Chronic Neutrophilic Leukemia: Advances in Diagnosis, Genetic Insights, and Management Strategies
Simple Summary
Abstract
1. Introduction
- In the National Cancer Database (NCDB), the median age was 70 years in 121 reported cases.
- According to ICC, there is a difference in the white blood cell (WBC) cutoff depending on the colony-stimulating factor 3 receptor (CSF3R) gene mutation status; in the presence of a CSF3R mutation, the WBC cutoff should be ≥13 × 109/L, whereas in the absence of a CSF3R mutation, the WBC cutoff should be ≥25 × 109/L. There is also another subclassification depending on the blast count; 10–19% blasts is called the accelerated phase and ≥20% blasts is called the blast phase.
- According to WHO, there is no accelerated or blast phase, and the WBC cutoff is ≥25 × 109/L regardless of the CSF3R mutation status.
2. Disease Presentation
3. Diagnostic Findings
3.1. Laboratory Findings
| Hemoglobin (g/L) | 7.9 |
| Platelets (×109/L) | 260 |
| WBCs (×109/L) | 52.7 |
| Neutrophils (×109/L) | 48 |
| Monocytes (×109/L) | 1.0 (<10% of the WBCs) |
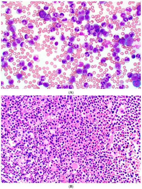
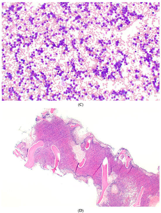
3.2. Morphological Findings
3.2.1. Peripheral Blood
3.2.2. Bone Marrow
4. Cytogenetic and Molecular Characteristics
4.1. CSF3R
- Point mutations usually affect the extracellular or transmembrane domains of the receptor, causing its activation regardless of the presence of the ligand as it activates the JAK-STAT pathway [38]. The most common mutation is p.T618I, and others, such as p.T615A and N610H, have been identified as well. Patients with these mutations can benefit from JAK-kinase inhibitors. While CSF3R mutations are the most common mutations in CNL, a CSF3R mutation (p.P733T) is more commonly found in CMML rather than in CNL [39].
- Frameshift or nonsense mutations lead to a premature stop codon, causing truncation of the cytoplasmic tail of the receptor [40] and leading to receptor overexpression and ligand hypersensitivity. This process occurs through the activation of tyrosine kinase nonreceptor 2 and SRC family kinases.
4.2. ASXL1
4.3. SETBP1
4.4. TET2
4.5. SRSF2 and U2AF1
4.6. RUNX1 and GATA2
4.7. EZH2 and KDM6A
4.8. NRAS
4.9. CALR
5. Molecular Pathogenesis
Pathogenesis



6. Diagnosis Criteria per ICC and WHO 5th Edition the Diagnostic Criteria for CNL Is Summarized in the Table Below
Differential Diagnosis
| Criteria | WHO 5th Edition [7] | ICC [6] |
| Leukocytosis | Present, must be ≥25 × 109/L, regardless of mutations | ≥13 × 109/L for CSF3R- mutated cases, ≥25 × 109/L in non-CSF3R mutated cases |
| Marrow cellularity | Hypercellular, neutrophils + banded neutrophils constitute ≥80% of the white blood cells | |
| Neutrophil precursors | <10% of the WBCs | |
| Neutrophilia | Persistent for 3 months or more, splenomegaly with no identification of reactive causes in mutation negative cases | |
| Dysplasia | Not present | |
| Monocytes | <10% of peripheral blood monocytes | |
| Rule out | Chronic Myeloid Leukemia (CML), polycythaemia vera, essential thrombocythaemia, or primary myelofibrosis, myeloid/lymphoid neoplasms with eosinophilia and tyrosine kinase gene fusions and exclusion of reactive neutrophilia. | |
- ○
- Polycythemia vera (PV) usually presents with a hypercellular marrow which also might show panmyelosis; however, the increased hemoglobin levels coupled with the morphology of the megakaryocytes are important differences coupled with the presence of a JAK2 mutation which is more common in PV.
- ○
- Pre-fibrotic primary myelofibrosis (PMF) usually presents with a hypercellular marrow. One of the minor criteria is leukocytosis; the megakaryocytes are clustered and have an atypical morphology, while on the other hand, the megakaryocytes in CNL are usually normal.
7. Prognosis
- Thrombocytopenia (platelet count of <160 × 109/L), 2 points
- Leukocytosis >60 × 109/L,1 point
- ASXL1 mutation status, 1 point
8. Treatment
8.1. Traditional Therapy
8.2. JAK Inhibitors
8.3. Novel Therapies
8.4. Stem Cell Transplant
9. Conclusions
Author Contributions
Funding
Institutional Review Board Statement
Informed Consent Statement
Data availability statements:
Conflicts of Interest
References
- Tuohy, E. A case of splenomegaly with polymorphonuclear neutrophil hyperleukocytosis. Am. J. Med. Sci. 1920, 160, A18. [Google Scholar] [CrossRef]
- Emile-Weil, P.; See, G. La leucémie myélogène à polynucléaires neutrophiles. Presse Méd. 1932, 40, 1071–1074. [Google Scholar]
- Tanzer, J.; Harel, P.; Boiron, M.; Bernard, J. Cytochemical and Cytogenetic Findings in a Case of Chronic Neutriphilic Leukaemia of Mature Cell Type. Lancet 1964, 1, 387–388. [Google Scholar] [CrossRef] [PubMed]
- Elliott, M.A.; Hanson, C.A.; Dewald, G.W.; Smoley, S.A.; Lasho, T.L.; Tefferi, A. WHO-defined chronic neutrophilic leukemia: A long-term analysis of 12 cases and a critical review of the literature. Leukemia 2005, 19, 313–317. [Google Scholar] [CrossRef]
- Ruan, G.J.; Smith, C.J.; Day, C.; Harmsen, W.S.; Zblewski, D.L.; Alkhateeb, H.; Begna, K.; Al-Kali, A.; Litzow, M.R.; Hogan, W.; et al. A population-based study of chronic neutrophilic leukemia in the United States. Blood Cancer J. 2020, 10, 68. [Google Scholar] [CrossRef]
- Arber, D.A.; Orazi, A.; Hasserjian, R.P.; Borowitz, M.J.; Calvo, K.R.; Kvasnicka, H.M.; Wang, S.A.; Bagg, A.; Barbui, T.; Branford, S.; et al. International Consensus Classification of Myeloid Neoplasms and Acute Leukemias: Integrating morphologic, clinical, and genomic data. Blood 2022, 140, 1200–1228. [Google Scholar] [CrossRef]
- Khoury, J.D.; Solary, E.; Abla, O.; Akkari, Y.; Alaggio, R.; Apperley, J.F.; Bejar, R.; Berti, E.; Busque, L.; Chan, J.K.C.; et al. The 5th edition of the World Health Organization Classification of Haematolymphoid Tumours: Myeloid and Histiocytic/Dendritic Neoplasms. Leukemia 2022, 36, 1703–1719. [Google Scholar] [CrossRef]
- Carreno-Tarragona, G.; Alvarez-Larran, A.; Harrison, C.; Martinez-Avila, J.C.; Hernandez-Boluda, J.C.; Ferrer-Marin, F.; Radia, D.H.; Mora, E.; Francis, S.; Gonzalez-Martinez, T.; et al. CNL and aCML should be considered as a single entity based on molecular profiles and outcomes. Blood Adv. 2023, 7, 1672–1681. [Google Scholar] [CrossRef]
- Shigekiyo, T.; Miyagi, J.; Chohraku, M.; Kawauchi, K.; Sekimoto, E.; Shirakami, A.; Shibata, H. Bleeding tendency in chronic neutrophilic leukemia. Int. J. Hematol. 2008, 88, 240–242. [Google Scholar] [CrossRef]
- Noguchi, T.; Ikeda, K.; Yamamoto, K.; Ashiba, A.; Yoshida, J.; Munemasa, M.; Takenaka, K.; Shinagawa, K.; Ishimaru, F.; Yoshino, T.; et al. Severe bleeding tendency caused by leukemic infiltration and destruction of vascular walls in chronic neutrophilic leukemia. Int. J. Hematol. 2001, 74, 437–441. [Google Scholar] [CrossRef]
- Mitsumori, T.; Komatsu, N.; Kirito, K. A CSF3R T618I Mutation in a Patient with Chronic Neutrophilic Leukemia and Severe Bleeding Complications. Intern. Med. 2016, 55, 405–407. [Google Scholar] [CrossRef] [PubMed]
- Bohm, J.; Schaefer, H.E. Chronic neutrophilic leukaemia: 14 new cases of an uncommon myeloproliferative disease. J. Clin. Pathol. 2002, 55, 862–864. [Google Scholar] [CrossRef] [PubMed]
- Elliott, M.A. Chronic neutrophilic leukemia: A contemporary review. Curr. Hematol. Rep. 2004, 3, 210–217. [Google Scholar] [PubMed]
- Hossfeld, D.K.; Lokhorst, H.W.; Garbrecht, M. Neutrophilic leukemia accompanied by hemorrhagic diathesis: Report of two cases. Blut 1987, 54, 109–113. [Google Scholar] [CrossRef]
- Talon, L.; de Renzis, B.; Fiore, M.; Sanhes, L.; Sapin, A.F.; Berger, M.; Sinegre, T.; Lebreton, A. Fatal intracerebral hemorrhage in a patient with chronic neutrophilic leukemia: About one case and literature review. Rev. Med. Interne 2020, 41, 552–558. [Google Scholar] [CrossRef]
- Szuber, N.; Orazi, A.; Tefferi, A. Chronic neutrophilic leukemia and atypical chronic myeloid leukemia: 2024 update on diagnosis, genetics, risk stratification, and management. Am. J. Hematol. 2024, 99, 1360–1387. [Google Scholar] [CrossRef]
- Khoder, A.; Al Obaidi, M.; Babb, A.; Liu, C.; Cross, N.C.P.; Bain, B.J. Chronic neutrophilic leukemia. Am. J. Hematol. 2018, 93, 841–842. [Google Scholar] [CrossRef]
- McVinnie, K.; Innes, A.; Nadal-Melsio, E.; Atta, M.; Deplano, S. A case of chronic neutrophilic leukemia and multiple myeloma showing the benefits of lenalidomide and cyclophosphamide therapy in treating both conditions. Am. J. Hematol. 2022, 97, 1491–1494. [Google Scholar] [CrossRef]
- Thomopoulos, T.P.; Symeonidis, A.; Kourakli, A.; Papageorgiou, S.G.; Pappa, V. Chronic Neutrophilic Leukemia: A Comprehensive Review of Clinical Characteristics, Genetic Landscape and Management. Front. Oncol. 2022, 12, 891961. [Google Scholar] [CrossRef]
- Uemura, Y.; Taguchi, T.; Kubota, T.; Saito, T.; Bandobashi, K.; Yokoyama, A. Neutrophil function and cytokine-specific signaling in chronic neutrophilic leukemia. Int. J. Lab. Hematol. 2009, 31, 36–47. [Google Scholar] [CrossRef]
- Recio Boiles, A.; Lander, E.M.; Watts, G.S.; Nawrocki, S.T.; Yeager, A.M. Paraneoplastic Leukemoid Reaction Associated with Increased Levels of and Tumor Overexpression of Receptors for G-CSF, GM-CSF, and IL-6: A Clinico-Pathological-Molecular Study. Blood 2018, 132, 4945. [Google Scholar] [CrossRef]
- Oogushi, K.; Shimamoto, Y.; Hamasaki, Y.; Koga, H.; Sano, M.; Yamaguchi, M.; Sunaga, T. The discrepancy between chemotaxis and leukotriene B4 production in a patient with chronic neutrophilic leukemia. Jpn. J. Med. 1989, 28, 717–721. [Google Scholar] [CrossRef] [PubMed][Green Version]
- Rane, S.R.; Kulkarni, M.M.; Puranik, S.C. Chronic neutrophilic leukemia: A rare case report. Indian. J. Hematol. Blood Transfus. 2014, 30, 77–79. [Google Scholar] [CrossRef][Green Version]
- Bain, B.J.; Ahmad, S. Chronic neutrophilic leukaemia and plasma cell-related neutrophilic leukaemoid reactions. Br. J. Haematol. 2015, 171, 400–410. [Google Scholar] [CrossRef]
- Wu, X.B.; Wu, W.W.; Zhou, Y.; Wang, X.; Li, J.; Yu, Y. Coexisting of bone marrow fibrosis, dysplasia and an X chromosomal abnormality in chronic neutrophilic leukemia with CSF3R mutation: A case report and literature review. BMC Cancer 2018, 18, 343. [Google Scholar] [CrossRef]
- Lieschke, G.J.; Grail, D.; Hodgson, G.; Metcalf, D.; Stanley, E.; Cheers, C.; Fowler, K.J.; Basu, S.; Zhan, Y.F.; Dunn, A.R. Mice lacking granulocyte colony-stimulating factor have chronic neutropenia, granulocyte and macrophage progenitor cell deficiency, and impaired neutrophil mobilization. Blood 1994, 84, 1737–1746. [Google Scholar] [CrossRef]
- Liu, F.; Wu, H.Y.; Wesselschmidt, R.; Kornaga, T.; Link, D.C. Impaired production and increased apoptosis of neutrophils in granulocyte colony-stimulating factor receptor-deficient mice. Immunity 1996, 5, 491–501. [Google Scholar] [CrossRef]
- Zhang, H.; Coblentz, C.; Watanabe-Smith, K.; Means, S.; Means, J.; Maxson, J.E.; Tyner, J.W. Gain-of-function mutations in granulocyte colony-stimulating factor receptor (CSF3R) reveal distinct mechanisms of CSF3R activation. J. Biol. Chem. 2018, 293, 7387–7396. [Google Scholar] [CrossRef]
- Zhang, H.; Means, S.; Schultz, A.R.; Watanabe-Smith, K.; Medeiros, B.C.; Bottomly, D.; Wilmot, B.; McWeeney, S.K.; Kukenshoner, T.; Hantschel, O.; et al. Unpaired Extracellular Cysteine Mutations of CSF3R Mediate Gain or Loss of Function. Cancer Res. 2017, 77, 4258–4267. [Google Scholar] [CrossRef]
- Beekman, R.; Valkhof, M.G.; Sanders, M.A.; van Strien, P.M.; Haanstra, J.R.; Broeders, L.; Geertsma-Kleinekoort, W.M.; Veerman, A.J.; Valk, P.J.; Verhaak, R.G.; et al. Sequential gain of mutations in severe congenital neutropenia progressing to acute myeloid leukemia. Blood 2012, 119, 5071–5077. [Google Scholar] [CrossRef]
- Olofsen, P.A.; Bosch, D.A.; de Looper, H.W.J.; van Strien, P.M.H.; Hoogenboezem, R.M.; Roovers, O.; van der Velden, V.H.J.; Bindels, E.M.J.; De Pater, E.M.; Touw, I.P. Truncated CSF3 receptors induce pro-inflammatory responses in severe congenital neutropenia. Br. J. Haematol. 2023, 200, 79–86. [Google Scholar] [CrossRef] [PubMed]
- Triot, A.; Jarvinen, P.M.; Arostegui, J.I.; Murugan, D.; Kohistani, N.; Dapena Diaz, J.L.; Racek, T.; Puchalka, J.; Gertz, E.M.; Schaffer, A.A.; et al. Inherited biallelic CSF3R mutations in severe congenital neutropenia. Blood 2014, 123, 3811–3817. [Google Scholar] [CrossRef] [PubMed]
- Kim, S.Y.; Song, I.C.; Kim, J.; Kwon, G.C. Analysis of CSF3R mutations in atypical chronic myeloid leukemia and other myeloid malignancies. Ann. Diagn. Pathol. 2024, 71, 152317. [Google Scholar] [CrossRef] [PubMed]
- Guastafierro, V.; Ubezio, M.; Manes, N.; Milanesi, C.; Della Porta, M.; Bonometti, A. CSF3R-mutant chronic myelomonocytic leukemia is a distinct clinically subset with abysmal prognosis: A case report and systematic review of the literature. Leuk. Lymphoma 2023, 64, 1566–1573. [Google Scholar] [CrossRef]
- Mohamed, A.; Gao, J.; Chen, Y.H.; Abaza, Y.; Altman, J.; Jennings, L.; Vormittag-Nocito, E.; Sukhanova, M.; Lu, X.; Chen, Q. CSF3R mutated myeloid neoplasms: Beyond chronic neutrophilic leukemia. Hum. Pathol. 2024, 149, 66–74. [Google Scholar] [CrossRef]
- Wang, S.X.; Wang, F.; Tu, Y.C.; Zhou, Y.L.; Tu, S.T.; Wang, J.Y.; Lv, K.B.; Li, F. Rare case of simultaneous occurrence of chronic neutrophil leukemia and T lymphoblastic lymphoma: Case report and literature review. Ann. Hematol. 2024, 103, 4319–4323. [Google Scholar] [CrossRef]
- Rumi, E.; Passamonti, F.; Elena, C.; Pietra, D.; Arcaini, L.; Astori, C.; Zibellini, S.; Boveri, E.; Pascutto, C.; Lazzarino, M. Increased risk of lymphoid neoplasm in patients with myeloproliferative neoplasm: A study of 1,915 patients. Haematologica 2011, 96, 454–458. [Google Scholar] [CrossRef][Green Version]
- Maxson, J.E.; Gotlib, J.; Pollyea, D.A.; Fleischman, A.G.; Agarwal, A.; Eide, C.A.; Bottomly, D.; Wilmot, B.; McWeeney, S.K.; Tognon, C.E.; et al. Oncogenic CSF3R mutations in chronic neutrophilic leukemia and atypical CML. N. Engl. J. Med. 2013, 368, 1781–1790. [Google Scholar] [CrossRef]
- Ouyang, Y.; Qiao, C.; Chen, Y.; Zhang, S.J. Clinical significance of CSF3R, SRSF2 and SETBP1 mutations in chronic neutrophilic leukemia and chronic myelomonocytic leukemia. Oncotarget 2017, 8, 20834–20841. [Google Scholar] [CrossRef]
- Maxson, J.E.; Tyner, J.W. Genomics of chronic neutrophilic leukemia. Blood 2017, 129, 715–722. [Google Scholar] [CrossRef]
- Lance, A.; Chiad, Z.; Seegers, S.L.; Paschall, S.C.; Drummond, K.; Steuerwald, N.M.; Yang, H.T.; Chen, J.; Voorhees, P.M.; Avalos, B.R.; et al. Hereditary chronic neutrophilic leukemia in a four-generation family without transformation to acute leukemia. Am. J. Hematol. 2024, 99, 1877–1886. [Google Scholar] [CrossRef] [PubMed]
- Latacz, M.; Song, Y.; Hao, Y.; Cykowiak, M.; Kirylczuk, J.; Hu, J.; Shi, B.; Jiang, H. Recurrent ASXL1 Mutations Promote Myeloid Malignancies through Unleashed Condensation. Blood 2024, 144, 42. [Google Scholar] [CrossRef]
- Asada, S.; Fujino, T.; Goyama, S.; Kitamura, T. The role of ASXL1 in hematopoiesis and myeloid malignancies. Cell Mol. Life Sci. 2019, 76, 2511–2523. [Google Scholar] [CrossRef] [PubMed]
- Abdel-Wahab, O.; Gao, J.; Adli, M.; Dey, A.; Trimarchi, T.; Chung, Y.R.; Kuscu, C.; Hricik, T.; Ndiaye-Lobry, D.; Lafave, L.M.; et al. Deletion of Asxl1 results in myelodysplasia and severe developmental defects in vivo. J. Exp. Med. 2013, 210, 2641–2659. [Google Scholar] [CrossRef]
- Braun, T.; Foley, A.; Druker, B.J.; Maxson, J.E. Function of ASXL1 Mutations in Chronic Neutrophilic Leukemia. Blood 2018, 132, 3067. [Google Scholar] [CrossRef]
- Abdulbaki, R.; Tizro, P.; Boland, J.L.; Zonouz, T.H.; Aggarwal, A.; Nava, V.E. Chronic neutrophilic leukemia associated with thrombocytosis and a CSF3R Q781* nonsense mutation. Int. J. Lab. Hematol. 2023, 45, e79–e82. [Google Scholar] [CrossRef]
- Elliott, M.A.; Pardanani, A.; Hanson, C.A.; Lasho, T.L.; Finke, C.M.; Belachew, A.A.; Tefferi, A. ASXL1 mutations are frequent and prognostically detrimental in CSF3R-mutated chronic neutrophilic leukemia. Am. J. Hematol. 2015, 90, 653–656. [Google Scholar] [CrossRef]
- Meggendorfer, M.; Haferlach, T.; Alpermann, T.; Jeromin, S.; Haferlach, C.; Kern, W.; Schnittger, S. Specific molecular mutation patterns delineate chronic neutrophilic leukemia, atypical chronic myeloid leukemia, and chronic myelomonocytic leukemia. Haematologica 2014, 99, e244–e246. [Google Scholar] [CrossRef]
- Szuber, N.; Finke, C.M.; Lasho, T.L.; Elliott, M.A.; Hanson, C.A.; Pardanani, A.; Tefferi, A. CSF3R-mutated chronic neutrophilic leukemia: Long-term outcome in 19 consecutive patients and risk model for survival. Blood Cancer J. 2018, 8, 21. [Google Scholar] [CrossRef]
- Langabeer, S.E.; Haslam, K.; Kelly, J.; Quinn, J.; Morrell, R.; Conneally, E. Targeted next-generation sequencing identifies clinically relevant mutations in patients with chronic neutrophilic leukemia at diagnosis and blast crisis. Clin. Transl. Oncol. 2018, 20, 420–423. [Google Scholar] [CrossRef]
- Darmusey, L.; Bagley, A.; Blaylock, H.; Foley, A.; Nguyen, T.; Nino, K.; Kong, G.; Pietras, E.; Braun, T.; Maxson, J. 3047—Role of Epigenetic Dysfunction in Chronic Neutrophilic Leukemia. Exp. Hematol. 2023, 124, S73. [Google Scholar] [CrossRef]
- Tashkandi, H.; Younes, I.E. Advances in Molecular Understanding of Polycythemia Vera, Essential Thrombocythemia, and Primary Myelofibrosis: Towards Precision Medicine. Cancers 2024, 16, 1679. [Google Scholar] [CrossRef] [PubMed]
- Awada, H.; Bhatta, M.; Yu, H.; Ji, W.; Hou, S.; Cronin, T.; Ba Aqeel, S.; Roy, A.M.; Faisal, M.S.; Kouides, P.; et al. ASXL1 mutation is a novel risk factor for bleeding in Philadelphia-negative myeloproliferative neoplasms. Leukemia 2024, 38, 210–214. [Google Scholar] [CrossRef] [PubMed]
- Johnson, S.M.; Haberberger, J.; Galeotti, J.; Ramkissoon, L.; Coombs, C.C.; Richardson, D.R.; Foster, M.C.; Duncan, D.; Zeidner, J.F.; Ferguson, N.L.; et al. A reappraisal of ASXL1 mutation sites and the cohesin-binding motif in myeloid disease. Blood Cancer J. 2023, 13, 96. [Google Scholar] [CrossRef]
- Gotlib, J.; Maxson, J.E.; George, T.I.; Tyner, J.W. The new genetics of chronic neutrophilic leukemia and atypical CML: Implications for diagnosis and treatment. Blood 2013, 122, 1707–1711. [Google Scholar] [CrossRef]
- Foley, A.; Hughes, S.B.; Meshinchi, S.; Maxson, J.E. CSF3R Mutations Synergize with CEBPA and SETBP1 Mutations in Acute Myeloid Leukemia and Chronic Neutrophilic Leukemia. Blood 2017, 130, 3963. [Google Scholar] [CrossRef]
- Zhang, H.; Wilmot, B.; Bottomly, D.; Dao, K.T.; Stevens, E.; Eide, C.A.; Khanna, V.; Rofelty, A.; Savage, S.; Reister Schultz, A.; et al. Genomic landscape of neutrophilic leukemias of ambiguous diagnosis. Blood 2019, 134, 867–879. [Google Scholar] [CrossRef]
- Shou, L.H.; Cao, D.; Dong, X.H.; Fang, Q.; Wu, Y.; Zhang, Y.; Fei, J.P.; Xu, B.L. Prognostic significance of SETBP1 mutations in myelodysplastic syndromes, chronic myelomonocytic leukemia, and chronic neutrophilic leukemia: A meta-analysis. PLoS ONE 2017, 12, e0171608. [Google Scholar] [CrossRef]
- Younes, I.E.; Syler, L.; Hamed, A. Review of clonal hematopoiesis, subtypes and its role in neoplasia and different morbidities. Leuk. Res. 2023, 130, 107307. [Google Scholar] [CrossRef]
- Dao, K.H.; Tyner, J.W. What’s different about atypical CML and chronic neutrophilic leukemia? Hematol. Am. Soc. Hematol. Educ. Program. 2015, 2015, 264–271. [Google Scholar] [CrossRef]
- Stoner, R.C.; Press, R.D.; Maxson, J.E.; Tyner, J.W.; Dao, K.T. Insights on mechanisms of clonal evolution in chronic neutrophilic leukemia on ruxolitinib therapy. Leukemia 2020, 34, 1684–1688. [Google Scholar] [CrossRef] [PubMed]
- Yokota, A.; Huo, L.; Lan, F.; Wu, J.; Huang, G. The Clinical, Molecular, and Mechanistic Basis of RUNX1 Mutations Identified in Hematological Malignancies. Mol. Cells 2020, 43, 145–152. [Google Scholar] [CrossRef] [PubMed]
- Nooruddin, Z.; Miltgen, N.; Wei, Q.; Schowinsky, J.; Pan, Z.; Tobin, J.; Purev, E.; Gutman, J.A.; Robinson, W.; Pollyea, D.A. Changes in allele frequencies of CSF3R and SETBP1 mutations and evidence of clonal evolution in a chronic neutrophilic leukemia patient treated with ruxolitinib. Haematologica 2017, 102, e207–e209. [Google Scholar] [CrossRef]
- Boddy, C.S.; Tan, B.T.; Aoki, J. B-lymphoblastic leukemia arising in a patient with chronic neutrophilic leukemia. Blood Adv. 2020, 4, 5389–5392. [Google Scholar] [CrossRef]
- Adam, F.C.; Szybinski, J.; Halter, J.P.; Cantoni, N.; Wenzel, F.; Leonards, K.; Brkic, S.; Passweg, J.R.; Touw, I.; Maxson, J.E.; et al. Co-Occurring CSF3R W791* Germline and Somatic T618I Driver Mutations Induce Early CNL and Clonal Progression to Mixed Phenotype Acute Leukemia. Curr. Oncol. 2022, 29, 805–815. [Google Scholar] [CrossRef]
- Zheng, W.S.; Guan, L.X.; Cheng, L.C.; Hu, Y.L.; Xu, Y.Y.; Yang, T.; Peng, B.; Wu, Y.L.; Bo, J.; Wang, Q.S.; et al. Ruxolitinib in the treatment of two cases of chronic neutrophilic leukemia. Zhonghua Zhong Liu Za Zhi 2020, 42, 113–114. [Google Scholar] [CrossRef]
- Zhao, J.; Galvez, C.; Beckermann, K.E.; Johnson, D.B.; Sosman, J.A. Novel insights into the pathogenesis and treatment of NRAS mutant melanoma. Expert. Rev. Precis. Med. Drug Dev. 2021, 6, 281–294. [Google Scholar] [CrossRef]
- Dao, K.T.; Tyner, J.W.; Gotlib, J. Recent Progress in Chronic Neutrophilic Leukemia and Atypical Chronic Myeloid Leukemia. Curr. Hematol. Malig. Rep. 2017, 12, 432–441. [Google Scholar] [CrossRef]
- Wang, X.; Resendes, N.M.; Shanahan, L.; Hutchinson, L.; Woda, B.; Cerny, J. Chronic neutrophilic leukemia, a rare case of leukocytosis. Leuk. Res. 2020, 94, 106384. [Google Scholar] [CrossRef]
- Lasho, T.L.; Elliott, M.A.; Pardanani, A.; Tefferi, A. CALR mutation studies in chronic neutrophilic leukemia. Am. J. Hematol. 2014, 89, 450. [Google Scholar] [CrossRef]
- Cui, Y.; Li, B.; Gale, R.P.; Jiang, Q.; Xu, Z.; Qin, T.; Zhang, P.; Zhang, Y.; Xiao, Z. Molecular Aberrations of Chronic Neutrophilic Leukemia: The CSF3R and SETBP1 Mutations. Blood 2014, 124, 5578. [Google Scholar] [CrossRef]
- Baba, Y.; Nakamaki, T.; Sakai, H.; Fukuchi, K.; Kabasawa, N.; Hattori, N.; Harada, H. Chronic neutrophilic leukemia preceded by myelodysplastic syndromes. Int. J. Hematol. 2023, 118, 636–641. [Google Scholar] [CrossRef] [PubMed]
- Fleischman, A.G.; Maxson, J.E.; Luty, S.B.; Agarwal, A.; Royer, L.R.; Abel, M.L.; MacManiman, J.D.; Loriaux, M.M.; Druker, B.J.; Tyner, J.W. The CSF3R T618I mutation causes a lethal neutrophilic neoplasia in mice that is responsive to therapeutic JAK inhibition. Blood 2013, 122, 3628–3631. [Google Scholar] [CrossRef] [PubMed]
- Elliott, M.A. Chronic neutrophilic leukemia and chronic myelomonocytic leukemia: WHO defined. Best. Pr. Res. Clin. Haematol. 2006, 19, 571–593. [Google Scholar] [CrossRef]
- Dao, K.H.; Solti, M.B.; Maxson, J.E.; Winton, E.F.; Press, R.D.; Druker, B.J.; Tyner, J.W. Significant clinical response to JAK1/2 inhibition in a patient with CSF3R-T618I-positive atypical chronic myeloid leukemia. Leuk. Res. Rep. 2014, 3, 67–69. [Google Scholar] [CrossRef]
- Tremblay, D.; Sastow, D.; Mascarenhas, J. CNL and aCML are prognostically distinct: A large National Cancer Database analysis. Blood Adv. 2023, 7, 4400–4402. [Google Scholar] [CrossRef]
- Sun, Y.; Wang, Q.; Zhang, Z.; Wang, Q.; Cen, J.; Zhu, M.; Pan, J.; Liu, D.; Shen, H.; Cai, Y.; et al. Distinct clinical profiles and patient outcomes in aCML and CNL. Ann. Hematol. 2024; Online ahead of print. [Google Scholar] [CrossRef]
- Shi, J.; Ni, Y.; Li, J.; Qiu, H.; Miao, K. Concurrent chronic neutrophilic leukemia blast crisis and multiple myeloma: A case report and literature review. Oncol. Lett. 2015, 9, 2208–2210. [Google Scholar] [CrossRef][Green Version]
- Vermeersch, G.; Delforge, M.; Havelange, V.; Graux, C.; Michaux, L.; Devos, T. Case report: Chronic neutrophilic leukemia associated with monoclonal gammopathies. A case series and review of genetic characteristics and practical management. Front. Oncol. 2022, 12, 1014671. [Google Scholar] [CrossRef]
- Lauw, M.I.S.; Hakim, N.; Arora, S.; Prakash, S.; Xie, Y. A case of plasma cell neoplasm-associated chronic neutrophilic leukemia with ASXL1 and JAK2V617F mutations. Ann. Hematol. 2022, 101, 1879–1881. [Google Scholar] [CrossRef]
- Jiang, B.; Qi, J.Y.; Li, Q.H.; Xu, Y.; Sun, M.Y.; Zheng, W.W.; Chen, F.; Qiu, L.G. Chronic neutrophilic leukemia complicated with multiple myeloma: Two cases report and literature review. Zhonghua Xue Ye Xue Za Zhi 2016, 37, 688–691. [Google Scholar] [CrossRef]
- Reilly, J.T. Chronic neutrophilic leukaemia: A distinct clinical entity? Br. J. Haematol. 2002, 116, 10–18. [Google Scholar] [CrossRef] [PubMed]
- Cui, Y.J.; Jiang, Q.; Liu, J.Q.; Li, B.; Xu, Z.F.; Qin, T.J.; Zhang, Y.; Cai, W.Y.; Zhang, H.L.; Fang, L.W.; et al. The clinical characteristics, gene mutations and prognosis of chronic neutrophilic leukemia. Zhonghua Xue Ye Xue Za Zhi 2017, 38, 28–32. [Google Scholar] [CrossRef] [PubMed]
- You, W.; Weisbrot, I.M. Chronic neutrophilic leukemia. Report of two cases and review of the literature. Am. J. Clin. Pathol. 1979, 72, 233–242. [Google Scholar] [CrossRef]
- Hasle, H.; Olesen, G.; Kerndrup, G.; Philip, P.; Jacobsen, N. Chronic neutrophil leukaemia in adolescence and young adulthood. Br. J. Haematol. 1996, 94, 628–630. [Google Scholar] [CrossRef]
- Szuber, N.; Tefferi, A. Current Management of Chronic Neutrophilic Leukemia. Curr. Treat. Options Oncol. 2021, 22, 59. [Google Scholar] [CrossRef]
- Dao, K.T.; Gotlib, J.; Deininger, M.M.N.; Oh, S.T.; Cortes, J.E.; Collins, R.H., Jr.; Winton, E.F.; Parker, D.R.; Lee, H.; Reister, A.; et al. Efficacy of Ruxolitinib in Patients With Chronic Neutrophilic Leukemia and Atypical Chronic Myeloid Leukemia. J. Clin. Oncol. 2020, 38, 1006–1018. [Google Scholar] [CrossRef]
- Zhang, X.; Pan, J.; Guo, J. Presence of the JAK2 V617F mutation in a patient with chronic neutrophilic leukemia and effective response to interferon alpha-2b. Acta Haematol. 2013, 130, 44–46. [Google Scholar] [CrossRef]
- Yassin, M.A.; Kohla, S.; Al-Sabbagh, A.; Soliman, A.T.; Yousif, A.; Moustafa, A.; Battah, A.A.; Nashwan, A.; Al-Dewik, N. A case of chronic neutrophilic leukemia successfully treated with pegylated interferon alpha-2a. Clin. Med. Insights Case Rep. 2015, 8, 33–36. [Google Scholar] [CrossRef]
- Meyer, S.; Feremans, W.; Cantiniaux, B.; Capel, P.; Huygen, K.; Dicato, M. Successful alpha-2b-interferon therapy for chronic neutrophilic leukemia. Am. J. Hematol. 1993, 43, 307–309. [Google Scholar] [CrossRef]
- Okikiolu, J.; Woodley, C.; Cadman-Davies, L.; O’Sullivan, J.; Radia, D.; Garcia, N.C.; Harrington, P.; Kordasti, S.; Asirvatham, S.; Sriskandarajah, P.; et al. Real world experience with ropeginterferon alpha-2b (Besremi) in essential thrombocythaemia and polycythaemia vera following exposure to pegylated interferon alfa-2a (Pegasys). Leuk. Res. Rep. 2023, 19, 100360. [Google Scholar] [CrossRef]
- Tefferi, A.; Alkhateeb, H.; Gangat, N. Blast phase myeloproliferative neoplasm: Contemporary review and 2024 treatment algorithm. Blood Cancer J. 2023, 13, 108. [Google Scholar] [CrossRef] [PubMed]
- Stahl, M.; Xu, M.L.; Steensma, D.P.; Rampal, R.; Much, M.; Zeidan, A.M. Clinical response to ruxolitinib in CSF3R T618-mutated chronic neutrophilic leukemia. Ann. Hematol. 2016, 95, 1197–1200. [Google Scholar] [CrossRef] [PubMed]
- Hinze, A.; Rinke, J.; Hochhaus, A.; Ernst, T. Durable remission with ruxolitinib in a chronic neutrophilic leukemia patient harboring a truncation and membrane proximal CSF3R compound mutation. Ann. Hematol. 2021, 100, 581–584. [Google Scholar] [CrossRef] [PubMed]
- Gunawan, A.S.; McLornan, D.P.; Wilkins, B.; Waghorn, K.; Hoade, Y.; Cross, N.C.P.; Harrison, C.N. Ruxolitinib, a potent JAK1/JAK2 inhibitor, induces temporary reductions in the allelic burden of concurrent CSF3R mutations in chronic neutrophilic leukemia. Haematologica 2017, 102, e238–e240. [Google Scholar] [CrossRef] [PubMed]
- Koppikar, P.; Bhagwat, N.; Kilpivaara, O.; Manshouri, T.; Adli, M.; Hricik, T.; Liu, F.; Saunders, L.M.; Mullally, A.; Abdel-Wahab, O.; et al. Heterodimeric JAK-STAT activation as a mechanism of persistence to JAK2 inhibitor therapy. Nature 2012, 489, 155–159. [Google Scholar] [CrossRef]
- Maniaci, B.N.; Chung, J.; Sanz-Altamira, P.; DeAngelo, D.J.; Maxson, J.E. A novel colony stimulating factor 3 receptor activating mutation identified in a patient with chronic neutrophilic leukemia. Haematologica 2023, 108, 1945–1950. [Google Scholar] [CrossRef]
- Kuykendall, A.T.; Pettit, K.M.; Singh, A.; Jain, T.; Sallman, D.A.; Mo, Q.; Lovette, Q.; Zhang, L.; Chan, O.; Walker, A.R.; et al. A Phase 2 Study of Fedratinib in Patients with MDS/MPN and Chronic Neutrophilic Leukemia. Blood 2023, 142, 73. [Google Scholar] [CrossRef]
- Rohrabaugh, S.; Kesarwani, M.; Kincaid, Z.; Huber, E.; Leddonne, J.; Siddiqui, Z.; Khalifa, Y.; Komurov, K.; Grimes, H.L.; Azam, M. Enhanced MAPK signaling is essential for CSF3R-induced leukemia. Leukemia 2017, 31, 1770–1778. [Google Scholar] [CrossRef]
- Lasho, T.L.; Mims, A.; Elliott, M.A.; Finke, C.; Pardanani, A.; Tefferi, A. Chronic neutrophilic leukemia with concurrent CSF3R and SETBP1 mutations: Single colony clonality studies, in vitro sensitivity to JAK inhibitors and lack of treatment response to ruxolitinib. Leukemia 2014, 28, 1363–1365. [Google Scholar] [CrossRef]
- Schwartz, M.S.; Wieduwilt, M.J. CSF3R truncation mutations in a patient with B-cell acute lymphoblastic leukemia and a favorable response to chemotherapy plus dasatinib. Leuk. Res. Rep. 2020, 14, 100208. [Google Scholar] [CrossRef]
- Borthakur, G.; Popplewell, L.; Boyiadzis, M.; Foran, J.; Platzbecker, U.; Vey, N.; Walter, R.B.; Olin, R.; Raza, A.; Giagounidis, A.; et al. Activity of the oral mitogen-activated protein kinase kinase inhibitor trametinib in RAS-mutant relapsed or refractory myeloid malignancies. Cancer 2016, 122, 1871–1879. [Google Scholar] [CrossRef]
- Parducci, N.S.; Garnique, A.; Lima, K.; Carlos, J.; Fonseca, N.P.; de Miranda, L.B.L.; de Almeida, B.O.; Rego, E.M.; Traina, F.; Machado-Neto, J.A. Antineoplastic effects of pharmacological inhibitors of aurora kinases in CSF3R(T618I)-driven cells. Blood Cells Mol. Dis. 2024, 104, 102799. [Google Scholar] [CrossRef] [PubMed]
- Lee, S.E.; Jo, I.; Jang, W.; Kim, Y.; Han, K.; Kim, M. T618I-Mutated Colony Stimulating Factor 3 Receptor in Chronic Neutrophilic Leukemia and Chronic Myelomonocytic Leukemia Patients who Underwent Allogeneic Stem Cell Transplantation. Ann. Lab. Med. 2015, 35, 376–378. [Google Scholar] [CrossRef] [PubMed]
- Menezes, J.; Cigudosa, J.C. Chronic neutrophilic leukemia: A clinical perspective. Onco Targets Ther. 2015, 8, 2383–2390. [Google Scholar] [CrossRef] [PubMed][Green Version]
- Itonaga, H.; Ota, S.; Ikeda, T.; Taji, H.; Amano, I.; Hasegawa, Y.; Ichinohe, T.; Fukuda, T.; Atsuta, Y.; Tanizawa, A.; et al. Allogeneic hematopoietic stem cell transplantation for the treatment of BCR-ABL1-negative atypical chronic myeloid leukemia and chronic neutrophil leukemia: A retrospective nationwide study in Japan. Leuk. Res. 2018, 75, 50–57. [Google Scholar] [CrossRef]


Disclaimer/Publisher’s Note: The statements, opinions and data contained in all publications are solely those of the individual author(s) and contributor(s) and not of MDPI and/or the editor(s). MDPI and/or the editor(s) disclaim responsibility for any injury to people or property resulting from any ideas, methods, instructions or products referred to in the content. |
© 2025 by the authors. Licensee MDPI, Basel, Switzerland. This article is an open access article distributed under the terms and conditions of the Creative Commons Attribution (CC BY) license (https://creativecommons.org/licenses/by/4.0/).
Share and Cite
Elbaz Younes, I.; Mroz, P.; Tashakori, M.; Hamed, A.; Sen, S. Chronic Neutrophilic Leukemia: Advances in Diagnosis, Genetic Insights, and Management Strategies. Cancers 2025, 17, 227. https://doi.org/10.3390/cancers17020227
Elbaz Younes I, Mroz P, Tashakori M, Hamed A, Sen S. Chronic Neutrophilic Leukemia: Advances in Diagnosis, Genetic Insights, and Management Strategies. Cancers. 2025; 17(2):227. https://doi.org/10.3390/cancers17020227
Chicago/Turabian StyleElbaz Younes, Ismail, Pawel Mroz, Mehrnoosh Tashakori, Amira Hamed, and Siddhartha Sen. 2025. "Chronic Neutrophilic Leukemia: Advances in Diagnosis, Genetic Insights, and Management Strategies" Cancers 17, no. 2: 227. https://doi.org/10.3390/cancers17020227
APA StyleElbaz Younes, I., Mroz, P., Tashakori, M., Hamed, A., & Sen, S. (2025). Chronic Neutrophilic Leukemia: Advances in Diagnosis, Genetic Insights, and Management Strategies. Cancers, 17(2), 227. https://doi.org/10.3390/cancers17020227
