Advances in Photodynamic Treatment of Precancerous and Cancerous Gynecological Diseases
Abstract
Simple Summary
Abstract
1. Introduction
- A light-sensitive compound known as a photosensitizer (PS);
- Light of a wavelength that matches the absorption peak of the PS;
- Molecular oxygen.
2. Materials and Methods
- Study design: Original research articles, including prospective or retrospective clinical studies, case series with any number of patients, and conference abstracts containing the necessary methodological and clinical data.
- Population: Studies involving female patients diagnosed with cervical intraepithelial neoplasia (CIN), carcinoma in situ (CIS), or VLS.
- Intervention: Application of photodynamic therapy (PDT) using the PSs 5-ALA, hexaminolevulinate (HAL), methylaminolaevulinate (MAL), Ce6, Photofrin II, or Photogem.
- Outcome measures: Reported data on at least one of the following: HPV clearance, lesion regression, complete response (CR) or partial response (PR), or immune response indicators.
- Language and availability: Published in English or Russian and available in full-text format.
- Non-original research: Reviews, insufficiently informative conference abstracts, editorials, letters to the editor, dissertations, and book chapters.
- Non-human studies: Preclinical or in vitro studies not involving human subjects.
- Insufficient data: Studies lacking essential outcome data or a detailed methodology for replication or quality assessment.
- Language: Studies not published in English or Russian.
3. Results and Discussion
3.1. Cervical Tumors
3.1.1. 5-ALA
3.1.2. HAL and MAL
3.1.3. Ce6
- Ce6 exhibits high lipophilicity, which ensures better penetration into tumor tissues and increases the selectivity of accumulation in the tumor [110], while 5-ALA, HAL, and MAL are hydrophilic molecules that require metabolic activation to form PpIX. HAL and MAL penetrate the epithelium better due to their lipophilic structure compared to 5-ALA.
- Ce6 is activated by light over a wavelength range of 660–670 nm, which allows for deeper tissue penetration and the treatment of larger tumors, while 5-ALA, HAL, and MAL are activated by light over approximately 630–635 nm, which limits their penetration depth [111].
- Ce6 induces a more pronounced destruction of the tumor vascular network, leading to local hypoxia and enhanced inflammation. This promotes additional activation of immune cells. In contrast, 5-ALA, HAL, and MAL are less aggressive in affecting the vascular network, making them more suitable for organ-preserving treatment.
- Due to its deep penetration and high phototoxicity, Ce6 is more effective in inducing a systemic antitumor immune response, including the activation of memory T cells, resulting in the induction of a systemic effect.
3.1.4. Other PS
- Differences in PDT protocols:
- a
- PS concentration (5–20% for 5-ALA; 10 mM, 40 mM, 100 mg, 0.2–5% for HAL; 1.2 M, 160 mg/g, 20% for MAL; 0.8–2.5 mg/kg for Ce6; 2 mg/kg for Photofrin II/Photogem);
- b
- Exposure time (2–5 h for 5-ALA; 3–12 h for HAL/MAL; 2–4 h for Ce6, 48 h for Photofrin II/Photogem);
- c
- Light irradiation parameters (power density range of 25 to 300 mW/cm2, energy density range of 25 to 400 J/cm2);
- d
- Number of treatment sessions (from 1 to 10).
- Patient characteristics:
- a
- Disease stage (CIN I, II, III, CIS, MIC);
- b
- HPV type (LR- and HR-strains);
- c
- Immune response;
- d
- Comorbidities (autoimmune diseases or oncological processes).
- Methodological factors:
- a
- Diagnostic methods and criteria for evaluating efficacy (biopsy, histology, cytology, colposcopy, HPV PCR, etc.);
- b
- Duration of patient follow-up (from 3 months to several years);
- c
- Dosimetry methods (presence or absence of fluorescence diagnostics).
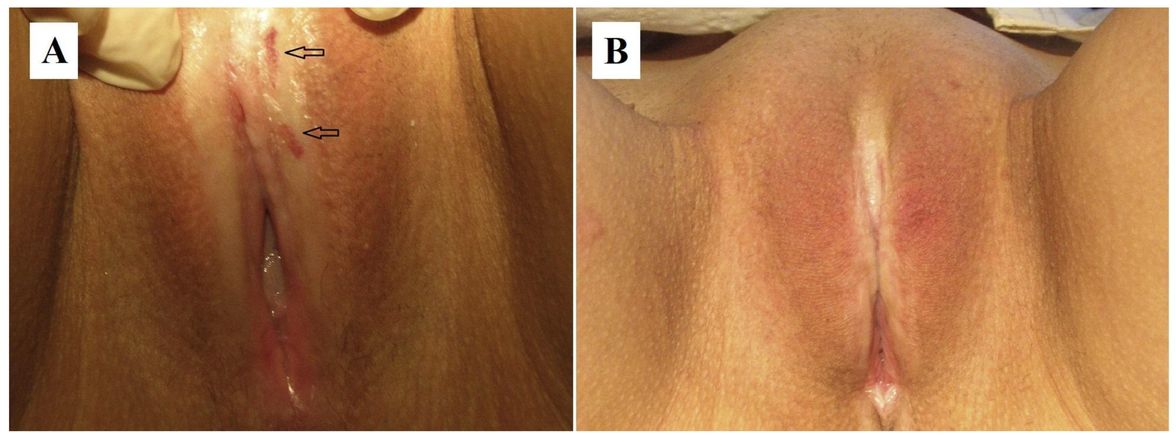
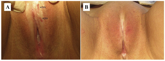
3.2. Vulvar Lichen Sclerosus
3.2.1. 5-ALA
3.2.2. MAL
- Differences in PDT protocols:
- a
- PS concentration (5–20% for 5-ALA; 160 mg/g for MAL);
- b
- Exposure time (2–5 h);
- c
- Parameters of light exposure (power density from 40 to 204 mW/cm2, energy density from 37 to 150 J/cm2);
- d
- Number of treatment sessions (from 1 to 10).
- Patient characteristics:
- a
- Disease stage (early or late);
- b
- Immune response;
- c
- Associated diseases (autoimmune diseases or oncologic processes).
- Methodological factors:
- a
- Diagnostic methods and performance criteria (biopsy, histology, cytology, colposcopy, vulvoscopy, HPV PCR, etc.);
- b
- Duration of patient follow-up (3 months to several years);
- c
- Methods of therapy dosimetry (presence or absence of fluorescence diagnostics).
4. Future Perspectives
- Personalized treatment protocols adapted to tumor biology and patient-specific factors, including hypoxia and immune status;
- Next-generation NIR-activated PSs with improved ROS generation and selectivity;
- Innovative nanotechnology-based PS delivery systems to improve tumor targeting and tissue penetration;
- Strategies to overcome tumor hypoxia, including mitochondrial targeting and oxygen supplementation;
- The exploitation of PDT-induced antitumor immunity through its combination with immunotherapies and the targeted activation of innate immune cells;
- The development of noninvasive real-time imaging and dosimetry tools to monitor the PS localization and treatment progress.
5. Conclusions
Supplementary Materials
Author Contributions
Funding
Conflicts of Interest
Abbreviations
| PDT | Photodynamic Therapy |
| PS | Photosensitizer |
| PSs | Photosensitizers |
| WHO | World Health Organization |
| HPV | Human Papillomavirus |
| LCs | Langerhans Cells |
| IL-10 | Interleukin-10 |
| VLS | Vulvar Lichen Sclerosus |
| DNA | Deoxyribonucleic Acid |
| mRNA | Messenger Ribonucleic Acid |
| LEEP | Loop Electrosurgical Excision Procedure |
| 5-ALA | 5-Aminolevulinic Acid |
| EPR | Enhanced Permeability and Retention |
| Ce6 | Chlorin e6 |
| PpIX | Protoporphyrin IX |
| ROS | Reactive Oxygen Species |
| TAMs | Tumor-Associated Macrophages |
| CIN | Cervical Intraepithelial Neoplasia |
| CIS | Carcinoma In Situ |
| CCA | Cervical Condylomata Acuminata |
| LR- | Low-Risk |
| HR- | High-Risk |
| VIN | Vulvar Intraepithelial Neoplasia |
| EIN | Endometrial Intraepithelial Neoplasia |
| TCT | ThinPrep Cytology Test |
| PCR | Polymerase Chain Reaction |
| CR | Complete Response |
| PR | Partial Response |
| HAL | Hexaminolevulinate |
| MAL | Methylaminolaevulinate |
| CI | Confidence Interval |
| MIC | Microinvasive Cancer |
| SCC | Squamous Cervical Cancer |
| DAMPs | Damage-Associated Molecular Patterns |
| AIS | Adenocarcinoma In Situ |
| DCs | Dendritic Cells |
| VIS | Visible Light |
| IRA | Infrared-A Light |
| PDD | Photodynamic Diagnostics |
| HFUS | High-Frequency Ultrasound |
| DLQI | Dermatology Life Quality Index |
| FSFI | Female Sexual Function Index |
| VRS | Verbal Rating Scale |
| VAS | Visual Analogue Scale |
| MVD | Microvessel Density |
| ANA | Antinuclear Antibodies |
| HDB | Hypoechoic Dermal Band |
| MBP | Myelin Basic Protein |
| NIR | Near-Infrared |
| ICG | Indocyanine Green |
| HeLa | Henrietta Lacks |
| HYP | Hypericin |
| MB | Methylene Blue |
| HA | Hyaluronic Acid |
| 18F-FDG | 2-Fluoro-2-Deoxy-D-Glucose |
| VP | Verteporfin |
References
- Singh, D.; Vignat, J.; Lorenzoni, V.; Eslahi, M.; Ginsburg, O.; Lauby-Secretan, B.; Arbyn, M.; Basu, P.; Bray, F.; Vaccarella, S. Global estimates of incidence and mortality of cervical cancer in 2020: A baseline analysis of the WHO Global Cervical Cancer Elimination Initiative. Lancet Glob. Health 2023, 11, e197–e206. [Google Scholar] [CrossRef]
- International Agency for Research on Cancer. Cancer Today; World Health Organization: Geneva, Switzerland, 2023; Available online: http://gco.iarc.fr/ (accessed on 20 January 2025).
- Bosch, F.X.; Manos, M.M.; Muñoz, N.; Sherman, M.; Jansen, A.M.; Peto, J.; Schiffman, M.H.; Moreno, V.; Kurman, R.; Shah, K.V. Prevalence of human papillomavirus in cervical cancer: A worldwide perspective. J. Natl. Cancer Inst. 1995, 87, 796–802. [Google Scholar] [CrossRef]
- Stanley, M.A.; Pett, M.R.; Coleman, N. HPV: From infection to cancer. Biochem. Soc. Trans. 2007, 35, 1456–1460. [Google Scholar] [CrossRef]
- Fausch, S.C.; Da Silva, D.M.; Kast, W.M. Differential uptake and cross-presentation of human papillomavirus virus-like particles by dendritic cells and Langerhans cells. Cancer Res. 2003, 63, 3478–3482. [Google Scholar] [PubMed]
- Walboomers, J.M.M.; Jacobs, M.V.; Manos, M.M.; Bosch, F.X.; Kummer, J.A.; Shah, K.V.; Snijders, P.J.F.; Peto, J.; Meijer, C.J.L.M.; Muñoz, N. Human papillomavirus is a necessary cause of invasive cervical cancer worldwide. J. Pathol. 1999, 189, 12–19. [Google Scholar] [CrossRef]
- Fausch, S.C.; Da Silva, D.M.; Rudolf, M.P.; Kast, W.M. Human papillomavirus virus-like particles do not activate Langerhans cells: A possible immune escape mechanism used by human papillomaviruses. J. Immunol. 2002, 169, 3242–3249. [Google Scholar] [CrossRef] [PubMed]
- Fahey, L.M.; Raff, A.B.; Da Silva, D.M.; Kast, W.M. A major role for the minor capsid protein of human papillomavirus type 16 in immune escape. J. Immunol. 2009, 183, 6151–6156. [Google Scholar] [CrossRef]
- Gitsch, G.; Kainz, C.; Pohanka, E.; Reinthaller, A.; Kovarik, J.; Tatra, G.; Breitenecker, G. Human papillomavirus infection of the uterine cervix in immune suppressed women after kidney transplantation. Geburtshilfe Frauenheilkd. 1992, 52, 764–766. [Google Scholar] [CrossRef]
- Woodham, A.W.; Raff, A.B.; Raff, L.M.; Da Silva, D.M.; Yan, L.; Skeate, J.G.; Wong, M.K.; Lin, Y.G.; Kast, W.M. Inhibition of Langerhans cell maturation by human papillomavirus type 16: A novel role for the annexin A2 heterotetramer in immune suppression. J. Immunol. 2014, 192, 4748–4757. [Google Scholar] [CrossRef]
- Woodham, A.W.; Yan, L.; Skeate, J.G.; van der Veen, D.; Brand, H.E.; Wong, M.K.; Da Silva, D.M.; Kast, W.M. T cell ignorance is bliss: T cells are not tolerized by Langerhans cells presenting human papillomavirus antigens in the absence of costimulation. Papillomavirus Res. 2016, 2, 21–30. [Google Scholar] [CrossRef]
- Da Silva, D.M.; Movius, C.A.; Raff, A.B.; Brand, H.E.; Skeate, J.G.; Wong, M.K.; Kast, W.M. Suppression of Langerhans cell activation is conserved amongst human papillomavirus α and β genotypes, but not a µ genotype. Virology 2014, 452, 279–286. [Google Scholar] [CrossRef] [PubMed]
- Prata, T.T.M.; Bonin, C.M.; Ferreira, A.M.T.; Padovani, C.T.J.; Fernandes, C.E.S.; Machado, A.P.; Tozetti, I.A. Local immunosuppression induced by high viral load of human papillomavirus: Characterization of cellular phenotypes producing interleukin-10 in cervical neoplastic lesions. Immunology 2015, 146, 113–121. [Google Scholar] [CrossRef]
- Fausch, S.C.; Fahey, L.M.; Da Silva, D.M.; Kast, W.M. Human papillomavirus can escape immune recognition through Langerhans cell phosphoinositide 3-kinase activation. J. Immunol. 2005, 174, 7172–7178. [Google Scholar] [CrossRef]
- Ticar, V. The Role of Large Extracellular Vesicles in Human Papillomavirus-Associated Immune Modulation of Langerhans Cells. Ph.D. Thesis, University of Otago, Dunedin, New Zealand, 2021. [Google Scholar]
- Ben-Hur, H.; Ashkenazi, M.; Huszar, M.; Gurevich, P.; Zusman, I. Lymphoid elements and apoptosis-related proteins (Fas, Fas ligand, p53 and bcl-2) in lichen sclerosus and carcinoma of the vulva. Eur. J. Gynaecol. Oncol. 2001, 22, 104–109. [Google Scholar] [PubMed]
- Carli, P.; Cattaneo, A.; Giannotti, B. Clobetasol propionate 0.05% cream in the treatment of vulvar lichen sclerosus: Effect on the immunohistological profile. Br. J. Dermatol. 1992, 127, 542–543. [Google Scholar] [CrossRef] [PubMed]
- Bao, Y.; Li, Z.; Liu, W.; Fu, Y.; Lv, J.; Sun, K.; Chang, J. Study of Langerhans cells and T lymphocytes in vulvar lichen sclerosus lesions. Australas. J. Dermatol. 2021, 62, e217–e222. [Google Scholar] [CrossRef]
- Lukowsky, A.; Muche, J.M.; Sterry, W.; Audring, H. Detection of expanded T cell clones in skin biopsy samples of patients with lichen sclerosus et atrophicus by T cell receptor-γ polymerase chain reaction assays. J. Investig. Dermatol. 2000, 115, 254–259. [Google Scholar] [CrossRef]
- Rotsztejn, H.; Trznadel-Budźko, E.; Jesionek-Kupnicka, D. Langerhans cells in vulvar lichen sclerosus and vulvar squamous cell carcinoma. Arch. Immunol. Ther. Exp. 2006, 54, 363–366. [Google Scholar] [CrossRef]
- Regauer, S.; Beham-Schmid, C. Detailed analysis of the T-cell lymphocytic infiltrate in penile lichen sclerosus: An immunohistochemical and molecular investigation. Histopathology 2006, 48, 730–735. [Google Scholar] [CrossRef]
- Gross, T.; Wagner, A.; Ugurel, S.; Tilgen, W.; Reinhold, U. Identification of TIA-1+ and granzyme B+ cytotoxic T cells in lichen sclerosus et atrophicus. Dermatology 2001, 202, 198–202. [Google Scholar] [CrossRef]
- Farrell, A.M.; Dean, D.; Millard, P.R.; Charnock, F.M.; Wojnarowska, F. Cytokine alterations in lichen sclerosus: An immunohistochemical study. Br. J. Dermatol. 2006, 155, 931–940. [Google Scholar] [CrossRef] [PubMed]
- Kyriakou, A.; Mantas, A.; Vavilis, D. Detailed studying of Langerhans cells in female genital lichen sclerosus. Hippokratia 2018, 22, 188. [Google Scholar] [PubMed]
- Rotsztejn, H.; Trznadel-Budźko, E.; Jesionek-Kupnicka, D. Do Langerhans cells play a role in vulvar epithelium resistance to squamous cell carcinoma? Arch. Immunol. Ther. Exp. 2007, 55, 127–130. [Google Scholar] [CrossRef] [PubMed]
- Asadullah, K.; Döcke, W.D.; Sabat, R.; Ebeling, M.; Volk, H.D.; Sterry, W. Interleukin-10 in der Dermatologie. Hautarzt 1999, 50, 12–19. [Google Scholar] [CrossRef]
- Halliday, G.M.; Le, S. Transforming growth factor-β produced by progressor tumors inhibits, while IL-10 produced by regressor tumors enhances, Langerhans cell migration from skin. Int. Immunol. 2001, 13, 1147–1154. [Google Scholar] [CrossRef]
- Sander, C.S.; Ali, I.; Dean, D.; Thiele, J.J.; Wojnarowska, F. Oxidative stress is implicated in the pathogenesis of lichen sclerosus. Br. J. Dermatol. 2004, 151, 627–635. [Google Scholar] [CrossRef]
- Carlson, J.A.; Ambros, R.; Malfetano, J.; Ross, J.; Grabowski, R.; Lamb, P.; Figge, H.; Mihm, M.C., Jr. Vulvar lichen sclerosus and squamous cell carcinoma: A cohort, case control, and investigational study with historical perspective; implications for chronic inflammation and sclerosis in the development of neoplasia. Hum. Pathol. 1998, 29, 932–948. [Google Scholar] [CrossRef]
- Chaiyarit, P.; Ma, N.; Hiraku, Y.; Pinlaor, S.; Yongvanit, P.; Jintakanon, D.; Murata, M.; Oikawa, S.; Kawanishi, S. Nitrative and oxidative DNA damage in oral lichen planus in relation to human oral carcinogenesis. Cancer Sci. 2005, 96, 553–559. [Google Scholar] [CrossRef]
- Pecorelli, S. Corrigendum to “Revised FIGO staging for carcinoma of the vulva, cervix, and endometrium”. Int. J. Gynecol. Obstet. 2009, 105, 103–104. [Google Scholar] [CrossRef]
- Burmeister, C.A.; Khan, S.F.; Schäfer, G.; Mbatani, N.; Adams, T.; Moodley, J.; Prince, S. Cervical cancer therapies: Current challenges and future perspectives. Tumour Virus Res. 2022, 13, 200238. [Google Scholar] [CrossRef]
- Koh, W.J.; Abu-Rustum, N.R.; Bean, S.; Bradley, K.; Campos, S.M.; Cho, K.R.; Chon, H.S.; Chu, C.; Clark, R.; Cohn, D. Cervical cancer, version 3.2019, NCCN clinical practice guidelines in oncology. J. Natl. Compr. Cancer Netw. 2019, 17, 64–84. [Google Scholar] [CrossRef] [PubMed]
- Koskas, M.; Amant, F.; Mirza, M.R.; Creutzberg, C.L. Cancer of the corpus uteri: 2021 update. Int. J. Gynecol. Obstet. 2021, 155, 45–60. [Google Scholar] [CrossRef] [PubMed]
- Kulkarni, A.; Dogra, N.; Zigras, T. Innovations in the management of vaginal cancer. Curr. Oncol. 2022, 29, 3082–3092. [Google Scholar] [CrossRef] [PubMed]
- Merlo, S. Modern treatment of vulvar cancer. Radiol. Oncol. 2020, 54, 371–376. [Google Scholar] [CrossRef]
- Cohen, P.A.; Jhingran, A.; Oaknin, A.; Denny, L. Cervical cancer. Lancet 2019, 393, 169–182. [Google Scholar] [CrossRef]
- Johnson, C.A.; James, D.; Marzan, A.; Armaos, M. Cervical cancer: An overview of pathophysiology and management. Semin. Oncol. Nurs. 2019, 35, 166–174. [Google Scholar] [CrossRef]
- Tan, L.T.; Coles, C.E.; Hart, C.; Tait, E. Clinical impact of computed tomography-based image-guided brachytherapy for cervix cancer using the tandem-ring applicator—The Addenbrooke’s experience. Clin. Oncol. 2009, 21, 175–182. [Google Scholar] [CrossRef]
- VF, M. Cervical cancer treatment. Rev. Med. Veracruzana 1948, 68, 45. [Google Scholar]
- McCormack, M.; Eminowicz, G.; Gallardo, D.; Diez, P.; Farrelly, L.; Kent, C.; Hudson, E.; Panades, M.; Mathew, T.; Anand, A. Induction chemotherapy followed by standard chemoradiotherapy versus standard chemoradiotherapy alone in patients with locally advanced cervical cancer (GCIG INTERLACE): An international, multicentre, randomised phase 3 trial. Lancet 2024, 404, 1525–1535. [Google Scholar] [CrossRef]
- Liontos, M.; Kyriazoglou, A.; Dimitriadis, I.; Dimopoulos, M.A.; Bamias, A. Systemic therapy in cervical cancer: 30 years in review. Crit. Rev. Oncol. Hematol. 2019, 137, 9–17. [Google Scholar] [CrossRef]
- Pedrão, P.G.; Guimarães, Y.M.; Godoy, L.R.; Possati-Resende, J.C.; Bovo, A.C.; Andrade, C.E.M.C.; Longatto-Filho, A.; Reis, R. Management of early-stage vulvar cancer. Cancers 2022, 14, 4184. [Google Scholar] [CrossRef]
- Aghbash, P.S.; Hemmat, N.; Fathi, H.; Baghi, H.B. Monoclonal antibodies in cervical malignancy-related HPV. Front. Oncol. 2022, 12, 904790. [Google Scholar] [CrossRef] [PubMed]
- Dai, W.; Gui, L.; Du, H.; Li, S.; Wu, R. The association of cervicovaginal Langerhans cells with clearance of human papillomavirus. Front. Immunol. 2022, 13, 918190. [Google Scholar] [CrossRef] [PubMed]
- National Cancer Institute. Cervical Cancer Treatment (PDQ®)—Health Professional Version; National Cancer Institute: Bethesda, MD, USA, 2023. Available online: https://www.cancer.gov/types/cervical/treatment (accessed on 15 April 2025).
- National Cancer Institute. Uterine Sarcoma Treatment (PDQ®)—Health Professional Version; National Cancer Institute: Bethesda, MD, USA, 2023. Available online: https://www.cancer.gov/types/uterine/hp/uterine-sarcoma-treatment-pdq (accessed on 15 April 2025).
- National Cancer Institute. Vaginal Cancer Treatment (PDQ®)—Health Professional Version; National Cancer Institute: Bethesda, MD, USA, 2023. Available online: https://www.cancer.gov/types/vaginal/hp/vaginal-treatment-pdq (accessed on 15 April 2025).
- National Cancer Institute. Vulvar Cancer Treatment (PDQ®)—Patient Version; National Cancer Institute: Bethesda, MD, USA, 2023. Available online: https://www.cancer.gov/types/vulvar/patient/vulvar-treatment-pdq (accessed on 15 April 2025).
- Zharova, T.A.; Kogan, E.A.; Makarov, V.I.; Smorchkov, M.M.; Lychagin, A.V.; Ivannikov, S.V.; Zharkov, N.V.; Loschenov, V.B. Correlation of synovial caspase-3 concentration and the photodynamic effectiveness in osteoarthritis treatment. Photodiagnosis Photodyn. Ther. 2020, 30, 101669. [Google Scholar] [CrossRef] [PubMed]
- Bacellar, I.O.L.; Tsubone, T.M.; Pavani, C.; Baptista, M.S. Photodynamic efficiency: From molecular photochemistry to cell death. Int. J. Mol. Sci. 2015, 16, 20523–20559. [Google Scholar] [CrossRef]
- Lukiyanets, E.A. Search for new photosensitizers in photodynamic therapy. Biomed. Photonics 2013, 2, 3–16. [Google Scholar]
- Shirmanova, M.V.; Gavrina, A.I.; Aksenova, N.A.; Glagolev, N.N.; Solovieva, A.B.; Shakhov, B.E.; Zagaynova, E.V. Comparative study of tissue distribution of chlorin e6 complexes with amphiphilic polymers in mice with cervical carcinoma. J. Anal. Bioanal. Tech. 2014, S1, 008. [Google Scholar] [CrossRef]
- Efendiev, K.T.; Alekseeva, P.M.; Shiryaev, A.A.; Skobeltsin, A.S.; Solonina, I.L.; Fatyanova, A.S.; Reshetov, I.V.; Loschenov, V.B. Preliminary low-dose photodynamic exposure to skin cancer with chlorin e6 photosensitizer. Photodiagnosis Photodyn. Ther. 2022, 38, 102894. [Google Scholar] [CrossRef]
- Shanazarov, N.A.; Zinchenko, S.V.; Kisikova, S.D.; Rizvanov, A.A. Photodynamic therapy in the treatment of HPV-associated cervical cancer: Mechanisms, challenges and future prospects. Cell 2021, 20, 22. [Google Scholar] [CrossRef]
- Turan, I.S.; Yildiz, D.; Turksoy, A.; Gunaydin, G.; Akkaya, E.U. A bifunctional photosensitizer for enhanced fractional photodynamic therapy: Singlet oxygen generation in the presence and absence of light. Angew. Chem. Int. Ed. 2016, 55, 2875–2878. [Google Scholar] [CrossRef]
- Karaman, O.; Almammadov, T.; Gedik, M.E.; Gunaydin, G.; Kolemen, S.; Gunbas, G. Mitochondria-targeting selenophene-modified BODIPY-based photosensitizers for the treatment of hypoxic cancer cells. ChemMedChem 2019, 14, 1879–1886. [Google Scholar] [CrossRef] [PubMed]
- Li, W.P.; Yen, C.J.; Wu, B.S.; Wong, T.W. Recent advances in photodynamic therapy for deep-seated tumors with the aid of nanomedicine. Biomedicines 2021, 9, 69. [Google Scholar] [CrossRef]
- Wang, S.; Dai, X.Y.; Ji, S.; Saeidi, T.; Schwiegelshohn, F.; Yassine, A.-A.; Lilge, L.; Betz, V. Scalable and accessible personalized photodynamic therapy optimization with FullMonte and PDT-SPACE. J. Biomed. Opt. 2022, 27, 083006. [Google Scholar] [CrossRef] [PubMed]
- Algorri, J.F.; Ochoa, M.; Roldán-Varona, P.; Rodríguez-Cobo, L.; López-Higuera, J.M. Photodynamic therapy: A compendium of latest reviews. Cancers 2021, 13, 4447. [Google Scholar] [CrossRef]
- Chin, W.W.L.; Heng, P.W.S.; Bhuvaneswari, R.; Lau, W.K.O.; Olivo, M. The potential application of chlorin e6-polyvinylpyrrolidone formulation in photodynamic therapy. Photochem. Photobiol. Sci. 2006, 5, 1031–1037. [Google Scholar] [CrossRef]
- Yu, T.T.; Sang, X.Y.; Han, N.; Peng, X.C.; Li, Q.R.; Xu, X.; Xiao, R.C.; Xu, H.Z.; Chen, X.; Wang, M.F. Macrophages mediated delivery of chlorin e6 and treatment of lung cancer by photodynamic reprogramming. Int. Immunopharmacol. 2021, 100, 108164. [Google Scholar] [CrossRef]
- Soyama, T.; Sakuragi, A.; Oishi, D.; Kimura, Y.; Aoki, H.; Nomoto, A.; Yano, S.; Nishie, H.; Kataoka, H.; Aoyama, M. Photodynamic therapy exploiting the anti-tumor activity of mannose-conjugated chlorin e6 reduced M2-like tumor-associated macrophages. Transl. Oncol. 2021, 14, 101005. [Google Scholar] [CrossRef]
- Aebisher, D.; Przygórzewska, A.; Bartusik-Aebisher, D. The latest look at PDT and immune checkpoints. Curr. Issues Mol. Biol. 2024, 46, 7239–7257. [Google Scholar] [CrossRef]
- Xie, F.; Yu, H.S.; Wang, R.; Wang, D.; Li, Y.M.; Wen, H.Y.; Du, J.B.; Ba, W.; Meng, X.F.; Yang, J. Photodynamic therapy for genital warts causes activation of local immunity. J. Cutan. Med. Surg. 2019, 23, 370–379. [Google Scholar] [CrossRef]
- Giomi, B.; Pagnini, F.; Cappuccini, A.; Bianchi, B.; Tiradritti, L.; Zuccati, G. Immunological activity of photodynamic therapy for genital warts. Br. J. Dermatol. 2011, 164, 448–451. [Google Scholar] [CrossRef] [PubMed]
- Nowis, D.; Stokłosa, T.; Legat, M.; Issat, T.; Jakóbisiak, M.; Gołąb, J. The influence of photodynamic therapy on the immune response. Photodiagnosis Photodyn. Ther. 2005, 2, 283–298. [Google Scholar] [CrossRef] [PubMed]
- Zhao, H.; Ren, Y.; Kou, H.; Zhang, J.; Zhang, X. Increased CD56 expression after photodynamic therapy indicates an increased natural killer cell count following early photodynamic therapy for cutaneous squamous cell carcinoma. Oncol. Lett. 2024, 28, 372. [Google Scholar] [CrossRef] [PubMed]
- Nakagawa, S.; Bos, J.D. Role of Langerhans cells in the skin. What’s new? J. Eur. Acad. Dermatol. Venereol. 2001, 15, 399–401. [Google Scholar] [CrossRef]
- Prignano, F.; Gerlini, G.; Fossombroni, V.; Pimpinelli, N.; Giannotti, B.; Nestle, F.O.; Romagnoli, P. Control of the differentiation state and function of human epidermal Langerhans cells by cytokines In Vitro. J. Eur. Acad. Dermatol. Venereol. 2001, 15, 433–440. [Google Scholar] [CrossRef] [PubMed]
- Hasseus, B.; Jontell, M.; Brune, M.; Johansson, P.; Dahlgren, U.I. Langerhans cells and T cells in oral graft versus host disease and oral lichen planus. Scand. J. Immunol. 2001, 54, 516–524. [Google Scholar] [CrossRef]
- Yamanaka, Y.; Akiyama, M.; Shibaki, A.; Kikuchi, T.; Shimizu, H. Annular lichen planus: Study of the cellular mechanisms of annularity. Dermatology 2004, 208, 335–338. [Google Scholar] [CrossRef]
- Abd Warif, N.M.; Stoitzner, P.; Leggatt, G.R.; Mattarollo, S.R.; Frazer, I.H.; Hibma, M.H. Langerhans Cell Homeostasis and Activation Is Altered in Hyperplastic Human Papillomavirus Type 16 E7 Expressing Epidermis. PLoS ONE 2015, 10, e0127155. [Google Scholar] [CrossRef]
- Su, Y.; Zhang, Y.; Tong, Y.; Zhang, L.; Li, P.; Zhang, H.; Zhang, X.; Tang, Y.; Qin, L.; Shen, Y. Effect and rational application of topical photodynamic therapy (PDT) with 5-aminolevulinic acid (5-ALA) for treatment of cervical intraepithelial neoplasia with vaginal intraepithelial neoplasia. Photodiagnosis Photodyn. Ther. 2022, 37, 102634. [Google Scholar] [CrossRef]
- Hu, Y.; Li, Y.; Xu, Y.; Teng, Y.; Chen, J.; Ma, L. Topical 5-aminolevulinic acid photodynamic therapy for cervical high-grade squamous intraepithelial lesions. Photodiagnosis Photodyn. Ther. 2022, 39, 103037. [Google Scholar] [CrossRef]
- Wang, J.; Xu, J.; Chen, J.; He, Q.; Xiang, L.; Huang, X.; Ding, G.; Xu, S. Successful photodynamic therapy with topical 5-aminolevulinic acid for five cases of cervical intraepithelial neoplasia. Arch. Gynecol. Obstet. 2010, 282, 307–312. [Google Scholar] [CrossRef]
- Chen, M.K.; Luo, D.Q.; Zhou, H.; Huang, Z.W.; Zhang, Q.F.; Han, J.D. 5-aminolevulinic acid-mediated photodynamic therapy on cervical condylomata acuminata. Photomed. Laser Surg. 2011, 29, 339–343. [Google Scholar] [CrossRef]
- Wang, H.W.; Zhang, L.L.; Miao, F.; Lv, T.; Wang, X.L.; Huang, Z. Treatment of HPV infection-associated cervical condylomata acuminata with 5-aminolevulinic acid-mediated photodynamic therapy. Photochem. Photobiol. 2012, 88, 565–569. [Google Scholar] [CrossRef]
- Fu, Y.; Bao, Y.; Hui, Y.; Gao, X.; Yang, M.; Chang, J. Topical photodynamic therapy with 5-aminolevulinic acid for cervical high-risk HPV infection. Photodiagnosis Photodyn. Ther. 2016, 13, 29–33. [Google Scholar] [CrossRef] [PubMed]
- Liu, Z.; Zheng, H.; Chen, X.; Qi, N. Comparison of the efficacy of ALA and high-frequency electric ion operating on cervical intraepithelial neoplasia grade I. Int. J. Clin. Exp. Med. 2016, 9, 16782–16786. [Google Scholar]
- Maździarz, A. Successful pregnancy and delivery following selective use of photodynamic therapy in treatment of cervix and vulvar diseases. Photodiagnosis Photodyn. Ther. 2019, 28, 65–68. [Google Scholar] [CrossRef] [PubMed]
- Ran, R.; Wang, M.; Li, X.; Liu, Q. A prospective study of photodynamic therapy for cervical squamous intraepithelial lesion. Photodiagnosis Photodyn. Ther. 2021, 34, 102185. [Google Scholar] [CrossRef]
- Wu, A.; Li, Q.; Ling, J.; Gu, L.; Hong, Z.; Di, W.; Qiu, L. Effectiveness of photodynamic therapy in women of reproductive age with cervical high-grade squamous intraepithelial lesions (HSIL/CIN2). Photodiagnosis Photodyn. Ther. 2021, 36, 102517. [Google Scholar] [CrossRef]
- Qu, Z.; Wang, Z.; Qiu, S.; Cui, G.; Li, C. Efficacy of photodynamic therapy with 5-aminolevulinic acid for the treatment of cervical high-grade squamous intraepithelial lesions with high-risk HPV infection: A retrospective study. Photodiagnosis Photodyn. Ther. 2022, 40, 103068. [Google Scholar] [CrossRef]
- Bizoń, M.; Maślińska, D.; Sawicki, W. Influence of photodynamic therapy on lichen sclerosus with neoplastic background. J. Clin. Med. 2022, 11, 1100. [Google Scholar] [CrossRef]
- Wang, X.; Ji, J.; Zhang, H.; Fan, Z.; Zhang, L.; Shi, L.; Zhou, F.; Chen, W.R.; Wang, H.; Wang, X. Stimulation of dendritic cells by DAMPs in ALA-PDT treated SCC tumor cells. Oncotarget 2015, 6, 44688. [Google Scholar] [CrossRef]
- Van Straten, D.; Mashayekhi, V.; De Bruijn, H.S.; Oliveira, S.; Robinson, D.J. Oncologic photodynamic therapy: Basic principles, current clinical status and future directions. Cancers 2017, 9, 19. [Google Scholar] [CrossRef] [PubMed]
- Etminan, N.; Peters, C.; Lakbir, D.; Bünemann, E.; Börger, V.; Sabel, M.C.; Hänggi, D.; Steiger, H.-J.; Stummer, W.; Sorg, R.V. Heat-shock protein 70-dependent dendritic cell activation by 5-aminolevulinic acid-mediated photodynamic treatment of human glioblastoma spheroids In Vitro. Br. J. Cancer 2011, 105, 961–969. [Google Scholar] [CrossRef] [PubMed]
- Ebrahimi, S.; Ghadiri, M.K.; Stummer, W.; Gorji, A. Enhancing 5-ALA-PDT efficacy against resistant tumor cells: Strategies and advances. Life Sci. 2024, 351, 122808. [Google Scholar] [CrossRef] [PubMed]
- Hass, R.; Jacobs, R.; Kaufmann, A.M.; Hillemanns, P.; Soergel, P. Sensitization of immune cells following hexylaminolevulinate photodynamic therapy of cervical intraepithelial neoplasia. Photodiagnosis Photodyn. Ther. 2017, 17, 82–86. [Google Scholar] [CrossRef]
- Lv, L.; Fan, B.; Ji, X.; Liu, Y.; Chen, T.; Li, Y.; Gao, X.; Chen, P.; Tang, B.; Chen, G. From the clinical perspective of photodynamic therapy and photothermal Therapy: Structure-Activity-Practice. Coord. Chem. Rev. 2024, 507, 215733. [Google Scholar] [CrossRef]
- Zhang, Y.; Su, Y.; Tang, Y.; Qin, L.; Shen, Y.; Wang, B.; Zhou, M.; Zhou, Y.; Cao, L.; Zhang, T. Comparative study of topical 5-aminolevulinic acid photodynamic therapy (5-ALA-PDT) and surgery for the treatment of high-grade vaginal intraepithelial neoplasia. Photodiagnosis Photodyn. Ther. 2022, 39, 102958. [Google Scholar] [CrossRef]
- Soergel, P.; Loehr-Schulz, R.; Hillemanns, M.; Landwehr, S.; Makowski, L.; Hillemanns, P. Effects of photodynamic therapy using topical applied hexylaminolevulinate and methylaminolevulinate upon the integrity of cervical epithelium. Lasers Surg. Med. 2010, 42, 784–790. [Google Scholar] [CrossRef]
- Soergel, P.; Dahl, G.F.; Onsrud, M.; Hillemanns, P. Photodynamic therapy of cervical intraepithelial neoplasia 1-3 and human papillomavirus (HPV) infection with methylaminolevulinate and hexaminolevulinate—A double-blind, dose-finding study. Lasers Surg. Med. 2012, 44, 468–474. [Google Scholar] [CrossRef]
- Hillemanns, P.; Petry, K.U.; Soergel, P.; Collinet, P.; Ardaens, K.; Gallwas, J.; Luyten, A.; Dannecker, C. Efficacy and safety of hexaminolevulinate photodynamic therapy in patients with low-grade cervical intraepithelial neoplasia. Lasers Surg. Med. 2014, 46, 456–461. [Google Scholar] [CrossRef]
- Inada, N.M.; Lombardi, W.; Leite, M.F.M.; Trujillo, J.R.; Kurachi, C.; Bagnato, V.S. Photodynamic therapy of cervical intraepithelial neoplasia. Proc. SPIE 2014, 8931, 97–103. [Google Scholar]
- Hillemanns, P.; Garcia, F.; Petry, K.U.; Dvorak, V.; Sadovsky, O.; Iversen, O.-E.; Einstein, M.H. A randomized study of hexaminolevulinate photodynamic therapy in patients with cervical intraepithelial neoplasia 1/2. Am. J. Obstet. Gynecol. 2015, 212, 465.e1–465.e7. [Google Scholar] [CrossRef] [PubMed]
- Kiening, M.; Lange, N. A recap of heme metabolism towards understanding protoporphyrin IX selectivity in cancer cells. Int. J. Mol. Sci. 2022, 23, 7974. [Google Scholar] [CrossRef] [PubMed]
- Trifone, C.; Salido, J.; Ruiz, M.J.; Leng, L.; Quiroga, M.F.; Salomón, H.; Bucala, R.; Ghiglione, Y.; Turk, G. Interaction between macrophage migration inhibitory factor and CD74 in human immunodeficiency virus type I infected primary monocyte-derived macrophages triggers the production of proinflammatory mediators and enhances infection of unactivated CD4+ T cells. Front. Immunol. 2018, 9, 1494. [Google Scholar] [CrossRef]
- Frost, G.A.; Halliday, G.M.; Damian, D.L. Photodynamic therapy-induced immunosuppression in humans is prevented by reducing the rate of light delivery. J. Investig. Dermatol. 2011, 131, 962–968. [Google Scholar] [CrossRef]
- Istomin, Y.P.; Lapzevich, T.P.; Chalau, V.N.; Shliakhtsin, S.V.; Trukhachova, T.V. Photodynamic therapy of cervical intraepithelial neoplasia grades II and III with Photolon®. Photodiagnosis Photodyn. Ther. 2010, 7, 144–151. [Google Scholar] [CrossRef]
- Alekseeva, P.M.; Efendiev, K.T.; Loshchenov, M.V.; Shiryaev, A.A.; Ishchenko, A.A.; Gilyadova, A.V.; Karpova, R.V.; Reshetov, I.V.; Loschenov, V.B. Combined spectral-and video-fluorescent diagnostics of cervical neoplasms for photodynamic therapy. Laser Phys. Lett. 2020, 17, 105602. [Google Scholar] [CrossRef]
- Ivanova, V.A.; Verenikina, E.V.; Nikitina, V.P.; Zhenilo, O.E.; Kruze, P.A.; Nikitin, I.S.; Kit, O.I. Photodynamic therapy for preinvasive cervical cancer. J. Clin. Oncol. 2020, 38 (Suppl. 15), 6035. [Google Scholar] [CrossRef]
- Ivanova, V.A.; Nikitina, V.P.; Verenikina, E.V.; Zhenilo, O.E.; Ardzha, A.Y. Photodynamic therapy for early cervical cancer. J. Clin. Oncol. 2022, 40 (Suppl. 16), e17528. [Google Scholar] [CrossRef]
- Afanasiev, M.S.; Dushkin, A.D.; Grishacheva, T.G.; Afanasiev, S.S.; Karaulov, A.V. Photodynamic therapy for early-stage cervical cancer treatment. Photodiagnosis Photodyn. Ther. 2022, 37, 102620. [Google Scholar] [CrossRef]
- Gilyadova, A.; Ishchenko, A.; Shiryaev, A.; Alekseeva, P.; Efendiev, K.; Karpova, R.; Loshchenov, M.; Loschenov, V.; Reshetov, I. Phototheranostics of cervical neoplasms with chlorin e6 photosensitizer. Cancers 2022, 14, 211. [Google Scholar] [CrossRef]
- Gilyadova, A.; Ishchenko, A.; Ishenko, A.; Samoilova, S.; Shiryaev, A.; Kiseleva, A.; Petukhova, N.; Efendiev, K.; Alekseeva, P.; Stranadko, E. Analysis of the results of severe intraepithelial squamous cell lesions and preinvasive cervical cancer phototheranostics in women of reproductive age. Biomedicines 2022, 10, 2521. [Google Scholar] [CrossRef] [PubMed]
- Gilyadova, A.V.; Ishchenko, A.A.; Samoilova, S.V.; Shiryaev, A.A.; Novruzaliyeva, M.F.; Efendiev, K.T.; Alekseeva, P.M.; Loschenov, V.B.; Reshetov, I.V. Comparative study of treatment efficacy in severe intraepithelial squamous cell lesions and preinvasive cervical cancer by conization and chlorin e6-mediated fluorescence-assisted systemic photodynamic therapy. Photodiagnosis Photodyn. Ther. 2024, 46, 104060. [Google Scholar] [CrossRef] [PubMed]
- Castano, A.P.; Mroz, P.; Hamblin, M.R. Photodynamic therapy and anti-tumour immunity. Nat. Rev. Cancer 2006, 6, 535–545. [Google Scholar] [CrossRef] [PubMed]
- Gurung, P.; Lim, J.; Shrestha, R.; Kim, Y.W. Chlorin e6-associated photodynamic therapy enhances abscopal antitumor effects via inhibition of PD-1/PD-L1 immune checkpoint. Sci. Rep. 2023, 13, 4647. [Google Scholar] [CrossRef]
- Agostinis, P.; Berg, K.; Cengel, K.A.; Foster, T.H.; Girotti, A.W.; Gollnick, S.O.; Hahn, S.M.; Hamblin, M.R.; Juzeniene, A.; Kessel, D. Photodynamic therapy of cancer: An update. CA Cancer J. Clin. 2011, 61, 250–281. [Google Scholar] [CrossRef]
- Shishkova, N.; Kuznetsova, O.; Berezov, T. Photodynamic therapy for gynecological diseases and breast cancer. Cancer Biol. Med. 2012, 9, 9–17. [Google Scholar]
- Godoy, H.; Vaddadi, P.; Cooper, M.; Frederick, P.J.; Odunsi, K.; Lele, S. Photodynamic therapy effectively palliates gynecologic malignancies. Eur. J. Gynaecol. Oncol. 2013, 34, 392–396. [Google Scholar] [CrossRef]
- Choi, M.C.; Jung, S.G.; Park, H.; Lee, S.Y.; Lee, C.; Hwang, Y.Y.; Kim, S.J. Photodynamic therapy for management of cervical intraepithelial neoplasia II and III in young patients and obstetric outcomes. Lasers Surg. Med. 2013, 45, 564–572. [Google Scholar] [CrossRef]
- Huang, Z. A review of progress in clinical photodynamic therapy. Technol. Cancer Res. Treat. 2005, 4, 283–293. [Google Scholar] [CrossRef]
- Ohgari, Y.; Miyata, Y.; Miyagi, T.; Gotoh, S.; Ohta, T.; Kataoka, T.; Furuyama, K.; Taketani, S. Roles of porphyrin and iron metabolisms in the δ-aminolevulinic acid (ALA)-induced accumulation of protoporphyrin and photodamage of tumor cells. Photochem. Photobiol. 2011, 87, 1138–1145. [Google Scholar] [CrossRef]
- Shi, L.; Miao, F.; Zhang, L.L.; Zhang, G.L.; Wang, P.R.; Ji, J.; Wang, X.J.; Huang, Z.; Wang, H.W.; Wang, X.L. Comparison of 5-aminolevulinic acid photodynamic therapy and clobetasol propionate in treatment of vulvar lichen sclerosus. Acta Derm. Venereol. 2016, 96, 622–626. [Google Scholar] [CrossRef]
- Olejek, A.; Stęplewska, K.; Gabriel, A.; Kozak-Darmas, I.; Jarek, A.; Kellas-Ślęczka, S.; Bydliński, F.; Sieroń-Stołtny, K.; Horak, S.; Chełmicki, A. Efficacy of photodynamic therapy in vulvar lichen sclerosus treatment based on immunohistochemical analysis of CD34, CD44, myelin basic protein, and Ki67 antibodies. Int. J. Gynecol. Cancer 2010, 20, 879–887. [Google Scholar] [CrossRef] [PubMed]
- Osiecka, B.J.; Nockowski, P.; Jurczyszyn, K.; Ziólkowski, P. Photodynamic therapy of vulvar lichen sclerosus et atrophicus in a woman with hypothyreosis—Case report. Photodiagnosis Photodyn. Ther. 2012, 9, 186–188. [Google Scholar] [CrossRef] [PubMed]
- Olejek, A.; Gabriel, I.; Bilska-Janosik, A.; Kozak-Darmas, I.; Kawczyk-Krupka, A. ALA-photodynamic treatment in lichen sclerosus—Clinical and immunological outcome focusing on the assessment of antinuclear antibodies. Photodiagnosis Photodyn. Ther. 2017, 18, 128–132. [Google Scholar] [CrossRef]
- Maździarz, A.; Osuch, B.; Kowalska, M.; Nalewczyńska, A.; Śpiewankiewicz, B. Photodynamic therapy in the treatment of vulvar lichen sclerosus. Photodiagnosis Photodyn. Ther. 2017, 19, 135–139. [Google Scholar] [CrossRef] [PubMed]
- Osiecka, B.J.; Jurczyszyn, K.; Nockowski, P.; Murawski, M.; Ziółkowski, P. Photodynamic therapy with green light for the treatment of vulvar lichen sclerosus—Preliminary results. Photodiagnosis Photodyn. Ther. 2017, 17, 185–187. [Google Scholar] [CrossRef]
- Lan, T.; Zou, Y.; Hamblin, M.R.; Yin, R. 5-aminolevulinic acid photodynamic therapy in refractory vulvar lichen sclerosus et atrophicus: Series of ten cases. Photodiagnosis Photodyn. Ther. 2018, 21, 234–238. [Google Scholar] [CrossRef]
- Li, Z.; Wang, Y.; Wang, J.; Li, S.; Xiao, Z.; Feng, Y.; Gu, J.; Li, J.; Peng, X.; Li, C. Evaluation of the efficacy of 5-aminolevulinic acid photodynamic therapy for the treatment of vulvar lichen sclerosus. Photodiagnosis Photodyn. Ther. 2020, 29, 101596. [Google Scholar] [CrossRef]
- Cao, Y.; Zhang, G.; Wang, P.; Li, C.; Wang, X. Treatment of hyperkeratotic vulvar lichen sclerosus with combination of holmium laser therapy and ALA-PDT: Case report. Photodiagnosis Photodyn. Ther. 2020, 31, 101762. [Google Scholar] [CrossRef]
- Zhang, F.; Li, D.; Shi, L.; Gu, Y.; Xu, Y. 5-ALA-photodynamic therapy in refractory vulvar lichen sclerosus et atrophicus. Int. J. Clin. Exp. Pathol. 2020, 13, 3100–3107. [Google Scholar]
- Zhang, F.; Li, D.; Shi, L.; Gu, Y.; Xu, Y.; Wu, C. Efficacy of 5-aminolevulinic acid (ALA)-photodynamic therapy (PDT) in refractory vulvar lichen sclerosus: Preliminary results. Med. Sci. Monit. 2021, 27, e927406. [Google Scholar] [CrossRef] [PubMed]
- Liu, J.; Hao, J.; Wang, Y.; Liu, Y.; Xu, T. Clinical and dermoscopic assessment of vulvar lichen sclerosus after 5-aminolevulinic acid photodynamic therapy: A prospective study. Photodiagnosis Photodyn. Ther. 2021, 33, 102109. [Google Scholar] [CrossRef] [PubMed]
- Zielińska, A.; Maździarz, A.; Abdalla, N.; Sawicki, W.; Dmoch-Gajzlerska, E. Does HPV infection have impact on results of photodynamic treatment of vulvar lichen sclerosus? Photodiagnosis Photodyn. Ther. 2021, 34, 102138. [Google Scholar] [CrossRef] [PubMed]
- Wang, Y.; Hao, J.; Liu, J. High-frequency ultrasound assessment of vulvar lichen sclerosus treated with photodynamic therapy. Photodiagnosis Photodyn. Ther. 2023, 41, 103277. [Google Scholar] [CrossRef]
- Qu, Z.; Lin, X.; Liu, M.; Wang, J.; Wang, F.; Zhang, B.; Shen, L.; Wang, Z. Clinical efficacy analysis of 5-aminolevulinic acid photodynamic therapy for vulvar lichen sclerosus. Photodiagnosis Photodyn. Ther. 2024, 46, 104035. [Google Scholar] [CrossRef]
- Zheng, X.; Liu, X.; Zhang, J.; Liu, H.; Xu, Y.; Meng, L.; Zhang, Y.; Wang, L.; Jia, L. 5-Aminolevulinic acid photodynamic therapy is a safe and effective treatment for female patients with intractable vulvar lichen sclerosus. Photodiagnosis Photodyn. Ther. 2024, 49, 104330. [Google Scholar] [CrossRef]
- Zhang, S.; Wang, Y.; Wang, J.; Liu, J. The efficacy of 5-aminolevulinic acid photodynamic therapy for pediatric vulvar lichen sclerosus. Photodiagnosis Photodyn. Ther. 2024, 45, 103986. [Google Scholar] [CrossRef]
- Cao, Y.; Qu, Z.; Sun, X.; Cui, G.; Wei, H.; Wang, Z.; Lin, X. Evaluation of the therapeutic effects of photodynamic therapy in vulvar lichen sclerosus and impact on patient quality of life and sexual function. Photodiagnosis Photodyn. Ther. 2024, 49, 104226. [Google Scholar] [CrossRef]
- Fritsch, C.; Stege, H.; Saalmann, G.; Goerz, G.; Ruzicka, T.; Krutmann, J. Green light is effective and less painful than red light in photodynamic therapy of facial solar keratoses. Photodermatol. Photoimmunol. Photomed. 1997, 13, 181–185. [Google Scholar] [CrossRef]
- Imbernón-Moya, A.; Martínez-Pérez, M.; Churruca-Grijelmo, M.; Lobato-Berezo, A.; Vargas-Laguna, E.; Fernández-Cogolludo, E.; Aguilar-Martínez, A.; Gallego-Valdés, M.Á. Photodynamic therapy as a therapeutic alternative in vulvar lichen sclerosus: Series of 8 cases. Photodermatol. Photoimmunol. Photomed. 2016, 32, 161–165. [Google Scholar] [CrossRef]
- Garg, A.D.; Nowis, D.; Golab, J.; Vandenabeele, P.; Krysko, D.V.; Agostinis, P. Immunogenic cell death, DAMPs and anticancer therapeutics: An emerging amalgamation. Biochim. Biophys. Acta Rev. Cancer 2010, 1805, 53–71. [Google Scholar] [CrossRef] [PubMed]
- Yu, R.; Jin, L.; Li, F.; Fujimoto, M.; Wei, Q.; Lin, Z.; Ren, X.; Jin, Q.; Li, H.; Meng, F. Dihydroartemisinin inhibits melanoma by regulating CTL/Treg anti-tumor immunity and STAT3-mediated apoptosis via IL-10 dependent manner. J. Dermatol. Sci. 2020, 99, 193–202. [Google Scholar] [CrossRef] [PubMed]
- Filonenko, E.V.; Serova, L.G. Photodynamic therapy in clinical practice. Biomed. Photonics 2016, 5, 26–37. [Google Scholar]
- Trushina, O.I.; Novikova, E.G.; Sokolov, V.V.; Filonenko, E.V.; Chissov, V.I.; Vorozhtsov, G.N. Photodynamic therapy of virus-associated precancer and early stages cancer of cervix uteri. Photodiagnosis Photodyn. Ther. 2008, 5, 256–259. [Google Scholar] [CrossRef]
- Makarov, V.I.; Pominova, D.V.; Ryabova, A.V.; Romanishkin, I.D.; Voitova, A.V.; Steiner, R.W.; Loschenov, V.B. Theranostic properties of crystalline aluminum phthalocyanine nanoparticles as a photosensitizer. Pharmaceutics 2022, 14, 2122. [Google Scholar] [CrossRef]
- Bystrov, F.G.; Makarov, V.I.; Pominova, D.V.; Ryabova, A.V.; Loschenov, V.B. Analysis of photoluminescence decay kinetics of aluminum phthalocyanine nanoparticles interacting with immune cells. Measurement 2016, 3, 4–12. [Google Scholar] [CrossRef]
- Abrahamse, H.; Hamblin, M.R. New photosensitizers for photodynamic therapy. Biochem. J. 2016, 473, 347–364. [Google Scholar] [CrossRef]
- Zhang, S.; Li, Z.; Wang, Q.; Liu, Q.; Yuan, W.; Feng, W.; Li, F. An NIR-II photothermally triggered "oxygen bomb" for hypoxic tumor programmed cascade therapy. Adv. Mater. 2022, 34, 2201978. [Google Scholar] [CrossRef]
- Yang, Y.; Chen, M.; Wang, B.; Wang, P.; Liu, Y.; Zhao, Y.; Li, K.; Song, G.; Zhang, X.B.; Tan, W. NIR-II driven plasmon-enhanced catalysis for a timely supply of oxygen to overcome hypoxia-induced radiotherapy tolerance. Angew. Chem. Int. Ed. 2019, 58, 15069–15075. [Google Scholar] [CrossRef]
- Ding, L.; Wu, Y.; Wu, M.; Zhao, Q.; Li, H.; Liu, J.; Liu, X.; Zhang, X.; Zeng, Y. Engineered red blood cell biomimetic nanovesicle with oxygen self-supply for near-infrared-II fluorescence-guided synergetic chemo-photodynamic therapy against hypoxic tumors. ACS Appl. Mater. Interfaces 2021, 13, 52435–52449. [Google Scholar] [CrossRef]
- Douplik, A.; Saiko, G.; Schelkanova, I.; Tuchin, V.V. The response of tissue to laser light. In Lasers for Medical Applications; Woodhead Publishing: Cambridge, UK, 2013; pp. 47–109. [Google Scholar]
- Zhang, X.; An, L.; Tian, Q.; Lin, J.; Yang, S. Tumor microenvironment-activated NIR-II reagents for tumor imaging and therapy. J. Mater. Chem. B 2020, 8, 4738–4747. [Google Scholar] [CrossRef] [PubMed]
- Yin, C.; Lu, X.; Fan, Q.; Huang, W. Organic semiconducting nanomaterials-assisted phototheranostics in near-infrared-II biological window. View 2021, 2, 20200070. [Google Scholar] [CrossRef]
- Wang, S.; Zhang, C.; Fang, F.; Fan, Y.; Yang, J.; Zhang, J. Beyond traditional light: NIR-II light activated photosensitizers for cancer therapy. J. Mater. Chem. B 2023, 11, 1234–1256. [Google Scholar] [CrossRef] [PubMed]
- Yang, Y.; Jiang, S.; Stanciu, S.; Peng, H.; Wu, A.; Yang, F. Photodynamic therapy with NIR-II probes: Review on state-of-the-art tools and strategies. Mater. Horiz. 2024, 11, 45–62. [Google Scholar] [CrossRef]
- Efendiev, K.; Alekseeva, P.; Shiryaev, A.; Voitova, A.; Linkov, K.; Pisareva, T.; Reshetov, I.; Loschenov, V. Near-infrared phototheranostics of tumors with protoporphyrin IX and chlorin e6 photosensitizers. Photodiagnosis Photodyn. Ther. 2023, 42, 103566. [Google Scholar] [CrossRef]
- Pominova, D.V.; Proydakova, V.Y.; Romanishkin, I.D.; Ryabova, A.V.; Grachev, P.V.; Makarov, V.I.; Kuznetsov, S.V.; Uvarov, O.V.; Voronov, V.V.; Yapryntsev, A.D. Achieving high NIR-to-NIR conversion efficiency by optimization of Tm3+ content in Na (Gd, Yb) F4: Tm upconversion luminophores. Laser Phys. Lett. 2020, 17, 125701. [Google Scholar] [CrossRef]
- Ryabova, A.V.; Keevend, K.; Tsolaki, E.; Bertazzo, S.; Pominova, D.V.; Romanishkin, I.D.; Grachev, P.V.; Makarov, V.I.; Burmistrov, I.A.; Vanetsev, A.S. Visualization of Nd3+-doped LaF3 nanoparticles for near infrared bioimaging via upconversion luminescence at multiphoton excitation microscopy. Biomed. Photonics 2018, 7, 4–12. [Google Scholar] [CrossRef]
- Kustov, D.M.; Sharova, A.S.; Makarov, V.I.; Borodkin, A.V.; Saveleva, T.A.; Loschenov, V.B. Evaluating the dynamics of brain tissue oxygenation using near-infrared spectroscopy on various experimental models. Laser Phys. Lett. 2019, 16, 115602. [Google Scholar] [CrossRef]
- Pham, K.Y.; Wang, L.C.; Hsieh, C.C.; Hsu, Y.P.; Chang, L.C.; Su, W.P.; Chien, Y.H.; Yeh, C.S. 1550 nm excitation-responsive upconversion nanoparticles to establish dual-photodynamic therapy against pancreatic tumors. J. Mater. Chem. B 2021, 9, 694–709. [Google Scholar] [CrossRef]
- Juzeniene, A.; Nielsen, K.P.; Moan, J. Biophysical aspects of photodynamic therapy. J. Environ. Pathol. Toxicol. Oncol. 2006, 25, 7–28. [Google Scholar] [CrossRef]
- Mušković, M.; Pokrajac, R.; Malatesti, N. Combination of two photosensitizers in anticancer, antimicrobial and upconversion photodynamic therapy. Pharmaceuticals 2023, 16, 613. [Google Scholar] [CrossRef]
- Swamy, P.C.A.; Sivaraman, G.; Priyanka, R.N.; Raja, S.O.; Ponnuvel, K.; Shanmugpriya, J.; Gulyani, A. Near infrared (NIR) absorbing dyes as promising photosensitizer for photo dynamic therapy. Coord. Chem. Rev. 2020, 411, 213233. [Google Scholar] [CrossRef]
- Dumitru, D.; Ghanakumar, S.; Provenzano, E.; Benson, J.R. A prospective study evaluating the accuracy of indocyanine green (ICG) fluorescence compared with radioisotope for sentinel lymph node (SLN) detection in early breast cancer. Ann. Surg. Oncol. 2022, 29, 3014–3020. [Google Scholar] [CrossRef]
- Martínez-Núñez, S.; Alarcón Del Agua, I.; Senent Boza, A.; Morales-Conde, S. Individualised splenic hilum lymphadenectomy in gastric cancer: ICG-guided mapping. Cir. Esp. 2021, 99, 345–351. [Google Scholar] [CrossRef] [PubMed]
- Nguyen, V.N.; Ha, J.; Cho, M.; Li, H.; Swamy, K.M.K.; Yoon, J. Recent developments of BODIPY-based colorimetric and fluorescent probes for the detection of reactive oxygen/nitrogen species and cancer diagnosis. Coord. Chem. Rev. 2021, 439, 213936. [Google Scholar] [CrossRef]
- Foote, C.S. Definition of type I and type II photosensitized oxidation. Photochem. Photobiol. 1991, 54, 659. [Google Scholar] [CrossRef] [PubMed]
- Lai, Y.C.; Su, S.Y.; Chang, C.C. Special reactive oxygen species generation by a highly photostable BODIPY-based photosensitizer for selective photodynamic therapy. ACS Appl. Mater. Interfaces 2013, 5, 12935–12943. [Google Scholar] [CrossRef]
- Silva, E.F.F.; Serpa, C.; Dąbrowski, J.M.; Monteiro, C.J.P.; Formosinho, S.J.; Stochel, G.; Urbanska, K.; Simões, S.; Pereira, M.M.; Arnaut, L.G. Mechanisms of singlet-oxygen and superoxide-ion generation by porphyrins and bacteriochlorins and their implications in photodynamic therapy. Chemistry 2010, 16, 9273–9286. [Google Scholar] [CrossRef]
- Gorbe, M.; Barba-Bon, A.; de la Torre, C.; Gil, S.; Costero, A.M.; Sancenón, F.; Murguía, J.R.; Martínez-Máñez, R. Synthesis and In Vitro evaluation of a photosensitizer-BODIPY derivative for potential photodynamic therapy applications. Chem. Asian J. 2015, 10, 2121–2125. [Google Scholar] [CrossRef]
- Dougherty, T.J.; Gomer, C.J.; Henderson, B.W.; Jori, G.; Kessel, D.; Korbelik, M.; Moan, J.; Peng, Q. Photodynamic therapy. J. Natl. Cancer Inst. 1998, 90, 889–905. [Google Scholar] [CrossRef]
- Aebisher, D.; Czech, S.; Dynarowicz, K.; Misiołek, M.; Komosińska-Vassev, K.; Kawczyk-Krupka, A.; Bartusik-Aebisher, D. Photodynamic therapy: Past, current, and future. Int. J. Mol. Sci. 2024, 25, 11325. [Google Scholar] [CrossRef] [PubMed]
- Yadav, R.; Das, P.P.; Sharma, S.; Sengupta, S.; Kumar, D.; Sagar, R. Recent advancement of nanomedicine-based targeted delivery for cervical cancer treatment. Med. Oncol. 2023, 40, 347. [Google Scholar] [CrossRef] [PubMed]
- Sharma, A.; Shambhwani, D.; Pandey, S.; Singh, J.; Lalhlenmawia, H.; Kumarasamy, M.; Singh, S.K.; Chellappan, D.K.; Gupta, G.; Prasher, P. Advances in lung cancer treatment using nanomedicines. ACS Omega 2023, 8, 10–41. [Google Scholar] [CrossRef] [PubMed]
- Kumar, S.; Shukla, M.K.; Sharma, A.K.; Jayaprakash, G.K.; Tonk, R.K.; Chellappan, D.K.; Singh, S.K.; Dua, K.; Ahmed, F.; Bhattacharyya, S. Metal-based nanomaterials and nanocomposites as promising frontier in cancer chemotherapy. MedComm 2023, 4, e253. [Google Scholar] [CrossRef]
- Shukla, M.K.; Das, A.K.; Gaurav, A.; Bisht, D.; Singh, A.; Kumar, D. Recent plant-based nanomedicine and nanocarrier for cancer treatment. In Nanotechnology for Drug Delivery and Pharmaceuticals; Academic Press: Cambridge, MA, USA, 2023; pp. 187–206. [Google Scholar]
- Arshad, R.; Kiani, M.H.; Rahdar, A.; Sargazi, S.; Barani, M.; Shojaei, S.; Bilal, M.; Kumar, D.; Pandey, S. Nano-based theranostic platforms for breast cancer: A review of latest advancements. Bioengineering 2022, 9, 320. [Google Scholar] [CrossRef]
- Fathi-Karkan, S.; Arshad, R.; Rahdar, A.; Ramezani, A.; Behzadmehr, R.; Ghotekar, S.; Pandey, S. Recent advancements in the targeted delivery of etoposide nanomedicine for cancer therapy: A comprehensive review. Eur. J. Med. Chem. 2023, 258, 115676. [Google Scholar] [CrossRef]
- Pourmadadi, M.; Eshaghi, M.M.; Shaghaghi, M.; Das, S.S.; Arshad, R.; Ghotekar, S.; Rahdar, A.; Manicum, A.-L.E.; Pandey, S. Nano-scale drug delivery systems for carboplatin: A comprehensive review. OpenNano 2023, 13, 100175. [Google Scholar] [CrossRef]
- Mustafa, G.; Hassan, D.; Ruiz-Pulido, G.; Pourmadadi, M.; Eshaghi, M.M.; Behzadmehr, R.; Tehrani, F.S.; Rahdar, A.; Medina, D.I.; Pandey, S. Nanoscale drug delivery systems for cancer therapy using paclitaxel—A review of challenges and latest progressions. J. Drug Deliv. Sci. Technol. 2023, 84, 104494. [Google Scholar] [CrossRef]
- Lunardi, C.N.; Rotta, J.C.G.; Tedesco, A.C. Synthesis, photophysical and photobiological study of synergic photosensitizer: Zinc-phthalocyanine with Ca2+ chelating agent. Curr. Org. Chem. 2007, 11, 647–654. [Google Scholar] [CrossRef]
- Torchilin, V.P. Recent advances with liposomes as pharmaceutical carriers. Nat. Rev. Drug Discov. 2005, 4, 145–160. [Google Scholar] [CrossRef]
- Allen, T.M.; Cullis, P.R. Liposomal drug delivery systems: From concept to clinical applications. Adv. Drug Deliv. Rev. 2013, 65, 36–48. [Google Scholar] [CrossRef]
- Shiryaev, A.; Ivankov, M.; Voitova, A.; Kalyagina, N.; Efendiev, K.; Pisareva, T.; Zavodnov, S.; Reshetov, I.; Loschenov, V. Photodynamic therapy under diagnostic control of wounds with antibiotic-resistant microflora. Photonics 2024, 11, 594. [Google Scholar] [CrossRef]
- Vendette, A.C.F.; Piva, H.L.; Muehlmann, L.A.; De Souza, D.A.; Tedesco, A.C.; Azevedo, R.B. Clinical treatment of intra-epithelial cervical neoplasia with photodynamic therapy. Int. J. Hyperth. 2020, 37, 50–58. [Google Scholar] [CrossRef]
- Xie, W.; Xu, Z. (Nano)biotechnological approaches in the treatment of cervical cancer: Integration of engineering and biology. Front. Immunol. 2024, 15, 1461894. [Google Scholar] [CrossRef] [PubMed]
- Hendrickx, N.; Volanti, C.; Moens, U.; Seternes, O.M.; de Witte, P.; Vandenheede, J.R.; Piette, J.; Agostinis, P. Up-regulation of cyclooxygenase-2 and apoptosis resistance by p38 MAPK in hypericin-mediated photodynamic therapy of human cancer cells. J. Biol. Chem. 2003, 278, 52231–52239. [Google Scholar] [CrossRef] [PubMed]
- Hendrickx, N.; Dewaele, M.; Buytaert, E.; Marsboom, G.; Janssens, S.; Van Boven, M.; Vandenheede, J.R.; de Witte, P.; Agostinis, P. Targeted inhibition of p38α MAPK suppresses tumor-associated endothelial cell migration in response to hypericin-based photodynamic therapy. Biochem. Biophys. Res. Commun. 2005, 337, 928–935. [Google Scholar] [CrossRef] [PubMed]
- Chen, E.; Chen, X.; Yuan, X.; Wei, S.; Zhou, L.; Zhou, J.; Shen, J. One-pot method to prepare a theranostic nanosystem with magnetic resonance imaging function and anticancer activity through multiple mechanisms. Dalton Trans. 2017, 46, 5151–5158. [Google Scholar] [CrossRef]
- Penjweini, R.; Deville, S.; Haji Maghsoudi, O.; Notelaers, K.; Ethirajan, A.; Ameloot, M. Investigating the effect of poly-l-lactic acid nanoparticles carrying hypericin on the flow-biased diffusive motion of HeLa cell organelles. J. Pharm. Pharmacol. 2019, 71, 104–116. [Google Scholar] [CrossRef]
- Damke, G.M.Z.F.; Damke, E.; de Souza Bonfim-Mendonça, P.; Ratti, B.A.; de Freitas Meirelles, L.E.; da Silva, V.R.S.; Gonçalves, R.S.; César, G.B.; de Oliveira Silva, S.; Caetano, W. Selective photodynamic effects on cervical cancer cells provided by P123 Pluronic-based nanoparticles modulating hypericin delivery. Life Sci. 2020, 255, 117858. [Google Scholar] [CrossRef]
- Ha, J.H.; Kim, Y.J. Photodynamic and cold atmospheric plasma combination therapy using polymeric nanoparticles for the synergistic treatment of cervical cancer. Int. J. Mol. Sci. 2021, 22, 1172. [Google Scholar] [CrossRef]
- Lu, Y.; Jiao, R.; Chen, X.; Zhong, J.; Ji, J.; Shen, P. Methylene blue-mediated photodynamic therapy induces mitochondria-dependent apoptosis in HeLa cell. J. Cell. Biochem. 2008, 105, 1451–1460. [Google Scholar] [CrossRef]
- Rojas, J.C.; Bruchey, A.K.; Gonzalez-Lima, F. Neurometabolic mechanisms for memory enhancement and neuroprotection of methylene blue. Prog. Neurobiol. 2012, 96, 32–45. [Google Scholar] [CrossRef]
- Syromyatnikov, M.; Nesterova, E.; Smirnova, T.; Popov, V. Methylene blue can act as an antidote to pesticide poisoning of bumble bee mitochondria. Sci. Rep. 2021, 11, 14710. [Google Scholar] [CrossRef] [PubMed]
- Ryabova, A.V.; Romanishkin, I.D.; Markova, I.V.; Pominova, D.V. Simultaneous application of methylene blue and chlorin e6 photosensitizers: Investigation on a cell culture. Mod. Technol. Med. 2025, 17, 58–68. [Google Scholar] [CrossRef] [PubMed]
- Taldaev, A.; Terekhov, R.; Nikitin, I.; Melnik, E.; Kuzina, V.; Klochko, M.; Reshetov, I.; Shiryaev, A.; Loschenov, V.; Ramenskaya, G. Methylene blue in anticancer photodynamic therapy: Systematic review of preclinical studies. Front. Pharmacol. 2023, 14, 1264961. [Google Scholar] [CrossRef]
- Makarov, V.I.; Skobeltsin, A.S.; Averchuk, A.S.; Berdnikov, A.K.; Chinenkova, M.V.; Salmina, A.B.; Loschenov, V.B. Effect of photodynamic therapy with the photosensitizer methylene blue on cerebral endotheliocytes In Vitro. Photonics 2024, 11, 316. [Google Scholar] [CrossRef]
- dos Santos, A.F.; Terra, L.F.; Wailemann, R.A.M.; Oliveira, T.C.; Gomes, M.; Mineiro, M.F.; Meotti, F.C.; Bruni-Cardoso, A.; Baptista, M.S.; Labriola, L. Methylene blue photodynamic therapy induces selective and massive cell death in human breast cancer cells. BMC Cancer 2017, 17, 194. [Google Scholar] [CrossRef]
- Yu, J.; Hsu, C.H.; Huang, C.C.; Chang, P.Y. Development of therapeutic Au-methylene blue nanoparticles for targeted photodynamic therapy of cervical cancer cells. ACS Appl. Mater. Interfaces 2015, 7, 432–441. [Google Scholar] [CrossRef]
- Khdair, A.; Chen, D.; Patil, Y.; Ma, L.; Dou, Q.P.; Shekhar, M.P.V.; Panyam, J. Nanoparticle-mediated combination chemotherapy and photodynamic therapy overcomes tumor drug resistance. J. Control. Release 2010, 141, 137–144. [Google Scholar] [CrossRef]
- Hah, H.J.; Kim, G.; Lee, Y.E.K.; Orringer, D.A.; Sagher, O.; Philbert, M.A.; Kopelman, R. Methylene blue-conjugated hydrogel nanoparticles and tumor-cell targeted photodynamic therapy. Macromol. Biosci. 2011, 11, 90–99. [Google Scholar] [CrossRef]
- Kuo, S.H.; Wu, P.T.; Huang, J.Y.; Chiu, C.P.; Yu, J.; Liao, M.Y. Fabrication of anisotropic Cu ferrite-polymer core-shell nanoparticles for photodynamic ablation of cervical cancer cells. Nanomaterials 2020, 10, 2429. [Google Scholar] [CrossRef] [PubMed]
- Kim, K.S.; Kim, Y.S.; Bao, K.; Wada, H.; Choi, H.S.; Hahn, S.K. Bioimaging of botulinum toxin and hyaluronate hydrogels using zwitterionic near-infrared fluorophores. Biomater. Res. 2017, 21, 15. [Google Scholar] [CrossRef] [PubMed]
- Guo, X.; Yang, N.; Ji, W.; Zhang, H.; Dong, X.; Zhou, Z.; Li, L.; Shen, H.-M.; Yao, S.Q.; Huang, W. Mito-bomb: Targeting mitochondria for cancer therapy. Adv. Mater. 2021, 33, 2007778. [Google Scholar] [CrossRef] [PubMed]
- Thomas, A.P.; Palanikumar, L.; Jeena, M.T.; Kim, K.; Ryu, J.H. Cancer-mitochondria-targeted photodynamic therapy with supramolecular assembly of HA and a water soluble NIR cyanine dye. Chem. Sci. 2017, 8, 8351–8356. [Google Scholar] [CrossRef]
- Sun, Y.; Wang, Y.; Liu, Y.; Weng, B.; Yang, H.; Xiang, Z.; Ran, J.; Wang, H.; Yang, C. Intelligent tumor microenvironment-activated multifunctional nanoplatform coupled with turn-on and always-on fluorescence probes for imaging-guided cancer treatment. ACS Appl. Mater. Interfaces 2021, 13, 53646–53658. [Google Scholar] [CrossRef]
- Fang, C.; Yan, P.; Ren, Z.; Wang, Y.; Cai, X.; Li, X.; Han, G. Multifunctional MoO2-ICG nanoplatform for 808nm-mediated synergetic photodynamic/photothermal therapy. Appl. Mater. Today 2019, 15, 472–481. [Google Scholar] [CrossRef]
- Deng, K.; Hou, Z.; Deng, X.; Yang, P.; Li, C.; Lin, J. Enhanced antitumor efficacy by 808 nm laser-induced synergistic photothermal and photodynamic therapy based on a indocyanine-green-attached W18O49 nanostructure. Adv. Funct. Mater. 2015, 25, 7280–7290. [Google Scholar] [CrossRef]
- Xue, P.; Yang, R.; Sun, L.; Li, Q.; Zhang, L.; Xu, Z.; Kang, Y. Indocyanine green-conjugated magnetic prussian blue nanoparticles for synchronous photothermal/photodynamic tumor therapy. Nano-Micro Lett. 2018, 10, 74. [Google Scholar] [CrossRef]
- Fukasawa, T.; Hashimoto, M.; Nagamine, S.; Aoki, H.; Shinto, H.; Ito, S.; Ohshima, M. Fabrication of ICG dye-containing particles by growth of polymer/salt aggregates and measurement of photoacoustic signals. Chem. Lett. 2014, 43, 495–497. [Google Scholar] [CrossRef]
- Yu, J.; Javier, D.; Yaseen, M.A.; Nitin, N.; Richards-Kortum, R.; Anvari, B.; Wong, M.S. Self-assembly synthesis, tumor cell targeting, and photothermal capabilities of antibody-coated indocyanine green nanocapsules. J. Am. Chem. Soc. 2010, 132, 1929–1938. [Google Scholar] [CrossRef]
- Sun, Q.; Wang, Z.; Liu, B.; Jia, T.; Wang, C.; Yang, D.; He, F.; Gai, S.; Yang, P. Self-generation of oxygen and simultaneously enhancing photodynamic therapy and MRI effect: An intelligent nanoplatform to conquer tumor hypoxia for enhanced phototherapy. Chem. Eng. J. 2020, 390, 124624. [Google Scholar] [CrossRef]
- Huang, P.Y.; Zhu, Y.Y.; Zhong, H.; Chen, P.L.; Shi, Q.Y.; Chen, J.Y.; Lai, J.M.; Tu, Y.F.; Liu, S.W.; Liu, L.H. Autophagy-inhibiting biomimetic nanodrugs enhance photothermal therapy and boost antitumor immunity. Biomater. Sci. 2022, 10, 1267–1280. [Google Scholar] [CrossRef]
- Jung, H.S.; Lee, J.H.; Kim, K.; Koo, S.; Verwilst, P.; Sessler, J.L.; Kang, C.; Kim, J.S. A mitochondria-targeted cryptocyanine-based photothermogenic photosensitizer. J. Am. Chem. Soc. 2017, 139, 9972–9978. [Google Scholar] [CrossRef] [PubMed]
- Yaqoob, M.D.; Xu, L.; Li, C.; Leong, M.M.L.; Xu, D.D. Targeting mitochondria for cancer photodynamic therapy. Photodiagnosis Photodyn. Ther. 2022, 38, 102830. [Google Scholar] [CrossRef] [PubMed]
- Chakrabortty, S.; Agrawalla, B.K.; Stumper, A.; Vegi, N.M.; Fischer, S.; Reichardt, C.; Kögler, M.; Dietzek, B.; Feuring-Buske, M.; Buske, C. Mitochondria targeted protein-ruthenium photosensitizer for efficient photodynamic applications. J. Am. Chem. Soc. 2017, 139, 2512–2519. [Google Scholar] [CrossRef] [PubMed]
- Wang, Y.; Xu, Y.; Song, J.; Liu, X.; Liu, S.; Yang, N.; Wang, L.; Liu, Y.; Zhao, Y.; Zhou, W. Tumor Cell-Targeting and Tumor Microenvironment-Responsive Nanoplatforms for the Multimodal Imaging-Guided Photodynamic/Photothermal/Chemodynamic Treatment of Cervical Cancer. Int. J. Nanomed. 2024, 19, 5837–5858. [Google Scholar] [CrossRef]
- Cline, B.; Delahunty, I.; Xie, J. Nanoparticles to mediate X-ray-induced photodynamic therapy and Cherenkov radiation photodynamic therapy. Wiley Interdiscip. Rev. Nanomed. Nanobiotechnol. 2019, 11, e1541. [Google Scholar] [CrossRef]
- Lioret, V.; Bellaye, P.S.; Arnould, C.; Collin, B.; Decréau, R.A. Dual Cherenkov radiation-induced near-infrared luminescence imaging and photodynamic therapy toward tumor resection. J. Med. Chem. 2020, 63, 9446–9456. [Google Scholar] [CrossRef]
- Teng, M.; Liang, X.; Liu, H.; Li, Z.; Gao, X.; Zhang, C.; Cheng, H.; Chen, H.; Liu, G. Cerenkov radiation shining a light for cancer theranostics. Nano Today 2024, 55, 102174. [Google Scholar] [CrossRef]
- Loschenov, V.; Savelieva, T.; Grachev, P.; Linkov, K.; Maklygina, Y.; Romanishkin, I.; Ryabova, A.; Kustov, D.; Goryajnov, S.; Potapov, A. Possible approaches to fluorescence diagnosis and photodynamic therapy for deep-seated tumors. Proc. SPIE 2019, 11070, 202–215. [Google Scholar]
- Chen, Y.-A.; Li, J.-J.; Lin, S.-L.; Lu, C.-H.; Chiu, S.-J.; Jeng, F.-S.; Chang, C.-W.; Yang, B.-H.; Chang, M.-C.; Ke, C.-C. Effect of cerenkov radiation-induced photodynamic therapy with 18F-FDG in an intraperitoneal xenograft mouse model of ovarian cancer. Int. J. Mol. Sci. 2021, 22, 4934. [Google Scholar] [CrossRef]
- Lovell, J.F.; Liu, T.W.B.; Chen, J.; Zheng, G. Activatable photosensitizers for imaging and therapy. Chem. Rev. 2010, 110, 2839–2857. [Google Scholar] [CrossRef]







| Reference Year Country | Localization HPV Type | Numbers of Patients | PS Concentration Accumulation Time, h | Wavelength, nm Power Density, mW/cm2 Energy Density, J/cm2 Exposure, Min | Repetition Rate Number of Courses | Diagnostics | HPV Outcomes | Lesion Outcomes |
|---|---|---|---|---|---|---|---|---|
| Wang [76] 2010 China | CIN II: 80% (4/5), CIN III: 20% (1/5) HPV 16: 80% (4/5), HPV 59: 20% (1/5) | 5 | 5-ALA 118 mg/g 3–4 | 635 100–150 100 20–28 | Once every 1–2 weeks 2–4 | Biopsy, histology, colposcopy, HPV DNA testing | 80% (4/5)—negative, 20% (1/5)—positive | 80% (4/5)—CR for 9 months after 3–4 courses, 20% (1/5)—PR for 6 months |
| Chen [77] 2011 China | CCA HR-HPV | 48 | 5-ALA 20% 3 | 630 100 100 Not | Once every week 3 | Biopsy, histology, electron microscopy, HPV immunohistochemistry stain | Not | 95.8% (46/48)—CR after 3 courses |
| Wang [78] 2012 China | CCA HPV 16: 1.8% (1/56), HPV 18: 1.8% (1/56), HPV 6: 28.6% (16/56), HPV 11: 48.2% (27/56), HPV 16 and HPV 6: 5.4% (3/56), HPV 16 and HPV 11: 10.7% (6/56), HPV 18 and HPV 6: 3.6% (2/56), HPV18 and HPV 11: 1.8% (1/56) | 56 | 5-ALA 10% 4 | 635 100 100 Not | Once every 2 weeks 1–4 | Colposcopy, histology, HPV genotyping | 83.9% (47/56)—negative after 4 courses | 98.2% (55/56)—CR after 4 courses |
| Fu [79] 2016 China | CIN I HR-HPV | Total: 76 (treatment group—39; control group—37) | 5-ALA 10% 3 | 635 Not 100 Not | Once every 2 week 3 | Hybrid capture HPV DNA assay, TCT, colposcopy | Treatment group: 64.10% (25/39); control group at 3 months: 4.32% (9/37); treatment group: 76.92% (30/39) at 9 months; control group: 32.40% (12/37) at 9 months | Treatment group: 81.81% (9/11) at 3 months; control group: 12.50% (1/8) at 3 months; treatment group: 90.90% (10/11) at 9 months; control group: 25.00% (2/8) at 9 months; treatment group: 83.3% (5/6)—CR at 9 months; control group: 0% (0/5)—CR at 9 months |
| Liu [80] 2016 China | CIN I | Total: 110 (treatment group—55; control group—55) | 5-ALA 20% 3 | 632.8 Not 100 40–50 | Once every 7–10 days 4 | Colposcopy, TCT, HPV DNA | Treatment group, total: 92.73% (51/55) (81.81% (45/55) at 6 months and 10.91% (6/55) at 9 months); control group, total: 60.0% (33/55) (52.73% (29/55) at 6 months and 7.27% (4/55) at 9 months) | Treatment group, total: 98.18% (54/55) (92.72 (51/55)—cure, 5.45% (3/55)—improvement, 1.18% (1/55)—invalid); control group, total: 70.91% (39/55)—cure, 10.91% (6/55)—improvement, 29.09% (16/55)—invalid |
| Maździarz [81] 2019 Poland | SCC: 2, VLS: 2, genital warts: 1, VIN I: 1, CIN III: 2, CIN I: 2 HPV 16: 5, HPV 31: 1, HPV 42: 1 | 10 | 5-ALA 5% 3 | 590–760 204 120 10 | Once every week 10 | Colposcopy, vulvoscopy, biopsy, histology, HPV DNA testing | 17% (1/6)—negative | 90% (9/10)—CR; 10% (1/10)—PR |
| Ran [82] 2021 China | CIN I: 61.11% (33/54); CIN III: 18.52% (10/54); Simple HR-HPV: 20.37% (11/54) HR-HPV | 54 | 5-ALA 20% 3 | 635 Not Cervix: 100; Cervical canal: 350 Not | Once every week 6 | Fluorescence quantitative PCR for HPV detection, colposcopy, colposcopy-guided biopsy for CIN detection | CIN I: 63.64% (14/22) after 6 courses; CIN III: 50% (4/8) after 6 courses; simple HR-HPV: 71.43% (5/7) after 6 courses | CIN I: 69.57% (16/23) at 10 weeks; CIN III: 75% (6/8) at 10 weeks; simple HR-HPV: 80% (4/5) at 10 weeks |
| Wu [83] 2021 China | CIN II HR-HPV 16, 18: 51.61% (16/31); Other 12 HR-HPV: 48.39% (15/31) | 31 | 5-ALA 20% 4 | 635 Not 100 Not | Once every 1–2 weeks 3 | Cytology, HPV genotyping, colposcopy-directed biopsy | 70.97% (22/31)—CR for 6 months; 62.96% (17/27)—CR for 12 months; 29.03% (9/31); 37.04% (10/27)—CR for 12 months | Disappearance: 77.78% (21/27); regression: 14.81% (4/27); persistence: 7.41% (2/27) |
| Qu [84] 2022 China | CIN III HR-HPV | 96 | 5-ALA 20% 4 | 635 Not 100 20 | Once every 1–2 weeks 6 | Biopsy, histology, colposcopy, TCT, HPV typing | 79.17% (76/96)—negative after 3 months | 89.58% (86/96)—CR after 3 months |
| Hu [75] 2022 China | CIN II: 18; CIN III: 4 HR-HPV 16, 18, 31, 33, 45, 51, 52, 56, 58, 59, 66, 68, 82 (single type: 59.09% (13/22); two or more types: 40.91% (9/22)) | 22 | 5-ALA 20% 4 | 635 Not 100 4 | Once every week 6 | TCT, HPV DNA testing, HPV E6/E7 mRNA examination, colposcopy, biopsy, immunohistochemistry detection | 54.55% (12/22)—negative after 3 months; 86.36% (19/22)—negative—after 6 months | 81.82% (18/22)—CR after 3 months; 90.91% (20/22)—CR after 6 months |
| Bizoń [85] 2022 Poland | VLS, VIN, CIN, EIN Not | Total: 182 (group 1 (patients with VIN, CIN, EIN): 44; group 2 (patients with family cancer history): 51; group 3 (control): 87) | 5-ALA 2 mg/mL 2 | 630 204 Not 10 | Once every week 10 | Vulvoscopy, questionnaire | Not | Vulvar changes: (group 1: 21.9%; group 2: 21.2%, group 3: 21.8%); itching: (group 1: 39.3%; group 2: 35.5%, group 3: 42.5%) |
| Reference Year Country | Localization HPV Type | Numbers of Patients | PS Concentration Accumulation Time, h | Wavelength, nm Power Density, mW/cm2 Energy Density, J/cm2 Exposure, Min | Repetition Rate Number of Courses | Diagnostics | HPV Outcomes | Lesion Outcomes |
|---|---|---|---|---|---|---|---|---|
| Soergel [93] 2010 Germany | CIN I: 12% (3/25), CIN II: 36% (9/25), CIN III: 52% (13/25) HR-HPV | 25 | HAL, MAL HAL: 10 mM, HAL: 40 mM, MAL: 1.2 M 12 | 633 Not 100 17 | Not 1–2 | Biopsy, histology, immunohistology, colposcopy | Not | Total: 64% (16/25): 36% (9/25)—CR after 6 months, 28% (7/25)—PR after 6 months |
| Soergel [94] 2012 Germany | CIN I: 9% (8/92), CIN II: 25% (23/92), CIN III: 39% (36/92) HR-HPV: 84% (65/77) | 92 | HAL, MAL HAL: 10 mM, HAL: 40 mM, MAL: 1.2 M 3, 12 | 633 25–100 25–100 17 | Once every 4 weeks 1–2 | Biopsy, histology, colposcopy, cytology, HPV DNA testing | 14/21 (67%) CR | Part 1, after 6 months: MAL 1.2 M, 3 h, 100 J/cm2: 50% (6/12); HAL 10.0 mM, 3 h, 100 J/cm2: 33% (4/12); HAL 40.0 mM, 3 h, 100 J/cm2: 46% (5/11); MAL/HAL, 3 h, 100 J/cm2: 43% (15/35); MAL 1.2 M, 12 h, 100 J/cm2: 18% (2/11); HAL 10.0 mM, 12 h, 100 J/cm2: 0% (0/11); HAL 40.0 mM, 12 h, 100 J/cm2: 20% (2/10); MAL/HAL, 12 h, 100 J/cm2: 13% (4/32); MAL 1.2 M, 3 + 12 h, 100 J/cm2: 35% (8/23); HAL 10.0 mM, 3 + 12 h, 100 J/cm2: 17% (4/23); HAL 40.0 mM, 3 + 12 h, 100 J/cm2: 33% (7/21); Part 2, after 6 months: HAL 40.0 mM, 3 h, 50 J/cm2: 33% (6/18); HAL 40.0 mM, 3 h, 25 J/cm2: 29% (2/7) |
| Hillemanns [95] 2014 Germany | CIN I HR-HPV: 43% (30/70) | Total: 70 (treatment group—47, control group—12, follow-up group—11) | HAL 100 mg 5 | 633 Not 50 17 | Once every 4 weeks 1–2 | Colposcopy, cytology, HPV testing | Treatment group: 73% (11/15)—negative; control + follow up group: 50% (5/10) | Treatment group: 57% (27/47)—CR after 6 months; control + follow up group: 25% (23/47) |
| Inada [96] 2014 Brazil | CIN I, CIN II Not | 23 | MAL 20 CIN I: 1, CIN II: 3 | 630 CIN I: 80, CIN II: 120 CIN I:100, CIN II: 150 21 | Single treatment protocol 1 | Colposcopy, Papanicolaou smear, biopsy, fluorescence imaging | Not | 100% (23/23)—CR |
| Hillemanns [97] 2015 Germany | CIN I: 118, CIN II: 89, placebo: 55 HR-HPV 16, 18 | 262 | HAL 0.2%, 1%, 5% 5 | 629 Not 100 276 | Not 1–2 | Biopsy, Papanicolaou test, HPV test | HAL 5%: 84% (16/19), HAL 1%: 48% (14/29), HAL 0.2%: 42% (8/19), Placebo: 38% (8/21) | HAL 5%: 95% (18/19), HAL 1%: 69% (20/29), HAL 0.2%: 63% (12/19), placebo: 57% (12/21) |
| Hass [90] 2017 Germany | CIN II HR-HPV 16 | Total: 2 (PDT group: 1; placebo group: 1) | HAL 0.2% Not | Not Not Not Not | Not 2 | Colposcopy, HPV testing, cytology, blood sampling | Not | Not |
| Reference Year Country | Localization HPV Type | Numbers of Patients | PS Concentration Accumulation Time, h | Wavelength, nm Power Density, mW/cm2 Energy Density, J/cm2 Exposure, Min | Repetition Rate Number of Courses | Diagnostics | HPV Outcomes | Lesion Outcomes |
|---|---|---|---|---|---|---|---|---|
| Istomin [101] 2010 Belarus | CIN II: 24, CIN III: 88 HR-HPV: 78.6% (88/112) | 112 | Ce6 1.0–2.5 mg/kg 3–4 | 670 >200 100 20 | Single treatment protocol 1 | Biopsy, histology, bacteriological and cytological examinations, colposcopy, Lugol’s iodine test, a PCR analysis of HPV | 53.4% (47/88) | 92.8% (104/112)—CR; 2.7% (3/112)—PR |
| Alekseeva [102] 2020 Russia | CIN I: 2, CIN II: 2, CIN III: 5, CIS: 1 HPV 16, 18, 6, 11 | 10 | Ce6 0.8–1.2 mg/kg 3 | 660 0.13–1.02 100–250 Not | Single treatment protocol 1 | Video- and spectral-fluorescence diagnostics, biopsy, a PCR analysis of HPV | 90% (9/10)—negative, 10% (1/10)—positive | 90% (9/10)—CR, 10% (1/10)—PR |
| Ivanova [103] 2020 Russia | CIS HR-HPV 16, 18, 31,33, 35, 45, 56: 82% (37/45) | Total: 45 (group 1, exocervix (type I–II)—24; group 2, endocervix (type III)—21) | Ce6 Not Not | 661 Not Not Not | Not 4–8 | Colposcopy, biopsy, histology, cytology, a PCR analysis of HPV | Group 1: 2.8%—positive; group 2: 3.2%—positive | Group 1: 84%—CR; group 2: 88%—CR |
| Ivanova [104] 2022 Russia | CIS, MIC T1a1N0M HR-HPV 16, 18, 31,33, 35, 45, 56: 82% (37/45) | Total: 74 (group 1, CIS, exocervix (type I–II)—36; group 2, CIS, endocervix (type III)—34; group 3, MIC—4) | Ce6 Not Not | 661 Not Not Not | Not 4–8 | Colposcopy, biopsy, histology, cytology, a PCR analysis of HPV | 5.1%—positive in 3 months; 0%—positive in 6 and 12 months | Group 1: 96%—CR; group 2: 95%—CR; group 3: 0% |
| Afanasiev [105] 2022 Russia | CIN II, CIN III, CIS HPV 16, 18, 33, 52 | 28 | Ce6 1.2 mg/kg 3 | 662 Not 400 Not | Not 1–3 | Liquid-based cytology, HPV-testing, colposcopy with acetic test and Schiller’s test | 82% (23/28)—negative in 3 months, 93% (26/28)—negative in 36 months | 93% (26/28)—CR in 12 months |
| Gilyadova [106] 2022 Russia | CIN I: 8, CIN II: 10, CIN III: 18, CIS: 8, Microinvasive SCC: 4, SCC: 4 HPV 16: 20, HPV 18: 16, HPV 6: 6, HPV 11: 4, HPV 35: 2, HPV 56: 4 | 52 | Ce6 0.8–1.2 mg/kg 3 | 660 Cervix: 290, cervical canal: 250 100–250 Not | Not 1–2 | Video- and spectral-fluorescence diagnostics, biopsy, histology, colposcopy, cytology, a PCR analysis of HPV | 92.3% (48/52)—negative after 1 course; 100% (52/52)—negative after 2 courses | 80.8% (42/52)—CR after 1 course; 100% (52/52) CR after 2 courses |
| Gilyadova [107] 2022 Russia | CIN III: 17, CIS: 28 HPV 16: 18, HPV 18: 14, HPV 33: 6, HPV 11: 2, HPV 35: 3, HPV 56: 2 | 45 | Ce6 1 mg/kg 2 | 660 Cervix: 290, cervical canal: 250 Cervix: 250–300, cervical canal: 200 Not | Once every 6 weeks 1–2 | Video- and spectral-fluorescence diagnostics, biopsy, histology, colposcopy, cytology, a PCR analysis of HPV | 100% (45/45)—negative | 88.9% (40/45)—CR; 11.1% (5/45)—PR |
| Gilyadova [108] 2024 Russia | CIN III, CIS HPV 16: (PDT group: 40% (18/45); conization group: 49% (24/49)); HPV 18: (PDT group: 31.1% (14/45); conization group: 20.5% (10/49)) | Total: 94 (PDT group: 45, conization group: 49) | Ce6 1 mg/kg 2 | 660 Cervix: 300, cervical canal: 200–250 Cervix: 350, cervical canal: 250 Not | Once every 6 weeks 1–2 | Video- and spectral-fluorescence diagnostics, biopsy, histology, colposcopy, cytology, a PCR analysis of HPV | PDT group: 91.1% —negative after 1 course; conization group: 69.4%—negative after 1 course | PDT group: 86.7% (39/45)—CR, 13.3% (6/45)—PR; conization group: 67.3% (33/49)—CR, 32.7% (16/49)—PR |
| Reference Year Country | Localization HPV Type | Numbers of Patients | PS Concentration Accumulation Time, h | Wavelength, nm Power Density, mW/cm2 Energy Density, J/cm2 Exposure, Min | Repetition Rate Number of Courses | Diagnostics | HPV Outcomes | Lesion Outcomes |
|---|---|---|---|---|---|---|---|---|
| Godoy [113] 2013 USA | Cervical, vaginal and anal lesions and other Not | Total: 32 (cervical, vaginal, and anal lesions: 21; other: 11) | Photofrin II 2 mg/kg 48 | 630 Not Not Not | Not 1–4 | Biopsy, histology | Not | Cervical, vaginal, and anal lesions: 24% (5/21)—CR |
| Choi [114] 2013 Korea | CIN II: 4, CIN III: 22, CIS: 31, AIS: 2 HPV 16: 33, HPV 18: 3, HPV 31: 5, HPV 33: 1, HPV 58: 1, HPV 66: 1 | Total: 59 (group 1, PDT: 13; group 2, PDT + LEEP/cone: 15; group 3, PDT within 3 months after LEEP/cone due to positive margin: 25; group 4, PDT due to recurrent CIN at least 12 months after LEEP/cone: 6) | Photogem 2 mg/kg 48 | 630 150 150 3 | Single treatment protocol 1 | Papanicolaou smear, colposcopy, HPV test, punch biopsy | 89.8% (44/49)—negative after 3 months, 87% (40/46)—negative after 12 months | 98.1% (52/53)—CR |
| Reference Year Country | Localization HPV Type | Numbers of Patients | PS Concentration Accumulation Time, h | Wavelength, nm Power Density, mW/cm2 Energy Density, J/cm2 Exposure, Min | Repetition Rate Number of Courses | Diagnostics | HPV Outcomes | Lesion Outcomes |
|---|---|---|---|---|---|---|---|---|
| Olejek [118] 2010 Poland | VLS Not | 100 | 5-ALA 5% 3 | Halogen light Not Not Not | Once every 2 weeks 10 | Biopsy, histology, immunohistochemical staining | Not | 61% (61/100)—PR |
| Osiecka [119] 2012 Poland | VLS Not | 1 | 5-ALA Not 4 | 630 100 150 Not | Once in 4 weeks, 6 months, 6 weeks, 3–4 months 6 | Not | Not | 100%—PR after 6 courses |
| Lei [117] 2016 China | VLS Not | Total: 40 (PDT group: 20; clobetasol propionate group: 20) | 5-ALA 10% 3 | 633 100 100 Not | Once every 2 weeks 4 | Photograph, horizontal VAS, PpIX fluorescence imaging | Not | PDT group: 70% (14/20)—CR, 20% (4/20)—PR; clobetasol propionate group: 35% (7/20)—CR, 30% (6/20)—PR |
| Olejek [120] 2017 Poland | VLS Not | Total: 100 (group 1: 40, group 2: 60) | 5-ALA 10% 3 | Group 1: 630, group 2: VIS + IRA 750, 580–1400 40–80 100 10–30 | Once every 2 weeks 10 | Peripheral blood sampling | Not | 41% (41/100)—PR; 51% (51/100)—no symptoms; 8% (8/100)—persistent or worsened symptoms |
| Maździarz [121] 2017 Poland | VLS Not | 102 | 5-ALA 5% 3 | 590–760 204 120 10 | Once every week 10 | Biopsy, vulvoscopy | Not | 87.25% (89/102)—CR or PR |
| Osiecka [122] 2017 Poland | VLS Not | 11 | 5-ALA 20% 5 | 540 85 62.5 2 | Once every 2 weeks 3 | PDD | Not | Itching (VRS score): 81.8% (9/11)—lack, 9.1% (1/11)—weak, 9.1% (1/11) moderate, 0% (0/11)—severe after 2 months; 72.7% (8/11)—lack, 18.2% (2/11)—weak, 9.1% (1/11)—moderate, 0% (0/11)—severe after 4 months; 63.6% (7/11)—lack, 27.3% (3/11)—weak, 9.1% (1/11)—moderate, 0% (0/11)—severe after 6 months |
| Lan [123] 2018 China | VLS Not | 10 | 5-ALA 10% 3 | 635 100 100 20 | Once every 2 weeks 3 | Biopsy, histology | Not | Itching: 90% (9/10)—CR; 10% (1/10)—PR |
| Maździarz [81] 2019 Poland | SCC: 2, VLS: 2, genital warts: 1, VIN I: 1, CIN III: 2, CIN I: 2 HPV 16: 5, HPV 31: 1, HPV 42: 1 | 10 | 5-ALA 5% 3 | 590–760 204 120 10 | Once every week 10 | Colposcopy, vulvoscopy, biopsy, histology, HPV DNA testing | 17% (1/6)—negative | 90% (9/10)—CR; 10% (1/10)—PR |
| Li [124] 2020 China | VLS Not | 10 | 5-ALA 20% 3 | 635 80 80 30 | Once every week 4–9 | Biopsy, histology | Not | 92.31%—CR |
| Cao [125] 2020 China | VLS Not | 1 | 5-ALA 10% 3 | 635 200 100 Not | Once every week 3 | Biopsy, histology, PDD | Not | 100%—CR after 3 courses |
| Zhang [126] 2020 China | VLS Not | 30 | 5-ALA 20% 3 | 635 60–90 60–0 20 | Once every 2 week 3 | Clinical diagnosis, biopsy, histology, HPV detection | Not | 90% (27/30)—CR; 10% (3/30)—PR |
| Zhang [127] 2021 China | VLS Not | 30 | 5-ALA 20% 3 | 635 60–90 100–150 20 | Once every 2 week 3 | Biopsy, histology | Not | 90% (27/30)—CR; 10% (3/30)—PR |
| Liu [128] 2021 China | VLS Not | 24 | 5-ALA 20% 3 | 633 60 Not 30 | Once every 2 weeks 6 | Dermoscopy | 100 | 100% (24/24)—improvement |
| Zielińska [129] 2021 Poland | VLS HPV | 73 | 5-ALA 5% 120 | 630 204 120 10 | Once every week 3 | Vulvoscopic examination, PDD, biopsy, histology, HPV DNA testing | 23% (17/73)—positive, 77% (56/73)—negative | 75% (55/73)—CR |
| Bizoń [85] 2022 Poland | VLS, VIN, CIN, EIN Not | Total: 182 (group 1 (patients with VIN, CIN, EIN: 44; group 2 (patients with family cancer history): 51; group 3 (control): 87) | 5-ALA 2 mg/mL 2 | 630 204 Not 10 | Once every week 10 | Vulvoscopy, questionnaire | Not | Vulvar changes: (group 1: 21.9%; group 2: 21.2%, group 3: 21.8%); itching: (group 1: 39.3%; group 2: 35.5%, group 3: 42.5%) |
| Wang [130] 2023 China | VLS Not | 31 | 5-ALA 20% 3 | 633 60 Not 30 | Once every 2 weeks 2 | Clinical evaluation, HFUS, biopsy, histopathology | Not | Itching and burning pain: 30% (9/31)—CR after 2 courses |
| Qu [131] 2024 China | VLS Not | 42 | 5-ALA 20% 3–4 | 635 60–80 Not 30–40 | Once every 10 days 3–6 | Assessment of typical clinical symptoms and signs | Not | 83.33% (35/42)—CR |
| Zheng [132] 2024 China | VLS Not | 36 | 5-ALA 20% 3 | 635 83 100 30 | Once every week 6 | Biopsy, histology | Not | Itching: 66.76% (24/36)—CR, 27.78% (10/36)—PR; pain: 44.4% (16/36)—CR, 25% (9/36)—PR |
| Zhang [133] 2024 China | VLS Not | 7 | 5-ALA 20% Not | 633 60 108 30 | Once every 2 weeks 3 | Clinical evaluation, biopsy, histology | Not | Itching: 29% (2/7)—CR; pain: 50% (3/6)—CR |
| Cao [134] 2024 China | VLS Not | Total: 65 (group 1, early-stage: 44; group 2, late-stage: 21) | 5-ALA 20 3 | 635 60–80 Not 30 | Once every 1–2 weeks 3–6 | DLQI, FSFI evaluation | Not | Group 1: 90.91% (40/44); group 2: 76.19% (16/21) |
| Reference Year Country | Localization HPV Type | Numbers of Patients | PS Concentration Accumulation Time, h | Wavelength, nm Power Density, mW/cm2 Energy Density, J/cm2 Exposure, Min | Repetition Rate Number of Courses | Diagnostics | HPV Outcomes | Lesion Outcomes |
|---|---|---|---|---|---|---|---|---|
| Imbernón-Moya [136] 2016 Spain | VLS Not | 8 | MAL 160 mg/g 3 | 630 70 37 9 min 45 s | Once every 6–12 months 1–3 | VAS, DLQI, Biopsy, Histology | Not | Significant improvements in symptoms of the disease and quality of life in all patients |
Disclaimer/Publisher’s Note: The statements, opinions and data contained in all publications are solely those of the individual author(s) and contributor(s) and not of MDPI and/or the editor(s). MDPI and/or the editor(s) disclaim responsibility for any injury to people or property resulting from any ideas, methods, instructions or products referred to in the content. |
© 2025 by the authors. Licensee MDPI, Basel, Switzerland. This article is an open access article distributed under the terms and conditions of the Creative Commons Attribution (CC BY) license (https://creativecommons.org/licenses/by/4.0/).
Share and Cite
Alekseeva, P.; Makarov, V.; Efendiev, K.; Gilyadova, A.; Loschenov, V. Advances in Photodynamic Treatment of Precancerous and Cancerous Gynecological Diseases. Cancers 2025, 17, 2421. https://doi.org/10.3390/cancers17152421
Alekseeva P, Makarov V, Efendiev K, Gilyadova A, Loschenov V. Advances in Photodynamic Treatment of Precancerous and Cancerous Gynecological Diseases. Cancers. 2025; 17(15):2421. https://doi.org/10.3390/cancers17152421
Chicago/Turabian StyleAlekseeva, Polina, Vladimir Makarov, Kanamat Efendiev, Aida Gilyadova, and Victor Loschenov. 2025. "Advances in Photodynamic Treatment of Precancerous and Cancerous Gynecological Diseases" Cancers 17, no. 15: 2421. https://doi.org/10.3390/cancers17152421
APA StyleAlekseeva, P., Makarov, V., Efendiev, K., Gilyadova, A., & Loschenov, V. (2025). Advances in Photodynamic Treatment of Precancerous and Cancerous Gynecological Diseases. Cancers, 17(15), 2421. https://doi.org/10.3390/cancers17152421

