Conjunctival Melanoma: A Clinical Review and Update
Abstract
Simple Summary
Abstract
1. Introduction
2. Epidemiology
3. Precursor Lesions, Aetiology and Pathogenesis of Co-M
4. Clinical Presentation and Assessment
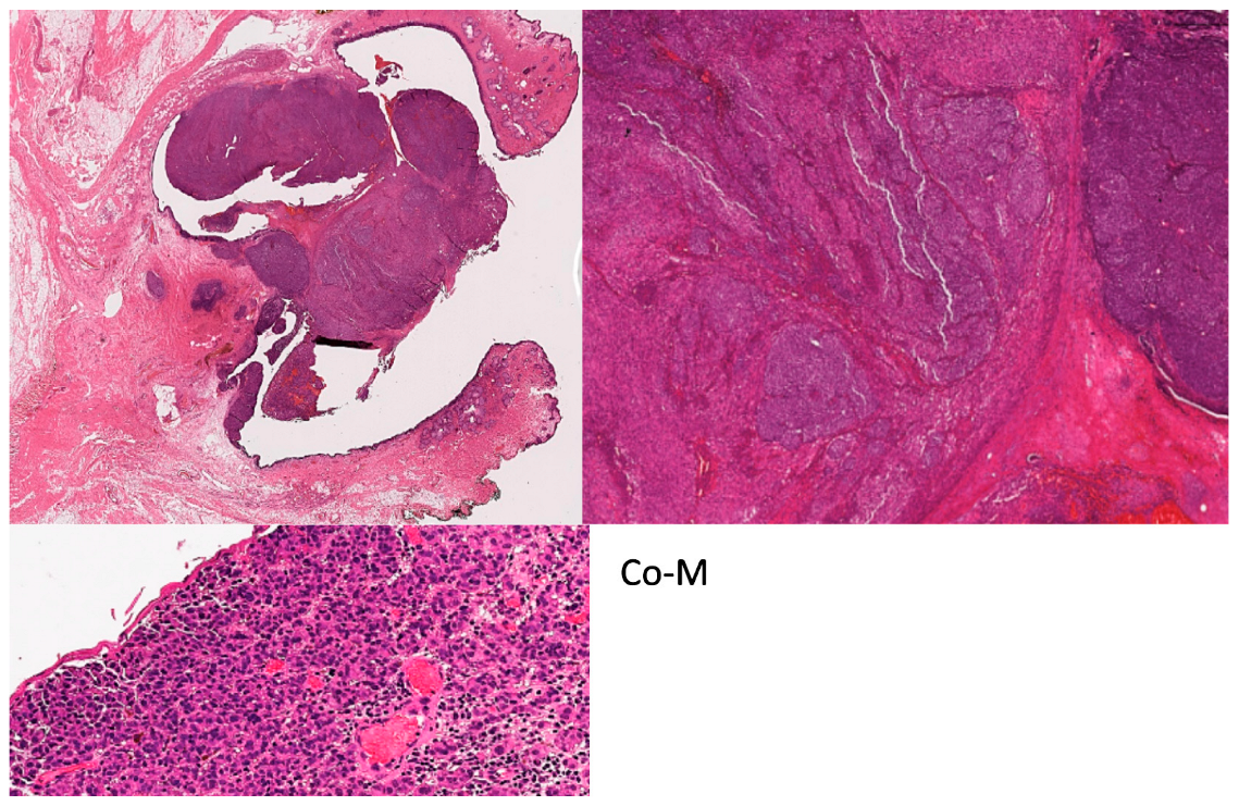
5. Histomorphological Features
6. Treatment and Prognosis
7. Future Direction and Conclusions
Author Contributions
Funding
Acknowledgments
Conflicts of Interest
References
- Triay, E.; Bergman, L.; Nilsson, B.; All-Ericsson, C.; Seregard, S. Time trends in the incidence of conjunctival melanoma in Sweden. Br. J. Ophthalmol. 2009, 93, 1524–1528. [Google Scholar] [CrossRef]
- Virgili, G.; Parravano, M.; Gatta, G.; Capocaccia, R.; Mazzini, C.; Mallone, S.; Botta, L.; Group, R.W. Incidence and Survival of Patients With Conjunctival Melanoma in Europe. JAMA Ophthalmol. 2020, 138, 601–608. [Google Scholar] [CrossRef] [PubMed]
- Larsen, A.C.; Dahmcke, C.M.; Dahl, C.; Siersma, V.D.; Toft, P.B.; Coupland, S.E.; Prause, J.U.; Guldberg, P.; Heegaard, S.A. Retrospective Review of Conjunctival Melanoma Presentation, Treatment, and Outcome and an Investigation of Features Associated With BRAF Mutations. JAMA Ophthalmol. 2015, 133, 1295–1303. [Google Scholar] [CrossRef] [PubMed]
- Shields, C.L.; Markowitz, J.S.; Belinsky, I.; Schwartzstein, H.; George, N.S.; Lally, S.E.; Mashayekhi, A.; Shields, J.A. Conjunctival melanoma: Outcomes based on tumor origin in 382 consecutive cases. Ophthalmology 2011, 118, 389–395.e2. [Google Scholar] [CrossRef]
- Spendlove, H.E.; Damato, B.E.; Humphreys, J.; Barker, K.T.; Hiscott, P.S.; Houlston, R.S. BRAF mutations are detectable in conjunctival but not uveal melanomas. Melanoma Res. 2004, 14, 449–452. [Google Scholar] [CrossRef] [PubMed]
- Kenawy, N.; Kalirai, H.; Sacco, J.J.; Lake, S.L.; Heegaard, S.; Larsen, A.C.; Finger, P.T.; Milman, T.; Chin, K.; Mosci, C.; et al. Conjunctival melanoma copy number alterations and correlation with mutation status, tumor features, and clinical outcome. Pigment. Cell Melanoma Res. 2019, 32, 564–575. [Google Scholar] [CrossRef] [PubMed]
- Lake, S.L.; Jmor, F.; Dopierala, J.; Taktak, A.F.; Coupland, S.E.; Damato, B.E. Multiplex ligation-dependent probe amplification of conjunctival melanoma reveals common BRAF V600E gene mutation and gene copy number changes. Investig. Ophthalmol. Vis. Sci. 2011, 52, 5598–5604. [Google Scholar] [CrossRef]
- Smit, K.N.; Jager, M.J.; de Klein, A.; Kiliҫ, E. Uveal melanoma: Towards a molecular understanding. Prog. Retin. Eye Res. 2020, 75, 100800. [Google Scholar] [CrossRef]
- Jager, M.J.; Shields, C.L.; Cebulla, C.M.; Abdel-Rahman, M.H.; Grossniklaus, H.E.; Stern, M.H.; Carvajal, R.D.; Belfort, R.N.; Jia, R.; Shields, J.A.; et al. Uveal melanoma. Nat. Rev. Dis. Primers 2020, 6, 24. [Google Scholar] [CrossRef]
- Rodrigues, M.; Koning, L.; Coupland, S.E.; Jochemsen, A.G.; Marais, R.; Stern, M.H.; Valente, A.; Barnhill, R.; Cassoux, N.; Evans, A.; et al. So Close, yet so Far: Discrepancies between Uveal and Other Melanomas. A Position Paper from UM Cure 2020. Cancers 2019, 11, 1032. [Google Scholar] [CrossRef] [PubMed]
- Mikkelsen, L.H.; Larsen, A.C.; von Buchwald, C.; Drzewiecki, K.T.; Prause, J.U.; Heegaard, S. Mucosal malignant melanoma—A clinical, oncological, pathological and genetic survey. APMIS 2016, 124, 475–486. [Google Scholar] [CrossRef] [PubMed]
- Cisarova, K.; Folcher, M.; El Zaoui, I.; Pescini-Gobert, R.; Peter, V.G.; Royer-Bertrand, B.; Zografos, L.; Schalenbourg, A.; Nicolas, M.; Rimoldi, D.; et al. Genomic and transcriptomic landscape of conjunctival melanoma. PLoS Genet. 2020, 16, e1009201. [Google Scholar] [CrossRef] [PubMed]
- Lally, S.E.; Milman, T.; Orloff, M.; Dalvin, L.A.; Eberhart, C.G.; Heaphy, C.M.; Rodriguez, F.J.; Lin, C.C.; Dockery, P.W.; Shields, J.A.; et al. Mutational Landscape and Outcomes of Conjunctival Melanoma in 101 Patients. Ophthalmology 2022, 129, 679–693. [Google Scholar] [CrossRef] [PubMed]
- Larsen, A.C.; Dahl, C.; Dahmcke, C.M.; Lade-Keller, J.; Siersma, V.D.; Toft, P.B.; Coupland, S.E.; Prause, J.U.; Guldberg, P.; Heegaard, S. BRAF mutations in conjunctival melanoma: Investigation of incidence, clinicopathological features, prognosis and paired premalignant lesions. Acta Ophthalmol. 2016, 94, 463–470. [Google Scholar] [CrossRef]
- Scholz, S.L.; Cosgarea, I.; Süßkind, D.; Murali, R.; Möller, I.; Reis, H.; Leonardelli, S.; Schilling, B.; Schimming, T.; Hadaschik, E.; et al. NF1 mutations in conjunctival melanoma. Br. J. Cancer 2018, 118, 1243–1247. [Google Scholar] [CrossRef] [PubMed]
- Gardrat, S.; Houy, A.; Brooks, K.; Cassoux, N.; Barnhill, R.; Dayot, S.; Bièche, I.; Raynal, V.; Baulande, S.; Marais, R.; et al. Definition of Biologically Distinct Groups of Conjunctival Melanomas According to Etiological Factors and Implications for Precision Medicine. Cancers 2021, 13, 3836. [Google Scholar] [CrossRef]
- van Poppelen, N.M.; van Ipenburg, J.A.; van den Bosch, Q.; Vaarwater, J.; Brands, T.; Eussen, B.; Magielsen, F.; Dubbink, H.J.; Paridaens, D.; Brosens, E.; et al. Molecular Genetics of Conjunctival Melanoma and Prognostic Value of TERT Promoter Mutation Analysis. Int. J. Mol. Sci. 2021, 22, 5784. [Google Scholar] [CrossRef]
- Brouwer, N.J.; Verdijk, R.M.; Heegaard, S.; Marinkovic, M.; Esmaeli, B.; Jager, M.J. Conjunctival melanoma: New insights in tumour genetics and immunology, leading to new therapeutic options. Prog. Retin. Eye Res. 2022, 86, 100971. [Google Scholar] [CrossRef]
- Krauthammer, M.; Kong, Y.; Bacchiocchi, A.; Evans, P.; Pornputtapong, N.; Wu, C.; McCusker, J.P.; Ma, S.; Cheng, E.; Straub, R.; et al. Exome sequencing identifies recurrent mutations in NF1 and RASopathy genes in sun-exposed melanomas. Nat. Genet. 2015, 47, 996–1002. [Google Scholar] [CrossRef]
- Wolf, J.; Auw-Haedrich, C.; Schlecht, A.; Boneva, S.; Mittelviefhaus, H.; Lapp, T.; Agostini, H.; Reinhard, T.; Schlunck, G.; Lange, C.A.K. Transcriptional characterization of conjunctival melanoma identifies the cellular tumor microenvironment and prognostic gene signatures. Sci. Rep. 2020, 10, 17022. [Google Scholar] [CrossRef] [PubMed]
- Mikkelsen, L.H.; Maag, E.; Andersen, M.K.; Kruhøffer, M.; Larsen, A.C.; Melchior, L.C.; Toft, P.B.; von Buchwald, C.; Wadt, K.; Heegaard, S. The molecular profile of mucosal melanoma. Melanoma Res. 2020, 30, 533–542. [Google Scholar] [CrossRef] [PubMed]
- Damato, B.; Coupland, S.E. Conjunctival melanoma and melanosis: A reappraisal of terminology, classification and staging. Clin. Exp. Ophthalmol. 2008, 36, 786–795. [Google Scholar] [CrossRef] [PubMed]
- Shields, J.A.; Shields, C.L.; Mashayekhi, A.; Marr, B.P.; Benavides, R.; Thangappan, A.; Phan, L.; Eagle, R.C. Primary acquired melanosis of the conjunctiva: Risks for progression to melanoma in 311 eyes. The 2006 Lorenz, E. Zimmerman lecture. Ophthalmology 2008, 115, 511–519.e2. [Google Scholar] [CrossRef] [PubMed]
- Miller, C.V.; Wolf, A.; Klingenstein, A.; Decker, C.; Garip, A.; Kampik, A.; Hintschich, C. Clinical outcome of advanced squamous cell carcinoma of the conjunctiva. Eye 2014, 28, 962–967. [Google Scholar] [CrossRef] [PubMed]
- Kenawy, N.; Garrick, A.; Heimann, H.; Coupland, S.E.; Damato, B.E. Conjunctival squamous cell neoplasia: The Liverpool Ocular Oncology Centre experience. Graefe’s Arch. Clin. Exp. Ophthalmol. 2015, 253, 143–150. [Google Scholar] [CrossRef] [PubMed]
- Yang, J.; Foster, C.S. Squamous cell carcinoma of the conjunctiva. Int. Ophthalmol. Clin. 1997, 37, 73–85. [Google Scholar] [CrossRef] [PubMed]
- Yousef, Y.A.; Finger, P.T. Squamous carcinoma and dysplasia of the conjunctiva and cornea: An analysis of 101 cases. Ophthalmology 2012, 119, 233–240. [Google Scholar] [CrossRef]
- Vora, G.K.; Demirci, H.; Marr, B.; Mruthyunjaya, P. Advances in the management of conjunctival melanoma. Surv. Ophthalmol. 2017, 62, 26–42. [Google Scholar] [CrossRef]
- Kaštelan, S.; Antunica, A.G.; Orešković, L.B.; Rabatić, J.S.; Kasun, B.; Bakija, I. Conjunctival Melanoma—Epidemiological Trends and Features. Pathol. Oncol. Res. 2018, 24, 787–796. [Google Scholar] [CrossRef]
- Paridaens, A.D.; Minassian, D.C.; McCartney, A.C.; Hungerford, J.L. Prognostic factors in primary malignant melanoma of the conjunctiva: A clinicopathological study of 256 cases. Br. J. Ophthalmol. 1994, 78, 252–259. [Google Scholar] [CrossRef]
- De Potter, P.; Shields, C.L.; Shields, J.A.; Menduke, H. Clinical predictive factors for development of recurrence and metastasis in conjunctival melanoma: A review of 68 cases. Br. J. Ophthalmol. 1993, 77, 624–630. [Google Scholar] [CrossRef] [PubMed]
- Brouwer, N.J.; Marinkovic, M.; van Duinen, S.G.; Bleeker, J.C.; Jager, M.J.; Luyten, G.P.M. Treatment of conjunctival melanoma in a Dutch referral centre. Br. J. Ophthalmol. 2018, 102, 1277–1282. [Google Scholar] [CrossRef]
- Esmaeli, B. Patterns of regional and distant metastasis in patients with conjunctival melanoma: Experience a cancer centre over four decades. Ophthalmology 2001, 108, 2101–2105. [Google Scholar] [CrossRef]
- Sagiv, O.; Thakar, S.D.; Kandl, T.J.; Ford, J.; Sniegowski, M.C.; Hwu, W.J.; Esmaeli, B. Immunotherapy With Programmed Cell Death 1 Inhibitors for 5 Patients With Conjunctival Melanoma. JAMA Ophthalmol. 2018, 136, 1236–1241. [Google Scholar] [CrossRef] [PubMed]
- Finger, P.T.; Pavlick, A.C. Checkpoint inhibition immunotherapy for advanced local and systemic conjunctival melanoma: A clinical case series. J. Immunother. Cancer. 2019, 7, 83. [Google Scholar] [CrossRef]
- Chang, E.; Demirci, H.; Demirci, F.Y. Genetic Aspects of Conjunctival Melanoma: A Review. Genes 2023, 14, 1668. [Google Scholar] [CrossRef] [PubMed]
- Esmaeli, B.; Sagiv, O. Targeted Biological Drugs and Immune Check Point Inhibitors for Locally Advanced or Metastatic Cancers of the Conjunctiva, Eyelid, and Orbit. Int. Ophthalmol. Clin. 2019, 59, 13–26. [Google Scholar] [CrossRef] [PubMed]
- Rossi, E.; Maiorano, B.A.; Pagliara, M.M.; Sammarco, M.G.; Dosa, T.; Martini, M.; Rindi, G.; Bria, E.; Blasi, M.A.; Tortora, G.; et al. Dabrafenib and Trametinib in BRAF Mutant Metastatic Conjunctival Melanoma. Front. Oncol. 2019, 9, 232. [Google Scholar] [CrossRef] [PubMed]
- Isager, P.; Østerlind, A.; Engholm, G.; Heegaard, S.; Lindegaard, J.; Overgaard, J.; Storm, H.H. Uveal and conjunctival malignant melanoma in Denmark, 1943–97: Incidence and validation study. Ophthalmic Epidemiol. 2005, 12, 223–232. [Google Scholar] [CrossRef]
- Tuomaala, S.; Eskelin, S.; Tarkkanen, A.; Kivelä, T. Population-based assessment of clinical characteristics predicting outcome of conjunctival melanoma in whites. Investig. Ophthalmol. Vis. Sci. 2002, 43, 3399–3408. [Google Scholar]
- Ghazawi, F.M.; Darwich, R.; Le, M.; Jfri, A.; Rahme, E.; Burnier, J.V.; Sasseville, D.; Burnier, M.N.; Litvinov, I.V. Incidence trends of conjunctival malignant melanoma in Canada. Br. J. Ophthalmol. 2020, 104, 23–25. [Google Scholar] [CrossRef]
- Hu, D.N.; Yu, G.; McCormick, S.A.; Finger, P.T. Population-based incidence of conjunctival melanoma in various races and ethnic groups and comparison with other melanomas. Am. J. Ophthalmol. 2008, 145, 418–423. [Google Scholar] [CrossRef] [PubMed]
- Shields, C.L.; Chien, J.L.; Surakiatchanukul, T.; Sioufi, K.; Lally, S.E.; Shields, J.A. Conjunctival Tumors: Review of Clinical Features, Risks, Biomarkers, and Outcomes—The 2017 J. Donald M. Gass Lecture. Asia Pac. J. Ophthalmol. 2017, 6, 109–120. [Google Scholar] [CrossRef]
- Weppelmann, T.A.; Zimmerman, K.T.; Rashidi, V. Trends in Incidence of Conjunctival Melanoma in the US. JAMA Netw. Open 2022, 5, e2237229. [Google Scholar] [CrossRef] [PubMed]
- Yu, G.P.; Hu, D.N.; McCormick, S.; Finger, P.T. Conjunctival melanoma: Is it increasing in the United States? Am. J. Ophthalmol. 2003, 135, 800–806. [Google Scholar] [CrossRef] [PubMed]
- Balzer, B.W.R.; Cherepanoff, S.; Joshua, A.M.; Giblin, M.; Conway, R.M.; Anazodo, A.C. Conjunctival Melanoma in Childhood and Adolescence: A Systematic Review. Ocul. Onco.l Pathol. 2019, 5, 387–395. [Google Scholar] [CrossRef] [PubMed]
- Missotten, G.S.; Keijser, S.; De Keizer, R.J.; De Wolff-Rouendaal, D. Conjunctival melanoma in the Netherlands: A nationwide study. Investig. Ophthalmol. Vis. Sci. 2005, 46, 75–82. [Google Scholar] [CrossRef]
- Shields, C.L.; Kaliki, S.; Al-Dahmash, S.A.; Lally, S.E.; Shields, J.A. American Joint Committee on Cancer (AJCC) clinical classification predicts conjunctival melanoma outcomes. Ophthalmic Plast. Reconstr. Surg. 2012, 28, 313–323. [Google Scholar] [CrossRef] [PubMed]
- Coupland, S.E.; Milman, T.; Verdict, R.M.; Brouwer, N.J. Conjunctival Melanocytic Intraepithelial Lesions. In WHO Classification of Tumours Editorial Board. Eye Tumours Internet; Beta Version Ahead of Print, 5th ed.; International Agency for Research on Cancer: Lyon, France, 2023; Volume 13. [Google Scholar]
- Lee, Y.J.; Lee, C.; Kim, M.K.; Khwarg, S.I.; Oh, J.Y. Conjunctival pigmented lesion: Clinicopathological analysis of 85 cases in Korean population. Sci. Rep. 2019, 9, 18204. [Google Scholar] [CrossRef]
- Demirci, H.; Demirci, F.Y.; Ciftci, S.; Elner, V.M.; Wu, Y.M.; Ning, Y.; Chinnaiyan, A.; Robinson, D.R. Integrative Exome and Transcriptome Analysis of Conjunctival Melanoma and Its Potential Application for Personalized Therapy. JAMA Ophthalmol. 2019, 137, 1444–1448. [Google Scholar] [CrossRef]
- Mundra, P.A.; Dhomen, N.; Rodrigues, M.; Mikkelsen, L.H.; Cassoux, N.; Brooks, K.; Valpione, S.; Reis-Filho, J.S.; Heegaard, S.; Stern, M.H.; et al. Ultraviolet radiation drives mutations in a subset of mucosal melanomas. Nat. Commun. 2021, 12, 259. [Google Scholar] [CrossRef] [PubMed]
- Rivolta, C.; Royer-Bertrand, B.; Rimoldi, D.; Schalenbourg, A.; Zografos, L.; Leyvraz, S.; Moulin, A. UV light signature in conjunctival melanoma; not only skin should be protected from solar radiation. J. Hum. Genet. 2016, 61, 361–362. [Google Scholar] [CrossRef]
- Goldenberg-Cohen, N.; Cohen, Y.; Rosenbaum, E.; Herscovici, Z.; Chowers, I.; Weinberger, D.; Pe’er, J.; Sidransky, D. T1799A BRAF mutations in conjunctival melanocytic lesions. Investig. Ophthalmol. Vis. Sci. 2005, 46, 3027–3030. [Google Scholar] [CrossRef]
- Cao, J.; Heijkants, R.C.; Jochemsen, A.G.; Dogrusöz, M.; de Lange, M.J.; van der Velden, P.A.; van der Burg, S.H.; Jager, M.J.; Verdijk, R.M. Targeting of the MAPK and AKT pathways in conjunctival melanoma shows potential synergy. Oncotarget 2017, 8, 58021–58036. [Google Scholar] [CrossRef] [PubMed]
- Griewank, K.G.; Westekemper, H.; Murali, R.; Mach, M.; Schilling, B.; Wiesner, T.; Schimming, T.; Livingstone, E.; Sucker, A.; Grabellus, F.; et al. Conjunctival melanomas harbor BRAF and NRAS mutations and copy number changes similar to cutaneous and mucosal melanomas. Clin. Cancer Res. 2013, 19, 3143–3152. [Google Scholar] [CrossRef] [PubMed]
- El Zaoui, I.; Bucher, M.; Rimoldi, D.; Nicolas, M.; Kaya, G.; Pescini Gobert, R.; Bedoni, N.; Schalenbourg, A.; Sakina, E.; Zografos, L.; et al. Conjunctival Melanoma Targeted Therapy: MAPK and PI3K/mTOR Pathways Inhibition. Investig. Ophthalmol. Vis. Sci. 2019, 60, 2764–2772. [Google Scholar] [CrossRef]
- Francis, J.H.; Grossniklaus, H.E.; Habib, L.A.; Marr, B.; Abramson, D.H.; Busam, K.J. BRAF, NRAS, and GNAQ Mutations in Conjunctival Melanocytic Nevi. Investig. Ophthalmol. Vis. Sci. 2018, 59, 117–121. [Google Scholar] [CrossRef]
- Gear, H.; Williams, H.; Kemp, E.G.; Roberts, F. BRAF mutations in conjunctival melanoma. Investig. Ophthalmol. Vis. Sci. 2004, 45, 2484–2488. [Google Scholar] [CrossRef]
- van Ipenburg, J.A.; Naus, N.C.; Dubbink, H.J.; van Ginderdeuren, R.; Missotten, G.S.; Paridaens, D.; Verdijk, R.M. Prognostic value of TERT promoter mutations in conjunctival melanomas in addition to clinicopathological features. Br. J. Ophthalmol. 2021, 105, 1454–1461. [Google Scholar] [CrossRef]
- Griewank, K.G.; Murali, R.; Schilling, B.; Scholz, S.; Sucker, A.; Song, M.; Süsskind, D.; Grabellus, F.; Zimmer, L.; Hillen, U.; et al. TERT promoter mutations in ocular melanoma distinguish between conjunctival and uveal tumours. Br. J. Cancer 2013, 109, 497–501. [Google Scholar] [CrossRef] [PubMed]
- Koopmans, A.E.; Ober, K.; Dubbink, H.J.; Paridaens, D.; Naus, N.C.; Belunek, S.; Krist, B.; Post, E.; Zwarthoff, E.C.; de Klein, A.; et al. Prevalence and implications of TERT promoter mutation in uveal and conjunctival melanoma and in benign and premalignant conjunctival melanocytic lesions. Investig. Ophthalmol. Vis. Sci. 2014, 55, 6024–6030. [Google Scholar] [CrossRef]
- Alessandrini, L.; Parrozzani, R.; Bertorelle, R.; Valentini, E.; Candiotto, C.; Giacomelli, L.; Midena, E.; Blandamura, S. C-Kit SCF receptor (CD117) expression and KIT gene mutation in conjunctival pigmented lesions. Acta. Ophthalmol. 2013, 91, e641–e645. [Google Scholar] [CrossRef] [PubMed]
- Beadling, C.; Jacobson-Dunlop, E.; Hodi, F.S.; Le, C.; Warrick, A.; Patterson, J.; Town, A.; Harlow, A.; Cruz, F.; Azar, S.; et al. KIT gene mutations and copy number in melanoma subtypes. Clin. Cancer Res. 2008, 14, 6821–6828. [Google Scholar] [CrossRef] [PubMed]
- Sheng, X.; Li, S.; Chi, Z.; Si, L.; Cui, C.; Mao, L.; Lian, B.; Tang, B.; Wang, X.; Yan, X.; et al. Prognostic factors for conjunctival melanoma: A study in ethnic Chinese patients. Br. J. Ophthalmol. 2015, 99, 990–996. [Google Scholar] [CrossRef]
- Lodde, G.C.; Jansen, P.; Möller, I.; Sucker, A.; Hassel, J.C.; Forschner, A.; Eckardt, J.; Meier, F.; Reinhardt, L.; Kähler, K.C.; et al. Genetic characterization of advanced conjunctival melanoma and response to systemic treatment. Eur. J. Cancer 2022, 166, 60–72. [Google Scholar] [CrossRef] [PubMed]
- Valentín-Bravo, F.J.; Pérez-Rodríguez, Á.; García-Álvarez, C.; García-Lagarto, E.; Saornil-Álvarez, M.A. BRAF and NRAS prognostic values in conjunctival melanoma: Analysis and literature review. Arq. Bras. De Oftalmol. 2023, 86, e20230071. [Google Scholar] [CrossRef] [PubMed]
- van Ipenburg, J.A.; van den Bosch, Q.C.C.; Paridaens, D.; Dubbink, H.J.; Kiliç, E.; Naus, N.; Verdijk, R.M.; Group, R.O.M.S. ATRX Loss in the Development and Prognosis of Conjunctival Melanoma. Int. J. Mol. Sci. 2023, 24, 12988. [Google Scholar] [CrossRef]
- Swaminathan, S.S.; Field, M.G.; Sant, D.; Wang, G.; Galor, A.; Dubovy, S.R.; Harbour, J.W.; Karp, C.L. Molecular Characteristics of Conjunctival Melanoma Using Whole-Exome Sequencing. JAMA Ophthalmol. 2017, 135, 1434–1437. [Google Scholar] [CrossRef]
- Brouwer, N.J.; Marinkovic, M.; Luyten, G.P.M.; Shields, C.L.; Jager, M.J. Lack of tumour pigmentation in conjunctival melanoma is associated with light iris colour and worse prognosis. Br. J. Ophthalmol. 2019, 103, 332–337. [Google Scholar] [CrossRef]
- Shields, C.L.; Shields, J.A.; Gündüz, K.; Cater, J.; Mercado, G.V.; Gross, N.; Lally, B. Conjunctival melanoma: Risk factors for recurrence, exenteration, metastasis, and death in 150 consecutive patients. Arch. Ophthalmol. 2000, 118, 1497–1507. [Google Scholar] [CrossRef] [PubMed]
- Wong, J.R.; Nanji, A.A.; Galor, A.; Karp, C.L. Management of conjunctival malignant melanoma: A review and update. Expert Rev. Ophthalmol. 2014, 9, 185–204. [Google Scholar] [CrossRef] [PubMed]
- Shields, C.L.; Sioufi, K.; Alset, A.E.; Boal, N.S.; Casey, M.G.; Knapp, A.N.; Sugarman, J.A.; Schoen, M.A.; Gordon, P.S.; Say, E.A.; et al. Clinical Features Differentiating Benign From Malignant Conjunctival Tumors in Children. JAMA Ophthalmol. 2017, 135, 215–224. [Google Scholar] [CrossRef]
- Cruz, N.F.S.D.; Cruz, S.F.S.D.; Ishigai, D.H.; Santos, K.S.; Felberg, S. Conjunctival tattoo: Report on an emerging body modification trend. Arq. Bras. Oftalmol. 2017, 80, 399–400. [Google Scholar] [CrossRef]
- Kenawy, N.; Lake, S.L.; Coupland, S.E.; Damato, B.E. Conjunctival melanoma and melanocytic intra-epithelial neoplasia. Eye 2013, 27, 142–152. [Google Scholar] [CrossRef] [PubMed]
- Shields, C.L.; Manchandia, A.; Subbiah, R.; Eagle, R.C.; Shields, J.A. Pigmented squamous cell carcinoma in situ of the conjunctiva in 5 cases. Ophthalmology 2008, 115, 1673–1678. [Google Scholar] [CrossRef]
- Vizvári, E.; Skribek, Á.; Polgár, N.; Vörös, A.; Sziklai, P.; Tóth-Molnár, E. Conjunctival melanocytic naevus: Diagnostic value of anterior segment optical coherence tomography and ultrasound biomicroscopy. PLoS ONE 2018, 13, e0192908. [Google Scholar] [CrossRef]
- Brouwer, N.J.; Marinkovic, M.; Bleeker, J.C.; Luyten, G.P.M.; Jager, M.J. Anterior Segment OCTA of Melanocytic Lesions of the Conjunctiva and Iris. Am. J. Ophthalmol. 2021, 222, 137–147. [Google Scholar] [CrossRef]
- Cinotti, E.; Singer, A.; Labeille, B.; Grivet, D.; Rubegni, P.; Douchet, C.; Cambazard, F.; Thuret, G.; Gain, P.; Perrot, J.L. Handheld In Vivo Reflectance Confocal Microscopy for the Diagnosis of Eyelid Margin and Conjunctival Tumors. JAMA Ophthalmol. 2017, 135, 845–851. [Google Scholar] [CrossRef] [PubMed]
- Ferreira, T.A.; Pinheiro, C.F.; Saraiva, P.; Jaarsma-Coes, M.G.; Van Duinen, S.G.; Genders, S.W.; Marinkovic, M.; Beenakker, J.M. MR and CT Imaging of the Normal Eyelid and its Application in Eyelid Tumors. Cancers 2020, 12, 658. [Google Scholar] [CrossRef]
- Zembowicz, A.; Mandal, R.V.; Choopong, P. Melanocytic lesions of the conjunctiva. Arch. Pathol. Lab. Med. 2010, 134, 1785–1792. [Google Scholar] [CrossRef]
- Esmaeli, B.; Roberts, D.; Ross, M.; Fellman, M.; Cruz, H.; Kim, S.K.; Prieto, V.G. Histologic features of conjunctival melanoma predictive of metastasis and death (an American Ophthalmological thesis). Trans. Am. Ophthalmol. Soc. 2012, 110, 64–73. [Google Scholar] [PubMed]
- Esmaeli, B.; Rubin, M.L.; Xu, S.; Goepfert, R.P.; Curry, J.L.; Prieto, V.G.; Ning, J.; Tetzlaff, M.T. Greater Tumor Thickness, Ulceration, and Positive Sentinel Lymph Node Are Associated With Worse Prognosis in Patients With Conjunctival Melanoma: Implications for Future AJCC Classifications. Am. J. Surg. Pathol. 2019, 43, 1701–1710. [Google Scholar] [CrossRef] [PubMed]
- Folberg, R.; McLean, I.W.; Zimmerman, L.E. Primary acquired melanosis of the conjunctiva. Hum. Pathol. 1985, 16, 129–135. [Google Scholar] [CrossRef] [PubMed]
- Milman, T.; Eiger-Moscovich, M.; Henry, R.K.; Folberg, R.; Coupland, S.E.; Grossniklaus, H.E.; Mudhar, H.S.; Eberhart, C.G.; Heegaard, S.; Auw-Hädrich, C.; et al. Validation of the Newly Proposed World Health Organization Classification System for Conjunctival Melanocytic Intraepithelial Lesions: A Comparison with the C-MIN and PAM Classification Schemes. Am. J. Ophthalmol. 2021, 223, 60–74. [Google Scholar] [CrossRef]
- Maly, A.; Epstein, D.; Meir, K.; Pe’er, J. Histological criteria for grading of atypia in melanocytic conjunctival lesions. Pathology 2008, 40, 676–681. [Google Scholar] [CrossRef]
- Sugiura, M.; Colby, K.A.; Mihm, M.C.; Zembowicz, A. Low-risk and high-risk histologic features in conjunctival primary acquired melanosis with atypia: Clinicopathologic analysis of 29 cases. Am. J. Surg. Pathol. 2007, 31, 185–192. [Google Scholar] [CrossRef]
- Mudhar, H.S.; Krishna, Y.; Cross, S.; Auw-Haedrich, C.; Barnhill, R.; Cherepanoff, S.; Eagle, R.; Farmer, J.; Folberg, R.; Grossniklaus, H.; et al. A multicenter study validates the WHO 2022 classification for conjunctival melanocytic intraepithelial lesions with clinical and prognostic relevance. Lab. Investig. 2023, 104, 100281. [Google Scholar] [CrossRef]
- Damato, B.; Coupland, S.E. Management of conjunctival melanoma. Expert Rev. Anticancer. Ther. 2009, 9, 1227–1239. [Google Scholar] [CrossRef]
- Jakobiec, F.A. Conjunctival Primary Acquired Melanosis: Is It Time for a New Terminology? Am. J. Ophthalmol. 2016, 162, 3–19.e11. [Google Scholar] [CrossRef]
- Jakobiec, F.A. Clinicopathologic characteristics of premalignant and malignant melanocytic lesions of the conjunctiva. Ophthalmology 1989, 96, 147–166. [Google Scholar] [CrossRef]
- Eberhart, C.G.; Coupland, S.E.; Folberg, R.; Margo, C.; Rao, N. Conjunctival Melanocytic Intraepithelial Neoplasia. In WHO Classification of Tumours of the Eye, 4th ed.; International Agency for Research on Cancer: Lyon, France, 2018. [Google Scholar]
- Šekoranja, D.; Hawlina, G.; Pižem, J. PRAME expression in melanocytic lesions of the conjunctiva. Histopathology 2021, 79, 989–996. [Google Scholar] [CrossRef] [PubMed]
- LeBlanc, R.E.; Miller, D.M.; Zegans, M.E. PRAME immunohistochemistry is useful in the evaluation of conjunctival melanomas, nevi, and primary acquired melanosis. J. Cutan. Pathol 2021, 48, 1442–1448. [Google Scholar] [CrossRef] [PubMed]
- Mudhar, H.S.; Salvi, S.S.; Pissaloux, D.; de La Fouchardiere, A. Single Time Frame Overview of the Genetic Changes in Conjunctival Melanoma from Intraepithelial Disease to Invasive Melanoma: A Study of 4 Exenteration Specimens Illustrating the Potential Role of Cyclin D1. Ocul. Oncol. Pathol. 2022, 8, 52–63. [Google Scholar] [CrossRef] [PubMed]
- Mudhar, H.S.; Milman, T.; Stevenson, S.; Watson, M.; Kim, J.; Magan, T.; Salvi, S.M.; Harley, U.; Lally, S.E.; Shields, C.L. PRAME expression by immunohistochemistry and reverse transcription quantitative PCR in conjunctival melanocytic lesions—A comprehensive clinicopathologic study of 202 cases and correlation of cytogenetics with PRAME expression in challenging conjunctival melanocytic lesions. Hum. Pathol. 2023, 134, 1–18. [Google Scholar] [CrossRef]
- Lassalle, S.; Nahon-Esteve, S.; Frouin, E.; Boulagnon-Rombi, C.; Josselin, N.; Cassoux, N.; Barnhill, R.; Scheller, B.; Baillif, S.; Hofman, P. PD-L1 Expression in 65 Conjunctival Melanomas and Its Association with Clinical Outcome. Int. J. Mol. Sci. 2020, 21, 9174. [Google Scholar] [CrossRef]
- Jain, P.; Finger, P.T.; Damato, B.; Coupland, S.E.; Heimann, H.; Kenawy, N.; Brouwer, N.J.; Marinkovic, M.; Van Duinen, S.G.; Caujolle, J.P.; et al. Multicenter, International Assessment of the Eighth Edition of the American Joint Committee on Cancer Cancer Staging Manual for Conjunctival Melanoma. JAMA Ophthalmol. 2019, 137, 905–911. [Google Scholar] [CrossRef]
- Jia, S.; Zhu, T.; Shi, H.; Zong, C.; Bao, Y.; Wen, X.; Ge, S.; Ruan, J.; Xu, S.; Jia, R.; et al. American Joint Committee on Cancer Tumor Staging System Predicts the Outcome and Metastasis Pattern in Conjunctival Melanoma. Ophthalmology 2022, 129, 771–780. [Google Scholar] [CrossRef]
- TNM Classification of Malignant Tumours, 8th ed.Wiley-Blackwell: Oxford, UK, 2017; p. 272.
- Cohen, V.M.; Tsimpida, M.; Hungerford, J.L.; Jan, H.; Cerio, R.; Moir, G. Prospective study of sentinel lymph node biopsy for conjunctival melanoma. Br. J. Ophthalmol. 2013, 97, 1525–1529. [Google Scholar] [CrossRef]
- Lim, M.; Tatla, T.; Hersh, D.; Hungerford, J. Patterns of regional head and neck lymph node metastasis in primary conjunctival malignant melanoma. Br. J. Ophthalmol. 2006, 90, 1468–1471. [Google Scholar] [CrossRef][Green Version]
- Anastassiou, G.; Heiligenhaus, A.; Bechrakis, N.; Bader, E.; Bornfeld, N.; Steuhl, K.P. Prognostic value of clinical and histopathological parameters in conjunctival melanomas: A retrospective study. Br. J. Ophthalmol. 2002, 86, 163–167. [Google Scholar] [CrossRef]
- Grimes, J.M.; Shah, N.V.; Samie, F.H.; Carvajal, R.D.; Marr, B.P. Conjunctival Melanoma: Current Treatments and Future Options. Am. J. Clin. Dermatol. 2020, 21, 371–381. [Google Scholar] [CrossRef] [PubMed]
- Pahlitzsch, M.; Bertelmann, E.; Mai, C. Conjunctival Melanoma and BRAF Inhibitor Therapy. J. Clin. Exp. Ophthalmol. 2014, 5. [Google Scholar] [CrossRef]
- Hong, B.Y.-B.; Ford, J.R.; Glitza, I.C.; Cabala, C.A.T.; Tetzlaff, M.; Prieto, V.G.; Parker, R.; Daniel, C.; Esmaeli, B. Immune Checkpoint Inhibitor Therapy as an Eye-Preserving Treatment for Locally Advanced Conjunctival Melanoma. Ophthalmic Plast. Reconstr. Surg. 2021, 37, e9–e13. [Google Scholar] [CrossRef] [PubMed]
- Dagi Glass, L.R.; Lawrence, D.P.; Jakobiec, F.A.; Freitag, S.K. Conjunctival Melanoma Responsive to Combined Systemic BRAF/MEK Inhibitors. Ophthalmic Plast. Reconstr. Surg. 2017, 33, e114–e116. [Google Scholar] [CrossRef] [PubMed]
- Kim, J.M.; Weiss, S.; Sinard, J.H.; Pointdujour-Lim, R. Dabrafenib and Trametinib for BRAF-Mutated Conjunctival Melanoma. Ocul. Onco.l Pathol. 2020, 6, 35–38. [Google Scholar] [CrossRef] [PubMed]
- Kini, A.; Fu, R.; Compton, C.; Miller, D.M.; Ramasubramanian, A. Pembrolizumab for Recurrent Conjunctival Melanoma. JAMA Ophthalmol. 2017, 135, 891–892. [Google Scholar] [CrossRef]
- Weber, J.L.; Smalley, K.S.; Sondak, V.K.; Gibney, G.T. Conjunctival melanomas harbor BRAF and NRAS mutations--Letter. Clin. Cancer Res. 2013, 19, 6329–6330. [Google Scholar] [CrossRef]
- Maleka, A.; Åström, G.; Byström, P.; Ullenhag, G.J. A case report of a patient with metastatic ocular melanoma who experienced a response to treatment with the BRAF inhibitor vemurafenib. BMC Cancer 2016, 16, 634. [Google Scholar] [CrossRef]
- Pinto Torres, S.; André, T.; Gouveia, E.; Costa, L.; Passos, M.J. Systemic Treatment of Metastatic Conjunctival Melanoma. Case Rep. Oncol. Med. 2017, 2017, 4623964. [Google Scholar] [CrossRef]
- Chaves, L.J.; Huth, B.; Augsburger, J.J.; Correa, Z.M. Eye-Sparing Treatment for Diffuse Invasive Conjunctival Melanoma. Ocul. Oncol. Pathol. 2018, 4, 261–266. [Google Scholar] [CrossRef]
- Kiyohara, T.; Tanimura, H.; Miyamoto, M.; Shijimaya, T.; Nagano, N.; Nakamaru, S.; Makimura, K.; Iwai, H. Two cases of BRAF-mutated, bulbar conjunctival melanoma, and review of the published literature. Clin. Exp. Dermatol. 2020, 45, 207–211. [Google Scholar] [CrossRef] [PubMed]
- Chang, M.; Lally, S.E.; Dalvin, L.A.; Orloff, M.M.; Shields, C.L. Conjunctival melanoma with orbital invasion and liver metastasis managed with systemic immune checkpoint inhibitor therapy. Indian J. Ophthalmol. 2019, 67, 2071–2073. [Google Scholar] [CrossRef] [PubMed]
- Miura, S.; Onishi, M.; Watabe, D.; Amano, H. Conjunctival malignant melanoma treated successfully with BRAF inhibitor: Encorafenib plus binimetinib. Dermatol. Online J. 2022, 28, 17. [Google Scholar] [CrossRef] [PubMed]
- Fan, K.; Waninger, J.J.; Yentz, S.; McLean, S.; Demirci, H. Neoadjuvant Immune Checkpoint Inhibition in Metastatic Conjunctival Melanoma. Ophthalmic Plast. Reconstr. Surg. 2023, 39, e152–e155. [Google Scholar] [CrossRef]



| Conjunctival Naevi (%) | PAM without Atypia (%) | PAM with Atypia (%) | Prevalence in Co-M (%) | |
|---|---|---|---|---|
| BRAF | 14/28 (50%) [54] 13–23 (56%) [58] 7/37 (19%) [55] 9/12 (75%) [14] 15/35 (43%) [57] | 0/11 (0%) [54] 0/17 (0%) [55] | 0/4 (0%) [54] 0/13 (0%) [55] 2/8 (25%) [14] | 4/15 (27%) [64] 3/21 (14%) [5] 12/22 (55%) [7] 23/78 (29%) [56] 2/5 (40%) [54] 10/39 (26%) [55] 39/111 (35%) [14] 4/53 (8%) [65] 31/101 (31%) [13] 16/47 (34%) [16] 13/28 (46%) [17] 4/14 (29%) [12] 23/78 (29%) [60] 11/31 (35%) [57] 5/22 (23%) [59] 16/63 (25%) [15] 7/15 (47%) [66] 3/12 (25%) [67] 10/38 (26%) [61] 1/8 (13%) [51] |
| NRAS | 9/23 (39%) [58] | NAD | NAD | 0/11 (0%) [64] 14/78 (18%) [56] 25/95 (26%) [13] 5/47 (11%) [16] 6/28 (21%) [17] 1/14 (7%) [12] 11/63 (17%) [15] 4/15 (27%) [66] 3/12 (25%) [67] 5/38 (13%) [61] 3/8 (38%) [51] |
| KIT | 0/5 (0%) [63] | NAD | 1/3 (33%) [63] | 1/13 (8%) [64] 0/42 (0%) [56] 0/8 (0%) [63] 6/53 (11%) [65] 2/47 (4%) [16] 2/28 (7%) [17] |
| TERT | 0/56 (0%) [62] | 0/14 (0%) [62] | 2/25 (8%) [62] | 12/38 (32%) [61] 16/39 (41%) [62] 20/47 (43%) [60] 15/24 (54%) [17] 9/14 (64%) [12] 34/78 (43%) [60] 7/15 (47%) [66] 26/58 (45%) [68] |
| NF1 | NAD | NAD | NAD | 21/63 (33%) [15] 29/74 (39%) [13] 7/14 (50%) [12] 17/47 (36%) [16] 3/15 (20%) [66] 1/5 (20%) [69] 3/8 (38%) [51] |
| ATRX | 0/16 (0%) [68] * | 0/6 (0%) [68] * | 2/5 (40%) [68] * | 17/68 (25%) [13] 5/8 (63%) [51] 8/59 (14%) [68] * 1/5 (20%) [69] |
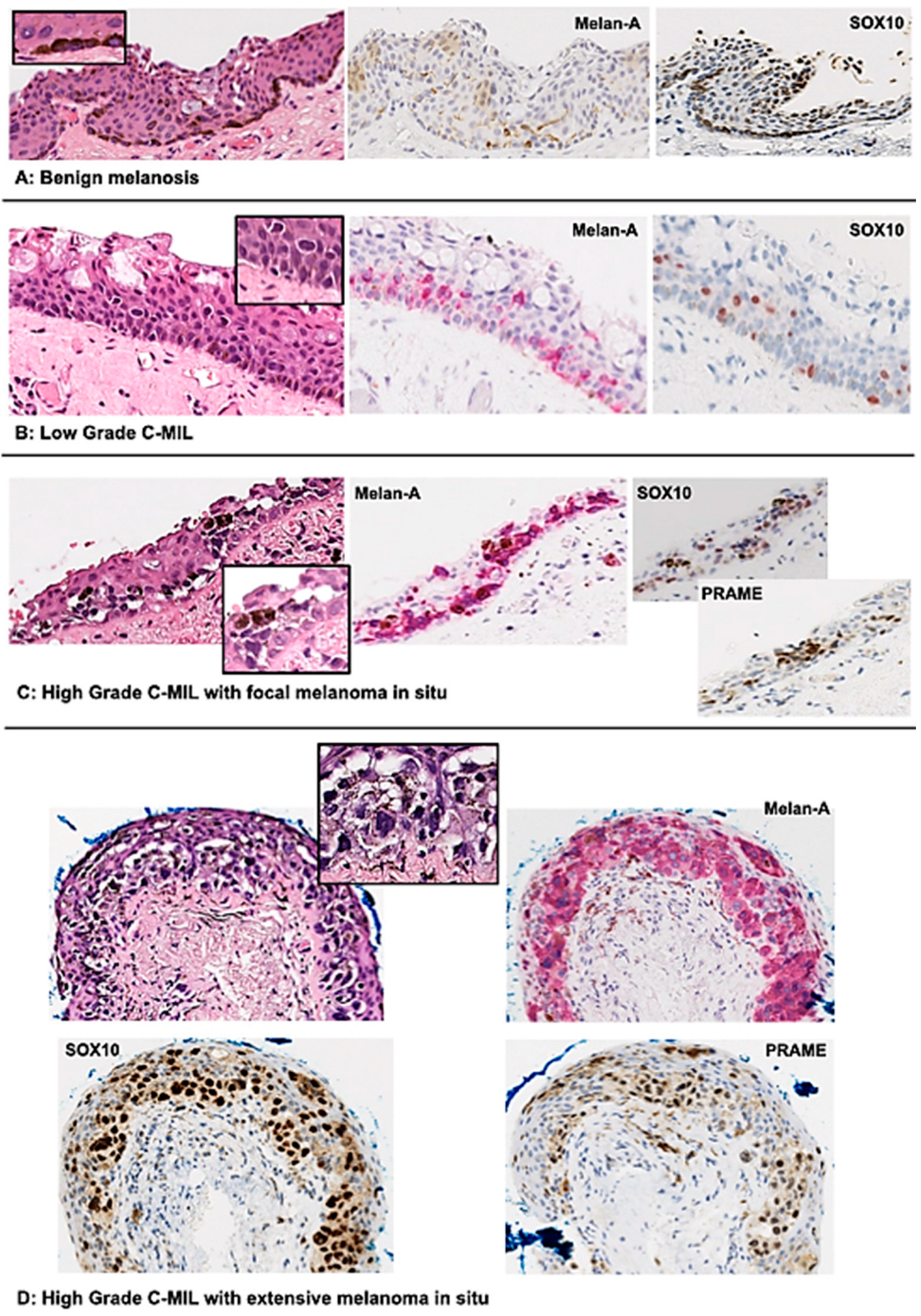
| WHO | Acceptable Alternative Terminology | Increased Cellularity | Histologic Features | Progression Risk to Invasive Melanoma |
|---|---|---|---|---|
| Not applicable | Benign melanosis C-MIN (grades 0–1) PAM without atypia | No/minimal | Conjunctival hypermelanosis (increased pigment in epithelial cells without melanocytic hyperplasia or atypia). Slight or focal melanocytic hyperplasia without atypia (parabasal melanocytes with condensed round nuclei, smaller than basal epithelial cell, inconspicuous nucleoli and inconspicuous cytoplasm) may be seen. | None |
| Low-grade C-MIL | PAM with mild atypia C-MIN (grades 2–4) | Yes | Predominantly basilar melanocytic proliferation with low-grade atypia (dendritic or small to moderate size polyhedral, usually non-epithelioid melanocytes with round to irregular nuclear contours, often nuclear hyperchromasia, inconspicuous nucleoli and inconspicuous or scant cytoplasm). | Lower |
| High-grade C-MIL | PAM with moderate to severe atypia C-MIN (grade 5–10) | Yes | More confluent basilar and significant non-basilar proliferation of melanocytes with high-grade atypia (moderate to severe), evidence of intraepithelial nested and/or pagetoid growth and epithelioid cell cytomorphology. | Higher |
| High-grade C-MIL | Melanoma in situ | Yes | The term melanoma in situ may be used for (1) the most atypical high-grade C-MILs involving close to full thickness of the epithelium or (2) histologically obvious melanomas without documented evidence of subepithelial invasion. | Highest |
| Study | Patient | Co-M | Primary Treatment | Agent(s) Used | Dosage (s) | Outcome | Adverse Reactions |
|---|---|---|---|---|---|---|---|
| Indicated for primary Co-M | |||||||
| [105] | 80y, female | BRAF mutation | Exenteration (rejected) | Vemurafenib | - | Successful tumour response Tumour decreased in size | 8 kg weight loss Nausea, vomiting, headache |
| [35] | 94y, Female | Bulbar to eyelid | None (rejected exenteration) | First—Pembrolizumab Second—Pembrolizumab and ipilimumab | Pembrolizumab, 200 mg; Ipilimumab, 1 mg/kg | Progression Died after 5 months | None reported |
| [35] | 76y, Male | Recurrence Cornea to eyelid | Local treatments and topical interferon-alpha chemotherapy | First—ipilimumab Second—Pembrolizumab Third—Pembrolizumab and IFN-alpha | Pembrolizumab, 2 mg/kg every 3 weeks | Ipilimumab—no response Pembrolizumab—minimal response, then complete with IFN-alpha | Ipilimumab—adrenal insufficiency Pembrolizumab—dermatitis |
| [35] | 84y, Female | Recurrence Cornea to eyelid | Excision Cryotherapy Topical mitomycin Eye plaque brachytherapy | First—Pembrolizumab Second—Pembrolizumab and ipilimumab Third—Pembrolizumab, ipilimumab and IFN-alpha | Pembrolizumab, 200 mg; Ipilimumab, 1 mg/kg; IFN-alpha, 3 million units per eyelid | Pembrolizumab—minimal success Pembrolizumab and ipilimumab—progression | None reported |
| [106] | 53y, Female | Bulbar to tarsal | None | Pembrolizumab | 200 mg every 3 weeks | Complete reduction of pigment and disease free 12 months of follow up | Cutaneous pruritus |
| [51] | 70s y, Female | BRAF v600e Diffuse bulbar and anterior orbit, lower eyelid margin Left eye | None | Dabrafenib and trametinib | - | Regression after 3 months then excision No local recurrence Developed metastasis 1 year later | None reported |
| [107] | 61y, female | Right upper eyelid and superior bulbar conjunctiva BRAF v600e mutation Recurrence | Excision Cryotherapy | Dabrafenib and trametinib Changed to vemurafenib after 1.5 months Changed to pembrozilumab after 3.5 months Vemurafenib restarted after 2 months in addition to cobimetinib | - | Nearly complete resolution 1-month post-treatment No evidence of distant spread of disease 23 months later | Dabrafenib and trametinib—nausea and vomiting |
| [108] | 52y, male | Right eye BRAF v600e Mutlifocal recurrence | Incisional biopsy | Dabrafenib Trametinib | Dabrafenib twice daily 150 mg Trametinib daily 2 mg | Complete resolution after 10 months Metastasis free after 15 months | Fevers Elevated liver enzymes |
| [109] | 60s, male | Multifocal recurrence, orbital and intraocular invasion | Excision Cryotherapy | Pembrolizumab | 150 mg every 3 weeks—18 cycles | Alive without disease | None reported |
| Indicated for metastatic disease | |||||||
| [110] | 45y, male | Metastatic Co-M (nodal, subcutaneous, pulmonary, osseous) BRAF mutation v600e | Resection | Vemurafenib | 960 mg twice daily | Improvement in pain and subjective tumour regression after 1 month | Disease progression 2 months into treatment. Enlarged paraspinal mass. |
| [111] | 53y, female | Metastatic Co-M (orbit, parotid gland, lung, brain) BRAF mutation v600e | Excision Cryotherapy Mitomycin eye drops Enucleation | Vemurafenib | 960 mg twice daily, then changed to 720 mg twice daily due to skin rash | Initially good response and reduction of mets; after 4 months reappearance of mets and death | Skin rash |
| [38] | 70y, male | Metastatic Co-M (parotid gland and lymph node) BRAF mutation v600e | Excisional biopsy | Dabrafenib Trametinib | Dabrafenib (150 mg twice daily) Trametinib (2 mg daily) | Reduction of lymph node metastasis activity | Fever |
| [112] | 59y, female | Metastatic Co-M (Oropharyngeal wall) BRAF mutation v600 | Excision | Vemurafenib | 960 mg twice daily, then later changed to 480 mg twice daily due to diarrhoea and skin rash | Full symptomatic recovery after 1 month Developed breast cancer | Arthralgia, diarrhoea, skin rash |
| [112] | 51y, Male | Co-M recurrence with metastasis (lymph) No BRAF mutation | Excision Lymphadenectomy | Pembrolizumab | 2 mg/kg every 3 weeks | Complete resolution of subcutaneous lesions | None noted, patient on complete remission |
| [34] | 68y, Female | Co-M recurrence Metastasis—lung BRAF v600e mutation | Resection Topical mitomycin C Exenteration, sentinel lymph node biopsy | First—Pembrolizumab Second—Ipilimumab and dacarbazine | Pembrolizumab, 2 mg/kg every 3 weeks; Ipilimumab, 3 mg/kg; Dacarbazine, 800–1000 mg/m2 | Pembrolizumab—stable at 6 months | Ipilimumab and dacarbazine—hepatotoxicity |
| [34] | 58y, Female | Co-M recurrence to orbit Metastasis—lung and liver | Multiple resections Orbital exenteration | nivolumab | 3 mg/kg every 2 weeks | Complete resolution or orbit and metastasis lesions | Elevated liver enzymes |
| [34] | 28y, Female | Co-M recurrence Metastasis—breast, lung and bone | Excision Cryotherapy Topical mitomycin C | nivolumab | 3 mg/kg every 2 weeks | Complete resolution | None reported |
| [34] | 47y, Female | Co-M recurrence Metastasis—lung | Excision Cryotherapy Radiotherapy Topical interferon Mitomycin C | nivolumab | 3 mg/kg every 2 weeks | Resolution of lung metastasis and free from disease 7 months after nivolumab | Diarrhoea |
| [34] | 74y, Male | Co-M recurrence Metastasis—lung | Multiple excision | nivolumab | 3 mg/kg every 2 weeks | Decrease in tumour size Disease free 1 month after nivolumab | Colitis |
| [113] | 72y, Male | Recurrent Co-M Metastasis—Lung and lymph | Debulking and sentinel lymph node biopsy Radioactive iodine 125 | Ipilimumab | 3 mg/kg every 3 weeks | Satisfactory response to treatment and excellent local tumour control | Mild fatigue |
| [35] | 72y, Female | Epibulbar BRAF v600k Metastasis—liver, lung, bone, skin, lymph node | Local excision and topical chemotherapy | Ipilimumab and nivolumab | Ipilimumab, 3 mg/kg; Nivolumab, 1 mg/kg | Resolution of subcutaneous nodulesReduction of systemic tumour burden | Hepatotoxicity Colitis |
| [35] | 76y, Female | NRAS mutation Metastasis—lymph, skin | Excision Cryotherapy Topical mitomycin chemotherapy | First—ipilimumab Second—ipilimumab Third—Pembrolizumab | Ipilimumab, 3 mg/kg; Pembrolizumab, 200 mg | Ipilimumab—new skin metastases and lymph metastases | None reported |
| [114] | 71y, Male | Co-M recurrence BRAF v600e Metastasis—bone and liver | Excision Cryotherapy Vemurafenib | Nivolumab Dabrafenib and trametinib | - | Died 24 months after combined therapy | Vemurafenib—keratinous nodules |
| [114] | 72y, Male | Bulbar BRAF v600e Co-M with lymph node metastasis | Excision Cryotherapy Mitomycin C eye drops | Dabrafenib and trametinib | - | No signs of recurrence after 6 months | None reported |
| [106] | 66y, Male | Fornix and orbit Metastasis—lung and liver | None | Ipilimumab and nivolumab | - | Resolution of lesion and good response to mets | Pituitary failure |
| [115] | 60y, female | Recurrent conjunctival melanoma NRAS mutation Liver metastasis | Excision at 3 and 7 months Cryotherapy | Ipilimimab and nivolumab—2 cycles Nivolumab—3 cycles Pembrolizumab—9 cycles | Ipilimimab 3 mg/kg Nivolumab, 1 mg/kg Nivolumab, 240 mg every 2 weeks 2 cycles, then 480 mg every 4 weeks Pembrol zumab, 200 mg | Remained stable after 2 years | Ipilimimab and nivolumab—hepatitis Nivolumab—infusion reaction |
| [116] | 89y, female | Recurrence BRAF v600e right conjunctiva Distant metastasis | Resection | Encorafenib Binimetinib | Encorafenib 450 mg once daily; Binimetinib 45 mg twice daily | Reduction in size of primary tumour and distant metastases after 6 months | None reported |
| [117] | 60y, female | Recurrence and metastasis to lymph and nasal cavity (BRAF negative) | Excisional biopsy Cryotherapy | Ipilimumab Nivolumab | Ipilimumab 1 mg/kg; Nivolumab 3 mg/kg | 25% reduction in size of nasal cavity mass, which persisted after 16 months No evidence of recurrence at one-year follow-up | None reported |
Disclaimer/Publisher’s Note: The statements, opinions and data contained in all publications are solely those of the individual author(s) and contributor(s) and not of MDPI and/or the editor(s). MDPI and/or the editor(s) disclaim responsibility for any injury to people or property resulting from any ideas, methods, instructions or products referred to in the content. |
© 2024 by the authors. Licensee MDPI, Basel, Switzerland. This article is an open access article distributed under the terms and conditions of the Creative Commons Attribution (CC BY) license (https://creativecommons.org/licenses/by/4.0/).
Share and Cite
Butt, K.; Hussain, R.; Coupland, S.E.; Krishna, Y. Conjunctival Melanoma: A Clinical Review and Update. Cancers 2024, 16, 3121. https://doi.org/10.3390/cancers16183121
Butt K, Hussain R, Coupland SE, Krishna Y. Conjunctival Melanoma: A Clinical Review and Update. Cancers. 2024; 16(18):3121. https://doi.org/10.3390/cancers16183121
Chicago/Turabian StyleButt, Karam, Rumana Hussain, Sarah E. Coupland, and Yamini Krishna. 2024. "Conjunctival Melanoma: A Clinical Review and Update" Cancers 16, no. 18: 3121. https://doi.org/10.3390/cancers16183121
APA StyleButt, K., Hussain, R., Coupland, S. E., & Krishna, Y. (2024). Conjunctival Melanoma: A Clinical Review and Update. Cancers, 16(18), 3121. https://doi.org/10.3390/cancers16183121

