VEGF-C and Lymphatic Vessel Density in Tumor Tissue of Gastric Cancer: Correlations with Pathoclinical Features and Prognosis
Simple Summary
Abstract
1. Introduction
2. Materials and Methods
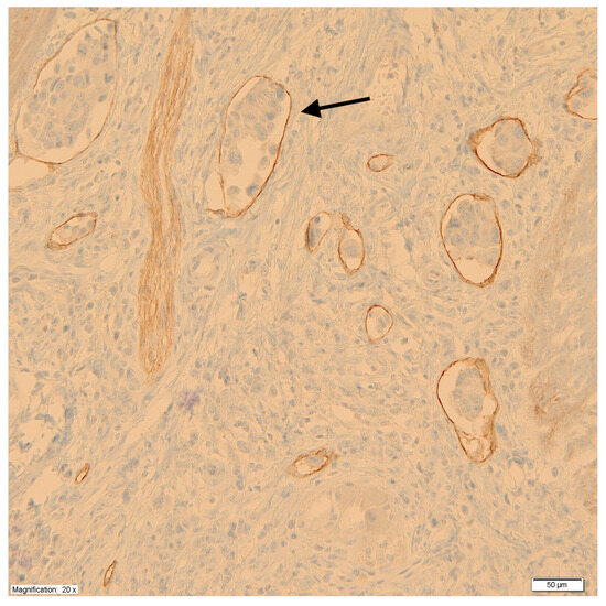
3. Results
4. Discussion
5. Conclusions
Author Contributions
Funding
Institutional Review Board Statement
Informed Consent Statement
Data Availability Statement
Conflicts of Interest
Abbreviations
| VEGF-C | Vascular endothelial growth factor C |
| LVD | Lymphatic vessel density |
| OS | Overall survival |
| LVs | Lymphatic vessels |
| TLS | Tertiary lymphatic structures |
| SLS | Secondary lymphatic structures |
| VEGF | Vascular endothelial growth factor |
| VEGFR-3 | Vascular endothelial growth factor receptor 3 |
| LEC | Lymphatic endothelial cells |
| VEGFR-2 | Vascular endothelial growth factor receptor 2 |
| VEC | Vascular endothelium |
| VV | Blood vessels |
| HS | High score |
| EGFR | Epidermal growth factor receptor |
| VEGF-A | Vascular endothelial growth factor A |
| VVD | Blood vessel density |
| VEGFR | Vascular endothelial growth factor receptor |
References
- Bray, F.; Laversanne, M.; Sung, H.; Ferlay, J.; Siegel, R.L.; Soerjomataram, I.; Jemal, A. Global cancer statistics 2022: GLOBOCAN estimates of incidence and mortality worldwide for 36 cancers in 185 countries. CA Cancer J. Clin. 2024, 74, 229–263. [Google Scholar] [CrossRef] [PubMed]
- Van der Auwera, I.; Cao, Y.; Tille, J.C.; Pepper, M.S.; Jackson, D.G.; Fox, S.B.; Harris, A.L.; Dirix, L.Y.; Vermeulen, P.B. First international consensus on the methodology of lymphangiogenesis quantification in solid human tumours. Br. J. Cancer 2006, 95, 1611–1625. [Google Scholar] [CrossRef] [PubMed]
- Kitadai, Y. Angiogenesis and lymphangiogenesis of gastric cancer. J. Oncol. 2010, 2010, 468725. [Google Scholar] [CrossRef]
- Liu, P.; Ding, P.; Sun, C.; Chen, S.; Lowe, S.; Meng, L.; Zhao, Q. Lymphangiogenesis in gastric cancer: Function and mechanism. Eur. J. Med. Res. 2023, 28, 405. [Google Scholar] [CrossRef]
- Zhang, J.Y.; Li, Y.Q.; Zhang, M.J.; Sun, Z.J. Lymphangiogenesis orchestrating tumor microenvironment: Face changing in immunotherapy. Biochim. Biophys. Acta Rev. Cancer 2025, 1880, 189278. [Google Scholar] [CrossRef] [PubMed]
- Zhang, J.Y.; Li, H.; Zhang, M.J.; Sun, Z.J. Role of tertiary lymphoid structures and B cells in clinical immunotherapy of gastric cancer. Gastroenterology 2024, 166, 1233–1249.e11. [Google Scholar] [CrossRef]
- Sautes-Friedman, C.; Petitprez, F.; Calderaro, J.; Fridman, W. Tertiary lymphoid structures in the era immunotherapy. Nat. Rev. Cancer 2019, 19, 307–325. [Google Scholar] [CrossRef]
- Sautès-Fridman, C.; Petitprez, F.; Calderaro, J.; Fridman, W.H. Tertiary lymphoid structures and their therapeutic implications in cancer. Nat. Rev. Clin. Oncol. 2023, 20, 318–336. [Google Scholar]
- Cao, F.; Hu, Y.W.; Li, P.; Liu, Y.; Wang, K.; Ma, L.; Li, P.F.; Ni, C.R.; Ding, H.Z. Lymphangiogenic and angiogenic microvessel density in Chinese patients with gastric carcinoma: Correlation with clinicopathologic parameters and prognosis. Asian Pac. J. Cancer Prev. 2013, 14, 4549–4552. [Google Scholar] [CrossRef]
- Chen, H.; Guan, R.; Lei, Y.; Chen, J.; Ge, Q.; Zhang, X.; Dou, R.; Chen, H.; Liu, H.; Qi, X.; et al. Lymphangiogenesis in gastric cancer regulated through Akt/mTOR-VEGF-C/VEGF-D axis. BMC Cancer 2015, 15, 103. [Google Scholar] [CrossRef]
- Yan, C.; Zhu, Z.G.; Yu, Y.Y.; Ji, J.; Zhang, Y.; Ji, Y.B.; Yan, M.; Chen, J.; Liu, B.Y.; Yin, H.R.; et al. Expression of vascular endothelial growth factor C and chemokine receptor CCR7 in gastric carcinoma and their values in predicting lymph node metastasis. World J. Gastroenterol. 2004, 10, 783–790. [Google Scholar] [CrossRef] [PubMed]
- Vimalraj, S.; Hariprabu, K.N.G.; Rahaman, M.; Govindasami, P.; Perumal, K.; Sekaran, S.; Ganapathy, D. Vascular endothelial growth factor-C and its receptor-3 signaling in tumorigenesis. 3 Biotech 2023, 13, 326. [Google Scholar] [CrossRef]
- Wang, X.; Chen, X.; Fang, J.; Yang, C. Overexpression of both VEGF-A and VEGF-C in gastric cancer correlates with prognosis, and silencing of both is effective to inhibit cancer growth. Int. J. Clin. Exp. Pathol. 2013, 6, 586–597. [Google Scholar]
- Ferrara, N.; Gerber, H.P.; LeCouter, J. The biology of VEGF and its receptors. Nat. Med. 2003, 9, 669–676. [Google Scholar] [CrossRef]
- Jussila, L.; Alitalo, K. Vascular growth factors and lymphangiogenesis. Physiol. Rev. 2002, 82, 673–700. [Google Scholar] [CrossRef] [PubMed]
- Wang, X.-L.; Fang, J.-P.; Tang, R.-Y.; Chen, X.-M. Different significance between intratumoral and peritumoral lymphatic vessel density in gastric cancer: A retrospective study of 123 cases. BMC Cancer 2010, 10, 299. [Google Scholar] [CrossRef]
- Yang, L.P.; Fu, L.C.; Guo, H.; Xie, L.X. Expression of vascular endothelial growth factor C correlates with lymphatic vessel density and prognosis in human gastroesophageal junction carcinoma. Onkologie 2012, 35, 88–93. [Google Scholar] [CrossRef] [PubMed]
- Byeon, S.J.; Chang, M.S.; Park, H.E.; Kang, D.; Wang, Y.; Han, D.S.; Ahn, H.S.; Heo, S.C.; Lee, M.S.; Kim, W.; et al. Predictive Biomarkers of Lymph Node Metastasis in Early Gastric Cancer: A Reference of Clinicopathological Characteristics, Protein Expression, Epstein-Barr Virus Status, and Microsatellite Instability. Anticancer Res. 2024, 44, 4435–4448. [Google Scholar] [CrossRef]
- Liu, L.; Ma, X.L.; Xiao, Z.L.; Li, M.; Cheng, S.H.; Wei, Y.Q. Prognostic value of vascular endothelial growth factor expression in resected gastric cancer. Asian Pac. J. Cancer Prev. 2012, 13, 3089–3097. [Google Scholar] [CrossRef]
- Rudno-Rudzinska, J.; Kielan, W.; Grzebieniak, Z.; Dziegiel, P.; Donizy, P.; Mazur, G.; Knakiewicz, M.; Frejlich, M.; Tabor, Z. High density of peritumoral lymphatic vessels measured by D2-40/podoplanin and LYVE-1 expression in gastric cancer patients: An excellent prognostic indicator or a false friend? Gastric Cancer 2013, 16, 513–520. [Google Scholar] [CrossRef]
- Yonemura, Y.; Endo, Y.; Fujita, H.; Fushida, S.; Ninomiya, I.; Bandou, E.; Taniguchi, K.; Miwa, K.; Ohoyama, S.; Sugiyama, K.; et al. Role of vascular endothelial growth factor C expression in the development of lymph node metastasis in gastric cancer. Clin. Cancer Res. 1999, 5, 1823–1829. [Google Scholar] [PubMed]
- Peng, L.; Zhan, P.; Zhou, Y.; Fang, W.; Zhao, P.; Zheng, Y.; Xu, N. Prognostic significance of vascular endothelial growth factor immunohistochemical expression in gastric cancer: A meta-analysis. Mol. Biol. Rep. 2012, 39, 9473–9484. [Google Scholar] [CrossRef]
- Pan, Q.; Liu, X.; Xu, C.; Yu, C. Comparative study on the expression of Pax3, Rad51 and VEGF-C in esophageal gastric junction adenocarcinoma and distal gastric adenocarcinoma. Cell. Mol. Biol. 2024, 70, 40–45. [Google Scholar] [CrossRef] [PubMed]
- Zhang, J.; Ji, J.; Yuan, F.; Zhu, L.; Yan, C.; Yu, Y.Y.; Liu, B.Y.; Zhu, Z.G.; Lin, Y.Z. Cyclooxygenase-2 expression is associated with VEGF-C and lymph node metastases in gastric cancer patients. Biomed. Pharmacother. 2005, 59, S285–S288. [Google Scholar] [CrossRef]
- Brierley, J.D.; Gospodarowicz, M.K.; Wittekind, C. TNM Classification of Malignant Tumours, 8th ed.; Wiley-Blackwell: Chichester, UK, 2016; pp. 75–79. [Google Scholar]
- Siewert, J.R.; Stein, H.J. Classification of adenocarcinoma of the oesophagogastric junction. Br. J. Surg. 1998, 85, 1457–1459. [Google Scholar] [CrossRef]
- Klipponen, P.; Collan, Y. Simple quantitation of immunohistochemical staining positivity in microscopy for histopathology routine. Acta Stereol. 1992, 11, 125–132. [Google Scholar]
- Weidner, N.; Carroll, P.R.; Flax, J.; Blumenfeld, W.; Folkman, J. Tumor angiogenesis correlates with metastasis in invasive prostate carcinoma. Am. J. Pathol. 1993, 143, 401–409. [Google Scholar]
- Lee, S.J.; Kim, J.G.; Sohn, S.K.; Chae, Y.S.; Moon, J.H.; Kim, S.N.; Bae, H.I.; Chung, H.Y.; Yu, W. No association of vascular endothelial growth factor-A (VEGF-A) and VEGF-C expression with survival in patients with gastric cancer. Cancer Res. Treat. 2009, 41, 218–223. [Google Scholar] [CrossRef]
- Kahn, H.J.; Bailey, D.; Marks, A. Monoclonal antibody D2-40, a new marker of lymphatic endothelium, reacts with Kaposi’s sarcoma and a subset of angiosarcomas. Mod. Pathol. 2002, 15, 434–440. [Google Scholar] [CrossRef]
- Lee, K.; Park, D.J.; Choe, G.; Kim, H.H.; Kim, W.H.; Lee, H.S. Increased intratumoral lymphatic vessel density correlates with lymph node metastasis in early gastric carcinoma. Ann. Surg. Oncol. 2010, 17, 73–80. [Google Scholar] [CrossRef]
- Gou, H.-F.; Chen, X.-C.; Zhu, J.; Jiang, M.; Yang, Y.; Cao, D.; Hou, M. Expressions of COX-2 and VEGF-C in gastric cancer: Correlations with lymphangiogenesis and prognostic implications. J. Exp. Clin. Cancer Res. 2011, 30, 14. [Google Scholar] [CrossRef]
- Ikeda, K.; Oki, E.; Saeki, H.; Ando, K.; Morita, M.; Oda, Y.; Imamura, M.; Kakeji, Y.; Maehara, Y. Intratumoral lymphangiogenesis and prognostic significance of VEGFC expression in gastric cancer. Anticancer Res. 2014, 34, 3911–3915. [Google Scholar] [PubMed]
- Liu, Y.; Wang, D.X.; Wan, X.J.; Meng, X.H. Identification of candidate biomarkers associated with gastric cancer prognosis based on an integrated bioinformatics analysis. J. Gastrointest. Oncol. 2022, 13, 1690–1700. [Google Scholar] [CrossRef] [PubMed]
- Petrillo, A.; Laterza, M.M.; Tirino, G.; Pompella, L.; Pappalardo, A.; Ventriglia, J.; Savastano, B.; Auricchio, A.; Orditura, M.; Ciardiello, F.; et al. Increased circulating levels of vascular endothelial growth factor C can predict outcome in resectable gastric cancer patients. J. Gastrointest. Oncol. 2019, 10, 314–323. [Google Scholar] [CrossRef] [PubMed]
- Dai, Y.; Jiang, J.; Wang, Y.; Jin, Z.; Hu, S. The correlation and clinical implication of VEGF-C expression in microvascular density and lymph node metastasis of gastric carcinoma. Am. J. Transl. Res. 2016, 8, 5741–5747. [Google Scholar] [PubMed] [PubMed Central]
- Rudno-Rudzińska, J.; Donizy, P.; Frejlich, E.; Kotulski, K.; Dzięgiel, P.; Hałoń, A.; Kielan, W. Lymphangiogenesis in early and advanced gastric cancer: Is there any difference? J. Gastroenterol. Hepatol. 2014, 29 (Suppl. S4), 107–111. [Google Scholar] [CrossRef]
- Scartozzi, M.; Loretelli, C.; Galizia, E.; Mandolesi, A.; Pistelli, M.; Bittoni, A.; Giampieri, R.; Faloppi, L.; Bianconi, M.; Del Prete, M.; et al. Role of vascular endothelial growth factor (VEGF) and VEGF-R genotyping in guiding the metastatic process in pT4a resected gastric cancer patients. PLoS ONE 2012, 7, e38192. [Google Scholar] [CrossRef]
- Russi, S.; Marano, L.; Laurino, S.; Calice, G.; Scala, D.; Marino, G.; Sgambato, A.; Mazzone, P.; Carbone, L.; Napolitano, G.; et al. Gene Regulatory Network Characterization of Gastric Cancer’s Histological Subtypes: Distinctive Biological and Clinically Relevant Master Regulators. Cancers 2022, 14, 4961. [Google Scholar] [CrossRef]


| Parameter | No. of Patients | % | |
|---|---|---|---|
| Age (median: 62 years) | <62 ≥62 | 48 55 | 47 53 |
| Gender | Female Male | 31 72 | 30 70 |
| Depth of invasion (pT) | T1 (a + b) T2 T3 T4 (a + b) | 9 (1 + 8) 17 53 24 (19 + 5) | 8.5 16.5 51.5 23.5 |
| Regional lymph nodes (pN) | N0 N + (N1+ N2 + N3 a + b) | 26 77 (23 + 22 + 32 22 + 10) | 25 75 |
| Stage (pTNM) | I (A + B) II (A + B) III (A + B + C) | 15 (6 + 9) 31 (12 + 19) 57 (24 + 22 + 11) | 14.5 30 55.5 |
| Histological type (Lauren) | Intestinal - Females: 11 (22%) - Males: 40 (78%) Diffuse - Females: 12 (37.5%) - Males: 20 (62.5%) Mixed - Females: 8 (40%) - Males: 12 (60%) | 51 32 20 | 49.5 31 19.5 |
| Location of tumor | Cardia Other location | 32 71 | 31 69 |
| Parameter | VEGF-C (−) Mean (SD) | VEGF-C (+) Mean (SD) | p Value |
|---|---|---|---|
| LVD | 12 (±8) | 16 (±9) | 0.03 |
| Parameter | VEGF-C (−) % | VEGF-C (+) % | p Value | LVD Median | p Value * | |
|---|---|---|---|---|---|---|
| Age (median: 62 years) | <62 ≥62 | 35 20 | 65 80 | 0.07 | 15 12 | 0.4 |
| Gender | Female Male | 29 26 | 71 74 | 0.7 | 15 14 | 0.9 |
| Depth of invasion (pT) | T1 + T2 T3 + T4 | 27 27 | 73 73 | 0.9 | 15 13 | 0.08 |
| Regional lymph nodes (pN) | N (−) N (+) | 27 27 | 73 73 | 0.9 | 15 14 | 0.2 |
| Stage (pTNM) | I + II III | 26 28 | 74 72 | 0.8 | 15 13 | 0.1 |
| Histological type (Lauren) | Intestinal Diffuse + Mixed | 12 42 | 88 58 | <0.001 | 13 15 | 0.4 |
| Location of tumor | Cardia Other location | 19 31 | 81 69 | 0.1 | 10 15 | 0.04 |
| Parameter | Overall Survival Probability | Log-Rank p Value | |
|---|---|---|---|
| Expression of VEGF-C | VEGF-C (−) VEGF-C (+) | 0.32 0.32 | 0.8 |
| LVD | A B | 0.25 0.38 | 0.1 |
| Age (median: 62 years) | <62 ≥62 | 0.37 0.27 | 0.06 |
| Gender | Female Male | 0.32 0.32 | 0.9 |
| Depth of invasion (pT) | T1 + T2 T3 + T4 | 0.61 0.22 | <0.001 |
| Regional lymph nodes (pN) | N (−) N (+) | 0.58 0.23 | <0.001 |
| Stage (pTNM) | I + II III | 0.48 0.19 | <0.001 |
| Histological type (Lauren) | Intestinal Diffuse + Mixed | 0.41 0.23 | 0.06 |
| Location of tumor | Cardia Other location | 0.25 0.35 | 0.4 |
| Parameter | n | Overall Survival Probability | Log-Rank p Value | |
|---|---|---|---|---|
| Expression of VEGF-C | VEGF-C (−) VEGF-C (+) | 6 45 | 0.83 0.36 | 0.01 |
| LVD | A B | 39 12 | 0.31 0.52 | 0.1 |
| Age (median: 62 years) | <62 ≥62 | 24 27 | 0.46 0.37 | 0.2 |
| Gender | Female Male | 11 40 | 0.45 0.40 | 0.7 |
| Depth of invasion (pT) | T1 + T2 T3 + T4 | 12 39 | 0.67 0.33 | 0.01 |
| Regional lymph nodes (pN) | N (−) N (+) | 14 37 | 0.64 0.32 | 0.02 |
| Stage (pTNM) | I + II III | 24 27 | 0.54 0.30 | 0.01 |
| Location of tumor | Cardia Other location | 21 30 | 0.33 0.47 | 0.5 |
Disclaimer/Publisher’s Note: The statements, opinions and data contained in all publications are solely those of the individual author(s) and contributor(s) and not of MDPI and/or the editor(s). MDPI and/or the editor(s) disclaim responsibility for any injury to people or property resulting from any ideas, methods, instructions or products referred to in the content. |
© 2025 by the authors. Licensee MDPI, Basel, Switzerland. This article is an open access article distributed under the terms and conditions of the Creative Commons Attribution (CC BY) license (https://creativecommons.org/licenses/by/4.0/).
Share and Cite
Szajewski, M.; Ciesielski, M.; Pęksa, R.; Kurek, P.; Stańczak, M.; Walczak, J.; Zieliński, J.; Kruszewski, W.J. VEGF-C and Lymphatic Vessel Density in Tumor Tissue of Gastric Cancer: Correlations with Pathoclinical Features and Prognosis. Cancers 2025, 17, 1406. https://doi.org/10.3390/cancers17091406
Szajewski M, Ciesielski M, Pęksa R, Kurek P, Stańczak M, Walczak J, Zieliński J, Kruszewski WJ. VEGF-C and Lymphatic Vessel Density in Tumor Tissue of Gastric Cancer: Correlations with Pathoclinical Features and Prognosis. Cancers. 2025; 17(9):1406. https://doi.org/10.3390/cancers17091406
Chicago/Turabian StyleSzajewski, Mariusz, Maciej Ciesielski, Rafał Pęksa, Piotr Kurek, Michał Stańczak, Jakub Walczak, Jacek Zieliński, and Wiesław Janusz Kruszewski. 2025. "VEGF-C and Lymphatic Vessel Density in Tumor Tissue of Gastric Cancer: Correlations with Pathoclinical Features and Prognosis" Cancers 17, no. 9: 1406. https://doi.org/10.3390/cancers17091406
APA StyleSzajewski, M., Ciesielski, M., Pęksa, R., Kurek, P., Stańczak, M., Walczak, J., Zieliński, J., & Kruszewski, W. J. (2025). VEGF-C and Lymphatic Vessel Density in Tumor Tissue of Gastric Cancer: Correlations with Pathoclinical Features and Prognosis. Cancers, 17(9), 1406. https://doi.org/10.3390/cancers17091406

