You are currently viewing a new version of our website. To view the old version click .
Cancers
  • Review
  • Open Access

10 September 2024

Conjunctival Melanoma: A Clinical Review and Update

,
,
and
1
National Specialist Ophthalmic Pathology Service, Liverpool Clinical Laboratories, Liverpool University Hospitals NHS Foundation Trust, Liverpool L7 8YE, UK
2
St Paul’s Eye Unit, Liverpool University Hospitals NHS Foundation Trust, Liverpool L7 8YE, UK
3
Department of Eye and Vision Science, Institute of Life Course and Medical Science, University of Liverpool, Liverpool L7 8TX, UK
*
Author to whom correspondence should be addressed.
This article belongs to the Special Issue Current Progress and Research Trends in Ocular Oncology

Simple Summary

Conjunctival melanoma (Co-M) is a rare and aggressive eye surface cancer. It is often misdiagnosed or overlooked, leading to late diagnosis. Co-M can cause sight loss and even eye loss, impacting quality-of-life. The numbers of new cases globally are rising at alarming rates. There is no standard treatment for Co-M and management varies between eye cancer centres. In ~25% of cases the cancer spreads elsewhere in the body, which can lead to death. The aim of this review is to concisely present what is currently known about Co-M presentation, its development and progression, clinical management and outcomes, and finally summarise future directions for research into novel therapies.

Abstract

Conjunctival melanoma (Co-M) is an aggressive, invasive eye and eyelid cancer. Its global incidence of ~1 in a million is increasing at a rate ratio of ~1.4, but this rises sharply in over 65-year-olds. Although rare, Co-M has a devastating impact on the lives of those who develop it. Co-M is often misdiagnosed or overlooked, leading to vision loss either from the destructive effects of the tumour or side effects of therapy, facial disfigurement from radical surgery, and death from metastases. Due to its rarity, there is limited evidence for diagnosis and management; hence, there is no standardised treatment and not all cases are referred to a specialised ocular oncology centre. Recent progress in cancer immunology and genetics have revolutionised the treatment of cutaneous melanomas, which share some similarities to Co-M. Importantly, a better understanding of Co-M and its precursor lesions is urgently needed to lead to the development of novel targeted and immunotherapies both for local tumour control and disseminated disease. This review aims to provide a comprehensive clinical overview of the current knowledge regarding Co-M, its epidemiology, pathogenesis, presentation, diagnosis and recent changes in the classification of its precursor lesions, management, and recent advances in novel biological therapies for personalised treatment of this disease.

1. Introduction

Conjunctival melanoma (Co-M) is a rare, aggressive invasive ocular surface cancer, which is often misdiagnosed or overlooked and causes significant visual disabilities, poor quality of life and even death from metastases. They occur most commonly in fair-skinned populations, with the overall incidence being approximately 0.46 cases per 1,000,000 persons per year [1,2], representing around 0.25% of melanomas at all sites and 5% of all ocular melanomas. It is the second most prevalent malignancy of the conjunctiva after squamous cell carcinoma [3] originating from the basal melanocytes in the conjunctival epithelium. The majority (~70%) of Co-M cases develop from conjunctival melanocytic intraepithelial lesions (C-MIN/PAM with atypia), while others arise from pre-existing naevi or are de novo [3,4].
Previous studies have often grouped Co-M with uveal melanoma as an ocular melanoma: the latter is the most common primary intraocular malignancy in adults, arising in the choroid, ciliary body or iris; however, uveal melanoma is embryologically, biologically and clinically very different to Co-M [5,6,7,8,9]. Unlike uveal melanoma, Co-M is a mucosal melanoma with histological and functional similarities to cutaneous melanoma [10,11] and similar genetic alterations. These include UV-related driver mutations in the BRAF, NF1 and RAS genes and copy number variations [6,12,13,14,15,16,17,18,19]. BRAF and NRAS mutations are present in ~30% and ~14–25% of Co-M, respectively, with the NRAS mutant Co-M being associated with higher metastatic risk [13,16]. Transcriptomic studies of Co-M that have focussed on the immune tumour microenvironment have also demonstrated high PDL1-expression and a transcriptomic subtype enriched with immune-system-related genes (immune cell-types) [12,20,21].
Clinically, Co-M most often presents in the bulbar conjunctiva, near the limbus, but can affect any part of the conjunctiva and even invade the neighbouring structures in advanced cases [4,22]. Lesions vary from amelanotic to brown pigmented or even black in colour. There is no standardised treatment; however, management includes surgical excision +/− adjuvant cryotherapy, topical chemotherapy, brachytherapy, proton beam radiotherapy or photon external beam radiation and, in advanced cases with local tissue invasion, radical orbital exenteration [18,22,23,24,25,26,27]. Postoperative complications and tumour recurrence rates are high (33–45%), warranting life-long follow-up [4,28,29,30,31]. Metastases to the lymph nodes are common (~25%) but may also involve the liver, lungs and brain, with ~27% 5-year disease-specific mortality rates [32,33].
Despite recent successes with targeted and immunotherapies in cutaneous melanoma, data on Co-M treated with similar therapies (anti-BRAF/anti-MEK/anti-PDL1) are promising but limited, often stemming from a single patient or small case series with inoperable or advanced disease prior to surgery [34,35,36,37,38].
This review article aims to summarise the current understanding of Co-M and explore new advancements in the knowledge of Co-M pathophysiology, classification, prognostication and its treatment developments.

2. Epidemiology

The incidence of Co-M has increased over the last 5 decades [14,39] and ranges from 0.3 to 0.8 per million per year, being highest in Northern Europe and North America. The estimated number of new cases per year is 130 in the USA and 320 in Europe [18]. Populations of Asian or African descent are less commonly affected [2,40,41,42,43]. A study in the US found that fair-skinned people had the highest incidence rate of Co-M, comprising 91.2% of cases compared to 2.4% in patients of Afro-Caribbean descent [44]. However, with majority of data coming from predominantly North America or Europe, there is very limited data on other ethnic groups. Co-M mainly affects patients in their fifth or sixth decades and above; it is rare in children and there is no gender predilection [14,39,40,45,46]. The disease-specific survival rate for Co-M is approximately 82.9% at 5 years and 69.3% at 10 years [30,40].

3. Precursor Lesions, Aetiology and Pathogenesis of Co-M

Approximately 70% of Co-Ms arise from conjunctival melanocytic intraepithelial lesions (C-MIL), also known as conjunctival melanocytic intraepithelial neoplasia (C-MIN) or primary acquired melanosis (PAM) with atypia, whilst a smaller proportion develop from pre-existing naevi or are de novo [3,4,47,48]. C-MIL, a precursor or preinvasive disease to Co-M, encompass a spectrum of morphological changes ranging from melanocytic hyperplasia through degrees of melanocytic atypia to melanoma in situ [49]. C-MIL shares the same demographics but may occasionally occur in teenagers and young adults. In a North American analysis of 311 eyes with C-MIL, 96% of the cases were in White individuals and 4% were in Blacks, Hispanics, or Asians, with a patient age range of 15–90 years (mean: 56 years) [23,50].
Both C-MIL and Co-M most frequently develop in the interpalpebral zone, suggesting an association with ultraviolet (UV) radiation [45], with a number of studies revealing UV signatures (C > T transitions) [12,51,52,53]. However, both can also develop in non-sun-exposed sites, but the mechanisms for this are unknown [18].
Driver mutations and copy number variations in multiple chromosomes have been described in Co-M, with high-frequency mutations in the NF1 (33–50%), BRAF (29–46%), NRAS (11–26%) and ATRX (25%) genes [6,7,12,13,14,15,16,17,54,55,56,57,58,59]. The latter often occurs together with an NF1 mutation [13]. NRAS mutations are associated with higher metastatic risk [13,17]. TERT promoter mutations have also been identified in up to 54% of Co-Ms [13,17,60,61] and even in PAM with atypia (~8%) [62]. While activating TERT promoter mutations are associated with a poor prognosis, mutually exclusive inactivating ATRX mutations appear to be associated with a better prognosis [13,17,36,60]. Cisarova et al. demonstrated that the TGCA-proposed genomic classification of cutaneous melanoma (defined by the most frequently mutated genes: BRAF, NF1, RAS and triple wild-type) was also applicable to Co-M [12]. A summary of the common gene mutations is presented in Table 1. Other rarer mutations have been reported in the genes, such as CTNNB1, ACSS3, RET, TP53, CKIT, TET2, CDKN2A, MAPK2, RAC1, MET, SF3B1, GNAQ and GNA11 [12,13,16,63,64,65]. Transcriptomic studies in Co-M focusing on the immune tumour microenvironment have demonstrated high PDL1-expression, and a transcriptomic subtype enriched with immune-system-related genes (immune cell-types) [12,20,21]
Table 1. Common genetic mutations in the conjunctival naevi, primary acquired melanosis (PAM) without atypia, PAM with atypia, and conjunctival melanoma (Co-M). The number of cases and their respective percentages are presented. NAD = No available data.

4. Clinical Presentation and Assessment

Co-M is often unilateral and can affect any part of the conjunctiva, but commonly presents on the bulbar surface, near the limbus (Figure 1). Invasion of the cornea, eyelid, sclera or orbit may occur in advanced tumours [4]. The lesions vary in size, shape and colour. Nodular masses may be well circumscribed, while flat lesions may have irregular, ill-defined margins, especially where there is adjacent C-MIL. Their colour may range from amelanotic (pinkish) to various shades of brown or even black and be patchy or mixed within the one lesion [70]. Patients may present on noticing a mass with/without pigmentation on their eye but can also have significant visual morbidities, such as irritation/burning with redness and reflex tearing, dry eye, pain, vision disturbance, double vision or vision loss [4,71,72].
Figure 1. Anterior segment photographs of low- and high-grade C-MIL (preinvasive disease) and Co-M (invasive disease). The actual grading was confirmed on histomorphological assessment.
The differential diagnoses of Co-M include benign conjunctival nevi, extraocular extension of uveal melanoma or melanocytoma (black lesions), pigmented conjunctival squamous cell carcinoma or, very rarely, metastasis of cutaneous melanoma. In amelanotic lesions, the differentials also include conjunctival squamous intraepithelial neoplasia, squamous cell carcinoma or lymphoma [72]. Lack of cysts (often observed in conjunctival nevi), tumour haemorrhage, large/deep tumours, tortuous feeder vessels, adherence to underlying and invasion into surrounding structures, and multifocal lesions favour melanoma over conjunctival nevus [73]. Histological assessment in a specialist centre regularly reporting ophthalmic specimens is essential for accurate diagnosis and grading.
C-MIL are unilateral but most often multifocal, can involve any part of the conjunctiva (bulbar, limbal, forniceal and palpebral, in order of decreasing frequency) (Figure 1) and may extend to the caruncle, plica and cornea. They appear as mobile, flat, irregular brown-pigmented conjunctival discolorations that may change over time [14,22,23,39,40,50]. Rarely, C-MIL can be amelanotic, making it diagnostically challenging [22,23]. Differential diagnoses of C-MIL include benign epithelial melanosis, oculodermal melanocytosis, conjunctival nevi, Co-M, pigmented conjunctival squamous intraepithelial neoplasia [74], Addison’s disease [75], post-inflammatory hyperpigmentation and conjunctival tattooing [76].
Imaging of all conjunctival melanocytic lesions involves regular anterior segment photo-documentation (including with eversion of eyelids), slit lamp biomicroscopy and possibly ultrasound (to estimate tumour thickness or look for orbital involvement). There are recent developments in anterior segment optical coherence tomography [77,78] and in vivo reflectance confocal microscopy [79]. Where Co-M has locally extended into the eyelid, and particularly if there is any suspicion of orbital or nasolacrimal invasion, MRI has a critical role in the assessment; diffusion and perfusion-weighted imaging can help in differentiating Co-M from other eyelid masses [80].

5. Histomorphological Features

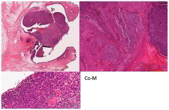
Co-M shares similar histomorphological features to those of cutaneous or other mucosal invasive melanomas [81]. The intraepithelial (radial) component can be nested, pagetoid, lentiginous or, rarely, absent. It can also extend beyond the invasive component and involve adjacent structures. The invasive stromal (vertical) component can comprise nests or sheets of atypical melanocytes with cytomorphology ranging from small naevoid-type cells to highly atypical pleomorphic melanocytes with spindle or epithelioid types. Nuclei can be hyperchromatic with inconspicuous nucleoli or vesicular with prominent eosinophilic nucleoli (Figure 2). Ulceration, mitotic activity, angiotropism, satellites in transit metastases and neurotropism may be seen. A pre-existing nevus also may be present. Melanophages and variable lymphocytic infiltrate are also often observed. Increased mitoses (>5.5 mitoses/mm2) have been associated with nodal metastasis; ulceration and a greater tumour thickness have been associated with increased mortality, similar to skin melanoma [82,83].
Figure 2. Co-M histological micrographs. Haematoxylin and eosin staining photomicrographs showing an orbital exenteration specimen with Co-M at low magnification (top left), medium (top right) and higher magnification (bottom left).
The key histomorphological features in C-MIL are the increased cellularity/hyperplasia of the intraepithelial conjunctival melanocytes with increasing cytological atypia, but the basement membrane remains intact [81,84,85]. The spectrum of cytological features ranges from small melanocytes with nuclear hyperchromasia and scant cytoplasm to severely atypical large pleomorphic epithelioid cells with ample cytoplasm and prominent eosinophilic nucleoli. The range of atypical architectural patterns include linear hyperplasia of the basal melanocytes to a confluent lentiginous spread, intraepithelial nests, pagetoid growth and full-thickness epithelial involvement by atypical melanocytes, i.e., melanoma in situ. Nests, pagetoid spread and confluent growth extend upward from the basal epithelium, displacing squamous and/or goblet cells; however, there should be no evidence of invasive growth [49,81,84,85]. Epithelioid cell morphology with cytological atypia, nesting and pagetoid spread are associated with an increased risk of recurrence and progression to Co-M [23,81,84,86,87].
Terminologies more commonly used to classify these lesions include PAM with atypia and C-MIN and the most recently validated C-MIL [85,88]. Various grading or scoring systems have been used for C-MIL [22,75,84,85,87,89,90,91]. The grading of the cytological atypia in PAM (mild, moderate or severe), which was similar to those used in the skin and other mucosal sites [84,86], suffered from poor reproducibility between pathologists. The C-MIN scoring system was based on architectural features (i.e., horizontal and vertical spread) and cytological atypia but could be time consuming and complex [89].
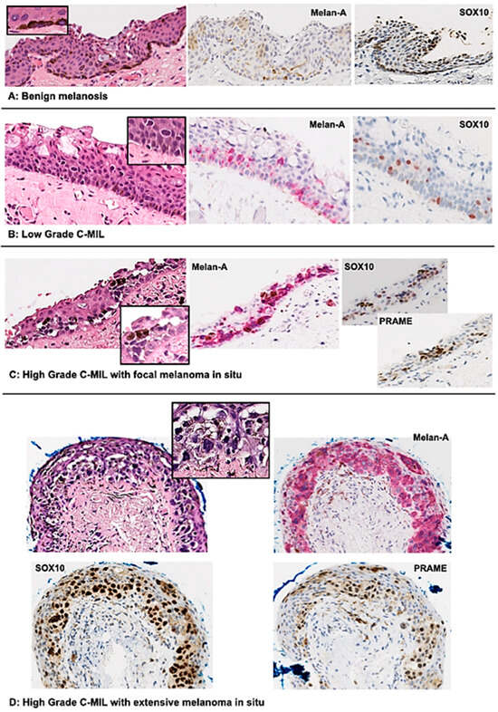
In 2018, the fourth ‘WHO Classification of Eye Tumours’ proposed the C-MIL classification, simplifying the grading of these lesions and capturing their risk of disease progression to invasive melanoma [92]. This comprised: (1) low-grade C-MIL (corresponding to PAM with or without mild atypia or C-MIN scores 1–2; (2) high-grade C-MIL (PAM with moderate to severe atypia or C-MIN 3–5); and (3) conjunctival melanoma in situ (PAM with severe atypia involving > 75% of the epithelium or a C-MIN score > 5). The system was validated in 2021 and it was found that all three classification systems (C-MIL, C-MIN and PAM) had comparable accuracy in their ability to identify lesions with potential for recurrence [85]. In 2022, the editorial panel of the fifth edition decided to revise the classification scheme because the low-grade C-MIL in the fourth edition incorporated both non-neoplastic and neoplastic melanocytic proliferations. This led to the current system as summarised in Table 2 [49]. This was validated by a large international collaborative study and found to have substantial interobserver agreement, good reproducibility, be predictive of recurrence and invasive disease and, importantly, inform clinical treatment thresholds [88]. Photomicrographs demonstrating the C-MIL scoring grades are presented in Figure 3 [88].
Table 2. The 2022 WHO classification of conjunctival melanocytic intraepithelial lesions (C-MIL) [49].
Figure 3. Photomicrographs representing the C-MIL grading system. Haematoxylin and eosin section with corresponding immunohistochemistry for each of the C-MIL scoring grades [88].
All conjunctival melanocytic lesions immunohistochemically show MelanA (MART1), S100, SOX10, HMB45 (the latter should only be present in superficial areas of naevi) and MITF (Melanocyte Inducing Transcription Factor). Nuclear expression of PRAME (Preferentially expressed Antigen in Melanoma), cyclin D1 positivity and loss of p16 on immunohistochemistry can also be helpful in distinguishing Co-M from naevi or low-grade C-MIL (both PRAME and cyclin D1 negative, p16 positive) [57,88,93,94,95,96]. PD-L1 may be expressed [97].
Melanoma in situ and Co-M are staged by the AJCC/UICC TNM eighth edition system, which has been validated for the development of metastasis and survival [98,99,100].

6. Treatment and Prognosis

Approximately 70% of all Co-M arises from high-grade C-MIL [75]; hence, there is an absolute clinical need to know when to treat patients [22,23,88]. There is no standard-of-care treatment for C-MIL or Co-M; consequently, management varies considerably between ophthalmic and specialised ocular oncology centres. This includes: surgical excision (wide local) +/− amniotic membrane allograft and +/− adjuvant cryotherapy, topical chemotherapy (mitomycin C, 5-fluorouracil or interferon alpha-2b), radiotherapy (brachytherapy, proton beam or photon external beam) or radical orbital exenteration for advanced cases with local tissue invasion [4,22,23,32,72].
The reported usefulness of sentinel lymph node biopsy (SLNB) is variable (in terms of clinical management and sensitivity of pickup) but has been shown to be effective for Co-Ms > 2 mm thickness and/or >10 mm in diameter [101].
The postoperative complication rate (vision loss, scarring, limbal stem cell failure, ulceration/non-healing defects, etc.) and risk of tumour recurrence are very high (33–61%), warranting close life-long follow-up [4,28,29,30,31,72]. Lymph node metastases are common (~25–52%; preauricular, parotid, submandibular and/or cervical nodes, depending on Co-M location) but metastasis may also involve the liver, lungs and brain (11–42%). Indicators/risk factors of poor prognosis for nodal and systemic metastases include a non-epibulbar locations, ulceration and increased tumour thickness [32,33,47,48,82,83]. The 5-year and 10-year disease-specific mortality rates are ~14–27% and 25–35%, respectively [4,30,32,33,47,48,72,102]. Similarly to the risk of metastases, tumour-related death has been associated with a de novo origin, non-bulbar conjunctival location, nodular growth, multifocal lesions and sentinel lymph node positivity [4,30,43,83,103].
The use of genetics for prognostication in Co-M is currently limited. However, as mentioned above, Co-M has genetic alterations similar to those of cutaneous melanoma, and advances in characterising Co-M genetics are offering insight into potential targeted therapies that are already in use for the treatment of cutaneous melanoma. Data on Co-M (anti-BRAF; anti-MEK; anti-PD-L1) with targeted/immunotherapies have shown promising results but are limited, with only those from small case series or single case studies in patients with inoperable disease or as first-line therapy prior surgery in advanced cases [18,34,35,38,104]. A summary of the targeted, immune checkpoint inhibitor and combination therapies is presented in Table 3 [34,35,38,51,105,106,107,108,109,110,111,112,113,114,115,116,117]. A Phase 2 clinical trial using a combination of axitinib and nivolumab in untreated advanced or metastatic mucosal melanoma (head and neck and conjunctival; NCT05384496) is underway.
Table 3. Reported cases of targeted, immune checkpoint inhibitor and combination therapies used in primary and metastatic Co-M.

7. Future Direction and Conclusions

Co-M is a rare, aggressive, invasive eye and eyelid cancer with increasing global incidence. Given the rarity of Co-M, international collaboration is pivotal to obtain sufficient numbers in order to progress translational research and enlist Co-M patients into clinical trials. The recent developments in cancer genetics and immunology present exciting new frontiers for better understanding Co-M pathogenesis and, importantly, provide new targets for therapy. Insight into the molecular drivers for Co-M development and its integration with clinical and histomorphological evaluation will allow earlier diagnosis, improve risk stratification and prognostication, and identify patients for specific therapies (i.e., ‘personalised/precision medicine’). This will further enable the development of clear management guidelines and enrolment into targeted therapies earlier than current practice, facilitating improved outcomes in this rare disease.

Author Contributions

Conceptualization, Y.K.; writing—original draft preparation, K.B. and Y.K.; writing—review and editing, K.B., Y.K., R.H. and S.E.C.; supervision, Y.K. All authors have read and agreed to the published version of the manuscript.

Funding

This research received no external funding.

Acknowledgments

All authors are very grateful and extend their thanks to Heinrich Heimann, who is a Co-Lead at the Liverpool Ocular Oncology Centre, where these rare ocular tumours are managed. Heimann has been caring for these patients for the last 15 years and is actively involved in many clinical trials for various ocular tumours.

Conflicts of Interest

The authors declare no conflicts of interest.

References

  1. Triay, E.; Bergman, L.; Nilsson, B.; All-Ericsson, C.; Seregard, S. Time trends in the incidence of conjunctival melanoma in Sweden. Br. J. Ophthalmol. 2009, 93, 1524–1528. [Google Scholar] [CrossRef]
  2. Virgili, G.; Parravano, M.; Gatta, G.; Capocaccia, R.; Mazzini, C.; Mallone, S.; Botta, L.; Group, R.W. Incidence and Survival of Patients With Conjunctival Melanoma in Europe. JAMA Ophthalmol. 2020, 138, 601–608. [Google Scholar] [CrossRef] [PubMed]
  3. Larsen, A.C.; Dahmcke, C.M.; Dahl, C.; Siersma, V.D.; Toft, P.B.; Coupland, S.E.; Prause, J.U.; Guldberg, P.; Heegaard, S.A. Retrospective Review of Conjunctival Melanoma Presentation, Treatment, and Outcome and an Investigation of Features Associated With BRAF Mutations. JAMA Ophthalmol. 2015, 133, 1295–1303. [Google Scholar] [CrossRef] [PubMed]
  4. Shields, C.L.; Markowitz, J.S.; Belinsky, I.; Schwartzstein, H.; George, N.S.; Lally, S.E.; Mashayekhi, A.; Shields, J.A. Conjunctival melanoma: Outcomes based on tumor origin in 382 consecutive cases. Ophthalmology 2011, 118, 389–395.e2. [Google Scholar] [CrossRef]
  5. Spendlove, H.E.; Damato, B.E.; Humphreys, J.; Barker, K.T.; Hiscott, P.S.; Houlston, R.S. BRAF mutations are detectable in conjunctival but not uveal melanomas. Melanoma Res. 2004, 14, 449–452. [Google Scholar] [CrossRef] [PubMed]
  6. Kenawy, N.; Kalirai, H.; Sacco, J.J.; Lake, S.L.; Heegaard, S.; Larsen, A.C.; Finger, P.T.; Milman, T.; Chin, K.; Mosci, C.; et al. Conjunctival melanoma copy number alterations and correlation with mutation status, tumor features, and clinical outcome. Pigment. Cell Melanoma Res. 2019, 32, 564–575. [Google Scholar] [CrossRef] [PubMed]
  7. Lake, S.L.; Jmor, F.; Dopierala, J.; Taktak, A.F.; Coupland, S.E.; Damato, B.E. Multiplex ligation-dependent probe amplification of conjunctival melanoma reveals common BRAF V600E gene mutation and gene copy number changes. Investig. Ophthalmol. Vis. Sci. 2011, 52, 5598–5604. [Google Scholar] [CrossRef]
  8. Smit, K.N.; Jager, M.J.; de Klein, A.; Kiliҫ, E. Uveal melanoma: Towards a molecular understanding. Prog. Retin. Eye Res. 2020, 75, 100800. [Google Scholar] [CrossRef]
  9. Jager, M.J.; Shields, C.L.; Cebulla, C.M.; Abdel-Rahman, M.H.; Grossniklaus, H.E.; Stern, M.H.; Carvajal, R.D.; Belfort, R.N.; Jia, R.; Shields, J.A.; et al. Uveal melanoma. Nat. Rev. Dis. Primers 2020, 6, 24. [Google Scholar] [CrossRef]
  10. Rodrigues, M.; Koning, L.; Coupland, S.E.; Jochemsen, A.G.; Marais, R.; Stern, M.H.; Valente, A.; Barnhill, R.; Cassoux, N.; Evans, A.; et al. So Close, yet so Far: Discrepancies between Uveal and Other Melanomas. A Position Paper from UM Cure 2020. Cancers 2019, 11, 1032. [Google Scholar] [CrossRef] [PubMed]
  11. Mikkelsen, L.H.; Larsen, A.C.; von Buchwald, C.; Drzewiecki, K.T.; Prause, J.U.; Heegaard, S. Mucosal malignant melanoma—A clinical, oncological, pathological and genetic survey. APMIS 2016, 124, 475–486. [Google Scholar] [CrossRef] [PubMed]
  12. Cisarova, K.; Folcher, M.; El Zaoui, I.; Pescini-Gobert, R.; Peter, V.G.; Royer-Bertrand, B.; Zografos, L.; Schalenbourg, A.; Nicolas, M.; Rimoldi, D.; et al. Genomic and transcriptomic landscape of conjunctival melanoma. PLoS Genet. 2020, 16, e1009201. [Google Scholar] [CrossRef] [PubMed]
  13. Lally, S.E.; Milman, T.; Orloff, M.; Dalvin, L.A.; Eberhart, C.G.; Heaphy, C.M.; Rodriguez, F.J.; Lin, C.C.; Dockery, P.W.; Shields, J.A.; et al. Mutational Landscape and Outcomes of Conjunctival Melanoma in 101 Patients. Ophthalmology 2022, 129, 679–693. [Google Scholar] [CrossRef] [PubMed]
  14. Larsen, A.C.; Dahl, C.; Dahmcke, C.M.; Lade-Keller, J.; Siersma, V.D.; Toft, P.B.; Coupland, S.E.; Prause, J.U.; Guldberg, P.; Heegaard, S. BRAF mutations in conjunctival melanoma: Investigation of incidence, clinicopathological features, prognosis and paired premalignant lesions. Acta Ophthalmol. 2016, 94, 463–470. [Google Scholar] [CrossRef]
  15. Scholz, S.L.; Cosgarea, I.; Süßkind, D.; Murali, R.; Möller, I.; Reis, H.; Leonardelli, S.; Schilling, B.; Schimming, T.; Hadaschik, E.; et al. NF1 mutations in conjunctival melanoma. Br. J. Cancer 2018, 118, 1243–1247. [Google Scholar] [CrossRef] [PubMed]
  16. Gardrat, S.; Houy, A.; Brooks, K.; Cassoux, N.; Barnhill, R.; Dayot, S.; Bièche, I.; Raynal, V.; Baulande, S.; Marais, R.; et al. Definition of Biologically Distinct Groups of Conjunctival Melanomas According to Etiological Factors and Implications for Precision Medicine. Cancers 2021, 13, 3836. [Google Scholar] [CrossRef]
  17. van Poppelen, N.M.; van Ipenburg, J.A.; van den Bosch, Q.; Vaarwater, J.; Brands, T.; Eussen, B.; Magielsen, F.; Dubbink, H.J.; Paridaens, D.; Brosens, E.; et al. Molecular Genetics of Conjunctival Melanoma and Prognostic Value of TERT Promoter Mutation Analysis. Int. J. Mol. Sci. 2021, 22, 5784. [Google Scholar] [CrossRef]
  18. Brouwer, N.J.; Verdijk, R.M.; Heegaard, S.; Marinkovic, M.; Esmaeli, B.; Jager, M.J. Conjunctival melanoma: New insights in tumour genetics and immunology, leading to new therapeutic options. Prog. Retin. Eye Res. 2022, 86, 100971. [Google Scholar] [CrossRef]
  19. Krauthammer, M.; Kong, Y.; Bacchiocchi, A.; Evans, P.; Pornputtapong, N.; Wu, C.; McCusker, J.P.; Ma, S.; Cheng, E.; Straub, R.; et al. Exome sequencing identifies recurrent mutations in NF1 and RASopathy genes in sun-exposed melanomas. Nat. Genet. 2015, 47, 996–1002. [Google Scholar] [CrossRef]
  20. Wolf, J.; Auw-Haedrich, C.; Schlecht, A.; Boneva, S.; Mittelviefhaus, H.; Lapp, T.; Agostini, H.; Reinhard, T.; Schlunck, G.; Lange, C.A.K. Transcriptional characterization of conjunctival melanoma identifies the cellular tumor microenvironment and prognostic gene signatures. Sci. Rep. 2020, 10, 17022. [Google Scholar] [CrossRef] [PubMed]
  21. Mikkelsen, L.H.; Maag, E.; Andersen, M.K.; Kruhøffer, M.; Larsen, A.C.; Melchior, L.C.; Toft, P.B.; von Buchwald, C.; Wadt, K.; Heegaard, S. The molecular profile of mucosal melanoma. Melanoma Res. 2020, 30, 533–542. [Google Scholar] [CrossRef] [PubMed]
  22. Damato, B.; Coupland, S.E. Conjunctival melanoma and melanosis: A reappraisal of terminology, classification and staging. Clin. Exp. Ophthalmol. 2008, 36, 786–795. [Google Scholar] [CrossRef] [PubMed]
  23. Shields, J.A.; Shields, C.L.; Mashayekhi, A.; Marr, B.P.; Benavides, R.; Thangappan, A.; Phan, L.; Eagle, R.C. Primary acquired melanosis of the conjunctiva: Risks for progression to melanoma in 311 eyes. The 2006 Lorenz, E. Zimmerman lecture. Ophthalmology 2008, 115, 511–519.e2. [Google Scholar] [CrossRef] [PubMed]
  24. Miller, C.V.; Wolf, A.; Klingenstein, A.; Decker, C.; Garip, A.; Kampik, A.; Hintschich, C. Clinical outcome of advanced squamous cell carcinoma of the conjunctiva. Eye 2014, 28, 962–967. [Google Scholar] [CrossRef] [PubMed]
  25. Kenawy, N.; Garrick, A.; Heimann, H.; Coupland, S.E.; Damato, B.E. Conjunctival squamous cell neoplasia: The Liverpool Ocular Oncology Centre experience. Graefe’s Arch. Clin. Exp. Ophthalmol. 2015, 253, 143–150. [Google Scholar] [CrossRef] [PubMed]
  26. Yang, J.; Foster, C.S. Squamous cell carcinoma of the conjunctiva. Int. Ophthalmol. Clin. 1997, 37, 73–85. [Google Scholar] [CrossRef] [PubMed]
  27. Yousef, Y.A.; Finger, P.T. Squamous carcinoma and dysplasia of the conjunctiva and cornea: An analysis of 101 cases. Ophthalmology 2012, 119, 233–240. [Google Scholar] [CrossRef]
  28. Vora, G.K.; Demirci, H.; Marr, B.; Mruthyunjaya, P. Advances in the management of conjunctival melanoma. Surv. Ophthalmol. 2017, 62, 26–42. [Google Scholar] [CrossRef]
  29. Kaštelan, S.; Antunica, A.G.; Orešković, L.B.; Rabatić, J.S.; Kasun, B.; Bakija, I. Conjunctival Melanoma—Epidemiological Trends and Features. Pathol. Oncol. Res. 2018, 24, 787–796. [Google Scholar] [CrossRef]
  30. Paridaens, A.D.; Minassian, D.C.; McCartney, A.C.; Hungerford, J.L. Prognostic factors in primary malignant melanoma of the conjunctiva: A clinicopathological study of 256 cases. Br. J. Ophthalmol. 1994, 78, 252–259. [Google Scholar] [CrossRef]
  31. De Potter, P.; Shields, C.L.; Shields, J.A.; Menduke, H. Clinical predictive factors for development of recurrence and metastasis in conjunctival melanoma: A review of 68 cases. Br. J. Ophthalmol. 1993, 77, 624–630. [Google Scholar] [CrossRef] [PubMed]
  32. Brouwer, N.J.; Marinkovic, M.; van Duinen, S.G.; Bleeker, J.C.; Jager, M.J.; Luyten, G.P.M. Treatment of conjunctival melanoma in a Dutch referral centre. Br. J. Ophthalmol. 2018, 102, 1277–1282. [Google Scholar] [CrossRef]
  33. Esmaeli, B. Patterns of regional and distant metastasis in patients with conjunctival melanoma: Experience a cancer centre over four decades. Ophthalmology 2001, 108, 2101–2105. [Google Scholar] [CrossRef]
  34. Sagiv, O.; Thakar, S.D.; Kandl, T.J.; Ford, J.; Sniegowski, M.C.; Hwu, W.J.; Esmaeli, B. Immunotherapy With Programmed Cell Death 1 Inhibitors for 5 Patients With Conjunctival Melanoma. JAMA Ophthalmol. 2018, 136, 1236–1241. [Google Scholar] [CrossRef] [PubMed]
  35. Finger, P.T.; Pavlick, A.C. Checkpoint inhibition immunotherapy for advanced local and systemic conjunctival melanoma: A clinical case series. J. Immunother. Cancer. 2019, 7, 83. [Google Scholar] [CrossRef]
  36. Chang, E.; Demirci, H.; Demirci, F.Y. Genetic Aspects of Conjunctival Melanoma: A Review. Genes 2023, 14, 1668. [Google Scholar] [CrossRef] [PubMed]
  37. Esmaeli, B.; Sagiv, O. Targeted Biological Drugs and Immune Check Point Inhibitors for Locally Advanced or Metastatic Cancers of the Conjunctiva, Eyelid, and Orbit. Int. Ophthalmol. Clin. 2019, 59, 13–26. [Google Scholar] [CrossRef] [PubMed]
  38. Rossi, E.; Maiorano, B.A.; Pagliara, M.M.; Sammarco, M.G.; Dosa, T.; Martini, M.; Rindi, G.; Bria, E.; Blasi, M.A.; Tortora, G.; et al. Dabrafenib and Trametinib in BRAF Mutant Metastatic Conjunctival Melanoma. Front. Oncol. 2019, 9, 232. [Google Scholar] [CrossRef] [PubMed]
  39. Isager, P.; Østerlind, A.; Engholm, G.; Heegaard, S.; Lindegaard, J.; Overgaard, J.; Storm, H.H. Uveal and conjunctival malignant melanoma in Denmark, 1943–97: Incidence and validation study. Ophthalmic Epidemiol. 2005, 12, 223–232. [Google Scholar] [CrossRef]
  40. Tuomaala, S.; Eskelin, S.; Tarkkanen, A.; Kivelä, T. Population-based assessment of clinical characteristics predicting outcome of conjunctival melanoma in whites. Investig. Ophthalmol. Vis. Sci. 2002, 43, 3399–3408. [Google Scholar]
  41. Ghazawi, F.M.; Darwich, R.; Le, M.; Jfri, A.; Rahme, E.; Burnier, J.V.; Sasseville, D.; Burnier, M.N.; Litvinov, I.V. Incidence trends of conjunctival malignant melanoma in Canada. Br. J. Ophthalmol. 2020, 104, 23–25. [Google Scholar] [CrossRef]
  42. Hu, D.N.; Yu, G.; McCormick, S.A.; Finger, P.T. Population-based incidence of conjunctival melanoma in various races and ethnic groups and comparison with other melanomas. Am. J. Ophthalmol. 2008, 145, 418–423. [Google Scholar] [CrossRef] [PubMed]
  43. Shields, C.L.; Chien, J.L.; Surakiatchanukul, T.; Sioufi, K.; Lally, S.E.; Shields, J.A. Conjunctival Tumors: Review of Clinical Features, Risks, Biomarkers, and Outcomes—The 2017 J. Donald M. Gass Lecture. Asia Pac. J. Ophthalmol. 2017, 6, 109–120. [Google Scholar] [CrossRef]
  44. Weppelmann, T.A.; Zimmerman, K.T.; Rashidi, V. Trends in Incidence of Conjunctival Melanoma in the US. JAMA Netw. Open 2022, 5, e2237229. [Google Scholar] [CrossRef] [PubMed]
  45. Yu, G.P.; Hu, D.N.; McCormick, S.; Finger, P.T. Conjunctival melanoma: Is it increasing in the United States? Am. J. Ophthalmol. 2003, 135, 800–806. [Google Scholar] [CrossRef] [PubMed]
  46. Balzer, B.W.R.; Cherepanoff, S.; Joshua, A.M.; Giblin, M.; Conway, R.M.; Anazodo, A.C. Conjunctival Melanoma in Childhood and Adolescence: A Systematic Review. Ocul. Onco.l Pathol. 2019, 5, 387–395. [Google Scholar] [CrossRef] [PubMed]
  47. Missotten, G.S.; Keijser, S.; De Keizer, R.J.; De Wolff-Rouendaal, D. Conjunctival melanoma in the Netherlands: A nationwide study. Investig. Ophthalmol. Vis. Sci. 2005, 46, 75–82. [Google Scholar] [CrossRef]
  48. Shields, C.L.; Kaliki, S.; Al-Dahmash, S.A.; Lally, S.E.; Shields, J.A. American Joint Committee on Cancer (AJCC) clinical classification predicts conjunctival melanoma outcomes. Ophthalmic Plast. Reconstr. Surg. 2012, 28, 313–323. [Google Scholar] [CrossRef] [PubMed]
  49. Coupland, S.E.; Milman, T.; Verdict, R.M.; Brouwer, N.J. Conjunctival Melanocytic Intraepithelial Lesions. In WHO Classification of Tumours Editorial Board. Eye Tumours Internet; Beta Version Ahead of Print, 5th ed.; International Agency for Research on Cancer: Lyon, France, 2023; Volume 13. [Google Scholar]
  50. Lee, Y.J.; Lee, C.; Kim, M.K.; Khwarg, S.I.; Oh, J.Y. Conjunctival pigmented lesion: Clinicopathological analysis of 85 cases in Korean population. Sci. Rep. 2019, 9, 18204. [Google Scholar] [CrossRef]
  51. Demirci, H.; Demirci, F.Y.; Ciftci, S.; Elner, V.M.; Wu, Y.M.; Ning, Y.; Chinnaiyan, A.; Robinson, D.R. Integrative Exome and Transcriptome Analysis of Conjunctival Melanoma and Its Potential Application for Personalized Therapy. JAMA Ophthalmol. 2019, 137, 1444–1448. [Google Scholar] [CrossRef]
  52. Mundra, P.A.; Dhomen, N.; Rodrigues, M.; Mikkelsen, L.H.; Cassoux, N.; Brooks, K.; Valpione, S.; Reis-Filho, J.S.; Heegaard, S.; Stern, M.H.; et al. Ultraviolet radiation drives mutations in a subset of mucosal melanomas. Nat. Commun. 2021, 12, 259. [Google Scholar] [CrossRef] [PubMed]
  53. Rivolta, C.; Royer-Bertrand, B.; Rimoldi, D.; Schalenbourg, A.; Zografos, L.; Leyvraz, S.; Moulin, A. UV light signature in conjunctival melanoma; not only skin should be protected from solar radiation. J. Hum. Genet. 2016, 61, 361–362. [Google Scholar] [CrossRef]
  54. Goldenberg-Cohen, N.; Cohen, Y.; Rosenbaum, E.; Herscovici, Z.; Chowers, I.; Weinberger, D.; Pe’er, J.; Sidransky, D. T1799A BRAF mutations in conjunctival melanocytic lesions. Investig. Ophthalmol. Vis. Sci. 2005, 46, 3027–3030. [Google Scholar] [CrossRef]
  55. Cao, J.; Heijkants, R.C.; Jochemsen, A.G.; Dogrusöz, M.; de Lange, M.J.; van der Velden, P.A.; van der Burg, S.H.; Jager, M.J.; Verdijk, R.M. Targeting of the MAPK and AKT pathways in conjunctival melanoma shows potential synergy. Oncotarget 2017, 8, 58021–58036. [Google Scholar] [CrossRef] [PubMed]
  56. Griewank, K.G.; Westekemper, H.; Murali, R.; Mach, M.; Schilling, B.; Wiesner, T.; Schimming, T.; Livingstone, E.; Sucker, A.; Grabellus, F.; et al. Conjunctival melanomas harbor BRAF and NRAS mutations and copy number changes similar to cutaneous and mucosal melanomas. Clin. Cancer Res. 2013, 19, 3143–3152. [Google Scholar] [CrossRef] [PubMed]
  57. El Zaoui, I.; Bucher, M.; Rimoldi, D.; Nicolas, M.; Kaya, G.; Pescini Gobert, R.; Bedoni, N.; Schalenbourg, A.; Sakina, E.; Zografos, L.; et al. Conjunctival Melanoma Targeted Therapy: MAPK and PI3K/mTOR Pathways Inhibition. Investig. Ophthalmol. Vis. Sci. 2019, 60, 2764–2772. [Google Scholar] [CrossRef]
  58. Francis, J.H.; Grossniklaus, H.E.; Habib, L.A.; Marr, B.; Abramson, D.H.; Busam, K.J. BRAF, NRAS, and GNAQ Mutations in Conjunctival Melanocytic Nevi. Investig. Ophthalmol. Vis. Sci. 2018, 59, 117–121. [Google Scholar] [CrossRef]
  59. Gear, H.; Williams, H.; Kemp, E.G.; Roberts, F. BRAF mutations in conjunctival melanoma. Investig. Ophthalmol. Vis. Sci. 2004, 45, 2484–2488. [Google Scholar] [CrossRef]
  60. van Ipenburg, J.A.; Naus, N.C.; Dubbink, H.J.; van Ginderdeuren, R.; Missotten, G.S.; Paridaens, D.; Verdijk, R.M. Prognostic value of TERT promoter mutations in conjunctival melanomas in addition to clinicopathological features. Br. J. Ophthalmol. 2021, 105, 1454–1461. [Google Scholar] [CrossRef]
  61. Griewank, K.G.; Murali, R.; Schilling, B.; Scholz, S.; Sucker, A.; Song, M.; Süsskind, D.; Grabellus, F.; Zimmer, L.; Hillen, U.; et al. TERT promoter mutations in ocular melanoma distinguish between conjunctival and uveal tumours. Br. J. Cancer 2013, 109, 497–501. [Google Scholar] [CrossRef] [PubMed]
  62. Koopmans, A.E.; Ober, K.; Dubbink, H.J.; Paridaens, D.; Naus, N.C.; Belunek, S.; Krist, B.; Post, E.; Zwarthoff, E.C.; de Klein, A.; et al. Prevalence and implications of TERT promoter mutation in uveal and conjunctival melanoma and in benign and premalignant conjunctival melanocytic lesions. Investig. Ophthalmol. Vis. Sci. 2014, 55, 6024–6030. [Google Scholar] [CrossRef]
  63. Alessandrini, L.; Parrozzani, R.; Bertorelle, R.; Valentini, E.; Candiotto, C.; Giacomelli, L.; Midena, E.; Blandamura, S. C-Kit SCF receptor (CD117) expression and KIT gene mutation in conjunctival pigmented lesions. Acta. Ophthalmol. 2013, 91, e641–e645. [Google Scholar] [CrossRef] [PubMed]
  64. Beadling, C.; Jacobson-Dunlop, E.; Hodi, F.S.; Le, C.; Warrick, A.; Patterson, J.; Town, A.; Harlow, A.; Cruz, F.; Azar, S.; et al. KIT gene mutations and copy number in melanoma subtypes. Clin. Cancer Res. 2008, 14, 6821–6828. [Google Scholar] [CrossRef] [PubMed]
  65. Sheng, X.; Li, S.; Chi, Z.; Si, L.; Cui, C.; Mao, L.; Lian, B.; Tang, B.; Wang, X.; Yan, X.; et al. Prognostic factors for conjunctival melanoma: A study in ethnic Chinese patients. Br. J. Ophthalmol. 2015, 99, 990–996. [Google Scholar] [CrossRef]
  66. Lodde, G.C.; Jansen, P.; Möller, I.; Sucker, A.; Hassel, J.C.; Forschner, A.; Eckardt, J.; Meier, F.; Reinhardt, L.; Kähler, K.C.; et al. Genetic characterization of advanced conjunctival melanoma and response to systemic treatment. Eur. J. Cancer 2022, 166, 60–72. [Google Scholar] [CrossRef] [PubMed]
  67. Valentín-Bravo, F.J.; Pérez-Rodríguez, Á.; García-Álvarez, C.; García-Lagarto, E.; Saornil-Álvarez, M.A. BRAF and NRAS prognostic values in conjunctival melanoma: Analysis and literature review. Arq. Bras. De Oftalmol. 2023, 86, e20230071. [Google Scholar] [CrossRef] [PubMed]
  68. van Ipenburg, J.A.; van den Bosch, Q.C.C.; Paridaens, D.; Dubbink, H.J.; Kiliç, E.; Naus, N.; Verdijk, R.M.; Group, R.O.M.S. ATRX Loss in the Development and Prognosis of Conjunctival Melanoma. Int. J. Mol. Sci. 2023, 24, 12988. [Google Scholar] [CrossRef]
  69. Swaminathan, S.S.; Field, M.G.; Sant, D.; Wang, G.; Galor, A.; Dubovy, S.R.; Harbour, J.W.; Karp, C.L. Molecular Characteristics of Conjunctival Melanoma Using Whole-Exome Sequencing. JAMA Ophthalmol. 2017, 135, 1434–1437. [Google Scholar] [CrossRef]
  70. Brouwer, N.J.; Marinkovic, M.; Luyten, G.P.M.; Shields, C.L.; Jager, M.J. Lack of tumour pigmentation in conjunctival melanoma is associated with light iris colour and worse prognosis. Br. J. Ophthalmol. 2019, 103, 332–337. [Google Scholar] [CrossRef]
  71. Shields, C.L.; Shields, J.A.; Gündüz, K.; Cater, J.; Mercado, G.V.; Gross, N.; Lally, B. Conjunctival melanoma: Risk factors for recurrence, exenteration, metastasis, and death in 150 consecutive patients. Arch. Ophthalmol. 2000, 118, 1497–1507. [Google Scholar] [CrossRef] [PubMed]
  72. Wong, J.R.; Nanji, A.A.; Galor, A.; Karp, C.L. Management of conjunctival malignant melanoma: A review and update. Expert Rev. Ophthalmol. 2014, 9, 185–204. [Google Scholar] [CrossRef] [PubMed]
  73. Shields, C.L.; Sioufi, K.; Alset, A.E.; Boal, N.S.; Casey, M.G.; Knapp, A.N.; Sugarman, J.A.; Schoen, M.A.; Gordon, P.S.; Say, E.A.; et al. Clinical Features Differentiating Benign From Malignant Conjunctival Tumors in Children. JAMA Ophthalmol. 2017, 135, 215–224. [Google Scholar] [CrossRef]
  74. Cruz, N.F.S.D.; Cruz, S.F.S.D.; Ishigai, D.H.; Santos, K.S.; Felberg, S. Conjunctival tattoo: Report on an emerging body modification trend. Arq. Bras. Oftalmol. 2017, 80, 399–400. [Google Scholar] [CrossRef]
  75. Kenawy, N.; Lake, S.L.; Coupland, S.E.; Damato, B.E. Conjunctival melanoma and melanocytic intra-epithelial neoplasia. Eye 2013, 27, 142–152. [Google Scholar] [CrossRef] [PubMed]
  76. Shields, C.L.; Manchandia, A.; Subbiah, R.; Eagle, R.C.; Shields, J.A. Pigmented squamous cell carcinoma in situ of the conjunctiva in 5 cases. Ophthalmology 2008, 115, 1673–1678. [Google Scholar] [CrossRef]
  77. Vizvári, E.; Skribek, Á.; Polgár, N.; Vörös, A.; Sziklai, P.; Tóth-Molnár, E. Conjunctival melanocytic naevus: Diagnostic value of anterior segment optical coherence tomography and ultrasound biomicroscopy. PLoS ONE 2018, 13, e0192908. [Google Scholar] [CrossRef]
  78. Brouwer, N.J.; Marinkovic, M.; Bleeker, J.C.; Luyten, G.P.M.; Jager, M.J. Anterior Segment OCTA of Melanocytic Lesions of the Conjunctiva and Iris. Am. J. Ophthalmol. 2021, 222, 137–147. [Google Scholar] [CrossRef]
  79. Cinotti, E.; Singer, A.; Labeille, B.; Grivet, D.; Rubegni, P.; Douchet, C.; Cambazard, F.; Thuret, G.; Gain, P.; Perrot, J.L. Handheld In Vivo Reflectance Confocal Microscopy for the Diagnosis of Eyelid Margin and Conjunctival Tumors. JAMA Ophthalmol. 2017, 135, 845–851. [Google Scholar] [CrossRef] [PubMed]
  80. Ferreira, T.A.; Pinheiro, C.F.; Saraiva, P.; Jaarsma-Coes, M.G.; Van Duinen, S.G.; Genders, S.W.; Marinkovic, M.; Beenakker, J.M. MR and CT Imaging of the Normal Eyelid and its Application in Eyelid Tumors. Cancers 2020, 12, 658. [Google Scholar] [CrossRef]
  81. Zembowicz, A.; Mandal, R.V.; Choopong, P. Melanocytic lesions of the conjunctiva. Arch. Pathol. Lab. Med. 2010, 134, 1785–1792. [Google Scholar] [CrossRef]
  82. Esmaeli, B.; Roberts, D.; Ross, M.; Fellman, M.; Cruz, H.; Kim, S.K.; Prieto, V.G. Histologic features of conjunctival melanoma predictive of metastasis and death (an American Ophthalmological thesis). Trans. Am. Ophthalmol. Soc. 2012, 110, 64–73. [Google Scholar] [PubMed]
  83. Esmaeli, B.; Rubin, M.L.; Xu, S.; Goepfert, R.P.; Curry, J.L.; Prieto, V.G.; Ning, J.; Tetzlaff, M.T. Greater Tumor Thickness, Ulceration, and Positive Sentinel Lymph Node Are Associated With Worse Prognosis in Patients With Conjunctival Melanoma: Implications for Future AJCC Classifications. Am. J. Surg. Pathol. 2019, 43, 1701–1710. [Google Scholar] [CrossRef] [PubMed]
  84. Folberg, R.; McLean, I.W.; Zimmerman, L.E. Primary acquired melanosis of the conjunctiva. Hum. Pathol. 1985, 16, 129–135. [Google Scholar] [CrossRef] [PubMed]
  85. Milman, T.; Eiger-Moscovich, M.; Henry, R.K.; Folberg, R.; Coupland, S.E.; Grossniklaus, H.E.; Mudhar, H.S.; Eberhart, C.G.; Heegaard, S.; Auw-Hädrich, C.; et al. Validation of the Newly Proposed World Health Organization Classification System for Conjunctival Melanocytic Intraepithelial Lesions: A Comparison with the C-MIN and PAM Classification Schemes. Am. J. Ophthalmol. 2021, 223, 60–74. [Google Scholar] [CrossRef]
  86. Maly, A.; Epstein, D.; Meir, K.; Pe’er, J. Histological criteria for grading of atypia in melanocytic conjunctival lesions. Pathology 2008, 40, 676–681. [Google Scholar] [CrossRef]
  87. Sugiura, M.; Colby, K.A.; Mihm, M.C.; Zembowicz, A. Low-risk and high-risk histologic features in conjunctival primary acquired melanosis with atypia: Clinicopathologic analysis of 29 cases. Am. J. Surg. Pathol. 2007, 31, 185–192. [Google Scholar] [CrossRef]
  88. Mudhar, H.S.; Krishna, Y.; Cross, S.; Auw-Haedrich, C.; Barnhill, R.; Cherepanoff, S.; Eagle, R.; Farmer, J.; Folberg, R.; Grossniklaus, H.; et al. A multicenter study validates the WHO 2022 classification for conjunctival melanocytic intraepithelial lesions with clinical and prognostic relevance. Lab. Investig. 2023, 104, 100281. [Google Scholar] [CrossRef]
  89. Damato, B.; Coupland, S.E. Management of conjunctival melanoma. Expert Rev. Anticancer. Ther. 2009, 9, 1227–1239. [Google Scholar] [CrossRef]
  90. Jakobiec, F.A. Conjunctival Primary Acquired Melanosis: Is It Time for a New Terminology? Am. J. Ophthalmol. 2016, 162, 3–19.e11. [Google Scholar] [CrossRef]
  91. Jakobiec, F.A. Clinicopathologic characteristics of premalignant and malignant melanocytic lesions of the conjunctiva. Ophthalmology 1989, 96, 147–166. [Google Scholar] [CrossRef]
  92. Eberhart, C.G.; Coupland, S.E.; Folberg, R.; Margo, C.; Rao, N. Conjunctival Melanocytic Intraepithelial Neoplasia. In WHO Classification of Tumours of the Eye, 4th ed.; International Agency for Research on Cancer: Lyon, France, 2018. [Google Scholar]
  93. Šekoranja, D.; Hawlina, G.; Pižem, J. PRAME expression in melanocytic lesions of the conjunctiva. Histopathology 2021, 79, 989–996. [Google Scholar] [CrossRef] [PubMed]
  94. LeBlanc, R.E.; Miller, D.M.; Zegans, M.E. PRAME immunohistochemistry is useful in the evaluation of conjunctival melanomas, nevi, and primary acquired melanosis. J. Cutan. Pathol 2021, 48, 1442–1448. [Google Scholar] [CrossRef] [PubMed]
  95. Mudhar, H.S.; Salvi, S.S.; Pissaloux, D.; de La Fouchardiere, A. Single Time Frame Overview of the Genetic Changes in Conjunctival Melanoma from Intraepithelial Disease to Invasive Melanoma: A Study of 4 Exenteration Specimens Illustrating the Potential Role of Cyclin D1. Ocul. Oncol. Pathol. 2022, 8, 52–63. [Google Scholar] [CrossRef] [PubMed]
  96. Mudhar, H.S.; Milman, T.; Stevenson, S.; Watson, M.; Kim, J.; Magan, T.; Salvi, S.M.; Harley, U.; Lally, S.E.; Shields, C.L. PRAME expression by immunohistochemistry and reverse transcription quantitative PCR in conjunctival melanocytic lesions—A comprehensive clinicopathologic study of 202 cases and correlation of cytogenetics with PRAME expression in challenging conjunctival melanocytic lesions. Hum. Pathol. 2023, 134, 1–18. [Google Scholar] [CrossRef]
  97. Lassalle, S.; Nahon-Esteve, S.; Frouin, E.; Boulagnon-Rombi, C.; Josselin, N.; Cassoux, N.; Barnhill, R.; Scheller, B.; Baillif, S.; Hofman, P. PD-L1 Expression in 65 Conjunctival Melanomas and Its Association with Clinical Outcome. Int. J. Mol. Sci. 2020, 21, 9174. [Google Scholar] [CrossRef]
  98. Jain, P.; Finger, P.T.; Damato, B.; Coupland, S.E.; Heimann, H.; Kenawy, N.; Brouwer, N.J.; Marinkovic, M.; Van Duinen, S.G.; Caujolle, J.P.; et al. Multicenter, International Assessment of the Eighth Edition of the American Joint Committee on Cancer Cancer Staging Manual for Conjunctival Melanoma. JAMA Ophthalmol. 2019, 137, 905–911. [Google Scholar] [CrossRef]
  99. Jia, S.; Zhu, T.; Shi, H.; Zong, C.; Bao, Y.; Wen, X.; Ge, S.; Ruan, J.; Xu, S.; Jia, R.; et al. American Joint Committee on Cancer Tumor Staging System Predicts the Outcome and Metastasis Pattern in Conjunctival Melanoma. Ophthalmology 2022, 129, 771–780. [Google Scholar] [CrossRef]
  100. TNM Classification of Malignant Tumours, 8th ed.Wiley-Blackwell: Oxford, UK, 2017; p. 272.
  101. Cohen, V.M.; Tsimpida, M.; Hungerford, J.L.; Jan, H.; Cerio, R.; Moir, G. Prospective study of sentinel lymph node biopsy for conjunctival melanoma. Br. J. Ophthalmol. 2013, 97, 1525–1529. [Google Scholar] [CrossRef]
  102. Lim, M.; Tatla, T.; Hersh, D.; Hungerford, J. Patterns of regional head and neck lymph node metastasis in primary conjunctival malignant melanoma. Br. J. Ophthalmol. 2006, 90, 1468–1471. [Google Scholar] [CrossRef][Green Version]
  103. Anastassiou, G.; Heiligenhaus, A.; Bechrakis, N.; Bader, E.; Bornfeld, N.; Steuhl, K.P. Prognostic value of clinical and histopathological parameters in conjunctival melanomas: A retrospective study. Br. J. Ophthalmol. 2002, 86, 163–167. [Google Scholar] [CrossRef]
  104. Grimes, J.M.; Shah, N.V.; Samie, F.H.; Carvajal, R.D.; Marr, B.P. Conjunctival Melanoma: Current Treatments and Future Options. Am. J. Clin. Dermatol. 2020, 21, 371–381. [Google Scholar] [CrossRef] [PubMed]
  105. Pahlitzsch, M.; Bertelmann, E.; Mai, C. Conjunctival Melanoma and BRAF Inhibitor Therapy. J. Clin. Exp. Ophthalmol. 2014, 5. [Google Scholar] [CrossRef]
  106. Hong, B.Y.-B.; Ford, J.R.; Glitza, I.C.; Cabala, C.A.T.; Tetzlaff, M.; Prieto, V.G.; Parker, R.; Daniel, C.; Esmaeli, B. Immune Checkpoint Inhibitor Therapy as an Eye-Preserving Treatment for Locally Advanced Conjunctival Melanoma. Ophthalmic Plast. Reconstr. Surg. 2021, 37, e9–e13. [Google Scholar] [CrossRef] [PubMed]
  107. Dagi Glass, L.R.; Lawrence, D.P.; Jakobiec, F.A.; Freitag, S.K. Conjunctival Melanoma Responsive to Combined Systemic BRAF/MEK Inhibitors. Ophthalmic Plast. Reconstr. Surg. 2017, 33, e114–e116. [Google Scholar] [CrossRef] [PubMed]
  108. Kim, J.M.; Weiss, S.; Sinard, J.H.; Pointdujour-Lim, R. Dabrafenib and Trametinib for BRAF-Mutated Conjunctival Melanoma. Ocul. Onco.l Pathol. 2020, 6, 35–38. [Google Scholar] [CrossRef] [PubMed]
  109. Kini, A.; Fu, R.; Compton, C.; Miller, D.M.; Ramasubramanian, A. Pembrolizumab for Recurrent Conjunctival Melanoma. JAMA Ophthalmol. 2017, 135, 891–892. [Google Scholar] [CrossRef]
  110. Weber, J.L.; Smalley, K.S.; Sondak, V.K.; Gibney, G.T. Conjunctival melanomas harbor BRAF and NRAS mutations--Letter. Clin. Cancer Res. 2013, 19, 6329–6330. [Google Scholar] [CrossRef]
  111. Maleka, A.; Åström, G.; Byström, P.; Ullenhag, G.J. A case report of a patient with metastatic ocular melanoma who experienced a response to treatment with the BRAF inhibitor vemurafenib. BMC Cancer 2016, 16, 634. [Google Scholar] [CrossRef]
  112. Pinto Torres, S.; André, T.; Gouveia, E.; Costa, L.; Passos, M.J. Systemic Treatment of Metastatic Conjunctival Melanoma. Case Rep. Oncol. Med. 2017, 2017, 4623964. [Google Scholar] [CrossRef]
  113. Chaves, L.J.; Huth, B.; Augsburger, J.J.; Correa, Z.M. Eye-Sparing Treatment for Diffuse Invasive Conjunctival Melanoma. Ocul. Oncol. Pathol. 2018, 4, 261–266. [Google Scholar] [CrossRef]
  114. Kiyohara, T.; Tanimura, H.; Miyamoto, M.; Shijimaya, T.; Nagano, N.; Nakamaru, S.; Makimura, K.; Iwai, H. Two cases of BRAF-mutated, bulbar conjunctival melanoma, and review of the published literature. Clin. Exp. Dermatol. 2020, 45, 207–211. [Google Scholar] [CrossRef] [PubMed]
  115. Chang, M.; Lally, S.E.; Dalvin, L.A.; Orloff, M.M.; Shields, C.L. Conjunctival melanoma with orbital invasion and liver metastasis managed with systemic immune checkpoint inhibitor therapy. Indian J. Ophthalmol. 2019, 67, 2071–2073. [Google Scholar] [CrossRef] [PubMed]
  116. Miura, S.; Onishi, M.; Watabe, D.; Amano, H. Conjunctival malignant melanoma treated successfully with BRAF inhibitor: Encorafenib plus binimetinib. Dermatol. Online J. 2022, 28, 17. [Google Scholar] [CrossRef] [PubMed]
  117. Fan, K.; Waninger, J.J.; Yentz, S.; McLean, S.; Demirci, H. Neoadjuvant Immune Checkpoint Inhibition in Metastatic Conjunctival Melanoma. Ophthalmic Plast. Reconstr. Surg. 2023, 39, e152–e155. [Google Scholar] [CrossRef]
Disclaimer/Publisher’s Note: The statements, opinions and data contained in all publications are solely those of the individual author(s) and contributor(s) and not of MDPI and/or the editor(s). MDPI and/or the editor(s) disclaim responsibility for any injury to people or property resulting from any ideas, methods, instructions or products referred to in the content.

Article Metrics

Citations

Article Access Statistics

Multiple requests from the same IP address are counted as one view.