Daily Diagnostic Quality Computed Tomography-on-Rails (CTOR) Image Guidance for Abdominal Stereotactic Body Radiation Therapy (SBRT)
Simple Summary
Abstract
1. Introduction
2. Methods and Materials
2.1. Simulation
2.2. Treatment Planning
2.3. Description of the CT-on-Rails System and Workflow
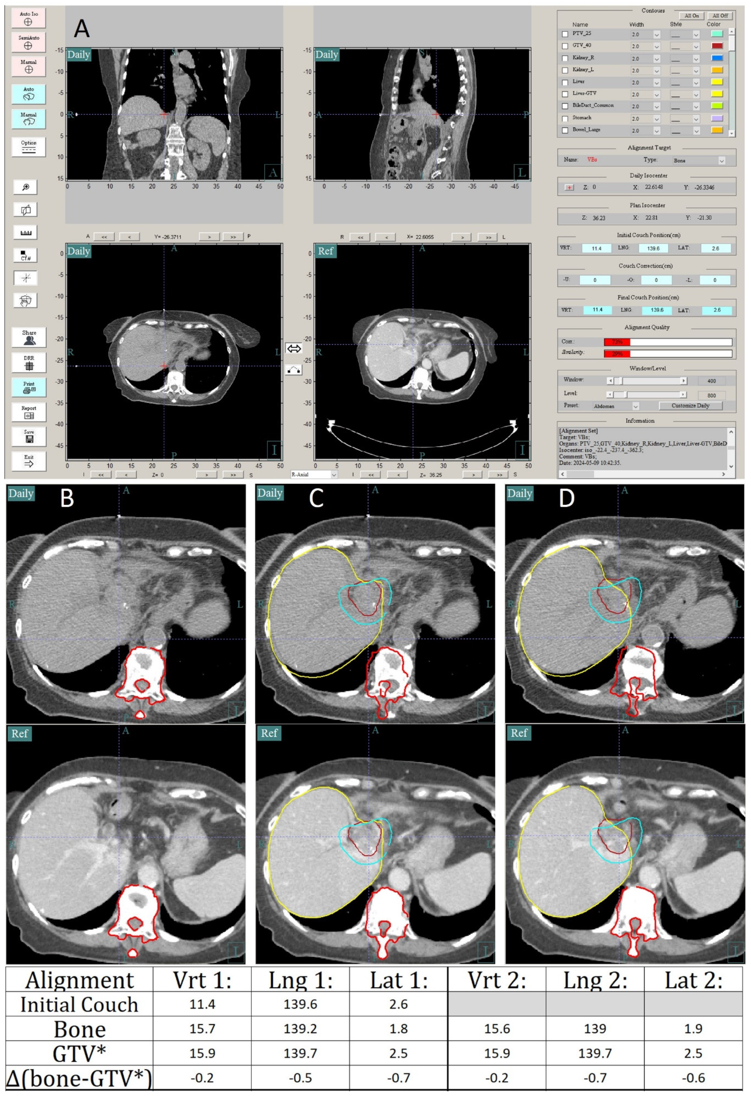
2.4. CT-on-Rails-Based Alignment
2.5. Verification Imaging
3. Results
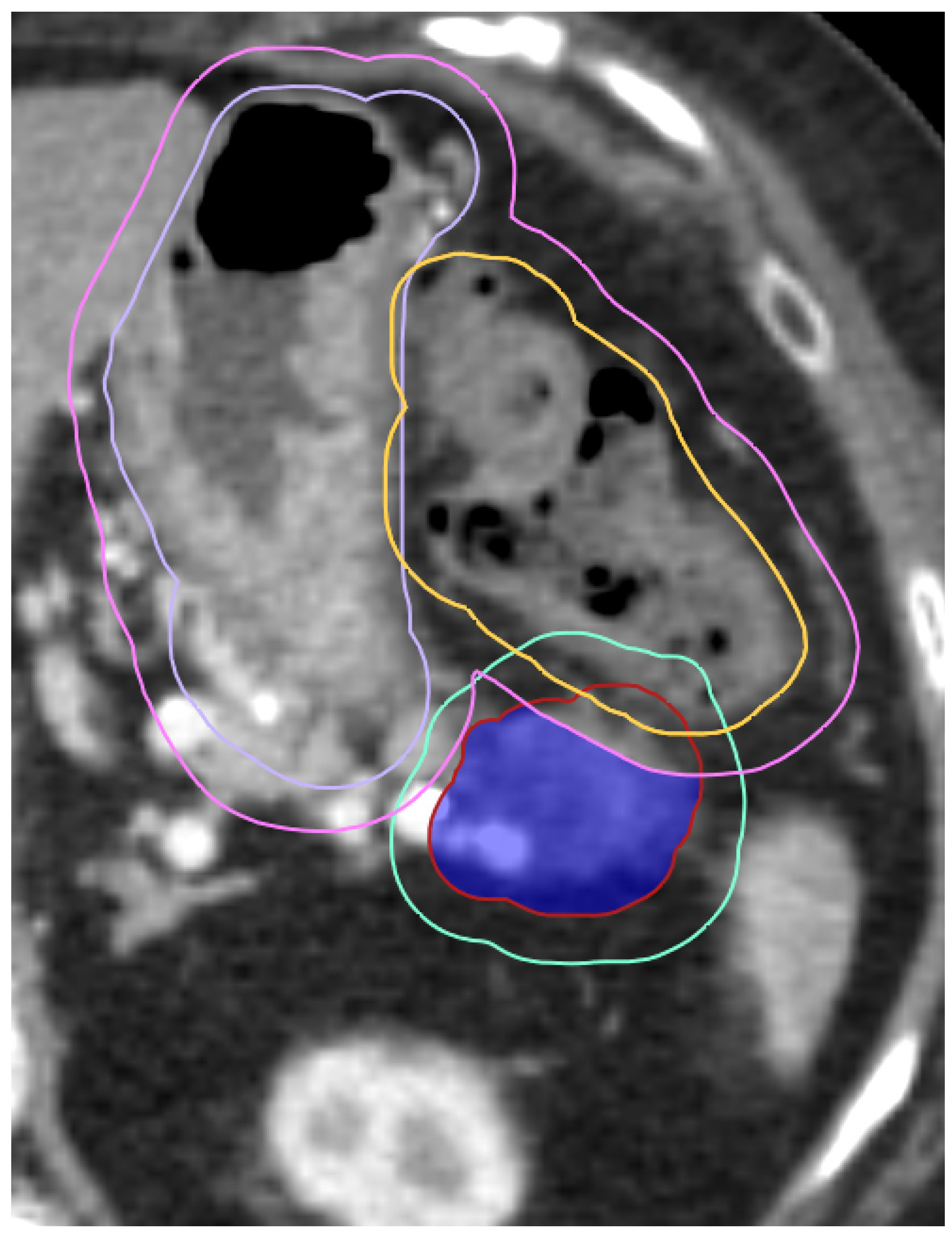
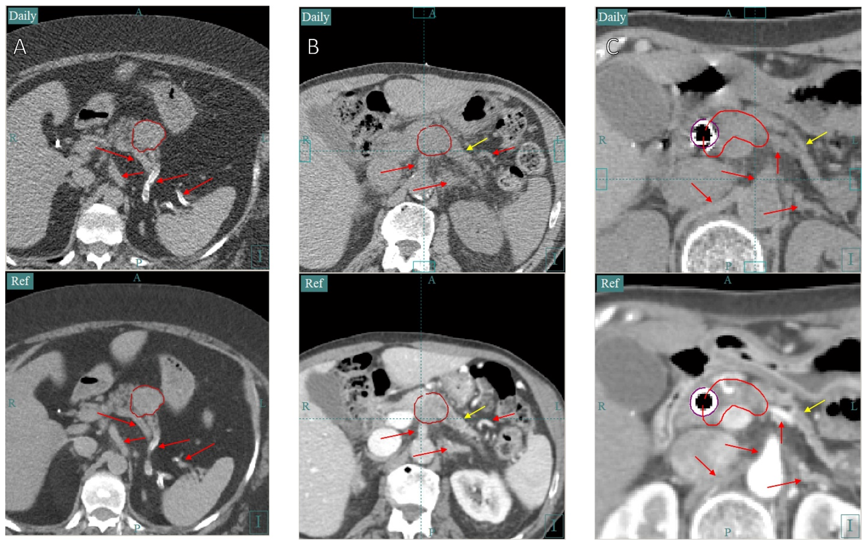
3.1. Case Study 1
3.2. Case Study 2
3.3. Case Study 3
4. Discussion
5. Conclusions
Author Contributions
Funding
Institutional Review Board Statement
Informed Consent Statement
Data Availability Statement
Conflicts of Interest
References
- Bouchart, C.; Navez, J.; Closset, J.; Hendlisz, A.; Van Gestel, D.; Moretti, L.; Van Laethem, J.-L. Novel strategies using modern radiotherapy to improve pancreatic cancer outcomes: Toward a new standard? Ther. Adv. Med. Oncol. 2020, 12, 175883592093609. [Google Scholar] [CrossRef] [PubMed]
- Arcelli, A.; Guido, A.; Buwenge, M.; Simoni, N.; Mazzarotto, R.; Macchia, G.; Deodato, F.; Cilla, S.; Bonomo, P.; Scotti, V.; et al. Higher Biologically Effective Dose Predicts Survival in SBRT of Pancreatic Cancer: A Multicentric Analysis (PAULA-1). Anticancer Res. 2020, 40, 465–472. [Google Scholar] [CrossRef] [PubMed]
- Cellini, F.; Arcelli, A.; Simoni, N.; Caravatta, L.; Buwenge, M.; Calabrese, A.; Brunetti, O.; Genovesi, D.; Mazzarotto, R.; Deodato, F.; et al. Basics and Frontiers on Pancreatic Cancer for Radiation Oncology: Target Delineation, SBRT, SIB Technique, MRgRT, Particle Therapy, Immunotherapy and Clinical Guidelines. Cancers 2020, 12, 1729. [Google Scholar] [CrossRef]
- Chang, D.T.; Schellenberg, D.; Shen, J.; Kim, J.; Goodman, K.A.; Fisher, G.A.; Ford, J.M.; Desser, T.; Quon, A.; Koong, A.C. Stereotactic radiotherapy for unresectable adenocarcinoma of the pancreas. Cancer 2009, 115, 665–672. [Google Scholar] [CrossRef]
- Chen-Zhao, X.; Hernando, O.; López, M.; Sánchez, E.; Montero, A.; García-Aranda, M.; Ciérvide, R.; Valero, J.; Alonso, R.; Cárdenas-Rebollo, J.M.; et al. A prospective observational study of the clinical and pathological impact of stereotactic body radiotherapy (SBRT) as a neoadjuvant strategy of chemoradiation in pancreatic cancer. Clin. Transl. Oncol. 2020, 22, 1499–1505. [Google Scholar] [CrossRef]
- Dalwadi, S.M.; Herman, J.M.; Das, P.; Holliday, E.B. Novel Radiotherapy Technologies in the Treatment of Gastrointestinal Malignancies. Hematol. Oncol. Clin. N. Am. 2020, 34, 29–43. [Google Scholar] [CrossRef]
- Mahadevan, A.; Jain, S.; Goldstein, M.; Miksad, R.; Pleskow, D.; Sawhney, M.; Brennan, D.; Callery, M.; Vollmer, C. Stereotactic Body Radiotherapy and Gemcitabine for Locally Advanced Pancreatic Cancer. Int. J. Radiat. Oncol. 2010, 78, 735–742. [Google Scholar] [CrossRef]
- Mellon, E.A.; Hoffe, S.E.; Springett, G.M.; Frakes, J.M.; Strom, T.J.; Hodul, P.J.; Malafa, M.P.; Chuong, M.D.; Shridhar, R. Long-term outcomes of induction chemotherapy and neoadjuvant stereotactic body radiotherapy for borderline resectable and locally advanced pancreatic adenocarcinoma. Acta Oncol. 2015, 54, 979–985. [Google Scholar] [CrossRef]
- Petrelli, F.; Comito, T.; Ghidini, A.; Torri, V.; Scorsetti, M.; Barni, S. Stereotactic Body Radiation Therapy for Locally Advanced Pancreatic Cancer: A Systematic Review and Pooled Analysis of 19 Trials. Int. J. Radiat. Oncol. 2017, 97, 313–322. [Google Scholar] [CrossRef]
- Reyngold, M.; Parikh, P.; Crane, C.H. Ablative radiation therapy for locally advanced pancreatic cancer: Techniques and results. Radiat. Oncol. 2019, 14, 95. [Google Scholar] [CrossRef]
- Zhong, J.; Patel, K.; Switchenko, J.; Cassidy, R.J.; Hall, W.A.; Gillespie, T.; Patel, P.R.; Kooby, D.; Landry, J. Outcomes for patients with locally advanced pancreatic adenocarcinoma treated with stereotactic body radiation therapy versus conventionally fractionated radiation. Cancer 2017, 123, 3486–3493. [Google Scholar] [CrossRef] [PubMed]
- Palta, M.; Godfrey, D.; Goodman, K.A.; Hoffe, S.; Dawson, L.A.; Dessert, D.; Hall, W.A.; Herman, J.M.; Khorana, A.A.; Merchant, N.; et al. Radiation Therapy for Pancreatic Cancer: Executive Summary of an ASTRO Clinical Practice Guideline. Pract. Radiat. Oncol. 2019, 9, 322–332. [Google Scholar] [CrossRef] [PubMed]
- Herman, J.M.; Chang, D.T.; Goodman, K.A.; Dholakia, A.S.; Raman, S.P.; Hacker-Prietz, A.; Iacobuzio-Donahue, C.A.; Griffith, M.E.; Pawlik, T.M.; Pai, J.S.; et al. Phase 2 multi-institutional trial evaluating gemcitabine and stereotactic body radiotherapy for patients with locally advanced unresectable pancreatic adenocarcinoma. Cancer 2015, 121, 1128–1137. [Google Scholar] [CrossRef] [PubMed]
- Poon, R.T.-P.; Fan, S.-T.; Lo, C.-M.; Ng, I.O.-L.; Liu, C.-L.; Lam, C.-M.; Wong, J. Improving Survival Results After Resection of Hepatocellular Carcinoma: A Prospective Study of 377 Patients Over 10 Years. Ann. Surg. 2001, 234, 63–70. [Google Scholar] [CrossRef]
- Mornex, F.; Girard, N.; Beziat, C.; Kubas, A.; Khodri, M.; Trepo, C.; Merle, P. Feasibility and efficacy of high-dose three-dimensional-conformal radiotherapy in cirrhotic patients with small-size hepatocellular carcinoma non-eligible for curative therapies—Mature results of the French Phase II RTF-1 trial. Int. J. Radiat. Oncol. 2006, 66, 1152–1158. [Google Scholar] [CrossRef]
- Ben-Josef, E.; Normolle, D.; Ensminger, W.D.; Walker, S.; Tatro, D.; Ten Haken, R.K.; Knol, J.; Dawson, L.A.; Pan, C.; Lawrence, T.S. Phase II Trial of High-Dose Conformal Radiation Therapy With Concurrent Hepatic Artery Floxuridine for Unresectable Intrahepatic Malignancies. J. Clin. Oncol. 2005, 23, 8739–8747. [Google Scholar] [CrossRef]
- Skinner, H.D.; Sharp, H.J.; Kaseb, A.O.; Javle, M.M.; Vauthey, J.N.; Abdalla, E.K.; Delclos, M.E.; Das, P.; Crane, C.H.; Krishnan, S. Radiation treatment outcomes for unresectable hepatocellular carcinoma. Acta Oncol. 2011, 50, 1191–1198. [Google Scholar] [CrossRef]
- Tao, R.; Krishnan, S.; Bhosale, P.R.; Javle, M.M.; Aloia, T.A.; Shroff, R.T.; Kaseb, A.O.; Bishop, A.J.; Swanick, C.W.; Koay, E.J.; et al. Ablative Radiotherapy Doses Lead to a Substantial Prolongation of Survival in Patients With Inoperable Intrahepatic Cholangiocarcinoma: A Retrospective Dose Response Analysis. J. Clin. Oncol. 2016, 34, 219–226. [Google Scholar] [CrossRef]
- McPartlin, A.; Swaminath, A.; Wang, R.; Pintilie, M.; Brierley, J.; Kim, J.; Ringash, J.; Wong, R.; Dinniwell, R.; Craig, T.; et al. Long-Term Outcomes of Phase 1 and 2 Studies of SBRT for Hepatic Colorectal Metastases. Int. J. Radiat. Oncol. 2017, 99, 388–395. [Google Scholar] [CrossRef]
- Chang, B.K.; Timmerman, R.D. Stereotactic Body Radiation Therapy: A Comprehensive Review. Am. J. Clin. Oncol. 2007, 30, 637–644. [Google Scholar] [CrossRef]
- Grimbergen, G.; Eijkelenkamp, H.; Heerkens, H.D.; Raaymakers, B.W.; Intven, M.P.W.; Meijer, G.J. Intrafraction pancreatic tumor motion patterns during ungated magnetic resonance guided radiotherapy with an abdominal corset. Phys. Imaging Radiat. Oncol. 2022, 21, 1–5. [Google Scholar] [CrossRef] [PubMed]
- Ge, J.; Santanam, L.; Noel, C.; Parikh, P.J. Planning 4-Dimensional Computed Tomography (4DCT) Cannot Adequately Represent Daily Intrafractional Motion of Abdominal Tumors. Int. J. Radiat. Oncol. 2013, 85, 999–1005. [Google Scholar] [CrossRef] [PubMed]
- Marchant, T.E.; Amer, A.M.; Moore, C.J. Measurement of inter and intra fraction organ motion in radiotherapy using cone beam CT projection images. Phys. Med. Biol. 2008, 53, 1087–1098. [Google Scholar] [CrossRef] [PubMed]
- Minn, A.Y.; Schellenberg, D.; Maxim, P.; Suh, Y.; McKenna, S.; Cox, B.; Dieterich, S.; Xing, L.; Graves, E.; Goodman, K.A.; et al. Pancreatic Tumor Motion on a Single Planning 4D-CT Does Not Correlate With Intrafraction Tumor Motion During Treatment. Am. J. Clin. Oncol. 2009, 32, 364–368. [Google Scholar] [CrossRef]
- Rusu, D.N.; Cunningham, J.M.; Arch, J.V.; Chetty, I.J.; Parikh, P.J.; Dolan, J.L. Impact of intrafraction motion in pancreatic cancer treatments with MR-guided adaptive radiation therapy. Front. Oncol. 2023, 13, 1298099. [Google Scholar] [CrossRef]
- Hooshangnejad, H.; Miles, D.; Hill, C.; Narang, A.; Ding, K.; Han-Oh, S. Inter-Breath-Hold Geometric and Dosimetric Variations in Organs at Risk during Pancreatic Stereotactic Body Radiotherapy: Implications for Adaptive Radiation Therapy. Cancers 2023, 15, 4332. [Google Scholar] [CrossRef]
- Keall, P.J. The management of respiratory motion in radiation oncology report of AAPM Task Group 76a. Med. Phys. 2006, 33, 3874–3900. [Google Scholar] [CrossRef]
- Young, T.; Lee, M.; Johnston, M.; Nguyen, T.; Ko, R.; Arumugam, S. Assessment of interfraction dose variation in pancreas SBRT using daily simulation MR images. Phys. Eng. Sci. Med. 2023, 46, 1619–1627. [Google Scholar] [CrossRef]
- Beddar, A.S.; Briere, T.M.; Balter, P.; Pan, T.; Tolani, N.; Ng, C.; Szklaruk, J.; Krishnan, S. 4D-CT imaging with synchronized intravenous contrast injection to improve delineation of liver tumors for treatment planning. Radiother. Oncol. 2008, 87, 445–448. [Google Scholar] [CrossRef]
- Eccles, C.L.; Tse, R.V.; Hawkins, M.A.; Lee, M.T.; Moseley, D.J.; Dawson, L.A. Intravenous contrast-enhanced cone beam computed tomography (IVCBCT) of intrahepatic tumors and vessels. Adv. Radiat. Oncol. 2016, 1, 43–50. [Google Scholar] [CrossRef][Green Version]
- Daamen, L.A.; Parikh, P.J.; Hall, W.A. The Use of MR-Guided Radiation Therapy for Pancreatic Cancer. Semin. Radiat. Oncol. 2024, 34, 23–35. [Google Scholar] [CrossRef] [PubMed]
- Gough, J.; Hall, W.; Good, J.; Nash, A.; Aitken, K. Technical Radiotherapy Advances—The Role of Magnetic Resonance Imaging-Guided Radiation in the Delivery of Hypofractionation. Clin. Oncol. 2022, 34, 301–312. [Google Scholar] [CrossRef] [PubMed]
- Prime, S.; Schiff, J.P.; Hosni, A.; Stanescu, T.; Dawson, L.A.; Henke, L.E. The Use of MR-Guided Radiation Therapy for Liver Cancer. Semin. Radiat. Oncol. 2024, 34, 36–44. [Google Scholar] [CrossRef] [PubMed]
- Breazeale, A.; Rahmani, R.; Gallagher, K.; Nabavizadeh, N. Liver stereotactic body radiation therapy without fiducial or retained ethiodized oil guidance warrants greater than 5 mm planning target volumes. J. Med. Radiat. Sci. 2024, 71, 110–113. [Google Scholar] [CrossRef] [PubMed]
- Moskalenko, M.; Jones, B.L.; Mueller, A.; Lewis, S.; Shiao, J.C.; Zakem, S.J.; Robin, T.P.; Goodman, K.A. Fiducial Markers Allow Accurate and Reproducible Delivery of Liver Stereotactic Body Radiation Therapy. Curr. Oncol. 2023, 30, 5054–5061. [Google Scholar] [CrossRef]
- Niedzielski, J.S.; Liu, Y.; Ng, S.S.W.; Martin, R.M.; Perles, L.A.; Beddar, S.; Rebueno, N.; Koay, E.J.; Taniguchi, C.; Holliday, E.B.; et al. Dosimetric Uncertainties Resulting From Interfractional Anatomic Variations for Patients Receiving Pancreas Stereotactic Body Radiation Therapy and Cone Beam Computed Tomography Image Guidance. Int. J. Radiat. Oncol. 2021, 111, 1298–1309. [Google Scholar] [CrossRef]
- Hammers, J.; Lindsay, D.; Narayanasamy, G.; Sud, S.; Tan, X.; Dooley, J.; Marks, L.B.; Chen, R.C.; Das, S.K.; Mavroidis, P. Evaluation of the clinical impact of the differences between planned and delivered dose in prostate cancer radiotherapy based on CT-on-rails IGRT and patient-reported outcome scores. J. Appl. Clin. Med. Phys. 2023, 24, e13780. [Google Scholar] [CrossRef]
- Li, X.; Quan, E.M.; Li, Y.; Pan, X.; Zhou, Y.; Wang, X.; Du, W.; Kudchadker, R.J.; Johnson, J.L.; Kuban, D.A.; et al. A Fully Automated Method for CT-on-Rails-Guided Online Adaptive Planning for Prostate Cancer Intensity Modulated Radiation Therapy. Int. J. Radiat. Oncol. 2013, 86, 835–841. [Google Scholar] [CrossRef]
- Ma, C.-M.C.; Paskalev, K. In-room CT techniques for image-guided radiation therapy. Med. Dosim. 2006, 31, 30–39. [Google Scholar] [CrossRef]
- Owen, R.; Kron, T.; Foroudi, F.; Milner, A.; Cox, J.; Duchesne, G.; Cleeve, L.; Zhu, L.; Cramb, J.; Sparks, L.; et al. Comparison of CT on Rails With Electronic Portal Imaging for Positioning of Prostate Cancer Patients With Implanted Fiducial Markers. Int. J. Radiat. Oncol. 2009, 74, 906–912. [Google Scholar] [CrossRef]
- Yang, Z.; Chang, Y.; Brock, K.K.; Cazoulat, G.; Koay, E.J.; Koong, A.C.; Herman, J.M.; Park, P.C.; Poenisch, F.; Li, Q.; et al. Effect of setup and inter-fraction anatomical changes on the accumulated dose in CT-guided breath-hold intensity modulated proton therapy of liver malignancies. Radiother. Oncol. 2019, 134, 101–109. [Google Scholar] [CrossRef] [PubMed]
- Bohoudi, O.; Bruynzeel, A.M.E.; Meijerink, M.R.; Senan, S.; Slotman, B.J.; Palacios, M.A.; Lagerwaard, F.J. Identification of patients with locally advanced pancreatic cancer benefitting from plan adaptation in MR-guided radiation therapy. Radiother. Oncol. 2019, 132, 16–22. [Google Scholar] [CrossRef] [PubMed]
- Chuong, M.D.; Bryant, J.; Mittauer, K.E.; Hall, M.; Kotecha, R.; Alvarez, D.; Romaguera, T.; Rubens, M.; Adamson, S.; Godley, A.; et al. Ablative 5-Fraction Stereotactic Magnetic Resonance–Guided Radiation Therapy With On-Table Adaptive Replanning and Elective Nodal Irradiation for Inoperable Pancreas Cancer. Pract. Radiat. Oncol. 2021, 11, 134–147. [Google Scholar] [CrossRef] [PubMed]
- Doty, D.G.; Chuong, M.D.; Gomez, A.G.; Bryant, J.; Contreras, J.; Romaguera, T.; Alvarez, D.; Kotecha, R.; Mehta, M.P.; Gutierrez, A.N.; et al. Stereotactic MR-guided online adaptive radiotherapy reirradiation (SMART reRT) for locally recurrent pancreatic adenocarcinoma: A case report. Med. Dosim. 2021, 46, 384–388. [Google Scholar] [CrossRef] [PubMed]
- Ermongkonchai, T.; Khor, R.; Muralidharan, V.; Tebbutt, N.; Lim, K.; Kutaiba, N.; Ng, S.P. Stereotactic radiotherapy and the potential role of magnetic resonance-guided adaptive techniques for pancreatic cancer. World J. Gastroenterol. 2022, 28, 745–754. [Google Scholar] [CrossRef]
- Hawranko, R.; Sohn, J.J.; Neiderer, K.; Bump, E.; Harris, T.; Fields, E.C.; Weiss, E.; Song, W.Y. Investigation of Isotoxic Dose Escalation and Plan Quality with TDABC Analysis on a 0.35 T MR-Linac (MRL) System in Ablative 5-Fraction Stereotactic Magnetic Resonance-Guided Radiation Therapy (MRgRT) for Primary Pancreatic Cancer. J. Clin. Med. 2022, 11, 2584. [Google Scholar] [CrossRef]
- Herr, D.J.; Wang, C.; Mendiratta-Lala, M.; Matuszak, M.; Mayo, C.S.; Cao, Y.; Parikh, N.D.; Ten Haken, R.; Owen, D.; Evans, J.R.; et al. A Phase II Study of Optimized Individualized Adaptive Radiotherapy for Hepatocellular Carcinoma. Clin. Cancer Res. 2023, 29, 3852–3858. [Google Scholar] [CrossRef]
- Hill, C.S.; Han-Oh, S.; Cheng, Z.; Wang, K.K.-H.; Meyer, J.J.; Herman, J.M.; Narang, A.K. Fiducial-based image-guided SBRT for pancreatic adenocarcinoma: Does inter-and intra-fraction treatment variation warrant adaptive therapy? Radiat. Oncol. 2021, 16, 53. [Google Scholar] [CrossRef]
- Lee, D.; Renz, P.; Oh, S.; Hwang, M.-S.; Pavord, D.; Yun, K.L.; Collura, C.; McCauley, M.; Colonias, A.; Trombetta, M.; et al. Online Adaptive MRI-Guided Stereotactic Body Radiotherapy for Pancreatic and Other Intra-Abdominal Cancers. Cancers 2023, 15, 5272. [Google Scholar] [CrossRef]
- Magallon-Baro, A.; Granton, P.V.; Milder, M.T.W.; Loi, M.; Zolnay, A.G.; Nuyttens, J.J.; Hoogeman, M.S. A model-based patient selection tool to identify who may be at risk of exceeding dose tolerances during pancreatic SBRT. Radiother. Oncol. 2019, 141, 116–122. [Google Scholar] [CrossRef]
- Mittauer, K.E.; Yarlagadda, S.; Bryant, J.M.; Bassiri, N.; Romaguera, T.; Gomez, A.G.; Herrera, R.; Kotecha, R.; Mehta, M.P.; Gutierrez, A.N.; et al. Online adaptive radiotherapy: Assessment of planning technique and its impact on longitudinal plan quality robustness in pancreatic cancer. Radiother. Oncol. 2023, 188, 109869. [Google Scholar] [CrossRef] [PubMed]
- Rhee, D.J.; Beddar, S.; Jaoude, J.A.; Sawakuchi, G.; Martin, R.; Perles, L.; Yu, C.; He, Y.; Court, L.E.; Ludmir, E.B.; et al. Dose Escalation for Pancreas SBRT: Potential and Limitations of using Daily Online Adaptive Radiation Therapy and an Iterative Isotoxicity Automated Planning Approach. Adv. Radiat. Oncol. 2023, 8, 101164. [Google Scholar] [CrossRef] [PubMed]
- Prasad Venkatesulu, B.; Ness, E.; Ross, D.; Saripalli, A.L.; Abood, G.; Badami, A.; Cotler, S.; Dhanarajan, A.; Knab, L.M.; Lee, B.; et al. MRI-guided Real-time Online Gated Stereotactic Body Radiation Therapy for Liver Tumors. Am. J. Clin. Oncol. 2023, 46, 530–536. [Google Scholar] [CrossRef] [PubMed]
- Weykamp, F.; Katsigiannopulos, E.; Piskorski, L.; Regnery, S.; Hoegen, P.; Ristau, J.; Renkamp, C.K.; Liermann, J.; Forster, T.; Lang, K.; et al. Dosimetric Benefit of Adaptive Magnetic Resonance-Guided Stereotactic Body Radiotherapy of Liver Metastases. Cancers 2022, 14, 6041. [Google Scholar] [CrossRef]
- Wu, T.C.; Yoon, S.M.; Cao, M.; Raldow, A.C.; Xiang, M. Identifying predictors of on-table adaptation for pancreas stereotactic body radiotherapy (SBRT). Clin. Transl. Radiat. Oncol. 2023, 40, 100603. [Google Scholar] [CrossRef]
- Chuong, M.D.; Clark, M.A.; Henke, L.E.; Kishan, A.U.; Portelance, L.; Parikh, P.J.; Bassetti, M.F.; Nagar, H.; Rosenberg, S.A.; Mehta, M.P.; et al. Patterns of utilization and clinical adoption of 0.35 Tesla MR-guided radiation therapy in the United States—Understanding the transition to adaptive, ultra-hypofractionated treatments. Clin. Transl. Radiat. Oncol. 2023, 38, 161–168. [Google Scholar] [CrossRef]
- Garcia Schüler, H.I.; Pavic, M.; Mayinger, M.; Weitkamp, N.; Chamberlain, M.; Reiner, C.; Linsenmeier, C.; Balermpas, P.; Krayenbühl, J.; Guckenberger, M.; et al. Operating procedures, risk management and challenges during implementation of adaptive and non-adaptive MR-guided radiotherapy: 1-year single-center experience. Radiat. Oncol. 2021, 16, 217. [Google Scholar] [CrossRef]
- Sanders, M.K.; Moser, A.J.; Khalid, A.; Fasanella, K.E.; Zeh, H.J.; Burton, S.; McGrath, K. EUS-guided fiducial placement for stereotactic body radiotherapy in locally advanced and recurrent pancreatic cancer. Gastrointest. Endosc. 2010, 71, 1178–1184. [Google Scholar] [CrossRef]
- Krishnan, S.; Briere, T.M.; Dong, L.; Murthy, R.; Ng, C.; Balter, P.; Mohan, R.; Gillin, M.T.; Beddar, A.S. Daily targeting of liver tumors: Screening patients with a mock treatment and using a combination of internal and external fiducials for image-guided respiratory-gated radiotherapya. Med. Phys. 2007, 34, 4591–4593. [Google Scholar] [CrossRef]
- Slagowski, J.M.; Colbert, L.E.; Cazacu, I.M.; Singh, B.S.; Martin, R.; Koay, E.J.; Taniguchi, C.M.; Koong, A.C.; Bhutani, M.S.; Herman, J.M.; et al. Evaluation of the Visibility and Artifacts of 11 Common Fiducial Markers for Image Guided Stereotactic Body Radiation Therapy in the Abdomen. Pract. Radiat. Oncol. 2020, 10, 434–442. [Google Scholar] [CrossRef]
- Koay, E.J.; Hanania, A.N.; Hall, W.A.; Taniguchi, C.M.; Rebueno, N.; Myrehaug, S.; Aitken, K.L.; Dawson, L.A.; Crane, C.H.; Herman, J.M.; et al. Dose-Escalated Radiation Therapy for Pancreatic Cancer: A Simultaneous Integrated Boost Approach. Pract. Radiat. Oncol. 2020, 10, e495–e507. [Google Scholar] [CrossRef] [PubMed]
- Simoni, N.; Micera, R.; Paiella, S.; Guariglia, S.; Zivelonghi, E.; Malleo, G.; Rossi, G.; Addari, L.; Giuliani, T.; Pollini, T.; et al. Hypofractionated Stereotactic Body Radiation Therapy with Simultaneous Integrated Boost and Simultaneous Integrated Protection in Pancreatic Ductal Adenocarcinoma. Clin. Oncol. 2021, 33, e31–e38. [Google Scholar] [CrossRef] [PubMed]
- Zhang, L.; Dong, L.; Court, L.; Wang, H.; Gillin, M.; Mohan, R. TU-EE-A4-05: Validation of CT-Assisted Targeting (CAT) Software for Soft Tissue and Bony Target Localization. Med. Phys. 2005, 32, 2106. [Google Scholar] [CrossRef]
- Benedict, S.H.; Yenice, K.M.; Followill, D.; Galvin, J.M.; Hinson, W.; Kavanagh, B.; Keall, P.; Lovelock, M.; Meeks, S.; Papiez, L.; et al. Stereotactic body radiation therapy: The report of AAPM Task Group 101. Med. Phys. 2010, 37, 4078–4101. [Google Scholar] [CrossRef]
- Robar, J.L.; Cherpak, A.; MacDonald, R.L.; Yashayaeva, A.; McAloney, D.; McMaster, N.; Zhan, K.; Cwajna, S.; Patil, N.; Dahn, H. Novel Technology Allowing Cone Beam Computed Tomography in 6 Seconds: A Patient Study of Comparative Image Quality. Pract. Radiat. Oncol. 2024, 14, 277–286. [Google Scholar] [CrossRef]
- Zhang, Q.; Hu, Y.; Liu, F.; Goodman, K.; Rosenzweig, K.E.; Mageras, G.S. Correction of motion artifacts in cone-beam CT using a patient-specific respiratory motion model. Med. Phys. 2010, 37, 2901–2909. [Google Scholar] [CrossRef]
- Dai, X.; Lei, Y.; Wynne, J.; Janopaul-Naylor, J.; Wang, T.; Roper, J.; Curran, W.J.; Liu, T.; Patel, P.; Yang, X. Synthetic CT-aided multiorgan segmentation for CBCT-guided adaptive pancreatic radiotherapy. Med. Phys. 2021, 48, 7063–7073. [Google Scholar] [CrossRef]
- Gao, L.; Xie, K.; Sun, J.; Lin, T.; Sui, J.; Yang, G.; Ni, X. Streaking artifact reduction for CBCT-based synthetic CT generation in adaptive radiotherapy. Med. Phys. 2023, 50, 879–893. [Google Scholar] [CrossRef]
- Hrinivich, W.T.; Chernavsky, N.E.; Morcos, M.; Li, T.; Wu, P.; Wong, J.; Siewerdsen, J.H. Effect of subject motion and gantry rotation speed on image quality and dose delivery in CT-guided radiotherapy. Med. Phys. 2022, 49, 6840–6855. [Google Scholar] [CrossRef]










| Approach | Risk to OARs | Treatment Efficacy | Complexity of Treatment | Physician Time Requirement | Requires High Quality Imaging |
|---|---|---|---|---|---|
| Lower prescription dose | low | low | low | low | no |
| Use IDLs to avoid OARs | med | med | low | med | yes |
| Offline adaptation | med | med | med | high | yes |
| Online adaptation | low | high | high | high | yes |
Disclaimer/Publisher’s Note: The statements, opinions and data contained in all publications are solely those of the individual author(s) and contributor(s) and not of MDPI and/or the editor(s). MDPI and/or the editor(s) disclaim responsibility for any injury to people or property resulting from any ideas, methods, instructions or products referred to in the content. |
© 2024 by the authors. Licensee MDPI, Basel, Switzerland. This article is an open access article distributed under the terms and conditions of the Creative Commons Attribution (CC BY) license (https://creativecommons.org/licenses/by/4.0/).
Share and Cite
Martin-Paulpeter, R.M.; Jensen, P.J.; Perles, L.A.; Sawakuchi, G.O.; Das, P.; Koay, E.J.; Koong, A.C.; Ludmir, E.B.; Niedzielski, J.S.; Beddar, S. Daily Diagnostic Quality Computed Tomography-on-Rails (CTOR) Image Guidance for Abdominal Stereotactic Body Radiation Therapy (SBRT). Cancers 2024, 16, 3770. https://doi.org/10.3390/cancers16223770
Martin-Paulpeter RM, Jensen PJ, Perles LA, Sawakuchi GO, Das P, Koay EJ, Koong AC, Ludmir EB, Niedzielski JS, Beddar S. Daily Diagnostic Quality Computed Tomography-on-Rails (CTOR) Image Guidance for Abdominal Stereotactic Body Radiation Therapy (SBRT). Cancers. 2024; 16(22):3770. https://doi.org/10.3390/cancers16223770
Chicago/Turabian StyleMartin-Paulpeter, Rachael M., P. James Jensen, Luis A. Perles, Gabriel O. Sawakuchi, Prajnan Das, Eugene J. Koay, Albert C. Koong, Ethan B. Ludmir, Joshua S. Niedzielski, and Sam Beddar. 2024. "Daily Diagnostic Quality Computed Tomography-on-Rails (CTOR) Image Guidance for Abdominal Stereotactic Body Radiation Therapy (SBRT)" Cancers 16, no. 22: 3770. https://doi.org/10.3390/cancers16223770
APA StyleMartin-Paulpeter, R. M., Jensen, P. J., Perles, L. A., Sawakuchi, G. O., Das, P., Koay, E. J., Koong, A. C., Ludmir, E. B., Niedzielski, J. S., & Beddar, S. (2024). Daily Diagnostic Quality Computed Tomography-on-Rails (CTOR) Image Guidance for Abdominal Stereotactic Body Radiation Therapy (SBRT). Cancers, 16(22), 3770. https://doi.org/10.3390/cancers16223770

