Hypofractionated Radiotherapy in Gynecologic Malignancies—A Peek into the Upcoming Evidence
Abstract
Simple Summary
Abstract
1. Introduction
2. Methods
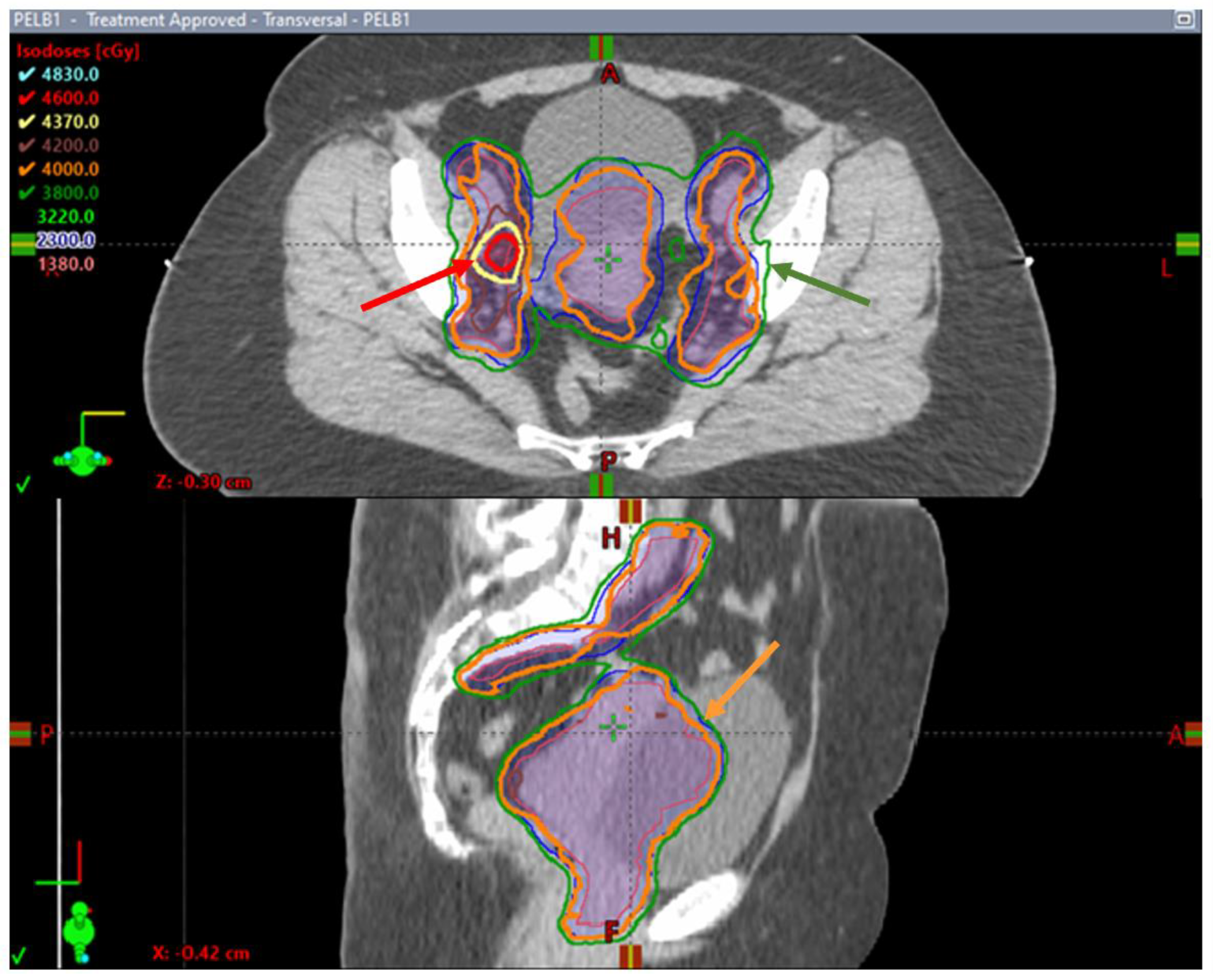
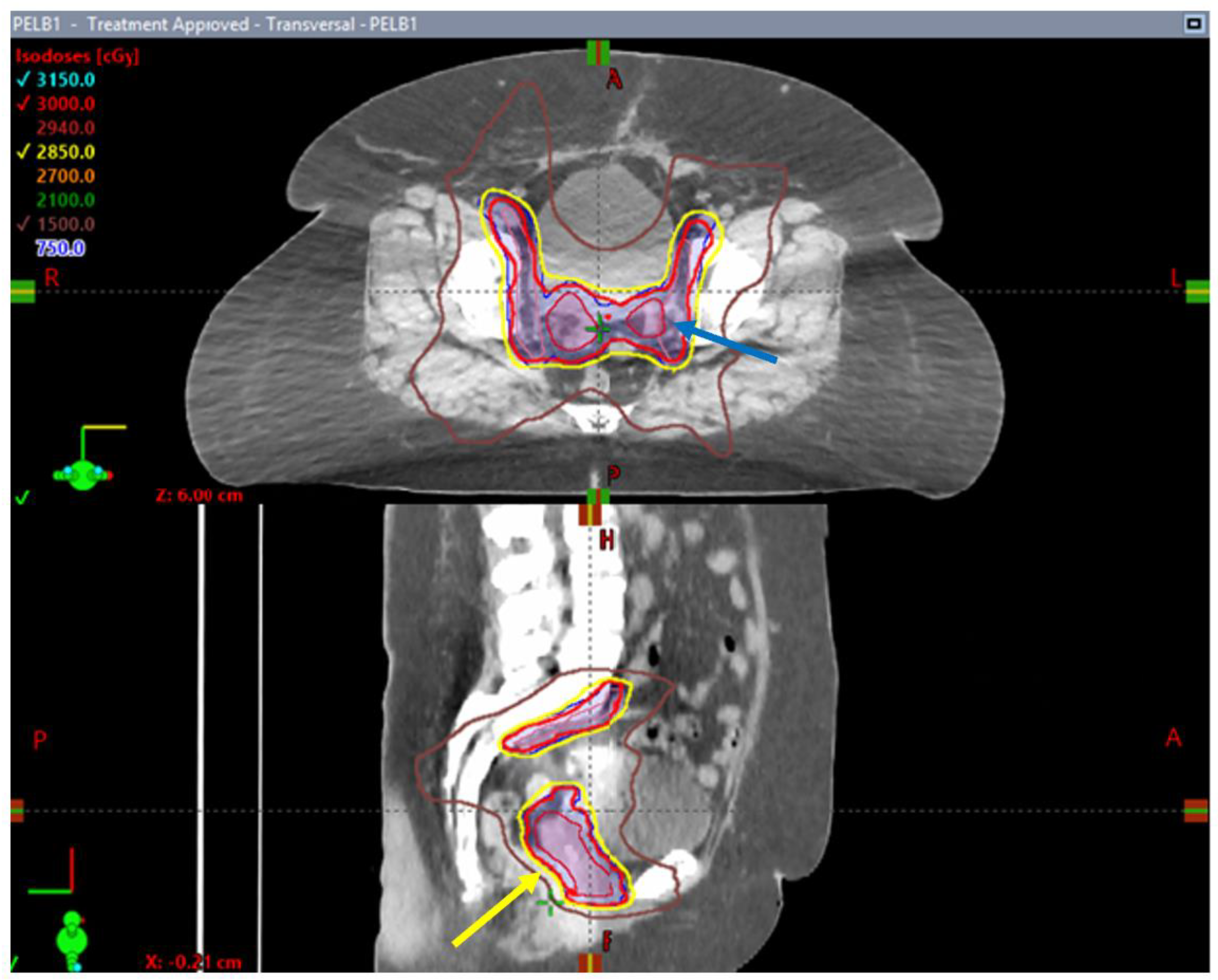
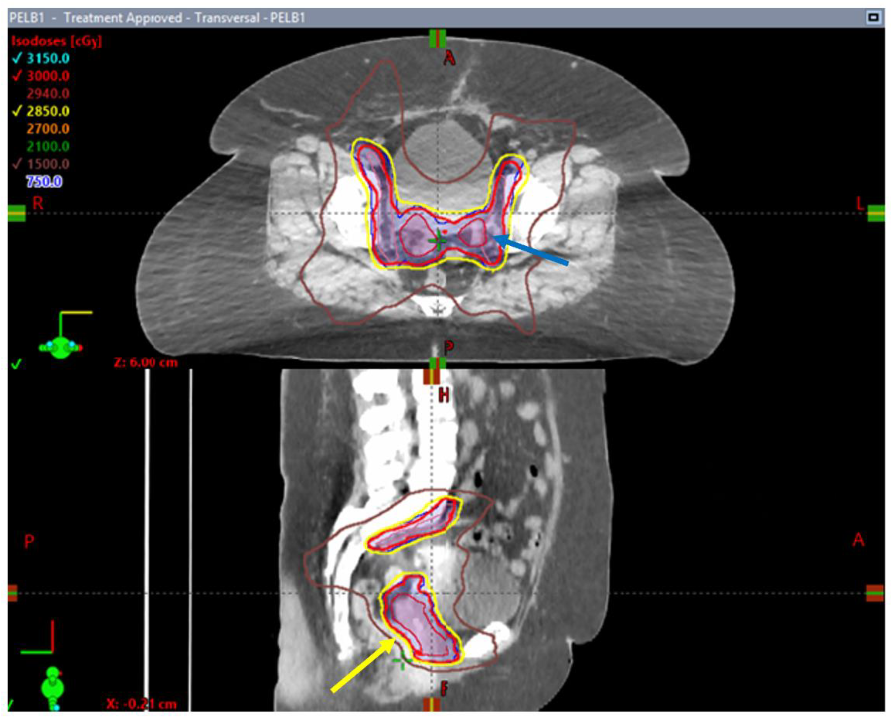
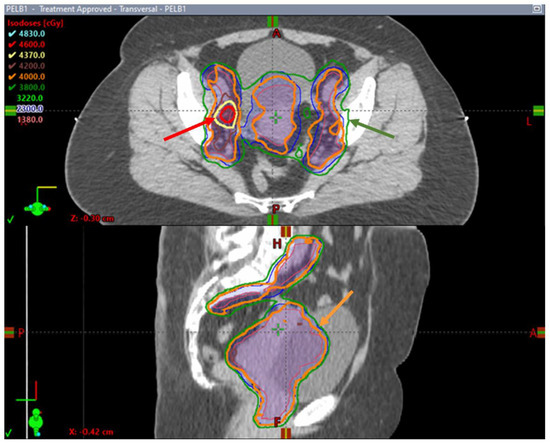
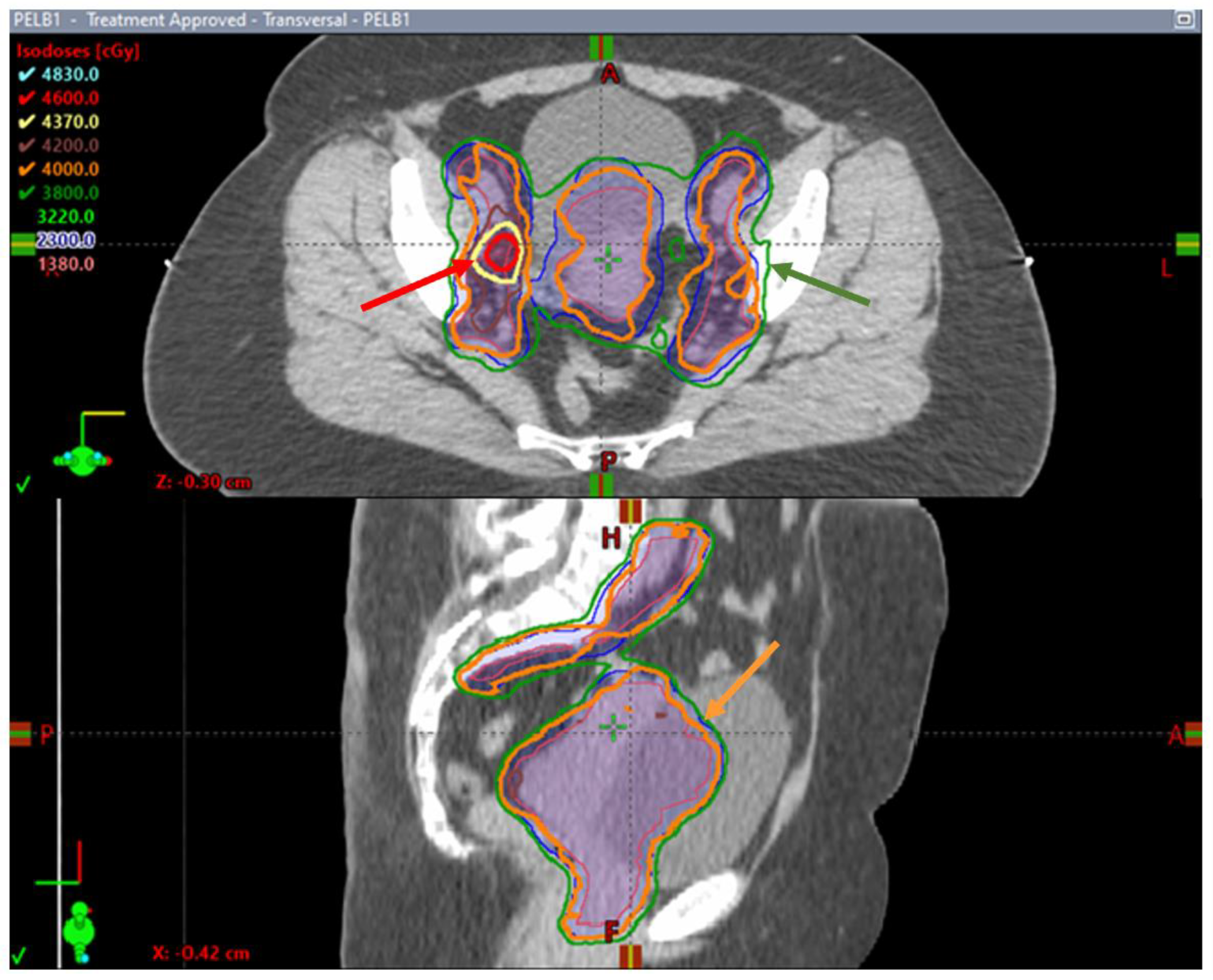
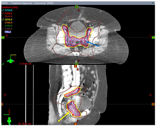
3. Hypofractionation in Cervical Cancer
4. Hypofractionation in Uterine Cancer
5. Conclusions and Future Directions
Author Contributions
Funding
Data Availability Statement
Conflicts of Interest
References
- Hemminki, K.; Kanerva, A.; Försti, A.; Hemminki, A. Cervical, Vaginal and Vulvar Cancer Incidence and Survival Trends in Denmark, Finland, Norway and Sweden with Implications to Treatment. BMC Cancer 2022, 22, 456. [Google Scholar] [CrossRef]
- Wu, X.; Matanoski, G.; Chen, V.W.; Saraiya, M.; Coughlin, S.S.; King, J.B.; Tao, X.-G. Descriptive Epidemiology of Vaginal Cancer Incidence and Survival by Race, Ethnicity, and Age in the United States. Cancer 2008, 113, 2873–2882. [Google Scholar] [CrossRef]
- Jhingran, A. Updates in the Treatment of Vaginal Cancer. Int. J. Gynecol. Cancer 2022, 32, 344–351. [Google Scholar] [CrossRef]
- McCall, N.S.; Eng, T.Y.; Shelton, J.W.; Hanasoge, S.; Patel, P.R.; Patel, A.B., Jr.; McCook-Veal, A.A.; Switchenko, J.M.; Cole, T.E.; Khanna, N.; et al. Incidence and Predictors of Toxicity in the Management of Vulvar Squamous Cell Carcinoma Treated with Radiation Therapy. Gynecol. Oncol. Rep. 2022, 44, 101086. [Google Scholar] [CrossRef] [PubMed]
- Thomas, G. Revisiting the Role of Radiation Treatment for Non-Serous Subtypes of Epithelial Ovarian Cancer. Am. Soc. Clin. Oncol. Educ. Book 2013, 33, e205–e208. [Google Scholar] [CrossRef] [PubMed]
- May, L.F.; Belinson, J.L.; Roland, T.A. Palliative Benefit of Radiation Therapy in Advanced Ovarian Cancer. Gynecol. Oncol. 1990, 37, 408–411. [Google Scholar] [CrossRef] [PubMed]
- Dembo, A.J. Epithelial Ovarian Cancer: The Role of Radiotherapy. Int. J. Radiat. Oncol. Biol. Phys. 1992, 22, 835–845. [Google Scholar] [CrossRef]
- Dearnaley, D.; Syndikus, I.; Mossop, H.; Khoo, V.; Birtle, A.; Bloomfield, D.; Graham, J.; Kirkbride, P.; Logue, J.; Malik, Z.; et al. Conventional versus Hypofractionated High-Dose Intensity-Modulated Radiotherapy for Prostate Cancer: 5-Year Outcomes of the Randomised, Non-Inferiority, Phase 3 CHHiP Trial. Lancet Oncol. 2016, 17, 1047–1060. [Google Scholar] [CrossRef] [PubMed]
- Widmark, A.; Gunnlaugsson, A.; Beckman, L.; Thellenberg-Karlsson, C.; Hoyer, M.; Lagerlund, M.; Kindblom, J.; Ginman, C.; Johansson, B.; Björnlinger, K.; et al. Ultra-Hypofractionated versus Conventionally Fractionated Radiotherapy for Prostate Cancer: 5-Year Outcomes of the HYPO-RT-PC Randomised, Non-Inferiority, Phase 3 Trial. Lancet 2019, 394, 385–395. [Google Scholar] [CrossRef] [PubMed]
- Catton, C.N.; Lukka, H.; Gu, C.-S.; Martin, J.M.; Supiot, S.; Chung, P.W.M.; Bauman, G.S.; Bahary, J.-P.; Ahmed, S.; Cheung, P.; et al. Randomized Trial of a Hypofractionated Radiation Regimen for the Treatment of Localized Prostate Cancer. JCO 2017, 35, 1884–1890. [Google Scholar] [CrossRef] [PubMed]
- Lukka, H.; Hayter, C.; Julian, J.A.; Warde, P.; Morris, W.J.; Gospodarowicz, M.; Levine, M.; Sathya, J.; Choo, R.; Prichard, H.; et al. Randomized Trial Comparing Two Fractionation Schedules for Patients with Localized Prostate Cancer. JCO 2005, 23, 6132–6138. [Google Scholar] [CrossRef] [PubMed]
- Murray Brunt, A.; Haviland, J.S.; Wheatley, D.A.; Sydenham, M.A.; Alhasso, A.; Bloomfield, D.J.; Chan, C.; Churn, M.; Cleator, S.; Coles, C.E.; et al. Hypofractionated Breast Radiotherapy for 1 Week versus 3 Weeks (FAST-Forward): 5-Year Efficacy and Late Normal Tissue Effects Results from a Multicentre, Non-Inferiority, Randomised, Phase 3 Trial. Lancet 2020, 395, 1613–1626. [Google Scholar] [CrossRef]
- Whelan, T.J.; Pignol, J.-P.; Levine, M.N.; Julian, J.A.; MacKenzie, R.; Parpia, S.; Shelley, W.; Grimard, L.; Bowen, J.; Lukka, H.; et al. Long-Term Results of Hypofractionated Radiation Therapy for Breast Cancer. N. Engl. J. Med. 2010, 362, 513–520. [Google Scholar] [CrossRef] [PubMed]
- START Trialists’ Group; Bentzen, S.M.; Agrawal, R.K.; Aird, E.G.A.; Barrett, J.M.; Barrett-Lee, P.J.; Bentzen, S.M.; Bliss, J.M.; Brown, J.; Dewar, J.A.; et al. The UK Standardisation of Breast Radiotherapy (START) Trial B of Radiotherapy Hypofractionation for Treatment of Early Breast Cancer: A Randomised Trial. Lancet 2008, 371, 1098–1107. [Google Scholar] [CrossRef]
- Offersen, B.V.; Alsner, J.; Nielsen, H.M.; Jakobsen, E.H.; Nielsen, M.H.; Krause, M.; Stenbygaard, L.; Mjaaland, I.; Schreiber, A.; Kasti, U.M.; et al. Hypofractionated versus Standard Fractionated Radiotherapy in Patients with Early Breast Cancer or Ductal Carcinoma In Situ in a Randomized Phase III Trial: The DBCG HYPO Trial. J. Clin. Oncol. 2020, 38, 3615–3625. [Google Scholar] [CrossRef] [PubMed]
- Wang, S.-L.; Fang, H.; Song, Y.-W.; Wang, W.-H.; Hu, C.; Liu, Y.-P.; Jin, J.; Liu, X.-F.; Yu, Z.-H.; Ren, H.; et al. Hypofractionated versus Conventional Fractionated Postmastectomy Radiotherapy for Patients with High-Risk Breast Cancer: A Randomised, Non-Inferiority, Open-Label, Phase 3 Trial. Lancet Oncol. 2019, 20, 352–360. [Google Scholar] [CrossRef] [PubMed]
- Erlandsson, J.; Holm, T.; Pettersson, D.; Berglund, Å.; Cedermark, B.; Radu, C.; Johansson, H.; Machado, M.; Hjern, F.; Hallböök, O.; et al. Optimal Fractionation of Preoperative Radiotherapy and Timing to Surgery for Rectal Cancer (Stockholm III): A Multicentre, Randomised, Non-Blinded, Phase 3, Non-Inferiority Trial. Lancet Oncol. 2017, 18, 336–346. [Google Scholar] [CrossRef] [PubMed]
- Ngan, S.Y.; Burmeister, B.; Fisher, R.J.; Solomon, M.; Goldstein, D.; Joseph, D.; Ackland, S.P.; Schache, D.; McClure, B.; McLachlan, S.A.; et al. Randomized Trial of Short-Course Radiotherapy versus Long-Course Chemoradiation Comparing Rates of Local Recurrence in Patients with T3 Rectal Cancer: Trans-Tasman Radiation Oncology Group Trial 01.04. J. Clin. Oncol. 2012, 30, 3827–3833. [Google Scholar] [CrossRef]
- Bahadoer, R.R.; Dijkstra, E.A.; van Etten, B.; Marijnen, C.A.M.; Putter, H.; Kranenbarg, E.M.-K.; Roodvoets, A.G.H.; Nagtegaal, I.D.; Beets-Tan, R.G.H.; Blomqvist, L.K.; et al. Short-Course Radiotherapy Followed by Chemotherapy before Total Mesorectal Excision (TME) versus Preoperative Chemoradiotherapy, TME, and Optional Adjuvant Chemotherapy in Locally Advanced Rectal Cancer (RAPIDO): A Randomised, Open-Label, Phase 3 Trial. Lancet Oncol. 2021, 22, 29–42. [Google Scholar] [CrossRef]
- Ciseł, B.; Pietrzak, L.; Michalski, W.; Wyrwicz, L.; Rutkowski, A.; Kosakowska, E.; Cencelewicz, A.; Spałek, M.; Polkowski, W.; Jankiewicz, M.; et al. Long-Course Preoperative Chemoradiation versus 5 × 5 Gy and Consolidation Chemotherapy for Clinical T4 and Fixed Clinical T3 Rectal Cancer: Long-Term Results of the Randomized Polish II Study. Ann. Oncol. 2019, 30, 1298–1303. [Google Scholar] [CrossRef] [PubMed]
- Mendez, L.C.; Raziee, H.; Davidson, M.; Velker, V.; D’Souza, D.; Barnes, E.; Leung, E. Should We Embrace Hypofractionated Radiotherapy for Cervical Cancer? A Technical Note on Management during the COVID-19 Pandemic. Radiother. Oncol. 2020, 148, 270–273. [Google Scholar] [CrossRef] [PubMed]
- Simcock, R.; Thomas, T.V.; Estes, C.; Filippi, A.R.; Katz, M.S.; Pereira, I.J.; Saeed, H. COVID-19: Global Radiation Oncology’s Targeted Response for Pandemic Preparedness. Clin. Transl. Radiat. Oncol. 2020, 22, 55–68. [Google Scholar] [CrossRef] [PubMed]
- Akimoto, T.; Aoyama, H.; Chua, M.L.K.; Jayamanne, D.; Mizowaki, T.; Morris, L.; Onishi, H.; Song, S.Y.; Zeidan, Y.H.; Sharma, R.A. Challenges and Opportunities with the Use of Hypofractionated Radiation Therapy in Cancer Care: Regional Perspectives from South Korea, Japan, Singapore, and Australia. Adv. Radiat. Oncol. 2023, 8, 101291. [Google Scholar] [CrossRef] [PubMed]
- Rodin, D.; Tawk, B.; Mohamad, O.; Grover, S.; Moraes, F.Y.; Yap, M.L.; Zubizarreta, E.; Lievens, Y. Hypofractionated Radiotherapy in the Real-World Setting: An International ESTRO-GIRO Survey. Radiother. Oncol. 2021, 157, 32–39. [Google Scholar] [CrossRef]
- Guo, M.; Huang, E.; Liu, X.; Tang, Y. Volumetric Modulated Arc Therapy versus Fixed-Field Intensity-Modulated Radiotherapy in Radical Irradiation for Cervical Cancer without Lymphadenectasis: Dosimetric and Clinical Results. Oncol. Res. Treat. 2018, 41, 105–109. [Google Scholar] [CrossRef]
- Bai, W.; Kou, C.; Yu, W.; Li, Y.; Hua, W.; Yu, L.; Wang, J. Dosimetric Comparison of Volumetric-Modulated Arc Therapy and Intensity-Modulated Radiation Therapy in Patients with Cervical Cancer: A Meta-Analysis. Onco Targets Ther. 2018, 11, 7179–7186. [Google Scholar] [CrossRef]
- Klopp, A.H.; Yeung, A.R.; Deshmukh, S.; Gil, K.M.; Wenzel, L.; Westin, S.N.; Gifford, K.; Gaffney, D.K.; Small, W.; Thompson, S.; et al. Patient-Reported Toxicity During Pelvic Intensity-Modulated Radiation Therapy: NRG Oncology–RTOG 1203. JCO 2018, 36, 2538–2544. [Google Scholar] [CrossRef]
- Chopra, S.; Gupta, S.; Kannan, S.; Dora, T.; Engineer, R.; Mangaj, A.; Maheshwari, A.; Shylasree, T.S.; Ghosh, J.; Paul, S.N.; et al. Late Toxicity After Adjuvant Conventional Radiation Versus Image-Guided Intensity-Modulated Radiotherapy for Cervical Cancer (PARCER): A Randomized Controlled Trial. JCO 2021, 39, 3682–3692. [Google Scholar] [CrossRef]
- Boda-Heggemann, J.; Lohr, F.; Wenz, F.; Flentje, M.; Guckenberger, M. kV Cone-Beam CT-Based IGRT. Strahlenther. Onkol. 2011, 187, 284–291. [Google Scholar] [CrossRef]
- Liu, Z.; Liu, X.; Zhang, F.; Hu, K. How Much Margin Do We Need for Pelvic Lymph Nodes Irradiation in the Era of IGRT? J. Cancer 2018, 9, 3683–3689. [Google Scholar] [CrossRef]
- Zubizarreta, E.; Van Dyk, J.; Lievens, Y. Analysis of Global Radiotherapy Needs and Costs by Geographic Region and Income Level. Clin. Oncol. 2017, 29, 84–92. [Google Scholar] [CrossRef]
- de Souza Lawrence, L. Radiation Oncology Management of Stage I–III Cervix Cancer. Surg. Oncol. Clin. N. Am. 2017, 26, 477–489. [Google Scholar] [CrossRef]
- Sung, H.; Ferlay, J.; Siegel, R.L.; Laversanne, M.; Soerjomataram, I.; Jemal, A.; Bray, F. Global Cancer Statistics 2020: GLOBOCAN Estimates of Incidence and Mortality Worldwide for 36 Cancers in 185 Countries. CA Cancer J. Clin. 2021, 71, 209–249. [Google Scholar] [CrossRef]
- Zubizarreta, E.H.; Fidarova, E.; Healy, B.; Rosenblatt, E. Need for Radiotherapy in Low and Middle Income Countries—The Silent Crisis Continues. Clin. Oncol. 2015, 27, 107–114. [Google Scholar] [CrossRef]
- Zubizarreta, E.H.; Poitevin, A.; Levin, C.V. Overview of Radiotherapy Resources in Latin America: A Survey by the International Atomic Energy Agency (IAEA). Radiother. Oncol. 2004, 73, 97–100. [Google Scholar] [CrossRef]
- Abdel-Wahab, M.; Bourque, J.-M.; Pynda, Y.; Iżewska, J.; Van Der Merwe, D.; Zubizarreta, E.; Rosenblatt, E. Status of Radiotherapy Resources in Africa: An International Atomic Energy Agency Analysis. Lancet Oncol. 2013, 14, e168–e175. [Google Scholar] [CrossRef]
- Rosenblatt, E. Planning National Radiotherapy Services. Front. Oncol. 2014, 4, 315. [Google Scholar] [CrossRef]
- Hanna, T.P.; Delaney, G.P.; Barton, M.B. The Population Benefit of Radiotherapy for Gynaecological Cancer: Local Control and Survival Estimates. Radiother. Oncol. 2016, 120, 370–377. [Google Scholar] [CrossRef] [PubMed]
- Shafiq, J.; Hanna, T.P.; Vinod, S.K.; Delaney, G.P.; Barton, M.B. A Population-Based Model of Local Control and Survival Benefit of Radiotherapy for Lung Cancer. Clin. Oncol. 2016, 28, 627–638. [Google Scholar] [CrossRef]
- Mendez, L.C.; Moraes, F.Y.; Fernandes, G.D.S.; Weltman, E. Cancer Deaths Due to Lack of Universal Access to Radiotherapy in the Brazilian Public Health System. Clin. Oncol. 2018, 30, e29–e36. [Google Scholar] [CrossRef]
- Batumalai, V.; Delaney, G.P.; Descallar, J.; Gabriel, G.; Wong, K.; Shafiq, J.; Barton, M. Variation in the Use of Radiotherapy Fractionation for Breast Cancer: Survival Outcome and Cost Implications. Radiother. Oncol. 2020, 152, 70–77. [Google Scholar] [CrossRef]
- Yaremko, H.L.; Locke, G.E.; Chow, R.; Lock, M.; Dinniwell, R.; Yaremko, B.P. Cost Minimization Analysis of Hypofractionated Radiotherapy. Curr. Oncol. 2021, 28, 716–725. [Google Scholar] [CrossRef]
- Beckett, M.; Goethals, L.; Kraus, R.D.; Denysenko, K.; Barone Mussalem Gentiles, M.F.; Pynda, Y.; Abdel-Wahab, M. Proximity to Radiotherapy Center, Population, Average Income, and Health Insurance Status as Predictors of Cancer Mortality at the County Level in the United States. JCO Glob. Oncol. 2023, 9, e2300130. [Google Scholar] [CrossRef]
- Atun, R.; Jaffray, D.A.; Barton, M.B.; Bray, F.; Baumann, M.; Vikram, B.; Hanna, T.P.; Knaul, F.M.; Lievens, Y.; Lui, T.Y.M.; et al. Expanding Global Access to Radiotherapy. Lancet Oncol. 2015, 16, 1153–1186. [Google Scholar] [CrossRef]
- Olsson, L.I.; Granström, F.; Glimelius, B. Socioeconomic Inequalities in the Use of Radiotherapy for Rectal Cancer: A Nationwide Study. Eur. J. Cancer 2011, 47, 347–353. [Google Scholar] [CrossRef]
- Khan, A.J.; Rafique, R.; Zafar, W.; Shah, C.; Haffty, B.G.; Vicini, F.; Jamshed, A.; Zhao, Y. Nation-Scale Adoption of Shorter Breast Radiation Therapy Schedules Can Increase Survival in Resource Constrained Economies: Results from a Markov Chain Analysis. Int. J. Radiat. Oncol. Biol. Phys. 2017, 97, 287–295. [Google Scholar] [CrossRef]
- Schnipper, L.E.; Davidson, N.E.; Wollins, D.S.; Tyne, C.; Blayney, D.W.; Blum, D.; Dicker, A.P.; Ganz, P.A.; Hoverman, J.R.; Langdon, R.; et al. American Society of Clinical Oncology Statement: A Conceptual Framework to Assess the Value of Cancer Treatment Options. J. Clin. Oncol. 2015, 33, 2563–2577. [Google Scholar] [CrossRef]
- de Boer, S.M.; Powell, M.E.; Mileshkin, L.; Katsaros, D.; Bessette, P.; Haie-Meder, C.; Ottevanger, P.B.; Ledermann, J.A.; Khaw, P.; Colombo, A.; et al. Adjuvant Chemoradiotherapy versus Radiotherapy Alone for Women with High-Risk Endometrial Cancer (PORTEC-3): Final Results of an International, Open-Label, Multicentre, Randomised, Phase 3 Trial. Lancet Oncol. 2018, 19, 295–309. [Google Scholar] [CrossRef]
- Ferrero, A.; Fuso, L.; Cipullo, I.; Danese, R.; Rossi, A.; Gribaudo, S.; Attianese, D.; Pace, L.; Danese, S.; Biglia, N. The “Sandwich” Schedule: A Well-Tolerated Adjuvant Treatment Both in Intermediate–High- and High-Risk Endometrial Cancer. Curr. Oncol. 2022, 29, 9224–9234. [Google Scholar] [CrossRef]
- Matei, D.; Filiaci, V.; Randall, M.E.; Mutch, D.; Steinhoff, M.M.; DiSilvestro, P.A.; Moxley, K.M.; Kim, Y.M.; Powell, M.A.; O’Malley, D.M.; et al. Adjuvant Chemotherapy plus Radiation for Locally Advanced Endometrial Cancer. N. Engl. J. Med. 2019, 380, 2317–2326. [Google Scholar] [CrossRef]
- Meyer, L.A.; Bohlke, K.; Powell, M.A.; Fader, A.N.; Franklin, G.E.; Lee, L.J.; Matei, D.; Coallier, L.; Wright, A.A. Postoperative Radiation Therapy for Endometrial Cancer: American Society of Clinical Oncology Clinical Practice Guideline Endorsement of the American Society for Radiation Oncology Evidence-Based Guideline. J. Clin. Oncol. 2015, 33, 2908–2913. [Google Scholar] [CrossRef] [PubMed]
- Sethukavalan, P.; Cheung, P.; Tang, C.I.; Quon, H.; Morton, G.; Nam, R.; Loblaw, A. Patient costs associated with external beam radiotherapy treatment for localized prostate cancer: The benefits of hypofractionated over conventionally fractionated radiotherapy. Can. J. Urol. 2012, 19, 6165–6169. [Google Scholar] [PubMed]
- Frey, M.K.; Fowlkes, R.K.; Badiner, N.M.; Fishman, D.; Kanis, M.; Thomas, C.; Christos, P.J.; Martin, P.; Gamble, C.; Balogun, O.D.; et al. Gynecologic Oncology Care during the COVID-19 Pandemic at Three Affiliated New York City Hospitals. Gynecol. Oncol. 2020, 159, 470–475. [Google Scholar] [CrossRef] [PubMed]
- Castanon, A.; Rebolj, M.; Burger, E.A.; de Kok, I.M.C.M.; Smith, M.A.; Hanley, S.J.B.; Carozzi, F.M.; Peacock, S.; O’Mahony, J.F. Cervical Screening during the COVID-19 Pandemic: Optimising Recovery Strategies. Lancet Public Health 2021, 6, e522–e527. [Google Scholar] [CrossRef] [PubMed]
- Edge, R.; Meyers, J.; Tiernan, G.; Li, Z.; Schiavuzzi, A.; Chan, P.; Vassallo, A.; Morrow, A.; Mazariego, C.; Wakefield, C.E.; et al. Cancer Care Disruption and Reorganisation during the COVID-19 Pandemic in Australia: A Patient, Carer and Healthcare Worker Perspective. PLoS ONE 2021, 16, e0257420. [Google Scholar] [CrossRef] [PubMed]
- Figueroa, J.D.; Gray, E.; Pashayan, N.; Deandrea, S.; Karch, A.; Vale, D.B.; Elder, K.; Procopio, P.; van Ravesteyn, N.T.; Mutabi, M.; et al. The Impact of the Covid-19 Pandemic on Breast Cancer Early Detection and Screening. Prev. Med. 2021, 151, 106585. [Google Scholar] [CrossRef] [PubMed]
- Shinghal, A.; Paul, S.; Chopra, S.; Gurram, L.; Scaria, L.; Kohle, S.; Rane, P.; Dheera, A.; Puravath, J.; Jain, J.; et al. Effect of COVID-19 Pandemic on Gynecological Cancer Radiation During Complete Nationwide Lockdown: Observations and Reflections from Tertiary Care Institute in India. Adv. Radiat. Oncol. 2021, 6, 100725. [Google Scholar] [CrossRef]
- Lara, O.D.; O’Cearbhaill, R.; Smith, M.; Sutter, M.E.; Knisely, A.; McEachron, J.; Gabor, L.; Jee, J.; Fehniger, J.; Lee, Y.-C.; et al. COVID-19 Outcomes of Gynecologic Cancer Patients in New York City. Cancer 2020, 126, 4294–4303. [Google Scholar] [CrossRef]
- Brower, J.V.; Rhodes, S.S.; Remick, J.S.; Russo, A.L.; Dunn, E.F.; Ayala-Peacock, D.N.; Petereit, D.G.; Bradley, K.A.; Taunk, N.K. Effect of COVID-19 on Gynecologic Oncology Care: A Survey of Practicing Gynecologic Radiation Oncologists in the United States. Adv. Radiat. Oncol. 2023, 8, 101188. [Google Scholar] [CrossRef]
- Fyles, A.; Keane, T.J.; Barton, M.; Simm, J. The Effect of Treatment Duration in the Local Control of Cervix Cancer. Radiother. Oncol. 1992, 25, 273–279. [Google Scholar] [CrossRef]
- Elledge, C.R.; Beriwal, S.; Chargari, C.; Chopra, S.; Erickson, B.A.; Gaffney, D.K.; Jhingran, A.; Klopp, A.H.; Small, W.; Yashar, C.M.; et al. Radiation Therapy for Gynecologic Malignancies during the COVID-19 Pandemic: International Expert Consensus Recommendations. Gynecol. Oncol. 2020, 158, 244–253. [Google Scholar] [CrossRef] [PubMed]
- Williams, V.M.; Kahn, J.M.; Harkenrider, M.M.; Chino, J.; Chen, J.; Fang, L.C.; Dunn, E.F.; Fields, E.; Mayadev, J.S.; Rengan, R.; et al. COVID-19 Impact on Timing of Brachytherapy Treatment and Strategies for Risk Mitigation. Brachytherapy 2020, 19, 401–411. [Google Scholar] [CrossRef] [PubMed]
- Han, K.; Mendez, L.; D’Souza, D.; Velker, V.; Barnes, E.; Milosevic, M.F.; Fyles, A.; Ferguson, S.E.; Taggar, A.; Croke, J.; et al. Management of Gynecologic Cancer: Choosing Radiotherapy Wisely by 3 Southern Ontario Academic Centers during the COVID-19 Pandemic. Radiother. Oncol. 2020, 151, 15–16. [Google Scholar] [CrossRef] [PubMed]
- Jones, L.; Hoban, P.; Metcalfe, P. The Use of the Linear Quadratic Model in Radiotherapy: A Review. Australas. Phys. Eng. Sci. Med. 2001, 24, 132–146. [Google Scholar] [CrossRef] [PubMed]
- Nahum, A.E. The Radiobiology of Hypofractionation. Clin. Oncol. 2015, 27, 260–269. [Google Scholar] [CrossRef] [PubMed]
- Choudhury, A.; Porta, N.; Hall, E.; Song, Y.P.; Owen, R.; MacKay, R.; West, C.M.L.; Lewis, R.; Hussain, S.A.; James, N.D.; et al. Hypofractionated Radiotherapy in Locally Advanced Bladder Cancer: An Individual Patient Data Meta-Analysis of the BC2001 and BCON Trials. Lancet Oncol. 2021, 22, 246–255. [Google Scholar] [CrossRef]
- Bentzen, S.M.; Rosenblatt, E.; Gupta, T.; Agarwal, J.P.; Laskar, S.G.; Bhasker, S.; Jacinto, A.A.; Marchi, P.D.; Nagarajan, M.; Jabeen, K.; et al. Randomized Controlled Trial of Hypofractionated vs. Normo-Fractionated Accelerated Radiation Therapy with or without Cisplatin for Locally Advanced Head and Neck Squamous Cell Carcinoma (HYPNO). Int. J. Radiat. Oncol. Biol. Phys. 2023, 117, e2. [Google Scholar] [CrossRef]
- Tanderup, K.; Fokdal, L.U.; Sturdza, A.; Haie-Meder, C.; Mazeron, R.; Van Limbergen, E.; Jürgenliemk-Schulz, I.; Petric, P.; Hoskin, P.; Dörr, W.; et al. Effect of Tumor Dose, Volume and Overall Treatment Time on Local Control after Radiochemotherapy Including MRI Guided Brachytherapy of Locally Advanced Cervical Cancer. Radiother. Oncol. 2016, 120, 441–446. [Google Scholar] [CrossRef]
- Viegas, C.M.; Araujo, C.M.M.; Dantas, M.A.; Froimtchuk, M.; Oliveira, J.A.F.; Marchiori, E.; Souhami, L. Concurrent Chemotherapy and Hypofractionated Twice-Daily Radiotherapy in Cervical Cancer Patients with Stage IIIB Disease and Bilateral Parametrial Involvement: A Phase I-II Study. Int. J. Radiat. Oncol. Biol. Phys. 2004, 60, 1154–1159. [Google Scholar] [CrossRef]
- Komen, A. A Retrospective Study of Advanced Carcinoma of the Cervix Treated with a Hypofractionated Radiation Therapy Protocol; Department of Radiation Oncology, University of Witwatersrand: Johannesburg, South Africa, 2014. [Google Scholar]
- Muckaden, M.A.; Budrukkar, A.N.; Tongaonkar, H.B.; Dinshaw, K.A. Hypofractionated Radiotherapy in Carcinoma Cervix IIIB: Tata Memorial Hospital Experience. Indian J. Cancer 2002, 39, 127–134. [Google Scholar]
- Gandhi, A.K.; Rastogi, M.; Yadav, U.; Mishra, V.; Srivastava, A.K.; Bharati, A.; Mishra, S.P. A Pilot Study of Moderately Hypo-Fractionated Whole Pelvic Radiotherapy with Concurrent Chemotherapy and Image-Guided High Dose Rate Brachytherapy for Locally Advanced Cervical Carcinoma. Int. J. Radiat. Oncol. Biol. Phys. 2022, 114, S89. [Google Scholar] [CrossRef]
- Mendez, L. Hypofractionated External-Beam RadiOtherapy for Intact Cervical Cancer (HEROICC-Trial): A Feasibility Study; NCT04583254. 2023. Available online: https://clinicaltrials.gov (accessed on 5 May 2023).
- Cantu, D. Phase II Randomized Controlled Trial of Concomitant Chemoradiotherapy with Standard Fractionation Compared to Hypofractionated Concomitant Chemoradiotherapy Followed by Brachytherapy, for Clinical Stage III Cervical Cancer Patients; NCT04070976. 2020. Available online: https://clinicaltrials.gov (accessed on 5 May 2023).
- Tehran University of Medical Sciences Comparison of Clinical Response and Toxicity of Hypo-Fractionated Chemoradiation with Standard Treatment in Patients with Uterine Cervix Cancer; NCT04831437. 2021. Available online: https://clinicaltrials.gov (accessed on 5 May 2023).
- Bacorro, W.; Baldivia, K.; Dumago, M.; Bojador, M.; Milo, A.; Trinidad, C.M.; Mariano, J.; Gonzalez, G.; Sy Ortin, T. Phase 1/2 Trial Evaluating the Effectiveness and Safety of Dose-Adapted Hypofractionated Pelvic Radiotherapy for Advanced Cervical Cancers INeligible for ChemoTherapy (HYACINCT). Acta Oncol. 2022, 61, 688–697. [Google Scholar] [CrossRef] [PubMed]
- Prasartseree, T.; Dankulchai, P.; Sittiwong, W.; Thephamongkhol, K. HYPOCx-iRex (TCTR20210812003) A Phase II RCT: 44 Gy/20F vs. 45 Gy/25F CCRT in Cervical Cancer: Six-Month Post-RT Update. Int. J. Radiat. Oncol. Biol. Phys. 2023, 117, S41. [Google Scholar] [CrossRef]
- Han, K.; Milosevic, M.; Fyles, A.; Pintilie, M.; Viswanathan, A.N. Trends in the Utilization of Brachytherapy in Cervical Cancer in the United States. Int. J. Radiat. Oncol. Biol. Phys. 2013, 87, 111–119. [Google Scholar] [CrossRef]
- Albuquerque, K.; Hrycushko, B.A.; Harkenrider, M.M.; Mayadev, J.; Klopp, A.; Beriwal, S.; Petereit, D.G.; Scanderbeg, D.J.; Yashar, C. Compendium of Fractionation Choices for Gynecologic HDR Brachytherapy—An American Brachytherapy Society Task Group Report. Brachytherapy 2019, 18, 429–436. [Google Scholar] [CrossRef] [PubMed]
- Souhami, L.; Corns, R.; Duclos, M.; Portelance, L.; Bahoric, B.; Stanimir, G. Long-Term Results of High-Dose Rate Brachytherapy in Cervix Cancer Using a Small Number of Fractions. Gynecol. Oncol. 2005, 97, 508–513. [Google Scholar] [CrossRef]
- Scott, A.A.; Weersink, M.; Liu, Z.A.; Milosevic, M.; Croke, J.; Fyles, A.; Lukovic, J.; Rink, A.; Beiki-Ardakani, A.; Borg, J.; et al. Comparing Dosimetry of Locally Advanced Cervical Cancer Patients Treated with 3 versus 4 Fractions of MRI-Guided Brachytherapy. Brachytherapy 2023, 22, 146–156. [Google Scholar] [CrossRef]
- Williamson, C.W.; Kotha, N.V.; Zou, J.; Brown, D.; Scanderbeg, D.; Rash, D.; Einck, J.; Yashar, C.; Mell, L.K.; Mayadev, J. Outcomes from a 3-Fraction High-Dose-Rate Brachytherapy Regimen for Patients with Cervical Cancer. Brachytherapy 2023, 22, 317–324. [Google Scholar] [CrossRef]
- Hendry, J.; Jones, G.W.; Mahantshetty, U.M.; Sarria, G.; Da Motta, N.W.; Fidarova, E.; Abdel-Wahab, M.; Prasad, R.R.; Polo, A.; Zubizarreta, E. Radiobiological Analysis of Outcomes Using External Beam Radiotherapy Plus High Dose-Rate Brachytherapy (4 × 7 Gy or 2 × 9 Gy) for Cervical Cancer in a Multi-Institution Trial. Int. J. Radiat. Oncol. Biol. Phys. 2017, 99, 1313–1314. [Google Scholar] [CrossRef]
- Moore, A.; Stav, I.; Den, R.B.; Gordon, N.; Sarfaty, M.; Neiman, V.; Rosenbaum, E.; Goldstein, D.A. The Financial Impact of Hypofractionated Radiation for Localized Prostate Cancer in the United States. J. Oncol. 2019, 2019, 8170428. [Google Scholar] [CrossRef]
- Gómez-Raposo, C.; Merino Salvador, M.; Aguayo Zamora, C.; Casado Saenz, E. Adjuvant Chemotherapy in Endometrial Cancer. Cancer Chemother. Pharmacol. 2020, 85, 477–486. [Google Scholar] [CrossRef] [PubMed]
- Leung, E.; Gladwish, A.P.; Davidson, M.; Taggar, A.; Velker, V.; Barnes, E.; Mendez, L.; Donovan, E.; Gien, L.T.; Covens, A.; et al. Quality-of-Life Outcomes and Toxic Effects Among Patients with Cancers of the Uterus Treated with Stereotactic Pelvic Adjuvant Radiation Therapy: The SPARTACUS Phase 1/2 Nonrandomized Controlled Trial. JAMA Oncol. 2022, 8, 853. [Google Scholar] [CrossRef] [PubMed]
- Leung, D.E. Stereotactic Pelvic Adjuvant Radiation Therapy in Cancers of the Uterus II: A Phase II Randomized Controlled Trial; NCT04890912. 2021. Available online: https://clinicaltrials.gov (accessed on 6 July 2023).
- University of Chicago Phase I Safety Study of Whole Pelvic Hypofractionated Radiotherapy in Women with Endometrial Cancer; NCT04683653. 2023. Available online: https://clinicaltrials.gov (accessed on 6 July 2023).
- University of Utah RT-PACE: A Pilot Study of Adjuvant Hypo-Fractionated Radiotherapy for Non-Metastatic Cervical and Endometrial Cancer; NCT05139368. 2023. Available online: http://clinicaltrials.gov (accessed on 6 July 2023).
- Mittal, P. Postoperative Hypofractionated Radiation in Cervical and Endometrial Tumours: Phase II Study; NCT05857631. 2023. Available online: https://clinicaltrials.gov (accessed on 6 July 2023).
- Park, W. Postoperative Hypofractionated Intensity-Modulated Radiotherapy Endometrial Cancer: A Prospective Phase II Trial (POHIM_EM Trial); NCT05876130. 2023. Available online: https://clinicaltrials.gov (accessed on 6 July 2023).
- Memorial Sloan Kettering Cancer Center A Feasibility Study of Integrated Delivery of Hypofractionated Pelvic IMRT with Carboplatin and Paclitaxel in Stage III Copy-Number Low and Copy-Number High Subtypes of Endometrial Cancer; NCT05691010. 2023. Available online: https://clinicaltrials.gov (accessed on 6 July 2023).



Disclaimer/Publisher’s Note: The statements, opinions and data contained in all publications are solely those of the individual author(s) and contributor(s) and not of MDPI and/or the editor(s). MDPI and/or the editor(s) disclaim responsibility for any injury to people or property resulting from any ideas, methods, instructions or products referred to in the content. |
© 2024 by the authors. Licensee MDPI, Basel, Switzerland. This article is an open access article distributed under the terms and conditions of the Creative Commons Attribution (CC BY) license (https://creativecommons.org/licenses/by/4.0/).
Share and Cite
Amjad, R.; Moldovan, N.; Raziee, H.; Leung, E.; D’Souza, D.; Mendez, L.C. Hypofractionated Radiotherapy in Gynecologic Malignancies—A Peek into the Upcoming Evidence. Cancers 2024, 16, 362. https://doi.org/10.3390/cancers16020362
Amjad R, Moldovan N, Raziee H, Leung E, D’Souza D, Mendez LC. Hypofractionated Radiotherapy in Gynecologic Malignancies—A Peek into the Upcoming Evidence. Cancers. 2024; 16(2):362. https://doi.org/10.3390/cancers16020362
Chicago/Turabian StyleAmjad, Razan, Nataliya Moldovan, Hamid Raziee, Eric Leung, David D’Souza, and Lucas C. Mendez. 2024. "Hypofractionated Radiotherapy in Gynecologic Malignancies—A Peek into the Upcoming Evidence" Cancers 16, no. 2: 362. https://doi.org/10.3390/cancers16020362
APA StyleAmjad, R., Moldovan, N., Raziee, H., Leung, E., D’Souza, D., & Mendez, L. C. (2024). Hypofractionated Radiotherapy in Gynecologic Malignancies—A Peek into the Upcoming Evidence. Cancers, 16(2), 362. https://doi.org/10.3390/cancers16020362
