Laryngeal Papillomatosis
Simple Summary
Abstract
1. Introduction
2. HPV
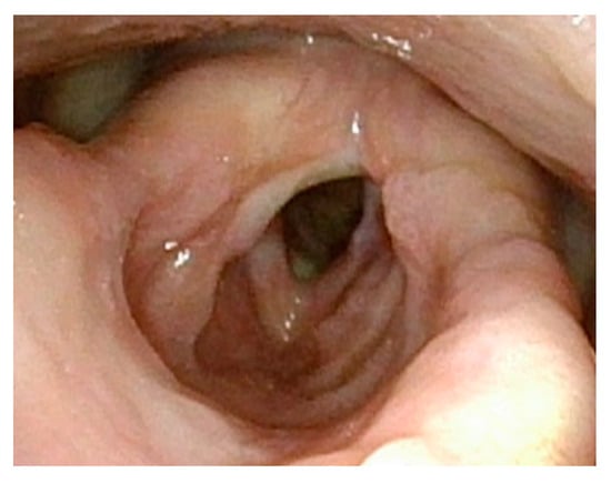
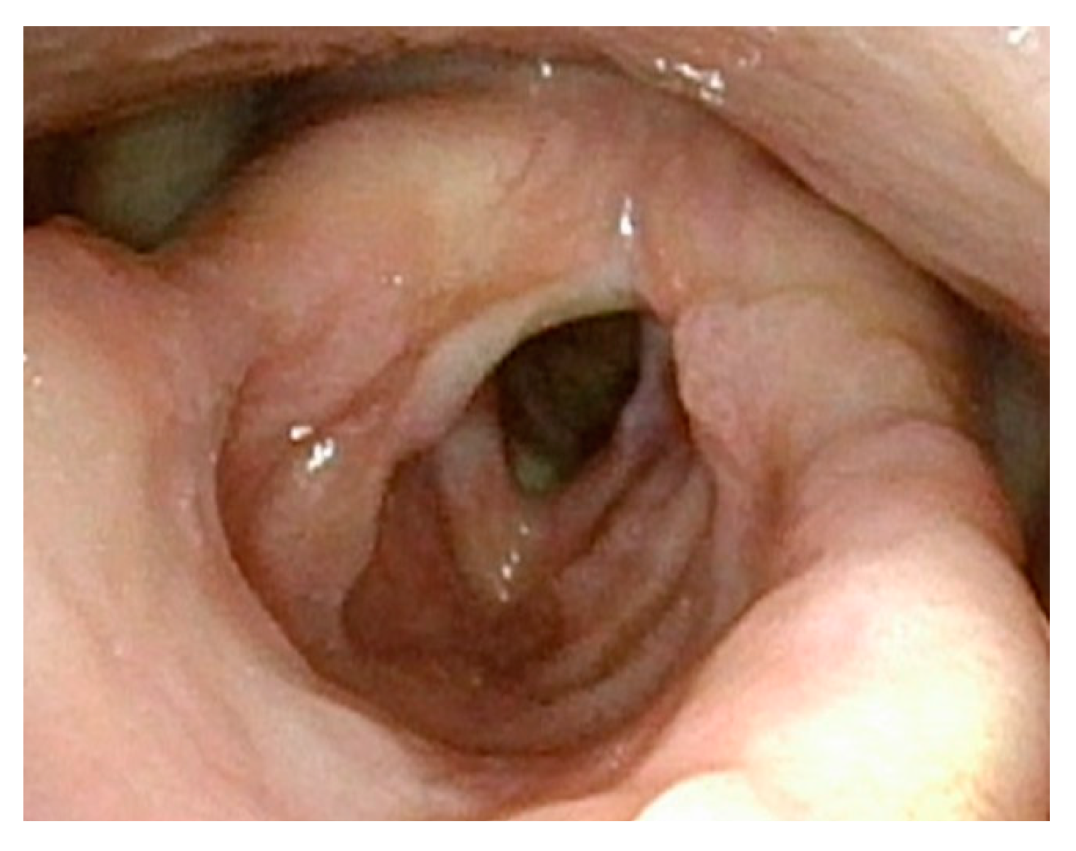
3. Laryngeal Papillomatosis
4. Operative Management
5. Medical Management
| Treatment Modality | Mechanism | Advantages | Limitations | Evidence | References |
|---|---|---|---|---|---|
| Surgical debulking | Removal of lesions via microdebrider, laser, and coblator | Mainstay of managing LP and airway obstruction | Frequent procedures, risks of general anesthesia, and cost | N/A | N/A |
| Office-based treatment | Laser ablation of lesions via transnasal flexible laryngoscopy | Disease maintenance, avoid surgery and general anesthesia, and reduced cost | Ability to tolerate office-based laser, frequent procedures, and not suitable for severe disease or airway compromise | Average time interval procedures: 10.59 months (OR) vs. 5.4 months (office); cost: USD 10,105 (OR) vs. USD 2081 (office) | Chen et al., 2021 [58] |
| Bevacizumab | Monoclonal antibody blocking VEGF-A; intralesional and systemic administration | Reduced frequency of surgical intervention; may address lesions on tracheobronchial tree | Frequent infusions every 3–4 weeks | Prolonged surgical interval in 95% of patients (systemic) vs. 62% (intralesional) | Pogoda et al., 2022 [82] |
| Cidofovir | Inhibits viral DNA polymerase; intralesional injection | Decreased disease recurrence and severity | Limited high-quality evidence to support its efficacy | No difference between cidofovir and placebo for disease severity, VHI, HRQoL, or number of procedures | Chadha et al., 2012 [73] |
| HPV vaccination | Antibody- and cell-mediated immunity against HPV 6, 11, 16, 18 (quadrivalent), 31, 33, 45, 52, and 58 (9-valent) | Prevents HPV infection and HPV-mediated disease. As treatment: reduced frequency of surgical intervention | Limited evidence of impact of national vaccination programs on rates of RRP; not approved for patients > 45 years | Mean ISI increased by 15.73 months after vaccination; mean number of procedures decreased by 4.43 per year after vaccination | Ponduri et al., 2023 [86] |
| Immune checkpoint inhibitors | Monoclonal antibody targeting PD-1 (Nivolumab, Pembrolizumab), PD-L1 (Avelumab) | Potential for future non-surgical treatment options | Limited evidence with few patients and mixed responses to treatment; ongoing clinical trials | Pembrolizumab: partial response in 57% of patients; stable disease in 33% Nivolumab: reduction in disease burden in 2/2 patients Avelumab: improvement in disease burden in all patients; partial response in 56% of patients; no improvement in pulmonary disease | Creelan et al., 2019 [87]; Allen et al., 2019 [88]; Pai et al., 2022 [89] |
6. HPV Vaccine
7. Future Directions
8. Conclusions
Author Contributions
Funding
Conflicts of Interest
References
- Derkay, C.S.; Wiatrak, B. Recurrent Respiratory Papillomatosis: A Review. Laryngoscope 2008, 118, 1236–1247. [Google Scholar] [CrossRef] [PubMed]
- Benedict, J.J.; Derkay, C.S. Recurrent Respiratory Papillomatosis: A 2020 Perspective. Laryngoscope Investig. Otolaryngol. 2021, 6, 340–345. [Google Scholar] [CrossRef] [PubMed]
- Donne, A.J.; Hampson, L.; Homer, J.J.; Hampson, I.N. The Role of HPV Type in Recurrent Respiratory Papillomatosis. Int. J. Pediatr. Otorhinolaryngol. 2010, 74, 7–14. [Google Scholar] [CrossRef]
- Doorbar, J.; Quint, W.; Banks, L.; Bravo, I.G.; Stoler, M.; Broker, T.R.; Stanley, M.A. The Biology and Life-Cycle of Human Papillomaviruses. Vaccine 2012, 30, F55–F70. [Google Scholar] [CrossRef]
- Elissa Meites, M.M.; Julianne Gee, M.; Elizabeth Unger, P.M.; Lauri Markowitz, M. Human Papillomavirus. In Epidemiology and Prevention of Vaccine-Preventable Diseases; Public Health Foundation: Washington, DC, USA, 2021. [Google Scholar]
- Satterwhite, C.L.; Torrone, E.; Meites, E.; Dunne, E.F.; Mahajan, R.; Ocfemia, M.C.B.; Su, J.; Xu, F.; Weinstock, H. Sexually Transmitted Infections Among US Women and Men. Sex. Transm. Dis. 2013, 40, 187–193. [Google Scholar] [CrossRef] [PubMed]
- Rosenblum, H.G.; Lewis, R.M.; Gargano, J.W.; Querec, T.D.; Unger, E.R.; Markowitz, L.E. Declines in Prevalence of Human Papillomavirus Vaccine-Type Infection Among Females after Introduction of Vaccine—United States, 2003–2018. MMWR Morb. Mortal. Wkly. Rep. 2021, 70, 415–420. [Google Scholar] [CrossRef]
- Petrosky, E.; Bocchini, J.A., Jr.; Hariri, S.; Chesson, H.; Curtis, C.R.; Saraiya, M.; Unger, E.R.; Markowitz, L.E.; Centers for Disease Control and Prevention (CDC). Use of 9-Valent Human Papillomavirus (HPV) Vaccine: Updated HPV Vaccination Recommendations of the Advisory Committee on Immunization Practices. Morb. Mortal. Wkly. Rep. 2015, 64, 300–304. [Google Scholar]
- Gribb, J.P.; Wheelock, J.H.; Park, E.S. Human Papilloma Virus (HPV) and the Current State of Oropharyngeal Cancer Prevention and Treatment. Del. J. Public Health 2023, 9, 26–28. [Google Scholar] [CrossRef]
- Chaturvedi, A.K.; Engels, E.A.; Pfeiffer, R.M.; Hernandez, B.Y.; Xiao, W.; Kim, E.; Jiang, B.; Goodman, M.T.; Sibug-Saber, M.; Cozen, W.; et al. Human Papillomavirus and Rising Oropharyngeal Cancer Incidence in the United States. J. Clin. Oncol. 2011, 29, 4294–4301. [Google Scholar] [CrossRef]
- Lepine, C.; Leboulanger, N.; Badoual, C. Juvenile Onset Recurrent Respiratory Papillomatosis: What Do We Know in 2024? Tumour Virus Res. 2024, 17, 200281. [Google Scholar] [CrossRef]
- Xi, Y.; Wang, H.; Wang, W.; Wang, X.; Zhang, J.; Zhao, J.; Wang, G.; Gui, J.; Ni, X. Risk Factors for Aggressive Recurrent Respiratory Papillomatosis in Chinese Juvenile Patients. Acta Otolaryngol. 2020, 140, 771–776. [Google Scholar] [CrossRef] [PubMed]
- Doyle, D.J.; Gianoli, G.J.; Espinola, T.; Miller, R.H. Recurrent Respiratory Papillomatosis: Juvenile versus Adult Forms. Laryngoscope 1994, 104, 523–527. [Google Scholar] [CrossRef] [PubMed]
- Omland, T.; Akre, H.; Lie, K.A.; Jebsen, P.; Sandvik, L.; Brøndbo, K. Risk Factors for Aggressive Recurrent Respiratory Papillomatosis in Adults and Juveniles. PLoS ONE 2014, 9, e113584. [Google Scholar] [CrossRef] [PubMed]
- Derkay, C.S. Task Force on Recurrent Respiratory Papillomas: A Preliminary Report. Arch. Otolaryngol.-Head Neck Surg. 1995, 121, 1386–1391. [Google Scholar] [CrossRef] [PubMed]
- Armstrong, L.R.; Derkay, C.S.; Reeves, W.C. Initial Results From the National Registry for Juvenile-Onset Recurrent Respiratory Papillomatosis. Arch. Otolaryngol.-Head Neck Surg. 1999, 125, 743. [Google Scholar] [CrossRef] [PubMed]
- Draganov, P.; Todorov, S.; Todorov, I.; Karchev, T.; Kalvatchev, Z. Identification of HPV DNA in Patients with Juvenile-Onset Recurrent Respiratory Papillomatosis Using SYBR® Green Real-Time PCR. Int. J. Pediatr. Otorhinolaryngol. 2006, 70, 469–473. [Google Scholar] [CrossRef]
- Buchinsky, F.J.; Valentino, W.L.; Ruszkay, N.; Powell, E.; Derkay, C.S.; Seedat, R.Y.; Uloza, V.; Dikkers, F.G.; Tunkel, D.E.; Choi, S.S.; et al. Age at Diagnosis, but Not HPV Type, Is Strongly Associated with Clinical Course in Recurrent Respiratory Papillomatosis. PLoS ONE 2019, 14, e0216697. [Google Scholar] [CrossRef]
- Niyibizi, J.; Rodier, C.; Wassef, M.; Trottier, H. Risk Factors for the Development and Severity of Juvenile-Onset Recurrent Respiratory Papillomatosis: A Systematic Review. Int. J. Pediatr. Otorhinolaryngol. 2014, 78, 186–197. [Google Scholar] [CrossRef]
- Campisi, P.; Hawkes, M.; RN, K.S. The Epidemiology of Juvenile Onset Recurrent Respiratory Papillomatosis Derived from a Population Level National Database. Laryngoscope 2010, 120, 1233–1245. [Google Scholar] [CrossRef]
- Lépine, C.; Voron, T.; Berrebi, D.; Mandavit, M.; Nervo, M.; Outh-Gauer, S.; Péré, H.; Tournier, L.; Teissier, N.; Tartour, E.; et al. Juvenile-Onset Recurrent Respiratory Papillomatosis Aggressiveness: In Situ Study of the Level of Transcription of HPV E6 and E7. Cancers 2020, 12, 2836. [Google Scholar] [CrossRef]
- Li, S.-L.; Wang, W.; Zhao, J.; Zhang, F.-Z.; Zhang, J.; Ni, X. A Review of the Risk Factors Associated with Juvenile-Onset Recurrent Respiratory Papillomatosis: Genetic, Immune and Clinical Aspects. World J. Pediatr. 2022, 18, 75–82. [Google Scholar] [CrossRef] [PubMed]
- Gerein, V.; Schmandt, S.; Babkina, N.; Barysik, N.; Coerdt, W.; Pfister, H. Human Papilloma Virus (HPV)-Associated Gynecological Alteration in Mothers of Children with Recurrent Respiratory Papillomatosis during Long-Term Observation. Cancer Detect. Prev. 2007, 31, 276–281. [Google Scholar] [CrossRef]
- Tenti, P. Perinatal Transmission of Human Papillomavirus from Gravidas with Latent Infections. Obstet. Gynecol. 1999, 93, 475–479. [Google Scholar] [CrossRef] [PubMed]
- Derkay, C.S. Recurrent Respiratory Papillomatosis. Laryngoscope 2001, 111, 57–69. [Google Scholar] [CrossRef]
- Qu, X.; Xiao, Y.; Ma, L.; Niu, Z.; Wang, J. High Recurrence Rate in Patients with Juvenile-Onset Respiratory Papillomatosis and Its Risk Factors. Eur. Arch. Oto-Rhino-Laryngol. 2022, 279, 4061–4068. [Google Scholar] [CrossRef]
- Ling, S.; Cheng, Y.; Yau, P.A.; Yim, C.; Kwan, H.; Mok, T. Recurrent Respiratory Papillomatosis (RRP) of Tracheobronchial Tree Presenting as Lung Collapse with Malignant Transformation after a Decade. Respir. Med. Case Rep. 2023, 45, 101904. [Google Scholar] [CrossRef]
- Can, N.T.; Tretiakova, M.S.; Taxy, J.B. Natural History and Malignant Transformation in Recurrent Respiratory Papillomatosis: Human Papillomavirus (HPV), Dysplasia and an Autopsy Review. Fetal Pediatr. Pathol. 2015, 34, 80–90. [Google Scholar] [CrossRef]
- Muhammad Fauzi, H.G.; Mohan Singh, A.S.; Abdul Rahim, S.; Chooi, L.L.; Ramasamy, V.; Mohamad Pakarul Razy, N.H.; Mohamad, I. Malignant Transformation of Juvenile Recurrent Respiratory Papillomatosis. Gulf J. Oncol. 2021, 1, 79–81. [Google Scholar]
- Karatayli-Ozgursoy, S.; Bishop, J.A.; Hillel, A.; Akst, L.; Best, S.R.A. Risk Factors for Dysplasia in Recurrent Respiratory Papillomatosis in an Adult and Pediatric Population. Ann. Otol. Rhinol. Laryngol. 2016, 125, 235–241. [Google Scholar] [CrossRef]
- Lee, L.; Cheng, A.; Fang, T.; Huang, C.; Liao, C.; Chang, J.T.; Li, H. High Incidence of Malignant Transformation of Laryngeal Papilloma in Taiwan. Laryngoscope 2008, 118, 50–55. [Google Scholar] [CrossRef]
- Silverberg, M. Condyloma in Pregnancy Is Strongly Predictive of Juvenile-Onset Recurrent Respiratory Papillomatosis. Obstet. Gynecol. 2003, 101, 645–652. [Google Scholar] [CrossRef]
- Winckworth, L.C.; Nichol, R. Question 2: Do Caesarean Sections Reduce the Maternal-Fetal Transmission Rate of Human Papillomavirus Infection? Arch. Dis. Child. 2010, 95, 70–73. [Google Scholar] [CrossRef]
- Larson, D.A.; Derkay, C.S. Epidemiology of Recurrent Respiratory Papillomatosis. APMIS 2010, 118, 450–454. [Google Scholar] [CrossRef]
- Lai, Y.M.; Yang, F.P.; Pao, C.C. Human Papillomavirus Deoxyribonucleic Acid and Ribonucleic Acid in Seminal Plasma and Sperm Cells. Fertil. Steril. 1996, 65, 1026–1030. [Google Scholar] [CrossRef]
- Perkins, J.A.; Inglis, A.F.; Richardson, M.A. Iatrogenic Airway Stenosis With Recurrent Respiratory Papillomatosis. Arch. Otolaryngol.-Head Neck Surg. 1998, 124, 281. [Google Scholar] [CrossRef][Green Version]
- Liu, S.; Shao, J. Surgical Outcome of Different Surgical Modalities for Adult Recurrent Respiratory Papillomatosis. Acta Otolaryngol. 2023, 143, 196–200. [Google Scholar] [CrossRef]
- Rosen, C.M.D.; Simpson, C.B.M.D. Principles of Laser Microlaryngoscopy. In Operative Techniques in Laryngology; Springer: Berlin, Germany, 2008; pp. 85–89. [Google Scholar]
- Hess, M.M.; Fleischer, S.; Ernstberger, M. New 445 Nm Blue Laser for Laryngeal Surgery Combines Photoangiolytic and Cutting Properties. Eur. Arch. Oto-Rhino-Laryngol. 2018, 275, 1557–1567. [Google Scholar] [CrossRef]
- Hock, K.; Kennedy, A.; Howell, R.; Friedman, A.; de Alarcon, A.; Khosla, S. Surgery and Adjuvant Therapy Improve Derkay Scores in Adult and Pediatric Respiratory Papillomatosis. Laryngoscope 2022, 132, 2420–2426. [Google Scholar] [CrossRef]
- Hung, W.-C.; Lo, W.-C.; Fang, K.-M.; Cheng, P.-W.; Wang, C.-T. Longitudinal Voice Outcomes Following Serial Potassium Titanyl Phosphate Laser Procedures for Recurrent Respiratory Papillomatosis. Ann. Otol. Rhinol. Laryngol. 2021, 130, 363–369. [Google Scholar] [CrossRef]
- Burns, J.A.; Friedman, A.D.; Lutch, M.J.; Hillman, R.E.; Zeitels, S.M. Value and Utility of 532 Nanometre Pulsed Potassium-Titanyl-Phosphate Laser in Endoscopic Laryngeal Surgery. J. Laryngol. Otol. 2010, 124, 407–411. [Google Scholar] [CrossRef]
- Patel, R.S.; Mackenzie, K. Powered Laryngeal Shavers and Laryngeal Papillomatosis: A Preliminary Report. Clin. Otolaryngol. Allied Sci. 2000, 25, 358–360. [Google Scholar] [CrossRef]
- Patel, N.; Rowe, M.; Tunkel, D. Treatment of Recurrent Respiratory Papillomatosis in Children with the Microdebrider. Ann. Otol. Rhinol. Laryngol. 2003, 112, 7–10. [Google Scholar] [CrossRef]
- El-Bitar, M.A.; Zalzal, G.H. Powered Instrumentation in the Treatment of Recurrent Respiratory Papillomatosis. Arch. Otolaryngol.-Head Neck Surg. 2002, 128, 425. [Google Scholar] [CrossRef]
- Pasquale, K.; Wiatrak, B.; Woolley, A.; Lewis, L. Microdebrider Versus CO2 Laser Removal of Recurrent Respiratory Papillomas: A Prospective Analysis. Laryngoscope 2003, 113, 139–143. [Google Scholar] [CrossRef]
- Bortnick, D.P. Coblation: An Emerging Technology and New Technique for Soft-Tissue Surgery. Plast. Reconstr. Surg. 2001, 107, 614–615. [Google Scholar] [CrossRef]
- Arya, A.K.; Donne, A.; Nigam, A. Double-blind Randomized Controlled Study of Coblation Tonsillotomy versus Coblation Tonsillectomy on Postoperative Pain in Children. Clin. Otolaryngol. 2005, 30, 226–229. [Google Scholar] [CrossRef]
- Atef, A.; Mosleh, M.; El Bosraty, H.; El Fatah, G.A.; Fathi, A. Bipolar Radiofrequency Volumetric Tissue Reduction of Inferior Turbinate: Does the Number of Treatment Sessions Influence the Final Outcome? Am. J. Rhinol. 2006, 20, 25–31. [Google Scholar] [CrossRef]
- Timms, M.S.; Bruce, I.A.; Patel, N.K. Radiofrequency Ablation (Coblation): A Promising New Technique for Laryngeal Papillomata. J. Laryngol. Otol. 2007, 121, 28–30. [Google Scholar] [CrossRef]
- Rachmanidou, A.; Modayil, P.C. Coblation Resection of Paediatric Laryngeal Papilloma. J. Laryngol. Otol. 2011, 125, 873–876. [Google Scholar] [CrossRef] [PubMed]
- Hao, F.; Yue, L.; Yin, X.; Wang, X.; Shan, C. Low-Temperature Radiofrequency Coblation Reduces Treatment Interval and Post-Operative Pain of Laryngotracheal Recurrent Respiratory Papillomatosis. Biosci. Rep. 2020, 40, BSR20192005. [Google Scholar] [CrossRef] [PubMed]
- Zeitels, S.M.; Burns, J.A.; Franco, R.A.; Hillman, R.E.; Dailey, S.H.; Anderson, R.R. Office-Based Treatment of Glottal Dysplasia and Papillomatosis with the 585-NM Pulsed Dye Laser and Local Anesthesia. Ann. Otol. Rhinol. Laryngol. 2004, 113, 265–276. [Google Scholar] [CrossRef]
- Koufman, J.A.; Rees, C.J.; Frazier, W.D.; Kilpatrick, L.A.; Wright, S.C.; Halum, S.L.; Postma, G.N. Office-Based Laryngeal Laser Surgery: A Review of 443 Cases Using Three Wavelengths. Otolaryngol.-Head Neck Surg. 2007, 137, 146–151. [Google Scholar] [CrossRef]
- Filauro, M.; Vallin, A.; Sampieri, C.; Benzi, P.; Gabella, G.; De Vecchi, M.; Ioppi, A.; Mora, F.; Peretti, G. Recurrent Respiratory Papillomatosis: Comparing in-Office and Operating Room Treatments. Acta Otorhinolaryngol. Ital. 2024, 44, 233–241. [Google Scholar] [CrossRef]
- Miller, A.J.; Gardner, G.M. In-Office vs. Operating Room Procedures for Recurrent Respiratory Papillomatosis. Ear Nose Throat J. 2017, 96, E24–E28. [Google Scholar] [CrossRef]
- Rees, C.J.; Postma, G.N.; Koufman, J.A. Cost Savings of Unsedated Office-Based Laser Surgery for Laryngeal Papillomas. Ann. Otol. Rhinol. Laryngol. 2007, 116, 45–48. [Google Scholar] [CrossRef]
- Chen, S.; Connors, J.; Zhang, Y.; Wang, B.; Vieira, D.; Shapira-Galitz, Y.; Garber, D.; Amin, M.R. Recurrent Respiratory Papillomatosis Office versus Operating Room: Systematic Review and Meta-Analysis. Ann. Otol. Rhinol. Laryngol. 2021, 130, 234–244. [Google Scholar] [CrossRef]
- Hu, X.; Zhou, Q.; Yu, J.; Wang, J.; Tu, Q.; Zhu, X. Prevalence of HPV Infections in Surgical Smoke Exposed Gynecologists. Int. Arch. Occup. Environ. Health 2021, 94, 107–115. [Google Scholar] [CrossRef]
- Cox, S.V.; Dobry, A.S.; Zachary, C.B.; Cohen, J.L. Laser Plume From Human Papillomavirus–Infected Tissue: A Systematic Review. Dermatol. Surg. 2020, 46, 1676–1682. [Google Scholar] [CrossRef]
- Palma, S.; Gnambs, T.; Crevenna, R.; Jordakieva, G. Airborne Human Papillomavirus (HPV) Transmission Risk during Ablation Procedures: A Systematic Review and Meta-Analysis. Environ. Res. 2021, 192, 110437. [Google Scholar] [CrossRef]
- Garden, J.M. Viral Disease Transmitted by Laser-Generated Plume (Aerosol). Arch. Dermatol. 2002, 138, 1303. [Google Scholar] [CrossRef]
- Garden, J.M.; O’Banion, M.K.; Shelnitz, L.S.; Pinski, K.S.; Bakus, A.D.; Reichmann, M.E.; Sundberg, J.P. Papillomavirus in the Vapor of Carbon Dioxide Laser-Treated Verrucae. JAMA 1988, 259, 1199–1202. [Google Scholar] [CrossRef]
- Kofoed, K.; Norrbom, C.; Forslund, O.; Møller, C.; Frøding, L.; Pedersen, A.; Markauskas, A.; Blomberg, M.; Baumgartner-Nielsen, J.; Madsen, J.; et al. Low Prevalence of Oral and Nasal Human Papillomavirus in Employees Performing CO2-Laser Evaporation of Genital Warts or Loop Electrode Excision Procedure of Cervical Dysplasia. Acta Derm. Venereol. 2015, 95, 173–176. [Google Scholar] [CrossRef]
- Dodhia, S.; Baxter, P.C.; Ye, F.; Pitman, M.J. Investigation of the Presence of HPV on KTP Laser Fibers Following KTP Laser Treatment of Papilloma. Laryngoscope 2018, 128, 926–928. [Google Scholar] [CrossRef]
- Ivancic, R.; Iqbal, H.; deSilva, B.; Pan, Q.; Matrka, L. Current and Future Management of Recurrent Respiratory Papillomatosis. Laryngoscope Investig. Otolaryngol. 2018, 3, 22–34. [Google Scholar] [CrossRef]
- Bertino, G.; Pedretti, F.; Mauramati, S.; Filauro, M.; Vallin, A.; Mora, F.; Crosetti, E.; Succo, G.; Peretti, G.; Benazzo, M. Recurrent Laryngeal Papillomatosis: Multimodal Therapeutic Strategies. Literature Review and Multicentre Retrospective Study. Acta Otorhinolaryngol. Ital. 2023, 43 (Suppl. 1), S111–S122. [Google Scholar] [CrossRef]
- Lea, A.P.; Bryson, H.M. Cidofovir. Drugs 1996, 52, 225–230. [Google Scholar] [CrossRef]
- Van Cutsem, E.; Janssens, J.; Rutgeerts, P.; Vantrappen, G.; Snoeck, R.; Van Ranst, M.; Fiten, P.; Opdenakker, G.; De Clercq, E.; Geboes, K. Successful Treatment of a Squamous Papilloma of the Hypopharynx-esophagus by Local Injections of (S)-1-(3-hydroxy-2-phosphonylmethoxypropyl)Cytosine. J. Med. Virol. 1995, 45, 230–235. [Google Scholar] [CrossRef]
- Snoeck, R.; Wellens, W.; Desloovere, C.; Van Ranst, M.; Naesens, L.; De Clercq, E.; Feenstra, L. Treatment of Severe Laryngeal Papillomatosis with Intralesional Injections of Cidofovir [(S)-1-(3-Hydroxy-2-Phosphonylmethoxypropyl)Cytosine]. J. Med. Virol. 1998, 54, 219–225. [Google Scholar] [CrossRef]
- Mikolajczak, S.; Quante, G.; Weissenborn, S.; Wafaisade, A.; Wieland, U.; Lüers, J.C.; Klussmann, J.P.; Beutner, D. The Impact of Cidofovir Treatment on Viral Loads in Adult Recurrent Respiratory Papillomatosis. Eur. Arch. Oto-Rhino-Laryngol. 2012, 269, 2543–2548. [Google Scholar] [CrossRef]
- McMurray, J.S.; Connor, N.; Ford, C.N. Cidofovir Efficacy in Recurrent Respiratory Papillomatosis: A Randomized, Double-Blind, Placebo-Controlled Study. Ann. Otol. Rhinol. Laryngol. 2008, 117, 477–483. [Google Scholar] [CrossRef]
- Chadha, N.K.; James, A. Adjuvant Antiviral Therapy for Recurrent Respiratory Papillomatosis. Cochrane Database Syst. Rev. 2012, 12, CD005053. [Google Scholar] [CrossRef]
- Mylan Institutional LLC. Cidofovir Injection Solution Package Insert; Mylan Institutional LLC: Morgantown, WV, USA, 2021. [Google Scholar]
- Hoesli, R.C.; Thatcher, A.L.; Hogikyan, N.D.; Kupfer, R.A. Evaluation of Safety of Intralesional Cidofovir for Adjuvant Treatment of Recurrent Respiratory Papillomatosis. JAMA Otolaryngol.-Head Neck Surg. 2020, 146, 231. [Google Scholar] [CrossRef]
- Ryan, M.A.; Leu, G.R.; Upchurch, P.A.; Tunkel, D.E.; Walsh, J.M.; Boss, E.F. Systemic Bevacizumab (Avastin) for Juvenile-Onset Recurrent Respiratory Papillomatosis: A Systematic Review. Laryngoscope 2021, 131, 1138–1146. [Google Scholar] [CrossRef]
- Vargas, S.O.; Healy, G.B.; Rahbar, R.; Folkman, J.; Tan, X.; McGill, T.J.; Brown, L.F. Role of Vascular Endothelial Growth Factor–A in Recurrent Respiratory Papillomatosis. Ann. Otol. Rhinol. Laryngol. 2005, 114, 289–295. [Google Scholar] [CrossRef]
- Nagel, S.; Busch, C.; Blankenburg, T.; Schütte, W. Behandlung Der Respiratorischen Papillomatose—Kasuistik Zur Systemischen Therapie Mit Bevacizumab. Pneumologie 2009, 63, 387–389. [Google Scholar] [CrossRef]
- Mohr, M.; Schliemann, C.; Biermann, C.; Schmidt, L.-H.; Kessler, T.; Schmidt, J.; Wiebe, K.; Müller, K.-M.; Hoffmann, T.K.; Groll, A.H.; et al. Rapid Response to Systemic Bevacizumab Therapy in Recurrent Respiratory Papillomatosis. Oncol. Lett. 2014, 8, 1912–1918. [Google Scholar] [CrossRef]
- Zur, K.B.; Fox, E. Bevacizumab Chemotherapy for Management of Pulmonary and Laryngotracheal Papillomatosis in a Child. Laryngoscope 2017, 127, 1538–1542. [Google Scholar] [CrossRef]
- Gately, U.E.; Zhang, N.; Karle, W.E.; Lott, D.G. Adjuvant Intralesional Bevacizumab in Pediatric and Adult Populations with Recurrent Respiratory Papillomatosis: A Systematic Review. Ann. Otol. Rhinol. Laryngol. 2024, 133, 841–847. [Google Scholar] [CrossRef]
- Pogoda, L.; Ziylan, F.; Smeeing, D.P.J.; Dikkers, F.G.; Rinkel, R.N.P.M. Bevacizumab as Treatment Option for Recurrent Respiratory Papillomatosis: A Systematic Review. Eur. Arch. Oto-Rhino-Laryngol. 2022, 279, 4229–4240. [Google Scholar] [CrossRef]
- Genentech, Inc. Bevacizumab Solution for Intravenous Infusion Package Insert; Genentech, Inc.: San Francisco, CA, USA, 2009. [Google Scholar]
- Ablanedo-Terrazas, Y.; Estrada-Camacho, O.; Alvarado-de la Barrera, C.; Ramírez-García, A.; Tona-Acedo, G.; Bross-Soriano, D.; Schimelmitz-Idi, J. Efficacy of cidofovir versus bevacizumab in recurrent respiratory papillomatosis: A randomized, double-blind, placebo-controlled pilot study. Acta Otorrinolaringol. Esp. (Engl. Ed.) 2022, 73, 82–88. [Google Scholar] [CrossRef]
- Best, S.R.; Bock, J.M.; Fowler, N.B.; Raabe, E.H.; Klein, A.M.; Laetsch, T.W.; McClellan, K.; Rinkel, R.N.P.M.; Saba, N.F.; Sidell, D.R.; et al. A Consensus Statement on the Administration of Systemic Bevacizumab in Patients with Recurrent Respiratory Papillomatosis. Laryngoscope 2024, 134, 5041–5046. [Google Scholar] [CrossRef]
- Ponduri, A.; Azmy, M.C.; Axler, E.; Lin, J.; Schwartz, R.; Chirilă, M.; Dikkers, F.G.; Yang, C.J.; Mehta, V.; Gangar, M. The Efficacy of Human Papillomavirus Vaccination as an Adjuvant Therapy in Recurrent Respiratory Papillomatosis. Laryngoscope 2023, 133, 2046–2054. [Google Scholar] [CrossRef]
- Creelan, B.C.; Ahmad, M.U.; Kaszuba, F.J.; Khalil, F.K.; Welsh, A.W.; Ozdemirli, M.; Grant, N.N.; Subramaniam, D.S. Clinical Activity of Nivolumab for Human Papilloma Virus-Related Juvenile-Onset Recurrent Respiratory Papillomatosis. Oncologist 2019, 24, 829–835. [Google Scholar] [CrossRef]
- Allen, C.T.; Lee, S.; Norberg, S.M.; Kovalovsky, D.; Ye, H.; Clavijo, P.E.; Hu-Lieskovan, S.; Schlegel, R.; Schlom, J.; Strauss, J.; et al. Safety and Clinical Activity of PD-L1 Blockade in Patients with Aggressive Recurrent Respiratory Papillomatosis. J. Immunother. Cancer 2019, 7, 119. [Google Scholar] [CrossRef]
- Pai, S.I.; Muniappan, A.; Park, J.C.; Friedman, A.D.; Campbell, N.P.; Krantz, S.B.; Shin, K.-Y.; Song, P.; Nocon, C.C.; Carroll, T.L.; et al. A Phase II Study of Pembrolizumab for HPV-Associated Papilloma Patients with Laryngeal, Tracheal, And/or Pulmonary Involvement. J. Clin. Oncol. 2022, 40, 2590. [Google Scholar] [CrossRef]
- Gallagher, T.Q.; Derkay, C.S. Pharmacotherapy of Recurrent Respiratory Papillomatosis: An Expert Opinion. Expert Opin. Pharmacother. 2009, 10, 645–655. [Google Scholar] [CrossRef]
- Makiyama, K.; Hirai, R.; Matsuzaki, H. Gardasil Vaccination for Recurrent Laryngeal Papillomatosis in Adult Men. J. Voice 2017, 31, 104–106. [Google Scholar] [CrossRef]
- Kin Cho Goon, P.; Scholtz, L.; Sudhoff, H. Recurrent Respiratory Papillomatosis (RRP)–Time for a Reckoning? Laryngoscope Investig. Otolaryngol. 2017, 2, 184–186. [Google Scholar] [CrossRef]
- Rosenberg, T.; Philipsen, B.B.; Mehlum, C.S.; Dyrvig, A.-K.; Wehberg, S.; Chirilǎ, M.; Godballe, C. Therapeutic Use of the Human Papillomavirus Vaccine on Recurrent Respiratory Papillomatosis: A Systematic Review and Meta-Analysis. J. Infect. Dis. 2019, 219, 1016–1025. [Google Scholar] [CrossRef]
- Available online: https://www.cdc.gov/vaccines/vpd/hpv/hcp/recommendations.html (accessed on 1 February 2025).
- Ivancic, R.; Freeman, T.; de Silva, B.; Forrest, A.; Kim, B.; Matrka, L. Adjuvant Human Papillomavirus Vaccination in Recurrent Respiratory Papilloma Patients Older than 45. Laryngoscope 2024, 134, 3226–3229. [Google Scholar] [CrossRef]
- Jacobsen, I.-M.; Carlander, A.-L.F.; Aakilde, M.; von Buchwald, C. Trends in the Incidence and Prevalence of Juvenile-Onset Recurrent Respiratory Papillomatosis Following Implementation of National HPV Vaccination Initiatives: A Systematic Review. Acta Otolaryngol. 2024, 145, 66–71. [Google Scholar] [CrossRef]
- Inovio Pharmaceuticals. INO-3107 with Electroporation (EP) in Participants with HPV-6- and/or HPV-11-Associated Recurrent Respiratory Papillomatosis (RRP). Available online: https://clinicaltrials.gov/study/NCT04398433 (accessed on 28 January 2025).
- Mau, T.; Amin, M.R.; Belafsky, P.C.; Best, S.R.; Friedman, A.D.; Klein, A.M.; Lott, D.G.; Paniello, R.C.; Pransky, S.M.; Saba, N.F.; et al. Interim Results of a Phase 1/2 Open-Label Study of INO-3107 for HPV-6 and/or HPV-11-Associated Recurrent Respiratory Papillomatosis. Laryngoscope 2023, 133, 3087–3093. [Google Scholar] [CrossRef]
- Ahn, J.; Bishop, J.A.; Roden, R.B.S.; Allen, C.T.; Best, S.R.A. The PD-1 and PD-L1 Pathway in Recurrent Respiratory Papillomatosis. Laryngoscope 2018, 128, E27–E32. [Google Scholar] [CrossRef]
- Ferris, R.L.; Blumenschein, G.; Fayette, J.; Guigay, J.; Colevas, A.D.; Licitra, L.; Harrington, K.; Kasper, S.; Vokes, E.E.; Even, C.; et al. Nivolumab for Recurrent Squamous-Cell Carcinoma of the Head and Neck. N. Engl. J. Med. 2016, 375, 1856–1867. [Google Scholar] [CrossRef]
- Liu, T.; Greenberg, M.; Wentland, C.; Sepe, B.; Bowe, S.; Diercks, G.; Huynh, T.; Mino-Kenudson, M.; Schlegel, R.; Kodack, D.; et al. PD-L1 Expression and CD8+ Infiltration Shows Heterogeneity in Juvenile Recurrent Respiratory Papillomatosis. Int. J. Pediatr. Otorhinolaryngol. 2017, 95, 133–138. [Google Scholar] [CrossRef]
- Burtness, B.; Harrington, K.J.; Greil, R.; Soulières, D.; Tahara, M.; de Castro, G.; Psyrri, A.; Basté, N.; Neupane, P.; Bratland, Å.; et al. Pembrolizumab Alone or with Chemotherapy versus Cetuximab with Chemotherapy for Recurrent or Metastatic Squamous Cell Carcinoma of the Head and Neck (KEYNOTE-048): A Randomised, Open-Label, Phase 3 Study. Lancet 2019, 394, 1915–1928. [Google Scholar] [CrossRef]
- Hampson, L.; Kitchener, H.C.; Hampson, I.N. Specific HIV Protease Inhibitors Inhibit the Ability of HPV16 E6 to Degrade P53 and Selectively Kill E6-Dependent Cervical Carcinoma Cells in Vitro. Antivir. Ther. 2006, 11, 813–825. [Google Scholar] [CrossRef]
- Hampson, L.; Maranga, I.O.; Masinde, M.S.; Oliver, A.W.; Batman, G.; He, X.; Desai, M.; Okemwa, P.M.; Stringfellow, H.; Martin-Hirsch, P.; et al. A Single-Arm, Proof-Of-Concept Trial of Lopimune (Lopinavir/Ritonavir) as a Treatment for HPV-Related Pre-Invasive Cervical Disease. PLoS ONE 2016, 11, e0147917. [Google Scholar] [CrossRef]
- Sima, N.; Wang, W.; Kong, D.; Deng, D.; Xu, Q.; Zhou, J.; Xu, G.; Meng, L.; Lu, Y.; Wang, S.; et al. RNA Interference against HPV16 E7 Oncogene Leads to Viral E6 and E7 Suppression in Cervical Cancer Cells and Apoptosis via Upregulation of Rb and P53. Apoptosis 2008, 13, 273–281. [Google Scholar] [CrossRef]








Disclaimer/Publisher’s Note: The statements, opinions and data contained in all publications are solely those of the individual author(s) and contributor(s) and not of MDPI and/or the editor(s). MDPI and/or the editor(s) disclaim responsibility for any injury to people or property resulting from any ideas, methods, instructions or products referred to in the content. |
© 2025 by the authors. Licensee MDPI, Basel, Switzerland. This article is an open access article distributed under the terms and conditions of the Creative Commons Attribution (CC BY) license (https://creativecommons.org/licenses/by/4.0/).
Share and Cite
Levinson, J.; Karle, W.E. Laryngeal Papillomatosis. Cancers 2025, 17, 929. https://doi.org/10.3390/cancers17060929
Levinson J, Karle WE. Laryngeal Papillomatosis. Cancers. 2025; 17(6):929. https://doi.org/10.3390/cancers17060929
Chicago/Turabian StyleLevinson, Jared, and William Edward Karle. 2025. "Laryngeal Papillomatosis" Cancers 17, no. 6: 929. https://doi.org/10.3390/cancers17060929
APA StyleLevinson, J., & Karle, W. E. (2025). Laryngeal Papillomatosis. Cancers, 17(6), 929. https://doi.org/10.3390/cancers17060929
