Transperineal Laser Ablation (TPLA) Treatment of Focal Low–Intermediate Risk Prostate Cancer
Abstract
Simple Summary
Abstract
1. Introduction
2. Materials and Methods
Statistical Analysis
3. Results
3.1. Oncological Outcomes
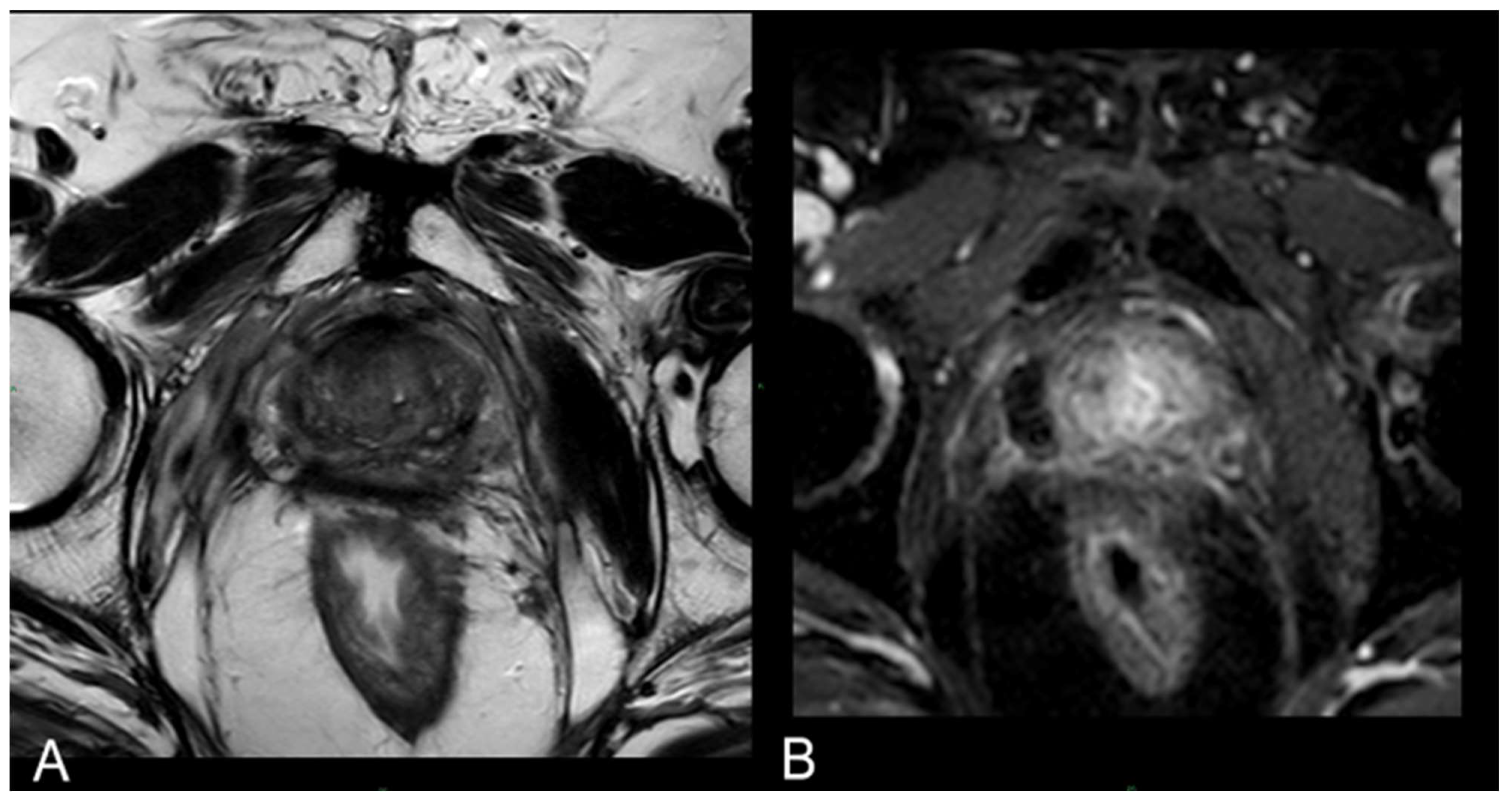
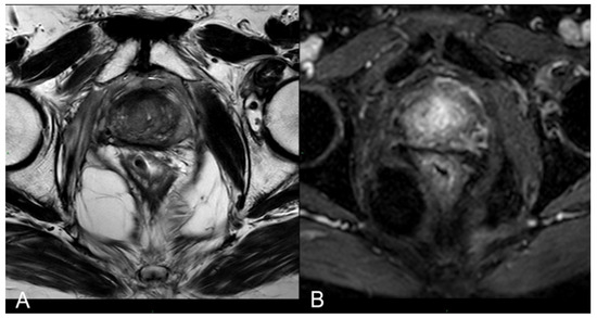
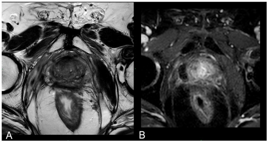
3.2. mpMRI-Derived Results
3.3. Functional Outcomes
4. Discussion
5. Conclusions
Supplementary Materials
Author Contributions
Funding
Institutional Review Board Statement
Informed Consent Statement
Data Availability Statement
Conflicts of Interest
References
- Sung, H.; Ferlay, J.; Siegel, R.L.; Laversanne, M.; Soerjomataram, I.; Jemal, A.; Bray, F. Global Cancer Statistics 2020: GLOBOCAN Estimates of Incidence and Mortality Worldwide for 36 Cancers in 185 Countries. CA Cancer J. Clin. 2021, 71, 209–249. [Google Scholar] [CrossRef] [PubMed]
- Ross, H.M.; Kryvenko, O.N.; Cowan, J.E.; Simko, J.P.; Wheeler, T.M.; Epstein, J.I. Do adenocarcinomas of the prostate with gleason score (GS)_6 have the potential to metastasize to lymph nodes? Am. J. Surg. Pathol. 2012, 36, 1346–1352. [Google Scholar] [CrossRef] [PubMed]
- Cooperberg, M.R.; Cowan, J.E.; Hilton, J.F.; Reese, A.C.; Zaid, H.B.; Porten, S.P.; Shinohara, K.; Meng, M.V.; Greene, K.L.; Carroll, P.R. Outcomes of active surveillance for men with intermediate-risk prostate cancer. J. Clin. Oncol. 2011, 29, 228–234. [Google Scholar] [CrossRef] [PubMed]
- Donovan, J.L.; Hamdy, F.C.; Lane, J.A.; Mason, M.; Metcalfe, C.; Walsh, E.; Blazeby, J.M.; Peters, T.J.; Holding, P.; Bonnington, S.; et al. Patient-Reported Outcomes after Monitoring, Surgery, or Radiotherapy for Prostate Cancer. N. Engl. J. Med. 2016, 375, 1425–1437. [Google Scholar] [CrossRef]
- Mottet, N.; Bellmunt, J.; Briers, E.; Bolla, M.; Bourke, L.; Cornford, P. Guidelines on Prostate Cancer. In Proceedings of the EAU Annual Congress, Milan, Italy, 8–12 July 2021; EAU Guidelines Office: Arnhem, The Netherlands, 2021. ISBN 978-94-92671-13-4. [Google Scholar]
- Ahdoot, M.; Lebastchi, A.H.; Turkbey, B.; Wood, B.; Pinto, P.A. Contemporary treatments in prostate cancer focal therapy. Curr. Opin. Oncol. 2019, 31, 200–206. [Google Scholar] [CrossRef] [PubMed]
- Manenti, G.; Perretta, T.; Calcagni, A.; Ferrari, D.; Ryan, C.P.; Fraioli, F.; Meucci, R.; Malizia, A.; Iacovelli, V.; Agrò, E.F.; et al. 3-T MRI and clinical validation of ultrasound-guided transperineal laser ablation of benign prostatic hyperplasia. Eur. Radiol. Exp. 2021, 5, 41. [Google Scholar] [CrossRef] [PubMed]
- van Riel, L.A.; van Kollenburg, R.A.; Vis, A.N.; van Leeuwen, P.J.; de Reijke, T.M.; de Bruin, D.M.; Oddens, J.R. Safety and Feasibility of Soractelite Transperineal Focal Laser Ablation for Prostate Cancer and Short-term Quality of Life Analysis from a Multicenter Pilot Study. Eur. Urol. Open Sci. 2022, 39, 48–54. [Google Scholar] [CrossRef] [PubMed]
- Chai, W.; Zhao, Q.; Song, H.; Cheng, C.; Tian, G.; Jiang, T. Treatment response and preliminary efficacy of hepatic tumour laser ablation under the guidance of percutaneous and endoscopic ultrasonography. World J. Surg. Oncol. 2019, 17, 133. [Google Scholar] [CrossRef] [PubMed]
- Eggener, S.E.; Yousuf, A.; Watson, S.; Wang, S.; Oto, A. Phase II evaluation of magnetic resonance imaging guided focal laser ablation of prostate cancer. J. Urol. 2016, 196, 1670–1675. [Google Scholar] [CrossRef]
- Lindner, U.; Weersink, R.A.; Haider, M.A.; Gertner, M.R.; Davidson, S.R.; Atri, M.; Wilson, B.C.; Fenster, A.; Trachtenberg, J. Image guided photothermal focal therapy for localized prostate cancer: Phase I trial. J. Urol. 2009, 182, 1371–1377. [Google Scholar] [CrossRef]
- Natarajan, S.; Raman, S.; Priester, A.M.; Garritano, J.; Margolis, D.J.; Lieu, P.; Macairan, M.L.; Huang, J.; Grundfest, W.; Marks, L.S. Focal Laser Ablation of Prostate Cancer: Phase I Clinical Trial. J. Urol. 2015, 196, 68–75. [Google Scholar] [CrossRef] [PubMed]
- Nahar, B.; Atluri, S.; Mouzannar, A.; Venkatramani, V.; Parekh, D. Focal therapy for localized prostate cancer—Current status. Indian J. Urol. 2022, 38, 7–14. [Google Scholar] [CrossRef] [PubMed]
- Lodeizen, O.; de Bruin, M.; Eggener, S.; Crouzet, S.; Ghai, S.; Varkarakis, I.; Katz, A.; Dominguez-Escrig, J.L.; Pahernik, S.; de Reijke, T.; et al. Ablation energies for focal treatment of prostate cancer. World J. Urol. 2018, 37, 409–418. [Google Scholar] [CrossRef]
- da Silva, R.D.; Kim, F.J. Prostate Cancer—Local Treatment after Radiorecurrence: Salvage Cryoablation. Int. Braz. J. Urol. 2018, 44, 435–439. [Google Scholar] [CrossRef] [PubMed]
- Cordeiro, E.R.; Cathelineau, X.; Thüroff, S.; Marberger, M.; Crouzet, S.; de la Rosette, J.J. High-intensity focused ultrasound (HIFU) for definitive treatment of prostate cancer. BJU Int. 2012, 110, 1228–1242. [Google Scholar] [CrossRef] [PubMed]
- Bakavicius, A.; Marra, G.; Macek, P.; Robertson, C.; Abreu, A.L.; George, A.K.; Malavaud, B.; Coloby, P.; Rischmann, P.; Moschini, M.; et al. Available evidence on HIFU for focal treatment of prostate cancer: A systematic review. Int. Braz. J. Urol. 2022, 48, 263–274. [Google Scholar] [CrossRef]
- Ghai, S.; Finelli, A.; Corr, K.; Lajkosz, K.; McCluskey, S.; Chan, R.; Gertner, M.; van der Kwast, T.H.; Incze, P.F.; Zlotta, A.R.; et al. MRI-guided Focused Ultrasound Focal Therapy for Intermediate-Risk Prostate Cancer: Final Results from a 2-year Phase II Clinical Trial. Radiology 2024, 310, e231473. [Google Scholar] [CrossRef] [PubMed]
- Natarajan, S.; Jones, T.A.; Priester, A.M.; Geoghegan, R.; Lieu, P.; Delfin, M.; Felker, E.; Margolis, D.J.A.; Sisk, A.; Pantuck, A.; et al. Focal laser ablation of prostate cancer: Feasibility of magnetic resonance imaging-ultrasound fusion for guidance. J. Urol. 2017, 198, 839–847. [Google Scholar] [CrossRef] [PubMed]
- Feller, J.; Greenwood, B.; Jones, W.; Toth, R. Mp30-02 transrectally delivered, outpatient MRI-guided laser focal therapy of pros-tate cancer: Seven year interim results of NCT #02243033. J. Urol. 2018, 199, e374–e375. [Google Scholar]
- Pacella, C.M.; Patelli, G.; Iapicca, G.; Manenti, G.; Perretta, T.; Ryan, C.P.; Esposito, R.; Mauri, G. Transperineal laser ablation for percutaneous treatment of benign prostatic hyperplasia: A feasibility study. Results at 6 and 12 months from a retrospective multi-centric study. Prostate Cancer Prostatic Dis. 2019, 23, 356–363. [Google Scholar] [CrossRef]
- Patelli, G.; Ranieri, A.; Paganelli, A.; Mauri, G.; Pacella, C.M. Transperineal Laser Ablation for Percutaneous Treatment of Benign Prostatic Hyperplasia: A Feasibility Study. Cardiovasc. Interv. Radiol. 2017, 40, 1440–1446. [Google Scholar] [CrossRef] [PubMed]
- Frego, N.; Saita, A.; Casale, P.; Diana, P.; Contieri, R.; Avolio, P.P.; Lazzeri, M.; Hurle, R.; Buffi, N.M.; Guazzoni, G.F.; et al. Feasibility, safety, and efficacy of ultrasound-guided transperineal laser ablation for the treatment of benign prostatic hyperplasia: A single institutional experience. World J. Urol. 2021, 39, 3867–3873. [Google Scholar] [CrossRef] [PubMed]
- Lepor, H.; Llukani, E.; Sperling, D.; Fütterer, J.J. Complications, recovery, and early functional outcomes and oncologic control following in-bore focal laser ablation of prostate cancer. Eur. Urol. 2015, 68, 924–926. [Google Scholar] [CrossRef] [PubMed]
- Hamdy, F.C.; Donovan, J.L.; Lane, J.A.; Mason, M.; Metcalfe, C.; Holding, P.; Davis, M.; Peters, T.J.; Turner, E.L.; Martin, R.M.; et al. 10-year outcomes after monitoring, surgery, or radiotherapy for localized prostate cancer. N. Engl. J. Med. 2016, 375, 1415–1424. [Google Scholar] [CrossRef] [PubMed]
- Engeler, D.S.; Schwab, C.; Thöni, A.F.; Hochreiter, W.; Prikler, L.; Suter, S.; Stucki, P.; Schiefer, J.; Plasswilm, L.; Schmid, H.-P.; et al. PSA bounce after 125I-brachytherapy for prostate cancer as a favorable prognosticator. Strahlenther. Onkol. 2015, 191, 787–791. [Google Scholar] [CrossRef] [PubMed]
- Di Trani, M.G.; Nezzo, M.; Caporale, A.S.; De Feo, R.; Miano, R.; Mauriello, A.; Bove, P.; Manenti, G.; Capuani, S. Performance of Diffusion Kurtosis Imaging Versus Diffusion Tensor Imaging in Discriminating Between Benign Tissue, Low and High Gleason Grade Prostate Cancer. Acad. Radiol. 2019, 26, 1328–1337. [Google Scholar] [CrossRef] [PubMed]
- Manenti, G.; Carlani, M.; Mancino, S.; Colangelo, V.; Di Roma, M.; Squillaci, E.; Simonetti, G. Diffusion tensor magnetic resonance imaging of prostate cancer. Investig. Radiol. 2007, 42, 412–419. [Google Scholar] [CrossRef]
- Manenti, G.; Nezzo, M.; Chegai, F.; Vasili, E.; Bonanno, E.; Simonetti, G. DWI of Prostate Cancer: Optimalb-Value in Clinical Practice. Prostate Cancer 2014, 2014, 868269. [Google Scholar] [CrossRef]






| Inclusion Criteria | Exclusion Criteria |
|---|---|
| Male | Gleason score > 4 + 3 |
| Over 45 years old | Clinical stage > T2b |
| Prostate cancer histologically proven by US/MRI fusion biopsy with target and systematic samples (>12) | PSA > 20 ng/mL |
| Low risk of progression cancer (Gleason Score 3 + 3, PSA < 10 ng/mL, cT1–cT2a) in patients who refuse or wish to leave active surveillance protocols and who refuse other validated treatments | Presence of metastases detected by imaging |
| Intermediate risk of progression cancer (Gleason Score 3 + 4 or 4 + 3, PSA < 20 ng/mL, cT2b) | Coagulation disorders |
| Inadequate compliance | |
| Contraindications to MRI | |
| Paramagnetic contrast agent allergy | |
| Acute and/or chronic renal failure |
| Score | 0 Month Mean | 36 Months Mean | T | p-Value |
|---|---|---|---|---|
| IPSS | 7.35 | 6.7 | 1.818 | 0.085 |
| IIEF-5 | 14.2 | 15.05 | −1.704 | 0.105 |
| Patient | Gleason score at baseline | Gleason score of recurrence | Psa at baseline | Psa at the diagnosis of recurrence |
|---|---|---|---|---|
| Patient 1 | 4 + 3 | 3 + 4 | 9.6 ng/mL | 7.5 ng/mL |
| Patient 2 | 3 + 4 | 3 + 4 | 11.3 ng/mL | 9.5 mL |
| Patient 3 | 4 + 3 | 4 + 3 | 6.75 ng/mL | 7.1 ng/mL |
| Patient 4 | 3 + 3 | 3 + 4 | 4.5 ng/mL | 5.7 ng/mL |
| Patient 5 | 3 + 3 | 4 + 3 | 2.61 ng/mL | 3.49 ng/mL |
Disclaimer/Publisher’s Note: The statements, opinions and data contained in all publications are solely those of the individual author(s) and contributor(s) and not of MDPI and/or the editor(s). MDPI and/or the editor(s) disclaim responsibility for any injury to people or property resulting from any ideas, methods, instructions or products referred to in the content. |
© 2024 by the authors. Licensee MDPI, Basel, Switzerland. This article is an open access article distributed under the terms and conditions of the Creative Commons Attribution (CC BY) license (https://creativecommons.org/licenses/by/4.0/).
Share and Cite
Manenti, G.; Perretta, T.; Nezzo, M.; Fraioli, F.R.; Carreri, B.; Gigliotti, P.E.; Micillo, A.; Malizia, A.; Di Giovanni, D.; Ryan, C.P.; et al. Transperineal Laser Ablation (TPLA) Treatment of Focal Low–Intermediate Risk Prostate Cancer. Cancers 2024, 16, 1404. https://doi.org/10.3390/cancers16071404
Manenti G, Perretta T, Nezzo M, Fraioli FR, Carreri B, Gigliotti PE, Micillo A, Malizia A, Di Giovanni D, Ryan CP, et al. Transperineal Laser Ablation (TPLA) Treatment of Focal Low–Intermediate Risk Prostate Cancer. Cancers. 2024; 16(7):1404. https://doi.org/10.3390/cancers16071404
Chicago/Turabian StyleManenti, Gugliemo, Tommaso Perretta, Marco Nezzo, Federico Romeo Fraioli, Beatrice Carreri, Paola Elda Gigliotti, Andrea Micillo, Andrea Malizia, Daniele Di Giovanni, Colleen Patricia Ryan, and et al. 2024. "Transperineal Laser Ablation (TPLA) Treatment of Focal Low–Intermediate Risk Prostate Cancer" Cancers 16, no. 7: 1404. https://doi.org/10.3390/cancers16071404
APA StyleManenti, G., Perretta, T., Nezzo, M., Fraioli, F. R., Carreri, B., Gigliotti, P. E., Micillo, A., Malizia, A., Di Giovanni, D., Ryan, C. P., & Garaci, F. G. (2024). Transperineal Laser Ablation (TPLA) Treatment of Focal Low–Intermediate Risk Prostate Cancer. Cancers, 16(7), 1404. https://doi.org/10.3390/cancers16071404

