Ollier Disease, Acute Myeloid Leukemia, and Brain Glioma: IDH as the Common Denominator
Abstract
Simple Summary
Abstract
1. Introduction
2. Materials and Methods
3. Results
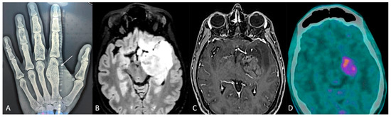
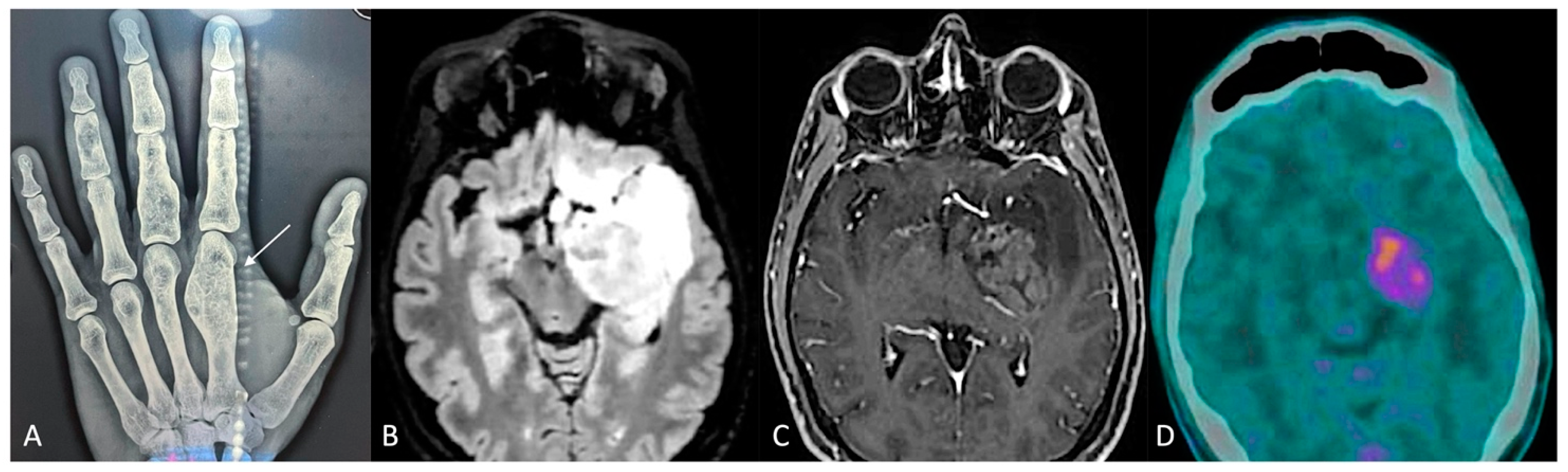
3.1. Illustrative Case
3.2. Literature Search
4. Discussion
4.1. Diagnostic Molecular Hallmarks
4.1.1. Brain Gliomas
4.1.2. Acute Myeloid Leukemia
4.1.3. Ollier Disease
4.2. Isocitrate Dehydrogenase (IDH): The Common Denominator
4.2.1. IDH and Gliomas
4.2.2. IDH and AML
4.2.3. IDH and Ollier Disease
4.3. Current Therapeutic Potential of IDH Mutations: Targeting IDH
4.3.1. IDH Inhibitors in AML
4.3.2. IDH Inhibitors in Gliomas
4.4. Advantages and Limits
5. Conclusions and Future Perspective
Author Contributions
Funding
Conflicts of Interest
References
- D’Angelo, L.; Massimi, L.; Narducci, A.; Di Rocco, C. Ollier disease. Childs Nerv. Syst. 2009, 25, 647–653. [Google Scholar] [CrossRef] [PubMed]
- Silve, C.; Jüppner, H. Ollier disease. Orphanet J. Rare Dis. 2006, 1, 37. [Google Scholar] [CrossRef] [PubMed]
- Gajavelli, S.; Nakhla, J.; Nasser, R.; Yassari, R.; Weidenheim, K.M.; Graber, J. Ollier disease with anaplastic astrocytoma: A review of the literature and a unique case. Surg. Neurol. Int. 2016, 7, S607–S611. [Google Scholar] [CrossRef] [PubMed]
- Verdegaal, S.H.; Bovée, J.V.; Pansuriya, T.C.; Grimer, R.J.; Ozger, H.; Jutte, P.C.; San Julian, M.; Biau, D.J.; van der Geest, I.C.; Leithner, A.; et al. Incidence, predictive factors, and prognosis of chondrosarcoma in patients with Ollier disease and Maffucci syndrome: An international multicenter study of 161 patients. Oncologist 2011, 16, 1771–1779. [Google Scholar] [CrossRef]
- El Abiad, J.M.; Robbins, S.M.; Cohen, B.; Levin, A.S.; Valle, D.L.; Morris, C.D.; de Macena Sobreira, N.L. Natural history of Ollier disease and Maffucci syndrome: Patient survey and review of clinical literature. Am. J. Med. Genet. Part A 2020, 182, 1093–1103. [Google Scholar] [CrossRef]
- White, M.S.; Martin, P.L.; McLean, T.W. Acute myelogenous leukemia associated with Ollier disease. Pediatr. Blood Cancer 2008, 50, 645–646. [Google Scholar] [CrossRef]
- Tamimi, H.K.; Bolen, J.W. Enchondromatosis (Ollier’s disease) and ovarian juvenile granulosa cell tumor. Cancer 1984, 53, 1605–1608. [Google Scholar] [CrossRef]
- Corvino, S.; Mariniello, G.; Corazzelli, G.; Franca, R.A.; Del Basso De Caro, M.; Della Monica, R.; Chiariotti, L.; Maiuri, F. Brain Gliomas and Ollier Disease: Molecular Findings as Predictive Risk Factors? Cancers 2022, 14, 3464. [Google Scholar] [CrossRef]
- DiNardo, C.D.; Erba, H.P.; Freeman, S.D.; Wei, A.H. Acute myeloid leukaemia. Lancet 2023, 401, 2073–2086. [Google Scholar] [CrossRef]
- Shimony, S.; Stahl, M.; Stone, R.M. Acute myeloid leukemia: 2023 update on diagnosis, risk-stratification, and management. Am. J. Hematol. 2023, 98, 502–526. [Google Scholar] [CrossRef]
- SEER Data Base: Cancer Stat Facts: Leukemia—Acute Myeloid Leukemia (AML). Available online: https://seer.cancer.gov/statfacts/html/amyl.html (accessed on 1 September 2024).
- Louis, D.N.; Perry, A.; Wesseling, P.; Brat, D.J.; Cree, I.A.; Figarella-Branger, D.; Hawkins, C.; Ng, H.K.; Pfister, S.M.; Reifenberger, G.; et al. The 2021 WHO Classification of Tumors of the Central Nervous System: A summary. Neuro-Oncology 2021, 23, 1231–1251. [Google Scholar] [CrossRef] [PubMed]
- Miller, J.J.; Gonzalez Castro, L.N.; McBrayer, S.; Weller, M.; Cloughesy, T.; Portnow, J.; Andronesi, O.; Barnholtz-Sloan, J.S.; Baumert, B.G.; Berger, M.S.; et al. Isocitrate dehydrogenase (IDH) mutant gliomas: A Society for Neuro-Oncology (SNO) consensus review on diagnosis, management, and future directions. Neuro-Oncology 2023, 25, 4–25. [Google Scholar] [CrossRef] [PubMed]
- Sahm, F.; Brandner, S.; Bertero, L.; Capper, D.; French, P.J.; Figarella-Branger, D.; Giangaspero, F.; Haberler, C.; Hegi, M.E.; Kristensen, B.W.; et al. Molecular diagnostic tools for the World Health Organization (WHO) 2021 classification of gliomas, glioneuronal and neuronal tumors; an EANO guideline. Neuro-Oncology 2023, 25, 1731–1749. [Google Scholar] [CrossRef]
- Khoury, J.D.; Solary, E.; Abla, O.; Akkari, Y.; Alaggio, R.; Apperley, J.F.; Bejar, R.; Berti, E.; Busque, L.; Chan, J.K.C.; et al. The 5th edition of the World Health Organization Classification of Haematolymphoid Tumours: Myeloid and Histiocytic/Dendritic Neoplasms. Leukemia 2022, 36, 1703–1719. [Google Scholar] [CrossRef] [PubMed]
- Arber, D.A.; Orazi, A.; Hasserjian, R.P.; Borowitz, M.J.; Calvo, K.R.; Kvasnicka, H.M.; Wang, S.A.; Bagg, A.; Barbui, T.; Branford, S.; et al. International Consensus Classification of Myeloid Neoplasms and Acute Leukemias: Integrating morphologic, clinical, and genomic data. Blood 2022, 140, 1200–1228. [Google Scholar] [CrossRef]
- Page, M.J.; McKenzie, J.E.; Bossuyt, P.M.; Boutron, I.; Hoffmann, T.C.; Mulrow, C.D.; Shamseer, L.; Tetzlaff, J.M.; Akl, E.A.; Brennan, S.E.; et al. The PRISMA 2020 statement: An updated guideline for reporting systematic reviews. BMJ 2021, 372, n71. [Google Scholar] [CrossRef]
- Becker, W.; Thron, A. Dyschondroplasia with glioma of the brain. Third histologically verified case. Arch. Orthop. Trauma Surg. 1979, 93, 141–144. [Google Scholar] [CrossRef]
- Rawlings, C.E.; Bullard, D.E.; Burger, P.C.; Friedman, A.H. A case of Ollier’s disease associated with two intracranial gliomas. Neurosurgery 1987, 21, 400–403. [Google Scholar] [CrossRef]
- Schwartz, H.S.; Zimmerman, N.B.; Simon, M.A.; Wroble, R.R.; Millar, E.A.; Bonfiglio, M. The malignant potential of enchondromatosis. J. Bone Jt. Surg. 1987, 69, 269–274. [Google Scholar] [CrossRef]
- Mellon, C.D.; Carter, J.E.; Owen, D.B. Ollier’s disease and Maffucci’s syndrome: Distinct entities or a continuum. J. Neurol. 1988, 235, 376–378. [Google Scholar] [CrossRef]
- Patt, S.; Weigel, K.; Mayer, H.M. A case of dyschondroplasia associated with brain stem glioma: Diagnosis by stereotactic biopsy. Neurosurgery 1990, 27, 487–491. [Google Scholar] [CrossRef] [PubMed]
- Bendel, C.J.; Gelmers, H.J. Multiple enchondromatosis (Ollier’s disease) complicated by malignant astrocytoma. Eur. J. Radiol. 1991, 12, 135–137. [Google Scholar] [CrossRef] [PubMed]
- Chang, S.; Prados, M.D. Identical twins with Ollier’s disease and intracranial gliomas: Case report. Neurosurgery 1994, 34, 903–906, discussion 906. [Google Scholar] [CrossRef] [PubMed]
- Hofman, S.; Heeg, M.; Klein, J.P.; Krikke, A.P. Simultaneous occurrence of a supra- and an infratentorial glioma in a patient with Ollier’s disease: More evidence for non-mesodermal tumor predisposition in multiple enchondromatosis. Skelet. Radiol. 1998, 27, 688–691. [Google Scholar] [CrossRef] [PubMed]
- Balcer, L.J.; Galetta, S.L.; Cornblath, W.T.; Liu, G.T. Neuro-ophthalmologic manifestations of Maffucci’s syndrome and Ollier’s disease. J. Neuro-Ophthalmol. 1999, 19, 62–66. [Google Scholar] [CrossRef]
- Frappaz, D.; Ricci, A.C.; Kohler, R.; Bret, P.; Mottolese, C. Diffuse brain stem tumor in an adolescent with multiple enchondromatosis (Ollier’s disease). Childs Nerv. Syst. 1999, 15, 222–225. [Google Scholar] [CrossRef]
- van Nielen, K.M.; de Jong, B.M. A case of Ollier’s disease associated with two intracerebral low-grade gliomas. Clin. Neurol. Neurosurg. 1999, 101, 106–110. [Google Scholar] [CrossRef]
- Simsek, S.; Seckin, H.; Belin, D. Ollier’s disease with intracranial glioma. Türk Nörosirürji Derg. 2002, 12, 66–69. [Google Scholar]
- Mahafza, W.S. Multiple enchondromatosis Ollier’s disease with two primary brain tumors. Saudi Med. J. 2004, 25, 1261–1263. [Google Scholar]
- Koc, F. Ollier Disease Anaplastic Mixed Oligoastrocytoma: A Rare Association with Brain Tumors. Neurosurg. Q. 2006, 16, 195–197. [Google Scholar] [CrossRef]
- Ranger, A.; Szymczak, A.; Hammond, R.R.; Zelcer, S. Pediatric thalamic glioblastoma associated with Ollier disease (multiple enchondromatosis): A rare case of concurrence. J. Neurosurg. Pediatr. 2009, 4, 363–367. [Google Scholar] [CrossRef] [PubMed]
- Walid, M.S.; Troup, E.C. Cerebellar anaplastic astrocytoma in a teenager with Ollier Disease. J. Neuro-Oncol. 2008, 89, 59–62. [Google Scholar] [CrossRef] [PubMed]
- Hori, K.; Matsumine, A.; Niimi, R.; Maeda, M.; Uchida, K.; Nakamura, T.; Sudo, A. Diffuse gliomas in an adolescent with multiple enchondromatosis (Ollier’s disease). Oncol. Lett. 2010, 1, 595–597. [Google Scholar] [CrossRef] [PubMed]
- Bathla, G.; Gupta, S.; Ong, C.K. Multifocal intracranial astrocytoma in a pediatric patient with Ollier disease. Indian J. Radiol. Imaging 2012, 22, 58–62. [Google Scholar] [CrossRef]
- Pearce, P.; Robertson, T.; Ortiz-Gomez, J.D.; Rajah, T.; Tollesson, G. Multifocal supratentorial diffuse glioma in a young patient with Ollier disease. J. Clin. Neurosci. 2012, 19, 477–478. [Google Scholar] [CrossRef]
- Bonnet, C.; Thomas, L.; Psimaras, D.; Bielle, F.; Vauléon, E.; Loiseau, H.; Cartalat-Carel, S.; Meyronet, D.; Dehais, C.; Honnorat, J.; et al. Characteristics of gliomas in patients with somatic IDH mosaicism. Acta Neuropathol. Commun. 2016, 4, 31. [Google Scholar] [CrossRef]
- Achiha, T.; Arita, H.; Kagawa, N.; Murase, T.; Ikeda, J.I.; Morii, E.; Kanemura, Y.; Fujimoto, Y.; Kishima, H. Enchondromatosis-associated oligodendroglioma: Case report and literature review. Brain Tumor Pathol. 2018, 35, 36–40. [Google Scholar] [CrossRef]
- Al Rumeh, A.S. Diffuse astrocytoma and Ollier’s Disease. J. Neurol. Res. 2020, 10, 240–244. [Google Scholar] [CrossRef]
- Karabulut, A.K.; Türk, S.; Tamsel, İ.; Kim, J.; Argın, M. Diffuse midline glioma in Ollier disease: A case report and a brief review of the literature. Radiol. Case Rep. 2021, 16, 2299–2305. [Google Scholar] [CrossRef]
- Gregory, T.A.; Taylor, L.P. Teaching NeuroImage: Histopathologically Confirmed Intracranial Enchondroma/Low-Grade Chondrosarcoma and IDH1-Mutated Diffuse Glioma in Ollier Disease. Neurology 2021, 97, e1747–e1748. [Google Scholar] [CrossRef]
- Ikeda, H.; Yamaguchi, S.; Ishi, Y.; Wakabayashi, K.; Shimizu, A.; Kanno-Okada, H.; Endo, T.; Ota, M.; Okamoto, M.; Motegi, H.; et al. Supratentorial multifocal gliomas associated with Ollier disease harboring IDH1 R132H mutation: A case report. Neuropathology 2023, 43, 413–420. [Google Scholar] [CrossRef] [PubMed]
- Goethe, E.; Carter, B.Z.; Rao, G.; Pemmaraju, N. Glioblastoma and acute myeloid leukemia: Malignancies with striking similarities. J. Neuro-Oncol. 2018, 136, 223–231. [Google Scholar] [CrossRef]
- World Health Organization. WHO Classification of Tumours of the Central Nervous System, 4th ed.; Louis, D.N., Ohgaki, H., Wiestler, O.D., Cavenee, W.K., Eds.; IARC: Lyon, France, 2016. [Google Scholar]
- Papaemmanuil, E.; Gerstung, M.; Bullinger, L.; Gaidzik, V.I.; Paschka, P.; Roberts, N.D.; Potter, N.E.; Heuser, M.; Thol, F.; Bolli, N.; et al. Genomic Classification and Prognosis in Acute Myeloid Leukemia. N. Engl. J. Med. 2016, 374, 2209–2221. [Google Scholar] [CrossRef] [PubMed]
- Amary, M.F.; Bacsi, K.; Maggiani, F.; Damato, S.; Halai, D.; Berisha, F.; Pollock, R.; O’Donnell, P.; Grigoriadis, A.; Diss, T.; et al. IDH1 and IDH2 mutations are frequent events in central chondrosarcoma and central and periosteal chondromas but not in other mesenchymal tumours. J. Pathol. 2011, 224, 334–343. [Google Scholar] [CrossRef]
- Amary, M.F.; Damato, S.; Halai, D.; Eskandarpour, M.; Berisha, F.; Bonar, F.; McCarthy, S.; Fantin, V.R.; Straley, K.S.; Lobo, S.; et al. Ollier disease and Maffucci syndrome are caused by somatic mosaic mutations of IDH1 and IDH2. Nat. Genet. 2011, 43, 1262–1265. [Google Scholar] [CrossRef] [PubMed]
- Pansuriya, T.C.; van Eijk, R.; d’Adamo, P.; van Ruler, M.A.; Kuijjer, M.L.; Oosting, J.; Cleton-Jansen, A.M.; van Oosterwijk, J.G.; Verbeke, S.L.; Meijer, D.; et al. Somatic mosaic IDH1 and IDH2 mutations are associated with enchondroma and spindle cell hemangioma in Ollier disease and Maffucci syndrome. Nat. Genet. 2011, 43, 1256–1261. [Google Scholar] [CrossRef]
- Tan, C.L.; Vellayappan, B.; Wu, B.; Yeo, T.T.; McLendon, R.E. Molecular profiling of different glioma specimens from an Ollier disease patient suggests a multifocal disease process in the setting of IDH mosaicism. Brain Tumor Pathol. 2018, 35, 202–208. [Google Scholar] [CrossRef]
- Bruce-Brand, C.; Govender, D. Gene of the month: IDH1. J. Clin. Pathol. 2020, 73, 611–615. [Google Scholar] [CrossRef]
- Dang, L.; Jin, S.; Su, S.M. IDH mutations in glioma and acute myeloid leukemia. Trends Mol. Med. 2010, 16, 387–397. [Google Scholar] [CrossRef]
- Dang, L.; Yen, K.; Attar, E.C. IDH mutations in cancer and progress toward development of targeted therapeutics. Ann. Oncol. 2016, 27, 599–608. [Google Scholar] [CrossRef]
- Kunadt, D.; Stasik, S.; Metzeler, K.H.; Röllig, C.; Schliemann, C.; Greif, P.A.; Spiekermann, K.; Rothenberg-Thurley, M.; Krug, U.; Braess, J.; et al. Impact of IDH1 and IDH2 mutational subgroups in AML patients after allogeneic stem cell transplantation. J. Hematol. Oncol. 2022, 15, 126. [Google Scholar] [CrossRef] [PubMed]
- Steinhäuser, S.; Silva, P.; Lenk, L.; Beder, T.; Hartmann, A.; Hänzelmann, S.; Fransecky, L.; Neumann, M.; Bastian, L.; Lipinski, S.; et al. Isocitrate dehydrogenase 1 mutation drives leukemogenesis by PDGFRA activation due to insulator disruption in acute myeloid leukemia (AML). Leukemia 2023, 37, 134–142. [Google Scholar] [CrossRef] [PubMed]
- Messina, M.; Piciocchi, A.; Ottone, T.; Paolini, S.; Papayannidis, C.; Lessi, F.; Fracchiolla, N.S.; Forghieri, F.; Candoni, A.; Mengarelli, A.; et al. Prevalence and Prognostic Role of IDH Mutations in Acute Myeloid Leukemia: Results of the GIMEMA AML1516 Protocol. Cancers 2022, 14, 3012. [Google Scholar] [CrossRef] [PubMed]
- Pirozzi, C.J.; Yan, H. The implications of IDH mutations for cancer development and therapy. Nat. Rev. Clin. Oncol. 2021, 18, 645–661. [Google Scholar] [CrossRef] [PubMed]
- Yan, H.; Parsons, D.W.; Jin, G.; McLendon, R.; Rasheed, B.A.; Yuan, W.; Kos, I.; Batinic-Haberle, I.; Jones, S.; Riggins, G.J.; et al. IDH1 and IDH2 mutations in gliomas. N. Engl. J. Med. 2009, 360, 765–773. [Google Scholar] [CrossRef]
- Mardis, E.R.; Ding, L.; Dooling, D.J.; Larson, D.E.; McLellan, M.D.; Chen, K.; Koboldt, D.C.; Fulton, R.S.; Delehaunty, K.D.; McGrath, S.D.; et al. Recurring mutations found by sequencing an acute myeloid leukemia genome. N. Engl. J. Med. 2009, 361, 1058–1066. [Google Scholar] [CrossRef]
- Figueroa, M.E.; Abdel-Wahab, O.; Lu, C.; Ward, P.S.; Patel, J.; Shih, A.; Li, Y.; Bhagwat, N.; Vasanthakumar, A.; Fernandez, H.F.; et al. Leukemic IDH1 and IDH2 mutations result in a hypermethylation phenotype, disrupt TET2 function, and impair hematopoietic differentiation. Cancer Cell 2010, 18, 553–567. [Google Scholar] [CrossRef]
- Paschka, P.; Schlenk, R.F.; Gaidzik, V.I.; Habdank, M.; Krönke, J.; Bullinger, L.; Späth, D.; Kayser, S.; Zucknick, M.; Götze, K.; et al. IDH1 and IDH2 mutations are frequent genetic alterations in acute myeloid leukemia and confer adverse prognosis in cytogenetically normal acute myeloid leukemia with NPM1 mutation without FLT3 internal tandem duplication. J. Clin. Oncol. 2010, 28, 3636–3643. [Google Scholar] [CrossRef]
- Damm, F.; Thol, F.; Hollink, I.; Zimmermann, M.; Reinhardt, K.; van den Heuvel-Eibrink, M.M.; Zwaan, C.M.; de Haas, V.; Creutzig, U.; Klusmann, J.H.; et al. Prevalence and prognostic value of IDH1 and IDH2 mutations in childhood AML: A study of the AML-BFM and DCOG study groups. Leukemia 2011, 25, 1704–1710. [Google Scholar] [CrossRef][Green Version]
- Chen, C.; Li, J.; Jiang, T.; Tang, J.; Zhang, Z.; Luo, Y.; Wang, X.; Sun, K.; Jiang, Z.; Zhou, J.; et al. IDH Mutations Are Potentially the Intrinsic Genetic Link among the Multiple Neoplastic Lesions in Ollier Disease and Maffucci Syndrome: A Clinicopathologic Analysis from a Single Institute in Shanghai, China. Diagnostics 2022, 12, 2764. [Google Scholar] [CrossRef]
- Okoye-Okafor, U.C.; Bartholdy, B.; Cartier, J.; Gao, E.N.; Pietrak, B.; Rendina, A.R.; Rominger, C.; Quinn, C.; Smallwood, A.; Wiggall, K.J.; et al. New IDH1 mutant inhibitors for treatment of acute myeloid leukemia. Nat. Chem. Biol. 2015, 11, 878–886. [Google Scholar] [CrossRef] [PubMed]
- Mellinghoff, I.K.; Ellingson, B.M.; Touat, M.; Maher, E.; De La Fuente, M.I.; Holdhoff, M.; Cote, G.M.; Burris, H.; Janku, F.; Young, R.J.; et al. Ivosidenib in Isocitrate Dehydrogenase 1—Mutated Advanced Glioma. J. Clin. Oncol. 2020, 38, 3398–3406. [Google Scholar] [CrossRef] [PubMed]
- Mellinghoff, I.K.; van den Bent, M.J.; Blumenthal, D.T.; Touat, M.; Peters, K.B.; Clarke, J.; Mendez, J.; Yust-Katz, S.; Welsh, L.; Mason, W.P.; et al. Vorasidenib in IDH1- or IDH2-Mutant Low-Grade Glioma. N. Engl. J. Med. 2023, 389, 589–601. [Google Scholar] [CrossRef] [PubMed]
- Mellinghoff, I.K.; Lu, M.; Wen, P.Y.; Taylor, J.W.; Maher, E.A.; Arrillaga-Romany, I.; Peters, K.B.; Ellingson, B.M.; Rosenblum, M.K.; Chun, S.; et al. Vorasidenib and ivosidenib in IDH1-mutant low-grade glioma: A randomized, perioperative phase 1 trial. Nat. Med. 2023, 29, 615–622. [Google Scholar] [CrossRef] [PubMed]
- Claus, E.B.; Walsh, K.M.; Wiencke, J.K.; Molinaro, A.M.; Wiemels, J.L.; Schildkraut, J.M.; Bondy, M.L.; Berger, M.; Jenkins, R.; Wrensch, M. Survival and low-grade glioma: The emergence of genetic information. Neurosurg. Focus 2015, 38, E6. [Google Scholar] [CrossRef]
- Jansen, E.; Hamisch, C.; Ruess, D.; Heiland, D.H.; Goldbrunner, R.; Ruge, M.I.; Schnell, O.; Grau, S.J. Observation after surgery for low grade glioma: Long-term outcome in the light of the 2016 WHO classification. J. Neuro-Oncol. 2019, 145, 501–507. [Google Scholar] [CrossRef]
- Thon, N.; Eigenbrod, S.; Kreth, S.; Lutz, J.; Tonn, J.C.; Kretzschmar, H.; Peraud, A.; Kreth, F.W. IDH1 mutations in grade II astrocytomas are associated with unfavorable progression-free survival and prolonged postrecurrence survival. Cancer 2012, 118, 452–460. [Google Scholar] [CrossRef]
- Capelle, L.; Fontaine, D.; Mandonnet, E.; Taillandier, L.; Golmard, J.L.; Bauchet, L.; Pallud, J.; Peruzzi, P.; Baron, M.H.; Kujas, M.; et al. Spontaneous and therapeutic prognostic factors in adult hemispheric World Health Organization Grade II gliomas: A series of 1097 cases: Clinical article. J. Neurosurg. 2013, 118, 1157–1168. [Google Scholar] [CrossRef]
- Tom, M.C.; Park, D.Y.J.; Yang, K.; Leyrer, C.M.; Wei, W.; Jia, X.; Varra, V.; Yu, J.S.; Chao, S.T.; Balagamwala, E.H.; et al. Malignant Transformation of Molecularly Classified Adult Low-Grade Glioma. Int. J. Radiat. Oncol. Biol. Phys. 2019, 105, 1106–1112. [Google Scholar] [CrossRef]
- Narang, A.K.; Chaichana, K.L.; Weingart, J.D.; Redmond, K.J.; Lim, M.; Olivi, A.; Quinones-Hinojosa, A.; Kleinberg, L.R. Progressive Low-Grade Glioma: Assessment of Prognostic Importance of Histologic Reassessment and MRI Findings. World Neurosurg. 2017, 99, 751–757. [Google Scholar] [CrossRef]
- Lima, G.L.d.O.; Zanello, M.; Mandonnet, E.; Taillandier, L.; Pallud, J.; Duffau, H. Incidental diffuse low-grade gliomas: From early detection to preventive neuro-oncological surgery. Neurosurg. Rev. 2016, 39, 377–384. [Google Scholar] [CrossRef] [PubMed]
- Duffau, H. Long-term outcomes after supratotal resection of diffuse low-grade gliomas: A consecutive series with 11-year follow-up. Acta Neurochir. 2016, 158, 51–58. [Google Scholar] [CrossRef] [PubMed]
- Nakasu, S.; Nakasu, Y. Malignant Progression of Diffuse Low-grade Gliomas: A Systematic Review and Meta-analysis on Incidence and Related Factors. Neurol. Med. Chir. 2022, 62, 177–185. [Google Scholar] [CrossRef] [PubMed]
- Satar, Z.; Hotton, G.; Samandouras, G. Systematic review-Time to malignant transformation in low-grade gliomas: Predicting a catastrophic event with clinical, neuroimaging, and molecular markers. Neuro-Oncol. Adv. 2021, 3, vdab101. [Google Scholar] [CrossRef] [PubMed]
- Cesselli, D.; Ius, T.; Isola, M.; Del Ben, F.; Da Col, G.; Bulfoni, M.; Turetta, M.; Pegolo, E.; Marzinotto, S.; Scott, C.A.; et al. Application of an Artificial Intelligence Algorithm to Prognostically Stratify Grade II Gliomas. Cancers 2019, 12, 50. [Google Scholar] [CrossRef]
- Chaichana, K.L.; McGirt, M.J.; Laterra, J.; Olivi, A.; Quiñones-Hinojosa, A. Recurrence and malignant degeneration after resection of adult hemispheric low-grade gliomas. J. Neurosurg. 2010, 112, 10–17. [Google Scholar] [CrossRef]
- van den Bent, M.J.; Afra, D.; de Witte, O.; Ben Hassel, M.; Schraub, S.; Hoang-Xuan, K.; Malmström, P.O.; Collette, L.; Piérart, M.; Mirimanoff, R.; et al. Long-term efficacy of early versus delayed radiotherapy for low-grade astrocytoma and oligodendroglioma in adults: The EORTC 22845 randomised trial. Lancet 2005, 366, 985–990. [Google Scholar] [CrossRef]
- Veeravagu, A.; Jiang, B.; Ludwig, C.; Chang, S.D.; Black, K.L.; Patil, C.G. Biopsy versus resection for the management of low-grade gliomas. Cochrane Database Syst. Rev. 2013, 4, CD009319, Erratum in Cochrane Database Syst. Rev. 2017, 4, CD009319. [Google Scholar] [CrossRef]



| OD + BG | ||||||||
| Becker et al. 1979 [18] | 26/NA | Oligoastrocytoma (Grade II) | NA | NA | NA | NA | NA | NA |
| Rawlings et al. 1987 [19] | 29/M | Anaplastic astrocytoma (Grade III) | NA | NA | Biopsy | Radiotherapy | NA | NA |
| Schwartz et al. 1987 [20] | 38/M | Malignant astrocytoma (Grade III) | NA | NA | NA | NA | NA | Exitus |
| Mellon et al. 1988 [21] | 34/M | Astrocytoma (Grade II) | NA | NA | Craniotomy | NA | NA | NA |
| Patt et al. 1990 [22] | 24/M | Astrocytoma (Grade II) | NA | NA | Biopsy | NA | NA | NA |
| Bendel et al. 1991 [23] | 29/F | High grade astrocytoma (Grade III) | NA | NA | NA | NA | NA | NA |
| Chang et al. 1994 [24] | 23/M | Anaplastic astrocytoma (Grade III) | NA | NA | Biopsy | WBRT | Absent (3y) | Alive (3y) |
| Chang et al. 1994 [24] | 25/M | Oligodendroglioma (NA) | NA | NA | Craniotomy (STR) | Radiotherapy | Absent (8m) | Alive (8m) |
| Chang et al. 1994 [24] | 46/M | Oligoastrocytoma (NA) | NA | NA | Biopsy | Radiotherapy | Absent (4m) | Alive (4m) |
| Hofman et al. 1998 [25] | 28/M | Astrocytoma (Grade II) | NA | NA | Biopsy | Radiotherapy | Absent (1y) | Alive (1y) |
| Balcer et al. 1999 [26] | 23/F | Astrocytoma (NA) | NA | NA | None | Radiotherapy | NA | NA |
| Frappaz et al. 1999 [27] | 16/M | Astrocytoma (NA) | NA | NA | None | Radiotherapy | Absent (7m) | Alive (7m) |
| Van Nielen et al. 1999 [28] | 28/M | Astrocytoma (Grade II) | NA | NA | Biopsy | Radiotherapy | NA | NA |
| Simsek et al. 2002 [29] | 7/F | Astrocytoma (Grade II) | NA | NA | NA | NA | NA | NA |
| Mahafza et al. 2004 [30] | 21/F | Astrocytoma (Grade II) | NA | NA | Biopsy | NA | NA | NA |
| Koc et al. 2006 [31] | 28/F | Anaplastic astrocytoma (Grade III) | NA | NA | Craniotomy | Radiotherapy at recurrence | Recurrence (6y)—Reoperation | Alive (10y) |
| Ranger et al. 2009 [32] | 6/F | Glioblastoma (Grade IV) | NA | NA | Biopsy | Radiotherapy + Chemotherapy | Progression | Exitus (11m) |
| Walid et al. 2008 [33] | 14/M | Anaplastic astrocytoma (Grade III) | NA | NA | NA | NA | NA | NA |
| Hori et al. 2010 [34] | 19/M | Anaplastic astrocytoma (Grade III) | NA | NA | Craniotomy | Radiotherapy + TMZ | Stable | Alive (NA) |
| Bathla et al. 2012 [35] | 16/M | Astrocytoma (Grade II) | IDH1 R132H | NA | Biopsy | Chemotherapy Craniotomy at progression | Progression (3y), reoperation—anaplastic astrocytoma (grade III), | Exitus (8y) |
| Pearce et al. 2012 [36] | 19/M | Oligoastrocytoma (Grade II) | No mutation | NA | Biopsy | None | Progression (9m)—Biopsy and craniotomy | NA |
| Gajavelli et al. 2016 [3] | 55/F | Anaplastic astrocytoma (Grade III) | IDH1 R132H | NA | Craniotomy (STR) | None | Stable (3y) | Alive (3y) |
| Bonnet et al. 2016 [37] | 28/F | Oligoastrocytoma (Grade II) | IDH1 R132H | NA | Biopsy | NA | NA | Alive (2.5y) |
| Bonnet et al. 2016 [37] | 26/M | NA | NA | NA | Biopsy | NA | NA | Alive (1y) |
| Bonnet et al. 2016 [37] | 20/F | Oligodendroglioma (Grade II) | IDH1 R132H | NA | Biopsy | NA | NA | Alive (4y) |
| Bonnet et al. 2016 [37] | 31/M | Glioblastoma (Grade IV) | IDH1 R132H | NA | Biopsy | NA | NA | Alive (9m) |
| Bonnet et al. 2016 [37] | 31/F | Oligoastrocytoma (Grade II) | IDH1 R132H | IDH1 R132H | Biopsy | NA | NA | Alive (1.5y) |
| Achiha et al. 2017 [38] | 32/M | Oligodendroglioma (NA) | IDH1 R132H | IDH1 R132H | NA | NA | NA | NA |
| Al Rumeh et al. 2020 [39] | 23/F | Diffuse astrocytoma (Grade II) | IDH1 R132C | NA | Craniotomy | NA | NA | NA |
| Karabulut et al. 2021 [40] | 23/F | Diffuse midline glioma (NA) | NA | NA | Observation | Radiotherapy + Chemotherapy | Stable | Alive (NA) |
| Gregory et al. 2021 [41] | 14/F | Astrocytoma (Grade II) | NA | NA | Craniotomy | NA | NA | NA |
| Corvino et al. 2022 [8] | 33/M | Diffuse astrocytoma (Grade II) | IDH1 R132H | IDH1 R132H | Biopsy | Radiotherapy + TMZ | Progression (48m) biopsy, operation + RT | Alive (6y) |
| Ikeda et al. 2023 [42] | 24/F | Astrocytoma Oligodendroglioma | IDH1 R132H | NA | Craniotomy (GTR) | Chemotherapy | NA | Alive (21m) |
| OD + AML | ||||||||
| White et al. 2008 [6] | 7/M | AML, FAB subtype M1 | NA | NA | Chemotherapy | Bone Marrow Transplant | No | Complete remission(19 m) |
| OD + BG + AML | ||||||||
| Present case | 38/M | Enchondromatosis OD | IDH1 R132H | Surgery | No | No | Stable | |
| Astrocytoma grade 4 | IDH1 R132H | Surgery | From low-grade at MRI | RT + CHT | Stable at 3 months | |||
| Acute Myeloid Leukemia | IDH1 R132H | Induction chemotherapy follower by ATS | Relapsed AML with IDH1 R132 H mutation persistence | Allogeneic hemopoietic stem cell transplantation | Complete remission with IDH1 R132 H mutation lost | |||
Disclaimer/Publisher’s Note: The statements, opinions and data contained in all publications are solely those of the individual author(s) and contributor(s) and not of MDPI and/or the editor(s). MDPI and/or the editor(s) disclaim responsibility for any injury to people or property resulting from any ideas, methods, instructions or products referred to in the content. |
© 2024 by the authors. Licensee MDPI, Basel, Switzerland. This article is an open access article distributed under the terms and conditions of the Creative Commons Attribution (CC BY) license (https://creativecommons.org/licenses/by/4.0/).
Share and Cite
Corvino, S.; Somma, T.; Certo, F.; Bonomo, G.; Grasso, E.; Esposito, F.; Berardinelli, J.; Barbagallo, G. Ollier Disease, Acute Myeloid Leukemia, and Brain Glioma: IDH as the Common Denominator. Cancers 2024, 16, 3125. https://doi.org/10.3390/cancers16183125
Corvino S, Somma T, Certo F, Bonomo G, Grasso E, Esposito F, Berardinelli J, Barbagallo G. Ollier Disease, Acute Myeloid Leukemia, and Brain Glioma: IDH as the Common Denominator. Cancers. 2024; 16(18):3125. https://doi.org/10.3390/cancers16183125
Chicago/Turabian StyleCorvino, Sergio, Teresa Somma, Francesco Certo, Giulio Bonomo, Erica Grasso, Felice Esposito, Jacopo Berardinelli, and Giuseppe Barbagallo. 2024. "Ollier Disease, Acute Myeloid Leukemia, and Brain Glioma: IDH as the Common Denominator" Cancers 16, no. 18: 3125. https://doi.org/10.3390/cancers16183125
APA StyleCorvino, S., Somma, T., Certo, F., Bonomo, G., Grasso, E., Esposito, F., Berardinelli, J., & Barbagallo, G. (2024). Ollier Disease, Acute Myeloid Leukemia, and Brain Glioma: IDH as the Common Denominator. Cancers, 16(18), 3125. https://doi.org/10.3390/cancers16183125

