Enzymatic Production of Lauroyl and Stearoyl Monoesters of d-Xylose, l-Arabinose, and d-Glucose as Potential Lignocellulosic-Derived Products, and Their Evaluation as Antimicrobial Agents
Abstract
1. Introduction
2. Results and Discussion
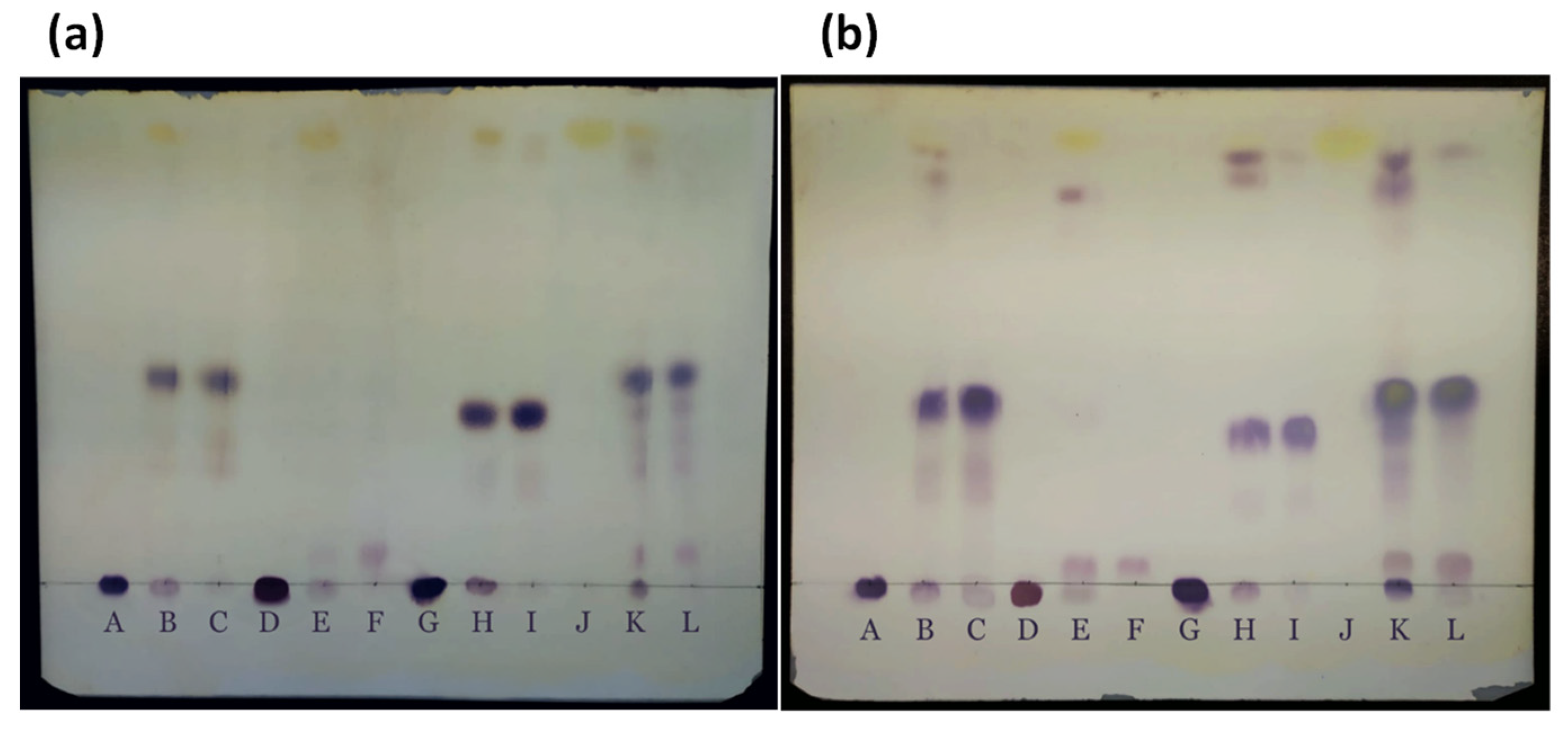
2.1. Synthesis of Sugars Laurate and Stearate Esters
2.2. Antibacterial and Antifungal Activity of Sugars Laurate and Stearate Esters
3. Materials and Methods
3.1. Chemicals and Materials
3.2. Enzymatic Synthesis of Sugar Fatty Acid Esters
3.3. Purification of Sugar Fatty Acid Products
3.4. Analysis of Sugar Fatty Acid Products
3.4.1. TLC Analysis
3.4.2. NMR Spectroscopy
3.5. Agar Diffusion Assay
Antifungal Activity
4. Conclusions
Supplementary Materials
Author Contributions
Funding
Data Availability Statement
Acknowledgments
Conflicts of Interest
References
- Faraco, V. Lignocellulose Conversion: Enzymatic and Microbial Tools for Bioethanol Production; Springer: Berlin/Heidelberg, Germany, 2013; ISBN 9783642378614. [Google Scholar]
- Mussatto, S.I. Biomass Fractionation Technologies for a Lignocellulosic Feedstock Based Biorefinery; Elsevier: Amsterdam, The Netherlands, 2016. [Google Scholar]
- Makhuvele, R.; Ncube, I.; Jansen van Rensburg, E.L.; La Grange, D.C. Isolation of Fungi from Dung of Wild Herbivores for Application in Bioethanol Production. Braz. J. Microbiol. 2017, 48, 648–655. [Google Scholar] [CrossRef]
- Ni, J.; Li, Q.; Gong, L.; Liao, X.-L.; Zhang, Z.-J.; Ma, C.; He, Y. Highly Efficient Chemoenzymatic Cascade Catalysis of Biomass into Furfurylamine by a Heterogeneous Shrimp Shell-Based Chemocatalyst and an ω-Transaminase Biocatalyst in Deep Eutectic Solvent–Water. ACS Sustain. Chem. Eng. 2021, 9, 13084–13095. [Google Scholar] [CrossRef]
- Li, Q.; Ren, J.Q.; Li, Q.; Di, J.H.; Ma, C.; He, Y. Sustainable Conversion of Biomass-Derived D-xylose to Furfuryl Alcohol in a Deep Eutectic Solvent-Water System. ACS Sustain. Chem. Eng. 2021, 9, 10299–10308. [Google Scholar] [CrossRef]
- Li, Q.; Di, J.; Liao, X.; Ni, J.; Li, Q.; He, Y.-C.; Ma, C. Exploration of Benign Deep Eutectic Solvent–Water Systems for the Highly Efficient Production of Furfurylamine from Sugarcane Bagasse via Chemoenzymatic Cascade Catalysis. Green Chem. 2021, 23, 8154–8168. [Google Scholar] [CrossRef]
- Freitas, L.C.; Barbosa, J.R.; da Costa, A.L.C.; Bezerra, F.W.F.; Pinto, R.H.H.; de Carvalho Junior, R.N. From Waste to Sustainable Industry: How Can Agro-Industrial Wastes Help in the Development of New Products? Resour. Conserv. Recycl. 2021, 169, 105466. [Google Scholar] [CrossRef]
- Wu, M.; Gong, L.; Ma, C.; He, Y.C. Enhanced Enzymatic Saccharification of Sorghum Straw by Effective Delignification via Combined Pretreatment with Alkali Extraction and Deep Eutectic Solvent Soaking. Bioresour. Technol. 2021, 340, 125695. [Google Scholar] [CrossRef] [PubMed]
- Haldar, D.; Purkait, M.K. A Review on the Environment-Friendly Emerging Techniques for Pretreatment of Lignocellulosic Biomass: Mechanistic Insight and Advancements. Chemosphere 2021, 264, 128523. [Google Scholar] [CrossRef]
- Alokika; Anu; Kumar, A.; Kumar, V.; Singh, B. Cellulosic and Hemicellulosic Fractions of Sugarcane Bagasse: Potential, Challenges and Future Perspective. Int. J. Biol. Macromol. 2021, 169, 564–582. [Google Scholar] [CrossRef]
- Botto, E.; Reina, L.; Moyna, G.; Menéndez, P.; Rodríguez, P. Insights into the Hydrolysis of Eucalyptus Dunnii Bark by Xylanolytic Extracts of Pseudozyma sp. Biomass Convers. Biorefinery 2020, 1–8. [Google Scholar] [CrossRef]
- Schoofs, L.; Weidener, D.; Schurr, U.; Klose, H.; Grande, P.M. Fractionation of Lignocellulosic Biomass Using the Organocat Process. J. Vis. Exp. 2021, 2021, e61933. [Google Scholar] [CrossRef]
- Song, B.; Lin, R.; Lam, C.H.; Wu, H.; Tsui, T.H.; Yu, Y. Recent Advances and Challenges of Inter-Disciplinary Biomass Valorization by Integrating Hydrothermal and Biological Techniques. Renew. Sustain. Energy Rev. 2021, 135, 110370. [Google Scholar] [CrossRef]
- Botto, E.; Gioia, L.; del Pilar Menéndez, M.; Rodríguez, P. Pseudozyma sp. Isolation from Eucalyptus Leaves and Its Hydrolytic Activity over Xylan. Biocatal. Agric. Biotechnol. 2019, 21, 101282. [Google Scholar] [CrossRef]
- Bonfiglio, F.; Cagno, M.; Yamakawa, C.K.; Mussatto, S.I. Production of Xylitol and Carotenoids from Switchgrass and Eucalyptus Globulus Hydrolysates Obtained by Intensified Steam Explosion Pretreatment. Ind. Crop. Prod. 2021, 170, 113800. [Google Scholar] [CrossRef]
- Abdulmalek, E.; Hamidon, N.F.; Abdul Rahman, M.B. Optimization and Characterization of Lipase Catalysed Synthesis of Xylose Caproate Ester in Organic Solvents. J. Mol. Catal. B Enzym. 2016, 132, 1–4. [Google Scholar] [CrossRef]
- Méline, T.; Muzard, M.; Deleu, M.; Rakotoarivonina, H.; Plantier-Royon, R.; Rémond, C. D-Xylose and L-Arabinose Laurate Esters: Enzymatic Synthesis, Characterization and Physico-Chemical Properties. Enzym. Microb. Technol. 2018, 112, 14–21. [Google Scholar] [CrossRef]
- El-Baz, H.A.; Elazzazy, A.M.; Saleh, T.S.; Dourou, M.; Mahyoub, J.A.; Baeshen, M.N.; Madian, H.R.; Aggelis, G. Enzymatic Synthesis of Glucose Fatty Acid Esters Using Scos as Acyl Group-Donors and Their Biological Activities. Appl. Sci. 2021, 11, 2700. [Google Scholar] [CrossRef]
- Campana, R.; Merli, A.; Verboni, M.; Biondo, F.; Favi, G.; Duranti, A.; Lucarini, S. Synthesis and Evaluation of Saccharide-Based Aliphatic and Aromatic Esters as Antimicrobial and Antibiofilm Agents. Pharmaceuticals 2019, 12, 186. [Google Scholar] [CrossRef]
- Lucarini, S.; Fagioli, L.; Campana, R.; Cole, H.; Duranti, A.; Baffone, W.; Vllasaliu, D.; Casettari, L. Unsaturated Fatty Acids Lactose Esters: Cytotoxicity, Permeability Enhancement and Antimicrobial Activity. Eur. J. Pharm. Biopharm. 2016, 107, 88–96. [Google Scholar] [CrossRef]
- Zago, E.; Joly, N.; Chaveriat, L.; Lequart, V.; Martin, P. Enzymatic Synthesis of Amphiphilic Carbohydrate Esters: Influence of Physicochemical and Biochemical Parameters. Biotechnol. Rep. 2021, 30, e00631. [Google Scholar] [CrossRef]
- Gonçalves, M.C.P.; Amaral, J.C.; Fernandez-Lafuente, R.; de Sousa Junior, R.; Tardioli, P.W. Lipozyme 435-Mediated Synthesis of Xylose Oleate in Methyl Ethyl Ketone. Molecules 2021, 26, 3317. [Google Scholar] [CrossRef]
- Šabeder, S.; Habulin, M.; Knez, Ž. Lipase-Catalyzed Synthesis of Fatty Acid Fructose Esters. J. Food Eng. 2006, 77, 880–886. [Google Scholar] [CrossRef]
- Arcos, J.A.; Hill, C.G.; Otero, C. Kinetics of the Lipase-Catalyzed Synthesis of Glucose Esters in Acetone. Biotechnol. Bioeng. 2001, 73, 104–110. [Google Scholar] [CrossRef] [PubMed]
- Bezbradica, D.; Crovic, M.; Tanaskovic, J.S.; Lukovic, N.; Carevic, M.; Milivojevic, A.; Knezevic-Jugovic, Z. Enzymatic Syntheses of Esters—Green Chemistry for Valuable Food, Fuel and Fine Chemicals. Curr. Org. Chem. 2017, 21, 104–138. [Google Scholar] [CrossRef]
- Kapoor, M.; Gupta, M.N. Lipase Promiscuity and Its Biochemical Applications. Process Biochem. 2012, 47, 555–569. [Google Scholar] [CrossRef]
- Teng, Y.; Stewart, S.G.; Hai, Y.W.; Li, X.; Banwell, M.G.; Lan, P. Sucrose Fatty Acid Esters: Synthesis, Emulsifying Capacities, Biological Activities and Structure-Property Profiles. Crit. Rev. Food Sci. Nutr. 2021, 61, 3297–3317. [Google Scholar] [CrossRef] [PubMed]
- Grüninger, J.; Delavault, A.; Ochsenreither, K. Enzymatic Glycolipid Surfactant Synthesis from Renewables. Process Biochem. 2019, 87, 45–54. [Google Scholar] [CrossRef]
- Neta, N.S.; Teixeira, J.A.; Rodrigues, L.R. Sugar Ester Surfactants: Enzymatic Synthesis and Applications in Food Industry. Crit. Rev. Food Sci. Nutr. 2015, 55, 595–610. [Google Scholar] [CrossRef] [PubMed]
- Weber, H.K.; Stecher, H.; Faber, K. Sensitivity of Microbial Lipases to Acetaldehyde Formed by Acyl-Transfer Reactions from Vinyl Esters. Biotechnol. Lett. 1995, 17, 803–808. [Google Scholar] [CrossRef]
- Arcens, D.; Grau, E.; Grelier, S.; Cramail, H.; Peruch, F. 6-O-Glucose Palmitate Synthesis with Lipase: Investigation of Some Key Parameters. Mol. Catal. 2018, 460, 63–68. [Google Scholar] [CrossRef]
- An, D.; Zhang, X.; Liang, F.; Xian, M.; Feng, D.; Ye, Z. Synthesis, Surface Properties of Glucosyl Esters from Renewable Materials for Use as Biosurfactants. Colloids Surfaces A Physicochem. Eng. Asp. 2019, 577, 257–264. [Google Scholar] [CrossRef]
- Pappalardo, V.M.; Boeriu, C.G.; Zaccheria, F.; Ravasio, N. Synthesis and Characterization of Arabinose-Palmitic Acid Esters by Enzymatic Esterification. Mol. Catal. 2017, 433, 383–390. [Google Scholar] [CrossRef]
- Chang, S.W.; Shaw, J.F. Biocatalysis for the Production of Carbohydrate Esters. New Biotechnol. 2009, 26, 109–116. [Google Scholar] [CrossRef] [PubMed]
- de Carvalho Lima Torres, A.; de Lima, L.N.; Tardioli, P.W.; de Sousa Júnior, R. Mathematical Modeling of Enzymatic Syntheses of Biosurfactants Catalyzed by Immobilized Lipases. React. Kinet. Mech. Catal. 2020, 130, 699–712. [Google Scholar] [CrossRef]
- Gumel, A.M.; Annuar, M.S.M.; Heidelberg, T.; Chisti, Y. Lipase Mediated Synthesis of Sugar Fatty Acid Esters. Process Biochem. 2011, 46, 2079–2090. [Google Scholar] [CrossRef]
- Degn, P.; Pedersen, L.H.; Duus, J.Ø.; Zimmermann, W. Lipase-Catalysed Synthesis of Glucose Fatty Acid Esters in Tert-Butanol. Biotechnol. Lett. 1999, 21, 275–280. [Google Scholar] [CrossRef]
- Kennedy, J.F.; Kumar, H.; Panesar, P.; Marwaha, S.S.; Goyal, R.; Parmar, A.; Kaur, S. Enzyme-Catalyzed Regioselective Synthesis of Sugar Esters and Related Compounds. J. Chem. Technol. Biotechnol. 2007, 81, 866–876. [Google Scholar] [CrossRef]
- Martinez-Garcia, M.; Dejonghe, W.; Cauwenberghs, L.; Maesen, M.; Vanbroekhoven, K.; Satyawali, Y. Enzymatic Synthesis of Glucose- and Xylose Laurate Esters Using Different Acyl Donors, Higher Substrate Concentrations, and Membrane Assisted Solvent Recovery. Eur. J. Lipid Sci. Technol. 2021, 123, 2000225. [Google Scholar] [CrossRef]
- Vescovi, V.; dos Santos, J.B.C.; Tardioli, P.W. Porcine Pancreatic Lipase Hydrophobically Adsorbed on Octyl-Silica: A Robust Biocatalyst for Syntheses of Xylose Fatty Acid Esters. Biocatal. Biotransform. 2017, 35, 298–305. [Google Scholar] [CrossRef]
- Ferrer, M.; Perez, G.; Plou, F.J.; Castell, J.V.; Ballesteros, A. Antitumour Activity of Fatty Acid Maltotriose Esters Obtained by Enzymatic Synthesis. Biotechnol. Appl. Biochem. 2005, 42, 35. [Google Scholar] [CrossRef]
- Zhao, L.; Zhang, H.; Hao, T.; Li, S. In Vitro Antibacterial Activities and Mechanism of Sugar Fatty Acid Esters against Five Food-Related Bacteria. Food Chem. 2015, 187, 370–377. [Google Scholar] [CrossRef]
- Ferrer, M.; Soliveri, J.; Plou, F.J.; López-Cortés, N.; Reyes-Duarte, D.; Christensen, M.; Copa-Patiño, J.L.; Ballesteros, A. Synthesis of Sugar Esters in Solvent Mixtures by Lipases from Thermomyces Lanuginosus and Candida Antarctica B, and Their Antimicrobial Properties. Enzym. Microb. Technol. 2005, 36, 391–398. [Google Scholar] [CrossRef]
- Furukawa, S.; Akiyoshi, Y.; O’Toole, G.A.; Ogihara, H.; Morinaga, Y. Sugar Fatty Acid Esters Inhibit Biofilm Formation by Food-Borne Pathogenic Bacteria. Int. J. Food Microbiol. 2010, 138, 176–180. [Google Scholar] [CrossRef] [PubMed]
- Habulin, M.; Šabeder, S.; Knez, Ž. Enzymatic Synthesis of Sugar Fatty Acid Esters in Organic Solvent and in Supercritical Carbon Dioxide and Their Antimicrobial Activity. J. Supercrit. Fluids 2008, 45, 338–345. [Google Scholar] [CrossRef]
- Zhang, X.; Song, F.; Taxipalati, M.; Wei, W.; Feng, F. Comparative Study of Surface-Active Properties and Antimicrobial Activities of Disaccharide Monoesters. PLoS ONE 2014, 9, e114845. [Google Scholar] [CrossRef] [PubMed]
- Cortés, J.C.G.; Curto, M.Á.; Carvalho, V.S.D.; Pérez, P.; Ribas, J.C. The Fungal Cell Wall as a Target for the Development of New Antifungal Therapies. Biotechnol. Adv. 2019, 37, 107352. [Google Scholar] [CrossRef] [PubMed]
- Yosief, H.O.; Sarker, M.I. Naturally Derived Fatty Acid Based Antibacterial Agents. In Conversion of Renewable Biomass into Bioproducts; ACS Symposium Series; American Chemical Society: Washington, DC, USA, 2021; Volume 1392, pp. 6–91. ISBN 9780841298149. [Google Scholar]
- Malá, L.; Laloučková, K.; Hovorková, P.; Skřivanová, E. Susceptibility of Aeromonas Hydrophila to Medium-Chain Fatty Acids and Their Monoesters. Sci. Agric. Bohem. 2020, 51, 58–64. [Google Scholar] [CrossRef]
- Lee, S.M.; Sandhu, G.; Walsh, M.K. Growth Inhibitory Properties of Lactose Fatty Acid Esters. Saudi J. Biol. Sci. 2017, 24, 1483–1488. [Google Scholar] [CrossRef][Green Version]
- Xie, Y.; Guo, X.; Ma, Z.; Gong, J.; Wang, H.; Lv, Y. Efficient Extraction and Structural Characterization of Hemicellulose from Sugarcane Bagasse Pith. Polymers 2020, 12, 608. [Google Scholar] [CrossRef]
- Du Toit, P.J.; Olivier, S.P.; van Biljon, P.L. Sugar Cane Bagasse as a Possible Source of Fermentable Carbohydrates. I. Characterization of Bagasse with Regard to Monosaccharide, Hemicellulose, and Amino Acid Composition. Biotechnol. Bioeng. 1984, 26, 1071–1078. [Google Scholar] [CrossRef]
- Bian, J.; Peng, F.; Peng, X.P.; Xu, F.; Sun, R.C.; Kennedy, J.F. Isolation of Hemicelluloses from Sugarcane Bagasse at Different Temperatures: Structure and Properties. Carbohydr. Polym. 2012, 88, 638–645. [Google Scholar] [CrossRef]
- Lundborg, M.; Widmalm, G. Structural Analysis of Glycans by NMR Chemical Shift Prediction. Anal. Chem. 2011, 83, 1514–1517. [Google Scholar] [CrossRef] [PubMed]
- Oguntimein, G.B.; Erdmann, H.; Schmid, R.D. Lipase Catalysed Synthesis of Sugar Ester in Organic Solvents. Biotechnol. Lett. 1993, 15, 175–180. [Google Scholar] [CrossRef]
- Scheckermann, C.; Schlotterbeck, A.; Schmidt, M.; Wray, V.; Lang, S. Enzymatic Monoacylation of Fructose by Two Procedures. Enzym. Microb. Technol. 1995, 17, 157–162. [Google Scholar] [CrossRef]
- Tsitsimpikou, C.; Daflos, H.; Kolisis, F.N. Comparative Studies on the Sugar Esters Synthesis Catalysed by Candida Antarctica and Candida Rugosa Lipases in Hexane. J. Mol. Catal. B Enzym. 1997, 3, 189–192. [Google Scholar] [CrossRef]
- de Lima, L.N.; Vieira, G.N.A.; Kopp, W.; Tardioli, P.W.; Giordano, R.L.C. Mono- and Heterofunctionalized Silica Magnetic Microparticles (SMMPs) as New Carriers for Immobilization of Lipases. J. Mol. Catal. B Enzym. 2016, 133, S491–S499. [Google Scholar] [CrossRef]
- Danieli, B.; Luisetti, M.; Steurer, S.; Michelitsch, A.; Likussar, W.; Riva, S.; Reiner, J.; Schubert-Zsilavecz, M. Application of Lipase-Catalyzed Regioselective Esterification in the Preparation of Digitonin Derivatives. J. Nat. Prod. 1999, 62, 670–673. [Google Scholar] [CrossRef] [PubMed]
- Bidjou-Haiour, C.; Klai, N. Lipase Catalyzed Synthesis of Fatty Acid Xylose Esters and Their Surfactant Properties. Asian J. Chem. 2013, 25, 4347–4350. [Google Scholar] [CrossRef]
- Bouzaouit, N.; Bidjou-Haiour, C. Optimization of Lipase Catalyzed Synthesis of Fatty Acid Xylose Ester Using Statistical Experimental Designs. Sch. Res. Libr. Der Pharma Chem. 2015, 7, 261–269. [Google Scholar]
- Davidson, P.M.; Kabara, J.J.; Marshall, D.L. Medium-Chain Fatty Acids (>C8) and Monoesters. In Antimicrobials in Food; CRC Press: Boca Raton, FL, USA, 2020; pp. 373–404. [Google Scholar]
- Ye, R.; Hayes, G.D. Bioactive Properties of Sugar Fatty Acid Esters. In Frontiers in Bioactive Compounds at the Crossroads between Nutrition and Pharmacology; Bentham Science Publishers: Sharjah, United Arab Emirates, 2017. [Google Scholar]
- AlFindee, M.N.; Zhang, Q.; Subedi, Y.P.; Shrestha, J.P.; Kawasaki, Y.; Grilley, M.; Takemoto, J.Y.; Chang, C.W.T. One-Step Synthesis of Carbohydrate Esters as Antibacterial and Antifungal Agents. Bioorganic Med. Chem. 2018, 26, 765–774. [Google Scholar] [CrossRef]
- Shao, S.Y.; Shi, Y.G.; Wu, Y.; Bian, L.Q.; Zhu, Y.J.; Huang, X.Y.; Pan, Y.; Zeng, L.Y.; Zhang, R.R. Lipase-Catalyzed Synthesis of Sucrose Monolaurate and Its Antibacterial Property and Mode of Action against Four Pathogenic Bacteria. Molecules 2018, 23, 1118. [Google Scholar] [CrossRef]
- Wagh, A.; Shen, S.; Shen, F.A.; Miller, C.D.; Walsha, M.K. Effect of Lactose Monolaurate on Pathogenic and Nonpathogenic Bacteria. Appl. Environ. Microbiol. 2012, 78, 3465–3468. [Google Scholar] [CrossRef] [PubMed]
- Nobmann, P.; Smith, A.; Dunne, J.; Henehan, G.; Bourke, P. The Antimicrobial Efficacy and Structure Activity Relationship of Novel Carbohydrate Fatty Acid Derivatives against Listeria Spp. and Food Spoilage Microorganisms. Int. J. Food Microbiol. 2009, 128, 440–445. [Google Scholar] [CrossRef] [PubMed]
- Zhu, J.P.; Liang, M.Y.; Ma, Y.R.; White, L.V.; Banwell, M.G.; Teng, Y.; Lan, P. Enzymatic Synthesis of an Homologous Series of Long- and Very Long-Chain Sucrose Esters and Evaluation of Their Emulsifying and Biological Properties. Food Hydrocoll. 2022, 124, 107149. [Google Scholar] [CrossRef]
- Park, K.M.; Lee, S.J.; Yu, H.; Park, J.Y.; Jung, H.S.; Kim, K.; Lee, C.J.; Chang, P.S. Hydrophilic and Lipophilic Characteristics of Non-Fatty Acid Moieties: Significant Factors Affecting Antibacterial Activity of Lauric Acid Esters. Food Sci. Biotechnol. 2018, 27, 401–409. [Google Scholar] [CrossRef]
- Jumina, J.; Mutmainah, M.; Purwono, B.; Kurniawan, Y.S.; Syah, Y.M. Antibacterial and Antifungal Activity of Three Monosaccharide Monomyristate Derivatives. Molecules 2019, 24, 3692. [Google Scholar] [CrossRef]
- Řiháková, Z.; Plocková, M.; Filip, V.; Šmidrkal, J. Antifungal Activity of Lauric Acid Derivatives against Aspergillus Niger. Eur. Food Res. Technol. 2001, 213, 488–490. [Google Scholar] [CrossRef]
- Matin, M.M.; Hasan, M.S.; Uzzaman, M.; Bhuiyan, M.M.H.; Kibria, S.M.; Hossain, M.E.; Roshid, M.H.O. Synthesis, Spectroscopic Characterization, Molecular Docking, and ADMET Studies of Mannopyranoside Esters as Antimicrobial Agents. J. Mol. Struct. 2020, 1222, 128821. [Google Scholar] [CrossRef]
- Karlova, T.; Poláková, L.; Šmidrkal, J.; Filip, V. Antimicrobial Effects of Fatty Acid Fructose Esters. Czech J. Food Sci. 2010, 28, 146–149. [Google Scholar] [CrossRef]
- Zhang, X.; Wei, W.; Cao, X.; Feng, F. Characterization of Enzymatically Prepared Sugar Medium-Chain Fatty Acid Monoesters. J. Sci. Food Agric. 2015, 95, 1631–1637. [Google Scholar] [CrossRef]
- Tabisz, Ł.; Piotrowicz, Z.; Dąbrowska, M.; Dobrowolska, A.; Czaczyk, K.; Nowak, I.; Łęska, B. Sweet Surfactants I: Fatty Acid Esters of Sucralose. Food Chem. 2021, 358, 129827. [Google Scholar] [CrossRef]
- Watanabe, T.; Katayama, S.; Matsubara, M.; Honda, Y.; Kuwahara, M. Antibacterial Carbohydrate Monoesters Suppressing Cell Growth of Streptococcus Mutans in the Presence of Sucrose. Curr. Microbiol. 2000, 41, 210–213. [Google Scholar] [CrossRef] [PubMed]
- Clinical and Laboratory Standards Institute. Performance Standards for Antimicrobial Disk Susceptibility Tests: Approved Standard—Eleventh Edition; National Committee for Clinical Laboratory Standards/Clinical Laboratory Standards Institute, NCCLS/CLSI: Wayne, PA, USA, 2012; Volume 32, ISBN 1562384856. [Google Scholar]
- Giorgi, V.; Chaves, M.; Menéndez, P.; García Carnelli, C. Bioprospecting of Whole-Cell Biocatalysts for Cholesterol Biotransformation. World J. Microbiol. Biotechnol. 2019, 35, 12. [Google Scholar] [CrossRef] [PubMed]
- García, C.; Rodríguez, P.; Días, E.; Heinzen, H.; Menéndez, P. Biooxidation of 1,8-Cineole by Aspergillus Terreus. J. Mol. Catal. B Enzym. 2009, 59, 173–176. [Google Scholar] [CrossRef]
- Verboni, M.; Lucarini, S.; Duranti, A. 6’ -O-Lactose Ester Surfactants as an Innovative Opportunity in the Pharmaceutical Field: From Synthetic Methods to Biological Applications. Pharmaceuticals 2021, 14, 1306. [Google Scholar] [CrossRef] [PubMed]
- Chandrika, M.K.V.S.; Sharma, S. Promising Antifungal Agents: A Minireview. Bioorganic Med. Chem. 2020, 28, 115398. [Google Scholar] [CrossRef]
- Verboni, M.; Benedetti, S.; Campana, R.; Sisti, M.; Duranti, A.; Lucarini, S.; Palma, F.; Potenza, L. Synthesis and Biological Characterization of the New Glycolipid Lactose Undecylenate (URB1418). Pharmaceuticals 2022, 15, 456. [Google Scholar] [CrossRef]
- Yu, Q.; Zhang, B.; Ma, F.; Jia, C.; Xiao, C.; Zhang, B.; Xing, L.; Li, M. Novel Mechanisms of Surfactants against Candida Albicans Growth and Morphogenesis. Chem. Biol. Interact. 2015, 227, 1–6. [Google Scholar] [CrossRef]
- Marathe, S.J.; Shah, N.N.; Singhal, R.S. Enzymatic Synthesis of Fatty Acid Esters of Trehalose: Process Optimization, Characterization of the Esters and Evaluation of Their Bioactivities. Bioorg. Chem. 2019, 94, 103460. [Google Scholar] [CrossRef]
- Matin, M.M.; Bhuiyan, M.M.H.; Kabir, E.; Sanaullah, A.F.M.; Rahman, M.A.; Hossain, M.E.; Uzzaman, M. Synthesis, Characterization, ADMET, PASS Predication, and Antimicrobial Study of 6-O-Lauroyl Mannopyranosides. J. Mol. Struct. 2019, 1195, 189–197. [Google Scholar] [CrossRef]
- Mutmainah; Jumina; Bambang, P. Chemical Synthesis of Monosaccharide Lauric Acid Esters as Antibacterial and Antifungal Agents. Mater. Sci. Forum 2019, 948, 63–68. [Google Scholar] [CrossRef]






| Compound | 1H/13C | ||||||
|---|---|---|---|---|---|---|---|
| 1 | 2 | 3 | 4 | 5 | 6 | ||
| α-L-Xylf5R-(1→ | (4) | 5.35 [4.0] | 3.94 | 4.17 | 4.34 | 4.14; 4.26 | |
| 97.6 | 77.8 | 76.8 | 77.5 | 64.4 | |||
| β-L-Xylf5R-(1→ | 5.09 [n.r.] | 3.97 | 4.06 | 4.31 | 4.25; 4.40 | ||
| 104.1 | 82.0 | 76.7 | 80.6 | 65.1 | |||
| α-D-Glcp6R-(1→ | (5) | 5.08 [3.7] | 3.35 | 3.67 | 3.29 | 3.96 | 4.19; 4.36 |
| 93.7 | 73.5 | 74.5 | 71.6 | 70.4 | 64.5 | ||
| α-L-Araf5R-(1→ | (6) | 5.12 [2.4] | 4.14 | 3.83 | 3.92 | 4.13; 4.28 | |
| 103.4 | 81.8 | 78.4 | 83.5 | 65.0 | |||
| β-L-Araf5R-(1→ | 5.19 [4.4] | 3.90 | 3.99 | 3.84 | 4.13; 4.28 | ||
| 97.3 | 78.2 | 76.9 | 80.7 | 66.6 | |||
| Zone of Inhibition 1 (mm) | |||||
|---|---|---|---|---|---|
| Compound | Concentration (mg/disk) | S. aureus | B. subtilis | B. cereus | C. albicans |
| 5-O-lauroyl-D-xylofuranose (4) | 0.50 | 16.5 | 20 | 19 | 0 |
| 0.25 | 14.5 | 19 | 19 | 0 | |
| 0.12 | 14.5 | 17 | 16.5 | 0 | |
| 0.025 | 12 | 10 | 10.5 | 0 | |
| 5-O-lauroyl-L-arabinofuranose (6) | 0.50 | 15.5 | 12 | 19 | 11.5 |
| 0.25 | 13.5 | 10.5 | 13 | 0 | |
| 0.12 | 11.5 | 10 | 11.5 | 0 | |
| 0.025 | 0 | 0 | 0 | 0 | |
| lauroyl esters mixture (4,5) | 0.50 | 16.5 | 16.5 | 15 | 0 |
| 0.25 | 16.5 | 16.5 | 17 | 0 | |
| 0.12 | 16 | 16 | 16 | 0 | |
| 0.025 | 14.5 | 12 | 13 | 0 | |
| Positive control | - | 19 | 20 | 22 | 25 |
| DMSO | - | 0 | 0 | 0 | 0 |
| Compound | Zone of Inhibition 1 (mm) | |||
|---|---|---|---|---|
| Aspergillusterreus | Fusarium sp. | Trichodermakoningiopsis | Penicillium sp. | |
| 5-O-lauroyl-arabinofuranose (6) | 13.5 | 20 | 19 | 20 |
| Positive control | 18 | 25 | 18 | 22 |
| DMSO | 0 | 0 | 0 | 0 |
Publisher’s Note: MDPI stays neutral with regard to jurisdictional claims in published maps and institutional affiliations. |
© 2022 by the authors. Licensee MDPI, Basel, Switzerland. This article is an open access article distributed under the terms and conditions of the Creative Commons Attribution (CC BY) license (https://creativecommons.org/licenses/by/4.0/).
Share and Cite
Giorgi, V.; Botto, E.; Fontana, C.; Della Mea, L.; Vaz, S., Jr.; Menéndez, P.; Rodríguez, P. Enzymatic Production of Lauroyl and Stearoyl Monoesters of d-Xylose, l-Arabinose, and d-Glucose as Potential Lignocellulosic-Derived Products, and Their Evaluation as Antimicrobial Agents. Catalysts 2022, 12, 610. https://doi.org/10.3390/catal12060610
Giorgi V, Botto E, Fontana C, Della Mea L, Vaz S Jr., Menéndez P, Rodríguez P. Enzymatic Production of Lauroyl and Stearoyl Monoesters of d-Xylose, l-Arabinose, and d-Glucose as Potential Lignocellulosic-Derived Products, and Their Evaluation as Antimicrobial Agents. Catalysts. 2022; 12(6):610. https://doi.org/10.3390/catal12060610
Chicago/Turabian StyleGiorgi, Victoria, Emiliana Botto, Carolina Fontana, Luca Della Mea, Silvio Vaz, Jr., Pilar Menéndez, and Paula Rodríguez. 2022. "Enzymatic Production of Lauroyl and Stearoyl Monoesters of d-Xylose, l-Arabinose, and d-Glucose as Potential Lignocellulosic-Derived Products, and Their Evaluation as Antimicrobial Agents" Catalysts 12, no. 6: 610. https://doi.org/10.3390/catal12060610
APA StyleGiorgi, V., Botto, E., Fontana, C., Della Mea, L., Vaz, S., Jr., Menéndez, P., & Rodríguez, P. (2022). Enzymatic Production of Lauroyl and Stearoyl Monoesters of d-Xylose, l-Arabinose, and d-Glucose as Potential Lignocellulosic-Derived Products, and Their Evaluation as Antimicrobial Agents. Catalysts, 12(6), 610. https://doi.org/10.3390/catal12060610

