Rare Oncogenic Fusions in Pediatric Central Nervous System Tumors: A Case Series and Literature Review
Abstract
Simple Summary
Abstract
1. Introduction
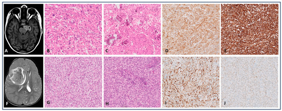
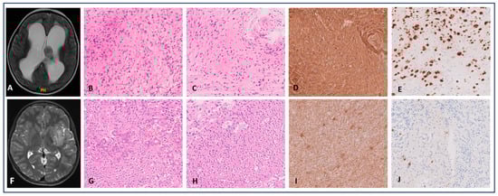
2. Cases Description
- NTRK-fused cases
- ROS1-fused case
- FGFR3-fused case
3. Literature Review
3.1. The Landscape of Kinase Fusions [11]
- ALK fusions
- ROS1 fusions
- NTRK fusions
- MET fusions
- FGFR fusions
- RAF fusions
3.2. The Landscape of Transcription Regulators
- MN1 fusions
- PATZ1 fusions
- BCOR fusions
- CIC fusions
4. Discussion
5. Conclusions
Supplementary Materials
Author Contributions
Funding
Institutional Review Board Statement
Informed Consent Statement
Data Availability Statement
Acknowledgments
Conflicts of Interest
References
- Ostrom, Q.T.; Price, M.; Neff, C.; Cioffi, G.; Waite, K.A.; Kruchko, C.; Barnholtz-Sloan, J.S. CBTRUS Statistical Report: Primary Brain and Other Central Nervous System Tumors Diagnosed in the United States in 2015–2019. Neuro Oncol. 2022, 24, v1–v95. [Google Scholar] [CrossRef] [PubMed]
- Roosen, M.; Odé, Z.; Bunt, J.; Kool, M. The Oncogenic Fusion Landscape in Pediatric CNS Neoplasms. Acta Neuropathol. 2022, 143, 427–451. [Google Scholar] [CrossRef] [PubMed]
- Ryall, S.; Tabori, U.; Hawkins, C. Pediatric low-grade glioma in the era of molecular diagnostics. Acta Neuropathol. Commun. 2020, 8, 30. [Google Scholar] [CrossRef] [PubMed]
- Sahm, F.; Brandner, S.; Bertero, L.; Capper, D.; French, P.J.; Figarella-Branger, D.; Giangaspero, F.; Haberler, C.; Hegi, M.E.; Kristensen, B.W.; et al. Molecular diagnostic tools for the World Health Organization (WHO) 2021 classification of gliomas, glioneuronal and neuronal tumors; an EANO guideline. Neuro Oncol. 2023, 25, 1731–1749. [Google Scholar] [CrossRef] [PubMed]
- Qaddoumi, I.; Orisme, W.; Wen, J.; Santiago, T.; Gupta, K.; Dalton, J.D.; Tang, B.; Haupfear, K.; Punchihewa, C.; Easton, J.; et al. Genetic alterations in uncommon low-grade neuroepithelial tumors: BRAF, FGFR1, and MYB mutations occur at high frequency and align with morphology. Acta Neuropathol. 2016, 131, 833–845. [Google Scholar] [CrossRef]
- Andreiuolo, F.; Varlet, P.; Tauziède-Espariat, A.; Jünger, S.T.; Dörner, E.; Dreschmann, V.; Kuchelmeister, K.; Waha, A.; Haberler, C.; Slavc, I.; et al. Childhood supratentorial ependymomas with YAP1-MAMLD1 fusion: An entity with characteristic clinical, radiological, cytogenetic and histopathological features. Brain Pathol. 2019, 29, 205–216. [Google Scholar] [CrossRef]
- Andreiuolo, F.; Ferrone, C.K.; Rajan, S.; Perry, A.; Guney, E.; Cham, E.; Giannini, C.; Toland, A.; Willard, N.; de Souza, A.S.; et al. Molecular and clinicopathologic characteristics of CNS embryonal tumors with BRD4::LEUTX fusion. Acta Neuropathol. Commun. 2024, 12, 42. [Google Scholar] [CrossRef]
- Lebrun, L.; Allard-Demoustiez, S.; Gilis, N.; Van Campenhout, C.; Rodesch, M.; Roman, C.; Calò, P.; Lolli, V.; David, P.; Fricx, C.; et al. Clinicopathological and molecular characterization of a case classified by DNA-methylation profiling as “CNS embryonal tumor with BRD4-LEUTX fusion”. Acta Neuropathol. Commun. 2023, 11, 46. [Google Scholar] [CrossRef]
- Ahmed, M.; De Praeter, M.; Verlooy, J.; Schoonjans, A.S.; Dekeyzer, S.; Vanden Bossche, S.; Lammens, M.; Pauwels, P. A case report of a novel NTRK gene fusion in pleomorphic xanthoastrocytoma. Clin. Neuropathol. 2022, 41, 233–235. [Google Scholar] [CrossRef]
- Gnekow, A.K.; Walker, D.A.; Kandels, D.; Picton, S.; Giorgio, P.; Grill, J.; Stokland, T.; Sandstrom, P.E.; Warmuth-Metz, M.; Pietsch, T.; et al. A European randomised controlled trial of the addition of etoposide to standard vincristine and carboplatin induction as part of an 18-month treatment programme for childhood (≤16 years) low grade glioma—A final report. Eur. J. Cancer 2017, 81, 206–225. [Google Scholar] [CrossRef]
- Clarke, M.; Mackay, A.; Ismer, B.; Pickles, J.C.; Tatevossian, R.G.; Newman, S.; Bale, T.A.; Stoler, I.; Izquierdo, E.; Temelso, S.; et al. Infant High-Grade Gliomas Comprise Multiple Subgroups Characterized by Novel Targetable Gene Fusions and Favorable Outcomes. Cancer Discov. 2020, 10, 942–963. [Google Scholar] [CrossRef] [PubMed]
- Hallberg, B.; Palmer, R.H. The role of the ALK receptor in cancer biology. Ann. Oncol. 2016, 27 (Suppl. 3), iii4–iii15. [Google Scholar] [CrossRef] [PubMed]
- Tsai, C.C.; Huang, M.H.; Fang, C.L.; Hsieh, K.L.; Hsieh, T.H.; Ho, W.L.; Chang, H.; Tsai, M.L.; Kao, Y.C.; Miser, J.S.; et al. An Infant-Type Hemispheric Glioma with SOX5::ALK: A Novel Fusion. J. Natl. Compr. Cancer Netw. 2024, 22, 1–6. [Google Scholar] [CrossRef]
- Louis, D.N.; Perry, A.; Wesseling, P.; Brat, D.J.; Cree, I.A.; Figarella-Branger, D.; Hawkins, C.; Ng, H.K.; Pfister, S.M.; Reifenberger, G.; et al. The 2021 WHO Classification of Tumors of the Central Nervous System: A summary. Neuro Oncol. 2021, 23, 1231–1251. [Google Scholar] [CrossRef] [PubMed]
- Guerreiro Stucklin, A.S.; Ryall, S.; Fukuoka, K.; Zapotocky, M.; Lassaletta, A.; Li, C.; Bridge, T.; Kim, B.; Arnoldo, A.; Kowalski, P.E.; et al. Alterations in ALK/ROS1/NTRK/MET drive a group of infantile hemispheric gliomas. Nat. Commun. 2019, 10, 4343. [Google Scholar] [CrossRef] [PubMed]
- Wrona, A. Management of CNS disease in ALK-positive non-small cell lung cancer: Is whole brain radiotherapy still needed? Cancer Radiother. 2019, 23, 432–438. [Google Scholar] [CrossRef]
- Lai, M.; Li, S.; Li, H.; Hu, Q.; Li, J.; Zhou, J.; Ai, R.; Zhen, J.; Zhou, Z.; Wang, L.; et al. Lorlatinib for ALK-fused, infant-type hemispheric glioma with lung metastasis: A case report. Ann. Clin. Transl. Neurol. 2023, 10, 836–841. [Google Scholar] [CrossRef]
- Pearce, J.; Khabra, K.; Nanji, H.; Stone, J.; Powell, K.; Martin, D.; Zebian, B.; Hettige, S.; Reisz, Z.; Bodi, I.; et al. High grade gliomas in young children: The South Thames Neuro-Oncology unit experience and recent advances in molecular biology and targeted therapies. Pediatr. Hematol. Oncol. 2021, 38, 707–721. [Google Scholar] [CrossRef]
- Desai, A.V.; Robinson, G.W.; Gauvain, K.; Basu, E.M.; Macy, M.E.; Maese, L.; Whipple, N.S.; Sabnis, A.J.; Foster, J.H.; Shusterman, S.; et al. Entrectinib in children and young adults with solid or primary CNS tumors harboring NTRK, ROS1, or ALK aberrations (STARTRK-NG). Neuro Oncol. 2022, 24, 1776–1789. [Google Scholar] [CrossRef]
- Meredith, D.M.; Cooley, L.D.; Dubuc, A.; Morrissette, J.; Sussman, R.T.; Nasrallah, M.P.; Rathbun, P.; Yap, K.L.; Wadhwani, N.; Bao, L.; et al. ROS1 Alterations as a Potential Driver of Gliomas in Infant, Pediatric, and Adult Patients. Mod. Pathol. 2023, 36, 100294. [Google Scholar] [CrossRef]
- Berlanga, P.; Pierron, G.; Lacroix, L.; Chicard, M.; Adam de Beaumais, T.; Marchais, A.; Harttrampf, A.C.; Iddir, Y.; Larive, A.; Soriano Fernandez, A.; et al. The European MAPPYACTS Trial: Precision Medicine Program in Pediatric and Adolescent Patients with Recurrent Malignancies. Cancer Discov. 2022, 12, 1266–1281. [Google Scholar] [CrossRef] [PubMed]
- van Tilburg, C.M.; Pfaff, E.; Pajtler, K.W.; Langenberg, K.P.S.; Fiesel, P.; Jones, B.C.; Balasubramanian, G.P.; Stark, S.; Johann, P.D.; Blattner-Johnson, M.; et al. The Pediatric Precision Oncology INFORM Registry: Clinical Outcome and Benefit for Patients with Very High-Evidence Targets. Cancer Discov. 2021, 11, 2764–2779. [Google Scholar] [CrossRef] [PubMed]
- Richardson, T.E.; Tang, K.; Vasudevaraja, V.; Serrano, J.; William, C.M.; Mirchia, K.; Pierson, C.R.; Leonard, J.R.; AbdelBaki, M.S.; Schieffer, K.M.; et al. GOPC-ROS1 Fusion Due to Microdeletion at 6q22 Is an Oncogenic Driver in a Subset of Pediatric Gliomas and Glioneuronal Tumors. J. Neuropathol. Exp. Neurol. 2019, 78, 1089–1099. [Google Scholar] [CrossRef] [PubMed]
- Deland, L.; Keane, S.; Bontell, T.O.; Fagman, H.; Sjögren, H.; Lind, A.E.; Carén, H.; Tisell, M.; Nilsson, J.A.; Ejeskär, K.; et al. Novel TPR::ROS1 Fusion Gene Activates MAPK, PI3K and JAK/STAT Signaling in an Infant-type Pediatric Glioma. Cancer Genom. Proteom. 2022, 19, 711–726. [Google Scholar] [CrossRef] [PubMed]
- Sievers, P.; Stichel, D.; Sill, M.; Schrimpf, D.; Sturm, D.; Selt, F.; Ecker, J.; Kazdal, D.; Miele, E.; Kranendonk, M.E.G.; et al. GOPC:ROS1 and other ROS1 fusions represent a rare but recurrent drug target in a variety of glioma types. Acta Neuropathol. 2021, 142, 1065–1069. [Google Scholar] [CrossRef]
- Papusha, L.; Zaytseva, M.; Panferova, A.; Druy, A.; Valiakhmetova, A.; Artemov, A.; Salnikova, E.; Kislyakov, A.; Imyanitov, E.; Karachunsky, A.; et al. Two clinically distinct cases of infant hemispheric glioma carrying ZCCHC8:ROS1 fusion and responding to entrectinib. Neuro Oncol. 2022, 24, 1029–1031. [Google Scholar] [CrossRef]
- Lang, S.S.; Kumar, N.K.; Madsen, P.; Gajjar, A.A.; Gajjar, E.; Resnick, A.C.; Storm, P.B. Neurotrophic tyrosine receptor kinase fusion in pediatric central nervous system tumors. Cancer Genet. 2022, 262–263, 64–70. [Google Scholar] [CrossRef]
- Torre, M.; Vasudevaraja, V.; Serrano, J.; DeLorenzo, M.; Malinowski, S.; Blandin, A.F.; Pages, M.; Ligon, A.H.; Dong, F.; Meredith, D.M.; et al. Molecular and clinicopathologic features of gliomas harboring NTRK fusions. Acta Neuropathol. Commun. 2020, 8, 107. [Google Scholar] [CrossRef]
- Gambella, A.; Senetta, R.; Collemi, G.; Vallero, S.G.; Monticelli, M.; Cofano, F.; Zeppa, P.; Garbossa, D.; Pellerino, A.; Rudà, R.; et al. NTRK Fusions in Central Nervous System Tumors: A Rare, but Worthy Target. Int. J. Mol. Sci. 2020, 21, 753. [Google Scholar] [CrossRef]
- Doz, F.; van Tilburg, C.M.; Geoerger, B.; Højgaard, M.; Øra, I.; Boni, V.; Capra, M.; Chisholm, J.; Chung, H.C.; DuBois, S.G.; et al. Efficacy and safety of larotrectinib in TRK fusion-positive primary central nervous system tumors. Neuro Oncol. 2022, 24, 997–1007. [Google Scholar] [CrossRef]
- Papusha, L.; Zaytseva, M.; Druy, A.; Valiakhmetova, A.; Yasko, L.; Salnikova, E.; Shekhtman, A.; Karachunsky, A.; Maschan, A.; Hwang, E.I.; et al. The experience of successful treatment of ETV6-NTRK3-positive infant glioblastoma with entrectinib. Neuro-Oncol. Adv. 2021, 3, vdab022. [Google Scholar] [CrossRef]
- Riedmeier, M.; Stock, A.; Krauß, J.; Sahm, F.; Jones, D.T.W.; Sturm, D.; Kramm, C.M.; Eyrich, M.; Härtel, C.; Schlegel, S.; et al. Spontaneous regression of a congenital high-grade glioma—A case report. Neuro-Oncol. Adv. 2021, 3, vdab120. [Google Scholar] [CrossRef] [PubMed]
- International Cancer Genome Consortium PedBrain Tumor Project. Recurrent MET fusion genes represent a drug target in pediatric glioblastoma. Nat. Med. 2016, 22, 1314–1320. [Google Scholar] [CrossRef] [PubMed]
- Chapman, N.; Greenwald, J.; Suddock, J.; Xu, D.; Markowitz, A.; Humphrey, M.; Cotter, J.A.; Krieger, M.D.; Hawes, D.; Ji, J. Clinical, pathologic, and genomic characteristics of two pediatric glioneuronal tumors with a CLIP2::MET fusion. Acta Neuropathol. Commun. 2024, 12, 63. [Google Scholar] [CrossRef] [PubMed]
- Sievers, P.; Sill, M.; Schrimpf, D.; Friedel, D.; Sturm, D.; Gardberg, M.; Kurian, K.M.; Krskova, L.; Vicha, A.; Schaller, T.; et al. Epigenetic profiling reveals a subset of pediatric-type glioneuronal tumors characterized by oncogenic gene fusions involving several targetable kinases. Acta Neuropathol. 2022, 144, 1049–1052. [Google Scholar] [CrossRef] [PubMed]
- Zuckermann, M.; He, C.; Andrews, J.; Bagchi, A.; Sloan-Henry, R.; Bianski, B.; Xie, J.; Wang, Y.; Twarog, N.; Onar-Thomas, A.; et al. Capmatinib is an effective treatment for MET-fusion driven pediatric high-grade glioma and synergizes with radiotherapy. Mol. Cancer 2024, 23, 123. [Google Scholar] [CrossRef] [PubMed]
- Bale, T.A. FGFR-gene family alterations in low-grade neuroepithelial tumors. Acta Neuropathol. Commun. 2020, 8, 21. [Google Scholar] [CrossRef]
- Di Stefano, A.L.; Picca, A.; Saragoussi, E.; Bielle, F.; Ducray, F.; Villa, C.; Eoli, M.; Paterra, R.; Bellu, L.; Mathon, B.; et al. Clinical, molecular, and radiomic profile of gliomas with FGFR3-TACC3 fusions. Neuro Oncol. 2020, 22, 1614–1624. [Google Scholar] [CrossRef]
- Mata, D.A.; Benhamida, J.K.; Lin, A.L.; Vanderbilt, C.M.; Yang, S.R.; Villafania, L.B.; Ferguson, D.C.; Jonsson, P.; Miller, A.M.; Tabar, V.; et al. Genetic and epigenetic landscape of IDH-wildtype glioblastomas with FGFR3-TACC3 fusions. Acta Neuropathol. Commun. 2020, 8, 186. [Google Scholar] [CrossRef]
- Métais, A.; Tauziède-Espariat, A.; Garcia, J.; Appay, R.; Uro-Coste, E.; Meyronet, D.; Maurage, C.A.; Vandenbos, F.; Rigau, V.; Chiforeanu, D.C.; et al. Clinico-pathological and epigenetic heterogeneity of diffuse gliomas with FGFR3::TACC3 fusion. Acta Neuropathol. Commun. 2023, 11, 14. [Google Scholar] [CrossRef]
- Sievers, P.; Stichel, D.; Schrimpf, D.; Sahm, F.; Koelsche, C.; Reuss, D.E.; Wefers, A.K.; Reinhardt, A.; Huang, K.; Ebrahimi, A.; et al. FGFR1:TACC1 fusion is a frequent event in molecularly defined extraventricular neurocytoma. Acta Neuropathol. 2018, 136, 293–302. [Google Scholar] [CrossRef] [PubMed]
- Mongiardi, M.P.; Pallini, R.; D’Alessandris, Q.G.; Levi, A.; Falchetti, M.L. Regorafenib and glioblastoma: A literature review of preclinical studies, molecular mechanisms and clinical effectiveness. Expert Rev. Mol. Med. 2024, 26, e5. [Google Scholar] [CrossRef] [PubMed]
- Zhang, J.; Wu, G.; Miller, C.P.; Tatevossian, R.G.; Dalton, J.D.; Tang, B.; Orisme, W.; Punchihewa, C.; Parker, M.; Qaddoumi, I.; et al. Whole-genome sequencing identifies genetic alterations in pediatric low-grade gliomas. Nat. Genet. 2013, 45, 602–612. [Google Scholar] [PubMed]
- Lind, K.T.; Chatwin, H.V.; DeSisto, J.; Coleman, P.; Sanford, B.; Donson, A.M.; Davies, K.D.; Willard, N.; Ewing, C.A.; Knox, A.J.; et al. Novel RAF Fusions in Pediatric Low-Grade Gliomas Demonstrate MAPK Pathway Activation. J. Neuropathol. Exp. Neurol. 2021, 80, 1099–1107. [Google Scholar] [CrossRef] [PubMed]
- Daoud, E.V.; Wachsmann, M.; Richardson, T.E.; Mella, D.; Pan, E.; Schwarzbach, A.; Oliver, D.; Hatanpaa, K.J. Spinal Pleomorphic Xanthoastrocytoma With a QKI-RAF1 Fusion. J. Neuropathol. Exp. Neurol. 2019, 78, 10–14. [Google Scholar] [CrossRef]
- Benhamida, J.K.; Harmsen, H.J.; Ma, D.; William, C.M.; Li, B.K.; Villafania, L.; Sukhadia, P.; Mullaney, K.A.; Dewan, M.C.; Vakiani, E.; et al. Recurrent TRAK1::RAF1 Fusions in pediatric low-grade gliomas. Brain Pathol. 2023, 33, e13185. [Google Scholar] [CrossRef]
- Yde, C.W.; Sehested, A.; Mateu-Regué, À.; Østrup, O.; Scheie, D.; Nysom, K.; Nielsen, F.C.; Rossing, M. A new NFIA:RAF1 fusion activating the MAPK pathway in pilocytic astrocytoma. Cancer Genet. 2016, 209, 440–444. [Google Scholar] [CrossRef]
- Riedel, S.S.; Lu, C.; Xie, H.M.; Nestler, K.; Vermunt, M.W.; Lenard, A.; Bennett, L.; Speck, N.A.; Hanamura, I.; Lessard, J.A.; et al. Intrinsically disordered Meningioma-1 stabilizes the BAF complex to cause AML. Mol. Cell 2021, 81, 2332–2348.e9. [Google Scholar] [CrossRef]
- Heuser, M.; Argiropoulos, B.; Kuchenbauer, F.; Yung, E.; Piper, J.; Fung, S.; Schlenk, R.F.; Dohner, K.; Hinrichsen, T.; Rudolph, C.; et al. MN1 overexpression induces acute myeloid leukemia in mice and predicts ATRA resistance in patients with AML. Blood 2007, 110, 1639–1647. [Google Scholar] [CrossRef]
- Libbrecht, C.; Xie, H.M.; Kingsley, M.C.; Haladyna, J.N.; Riedel, S.S.; Alikarami, F.; Lenard, A.; McGeehan, G.M.; Ernst, P.; Bernt, K.M. Menin is necessary for long term maintenance of meningioma-1 driven leukemia. Leukemia 2021, 35, 1405–1417. [Google Scholar] [CrossRef]
- Palma Milla, C.; Patricia, P.M.; Lezana, J.M.; Cruz, J.; Quesada, J.F.; Vila, S.; Álvarez-Mora, I.; Arteche-López, A.; Gómez-Manjón, I.; Sánchez, M.T.; et al. A Novel Pathogenic Variant in the MN1 Gene in a Patient Presenting with Rhombencephalosynapsis and Craniofacial Anomalies, Expanding MN1 C-terminal Truncation Syndrome. J. Pediatr. Genet. 2023, 12, 254–257. [Google Scholar] [CrossRef] [PubMed]
- Kim, H.; Lee, K.; Phi, J.H.; Paek, S.H.; Yun, H.; Choi, S.H.; Park, S.H. Neuroepithelial tumor with EWSR1::PATZ1 fusion: A literature review. J. Neuropathol. Exp. Neurol. 2023, 82, 934–947. [Google Scholar] [CrossRef] [PubMed]
- Schmitt-Hoffner, F.; Gojo, J.; Mauermann, M.; vonHoff, K.; Sill, M.; Korshunov, A.; Stichel, D.; Sahm, F.; Jäger, N.; Pfister, S.M.; et al. Molecular and clinical characterization of the new WHO entity ‘Astroblastoma, MN1 altered’ and its molecular subgroups. Cancer Res. 2022, 82, 2491. [Google Scholar] [CrossRef]
- Lehman, N.L.; Usubalieva, A.; Lin, T.; Allen, S.J.; Tran, Q.T.; Mobley, B.C.; McLendon, R.E.; Schniederjan, M.J.; Georgescu, M.M.; Couce, M.; et al. Genomic analysis demonstrates that histologically-defined astroblastomas are molecularly heterogeneous and that tumors with MN1 rearrangement exhibit the most favorable prognosis. Acta Neuropathol. Commun. 2019, 7, 42. [Google Scholar] [CrossRef] [PubMed]
- Lubieniecki, F.; Vazquez, V.; Lamas, G.S.; Camarero, S.; Nuñez, F.J.; Baroni, L.; Schüller, U.; Alderete, D. The spectrum of morphological findings in pediatric central nervous system MN1-fusion-positive neuroepithelial tumors. Childs Nerv. Syst. 2023, 39, 379–386. [Google Scholar] [CrossRef] [PubMed]
- Wood, M.D.; Tihan, T.; Perry, A.; Chacko, G.; Turner, C.; Pu, C.; Payne, C.; Yu, A.; Bannykh, S.I.; Solomon, D.A. Multimodal molecular analysis of astroblastoma enables reclassification of most cases into more specific molecular entities. Brain Pathol. 2018, 28, 192–202. [Google Scholar] [CrossRef]
- Frederico, S.C.; Vera, E.; Abdullaev, Z.; Acquaye, A.; Aldape, K.; Boris, L.; Briceno, N.; Choi, A.; Christ, A.; Cooper, D.; et al. Heterogeneous clinicopathological findings and patient-reported outcomes in adults with MN1-altered CNS tumors: A case report and systematic literature review. Front. Oncol. 2023, 13, 1099618. [Google Scholar] [CrossRef]
- Alhalabi, K.T.; Stichel, D.; Sievers, P.; Peterziel, H.; Sommerkamp, A.C.; Sturm, D.; Wittmann, A.; Sill, M.; Jäger, N.; Beck, P.; et al. PATZ1 fusions define a novel molecularly distinct neuroepithelial tumor entity with a broad histological spectrum. Acta Neuropathol. 2021, 142, 841–857. [Google Scholar] [CrossRef]
- Siegfried, A.; Rousseau, A.; Maurage, C.A.; Pericart, S.; Nicaise, Y.; Escudie, F.; Grand, D.; Delrieu, A.; Gomez-Brouchet, A.; Le Guellec, S.; et al. EWSR1-PATZ1 gene fusion may define a new glioneuronal tumor entity. Brain Pathol. 2019, 29, 53–62. [Google Scholar] [CrossRef]
- Costoya, J.A. Functional analysis of the role of POK transcriptional repressors. Brief. Funct. Genom. Proteom. 2007, 6, 8–18. [Google Scholar] [CrossRef]
- Rossi, S.; Barresi, S.; Colafati, G.S.; Genovese, S.; Tancredi, C.; Costabile, V.; Patrizi, S.; Giovannoni, I.; Asioli, S.; Poliani, P.L.; et al. PATZ1-Rearranged Tumors of the Central Nervous System: Characterization of a Pediatric Series of Seven Cases. Mod. Pathol. 2024, 37, 100387. [Google Scholar] [CrossRef] [PubMed]
- Wamstad, J.A.; Bardwell, V.J. Characterization of Bcor expression in mouse development. Gene Expr. Patterns 2007, 7, 550–557. [Google Scholar] [CrossRef] [PubMed]
- Huynh, K.D.; Fischle, W.; Verdin, E.; Bardwell, V.J. BCoR, a novel corepressor involved in BCL-6 repression. Genes Dev. 2000, 14, 1810–1823. [Google Scholar] [CrossRef] [PubMed]
- Tauziède-Espariat, A.; Uro-Coste, E.; Sievers, P.; Nicaise, Y.; Mariet, C.; Siegfried, A.; Pierron, G.; Guillemot, D.; Benzakoun, J.; Pallud, J.; et al. CNS tumor with EP300::BCOR fusion: Discussing its prevalence in adult population. Acta Neuropathol. Commun. 2023, 11, 26. [Google Scholar] [CrossRef] [PubMed]
- Ebrahimi, A.; Waha, A.; Schittenhelm, J.; Gohla, G.; Schuhmann, M.U.; Pietsch, T. BCOR::CREBBP fusion in malignant neuroepithelial tumor of CNS expands the spectrum of methylation class CNS tumor with BCOR/BCOR(L1)-fusion. Acta Neuropathol. Commun. 2024, 12, 60. [Google Scholar] [CrossRef]
- Sturm, D.; Orr, B.A.; Toprak, U.H.; Hovestadt, V.; Jones, D.T.W.; Capper, D.; Sill, M.; Buchhalter, I.; Northcott, P.A.; Leis, I.; et al. New Brain Tumor Entities Emerge from Molecular Classification of CNS-PNETs. Cell 2016, 164, 1060–1072. [Google Scholar] [CrossRef]
- Sievers, P.; Sill, M.; Schrimpf, D.; Abdullaev, Z.; Donson, A.M.; Lake, J.A.; Friedel, D.; Scheie, D.; Tynninen, O.; Rauramaa, T.; et al. Pediatric-type high-grade neuroepithelial tumors with CIC gene fusion share a common DNA methylation signature. NPJ Precis. Oncol. 2023, 7, 30. [Google Scholar] [CrossRef]
- Lake, J.A.; Donson, A.M.; Prince, E.; Davies, K.D.; Nellan, A.; Green, A.L.; Mulcahy Levy, J.; Dorris, K.; Vibhakar, R.; Hankinson, T.C.; et al. Targeted fusion analysis can aid in the classification and treatment of pediatric glioma, ependymoma, and glioneuronal tumors. Pediatr. Blood Cancer 2020, 67, e28028. [Google Scholar] [CrossRef]
- Chiang, J.; Bagchi, A.; Li, X.; Dhanda, S.K.; Huang, J.; Pinto, S.N.; Sioson, E.; Dalton, J.; Tatevossian, R.G.; Jia, S.; et al. High-grade glioma in infants and young children is histologically, molecularly, and clinically diverse: Results from the SJYC07 trial and institutional experience. Neuro Oncol. 2024, 26, 178–190. [Google Scholar] [CrossRef]
- Perwein, T.; Giese, B.; Nussbaumer, G.; von Bueren, A.O.; van Buiren, M.; Benesch, M.; Kramm, C.M. How I treat recurrent pediatric high-grade glioma (pHGG): A Europe-wide survey study. J. Neuro-Oncol. 2023, 161, 525–538. [Google Scholar] [CrossRef]
- Berlanga, P.; Ndounga-Diakou, L.A.; Corradini, N.; Ducassou, S.; Strullu, M.; De Carli, E.; Andre, N.; Entz-Werle, N.; Defachelles, A.S.; Roumy, M.; et al. Securing access to innovative anticancer therapies for children, adolescents, and young adults outside clinical trials: The SACHA study of the French Society of Pediatric Oncology (SFCE). J. Clin. Oncol. 2022, 40, 16. [Google Scholar] [CrossRef]


| Gene Fusion Transcript | Pediatric Tumor Type (WHO CNS5 Entity or Potential New Entity) | Potential Targeted Therapy |
|---|---|---|
| ALK | Diffuse low-grade glioma, MAPK pathway-altered L Infant-type hemispheric glioma E | Lorlatinib, Crizotinib, Ceritinib, Alectinib, Brigatinib |
| ROS1 | Infant-type hemispheric glioma E Pilocytic astrocytoma L Diffuse pediatric-type high-grade glioma H3-wildtype and IDH-wildtype L Supratentorial ependymoma L Ganglioglioma [25] Dysembryoplastic neuroepithelial tumour [25] | Crizotinib, Entrectinib, Lorlatinib |
| NTRK 1-2-3 | Diffuse low-grade glioma, MAPK pathway-altered L Infant-type hemispheric glioma E Pleomorphic xanthoastrocytoma L Pilocytic astrocytoma [2] Ganglioglioma L Supratentorial ependymoma [28,29] Pediatric-type high-grade glioma [28] Desmoplastic infantile ganglioglioma [28,29] | Larotrectinib, Entrectinib, Crizotinib, Cabozantinib |
| MET1 | Diffuse low-grade glioma, MAPK pathway-altered L Diffuse pediatric-type high-grade glioma, H3-wildtype and IDH-wildtype L Infant-type hemispheric glioma E Pediatric-type glioneuronal tumors [35] | Capmatinib, Crizotinib, Cabozantinib |
| FGFR1 | Extraventricular neurocytoma D Dysembryoplastic neuroepithelial tumor L Ganglioglioma L Diffuse low-grade glioma, MAPK pathway-altered L | Regorafenib, Erdafitinib, Rogaratinib, Dovitinib |
| FGFR2 | Multinodular and vacuolating neuronal tumor L Ganglioglioma L Polymorphous low-grade neuroepithelial tumor of the young E | Infigratinib, Regorafenib, Erdafitinib, Rogaratinib, Dovitinib |
| FGFR3 | Diffuse low-grade glioma, MAPK pathway-altered Polymorphous low-grade neuroepithelial tumor of the young E Dysembryoplastic neuroepithelial tumor C Rare in pediatric high-grade glioma [40] | Vofatamab, Regorafenib, Erdafitinib, Rogaratinib, Dovitinib |
| BRAF (non-KIAA1549) | Pleomorphic xanthoastrocytoma [43,45] Pilocytic astrocytoma [43,45] Low-grade glial/glioneuronal tumor NOS [43,45] | Vemurafenib, Dabrafenib, Encorafenib |
| RAF1 | Desmoplastic infantile ganglioglioma/desmoplastic infantile astrocytoma L Diffuse leptomeningeal glioneuronal tumor [46] Ganglioglioma L Pleomorphic xanthoastrocytoma L Pilocytic astrocytoma L | Selumetinib, Trametinib, Sorafenib |
| MN1 | Astroblastoma, MN1-altered E Neuroepithelial tumor, MN1:CXXC5-fused (DKFZ classifier) | - |
| PATZ1 | CNS neoplasms with PATZ1 fusions [58] High-grade astrocytoma Ependymoma-, subependymoma-like, low-grade glial/glioneuronal morphology [58,61] | - |
| BCOR | BCOR fused tumors [2,64] | - |
| CIC | High-grade neuroepithelial tumor CIC fusion positive [66] CIC-rearranged sarcoma [14] CNS embryonal tumor [2] Anaplastic pleomorphic xanthoastocytoma [8] | - |
Disclaimer/Publisher’s Note: The statements, opinions and data contained in all publications are solely those of the individual author(s) and contributor(s) and not of MDPI and/or the editor(s). MDPI and/or the editor(s) disclaim responsibility for any injury to people or property resulting from any ideas, methods, instructions or products referred to in the content. |
© 2024 by the authors. Licensee MDPI, Basel, Switzerland. This article is an open access article distributed under the terms and conditions of the Creative Commons Attribution (CC BY) license (https://creativecommons.org/licenses/by/4.0/).
Share and Cite
Ahmed, M.; Sieben, A.; Van Genechten, T.; Libbrecht, S.; Gilis, N.; De Praeter, M.; Fricx, C.; Calò, P.; Van Campenhout, C.; D’Haene, N.; et al. Rare Oncogenic Fusions in Pediatric Central Nervous System Tumors: A Case Series and Literature Review. Cancers 2024, 16, 3344. https://doi.org/10.3390/cancers16193344
Ahmed M, Sieben A, Van Genechten T, Libbrecht S, Gilis N, De Praeter M, Fricx C, Calò P, Van Campenhout C, D’Haene N, et al. Rare Oncogenic Fusions in Pediatric Central Nervous System Tumors: A Case Series and Literature Review. Cancers. 2024; 16(19):3344. https://doi.org/10.3390/cancers16193344
Chicago/Turabian StyleAhmed, Melek, Anne Sieben, Toon Van Genechten, Sasha Libbrecht, Nathalie Gilis, Mania De Praeter, Christophe Fricx, Pierluigi Calò, Claude Van Campenhout, Nicky D’Haene, and et al. 2024. "Rare Oncogenic Fusions in Pediatric Central Nervous System Tumors: A Case Series and Literature Review" Cancers 16, no. 19: 3344. https://doi.org/10.3390/cancers16193344
APA StyleAhmed, M., Sieben, A., Van Genechten, T., Libbrecht, S., Gilis, N., De Praeter, M., Fricx, C., Calò, P., Van Campenhout, C., D’Haene, N., Witte, O. D., Kempen, L. C. V., Lammens, M., Salmon, I., & Lebrun, L. (2024). Rare Oncogenic Fusions in Pediatric Central Nervous System Tumors: A Case Series and Literature Review. Cancers, 16(19), 3344. https://doi.org/10.3390/cancers16193344

