Diagnostic Performance of Line-Field Confocal Optical Coherence Tomography for Basal Cell Carcinoma: A Prospective Study
Simple Summary
Abstract
1. Introduction
2. Materials and Methods
3. Results
3.1. Study Sample
3.2. Level of Diagnostic Confidence
3.2.1. LC-OCT Increased the Level of Diagnostic Confidence
3.2.2. LC-OCT Increased the Number of Lesions Diagnosed with High Confidence
3.2.3. LC-OCT Increased the Number of BCCs Subtyped with High Confidence
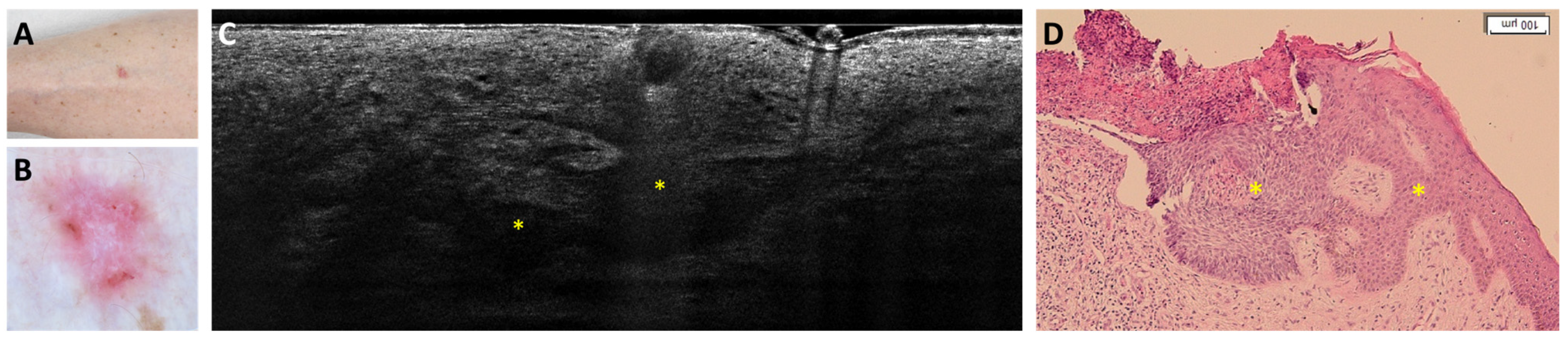
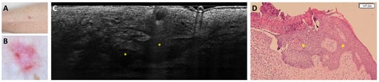
3.3. Diagnostic Performance
3.3.1. BCC Diagnosis: Differentiating BCC from Imitators
3.3.2. BCC Subtyping
3.3.3. Details on Diagnostic Errors
3.4. Inter-Observer Variability
4. Discussion
5. Conclusions
Author Contributions
Funding
Institutional Review Board Statement
Informed Consent Statement
Data Availability Statement
Acknowledgments
Conflicts of Interest
Abbreviations
| BCC | Basal cell carcinoma |
| FN | False negative |
| FP | False positive |
| iBCC | Infiltrative basal cell carcinoma |
| LC-OCT | Line-field confocal optical coherence tomography |
| nBCC | Nodular basal cell carcinoma |
| NPV | Negative predictive value |
| OCT | Optical coherence tomography |
| PPV | Positive predictive value |
| RCM | Reflectance confocal microscopy |
| sBCC | Superficial basal cell carcinoma |
References
- Peris, K.; Fargnoli, M.C.; Kaufmann, R.; Arenberger, P.; Bastholt, L.; Seguin, N.B.; Bataille, V.; Brochez, L.; del Marmol, V.; Dummer, R.; et al. European consensus-based interdisciplinary guideline for diagnosis and treatment of basal cell carcinoma—Update 2023. Eur. J. Cancer 2023, 192, 113254. [Google Scholar] [CrossRef]
- Lomas, A.; Leonardi-Bee, J.; Bath-Hextall, F. A systematic review of worldwide incidence of nonmelanoma skin cancer. Br. J. Dermatol. 2012, 166, 1069–1080. [Google Scholar] [CrossRef]
- Verkouteren, J.A.C.; Ramdas, K.H.R.; Wakkee, M.; Nijsten, T. Epidemiology of basal cell carcinoma: Scholarly review. Br. J. Dermatol. 2017, 177, 359–372. [Google Scholar] [CrossRef] [PubMed]
- Gordon, L.G.; Rowell, D. Health system costs of skin cancer and cost-effectiveness of skin cancer prevention and screening: A systematic review. Eur. J. Cancer Prev. 2015, 24, 141–149. [Google Scholar] [CrossRef] [PubMed]
- Suppa, M.; Micantonio, T.; Di Stefani, A.; Soyer, H.P.; Chimenti, S.; Fargnoli, M.C.; Peris, K. Dermoscopic variability of basal cell carcinoma according to clinical type and anatomic location. J. Eur. Acad. Dermatol. Venereol. 2015, 29, 1732–1741. [Google Scholar] [CrossRef]
- Altamura, D.; Menzies, S.W.; Argenziano, G.; Zalaudek, I.; Soyer, H.P.; Sera, F.; Avramidis, M.; DeAmbrosis, K.; Fargnoli, M.C.; Peris, K. Dermatoscopy of basal cell carcinoma: Morphologic variability of global and local features and accuracy of diagnosis. J. Am. Acad. Dermatol. 2010, 62, 67–75. [Google Scholar] [CrossRef]
- Yélamos, O.; Manubens, E.; Jain, M.; Chavez-Bourgeois, M.; Pulijal, S.V.; Dusza, S.W.; Marchetti, M.A.; Barreiro, A.; Marino, M.L.; Malvehy, J.; et al. Improvement of diagnostic confidence and management of equivocal skin lesions by integration of reflectance confocal microscopy in daily practice: Prospective study in 2 referral skin cancer centers. J. Am. Acad. Dermatol. 2020, 4, 1057–1063. [Google Scholar] [CrossRef] [PubMed]
- Dubois, A.; Levecq, O.; Azimani, H.; Siret, D.; Barut, A.; Suppa, M.; del Marmol, V.; Malvehy, J.; Cinotti, E.; Rubegni, P.; et al. Line-field confocal optical coherence tomography for high-resolution noninvasive imaging of skin tumors. J. Biomed. Opt. 2018, 23, 106007. [Google Scholar] [CrossRef]
- Monnier, J.; Tognetti, L.; Miyamoto, M.; Suppa, M.; Cinotti, E.; Fontaine, M.; Perez, J.; Orte Cano, C.; Yélamos, O.; Puig, S.; et al. In vivo characterization of healthy human skin with a novel, non-invasive imaging technique: Line-field confocal optical coherence tomography. J. Eur. Acad. Dermatol. Venereol. 2020, 34, 2914–2921. [Google Scholar] [CrossRef]
- Ogien, J.; Daures, A.; Cazalas, M.; Perrot, J.L.; Dubois, A. Line-field confocal optical coherence tomography for three-dimensional skin imaging. Front. Optoelectron. 2020, 13, 381–392. [Google Scholar] [CrossRef]
- Suppa, M.; Fontaine, M.; Dejonckheere, G.; Cinotti, E.; Yélamos, O.; Diet, G.; Tognetti, L.; Miyamoto, M.; Orte Cano, C.; Perez-Anker, J.; et al. Line-field confocal optical coherence tomography of basal cell carcinoma: A descriptive study. J. Eur. Acad. Dermatol. Venereol. 2021, 35, 1099–1110. [Google Scholar] [CrossRef]
- Ruini, C.; Schuh, S.; Gust, C.; Kendziora, B.; Frommherz, L.; French, L.E.; Hartmann, D.; Welzel, J.; Sattler, E. Line-field optical coherence tomography: In vivo diagnosis of basal cell carcinoma subtypes compared with histopathology. Clin. Exp. Dermatol. 2021, 46, 1471–1481. [Google Scholar] [CrossRef]
- Boussingault, L.; Lenoir, C.; Stefani, A.D.; Cappilli, S.; Fontaine, M.; Diet, G.; Miyamoto, M.; Cinotti, E.; Tognetti, L.; Pérez-Anker, J.; et al. Line-Field Confocal Optical Coherence Tomography of Basal Cell Carcinoma: Systematic Correlation with Histopathology. Diagnostics 2025, 15, 3059. [Google Scholar] [CrossRef] [PubMed]
- Donelli, C.; Suppa, M.; Tognetti, L.; Perrot, J.L.; Calabrese, L.; Pérez-Anker, J.; Malvehy, J.; Rubegni, P.; Cinotti, E. Line-Field Confocal Optical Coherence Tomography for the Diagnosis of Skin Carcinomas: Real-Life Data over Three Years. Curr. Oncol. 2023, 30, 8853–8864. [Google Scholar] [CrossRef]
- Gust, C.; Schuh, S.; Welzel, J.; Daxenberger, F.; Hartmann, D.; French, L.E.; Ruini, C.; Sattler, E.C. Line-Field Confocal Optical Coherence Tomography Increases the Diagnostic Accuracy and Confidence for Basal Cell Carcinoma in Equivocal Lesions: A Prospective Study. Cancers 2022, 14, 1082. [Google Scholar] [CrossRef] [PubMed]
- Mtimet, L.; Boussingault, L.; Aktas, D.; Fontaine, M.; Orte Cano, C.; Diet, G.; Lenoir, C.; Miyamoto, M.; Cinotti, E.; Tognetti, L.; et al. Line-field confocal optical coherence tomography of basal cell carcinoma: A retrospective study on diagnostic performance. J. Eur. Acad. Dermatol. Venereol. 2025, 39, 1468–1480. [Google Scholar] [CrossRef] [PubMed]
- Cinotti, E.; Brunetti, T.; Cartocci, A.; Tognetti, L.; Suppa, M.; Malvehy, J.; Perez-Anker, J.; Puig, S.; Perrot, J.L.; Rubegni, P. Diagnostic Accuracy of Line-Field Confocal Optical Coherence Tomography for the Diagnosis of Skin Carcinomas. Diagnostics 2023, 13, 361. [Google Scholar] [CrossRef]
- Cheng, H.M.; Lo, S.; Scolyer, R.; Meekings, A.; Carlos, G.; Guitera, P. Accuracy of optical coherence tomography for the diagnosis of superficial basal cell carcinoma: A prospective, consecutive, cohort study of 168 cases. Brittish J. Dermatol. 2016, 175, 1290–1300. [Google Scholar] [CrossRef]
- Alonzo, T.A.; Pepe, M.S.; Moskowitz, C.S. Sample size calculations for comparative studies of medical tests for detecting presence of disease. Stat. Med. 2002, 21, 835–852. [Google Scholar] [CrossRef]
- Lenoir, C.; Cinotti, E.; Tognetti, L.; Orte Cano, C.; Diet, G.; Miyamoto, M.; Rocq, L.; Trépant, A.L.; Perez-Anker, J.; Puig, S.; et al. Line-field confocal optical coherence tomography of actinic keratosis: A case series. J. Eur. Acad. Dermatol. Venereol. 2021, 35, e900–e902. [Google Scholar] [CrossRef]
- Lenoir, C.; Perez-Anker, J.; Diet, G.; Tognetti, L.; Cinotti, E.; Trepant, A.-L.; Rubegni, P.; Puig, S.; Perrot, J.L.; Malvehy, J.; et al. Line-field confocal optical coherence tomography of benign dermal melanocytic proliferations: A case series. J. Eur. Acad. Dermatol. Venereol. 2021, 35, e399–e401. [Google Scholar] [CrossRef]
- Cinotti, E.; Tognetti, L.; Cartocci, A.; Lamberti, A.; Gherbassi, S.; Orte Cano, C.; Lenoir, C.; Dejonckheere, G.; Diet, G.; Fontaine, M.; et al. Line-field confocal optical coherence tomography for actinic keratosis and squamous cell carcinoma: A descriptive study. Clin. Exp. Dermatol. 2021, 46, 1530–1541. [Google Scholar] [CrossRef]
- Lupu, M.; Popa, I.M.; Voiculescu, V.M.; Caruntu, A.; Caruntu, C. A systematic review and meta-analysis of the accuracy of in vivoreflectance confocal microscopy for the diagnosis of primary basal cell carcinoma. J. Clin. Med. 2019, 8, 1462. [Google Scholar] [CrossRef]
- Woliner–van der Weg, W.; Peppelman, M.; Elshot, Y.S.; Visch, M.B.; Crijns, M.B.; Alkemade, H.A.C.; Bronkhorst, E.M.; Adang, E.; Amir, A.; Gerritsen, M.J.P.; et al. Biopsy outperforms reflectance confocal microscopy in diagnosing and subtyping basal cell carcinoma: Results and experiences from a randomized controlled multicentre trial. Br. J. Dermatol. 2021, 184, 663–671. [Google Scholar] [CrossRef]
- Davis, A.; Levecq, O.; Azimani, H.; Siret, D.; Dubois, A. Simultaneous dual-band line-field confocal optical coherence tomography: Application to skin imaging. Biomed. Opt. Express 2019, 10, 694. [Google Scholar] [CrossRef] [PubMed]
- Ferrante di Ruffano, L.; Dinnes, J.; Deeks, J.J.; Chuchu, N.; Bayliss, S.E.; Davenport, C.; Takwoingi, Y.; Godfrey, K.; O’sullivan, C.; Matin, R.N.; et al. Optical coherence tomography for diagnosing skin cancer in adults. Cochrane Database Syst. Rev. 2018, 12, CD013189. [Google Scholar] [CrossRef]
- Reddy, N.; Nguyen, B.T. The utility of optical coherence tomography for diagnosis of basal cell carcinoma: A quantitative review. Br. J. Dermatol. 2019, 180, 475–483. [Google Scholar] [CrossRef]
- Sinx, K.A.E.; van Loo, E.; Tonk, E.H.J.; Kelleners-Smeets, N.W.J.; Winnepenninckx, V.J.L.; Nelemans, P.J.; Mosterd, K. Optical Coherence Tomography for Noninvasive Diagnosis and Subtyping of Basal Cell Carcinoma: A Prospective Cohort Study. J. Investig. Dermatol. 2020, 140, 1962–1967. [Google Scholar] [CrossRef]
- Lenoir, C.; Diet, G.; Cinotti, E.; Tognetti, L.; Orte Cano, C.; Rocq, L.; Trépant, A.L.; Monnier, J.; Perez-Anker, J.; Rubegni, P.; et al. Line-field confocal optical coherence tomography of sebaceous hyperplasia: A case series. J. Eur. Acad. Dermatol. Venereol. 2021, 35, e509–e511. [Google Scholar] [CrossRef] [PubMed]
- Fischman, S.; Viel, T.; Perrot, J.; Pérez-Anker, J.; Suppa, M.; Cinotti, E.; Lenoir, C.; Orte Cano, C.; Welzel, J.; Schuh, S.; et al. AI-assisted basal cell carcinoma diagnosis with LC-OCT: A multicentric retrospective study. J. Eur. Acad. Dermatol. Venereol. 2025, 1–10. [Google Scholar] [CrossRef] [PubMed]







| Histopathology | ||||||
|---|---|---|---|---|---|---|
| BCC | Non-BCC | Total | ||||
| Dermoscopy | BCC | 159 | 32 | 191 | ||
| Non-BCC | 4 | 19 | 23 | |||
| Total | 163 | 51 | 214 | |||
| LC-OCT | BCC | 160 | 5 | 165 | ||
| Non-BCC | 3 | 46 | 49 | |||
| Total | 163 | 51 | 214 | |||
| BCC vs. Non-BCC | Sensitivity | Specificity | Accuracy | PPV | NPV | p * |
| Dermoscopy | 98% | 37% | 83% | 83% | 83% | <0.001 |
| LC-OCT | 98% | 90% | 96% | 97% | 94% | |
| BCC Correctly Identified as Such on LC-OCT (n = 160) | ||||||
|---|---|---|---|---|---|---|
| Superficial BCC (n = 50) | Nodular BCC (n = 79) | Infiltrative BCC (n = 31) | ||||
| Dermoscopy | LC-OCT | Dermoscopy | LC-OCT | Dermoscopy | LC-OCT | |
| Sensitivity | 62% | 72% | 81% | 82% | 6% | 42% |
| Specificity | 84% | 97% | 66% | 75% | 87% | 82% |
| Accuracy | 77% | 89% | 73% | 79% | 70% | 74% |
| PPV | 65% | 92% | 69% | 76% | 11% | 36% |
| NPV | 83% | 88% | 78% | 81% | 79% | 85% |
| p * | 0.03 | 0.45 | 0.001 | |||
Disclaimer/Publisher’s Note: The statements, opinions and data contained in all publications are solely those of the individual author(s) and contributor(s) and not of MDPI and/or the editor(s). MDPI and/or the editor(s) disclaim responsibility for any injury to people or property resulting from any ideas, methods, instructions or products referred to in the content. |
© 2026 by the authors. Licensee MDPI, Basel, Switzerland. This article is an open access article distributed under the terms and conditions of the Creative Commons Attribution (CC BY) license.
Share and Cite
Orte Cano, C.; Sanak, D.; Lenoir, C.; Diet, G.; Fontaine, M.; Boussingault, L.; Mtimet, L.; Aktas, D.; Rusu, S.; Trepant, A.-L.; et al. Diagnostic Performance of Line-Field Confocal Optical Coherence Tomography for Basal Cell Carcinoma: A Prospective Study. Cancers 2026, 18, 153. https://doi.org/10.3390/cancers18010153
Orte Cano C, Sanak D, Lenoir C, Diet G, Fontaine M, Boussingault L, Mtimet L, Aktas D, Rusu S, Trepant A-L, et al. Diagnostic Performance of Line-Field Confocal Optical Coherence Tomography for Basal Cell Carcinoma: A Prospective Study. Cancers. 2026; 18(1):153. https://doi.org/10.3390/cancers18010153
Chicago/Turabian StyleOrte Cano, Carmen, Dilara Sanak, Clément Lenoir, Gwendoline Diet, Margot Fontaine, Lucas Boussingault, Lyna Mtimet, Dina Aktas, Stefan Rusu, Anne-Laure Trepant, and et al. 2026. "Diagnostic Performance of Line-Field Confocal Optical Coherence Tomography for Basal Cell Carcinoma: A Prospective Study" Cancers 18, no. 1: 153. https://doi.org/10.3390/cancers18010153
APA StyleOrte Cano, C., Sanak, D., Lenoir, C., Diet, G., Fontaine, M., Boussingault, L., Mtimet, L., Aktas, D., Rusu, S., Trepant, A.-L., Palmisano, G., Di Stefani, A., Cinotti, E., Tognetti, L., Pérez-Anker, J., Peris, K., Rubegni, P., Puig, S., Malvehy, J., ... Suppa, M. (2026). Diagnostic Performance of Line-Field Confocal Optical Coherence Tomography for Basal Cell Carcinoma: A Prospective Study. Cancers, 18(1), 153. https://doi.org/10.3390/cancers18010153

