Characterization of Breast Cancer Intra-Tumor Heterogeneity Using Artificial Intelligence
Simple Summary
Abstract
1. Introduction
2. Material and Methods
2.1. Study Cohort and Image Acquisition
2.2. Algorithm Training
2.3. Deep Learning-Based Feature Computing
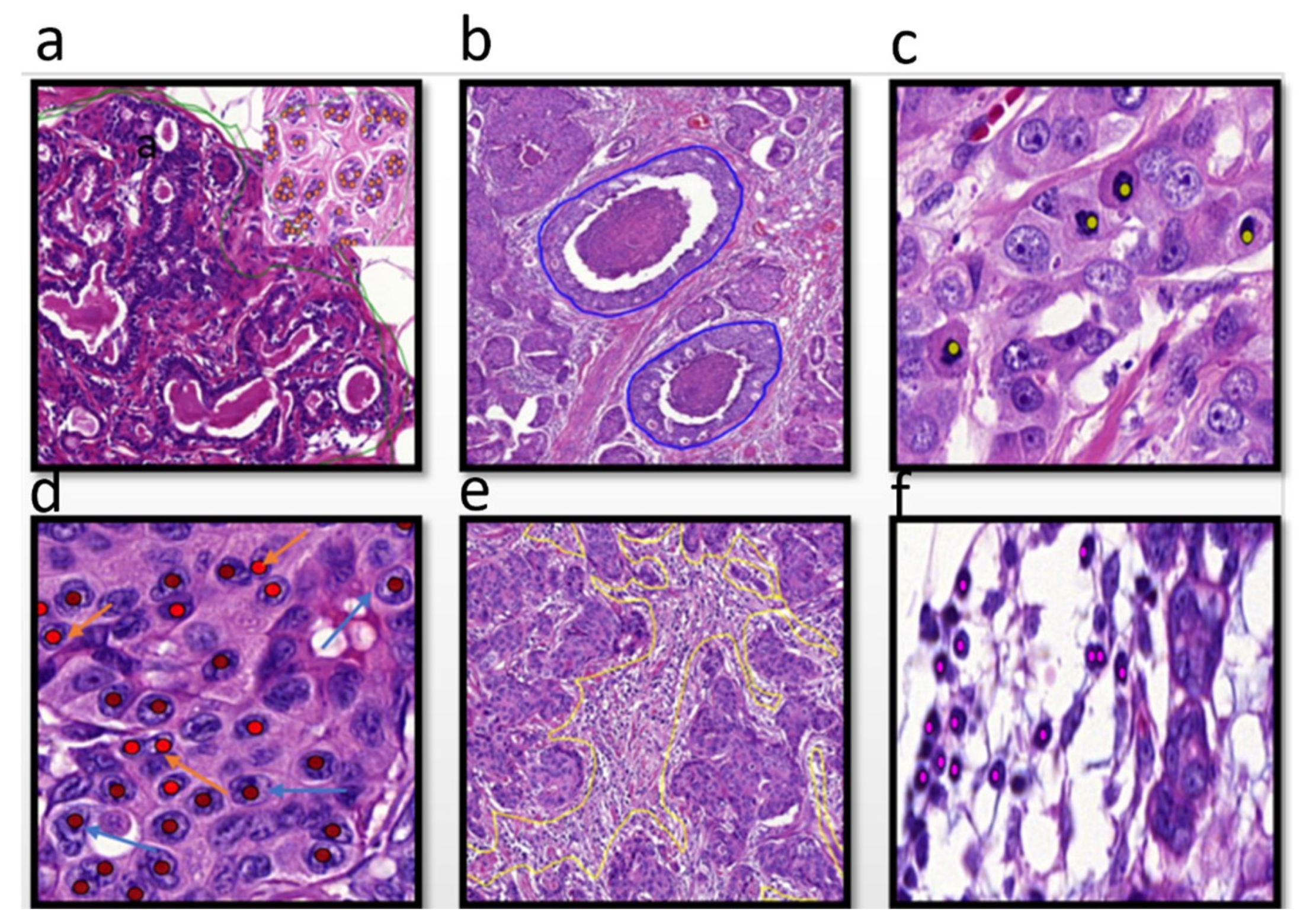
2.3.1. DCIS and Other Region Segmentation
2.3.2. Nuclei Segmentation and Classification
2.3.3. Tumor Differentiation (Digital Grade Prediction)
2.4. Defining the Morphological Features to Assess ITH
2.5. Statistical Analysis
3. Results
3.1. Performance of the DL Models
3.2. Association of ITH with Clinicopathologic Parameters
3.3. ITH Score
3.4. Outcome Analysis
4. Discussion
5. Conclusions
Supplementary Materials
Author Contributions
Funding
Institutional Review Board Statement
Informed Consent Statement
Data Availability Statement
Conflicts of Interest
References
- Fumagalli, C.; Barberis, M. Breast Cancer Heterogeneity. Diagnostics 2021, 11, 1555. [Google Scholar] [CrossRef] [PubMed]
- Marusyk, A.; Polyak, K. Tumor heterogeneity: Causes and consequences. Biochim. Et Biophys. Acta 2010, 1805, 105–117. [Google Scholar] [CrossRef] [PubMed]
- McQuerry, J.A.; Chang, J.T.; Bowtell, D.D.L.; Cohen, A.; Bild, A.H. Mechanisms and clinical implications of tumor heterogeneity and convergence on recurrent phenotypes. J. Mol. Med. 2017, 95, 1167–1178. [Google Scholar] [CrossRef] [PubMed]
- Malhotra, G.K.; Zhao, X.; Band, H.; Band, V. Histological, molecular and functional subtypes of breast cancers. Cancer Biol. Ther. 2010, 10, 955–960. [Google Scholar] [CrossRef]
- Stanta, G.; Bonin, S. Overview on Clinical Relevance of Intra-Tumor Heterogeneity. Front. Med. 2018, 5, 85. [Google Scholar] [CrossRef]
- Marusyk, A.; Janiszewska, M.; Polyak, K. Intratumor Heterogeneity: The Rosetta Stone of Therapy Resistance. Cancer Cell 2020, 37, 471–484. [Google Scholar] [CrossRef]
- Gerlinger, M.; Rowan, A.J.; Horswell, S.; Larkin, J.; Endesfelder, D.; Gronroos, E.; Martinez, P.; Matthews, N.; Stewart, A.; Tarpey, P.; et al. Intratumor Heterogeneity and Branched Evolution Revealed by Multiregion Sequencing. N. Engl. J. Med. 2012, 366, 883–892. [Google Scholar] [CrossRef]
- Zhou, Y.; Tao, L.; Qiu, J.; Xu, J.; Yang, X.; Zhang, Y.; Tian, X.; Guan, X.; Cen, X.; Zhao, Y. Tumor biomarkers for diagnosis, prognosis and targeted therapy. Signal Transduct. Target. Ther. 2024, 9, 132. [Google Scholar] [CrossRef]
- Aleskandarany, M.A.; Green, A.R.; Ashankyty, I.; Elmouna, A.; Diez-Rodriguez, M.; Nolan, C.C.; Ellis, I.O.; Rakha, E.A. Impact of intratumoural heterogeneity on the assessment of Ki67 expression in breast cancer. Breast Cancer Res. Treat. 2016, 158, 287–295. [Google Scholar] [CrossRef]
- Lloyd, M.C.; Alfarouk, K.O.; Verduzco, D.; Bui, M.M.; Gillies, R.J.; Ibrahim, M.E.; Brown, J.S.; Gatenby, R.A. Vascular measurements correlate with estrogen receptor status. BMC Cancer 2014, 14, 279. [Google Scholar] [CrossRef]
- Zilenaite, D.; Rasmusson, A.; Augulis, R.; Besusparis, J.; Laurinaviciene, A.; Plancoulaine, B.; Ostapenko, V.; Laurinavicius, A. Independent Prognostic Value of Intratumoral Heterogeneity and Immune Response Features by Automated Digital Immunohistochemistry Analysis in Early Hormone Receptor-Positive Breast Carcinoma. Front. Oncol. 2020, 10, 950. [Google Scholar] [CrossRef] [PubMed]
- Laurinavicius, A.; Plancoulaine, B.; Rasmusson, A.; Besusparis, J.; Augulis, R.; Meskauskas, R.; Herlin, P.; Laurinaviciene, A.; Abdelhadi Muftah, A.A.; Miligy, I.; et al. Bimodality of intratumor Ki67 expression is an independent prognostic factor of overall survival in patients with invasive breast carcinoma. Virchows Arch. Int. J. Pathol. 2016, 468, 493–502. [Google Scholar] [CrossRef] [PubMed]
- Althobiti, M.; Aleskandarany, M.A.; Joseph, C.; Toss, M.; Mongan, N.; Diez-Rodriguez, M.; Nolan, C.C.; Ashankyty, I.; Ellis, I.O.; Green, A.R.; et al. Heterogeneity of tumour-infiltrating lymphocytes in breast cancer and its prognostic significance. Histopathology 2018, 73, 887–896. [Google Scholar] [CrossRef] [PubMed]
- Beca, F.; Polyak, K. Intratumor Heterogeneity in Breast Cancer. Adv. Exp. Med. Biol. 2016, 882, 169–189. [Google Scholar] [CrossRef] [PubMed]
- Joseph, C.; Papadaki, A.; Althobiti, M.; Alsaleem, M.; Aleskandarany, M.A.; Rakha, E.A. Breast cancer intratumour heterogeneity: Current status and clinical implications. Histopathology 2018, 73, 717–731. [Google Scholar] [CrossRef]
- Lashen, A.; Al-Kawaz, A.; Jeyapalan, J.N.; Alqahtani, S.; Shoqafi, A.; Algethami, M.; Toss, M.; Green, A.R.; Mongan, N.P.; Sharma, S.; et al. Immune infiltration, aggressive pathology, and poor survival outcomes in RECQL helicase deficient breast cancers. Neoplasia 2024, 47, 100957. [Google Scholar] [CrossRef]
- Makki, J. Diversity of Breast Carcinoma: Histological Subtypes and Clinical Relevance. Clin. Med. Insights Pathol. 2015, 8, 23–31. [Google Scholar] [CrossRef]
- Richard, V.; Nair, M.G.; Jaikumar, V.S.; Jones, S.; Prabhu, J.S.; Kerin, M.J. Cell State Transitions and Phenotypic Heterogeneity in Luminal Breast Cancer Implicating MicroRNAs as Potential Regulators. Int. J. Mol. Sci. 2023, 24, 3497. [Google Scholar] [CrossRef]
- Acs, B.; Rantalainen, M.; Hartman, J. Artificial intelligence as the next step towards precision pathology. J. Intern. Med. 2020, 288, 62–81. [Google Scholar] [CrossRef]
- Wahab, N.; Toss, M.; Miligy, I.M.; Jahanifar, M.; Atallah, N.M.; Lu, W.; Graham, S.; Bilal, M.; Bhalerao, A.; Lashen, A.G.; et al. AI-enabled routine H&E image based prognostic marker for early-stage luminal breast cancer. NPJ Precis. Oncol. 2023, 7, 122. [Google Scholar] [CrossRef]
- Wang, Y.; Ali, M.A.; Vallon-Christersson, J.; Humphreys, K.; Hartman, J.; Rantalainen, M. Transcriptional intra-tumour heterogeneity predicted by deep learning in routine breast histopathology slides provides independent prognostic information. Eur. J. Cancer 2023, 191, 112953. [Google Scholar] [CrossRef] [PubMed]
- AbdulJabbar, K.; Raza, S.E.A.; Rosenthal, R.; Jamal-Hanjani, M.; Veeriah, S.; Akarca, A.; Lund, T.; Moore, D.A.; Salgado, R.; Al Bakir, M.; et al. Geospatial immune variability illuminates differential evolution of lung adenocarcinoma. Nat. Med. 2020, 26, 1054–1062. [Google Scholar] [CrossRef] [PubMed]
- Plancoulaine, B.; Laurinaviciene, A.; Herlin, P.; Besusparis, J.; Meskauskas, R.; Baltrusaityte, I.; Iqbal, Y.; Laurinavicius, A. A methodology for comprehensive breast cancer Ki67 labeling index with intra-tumor heterogeneity appraisal based on hexagonal tiling of digital image analysis data. Virchows Arch. 2015, 467, 711–722. [Google Scholar] [CrossRef] [PubMed]
- Laurinavicius, A.; Rasmusson, A.; Plancoulaine, B.; Shribak, M.; Levenson, R. Machine-Learning–Based Evaluation of Intratumoral Heterogeneity and Tumor-Stroma Interface for Clinical Guidance. Am. J. Pathol. 2021, 191, 1724–1731. [Google Scholar] [CrossRef] [PubMed]
- Lashen, A.; Toss, M.S.; Green, A.R.; Mongan, N.P.; Rakha, E. Ki67 assessment in invasive luminal breast cancer: A comparative study between different scoring methods. Histopathology 2022, 81, 786–798. [Google Scholar] [CrossRef] [PubMed]
- Lashen, A.G.; Toss, M.S.; Mongan, N.P.; Green, A.R.; Rakha, E.A. The clinical value of progesterone receptor expression in luminal breast cancer: A study of a large cohort with long-term follow-up. Cancer 2023, 129, 1183–1194. [Google Scholar] [CrossRef]
- Lashen, A.G.; Toss, M.S.; Katayama, A.; Gogna, R.; Mongan, N.P.; Rakha, E.A. Assessment of proliferation in breast cancer: Cell cycle or mitosis? An observational study. Histopathology 2021, 79, 1087–1098. [Google Scholar] [CrossRef]
- Wahab, N.; Miligy, I.M.; Dodd, K.; Sahota, H.; Toss, M.; Lu, W.; Jahanifar, M.; Bilal, M.; Graham, S.; Park, Y.; et al. Semantic annotation for computational pathology: Multidisciplinary experience and best practice recommendations. J. Pathol. Clin. Res. 2022, 8, 116–128. [Google Scholar] [CrossRef]
- Makhlouf, S.; Wahab, N.; Toss, M.; Ibrahim, A.; Lashen, A.G.; Atallah, N.M.; Ghannam, S.; Jahanifar, M.; Lu, W.; Graham, S.; et al. Evaluation of tumour infiltrating lymphocytes in luminal breast cancer using artificial intelligence. Br. J. Cancer 2023, 129, 1747–1758. [Google Scholar] [CrossRef]
- Szegedy, C.; Vanhoucke, V.; Ioffe, S.; Shlens, J.; Wojna, Z. Rethinking the Inception Architecture for Computer Vision. In Proceedings of the 2016 IEEE Conference on Computer Vision and Pattern Recognition (CVPR), Las Vegas, NV, USA, 27–30 June 2016; pp. 2818–2826. [Google Scholar]
- Russakovsky, O.; Deng, J.; Su, H.; Krause, J.; Satheesh, S.; Ma, S.; Huang, Z.; Karpathy, A.; Khosla, A.; Bernstein, M.; et al. ImageNet Large Scale Visual Recognition Challenge. Int. J. Comput. Vis. 2015, 115, 211–252. [Google Scholar] [CrossRef]
- Wang, C.; Zhao, H. Spatial Heterogeneity Analysis: Introducing a New Form of Spatial Entropy. Entropy 2018, 20, 398. [Google Scholar] [CrossRef] [PubMed]
- van der Walt, S.; Schönberger, J.L.; Nunez-Iglesias, J.; Boulogne, F.; Warner, J.D.; Yager, N.; Gouillart, E.; Yu, T. The scikit-image contributors. 2014. Scikit-image: Image processing in Python. PeerJ 2014, 2, e453. [Google Scholar] [CrossRef] [PubMed]
- Davnall, F.; Yip, C.S.; Ljungqvist, G.; Selmi, M.; Ng, F.; Sanghera, B.; Ganeshan, B.; Miles, K.A.; Cook, G.J.; Goh, V. Assessment of tumor heterogeneity: An emerging imaging tool for clinical practice? Insights Imaging 2012, 3, 573–589. [Google Scholar] [CrossRef] [PubMed]
- Azimi, V.; Chang, Y.H.; Thibault, G.; Smith, J.; Tsujikawa, T.; Kukull, B.; Jensen, B.; Corless, C.; Margolin, A.; Gray, J.W. Breast cancer histopathology image analysis pipeline for tumor purity estimation. Proc. IEEE Int. Symp. Biomed. Imaging 2017, 2017, 1137–1140. [Google Scholar] [CrossRef]
- Lawson, D.J.; Solanki, V.; Yanovich, I.; Dellert, J.; Ruck, D.; Endicott, P. CLARITY: Comparing heterogeneous data using dissimilarity. R. Soc. Open Sci. 2021, 8, 202182. [Google Scholar] [CrossRef]
- Higgins, J.P.; Thompson, S.G.; Deeks, J.J.; Altman, D.G. Measuring inconsistency in meta-analyses. BMJ (Clin. Res. Ed.) 2003, 327, 557–560. [Google Scholar] [CrossRef]
- Nunes, A.; Trappenberg, T.; Alda, M. The definition and measurement of heterogeneity. Transl. Psychiatry 2020, 10, 299. [Google Scholar] [CrossRef] [PubMed]
- Stephen Gilliver, N.V. How to interpret and report the results from multivariable analyses. Med. Writ. 2016, 25, 37–42. [Google Scholar]
- Camp, R.L.; Dolled-Filhart, M.; Rimm, D.L. X-tile: A new bio-informatics tool for biomarker assessment and outcome-based cut-point optimization. Clin. Cancer Res. Off. J. Am. Assoc. Cancer Res. 2004, 10, 7252–7259. [Google Scholar] [CrossRef]
- Lashen, A.; Toss, M.S.; Fadhil, W.; Oni, G.; Madhusudan, S.; Rakha, E. Evaluation Oncotype DX® 21-Gene Recurrence Score and Clinicopathological Parameters: A single institutional experience. Histopathology 2023, 82, 755–766. [Google Scholar] [CrossRef]
- Makhlouf, S.; Quinn, C.; Toss, M.; Alsaleem, M.; Atallah, N.M.; Ibrahim, A.; Rutland, C.S.; Mongan, N.P.; Rakha, E.A. Quantitative expression of oestrogen receptor in breast cancer: Clinical and molecular significance. Eur. J. Cancer 2024, 197, 113473. [Google Scholar] [CrossRef]
- Lüönd, F.; Tiede, S.; Christofori, G. Breast cancer as an example of tumour heterogeneity and tumour cell plasticity during malignant progression. Br. J. Cancer 2021, 125, 164–175. [Google Scholar] [CrossRef]
- Greaves, M.; Maley, C.C. Clonal evolution in cancer. Nature 2012, 481, 306–313. [Google Scholar] [CrossRef] [PubMed]
- Fisher, R.; Pusztai, L.; Swanton, C. Cancer heterogeneity: Implications for targeted therapeutics. Br. J. Cancer 2013, 108, 479–485. [Google Scholar] [CrossRef] [PubMed]
- Heindl, A.; Nawaz, S.; Yuan, Y. Mapping spatial heterogeneity in the tumor microenvironment: A new era for digital pathology. Lab. Investig. 2015, 95, 377–384. [Google Scholar] [CrossRef]
- Nyman, J.; Denize, T.; Bakouny, Z.; Labaki, C.; Titchen, B.M.; Bi, K.; Hari, S.N.; Rosenthal, J.; Mehta, N.; Jiang, B.; et al. Spatially aware deep learning reveals tumor heterogeneity patterns that encode distinct kidney cancer states. bioRxiv 2023. [Google Scholar] [CrossRef] [PubMed]
- He, L.; Long, L.R.; Antani, S.; Thoma, G.R. Histology image analysis for carcinoma detection and grading. Comput. Methods Programs Biomed. 2012, 107, 538–556. [Google Scholar] [CrossRef]
- Ramón, Y.C.S.; Sesé, M.; Capdevila, C.; Aasen, T.; De Mattos-Arruda, L.; Diaz-Cano, S.J.; Hernández-Losa, J.; Castellví, J. Clinical implications of intratumor heterogeneity: Challenges and opportunities. J. Mol. Med. 2020, 98, 161–177. [Google Scholar] [CrossRef]
- Turashvili, G.; Brogi, E. Tumor Heterogeneity in Breast Cancer. Front. Med. 2017, 4, 227. [Google Scholar] [CrossRef]
- Ma, D.; Jiang, Y.-Z.; Liu, X.-Y.; Liu, Y.-R.; Shao, Z.-M. Clinical and molecular relevance of mutant-allele tumor heterogeneity in breast cancer. Breast Cancer Res. Treat. 2017, 162, 39–48. [Google Scholar] [CrossRef]






| Module | Metric | Subset | ROI Size | ||
|---|---|---|---|---|---|
| DCIS filter (CNNDCIS) | F1-score | 5-fold cross-validation on annotated tiles (n = 13,981) of size 1024 × 1024 pixels extracted from ROIs in the discovery set | Variable size box drawn at 5× magnification to cover a visual field | ||
| Tumor | DCIS | ||||
| 0.71 ± 0.03 | 0.90 ± 0.01 | ||||
| Region segmentation (CNNReg) | Dice coefficient | Holdout validation (trained on annotated ROIs (n = 193) [3] in the discovery set, validated on ROIs (n = 48) in the internal validation set) | Variable size box drawn at 5× magnification to cover a visual field | ||
| Stroma | Other | ||||
| 0.76 | 0.69 | ||||
| Nuclei classification (CNNNuc) | F1-score | 3-fold cross-validation on ROIs (n = 83) [3] in the discovery set | Variable size box drawn at 20× magnification to cover a visual field | ||
| Immune | Tumor | Connective | |||
| 0.82 ± 0.06 | 0.92 ± 0.02 | 0.81 ± 0.03 | |||
| Digital grade prediction (CNNDG) | ROC-AUC | 3-fold cross-validation on ROIs (1 per WSI) from discovery set | 5600 × 5600 pixels at 40× magnification | ||
| 0.83 ± 0.01 | |||||
| Model | Overall (Macro-Average) | |||||||||||
|---|---|---|---|---|---|---|---|---|---|---|---|---|
| Precision | Recall | F1 | ||||||||||
| M1 | 0.69 ± 0.05 | 0.52 ± 0.08 | 0.55 ± 0.08 | |||||||||
| M2 | 0.66 ± 0.04 | 0.62 ± 0.07 | 0.61 ± 0.05 | |||||||||
| M3 | 0.68 ± 0.01 | 0.68 ± 0.01 | 0.62 ± 0.01 | |||||||||
| M4 | 0.69 ± 0.02 | 0.66 ± 0.01 | 0.62 ± 0.02 | |||||||||
| CNNNuc | 0.82 ± 0.09 | 0.79 ± 0.02 | 0.79 ± 0.07 | |||||||||
| Cell-Wise Classification Results | ||||||||||||
| Model | Tumor | Immune | Connective | Normal epithelial | ||||||||
| Pr | Re | F1 | Pr | Re | F1 | Pr | Re | F1 | Pr | Re | F1 | |
| M1 | 0.75± 0.02 | 0.95 ± 0.02 | 0.83 ± 0.01 | 0.94 ± 0.03 | 0.57 ± 0.11 | 0.71 ± 0.07 | 0.88 ± 0.06 | 0.32 ± 0.06 | 0.47 ± 0.07 | 0.18 ± 0.19 | 0.24 ± 0.17 | 0.20 ± 0.18 |
| M2 | 0.91 ± 0.03 | 0.81± 0.02 | 0.87 ± 0.01 | 0.84 ± 0.04 | 0.64 ± 0.12 | 0.72 ± 0.10 | 0.82 ± 0.07 | 0.63 ± 0.04 | 0.71 ± 0.04 | 0.08± 0.06 | 0.40 ± 0.24 | 0.13 ± 0.08 |
| M3 | 0.92 ± 0.03 | 0.71 ± 0.09 | 0.80 ± 0.07 | 0.89 ± 0.05 | 0.67 ± 0.07 | 0.77 ± 0.04 | 0.81 ± 0.04 | 0.65 ± 0.04 | 0.73 ± 0.04 | 0.10 ± 0.03 | 0.69 ± 0.05 | 0.18 ± 0.06 |
| M4 | 0.91 ± 0.03 | 0.81 ± 0.01 | 0.85 ± 0.02 | 0.91 ± 0.03 | 0.64 ± 0.09 | 0.75 ± 0.06 | 0.83 ± 0.08 | 0.63 ± 0.05 | 0.71 ± 0.01 | 0.11 ± 0.04 | 0.55 ± 0.08 | 0.18 ± 0.05 |
| CNNNuc | 0.92 ± 0.01 | 0.92 ± 0.04 | 0.92 ± 0.02 | 0.92 ± 0.04 | 0.74 ± 0.11 | 0.82 ± 0.06 | 0.81 ± 0.04 | 0.81 ± 0.03 | 0.81 ± 0.03 | 0.60 ± 0.33 | 0.69 ± 0.08 | 0.59 ± 0.22 |
| Variables | Tumor Differentiation Heterogeneity | X2 p-Value | |
|---|---|---|---|
| Low (n, %) | High (n, %) | ||
| Age <50 ≥50 | 314 (52) 1289 (67) | 291 (48) 634 (33) | 45.4 <0.0001 |
| Menopausal state Premenopausal Post-menopausal | 357 (54) 1270 (67) | 302 (46) 435 (33) | 33.5 <0.0001 |
| Tumor size ≤2 cm >2 cm | 1312 (70) 314 (46) | 564 (30) 386 (54) | 123.3 <0.0001 |
| Tumor grade Grade 1 Grade 2 Grade 3 | 543 (90) 980 (68) 104 (20) | 40 (10) 458 (32) 415 (80) | 618.2 <0.0001 |
| Histologic tumor types No special type (NST) Lobular Other special types Mixed subtype | 738 (52) 286 (85) 154 (92) 449 (71) | 690 (48) 50 (15) 14 (8) 180 (29) | 228.3 <0.0001 |
| Lymph node status Negative Positive | 1299 (67) 328 (52) | 638 (33) 300 (48) | 45.9 <0.0001 |
| Lymphovascular invasion Absent Present | 1476 (68) 151 (38) | 688 (32) 246 (62) | 131.8 <0.0001 |
| Nottingham prognostic index Good prognostic group Moderate prognostic group Poor prognostic group | 1144 (80) 466 (45) 17 (17) | 286 (20) 564 (55) 86 (83) | 416.4 <0.0001 |
| ER expression levels. Lower < 10% Intermediate (10–99%) Highest (100%) | 6 (22) 417 (57) 1196 (67) | 21 (78) 311 (43) 592 (33) | 40.9 <0.0001 |
| PR status Low ≤ 10% High > 10% | 305 (61) 1144 (63) | 193 (39) 667 (37) | 0.62 0.43 |
| Ki67 expression Low ≤ 10 High > 10 | 814 (81) 694 (50) | 194 (19) 694 (50) | 236.8 <0.0001 |
| Variables | Stromal Heterogeneity | X2 p-Value | TILS Heterogeneity | X2 p-Value | ||
|---|---|---|---|---|---|---|
| Low (n, %) | High (n, %) | Low (n, %) | High (n, %) | |||
| Age (years) <50 ≥50 | 290 (48) 1208 (63) | 315 (52) 714 (35) | 42.4 <0.0001 | 487 (80) 1674 (87) | 118 (20) 248 (13) | 16.19 <0.0001 |
| Menopausal state Premenopausal Post-menopausal | 322 (49) 1188 (63) | 337 (51) 713 (37) | 37.6 <0.0001 | 531 (81) 1657 (87) | 128 (19) 244 (13) | 17.1 <0.0001 |
| Tumor size ≤2 cm >2 cm | 1288 (69) 222 (33) | 588 (31) 459 (67) | 268.6 <0.0001 | 1752 (93) 435 (64) | 123 (7) 247 (36) | 355.4 <0.0001 |
| Tumor grade Grade 1 Grade 2 Grade 3 | 439 (73) 868 (62) 203 (39) | 165 (27) 570 (40) 315 (61) | 131.9 <0.0001 | 393 (95) 909 (90) 253 (72) | 21 (5) 101 (10) 96 (27) | 99.8 <0.0001 |
| Histologic tumor types No special type (NST) Lobular Other special types Mixed subtype | 765 (54) 219 (65) 131 (78) 395 (63) | 663 (46) 117 (35) 37 (22) 37 (22) | 51.6 <0.0001 | 1179 (83) 289 (86) 160 (95) 560 (89) | 248 (17) 47 (14) 8 (5) 69 (11) | 28.7 <0.0001 |
| Lymph node status Negative Positive | 1210 (67) 300 (48) | 722 (33) 328 (52) | 43.2 <0.0001 | 1701 (88) 487 (77) | 231 (12) 141 (23) | 42.03 <0.0001 |
| Lymphovascular invasion Absent Present | 1334 (62) 176 (44) | 829 (38) 221 (56) | 41.7 <0.0001 | 1900 (88) 288 (73) | 263 (12) 109 (27) | 63.19 <0.0001 |
| Nottingham prognostic index Good prognostic group Moderate prognostic group Poor prognostic group | 1019 (71) 469 (46) 22 (21) | 409 (29) 560 (54) 81 (79) | 227.1 <0.0001 | 1159 (95) 780 (76) 49 (47) | 68 (5) 250 (24) 54 (53) | 307.4 <0.0001 |
| ER expression levels Lower < 10% Intermediate (10–99%) Highest (100%) | 19 (70) 425 (58) 1057 (59) | 8 (30) 303 (42) 730 (41) | 1.57 0.46 | 20 (74) 609 (84) 1545 (86) | 7 (26) 118 (16) 243 (14) | 5.8 0.05 |
| PR status Low ≤ 10% High > 10% | 298 (60) 1052 (58) | 200 (40) 758 (42) | 0.47 0.49 | 413 (83) 1560 (86) | 85 (17) 250 (14) | 3.3 0.06 |
| Ki67 expression Low ≤ 10 High > 10 | 724 (72) 683 (49) | 284 (28) 704 (51) | 122.8 <0.0001 | 949 (94) 1101 (79) | 59 (6) 286 (21) | 103.2 <0.0001 |
| Variables | Heterogeneity Score | X2 p-Value | |
|---|---|---|---|
| Low (n, %) | High (n, %) | ||
| Age <50 ≥50 | 396 (66) 452 (52) | 208 (34) 411 (48) | 7.7 0.005 |
| Menopausal state Premenopausal Post-menopausal | 312 (47) 1102 (58) | 347 (53) 800 (42) | 22.2 <0.0001 |
| Tumor size ≤2 cm >2 cm | 882 (64) 157(40) | 498 (36) 237 (60) | 73.1 <0.0001 |
| Tumor grade Grade 1 Grade 2 Grade 3 | 396 (66) 814 (57) 204 (39) | 208 (34) 624 (43) 315 (61) | 80.4 <0.0001 |
| Histologic tumor types Non-special type (NST) Lobular Other special types NST mixed | 716 (51) 240 (71) 126 (75) 332 (53) | 712 (49) 96 (29) 42 (25) 297 (47) | 78.7 <0.0001 |
| Lymph node status Absent Present | 11,145 (59) 269 (43) | 788 (41) 359 (57) | 51.6 <0.0001 |
| Lymphovascular invasion Absent Present | 1258 (58) 156 (39) | 906 (42) 241 (61) | 48.1 <0.0001 |
| Nottingham prognostic index Good prognostic group Moderate prognostic group Poor prognostic group | 932 (65) 461 (45) 21 (20) | 496 (35) 569 (55) 82 (80) | 154.4 <0.0001 |
| ER expression levels Lower < 10% Intermediate (10–99%) Highest (100%) | 10 (62) 263 (56) 762 (60) | 6 (38) 207 (44) 518 (40) | 1.9 0.38 |
| PR status Low ≤ 10% High > 10% | 316 (64) 944 (52) | 182 (36) 867 (48) | 20.2 <0.0001 |
| Ki67 expression Low ≤ 10% High > 10% | 683 (68) 633 (46) | 325 (32) 755 (54) | 115.7 <0.0001 |
Disclaimer/Publisher’s Note: The statements, opinions and data contained in all publications are solely those of the individual author(s) and contributor(s) and not of MDPI and/or the editor(s). MDPI and/or the editor(s) disclaim responsibility for any injury to people or property resulting from any ideas, methods, instructions or products referred to in the content. |
© 2024 by the authors. Licensee MDPI, Basel, Switzerland. This article is an open access article distributed under the terms and conditions of the Creative Commons Attribution (CC BY) license (https://creativecommons.org/licenses/by/4.0/).
Share and Cite
Lashen, A.G.; Wahab, N.; Toss, M.; Miligy, I.; Ghanaam, S.; Makhlouf, S.; Atallah, N.; Ibrahim, A.; Jahanifar, M.; Lu, W.; et al. Characterization of Breast Cancer Intra-Tumor Heterogeneity Using Artificial Intelligence. Cancers 2024, 16, 3849. https://doi.org/10.3390/cancers16223849
Lashen AG, Wahab N, Toss M, Miligy I, Ghanaam S, Makhlouf S, Atallah N, Ibrahim A, Jahanifar M, Lu W, et al. Characterization of Breast Cancer Intra-Tumor Heterogeneity Using Artificial Intelligence. Cancers. 2024; 16(22):3849. https://doi.org/10.3390/cancers16223849
Chicago/Turabian StyleLashen, Ayat G., Noorul Wahab, Michael Toss, Islam Miligy, Suzan Ghanaam, Shorouk Makhlouf, Nehal Atallah, Asmaa Ibrahim, Mostafa Jahanifar, Wenqi Lu, and et al. 2024. "Characterization of Breast Cancer Intra-Tumor Heterogeneity Using Artificial Intelligence" Cancers 16, no. 22: 3849. https://doi.org/10.3390/cancers16223849
APA StyleLashen, A. G., Wahab, N., Toss, M., Miligy, I., Ghanaam, S., Makhlouf, S., Atallah, N., Ibrahim, A., Jahanifar, M., Lu, W., Graham, S., Bilal, M., Bhalerao, A., Mongan, N. P., Minhas, F., Raza, S. E. A., Provenzano, E., Snead, D., Rajpoot, N., & Rakha, E. A. (2024). Characterization of Breast Cancer Intra-Tumor Heterogeneity Using Artificial Intelligence. Cancers, 16(22), 3849. https://doi.org/10.3390/cancers16223849

