A Review of the Pathological and Molecular Diagnosis of Primary Myelofibrosis
Simple Summary
Abstract
1. Introduction
2. Pathogenesis and Molecular Findings of Primary Myelofibrosis
3. Clinical Features of Primary Myelofibrosis
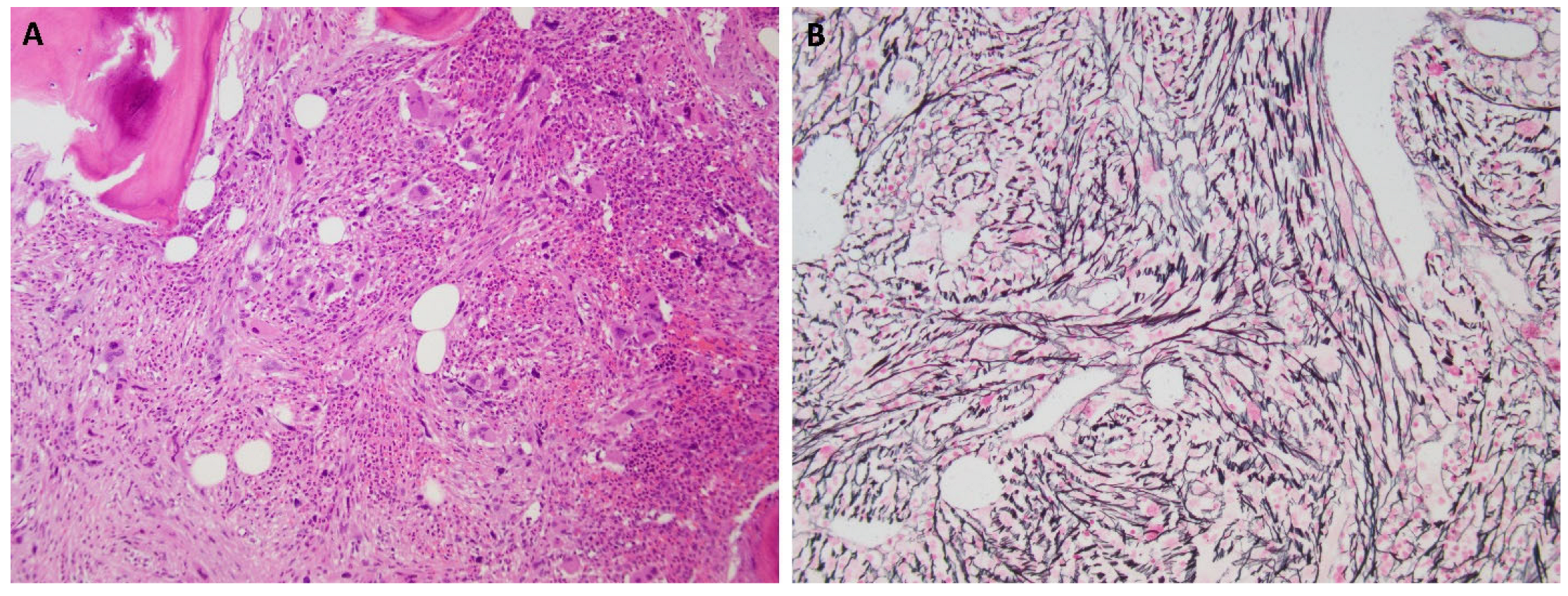
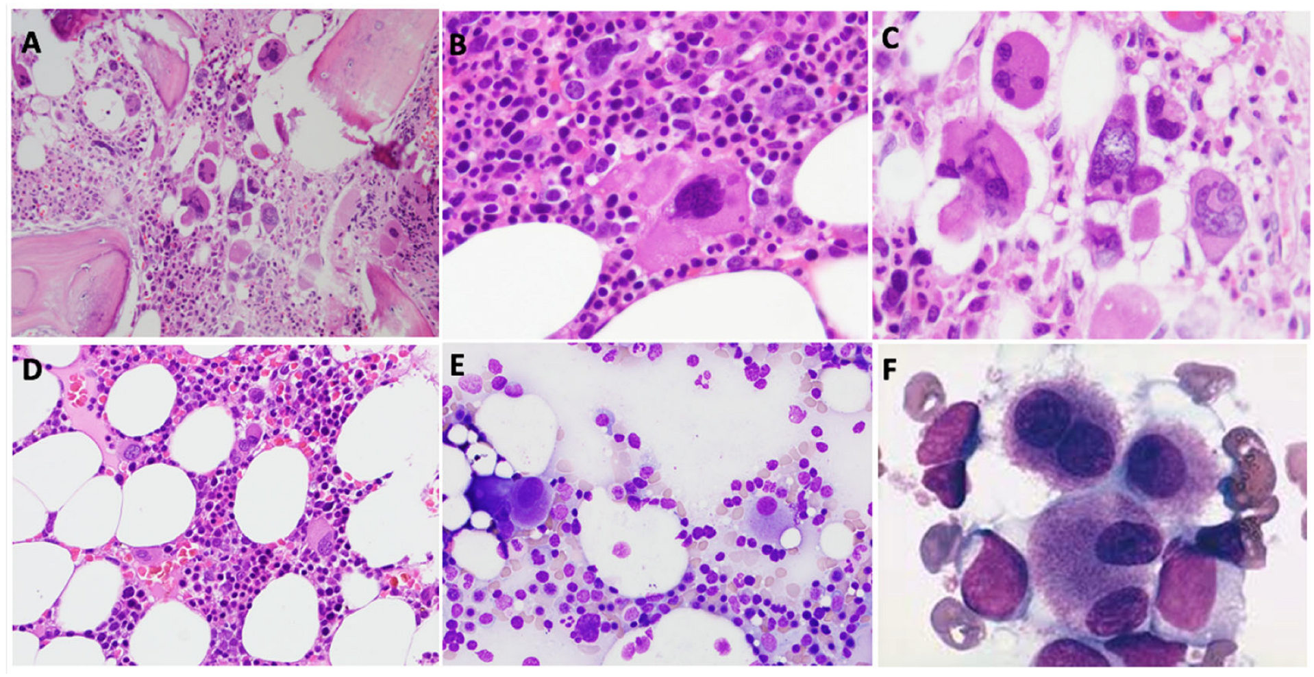
4. Histopathology of Primary Myelofibrosis
5. Cytogenetic Findings of Primary Myelofibrosis
6. Diagnostic Criteria of Primary Myelofibrosis
7. Comparison and Differentiation with Other Myeloid Neoplasms
7.1. Essential Thrombocythemia (ET)
7.2. Post-Polycythemia Vera Myelofibrosis and Post-Essential Thrombocythemia Myelofibrosis
7.3. Chronic Myeloid Leukemia (CML)
7.4. Myelodysplastic Neoplasms and Myelodysplastic/Myeloproliferative Neoplasms
7.5. Systemic Mastocytosis (SM)
7.6. Metastatic Carcinoma
7.7. Autoimmune Myelofibrosis (AIMF)
7.8. Inflammatory and Infectious Causes
8. Conclusions
Author Contributions
Funding
Data Availability Statement
Conflicts of Interest
References
- Leiva, O.; Ng, S.K.; Chitalia, S.; Balduini, A.; Matsuura, S.; Ravid, K. The role of the extracellular matrix in primary myelofibrosis. Blood Cancer J. 2017, 7, e525. [Google Scholar] [CrossRef]
- Cervantes, F.; Tassies, D.; Salgado, C.; Rovira, M.; Pereira, A.; Rozman, C. Acute transformation in nonleukemic chronic myeloproliferative disorders: Actuarial probability and main characteristics in a series of 218 patients. Acta Haematol. 1991, 85, 124–127. [Google Scholar] [CrossRef] [PubMed]
- Vaidya, R.; Siragusa, S.; Huang, J.; Schwager, S.M.; Hanson, C.A.; Hussein, K.; Pardanani, A.; Tefferi, A. Mature survival data for 176 patients younger than 60 years with primary myelofibrosis diagnosed between 1976 and 2005: Evidence for survival gains in recent years. Mayo Clin. Proc. 2009, 84, 1114–1119. [Google Scholar] [CrossRef] [PubMed]
- Mughal, T.I.; Vaddi, K.; Sarlis, N.J.; Verstovsek, S. Myelofibrosis-associated complications: Pathogenesis, clinical manifestations, and effects on outcomes. Int. J. Gen. Med. 2014, 7, 89–101. [Google Scholar] [CrossRef] [PubMed]
- Khoury, J.D.; Solary, E.; Abla, O.; Akkari, Y.; Alaggio, R.; Apperley, J.F.; Bejar, R.; Berti, E.; Busque, L.; Chan, J.K.C.; et al. The 5th edition of the World Health Organization Classification of Haematolymphoid Tumours: Myeloid and Histiocytic/Dendritic Neoplasms. Leukemia 2022, 36, 1703–1719. [Google Scholar] [CrossRef]
- Arber, D.A.; Orazi, A.; Hasserjian, R.P.; Borowitz, M.J.; Calvo, K.R.; Kvasnicka, H.M.; Wang, S.A.; Bagg, A.; Barbui, T.; Branford, S.; et al. International Consensus Classification of Myeloid Neoplasms and Acute Leukemias: Integrating morphologic, clinical, and genomic data. Blood 2022, 140, 1200–1228. [Google Scholar] [CrossRef]
- Tefferi, A. Primary myelofibrosis: 2023 update on diagnosis, risk-stratification, and management. Am. J. Hematol. 2023, 98, 801–821. [Google Scholar] [CrossRef]
- Grabek, J.; Straube, J.; Bywater, M.; Lane, S.W. MPN: The Molecular Drivers of Disease Initiation, Progression and Transformation and their Effect on Treatment. Cells 2020, 9, 1901. [Google Scholar] [CrossRef]
- Levine, R.L.; Pardanani, A.; Tefferi, A.; Gilliland, D.G. Role of JAK2 in the pathogenesis and therapy of myeloproliferative disorders. Nat. Rev. Cancer 2007, 7, 673–683. [Google Scholar] [CrossRef]
- Tefferi, A.; Lasho, T.L.; Huang, J.; Finke, C.; Mesa, R.A.; Li, C.Y.; Wu, W.; Hanson, C.A.; Pardanani, A. Low JAK2V617F allele burden in primary myelofibrosis, compared to either a higher allele burden or unmutated status, is associated with inferior overall and leukemia-free survival. Leukemia 2008, 22, 756–761. [Google Scholar] [CrossRef]
- Guglielmelli, P.; Calabresi, L. The MPL mutation. Int. Rev. Cell Mol. Biol. 2021, 365, 163–178. [Google Scholar] [PubMed]
- Vainchenker, W.; Kralovics, R. Genetic basis and molecular pathophysiology of classical myeloproliferative neoplasms. Blood 2017, 129, 667–679. [Google Scholar] [CrossRef] [PubMed]
- Klampfl, T.; Gisslinger, H.; Harutyunyan, A.S.; Nivarthi, H.; Rumi, E.; Milosevic, J.D.; Them, N.C.; Berg, T.; Gisslinger, B.; Pietra, D.; et al. Somatic mutations of calreticulin in myeloproliferative neoplasms. N. Engl. J. Med. 2013, 369, 2379–2390. [Google Scholar] [CrossRef] [PubMed]
- How, J.; Hobbs, G.S.; Mullally, A. Mutant calreticulin in myeloproliferative neoplasms. Blood 2019, 134, 2242–2248. [Google Scholar] [CrossRef]
- Tefferi, A.; Lasho, T.L.; Tischer, A.; Wassie, E.A.; Finke, C.M.; Belachew, A.A.; Ketterling, R.P.; Hanson, C.A.; Pardanani, A.D. The prognostic advantage of calreticulin mutations in myelofibrosis might be confined to type 1 or type 1-like CALR variants. Blood 2014, 124, 2465–2466. [Google Scholar] [CrossRef]
- Tefferi, A.; Lasho, T.L.; Finke, C.; Belachew, A.A.; Wassie, E.A.; Ketterling, R.P.; Hanson, C.A.; Pardanani, A. Type 1 vs type 2 calreticulin mutations in primary myelofibrosis: Differences in phenotype and prognostic impact. Leukemia 2014, 28, 1568–1570. [Google Scholar] [CrossRef]
- Al-Ghamdi, Y.A.; Lake, J.; Bagg, A.; Thakral, B.; Wang, S.A.; Bueso-Ramos, C.; Masarova, L.; Verstovsek, S.; Rogers, H.J.; Hsi, E.D.; et al. Triple-Negative Primary Myelofibrosis: A Bone Marrow Pathology Group Study. Mod. Pathol. 2023, 36, 100016. [Google Scholar] [CrossRef]
- Aguirre, L.E.; Jain, A.; Ball, S.; Ali, N.A.; Volpe, V.O.; Tinsley-Vance, S.; Sallman, D.; Sweet, K.; Lancet, J.; Padron, E.; et al. Triple-Negative Myelofibrosis: Disease Features, Response to Treatment and Outcomes. Clin. Lymphoma Myeloma Leuk. 2024, 24, 459–467. [Google Scholar] [CrossRef]
- Vannucchi, A.M.; Lasho, T.L.; Guglielmelli, P.; Biamonte, F.; Pardanani, A.; Pereira, A.; Finke, C.; Score, J.; Gangat, N.; Mannarelli, C.; et al. Mutations and prognosis in primary myelofibrosis. Leukemia 2013, 27, 1861–1869. [Google Scholar] [CrossRef]
- Mora, B.; Bucelli, C.; Cattaneo, D.; Bellani, V.; Versino, F.; Barbullushi, K.; Fracchiolla, N.; Iurlo, A.; Passamonti, F. Prognostic and Predictive Models in Myelofibrosis. Curr. Hematol. Malig. Rep. 2024, 19, 223–235. [Google Scholar] [CrossRef]
- Guglielmelli, P.; Lasho, T.L.; Rotunno, G.; Score, J.; Mannarelli, C.; Pancrazzi, A.; Biamonte, F.; Pardanani, A.; Zoi, K.; Reiter, A.; et al. The number of prognostically detrimental mutations and prognosis in primary myelofibrosis: An international study of 797 patients. Leukemia 2014, 28, 1804–1810. [Google Scholar] [CrossRef]
- Loscocco, G.G.; Rotunno, G.; Mannelli, F.; Coltro, G.; Gesullo, F.; Pancani, F.; Signori, L.; Maccari, C.; Esposito, M.; Paoli, C.; et al. The prognostic contribution of CBL, NRAS, KRAS, RUNX1, and TP53 mutations to mutation-enhanced international prognostic score systems (MIPSS70/plus/plus v2.0) for primary myelofibrosis. Am. J. Hematol. 2024, 99, 68–78. [Google Scholar] [CrossRef]
- Yan, X.; Xu, Z.; Zhang, P.; Sun, Q.; Jia, Y.; Qin, T.; Qu, S.; Pan, L.; Li, Z.; Liu, J.; et al. Non-driver mutations landscape in different stages of primary myelofibrosis determined ASXL1 mutations play a critical role in disease progression. Blood Cancer J. 2023, 13, 56. [Google Scholar] [CrossRef]
- Reynolds, S.B.; Pettit, K.; Kandarpa, M.; Talpaz, M.; Li, Q. Exploring the Molecular Landscape of Myelofibrosis, with a Focus on Ras and Mitogen-Activated Protein (MAP) Kinase Signaling. Cancers 2023, 15, 4654. [Google Scholar] [CrossRef] [PubMed]
- Verma, T.; Papadantonakis, N.; Peker Barclift, D.; Zhang, L. Molecular Genetic Profile of Myelofibrosis: Implications in the Diagnosis, Prognosis, and Treatment Advancements. Cancers 2024, 16, 514. [Google Scholar] [CrossRef] [PubMed]
- Finazzi, M.C.; Salmoiraghi, S.; Valsecchi, F.; Pavoni, C.; Belotti, C.; Grassi, A.; Algarotti, A.; Lussana, F.; Rambaldi, B.; Rizzuto, G.; et al. The number of additional high molecular risk mutations predicts outcome after hematopoietic stem cell transplantation in primary and secondary myelofibrosis. Blood Cancer J. 2025, 15, 172. [Google Scholar] [CrossRef] [PubMed]
- Thiele, J.; Kvasnicka, H.M.; Facchetti, F.; Franco, V.; van der Walt, J.; Orazi, A. European consensus on grading bone marrow fibrosis and assessment of cellularity. Haematologica 2005, 90, 1128–1132. [Google Scholar]
- Kim, T.Y.; Kwag, D.; Lee, J.H.; Lee, J.; Min, G.J.; Park, S.S.; Park, S.; Jeon, Y.W.; Yoon, J.H.; Shin, S.H.; et al. Clinical Features, Gene Alterations, and Outcomes in Prefibrotic and Overt Primary and Secondary Myelofibrotic Patients. Cancers 2022, 14, 4485. [Google Scholar] [CrossRef]
- Song, I.C.; Yeon, S.H.; Lee, M.W.; Ryu, H.; Lee, H.J.; Yun, H.J.; Kim, S.Y.; Jo, D.Y. Myelofibrotic and leukemic transformation in 2016 WHO-defined Philadelphia-negative myeloproliferative neoplasm. Blood Res. 2022, 57, 59–68. [Google Scholar] [CrossRef]
- Malara, A.; Abbonante, V.; Zingariello, M.; Migliaccio, A.; Balduini, A. Megakaryocyte Contribution to Bone Marrow Fibrosis: Many Arrows in the Quiver. Mediterr. J. Hematol. Infect. Dis. 2018, 10, e2018068. [Google Scholar] [CrossRef]
- Schneider, R.K.; Mullally, A.; Dugourd, A.; Peisker, F.; Hoogenboezem, R.; Van Strien, P.M.H.; Bindels, E.M.; Heckl, D.; Busche, G.; Fleck, D.; et al. Gli1(+) Mesenchymal Stromal Cells Are a Key Driver of Bone Marrow Fibrosis and an Important Cellular Therapeutic Target. Cell Stem Cell 2017, 20, 785–800 e788. [Google Scholar] [CrossRef]
- Decker, M.; Martinez-Morentin, L.; Wang, G.; Lee, Y.; Liu, Q.; Leslie, J.; Ding, L. Leptin-receptor-expressing bone marrow stromal cells are myofibroblasts in primary myelofibrosis. Nat. Cell Biol. 2017, 19, 677–688. [Google Scholar] [CrossRef]
- Karagianni, A.; Ravid, K. Myeloproliferative disorders and their effects on bone homeostasis: The role of megakaryocytes. Blood 2022, 139, 3127–3137. [Google Scholar] [CrossRef] [PubMed]
- Steurer, M.; Zoller, H.; Augustin, F.; Fong, D.; Heiss, S.; Strasser-Weippl, K.; Gastl, G.; Tzankov, A. Increased angiogenesis in chronic idiopathic myelofibrosis: Vascular endothelial growth factor as a prominent angiogenic factor. Hum. Pathol. 2007, 38, 1057–1064. [Google Scholar] [CrossRef] [PubMed]
- Medinger, M.; Passweg, J. Angiogenesis in myeloproliferative neoplasms, new markers and future directions. Memo 2014, 7, 206–210. [Google Scholar] [CrossRef] [PubMed]
- Tefferi, A.; Nicolosi, M.; Mudireddy, M.; Lasho, T.L.; Gangat, N.; Begna, K.H.; Hanson, C.A.; Ketterling, R.P.; Pardanani, A. Revised cytogenetic risk stratification in primary myelofibrosis: Analysis based on 1002 informative patients. Leukemia 2018, 32, 1189–1199. [Google Scholar] [CrossRef]
- Griesshammer, M.; Al-Ali, H.K.; Eckardt, J.N.; Fiegl, M.; Gothert, J.; Jentsch-Ullrich, K.; Koschmieder, S.; Kvasnicka, H.M.; Reiter, A.; Schmidt, B.; et al. How I diagnose and treat patients in the pre-fibrotic phase of primary myelofibrosis (pre-PMF)—Practical approaches of a German expert panel discussion in 2024. Ann. Hematol. 2025, 104, 295–306. [Google Scholar] [CrossRef]
- Rumi, E.; Boveri, E.; Bellini, M.; Pietra, D.; Ferretti, V.V.; Sant’Antonio, E.; Cavalloni, C.; Casetti, I.C.; Roncoroni, E.; Ciboddo, M.; et al. Clinical course and outcome of essential thrombocythemia and prefibrotic myelofibrosis according to the revised WHO 2016 diagnostic criteria. Oncotarget 2017, 8, 101735–101744. [Google Scholar] [CrossRef]
- Hussein, K.; Bock, O.; Theophile, K.; von Neuhoff, N.; Buhr, T.; Schlue, J.; Busche, G.; Kreipe, H. JAK2(V617F) allele burden discriminates essential thrombocythemia from a subset of prefibrotic-stage primary myelofibrosis. Exp. Hematol. 2009, 37, 1186–1193 e1187. [Google Scholar] [CrossRef]
- Cabagnols, X.; Defour, J.P.; Ugo, V.; Ianotto, J.C.; Mossuz, P.; Mondet, J.; Girodon, F.; Alexandre, J.H.; Mansier, O.; Viallard, J.F.; et al. Differential association of calreticulin type 1 and type 2 mutations with myelofibrosis and essential thrombocytemia: Relevance for disease evolution. Leukemia 2015, 29, 249–252. [Google Scholar] [CrossRef]
- Pardanani, A.D.; Levine, R.L.; Lasho, T.; Pikman, Y.; Mesa, R.A.; Wadleigh, M.; Steensma, D.P.; Elliott, M.A.; Wolanskyj, A.P.; Hogan, W.J.; et al. MPL515 mutations in myeloproliferative and other myeloid disorders: A study of 1182 patients. Blood 2006, 108, 3472–3476. [Google Scholar] [CrossRef] [PubMed]
- Masarova, L.; Bose, P.; Daver, N.; Pemmaraju, N.; Newberry, K.J.; Manshouri, T.; Cortes, J.; Kantarjian, H.M.; Verstovsek, S. Patients with post-essential thrombocythemia and post-polycythemia vera differ from patients with primary myelofibrosis. Leuk. Res. 2017, 59, 110–116. [Google Scholar] [CrossRef] [PubMed]
- Pepeler, M.S.; Tiglioglu, M.; Dagdas, S.; Ozhamamcioglu, E.; Han, U.; Albayrak, A.; Aydin, M.S.; Korkmaz, G.; Pamukcuoglu, M.; Ceran, F.; et al. Prognostic Impact of Bone Marrow Fibrosis and Effects of Tyrosine Kinase Inhibitors on Bone Marrow Fibrosis in Chronic Myeloid Leukemia. Clin. Lymphoma Myeloma Leuk. 2024, 24, e161–e167. [Google Scholar] [CrossRef] [PubMed]
- Jain, A.G.; Zhang, L.; Bennett, J.M.; Komrokji, R. Myelodysplastic Syndromes with Bone Marrow Fibrosis: An Update. Ann. Lab. Med. 2022, 42, 299–305. [Google Scholar] [CrossRef]
- Della Porta, M.G.; Malcovati, L. Myelodysplastic syndromes with bone marrow fibrosis. Haematologica 2011, 96, 180–183. [Google Scholar] [CrossRef]
- Petrova-Drus, K.; Chiu, A.; Margolskee, E.; Barouk-Fox, S.; Geyer, J.; Dogan, A.; Orazi, A. Bone marrow fibrosis in chronic myelomonocytic leukemia is associated with increased megakaryopoiesis, splenomegaly and with a shorter median time to disease progression. Oncotarget 2017, 8, 103274–103282. [Google Scholar] [CrossRef]
- Chapman, J.; Geyer, J.T.; Khanlari, M.; Moul, A.; Casas, C.; Connor, S.T.; Fan, Y.S.; Watts, J.M.; Swords, R.T.; Vega, F.; et al. Myeloid neoplasms with features intermediate between primary myelofibrosis and chronic myelomonocytic leukemia. Mod. Pathol. 2018, 31, 429–441. [Google Scholar] [CrossRef]
- Horny, H.P.; Parwaresch, M.R.; Lennert, K. Bone marrow findings in systemic mastocytosis. Hum. Pathol. 1985, 16, 808–814. [Google Scholar] [CrossRef]
- Sotlar, K.; Bache, A.; Stellmacher, F.; Bultmann, B.; Valent, P.; Horny, H.P. Systemic mastocytosis associated with chronic idiopathic myelofibrosis: A distinct subtype of systemic mastocytosis associated with a [corrected] clonal hematological non-mast [corrected] cell lineage disorder carrying the activating point mutations KITD816V and JAK2V617F. J. Mol. Diagn. 2008, 10, 58–66. [Google Scholar]
- Cotta, C.V.; Konoplev, S.; Medeiros, L.J.; Bueso-Ramos, C.E. Metastatic tumors in bone marrow: Histopathology and advances in the biology of the tumor cells and bone marrow environment. Ann. Diagn. Pathol. 2006, 10, 169–192. [Google Scholar] [CrossRef]
- Gangat, N.; Reichard, K.; Orazi, A.; Tefferi, A. Autoimmune myelofibrosis: A Mayo Clinic series of 22 patients. Br. J. Haematol. 2024, 205, 956–960. [Google Scholar] [CrossRef]
- Piatek, C.I.; Vergara-Lluri, M.E.; Pullarkat, V.; Siddiqi, I.N.; O’Connell, C.; Brynes, R.K.; Feinstein, D.I. Autoimmune Myelofibrosis: Clinical Features, Course, and Outcome. Acta Haematol. 2017, 138, 129–137. [Google Scholar] [CrossRef]
- Ghosh, K.; Shome, D.K.; Kulkarni, B.; Ghosh, M.K.; Ghosh, K. Fibrosis and bone marrow: Understanding causation and pathobiology. J. Transl. Med. 2023, 21, 703. [Google Scholar] [CrossRef]
- Loscocco, G.G.; Guglielmelli, P. Targeted Therapies in Myelofibrosis: Present Landscape, Ongoing Studies, and Future Perspectives. Am. J. Hematol. 2025, 100, 30–50. [Google Scholar] [CrossRef]


| Laboratory and Morphologic Findings | Driver Mutations | |
|---|---|---|
| Primary myelofibrosis | Leukocytosis Hyperlobulated and Hyperchromatic megakaryocytes, megakaryocytes with “bulbous” nuclei | JAK2 V617F ~60% CALR ~25–30% MPL ~5% Triple negative ~5–10% |
| Essential thrombocythemia | Thrombocytosis Hyperlobulated megakaryocytes with “Staghorn-like” nuclei | JAK2 V617F ~60% CALR ~20–25% MPL ~5% Triple negative ~10% |
| Polycythemia Vera | Erythrocytosis Panmyelosis with large hyperlobulated nuclei Decreased erythropoietin | JAK2 V617F ~96% JAK2 exon 12 mutation ~4% |
| PMF, Prefibrotic/Early Stage (Requires All 3 Major Criteria and at Least 1 Minor Criterion) | |
|---|---|
| Major Criteria | |
| |
| Minor Criteria (At least one, confirmed in 2 consecutive determinations) | |
| |
| PMF, Overt Fibrotic Stage (requires all 3 major criteria and at least 1 minor criterion) Major Criteria | |
| |
| Minor Criteria (At least one, confirmed in 2 consecutive determinations) | |
| |
| AP(10–19% blasts) and BP (≥20% blasts) | |
| Diagnosis | Prefibrotic Primary Myelofibrosis | Fibrotic Primary Myelofibrosis | Post-Essential Thrombocythemia Myelofibrosis | Post-Polycythemia Vera Myelofibrosis |
|---|---|---|---|---|
| Bone marrow | Megakaryocytic proliferation and atypia | |||
| Increased age-adjusted BM cellularity, granulocytic proliferation, reticulin fibrosis < 2 | Reticulin and/or collagen grade 2 or 3 | |||
| Previously established diagnosis of ET | Previously established diagnosis of PV | |||
| Laboratory and clinical findings | Anemia Palpable splenomegaly LDH level above the range | |||
| Leukocytosis ≥ 11 × 109/L | Leukoerythroblastosis Constitution symptoms | |||
| JAK2 V617F, CALR, and MPL | JAK2 V617F, JAK2 Exon 12 | |||
Disclaimer/Publisher’s Note: The statements, opinions and data contained in all publications are solely those of the individual author(s) and contributor(s) and not of MDPI and/or the editor(s). MDPI and/or the editor(s) disclaim responsibility for any injury to people or property resulting from any ideas, methods, instructions or products referred to in the content. |
© 2025 by the authors. Licensee MDPI, Basel, Switzerland. This article is an open access article distributed under the terms and conditions of the Creative Commons Attribution (CC BY) license.
Share and Cite
Shao, R.; Ryder, C.; Wang, L.; Zhang, H.; Moscinski, L.; Martin, M.; Shebes, M.; Li, J.Y.; Song, J. A Review of the Pathological and Molecular Diagnosis of Primary Myelofibrosis. Cancers 2026, 18, 50. https://doi.org/10.3390/cancers18010050
Shao R, Ryder C, Wang L, Zhang H, Moscinski L, Martin M, Shebes M, Li JY, Song J. A Review of the Pathological and Molecular Diagnosis of Primary Myelofibrosis. Cancers. 2026; 18(1):50. https://doi.org/10.3390/cancers18010050
Chicago/Turabian StyleShao, Richard, Christopher Ryder, Le Wang, Hailing Zhang, Lynn Moscinski, Michael Martin, Mac Shebes, Julie Y. Li, and Jinming Song. 2026. "A Review of the Pathological and Molecular Diagnosis of Primary Myelofibrosis" Cancers 18, no. 1: 50. https://doi.org/10.3390/cancers18010050
APA StyleShao, R., Ryder, C., Wang, L., Zhang, H., Moscinski, L., Martin, M., Shebes, M., Li, J. Y., & Song, J. (2026). A Review of the Pathological and Molecular Diagnosis of Primary Myelofibrosis. Cancers, 18(1), 50. https://doi.org/10.3390/cancers18010050

