Lung Cancers Associated with Cystic Airspaces
Simple Summary
Abstract
1. Introduction
2. Lung Cystic Airspaces
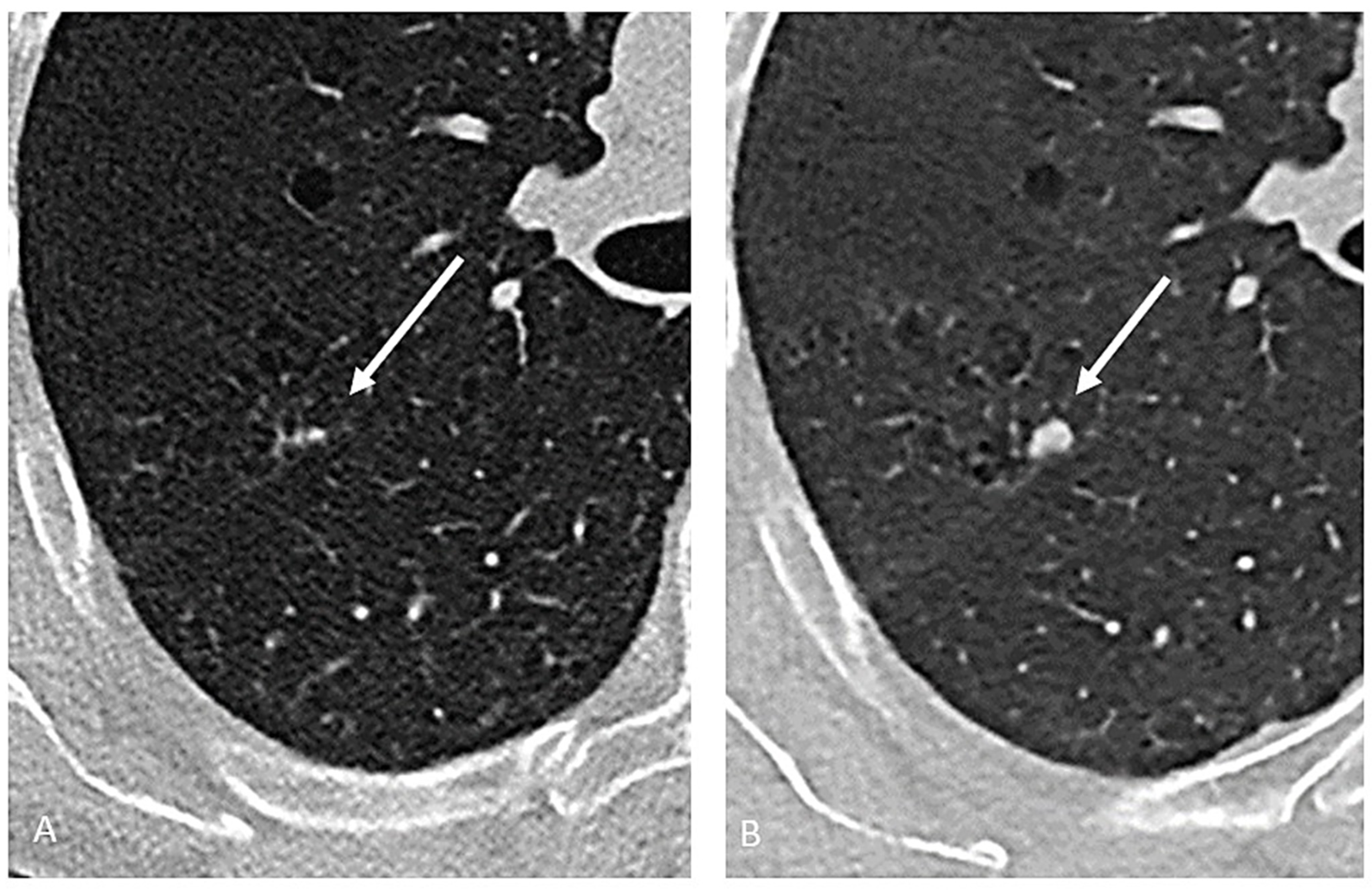
3. CT Features
3.1. CT Protocol
3.2. Definition
3.3. Classification Systems
3.4. Risk of Malignancy
3.5. Differential Diagnosis
4. Other Imaging Assessments
4.1. Positron Emission Tomography–Computed Tomography (PET-CT)
4.2. Magnetic Resonance Imaging (MRI)
5. Tissue Sampling—CT-Guided Biopsy
6. Future Perspectives
7. Conclusions
Author Contributions
Funding
Institutional Review Board Statement
Data Availability Statement
Conflicts of Interest
References
- Sung, H.; Ferlay, J.; Siegel, R.L.; Laversanne, M.; Soerjomataram, I.; Jemal, A.; Bray, F. Global Cancer Statistics 2020: GLOBOCAN Estimates of Incidence and Mortality Worldwide for 36 Cancers in 185 Countries. CA Cancer J. Clin. 2021, 71, 209–249. [Google Scholar] [CrossRef] [PubMed]
- National Lung Screening Trial Research Team; Aberle, D.R.; Adams, A.M.; Berg, C.D.; Black, W.C.; Clapp, J.D.; Fagerstrom, R.M.; Gareen, I.F.; Gatsonis, C.; Marcus, P.M.; Sicks, J.D. Reduced lung-cancer mortality with low-dose computed tomographic screening. N. Engl. J. Med. 2011, 365, 395–409. [Google Scholar] [CrossRef] [PubMed]
- de Koning, H.J.; van der Aalst, C.M.; de Jong, P.A.; Scholten, E.T.; Nackaerts, K.; Heuvelmans, M.A.; Lammers, J.J.; Weenink, C.; Yousaf-Khan, U.; Horeweg, N.; et al. Reduced Lung-Cancer Mortality with Volume CT Screening in a Randomized Trial. N. Engl. J. Med. 2020, 382, 503–513. [Google Scholar] [CrossRef] [PubMed]
- Ledda, R.E.; Funk, G.C.; Sverzellati, N. The pros and cons of lung cancer screening. Eur. Radiol. 2024, 35, 267–275. [Google Scholar] [CrossRef] [PubMed]
- Mahesh, M.; Ansari, A.J.; Mettler, F.A. Patient exposure from radiologic and nuclear medicine procedures in the United States and worldwide: 2009–2018. Radiology 2023, 307, e221263. [Google Scholar] [CrossRef] [PubMed]
- Rizzo, S.; Del Grande, M.; Espeli, V.; Stathis, A.; Nicolino, G.M.; Del Grande, F. Do oncologists prefer subspecialty radiology reports? A quality care study. Insights Imaging 2021, 12, 64. [Google Scholar] [CrossRef] [PubMed]
- Carter, B.W.; Erasmus, J.J.; Truong, M.T.; Shepard, J.O.; Hofstetter, W.; Clarke, R.; Munden, R.F.; Steele, J.R. Quality and Value of Subspecialty Reinterpretation of Thoracic CT Scans of Patients Referred to a Tertiary Cancer Center. J. Am. Coll. Radiol. 2017, 14, 1109–1118. [Google Scholar] [CrossRef] [PubMed]
- Womack, N.A.; Graham, E.A. Epithelial metaplasia in congenital cystic disease of the lung: Its possible relation to carcinoma of the bronchus. Am. J. Pathol. 1941, 17, 645–654.5. [Google Scholar]
- Korol, E. The correlation of carcinoma and congenital cystic emphysema of the lungs: Report of ten cases. Dis. Chest 1953, 23, 403–411. [Google Scholar] [CrossRef] [PubMed]
- Peabody, J.W.; Rupnik, E.J.; Hanner, J.M. Bronchial carcinoma masquerading as a thin-walled cyst. AJR 1957, 77, 1051–1054. [Google Scholar]
- Prichard, M.G.; Brown, P.G.; Sterrett, G.F. Bronchioloalveolar carcinoma arising in longstanding lung cysts. Thorax 1984, 39, 545–549. [Google Scholar] [CrossRef] [PubMed]
- Farooqi, A.O.; Cham, M.; Zhang, L.; Beasley, M.B.; Austin, J.H.; Miller, A.; Zulueta, J.J.; Roberts, H.; Enser, C.; Kao, S.J.; et al. Lung cancer associated with cystic airspaces. AJR Am. J. Roentgenol. 2012, 199, 781–786. [Google Scholar] [CrossRef] [PubMed]
- Araki, T.; Nishino, M.; Gao, W.; Dupuis, J.; Putman, R.K.; Washko, G.R.; Hunninghake, G.M.; O’Connor, G.T.; Hatabu, H. Pulmonary cysts identified on chest CT: Are they part of aging change or of clinical significance? Thorax 2015, 70, 1156–1162. [Google Scholar] [CrossRef] [PubMed]
- Lantuejoul, S.; Nicholson, A.G.; Sartori, G.; Piolat, C.; Danel, C.; Brabencova, E.; Goldstraw, P.; Brambilla, E.; Rossi, G. Mucinous cells in type 1 pulmonary congenital cystic adenomatoid malformation as mucinous bronchioloalveolar carcinoma precursors. Am. J. Surg. Pathol. 2007, 31, 961–969. [Google Scholar] [CrossRef]
- Mendoza, D.P.; Heeger, A.; Mino-Kenudson, M.; Lanuti, M.; Shepard, J.O.; Sequist, L.V.; Digumarthy, S.R. Clinicopathologic and Longitudinal Imaging Features of Lung Cancer Associated with Cystic Airspaces: A Systematic Review and Meta-Analysis. AJR Am. J. Roentgenol. 2021, 216, 318–329. [Google Scholar] [CrossRef] [PubMed]
- Shen, Y.; Xu, X.; Zhang, Y.; Li, W.; Dai, J.; Jiang, S.; Wu, T.; Cai, H.; Sihoe, A.; Shi, J.; et al. Lung cancers associated with cystic airspaces: CT features and pathologic correlation. Lung Cancer 2019, 135, 110–115. [Google Scholar] [CrossRef]
- Snoeckx, A.; Reyntiens, P.; Pauwels, P.; Van Schil, P.E.; Parizel, P.M.; Van Meerbeeck, J.P. Molecular profiling in lung cancer associated with cystic airspaces. Acta Clin. Belg. 2021, 76, 158–161. [Google Scholar] [CrossRef]
- Deng, C.; Chen, Z.; Bai, J.; Fu, F.; Wang, S.; Li, Y.; Zhang, Y.; Chen, H. Clinical characteristics and progression of pre-/minimally invasive lung adenocarcinoma harboring ALK or RET rearrangements: A retrospective cohort study. Transl. Lung Cancer Res. 2023, 12, 2440–2447. [Google Scholar] [CrossRef] [PubMed]
- Peters, A.A.; Huber, A.T.; Obmann, V.C.; Heverhagen, J.T.; Christe, A.; Ebner, L. Diagnostic validation of a deep learning nodule detection algorithm in low-dose chest CT: Determination of optimized dose thresholds in a virtual screening scenario. Eur. Radiol. 2022, 32, 4324–4332. [Google Scholar] [CrossRef] [PubMed]
- Fletcher, J.G.; Levin, D.L.; Sykes, A.-M.G.; Lindell, R.M.; White, D.B.; Kuzo, R.S.; Suresh, V.; Yu, L.; Leng, S.; Holmes, D.R.; et al. Observer Performance for Detection of Pulmonary Nodules at Chest CT over a Large Range of Radiation Dose Levels. Radiology 2020, 297, 699–707. [Google Scholar] [CrossRef]
- Pan, Z.; Zhang, Y.; Zhang, L.; Wang, L.; Zhao, K.; Li, Q.; Wang, A.; Hu, Y.; Xie, X. Detection, measurement, and diagnosis of lung nodules by ultra-low-dose CT in lung cancer screening: A systematic review. BJR|Open 2024, 6, tzae041. [Google Scholar] [CrossRef]
- Donuru, A.; Araki, T.; Dako, F.; Dave, J.K.; Perez, R.P.; Xu, D.; Nachiappan, A.C.; Barbosa, E.M., Jr.; Noel, P.; Litt, H.; et al. Photon-counting detector CT allows significant reduction in radiation dose while maintaining image quality and noise on non-contrast chest CT. Eur. J. Radiol. Open 2023, 11, 100538. [Google Scholar] [CrossRef] [PubMed]
- Bhalla, A.S.; Das, A.; Naranje, P.; Irodi, A.; Raj, V.; Goyal, A. Imaging protocols for CT chest: A recommendation. Indian J. Radiol. Imaging 2019, 29, 236–246. [Google Scholar] [CrossRef] [PubMed] [PubMed Central]
- Bankier, A.A.; MacMahon, H.; Colby, T.; Gevenois, P.A.; Goo, J.M.; Leung, A.N.C.; Lynch, D.A.; Schaefer-Prokop, C.M.; Tomiyama, N.; Travis, W.D.; et al. Fleischner Society: Glossary of Terms for Thoracic Imaging. Radiology 2024, 310, e232558. [Google Scholar] [CrossRef] [PubMed]
- Haider, E.; Burute, N.; Harish, S.; Boylan, C. Lung cancer associated with cystic airspaces: Characteristic morphological features on CT in a series of 11 cases. Clin. Imaging 2019, 56, 102–107. [Google Scholar] [CrossRef] [PubMed]
- Mascalchi, M.; Attinà, D.; Bertelli, E.; Falchini, M.; Vella, A.; Pegna, A.L.; Ambrosini, V.; Zompatori, M. Lung cancer associated with cystic airspaces. J. Comput. Assist. Tomogr. 2015, 39, 102–108. [Google Scholar] [CrossRef]
- Fintelmann, F.J.; Brinkmann, J.K.; Jeck, W.R.; Troschel, F.M.; Digumarthy, S.R.; Mino-Kenudson, M.; Shepard, J.O. Lung Cancers Associated with Cystic Airspaces: Natural History, Pathologic Correlation, and Mutational Analysis. J. Thorac. Imaging 2017, 32, 176–188. [Google Scholar] [CrossRef] [PubMed]
- American College of Radiology. Lung CT screening reporting and data system (Lung-RADS). Aug. 2014, Version 1.1. American College of Radiology. Available online: https://www.acr.org/-/media/ACR/Files/RADS/Lung-RADS/LungRADSAssessmentCategoriesv1-1.pdf?la=en (accessed on 9 November 2024).
- American College of Radiology Committee on Lung-RADS. Lung-RADS 2022. Available online: https://www.acr.org/-/media/ACR/Files/RADS/Lung-RADS/Lung-RADS-2022 (accessed on 9 November 2024).
- Scholten, E.T.; Horeweg, N.; de Koning, H.J.; Vliegenthart, R.; Oudkerk, M.; Mali, W.P.; de Jong, P.A. Computed tomographic characteristics of interval and post screen carcinomas in lung cancer screening. Eur. Radiol. 2015, 25, 81–88. [Google Scholar] [CrossRef] [PubMed]
- Byrne, D.; English, J.C.; Atkar-Khattra, S.; Lam, S.; Yee, J.; Myers, R.; Bilawich, A.M.; Mayo, J.R.; Mets, O.M. Cystic Primary Lung Cancer: Evolution of Computed Tomography Imaging Morphology over Time. J. Thorac. Imaging 2021, 36, 373–381. [Google Scholar] [CrossRef]
- Detterbeck, F.C.; Stratton, K.; Giroux, D.; Asamura, H.; Crowley, J.; Falkson, C.; Filosso, P.L.; Frazier, A.A.; Giaccone, G.; Huang, J.; et al. The IASLC/ITMIG Thymic Epithelial Tumors Staging Project: Proposal for an evidence-based stage classification system for the forthcoming (8th) edition of the TNM classification of malignant tumors. J. Thorac. Oncol. 2014, 9 (Suppl. 2), S65–S72. [Google Scholar] [CrossRef]
- Araki, T.; Nishino, M.; Zazueta, O.E.; Gao, W.; Dupuis, J.; Okajima, Y.; Latourelle, J.C.; Rosas, I.O.; Murakami, T.; O’Connor, G.T.; et al. Paraseptal emphysema: Prevalence and distribution on CT and association with interstitial lung abnormalities. Eur. J. Radiol. 2015, 84, 1413–1418. [Google Scholar] [CrossRef]
- Bellomi, M.; Rizzo, S.; Travaini, L.L.; Bazzi, L.; Trifirò, G.; Zampino, M.G.; Radice, D.; Paganelli, G. Role of multidetector CT and FDG-PET/CT in the diagnosis of local and distant recurrence of resected rectal cancer. Radiol. Med. 2007, 112, 681–690. [Google Scholar] [CrossRef] [PubMed]
- Rizzo, S.; De Piano, F.; Buscarino, V.; Pagan, E.; Bagnardi, V.; Zanagnolo, V.; Colombo, N.; Maggioni, A.; Del Grande, M.; Del Grande, F.; et al. Pre-operative evaluation of epithelial ovarian cancer patients: Role of whole body diffusion weighted imaging MR and CT scans in the selection of patients suitable for primary debulking surgery. A single-centre study. Eur. J. Radiol. 2020, 123, 108786. [Google Scholar] [CrossRef] [PubMed]
- Calvetti, L.; Aprile, G. Influence and mechanism of lung cavitation development on antiangiogenic therapy: Is cavitation the new caveat? Transl. Lung Cancer Res. 2019, 8, 319–322. [Google Scholar] [CrossRef] [PubMed] [PubMed Central]
- Oh, S.Y.; Kim, M.Y.; Kim, J.E.; Kim, S.S.; Park, T.S.; Kim, D.S.; Choi, C.M. Evolving Early Lung Cancers Detected During Follow-Up of Idiopathic Interstitial Pneumonia: Serial CT Features. AJR Am. J. Roentgenol. 2015, 204, 1190–1196. [Google Scholar] [CrossRef] [PubMed]
- Lococo, F.; Muoio, B.; Chiappetta, M.; Nachira, D.; Petracca Ciavarella, L.; Margaritora, S.; Treglia, G. Diagnostic Performance of PET or PET/CT with Different Radiotracers in Patients with Suspicious Lung Cancer or Pleural Tumours according to Published Meta-Analyses. Contrast Media Mol. Imaging 2020, 2020, 5282698. [Google Scholar] [CrossRef] [PubMed]
- Carroll, M.B.; Shroff, G.S.; Truong, M.T.; Walker, C.M. Pearls and Pitfalls in Lung Cancer Imaging. Semin. Ultrasound CT MR 2021, 42, 524–534. [Google Scholar] [CrossRef] [PubMed]
- Sheard, S.; Moser, J.; Sayer, C.; Stefanidis, K.; Devaraj, A.; Vlahos, I. Lung Cancers Associated with Cystic Airspaces: Underrecognized Features of Early Disease. Radiographics 2018, 38, 704–717. [Google Scholar] [CrossRef] [PubMed]
- Pini, C.; Kirienko, M.; Gelardi, F.; Bossi, P.; Rahal, D.; Toschi, L.; Ninatti, G.; Rodari, M.; Marulli, G.; Antunovic, L.; et al. Challenging the significance of SUV-based parameters in a large-scale retrospective study on lung lesions. Cancer Imaging 2024, 24, 162. [Google Scholar] [CrossRef]
- Broncano, J.; Luna, A.; Sánchez-González, J.; Alvarez-Kindelan, A.; Bhalla, S. Functional MR Imaging in Chest Malignancies. Magn. Reson. Imaging Clin. N. Am. 2016, 24, 135–155. [Google Scholar] [CrossRef]
- Genovese, E.; Canì, A.; Rizzo, S.; Angeretti, M.G.; Leonardi, A.; Fugazzola, C. Comparison between MRI with spin-echo echo-planar diffusion-weighted sequence (DWI) and histology in the diagnosis of soft-tissue tumours. Radiol. Med. 2011, 116, 644–656. [Google Scholar] [CrossRef] [PubMed]
- Petrella, F.; Rizzo, S.; Attili, I.; Passaro, A.; Zilli, T.; Martucci, F.; Bonomo, L.; Del Grande, F.; Casiraghi, M.; De Marinis, F.; et al. Stage III Non-Small-Cell Lung Cancer: An Overview of Treatment Options. Curr. Oncol. 2023, 30, 3160–3175. [Google Scholar] [CrossRef] [PubMed]
- Guarize, J.; Casiraghi, M.; Donghi, S.; Diotti, C.; Vanoni, N.; Romano, R.; Casadio, C.; Brambilla, D.; Maisonneuve, P.; Petrella, F.; et al. Endobronchial Ultrasound Transbronchial Needle Aspiration in Thoracic Diseases: Much More than Mediastinal Staging. Can. Respir. J. 2018, 2018, 4269798. [Google Scholar] [CrossRef] [PubMed]
- Jeyabalan, A.; Shelley-Fraser, G.; Medford, A.R. Impact of needle gauge on characterization of endobronchial ultrasound-guided transbronchial needle aspiration (EBUS-TBNA) histology samples. Respirology 2014, 19, 735–739. [Google Scholar] [CrossRef] [PubMed]
- DiBardino, D.M.; Yarmus, L.B.; Semaan, R.W. Transthoracic needle biopsy of the lung. J. Thorac. Dis. 2015, 7 (Suppl. 4), S304–S316. [Google Scholar] [CrossRef] [PubMed] [PubMed Central]
- Heerink, W.J.; de Bock, G.H.; de Jonge, G.J.; Groen, H.J.; Vliegenthart, R.; Oudkerk, M. Complication rates of CT-guided transthoracic lung biopsy: Meta-analysis. Eur. Radiol. 2017, 27, 138–148. [Google Scholar] [CrossRef] [PubMed] [PubMed Central]
- Balbi, M.; Capelli, S.; Caroli, A.; Culasso, N.C.; Barba, M.; Senkeev, R.; Filipello, F.; Napoli, F.; Levra, S.; Bironzo, P.; et al. CT-Guided Core Needle Biopsy of Pulmonary Lesions Associated with Cystic Airspaces: A Case-Control Study. AJR Am. J. Roentgenol. 2024, 223, e2431042. [Google Scholar] [CrossRef] [PubMed]
- Botta, F.; Raimondi, S.; Rinaldi, L.; Bellerba, F.; Corso, F.; Bagnardi, V.; Origgi, D.; Minelli, R.; Pitoni, G.; Petrella, F.; et al. Association of a CT-Based Clinical and Radiomics Score of Non-Small Cell Lung Cancer (NSCLC) with Lymph Node Status and Overall Survival. Cancers 2020, 12, 1432. [Google Scholar] [CrossRef] [PubMed]
- Wu, L.; Lou, X.; Kong, N.; Xu, M.; Gao, C. Can quantitative peritumoral CT radiomics features predict the prognosis of patients with non-small cell lung cancer? A systematic review. Eur. Radiol. 2023, 33, 2105–2117. [Google Scholar] [CrossRef] [PubMed] [PubMed Central]
- Rizzo, S.M.; Kalra, M.K.; Schmidt, B.; Raupach, R.; Maher, M.M.; Blake, M.A.; Saini, S. CT images of abdomen and pelvis: Effect of nonlinear three-dimensional optimized reconstruction algorithm on image quality and lesion characteristics. Radiology 2005, 237, 309–315. [Google Scholar] [CrossRef]
- Koul, A.; Bawa, R.K.; Kumar, Y. Artificial Intelligence Techniques to Predict the Airway Disorders Illness: A Systematic Review. Arch. Comput. Methods Eng. 2023, 30, 831–864. [Google Scholar] [CrossRef] [PubMed]


| Lung RADS Category | Findings in Atypical Pulmonary Cysts | Management |
|---|---|---|
| 3 | Growing cystic component (mean diameter) of a thick-walled cys | 6-month LDCT |
| 4 A | Thick-walled cyst Multilocular cyst at baseline Thin- or thick-walled cyst that becomes multilocular | 3-month LDCT; PET/CT may be considered if there isa ≥ 8 mm (≥268 mm3) solid nodule or solid component |
| 4 B | Thick-walled cyst with growing wall thickness/nodularity Growing multilocular cyst (mean diameter) Multilocular cyst with increased loculation or new/increased opacity (nodular, ground glass, or consolidation | Diagnostic chest CT with or without contrast; PET/CT may be considered if there isa ≥ 8 mm (≥268 mm3) solid nodule or solid component; tissue sampling; and/or referral for further clinical evaluation Management depends on clinical evaluation, patient preference, and the probability of malignancy |
Disclaimer/Publisher’s Note: The statements, opinions and data contained in all publications are solely those of the individual author(s) and contributor(s) and not of MDPI and/or the editor(s). MDPI and/or the editor(s) disclaim responsibility for any injury to people or property resulting from any ideas, methods, instructions or products referred to in the content. |
© 2025 by the authors. Licensee MDPI, Basel, Switzerland. This article is an open access article distributed under the terms and conditions of the Creative Commons Attribution (CC BY) license (https://creativecommons.org/licenses/by/4.0/).
Share and Cite
Valsecchi, C.; Petrella, F.; Freguia, S.; Frattini, M.; Argentieri, G.; Puligheddu, C.; Treglia, G.; Rizzo, S. Lung Cancers Associated with Cystic Airspaces. Cancers 2025, 17, 307. https://doi.org/10.3390/cancers17020307
Valsecchi C, Petrella F, Freguia S, Frattini M, Argentieri G, Puligheddu C, Treglia G, Rizzo S. Lung Cancers Associated with Cystic Airspaces. Cancers. 2025; 17(2):307. https://doi.org/10.3390/cancers17020307
Chicago/Turabian StyleValsecchi, Clara, Francesco Petrella, Stefania Freguia, Milo Frattini, Gianluca Argentieri, Carla Puligheddu, Giorgio Treglia, and Stefania Rizzo. 2025. "Lung Cancers Associated with Cystic Airspaces" Cancers 17, no. 2: 307. https://doi.org/10.3390/cancers17020307
APA StyleValsecchi, C., Petrella, F., Freguia, S., Frattini, M., Argentieri, G., Puligheddu, C., Treglia, G., & Rizzo, S. (2025). Lung Cancers Associated with Cystic Airspaces. Cancers, 17(2), 307. https://doi.org/10.3390/cancers17020307

