Silicone Fiducial Markers Improve Precision in Uveal Melanoma Radiation Therapy
Simple Summary
Abstract
1. Introduction
2. Materials and Methods
2.1. Study Cohort
2.2. Material and Surgical Procedure
2.3. Treatment Planning
3. Results
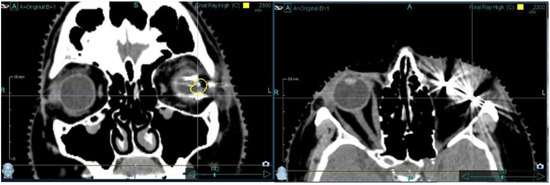
3.1. Surgery-Related Findings
3.2. Imaging-Related Findings
3.3. Stereotactic Radiosurgery
3.4. Outcome
4. Discussion
5. Conclusions
Author Contributions
Funding
Institutional Review Board Statement
Informed Consent Statement
Data Availability Statement
Conflicts of Interest
References
- Kaliki, S.; Shields, C.L. Uveal melanoma: Relatively rare but deadly cancer. Eye 2017, 31, 241–257. [Google Scholar] [CrossRef] [PubMed]
- Yilmaz, M.T.; Sari, S.Y.; Zorlu, F.; Yazici, G. External Beam Radiotherapy in the Management of Uveal Melanoma. Curr. Treat. Options Oncol. 2024, 25, 932–951. [Google Scholar] [CrossRef] [PubMed]
- Milam, R.W.; Batson, S.A.; Breazzano, M.P.; Ayala-Peacock, D.N.; Daniels, A.B. Modern and Novel Radiotherapy Approaches for the Treatment of Uveal Melanoma. Int. Ophthalmol. Clin. 2017, 57, 11–27. [Google Scholar] [CrossRef]
- Bechrakis, N.E.; Foerster, M.H. Neoadjuvant proton beam radiotherapy combined with subsequent endoresection of choroidal melanomas. Int. Ophthalmol. Clin. 2006, 46, 95–107. [Google Scholar] [CrossRef] [PubMed]
- Mosci, C.; Lanza, F.B.; Barla, A.; Mosci, S.; Hérault, J.; Anselmi, L.; Truini, M. Comparison of Clinical Outcomes for Patients with Large Choroidal Melanoma after Primary Treatment with Enucleation or Proton Beam Radiotherapy. Ophthalmologica 2012, 227, 190–196. [Google Scholar] [CrossRef]
- Zytkovicz, A.; Daftari, I.; Phillips, T.L.; Chuang, C.F.; Verhey, L.; Petti, P.L. Peripheral dose in ocular treatments with CyberKnife and Gamma Knife radiosurgery compared to proton radiotherapy. Phys. Med. Biol. 2007, 52, 5957–5971. [Google Scholar] [CrossRef] [PubMed]
- Daftari, I.K.; Petti, P.L.; Larson, D.A.; O’Brien, J.M.; Phillips, T.L. A noninvasive eye fixation monitoring system for CyberKnife radiotherapy of choroidal and orbital tumors. Med. Physics. 2009, 36, 719–724. [Google Scholar] [CrossRef] [PubMed]
- Hrbacek, J.; Mishra, K.K.; Kacperek, A.; Dendale, R.; Nauraye, C.; Auger, M.; Herault, J.; Daftari, I.K.; Trofimov, A.V.; Shih, H.A.; et al. Practice Patterns Analysis of Ocular Proton Therapy Centers: The International OPTIC Survey. Int. J. Radiat. Oncol. Biol. Phys. 2016, 95, 336–343. [Google Scholar] [CrossRef]
- Dunavoelgyi, R.; Dieckmann, K.; Gleiss, A.; Sacu, S.; Kircher, K.; Georgopoulos, M.; Georg, D.; Zehetmayer, M.; Poetter, R. Local Tumor Control, Visual Acuity, and Survival After Hypofractionated Stereotactic Photon Radiotherapy of Choroidal Melanoma in 212 Patients Treated Between 1997 and 2007. Int. J. Radiat. Oncol. Biol. Physics. 2011, 81, 199–205. [Google Scholar] [CrossRef]
- Kosydar, S.; Robertson, J.C.; Woodfin, M.; Mayr, N.A.; Sahgal, A.; Timmerman, R.D.; Lo, S.S. Systematic Review and Meta-Analysis on the Use of Photon-based Stereotactic Radiosurgery Versus Fractionated Stereotactic Radiotherapy for the Treatment of Uveal Melanoma. Am. J. Clin. Oncol. 2021, 44, 32–42. [Google Scholar] [CrossRef] [PubMed]
- Brada, M.; Pijls-Johannesma, M.; De Ruysscher, D. Proton Therapy in Clinical Practice: Current Clinical Evidence. JCO 2007, 25, 965–970. [Google Scholar] [CrossRef] [PubMed]
- Daftari, I.K.; Mishra, K.K.; Singh, R.P.; Shadoan, D.J.; Phillips, T.L. An Overview of the Control System for Dose Delivery at the UCSF Dedicated Ocular Proton Beam. Int. J. Med. Phys. Clin. Eng. Radiat. Oncol. 2016, 5, 242–262. [Google Scholar] [CrossRef]
- Furdová, A.; Sramka, M.; Thurzo, A.; Furdová, A. Early experiences of planning stereotactic radiosurgery using 3D printed models of eyes with uveal melanomas. Clin. Ophthalmol. 2017, 11, 267–271. [Google Scholar] [CrossRef] [PubMed]
- Damato, B.; Kacperek, A.; Errington, D.; Heimann, H. Proton beam radiotherapy of uveal melanoma. Saudi J. Ophthalmol. 2013, 27, 151–157. [Google Scholar] [CrossRef]
- Gragoudas, E.S.; Goitein, M.; Koehler, A.M.; Verhey, L.; Tepper, J.; Suit, H.D.; Brockhurst, R.; Constable, I.J. Proton irradiation of small choroidal malignant melanomas. Am. J. Ophthalmol. 1977, 83, 665–673. [Google Scholar] [CrossRef] [PubMed]
- Zehetmayer, M.; Schima, W.; Menapace, R.; Kitz, K.; Radner, W.; Dieckmann, K. Radio-opaque markers for stereotactic imaging of uveal melanoma. Br. J. Radiol. 1998, 71, 630–633. [Google Scholar] [CrossRef]
- Saini, J.; Bowen, S.R.; James, S.S.; Wong, T.; Bloch, C. Evaluation of ceramic marker for the treatment of ocular melanoma with proton therapy. Biomed. Phys. Eng. Express 2017, 3, 027003. [Google Scholar] [CrossRef]
- Daftari, I.K.; Quivey, J.M.; Chang, J.S.; Mishra, K.K. Technical Note: Feasibility study of titanium markers in choroidal melanoma localization for proton beam radiation therapy. Med. Phys. 2018, 45, 1036–1039. [Google Scholar] [CrossRef] [PubMed]
- Xu, T.T.; Pulido, J.S.; Parney, I.F.; Ida, C.M.; Dalvin, L.A.; Olsen, T.W. Carbon Fiducial Markers for Tumor Localization in Stereotactic Irradiation of Uveal Melanoma. Ocul. Oncol. Pathol. 2021, 7, 368–375. [Google Scholar] [CrossRef]
- Muacevic, A.; Nentwich, M.; Wowra, B.; Staerk, S.; Kampik, A.; Schaller, U. Development of a streamlined, non-invasive robotic radiosurgery method for treatment of uveal melanoma. Technol. Cancer Res. Treat. 2008, 7, 369–374. [Google Scholar] [CrossRef] [PubMed]
- Zimpfer, A.; Schneider, B.; Blanck, O.; Riedel, K.; Zhivov, A.; Jonigk, D.; Erbersdobler, A.; Jünemann, A.; Andratschke, N.; Hildebrandt, G.; et al. Pathologic Features of Tumor Activity and Stability in Uveal Melanoma Specimens after Fractionated CyberKnife Radiosurgery. Pathol. Oncol. Res. 2019, 25, 731–740. [Google Scholar] [CrossRef] [PubMed]
- Ehret, F.; Fürweger, C.; Liegl, R.; Schmelter, V.; Priglinger, S.; Subedi, G.; Grimm, D.; Foerster, P.; Muacevic, A.; Grimm, J. Tumor Control Probability and Time-Dose-Response Modeling for Stereotactic Radiosurgery of Uveal Melanoma. Int. J. Radiat. Oncol. Biol. Phys. 2024, 120, 1052–1057. [Google Scholar] [CrossRef] [PubMed]
- Newhauser, W.D.; Koch, N.C.; Fontenot, J.D.; Rosenthal, S.J.; Gombos, D.S.; Fitzek, M.M.; Mohan, R. Dosimetric impact of tantalum markers used in the treatment of uveal melanoma with proton beam therapy. Phys. Med. Biol. 2007, 52, 3979–3990. [Google Scholar] [CrossRef] [PubMed]
- Carnicer, A.; Angellier, G.; Thariat, J.; Sauerwein, W.; Caujolle, J.P.; Hérault, J. Quantification of dose perturbations induced by external and internal accessories in ocular proton therapy and evaluation of their dosimetric impact. Med. Phys. 2013, 40, 061708. [Google Scholar] [CrossRef] [PubMed]
- Ptaszkiewicz, M.; Weber, A.; Swakon, J.; Klosowski, M.; Olko, P.; Bilski, P.; Michalec, B.; Czopyk, L. Dose perturbation behind tantalum clips in ocular proton therapy. Radiat. Meas. 2010, 45, 694–697. [Google Scholar] [CrossRef]
- Kusske, J.A.; Kelly, W.A. Embolization and reduction of the “steal” syndrome in cerebral arteriovenous malformations. J. Neurosurg. 1974, 40, 313–321. [Google Scholar] [CrossRef] [PubMed]
- Matula, C.; Czech, T.; Kitz, K.; Roessler, K.; Koos, W.T. Intra-Operative Marking of Neuroanatomical Details—Helpful for Radiosurgery? In Stereotactic Neuro-Radio-Surgery; Koos, W., Richling, B., Eds.; Springer: Vienna, Austria, 1995; pp. 5–8. Available online: http://link.springer.com/10.1007/978-3-7091-9399-0_2 (accessed on 29 September 2024).
- La Dow, C.S.; Tatoian, J.A.; Lin, S.R. Treatment of central hemangioma of the maxilla by embolization: Report of case. J. Oral. Surg. 1976, 34, 622–626. [Google Scholar] [PubMed]
- Nichols, A.B.; Cochavi, S.; Moore, R.H.; Beller, G.A. Detection of experimental pulmonary emboli in dogs by sequential positron imaging after inhalation of 15O-carbon dioxide. Circ. Res. 1978, 42, 53–63. [Google Scholar] [CrossRef]
- Alesch, F.; Hawliczek, R.; Richling, B. Marking of the stereotactic target point by a radiopaque silicone sphere. Acta Neurochir. 1992, 115, 149–151. [Google Scholar] [CrossRef]



Disclaimer/Publisher’s Note: The statements, opinions and data contained in all publications are solely those of the individual author(s) and contributor(s) and not of MDPI and/or the editor(s). MDPI and/or the editor(s) disclaim responsibility for any injury to people or property resulting from any ideas, methods, instructions or products referred to in the content. |
© 2025 by the authors. Licensee MDPI, Basel, Switzerland. This article is an open access article distributed under the terms and conditions of the Creative Commons Attribution (CC BY) license (https://creativecommons.org/licenses/by/4.0/).
Share and Cite
Sonntag, S.R.; Wittenstein, O.; Blanck, O.; Dunst, J.; Huttenlocher, S.; Grehn, M.; Busch, M.; Rades, D.; Tura, A.; Grisanti, S. Silicone Fiducial Markers Improve Precision in Uveal Melanoma Radiation Therapy. Cancers 2025, 17, 189. https://doi.org/10.3390/cancers17020189
Sonntag SR, Wittenstein O, Blanck O, Dunst J, Huttenlocher S, Grehn M, Busch M, Rades D, Tura A, Grisanti S. Silicone Fiducial Markers Improve Precision in Uveal Melanoma Radiation Therapy. Cancers. 2025; 17(2):189. https://doi.org/10.3390/cancers17020189
Chicago/Turabian StyleSonntag, Svenja Rebecca, Olaf Wittenstein, Oliver Blanck, Jürgen Dunst, Stefan Huttenlocher, Melanie Grehn, Maximilian Busch, Dirk Rades, Ayseguel Tura, and Salvatore Grisanti. 2025. "Silicone Fiducial Markers Improve Precision in Uveal Melanoma Radiation Therapy" Cancers 17, no. 2: 189. https://doi.org/10.3390/cancers17020189
APA StyleSonntag, S. R., Wittenstein, O., Blanck, O., Dunst, J., Huttenlocher, S., Grehn, M., Busch, M., Rades, D., Tura, A., & Grisanti, S. (2025). Silicone Fiducial Markers Improve Precision in Uveal Melanoma Radiation Therapy. Cancers, 17(2), 189. https://doi.org/10.3390/cancers17020189

