Netupitant Inhibits the Proliferation of Breast Cancer Cells by Targeting AGK
Simple Summary
Abstract
1. Introduction
2. Materials and Methods
2.1. Chemical Compounds
2.2. Cell Culture
2.3. siRNA Transient Transfection
2.4. qRT-PCR
2.5. Cell Counting Kit-8 Assay
2.6. Virtual Screening and Molecular Dynamics Simulations
2.7. BIL Assay
2.8. Western Blotting
2.9. Apoptosis Analysis
2.10. Colony Formation
2.11. Nude Mouse Experiment
2.12. Ki-67 and Tunnel Staining
2.13. Statistical Analysis
3. Results
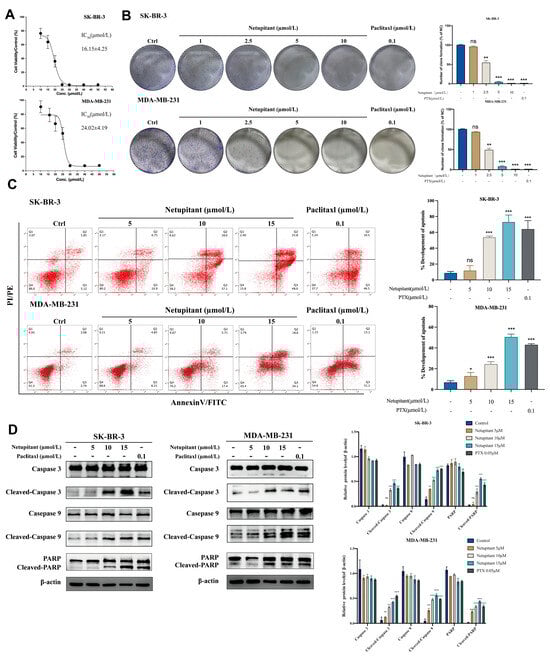
3.1. Netupitant Demonstrates the Potential to Inhibit the Proliferation of Breast Cancer Cells
3.2. Netupitant Inhibits the Proliferation of Breast Cancer Cells In Vitro by Inducing Apoptosis
3.3. Netupitant Inhibits the PI3K/AKT/mTOR Signaling Pathway In Vitro
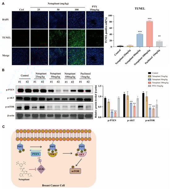
3.4. Netupitant Inhibits the Proliferation of Breast Cancer Cells In Vivo
3.5. Netupitant Induces Apoptosis in Tumor Cells In Vivo via the PI3K/AKT/mTOR Signaling Pathway
4. Discussion
5. Conclusions
Supplementary Materials
Author Contributions
Funding
Institutional Review Board Statement
Informed Consent Statement
Data Availability Statement
Conflicts of Interest
References
- Changfa, X.; Xuesi, D.; He, L.; Maomao, C.; Dianqin, S.; Siyi, H.; Fan, Y.; Xinxin, Y.; Shaoli, Z.; Ni, L.; et al. Cancer statistics in China and United States, 2022: Profiles, trends, and determinants. Chin. Med. J. 2022, 135, 584–590. [Google Scholar] [CrossRef]
- Rebecca, L.S.; Kimberly, D.M.; Hannah, E.F.; Ahmedin, J. Cancer statistics, 2022. CA Cancer J. Clin. 2022, 72, 7–33. [Google Scholar] [CrossRef]
- Nadia, H.; Michael, G. Breast cancer. Lancet 2016, 389, 1134–1150. [Google Scholar] [CrossRef]
- Marie, W.; Jackson, L.; Ciara, M.; Sarat, C. Therapeutic resistance to anti-oestrogen therapy in breast cancer. Nat. Rev. Cancer 2023, 23, 673–685. [Google Scholar] [CrossRef]
- Andreas, H.; Richard, A.L.; François, G.; Jerald, P.R.; Susan, B.; Timothy, P.H.; Michele, B.; Michael, W.D.; Francisco, C.; Satoko, F.; et al. Long-Term Outcomes of Imatinib Treatment for Chronic Myeloid Leukemia. N. Engl. J. Med. 2017, 376, 917–927. [Google Scholar]
- Yusuke, O.; Kaoru, K.; Mototsugu, S.; Kana, H.; Yosuke, K.; Tomohiro, S.; Hiroshi, W.; Shuji, M.; Kyoichi, O.; Kenji, H.; et al. First-Line Osimertinib for Previously Untreated Patients With NSCLC and Uncommon EGFR Mutations: The UNICORN Phase 2 Nonrandomized Clinical Trial. JAMA Oncol. 2023, 10, 43–51. [Google Scholar] [CrossRef]
- Misty, M.A.; Doriano, F.; Aleksandr, V.S.; Stefan, K.; Helgi, B.S. Trends in kinase drug discovery: Targets, indications and inhibitor design. Nat. Rev. Drug Discov. 2021, 20, 839–861. [Google Scholar] [CrossRef]
- Nan, D.; Kang, W.; Haojie, J.; Mina, Y.; Lin, Z.; Xuemei, F.; Qiang, Z.; Jianxiu, Y.; Hui, D.; Shuqun, C.; et al. AGK regulates the progression to NASH by affecting mitochondria complex I function. Theranostics 2022, 12, 3237–3250. [Google Scholar] [CrossRef]
- Yilin, K.; David, A.S.; Michael, J.B.; David, P.D.S.; Ann, E.F.; Michael, L.; Dedreia, T.; Suresh, M.; Malcolm, J.M.; David, R.T.; et al. Sengers Syndrome-Associated Mitochondrial Acylglycerol Kinase Is a Subunit of the Human TIM22 Protein Import Complex. Mol. Cell 2017, 67, 457–470. [Google Scholar] [CrossRef]
- Meryem, B.; Shawn, G.P.; Hong, L.; Sravan, G.; Sheldon, M.; Sarah, S. A novel acylglycerol kinase that produces lysophosphatidic acid modulates cross talk with EGFR in prostate cancer cells. J. Cell Biol. 2005, 169, 801–811. [Google Scholar] [CrossRef]
- Binxiang, C.; Zhenghua, H.; Xiaohe, Z. Acylglycerol Kinase-Targeted Therapies in Oncology. Front. Cell Dev. Biol. 2021, 9, 659158. [Google Scholar] [CrossRef]
- Yanmei, C.; Chuyong, L.; Zhiqiang, W.; Aibin, L.; Xin, Z.; Jinrong, Z.; Geyan, W.; Jueheng, W.; Mengfeng, L.; Jun, L.; et al. AGK enhances angiogenesis and inhibits apoptosis via activation of the NF-κB signaling pathway in hepatocellular carcinoma. Oncotarget 2014, 5, 12057–12069. [Google Scholar] [CrossRef]
- Qian, Z.; Ai-Lin, Z.; Hao, H.; Jing-Jing, Z.; De-Sheng, W.; Yan, T.; Qiu-Zhong, P.; Zi-Qi, Z.; Meng-Jia, S.; Jie-Ying, Y.; et al. Acylglycerol kinase promotes tumour growth and metastasis via activating the PI3K/AKT/GSK3β signalling pathway in renal cell carcinoma. J. Hematol. Oncol. 2020, 13, 2. [Google Scholar] [CrossRef]
- Xi, W.; Chuyong, L.; Xiaohui, Z.; Aibin, L.; Jinrong, Z.; Xinghua, L.; Libing, S. Acylglycerol kinase promotes cell proliferation and tumorigenicity in breast cancer via suppression of the FOXO1 transcription factor. Mol. Cancer 2014, 13, 106. [Google Scholar] [CrossRef]
- Peipei, Z.; Hongbo, C. AGK Unleashes CD8(+) T Cell Glycolysis to Combat Tumor Growth. Cell Metab. 2019, 30, 233–234. [Google Scholar] [CrossRef]
- Xiaowen, H.; Tiantian, S.; Jilin, W.; Xialu, H.; Huimin, C.; Tingting, Y.; Chengbei, Z.; Danfeng, S.; Chen, Y.; TaChung, Y.; et al. Metformin Reprograms Tryptophan Metabolism to Stimulate CD8+ T-cell Function in Colorectal Cancer. Cancer Res. 2023, 83, 2358–2371. [Google Scholar] [CrossRef]
- Hengxing, C.; Yun, L.; Huafu, L.; Xiancong, C.; Huafeng, F.; Deli, M.; Wei, C.; Linxiang, L.; Chunming, W.; Kaishun, H.; et al. NBS1 lactylation is required for efficient DNA repair and chemotherapy resistance. Nature 2024, 631, 663–669. [Google Scholar] [CrossRef]
- David Ryan, K.; Matthew, P.B.; Carlos, J.C. Lessons learned in empirical scoring with smina from the CSAR 2011 benchmarking exercise. J. Chem. Inf. Model. 2013, 53, 1893–1904. [Google Scholar] [CrossRef]
- Andrew, T.M.; Paul, F.; Rishal, A.; Tomohide, M.; Rocco, M.; Matthew, R.; Jocelyn, S.; David Ryan, K. GNINA 1.0: Molecular docking with deep learning. J. Cheminform. 2021, 13, 43. [Google Scholar] [CrossRef]
- Tran-Nguyen, V.K.; Junaid, M.; Simeon, S.; Ballester, P.J. A practical guide to machine-learning scoring for structure-based virtual screening. Nat. Protoc. 2023, 18, 3460–3511. [Google Scholar] [CrossRef]
- Abraham, M.J.; Murtola, T.; Schulz, R.; Páll, S.; Smith, J.C.; Hess, B.; Lindahl, E. GROMACS: High performance molecular simulations through multi-level parallelism from laptops to supercomputers. SoftwareX 2015, 1–2, 19–25. [Google Scholar] [CrossRef]
- Rui-Xin, S.; Yi-Fan, L.; Yan-Sha, S.; Min, Z.; Yi, W.; Bi-Zhi, S.; Hua, J.; Zong-Hai, L. GPC3-targeted CAR-T cells expressing GLUT1 or AGK exhibit enhanced antitumor activity against hepatocellular carcinoma. Acta Pharmacol. Sin. 2024, 45, 1937–1950. [Google Scholar] [CrossRef]
- Akito, H.; Isamu, O.; Naoki, I.; Morihito, O.; Masahiro, M.; Kohei, A.; Masayuki, T.; Yasutaka, W.; Shunichi, S.; Naofumi, S.; et al. Randomized, Double-Blind, Phase III Study of FosNetupitant Versus Fosaprepitant for Prevention of Highly Emetogenic Chemotherapy-Induced Nausea and Vomiting: CONSOLE. J. Clin. Oncol. 2022, 40, 180–188. [Google Scholar] [CrossRef]
- Camilo, R.; Barbara, S.S. Mechanisms and latest clinical studies of new NK1 receptor antagonists for chemotherapy-induced nausea and vomiting: Rolapitant and NEPA (Netupitant/palonosetron). Cancer Treat. Rev. 2015, 41, 904–913. [Google Scholar] [CrossRef]
- Chiara, R.; Anna, R.; Davide, M.; Stefano, M.; Claudio, G.; Emanuela, L.; Claudio, P.; Girolamo, C. In vitro and in vivo pharmacological characterization of ProNetupitant, a prodrug of the neurokinin 1 receptor antagonist Netupitant. Peptides 2015, 69, 26–32. [Google Scholar] [CrossRef]
- Jörg, S.; Christian, M.K.; Claus, H.; Steffi, B.; Martin, H.; Janine, K.-S.; Daniela, R.; Elisa, F.; Meinolf, K. Quality of Life Effects of an Oral Fixed Combination of Netupitant and Palonosetron in Chemotherapy-Induced Nausea and Vomiting Prevention: Real-World Evidence in Patients with Breast Cancer Receiving Anthracycline-Cyclophosphamide-Based Chemotherapy. Breast Care 2022, 17, 130–136. [Google Scholar] [CrossRef]
- Susan, C.; Wolfgang, H.; R Charles, C. Triple-negative breast cancer: Therapeutic options. Lancet Oncol. 2007, 8, 235–244. [Google Scholar] [CrossRef]
- Hao, T.; Dandan, M.; Xuanni, T.; Wenting, Y.; Xiujuan, W.; Cheng, H.; Ling, Z.; Yan, Z.; Bingjie, Y.; Yi, Z.; et al. Platinum and Taxane Based Adjuvant and Neoadjuvant Chemotherapy in Early Triple-Negative Breast Cancer: A Narrative Review. Front. Pharmacol. 2021, 12, 770663. [Google Scholar] [CrossRef]
- Zhu, Y.; Hu, X. Molecular Recognition of FDA-Approved Small Molecule Protein Kinase Drugs in Protein Kinases. Molecules 2022, 27, 7124. [Google Scholar] [CrossRef]
- Zhu, S.; Wu, Y.; Song, B.; Yi, M.; Yan, Y.; Mei, Q.; Wu, K. Recent advances in targeted strategies for triple-negative breast cancer. J. Hematol. Oncol. 2023, 16, 100. [Google Scholar] [CrossRef]
- Huan-Ping, Z.; Rui-Yuan, J.; Jia-Yu, Z.; Ke-Na, S.; Yuan, H.; Huan-Huan, Z.; Ya-Bing, Z.; Xiao-Jia, W. PI3K/AKT/mTOR signaling pathway: An important driver and therapeutic target in triple-negative breast cancer. Breast Cancer 2024, 31, 539–551. [Google Scholar] [CrossRef]
- Qi, Z.; Peng, S.; Songbing, Q.; Jisheng, L. Acylglycerol kinase promotes the stemness of nasopharyngeal carcinoma cells by promoting β-catenin translocation to the nucleus through activating PI3K/Akt pathway. Environ. Toxicol. 2020, 35, 1299–1307. [Google Scholar] [CrossRef]
- Spiegel, S.; Milstien, S. Critical role of acylglycerol kinase in epidermal growth factor-induced mitogenesis of prostate cancer cells. Biochem. Soc. Trans. 2005, 33, 1362–1365. [Google Scholar] [CrossRef] [PubMed]
- Chi, H. miR-194 regulated AGK and inhibited cell proliferation of oral squamous cell carcinoma by reducing PI3K-Akt-FoxO3a signaling. Biomed. Pharmacother. Biomed. Pharmacother. 2015, 71, 53–57. [Google Scholar] [CrossRef]
- Xijun, G.; Leping, H.; Weifeng, X.; Wanrong, W.; Xiaoli, F.; Yuanfeng, F.; Xiaofan, Z.; Ren-Bo, D.; Xingzhu, Q.; Jiaolin, B.; et al. αO-Conotoxin GeXIVA[1,2] Suppresses In Vivo Tumor Growth of Triple-Negative Breast Cancer by Inhibiting AKT-mTOR, STAT3 and NF-κB Signaling Mediated Proliferation and Inducing Apoptosis. Mar. Drugs 2024, 22, 252. [Google Scholar] [CrossRef]
- Michel-Gael, F.G.; Debojit, T.; Rimi, M.; Subhabrata, G.; Debarpan, M.; Depanwita, S.; Gaurav, D.; François, D.; Victor, K.; Nabendu, M. Hypericum roeperianum bark extract suppresses breast cancer proliferation via induction of apoptosis, downregulation of PI3K/Akt/mTOR signaling cascade and reversal of EMT. J. Ethnopharmacol. 2023, 319, 117093. [Google Scholar] [CrossRef]
- H Alex, B.; Paul, G.T.; Craig, W.L. Targeting phospholipase D in cancer, infection and neurodegenerative disorders. Nat. Rev. Drug Discov. 2017, 16, 351–367. [Google Scholar] [CrossRef]
- Suman, M.; Amrita, C.; Diane, K.; Deven, P.; David, A.F. 5-Aminoimidazole-4-carboxamide-1-β-4-ribofuranoside (AICAR) enhances the efficacy of rapamycin in human cancer cells. Cell Cycle 2015, 14, 3331–3339. [Google Scholar] [CrossRef]





Disclaimer/Publisher’s Note: The statements, opinions and data contained in all publications are solely those of the individual author(s) and contributor(s) and not of MDPI and/or the editor(s). MDPI and/or the editor(s) disclaim responsibility for any injury to people or property resulting from any ideas, methods, instructions or products referred to in the content. |
© 2024 by the authors. Licensee MDPI, Basel, Switzerland. This article is an open access article distributed under the terms and conditions of the Creative Commons Attribution (CC BY) license (https://creativecommons.org/licenses/by/4.0/).
Share and Cite
Zhang, Z.; Liu, Y.; Wu, H.; Yuan, Y.; Liu, Z.; Sulaiman, M.; Yuan, S.; Yang, M. Netupitant Inhibits the Proliferation of Breast Cancer Cells by Targeting AGK. Cancers 2024, 16, 3807. https://doi.org/10.3390/cancers16223807
Zhang Z, Liu Y, Wu H, Yuan Y, Liu Z, Sulaiman M, Yuan S, Yang M. Netupitant Inhibits the Proliferation of Breast Cancer Cells by Targeting AGK. Cancers. 2024; 16(22):3807. https://doi.org/10.3390/cancers16223807
Chicago/Turabian StyleZhang, Zhibo, Yongzhuang Liu, Hai Wu, Yan Yuan, Zhengrui Liu, Muhammad Sulaiman, Shengtao Yuan, and Mei Yang. 2024. "Netupitant Inhibits the Proliferation of Breast Cancer Cells by Targeting AGK" Cancers 16, no. 22: 3807. https://doi.org/10.3390/cancers16223807
APA StyleZhang, Z., Liu, Y., Wu, H., Yuan, Y., Liu, Z., Sulaiman, M., Yuan, S., & Yang, M. (2024). Netupitant Inhibits the Proliferation of Breast Cancer Cells by Targeting AGK. Cancers, 16(22), 3807. https://doi.org/10.3390/cancers16223807
