Computed Tomography-Image-Based Glioma Grading Using Radiomics and Machine Learning: A Proof-of-Principle Study
Simple Summary
Abstract
1. Introduction
2. Materials and Methods
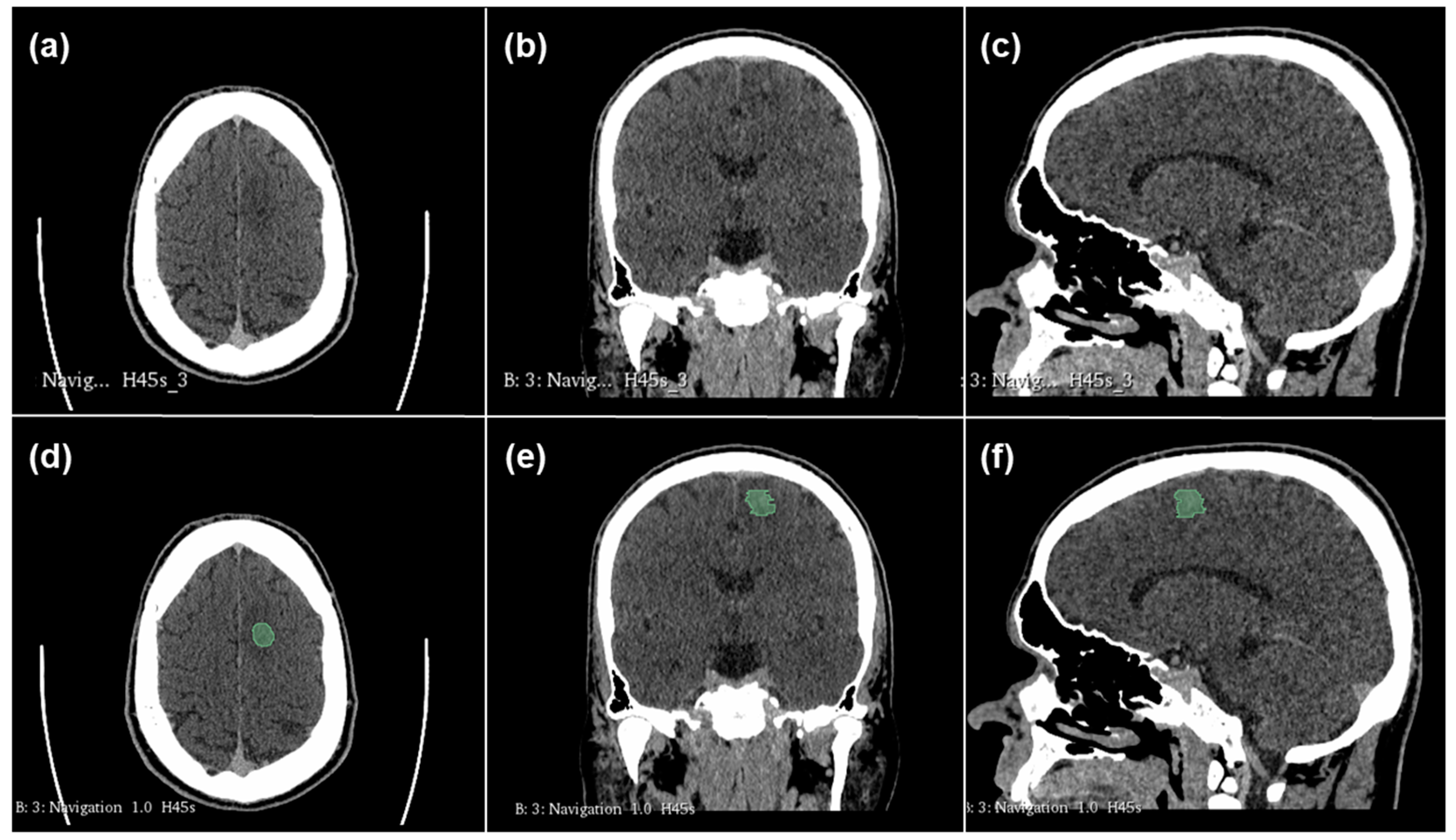
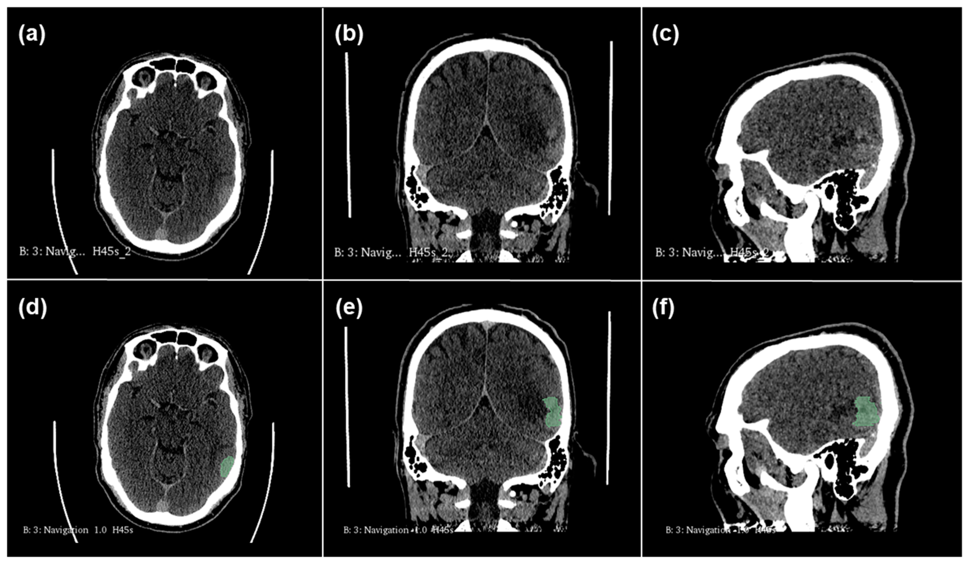
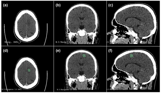
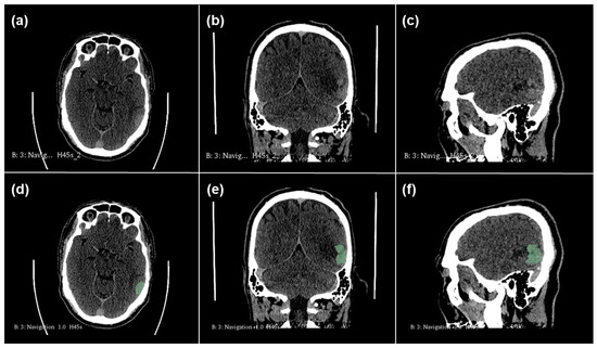
2.1. Radiomics
2.2. Statistical Analysis
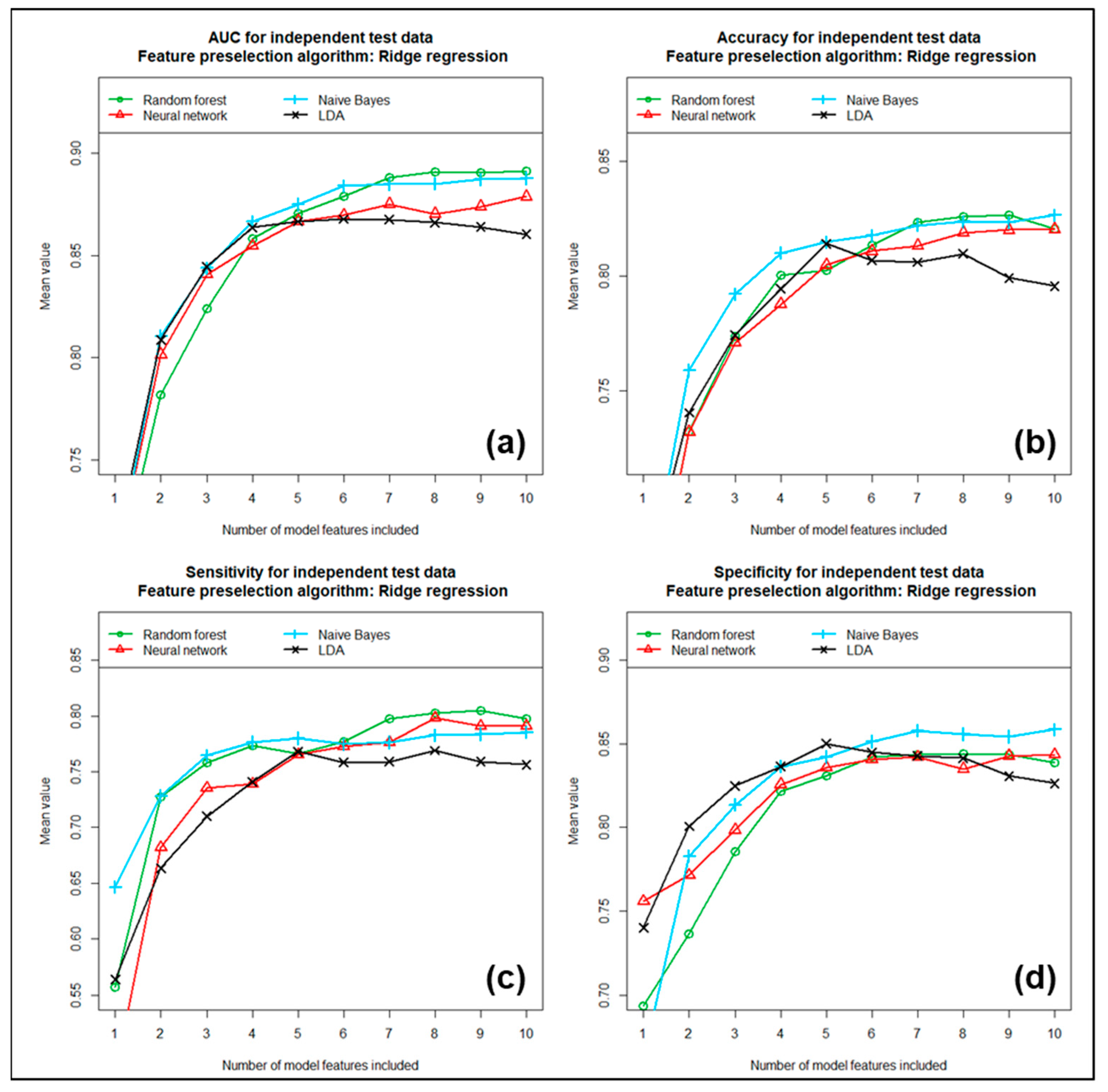
3. Results
4. Discussion
5. Limitations
6. Conclusions
Author Contributions
Funding
Institutional Review Board Statement
Informed Consent Statement
Data Availability Statement
Conflicts of Interest
References
- Ostrom, Q.T.; Cioffi, G.; Gittleman, H.; Patil, N.; Waite, K.; Kruchko, C.; Barnholtz-Sloan, J.S. CBTRUS Statistical Report: Primary Brain and Other Central Nervous System Tumors Diagnosed in the United States in 2012–2016. Neuro Oncol. 2019, 21, v1–v100. [Google Scholar] [CrossRef]
- McNeill, K.A. Epidemiology of Brain Tumors. Neurol. Clin. 2016, 34, 981–998. [Google Scholar] [CrossRef] [PubMed]
- Weller, M.; van den Bent, M.; Hopkins, K.; Tonn, J.C.; Stupp, R.; Falini, A.; Cohen-Jonathan-Moyal, E.; Frappaz, D.; Henriksson, R.; Balana, C.; et al. EANO Guideline for the Diagnosis and Treatment of Anaplastic Gliomas and Glioblastoma. Lancet Oncol. 2014, 15, e395–e403. [Google Scholar] [CrossRef] [PubMed]
- Perry, A.; Wesseling, P. Histologic Classification of Gliomas. Handb. Clin. Neurol. 2016, 134, 71–95. [Google Scholar] [CrossRef] [PubMed]
- Louis, D.N.; Ohgaki, H.; Wiestler, O.D.; Cavenee, W.K.; Burger, P.C.; Jouvet, A.; Scheithauer, B.W.; Kleihues, P. The 2007 WHO Classification of Tumours of the Central Nervous System. Acta Neuropathol. 2007, 114, 97–109. [Google Scholar] [CrossRef]
- Hirtz, A.; Rech, F.; Dubois-Pot-Schneider, H.; Dumond, H. Astrocytoma: A Hormone-Sensitive Tumor? Int. J. Mol. Sci. 2020, 21, 9114. [Google Scholar] [CrossRef]
- van den Bent, M.J. Anaplastic Oligodendroglioma and Oligoastrocytoma. Neurol. Clin. 2007, 25, 1089–1109, ix–x. [Google Scholar] [CrossRef] [PubMed]
- Wijnenga, M.M.J.; van der Voort, S.R.; French, P.J.; Klein, S.; Dubbink, H.J.; Dinjens, W.N.M.; Atmodimedjo, P.N.; de Groot, M.; Kros, J.M.; Schouten, J.W.; et al. Differences in Spatial Distribution between WHO 2016 Low-Grade Glioma Molecular Subgroups. Neuro-Oncol. Adv. 2019, 1, vdz001. [Google Scholar] [CrossRef] [PubMed]
- Satar, Z.; Hotton, G.; Samandouras, G. Systematic Review-Time to Malignant Transformation in Low-Grade Gliomas: Predicting a Catastrophic Event with Clinical, Neuroimaging, and Molecular Markers. Neuro-Oncol. Adv. 2021, 3, vdab101. [Google Scholar] [CrossRef] [PubMed]
- Claus, E.B.; Walsh, K.M.; Wiencke, J.K.; Molinaro, A.M.; Wiemels, J.L.; Schildkraut, J.M.; Bondy, M.L.; Berger, M.; Jenkins, R.; Wrensch, M. Survival and Low-Grade Glioma: The Emergence of Genetic Information. Neurosurg. Focus. 2015, 38, E6. [Google Scholar] [CrossRef] [PubMed]
- Wesseling, P.; Capper, D. WHO 2016 Classification of Gliomas. Neuropathol. Appl. Neurobiol. 2018, 44, 139–150. [Google Scholar] [CrossRef] [PubMed]
- Louis, D.N.; Perry, A.; Reifenberger, G.; von Deimling, A.; Figarella-Branger, D.; Cavenee, W.K.; Ohgaki, H.; Wiestler, O.D.; Kleihues, P.; Ellison, D.W. The 2016 World Health Organization Classification of Tumors of the Central Nervous System: A Summary. Acta Neuropathol. 2016, 131, 803–820. [Google Scholar] [CrossRef]
- Louis, D.N.; Perry, A.; Wesseling, P.; Brat, D.J.; Cree, I.A.; Figarella-Branger, D.; Hawkins, C.; Ng, H.K.; Pfister, S.M.; Reifenberger, G.; et al. The 2021 WHO Classification of Tumors of the Central Nervous System: A Summary. Neuro Oncol. 2021, 23, 1231–1251. [Google Scholar] [CrossRef] [PubMed]
- Smith, H.L.; Wadhwani, N.; Horbinski, C. Major Features of the 2021 WHO Classification of CNS Tumors. Neurotherapeutics 2022, 19, 1691–1704. [Google Scholar] [CrossRef]
- Perez, A.; Huse, J.T. The Evolving Classification of Diffuse Gliomas: World Health Organization Updates for 2021. Curr. Neurol. Neurosci. Rep. 2021, 21, 67. [Google Scholar] [CrossRef] [PubMed]
- Shaw, E.G.; Berkey, B.; Coons, S.W.; Bullard, D.; Brachman, D.; Buckner, J.C.; Stelzer, K.J.; Barger, G.R.; Brown, P.D.; Gilbert, M.R.; et al. Recurrence Following Neurosurgeon-Determined Gross-Total Resection of Adult Supratentorial Low-Grade Glioma: Results of a Prospective Clinical Trial. J. Neurosurg. 2008, 109, 835–841. [Google Scholar] [CrossRef] [PubMed]
- Wang, T.J.C.; Mehta, M.P. Low-Grade Glioma Radiotherapy Treatment and Trials. Neurosurg. Clin. N. Am. 2019, 30, 111–118. [Google Scholar] [CrossRef] [PubMed]
- Pignatti, F.; van den Bent, M.; Curran, D.; Debruyne, C.; Sylvester, R.; Therasse, P.; Afra, D.; Cornu, P.; Bolla, M.; Vecht, C.; et al. Prognostic Factors for Survival in Adult Patients with Cerebral Low-Grade Glioma. J. Clin. Oncol. 2002, 20, 2076–2084. [Google Scholar] [CrossRef] [PubMed]
- Nayak, L.; Reardon, D.A. High-Grade Gliomas. Contin. (Minneap. Minn.) 2017, 23, 1548–1563. [Google Scholar] [CrossRef] [PubMed]
- Stupp, R.; Mason, W.P.; van den Bent, M.J.; Weller, M.; Fisher, B.; Taphoorn, M.J.B.; Belanger, K.; Brandes, A.A.; Marosi, C.; Bogdahn, U.; et al. Radiotherapy plus Concomitant and Adjuvant Temozolomide for Glioblastoma. N. Engl. J. Med. 2005, 352, 987–996. [Google Scholar] [CrossRef] [PubMed]
- Gittleman, H.; Sloan, A.E.; Barnholtz-Sloan, J.S. An Independently Validated Survival Nomogram for Lower-Grade Glioma. Neuro Oncol. 2020, 22, 665–674. [Google Scholar] [CrossRef] [PubMed]
- Rasmussen, B.K.; Hansen, S.; Laursen, R.J.; Kosteljanetz, M.; Schultz, H.; Nørgård, B.M.; Guldberg, R.; Gradel, K.O. Epidemiology of Glioma: Clinical Characteristics, Symptoms, and Predictors of Glioma Patients Grade I-IV in the the Danish Neuro-Oncology Registry. J. Neuro-Oncol. 2017, 135, 571–579. [Google Scholar] [CrossRef] [PubMed]
- Sanson, M.; Marie, Y.; Paris, S.; Idbaih, A.; Laffaire, J.; Ducray, F.; El Hallani, S.; Boisselier, B.; Mokhtari, K.; Hoang-Xuan, K.; et al. Isocitrate Dehydrogenase 1 Codon 132 Mutation Is an Important Prognostic Biomarker in Gliomas. J. Clin. Oncol. 2009, 27, 4150–4154. [Google Scholar] [CrossRef] [PubMed]
- Yan, H.; Parsons, D.W.; Jin, G.; McLendon, R.; Rasheed, B.A.; Yuan, W.; Kos, I.; Batinic-Haberle, I.; Jones, S.; Riggins, G.J.; et al. IDH1 and IDH2 Mutations in Gliomas. N. Engl. J. Med. 2009, 360, 765–773. [Google Scholar] [CrossRef] [PubMed]
- Bruzzone, M.G.; D’Incerti, L.; Farina, L.L.; Cuccarini, V.; Finocchiaro, G. CT and MRI of Brain Tumors. Q. J. Nucl. Med. Mol. Imaging 2012, 56, 112–137. [Google Scholar] [PubMed]
- Horská, A.; Barker, P.B. Imaging of Brain Tumors: MR Spectroscopy and Metabolic Imaging. Neuroimaging Clin. N. Am. 2010, 20, 293–310. [Google Scholar] [CrossRef]
- Gillies, R.J.; Kinahan, P.E.; Hricak, H. Radiomics: Images Are More than Pictures, They Are Data. Radiology 2016, 278, 563–577. [Google Scholar] [CrossRef] [PubMed]
- Yip, S.S.F.; Aerts, H.J.W.L. Applications and Limitations of Radiomics. Phys. Med. Biol. 2016, 61, R150–R166. [Google Scholar] [CrossRef] [PubMed]
- Ari, A.P.; Akkurt, B.H.; Musigmann, M.; Mammadov, O.; Blömer, D.A.; Kasap, D.N.G.; Henssen, D.J.H.A.; Nacul, N.G.; Sartoretti, E.; Sartoretti, T.; et al. Pseudoprogression Prediction in High Grade Primary CNS Tumors by Use of Radiomics. Sci. Rep. 2022, 12, 5915. [Google Scholar] [CrossRef]
- Riche, M.; Amelot, A.; Peyre, M.; Capelle, L.; Carpentier, A.; Mathon, B. Complications after Frame-Based Stereotactic Brain Biopsy: A Systematic Review. Neurosurg. Rev. 2021, 44, 301–307. [Google Scholar] [CrossRef]
- Li, Y.; Ammari, S.; Lawrance, L.; Quillent, A.; Assi, T.; Lassau, N.; Chouzenoux, E. Radiomics-Based Method for Predicting the Glioma Subtype as Defined by Tumor Grade, IDH Mutation, and 1p/19q Codeletion. Cancers 2022, 14, 1778. [Google Scholar] [CrossRef] [PubMed]
- Shofty, B.; Artzi, M.; Ben Bashat, D.; Liberman, G.; Haim, O.; Kashanian, A.; Bokstein, F.; Blumenthal, D.T.; Ram, Z.; Shahar, T. MRI Radiomics Analysis of Molecular Alterations in Low-Grade Gliomas. Int. J. Comput. Assist. Radiol. Surg. 2018, 13, 563–571. [Google Scholar] [CrossRef] [PubMed]
- Li, Y.; Liu, Y.; Liang, Y.; Wei, R.; Zhang, W.; Yao, W.; Luo, S.; Pang, X.; Wang, Y.; Jiang, X.; et al. Radiomics Can Differentiate High-Grade Glioma from Brain Metastasis: A Systematic Review and Meta-Analysis. Eur. Radiol. 2022, 32, 8039–8051. [Google Scholar] [CrossRef] [PubMed]
- Musigmann, M.; Akkurt, B.H.; Krähling, H.; Brokinkel, B.; Henssen, D.J.H.A.; Sartoretti, T.; Nacul, N.G.; Stummer, W.; Heindel, W.; Mannil, M. Assessing Preoperative Risk of STR in Skull Meningiomas Using MR Radiomics and Machine Learning. Sci. Rep. 2022, 12, 14043. [Google Scholar] [CrossRef] [PubMed]
- Park, Y.W.; Choi, Y.S.; Ahn, S.S.; Chang, J.H.; Kim, S.H.; Lee, S.K. Radiomics MRI Phenotyping with Machine Learning to Predict the Grade of Lower-Grade Gliomas: A Study Focused on Nonenhancing Tumors. Korean J. Radiol. 2019, 20, 1381–1389. [Google Scholar] [CrossRef] [PubMed]
- Zhang, X.; Tian, Q.; Wang, L.; Liu, Y.; Li, B.; Liang, Z.; Gao, P.; Zheng, K.; Zhao, B.; Lu, H. Radiomics Strategy for Molecular Subtype Stratification of Lower-Grade Glioma: Detecting IDH and TP53 Mutations Based on Multimodal MRI. J. Magn. Reson. Imaging 2018, 48, 916–926. [Google Scholar] [CrossRef]
- He, A.; Wang, P.; Zhu, A.; Liu, Y.; Chen, J.; Liu, L. Predicting IDH Mutation Status in Low-Grade Gliomas Based on Optimal Radiomic Features Combined with Multi-Sequence Magnetic Resonance Imaging. Diagnostics 2022, 12, 2995. [Google Scholar] [CrossRef] [PubMed]
- Yan, J.; Zhang, S.; Sun, Q.; Wang, W.; Duan, W.; Wang, L.; Ding, T.; Pei, D.; Sun, C.; Wang, W.; et al. Predicting 1p/19q Co-Deletion Status from Magnetic Resonance Imaging Using Deep Learning in Adult-Type Diffuse Lower-Grade Gliomas: A Discovery and Validation Study. Lab. Investig. 2022, 102, 154–159. [Google Scholar] [CrossRef]
- Nacul Mora, N.G.; Akkurt, B.H.; Kasap, D.; Blömer, D.; Heindel, W.; Mannil, M.; Musigmann, M. Comparison of MRI Sequences to Predict ATRX Status Using Radiomics-Based Machine Learning. Diagnostics 2023, 13, 2216. [Google Scholar] [CrossRef] [PubMed]
- Musigmann, M.; Nacul, N.G.; Kasap, D.N.; Heindel, W.; Mannil, M. Use Test of Automated Machine Learning in Cancer Diagnostics. Diagnostics 2023, 13, 2315. [Google Scholar] [CrossRef] [PubMed]
- Chen, B.; Chen, C.; Wang, J.; Teng, Y.; Ma, X.; Xu, J. Differentiation of Low-Grade Astrocytoma From Anaplastic Astrocytoma Using Radiomics-Based Machine Learning Techniques. Front. Oncol. 2021, 11, 521313. [Google Scholar] [CrossRef] [PubMed]
- Hashido, T.; Saito, S.; Ishida, T. Radiomics-Based Machine Learning Classification for Glioma Grading Using Diffusion- and Perfusion-Weighted Magnetic Resonance Imaging. J. Comput. Assist. Tomogr. 2021, 45, 606–613. [Google Scholar] [CrossRef]
- Wang, J.; Chen, Z.; Chen, J. Diagnostic Value of MRI Radiomics in Differentiating High-grade Glioma from Low-grade Glioma: A Meta-analysis. Oncol. Lett. 2023, 26, 436. [Google Scholar] [CrossRef] [PubMed]
- De Maria, L.; Ponzio, F.; Cho, H.-H.; Skogen, K.; Tsougos, I.; Gasparini, M.; Zeppieri, M.; Ius, T.; Ugga, L.; Panciani, P.P.; et al. The Current Diagnostic Performance of MRI-Based Radiomics for Glioma Grading: A Meta-Analysis. J. Integr. Neurosci. 2024, 23, 100. [Google Scholar] [CrossRef] [PubMed]
- Sun, W.; Song, C.; Tang, C.; Pan, C.; Xue, P.; Fan, J.; Qiao, Y. Performance of Deep Learning Algorithms to Distinguish High-Grade Glioma from Low-Grade Glioma: A Systematic Review and Meta-Analysis. iScience 2023, 26, 106815. [Google Scholar] [CrossRef]
- Falk Delgado, A.; Falk Delgado, A. Discrimination between Primary Low-Grade and High-Grade Glioma with 11C-Methionine PET: A Bivariate Diagnostic Test Accuracy Meta-Analysis. Br. J. Radiol. 2018, 91, 20170426. [Google Scholar] [CrossRef] [PubMed]
- Sengupta, A.; Ramaniharan, A.K.; Gupta, R.K.; Agarwal, S.; Singh, A. Glioma Grading Using a Machine-Learning Framework Based on Optimized Features Obtained from T1 Perfusion MRI and Volumes of Tumor Components. J. Magn. Reson. Imaging 2019, 50, 1295–1306. [Google Scholar] [CrossRef] [PubMed]
- Liu, X.; Tian, W.; Kolar, B.; Yeaney, G.A.; Qiu, X.; Johnson, M.D.; Ekholm, S. MR Diffusion Tensor and Perfusion-Weighted Imaging in Preoperative Grading of Supratentorial Nonenhancing Gliomas. Neuro Oncol. 2011, 13, 447–455. [Google Scholar] [CrossRef]
- Hollon, T.C.; Pandian, B.; Adapa, A.R.; Urias, E.; Save, A.V.; Khalsa, S.S.S.; Eichberg, D.G.; D’Amico, R.S.; Farooq, Z.U.; Lewis, S.; et al. Near Real-Time Intraoperative Brain Tumor Diagnosis Using Stimulated Raman Histology and Deep Neural Networks. Nat. Med. 2020, 26, 52–58. [Google Scholar] [CrossRef]
- Kuhn, M. Building Predictive Models in R Using the Caret Package. J. Stat. Softw. 2008, 28, 1–26. [Google Scholar] [CrossRef]
- Choi, R.Y.; Coyner, A.S.; Kalpathy-Cramer, J.; Chiang, M.F.; Campbell, J.P. Introduction to Machine Learning, Neural Networks, and Deep Learning. Transl. Vis. Sci. Technol. 2020, 9, 14. [Google Scholar] [CrossRef] [PubMed]
- Rowe, M. An Introduction to Machine Learning for Clinicians. Acad. Med. 2019, 94, 1433–1436. [Google Scholar] [CrossRef] [PubMed]
- Aggarwal, C.C. Neural Networks and Deep Learning: A Textbook; Springer International Publishing: Cham, Switzerland, 2023; ISBN 978-3-031-29641-3. [Google Scholar]
- Maskani, M.; Abbasi, S.; Etemad-Rezaee, H.; Abdolahi, H.; Zamanpour, A.; Montazerabadi, A. Grading of Gliomas by Contrast-Enhanced CT Radiomics Features. J. Biomed. Phys. Eng. 2024, 14, 151–158. [Google Scholar] [CrossRef] [PubMed]
- Mărginean, L.; Ștefan, P.A.; Lebovici, A.; Opincariu, I.; Csutak, C.; Lupean, R.A.; Coroian, P.A.; Suciu, B.A. CT in the Differentiation of Gliomas from Brain Metastases: The Radiomics Analysis of the Peritumoral Zone. Brain Sci. 2022, 12, 109. [Google Scholar] [CrossRef] [PubMed]






| Training Data | Independent Test Data | Total Data | |
|---|---|---|---|
| Number | 101 | 25 | 126 |
| Low-grade glioma or high-grade glioma (in %) | |||
| LGG | 45.54 | 44.00 | 45.24 |
| HGG | 54.46 | 56.00 | 54.76 |
| Gender (in %) | |||
| Male | 57.68 | 58.96 | 57.94 |
| Female | 42.32 | 41.04 | 42.06 |
| Mean age (years) | 48.86 | 48.48 | 48.78 |
| Feature Preselection Algorithm | |||
|---|---|---|---|
| Rank | Univariate Analyses | Naive Bayes | Ridge Regression |
| 1 | gldm.DependenceEntropy | gldm.DependenceEntropy | glrlm.GrayLevelNonUniformityNormalized |
| 2 | glrlm.RunEntropy | glrlm.RunEntropy | Age_at_diagnosis_date |
| 3 | glcm.Correlation | glcm.Correlation | shape.Maximum2DDiameterColumn |
| 4 | glcm.Idmn | glszm.ZoneEntropy | glcm.Correlation |
| 5 | glrlm.GrayLevelNonUniformityNormalized | glrlm.GrayLevelNonUniformityNormalized | glszm.GrayLevelNonUniformityNormalized |
| 6 | glszm.ZoneEntropy | firstorder.Maximum | gldm.DependenceEntropy |
| 7 | glcm.JointEnergy | glcm.Idmn | firstorder.InterquartileRange |
| 8 | shape.Maximum2DDiameterColumn | firstorder.Range | glcm.MCC |
| 9 | gldm.LargeDependenceHighGrayLevelEmphasis | firstorder.MeanAbsoluteDeviation | glcm.JointEnergy |
| 10 | glszm.GrayLevelNonUniformityNormalized | glcm.ClusterProminence | glcm.Idmn |
| Performance Metric | Training Data | Independent Test Data |
| AUC | 0.932 [0.883, 0.963] | 0.903 [0.757, 1.000] |
| Accuracy | 0.862 [0.752, 0.916] | 0.839 [0.701, 0.939] |
| Sensitivity | 0.849 [0.598, 0.935] | 0.807 [0.502, 1.000] |
| Specificity Cohen’s kappa | 0.874 [0.791, 0.936] 0.722 [0.490, 0.830] | 0.864 [0.714, 1.000] 0.673 [0.390, 0.877] |
Disclaimer/Publisher’s Note: The statements, opinions and data contained in all publications are solely those of the individual author(s) and contributor(s) and not of MDPI and/or the editor(s). MDPI and/or the editor(s) disclaim responsibility for any injury to people or property resulting from any ideas, methods, instructions or products referred to in the content. |
© 2025 by the authors. Licensee MDPI, Basel, Switzerland. This article is an open access article distributed under the terms and conditions of the Creative Commons Attribution (CC BY) license (https://creativecommons.org/licenses/by/4.0/).
Share and Cite
Bilgin, M.; Bilgin, S.S.; Akkurt, B.H.; Heindel, W.; Mannil, M.; Musigmann, M. Computed Tomography-Image-Based Glioma Grading Using Radiomics and Machine Learning: A Proof-of-Principle Study. Cancers 2025, 17, 322. https://doi.org/10.3390/cancers17020322
Bilgin M, Bilgin SS, Akkurt BH, Heindel W, Mannil M, Musigmann M. Computed Tomography-Image-Based Glioma Grading Using Radiomics and Machine Learning: A Proof-of-Principle Study. Cancers. 2025; 17(2):322. https://doi.org/10.3390/cancers17020322
Chicago/Turabian StyleBilgin, Melike, Sabriye Sennur Bilgin, Burak Han Akkurt, Walter Heindel, Manoj Mannil, and Manfred Musigmann. 2025. "Computed Tomography-Image-Based Glioma Grading Using Radiomics and Machine Learning: A Proof-of-Principle Study" Cancers 17, no. 2: 322. https://doi.org/10.3390/cancers17020322
APA StyleBilgin, M., Bilgin, S. S., Akkurt, B. H., Heindel, W., Mannil, M., & Musigmann, M. (2025). Computed Tomography-Image-Based Glioma Grading Using Radiomics and Machine Learning: A Proof-of-Principle Study. Cancers, 17(2), 322. https://doi.org/10.3390/cancers17020322

