Ganglioneuroma in Head and Neck: A Case Report of a Laryngeal Ganglioneuroma and a Systematic Review of the Literature
Simple Summary
Abstract
1. Introduction
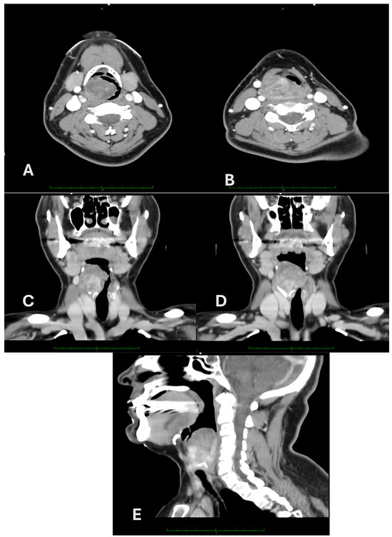
2. Case Report
3. Material and Methods
3.1. Searching Strategy and Selection Criteria
- Ganglioneuroma AND head and neck (160 articles in English, Italian, or Chinese);
- Ganglioneuroma AND larynx (7 articles in English, Italian, or Chinese);
3.2. Data Collection
- Reference: first author, year of publication;
- Age and sex;
- Localization and size;
- Symptoms;
- Therapeutic iter and surgical complications;
- Follow-up duration.
3.3. Quality Assessment and Statistical Methods
4. Results
5. Discussion
6. Conclusions
Author Contributions
Funding
Institutional Review Board Statement
Informed Consent Statement
Data Availability Statement
Conflicts of Interest
References
- Chikuie, N.; Hamamoto, T.; Ishino, T.; Nagasawa, A.; Kuniyasu, H.; Rina TA, N.I.; Takeno, S. Ganglioneuroma in The Neck Region: A Case Report. Hiroshima J. Med. Sci. 2019, 68, 49–53. [Google Scholar] [CrossRef]
- Ishikawa, K.; Hanazawa, S.; Togawa, K. Neurogenic Neoplasms in the Head and Neck Region. Auris Nasus Larynx 1988, 15, 199–210. [Google Scholar] [CrossRef] [PubMed]
- Kakar, P.K.; Sawhney, K.L.; Saharia, P.S. Peripheral Ganglioneuroma of Neck. J. Laryngol. Otol. 1966, 80, 1260–1263. [Google Scholar] [CrossRef] [PubMed]
- Sánchez-Galán, A.; Barrena, S.; Vilanova-Sánchez, A.; Martín, S.H.A.; Lopez-Fernandez, S.; García, P.; Lopez-Santamaria, M.; Martínez, L.; Tovar, J.A. Ganglioneuroma: To Operate or Not to Operate. Eur. J. Pediatr. Surg. 2014, 24, 25–30. [Google Scholar] [CrossRef] [PubMed]
- Bunn, N.D., Jr.; King, A.B. Cervical ganglioneuroma. A case report and review of the literature. Guthrie Clin. Bull. 1961, 30, 5–14. [Google Scholar] [CrossRef] [PubMed]
- Brandenburg, J.H. Symposium on malignancy. IV. Neurogenic. Tumors of the parapharyngeal space. Laryngoscope 1972, 82, 1292–1305. [Google Scholar] [CrossRef] [PubMed]
- Johnson, D.C.; Teleg, M.; Eberle, R.C. Simultaneous Occurrence of a Ganglioneuroma and a Neurilemmoma of the Vagus Nerve: A Case Report. Otolaryngol.-Head Neck Surg. 1981, 89, 75–76. [Google Scholar] [CrossRef] [PubMed]
- Shotton, J.C.; Milton, C.M.; Allen, J.P. Multiple ganglioneuroma of the neck. J. Laryngol. Otol. 1992, 106, 277–278. [Google Scholar] [CrossRef] [PubMed]
- Leuthardt, R.; Petralli, C.; Lütschg, J.; von Schweinitz, D.; Kaiser, G. Cortical blindness: An unusual complication after removal of a ganglioneuroma of the neck. Child’s Nerv. Syst. 2001, 17, 356–358. [Google Scholar] [CrossRef] [PubMed]
- Pucci, A.; Pucci, E.; Santini, F.; Altea, M.A.; Faviana, P.; Basolo, F.; Pinchera, A.; Iacconi, P.; Vitti, P. A Ganglioneuroma with Features of a Thyroid Nodule: Intense Pain on Fine Needle Biopsy as a Diagnostic Clue. Thyroid® 2009, 19, 201–204. [Google Scholar] [CrossRef]
- Gary, C.; Robertson, H.; Ruiz, B.; Zuzukin, V.; Walvekar, R.R. Retropharyngeal Ganglioneuroma Presenting with Neck Stiffness: Report of a Case and Review of the Literature. Laryngoscope 2010, 120 (Suppl. S4), S148. [Google Scholar] [CrossRef] [PubMed]
- Sinha, P.; Sharma, S.C.; Agarwal, S.; Gupta, S.D. Parapharyngeal Ganglioneuroma with Neurofibromatosis: An Unusual Presentation. Ann. Otol. Rhinol. Laryngol. 2011, 120, 769–774. [Google Scholar] [CrossRef] [PubMed]
- González-Aguado, R.; Morales-Angulo, C.; Obeso-Agüera, S.; Longarela-Herrero, Y.; García-Zornoza, R.; Cervera, L.A. Síndrome de Horner secundario a cirugía cervical. Acta Otorrinolaringol. Esp. 2012, 63, 299–302. [Google Scholar] [CrossRef] [PubMed]
- Albuquerque, B.S.; Farias, T.P.; Dias, F.L.; Torman, D. Surgical Management of Parapharyngeal Ganglioneuroma: Case Report and Review of the Literature. ORL J. Otorhinolaryngol. Relat. Spec. 2013, 75, 240–244. [Google Scholar] [CrossRef] [PubMed]
- Urata, S.; Yoshida, M.; Ebihara, Y.; Asakage, T. Surgical management of a giant cervical ganglioneuroma. Auris Nasus Larynx 2013, 40, 577–580. [Google Scholar] [CrossRef] [PubMed]
- Dias, R.B.; Rosa, D.; Rito, M.; Borges, A. Ganglioneuroma of the retropharyngeal space in a patient with glottic cancer. BMJ Case Rep. 2017, 2017. [Google Scholar] [CrossRef] [PubMed] [PubMed Central]
- Xu, T.; Zhu, W.; Wang, P. Cervical ganglioneuroma: A case report and review of the literature. Medicine 2019, 98, e15203. [Google Scholar] [CrossRef] [PubMed] [PubMed Central]
- Britten, A.G.; Entezami, P.; A Chang, B. Cervical ganglioneuroma mimicking a carotid body tumour. BMJ Case Rep. 2020, 13, e238469. [Google Scholar] [CrossRef] [PubMed] [PubMed Central]
- McCrory, D.; Kelly, A.; Korda, M. Postoperative Horner’s syndrome following excision of incidental cervical ganglioneuroma during hemithyroidectomy and parathyroid gland exploration. BMJ Case Rep. 2020, 13, e231514. [Google Scholar] [CrossRef] [PubMed] [PubMed Central]
- Li, F.; Feng, H.; Liao, J.; Bao, Y.; Xu, S.; Qin, G. Parapharyngeal Space Ganglioneuroma: Clinical Experience and Review of the Literature. Ear Nose Throat J. 2023, 102, 765–771. [Google Scholar] [CrossRef] [PubMed]
- Danosos, D.A.; Santos, V.B.; Ruffy, M.L.; A Polisar, I.; Torno, R. Ganglioneuroma of the parapharyngeal space. Bull. N. Y. Acad. Med. 1980, 56, 616–622. [Google Scholar] [PubMed]
- Sohma, S.; Azuma, E.; Asakura, K. A case of ganglioneuroma of the parapharyngeal space. Nippon. Jibiinkoka Gakkai Kaiho 1985, 88, 41–47. [Google Scholar] [CrossRef] [PubMed][Green Version]
- Kittel, K.; Hornung, J.; Wolf, S. Parapharyngealer Tumor. HNO 1999, 47, 56–57. [Google Scholar] [CrossRef] [PubMed]
- Kaufman, M.R.; Rhee, J.S.; Fuegelman, L.J.; Costantino, P.D. Ganglioneuroma of the Parapharyngeal Space in a Pediatric Patient. Otolaryngol. Neck Surg. 2001, 124, 702–704. [Google Scholar] [CrossRef] [PubMed]
- Albonico, G.; Pellegrino, B.G.; Maisano, M.; Kardon, D.E. Ganglioneuroma of Parapharyngeal Region. Arch. Pathol. Lab. Med. 2001, 125, 1217–1218. [Google Scholar] [CrossRef] [PubMed]
- Califano, L.; Zupi, A.; Mangone, G.M.; Long, F. Cervical Ganglioneuroma: Report of a Case. Otolaryngol.-Head Neck Surg. 2001, 124, 115–116. [Google Scholar] [CrossRef]
- Müller, A.; Förster, G.; Behrendt, W.; Kosmehl, H. Headache as an unusual presenting symptom of retropharyngeal ganglioneuroma. Acta Otolaryngol. 2002, 122, 565–568. [Google Scholar] [CrossRef]
- Leonardis, M.; Sperb, D.; Alster, C.; Campisi, C.; Herter, N. Ganglioneuroma of the neck, masquerading as a goiter. Eur. J. Surg. Oncol. 2003, 29, 929–930. [Google Scholar] [CrossRef]
- Stárek, I.; Mihál, V.; Novák, Z.; Pospíšilová, D.; Vomáčka, J.; Vokurka, J. Pediatric tumors of the parapharyngeal space. Three case reports and a literature review. Int. J. Pediatr. Otorhinolaryngol. 2004, 68, 601–606. [Google Scholar] [CrossRef]
- Cannady, S.B.; Chung, B.J.; Hirose, K.; Garabedian, N.; Abbeele, T.V.D.; Koltai, P.J. Surgical management of cervical ganglioneuromas in children. Int. J. Pediatr. Otorhinolaryngol. 2006, 70, 287–294. [Google Scholar] [CrossRef]
- Ponce-Camacho, M.A.; De Leon-Medina, R.D.; Miranda-Maldonado, I.; Garza-Guajardo, R.; Hernandez-Salazar, J.; Barboza-Quintana, O. A 5-year-old girl with a congenital ganglioneuroma diagnosed by fine needle aspiration biopsy: A case report. CytoJournal 2008, 5, 5. [Google Scholar] [CrossRef] [PubMed]
- Hallur, N.; Sikkerimath, B.C.; Gudi, S.S.; Chour, G.; Ginimav, S.; Nidoni, M. Parapharyngeal Ganglioneuroma of Hypoglossal Nerve in a 4 Year Old Girl: A Rare Case Report. J. Maxillofac. Oral Surg. 2012, 11, 343–346. [Google Scholar] [CrossRef] [PubMed][Green Version]
- Yokoi, H.; Arakawa, A.; Inoshita, A.; Ikeda, K. Novel use of a Weerda laryngoscope for transoral excision of a cervical ganglioneuroma: A case report. J. Med. Case Rep. 2012, 6, 88. [Google Scholar] [CrossRef] [PubMed]
- Ma, J.; Liang, L.; Liu, H. Multiple cervical ganglioneuroma: A case report and review of the literature. Oncol. Lett. 2012, 4, 509–512. [Google Scholar] [CrossRef]
- Dalmia, D.; Behera, S.K.; Motiwala, M.A.; Rekhi, B. Cervical vagal nerve ganglioneuroma: A rare case report. Int. J. Otorhinolaryngol. Head Neck Surg. 2016, 2, 274–276. [Google Scholar] [CrossRef][Green Version]
- Bakshi, J.; Mohammed, A.W.; Lele, S.; Nada, R. Ganglioneuromas Involving the Hypoglossal Nerve and the Vagus Nerve in a Child: Surgical Difficulties. Ear Nose Throat J. 2016, 95, E22–E24. [Google Scholar] [CrossRef]
- Garzorz, N.; Diercks, G.R.; Lin, H.W.; Faquin, W.C.; Romo, L.V.; Hartnick, C.J. A case of pediatric parapharyngeal space ganglioneuroma. Ear Nose Throat J. 2016, 95, E16–E20. [Google Scholar]
- Salimov, A.; Süslü, N.; Kuşçu, O.; Süslü, A.E.; Akyol, M.U.; Gököz, Ö.; Özoğul, E. Parapharyngeal giant ganglioneuroma with multifocal bone involvement in a pediatric female patient. Turk. J. Pediatr. 2016, 58, 669–674. [Google Scholar] [CrossRef]
- Lima, A.F.; Moreira, F.C.; Menezes, A.; Dias, L. Cervical Ganglioneuroma in Pediatric Age: A Case Report. Turk. Arch. Otolaryngol. 2018, 56, 237–240. [Google Scholar] [CrossRef]
- Bach, J.; Azher, Q.; Salih, A. Paediatric parapharyngeal ganglioneuroma. BMJ Case Rep. 2018, 2018. [Google Scholar] [CrossRef]
- Ma, H.M.; Zhao, Y.Q.; Zhao, Y.; Zhou, J.H.; Zhang, J.R.; Wei, H.Q. Ganglioneuroma in poststyloid space removed under endoscope through transoral approach: A case report. Lin Chung Er Bi Yan Hou Tou Jing Wai Ke Za Zhi 2019, 33, 468–469; 473. [Google Scholar] [CrossRef]
- Aslan, M.; Dogukan, F.M. A Rare Cause of Dysphagia: A Giant Ganglioneuroma in Parapharyngeal Space. J. Maxillofac. Oral Surg. 2022, 21, 99–101. [Google Scholar] [CrossRef] [PubMed]
- Friedlander, P.L.; Hunt, J.P.; Palacios, E. Ganglioneuroma of the neck. Ear Nose Throat J. 2002, 81, 435. [Google Scholar] [CrossRef] [PubMed]
- Zebing, Z.; Jianwei, S.; Yan, C.; Yan, G. Clinicopathological characteristics of neck ganglioneuroma. Oral Med. Pathol. 2008, 12, 131–134. [Google Scholar] [CrossRef][Green Version]
- Baisakhiya, N.K.; Mukundan, S. Ganglioneuroma of the neck. J. Pak. Med. Assoc. 2008, 58, 699–701. [Google Scholar] [PubMed]
- De Bernardi, B.; Gambini, C.; Haupt, R.; Granata, C.; Rizzo, A.; Conte, M.; Tonini, G.P.; Bianchi, M.; Giuliano, M.; Luksch, R.; et al. Retrospective Study of Childhood Ganglioneuroma. J. Clin. Oncol. 2008, 26, 1710–1716. [Google Scholar] [CrossRef]
- Cavanaugh, D.A.; Jawahar, A.; Harper, J.; McLaren, B.K.; Wooten, T.; Kerr, E.J.; Nunley, P.D. Cervical ganglioneuroma in an adult man: Case report and literature review of a rare occurrence. J. LA State Med. Soc. 2010, 162, 218–221. [Google Scholar]
- Kolte, S.S. Ganglioneuroma presenting as a neck mass diagnosed by fine needle aspiration cytology. Cytopathology 2011, 22, 205–206. [Google Scholar] [CrossRef]
- Mahajan, N.; Aggarwal, S.; Khurana, N.; Jain, S.; Gulati, A. Ganglioneuroma in the neck masquerading as a benign mesenchymal lesion on cytology: A morphological mimic. Cytopathology 2013, 24, 65–67. [Google Scholar] [CrossRef]
- Ramani, M.; Krishna, O.R.; Reddy, K.R.; Sowjanya, R. An interesting case of differentiated neuroblastoma-ganglioneuroma of the neck in a 5 year old female child. J. Evol. Med. Dent. Sci. 2013, 2, 4298–4302. [Google Scholar]
- Bhadarge, P.; Poflee, S. Aspiration cytology in the preoperative diagnosis of ganglioneuroma presenting as a neck mass. J. Cytol. 2014, 31, 57–58. [Google Scholar] [CrossRef] [PubMed]
- Jabbour, M.; Zaatari, G.; Salem, Z.; Khalifeh, I. Cervical ganglioneuroma in collision with a metastatic undifferentiated carcinoma. J. Oral Maxillofac. Pathol. 2015, 19, 88–91. [Google Scholar] [CrossRef] [PubMed] [PubMed Central]
- Spinelli, C.; Rossi, L.; Barbetta, A.; Ugolini, C.; Strambi, S. Incidental ganglioneuromas: A presentation of 14 surgical cases and literature review. J. Endocrinol. Investig. 2015, 38, 547–554. [Google Scholar] [CrossRef] [PubMed]
- Dutta, H.K. Cervical ganglioneuroma in a child. SM J. Pediatr. Surg 2016, 2, 1013–1015. [Google Scholar]
- Paraskevopoulos, K.; Cheva, A.; Papaemmanuil, S.; Vahtsevanos, K.; Antoniades, K. Synchronous Ganglioneuroma and Schwannoma Mistaken for Carotid Body Tumor. Case Rep. Otolaryngol. 2017, 2017, 1–2. [Google Scholar] [CrossRef] [PubMed] [PubMed Central]
- Kiflu, W.; Nigussie, T. Ganglioneuroma presenting as a neckmass: A case report. Ethiop. Med. J. 2017, 55, 69–71. [Google Scholar]
- Helal, A.A.; Badawy, R.; Mahfouz, M.; Hussien, T. Adjacent cervical ganglioneuromas. J. Pediatr. Surg. Case Rep. 2018, 34, 7–9. [Google Scholar] [CrossRef]
- Yi, W.-L.; Chen, T.-P.; Chiu, N.-T.; Liu, C.-S.; Lin, Y.-H. Parapharyngeal Ganglioneuroma Detected by 18F-FDG PET/CT in a Patient with Hodgkin Lymphoma. Clin. Nucl. Med. 2019, 44, 240–243. [Google Scholar] [CrossRef]






| n° | Authors | Age | Gender (M = Male, F = Female) | Size (mm) | Side, Location | Symptoms | Surgery (0 = None; 1 = Transcervical; 2 = Transoral; 3 = Combined) | Complications | Follow-Up (Months) |
|---|---|---|---|---|---|---|---|---|---|
| 1 | Bunn, 1961 [5] | 51 | M | 53 × 32 × 30 | right, neck | pain, swelling, dysphagia | 1 | Horner’s syndrome | NA |
| 2 | Kakar, 1966 [3] | 9 | M | 27 × 10 | left, neck | swelling | 1 | none | NA |
| 3 | Brandenburg, 1972 [6] | 21 | M | 60 × 80 | right, neck | swelling | 1 | Horner’s syndrome | NA |
| 4 | Johnson, 1981 [7] | 65 | F | 20 × 20 | left, neck | swelling | 1 | hoarseness | NA |
| 5 | Ishikawa, 1988 [2] | 9 | M | NA | left, neck | swelling | 1 | recurrent nerve palsy | NA |
| 6 | Shotton, 1992 [8] | 6 | M | 40 × 30 | left, neck | swelling | 1 | Horner’s syndrome | NA |
| 7 | Leuthardt, 2001 [9] | 5 | F | NA | left, neck | stridor | 1 | cortical blindness | NA |
| 8 | Pucci, 2009 [10] | 25 | F | 22 × 22 × 47 | right, neck | swelling | 1 | Horner’s syndrome | NA |
| 9 | Gary, 2011 [11] | 42 | F | 55 × 32 × 10 | right, retropharyngeal | neck stiffness, dysphagia, dysphonia | 1 | Horner’s syndrome | NA |
| 10 | Sinha, 2011 [12] | 22 | M | 90 × 70 × 40 | left, neck | swelling | 1 | hypertension, hoarseness, nasal regurgitation | 36 |
| 11 | González-Aguado, 2011 [13] | 41 | F | NA | right, neck | na | 1 | NA | 11 |
| 12 | Albuquerque, 2013 [14] | 5 | F | 64 × 45 × 28 | left, neck | swelling | 1 | Horner’s syndrome | NA |
| 13 | Urata, 2013 [15] | 18 | M | 160 × 60 × 190 | right, neck | swelling, sleep apnea | 1 | none | 7 |
| 14 | Sanchez-Galan, 2013 [4] | 36 | M | NA | NA | stridor, hoarseness | 1 | none | NA |
| 15 | Dias, 2017 [16] | 71 | M | 27 × 10 × 27 | left, retropharyngeal | none | 0 | none | 13 |
| 16 | Xu, 2019 [17] | 12 | M | 46 × 17 × 16 | left, neck | swelling | 1 | Horner’s syndrome | 8 |
| 17 | Britten, 2020 [18] | 30 | F | 50 × 40 | right, neck | swelling | 1 | first bite syndrome | 1.5 |
| 18 | McCrory, 2020 [19] | 49 | F | 13 × 8 × 3 | left, neck | none | 1 | Horner’s syndrome | 8 |
| 18 | Li, 2023 [20] | 58 | M | 88 × 48 × 48 | left, neck | pharyngeal foreign body sensation | 1 | NA | 12 |
| 20 | 22 | M | 60 × 40 × 35 | right, neck | swelling | 3 | NA | 114 | |
| 21 | Danosos, 1980 [21] | 42 | F | 100 × 60 × 30 | left, neck | sore throat | 1 | Horner’s syndrome, vocal cord paralysis | 4 |
| 22 | Sohma, 1985 [22] | 57 | M | 30 × 25 × 20 | right, neck | pharyngeal foreign body sensation, hoarseness | 1 | IX X XII palsy | NA |
| 23 | Kittel, 1999 [23] | 19 | NA | 100 × 60 × 40 | right, neck | swelling, dysphagia | NA | myosis | NA |
| 24 | Kaufman, 2001 [24] | 11 | F | 20 | right, neck | swelling | 1 | Horner’s syndrome | 6 |
| 25 | Albonico, 2001 [25] | 27 | F | 40 × 30 | right, neck | swelling, pain | NA | na | NA |
| 26 | Califano, 2001 [26] | 26 | F | 60 × 45 × 25 | left, neck | sleep apnea | 1 | Horner’s syndrome, dysphagia | 24 |
| 27 | Müller, 2002 [27] | 35 | F | 35 × 30 × 15 | left, neck | pain | 2 | Horner’s syndrome | NA |
| 28 | Leonardis, 2003 [28] | 50 | M | 100 × 70 × 40 | left, neck | swelling | 1 | ptosis | NA |
| 29 | Stárek, 2004 [29] | 2 | F | 50 × 35 × 25 | right, neck | swelling | 1 | vocal cord paralysis | 24 |
| 30 | Cannady, 2005 [30] | 6 | M | 60 × 40 × 28 | right, neck | swelling | 1 | Horner’s syndrome | 24 |
| 31 | 7 | M | 60 × 30 × 20 | right, neck | oral swelling | 2 | Horner’s syndrome | 156 | |
| 32 | 9 | F | 60 × 50 | right, oropharynx | dysphagia | 1 | IX XII paralyses | 108 | |
| 33 | Ponce-Camach, 2008 [31] | 5 | F | 40 × 30 | right, neck | swelling | 1 | Horner’s syndrome | NA |
| 34 | Hallur, 2012 [32] | 4 | F | 100 × 64 × 57 | right, neck | swelling | 1 | myosis | 18 |
| 35 | Yokoi, 2012 [33] | 19 | F | 72 × 33 × 11 | oropharynx | swelling | 2 | Horner’s syndrome | 60 |
| 36 | Ma, J., 2012 [34] | 4 | F | 54 × 37 × 33 | right, neck | swelling, dysphagia | 1 | XII paralysis | 1 |
| 37 | Dalmia, 2016 [35] | 25 | M | 50 × 30 | left, neck | swelling, hoarseness | 1 | X paralysis | NA |
| 38 | Bakshi, 2016 [36] | 10 | F | 40 × 50 | left, neck | swelling | 1 | XII palsy | 12 |
| 39 | Garzorz, 2016 [37] | 3 | M | 60 × 28 × 17 | neck | swelling | 1 | NA | 36 |
| 40 | Salimov, 2016 [38] | 13 | F | 115 × 55 × 40 | left, neck | swelling | 1 | Horner’s syndrome | 12 |
| 41 | Lima, 2018 [39] | 13 | F | 60 × 35 | right, neck | swelling | 1 | Horner’s syndrome | 24 |
| 42 | Bach, 2018 [40] | 17 | M | 86 | right oropharynx | dysphagia | 3 | NA | NA |
| 43 | Ma, H.M., 2019 [41] | 35 | F | NA | right, neck | headache | 2 | NA | 18 |
| 44 | Aslan, 2021 [42] | 41 | M | 100 × 50 × 40 | left, neck | swelling | 2 | myosis | 12 |
| 45 | Friedlander, 2002 [43] | 28 | M | 40 × 20 × 43 | left, neck | NA | NA | NA | NA |
| 46 | Zhang, 2008 [44] | 6 | M | 40 × 30 | left, neck | swelling | 1 | none | NA |
| 47 | 62 | F | 80 × 40 | left, neck | swelling | 1 | none | NA | |
| 48 | 57 | F | 80 × 70 | right, neck | swelling | 1 | none | NA | |
| 49 | 9 | M | 40 × 20 | bilateral, neck | swelling | 1 | none | NA | |
| 50 | 53 | F | 40 × 40 | right, neck | swelling | 1 | none | NA | |
| 51 | Baisakhiya, 2008 [45] | 22 | M | 30 × 25 × 30 | left, neck | NA | NA | Horner’s syndrome | NA |
| 52 | De Bernardi, 2008 [46] | 2 | M | NA | neck | NA | NA | Horner’s syndrome | 130 |
| 53 | Cavanaugh, 2010 [47] | 41 | M | NA | left, neck | none | 1 | Horner’s syndrome | NA |
| 54 | Kolte, 2011 [48] | 8 | F | 50 × 40 × 30 | left, neck | swelling | 1 | NA | NA |
| 55 | Mahajan, 2011 [49] | 7 | M | 70 × 55 × 50 | left, neck | swelling | 1 | NA | NA |
| 56 | Ramani, 2013 [50] | 5 | F | 50 × 45 × 30 | left, neck | swelling | 1 | none | NA |
| 57 | Bhadarge, 2014 [51] | 11 | F | 100 × 55 × 40 | left, neck | swelling | 1 | none | NA |
| 58 | Jabbour, 2015 [52] | 53 | M | 32 × 25 × 22 | left, neck | swelling | 1 | none | 10 |
| 59 | Spinelli, 2015 [53] | 26 | F | NA | neck | swelling | 1 | none | 96 |
| 60 | 37 | F | NA | neck | none | 1 | none | 84 | |
| 61 | Dutta, 2016 [54] | 1 | M | 30 × 20 | left, neck | swelling | 1 | NA | NA |
| 62 | Dalmia, 2016 [35] | 25 | M | 50 × 30 | left, neck | swelling, hoarseness | 1 | vocal cord palsy | NA |
| 63 | Paraskevopoulos, 2017 [55] | 17 | F | 40 × 25 × 10 | left, neck | swelling | 1 | none | NA |
| 64 | Kiflu, 2017 [56] | 7 | F | 50 × 70 × 30 | left, neck | swelling | 1 | Horner’s syndrome | NA |
| 65 | Helal, 2018 [57] | 12 | M | 46 × 17 × 16 | left, neck | swelling | 1 | none | 12 |
Disclaimer/Publisher’s Note: The statements, opinions and data contained in all publications are solely those of the individual author(s) and contributor(s) and not of MDPI and/or the editor(s). MDPI and/or the editor(s) disclaim responsibility for any injury to people or property resulting from any ideas, methods, instructions or products referred to in the content. |
© 2024 by the authors. Licensee MDPI, Basel, Switzerland. This article is an open access article distributed under the terms and conditions of the Creative Commons Attribution (CC BY) license (https://creativecommons.org/licenses/by/4.0/).
Share and Cite
Gasparini, A.; Jiang, S.; Mani, R.; Tatta, T.; Gallo, O. Ganglioneuroma in Head and Neck: A Case Report of a Laryngeal Ganglioneuroma and a Systematic Review of the Literature. Cancers 2024, 16, 3492. https://doi.org/10.3390/cancers16203492
Gasparini A, Jiang S, Mani R, Tatta T, Gallo O. Ganglioneuroma in Head and Neck: A Case Report of a Laryngeal Ganglioneuroma and a Systematic Review of the Literature. Cancers. 2024; 16(20):3492. https://doi.org/10.3390/cancers16203492
Chicago/Turabian StyleGasparini, Angela, Serena Jiang, Riccardo Mani, Tiziana Tatta, and Oreste Gallo. 2024. "Ganglioneuroma in Head and Neck: A Case Report of a Laryngeal Ganglioneuroma and a Systematic Review of the Literature" Cancers 16, no. 20: 3492. https://doi.org/10.3390/cancers16203492
APA StyleGasparini, A., Jiang, S., Mani, R., Tatta, T., & Gallo, O. (2024). Ganglioneuroma in Head and Neck: A Case Report of a Laryngeal Ganglioneuroma and a Systematic Review of the Literature. Cancers, 16(20), 3492. https://doi.org/10.3390/cancers16203492

