The Role of Predictive and Prognostic MRI-Based Biomarkers in the Era of Total Neoadjuvant Treatment in Rectal Cancer
Simple Summary
Abstract
1. Introduction
2. Conventional MRI
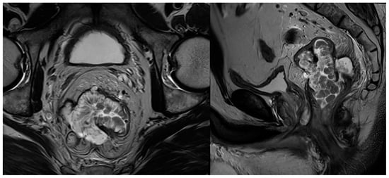
2.1. Tumour Extent beyond Muscularis Propria
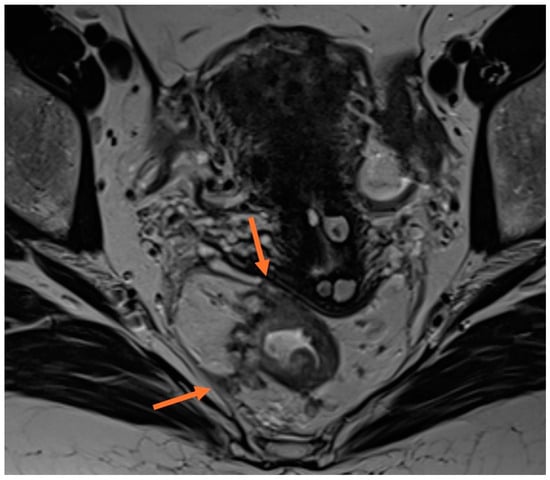
2.2. Circumferential Resection Margin (CRM)
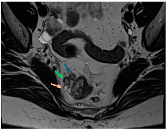
2.3. Extramural Venous Invasion (EMVI)
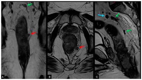
2.4. Tumour Deposits (N1c)
2.5. Lymph Nodes
2.6. Mucinous Tumours
2.7. MRI Tumour Regression Grade (mrTRG)
3. Functional MRI
3.1. Diffusion Weighted Imaging (DWI)
3.2. Dynamic Contrast Enhancement (DCE-MRI)
4. Radiomics and Artificial Intelligence (AI)
5. The Emerging Role of MRI in ‘Watch-And-Wait’ Strategies
6. Future Directions
7. Conclusions
Author Contributions
Funding
Conflicts of Interest
References
- Fernandes, M.C.; Gollub, M.J.; Brown, G. The Importance of MRI for Rectal Cancer Evaluation. Surg. Oncol. 2022, 43, 101739. [Google Scholar] [CrossRef] [PubMed]
- Beets-Tan, R.G.H.; Lambregts, D.M.J.; Maas, M.; Bipat, S.; Barbaro, B.; Curvo-Semedo, L.; Fenlon, H.M.; Gollub, M.J.; Gourtsoyianni, S.; Halligan, S.; et al. Magnetic Resonance Imaging for Clinical Management of Rectal Cancer: Updated Recommendations from the 2016 European Society of Gastrointestinal and Abdominal Radiology (ESGAR) Consensus Meeting. Eur. Radiol. 2018, 28, 1465–1475. [Google Scholar] [CrossRef]
- Dijkhoff, R.A.P.; Beets-Tan, R.G.H.; Lambregts, D.M.J.; Beets, G.L.; Maas, M. Value of DCE-MRI for Staging and Response Evaluation in Rectal Cancer: A Systematic Review. Eur. J. Radiol. 2017, 95, 155–168. [Google Scholar] [CrossRef] [PubMed]
- Schurink, N.W.; Lambregts, D.M.J.; Beets-Tan, R.G.H. Diffusion-Weighted Imaging in Rectal Cancer: Current Applications and Future Perspectives. Br. J. Radiol. 2019, 92, 20180655. [Google Scholar] [CrossRef]
- Di Costanzo, G.; Ascione, R.; Ponsiglione, A.; Tucci, A.G.; Dell’Aversana, S.; Iasiello, F.; Cavaglià, E. Artificial Intelligence and Radiomics in Magnetic Resonance Imaging of Rectal Cancer: A Review. Explor. Target. Antitumor Ther. 2023, 4, 406. [Google Scholar] [CrossRef] [PubMed]
- Goffredo, P.; Quezada-Diaz, F.F.; Garcia-Aguilar, J.; Smith, J.J. Non-Operative Management of Patients with Rectal Cancer: Lessons Learnt from the OPRA Trial. Cancers 2022, 14, 3204. [Google Scholar] [CrossRef] [PubMed]
- Vailati, B.B.; São Julião, G.P.; Habr-Gama, A.; Perez, R.O. Nonoperative Management of Rectal Cancer: The Watch and Wait Strategy. Surg. Oncol. Clin. N. Am. 2022, 31, 171–182. [Google Scholar] [CrossRef]
- Patel, A.; Rockall, A.; Guthrie, A.; Gleeson, F.; Worthy, S.; Grubnic, S.; Burling, D.; Allen, C.; Padhani, A.; Carey, B.; et al. Can the Completeness of Radiological Cancer Staging Reports Be Improved Using Proforma Reporting? A Prospective Multicentre Non-Blinded Interventional Study across 21 Centres in the UK. BMJ Open 2018, 8, e018499. [Google Scholar] [CrossRef]
- Glynne-Jones, R.; Wyrwicz, L.; Tiret, E.; Brown, G.; Rödel, C.; Cervantes, A.; Arnold, D. Rectal Cancer: ESMO Clinical Practice Guidelines for Diagnosis, Treatment and Follow-Up. Ann. Oncol. 2017, 28, iv22–iv40. [Google Scholar] [CrossRef]
- Brown, G. Extramural Depth of Tumor Invasion at Thin-Section MR in Patients with Rectal Cancer: Results of the MERCURY Study. Radiology 2007, 243, 132–139. [Google Scholar] [CrossRef]
- Al-Sukhni, E.; Milot, L.; Fruitman, M.; Beyene, J.; Victor, J.C.; Schmocker, S.; Brown, G.; McLeod, R.; Kennedy, E. Diagnostic Accuracy of MRI for Assessment of T Category, Lymph Node Metastases, and Circumferential Resection Margin Involvement in Patients with Rectal Cancer: A Systematic Review and Meta-Analysis. Ann. Surg. Oncol. 2012, 19, 2212–2223. [Google Scholar] [CrossRef] [PubMed]
- Zhang, G.; Cai, Y.Z.; Xu, G.H. Diagnostic Accuracy of MRI for Assessment of T Category and Circumferential Resection Margin Involvement in Patients with Rectal Cancer: A Meta-Analysis. Dis. Colon. Rectum 2016, 59, 789–799. [Google Scholar] [CrossRef] [PubMed]
- Stelzner, S.; Ruppert, R.; Kube, R.; Strassburg, J.; Lewin, A.; Baral, J.; Maurer, C.A.; Sauer, J.; Lauscher, J.; Winde, G.; et al. Selection of Patients with Rectal Cancer for Neoadjuvant Therapy Using Pre-Therapeutic MRI—Results from OCUM Trial. Eur. J. Radiol. 2022, 147, 110113. [Google Scholar] [CrossRef] [PubMed]
- Liu, B.; Sun, C.; Zhao, X.; Liu, L.; Liu, S.; Ma, H. The Value of Multimodality MR in T Staging Evaluation after Neoadjuvant Therapy for Rectal Cancer. Technol. Health Care 2024, 32, 615–627. [Google Scholar] [CrossRef]
- Gollub, M.J.; Arya, S.; Beets-Tan, R.G.; dePrisco, G.; Gonen, M.; Jhaveri, K.; Kassam, Z.; Kaur, H.; Kim, D.; Knezevic, A.; et al. Use of Magnetic Resonance Imaging in Rectal Cancer Patients: Society of Abdominal Radiology (SAR) Rectal Cancer Disease-Focused Panel (DFP) Recommendations 2017. Abdom. Radiol. 2018, 43, 2893–2902. [Google Scholar] [CrossRef]
- Taylor, F.G.M.; Quirke, P.; Heald, R.J.; Moran, B.J.; Blomqvist, L.; Swift, I.R.; Sebag-Montefiore, D.; Tekkis, P.; Brown, G. Preoperative Magnetic Resonance Imaging Assessment of Circumferential Resection Margin Predicts Disease-Free Survival and Local Recurrence: 5-Year Follow-up Results of the MERCURY Study. J. Clin. Oncol. 2014, 32, 34–43. [Google Scholar] [CrossRef]
- Brown, G. Diagnostic Accuracy of Preoperative Magnetic Resonance Imaging in Predicting Curative Resection of Rectal Cancer: Prospective Observational Study. BMJ 2006, 333, 779. [Google Scholar] [CrossRef]
- Kennedy, E.D.; Simunovic, M.; Jhaveri, K.; Kirsch, R.; Brierley, J.; Drolet, S.; Brown, C.; Vos, P.M.; Xiong, W.; Maclean, T.; et al. Safety and Feasibility of Using Magnetic Resonance Imaging Criteria to Identify Patients with “Good Prognosis” Rectal Cancer Eligible for Primary Surgery: The Phase 2 Nonrandomized QuickSilver Clinical Trial. JAMA Oncol. 2019, 5, 961–966. [Google Scholar] [CrossRef]
- Bahadoer, R.R.; Dijkstra, E.A.; van Etten, B.; Marijnen, C.A.M.; Putter, H.; Kranenbarg, E.M.K.; Roodvoets, A.G.H.; Nagtegaal, I.D.; Beets-Tan, R.G.H.; Blomqvist, L.K.; et al. Short-Course Radiotherapy Followed by Chemotherapy before Total Mesorectal Excision (TME) versus Preoperative Chemoradiotherapy, TME, and Optional Adjuvant Chemotherapy in Locally Advanced Rectal Cancer (RAPIDO): A Randomised, Open-Label, Phase 3 Trial. Lancet Oncol. 2021, 22, 29–42. [Google Scholar] [CrossRef]
- Yu, S.K.T.; Tait, D.; Chau, I.; Brown, G. MRI Predictive Factors for Tumor Response in Rectal Cancer Following Neoadjuvant Chemoradiation Therapy—Implications for Induction Chemotherapy? Int. J. Radiat. Oncol. Biol. Phys. 2013, 87, 505–511. [Google Scholar] [CrossRef]
- Popiţa, A.R.; Rusu, A.; Muntean, V.; Cadariu, P.A.; Irimie, A.; Lisencu, C.; Pop, B.; Resiga, L.; Fekete, Z.; Badea, R. Preoperative MRI Accuracy after Neoadjuvant Chemoradiation for Locally Advanced Rectal Cancer. Med. Pharm. Rep. 2023, 96, 258–268. [Google Scholar] [CrossRef]
- Gefen, R.; Garoufalia, Z.; Horesh, N.; Freund, M.R.; Emile, S.H.; Parlade, A.; Berho, M.; Allende, D.; DaSilva, G.; Wexner, S.D. How Reliable Is Restaging MRI after Neoadjuvant Therapy in Rectal Cancer? Color. Dis. 2023, 25, 1631–1637. [Google Scholar] [CrossRef] [PubMed]
- Simpson, G.S.; Eardley, N.; McNicol, F.; Healey, P.; Hughes, M.; Rooney, P.S. Circumferential Resection Margin (CRM) Positivity after MRI Assessment and Adjuvant Treatment in 189 Patients Undergoing Rectal Cancer Resection. Int. J. Color. Dis. 2014, 29, 585–590. [Google Scholar] [CrossRef] [PubMed]
- Battersby, N.J.; How, P.; Moran, B.; Stelzner, S.; West, N.P.; Branagan, G.; Strassburg, J.; Quirke, P.; Tekkis, P.; Pedersen, B.G.; et al. Prospective Validation of a Low Rectal Cancer Magnetic Resonance Imaging Staging System and Development of a Local Recurrence Risk Stratification Model: The Mercury II Study. Ann. Surg. 2016, 263, 751–760. [Google Scholar] [CrossRef]
- Tripathi, P.; Guo, W.; Rao, S.; Zeng, M.; Hu, D. Additional Value of MRI-Detected EMVI Scoring System in Rectal Cancer: Applicability in Predicting Synchronous Metastasis. Tumori J. 2020, 106, 286–294. [Google Scholar] [CrossRef]
- Hunter, C.J.; Garant, A.; Vuong, T.; Artho, G.; Lisbona, R.; Tekkis, P.; Abulafi, M.; Brown, G. Adverse Features on Rectal MRI Identify a High-Risk Group That May Benefit from More Intensive Preoperative Staging and Treatment. Ann. Surg. Oncol. 2012, 19, 1199–1205. [Google Scholar] [CrossRef] [PubMed]
- Bugg, W.G.; Andreou, A.K.; Biswas, D.; Toms, A.P.; Williams, S.M. The Prognostic Significance of MRI-Detected Extramural Venous Invasion in Rectal Carcinoma. Clin. Radiol. 2014, 69, 619–623. [Google Scholar] [CrossRef]
- Siddiqui, M.R.S.; Simillis, C.; Hunter, C.; Chand, M.; Bhoday, J.; Garant, A.; Vuong, T.; Artho, G.; Rasheed, S.; Tekkis, P.; et al. A Meta-Analysis Comparing the Risk of Metastases in Patients with Rectal Cancer and MRI-Detected Extramural Vascular Invasion (MrEMVI) vs MrEMVI-Negative Cases. Br. J. Cancer 2017, 116, 1513–1519. [Google Scholar] [CrossRef]
- Slesser, A.A.P.; Khan, F.; Chau, I.; Khan, A.Z.; Mudan, S.; Tekkis, P.P.; Brown, G.; Rao, S. The Effect of a Primary Tumour Resection on the Progression of Synchronous Colorectal Liver Metastases: An Exploratory Study. Eur. J. Surg. Oncol. 2015, 41, 484–492. [Google Scholar] [CrossRef]
- Chand, M.; Bhangu, A.; Wotherspoon, A.; Stamp, G.W.H.; Swift, R.I.; Chau, I.; Tekkis, P.P.; Brown, G. EMVI-Positive Stage Ii Rectal Cancer Has Similar Clinical Outcomes as Stage Iii Disease Following Pre-Operative Chemoradiotherapy. Ann. Oncol. 2014, 25, 858–863. [Google Scholar] [CrossRef]
- Lord, A.C.; D’Souza, N.; Shaw, A.; Rokan, Z.; Moran, B.; Abulafi, M.; Rasheed, S.; Chandramohan, A.; Corr, A.; Chau, I.; et al. MRI-Diagnosed Tumor Deposits and EMVI Status Have Superior Prognostic Accuracy to Current Clinical TNM Staging in Rectal Cancer. Ann. Surg. 2022, 276, 334–344. [Google Scholar] [CrossRef]
- Brown, G.; Radcliffe, A.G.; Newcombe, R.G.; Dallimore, N.S.; Bourne, M.W.; Williams, G.T. Preoperative Assessment of Prognostic Factors in Rectal Cancer Using High-Resolution Magnetic Resonance Imaging. Br. J. Surg. 2003, 90, 355–364. [Google Scholar] [CrossRef] [PubMed]
- Lee, H.G.; Kim, C.W.; Jang, J.K.; Park, S.H.; Kim, Y.I.; Lee, J.L.; Yoon, Y.S.; Park, I.J.; Lim, S.B.; Yu, C.S.; et al. Pathologic Implications of Magnetic Resonance Imaging-Detected Extramural Venous Invasion of Rectal Cancer. Clin. Color. Cancer 2023, 22, 129–135. [Google Scholar] [CrossRef]
- Poston, G.J.; Tait, D.; O’Connell, S.; Bennett, A.; Berendse, S. Diagnosis and Management of Colorectal Cancer: Summary of NICE Guidance. BMJ 2011, 343, 1010–1012. [Google Scholar] [CrossRef] [PubMed]
- Benson, A.B.; Venook, A.P.; Al-Hawary, M.M.; Azad, N.; Chen, Y.J.; Ciombor, K.K.; Cohen, S.; Cooper, H.S.; Deming, D.; Garrido-Laguna, I.; et al. Rectal Cancer, Version 2.2022, NCCN Clinical Practice Guidelines in Oncology. J. Natl. Compr. Cancer Netw. 2022, 20, 1139–1167. [Google Scholar] [CrossRef] [PubMed]
- Chand, M.; Siddiqui, M.R.S.; Swift, I.; Brown, G. Systematic Review of Prognostic Importance of Extramural Venous Invasion in Rectal Cancer. World J. Gastroenterol. 2016, 22, 1721–1726. [Google Scholar] [CrossRef]
- Sun, Y.; Li, J.; Shen, L.; Wang, X.; Tong, T.; Gu, Y. Predictive Value of MRI-Detected Extramural Vascular Invasion in Stage T3 Rectal Cancer Patients before Neoadjuvant Chemoradiation. Diagn. Interv. Radiol. 2018, 24, 128–134. [Google Scholar] [CrossRef]
- Chan Wah Hak, C.; Balyasnikova, S.; Withey, S.; Tait, D.; Brown, G.; Chong, I. Radiological Biomarkers in MRI Directed Rectal Cancer Radiotherapy Volume Delineation. Cancers 2023, 15, 5176. [Google Scholar] [CrossRef]
- Nougaret, S.; Rousset, P.; Gormly, K.; Lucidarme, O.; Brunelle, S.; Milot, L.; Salut, C.; Pilleul, F.; Arrivé, L.; Hordonneau, C.; et al. Structured and Shared MRI Staging Lexicon and Report of Rectal Cancer: A Consensus Proposal by the French Radiology Group (GRERCAR) and Surgical Group (GRECCAR) for Rectal Cancer. Diagn. Interv. Imaging 2022, 103, 127–141. [Google Scholar] [CrossRef]
- Smith, N.J.; Barbachano, Y.; Norman, A.R.; Swift, R.I.; Abulafi, A.M.; Brown, G. Prognostic Significance of Magnetic Resonance Imaging-Detected Extramural Vascular Invasion in Rectal Cancer. Br. J. Surg. 2008, 95, 229–236. [Google Scholar] [CrossRef]
- Crimì, F.; Angelone, R.; Corso, A.; Bao, Q.R.; Cabrelle, G.; Vernuccio, F.; Spolverato, G.; Pucciarelli, S.; Quaia, E. Diagnostic Accuracy of State-of-the-Art Rectal MRI Sequences for the Diagnosis of Extramural Vascular Invasion in Locally Advanced Rectal Cancer after Preoperative Chemoradiotherapy: Dos or Maybes? Eur. Radiol. 2023, 33, 6852–6860. [Google Scholar] [CrossRef] [PubMed]
- Méndez, R.J.; Ayuso, J.R. Diffusion-Weighted MRI for Diagnosing Extramural Venous Invasion in Rectal Cancer after Neoadjuvant Therapy: A Prognostic Biomarker. Radiology 2023, 308, e231661. [Google Scholar] [CrossRef]
- Kim, T.H.; Firat, C.; Thompson, H.M.; Gangai, N.; Zheng, J.; Capanu, M.; Bates, D.D.B.; Paroder, V.; García-Aguilar, J.; Shia, J.; et al. Extramural Venous Invasion and Tumor Deposit at Diffusion-Weighted MRI in Patients after Neoadjuvant Treatment for Rectal Cancer. Radiology 2023, 308, e230079. [Google Scholar] [CrossRef]
- Bae, J.S.; Kim, S.H.; Hur, B.Y.; Chang, W.; Park, J.; Park, H.E.; Kim, J.H.; Kang, H.-J.; Yu, M.H.; Han, J.K. Prognostic Value of MRI in Assessing Extramural Venous Invasion in Rectal Cancer: Multi-Readers’ Diagnostic Performance. Eur. Radiol. 2019, 29, 4379–4388. [Google Scholar] [CrossRef]
- Kim, T.-H.; Woo, S.; Han, S.; Suh, C.H.; Vargas, H.A. The Diagnostic Performance of MRI for Detection of Extramural Venous Invasion in Colorectal Cancer: A Systematic Review and Meta-Analysis of the Literature. Am. J. Roentgenol. 2019, 213, 575–585. [Google Scholar] [CrossRef] [PubMed]
- Nougaret, S.; Reinhold, C.; Mikhael, H.W.; Rouanet, P.; Bibeau, F.; Brown, G. The Use of MR Imaging in Treatment Planning for Patients with Rectal Carcinoma: Have You Checked the “Distance”. Radiology 2013, 268, 330–334. [Google Scholar] [CrossRef] [PubMed]
- Lee, E.S.; Kim, M.J.; Park, S.C.; Hur, B.Y.; Hyun, J.H.; Chang, H.J.; Baek, J.Y.; Kim, S.Y.; Kim, D.Y.; Oh, J.H. Magnetic Resonance Imaging-Detected Extramural Venous Invasion in Rectal Cancer before and after Preoperative Chemoradiotherapy: Diagnostic Performance and Prognostic Significance. Eur. Radiol. 2018, 28, 496–505. [Google Scholar] [CrossRef]
- Zhang, X.Y.; Wang, S.; Li, X.T.; Wang, Y.P.; Shi, Y.J.; Wang, L.; Wu, A.W.; Sun, Y.S. MRI of Extramural Venous Invasion in Locally Advanced Rectal Cancer: Relationship to Tumor Recurrence and Overall Survival. Radiology 2018, 289, 677–685. [Google Scholar] [CrossRef]
- Prampolini, F.; Taschini, S.; Pecchi, A.; Sani, F.; Spallanzani, A.; Gelsomino, F.; Kaleci, S.; Torricelli, P. Magnetic Resonance Imaging Performed before and after Preoperative Chemoradiotherapy in Rectal Cancer: Predictive Factors of Recurrence and Prognostic Significance of MR-Detected Extramural Venous Invasion. Abdom. Radiol. 2020, 45, 2941–2949. [Google Scholar] [CrossRef]
- Yang, S.Y.; Bae, H.; Seo, N.; Han, K.; Han, Y.D.; Cho, M.S.; Hur, H.; Min, B.S.; Kim, N.K.; Lee, K.Y.; et al. Pretreatment MRI-Detected Extramural Venous Invasion as a Prognostic and Predictive Biomarker for Neoadjuvant Chemoradiotherapy in Non-Metastatic Rectal Cancer: A Propensity Score Matched Analysis. Eur. Radiol. 2024, 34, 3686–3698. [Google Scholar] [CrossRef]
- Chand, M.; Rasheed, S.; Heald, R.; Swift, I.; West, N.; Rao, S.; Tekkis, P.; Brown, G. Adjuvant Chemotherapy May Improve Disease-Free Survival in Patients with Rectal Cancer Positive for MRI-Detected Extramural Venous Invasion Following Chemoradiation. Color. Dis. 2017, 19, 537–543. [Google Scholar] [CrossRef] [PubMed]
- Schaap, D.P.; Voogt, E.L.K.; Burger, J.W.A.; Cnossen, J.S.; Creemers, G.J.M.; van Lijnschoten, I.; Nieuwenhuijzen, G.A.P.; Rutten, H.J.T.; Daniels-Gooszen, A.W.; Nederend, J.; et al. Prognostic Implications of MRI-Detected EMVI and Tumor Deposits and Their Response to Neoadjuvant Therapy in CT3 and CT4 Rectal Cancer. Int. J. Radiat. Oncol. Biol. Phys. 2021, 111, 816–825. [Google Scholar] [CrossRef] [PubMed]
- Lord, A.C.; D’Souza, N.; Pucher, P.H.; Moran, B.J.; Abulafi, A.M.; Wotherspoon, A.; Rasheed, S.; Brown, G. Significance of Extranodal Tumour Deposits in Colorectal Cancer: A Systematic Review and Meta-Analysis. Eur. J. Cancer 2017, 82, 92–102. [Google Scholar] [CrossRef] [PubMed]
- Ueno, H.; Nagtegaal, I.D.; Quirke, P.; Sugihara, K.; Ajioka, Y. Tumor Deposits in Colorectal Cancer: Refining Their Definition in the TNM System. Ann. Gastroenterol. Surg. 2023, 7, 225–235. [Google Scholar] [CrossRef]
- Nagtegaal, I.D.; Knijn, N.; Hugen, N.; Marshall, H.C.; Sugihara, K.; Tot, T.; Ueno, H.; Quirke, P. Tumor Deposits in Colorectal Cancer: Improving the Value of Modern Staging—A Systematic Review and Meta-Analysis. J. Clin. Oncol. 2016, 35, 1119–1127. [Google Scholar] [CrossRef]
- Mayaud, A.; Bousarsar, A.; Soltani, S.; Sotton, S.; Grange, R.; Le Roy, B.; Phelip, J.M.; Boutet, C.; Magne, N. Prognostic Factors of Pelvic MRI at the Initial Workflow in Locally Advanced Rectal Cancer: Focus on Extra Mural Venous Invasion and Tumour Deposits. Bull. Cancer 2022, 109, 1269–1276. [Google Scholar] [CrossRef]
- Marjasuo, S.T.; Lehtimäki, T.E.; Koskenvuo, L.E.; Lepistö, A.H. Impact of Mesorectal Extranodal Tumor Deposits in Magnetic Resonance Imaging on Outcome of Rectal Cancer Patients. Eur. J. Surg. Oncol. 2024, 50, 108337. [Google Scholar] [CrossRef]
- Fabio, F.D.; Allievi, N.; Lord, A.; Bhagwanani, A.; Venkatasubramaniam, A.; Arnold, S.; Moran, B. MRI-Predicted Extramural Vascular Invasion and Tumour Deposit Are Main Predictors of Disease-Free Survival in Patients Undergoing Surgical Resection for Rectal Cancer. BJS Open 2024, 8, zrad139. [Google Scholar] [CrossRef]
- Chandramohan, A.; Mittal, R.; Dsouza, R.; Yezzaji, H.; Eapen, A.; Simon, B.; John, R.; Singh, A.; Ram, T.S.; Jesudason, M.R.; et al. Prognostic Significance of MR Identified EMVI, Tumour Deposits, Mesorectal Nodes and Pelvic Side Wall Disease in Locally Advanced Rectal Cancer. Color. Dis. 2022, 24, 428–438. [Google Scholar] [CrossRef]
- Lord, A.C.; Graham Martínez, C.; D’Souza, N.; Pucher, P.H.; Brown, G.; Nagtegaal, I.D. The Significance of Tumour Deposits in Rectal Cancer after Neoadjuvant Therapy: A Systematic Review and Meta-Analysis. Eur. J. Cancer 2019, 122, 1–8. [Google Scholar] [CrossRef]
- Lord, A.; Brown, G.; Abulafi, M.; Bateman, A.; Frankel, W.; Goldin, R.; Gopal, P.; Kirsch, R.; Loughrey, M.B.; Märkl, B.; et al. Histopathological Diagnosis of Tumour Deposits in Colorectal Cancer: A Delphi Consensus Study. Histopathology 2021, 79, 168–175. [Google Scholar] [CrossRef] [PubMed]
- Lord, A.C.; Moran, B.; Abulafi, M.; Rasheed, S.; Nagtegaal, I.D.; Terlizzo, M.; Brown, G. Can Extranodal Tumour Deposits Be Diagnosed on MRI? Protocol for a Multicentre Clinical Trial (the COMET Trial). BMJ Open 2020, 10, e033395. [Google Scholar] [CrossRef]
- Xu, Q.; Xu, Y.; Wang, J.; Sun, H.; Lin, J.; Xie, S. Distinguishing Mesorectal Tumor Deposits from Metastatic Lymph Nodes by Using Diffusion-Weighted and Dynamic Contrast-Enhanced Magnetic Resonance Imaging in Rectal Cancer. Eur. Radiol. 2023, 33, 4127–4137. [Google Scholar] [CrossRef]
- Yang, Y.s.; Feng, F.; Qiu, Y.j.; Zheng, G.h.; Ge, Y.q.; Wang, Y.t. High-Resolution MRI-Based Radiomics Analysis to Predict Lymph Node Metastasis and Tumor Deposits Respectively in Rectal Cancer. Abdom. Radiol. 2021, 46, 873–884. [Google Scholar] [CrossRef] [PubMed]
- Yang, R.; Zhao, H.; Wang, X.; Ding, Z.; Tao, Y.; Zhang, C.; Zhou, Y. Magnetic Resonance Imaging Radiomics Modeling Predicts Tumor Deposits and Prognosis in Stage T3 Lymph Node Positive Rectal Cancer. Abdom. Radiol. 2023, 48, 1268–1279. [Google Scholar] [CrossRef]
- Hong, Y.; Song, G.; Jia, Y.; Wu, R.; He, R.; Li, A. Predicting Tumor Deposits in Patients with Rectal Cancer: Using the Models of Multiple Mathematical Parameters Derived from Diffusion-Weighted Imaging. Eur. J. Radiol. 2022, 157, 110573. [Google Scholar] [CrossRef] [PubMed]
- Li, H.; Chen, X.l.; Liu, H.; Liu, Y.S.; Li, Z.l.; Pang, M.h.; Pu, H. MRI-Based Multiregional Radiomics for Preoperative Prediction of Tumor Deposit and Prognosis in Resectable Rectal Cancer: A Bicenter Study. Eur. Radiol. 2023, 33, 7561–7572. [Google Scholar] [CrossRef]
- Zhang, Z.; Chen, Y.; Wen, Z.; Wu, X.; Que, Y.; Ma, Y.; Wu, Y.; Liu, Q.; Fan, W.; Yu, S. MRI for Nodal Restaging after Neoadjuvant Therapy in Rectal Cancer with Histopathologic Comparison. Cancer Imaging 2023, 23, 67. [Google Scholar] [CrossRef]
- Zhuang, Z.; Zhang, Y.; Wei, M.; Yang, X.; Wang, Z. Magnetic Resonance Imaging Evaluation of the Accuracy of Various Lymph Node Staging Criteria in Rectal Cancer: A Systematic Review and Meta-Analysis. Front. Oncol. 2021, 11, 709070. [Google Scholar] [CrossRef]
- Ye, Y.-X.; Yang, L.; Kang, Z.; Wang, M.-Q.; Xie, X.-D.; Lou, K.-X.; Bao, J.; Du, M.; Li, Z.-X. Magnetic Resonance Imaging-Based Lymph Node Radiomics for Predicting the Metastasis of Evaluable Lymph Nodes in Rectal Cancer. World J. Gastrointest. Oncol. 2024, 16, 1849–1860. [Google Scholar] [CrossRef]
- Loftås, P.; Sturludóttir, M.; Hallböök, O.; Almlöv, K.; Arbman, G.; Blomqvist, L. Assessment of Remaining Tumour Involved Lymph Nodes with MRI in Patients with Complete Luminal Response after Neoadjuvant Treatment of Rectal Cancer. Br. J. Radiol. 2018, 91, 20170938. [Google Scholar] [CrossRef] [PubMed]
- Chand, M.; Heald, R.J.; Brown, G. The Importance of Not Overstaging Mesorectal Lymph Nodes Seen on MRI. Color. Dis. 2013, 15, 1201–1204. [Google Scholar] [CrossRef] [PubMed]
- Chand, M.; Moran, B.J.; Jones, R.G.; Heald, R.J.; Brown, G. Lymph Node Status Does Not Predict Local Recurrence in the Total Mesorectal Excision Era. Dis. Colon. Rectum. 2014, 57, 127–129. [Google Scholar] [CrossRef] [PubMed]
- Taylor, F.G.M.; Quirke, P.; Heald, R.J.; Moran, B.; Blomqvist, L.; Swift, I.; Sebag-Montefiore, D.J.; Tekkis, P.; Brown, G. Preoperative High-Resolution Magnetic Resonance Imaging Can Identify Good Prognosis Stage I, II, and III Rectal Cancer Best Managed by Surgery Alone: A Prospective, Multicenter, European Study. Ann. Surg. 2011, 253, 711–719. [Google Scholar] [CrossRef] [PubMed]
- Shihab, O.C.; Quirke, P.; Heald, R.J.; Moran, B.J.; Brown, G. Magnetic Resonance Imaging-Detected Lymph Nodes Close to the Mesorectal Fascia Are Rarely a Cause of Margin Involvement after Total Mesorectal Excision. Br. J. Surg. 2010, 97, 1431–1436. [Google Scholar] [CrossRef]
- Lambregts, D.M.J.; Bogveradze, N.; Blomqvist, L.K.; Fokas, E.; Garcia-Aguilar, J.; Glimelius, B.; Gollub, M.J.; Konishi, T.; Marijnen, C.A.M.; Nagtegaal, I.D.; et al. Current Controversies in TNM for the Radiological Staging of Rectal Cancer and How to Deal with Them: Results of a Global Online Survey and Multidisciplinary Expert Consensus. Eur. Radiol. 2022, 32, 4991–5003. [Google Scholar] [CrossRef]
- Li, Q.Y.; Yang, D.; Guan, Z.; Yan, X.Y.; Li, X.T.; Sun, R.J.; Lu, Q.Y.; Zhang, X.Y.; Sun, Y.S. Extranodal Extension at Pretreatment MRI and the Prognostic Value for Patients with Rectal Cancer. Radiology 2024, 310, e232605. [Google Scholar] [CrossRef]
- Kim, Y.I.; Cho, H.; Kim, C.W.; Park, Y.; Kim, J.; Ro, J.S.; Lee, J.L.; Yoon, Y.S.; Park, I.J.; Lim, S.B.; et al. Prognostic Impact of Extranodal Extension in Rectal Cancer Patients Undergoing Radical Resection After Preoperative Chemoradiotherapy. Clin. Color. Cancer 2021, 20, e35–e42. [Google Scholar] [CrossRef]
- Li, H.; Chai, L.; Pu, H.; Yin, L.L.; Li, M.; Zhang, X.; Liu, Y.S.; Pang, M.H.; Lu, T. T2WI-Based MRI Radiomics for the Prediction of Preoperative Extranodal Extension and Prognosis in Resectable Rectal Cancer. Insights Imaging 2024, 15, 57. [Google Scholar] [CrossRef]
- Valentini, V.; Gambacorta, M.A.; Barbaro, B.; Chiloiro, G.; Coco, C.; Das, P.; Fanfani, F.; Joye, I.; Kachnic, L.; Maingon, P.; et al. International Consensus Guidelines on Clinical Target Volume Delineation in Rectal Cancer. Radiother. Oncol. 2016, 120, 195–201. [Google Scholar] [CrossRef]
- Malakorn, S.; Yang, Y.; Bednarski, B.K.; Kaur, H.; You, Y.N.; Holliday, E.B.; Dasari, A.; Skibber, J.M.; Rodriguez-Bigas, M.A.; Chang, G.J. Who Should Get Lateral Pelvic Lymph Node Dissection after Neoadjuvant Chemoradiation? Dis. Colon. Rectum 2019, 62, 1158–1166. [Google Scholar] [CrossRef]
- Ogura, A.; Konishi, T.; Cunningham, C.; Garcia-Aguilar, J.; Iversen, H.; Toda, S.; Lee, I.K.; Lee, H.X.; Uehara, K.; Lee, P.; et al. Neoadjuvant (Chemo)Radiotherapy with Total Mesorectal Excision Only Is Not Sufficient to Prevent Lateral Local Recurrence in Enlarged Nodes: Results of the Multicenter Lateral Node Study of Patients with Low Ct3/4 Rectal Cancer. J. Clin. Oncol. 2019, 37, 33–43. [Google Scholar] [CrossRef]
- Romero-Zoghbi, S.E.; López-Campos, F.; Couñago, F. Management of Lateral Pelvic Lymph Nodes in Rectal Cancer: Is It Time to Reach an Agreement? World J. Clin. Oncol. 2024, 15, 472–477. [Google Scholar] [CrossRef]
- Kanemitsu, Y.; Komori, K.; Shida, D.; Ochiai, H.; Tsukamoto, S.; Kinoshita, T.; Moriya, Y. Potential Impact of Lateral Lymph Node Dissection (LLND) for Low Rectal Cancer on Prognoses and Local Control: A Comparison of 2 High-Volume Centers in Japan That Employ Different Policies Concerning LLND. Surgery 2017, 162, 303–314. [Google Scholar] [CrossRef]
- Chand, M.; Yu, S.; Swift, R.I.; Brown, G. Mucinous Carcinoma of the Rectum: A Distinct Clinicopathological Entity. Tech. Coloproctol. 2014, 18, 335–344. [Google Scholar] [CrossRef]
- Yu, S.K.T.; Chand, M.; Tait, D.M.; Brown, G. Magnetic Resonance Imaging Defined Mucinous Rectal Carcinoma Is an Independent Imaging Biomarker for Poor Prognosis and Poor Response to Preoperative Chemoradiotherapy. Eur. J. Cancer 2014, 50, 920–927. [Google Scholar] [CrossRef]
- Kim, M.-J.; Park, J.S.; Park, S.I.; Kim, N.K.; Kim, J.H.; Moon, H.J.; Park, Y.N.; Kim, W.H. Accuracy in Differentiation of Mucinous and Nonmucinous Rectal Carcinoma on MR Imaging. J. Comput. Assist. Tomogr. 2003, 27, 48–55. [Google Scholar] [CrossRef]
- Miranda, J.; Pinto, P.V.A.; Kinochita, F.; Garcia, C.M.; El Homsi, M.; de Oliveira, C.V.; Pandini, R.V.; Nahas, C.S.R.; Nahas, S.C.; Gollub, M.J.; et al. Mucinous Degeneration on MRI After Neoadjuvant Therapy in Patients With Rectal Adenocarcinoma: Frequency and Association With Clinical Outcomes. Am. J. Roentgenol. 2023, 221, 206–217. [Google Scholar] [CrossRef]
- Vecchio, F.M.; Valentini, V.; Minsky, B.D.; Padula, G.D.A.; Venkatraman, E.S.; Balducci, M.; Miccichè, F.; Ricci, R.; Morganti, A.G.; Gambacorta, M.A.; et al. The Relationship of Pathologic Tumor Regression Grade (TRG) and Outcomes after Preoperative Therapy in Rectal Cancer. Int. J. Radiat. Oncol. Biol. Phys. 2005, 62, 752–760. [Google Scholar] [CrossRef]
- Patel, U.B.; Taylor, F.; Blomqvist, L.; George, C.; Evans, H.; Tekkis, P.; Quirke, P.; Sebag-Montefiore, D.; Moran, B.; Heald, R.; et al. Magnetic Resonance Imaging-Detected Tumor Response for Locally Advanced Rectal Cancer Predicts Survival Outcomes: MERCURY Experience. J. Clin. Oncol. 2011, 29, 3753–3760. [Google Scholar] [CrossRef]
- Bhoday, J.; Smith, F.; Siddiqui, M.R.; Balyasnikova, S.; Swift, R.I.; Perez, R.; Habr-Gama, A.; Brown, G. Magnetic Resonance Tumor Regression Grade and Residual Mucosal Abnormality as Predictors for Pathological Complete Response in Rectal Cancer Postneoadjuvant Chemoradiotherapy. Dis. Colon. Rectum 2016, 59, 925–933. [Google Scholar] [CrossRef]
- Sclafani, F.; Brown, G.; Cunningham, D.; Wotherspoon, A.; Mendes, L.S.T.; Balyasnikova, S.; Evans, J.; Peckitt, C.; Begum, R.; Tait, D.; et al. Comparison between MRI and Pathology in the Assessment of Tumour Regression Grade in Rectal Cancer. Br. J. Cancer 2017, 117, 1478–1485. [Google Scholar] [CrossRef]
- Chen, H.L.R.; Seow-En, I.; Chok, A.Y.; Ngo, N.T.; Cheng, T.-E.L.; Tan, K.-W.E. The Role of Magnetic Resonance Tumour Regression Grade in the Prediction of Regression and Survival of Rectal Adenocarcinoma after Long-Course Chemoradiotherapy: A Cohort Study. Ann. Med. Surg. 2023, 85, 842–848. [Google Scholar] [CrossRef]
- Battersby, N.J.; Dattani, M.; Rao, S.; Cunningham, D.; Tait, D.; Adams, R.; Moran, B.J.; Khakoo, S.; Tekkis, P.; Rasheed, S.; et al. A Rectal Cancer Feasibility Study with an Embedded Phase III Trial Design Assessing Magnetic Resonance Tumour Regression Grade (MrTRG) as a Novel Biomarker to Stratify Management by Good and Poor Response to Chemoradiotherapy (TRIGGER): Study Protocol for a Randomised Controlled Trial. Trials 2017, 18, 394. [Google Scholar] [CrossRef]
- Suzuki, C.; Halperin, S.K.; Nilsson, P.J.; Martling, A.; Holm, T. Initial Magnetic Resonance Imaging Tumour Regression Grade (MrTRG) as Response Evaluation after Neoadjuvant Treatment Predicts Sustained Complete Response in Patients with Rectal Cancer. Eur. J. Surg. Oncol. 2022, 48, 1643–1649. [Google Scholar] [CrossRef]
- Park, E.J.; Kim, S.H.; Jo, S.J.; Nam, K.H.; Lim, Y.J.; Jung, H.K. High-Resolution Diffusion-Weighted Imaging for Evaluation of Extramural Tumor Invasion in Primary Rectal Cancer. J. Comput. Assist. Tomogr. 2021, 45, 522–527. [Google Scholar] [CrossRef]
- Zhang, J.; Ge, Y.; Zhang, H.; Wang, Z.; Dou, W.; Hu, S. Quantitative T2 Mapping to Discriminate Mucinous from Nonmucinous Adenocarcinoma in Rectal Cancer: Comparison with Diffusion-Weighted Imaging. Magn. Reson. Med. Sci. 2022, 21, 593–598. [Google Scholar] [CrossRef]
- Cerny, M.; Dunet, V.; Prior, J.O.; Hahnloser, D.; Wagner, A.D.; Meuli, R.A.; Schmidt, S. Initial Staging of Locally Advanced Rectal Cancer and Regional Lymph Nodes Comparison of Diffusion-Weighted MRI with 18F-FDG-PET/CT. Clin. Nucl. Med. 2016, 41, 289–295. [Google Scholar] [CrossRef]
- Heijnen, L.A.; Lambregts, D.M.J.; Mondal, D.; Martens, M.H.; Riedl, R.G.; Beets, G.L.; Beets-Tan, R.G.H. Diffusion-Weighted MR Imaging in Primary Rectal Cancer Staging Demonstrates but Does Not Characterise Lymph Nodes. Eur. Radiol. 2013, 23, 3354–3360. [Google Scholar] [CrossRef]
- Arian, A.; Taher, H.; Suhail Najm Alareer, H.; Aghili, M. Value of Conventional MRI, DCE-MRI, and DWI-MRI in the Discrimination of Metastatic from Non-Metastatic Lymph Nodes in Rectal Cancer: A Systematic Review and Meta-Analysis Study. Asian Pac. J. Cancer Prev. 2023, 24, 401–410. [Google Scholar] [CrossRef]
- Ko, C.C.; Yeh, L.R.; Kuo, Y.T.; Chen, J.H. Imaging Biomarkers for Evaluating Tumor Response: RECIST and Beyond. Biomark. Res. 2021, 9, 52. [Google Scholar] [CrossRef]
- Curcean, S.; Cheng, L.; Picchia, S.; Tunariu, N.; Collins, D.; Blackledge, M.; Popat, S.; O’Brien, M.; Minchom, A.; Leach, M.O.; et al. Early Response to Chemotherapy in Malignant Pleural Mesothelioma Evaluated Using Diffusion-Weighted Magnetic Resonance Imaging: Initial Observations. JTO Clin. Res. Rep. 2021, 2. [Google Scholar] [CrossRef]
- Thoeny, H.C.; Ross, B.D. Predicting and Monitoring Cancer Treatment Response with Diffusion-Weighted MRI. J. Magn. Reson. Imaging 2010, 32, 2–16. [Google Scholar] [CrossRef]
- Lambregts, D.M.J.; Boellaard, T.N.; Beets-Tan, R.G.H. Response Evaluation after Neoadjuvant Treatment for Rectal Cancer Using Modern MR Imaging: A Pictorial Review. Insights Imaging 2019, 10, 15. [Google Scholar] [CrossRef]
- Birlik, B.; Obuz, F.; Elibol, F.D.; Celik, A.O.; Sokmen, S.; Terzi, C.; Sagol, O.; Sarioglu, S.; Gorken, I.; Oztop, I. Diffusion-Weighted MRI and MR- Volumetry—In the Evaluation of Tumor Response after Preoperative Chemoradiotherapy in Patients with Locally Advanced Rectal Cancer. Magn. Reson. Imaging 2015, 33, 201–212. [Google Scholar] [CrossRef]
- Cai, P.Q.; Wu, Y.P.; An, X.; Qiu, X.; Kong, L.H.; Liu, G.C.; Xie, C.M.; Pan, Z.Z.; Wu, P.H.; Ding, P.R. Simple Measurements on Diffusion-Weighted MR Imaging for Assessment of Complete Response to Neoadjuvant Chemoradiotherapy in Locally Advanced Rectal Cancer. Eur. Radiol. 2014, 24, 2962–2970. [Google Scholar] [CrossRef]
- van der Valk, M.J.M.; Hilling, D.E.; Bastiaannet, E.; Meershoek-Klein Kranenbarg, E.; Beets, G.L.; Figueiredo, N.L.; Habr-Gama, A.; Perez, R.O.; Renehan, A.G.; van de Velde, C.J.H.; et al. Long-Term Outcomes of Clinical Complete Responders after Neoadjuvant Treatment for Rectal Cancer in the International Watch & Wait Database (IWWD): An International Multicentre Registry Study. Lancet 2018, 391, 2537–2545. [Google Scholar] [CrossRef]
- Kasi, A.; Abbasi, S.; Handa, S.; Al-Rajabi, R.; Saeed, A.; Baranda, J.; Sun, W. Total Neoadjuvant Therapy vs Standard Therapy in Locally Advanced Rectal Cancer: A Systematic Review and Meta-Analysis. JAMA Netw. Open 2020, 3, e2030097. [Google Scholar] [CrossRef]
- Chandramohan, A.; Siddiqi, U.M.; Mittal, R.; Eapen, A.; Jesudason, M.R.; Ram, T.S.; Singh, A.; Masih, D. Diffusion Weighted Imaging Improves Diagnostic Ability of MRI for Determining Complete Response to Neoadjuvant Therapy in Locally Advanced Rectal Cancer. Eur. J. Radiol. Open 2020, 7, 100223. [Google Scholar] [CrossRef]
- Lambregts, D.M.J.; Delli Pizzi, A.; Lahaye, M.J.; van Griethuysen, J.J.M.; Maas, M.; Beets, G.L.; Bakers, F.C.H.; Beets-Tan, R.G.H. A Pattern-Based Approach Combining Tumor Morphology on MRI With Distinct Signal Patterns on Diffusion-Weighted Imaging to Assess Response of Rectal Tumors After Chemoradiotherapy. Dis. Colon. Rectum 2018, 61, 328–337. [Google Scholar] [CrossRef]
- El Khababi, N.; Beets-Tan, R.G.H.; Tissier, R.; Lahaye, M.J.; Maas, M.; Curvo-Semedo, L.; Dresen, R.C.; Nougaret, S.; Beets, G.L.; Lambregts, D.M.J.; et al. Comparison of MRI Response Evaluation Methods in Rectal Cancer: A Multicentre and Multireader Validation Study. Eur. Radiol. 2023, 33, 4367–4377. [Google Scholar] [CrossRef]
- Van Der Paardt, M.P.; Zagers, M.B.; Beets-Tan, R.G.H.; Stoker, J.; Bipat, S. Patients Who Undergo Preoperative Chemoradiotherapy for Locally Advanced Rectal Cancer Restaged by Using Diagnostic MR Imaging: A Systematic Review and Meta-Analysis. Radiology 2013, 269, 101–112. [Google Scholar] [CrossRef]
- Lambregts, D.M.J.; van Heeswijk, M.M.; Delli Pizzi, A.; van Elderen, S.G.C.; Andrade, L.; Peters, N.H.G.M.; Kint, P.A.M.; Osinga-de Jong, M.; Bipat, S.; Ooms, R.; et al. Diffusion-Weighted MRI to Assess Response to Chemoradiotherapy in Rectal Cancer: Main Interpretation Pitfalls and Their Use for Teaching. Eur. Radiol. 2017, 27, 4445–4454. [Google Scholar] [CrossRef]
- Foti, P.V.; Privitera, G.; Piana, S.; Palmucci, S.; Spatola, C.; Bevilacqua, R.; Raffaele, L.; Salamone, V.; Caltabiano, R.; Magro, G.; et al. Locally Advanced Rectal Cancer: Qualitative and Quantitative Evaluation of Diffusion-Weighted MR Imaging in the Response Assessment after Neoadjuvant Chemo-Radiotherapy. Eur. J. Radiol. Open 2016, 3, 145–152. [Google Scholar] [CrossRef]
- Jang, J.K.; Lee, C.M.; Park, S.H.; Kim, J.H.; Kim, J.; Lim, S.B.; Yu, C.S.; Kim, J.C. How to Combine Diffusion-Weighted and T2-Weighted Imaging for MRI Assessment of Pathologic Complete Response to Neoadjuvant Chemoradiotherapy in Patients with Rectal Cancer? Korean J. Radiol. 2021, 22, 1451–1461. [Google Scholar] [CrossRef]
- Javadrashid, R.; Mahmoudpour, M.; Akhavi Milani, A.; Jalili, J.; Hajalioghli, P.; Nezami, N. Value of Diffusion-Weighted Images in Diagnosis of Locoregionally Recurrent Rectal Tumors. Radiography 2021, 27, 779–783. [Google Scholar] [CrossRef]
- Hupkens, B.J.P.; Maas, M.; Martens, M.H.; Deserno, W.M.L.L.G.; Leijtens, J.W.A.; Nelemans, P.J.; Bakers, F.C.H.; Lambregts, D.M.J.; Beets, G.L.; Beets-Tan, R.G.H. MRI Surveillance for the Detection of Local Recurrence in Rectal Cancer after Transanal Endoscopic Microsurgery. Eur. Radiol. 2017, 27, 4960–4969. [Google Scholar] [CrossRef]
- Curvo-Semedo, L.; Lambregts, D.M.J.; Maas, M.; Thywissen, T.; Mehsen, R.T.; Lammering, G.; Beets, G.L.; Caseiro-Alves, F.; Beets-Tan, R.G.H. Rectal Cancer: Assessment of Complete Response to Preoperative Combined Radiation Therapy with Chemotherapy—Conventional MR Volumetry versus Diffusion-Weighted MR Imaging. Radiology 2011, 260, 734–743. [Google Scholar] [CrossRef]
- Iafrate, F.; Ciccarelli, F.; Masci, G.M.; Grasso, D.; Marruzzo, F.; De Felice, F.; Tombolini, V.; D’Ambrosio, G.; Magliocca, F.M.; Cortesi, E.; et al. Predictive Role of Diffusion-Weighted MRI in the Assessment of Response to Total Neoadjuvant Therapy in Locally Advanced Rectal Cancer. Eur. Radiol. 2023, 33, 854–862. [Google Scholar] [CrossRef]
- Yacheva, A.; Dardanov, D.; Zlatareva, D. The Multipurpose Usage of Diffusion-Weighted MRI in Rectal Cancer. Medicina 2023, 59, 2162. [Google Scholar] [CrossRef]
- Barbaro, B.; Vitale, R.; Valentini, V.; Illuminati, S.; Vecchio, F.M.; Rizzo, G.; Gambacorta, M.A.; Coco, C.; Crucitti, A.; Persiani, R.; et al. Diffusion-Weighted Magnetic Resonance Imaging in Monitoring Rectal Cancer Response to Neoadjuvant Chemoradiotherapy. Int. J. Radiat. Oncol. Biol. Phys. 2012, 83, 594–599. [Google Scholar] [CrossRef]
- Zhao, M.; Zhao, L.; Yang, H.; Duan, Y.; Li, G. Apparent Diffusion Coefficient for the Prediction of Tumor Response to Neoadjuvant Chemo-Radiotherapy in Locally Advanced Rectal Cancer. Radiat. Oncol. 2021, 16, 17. [Google Scholar] [CrossRef]
- Sun, Y.S.; Zhang, X.P.; Tang, L.; Ji, J.F.; Gu, J.; Cai, Y.; Zhang, X.Y. Locally Advanced Rectal Carcinoma Treated with Preoperative Chemotherapy and Radiation Therapy: Preliminary Analysis of Diffusion-Weighted MR Imaging for Early Detection of Tumor Histopathologic Downstaging. Radiology 2009, 254, 170–178. [Google Scholar] [CrossRef]
- Curvo-Semedo, L.; Lambregts, D.M.J.; Maas, M.; Beets, G.L.; Caseiro-Alves, F.; Beets-Tan, R.G.H. Diffusion-Weighted MRI in Rectal Cancer: Apparent Diffusion Coefficient as a Potential Noninvasive Marker of Tumor Aggressiveness. J. Magn. Reson. Imaging 2012, 35, 1365–1371. [Google Scholar] [CrossRef]
- Surov, A.; Pech, M.; Powerski, M.; Woidacki, K.; Wienke, A. Pretreatment Apparent Diffusion Coefficient Cannot Predict Histopathological Features and Response to Neoadjuvant Radiochemotherapy in Rectal Cancer: A Meta-Analysis. Dig. Dis. 2022, 40, 33–49. [Google Scholar] [CrossRef]
- Peng, Y.; Li, J.; Hu, X.; Shen, Y.; Hu, D.; Li, Z.; Kamel, I. Assessing the Histopathological Features of Rectal Adenocarcinoma with Chemical Shift-Encoded Sequence (CSE)-MRI and Diffusion-Weighted Imaging (DWI). Quant. Imaging Med. Surg. 2023, 13, 3199–3212. [Google Scholar] [CrossRef]
- Meyer, H.J.; Höhn, A.; Surov, A.; Jonas Meyer, H.; Höhn, A.; Surov, A. Histogram Analysis of ADC in Rectal Cancer: Associations with Different Histopathological Findings Including Expression of EGFR, Hif1-Alpha, VEGF, P53, PD1, and KI 67. A Preliminary Study. Oncotarget 2018, 9, 18510–18517. [Google Scholar] [CrossRef][Green Version]
- Surov, A.; Meyer, H.J.; Höhn, A.-K.; Behrmann, C.; Wienke, A.; Spielmann, R.P.; Garnov, N.; Surov, A.; Jonas Meyer, H.; Höhn, A.-K.; et al. Correlations between Intravoxel Incoherent Motion (IVIM) Parameters and Histological Findings in Rectal Cancer: Preliminary Results. Oncotarget 2017, 8, 21974–21983. [Google Scholar] [CrossRef]
- Surov, A.; Meyer, H.J.; Wienke, A.; Surov, A.; Meyer, H.J.; Wienke, A. Associations between Apparent Diffusion Coefficient (ADC) and KI 67 in Different Tumors: A Meta-Analysis. Part 1: ADC Mean. Oncotarget 2017, 8, 75434–75444. [Google Scholar] [CrossRef]
- EL Sayed, F.M.; Nassef, E.M.; Abdelmageed, N.A.; Maqsoud, R.R.A.; Abosaif, A.I. Diffusion-Weighted MRI as Non-Invasive Diagnostic Tool for Rectal Cancer Aggressiveness and Correlation with KI-67 Expression in Tumor Tissue. Asian Pac. J. Cancer Prev. 2022, 23, 3387–3391. [Google Scholar] [CrossRef]
- Bielenberg, D.R.; Zetter, B.R. The Contribution of Angiogenesis to the Process of Metastasis. Cancer J. 2015, 21, 267–273. [Google Scholar] [CrossRef]
- Haak, H.E.; Maas, M.; Trebeschi, S.; Beets-Tan, R.G.H. Modern MR Imaging Technology in Rectal Cancer; There Is More Than Meets the Eye. Front. Oncol. 2020, 10, 537532. [Google Scholar] [CrossRef]
- Martens, M.H.; Subhani, S.; Heijnen, L.A.; Lambregts, D.M.J.; Buijsen, J.; Maas, M.; Riedl, R.G.; Jeukens, C.R.L.P.N.; Beets, G.L.; Kluza, E.; et al. Can Perfusion MRI Predict Response to Preoperative Treatment in Rectal Cancer? Radiother. Oncol. 2015, 114, 218–223. [Google Scholar] [CrossRef] [PubMed]
- Intven, M.; Reerink, O.; Philippens, M.E.P. Dynamic Contrast Enhanced MR Imaging for Rectal Cancer Response Assessment after Neo-Adjuvant Chemoradiation. J. Magn. Reson. Imaging 2015, 41, 1646–1653. [Google Scholar] [CrossRef] [PubMed]
- Ciolina, M.; Caruso, D.; De Santis, D.; Zerunian, M.; Rengo, M.; Alfieri, N.; Musio, D.; De Felice, F.; Ciardi, A.; Tombolini, V.; et al. Dynamic Contrast-Enhanced Magnetic Resonance Imaging in Locally Advanced Rectal Cancer: Role of Perfusion Parameters in the Assessment of Response to Treatment. Radiol. Medica 2019, 124, 331–338. [Google Scholar] [CrossRef] [PubMed]
- Pham, T.T.; Wong, K.; Liney, G.; Lim, S.; Graham, P.L.; Borok, N.; Truong, M.X.; Rai, R.; Henderson, C.; Lee, M.; et al. Dynamic Contrast-Enhanced Magnetic Resonance Imaging Evaluation of Whole Tumour Perfusion Heterogeneity Predicts Distant Disease-Free Survival in Locally Advanced Rectal Cancer. Clin. Oncol. 2022, 34, 561–570. [Google Scholar] [CrossRef] [PubMed]
- Yu, X.; Song, W.; Guo, D.; Liu, H.; Zhang, H.; He, X.; Song, J.; Zhou, J.; Liu, X. Preoperative Prediction of Extramural Venous Invasion in Rectal Cancer: Comparison of the Diagnostic Efficacy of Radiomics Models and Quantitative Dynamic Contrast-Enhanced Magnetic Resonance Imaging. Front. Oncol. 2020, 10, 459. [Google Scholar] [CrossRef]
- Wang, K.x.; Yu, J.; Xu, Q. Histogram Analysis of Dynamic Contrast-Enhanced Magnetic Resonance Imaging to Predict Extramural Venous Invasion in Rectal Cancer. BMC Med. Imaging 2023, 23, 77. [Google Scholar] [CrossRef]
- Chen, Z.; Hu, D.; Ye, G.; Xu, D. Quantitative Evaluation of Extramural Vascular Invasion of Rectal Cancer by Dynamic Contrast-Enhanced Magnetic Resonance Imaging. Contrast Media Mol. Imaging 2022, 2022, 3038308. [Google Scholar] [CrossRef]
- Fang, J.; Sun, W.; Wu, D.; Pang, P.; Guo, X.; Yu, C.; Lu, W.; Tang, G. Value of Texture Analysis Based on Dynamic Contrast-Enhanced Magnetic Resonance Imaging in Preoperative Assessment of Extramural Venous Invasion in Rectal Cancer. Insights Imaging 2022, 13, 179. [Google Scholar] [CrossRef]
- Wang, D.; Xu, J.; Zhang, Z.; Li, S.; Zhang, X.; Zhou, Y.; Zhang, X.; Lu, Y. Evaluation of Rectal Cancer Circumferential Resection Margin Using Faster Region-Based Convolutional Neural Network in High-Resolution Magnetic Resonance Images. Dis. Colon. Rectum 2020, 63, 143–151. [Google Scholar] [CrossRef] [PubMed]
- Van Griethuysen, J.J.M.; Fedorov, A.; Parmar, C.; Hosny, A.; Aucoin, N.; Narayan, V.; Beets-Tan, R.G.H.; Fillion-Robin, J.C.; Pieper, S.; Aerts, H.J.W.L. Computational Radiomics System to Decode the Radiographic Phenotype. Cancer Res. 2017, 77, e104–e107. [Google Scholar] [CrossRef] [PubMed]
- Marusyk, A.; Almendro, V.; Polyak, K. Intra-Tumour Heterogeneity: A Looking Glass for Cancer? Nat. Rev. Cancer 2012, 12, 323–334. [Google Scholar] [CrossRef] [PubMed]
- Ma, X.; Shen, F.; Jia, Y.; Xia, Y.; Li, Q.; Lu, J. MRI-Based Radiomics of Rectal Cancer: Preoperative Assessment of the Pathological Features. BMC Med. Imaging 2019, 19, 86. [Google Scholar] [CrossRef] [PubMed]
- Yin, J.D.; Song, L.R.; Lu, H.C.; Zheng, X. Prediction of Different Stages of Rectal Cancer: Texture Analysis Based on Diffusion-Weighted Images and Apparent Diffusion Coefficient Maps. World J. Gastroenterol. 2020, 26, 2082–2096. [Google Scholar] [CrossRef]
- Li, M.; Xu, X.; Qian, P.; Jiang, H.; Jiang, J.; Sun, J.; Lu, Z. Texture Analysis in the Assessment of Rectal Cancer: Comparison of T2WI and Diffusion-Weighted Imaging. Comput. Math. Methods Med. 2021, 2021, 9976440. [Google Scholar] [CrossRef]
- Zhu, H.; Zhang, X.; Li, X.; Shi, Y.; Zhu, H.; Sun, Y.; Zhu, H.; Zhang, X.; Li, X.; Shi, Y.; et al. Prediction of Pathological Nodal Stage of Locally Advanced Rectal Cancer by Collective Features of Multiple Lymph Nodes in Magnetic Resonance Images before and after Neoadjuvant Chemoradiotherapy. Chin. J. Cancer Res. 2019, 31, 984–992. [Google Scholar] [CrossRef]
- Ding, L.; Liu, G.W.; Zhao, B.C.; Zhou, Y.P.; Li, S.; Zhang, Z.D.; Guo, Y.T.; Li, A.Q.; Lu, Y.; Yao, H.W.; et al. Artificial Intelligence System of Faster Region-Based Convolutional Neural Network Surpassing Senior Radiologists in Evaluation of Metastatic Lymph Nodes of Rectal Cancer. Chin. Med. J. 2019, 132, 379–387. [Google Scholar] [CrossRef]
- He, B.; Ji, T.; Zhang, H.; Zhu, Y.; Shu, R.; Zhao, W.; Wang, K. MRI-Based Radiomics Signature for Tumor Grading of Rectal Carcinoma Using Random Forest Model. J. Cell. Physiol. 2019, 234, 20501–20509. [Google Scholar] [CrossRef]
- Meng, X.; Xia, W.; Xie, P.; Zhang, R.; Li, W.; Wang, M.; Xiong, F.; Liu, Y.; Fan, X.; Xie, Y.; et al. Preoperative Radiomic Signature Based on Multiparametric Magnetic Resonance Imaging for Noninvasive Evaluation of Biological Characteristics in Rectal Cancer. Eur. Radiol. 2019, 29, 3200–3209. [Google Scholar] [CrossRef]
- Liang, Y.; Wei, Y.; Xu, F.; Wei, X. MRI-Based Radiomic Models for the Preoperative Prediction of Extramural Venous Invasion in Rectal Cancer: A Systematic Review and Meta-Analysis. Clin. Imaging 2024, 110, 110146. [Google Scholar] [CrossRef]
- Shin, J.; Seo, N.; Baek, S.E.; Son, N.H.; Lim, J.S.; Kim, N.K.; Koom, W.S.; Kim, S. MRI Radiomics Model Predicts Pathologic Complete Response of Rectal Cancer Following Chemoradiotherapy. Radiology 2022, 303, 351–358. [Google Scholar] [CrossRef]
- Pang, X.; Wang, F.; Zhang, Q.; Li, Y.; Huang, R.; Yin, X.; Fan, X. A Pipeline for Predicting the Treatment Response of Neoadjuvant Chemoradiotherapy for Locally Advanced Rectal Cancer Using Single MRI Modality: Combining Deep Segmentation Network and Radiomics Analysis Based on “Suspicious Region”. Front. Oncol. 2021, 11, 711747. [Google Scholar] [CrossRef] [PubMed]
- Jayaprakasam, V.S.; Paroder, V.; Gibbs, P.; Bajwa, R.; Gangai, N.; Sosa, R.E.; Petkovska, I.; Golia Pernicka, J.S.; Fuqua, J.L.; Bates, D.D.B.; et al. MRI Radiomics Features of Mesorectal Fat Can Predict Response to Neoadjuvant Chemoradiation Therapy and Tumor Recurrence in Patients with Locally Advanced Rectal Cancer. Eur. Radiol. 2022, 32, 971–980. [Google Scholar] [CrossRef] [PubMed]
- Delli Pizzi, A.; Chiarelli, A.M.; Chiacchiaretta, P.; d’Annibale, M.; Croce, P.; Rosa, C.; Mastrodicasa, D.; Trebeschi, S.; Lambregts, D.M.J.; Caposiena, D.; et al. MRI-Based Clinical-Radiomics Model Predicts Tumor Response before Treatment in Locally Advanced Rectal Cancer. Sci. Rep. 2021, 11, 5379. [Google Scholar] [CrossRef] [PubMed]
- Feng, L.; Liu, Z.; Li, C.; Li, Z.; Lou, X.; Shao, L.; Wang, Y.; Huang, Y.; Chen, H.; Pang, X.; et al. Development and Validation of a Radiopathomics Model to Predict Pathological Complete Response to Neoadjuvant Chemoradiotherapy in Locally Advanced Rectal Cancer: A Multicentre Observational Study. Lancet Digit. Health 2022, 4, e8–e17. [Google Scholar] [CrossRef]
- Zhang, Z.Y.; Shen, L.J.; Wang, Y.; Wang, J.; Zhang, H.; Xia, F.; Wan, J.F.; Zhang, Z. MRI Radiomics Signature as a Potential Biomarker for Predicting KRAS Status in Locally Advanced Rectal Cancer Patients. Front. Oncol. 2021, 11, 614052. [Google Scholar] [CrossRef]
- Cui, Y.; Liu, H.; Ren, J.; Du, X.; Xin, L.; Li, D.; Yang, X.; Wang, D. Development and Validation of a MRI-Based Radiomics Signature for Prediction of KRAS Mutation in Rectal Cancer. Eur. Radiol. 2020, 30, 1948–1958. [Google Scholar] [CrossRef]
- Zhang, W.; Yin, H.; Huang, Z.; Zhao, J.; Zheng, H.; He, D.; Li, M.; Tan, W.; Tian, S.; Song, B. Development and Validation of MRI-Based Deep Learning Models for Prediction of Microsatellite Instability in Rectal Cancer. Cancer Med. 2021, 10, 4164–4173. [Google Scholar] [CrossRef]
- Xing, X.; Li, D.; Peng, J.; Shu, Z.; Zhang, Y.; Song, Q. A Combinatorial MRI Sequence-Based Radiomics Model for Preoperative Prediction of Microsatellite Instability Status in Rectal Cancer. Sci. Rep. 2024, 14, 11760. [Google Scholar] [CrossRef]
- Li, Z.; Zhang, J.; Zhong, Q.; Feng, Z.; Shi, Y.; Xu, L.; Zhang, R.; Yu, F.; Lv, B.; Yang, T.; et al. Development and External Validation of a Multiparametric MRI-Based Radiomics Model for Preoperative Prediction of Microsatellite Instability Status in Rectal Cancer: A Retrospective Multicenter Study. Eur. Radiol. 2023, 33, 1835–1843. [Google Scholar] [CrossRef]
- Liu, X.; Zhang, D.; Liu, Z.; Li, Z.; Xie, P.; Sun, K.; Wei, W.; Dai, W.; Tang, Z.; Ding, Y.; et al. Deep Learning Radiomics-Based Prediction of Distant Metastasis in Patients with Locally Advanced Rectal Cancer after Neoadjuvant Chemoradiotherapy: A Multicentre Study. EBioMedicine 2021, 69, 103442. [Google Scholar] [CrossRef]
- Zhao, R.; Wan, L.; Chen, S.; Peng, W.; Liu, X.; Wang, S.; Li, L.; Zhang, H. MRI-Based Multiregional Radiomics for Pretreatment Prediction of Distant Metastasis After Neoadjuvant Chemoradiotherapy in Patients with Locally Advanced Rectal Cancer. Acad. Radiol. 2024, 31, 1367–1377. [Google Scholar] [CrossRef]
- Chen, F.; Ma, X.; Li, S.; Li, Z.; Jia, Y.; Xia, Y.; Wang, M.; Shen, F.; Lu, J. MRI-Based Radiomics of Rectal Cancer: Assessment of the Local Recurrence at the Site of Anastomosis. Acad. Radiol. 2021, 28, S87–S94. [Google Scholar] [CrossRef] [PubMed]
- Nardone, V.; Reginelli, A.; Grassi, R.; Boldrini, L.; Vacca, G.; D’Ippolito, E.; Annunziata, S.; Farchione, A.; Belfiore, M.P.; Desideri, I.; et al. Delta Radiomics: A Systematic Review. Radiol. Medica 2021, 126, 1571–1583. [Google Scholar] [CrossRef] [PubMed]
- Litvin, A.A.; Burkin, D.A.; Kropinov, A.A.; Paramzin, F.N. Radiomics and Digital Image Texture Analysis in Oncology (Review). Sovrem. Tehnol. Med. 2021, 13, 97–106. [Google Scholar] [CrossRef] [PubMed]
- Aker, M.; Ganeshan, B.; Afaq, A.; Wan, S.; Groves, A.M.; Arulampalam, T. Magnetic Resonance Texture Analysis in Identifying Complete Pathological Response to Neoadjuvant Treatment in Locally Advanced Rectal Cancer. Dis. Colon. Rectum 2019, 62, 163–170. [Google Scholar] [CrossRef]
- Yang, L.; Qiu, M.; Xia, C.; Li, Z.; Wang, Z.; Zhou, X.; Wu, B. Value of High-Resolution DWI in Combination with Texture Analysis for the Evaluation of Tumor Response after Preoperative Chemoradiotherapy for Locally Advanced Rectal Cancer. Am. J. Roentgenol. 2019, 212, 1279–1286. [Google Scholar] [CrossRef]
- Oh, J.E.; Kim, M.J.; Lee, J.; Hur, B.Y.; Kim, B.; Kim, D.Y.; Baek, J.Y.; Chang, H.J.; Park, S.C.; Oh, J.H.; et al. Magnetic Resonance-Based Texture Analysis Differentiating KRAS Mutation Status in Rectal Cancer. Cancer Res. Treat. 2019, 52, 51–59. [Google Scholar] [CrossRef]
- Alrahawy, M.; Aker, M.; Issa, M.; Ali, O.; Noureldin, K.; Gaber, A.; Mahgoub, A.; Ahmed, M.; Yousif, M.; Zeinaldine, A.; et al. Textural Analysis as a Predictive Biomarker in Rectal Cancer. Cureus 2022, 14, e32241. [Google Scholar] [CrossRef]
- Wang, J.; Liu, X.; Hu, B.; Gao, Y.; Chen, J.; Li, J. Development and Validation of an MRI-Based Radiomic Nomogram to Distinguish between Good and Poor Responders in Patients with Locally Advanced Rectal Cancer Undergoing Neoadjuvant Chemoradiotherapy. Abdom. Radiol. 2021, 46, 1805–1815. [Google Scholar] [CrossRef] [PubMed]
- Miranda, J.; Horvat, N.; Assuncao, A.N.; de, M. Machado, F.A.; Chakraborty, J.; Pandini, R.V.; Saraiva, S.; Nahas, C.S.R.; Nahas, S.C.; Nomura, C.H. MRI-Based Radiomic Score Increased MrTRG Accuracy in Predicting Rectal Cancer Response to Neoadjuvant Therapy. Abdom. Radiol. 2023, 48, 1911–1920. [Google Scholar] [CrossRef] [PubMed]
- Hamabe, A.; Takemasa, I.; Ishii, M.; Okuya, K.; Hida, K.; Nishizaki, D.; Sumii, A.; Arizono, S.; Kohno, S.; Tokunaga, K.; et al. The Potential of an Artificial Intelligence for Diagnosing MRI Images in Rectal Cancer: Multicenter Collaborative Trial. J. Gastroenterol. 2024. [Google Scholar] [CrossRef] [PubMed]
- Sun, Z.; Xia, F.; Lv, W.; Li, J.; Zou, Y.; Wu, J. Radiomics Based on T2-Weighted and Diffusion-Weighted MR Imaging for Preoperative Prediction of Tumor Deposits in Rectal Cancer. Am. J. Surg. 2024, 232, 59–67. [Google Scholar] [CrossRef]
- Abbaspour, E.; Karimzadhagh, S.; Monsef, A.; Joukar, F.; Mansour-Ghanaei, F.; Hassanipour, S. Application of Radiomics for Preoperative Prediction of Lymph Node Metastasis in Colorectal Cancer: A Systematic Review and Meta-Analysis. Int. J. Surg. 2024, 110, 3794–3813. [Google Scholar] [CrossRef]
- Wei, Y.; Wang, H.; Chen, Z.; Zhu, Y.; Li, Y.; Lu, B.; Pan, K.; Wen, C.; Cao, G.; He, Y.; et al. Deep Learning-Based Multiparametric MRI Model for Preoperative T-Stage in Rectal Cancer. J. Magn. Reson. Imaging 2024, 59, 1083–1092. [Google Scholar] [CrossRef]
- Li, Y.; Liu, X.; Gu, M.; Xu, T.; Ge, C.; Chang, P. Significance of MRI-Based Radiomics in Predicting Pathological Complete Response to Neoadjuvant Chemoradiotherapy of Locally Advanced Rectal Cancer: A Narrative Review. Cancer/Radiothérapie 2024, 28, 390–401. [Google Scholar] [CrossRef]
- Kagawa, Y.; Smith, J.J.; Fokas, E.; Watanabe, J.; Cercek, A.; Greten, F.R.; Bando, H.; Shi, Q.; Garcia-Aguilar, J.; Romesser, P.B.; et al. Future Direction of Total Neoadjuvant Therapy for Locally Advanced Rectal Cancer. Nat. Rev. Gastroenterol. Hepatol. 2024, 21, 444–455. [Google Scholar] [CrossRef]
- Horvat, N.; Papanikolaou, N.; Koh, D.-M. Radiomics Beyond the Hype: A Critical Evaluation Toward Oncologic Clinical Use. Radiol. Artif. Intell. 2024, 6, e230437. [Google Scholar] [CrossRef]
- Verheij, F.S.; Omer, D.M.; Williams, H.; Lin, S.T.; Qin, L.X.; Buckley, J.T.; Thompson, H.M.; Yuval, J.B.; Kim, J.K.; Dunne, R.F.; et al. Long-Term Results of Organ Preservation in Patients with Rectal Adenocarcinoma Treated with Total Neoadjuvant Therapy: The Randomized Phase II OPRA Trial. J. Clin. Oncol. 2024, 42, 500–506. [Google Scholar] [CrossRef]
- Maas, M.; Lambregts, D.M.J.; Nelemans, P.J.; Heijnen, L.A.; Martens, M.H.; Leijtens, J.W.A.; Sosef, M.; Hulsewé, K.W.E.; Hoff, C.; Breukink, S.O.; et al. Assessment of Clinical Complete Response After Chemoradiation for Rectal Cancer with Digital Rectal Examination, Endoscopy, and MRI: Selection for Organ-Saving Treatment. Ann. Surg. Oncol. 2015, 22, 3873–3880. [Google Scholar] [CrossRef] [PubMed]
- Wasserberg, N. Interval to Surgery after Neoadjuvant Treatment for Colorectal Cancer. World J. Gastroenterol. 2014, 20, 4256–4262. [Google Scholar] [CrossRef]
- Zambare, W.; Miranda, J.; Horvat, N.; Smith, J.J. Assessing the OPRA Trial for Surgical Oncologists: Safety and Feasibility of a Total Neoadjuvant Therapy Approach in Patients with Rectal Cancer. Surg. Oncol. Insight 2024, 1, 100043. [Google Scholar] [CrossRef]
- Hughes, R.; Glynne-Jones, R.; Grainger, J.; Richman, P.; Makris, A.; Harrison, M.; Ashford, R.; Harrison, R.A.; Livingstone, J.I.; McDonald, P.J.; et al. Can Pathological Complete Response in the Primary Tumour Following Pre-Operative Pelvic Chemoradiotherapy for T3-T4 Rectal Cancer Predict for Sterilisation of Pelvic Lymph Nodes, a Low Risk of Local Recurrence and the Appropriateness of Local Excision? Int. J. Color. Dis. 2006, 21, 11–17. [Google Scholar] [CrossRef] [PubMed]
- van der Sande, M.E.; Beets, G.L.; Hupkens, B.J.; Breukink, S.O.; Melenhorst, J.; Bakers, F.C.; Lambregts, D.M.; Grabsch, H.I.; Beets-Tan, R.G.; Maas, M. Response Assessment after (Chemo)Radiotherapy for Rectal Cancer: Why Are We Missing Complete Responses with MRI and Endoscopy? Eur. J. Surg. Oncol. 2019, 45, 1011–1017. [Google Scholar] [CrossRef]
- El Khababi, N.; Beets-Tan, R.G.H.; Tissier, R.; Lahaye, M.J.; Maas, M.; Curvo-Semedo, L.; Dresen, R.C.; Nougaret, S.; Beets, G.L.; Lambregts, D.M.J. Sense and Nonsense of YT-Staging on MRI after Chemoradiotherapy in Rectal Cancer. Color. Dis. 2023, 25, 1878–1887. [Google Scholar] [CrossRef]




| Reference | Year | Assessed Feature | Main Outcome |
|---|---|---|---|
| Hamabe et al. [173] | 2024 | Tumour segmentation | Optimal MRI imaging conditions can improve the accuracy of mrAI tumour delineation, enabling it to provide feedback to radiologists without overestimating tumour stage. |
| Wei et al. [176] | 2024 | T-staging MRF status | The multiparametric deep-learning model has the potential to aid clinicians by offering more accurate and reliable preoperative T staging diagnoses. |
| Liang et al. [151] | 2024 | EMVI detection | MRI-based radiomic models have strong diagnostic value in detecting EMVI in rectal cancer patients. Further prospective, high-quality studies with larger sample sizes are needed to validate these findings. |
| Sun et al. [174] | 2024 | Tumour deposits | Combining rad-score (T2WI + ADC) with clinical factors may serve as a tool to predict the presence of tumour deposits (TDs) in rectal cancer patients. |
| Abbaspour et al. [175] | 2024 | Positive lymph nodes | Artificial intelligence-based radiomics demonstrates promising results in preoperative lymph node staging for colorectal cancer, with significant predictive performance. |
| Miranda et al. [172] | 2023 | mrTRG | MRI-based rad-score has comparable diagnostic performance to ymrTRG |
| Li et al. [177] | 2024 | pCR | The review highlights that MRI-based radiomics holds great potential for predicting pathological complete responses to NAT in patients with locally advanced rectal cancer. |
| MRI Feature | Main Point |
|---|---|
| T-staging | The maximum tumour extension beyond the muscularis propria should be staged as <1 mm (T3a), 1–5 mm (T3b), 5–15 mm (T3c) and >15 mm (T3d). |
| mrCRM | Positive circumferential margin is defined as a distance of 1 mm or less between the tumour and the mesorectal fascia; the same criteria is applied for irregular lymph nodes. |
| EMVI | Intermediate signal within the mesorectal vessels, with a loss of normal hypointense flow void; additional features include irregular contours and increased calibre of the mesorectal vessels; should be documented both pre- and post-treatment; |
| Lymph nodes | Malignant lymph nodes criteria: short axis diameter ≥9 mm, 5–8 mm and ≥2 suspicious features, <5 mm and 3 suspicious features, all mucinous lymph nodes; morphologically suspicious features: round shape, irregular border, internal heterogenous signal; |
| Tumour deposits (N1c) | Tumour deposits follow the course of a venous channel compared to lymph nodes which are usually isolated within the mesorectal fat |
| Mucinous tumours | Mucin component is readily identified as high signal intensity on T2WI |
| Tumour response assessment (mrTRG) | mrTRG1: complete response or no signs of residual tumour; mrTRG2: good response: >75% dense fibrosis, minimal, if any intermediate signal; mrTRG3: moderate response: >50% fibrosis and visible intermediate signal; mrTRG4: poor response: minimal fibrosis within intermediate signal; mrTRG5: no response: no fibrosis, unchanged original tumour; |
Disclaimer/Publisher’s Note: The statements, opinions and data contained in all publications are solely those of the individual author(s) and contributor(s) and not of MDPI and/or the editor(s). MDPI and/or the editor(s) disclaim responsibility for any injury to people or property resulting from any ideas, methods, instructions or products referred to in the content. |
© 2024 by the authors. Licensee MDPI, Basel, Switzerland. This article is an open access article distributed under the terms and conditions of the Creative Commons Attribution (CC BY) license (https://creativecommons.org/licenses/by/4.0/).
Share and Cite
Curcean, S.; Curcean, A.; Martin, D.; Fekete, Z.; Irimie, A.; Muntean, A.-S.; Caraiani, C. The Role of Predictive and Prognostic MRI-Based Biomarkers in the Era of Total Neoadjuvant Treatment in Rectal Cancer. Cancers 2024, 16, 3111. https://doi.org/10.3390/cancers16173111
Curcean S, Curcean A, Martin D, Fekete Z, Irimie A, Muntean A-S, Caraiani C. The Role of Predictive and Prognostic MRI-Based Biomarkers in the Era of Total Neoadjuvant Treatment in Rectal Cancer. Cancers. 2024; 16(17):3111. https://doi.org/10.3390/cancers16173111
Chicago/Turabian StyleCurcean, Sebastian, Andra Curcean, Daniela Martin, Zsolt Fekete, Alexandru Irimie, Alina-Simona Muntean, and Cosmin Caraiani. 2024. "The Role of Predictive and Prognostic MRI-Based Biomarkers in the Era of Total Neoadjuvant Treatment in Rectal Cancer" Cancers 16, no. 17: 3111. https://doi.org/10.3390/cancers16173111
APA StyleCurcean, S., Curcean, A., Martin, D., Fekete, Z., Irimie, A., Muntean, A.-S., & Caraiani, C. (2024). The Role of Predictive and Prognostic MRI-Based Biomarkers in the Era of Total Neoadjuvant Treatment in Rectal Cancer. Cancers, 16(17), 3111. https://doi.org/10.3390/cancers16173111

