T-Cell Mediated Immune Responses Induced in ret Transgenic Mouse Model of Malignant Melanoma
Abstract
:1. Introduction
2. Results
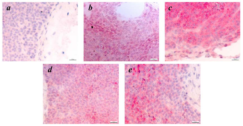
2.1. Expression of Melanoma Associated Antigens in Tumors of ret Transgenic Mice
2.2. Antigen-Unspecific T-cell Reactions in ret Transgenic Mice



2.3. Analysis of CTL Responses against the Model Antigen OVA in ret Transgenic Mice

2.4. CTLs from Transgenic Mice Exerted MAA-Specific Reactivity upon Immunization

3. Discussion
4. Experimental Section
4.1. Mice
4.2. Unspecific Stimulation of T cells in Vitro
4.3. Immunization of Mice
4.4. Tetramer Staining and Flow Cytometry
4.5. Immunohistochemistry
4.6. Synthetic Peptides
4.7. IFN-γ ELISPOT Assay
4.8. ELISA
4.9. Data Analysis
5. Conclusions
Conflict of Interest
Acknowledgements
References
- Garbe, C.; Peris, K.; Hauschild, A.; Saiag, P.; Middleton, M.; Spatz, A.; Grob, J.J.; Malvehy, J.; Newton-Bisop, J.; Stratigos, A.; et al. Diagnosis and treatment of melanoma: European consensus-based interdisciplinary guideline. Eur. J. Cancer 2010, 46, 270–283. [Google Scholar] [CrossRef]
- MacKie, R.M.; Hauschild, A.; Eggermont, A.M. Epidemiology of invasive cutaneous melanoma. Ann. Oncol. 2009, 20, vi1–vi7. [Google Scholar]
- Cipponi, A.; Wieers, G.; van Baren, N.; Coulie, P.G. Tumor-infiltrating lymphocytes: Apparently good for melanoma patients. But why? Cancer Immunol. Immunother 2011, 60, 1153–1160. [Google Scholar] [CrossRef]
- Parmiani, G.; Castelli, C.; Santinami, M.; Rivoltini, L. Melanoma immunology: Past, present and future. Curr. Opin. Oncol. 2007, 19, 121–127. [Google Scholar] [CrossRef]
- Ramirez-Montagut, T.; Turk, M.J.; Wolchok, J.D.; Guevara-Patino, J.A.; Houghton, A.N. Immunity to melanoma: Unraveling the relation of tumor immunity and autoimmunity. Oncogene 2003, 22, 3180–3187. [Google Scholar]
- Yuan, J.; Adamow, M.; Ginsberg, B.A.; Rasalan, T.S.; Ritter, E.; Gallardo, H.F.; Xu, Y.; Pogoriler, E.; Terzulli, S.L.; Kuk, D.; et al. Integrated NY-ESO-1 antibody and CD8+ T-cell responses correlate with clinical benefit in advanced melanoma patients treated with ipilimumab. Proc. Natl. Acad. Sci. USA 2011, 8, 16723–16728. [Google Scholar]
- Yee, C.; Thompson, J.A.; Byrd, D.; Riddell, S.R.; Roche, P.; Celis, E.; Greenberg, P.D. Adoptive T cell therapy using antigen-specific CD8+ T cell clones for the treatment of patients with metastatic melanoma: In vivo persistence, migration, and antitumor effect of transferred T cells. Proc. Natl. Acad. Sci. USA 2002, 99, 16168–16173. [Google Scholar]
- Mitchell, M.S.; Darrah, D.; Yeung, D.; Halpern, S.; Wallace, A.; Voland, J.; Jones, V.; Kan-Mitchell, J. Phase I trial of adoptive immunotherapy with cytolytic T lymphocytes immunized against a tyrosinase epitope. J. Clin. Oncol. 2002, 20, 1075–1086. [Google Scholar] [CrossRef]
- Mackensen, A.; Meidenbauer, N.; Vogl, S.; Laumer, M.; Berger, J.; Andreesen, R. Phase I study of adoptive T-cell therapy using antigen-specific CD8+ T cells for the treatment of patients with metastatic melanoma. J. Clin. Oncol. 2006, 24, 5060–5069. [Google Scholar]
- Novellino, L.; Castelli, C.; Parmiani, G. A listing of human tumor antigens recognized by T cells: March 2004 update. Cancer Immunol. Immunother. 2005, 54, 187–207. [Google Scholar] [CrossRef]
- Parmiani, G.; de Filippo, A.; Novellino, L.; Castelli, C. Unique human tumor antigens: Immunobiology and use in clinical trials. J. Immunol. 2007, 178, 1975–1979. [Google Scholar]
- Tüting, T.; Steitz, J.; Brück, J.; Gambotto, A.; Steinbrink, K.; DeLeo, A.B.; Robbins, P.; Knop, J.; Enk, A.H. Dendritic cell-based genetic immunization in mice with a recombinant adenovirus encoding murine TRP2 induces effective anti-melanoma immunity. J. Gene Med. 1999, 1, 400–406. [Google Scholar]
- Steitz, J.; Brück, J.; Gambotto, A.; Knop, J.; Tüting, T. Genetic immunization with a melanocytic self-antigen linked to foreign helper sequences breaks tolerance and induces autoimmunity and tumor immunity. Gene Ther. 2002, 9, 208–213. [Google Scholar]
- Bronte, V.; Apolloni, E.; Ronca, R.; Zamboni, P.; Overwijk, W.W.; Surman, D.R.; Restifo, N.P.; Zanovello, P. Genetic vaccination with “self” tyrosinase-related protein 2 causes melanoma eradication but not vitiligo. Cancer Res. 2000, 60, 253–258. [Google Scholar]
- Kato, M.; Takahashi, M.; Akhand, A.A.; Liu, W.; Dai, Y.; Shimizu, S.; Iwamoto, T.; Suzuki, H.; Nakashima, I. Transgenic mouse model for skin malignant melanoma. Oncogene 1998, 17, 1885–1888. [Google Scholar]
- Lengagne, R.; Le Gal, F.A.; Garcette, M.; Fiette, L.; Ave, P.; Briand, J.P.; Massot, C.; Nakashima, I.; Rénia, L.; Guillet, J.G.; et al. Spontaneous vitiligo in an animal model for human melanoma: Role of tumor-specific CD8+ T cells. Cancer Res. 2004, 64, 1496–1501. [Google Scholar]
- Umansky, V.; Abschuetz, O.; Osen, W.; Ramacher, M.; Zhao, F.; Kato, M.; Schadendorf, D. Melanoma-specific memory T cells are functionally active in Ret transgenic mice without macroscopic tumors. Cancer Res. 2008, 68, 9451–9458. [Google Scholar]
- Houghton, A.N.; Polsky, D. Focus on melanoma. Cancer Cell 2002, 2, 275–278. [Google Scholar]
- Lengagne, R.; Graff-Dubois, S.; Garcette, M.; Renia, L.; Kato, M.; Guillet, J.G.; Engelhard, V.H.; Avril, M.F.; Abastado, J.P.; Prévost-Blondel, A. Distinct role for CD8 T cells toward cutaneous tumors and visceral metastases. J. Immunol. 2008, 180, 130–137. [Google Scholar]
- Eyles, J.; Puaux, A.L.; Wang, X.; Toh, B.; Prakash, C.; Hong, M.; Tan, T.G.; Zheng, L.; Ong, L.C.; Jin, Y.; et al. Tumor cells disseminate early, but immunosurveillance limits metastatic outgrowth, in a mouse model of melanoma. J. Clin. Invest. 2010, 120, 2030–2039. [Google Scholar]
- Hong, M.; Puaux, A.L.; Huang, C.; Loumagne, L.; Tow, C.; Mackay, C.; Kato, M.; Prévost-Blondel, A.; Avril, M.F.; Nardin, A.; et al. Chemotherapy induces intratumoral expression of chemokines in cutaneous melanoma, favoring T-cell infiltration and tumor control. Cancer Res. 2011, 71, 6997–7009. [Google Scholar]
- Parkhurst, M.R.; Fitzgerald, E.B.; Southwood, S.; Sette, A.; Rosenberg, S.A.; Kawakami, Y. Identification of a shared HLA-A*0201-restricted T-cell epitope from the melanoma antigen tyrosinase-related protein 2 (TRP2). Cancer Res. 1998, 58, 4895–4901. [Google Scholar]
- Bloom, M.B.; Perry-Lalley, D.; Robbins, P.F.; Li, Y.; El-Gamil, M.; Rosenberg, S.A.; Yang, J.C. Identification of tyrosinase-related protein 2 as a tumor rejection antigen for the B16 melanoma. J. Exp. Med. 1997, 185, 453–459. [Google Scholar]
- Porgador, A.; Feldman, M.; Eisenbach, L. Immunotherapy of tumor metastasis via gene therapy. Nat. Immun. 1994, 13, 113–130. [Google Scholar]
- Kochenderfer, J.N.; Gress, R.E. A comparison and critical analysis of preclinical anticancer vaccination strategies. Exp. Biol. Med. 2007, 232, 1130–1141. [Google Scholar]
- Benjamin, C.L.; Melnikova, V.O.; Ananthaswamy, H.N. Models and mechanisms in malignant melanoma. Mol. Carcinog. 2007, 46, 671–678. [Google Scholar]
- Zaidi, M.R.; Day, C.-P.; Merlino, G. From UVs to Metastases: Modeling melanoma initiation and progression in the mouse. J. Invest. Dermatol. 2008, 128, 2381–2391. [Google Scholar]
- Becker, J.C.; Houben, R.; Schrama, D.; Voigt, H.; Ugurel, S.; Reisfeld, R.A. Mouse models for melanoma: A personal perspective. Exp. Dermatol. 2010, 19, 157–164. [Google Scholar]
- Boon, T.; Coulie, P.G.; van den Eynde, B.J.; van der Bruggen, P. Human T cell responses against melanoma. Annu. Rev. Immunol. 2006, 24, 175–208. [Google Scholar]
- Jandus, C.; Speiser, D.; Romero, P. Recent advances and hurdles in melanoma immunotherapy. Pigment Cell Melanoma Res. 2009, 22, 711–723. [Google Scholar]
- Balch, C.M.; Soong, S.J.; Murad, T.M.; Smith, J.W.; Maddox, W.A.; Durant, J.R. A multifactorial analysis of melanoma. IV. Prognostic factors in 200 melanoma patients with distant metastases (stage III). J. Clin. Oncol. 1983, 1, 126–134. [Google Scholar]
- Kianizad, K.; Marshall, L.A.; Grinshtein, N.; Bernard, D.; Margl, R.; Cheng, S.; Beermann, F.; Wan, Y.; Bramson, J. Elevated frequencies of self-reactive CD8+ T cells following immunization with a xenoantigen are due to the presence of a heteroclitic CD4+ T cell helper epitope. Cancer Res. 2007, 67, 6459–6467. [Google Scholar]
- Ostrand-Rosenberg, S. Immune surveillance: A balance between protumor and antitumor immunity. Curr. Opin. Genet. Dev. 2008, 18, 11–18. [Google Scholar]
- Zou, W. Immunosuppressive networks in the tumour environment and their therapeutic relevance. Nat. Rev. Cancer 2005, 5, 263–274. [Google Scholar]
- Gabrilovich, D.I.; Nagaraj, S. Myeloid-derived suppressor cells as regulators of the immune system. Nat. Rev. Immunol. 2009, 9, 162–174. [Google Scholar]
- Sica, A.; Larghi, P.; Mancino, A.; Rubino, L.; Porta, C.; Totaro, M.G.; Rimoldi, M.; Biswas, S.K.; Allavena, P.; Mantovani, A. Macrophage polarization in tumour progression. Semin. Cancer Biol. 2008, 18, 349–355. [Google Scholar]
- Meyer, C.; Sevko, A.; Ramacher, M.; Bazhin, A.V.; Falk, C.S.; Osen, W.; Borrello, I.; Kato, M.; Schadendorf, D.; Baniyash, M.; et al. Chronic inflammation promotes myeloid-derived suppressor cell activation blocking antitumor immunity in transgenic mouse melanoma model. Proc. Natl. Acad. Sci. USA 2011, 108, 17111–17116. [Google Scholar]
- Zhao, F.; Falk, C.; Osen, W.; Kato, M.; Schadendorf, D.; Umansky, V. Activation of p38 mitogen-activated protein kinase drives dendritic cells to become tolerogenic in ret transgenic mice spontaneously developing melanoma. Clin. Cancer Res. 2009, 15, 4382–4390. [Google Scholar]
- Kimpfler, S.; Sevko, A.; Ring, S.; Falk, C.; Osen, W.; Frank, K.; Kato, M.; Mahnke, K.; Schadendorf, D.; Umansky, V. Skin melanoma development in ret transgenic mice despite the depletion of CD25+Foxp3+ regulatory T cells in lymphoid organs. J. Immunol. 2009, 183, 6330–6337. [Google Scholar]
- Umansky, V.; Sevko, A. Overcoming immunosuppression in the melanoma microenvironment induced by chronic inflammation. Cancer Immunol. Immunother. 2012, 61, 275–282. [Google Scholar]
- Lengagne, R.; Pommier, A.; Caron, J.; Douguet, L.; Garcette, M.; Kato, M.; Avril, M.F.; Abastado, J.P.; Bercovici, N.; Lucas, B.; et al. T cells contribute to tumor progression by favoring pro-tumoral properties of intra-tumoral myeloid cells in a mouse model for spontaneous melanoma. PLoS One 2011, 6, e20235. [Google Scholar]
- Firat, H.; Garcia-Pons, F.; Tourdot, S.; Pascolo, S.; Scardino, A.; Garcia, Z.; Michel, M.L.; Jack, R.W.; Jung, G.; Kosmatopoulos, K.; et al. H-2 class I knockout, HLA-A2.1-transgenic mice: A versatile animal model for preclinical evaluation of antitumor immunotherapeutic strategies. Eur. J. Immunol. 1999, 29, 3112–3121. [Google Scholar]
- Osen, W.; Peiler, T.; Öhlschlager, P.; Caldeira, S.; Faath, S.; Michel, N.; Müller, M.; Tommasino, M.; Jochmus, I.; Gissmann, L. A DNA vaccine based on a shuffled E7 oncogene of the human papillomavirus type 16 (HPV 16) induces E7-specific cytotoxic T cells but lacks transforming activity. Vaccine 2001, 19, 4276–4286. [Google Scholar] [CrossRef]
- Tsukamoto, K.; Jackson, I.J.; Urabe, K.; Montague, P.M.; Hearing, V.J. A second tyrosinase-related protein, TRP-2, is a melanogenic enzyme termed DOPAchrome tautomerase. EMBO J. 1992, 11, 519–526. [Google Scholar]
- Falk, K.; Rötzschke, O.; Stevanovic, S.; Jung, G.; Rammensee, H.G. Allele-specific motifs revealed by sequencing of self-peptides eluted from MHC molecules. Nature 1991, 351, 290–296. [Google Scholar]
- Milich, D.R.; Hughes, J.L.; McLachlan, A.; Thornton, G.B.; Moriarty, A. Hepatitis B synthetic immunogen comprised of nucleocapsid T-cell sites and an envelope B-cell epitope. Proc. Natl. Acad. Sci. USA 1988, 85, 1610–1614. [Google Scholar]
© 2012 by the authors; licensee MDPI, Basel, Switzerland. This article is an open access article distributed under the terms and conditions of the Creative Commons Attribution license (http://creativecommons.org/licenses/by/3.0/).
Share and Cite
Abschuetz, O.; Osen, W.; Frank, K.; Kato, M.; Schadendorf, D.; Umansky, V. T-Cell Mediated Immune Responses Induced in ret Transgenic Mouse Model of Malignant Melanoma. Cancers 2012, 4, 490-503. https://doi.org/10.3390/cancers4020490
Abschuetz O, Osen W, Frank K, Kato M, Schadendorf D, Umansky V. T-Cell Mediated Immune Responses Induced in ret Transgenic Mouse Model of Malignant Melanoma. Cancers. 2012; 4(2):490-503. https://doi.org/10.3390/cancers4020490
Chicago/Turabian StyleAbschuetz, Oliver, Wolfram Osen, Kathrin Frank, Masashi Kato, Dirk Schadendorf, and Viktor Umansky. 2012. "T-Cell Mediated Immune Responses Induced in ret Transgenic Mouse Model of Malignant Melanoma" Cancers 4, no. 2: 490-503. https://doi.org/10.3390/cancers4020490
APA StyleAbschuetz, O., Osen, W., Frank, K., Kato, M., Schadendorf, D., & Umansky, V. (2012). T-Cell Mediated Immune Responses Induced in ret Transgenic Mouse Model of Malignant Melanoma. Cancers, 4(2), 490-503. https://doi.org/10.3390/cancers4020490
