Evaluation of Automatic Signal Detection of In Situ Hybridization for Detecting HPV DNA in Cervical Tissue Derived from Patients with Cervical Intraepithelial Neoplasia
Abstract
Simple Summary
Abstract
1. Introduction
2. Materials and Methods
2.1. Study Design
2.2. HPV Genotyping Test and LBC
2.3. Colposcopy and Punch Biopsy
2.4. Immunohistochemistry
2.5. Light Microscopy Techniques for Cell Imaging
2.6. Statistical Analysis
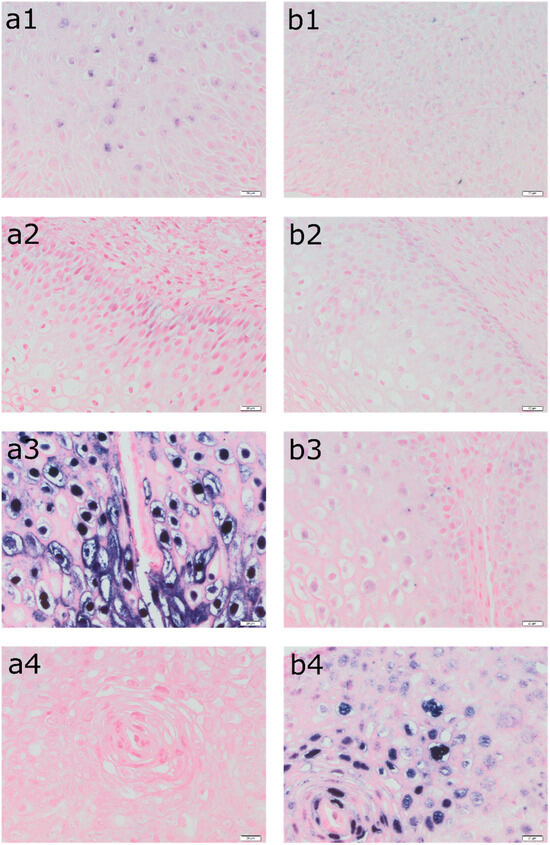
3. Results
4. Discussion
4.1. Summary of Main Findings
4.2. Generalizability of Results
4.3. Limitations of the Study
5. Conclusions
Supplementary Materials
Author Contributions
Funding
Institutional Review Board Statement
Informed Consent Statement
Data Availability Statement
Conflicts of Interest
References
- Sung, H.; Ferlay, J.; Siegel, R.L.; Laversanne, M.; Soerjomataram, I.; Jemal, A.; Bray, F. Global Cancer Statistics 2020: GLOBOCAN Estimates of Incidence and Mortality Worldwide for 36 Cancers in 185 Countries. CA Cancer J. Clin. 2021, 71, 209–249. [Google Scholar] [CrossRef] [PubMed]
- Perkins, R.B.; Wentzensen, N.; Guido, R.S.; Schiffman, M. Cervical Cancer Screening: A Review. JAMA 2023, 330, 547–558. [Google Scholar] [CrossRef] [PubMed]
- Fitzpatrick, M.B.; Hahn, Z.; Mandishora, R.S.D.; Dao, J.; Weber, J.; Huang, C.; Sahoo, M.K.; Katzenstein, D.A.; Pinsky, B.A. Whole-Genome Analysis of Cervical Human Papillomavirus Type 35 from rural Zimbabwean Women. Sci. Rep. 2020, 10, 7001. [Google Scholar] [CrossRef]
- de Sanjosé, S.; Alemany, L.; Castellsagué, X.; Bosch, F.X. Human papillomavirus vaccines and vaccine implementation. Women’s Health 2008, 4, 595–604. [Google Scholar] [CrossRef] [PubMed]
- Chen, Z.; Schiffman, M.; Herrero, R.; DeSalle, R.; Anastos, K.; Segondy, M.; Sahasrabuddhe, V.V.; Gravitt, P.E.; Hsing, A.W.; Burk, R.D. Evolution and taxonomic classification of human papillomavirus 16 (HPV16)-related variant genomes: HPV31, HPV33, HPV35, HPV52, HPV58 and HPV67. PLoS ONE 2011, 6, e20183. [Google Scholar] [CrossRef]
- Rokita, W.; Kedzia, W.; Pruski, D.; Friebe, Z.; Nowak-Markwitz, E.; Spaczyński, R.; Karowicz-Bilińska, A.; Spaczyński, M. Comparison of the effectiveness of cytodiagnostics, molecular identification of HPV HR and CINtecPLUS test to identify LG SIL and HG SIL. Ginekol. Pol. 2012, 83, 894–898. [Google Scholar] [PubMed]
- Mazurec, K.; Trzeszcz, M.; Mazurec, M.; Streb, J.; Halon, A.; Jach, R. Triage Strategies for Non-16/Non-18 HPV-Positive Women in Primary HPV-Based Cervical Cancer Screening: p16/Ki67 Dual Stain vs. Cytology. Cancers 2023, 15, 5095. [Google Scholar] [CrossRef] [PubMed]
- Arbyn, M.; Simon, M.; de Sanjosé, S.; Clarke, M.A.; Poljak, M.; Rezhake, R.; Berkhof, J.; Nyaga, V.; Gultekin, M.; Canfell, K.; et al. Accuracy and effectiveness of HPV mRNA testing in cervical cancer screening: A systematic review and meta-analysis. Lancet Oncol. 2022, 23, 950–960, Erratum in Lancet Oncol. 2022, 23, e370. [Google Scholar] [CrossRef] [PubMed]
- Montag, M.; Blankenstein, T.J.; Shabani, N.; Brüning, A.; Mylonas, I. Evaluation of two commercialised in situ hybridisation assays for detecting HPV-DNA in formalin-fixed, paraffin-embedded tissue. Arch. Gynecol. Obstet. 2011, 284, 999–1005. [Google Scholar] [CrossRef] [PubMed]
- Cohen, C.; Lawson, D.; Jiang, J.; Siddiqui, M.T. Automated in situ hybridization for human papilloma virus. Appl. Immunohistochem. Mol. Morphol. 2014, 22, 619–622. [Google Scholar] [CrossRef] [PubMed]
- Hopman, A.H.; Kamps, M.A.; Smedts, F.; Speel, E.J.; Herrington, C.S.; Ramaekers, F.C. HPV in situ hybridization: Impact of different protocols on the detection of integrated, H.P.V. Int. J. Cancer. 2005, 115, 419–428. [Google Scholar] [CrossRef] [PubMed]
- Lodde, M.; Mian, C.; Mayr, R.; Comploj, E.; Trenti, E.; Melotti, R.; Campodonico, F.; Maffezzini, M.; Fritsche, H.M.; Pycha, A. Recurrence and progression in patients with non-muscle invasive bladder cancer: Prognostic models including multicolor fluorescence in situ hybridization molecular grading. Int. J. Urol. 2014, 21, 968–972. [Google Scholar] [CrossRef] [PubMed]
- Ishida, M.; Ohashi, S.; Kizaki, Y.; Naito, J.; Horiguchi, K.; Harigaya, T. Expression profiling of mouse placental lactogen II and its correlative genes using a cDNA microarray analysis in the developmental mouse placenta. J. Reprod. Dev. 2007, 53, 69–76. [Google Scholar] [CrossRef] [PubMed]
- Guo, M.; Gong, Y.; Deavers, M.; Silva, E.G.; Jan, Y.J.; Cogdell, D.E.; Luthra, R.; Lin, E.; Lai, H.C.; Zhang, W.; et al. Evaluation of a commercialized in situ hybridization assay for detecting human papillomavirus DNA in tissue specimens from patients with cervical intraepithelial neoplasia and cervical carcinoma. J. Clin. Microbiol. 2008, 46, 274–280. [Google Scholar] [CrossRef] [PubMed] [PubMed Central][Green Version]
- Chalcarz, M.; Żurawski, J. Injection of Aquafilling® for Breast Augmentation Causes Inflammatory Responses Independent of Visible Symptoms. Aesthet. Plast. Surg. 2021, 45, 481–490. [Google Scholar] [CrossRef]
- Jach, R.; Mazurec, M.; Trzeszcz, M.; Bartosinska-Dyc, A.; Galarowicz, B.; Kedzia, W.; Nowakowski, A.; Pitynski, K. COLPOSCOPY 2020—COLPOSCOPY PROTOCOLS: A Summary of the Clinical Experts Consensus Guidelines of the Polish Society of Colposcopy and Cervical Pathophysiology and the Polish Society of Gynaecologists and Obstetricians. Ginekol. Pol. 2020, 91, 362371. [Google Scholar] [CrossRef]
- Massad, L.S.; Perkins, R.B.; Naresh, A.; Nelson, E.L.; Spiryda, L.; Gecsi, K.S.; Mulhem, E.; Kostas-Polston, E.; Zou, T.; Giles, T.L.; et al. Colposcopy Standards: Guidelines for Endocervical Curettage at Colposcopy. J. Low. Genit. Tract Dis. 2023, 27, 97–101. [Google Scholar] [CrossRef]
- Wright, T.C., Jr. The New ASCCP Colposcopy Standards. J. Low. Genit. Tract Dis. 2017, 21, 215. [Google Scholar] [CrossRef]
- Przybylski, M.; Pruski, D.; Millert-Kalińska, S.; Krzyżaniak, M.; de Mezer, M.; Frydrychowicz, M.; Jach, R.; Żurawski, J. Expression of E4 Protein and HPV Major Capsid Protein (L1) as A Novel Combination in Squamous Intraepithelial Lesions. Biomedicines 2023, 11, 225. [Google Scholar] [CrossRef] [PubMed] [PubMed Central]
- de Mezer, M.; Markowska, A.; Markowska, J.; Krzyżaniak, M.; Grabarek, B.O.; Pokusa, F.; Żurawski, J. Immunohistochemical Expression of the SERPINA3 Protein in Uterine Fibroids. Curr. Pharm. Biotechnol. 2024, 25, 1758–1765. [Google Scholar] [CrossRef] [PubMed]
- Zito Marino, F.; Ronchi, A.; Stilo, M.; Cozzolino, I.; La Mantia, E.; Colacurci, N.; Colella, G.; Franco, R. Multiplex HPV RNA in situ hybridization/p16 immunohistochemistry: A novel approach to detect papillomavirus in HPV-related cancers. A novel multiplex ISH/IHC assay to detect HPV. Infect. Agent. Cancer 2020, 15, 46. [Google Scholar] [CrossRef] [PubMed] [PubMed Central]
- Sheng, Z.; Minato, H.; Sasagawa, T.; Nakada, S.; Kinoshita, E.; Kurose, N.; Nojima, T.; Makinoda, S. Detection of high-risk human papillomavirus subtypes in cervical glandular neoplasia by in situ hybridization. Int. J. Clin. Exp. Pathol. 2013, 6, 2168–2177. [Google Scholar] [PubMed]
- Tase, T.; Okagaki, T.; Clark, B.A.; Manias, D.A.; Ostrow, R.S.; Twiggs, L.B.; Faras, A.J. Human Papillomavirus Types and Localization in Adenocarcinoma and Adenosquamous Carcinoma of the Uterine Cervix: A study by in Situ DNA Hybridization. Cancer Res. 1988, 48, 993–998. [Google Scholar] [PubMed]
- Milde-Langosch, K.; Riethdorf, S.; Kraus-Pöppinghaus, A.; Riethdorf, L.; Löning, T. Expression of cyclin-dependent kinase inhibitors p16MTS1, p21WAF1, and p27KIP1 in HPV-positive and HPV-negative cervical adenocarcinomas. Virchows Archiv. 2001, 439, 55–61. [Google Scholar] [CrossRef] [PubMed]
- Samama, B.; Plas-Roser, S.; Schaeffer, C.; Chateau, D.; Fabre, M.; Boehm, N. HPV DNA detection by in situ hybridization with catalyzed signal amplification on thin-layer cervical smears. J. Histochem. Cytochem. 2002, 50, 1417–1420. [Google Scholar] [CrossRef] [PubMed]
- Pruski, D.; Millert-Kalinska, S.; Lewek, A.; Kedzia, W. Sensitivity and specificity of HR HPV E6/E7 mRNA test in detecting cervical squamous intraepithelial lesion and cervical cancer. Ginekol. Pol. 2019, 90, 66–71. [Google Scholar] [CrossRef] [PubMed]
- Zappacosta, R.; Colasante, A.; Viola, P.; D’Antuono, T.; Lattanzio, G.; Capanna, S.; Gatta, D.M.; Rosini, S. Chromogenic in situ hybridization and p16/Ki67 dual staining on formalin-fixed paraffin-embedded cervical specimens: Correlation with HPV-DNA test, E6/E7 mRNA test, and potential clinical applications. BioMed Res. Int. 2013, 2013, 453606. [Google Scholar] [CrossRef] [PubMed] [PubMed Central]
- Hui, C.; Bai, H.; Liu, J.; Lu, X.; Wang, S.; Zhang, Z.; Jin, M.; Wang, Y.; Liu, Y. Accuracy of HPV E6/E7 mRNA examination using in situ hybridization in diagnosing cervical intraepithelial lesions. Diagn. Pathol. 2021, 16, 13. [Google Scholar] [CrossRef] [PubMed] [PubMed Central]
- Pruski, D.; Millert-Kalińska, S.; Łagiedo, M.; Sikora, J.; Jach, R.; Przybylski, M. Effect of HPV Vaccination on Virus Disappearance in Cervical Samples of a Cohort of HPV-Positive Polish Patients. J. Clin. Med. 2023, 12, 7592. [Google Scholar] [CrossRef]
- Kim, S.; Kang, W.; Choi, H. Efficacy of the human papillomavirus vaccination in women aged 20–45 years with high-grade cervical intraepithelial neoplasia treated by loop electrosurgical excision procedure. Gynecol. Oncol. 2013, 130, e15–e16. [Google Scholar] [CrossRef]
- Ghelardi, A.; Marrai, R.; Bogani, G.; Sopracordevole, F.; Bay, P.; Tonetti, A.; Lombardi, S.; Bertacca, G.; Joura, E.A. Surgical treatment of vulvar HSIL: Adjuvant HPV vaccine reduces recurrent disease. Vaccines 2021, 9, 83. [Google Scholar] [CrossRef] [PubMed]
- Takamoto, D.; Kawahara, T.; Kasuga, J.; Sasaki, T.; Yao, M.; Yumura, Y.; Uemura, H. The analysis of human papillomavirus DNA in penile cancer tissue by in situ hybridization. Oncol. Lett. 2018, 15, 8102–8106. [Google Scholar] [CrossRef] [PubMed] [PubMed Central]




| Characteristics | Values |
|---|---|
| N | 72 |
| Age, years, Me (Q1; Q3) | 33.00 (28.75; 37.00) |
| Histopathological diagnosis, n (%) | |
| CIN1 | 28 (38.9) |
| CIN2 | 22 (30.6) |
| CIN3 | 20 (27.8) |
| No pathology | 2 (2.8) |
| ISH II, Me (Q1; Q3) | 58.45 (33.36; 87.99) |
| ISH III, Me (Q1; Q3) | 375.60 (134.90; 2400.16) |
| LBC result, n (%) | |
| NILM | 3 (4.2) |
| AS-CUS | 11 (15.3) |
| LSIL | 32 (44.4) |
| ASC-H | 15 (20.8) |
| HSIL | 11 (15.3) |
| HPV, n (%) | |
| Positive | 64 (88.9) |
| Negative | 8 (11.1) |
| HPV genotype, n (%) * | |
| 6 or 11 | 8 (11.1) |
| Any of 16, 18, 31, 33, 35, 45, 52, 56, 58, 66 | 53 (73.6) |
| Other positive | 22 (30.6) |
| Variables | ISH II Level | MD (95% CI) | p | ISH III Level | MD (95% CI) | p |
|---|---|---|---|---|---|---|
| LBC result | ||||||
| NILM | 79.12 (52.51; 177.78) | - | - | 198.92 (127.20; 220.16) | ||
| AS-CUS | 63.55 (44.55; 79.13) | - | 0.786 | 166.58 (147.58; 2379.48) | 0.828 | |
| LSIL | 61.15 (35.89; 92.27) | 334.40 (122.33; 2045.52) | ||||
| ASC-H | 50.77 (32.00; 102.45) | 396.79 (215.43; 3932.40) | ||||
| HSIL | 46.81 (29.84; 69.30) | 1031.62 (135.07; 6098.14) | ||||
| HPV | ||||||
| Positive | 52.28 (33.12; 85.47) | −28.24 (−88.01; 3.05) | 0.072 | 318.25 (117.75; 1954.46) | −7961.82 (−17,230.00; −199.21) | 0.005 |
| Negative | 80.52 (67.09; 163.84) | 8280.07 (1805.37; 20,100.63) | ||||
| HPV genotypes | ||||||
| 6 or 11 | ||||||
| Positive | 48.76 (42.74; 54.36) | −14.66 (−34.26; 17.44) | 0.809 | 110.96 (85.23; 195.17) | −317.05 (−1972.19; −13.71) | 0.037 |
| Negative | 63.42 (32.46; 92.27) | 428.01 (153.80; 2828.15) | ||||
| Any of 16, 18, 31, 33, 35, 39, 45, 51, 52, 56, 58, 66 | ||||||
| Positive | 57.15 (31.72; 86.34) | −8.67 (−41.39; 7.72) | 0.188 | 346.67 (140.08; 1997.89) | −1660.38 (−4089.04; 65.29) | 0.157 |
| Negative | 65.82 (47.26; 115.24) | 2007.05 (141.99; 12,071.24) | ||||
| Histopathological diagnosis | ||||||
| CIN1 | 63.42 (36.07; 85.47) | 11.14 (−16.15; −26.32) | 0.527 | 375.60 (137.87; 3007.58) | −338.61 (−929.97; 516.39) | 0.812 |
| CIN2 + CIN3 | 52.28 (35.59; 71.45) | 714.21 (99.78; 2757.10) |
| Variable | CIN2 + CIN3 | Sensitivity, % | Specificity, % | PPV, % | NPV, % | Accuracy, % | |||
|---|---|---|---|---|---|---|---|---|---|
| Yes, n = 42 | No, n = 30 | Total, n = 72 | |||||||
| ISH II | + | 42 | 30 | 72 | 100.00 (91.59–100.00) | 0.00 (0.00–11.57) | 58.33 (56.21–61.17) | - | 58.33 (46.95–69.72) |
| − | 0 | 0 | 0 | ||||||
| ISH III | + | 42 | 30 | 72 | 100.00 (91.59–100.00) | 0.00 (0.00–11.57) | 58.33 (56.21–61.17) | - | 58.33 (46.95–69.72) |
| − | 0 | 0 | 0 | ||||||
| HPV | + | 40 | 24 | 64 | 95.24 (83.84–99.42) | 20.00 (7.71–38.57) | 62.50 (57.92–66.87) | 75.00 (39.38–93.27) | 63.89 (52.79–74.98) |
| − | 2 | 6 | 8 | ||||||
| HPV 6 or 11 | + | 4 | 4 | 8 | 9.52 (2.66–22.62) | 86.67 (69.28–96.24) | 50.00 (21.34–78.66) | 40.62 (36.57–44.81) | 41.67 (30.28–53.05) |
| − | 38 | 26 | 64 | ||||||
| HPV group 2 * | + | 35 | 18 | 53 | 83.33 (68.64–93.03) | 40.00 (22.66–59.40) | 66.04 (58.49–72.85) | 63.16 (43.37–79.33) | 65.28 (54.28–76.27) |
| − | 7 | 12 | 19 | ||||||
| Variables | HPV | Kappa Coefficient | p | |
|---|---|---|---|---|
| Yes (n = 64) | No (n = 8) | |||
| CIN1 | ||||
| yes | 22 (34.4) | 6 (75.0) | −0.14 | 0.917 |
| No | 42 (65.6) | 2 (25.0) | ||
| CIN2 | ||||
| yes | 20 (31.2) | 2 (25.0) | 0.02 | 0.413 |
| No | 44 (68.8) | 6 (75.0) | ||
| CIN3 | ||||
| yes | 20 (31.2) | 0 (0.0) | 0.09 | 0.132 |
| No | 44 (68.8) | 8 (100.0) | ||
| Variable | HPV of Respective Type * | Sensitivity, % | Specificity, % | PPV, % | NPV, % | Accuracy, % | |||
|---|---|---|---|---|---|---|---|---|---|
| Yes | No | Total | |||||||
| ISH II | + | 8 | 64 | 72 | 100.00 (63.06–100.00) | 0.00 (0.00–5.60) | 11.11 (7.72–12.20) | - | 11.11 (3.85–18.37) |
| − | 0 | 0 | 0 | ||||||
| ISH III | + | 53 | 19 | 72 | 100.00 (93.28–100.00) | 0.00 (0.00–17.65) | 73.61 (72.03–77.08) | - | 73.61 (63.43–83.79) |
| − | 0 | 0 | 0 | ||||||
Disclaimer/Publisher’s Note: The statements, opinions and data contained in all publications are solely those of the individual author(s) and contributor(s) and not of MDPI and/or the editor(s). MDPI and/or the editor(s) disclaim responsibility for any injury to people or property resulting from any ideas, methods, instructions or products referred to in the content. |
© 2024 by the authors. Licensee MDPI, Basel, Switzerland. This article is an open access article distributed under the terms and conditions of the Creative Commons Attribution (CC BY) license (https://creativecommons.org/licenses/by/4.0/).
Share and Cite
Przybylski, M.; Millert-Kalińska, S.; de Mezer, M.; Krzyżaniak, M.; Kurzawa, P.; Żurawski, J.; Jach, R.; Pruski, D. Evaluation of Automatic Signal Detection of In Situ Hybridization for Detecting HPV DNA in Cervical Tissue Derived from Patients with Cervical Intraepithelial Neoplasia. Cancers 2024, 16, 3485. https://doi.org/10.3390/cancers16203485
Przybylski M, Millert-Kalińska S, de Mezer M, Krzyżaniak M, Kurzawa P, Żurawski J, Jach R, Pruski D. Evaluation of Automatic Signal Detection of In Situ Hybridization for Detecting HPV DNA in Cervical Tissue Derived from Patients with Cervical Intraepithelial Neoplasia. Cancers. 2024; 16(20):3485. https://doi.org/10.3390/cancers16203485
Chicago/Turabian StylePrzybylski, Marcin, Sonja Millert-Kalińska, Mateusz de Mezer, Monika Krzyżaniak, Paweł Kurzawa, Jakub Żurawski, Robert Jach, and Dominik Pruski. 2024. "Evaluation of Automatic Signal Detection of In Situ Hybridization for Detecting HPV DNA in Cervical Tissue Derived from Patients with Cervical Intraepithelial Neoplasia" Cancers 16, no. 20: 3485. https://doi.org/10.3390/cancers16203485
APA StylePrzybylski, M., Millert-Kalińska, S., de Mezer, M., Krzyżaniak, M., Kurzawa, P., Żurawski, J., Jach, R., & Pruski, D. (2024). Evaluation of Automatic Signal Detection of In Situ Hybridization for Detecting HPV DNA in Cervical Tissue Derived from Patients with Cervical Intraepithelial Neoplasia. Cancers, 16(20), 3485. https://doi.org/10.3390/cancers16203485

