Overexpression of Fibroblast Growth Factor 8 Is a Predictor of Impaired Survival in Esophageal Squamous Cell Carcinoma and Correlates with ALK/EML4 Alteration
Simple Summary
Abstract
1. Introduction
2. Materials and Methods
Statistical Analysis
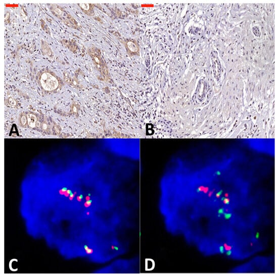
3. Results
4. Discussion
5. Limitations
6. Conclusions
Author Contributions
Funding
Institutional Review Board Statement
Informed Consent Statement
Data Availability Statement
Conflicts of Interest
Appendix A
| Factors | High FGF8 | (%) | Low/Absent FGF8 | (%) | p-Value |
|---|---|---|---|---|---|
| ALK amplification | 0.041 | ||||
| yes | 2 | (2.3) | 7 | (7.9) | |
| no | 46 | (51.7) | 34 | (38.1) | |
| EML4 amplification | 0.013 | ||||
| yes | 1 | (1.2) | 7 | (7.9) | |
| no | 47 | (52.8) | 34 | (38.1) | |
| Age (standard deviation) | 61.1 | 61.3 | 0.774 | ||
| Sex | 0.979 | ||||
| Male | 47 | (38.5) | 40 | (32.8) | |
| Female | 19 | (15.6) | 16 | (13.1) | |
| G | 0.736 | ||||
| 1 vs. 4 2 vs. 4 3 vs. 4 | 4 | (3.3) | 8 | (6.6) | |
| 45 | (36.9) | 31 | (25.4) | ||
| 17 | (13.9) | 17 | (13.9) | ||
| UICC | 0.279 | ||||
| 1 vs. 0 | 8 | (6.6) | 9 | (7.4) | |
| 2 vs. 0 | 15 | (12.3) | 19 | (15.6) | |
| 3 vs. 0 | 36 | (29.5) | 21 | (17.2) | |
| 4 vs. 0 | 7 | (5.7) | 7 | (5.7) | |
| pT | 0.819 | ||||
| 1 vs. 0 | 11 | (9.0) | 10 | (8.2) | |
| 2 vs. 0 | 15 | (12.3) | 14 | (11.5) | |
| 3 vs. 0 | 36 | (29.5) | 28 | (22.9) | |
| 4 vs. 0 | 4 | (3.3) | 4 | (3.3) | |
| pN | 0.117 | ||||
| 0 vs. 4 | 23 | (18.8) | 29 | (23.8) | |
| 1 vs. 4 | 25 | (20.4) | 18 | (14.8) | |
| 2 vs. 4 | 15 | (12.3) | 5 | (4.1) | |
| 3 vs. 4 | 3 | (2.5) | 4 | (3.3) | |
| R | 0.096 | ||||
| 0 vs. 2 | 53 | (43.4) | 51 | (41.8) | |
| 1 vs. 2 | 13 | (10.7) | 5 | (4.1) | |
| Adjuvant therapy | 0.008 | ||||
| yes | 37 | (30.2) | 18 | (14.8) | |
| no | 29 | (23.8) | 38 | (31.2) |
| ID | Intensity (0–3) | Percentage (0–4) | Score | ID | Intensity (0–3) | Percentage (0–4) | Score |
|---|---|---|---|---|---|---|---|
| 001 | 3 | 3 | 9 | 062 | 2 | 1 | 2 |
| 002 | 3 | 2 | 6 | 063 | 2 | 1 | 2 |
| 003 | 3 | 1 | 3 | 064 | 3 | 1 | 3 |
| 004 | 2 | 3 | 6 | 065 | 4 | 2 | 8 |
| 005 | 3 | 3 | 9 | 066 | 3 | 4 | 12 |
| 006 | 3 | 3 | 9 | 067 | 1 | 2 | 2 |
| 007 | 2 | 2 | 4 | 068 | 2 | 2 | 4 |
| 008 | 3 | 3 | 9 | 069 | 4 | 2 | 8 |
| 009 | 3 | 4 | 12 | 070 | 2 | 2 | 4 |
| 010 | 3 | 4 | 12 | 071 | 4 | 2 | 8 |
| 011 | 3 | 3 | 9 | 072 | 4 | 2 | 8 |
| 012 | 3 | 4 | 12 | 073 | 2 | 2 | 4 |
| 013 | 2 | 3 | 6 | 074 | 2 | 2 | 4 |
| 014 | 3 | 4 | 12 | 075 | 1 | 1 | 1 |
| 015 | 3 | 4 | 12 | 076 | 2 | 1 | 2 |
| 016 | 3 | 3 | 9 | 077 | 2 | 4 | 8 |
| 017 | 3 | 4 | 12 | 078 | 2 | 4 | 8 |
| 018 | 3 | 4 | 12 | 079 | 1 | 1 | 1 |
| 019 | 2 | 2 | 4 | 080 | 2 | 4 | 8 |
| 020 | 2 | 1 | 2 | 081 | 3 | 4 | 12 |
| 021 | 3 | 4 | 12 | 082 | 3 | 4 | 12 |
| 022 | 2 | 3 | 6 | 083 | 3 | 1 | 3 |
| 023 | 3 | 4 | 12 | 084 | 2 | 2 | 4 |
| 024 | 3 | 4 | 12 | 085 | 2 | 1 | 2 |
| 025 | 3 | 2 | 6 | 086 | 2 | 4 | 8 |
| 026 | 2 | 1 | 2 | 087 | 2 | 1 | 2 |
| 027 | 3 | 2 | 6 | 088 | 3 | 3 | 9 |
| 028 | 2 | 1 | 2 | 089 | 2 | 4 | 8 |
| 029 | 3 | 2 | 6 | 090 | 2 | 4 | 8 |
| 030 | 1 | 2 | 2 | 091 | 3 | 4 | 12 |
| 031 | 1 | 3 | 3 | 092 | 3 | 4 | 12 |
| 032 | 3 | 3 | 9 | 093 | 2 | 1 | 2 |
| 033 | 1 | 2 | 2 | 094 | 3 | 3 | 9 |
| 034 | 2 | 3 | 6 | 095 | 2 | 4 | 8 |
| 035 | 1 | 3 | 3 | 096 | 2 | 4 | 8 |
| 036 | 0 | 0 | 0 | 097 | 4 | 2 | 8 |
| 037 | 1 | 2 | 2 | 098 | 3 | 3 | 9 |
| 038 | 3 | 4 | 12 | 099 | 1 | 2 | 2 |
| 039 | 3 | 3 | 9 | 100 | 3 | 3 | 9 |
| 040 | 3 | 2 | 6 | 101 | 3 | 3 | 9 |
| 041 | 2 | 3 | 6 | 102 | 4 | 2 | 8 |
| 042 | 2 | 3 | 6 | 103 | 3 | 3 | 9 |
| 043 | 2 | 3 | 6 | 104 | 1 | 2 | 2 |
| 044 | 2 | 3 | 6 | 105 | 4 | 2 | 8 |
| 045 | 2 | 2 | 4 | 106 | 1 | 2 | 2 |
| 046 | 2 | 2 | 4 | 107 | 3 | 3 | 9 |
| 047 | 3 | 3 | 9 | 108 | 3 | 3 | 9 |
| 048 | 3 | 3 | 9 | 109 | 2 | 1 | 2 |
| 049 | 0 | 0 | 0 | 110 | 3 | 4 | 12 |
| 050 | 2 | 2 | 4 | 111 | 2 | 2 | 4 |
| 051 | 4 | 2 | 8 | 112 | 2 | 4 | 8 |
| 052 | 3 | 1 | 3 | 113 | 1 | 3 | 3 |
| 053 | 4 | 2 | 8 | 114 | 3 | 3 | 9 |
| 054 | 3 | 3 | 9 | 115 | 3 | 4 | 12 |
| 055 | 3 | 4 | 12 | 116 | 2 | 4 | 8 |
| 056 | 3 | 4 | 12 | 117 | 3 | 4 | 12 |
| 057 | 2 | 2 | 4 | 118 | 2 | 2 | 4 |
| 058 | 4 | 2 | 8 | 119 | 3 | 3 | 9 |
| 059 | 3 | 3 | 9 | 120 | 4 | 2 | 8 |
| 060 | 0 | 0 | 0 | 121 | 2 | 4 | 8 |
| 061 | 1 | 2 | 2 | 122 | 4 | 2 | 8 |
References
- Bray, F.; Ferlay, J.; Soerjomataram, I.; Siegel, R.L.; Torre, L.A.; Jemal, A. Global cancer statistics 2018: GLOBOCAN estimates of incidence and mortality worldwide for 36 cancers in 185 countries. CA Cancer J. Clin. 2018, 68, 394–424. [Google Scholar] [CrossRef] [PubMed]
- Pennathur, A.; Gibson, M.K.; Jobe, B.A.; Luketich, J.D. Oesophageal carcinoma. Lancet 2013, 381, 400–412. [Google Scholar] [CrossRef] [PubMed]
- Zheng, L.; Li, L.; Xie, J.; Jin, H.; Zhu, N. Six Novel Biomarkers for Diagnosis and Prognosis of Esophageal squamous cell carcinoma: Validated by scRNA-seq and qPCR. J. Cancer 2021, 12, 899–911. [Google Scholar] [CrossRef] [PubMed]
- Kang, X.; Lin, Z.; Xu, M.; Pan, J.; Wang, Z.W. Deciphering role of FGFR signalling pathway in pancreatic cancer. Cell Prolif. 2019, 52, e12605. [Google Scholar] [CrossRef]
- Turner, N.; Grose, R. Fibroblast growth factor signalling: From development to cancer. Nat. Rev. Cancer 2010, 10, 116–129. [Google Scholar] [CrossRef]
- Gauglhofer, C.; Sagmeister, S.; Schrottmaier, W.; Fischer, C.; Rodgarkia-Dara, C.; Mohr, T.; Stättner, S.; Bichler, C.; Kandioler, D.; Wrba, F.; et al. Up-regulation of the fibroblast growth factor 8 subfamily in human hepatocellular carcinoma for cell survival and neoangiogenesis. Hepatology 2011, 53, 854–864. [Google Scholar] [CrossRef]
- Jomrich, G.; Hudec, X.; Harpain, F.; Winkler, D.; Timelthaler, G.; Mohr, T.; Marian, B.; Schoppmann, S.F. Expression of FGF8, FGF18, and FGFR4 in Gastroesophageal Adenocarcinomas. Cells 2019, 8, 1092. [Google Scholar] [CrossRef]
- Tanaka, A.; Kamiakito, T.; Takayashiki, N.; Sakurai, S.; Saito, K. Fibroblast growth factor 8 expression in breast carcinoma: Associations with androgen receptor and prostate-specific antigen expressions. Virchows Arch. 2002, 441, 380–384. [Google Scholar] [CrossRef]
- Ahmed, M.A.; Selzer, E.; Dorr, W.; Jomrich, G.; Harpain, F.; Silberhumer, G.R.; Müllauer, L.; Holzmann, K.; Grasl-Kraupp, B.; Grusch, M.; et al. Fibroblast growth factor receptor 4 induced resistance to radiation therapy in colorectal cancer. Oncotarget 2016, 7, 69976–69990. [Google Scholar] [CrossRef]
- Harpain, F.; Ahmed, M.A.; Hudec, X.; Timelthaler, G.; Jomrich, G.; Mullauer, L.; Selzer, E.; Dörr, W.; Bergmann, M.; Holzmann, K.; et al. FGF8 induces therapy resistance in neoadjuvantly radiated rectal cancer. J. Cancer Res. Clin. Oncol. 2019, 145, 77–86. [Google Scholar] [CrossRef]
- Zhou, Y.; Wu, C.; Lu, G.; Hu, Z.; Chen, Q.; Du, X. FGF/FGFR signaling pathway involved resistance in various cancer types. J. Cancer 2020, 11, 2000–2007. [Google Scholar] [CrossRef] [PubMed]
- Mertens, F.; Johansson, B.; Fioretos, T.; Mitelman, F. The emerging complexity of gene fusions in cancer. Nat. Rev. Cancer 2015, 15, 371–381. [Google Scholar] [CrossRef] [PubMed]
- Soda, M.; Choi, Y.L.; Enomoto, M.; Takada, S.; Yamashita, Y.; Ishikawa, S.; Fujiwara, S.-I.; Watanabe, H.; Kurashina, K.; Hatanaka, H.; et al. Identification of the transforming EML4-ALK fusion gene in non-small-cell lung cancer. Nature 2007, 448, 561–566. [Google Scholar] [CrossRef] [PubMed]
- Jazii, F.R.; Najafi, Z.; Malekzadeh, R.; Conrads, T.P.; Ziaee, A.A.; Abnet, C.; Yazdznbod, M.; Karkhane, A.A.; Salekdeh, G.H. Identification of squamous cell carcinoma associated proteins by proteomics and loss of beta tropomyosin expression in esophageal cancer. World J. Gastroenterol. 2006, 12, 7104–7112. [Google Scholar] [CrossRef]
- Moghanibashi, M.; Jazii, F.R.; Soheili, Z.S.; Zare, M.; Karkhane, A.; Parivar, K.; Mohamadynejad, P. Proteomics of a new esophageal cancer cell line established from Persian patient. Gene 2012, 500, 124–133. [Google Scholar] [CrossRef]
- Hilberg, F.; Roth, G.J.; Krssak, M.; Kautschitsch, S.; Sommergruber, W.; Tontsch-Grunt, U.; Garin-Chesa, P.; Bader, G.; Zoephel, A.; Quant, J.; et al. BIBF 1120: Triple angiokinase inhibitor with sustained receptor blockade and good antitumor efficacy. Cancer Res. 2008, 68, 4774–4782. [Google Scholar] [CrossRef]
- Kashyap, M.K.; Abdel-Rahman, O. Expression, regulation and targeting of receptor tyrosine kinases in esophageal squamous cell carcinoma. Mol. Cancer 2018, 17, 54. [Google Scholar] [CrossRef]
- Gordon, A.; Johnston, E.; Lau, D.K.; Starling, N. Targeting FGFR2 Positive Gastroesophageal Cancer: Current and Clinical Developments. Onco Targets Ther. 2022, 15, 1183–1196. [Google Scholar] [CrossRef]
- Maehara, O.; Suda, G.; Natsuizaka, M.; Ohnishi, S.; Komatsu, Y.; Sato, F.; Nakai, M.; Sho, T.; Morikawa, K.; Ogawa, K.; et al. Fibroblast growth factor-2-mediated FGFR/Erk signaling supports maintenance of cancer stem-like cells in esophageal squamous cell carcinoma. Carcinogenesis 2017, 38, 1073–1083. [Google Scholar] [CrossRef]
- Jomrich, G.; Wilfing, L.; Radosavljevic, S.; Parak, A.; Winkler, D.; Timelthaler, G.; Schindl, M.; Schoppmann, S.F.; Klösch, B. Fibroblast growth factor 8 overexpression is predictive of poor prognosis in pancreatic ductal adenocarcinoma. Eur. Surg. 2020, 52, 282–289. [Google Scholar] [CrossRef]
- Schoppmann, S.F.; Streubel, B.; Birner, P. Amplification but not translocation of anaplastic lymphoma kinase is a frequent event in oesophageal cancer. Eur. J. Cancer 2013, 49, 1876–1881. [Google Scholar] [CrossRef] [PubMed]
- Kassambara, A.K.M.; Biecek, P.; Fabian, S. survminer: Drawing Survival Curves Using “ggplot2” 2019. Available online: https://CRAN.R-project.org/package=survminer (accessed on 8 June 2019).
- R Core Team. R: A Language and Environment for Statistical Computing; R Foundation for Statistical Computing: Vienna, Austria, 2021. [Google Scholar]
- Lordick, F.; Mariette, C.; Haustermans, K.; Obermannova, R.; Arnold, D.; Committee, E.G. Oesophageal cancer: ESMO Clinical Practice Guidelines for diagnosis, treatment and follow-up. Ann. Oncol. 2016, 27 (Suppl. S5), v50–v57. [Google Scholar] [CrossRef] [PubMed]
- Vaddepally, R.K.; Kharel, P.; Pandey, R.; Garje, R.; Chandra, A.B. Review of Indications of FDA-Approved Immune Checkpoint Inhibitors per NCCN Guidelines with the Level of Evidence. Cancers 2020, 12, 738. [Google Scholar] [CrossRef] [PubMed]
- Ornitz, D.M.; Itoh, N. The Fibroblast Growth Factor signaling pathway. Wiley Interdiscip. Rev. Dev. Biol. 2015, 4, 215–266. [Google Scholar] [CrossRef]
- Zhang, X.; Ibrahimi, O.A.; Olsen, S.K.; Umemori, H.; Mohammadi, M.; Ornitz, D.M. Receptor specificity of the fibroblast growth factor family. The complete mammalian FGF family. J. Biol. Chem. 2006, 281, 15694–15700. [Google Scholar] [CrossRef]
- Solomon, B.; Varella-Garcia, M.; Camidge, D.R. ALK gene rearrangements: A new therapeutic target in a molecularly defined subset of non-small cell lung cancer. J. Thorac. Oncol. 2009, 4, 1450–1454. [Google Scholar] [CrossRef]
- Wang, H.; Sun, L.; Sang, Y.; Yang, X.; Tian, G.; Wang, Z.; Fang, J.; Sun, W.; Zhou, L.; Jia, L.; et al. A study of ALK-positive pulmonary squamous-cell carcinoma: From diagnostic methodologies to clinical efficacy. Lung Cancer 2019, 130, 135–142. [Google Scholar] [CrossRef]
- Awan, A.K.; Iftikhar, S.; Morris, T.; Clarke, P.; Grabowska, A.; Waraich, N.; Watson, S. Androgen receptors may act in a paracrine manner to regulate oesophageal adenocarcinoma growth. Eur. J. Surg. Oncol. (EJSO) 2007, 33, 561–568. [Google Scholar] [CrossRef]
- Tanaka, S.; Ueo, H.; Mafune, K.-I.; Mori, M.; Wands, J.R.; Sugimachi, K. A Novel Isoform of Human Fibroblast Growth Factor 8 Is Induced by Androgens and Associated with Progression of Esophageal Carcinoma. Dig. Dis. Sci. 2001, 46, 1016–1021. [Google Scholar] [CrossRef]
- Preusser, M.; Berghoff, A.S.; Ilhan-Mutlu, A.; Magerle, M.; Dinhof, C.; Widhalm, G.; Dieckmann, K.; Marosi, C.; Wöhrer, A.; Hackl, M.; et al. ALK gene translocations and amplifications in brain metastases of non-small cell lung cancer. Lung Cancer 2013, 80, 278–283. [Google Scholar] [CrossRef]
- Berghoff, A.S.; Birner, P.; Streubel, B.; Kenner, L.; Preusser, M. ALK gene aberrations and the JUN/JUNB/PDGFR axis in metastatic NSCLC. APMIS 2014, 122, 867–872. [Google Scholar] [CrossRef] [PubMed]
- Preusser, M.; Berghoff, A.S.; Koller, R.; Zielinski, C.C.; Hainfellner, J.A.; Liebmann-Reindl, S.; Popitsch, N.; Geier, C.B.; Streubel, B.; Birner, P. Spectrum of gene mutations detected by next generation exome sequencing in brain metastases of lung adenocarcinoma. Eur. J. Cancer 2015, 51, 1803–1811. [Google Scholar] [CrossRef] [PubMed]
- Su, X.; Zhan, P.; Gavine, P.R.; Morgan, S.; Womack, C.; Ni, X.; Shen, D.; Bang, Y.-J.; Im, S.-A.; Kim, W.H.; et al. FGFR2 amplification has prognostic significance in gastric cancer: Results from a large international multicentre study. Br. J. Cancer 2014, 110, 967–975. [Google Scholar] [CrossRef]
- Sakashita, T.; Yanagitani, N.; Koike, S.; Low, S.K.; Takagi, S.; Baba, S.; Takeuchi, K.; Nishio, M.; Fujita, N.; Katayama, R. Fibroblast growth factor receptor 3 overexpression mediates ALK inhibitor resistance in ALK-rearranged non-small cell lung cancer. Cancer Sci. 2022, 113, 3888–3900. [Google Scholar] [CrossRef]


| Factors | HR | CI (95%) | p-Value | |
|---|---|---|---|---|
| FGF8 (ref. low/negative) | 1.58 | 1.077–2.319 | 0.018 | |
| ALK amplification (ref. no) | 1.839 | 0.875–3.865 | 0.136 | |
| EML4 amplification (ref. no) | 1.791 | 0.816–3.930 | 0.177 | |
| Age | 1.003 | 0.984–1.023 | 0.738 | |
| Sex (ref. male) | 2.41 | 1.517–3.827 | <0.001 | |
| Grading | ||||
| 1 vs. 3 | 2.561 | 1.272–5.159 | 0.008 | |
| 2 vs. 3 | 2.638 | 1.253–5.555 | 0.011 | |
| UICC | ||||
| 1 vs. 4 | 2.273 | 1.171–4.412 | 0.015 | |
| 2 vs. 4 | 3.127 | 1.654–5.913 | <0.001 | |
| 3 vs. 4 | 3.74 | 1.715–8.155 | <0.001 | |
| pT | ||||
| 1 vs. 4 | 2.16 | 1.144–4.076 | 0.017 | |
| 2 vs. 4 | 3.751 | 2.108–6.675 | <0.001 | |
| 3 vs. 4 | 1.75 | 0.676–4.531 | 0.249 | |
| pN | ||||
| 1 vs. 0 | 1.75 | 1.131–2.708 | 0.012 | |
| 2 vs. 0 | 2.206 | 1.290–3.774 | 0.004 | |
| 3 vs. 0 | 2.036 | 0.907–4.572 | 0.085 | |
| R (ref. R0) | 1.506 | 0.896–2.531 | 0.14 | |
| Adjuvant therapy (ref. no) | 2.061 | 1.404–3.024 | <0.001 | |
| Factors | HR | CI (95%) | p-Value | |
|---|---|---|---|---|
| Sex (ref. male) | 2.276 | 1.393–3.720 | 0.001 | |
| Age65 (ref. <65) | 1.686 | 1.118–2.543 | 0.013 | |
| G | 0.136 | |||
| 1 vs. 3 | 1.906 | 0.919–3.953 | 0.083 | |
| 2 vs. 3 | 2.221 | 1.014–4.864 | 0.046 | |
| pT | 0.001 | |||
| 1 vs. 4 | 1.874 | 0.961–3.654 | 0.065 | |
| 2 vs. 4 | 3.343 | 1.774–6.302 | 0.000 | |
| 3 vs. 4 | 2.154 | 0.720–6.448 | 0.170 | |
| pN | 0.316 | |||
| 1 vs. 0 | 1.334 | 0.821–2.167 | 0.245 | |
| 2 vs. 0 | 0.780 | 0.412–1.475 | 0.444 | |
| 3 vs. 0 | 1.290 | 0.546–3.048 | 0.562 | |
| R (ref. 0) | 1.107 | 0.580–2.115 | 0.758 | |
| FGF8 (high) | 1.605 | 1.033–2.494 | 0.035 | |
Disclaimer/Publisher’s Note: The statements, opinions and data contained in all publications are solely those of the individual author(s) and contributor(s) and not of MDPI and/or the editor(s). MDPI and/or the editor(s) disclaim responsibility for any injury to people or property resulting from any ideas, methods, instructions or products referred to in the content. |
© 2024 by the authors. Licensee MDPI, Basel, Switzerland. This article is an open access article distributed under the terms and conditions of the Creative Commons Attribution (CC BY) license (https://creativecommons.org/licenses/by/4.0/).
Share and Cite
Jomrich, G.; Kollmann, D.; Yan, W.; Winkler, D.; Paireder, M.; Gensthaler, L.; Puhr, H.C.; Ilhan-Mutlu, A.; Asari, R.; Schoppmann, S.F. Overexpression of Fibroblast Growth Factor 8 Is a Predictor of Impaired Survival in Esophageal Squamous Cell Carcinoma and Correlates with ALK/EML4 Alteration. Cancers 2024, 16, 3624. https://doi.org/10.3390/cancers16213624
Jomrich G, Kollmann D, Yan W, Winkler D, Paireder M, Gensthaler L, Puhr HC, Ilhan-Mutlu A, Asari R, Schoppmann SF. Overexpression of Fibroblast Growth Factor 8 Is a Predictor of Impaired Survival in Esophageal Squamous Cell Carcinoma and Correlates with ALK/EML4 Alteration. Cancers. 2024; 16(21):3624. https://doi.org/10.3390/cancers16213624
Chicago/Turabian StyleJomrich, Gerd, Dagmar Kollmann, Winny Yan, Daniel Winkler, Matthias Paireder, Lisa Gensthaler, Hannah Christina Puhr, Aysegül Ilhan-Mutlu, Reza Asari, and Sebastian F. Schoppmann. 2024. "Overexpression of Fibroblast Growth Factor 8 Is a Predictor of Impaired Survival in Esophageal Squamous Cell Carcinoma and Correlates with ALK/EML4 Alteration" Cancers 16, no. 21: 3624. https://doi.org/10.3390/cancers16213624
APA StyleJomrich, G., Kollmann, D., Yan, W., Winkler, D., Paireder, M., Gensthaler, L., Puhr, H. C., Ilhan-Mutlu, A., Asari, R., & Schoppmann, S. F. (2024). Overexpression of Fibroblast Growth Factor 8 Is a Predictor of Impaired Survival in Esophageal Squamous Cell Carcinoma and Correlates with ALK/EML4 Alteration. Cancers, 16(21), 3624. https://doi.org/10.3390/cancers16213624

