Dermal Mitoses Correlate with Surgical Burden in Lentigo Maligna Melanoma: PRAME for Margin Assessment
Simple Summary
Abstract
1. Introduction
2. Materials and Methods
2.1. Case Cohorts
2.1.1. First Cohort
2.1.2. Second Cohort
2.2. Experimental Cohort
2.3. Protocol for Treatment of LMIS and LMM
2.4. Immunohistochemistry
2.5. Imaging and Image Analyses
2.6. Statistics
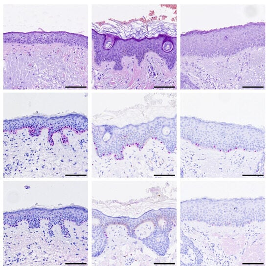
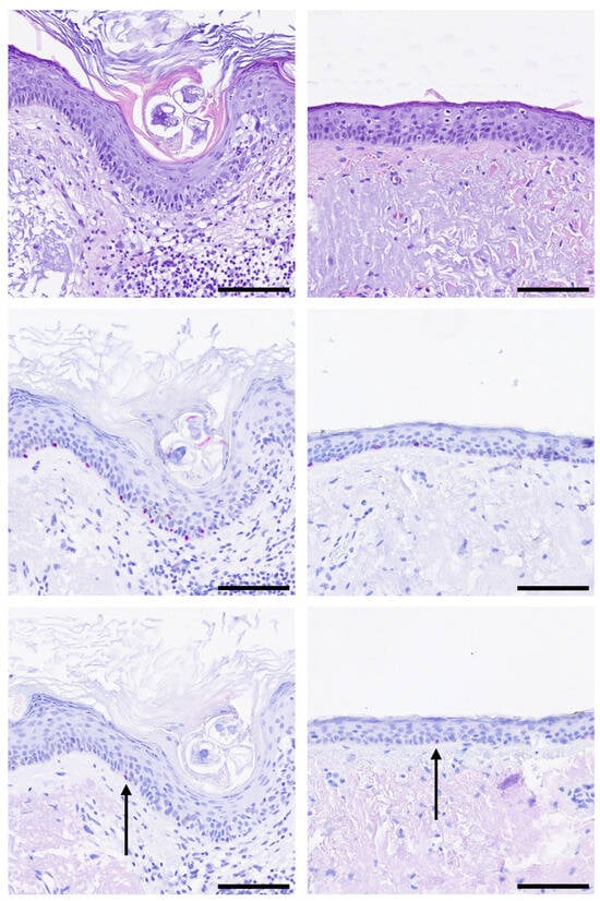
3. Results
4. Discussion
5. Conclusions
Supplementary Materials
Author Contributions
Funding
Institutional Review Board Statement
Informed Consent Statement
Data Availability Statement
Acknowledgments
Conflicts of Interest
Abbreviations
| CSD | Chronic sun damage |
| H&E | Hematoxylin and Eosin |
| LM | Lentigo maligna |
| LMM | Lentigo maligna melanoma |
| MR | Mitotic rate |
| pT | Pathological tumor stage |
| PRAME | Preferentially expressed antigen in melanoma |
| R0 | Margin-free resections |
| SD | Standard deviation |
| SOX10 | SRY-Box Transcription Factor 10 |
| Y/N | Yes/No |
References
- Arnold, M.; Singh, D.; Laversanne, M.; Vignat, J.; Vaccarella, S.; Meheus, F.; Cust, A.E.; de Vries, E.; Whiteman, D.C.; Bray, F. Global Burden of Cutaneous Melanoma in 2020 and Projections to 2040. JAMA Dermatol. 2022, 158, 495–503. [Google Scholar] [CrossRef] [PubMed]
- Bastian, B.; De la Fouchardière, A.; Elder, D.; Gerami, P.; Lazar, A.; Massi, D.; Nagore, E.; Scolyer, R.; Yun, S. Genomic landscape of melanoma. In WHO Classification of Tumours, 4th ed.; IARC: Lyon, France, 2018; pp. 72–75. [Google Scholar]
- DeWane, M.E.; Kelsey, A.; Oliviero, M.; Rabinovitz, H.; Grant-Kels, J.M. Melanoma on Chronically Sun-Damaged Skin: Lentigo Maligna and Desmoplastic Melanoma. J. Am. Acad. Dermatol. 2019, 81, 823–833. [Google Scholar] [CrossRef] [PubMed]
- Elder, D.E.; Bastian, B.C.; Cree, I.A.; Massi, D.; Scolyer, R.A. The 2018 World Health Organization Classification of Cutaneous, Mucosal, and Uveal Melanoma: Detailed Analysis of 9 Distinct Subtypes Defined by Their Evolutionary Pathway. Arch. Pathol. Lab. Med. 2020, 144, 500–522. [Google Scholar] [CrossRef]
- Yang, T.-T.; Yu, S.; Ke, C.-L.K.; Cheng, S.-T. The Genomic Landscape of Melanoma and Its Therapeutic Implications. Genes 2023, 14, 1021. [Google Scholar] [CrossRef]
- Druskovich, C.; Kelley, J.; Aubrey, J.; Palladino, L.; Wright, G.P. A Review of Melanoma Subtypes: Genetic and Treatment Considerations. J. Surg. Oncol. 2024, 131, 356–364. [Google Scholar] [CrossRef]
- Nepote, A.; Avallone, G.; Ribero, S.; Cavallo, F.; Roccuzzo, G.; Mastorino, L.; Conforti, C.; Paruzzo, L.; Poletto, S.; Carnevale Schianca, F.; et al. Current Controversies and Challenges on BRAF V600K-Mutant Cutaneous Melanoma. J. Clin. Med. 2022, 11, 828. [Google Scholar] [CrossRef]
- FDA. Approves Pembrolizumab for Adults and Children with TMB-H Solid Tumors; FDA: Silver Spring, MD, USA, 2020. [Google Scholar]
- Bub, J.L.; Berg, D.; Slee, A.; Odland, P.B. Management of Lentigo Maligna and Lentigo Maligna Melanoma With Staged Excision: A 5-Year Follow-up. Arch. Dermatol. 2004, 140, 552–558. [Google Scholar] [CrossRef]
- Clark, G.S.; Pappas-Politis, E.C.; Cherpelis, B.S.; Messina, J.L.; Möller, M.G.; Cruse, C.W.; Glass, L.F. Surgical Management of Melanoma in Situ on Chronically Sun-Damaged Skin. Cancer Control 2008, 15, 216–224. [Google Scholar] [CrossRef]
- Swetter, S.M.; Thompson, J.A.; Albertini, M.R.; Barker, C.A.; Baumgartner, J.; Boland, G.; Chmielowski, B.; DiMaio, D.; Durham, A.; Fields, R.C.; et al. NCCN Guidelines® Insights: Melanoma: Cutaneous, Version 2.2021: Featured Updates to the NCCN Guidelines. J. Natl. Compr. Canc. Netw. 2021, 19, 364–376. [Google Scholar] [CrossRef]
- Garbe, C.; Amaral, T.; Peris, K.; Hauschild, A.; Arenberger, P.; Basset-Seguin, N.; Bastholt, L.; Bataille, V.; Del Marmol, V.; Dréno, B.; et al. European Consensus-Based Interdisciplinary Guideline for Melanoma. Part 2: Treatment—Update 2022. Eur. J. Cancer 2022, 170, 256–284. [Google Scholar] [CrossRef]
- Swetter, S.M.; Tsao, H.; Bichakjian, C.K.; Curiel-Lewandrowski, C.; Elder, D.E.; Gershenwald, J.E.; Guild, V.; Grant-Kels, J.M.; Halpern, A.C.; Johnson, T.M.; et al. Guidelines of Care for the Management of Primary Cutaneous Melanoma. J. Am. Acad. Dermatol. 2019, 80, 208–250. [Google Scholar] [CrossRef] [PubMed]
- Négrier, S.; Saiag, P.; Guillot, B.; Verola, O.; Avril, M.F.; Bailly, C.; Cupissol, D.; Dalac, S.; Danino, A.; Dreno, B.; et al. Guidelines for clinical practice: Standards, Options and Recommendations 2005 for the management of adult patients exhibiting an M0 cutaneous melanoma, full report. National Federation of Cancer Campaign Centers. French Dermatology Society. Update of the 1995 Consensus Conference and the 1998 Standards, Options, and Recommendations. Ann. Dermatol. Venereol. 2005, 132, 10S3–10S85. [Google Scholar] [PubMed]
- Garbe, C.; Hauschild, A.; Volkenandt, M.; Schadendorf, D.; Stolz, W.; Reinhold, U.; Kortmann, R.-D.; Kettelhack, C.; Frerich, B.; Keilholz, U.; et al. Evidence-Based and Interdisciplinary Consensus-Based German Guidelines: Systemic Medical Treatment of Melanoma in the Adjuvant and Palliative Setting. Melanoma Res. 2008, 18, 152–160. [Google Scholar] [CrossRef] [PubMed]
- Hanna, S.; Lo, S.N.; Saw, R.P. Surgical Excision Margins in Primary Cutaneous Melanoma: A Systematic Review and Meta-Analysis. Eur. J. Surg. Oncol. 2021, 47, 1558–1574. [Google Scholar] [CrossRef]
- Hayes, A.J.; Maynard, L.; Coombes, G.; Newton-Bishop, J.; Timmons, M.; Cook, M.; Theaker, J.; Bliss, J.M.; Thomas, J.M.; UK Melanoma Study Group; et al. Wide Versus Narrow Excision Margins for High-Risk, Primary Cutaneous Melanomas: Long-term Follow-Up of Survival in a Randomised Trial. Lancet Oncol. 2016, 17, 184–192. [Google Scholar] [CrossRef]
- Wheatley, K.; Wilson, J.S.; Gaunt, P.; Marsden, J.R. Surgical Excision Margins in Primary Cutaneous Melanoma: A Meta-Analysis and Bayesian Probability Evaluation. Cancer Treat. Rev. 2016, 42, 73–81. [Google Scholar] [CrossRef]
- Tzellos, T.; Kyrgidis, A.; Mocellin, S.; Chan, A.-W.; Pilati, P.; Apalla, Z. Interventions for Melanoma In Situ, Including Lentigo Maligna. Cochrane Database Syst. Rev. 2014, 2014, CD010308. [Google Scholar] [CrossRef]
- De Vries, K.; Greveling, K.; Prens, L.M.; Munte, K.; Koljenović, S.; Van Doorn, M.B.A.; Prens, E.P. Recurrence Rate of Lentigo Maligna After Micrographically Controlled Staged Surgical Excision. Br. J. Dermatol. 2016, 174, 588–593. [Google Scholar] [CrossRef]
- Sina, N.; Saeed-Kamil, Z.; Ghazarian, D. Pitfalls in the Diagnosis of Lentigo Maligna and Lentigo Maligna Melanoma, Facts and an Opinion. J. Clin. Pathol. 2021, 74, 7–9. [Google Scholar] [CrossRef]
- Lezcano, C.; Jungbluth, A.A.; Nehal, K.S.; Hollmann, T.J.; Busam, K.J. PRAME Expression in Melanocytic Tumors. Am. J. Surg. Pathol. 2018, 42, 1456–1465. [Google Scholar] [CrossRef]
- Lezcano, C.; Jungbluth, A.A.; Busam, K.J. Immunohistochemistry for PRAME in Dermatopathology. Am. J. Dermatopathol. 2023, 45, 733–747. [Google Scholar] [CrossRef]
- Salih, R.; Ismail, F.; Orchard, G.E. Double Immunohistochemical Labelling of PRAME and Melan A in Slow Mohs Biopsy Margin Assessment of Lentigo Maligna and Lentigo Maligna Melanoma. Br. J. Biomed. Sci. 2024, 81, 12319. [Google Scholar] [CrossRef]
- Agrawal, R.; Tso, S.; Eltigani, E.A.; Busam, K.J.; Taibjee, S.M.; Carr, R.A. PRAME Immunohistochemistry as an Adjunct in the Diagnosis of Paucicellular Lentigo Maligna in a Young Man. Br. J. Dermatol. 2021, 184, E122. [Google Scholar] [CrossRef] [PubMed]
- Gradecki, S.E.; Valdes-Rodriguez, R.; Wick, M.R.; Gru, A.A. PRAME Immunohistochemistry as an Adjunct for Diagnosis and Histological Margin Assessment in Lentigo Maligna. Histopathology 2021, 78, 1000–1008. [Google Scholar] [CrossRef] [PubMed]
- Wakefield, C.; O’Keefe, L.; Heffron, C.C.B.B. Refining the Application of PRAME—A Useful Marker in High CSD and Acral Melanoma Subtypes. Virchows Arch. 2023, 483, 847–854. [Google Scholar] [CrossRef]
- De Wet, J.; Plessis, P.J.D.; Schneider, J.W. Staged Excision of Lentigo Maligna of the Head and Neck: Assessing Surgical Excision Margins With Melan A, SOX10, and PRAME Immunohistochemistry. Am. J. Dermatopathol. 2023, 45, 107–112. [Google Scholar] [CrossRef] [PubMed]
- Keung, E.Z.; Gershenwald, J.E. The Eighth Edition American Joint Committee on Cancer (AJCC) Melanoma Staging System: Implications for Melanoma Treatment and Care. Expert Rev. Anticancer Ther. 2018, 18, 775–784. [Google Scholar] [CrossRef]
- Fachgesellschaften, A.D.W.M. S3—Leitlinie zur Diagnostik, Therapie und Nachsorge des Melanoms. JDDG J. Dtsch. Dermatol. Ges. 2020, 18, ddg.14307_g. [Google Scholar] [CrossRef]
- Schindelin, J.; Arganda-Carreras, I.; Frise, E.; Kaynig, V.; Longair, M.; Pietzsch, T.; Preibisch, S.; Rueden, C.; Saalfeld, S.; Schmid, B.; et al. Fiji: An Open-Source Platform for Biological-Image Analysis. Nat. Methods 2012, 9, 676–682. [Google Scholar] [CrossRef]
- Thompson, J.F.; Soong, S.-J.; Balch, C.M.; Gershenwald, J.E.; Ding, S.; Coit, D.G.; Flaherty, K.T.; Gimotty, P.A.; Johnson, T.; Johnson, M.M.; et al. Prognostic Significance of Mitotic Rate in Localized Primary Cutaneous Melanoma: An Analysis of Patients in the Multi-Institutional American Joint Committee on Cancer Melanoma Staging Database. J. Clin. Oncol. Off. J. Am. Soc. Clin. Oncol. 2011, 29, 2199–2205. [Google Scholar] [CrossRef]
- Hoang, M.P.; Karpinski, P.; Zúñiga-Castillo, M.; Foreman, R.K.; Emerick, K.S.; Sober, A.J. Histologic Margin Status Is a Predictor of Relapse in Lentigo Maligna Melanoma. J. Am. Acad. Dermatol. 2023, 89, 959–966. [Google Scholar] [CrossRef] [PubMed]
- Schmoeckel, C.; Braun-Falco, O. Prognostic Index in Malignant Melanoma. Arch. Dermatol. 1978, 114, 871–873. [Google Scholar] [CrossRef] [PubMed]
- McGovern, V.J.; Cochran, A.J.; Van Der Esch, E.P.; Little, J.H.; MacLennan, R. The Classification of Malignant Melanoma, Its Histological Reporting and Registration: A Revision of the 1972 Sydney Classification. Pathology 1986, 18, 12–21. [Google Scholar] [CrossRef] [PubMed]
- Balch, C.M.; Gershenwald, J.E.; Soong, S.; Thompson, J.F.; Atkins, M.B.; Byrd, D.R.; Buzaid, A.C.; Cochran, A.J.; Coit, D.G.; Ding, S.; et al. Final Version of 2009 AJCC Melanoma Staging and Classification. J. Clin. Oncol. 2009, 27, 6199–6206. [Google Scholar] [CrossRef]
- Scolyer, R.A.; Shaw, H.M.; Thompson, J.F.; Li, L.-X.L.; Colman, M.H.; Lo, S.K.; McCarthy, S.W.; Palmer, A.A.; Nicoll, K.D.; Dutta, B.; et al. Interobserver Reproducibility of Histopathologic Prognostic Variables in Primary Cutaneous Melanomas. Am. J. Surg. Pathol. 2003, 27, 1571–1576. [Google Scholar] [CrossRef]
- Ottmann, K.; Tronnier, M.; Mitteldorf, C. Detection of Mitotic Figures in Thin Melanomas--Immunohistochemistry Does Not Replace the Careful Search for Mitotic Figures in Hematoxylin-Eosin Stain. J. Am. Acad. Dermatol. 2015, 73, 637–644. [Google Scholar] [CrossRef]
- Garbe, C.; Eigentler, T.K.; Bauer, J.; Blödorn-Schlicht, N.; Cerroni, L.; Fend, F.; Hantschke, M.; Kurschat, P.; Kutzner, H.; Metze, D.; et al. Mitotic Rate in Primary Melanoma: Interobserver and Intraobserver Reliability, Analyzed Using H&E Sections and Immunohistochemistry. J. Dtsch. Dermatol. Ges. J. Ger. Soc. Dermatol. JDDG 2016, 14, 910–915. [Google Scholar] [CrossRef]
- Francken, A.B.; Shaw, H.M.; Thompson, J.F.; Soong, S.; Accortt, N.A.; Azzola, M.F.; Scolyer, R.A.; Milton, G.W.; McCarthy, W.H.; Colman, M.H.; et al. The Prognostic Importance of Tumor Mitotic Rate Confirmed in 1317 Patients with Primary Cutaneous Melanoma and Long Follow-Up. Ann. Surg. Oncol. 2004, 11, 426–433. [Google Scholar] [CrossRef]
- Barnhill, R.L.; Katzen, J.; Spatz, A.; Fine, J.; Berwick, M. The Importance of Mitotic Rate as a Prognostic Factor for Localized Cutaneous Melanoma. J. Cutan. Pathol. 2005, 32, 268–273. [Google Scholar] [CrossRef]
- Gershenwald, J.E.; Scolyer, R.A.; Hess, K.R.; Sondak, V.K.; Long, G.V.; Ross, M.I.; Lazar, A.J.; Faries, M.B.; Kirkwood, J.M.; McArthur, G.A.; et al. Melanoma Staging: Evidence-Based Changes in the American Joint Committee on Cancer Eighth Edition Cancer Staging Manual. CA Cancer J. Clin. 2017, 67, 472–492. [Google Scholar] [CrossRef]
- Baum, C.; Weiss, C.; Gebhardt, C.; Utikal, J.; Marx, A.; Koenen, W.; Géraud, C. Sentinel Node Metastasis Mitotic Rate (SN-MMR) as a Prognostic Indicator of Rapidly Progressing Disease in Patients with Sentinel Node-Positive Melanomas. Int. J. Cancer 2017, 140, 1907–1917. [Google Scholar] [CrossRef]
- Crouch, G.; Sinha, S.; Lo, S.; Saw, R.P.M.; Lee, K.K.; Stretch, J.; Shannon, K.; Guitera, P.; Scolyer, R.A.; Thompson, J.F.; et al. Clinical Outcomes Following Surgical Treatment of Lentigo Maligna of the Head and Neck. Eur. J. Surg. Oncol. J. Eur. Soc. Surg. Oncol. Br. Assoc. Surg. Oncol. 2021, 47, 1145–1151. [Google Scholar] [CrossRef] [PubMed]
- Wang, M.; Fukushima, S.; Sheen, Y.-S.; Ramelyte, E.; Cruz-Pacheco, N.; Shi, C.; Liu, S.; Banik, I.; Aquino, J.D.; Sangueza Acosta, M.; et al. The Genetic Evolution of Acral Melanoma. Nat. Commun. 2024, 15, 6146. [Google Scholar] [CrossRef]
- Olds, H.; Utz, S.; Abrams, J.; Terrano, D.; Mehregan, D. Use of PRAME Immunostaining to Distinguish Early Melanoma In Situ from Benign Pigmented Conditions. J. Cutan. Pathol. 2022, 49, 510–514. [Google Scholar] [CrossRef]




| Characteristic | Overall (N = 80) | Hard to Resect (N = 13) | Easy to Resect (N = 67) | Significance |
|---|---|---|---|---|
| Age at diagnosis—Mean (SD) | 75.7 (11.1) | 74.1 (11.4) | 76.0 (11.1) | n.s. |
| Excisions for R0—Mean (SD) | 0.6 (0.8) | 2.2 (0.4) | 0.3 (0.5) | (p < 0.001) |
| Sex | n.s. | |||
| Female | 38 (47.5%) | 8 (61.5%) | 30 (44.8%) | - |
| Male | 42 (52.5%) | 5 (38.5%) | 37 (55.2%) | - |
| Subtype | n.s. | |||
| LM | 45 (56.2%) | 6 (46.2%) | 39 (58.2%) | - |
| LMM | 35 (43.8%) | 7 (53.8%) | 28 (41.8%) | - |
| Ulceration | n.s. | |||
| No | 79 (98.8%) | 13 (100.0%) | 66 (98.5%) | - |
| Yes | 1 (1.2%) | 0 (0.0%) | 1 (1.5%) | - |
| Localization | n.s. | |||
| Arm | 16 (20.0%) | 5 (38.5%) | 11 (16.4%) | - |
| Head | 60 (75.0%) | 8 (61.5%) | 52 (77.6%) | - |
| Leg | 2 (2.5%) | 0 (0.0%) | 2 (3.0%) | - |
| Torso | 2 (2.5%) | 0 (0.0%) | 2 (3.0%) | - |
| Stage at diagnosis | n.s. | |||
| 0 (LM) | 45 (56.2%) | 6 (46.2%) | 39 (58.2%) | - |
| IA | 23 (28.7%) | 5 (38.5%) | 18 (26.9%) | - |
| IB | 7 (8.8%) | 1 (7.7%) | 6 (9.0%) | - |
| IIA | 2 (2.5%) | 0 (0.0%) | 2 (3.0%) | - |
| IIB | 1 (1.2%) | 1 (7.7%) | 0 (0.0%) | - |
| IIC | 1 (1.2%) | 0 (0.0%) | 1 (1.5%) | - |
| IIIB | 1 (1.2%) | 0 (0.0%) | 1 (1.5%) | - |
| Previous history of melanoma | n.s. | |||
| Yes | 15 (18.8%) | 1 (7.7%) | 14 (20.9%) | - |
| No | 65 (81.2%) | 12 (92.3%) | 53 (79.1%) | - |
| PRAME-Status | n.s. | |||
| Negative | 4 (5.0%) | 0 (0.0%) | 4 (6.0%) | - |
| Positive | 76 (95.0%) | 13 (100.0%) | 63 (94.0%) | - |
| Characteristic | Overall (N = 171) | Mitoses Reported (N = 31) | No Mitoses (N = 140) | Significance |
|---|---|---|---|---|
| Age at Diagnosis—Mean (SD) | 74.9 (10.1) | 73.9 (11.9) | 75.1 (9.7) | n.s. |
| Sex | n.s. | |||
| female | 67 (39.2%) | 11 (35.5%) | 56 (40.0%) | - |
| male | 104 (60.8%) | 20 (64.5%) | 84 (60.0%) | - |
| Localization | n.s. | |||
| Arm | 20 (11.7%) | 2 (6.5%) | 18 (12.9%) | - |
| Head | 137 (80.1%) | 29 (93.5%) | 108 (77.1%) | - |
| Leg | 2 (1.2%) | 0 (0.0%) | 2 (1.4%) | - |
| Trunk | 12 (7.0%) | 0 (0.0%) | 12 (8.6%) | - |
| Initial Stage | p < 0.001 | |||
| pT1a | 132 (77.2%) | 11 (35.5%) | 121 (86.4%) | - |
| pT1b | 13 (7.6%) | 5 (16.1%) | 8 (5.7%) | - |
| pT2a | 12 (7.0%) | 2 (6.5%) | 10 (7.1%) | - |
| pT2b | 2 (1.2%) | 2 (6.5%) | 0 (0.0%) | - |
| pT3a | 6 (3.5%) | 5 (16.1%) | 1 (0.7%) | - |
| pT3b | 2 (1.2%) | 2 (6.5%) | 0 (0.0%) | - |
| pT4a | 2 (1.2%) | 2 (6.5%) | 0 (0.0%) | - |
| pT4b | 2 (1.2%) | 2 (6.5%) | 0 (0.0%) | - |
| Mitotic rate (MR)—Mean (SD) | 1.0 (3.3) | 5.3 (6.0) | 0.0 (0.0) | p < 0.001 |
| Number of procedures until margin-free resection (R0) | 0.7 (1.1) | 1.3 (1.6) | 0.5 (0.8) | p = 0.0076 |
| Hard to excise | p = 0.0024 | |||
| no | 142 (83.0%) | 20 (64.5%) | 122 (87.1%) | - |
| yes | 29 (17.0%) | 11 (35.5%) | 18 (12.9%) | - |
Disclaimer/Publisher’s Note: The statements, opinions and data contained in all publications are solely those of the individual author(s) and contributor(s) and not of MDPI and/or the editor(s). MDPI and/or the editor(s) disclaim responsibility for any injury to people or property resulting from any ideas, methods, instructions or products referred to in the content. |
© 2025 by the authors. Licensee MDPI, Basel, Switzerland. This article is an open access article distributed under the terms and conditions of the Creative Commons Attribution (CC BY) license (https://creativecommons.org/licenses/by/4.0/).
Share and Cite
Leibing, T.; Ziemann, C.; Géraud, C.; Utikal, J.; Wohlfeil, S.A. Dermal Mitoses Correlate with Surgical Burden in Lentigo Maligna Melanoma: PRAME for Margin Assessment. Cancers 2025, 17, 3112. https://doi.org/10.3390/cancers17193112
Leibing T, Ziemann C, Géraud C, Utikal J, Wohlfeil SA. Dermal Mitoses Correlate with Surgical Burden in Lentigo Maligna Melanoma: PRAME for Margin Assessment. Cancers. 2025; 17(19):3112. https://doi.org/10.3390/cancers17193112
Chicago/Turabian StyleLeibing, Thomas, Clara Ziemann, Cyrill Géraud, Jochen Utikal, and Sebastian A. Wohlfeil. 2025. "Dermal Mitoses Correlate with Surgical Burden in Lentigo Maligna Melanoma: PRAME for Margin Assessment" Cancers 17, no. 19: 3112. https://doi.org/10.3390/cancers17193112
APA StyleLeibing, T., Ziemann, C., Géraud, C., Utikal, J., & Wohlfeil, S. A. (2025). Dermal Mitoses Correlate with Surgical Burden in Lentigo Maligna Melanoma: PRAME for Margin Assessment. Cancers, 17(19), 3112. https://doi.org/10.3390/cancers17193112

