Is CT Radiomics Superior to Morphological Evaluation for pN0 Characterization? A Pilot Study in Colon Cancer
Abstract
Simple Summary
Abstract
1. Introduction
2. Materials and Methods
2.1. Patient Population and Study Design
2.2. CT Acquisition Technique
2.3. CT Scan Morphological Analysis
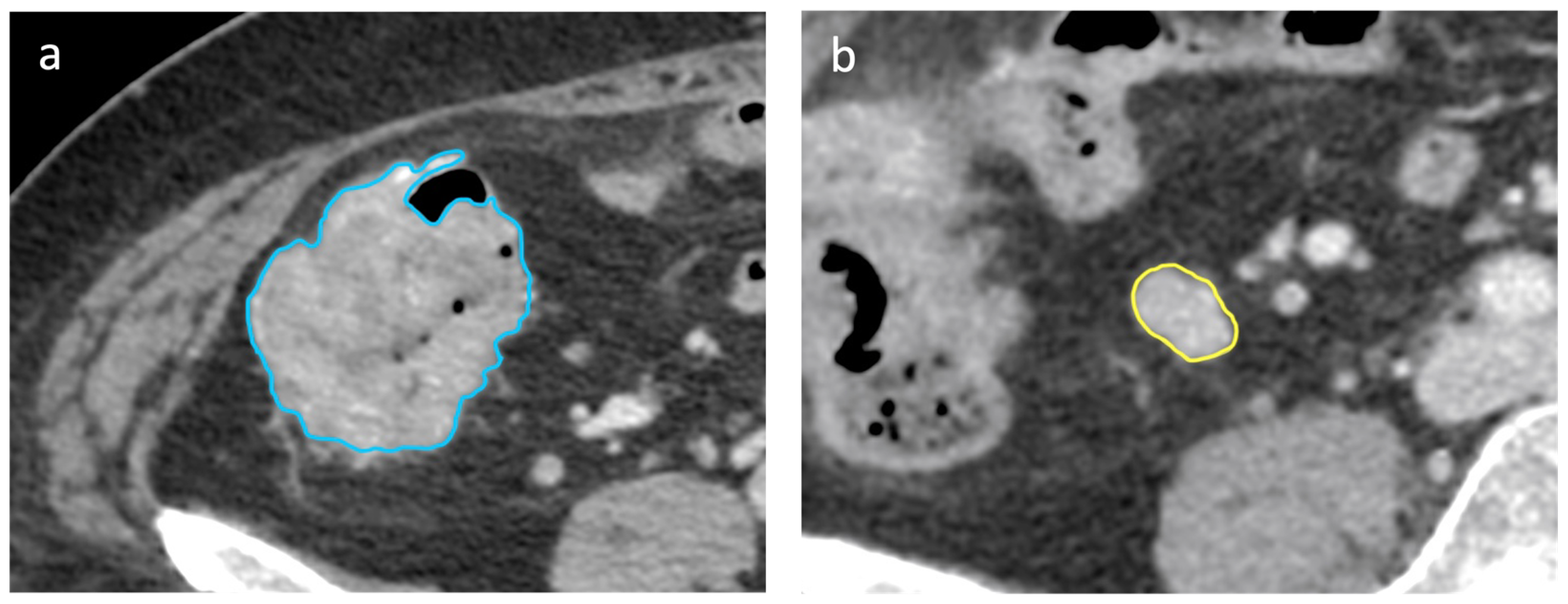
2.4. CT Scan Segmentation Analysis
2.5. Radiomic Features Extraction
2.6. Statistical Analysis
3. Results
3.1. Study Population
3.2. NODE-SCORE
3.3. D Segmentation and LN’s Radiomic Features
3.4. Lymph Node/Primary Lesion (LN/PL) Ratio
3.5. Validation Cohorts
4. Discussion
5. Conclusions
Author Contributions
Funding
Institutional Review Board Statement
Informed Consent Statement
Data Availability Statement
Acknowledgments
Conflicts of Interest
References
- Siegel, R.L.; Miller, K.D.; Fuchs, H.E.; Jemal, A. Cancer statistics, 2022. CA A Cancer J. Clin. 2022, 72, 7–33. [Google Scholar] [CrossRef]
- Hashiguchi, Y.; Muro, K.; Saito, Y.; Ito, Y.; Ajioka, Y.; Hamaguchi, T.; Hasegawa, K.; Hotta, K.; Ishida, H.; Ishiguro, M.; et al. Japanese Society for Cancer of the Colon and Rectum (JSCCR) guidelines 2019 for the treatment of colorectal cancer. Int. J. Clin. Oncol. 2020, 25, 1–42. [Google Scholar] [CrossRef]
- Engstrom, P.F.; Arnoletti, J.P.; Benson, A.B., 3rd; Chen, Y.J.; Choti, M.A.; Cooper, H.S.; Covey, A.; Dilawari, R.A.; Early, D.S.; Enzinger, P.C.; et al. NCCN Clinical Practice Guidelines in Oncology: Colon cancer. J. Natl. Compr. Canc. Netw. 2009, 7, 778–831. [Google Scholar] [CrossRef]
- Statpearls. StatPearls; Statpearls Publishing: Tampla, FL, USA, 2022. [Google Scholar]
- U. S. National Institutes of Health; N.C.I. SEER Training Modules, Colorectal Cancer; National Cancer Institute: Bethesda, MD, USA, 2022. [Google Scholar]
- National Cancer Institute. PDQ Cancer Information Summaries; National Cancer Institute: Bethesda, MD, USA, 2002. [Google Scholar]
- Iversen, L.H.; Nielsen, H.; Pedersen, L.; Harling, H.; Laurberg, S. Seasonal variation in short-term mortality after surgery for colorectal cancer? Colorectal Dis. 2010, 12, e31–e36. [Google Scholar] [CrossRef] [PubMed]
- Leufkens, A.M.; van den Bosch, M.A.A.J.; van Leeuwen, M.S.; Siersema, P.D. Diagnostic accuracy of computed tomography for colon cancer staging: A systematic review. Scand J Gastroenterol. 2011, 46, 887–894. [Google Scholar] [CrossRef] [PubMed]
- Zhou, L.; Wang, J.Z.; Wang, J.T.; Wu, Y.J.; Chen, H.; Wang, W.B.; Cao, F.; Cheng, G.X. Correlation analysis of MR/CT on colorectal cancer lymph node metastasis characteristics and prognosis. Eur. Rev. Med. Pharmacol. Sci. 2017, 21, 1219–1225. [Google Scholar] [PubMed]
- Rollven, E.; Blomqvist, L.; Oistamo, E.; Hjern, F.; Csanaky, G.; Abraham-Nordling, M. Morphological predictors for lymph node metastases on computed tomography in colon cancer. Abdom. Radiol. 2019, 44, 1712–1721. [Google Scholar] [CrossRef] [PubMed]
- Caruso, D.; Polici, M.; Zerunian, M.; Pucciarelli, F.; Guido, G.; Polidori, T.; Landolfi, F.; Nicolai, M.; Lucertini, E.; Tarallo, M.; et al. Radiomics in Oncology, Part 1: Technical Principles and Gastrointestinal Application in CT and MRI. Cancers 2021, 13, 2522. [Google Scholar] [CrossRef]
- Miranda, J.; Horvat, N.; Fonseca, G.M.; Araujo-Filho, J.A.B.; Fernandes, M.C.; Charbel, C.; Chakraborty, J.; Coelho, F.F.; Nomura, C.H.; Herman, P. Current status and future perspectives of radiomics in hepatocellular carcinoma. World J. Gastroenterol. 2023, 29, 43–60. [Google Scholar] [CrossRef]
- Caruso, D.; Polici, M.; Rinzivillo, M.; Zerunian, M.; Nacci, I.; Marasco, M.; Magi, L.; Tarallo, M.; Gargiulo, S.; Iannicelli, E.; et al. CT-based radiomics for prediction of therapeutic response to Everolimus in metastatic neuroendocrine tumors. Radiol. Med. 2022, 127, 691–701. [Google Scholar] [CrossRef]
- Liu, C.; Zhao, W.; Xie, J.; Lin, H.; Hu, X.; Li, C.; Shang, Y.; Wang, Y.; Jiang, Y.; Ding, M.; et al. Development and validation of a radiomics-based nomogram for predicting a major pathological response to neoadjuvant immunochemotherapy for patients with potentially resectable non-small cell lung cancer. Front. Immunol. 2023, 14, 1115291. [Google Scholar] [CrossRef] [PubMed]
- Li, M.; Zhang, J.; Dan, Y.; Yao, Y.; Dai, W.; Cai, G.; Yang, G.; Tong, T. A clinical-radiomics nomogram for the preoperative prediction of lymph node metastasis in colorectal cancer. J. Transl. Med. 2020, 18, 46. [Google Scholar] [CrossRef] [PubMed]
- Huang, Y.Q.; Liang, C.H.; He, L.; Tian, J.; Liang, C.S.; Chen, X.; Ma, Z.L.; Liu, Z.Y. Development and Validation of a Radiomics Nomogram for Preoperative Prediction of Lymph Node Metastasis in Colorectal Cancer. J. Clin. Oncol. 2016, 34, 2157–2164. [Google Scholar] [CrossRef] [PubMed]
- Caruso, D.; De Santis, D.; Rivosecchi, F.; Zerunian, M.; Panvini, N.; Montesano, M.; Biondi, T.; Bellini, D.; Rengo, M.; Laghi, A. Lean Body Weight-Tailored Iodinated Contrast Injection in Obese Patient: Boer versus James Formula. BioMed Res. Int. 2018, 2018, 8521893. [Google Scholar] [CrossRef] [PubMed]
- Caruso, D.; Rosati, E.; Panvini, N.; Rengo, M.; Bellini, D.; Moltoni, G.; Bracci, B.; Lucertini, E.; Zerunian, M.; Polici, M.; et al. Optimization of contrast medium volume for abdominal CT in oncologic patients: Prospective comparison between fixed and lean body weight-adapted dosing protocols. Insights Into Imaging 2021, 12, 40. [Google Scholar] [CrossRef] [PubMed]
- Union for International Cancer Control. TNM Classification of Malignant Tumours; Union for International Cancer Control: Geneva, Switzerland, 2017. [Google Scholar]
- Choi, A.H.; Nelson, R.A.; Schoellhammer, H.F.; Cho, W.; Ko, M.; Arrington, A.; Oxner, C.R.; Fakih, M.; Wong, J.; Sentovich, S.M.; et al. Accuracy of computed tomography in nodal staging of colon cancer patients. World J. Gastrointest. Surg. 2015, 7, 116–122. [Google Scholar] [CrossRef] [PubMed]
- Choi, J.; Oh, S.N.; Yeo, D.M.; Kang, W.K.; Jung, C.K.; Kim, S.W.; Park, M.Y. Computed tomography and magnetic resonance imaging evaluation of lymph node metastasis in early colorectal cancer. World J. Gastroenterol. 2015, 21, 556–562. [Google Scholar] [CrossRef] [PubMed]
- Choi, H.K.; Law, W.L.; Poon, J.T. The optimal number of lymph nodes examined in stage II colorectal cancer and its impact of on outcomes. BMC Cancer 2010, 10, 267. [Google Scholar] [CrossRef]
- van Griethuysen, J.J.M.; Fedorov, A.; Parmar, C.; Hosny, A.; Aucoin, N.; Narayan, V.; Beets-Tan, R.G.H.; Fillion-Robin, J.C.; Pieper, S.; Aerts, H. Computational Radiomics System to Decode the Radiographic Phenotype. Cancer Res. 2017, 77, e104–e107. [Google Scholar] [CrossRef]
- DeLong, E.R.; DeLong, D.M.; Clarke-Pearson, D.L. Comparing the areas under two or more correlated receiver operating characteristic curves: A nonparametric approach. Biometrics 1988, 44, 837–845. [Google Scholar] [CrossRef]
- Holm, S. A Simple Sequentially Rejective Multiple Test Procedure. Scand. J. Statist. 1979, 6, 65–70. [Google Scholar]
- Starmans, M.P.A.; Ho, L.S.; Smits, F.; Beije, N.; de Kruijff, I.; de Jong, J.J.; Somford, D.M.; Boeve, E.R.; Te Slaa, E.; Cauberg, E.C.C.; et al. Optimization of Preoperative Lymph Node Staging in Patients with Muscle-Invasive Bladder Cancer Using Radiomics on Computed Tomography. J. Pers. Med. 2022, 12, 726. [Google Scholar] [CrossRef] [PubMed]
- Cho, J.; Choe, J.G.; Pahk, K.; Choi, S.; Kwon, H.R.; Eo, J.S.; Seo, H.J.; Kim, C.; Kim, S. Ratio of Mediastinal Lymph Node SUV to Primary Tumor SUV in (18)F-FDG PET/CT for Nodal Staging in Non-Small-Cell Lung Cancer. Nucl. Med. Mol. Imaging 2017, 51, 140–146. [Google Scholar] [CrossRef] [PubMed]
- Chen, P.J.; Yap, W.K.; Chang, Y.C.; Tseng, C.K.; Chao, Y.K.; Hsieh, J.C.; Pai, P.C.; Lee, C.H.; Yang, C.K.; Ho, A.T.; et al. Prognostic value of lymph node to primary tumor standardized uptake value ratio in unresectable esophageal cancer. BMC Cancer 2020, 20, 545. [Google Scholar] [CrossRef] [PubMed]
- Dighe, S.; Purkayastha, S.; Swift, I.; Tekkis, P.P.; Darzi, A.; A’Hern, R.; Brown, G. Diagnostic precision of CT in local staging of colon cancers: A meta-analysis. Clin. Radiol. 2010, 65, 708–719. [Google Scholar] [CrossRef]






| Morphological Imaging | Point Score | |
|---|---|---|
| Size | ||
| Short axis | Enlarged (≥4 mm) | 1 |
| Normal (<4 mm) | 0 | |
| Configuration | ||
| Diameter ratio | ≥0.8 mm | 1 |
| <0.8 mm | 0 | |
| Shape | Round | 1 |
| Oval | 0 | |
| Texture | Heterogeneous / Focal necrosis | 1 |
| Homogeneous | 0 | |
| Fatty hilum | Loss | 1 |
| Preserved | 0 | |
| Border | Irregular | 1 |
| Smooth | 0 | |
| Perinodal infiltration | Yes | 1 |
| No | 0 |
| Morphologic Features | Low Likelihood of Malignancy (n = 167) | High Likelihood of Malignancy (n = 170) | p-Value |
|---|---|---|---|
| Short axis (≥4 mm) | 51 (30.5%) | 162 (95.3%) | <0.00001 |
| Diameter ratio (≥0.8 mm) | 48 (28.7%) | 119 (70%) | <0.00001 |
| Shape (round) | 29 (17.4%) | 95 (55.9%) | <0.00001 |
| Texture (Heterogeneous) | 3 (1.8%) | 69 (40.6%) | <0.00001 |
| Fatty hilum (loss) | 76 (45.5%) | 167 (98.2%) | <0.00001 |
| Border (irregular) | 6 (3.6%) | 20 (11.8%) | <0.00494 <0.00914 * |
| Perinodal infiltration (yes) | 17 (10.2%) | 77 (45.3%) | <0.00001 |
| Radiomic Features (n = 107) | Low Likelihood of Malignancy (Mean ± SD) | High Likelihood of Malignancy (Mean ± SD) | p-Value | Adjusted α-Value | p-Value * |
|---|---|---|---|---|---|
| SHAPE (n = 13) | |||||
| Elongation | 0.67 ± 0.20 | 0.74 ± 0.19 | 0.0001 | 0.00047 | 0.005 |
| Least Axis Length | 2.11 ± 1.82 | 3.17 ± 2.25 | 0.0001 | 0.00047 | 0.0049 |
| Maximum 2D Diameter Row | 6.19 ± 2.05 | 7.18 ± 2.12 | 0.0001 | 0.00048 | 0.0048 |
| Maximum 2D Diameter Slice | 6.02 ± 2.05 | 7.21 ± 2.73 | 0.0001 | 0.00048 | 0.0047 |
| Mesh Volume | 61.32 ± 51.38 | 120.02 ± 129.74 | 0.0001 | 0.00049 | 0.0046 |
| Minor Axis Length | 4.39 ± 1.56 | 5.45 ± 1.70 | 0.0001 | 0.00050 | 0.0045 |
| Surface Area | 86.43 ± 47.97 | 129.43 ± 89.51 | 0.0001 | 0.00050 | 0.0044 |
| Surface Volume Ratio | 1.79 ± 0.63 | 1.42 ± 0.45 | 0.0001 | 0.00050 | 0.0043 |
| Maximum 2D Diameter Column | 6.24 ± 2.08 | 7.31 ± 2.56 | 0.0003 | 0.00052 | 0.0117 |
| Flatness | 0.32 ± 0.28 | 0.42 ± 0.29 | 0.0004 | 0.00053 | 0.0152 |
| Others | - | - | >0.0006 | >0.00054 | >0.021 |
| FIRST ORDER (n = 19) | |||||
| Voxel Volume | 93.31 ± 71.50 | 165.09 ± 154.93 | 0.0001 | 0.00051 | 0.0042 |
| 90 Percentile | 69.01 ± 119.94 | 91.63 ± 22.85 | 0.0001 | 0.00051 | 0.0041 |
| Total Energy | 758,294.13 ± 3,100,934.06 | 855,254.5 ± 1,076,742.65 | 0.0001 | 0.00052 | 0.004 |
| Median | 37.8 ± 117.56 | 60.12 ± 27.23 | 0.0004 | 0.00053 | 0.0148 |
| Mean | 36.48 ± 116.98 | 57.95 ± 24.99 | 0.0005 | 0.00054 | 0.018 |
| Others | - | - | >0.0008 | >0.00055 | >0.0272 |
| GLSZM (n = 16) | |||||
| All | - | - | >0.0335 | >0.00059 | >0.938 |
| GLRLM (n = 16) | |||||
| All | - | - | >0.058 | >0.00060 | >1.5444 |
| GLDM (n = 14) | |||||
| All | - | - | >0.0849 | >0.00061 | >2.1225 |
| GLCM (n = 24) | |||||
| All | - | - | >0.1218 | >0.00063 | >2.6796 |
| NGTDM (n = 5) | |||||
| All | - | - | >0.3307 | >0.00109 | >2.7523 |
Disclaimer/Publisher’s Note: The statements, opinions and data contained in all publications are solely those of the individual author(s) and contributor(s) and not of MDPI and/or the editor(s). MDPI and/or the editor(s) disclaim responsibility for any injury to people or property resulting from any ideas, methods, instructions or products referred to in the content. |
© 2024 by the authors. Licensee MDPI, Basel, Switzerland. This article is an open access article distributed under the terms and conditions of the Creative Commons Attribution (CC BY) license (https://creativecommons.org/licenses/by/4.0/).
Share and Cite
Zerunian, M.; Nacci, I.; Caruso, D.; Polici, M.; Masci, B.; De Santis, D.; Mercantini, P.; Arrivi, G.; Mazzuca, F.; Paolantonio, P.; et al. Is CT Radiomics Superior to Morphological Evaluation for pN0 Characterization? A Pilot Study in Colon Cancer. Cancers 2024, 16, 660. https://doi.org/10.3390/cancers16030660
Zerunian M, Nacci I, Caruso D, Polici M, Masci B, De Santis D, Mercantini P, Arrivi G, Mazzuca F, Paolantonio P, et al. Is CT Radiomics Superior to Morphological Evaluation for pN0 Characterization? A Pilot Study in Colon Cancer. Cancers. 2024; 16(3):660. https://doi.org/10.3390/cancers16030660
Chicago/Turabian StyleZerunian, Marta, Ilaria Nacci, Damiano Caruso, Michela Polici, Benedetta Masci, Domenico De Santis, Paolo Mercantini, Giulia Arrivi, Federica Mazzuca, Pasquale Paolantonio, and et al. 2024. "Is CT Radiomics Superior to Morphological Evaluation for pN0 Characterization? A Pilot Study in Colon Cancer" Cancers 16, no. 3: 660. https://doi.org/10.3390/cancers16030660
APA StyleZerunian, M., Nacci, I., Caruso, D., Polici, M., Masci, B., De Santis, D., Mercantini, P., Arrivi, G., Mazzuca, F., Paolantonio, P., Pilozzi, E., Vecchione, A., Tarallo, M., Fiori, E., Iannicelli, E., & Laghi, A. (2024). Is CT Radiomics Superior to Morphological Evaluation for pN0 Characterization? A Pilot Study in Colon Cancer. Cancers, 16(3), 660. https://doi.org/10.3390/cancers16030660

