Transcript Markers from Urinary Extracellular Vesicles for Predicting Risk Reclassification of Prostate Cancer Patients on Active Surveillance
Abstract
Simple Summary
Abstract
1. Introduction
2. Materials and Methods
2.1. Patient Cohort
2.2. Collection and Processing of Urine Samples
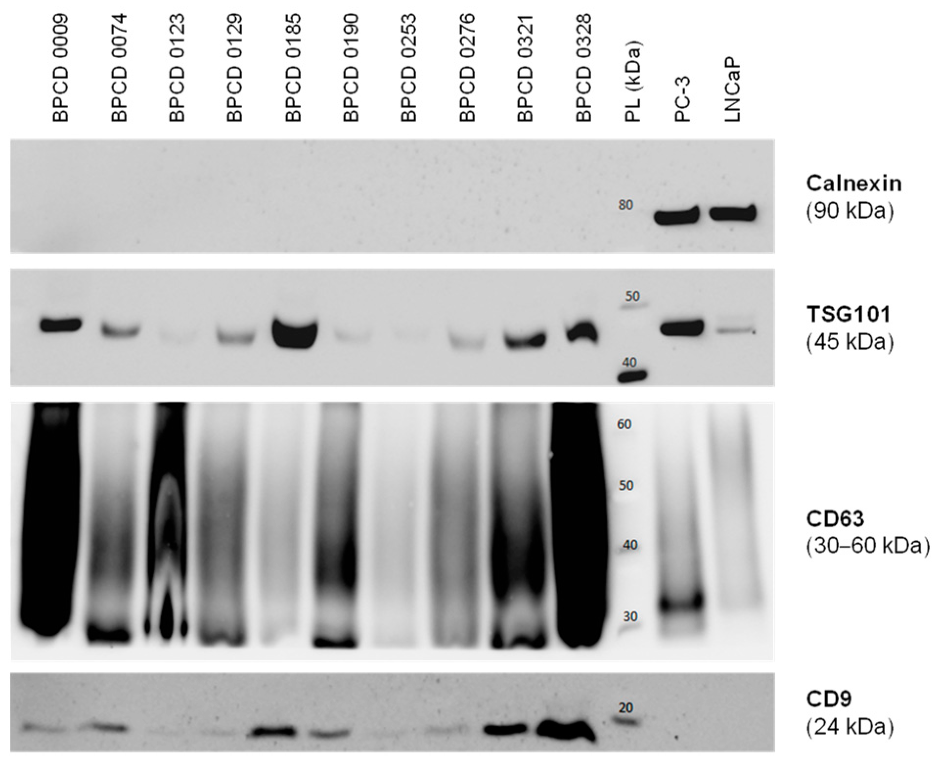
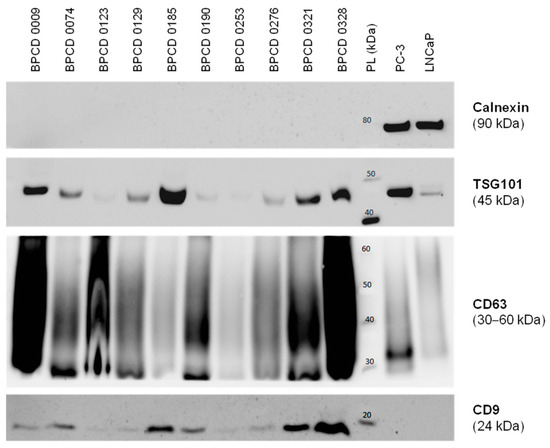
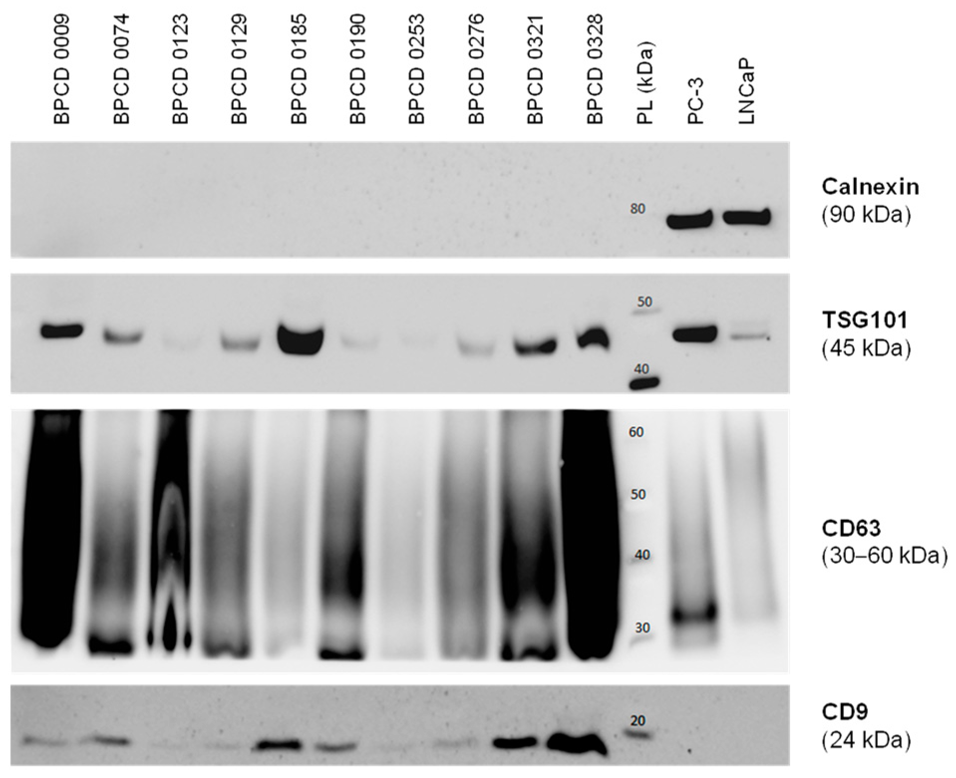
2.3. Characterization of uEV Control Samples
2.4. RNA Isolation, cDNA Synthesis, Pre-Amplification, and Quantitative Polymerase Chain Reaction (qPCR)
2.5. Statistical Analysis
3. Results
3.1. Characteristics of Patient Cohort
3.2. Characterization of Isolated uEV
3.3. Deregulation of uEV Transcripts in Patients with Risk Reclassification
3.4. Association of Clinical and Transcript Markes with Biopsy Tissue Grading
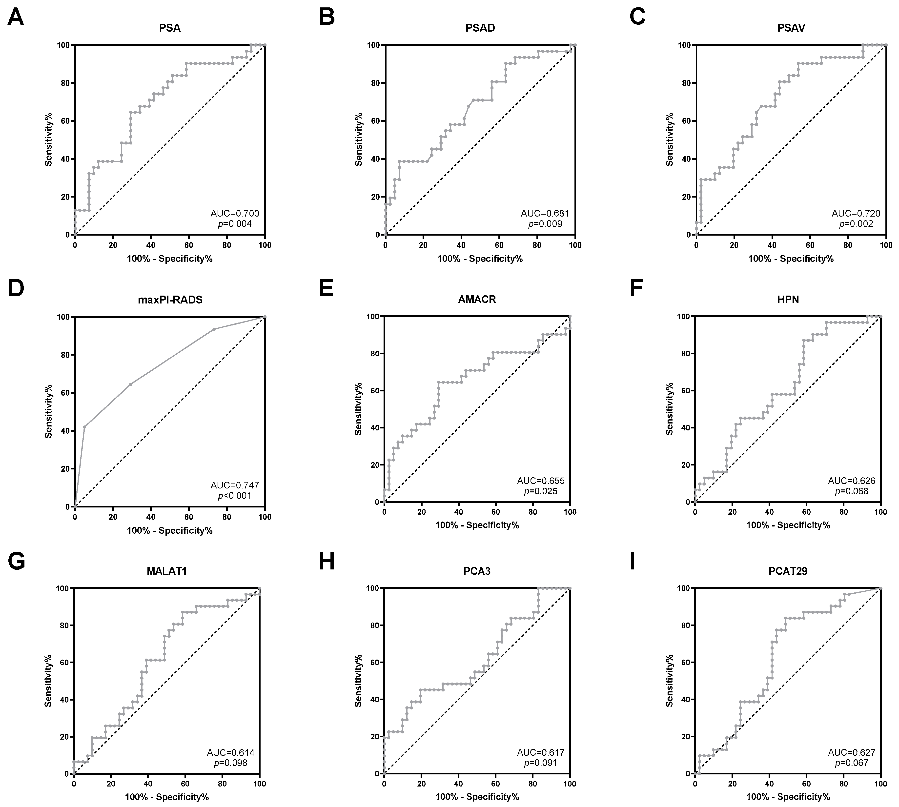
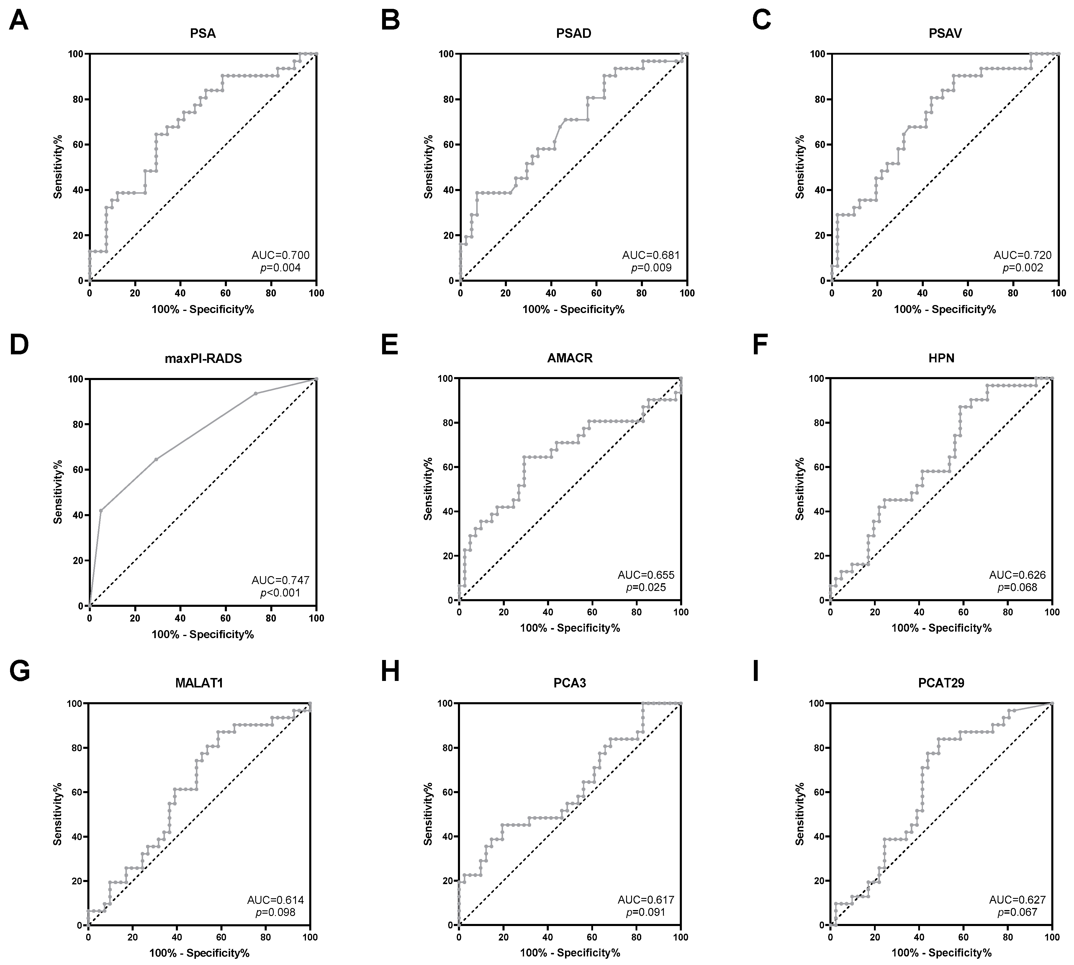
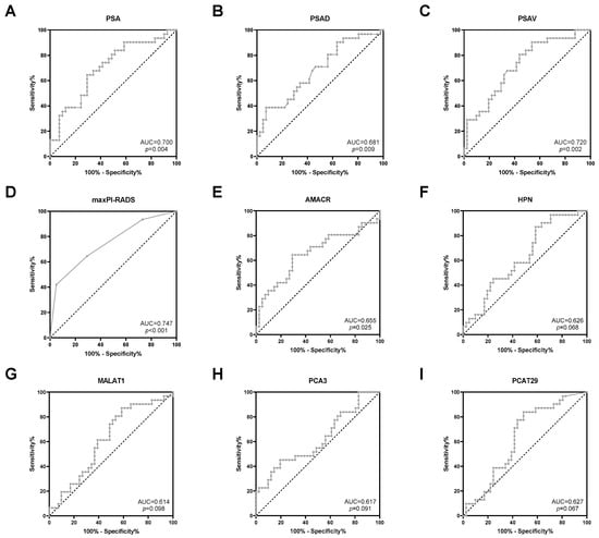
3.5. Predictive Potential of Clinical and Transcript Markers
3.6. Increased Predictive Potential of Combined Clinical and Transcript Markers
4. Discussion
4.1. Predictive Potential of the 2C-3T-Score
4.2. Predictive Potential of Clinical and Imaging Parameters
4.3. Predictive Potential of Urinary Transcript Markers
4.4. Strengths and Limitations of the Study
5. Conclusions
Supplementary Materials
Author Contributions
Funding
Institutional Review Board Statement
Informed Consent Statement
Data Availability Statement
Acknowledgments
Conflicts of Interest
References
- Bray, F.; Laversanne, M.; Sung, H.; Ferlay, J.; Siegel, R.L.; Soerjomataram, I.; Jemal, A. Global cancer statistics 2022: GLOBOCAN estimates of incidence and mortality worldwide for 36 cancers in 185 countries. CA Cancer J. Clin. 2024, 74, 229–263. [Google Scholar] [CrossRef]
- Bernardino, R.; Sayyid, R.K.; Leao, R.; Zlotta, A.R.; van der Kwast, T.; Klotz, L.; Fleshner, N.E. Increasing trend of utilising active surveillance for Gleason Score 7 (3 + 4) prostate cancer. BJU Int. 2023, 132, 638–640. [Google Scholar] [CrossRef] [PubMed]
- Sayyid, R.K.; Benton, J.Z.; Reed, W.C.; Woodruff, P.; Terris, M.K.; Wallis, C.J.D.; Klaassen, Z. Prostate cancer mortality rates in low- and favorable intermediate-risk active surveillance patients: A population-based competing risks analysis. World J. Urol. 2023, 41, 93–99. [Google Scholar] [CrossRef] [PubMed]
- Cornford, P.; van den Bergh, R.C.N.; Briers, E.; Van den Broeck, T.; Brunckhorst, O.; Darraugh, J.; Eberli, D.; De Meerleer, G.; De Santis, M.; Farolfi, A.; et al. EAU-EANM-ESTRO-ESUR-ISUP-SIOG Guidelines on Prostate Cancer-2024 Update. Part I: Screening, Diagnosis, and Local Treatment with Curative Intent. Eur. Urol. 2024; in press. [Google Scholar] [CrossRef]
- Bokhorst, L.P.; Valdagni, R.; Rannikko, A.; Kakehi, Y.; Pickles, T.; Bangma, C.H.; Roobol, M.J.; for the PRIAS study group. A Decade of Active Surveillance in the PRIAS Study: An Update and Evaluation of the Criteria Used to Recommend a Switch to Active Treatment. Eur. Urol. 2016, 70, 954–960. [Google Scholar] [CrossRef]
- Hamdy, F.C.; Donovan, J.L.; Lane, J.A.; Metcalfe, C.; Davis, M.; Turner, E.L.; Martin, R.M.; Young, G.J.; Walsh, E.I.; Bryant, R.J.; et al. Fifteen-Year Outcomes after Monitoring, Surgery, or Radiotherapy for Prostate Cancer. N. Engl. J. Med. 2023, 388, 1547–1558. [Google Scholar] [CrossRef]
- Radtke, J.P.; Kuru, T.H.; Bonekamp, D.; Freitag, M.T.; Wolf, M.B.; Alt, C.D.; Hatiboglu, G.; Boxler, S.; Pahernik, S.; Roth, W.; et al. Further reduction of disqualification rates by additional MRI-targeted biopsy with transperineal saturation biopsy compared with standard 12-core systematic biopsies for the selection of prostate cancer patients for active surveillance. Prostate Cancer Prostatic Dis. 2016, 19, 283–291. [Google Scholar] [CrossRef] [PubMed]
- Maggi, M.; Cowan, J.E.; Fasulo, V.; Washington, S.L., 3rd; Lonergan, P.E.; Sciarra, A.; Nguyen, H.G.; Carroll, P.R. The Long-Term Risks of Metastases in Men on Active Surveillance for Early Stage Prostate Cancer. J. Urol. 2020, 204, 1222–1228. [Google Scholar] [CrossRef]
- Cooperberg, M.R.; Brooks, J.D.; Faino, A.V.; Newcomb, L.F.; Kearns, J.T.; Carroll, P.R.; Dash, A.; Etzioni, R.; Fabrizio, M.D.; Gleave, M.E.; et al. Refined Analysis of Prostate-specific Antigen Kinetics to Predict Prostate Cancer Active Surveillance Outcomes. Eur. Urol. 2018, 74, 211–217. [Google Scholar] [CrossRef]
- Hamed, M.A.; Wasinger, V.; Wang, Q.; Graham, P.; Malouf, D.; Bucci, J.; Li, Y. Prostate cancer-derived extracellular vesicles metabolic biomarkers: Emerging roles for diagnosis and prognosis. J. Control Release 2024, 371, 126–145. [Google Scholar] [CrossRef] [PubMed]
- Ramirez-Garrastacho, M.; Bajo-Santos, C.; Line, A.; Martens-Uzunova, E.S.; de la Fuente, J.M.; Moros, M.; Soekmadji, C.; Tasken, K.A.; Llorente, A. Extracellular vesicles as a source of prostate cancer biomarkers in liquid biopsies: A decade of research. Br. J. Cancer 2022, 126, 331–350. [Google Scholar] [CrossRef]
- Smith, S.F.; Brewer, D.S.; Hurst, R.; Cooper, C.S. Applications of Urinary Extracellular Vesicles in the Diagnosis and Active Surveillance of Prostate Cancer. Cancers 2024, 16, 1717. [Google Scholar] [CrossRef] [PubMed]
- Welsh, J.A.; Goberdhan, D.C.I.; O’Driscoll, L.; Buzas, E.I.; Blenkiron, C.; Bussolati, B.; Cai, H.; Di Vizio, D.; Driedonks, T.A.P.; Erdbrugger, U.; et al. Minimal information for studies of extracellular vesicles (MISEV2023): From basic to advanced approaches. J. Extracell. Vesicles 2024, 13, e12404. [Google Scholar] [CrossRef] [PubMed]
- Linxweiler, J.; Junker, K. Extracellular vesicles in urological malignancies: An update. Nat. Rev. Urol. 2020, 17, 11–27. [Google Scholar] [CrossRef] [PubMed]
- Saldana, C.; Majidipur, A.; Beaumont, E.; Huet, E.; de la Taille, A.; Vacherot, F.; Firlej, V.; Destouches, D. Extracellular Vesicles in Advanced Prostate Cancer: Tools to Predict and Thwart Therapeutic Resistance. Cancers 2021, 13, 3791. [Google Scholar] [CrossRef] [PubMed]
- Słomka, A.; Kornek, M.; Cho, W.C. Small Extracellular Vesicles and Their Involvement in Cancer Resistance: An Up-to-Date Review. Cells 2022, 11, 2913. [Google Scholar] [CrossRef] [PubMed]
- Manceau, C.; Fromont, G.; Beauval, J.B.; Barret, E.; Brureau, L.; Crehange, G.; Dariane, C.; Fiard, G.; Gauthe, M.; Mathieu, R.; et al. Biomarker in Active Surveillance for Prostate Cancer: A Systematic Review. Cancers 2021, 13, 4251. [Google Scholar] [CrossRef] [PubMed]
- Connell, S.P.; Yazbek-Hanna, M.; McCarthy, F.; Hurst, R.; Webb, M.; Curley, H.; Walker, H.; Mills, R.; Ball, R.Y.; Sanda, M.G.; et al. A four-group urine risk classifier for predicting outcomes in patients with prostate cancer. BJU Int. 2019, 124, 609–620. [Google Scholar] [CrossRef] [PubMed]
- Tao, W.; Wang, B.Y.; Luo, L.; Li, Q.; Meng, Z.A.; Xia, T.L.; Deng, W.M.; Yang, M.; Zhou, J.; Zhang, X.; et al. A urine extracellular vesicle lncRNA classifier for high-grade prostate cancer and increased risk of progression: A multi-center study. Cell Rep. Med. 2023, 4, 101240. [Google Scholar] [CrossRef] [PubMed]
- Fradet, V.; Toren, P.; Nguile-Makao, M.; Lodde, M.; Levesque, J.; Leger, C.; Caron, A.; Bergeron, A.; Ben-Zvi, T.; Lacombe, L.; et al. Prognostic value of urinary prostate cancer antigen 3 (PCA3) during active surveillance of patients with low-risk prostate cancer receiving 5α-reductase inhibitors. BJU Int. 2018, 121, 399–404. [Google Scholar] [CrossRef]
- Lin, D.W.; Newcomb, L.F.; Brown, E.C.; Brooks, J.D.; Carroll, P.R.; Feng, Z.; Gleave, M.E.; Lance, R.S.; Sanda, M.G.; Thompson, I.M.; et al. Urinary TMPRSS2:ERG and PCA3 in an active surveillance cohort: Results from a baseline analysis in the Canary Prostate Active Surveillance Study. Clin. Cancer Res. 2013, 19, 2442–2450. [Google Scholar] [CrossRef]
- Newcomb, L.F.; Zheng, Y.; Faino, A.V.; Bianchi-Frias, D.; Cooperberg, M.R.; Brown, M.D.; Brooks, J.D.; Dash, A.; Fabrizio, M.D.; Gleave, M.E.; et al. Performance of PCA3 and TMPRSS2:ERG urinary biomarkers in prediction of biopsy outcome in the Canary Prostate Active Surveillance Study (PASS). Prostate Cancer Prostatic Dis. 2019, 22, 438–445. [Google Scholar] [CrossRef]
- Perlis, N.; Al-Kasab, T.; Ahmad, A.; Goldberg, E.; Fadak, K.; Sayyid, R.; Finelli, A.; Kulkarni, G.; Hamilton, R.; Zlotta, A.; et al. Defining a Cohort that May Not Require Repeat Prostate Biopsy Based on PCA3 Score and Magnetic Resonance Imaging: The Dual Negative Effect. J. Urol. 2018, 199, 1182–1187. [Google Scholar] [CrossRef] [PubMed]
- Tosoian, J.J.; Loeb, S.; Kettermann, A.; Landis, P.; Elliot, D.J.; Epstein, J.I.; Partin, A.W.; Carter, H.B.; Sokoll, L.J. Accuracy of PCA3 measurement in predicting short-term biopsy progression in an active surveillance program. J. Urol. 2010, 183, 534–538. [Google Scholar] [CrossRef] [PubMed]
- Tosoian, J.J.; Patel, H.D.; Mamawala, M.; Landis, P.; Wolf, S.; Elliott, D.J.; Epstein, J.I.; Carter, H.B.; Ross, A.E.; Sokoll, L.J.; et al. Longitudinal assessment of urinary PCA3 for predicting prostate cancer grade reclassification in favorable-risk men during active surveillance. Prostate Cancer Prostatic Dis. 2017, 20, 339–342. [Google Scholar] [CrossRef]
- Ghafouri-Fard, S.; Khoshbakht, T.; Hussen, B.M.; Baniahmad, A.; Taheri, M.; Rashnoo, F. A review on the role of PCA3 lncRNA in carcinogenesis with an especial focus on prostate cancer. Pathol. Res. Pract. 2022, 231, 153800. [Google Scholar] [CrossRef] [PubMed]
- Saltman, A.; Zegar, J.; Haj-Hamed, M.; Verma, S.; Sidana, A. Prostate cancer biomarkers and multiparametric MRI: Is there a role for both in prostate cancer management? Ther. Adv. Urol. 2021, 13, 1756287221997186. [Google Scholar] [CrossRef] [PubMed]
- Erdmann, K.; Kaulke, K.; Thomae, C.; Huebner, D.; Sergon, M.; Froehner, M.; Wirth, M.P.; Fuessel, S. Elevated expression of prostate cancer-associated genes is linked to down-regulation of microRNAs. BMC Cancer 2014, 14, 82. [Google Scholar] [CrossRef] [PubMed][Green Version]
- Ebersbach, C.; Beier, A.K.; Thomas, C.; Erb, H.H.H. Impact of STAT Proteins in Tumor Progress and Therapy Resistance in Advanced and Metastasized Prostate Cancer. Cancers 2021, 13, 4854. [Google Scholar] [CrossRef] [PubMed]
- Santer, F.R.; Erb, H.H.H.; Jung Oh, S.; Handle, F.; Feiersinger, G.E.; Luef, B.; Bu, H.; Schäfer, G.; Ploner, C.; Egger, M.; et al. Mechanistic rationale for MCL1 inhibition during androgen deprivation therapy. Oncotarget 2015, 6, 6105–6122. [Google Scholar] [CrossRef]
- Ebersbach, C.; Beier, A.-M.K.; Hönscheid, P.; Sperling, C.; Jöhrens, K.; Baretton, G.B.; Thomas, C.; Sommer, U.; Borkowetz, A.; Erb, H.H.H. Influence of Systemic Therapy on the Expression and Activity of Selected STAT Proteins in Prostate Cancer Tissue. Life 2022, 12, 240. [Google Scholar] [CrossRef]
- Schmidt, U.; Fuessel, S.; Koch, R.; Baretton, G.B.; Lohse, A.; Tomasetti, S.; Unversucht, S.; Froehner, M.; Wirth, M.P.; Meye, A. Quantitative multi-gene expression profiling of primary prostate cancer. Prostate 2006, 66, 1521–1534. [Google Scholar] [CrossRef]
- Lim, M.C.J.; Baird, A.M.; Aird, J.; Greene, J.; Kapoor, D.; Gray, S.G.; McDermott, R.; Finn, S.P. RNAs as Candidate Diagnostic and Prognostic Markers of Prostate Cancer-From Cell Line Models to Liquid Biopsies. Diagnostics 2018, 8, 60. [Google Scholar] [CrossRef] [PubMed]
- Martignano, F.; Rossi, L.; Maugeri, A.; Gallà, V.; Conteduca, V.; De Giorgi, U.; Casadio, V.; Schepisi, G. Urinary RNA-based biomarkers for prostate cancer detection. Clin. Chim. Acta 2017, 473, 96–105. [Google Scholar] [CrossRef]
- Harris, P.A.; Taylor, R.; Minor, B.L.; Elliott, V.; Fernandez, M.; O’Neal, L.; McLeod, L.; Delacqua, G.; Delacqua, F.; Kirby, J.; et al. The REDCap consortium: Building an international community of software platform partners. J. Biomed. Inform. 2019, 95, 103208. [Google Scholar] [CrossRef]
- Harris, P.A.; Taylor, R.; Thielke, R.; Payne, J.; Gonzalez, N.; Conde, J.G. Research electronic data capture (REDCap)—A metadata-driven methodology and workflow process for providing translational research informatics support. J. Biomed. Inform. 2009, 42, 377–381. [Google Scholar] [CrossRef] [PubMed]
- Borkowetz, A.; Lohse-Fischer, A.; Scholze, J.; Lotzkat, U.; Thomas, C.; Wirth, M.P.; Fuessel, S.; Erdmann, K. Evaluation of MicroRNAs as Non-Invasive Diagnostic Markers in Urinary Cells from Patients with Suspected Prostate Cancer. Diagnostics 2020, 10, 578. [Google Scholar] [CrossRef]
- Armstrong, D.A.; Dessaint, J.A.; Ringelberg, C.S.; Hazlett, H.F.; Howard, L.; Abdalla, M.A.K.; Barnaby, R.L.; Stanton, B.A.; Cervinski, M.A.; Ashare, A. Pre-Analytical Handling Conditions and Small RNA Recovery from Urine for miRNA Profiling. J. Mol. Diagn. 2018, 20, 565–571. [Google Scholar] [CrossRef] [PubMed]
- Erdmann, K.; Kaulke, K.; Rieger, C.; Wirth, M.P.; Fuessel, S. Induction of alpha-methylacyl-CoA racemase by miR-138 via up-regulation of β-catenin in prostate cancer cells. J. Cancer Res. Clin. Oncol. 2017, 143, 2201–2210. [Google Scholar] [CrossRef]
- Linke, D.; Donix, L.; Peitzsch, C.; Erb, H.H.H.; Dubrovska, A.; Pfeifer, M.; Thomas, C.; Fuessel, S.; Erdmann, K. Comprehensive Evaluation of Multiple Approaches Targeting ABCB1 to Resensitize Docetaxel-Resistant Prostate Cancer Cell Lines. Int. J. Mol. Sci. 2022, 24, 666. [Google Scholar] [CrossRef]
- Sayyid, R.K.; Dingar, D.; Fleshner, K.; Thorburn, T.; Diamond, J.; Yao, E.; Hersey, K.; Chadwick, K.; Perlis, N.; Klotz, L.; et al. What false-negative rates of non-invasive testing are active surveillance patients and uro-oncologists willing to accept in order to avoid prostate biopsy? Can. Urol. Assoc. J. 2017, 11, 118–122. [Google Scholar] [CrossRef]
- Luiting, H.B.; Remmers, S.; Boeve, E.R.; Valdagni, R.; Chiu, P.K.; Semjonow, A.; Berge, V.; Tully, K.H.; Rannikko, A.S.; Staerman, F.; et al. A Multivariable Approach Using Magnetic Resonance Imaging to Avoid a Protocol-based Prostate Biopsy in Men on Active Surveillance for Prostate Cancer-Data from the International Multicenter Prospective PRIAS Study. Eur. Urol. Oncol. 2022, 5, 651–658. [Google Scholar] [CrossRef] [PubMed]
- Press, B.H.; Khajir, G.; Ghabili, K.; Leung, C.; Fan, R.E.; Wang, N.N.; Leapman, M.S.; Sonn, G.A.; Sprenkle, P.C. Utility of PSA Density in Predicting Upgraded Gleason Score in Men on Active Surveillance with Negative MRI. Urology 2021, 155, 96–100. [Google Scholar] [CrossRef] [PubMed]
- Greenberg, J.W.; Koller, C.R.; Lightfoot, C.; Brinkley, G.J.; Leinwand, G.; Wang, J.; Krane, L.S. Annual mpMRI surveillance: PI-RADS upgrading and increasing trend correlated with patients who harbor clinically significant disease. Urol. Oncol. 2024, 42, 158.e111–158.e116. [Google Scholar] [CrossRef] [PubMed]
- Felker, E.R.; Wu, J.; Natarajan, S.; Margolis, D.J.; Raman, S.S.; Huang, J.; Dorey, F.; Marks, L.S. Serial Magnetic Resonance Imaging in Active Surveillance of Prostate Cancer: Incremental Value. J. Urol. 2016, 195, 1421–1427. [Google Scholar] [CrossRef]
- Luzzago, S.; Piccinelli, M.L.; Mistretta, F.A.; Bianchi, R.; Cozzi, G.; Di Trapani, E.; Cioffi, A.; Catellani, M.; Fontana, M.; Jannello, L.M.I.; et al. Repeat MRI during active surveillance: Natural history of prostatic lesions and upgrading rates. BJU Int. 2022, 129, 524–533. [Google Scholar] [CrossRef] [PubMed]
- Lloyd, M.D.; Yevglevskis, M.; Lee, G.L.; Wood, P.J.; Threadgill, M.D.; Woodman, T.J. alpha-Methylacyl-CoA racemase (AMACR): Metabolic enzyme, drug metabolizer and cancer marker P504S. Prog. Lipid Res. 2013, 52, 220–230. [Google Scholar] [CrossRef] [PubMed]
- Al Aameri, R.F.H.; Sheth, S.; Alanisi, E.M.A.; Borse, V.; Mukherjea, D.; Rybak, L.P.; Ramkumar, V. Tonic suppression of PCAT29 by the IL-6 signaling pathway in prostate cancer: Reversal by resveratrol. PLoS ONE 2017, 12, e0177198. [Google Scholar] [CrossRef] [PubMed]
- Chen, Q.; Zhu, C.; Jin, Y. The Oncogenic and Tumor Suppressive Functions of the Long Noncoding RNA MALAT1: An Emerging Controversy. Front. Genet. 2020, 11, 93. [Google Scholar] [CrossRef] [PubMed]
- Malik, R.; Patel, L.; Prensner, J.R.; Shi, Y.; Iyer, M.K.; Subramaniyan, S.; Carley, A.; Niknafs, Y.S.; Sahu, A.; Han, S.; et al. The lncRNA PCAT29 inhibits oncogenic phenotypes in prostate cancer. Mol. Cancer Res. 2014, 12, 1081–1087. [Google Scholar] [CrossRef]
- Imran, M.; Abida; Eltaib, L.; Siddique, M.I.; Kamal, M.; Asdaq, S.M.B.; Singla, N.; Al-Hajeili, M.; Alhakami, F.A.; AlQarni, A.F.; et al. Beyond the genome: MALAT1’s role in advancing urologic cancer care. Pathol. Res. Pract. 2024, 256, 155226. [Google Scholar] [CrossRef]
- Li, R.; Zhu, H.; Luo, Y. Understanding the Functions of Long Non-Coding RNAs through Their Higher-Order Structures. Int. J. Mol. Sci. 2016, 17, 702. [Google Scholar] [CrossRef]
- Kretschmer, A.; Tutrone, R.; Alter, J.; Berg, E.; Fischer, C.; Kumar, S.; Torkler, P.; Tadigotla, V.; Donovan, M.; Sant, G.; et al. Pre-diagnosis urine exosomal RNA (ExoDx EPI score) is associated with post-prostatectomy pathology outcome. World J. Urol. 2022, 40, 983–989. [Google Scholar] [CrossRef]
- Dijkstra, S.; Birker, I.L.; Smit, F.P.; Leyten, G.H.; de Reijke, T.M.; van Oort, I.M.; Mulders, P.F.; Jannink, S.A.; Schalken, J.A. Prostate cancer biomarker profiles in urinary sediments and exosomes. J. Urol. 2014, 191, 1132–1138. [Google Scholar] [CrossRef]
- Hendriks, R.J.; Dijkstra, S.; Jannink, S.A.; Steffens, M.G.; van Oort, I.M.; Mulders, P.F.; Schalken, J.A. Comparative analysis of prostate cancer specific biomarkers PCA3 and ERG in whole urine, urinary sediments and exosomes. Clin. Chem. Lab. Med. 2016, 54, 483–492. [Google Scholar] [CrossRef]
Disclaimer/Publisher’s Note: The statements, opinions, and data contained in all publications are solely those of the individual author(s) and contributor(s) and not of MDPI and/or the editor(s). MDPI and/or the editor(s) disclaim responsibility for any injury to people or property resulting from any ideas, methods, instructions, or products referred to in the content. |




| Parameter | Stable n = 41 | Reclassified n = 31 | p Value |
|---|---|---|---|
| (1) Status at 1st Diagnosis of PCa & Initiation of AS | |||
| Diagnosis of PCa | NA | ||
| Biopsy | 26 | 28 | |
| TUR-P | 15 | 3 | |
| Median iPSA (ng/mL) | 5.38 | 5.96 | 0.207 |
| (Range) | (0.92 to 13.2) | (1.20 to 11.9) | |
| ISUP Grading Group | NA | ||
| 1 (GS ≤ 6) | 37 | 30 | |
| 2 (GS = 3 + 4) | 4 | 1 | |
| (2) Status at Control Biopsy on AS | |||
| Median Time from PCa diagnosis (years) | 1.4 | 1.6 | 0.099 |
| (Range) | (0.3 to 10.3) | (0.5 to 12.2) | |
| Time from PCa diagnosis | 0.321 | ||
| ≤2 years | 29 | 18 | |
| >2 years | 12 | 13 | |
| Median Age (Years) | 64 | 70 | 0.004 |
| (Range) | (55 to 81) | (53 to 84) | |
| Median PSA (ng/mL) | 4.82 | 7.54 | 0.003 |
| (Range) | (0.36 to 13.5) | (0.49 to 19.6) | |
| PSA | 0.011 | ||
| ≤10 ng/mL | 38 | 21 | |
| >10 ng/mL | 3 a | 10 | |
| Median PSAD (ng/mL2) | 0.108 | 0.143 | 0.008 |
| (Range) | (0.002 to 0.313) | (0.019 to 0.560) | |
| PSAD | 0.005 | ||
| ≤0.2 ng/mL2 | 38 | 20 | |
| >0.2 ng/mL2 | 3 | 11 | |
| Median PSAV (ng/mL/year) | −0.15 | 0.60 | 0.001 |
| (Range) | (−12.2 to 3.66) | (−3.52 to 5.41) | |
| PSAV | 0.007 | ||
| ≤0 ng/mL/year | 21 | 6 | |
| >0 ng/mL/year | 20 | 25 | |
| DRE (cT) | 1 unknown | 0.315 | |
| Non-Suspicious (cT1) | 36 | 25 | |
| Suspicious (cT2-4) | 4 | 6 | |
| Median MRI Lesions | 1 | 2 | 0.004 |
| (Range) | (0 to 3) | (0 to 3) | |
| MRI maxPI-RADS | 0.004 (2 + 3 vs. 4 + 5) | ||
| 2 | 11 | 2 | |
| 3 | 18 | 9 | |
| 4 | 10 | 7 | |
| 5 | 2 | 13 | |
| Control Biopsy | 0.032 | ||
| Systematic | 11 | 2 | |
| Systematic & Targeted | 30 | 29 | |
| Median Biopsy Cores | 15 | 16 | 0.130 |
| (Range) | (10 to 18) | (12 to 19) | |
| Median Positive Biopsy Cores | 0 | 3 | <0.001 |
| (Range) | (0 to 3) | (1 to 15) | |
| ISUP Grading Group | NA | ||
| Tumor-free | 25 | ||
| 1 (GS ≤ 6) & PSA ≤ 10 ng/mL | 16 | ||
| 1 (GS ≤ 6) & PSA > 10 ng/mL | 4 | ||
| 2 (GS = 3 + 4) | 22 | ||
| 3 (GS = 4 + 3) | 1 | ||
| 4 (GS = 8) | 1 | ||
| 5 (GS ≥ 9) | 3 | ||
| Parameter | Tumor-Free n = 25 | ISUP 1 a n = 20 | ISUP 2–5 n = 27 | p Value |
|---|---|---|---|---|
| Median PSA (ng/mL) | 4.54 | 5.71 | 7.27 | 0.137 |
| Median PSAD (ng/mL2) | 0.107 | 0.111 | 0.143 | 0.113 |
| Median PSAV (ng/mL/year) | −0.18 | 0.43 | 0.55 | 0.046 |
| MRI maxPI-RADS | 0.001 | |||
| 2 + 3 | 20 | 12 | 8 | |
| 4 + 5 | 5 | 8 | 19 | |
| AMACR (×10−3) | 140.00 | 163.70 | 208.00 | 0.078 |
| HPN (×10−3) | 45.22 | 58.22 | 60.53 | 0.065 |
| PCAT29 (×10−3) | 1.72 | 1.89 | 3.33 | 0.067 |
| Parameter | PSA | PSAD | PSAV | maxPI-RADS | AMACR | HPN | MALAT1 | PCA3 | PCAT29 |
|---|---|---|---|---|---|---|---|---|---|
| AUC (95% CI) | 0.700 (0.578–0.823) | 0.681 (0.557–0.806) | 0.720 (0.602–0.838) | 0.747 (0.631–0.863) | 0.655 (0.522–0.789) | 0.626 (0.497–0.755) | 0.614 (0.483–0.745) | 0.617 (0.483–0.750) | 0.627 (0.497–0.757) |
| p Value | 0.004 | 0.009 | 0.002 | <0.001 | 0.025 | 0.068 | 0.098 | 0.091 | 0.067 |
| Cutoff | >10 ng/mL | >0.2 ng/mL2 | >0 ng/mL/year | ≥4 | >185.0 × 10−3 | >40.8 × 10−3 | <45.7 × 10−3 | >718.0 × 10−3 | >1.7 × 10−3 |
| SNS (%) | 32.3 | 35.5 | 80.6 | 64.5 | 64.5 | 87.1 | 87.1 | 45.2 | 83.9 |
| SPC (%) | 92.7 | 92.7 | 51.2 | 70.7 | 70.7 | 41.5 | 41.5 | 80.5 | 48.8 |
| PPV (%) | 76.9 | 78.6 | 55.6 | 62.5 | 62.5 | 52.9 | 52.9 | 63.6 | 55.3 |
| NPV (%) | 64.4 | 65.5 | 77.8 | 72.5 | 72.5 | 81.0 | 81.0 | 66.0 | 80.0 |
| pLR | 4.409 | 4.849 | 1.653 | 2.204 | 2.204 | 1.488 | 1.488 | 2.315 | 1.637 |
| nLR | 0.731 | 0.696 | 0.378 | 0.502 | 0.502 | 0.311 | 0.311 | 0.681 | 0.331 |
| ACC (%) | 66.7 | 68.1 | 63.9 | 68.1 | 68.1 | 61.1 | 61.1 | 65.3 | 63.9 |
| Parameter | Univariate Analysis | Multivariate Analysis | ||||
|---|---|---|---|---|---|---|
| OR | 95% CI | p Value | OR | 95% CI | p Value | |
| PSA (reference ≤10 ng/mL) | 6.03 | 1.49 to 24.36 | 0.012 | |||
| PSAD (reference ≤0.2 ng/mL2) | 6.97 | 1.74 to 27.88 | 0.006 | 7.17 | 1.15 to 44.61 | 0.035 |
| PSAV (reference ≤0 ng/mL/year) | 4.38 | 1.48 to 12.90 | 0.007 | |||
| maxPI-RADS (reference ≤3) | 4.39 | 1.62 to 11.91 | 0.004 | 4.09 | 1.12 to 14.86 | 0.033 |
| AMACR (reference ≤185.0 × 10−3) | 4.39 | 1.62 to 11.91 | 0.004 | 8.00 | 2.13 to 30.10 | 0.002 |
| HPN (reference ≤40.8 × 10−3) | 4.78 | 1.41 to 16.20 | 0.012 | |||
| MALAT1 (reference ≥45.7 × 10−3) | 4.78 | 1.41 to 16.20 | 0.012 | 4.52 | 1.00 to 20.45 | 0.050 |
| PCA3 (reference ≤718.0 × 10−3) | 3.40 | 1.19 to 9.68 | 0.022 | |||
| PCAT29 (reference ≤1.7 × 10−3) | 4.95 | 1.59 to 15.43 | 0.006 | 4.04 | 0.96 to 17.06 | 0.057 |
| Parameter | 2C-Score | 3T-Score | 2C-3T-Score |
|---|---|---|---|
| AUC (95% CI) | 0.735 (0.616 to 0.854) | 0.811 (0.707 to 0.916) | 0.867 (0.779 to 0.956) |
| p Value | <0.001 | <0.001 | <0.001 |
| Cutoff a | 1 of 2 | 2 of 3 | 3 of 5 |
| SNS (%) | 74.2 | 90.3 | 87.1 |
| SPC (%) | 68.3 | 65.9 | 82.9 |
| PPV (%) | 63.9 | 66.7 | 79.4 |
| NPV (%) | 77.8 | 90.0 | 89.5 |
| pLR | 2.340 | 2.645 | 5.101 |
| nLR | 0.378 | 0.147 | 0.156 |
| ACC (%) | 70.8 | 76.4 | 84.7 |
| Parameter | Stable (n) | Reclassified (n) | OR | 95% CI | p Value |
|---|---|---|---|---|---|
| 2C-Score | <0.001 | ||||
| Negative (0 risk factors) | 28 (39%) | 8 (11%) | 1 | ||
| Positive (≥1 risk factors) | 13 (18%) | 23 (32%) | 6.19 | 2.19 to 17.51 | |
| 3T-Score | <0.001 | ||||
| Negative (<2 risk factors) | 27 (38%) | 3 (4%) | 1 | ||
| Positive (≥2 risk factors) | 14 (19%) | 28 (39%) | 18.00 | 4.65 to 69.74 | |
| 2C-3T-Score | <0.001 | ||||
| Negative (<3 risk factors) | 34 (47%) | 4 (6%) | 1 | ||
| Positive (≥3 risk factors) | 7 (10%) | 27 (38%) | 32.79 | 8.69 to 123.76 |
Disclaimer/Publisher’s Note: The statements, opinions and data contained in all publications are solely those of the individual author(s) and contributor(s) and not of MDPI and/or the editor(s). MDPI and/or the editor(s) disclaim responsibility for any injury to people or property resulting from any ideas, methods, instructions or products referred to in the content. |
© 2024 by the authors. Licensee MDPI, Basel, Switzerland. This article is an open access article distributed under the terms and conditions of the Creative Commons Attribution (CC BY) license (https://creativecommons.org/licenses/by/4.0/).
Share and Cite
Erdmann, K.; Distler, F.; Gräfe, S.; Kwe, J.; Erb, H.H.H.; Fuessel, S.; Pahernik, S.; Thomas, C.; Borkowetz, A. Transcript Markers from Urinary Extracellular Vesicles for Predicting Risk Reclassification of Prostate Cancer Patients on Active Surveillance. Cancers 2024, 16, 2453. https://doi.org/10.3390/cancers16132453
Erdmann K, Distler F, Gräfe S, Kwe J, Erb HHH, Fuessel S, Pahernik S, Thomas C, Borkowetz A. Transcript Markers from Urinary Extracellular Vesicles for Predicting Risk Reclassification of Prostate Cancer Patients on Active Surveillance. Cancers. 2024; 16(13):2453. https://doi.org/10.3390/cancers16132453
Chicago/Turabian StyleErdmann, Kati, Florian Distler, Sebastian Gräfe, Jeremy Kwe, Holger H. H. Erb, Susanne Fuessel, Sascha Pahernik, Christian Thomas, and Angelika Borkowetz. 2024. "Transcript Markers from Urinary Extracellular Vesicles for Predicting Risk Reclassification of Prostate Cancer Patients on Active Surveillance" Cancers 16, no. 13: 2453. https://doi.org/10.3390/cancers16132453
APA StyleErdmann, K., Distler, F., Gräfe, S., Kwe, J., Erb, H. H. H., Fuessel, S., Pahernik, S., Thomas, C., & Borkowetz, A. (2024). Transcript Markers from Urinary Extracellular Vesicles for Predicting Risk Reclassification of Prostate Cancer Patients on Active Surveillance. Cancers, 16(13), 2453. https://doi.org/10.3390/cancers16132453

