chiral reagents, auxiliaries, and premetalated nucleophiles in polyketide construction. J. Am. Chem. Soc. 2010, 132, 15559–15561. [Google Scholar] [CrossRef]
  15. Lu, Y.; Kim, I.S.; Hassan, A.; Del Valle, D.J.; Krische, M.J. 1,n-glycols as dialdehyde equivalents in iridium-catalyzed enantioselective carbonyl allylation and iterative two-directional assembly of 1,3-polyols. Angew. Chem. Int. Ed. 2009, 48, 5018–5021. [Google Scholar] [CrossRef] [PubMed]
  16. Lacroix, S.D.; Pennycook, A.; Liu, S.; Eisenhart, T.T.; Marr, A.C. Amination and dehydration of 1,3-propanediol by hydrogen transfer: Reactions of a bio-renewable platform chemical. Catal. Sci. Technol. 2012, 2, 288–290. [Google Scholar] [CrossRef]
  17. Liu, S.; Rebros, M.; Stephens, G.; Marr, A.C. Adding value to renewables: A one pot process combining microbial cells and hydrogen transfer catalysis to utilise waste glycerol from biodiesel production. Chem. Commun. 2009, 2308–2310. [Google Scholar] [CrossRef] [PubMed]
  18. Wang, Y.-M.; Lorenzini, F.; Rebros, M.; Saunders, G.C.; Marr, A.C. Combining bio- and chemo-catalysis for the conversion of bio-renewable alcohols: Homogeneous iridium catalysed hydrogen transfer initiated dehydration of 1,3-propanediol to aldehydes. Green Chem. 2016, 18, 1751–1761. [Google Scholar] [CrossRef]
  19. Chatzifragkou, A.; Papanikolaou, S.; Dietz, D.; Doulgeraki, A.I.; Nychas, G.-J.E.; Zeng, A.-P. Production of 1,3-propanediol by clostridium butyricum growing on biodiesel-derived crude glycerol through a non-sterilized fermentation process. Appl. Microbiol. Biotechnol. 2011, 91, 101–112. [Google Scholar] [CrossRef]
  20. Cho, M.-H.; Joen, S.I.; Pyo, S.-H.; Mun, S.; Kim, J.-H. A novel separation and purification process for 1,3-propanediol. Process Biochem. 2006, 41, 739–744. [Google Scholar] [CrossRef]
  21. Martin, A.; Armbruster, U.; Gandarias, I.; Arias, P.L. Glycerol hydrogenolysis into propanediols using in situ generated hydrogen—A critical review. Eur. J. Lipid Sci. Technol. 2013, 115, 9–27. [Google Scholar] [CrossRef]
  22. Drozdzynska, A.; Leja, K.; Czaczyk, K. Biotechnological production of 1,3-propanediol from crude glycerol. Biotechnol. J. Biotechnol. Comput. Biol. Bionanotechnol. 2011, 92, 92–100. [Google Scholar]
  23. Papanikolaou, S.; Ruiz-Sanchez, P.; Pariset, B.; Blanchard, F.; Fick, M. High production of 1,3-propanediol from industrial glycerol by a newly isolated clostridium butyricum strain. J. Biotechnol. 2000, 77, 191–208. [Google Scholar] [CrossRef]
  24. Willke, T.; Vorlop, K. Biotransformation of glycerol into 1,3-propanediol. Eur. J. Lipid Sci. Technol. 2008, 110, 831–840. [Google Scholar] [CrossRef]
  25. Casali, S.; Gungormusler, M.; Bertin, L.; Fava, F.; Azbar, N. Development of a biofilm technology for the production of 1,3-propanediol (1,3-pdo) from crude glycerol. Biochem. Eng. J. 2012, 64, 84–90. [Google Scholar] [CrossRef]
  26. Barbirato, F.; Himmi, E.H.; Conte, T.; Bories, A. 1,3-propanediol production by fermentation: An interesting way to valorize glycerin from the ester and ethanol industries. Ind. Crop. Prod. 1998, 7, 281–289. [Google Scholar] [CrossRef]
  27. González-Pajuelo, M.; Andrade, J.C.; Vasconcelos, I. Production of 1,3-propanediol by clostridium butyricum vpi 3266 in continuous cultures with high yield and productivity. J. Ind. Microbiol. Biotechnol. 2005, 32, 391–396. [Google Scholar] [CrossRef]
  28. Sarma, S.J.; Brar, S.K.; Sydney, E.B.; Le Bihan, Y.; Buelna, G.; Soccol, C.R. Microbial hydrogen production by bioconversion of crude glycerol: A review. Int. J. Hydrog. Energy 2012, 37, 6473–6490. [Google Scholar] [CrossRef]
  29. Moslemy, P.; Neufeld, R.J.; Guiot, S.R. Biodegradation of gasoline by gellan gum-encapsulated bacterial cells. Biotechnol. Bioeng. 2002, 80, 175–184. [Google Scholar] [CrossRef] [PubMed]
  30. Schlieker, M.; Vorlop, K.-D. A novel immobilization method for entrapment: Lentikats®. In Immobilization of Enzymes and Cells; Guisan, J.M., Ed.; Humana Press: Totowa, NJ, USA, 2006; pp. 333–343. [Google Scholar]
  31. Dolejš, I.; Krasňan, V.; Stloukal, R.; Rosenberg, M.; Rebroš, M. Butanol production by immobilised clostridium acetobutylicum in repeated batch, fed-batch, and continuous modes of fermentation. Bioresour. Technol. 2014, 169, 723–730. [Google Scholar] [CrossRef]
  32. Rebroš, M.; Dolejš, I.; Rosenberg, M. Method for Preparation of Immobilisates of clostridium sp. to Polyvinyl Alcohol Gel for Production of Organic Acids and Chemicals. Patent application SK288469, 2 June 2017. [Google Scholar]
  33. Biebl, H.; Marten, S.; Hippe, H.; Deckwer, W.-D. Glycerol conversion to 1,3-propanediol by newly isolated clostridia. Appl. Microbiol. Biotechnol. 1992, 36, 592–597. [Google Scholar] [CrossRef]
  34. De Vasconcelos, J.N.; Lopes, C.E.; De França, F.P. Continuous ethanol production using yeast immobilized on sugar-cane stalks. Braz. J. Chem. Eng. 2004, 21, 357–365. [Google Scholar] [CrossRef]
  35. Sarchami, T.; Munch, G.; Johnson, E.; Kießlich, S.; Rehmann, L. A review of process-design challenges for industrial fermentation of butanol from crude glycerol by non-biphasic clostridium pasteurianum. Fermentation 2016, 2, 13. [Google Scholar] [CrossRef]
  36. Rebroš, M.; Dolejš, I.; Stloukal, R.; Rosenberg, M. Butyric acid production with clostridium tyrobutyricum immobilised to pva gel. Process Biochem. 2016, 51, 704–708. [Google Scholar] [CrossRef]
  37. Dolejš, I.; Rebroš, M.; Rosenberg, M. Immobilisation of clostridium spp. For production of solvents and organic acids. Chem. Pap. 2014, 68, 1–14. [Google Scholar] [CrossRef]
  38. Huang, W.-C.; Chen, S.-J.; Chen, T.-L. Production of hyaluronic acid by repeated batch fermentation. Biochem. Eng. J. 2008, 40, 460–464. [Google Scholar] [CrossRef]
  39. Sanda, T.; Hasunuma, T.; Matsuda, F.; Kondo, A. Repeated-batch fermentation of lignocellulosic hydrolysate to ethanol using a hybrid saccharomyces cerevisiae strain metabolically engineered for tolerance to acetic and formic acids. Bioresour. Technol. 2011, 102, 7917–7924. [Google Scholar] [CrossRef]
  40. Rebroš, M.; Rosenberg, M.; Stloukal, R.; Krištofíková, L. High efficiency ethanol fermentation by entrapment of zymomonas mobilis into lentikats®. Lett. Appl. Microbiol. 2005, 41, 412–416. [Google Scholar] [CrossRef] [PubMed]
  41. Rosenberg, M.; Rebroš, M.; Krištofíková, L.; Malátová, K. High temperature lactic acid production by bacillus coagulans immobilized in lentikats. Biotechnol. Lett. 2005, 27, 1943–1947. [Google Scholar] [CrossRef]
  42. González-Pajuelo, M.; Andrade, J.C.; Vasconcelos, I. Production of 1,3-propanediol by clostridium butyricum vpi 3266 using a synthetic medium and raw glycerol. J. Ind. Microbiol. Biotechnol. 2004, 31, 442–446. [Google Scholar] [CrossRef]
  43. Marmesat, S.; Rodrigues, E.; Velasco, J.; Dobarganes, C. Quality of used frying fats and oils: Comparison of rapid tests based on chemical and physical oil properties. Int. J. Food Sci. Technol. 2007, 42, 601–608. [Google Scholar] [CrossRef]
  44. Mandolesi de Araújo, C.D.; de Andrade, C.C.; de Souza e Silva, E.; Dupas, F.A. Biodiesel production from used cooking oil: A review. Renew. Sustain. Energy Rev. 2013, 27, 445–452. [Google Scholar] [CrossRef]
  45. Enweremadu, C.C.; Mbarawa, M.M. Technical aspects of production and analysis of biodiesel from used cooking oil—A review. Renew. Sustain. Energy Rev. 2009, 13, 2205–2224. [Google Scholar] [CrossRef]
  46. Chatzifragkou, A.; Dietz, D.; Komaitis, M.; Zeng, A.-P.; Papanikolaou, S. Effect of biodiesel-derived waste glycerol impurities on biomass and 1,3-propanediol production of clostridium butyricum vpi 1718. Biotechnol. Bioeng. 2010, 107, 76–84. [Google Scholar] [CrossRef] [PubMed]
  47. Papanikolaou, S.; Fick, M.; Aggelis, G. The effect of raw glycerol concentration on the production of 1,3-propanediol by clostridium butyricum. J. Chem. Technol. Biotechnol. 2004, 79, 1189–1196. [Google Scholar] [CrossRef]
  48. Liu, X.H.; Rebroš, M.; Dolejš, I.; Marr, A.C. Designing ionic liquids for the extraction of alcohols from fermentation broth: Phosphonium alkanesulfonates, solvents for diol extraction. ACS Sustain. Chem. Eng. 2017, 5, 8260–8268. [Google Scholar] [CrossRef]
  49. Stloukal, R.; Rosenberg, M.; Rebros, M. A Method for Industrial Production of Biocatalysts in the form of Enzymes or Microorganisms Immobilized in Polyvinyl Alcohol Gel, Their Use and Devices for Their Production. Patent Application No. WO2007104268, 20 September 2007. [Google Scholar]
Figure 1. Productivity, yield and duration of fermentation, in consecutive repeated batches, with different initial concentrations of pure glycerol.
Figure 1. Productivity, yield and duration of fermentation, in consecutive repeated batches, with different initial concentrations of pure glycerol.
Catalysts 09 00317 g001
Figure 2. Fermentation profiles for the 26th repeated batch, run with the immobilized cells, at an initial concentration of pure glycerol 45.5 ± 0.7 g/L.
Figure 2. Fermentation profiles for the 26th repeated batch, run with the immobilized cells, at an initial concentration of pure glycerol 45.5 ± 0.7 g/L.
Catalysts 09 00317 g002
Figure 3. Images of spontaneous immobilization of C. butyricum adjacent to the PVA particle surface, as captured by the electron microscope JEOL 7500F using KRYO system Quorum at resolution (A) ×500 (B) ×1000 and (C) ×2500.
Figure 3. Images of spontaneous immobilization of C. butyricum adjacent to the PVA particle surface, as captured by the electron microscope JEOL 7500F using KRYO system Quorum at resolution (A) ×500 (B) ×1000 and (C) ×2500.
Catalysts 09 00317 g003
Figure 4. Productivity, fermentation time, and yield of 1,3-PD achieved in repeated consecutive fermentations of glycerol, at initial concentration 20.0 ± 0.2 g/L (A—UCO-derived crude glycerol), 41.5 ± 2.3 g/L (B—UCO-derived crude glycerol), 47.5 ± 1.5 g/L (C—pure glycerol for revitalization protocol), and 40.0 ± 1.2 g/L (D—RO-derived crude glycerol).
Figure 4. Productivity, fermentation time, and yield of 1,3-PD achieved in repeated consecutive fermentations of glycerol, at initial concentration 20.0 ± 0.2 g/L (A—UCO-derived crude glycerol), 41.5 ± 2.3 g/L (B—UCO-derived crude glycerol), 47.5 ± 1.5 g/L (C—pure glycerol for revitalization protocol), and 40.0 ± 1.2 g/L (D—RO-derived crude glycerol).
Catalysts 09 00317 g004
Figure 5. Seven repeated batch fermentations of the UCO-derived crude glycerol (initial concentration: 20.0 ± 0.2 g/L) with the immobilized cells.
Figure 5. Seven repeated batch fermentations of the UCO-derived crude glycerol (initial concentration: 20.0 ± 0.2 g/L) with the immobilized cells.
Catalysts 09 00317 g005
Figure 6. First 10 repeated batch fermentations with immobilized cells and crude glycerol derived from RO, at an initial concentration of 40.0 ± 1.2 g/L.
Figure 6. First 10 repeated batch fermentations with immobilized cells and crude glycerol derived from RO, at an initial concentration of 40.0 ± 1.2 g/L.
Catalysts 09 00317 g006

Share and Cite

MDPI and ACS Style

Dolejš, I.; Líšková, M.; Krasňan, V.; Markošová, K.; Rosenberg, M.; Lorenzini, F.; Marr, A.C.; Rebroš, M. Production of 1,3-Propanediol from Pure and Crude Glycerol Using Immobilized Clostridium butyricum. Catalysts 2019, 9, 317. https://doi.org/10.3390/catal9040317

AMA Style

Dolejš I, Líšková M, Krasňan V, Markošová K, Rosenberg M, Lorenzini F, Marr AC, Rebroš M. Production of 1,3-Propanediol from Pure and Crude Glycerol Using Immobilized Clostridium butyricum. Catalysts. 2019; 9(4):317. https://doi.org/10.3390/catal9040317

Chicago/Turabian Style

Dolejš, Igor, Monika Líšková, Vladimír Krasňan, Kristína Markošová, Michal Rosenberg, Fabio Lorenzini, Andrew C. Marr, and Martin Rebroš. 2019. "Production of 1,3-Propanediol from Pure and Crude Glycerol Using Immobilized Clostridium butyricum" Catalysts 9, no. 4: 317. https://doi.org/10.3390/catal9040317

APA Style

Dolejš, I., Líšková, M., Krasňan, V., Markošová, K., Rosenberg, M., Lorenzini, F., Marr, A. C., & Rebroš, M. (2019). Production of 1,3-Propanediol from Pure and Crude Glycerol Using Immobilized Clostridium butyricum. Catalysts, 9(4), 317. https://doi.org/10.3390/catal9040317

Note that from the first issue of 2016, this journal uses article numbers instead of page numbers. See further details here.

Article Metrics

Back to TopTop